Исследование предстательной железы трансабдоминальное

Исследование предстательной железы трансабдоминальное[Исследование предстательной железы трансабдоминальное]

Принцип трансабдоминального УЗИ простаты

Трансабдоминальное УЗИ воспаленной предстательной железы – это одна из современнейших методик определения патологической степени болезни органа. Методика ультразвукового исследования обосновывается на посылаемых специальными приборами звуковых волнах, которые имеют свойство отражаться от разных мышечных тканей предстательной железы разными способами.

Диагностика предстательной железы

При помощи методики трансабдоминального ультразвукового исследования медицинские исследователи могут рассуждать о работоспособности предстательной железы, определять наличие патологий, а также возможных новообразованных онкологических опухолей. Также врач может посмотреть на результат УЗИ и определить тенденции к выздоровлениям, в случае, когда существует необходимость – вовремя корректировать терапию.

Трансабдоминальное УЗИ предстательной железы является безболезненным, а также самым доступным методом, при котором совершенно отсутствуют неприятные ощущения для мужчины, но по факту это один из начальных методов диагностирования патологий предстательной железы.

Из-за низкой чувствительности сканеров невозможно замерить всю тканевую структуру, а также ее изменения. ТАУЗИ позволяет при помощи ультразвуковой методики проверить размеры предстательной железы, объемы и локацию, как органа в соседстве с другими органами малого таза.

Общие характеристики методик ультразвукового исследования

Как метод диагностики эффективен

Для того, чтобы вовремя результативно исследовать предстательную железу при помощи двух методик: трансабдоминального ультразвукового исследования предстательной железы, а также трансректального. Проводя трансабдоминальное УЗИ простаты, приборы сканируют органы сквозь полость брюха, а методика трансректального УЗИ выявляет введения датчиков в область прямого кишечника.

С применением этой исследовательной методики в организм не попадают вредоносные излучения в отличии от метода рентгена. Поэтому применяя ультразвуковое исследование, можно использовать его так часто, как этого требует постановка точных диагнозов или терапии.

Симптоматика, при которой проводят трансабдоминальное УЗИ предстательной железы

Метод УЗИ простаты трансабдоминальное рекомендуется к применению при наличии такой симптоматики:

  • когда у особи мужского пола в плазме превышенное количество простатспецифического антигена;
  • если у мужчины проявляются учащенные позывы к мочеиспусканию или наоборот, затрудняется возможность опорожнения мочевого пузыря;
  • когда при мануальном методе осмотра ректальным способом врач выявил уплотнение в предстательной железе.

У метода ТАУЗИ нет противопоказаний.

Патологии, которые можно диагностировать с помощью трансабдоминального УЗИ простаты

Аденомы. Если у особи мужского пола затрудненное мочеиспускание, а также болевые ощущения внизу живота, врач сразу подозревает опухоль области предстательной железы. Если наличие патологии имеет место, трансабдоминальное ультразвуковое исследование простаты через брюшную полость представит увеличенные размеры железы с узелками наверху. Также будет присутствовать остаточная моча.

Онкологическая опухоль области простаты. Очень часто данная патология изначально склонно развиваться бессимптомно, потому люди, находящиеся в группах угрозы (люди среднего преклонного возраста) обязаны обследоваться методом ТАУЗИ предстательной железы каждый год. Результат, при котором выявляют рак, аналогичен с результатом аденомы, поэтому необходимо будет сдать еще ряд анализов, а также применить биопсийную иглу для забора ткани.

Воспаление предстательной железы. Вызывается воспалительным процессом области простаты. Метод ТАУЗИ покажет заметное увеличение размера железы.

Наличие кисты простаты. При помощи методики трансабдоминального УЗИ простаты определяется точная локация кисты, а также ее размер.

ТАУЗИ используется медицинскими исследователями урологической области для диагностирования патологий органов семенного мешка, таких, как варикоцеле, опухоль, гидроцеле.

Как правильно подготовиться к трансабдоминальному ультразвуковому исследованию

Важно запомнить, что за час до проведения трансабдоминального УЗИ простаты особи мужского пола обязательно нужно употребить не меньше, чем один литр неконсервированной, негазированной жидкости.

Перед самим ТАУЗИ необходимо провести опорожнение прямого кишечника методом дефекации, а также очищающего клизмирования с теплой водой. Комплексы для клизмирования в готовом виде можно приобрести в аптечном пункте. Можно принять слабительные препараты.

Запрещается курение, сосание леденцов, жевание резинок, поскольку данные действия могут вызывать спазмирование желудочного тракта и других органов. Перед обследованием необходимо проинформировать лечащего врача о тех УЗИ, которые проводились ранее, за полгода до трансабдоминального ультразвукового исследования.

Если при предыдущих обследованиях имели место процедуры с применением рентгена, значит, использовалось контрастное вещество. Тогда при этом лечащий врач должен будет подкорректировать данные, которые получит как результат трансабдоминального исследования для того, чтобы не допустить ошибку при определении диагноза.

Для сеанса трансабдоминального УЗИ необходимо подготовить одежду просторного покроя, чтобы потом движения были свободными, а тело не сдавливалось. Обследование медицинские исследователи проводят при соблюдении пациентом правила не потребления пищи перед УЗИ.

Если у пациента есть сахарный диабет, он может скушать кусочек белого хлеба, а также выпить несладкий чай. Необходима абсолютная коррекция пищевого рациона так, чтобы включить обязательное употребление каш (гречневой, ячневой), нежирной говядины, мяса птицы, отварной морской рыбы, яиц, сыра нежирного сорта, жидкости объемом не меньше, чем полтора литра.

Какие продукты запрещены перед проведением ТАУЗИ?

Для подготовки к трансабдоминальному УЗИ необходимо исключить употребление таких продуктов питания:

Питание для подготовки

  • хлеба, сдобы (булочек, печенья);
  • бобовых;
  • молока, а также молочных продуктов;
  • алкогольных напитков;
  • сахара, шоколада, конфет;
  • мяса жирного сорта.

Если неправильно или халатно подготовиться к трансабдоминальному ультразвуковому исследованию, возможен вариант, что результат будет искаженным из-за неправильной визуализации на экране монитора.

