
МРТ или рентген: что лучше, чем отличаются, вредность
Прежде чем пройти обследование, рекомендуется выяснить: МРТ или рентген — что лучше? Отвечая на этот вопрос, специалисты учитывают основное предназначение устройств. МРТ и рентген используют для диагностики определенных патологий.
Специфика оборудования
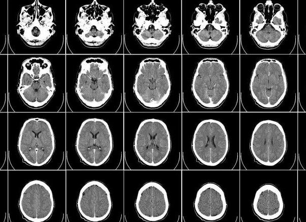
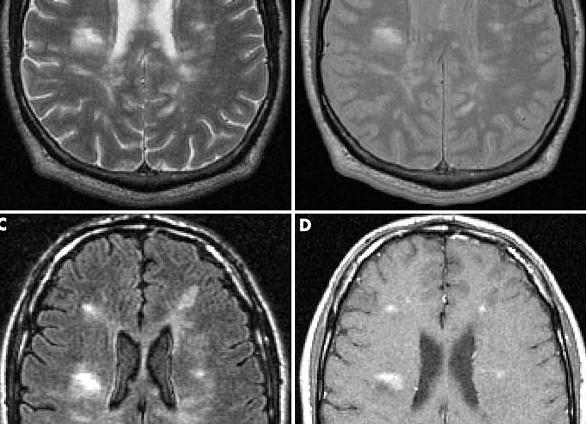
С помощью магнитно-резонансной томографии выявляют нарушения в мягких тканях. Рентген-аппарат определяет травмы и опасные внутренние кровотечения. Первое устройство отличается от второго возможностью представления изображения в трехмерном виде. Чтобы получить изображение в разных плоскостях с помощью рентгена, потребуется многократное рентгеновское облучение. В основе рентгена находятся электромагнитные высокочастотные волны. Они эффективны для диагностики пневмонии, отека и рака легких. Томография работает за счет магнитного поля, с помощью которого специалисты отличают нормальную ткань от патологической. Разница между рассматриваемыми устройствами заключается в том, что МРТ не применяет ионизирующее излучение. Подробнее ...