Как проходит процедура

Как исследуют органы

Для прохождения обследования мужчине необходимо лечь на спину, а медики специальными приборами будут производить вдавливающие движения по области брюшной полости. При этом обязательно особому вниманию подлежит область локации предстательной железы, мочевика, мочеиспускательного канала.

По стандарту, трансабдоминальное ультразвуковое исследование предстательной железы применяют для первичного диагностирования и определения с дальнейшими действиями по дальнейшему медикаментозному лечению. Данный фактор связан с недостатком трансабдоминального исследования – на раннем этапе патологии ее обнаружение является практически невозможным, поскольку приборы ТАУЗИ не очень чувствительны.

Особенности трансабдоминального ультразвукового исследования простаты

Исследование с использованием ультразвуковых волн – один из самых эффективных и безопасных методов для выявления патологических изменений в органах и системах. Этот способ применяется и при обследовании предстательной железы, нарушения в которой могут быть выявлены высокочувствительным датчиком аппарата. Диагностика помогает определить отклонения в размере и контурах простаты, отсутствие или наличие новообразований, степень симметричности долек железы. Врач с помощью УЗИ может провести исследование органов малого таза в динамике, отследить нарушения в микроциркуляции предстательной железы и состоянии семенных пузырьков.

УЗИ – эффективная диагностическая процедура, которая практически не имеет противопоказаний

Достоинства УЗИ

На сегодня УЗИ является самой безопасной методикой, не имеющей никаких побочных эффектов. Преимуществами метода являются:

  1. Возможность определить все параметры органа и получить объемное изображение.

  2. Отсутствие необходимости осуществления инъекций, разрезов и прочих оперативных манипуляций.
  3. Стоимость подобного исследования невысока по сравнению с другими диагностическими методиками.
  4. УЗИ проводится в настоящее время практически в каждом медучреждении. Во многих урологических отделениях имеется собственное ультразвуковое устройство.
  5. Широкий перечень показаний и отсутствие противопоказаний. Чаще всего мужчине проводится комплексное УЗИ органов малого таза
  6. Возможность определить состояние как простаты, так и органов, располагающихся поблизости.
  7. Нет необходимости проводить сложную подготовку к исследованию.
  8. Небольшое время проведения процедуры.
  9. Возможность одновременной биопсии тканей, необходимой для гистологических исследований.

Трансабдоминальная диагностика

Трансабдоминальное УЗИ простаты обычно проводится мужчинам в профилактических целях. Этот метод показан при невозможности исследования другими способами. При подозрении на наличие каких-либо нарушений в тканях простаты урологи назначают трансуретральную диагностику.

Трансуретральная диагностика – инвазивная методика, предполагающая введение цистоскопа через мочеиспускательный канал

УЗИ предстательной железы проводится трансабдоминально в тех случаях, когда имеются противопоказания для трансректального или трансуретрального методов исследования.

Мужчина располагается на спине, освобождает зону брюшины, которую врач смазывает специальным гелем, помогающим лучше отображать ультразвуковую волну. Для такой диагностики применяется датчик определенной формы, который помещается на поверхность живота и передвигается по мере необходимости. Задачей врача является осмотр предстательной железы и мочевого пузыря, фиксация нарушений и определение размеров отображаемых на экране органов.

Абдоминальное УЗИ длится около десяти минут. После процедуры кожные покровы пациента очищаются от геля хлопчатобумажной салфеткой. Мужчина одевается и ожидает в течение некоторого времени расшифровку УЗИ, которую осуществляет врач на основании принятых стандартов.

Размеры простаты выводятся на монитор непосредственно при проведении процедуры

Такой способ исследования ультразвуком помогает выявить внешние изменения тканей предстательной железы. Нарушения на клеточном уровне этим методом определить невозможно.

Трансабдоминальный УЗ-метод урологи назначают при подозрениях на аденому простаты, признаках замещения железистых тканей на другие. Такая диагностика проводится, если врач предполагает наличие уплотнений и кальцинированных участков в простате. Этим способом урологи дифференцируют хроническую форму простатита и фиброз железы. Врачом кабинета УЗИ одновременно могут выявляться другие изменения в мочевыделительных органах.

Как подготовиться к процедуре

Пациенту следует выяснить информацию о том, как правильно подготовиться к ультразвуковому исследованию простаты. Правила подготовки несколько отличаются при проведении разных методов УЗИ железы.

Трансабдоминальное УЗИ не вынуждает пациента изменять привычный режим питания

Перед трансабдоминальным исследованием нет необходимости ограничивать себя в приеме пищи.

Как правило, врач-уролог назначает УЗИ не только предстательной железы, но и мочевого пузыря, изменения в котором также возможны при гиперплазии и других заболеваниях простаты. Поэтому за полтора часа до процедуры следует выпить литр жидкости, что поможет лучше визуализировать органы. Если воды будет употреблено недостаточно, в момент исследования мочевой пузырь полностью наполнен не будет. Если пациент выпьет слишком много воды, будет очень трудно сдержать позыв к мочеиспусканию в момент проведения процедуры, так как врач надавливает на зону мочевого пузыря датчиком аппарата.

В отличие от трансабдоминального, перед трансректальным УЗИ необходимо очистить кишечник, для чего может понадобиться постановка клизмы

Если есть необходимость в проведении трансректального исследования, мужчине желательно отказаться от приема пищи накануне, приблизительно за 8 часов. Разрешается неплотно позавтракать, но в меню должны отсутствовать блюда, вызывающие газообразование, которое может помешать правильному отображению органов. Заранее можно воспользоваться очистительной клизмой.

Показания для УЗИ

Многие заболевания мочеполовой системы проявляются похожими симптомами. Уролог назначает УЗИ в случае возникновения у мужчины болезненных ощущений в нижней части живота, дискомфорта при мочеиспускании, чувства неполного опустошения мочевого пузыря. Процедура ультразвукового исследования показана при нарушении репродуктивной функции пациента, жалобах на сниженную потенцию и проблемы с эрекцией.

Причины эректильной дисфункции также могут быть обнаружены на УЗИ

Все перечисленные признаки могут говорить о различных заболеваниях простаты. Подобные нарушения возникают у больных при хроническом и остром простатите, гиперплазии железы, злокачественном поражении органов малого таза, а также при имеющихся кистозных образованиях и конкрементах.

Трансабдоминальный метод исследования не назначается при большой жировой прослойке в области живота мужчины.

В этом случае визуализировать внутренние органы с применением ультразвуковых волн будет очень сложно, и результат может быть искажен. В такой ситуации пациенту назначается ТРУЗИ простаты, подразумевающее введение специального датчика в прямую кишку. Этот метод считается более достоверным, информативным и рекомендуется к проведению при признаках изменений в тканях предстательной железы.

Трансректальное УЗИ позволяет получить наиболее точные результаты

Трансабдоминальный метод ультразвукового исследования является самым распространенным. Такая процедура безопасна и не доставляет никаких дискомфортных ощущений пациентам. Благодаря УЗИ врач может получить необходимые данные о состоянии предстательной железы и других органов малого таза, которые также могут подвергаться изменениям при болезни простаты. УЗИ позволяет выявить патологии органа и диагностировать заболевания мочеполовой системы. Несмотря на удобство и комфортность трансабдоминальной методики, при появлении у врача-уролога подозрений на серьезные отклонения в работе предстательной железы мужчине рекомендуется пройти ТРУЗИ или трансуретральное исследование.

О том, как УЗИ помогает выявить рак простаты, смотрите в следующем видео:

УЗИ предстательной железы – как выполняется данное исследование

Ультразвуковое исследование – один из самых информативных, безопасных и надежных методов, с помощью которого можно получить точные данные о состоянии того или иного органа, тканей и прочих частей человеческого тела. Применяется он и для изучения простаты мужчины. УЗИ предстательной железы выполняется особым способом, что обусловлено анатомическим положением органа в теле.

Преимущества трансабдоминального способа

Как известно, простата находится в окружении многих органов, которые усложняют доступ к ней, а также могут быть полыми или наполненными газами.

Трансабдоминальное УЗИ предстательной железы

Из-за этого существует две основных методики УЗИ мочевого пузыря и предстательной железы.

Метод Описание Преимущества и недостатки
Трансректальный Введение специального аппарата в прямую кишку, с помощью которого и осуществляется исследование простаты Высокая информативность. Трансректальный способ позволяет получить наиболее точную информацию, касательно текущего состояния предстательной железы. При этом он имеет ряд ограничений, связанных, к примеру, с травматическими или воспалительными процессами в прямой кишке
Трансабдоминальный Процедура проводится с помощью традиционного ультразвукового инструмента, которым специалист водит по животу Метод абсолютно безболезненный и не несет никакого риска для пациента. При этом его информативность ниже, чем у трансректального метода. Поэтому процедуру обязательно должен выполнять опытный специалист на современном оборудовании.

Трансабдоминальное УЗИ предстательной железы это современный метод исследования состояния органа, в основе которого положен принцип способности ультразвука отражаться от неоднородных тканей. Плюсы этого способа очевидны:

  • не требуется введения каких-либо инструментов в прямую кишку или другие естественные или искусственно созданные отверстия в теле. Благодаря этому, риск травматизации тканей отсутствует;
  • на сегодняшний день необходимое оборудование есть практически в каждом медицинском учреждении в нашей стране. Это способствует доступной стоимости процедуры;
  • на современном оборудовании можно увидеть трехмерное изображение органа, благодаря чему можно точно установить все параметры железы – ее плотность, форму, размеры долек, расположение, симметричность и т.д. Это делает процедуру почти такой же информативной, как и трансректальный способ;
  • УЗИ почек и простаты полностью безопасно для пациента. Ультразвук не оказывает никакого негативного влияния на человеческий организм;
  • к проведению процедуры нет никаких противопоказаний;
  • метод поможет выявить структурные изменения в тканях прилегающих к простате органов, если патологический процесс в железе затронул и их. Это, например, может быть воспаление мочевого пузыря, какие-то проблемы с почками или кишечником;
  • длительность процедуры короткая – примерно 20-30 минут, в зависимости от исследуемой площади. Кроме того, к ней достаточно легко и подготовиться.

Очевидными недостатками этого метода является низкая информативность при работе с пациентами, имеющими лишний вес – жировая ткань плохо пропускает ультразвуковые волны. Кроме того, трансабдоминальное УЗИ не позволяет выявить болезнь на ранней стадии. Тем не менее, при наличии противопоказаний к трансректальному исследованию, этот способ остается безальтернативным.

УЗИ простаты – подготовка к ней

Чтобы обеспечить высокую информативность ультразвукового исследования традиционным, трансабдоминальным способом, необходимо тщательно подготовиться к грядущей процедуре.

В отличие от трансректального исследования, в данном случае никаких серьезных шагов пациенту предпринимать не нужно.

Подготовка к УЗИ простаты у мужчин начинается с употребления большого количества жидкости. Непосредственно перед проведением процедуры рекомендуется выпить не меньше чем полтора литра воды или другого напитка. При этом категорически запрещено употреблять газированную воду, поскольку она приводит к повышенному образованию газов в брюшной полости, а это существенно усложняет процесс исследования.

Перед исследованием необходимо выпить достаточное количество жидкости

Примечательно, что после приема достаточного количества жидкости, посещать туалет запрещено. Если пациент чувствует позывы к мочеиспусканию, он обязан сообщить об этом врачу. В таком случае специалист ускорит процесс ультразвукового исследования, чтобы минимизировать ваш дискомфорт.

Учитывая важность УЗИ предстательной железы, подготовка к исследованию должна пройти максимально качественно. Но это не значит, что пациент должен терпеть какие-то неудобства. Если после выпитой жидкости позыв к мочеиспусканию становится нестерпимым, то дискомфорт во время процедуры обеспечен. Это, помимо всего прочего, негативно скажется и на ее качестве. То есть, врач не сможет получить достаточно информации о состоянии простаты. Здесь нужно принять решение о том, чтобы отложить выполнение процедуры на некоторое время, чтобы пациент подготовился лучше.

Подготовка к УЗИ простаты и мочевого пузыря может включать в себя очистительную клизму. Очистка кишечника от каловых масс является обязательной для трансректального исследования. Что касается трансабдоминального, то здесь единого мнения нет – все зависит от требований специалиста. В любом случае острой необходимости в этом, при данном типе исследования, нет. Кроме того, пациенту понадобится ставить специальную клизму – это не очень комфортно.

Необходимо следовать рекомендациям врача

Подготовка к УЗИ предстательной железы является очень важной. От того, насколько грамотно пациент выполнит все предписания врача, напрямую зависит результативность всего ультразвукового исследования. При несоблюдении этих простых правил, может понадобиться дополнительная процедура – а это лишние временные и финансовые затраты.

Как делается УЗИ предстательной железы у мужчин

Данная процедура достаточно простая. Она совершенно безболезненна для пациента. Единственный дискомфорт – это холодный инструмент. Но с этим можно справиться. Предварительно нужно принять душ. Далее в кабинете УЗИ больного попросят раздеться до пояса. Спускать штаны вместе с лишним бельем не обязательно, хотя некоторые врачи все же требуют это сделать. Здесь нет ничего необычного.

Далее пациенту необходимо лечь на специальную кушетку, приняв положение лежа на спине. Врач обязан предварительно опросить исследуемого на предмет его самочувствия, присутствующих ощущений, особенно в области нижней части живота.

Как проводится УЗИ предстательной железы? Изначально на оголенный живот наносят незначительное количество специального геля, который служит своеобразным проводником между ультразвуком и телом пациента. Другими словами, он не дает образоваться воздушной прослойкой между кожным покровом и инструментом, благодаря чему точность исследования существенно повышается.

УЗИ является безболезненной процедурой

Далее приступают непосредственно к изучению состояния простаты. Специалист водит ультразвуковым датчиком по животу легкими круговыми движениями. Со стороны это больше похоже на массаж. Датчик подключен к компьютеру. Ультразвук отражается от тканей, полученное изображение формируется на мониторе. Как делают УЗИ простаты у мужчин? Процедура выполняется таким образом, чтобы исследуемый орган был изучен со всех сторон, как в вертикальной, так и в горизонтальной плоскости.

Как правило, длительность процедуры составляет всего 10-15 минут. После ее завершения, гель будет тщательно удален с помощью салфетки. Пациенту будет предложено встать и одеться, после чего подождать в приемной. На протяжении последующих 5-15 минут специалист изучит полученную картину и представит свое понимание проблемы. То есть, определит диагноз. Важным преимуществом этого метода является то, что человек может получить всю необходимую информацию о состоянии собственной предстательной железы в той же день, когда выполнялась процедура. Не нужно ждать несколько суток, что характерно для ряда анализов и прочих исследовательских мероприятий.

Кому показано УЗИ

Знать, как подготовиться к УЗИ простаты, нужно не только пациентам, которые точно знают свой диагноз, но и мужчинам, которые обследуются впервые и еще не знают, что не так с их организмом. Ультразвуковое исследование данного типа показано в следующих случаях:

  • во время комплексного обследования. Как правило, проверяют состояние всех органов брюшной полости и малого таза, включая предстательную железу;
  • при наличии у пациента жалоб на боли в абдоминальной области, проблемы с мочеиспусканием, интимной жизнью и т.д.;
  • при повышенном уровне ПСА.

Данный метод позволяет с высокой точностью диагностировать целый ряд заболеваний, затрагивающих мочеполовую систему, в частности те, которые непосредственным образом поражают предстательную железу:

  • простатит – для этого недуга характерно равномерное увеличение органа;
  • кисты – в ходе обследования удается установить количество и размеры данных образований;
  • конкременты – ультразвук отчетливо видит камни, их форму, габариты, количество, местонахождение и положение;
  • гиперплазия простаты – УЗИ позволяет увидеть болезнь на ранней стадии, для которой характерно неравномерное разрастание тканей органа;
  • злокачественные образования – УЗИ является очень важным инструментом для своевременного обнаружения онкологических процессов. Для успешного лечения данного заболевания это крайне полезно, так как существенно повышает шансы на восстановление организма.

Теперь вы знаете, как делается УЗИ простаты, в чем особенность процедуры и как к ней подготовится. В этом нет ничего сложного, и при этом метод очень эффективен и безопасен.

Узи предстательной железы трансабдоминальное подготовка

Одним из самых современных методов выявления заболеваний органов малого таза является трансабдоминальное УЗИ предстательной железы.

Метод УЗИ основан на том, что посылаемые прибором звуковые волны отражаются от различных тканей органов по-разному. Ответный сигнал ловит специальный датчик и выводит изображение рассматриваемого органа на экране. Таким образом врач может судить о состоянии органов и тканей, о наличии заболеваний и новообразований, а так же прослеживать тенденцию к выздоровлению и при необходимости во время скорректировать лечение.

Общая характеристика методов УЗИ

Для исследования простаты могут быть использованы два метода: трансабдоминальное УЗИ простаты и трансректальное. При проведении ТАУЗИ прибор сканирует орган через брюшную полость, а метод ТРУЗИ предполагает введение датчика в прямую кишку.

При данных методах исследования организм не подвергается вредоносным излучениям, в отличие от рентгена. Поэтому применение УЗИ возможно с такой частотой, которая требуется для постановки точного диагноза или лечения.

Подготовка пациента к ТАУЗИ, проведение ТАУЗИ

Внимание, за час перед УЗИ предстательной железы трансабдоминально необходимо выпить не менее литра воды. Перед проведением ТАУЗИ рекомендуют опорожнить кишечник.

Трансабдоминальное УЗИ предстательной железы рекомендуют пройти при следующих симптомах:

Для этой процедуры пациент должен будет лежать на спине, врач специальным прибором будет водить по брюшной полости. При этом будет особое внимание уделено области расположения простаты, а так же мочевого пузыря.

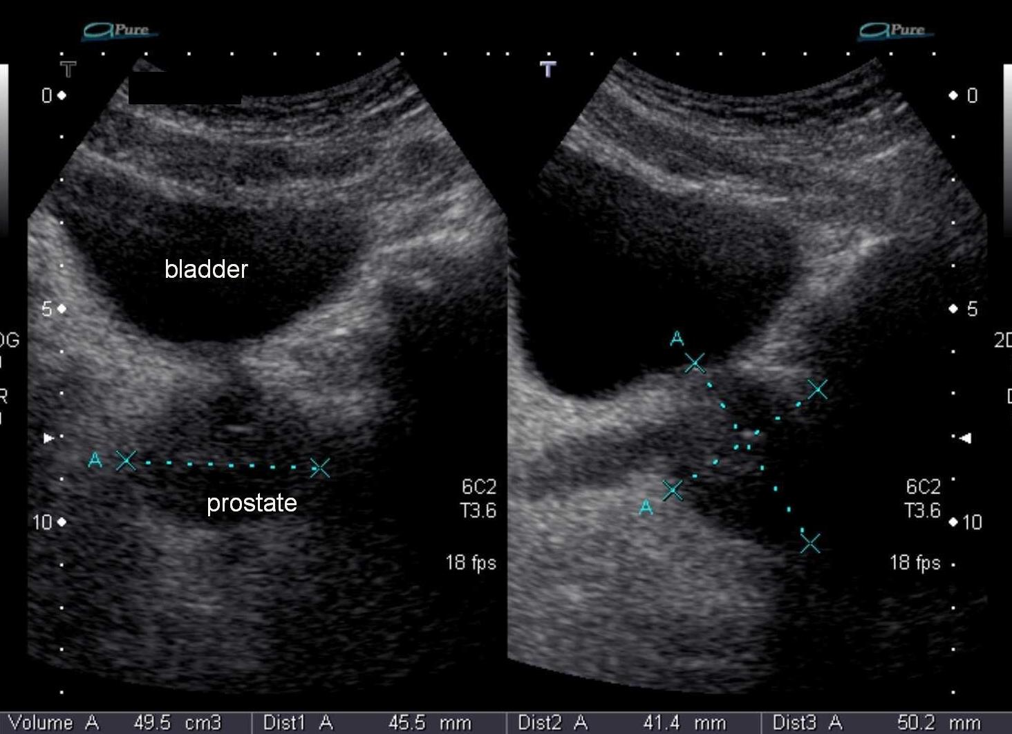
Данный метод позволяет оценить размеры простаты, ее объем и массу. Контуры органа должны быть четкими и ровными, не иметь нарастаний и выпуклостей. Далее пациент должен будет помочиться, чтобы врач смог измерить уровень остаточной мочи, что является важной характеристикой для некоторых заболеваний.

Как правило, трансабдоминальное УЗИ простаты применяется для первичной диагностики и для решения вопроса о методах дальнейшего исследования. Это связано с недостатком ТАУЗИ: на ранних этапах развития заболеваний их сложно обнаружить из-за невысокой чувствительности данного метода. Чувствительность падает у людей с повышенным весом, поскольку между прибором и органом еще находится прослойка жировой ткани.

Метод не имеет противопоказаний.

Однако есть и преимущество перед более точным методом ТРУЗИ: ТАУЗИ не предполагает введения в прямую кишку, тем самым не доставляя дискомфорта во время процедуры. А возможность определения уровня остаточной мочи позволяет диагностировать аденому на ранних ее этапах развития, что значительно упрощает лечение.

Длительность процесса в среднем составляет около 20 минут.

Диагностируемые заболевания

  1. Аденома. При учащенном и затрудненном мочеиспускании, болях внизу живота можно заподозрить аденому простаты. При наличии заболевания узи предстательной железы трансабдоминально покажет увеличенный размер простаты с узлами на ее поверхности, присутствие остаточной мочи.
  2. Рак простаты.Зачастую это заболевание первоначально развивается без симптомов, поэтому людям, находящимся в группе риска (возрастом после 50 лет) рекомендуют проходить трансабдоминальное УЗИ простаты ежегодно. Результаты процедуры будут аналогичны аденоме, из-за чего потребуются дополнительные анализы.
  3. Простатит. Это заболевание, вызываемое воспалительными процессами в простате. На УЗИ будет заметно увеличение в размерах органа.
  4. Киста простаты. С помощью данного метода определяют ее точное месторасположение и размеры.

ТАУЗИ используют в урологии так же для диагностики заболеваний органов мошонки: воспалительные процессы, опухоли, варикоцеле и гидроцеле.

В последние годы заболеваемость раком органов малого таза стремительно растет. Это связано не только с тем, что онкологические патологии встречаются чаще, чем раньше. В первую очередь причиной роста заболеваемости является улучшение диагностических методов. Сейчас практически каждый человек старше 50 лет периодически сдаёт анализы для определения маркеров рака. Кроме того, при подозрении на подобные заболевания выполняется качественная инструментальная диагностика. Одним из методов является трансректальное УЗИ. Его проводят как мужчинам, так и женщинам при подозрении на онкологические и воспалительные процессы в органах малого таза. По сравнению с абдоминальным ультразвуковым исследованием, этот способ считается более достоверным, так как датчик находится ближе к патологическим процессам. Поэтому рассмотреть органы удаётся лучше.

Что такое трансректальное УЗИ?

Данный метод основан на действии ультразвука. Как известно, этот способ визуализации относится к неинвазивным процедурам. Волны ультразвука способны отражаться на тканях человеческого организма, а также проходить сквозь них. Трансректальное УЗИ (ТРУЗИ) не отличается по механизму действия от других разновидностей исследования. Разница заключается лишь в том, что датчик вводится в прямую кишку, а не устанавливается на поверхности живота.

Благодаря тому, что все ткани имеют различную эхо-плотность, врачу удаётся визуализировать органы на экране. При наличии воспалительных изменений или каких-либо уплотнений (образований), УЗИ-картина меняется. То есть плотность органа или его участка отличается от нормы. Как гипо-, так и гиперэхогенность свидетельствуют о наличии патологического процесса, то есть об изменении структуры ткани.

ТРУЗИ выполняется для визуализации предстательной железы, прямой кишки, дугласова пространства, мочевого пузыря. Все эти органы отображаются на мониторе и при других видах ультразвукового исследования (абдоминальное, у женщин – трансвагинальное). Тем не менее при установлении датчика в прямой кишке визуализация лучше, благодаря уменьшению расстояния между прибором и тканями.

Показания к трансректальному УЗИ простаты

Трансректальное УЗИ предстательной железы является достоверным методом диагностики заболеваний простаты. Оно является предпочтительным методом исследования, особенно при подозрении на онкологический процесс. Тем не менее назначение ТРУЗИ не означает, что имеется рак. Поэтому не стоит заранее паниковать и делать поспешных выводов. Стоит знать, что при абдоминальном доступе ультразвуковые волны проходят через множество тканей (кожу, жировую клетчатку, мышцы). Только после этого они попадают на предстательную железу. Поэтому диагностика патологий затрудняется, тем более если пациент имеет избыточный вес. Трансректальное УЗИ простаты позволяет в несколько раз сократить расстояние от датчика до исследуемого органа. Ведь предстательная железа граничит с прямой кишкой. Показаниями к ТРУЗИ являются следующие состояния:

  1. Доброкачественные образования простаты. Это патология довольно распространена у пожилых мужчин. По статистике, аденома предстательной железы встречается практически у каждого второго представителя сильного пола после 50 лет.
  2. Рак простаты. При подозрении на онкологическое заболевание ТРУЗИ является основным методом диагностики. Это объясняется тем, что под контролем ультразвукового исследования выполняется пункция органа. Таким образом, врач оценивает УЗИ-картину и выполняет прицельную биопсию. То есть производит забор материала (тканей) из патологических очагов.
  3. Подготовка к оперативным вмешательствам на простате.
  4. Мужское бесплодие. Часто неспособность к оплодотворению развивается на фоне хронического воспалительного процесса – простатита.

Трансректальное УЗИ предстательной железы проводится, если пациент жалуется на боли в лонной и паховой области, отдающие в задний проход. Также данное исследование выполняют при нарушении мочеиспускания и семяизвержения, импотенции.

Показания к трансректальному УЗИ у женщин

Трансректальное УЗИ у женщин выполняется реже, чем у мужчин. Чаще всего этот метод диагностики проводится при подозрении на онкологические патологии. Кроме того, ТРУЗИ выполняют, если есть вероятность воспалительных процессов в дугласовом пространстве, абсцессов и т. д. Как известно, строение таза у женщин и мужчин несколько отличается. Учитывая то, что обследование матки и придатков проводится чаще, в большинстве случаев рекомендуется трансвагинальное УЗИ. Тем не менее в некоторых случаев визуализация органов через прямую кишку даёт больше информации о заболевании.

Показанием к трансректальному УЗИ у женщин является исследование дугласова пространства. Оно представляет собой карман брюшины, расположенный между прямой кишкой и маткой. Таким образом, ТРУЗИ позволяет оценить состояние параректальной клетчатки и заднего свода детородных органов. Оно проводится при следующих состояниях:

  1. Подозрение на абсцесс дугласова пространства. Часто данный воспалительный процесс является следствием осложнений аппендицита и перитонита.
  2. Онкологические патологии матки, прямой кишки.
  3. Подозрение на метастазы в параректальную клетчатку. Встречается при опухолях желудка.
  4. Воспалительные процессы в прямой кишке.
  5. Доброкачественные новообразования на задней стенке матки.

Как у женщин, так и у мужчин ТРУЗИ применяется, чтобы оценить состояние мочеполовых органов. Тем не менее в большинстве случаев их обследуют с помощью трансабдоминального доступа.

Диагностика заболеваний мочевого пузыря методом ТРУЗИ

Помимо перечисленных выше органов, в полости малого таза находится и мочевой пузырь. Он расположен спереди от прямой кишки. У женщин доступ к нему перекрывает матка. Поэтому трансректальное УЗИ мочевого пузыря чаще проводится мужчинам. Оно проводится при подозрении на опухолевые, доброкачественные образования и воспалительные инфильтраты. У женщин ТРУЗИ мочевого пузыря выполняется, если имеется спаечный процесс в малом тазу или выраженное ожирение. Также подобный метод используют, чтобы не повредить девственную плеву, вводя датчик во влагалище.

Противопоказания к трансректальному ультразвуковому исследованию

В некоторых случаях трансректальное УЗИ проводить не рекомендуется. Абсолютным противопоказанием к этому методу диагностики является атрезия ануса. Это врожденный порок развития, при котором отсутствует заднепроходное отверстие. Подобную аномалию развития диагностируют в первые дни жизни. Другие противопоказания являются относительными. Это означает, что в случае острой необходимости исследование проводится. Тем не менее его лучше заменить другими диагностическими методами. К относительным противопоказаниям относятся:

  1. Свежие трещины прямой кишки. При этом заболевании любые манипуляции, проводимые трансректально, запрещаются. Тем не менее после лечения трещины (купирования острого состояния), выполнение ТРУЗИ возможно.
  2. Наличие воспалённых геморроидальных узлов снаружи и внутри прямой кишки. В этом случае трансректальное введение датчика УЗИ не показано из-за риска травматизации сосудов.
  3. Хирургические манипуляции на прямой кишке, проводимые незадолго до назначения исследования. К ним относят любые оперативные вмешательства: вскрытие и дренирование жировой клетчатки, свищевых ходов и т. д.

Трансректальное УЗИ: подготовка к исследованию

Как и любое исследование, выполняемое трансректально, ТРУЗИ требует подготовки. Чтобы добиться нормальной визуализации органов малого таза, прямую кишку необходимо предварительно очистить. С этой целью за несколько часов до процедуры следует принять слабительное средство или сделать клизму. Если показанием для исследования служат заболевания прямой кишки, необходимо исключить из рациона острую пищу, газированные и алкогольные напитки. Перед выполнением ТРУЗИ предстательной железы предварительная диета не обязательна. Если объектом исследования служит мочевой пузырь, его необходимо наполнить. С этой целью перед диагностической процедурой пациент должен выпить 1-2 литра воды.

Техника выполнения исследования

Трансректальное ультразвуковое исследование проводится в различных положениях. Чтобы хорошо рассмотреть предстательную железу, пациенту предлагается лечь на левый бок. Ноги его при этом должны быть согнуты в коленных суставах и прижаты к животу. Трансректальное УЗИ малого таза у женщин чаще всего выполняется на проктологическом кресле (или гинекологическом). Таким же образом проводится исследование мочевого пузыря. В некоторых случаях больному предлагают принять коленно-локтевое положение. Чаще – при подозрении на патологии прямой кишки.

Перед тем как ввести ультразвуковой датчик в анальный канал, его смазывают вазелином или специальным лубрикантом. После этого прибор вводят в просвет кишки на глубину 6 см. Проводится осмотр анального канала, сфинктеров, стенок органа. Далее исследуется простата и семенные пузырьки. У женщин после осмотра прямой кишки визуализируется задний свод матки и дугласово пространство, затем – мочевой пузырь. Все результаты фиксируются на экране монитора. После этого аппарат осторожно выводят из прямой кишки.

Преимущества трансректального УЗИ

К преимуществам ТРУЗИ следует отнести:

  1. Отсутствие лучевой нагрузки.
  2. Безболезненность.
  3. Информативность.
  4. Улучшение визуализации органов малого таза. Высокая информативность УЗИ, выполненного через прямую кишку, достигается за счет близкого расположения простаты и отсутствия толстого слоя жировой клетчатки, которая имеется в брюшной стенке.

Результаты трансректального УЗИ

Благодаря методу ТРУЗИ имеется возможность диагностировать новообразования органов малого таза, а также метастазы в параректальную клетчатку. Кроме того, с помощью этого метода исследования оценивают размеры, толщину и расположение простаты, мочевого пузыря. Воспалительные процессы и образования отображаются на мониторе как гипо- или гиперэхогенные участки ткани. Заключение по УЗИ-картине выполняет врач функциональной диагностики, уролог, гинеколог.

Трансабдоминальное УЗИ предстательной железы (ТАУЗИ) – диагностическое мероприятие, которое проводится для выявления нарушений в области простаты. Процедура широко используется для выявления структуры размеров и контура внутренних репродуктивных органов. Сканирование осуществляется через брюшную полость. Для увеличения информативности пациенту следует предварительно выпить 1,5 л воды, чтобы наполнить мочевой пузырь.

Наши читатели рекомендуют

Наш постоянный читатель избавился от ПРОСТАТИТА действенным методом. Он проверил его на себе — результат 100% — полное избавление от простатита. Это натуральное средство на основе меда. Мы проверили метод и решили посоветовать его Вам. Результат быстрый. ДЕЙСТВЕННЫЙ МЕТОД.

Трансректальный метод ультразвукового исследования простаты является самым информативным. Следует отметить, что он имеет ряд противопоказаний и ограничений. Если пациенту по той или иной причине нельзя делать трансректальное УЗИ, то назначается трансабдоминальное обследование.

Методика основана на отражении посылаемых прибором звуковых волн от различных тканей организма. Ответный сигнал получает специальный датчик, который выводит изображение исследуемых внутренних органов на экран. При помощи данной процедуры удается выявить патологические процессы, новообразования и проследить тенденцию к выздоровлению.

Показания к исследованию

Назначается УЗИ трансабдоминального типа для исследования простаты при наличии следующих показаний:

  1. Повышенный уровень ПСА.
  2. Болезненное и частое мочеиспускание.
  3. Снижение потенции или ускоренное семяизвержение.
  4. Наличие уплотнений в области предстательной железы.
  5. Отклонения в анализах мочи, крови или семенной жидкости.

ТАУЗИ широко используется для проведения предварительного исследования с целью определения дальнейших методик обследования. Этот способ отличается тем, что позволяет выявлять патологические нарушения на ранних этапах прогрессирования. Чувствительность ультразвукового исследования снижается в том случае, если у пациента имеется излишняя жировая прослойка в области живота.

Методика не имеет противопоказаний, так как датчик при проведении процедуры не вводится в прямую кишку. Пациент во время обследования не испытывает дискомфорта. Длительность процедуры не превышает 20 минут.

Диагностируемые заболевания

Проведение трансабдоминального УЗИ простаты дает возможность выявлять следующие патологии в организме:

  • Аденома. При учащении позывов к мочеиспусканию и появлении болевых ощущений в нижней части живота УЗИ назначается для подтверждения аденомы. Если речь идет о данном патологическом процессе, то ультразвуковая диагностика зафиксирует увеличение размера простаты и наличие узлов на поверхности внутреннего органа. Признаком аденомы также является наличие остаточной мочи.
  • Злокачественное образование. При раке первичная симптоматика отсутствует. В группу риска входят лица в возрасте 50 лет и старше. Результаты будут совпадать с аденомой простаты. Для дифференциальной диагностики назначаются дополнительные исследования (анализ крови, биопсия).
  • Простатит. Характеризуется развитием воспалительного процесса в области предстательной железы. При проведении УЗИ будет выявлено увеличение размеров внутреннего органа.
  • Кистозные образования. При помощи трансабдоминального ультразвукового исследования удается выявить размеры и область локализации образований.

Данный метод позволяет зафиксировать сопутствующие патологические процессы: воспаление в области мошонки, варикоцеле, гидроцеле и опухоли.

Особенности подготовки

Такое исследование, как трансабдоминальное УЗИ требует предварительной подготовки:

  1. Перед диагностикой пациент должен наполнить мочевой пузырь любой жидкостью без газов (не менее 1,5 л). В противном случае клиническая картина патологического процесса будет искажена, и результаты получатся неточными. После приема жидкости следует воздержаться от посещения туалета на протяжении 10-15 минут. При первых же позывах к мочеиспусканию специалист приступит к диагностике. После опорожнения мочевого пузыря может понадобиться проведение повторного исследования.
  2. Важно следить за тем, чтобы позывы к мочеиспусканию не были очень сильными и не доставляли дискомфорта. Иначе процедура не даст должного результата и исследование придется повторить.
  3. Перед диагностикой рекомендуется очистить кишечник, проведя накануне в домашних условиях очистительную клизму. Острая необходимость при проведении ТАУЗИ в очищении кишечника отсутствует.

За 10 дней до диагностики рекомендуется отказаться от приема аспирина и препаратов, которые относятся к противовоспалительной нестероидной группе.

Ультразвуковая диагностикатрансабдоминально проводится следующим образом:

  1. Пациент оголяет торс и ложится на кушетку, на спину, предварительно выпив достаточное количество жидкости для наполнения мочевого пузыря.
  2. Врач наносит на кожный покров гель, который увеличивает качество получаемого изображения, создавая необходимую переходную среду.
  3. Датчик располагается под углом в 30 градусов в той области, где находится мочевой пузырь и простата. Диагностика проводится в поперечной и продольной плоскости.

Если во время процедуры обнаруживается уплотнение в области простаты, то пациент направляется на биопсию с целью изъятия небольшого количества материала для изучения клеточных структур. Биопсию проводят через задний проход, используя трансректальный ультразвуковой сканер. Забор образца клеток может осуществляться через кожный покров позади яичек.

Расшифровка результатов

Результат проведенного исследования выдается пациенту на руки уже через 10-15 минут после окончания процедуры. Специалист определяет наличие патологических изменений и ставит заключение. Чаще всего к выписке прикрепляется фотография с изображением нужного органа, что дает возможность врачам делать выводы по поводу эффективности назначенного лечения при повторном обследовании.

Расшифровка полученных результатов дает возможность выявить:

  • размеры и форму внутренних органов;
  • эхогенные и структурные изменения;
  • ровность и четкость контуров.

В заключении фиксируется методика проведения УЗИ и отмечается соответствие функций и размеров исследуемых внутренних органов возрастным нормам. В обязательном порядке специалист отмечает наличие образований и свободной жидкости. При их обнаружении в заключении дается полная характеристика патологических изменений.

Расшифровка ТАУЗИ при различных патологических нарушениях не представляет особых трудностей:

  1. Главным признаком аденомы является изменение размера и наличие включений. Образования отличаются высокойэхогенностью и имеют размеры не менее 7 мм. На поверхности данных узлов определяются кальцинаты или кисты. Для диффузной формы аденомы характерна неоднородная выраженная структура и отсутствие узловых образований.
  2. При хроническом простатите отмечается высокий уровень эхогенности, при воспалительном процессе – пониженный. Контуры при этом становятся нечеткими. Появляются затруднения при отличии фиброзно-мышечных структур от железистых. Присутствуют гипо- и гиперэхогенные участки.
  3. При абсцессе и кистах определяются гипоэхогенные или анэхогенные участки.
  4. При наличии камней в предстательной железе отмечаются небольшие гиперэхогенные участки, имеющие различный размер. Они могут присутствовать как единично, так и в виде скоплений.
  5. При раке простаты отмечается нечеткость контуров железы. Специфическая картина происходящих изменений в данном случае отсутствует. Появляются узловые образования, которые могут различаться по эхогенности. При этом имеет место увеличение региональных лимфатических узлов.

Нормальные показатели

С возрастом в мужском организме происходит ряд изменений. К 20-25 годам простата достигает постоянного размера в том случае, если у мужчины со здоровьем все в порядке. При наличии патологических изменений рост предстательной железы останавливается. Если речь идет о болезни, то происходит изменение структуры и функционирования внутреннего органа. Не исключено развитие злокачественного новообразования. Именно поэтому при появлении первичной симптоматики происходящих в организме нарушений следует своевременно обратиться за помощью к врачу.

Нормы предстательной железы:

  • размеры – длина (от 24 до 40 мм), толщина (от 15 до 25 мм), ширина (от 30 до 45 мм);
  • эхо-плотность однородная, без очаговых участков понижения или повышения сигнала;
  • семенные пузырьки (диаметр – 1 см) — визуализируются в качестве удлиненных анэхогенных образований;
  • форма – треугольная или полукруглая;
  • границы – четкие и явные.

Объем простаты варьируется в зависимости от возраста пациента. Нормальные показатели высчитываются по формуле: V= 0,13 х возраст + 16,4.

Объем мочи после опорожнения мочевого пузыря должен быть не более 15 мл. В противном случае речь идет о патологии. Если специалист определяет увеличение размеров простаты, то возможен простатит или доброкачественная опухоль. Наличие явных комков ткани указывают на злокачественные образования. Рак может быть определен в качестве нерегулярных структур в области железы, искажающих нормальные эхо-сигналы.

Основание железы должно быть плотно спаяно с шейкой мочевого пузыря, а верхушечная часть обращена к диафрагме. Задняя поверхность простаты в норме вогнута и образует тем самым междолевую борозду.

Заключение

Заболевания, которые поражают предстательную железу, чаще всего обнаруживаются при проведении ультразвукового исследования. Результаты трансабдоминальной методики достоверны почти на 80%. Именно поэтому УЗИ назначается в качестве самого первого метода диагностики при подозрении на развитие патологического процесса в области простаты.

Ультразвуковая диагностика – безопасный метод исследования, не имеющий противопоказаний. Данная процедура проводится столько раз, сколько нужно с целью определения эффективности лечения. Мужчинам преклонного возраста рекомендуется делать трансабдоминальное УЗИ для профилактики 1-2 раза в год.

Кто сказал, что вылечить простатит невозможно?

У Вас ПРОСТАТИТ? Уже много средств перепробовано и ничего не помогало? Эти симптомы знакомы вам не понаслышке:

  • постоянные боли внизу живота, мошонке;
  • затрудненное мочеиспускание;
  • сексуальная дисфункция.

Единственный путь операция? Подождите, и не действуйте радикальными методами. Простатит вылечить ВОЗМОЖНО! Перейдите по ссылке и узнайте, как Специалист рекомендует лечить простатит.

Источники: https://healthprostata.ru/transabdominalnoe-uzi-predstatelnoj-zhelezy, https://fb.ru/article/283408/transrektalnoe-uzi-predstatelnoy-jelezyi-opisanie-podgotovka-i-rekomendatsii, https://mpsdoc.com/predstatelnaya_zheleza/transabdominalnoe-uzi-predstatelnoj-zhelezy/


Смотрите также