Эхопризнаки гиперплазии эндометрия в менопаузе

Лечение гиперплазии эндометрия в менопаузе и при климаксе
Климактерический период отмечается постепенным снижением уровня половых гормонов. Проходящие в женском организме гормональные изменения, приводят к снижению иммунитета.
На таком фоне могут напомнить о себе давние заболевания или развиться новые опасные для здоровья зрелой дамы болезни. Гиперплазия эндометрия матки в менопаузе относится именно к таким недугам. В этой публикации мы рассмотрим причины, симптомы и лечение этой болезни.
Что же это за недуг?
Гиперплазия эндометрия при климаксе представляет собой аномальное разрастание слизистой оболочки матки, а также изменение ее желез. Такое усиленное размножение клеток может привести к изменению их структуры. Гиперплазия в постменопаузе с большой вероятностью приводит к развитию рака.
Эндометрий – это слизистая оболочка матки, которая состоит из двух слоёв: наружного (функционального) и внутреннего (базального). Во время репродуктивного периода, когда не происходит зачатие, то функциональный эпителий отслаивается и выводится наружу с менструальным кровотечением. Из развивающихся базальных клеток появляется новый функциональный слой эндометрия.
Эти процессы в женском организме происходят под воздействием разных половых гормонов. В начале менструального цикла, когда функциональный слой растет, то преобладают гормоны эстрогены.
Доминирование гормона прогестерона приводит к прекращению разрастания эпителия. Поэтому, специалисты сошлись во мнении, гиперплазию эндометрия провоцирует повышенный уровень эстрогенов при пониженном уровне прогестерона.
В период менопаузы менструации прекращаются и начинается атрофия эндометрия, который выполняет уже только защитные функции. Причем уменьшается и объём и толщина слизистой оболочки. Если перед началом месячных ее толщина была примерно 18 мм, то с наступлением менопаузы она уменьшается до 5 мм. Такие физиологические изменения, происходящие в женском организме, считаются нормой.
В то время, как обратные процессы – увеличение толщины слизистой, приводят к гиперплазии при климаксе. По многим причинам клетки эндометрия начинают прорастать в мышечный слой матки и толщина слизистой оболочки увеличивается.
Таким образом, гиперплазия эндометрия в менопаузе или аденомиоз – это аномальное распространение клеток эндометрия вглубь тканей матки.
Какие виды гиперплазии бывают
Виды гиперплазии эндометрия в менопаузе зависят от того, какие клетки слизистой преобладают в аномальном образовании.
Специалисты выделяют следующие виды заболевания:
- Железистая – слизистая разрастается в сторону тканей матки за счет увеличения размера расположенных в ней желез. При этом их форма нарушается.
- Кистозная – из-за того, что клетки слизистой оболочки перекрывают железы, те начинают раздуваться и образовывают кисты. Вероятность перерождения этого вида болезни в онкологию очень большая.
- Очаговая (полиповидная) – из клеток желез разрастаются полипы (наросты на тонкой ножке), вокруг которых появляются отдельные участки (очаги) разрастания эндометрия.
- Атипическая (аденоматозная) – из-за быстрого изменения формы и размеров клеток слизистой оболочки эндометрий очень активно разрастается в ткани других органов. Эта форма болезни очень опасна, поскольку, за короткий период времени переходит в рак. В период менопаузы и постменопаузы встречается довольно редко, так как гормональная перестройка приводит к замедлению всех процессов, происходящих в организме.
- Базальная – очень редкий вид заболевания, при котором вглубь тканей матки прорастают клетки базального слоя эндометрия.
У женщины может образоваться комбинированный вид заболевания. Например, железисто-кистозная гиперплазия. В этом случае кроме разрастаний слизистой, которые состоят из железистой ткани, образуются кисты и узелки.
Какие симптомы болезни на разных этапах климакса
Гиперпластический процесс эндометрия на всех этапах климактерического периода проходит по-разному. Поэтому, симптомы болезни на каждой фазе климакса разные. Остановимся на этом вопросе более подробно.
Климактерический период имеет несколько важных этапов (фаз):
- Пременопауза – период от первых проявлений климакса до последних месячных. Гиперплазия эндометрия в пременопаузе имеет следующие признаки: нарушения менструального цикла и появление кровянистых выделений между месячными. Насторожить даму должно появление болей во время менструации и увеличение количества дней, во время которых проходят месячные, а также увеличение количества менструальных выделений.
-
Менопауза – это последняя самостоятельная менструация. Поскольку, определить ее можно только ретроспективно, то этот период занимает 12 месяцев после последних месячных на протяжении, которых не было менструальных выделений. Гиперплазия на этом этапе может быть без выделений, а может проявиться выделениями через 0,5-1 год после менструации. Поэтому, если кровянистые выделения начались спустя полгода и больше от последних месячных, то даме следует записаться на приём к гинекологу.
- Постменопауза – следующий этап, на котором отсутствуют месячные и полностью прекращена гормональная функция яичников. Гиперплазия эндометрия в постменопаузе имеет целый букет симптомов. Самое яркое проявление болезни – это внезапные кровотечения. Они могут быть интенсивными или мажущими. Второй яркий симптом – боли внизу живота, тянущего характера. Кроме того, выделяют ещё такие характерные признаки развития болезни: повышенная раздражительность, частые головные боли, быстрая утомляемость. Женщину мучают приступы сильной жажды из-за резко подскочившего в крови уровня сахара. Дама начинает набирать вес.
Иногда, гиперплазия эндометрия в менопаузе и пременопаузе протекает практически бессимптомно и может быть выявлена только во время гинекологического осмотра. Как видим, болезнь во время постменопаузы имеет симптомы аналогичные климактерическим проявлениям. Поэтому, многие дамы принимают симптоматику развивающегося заболевания за проявления климакса.
Вышеизложенные факты еще раз подтверждают, что женщине очень важно для сохранения своего здоровья регулярно, не реже одного раза в год, посещать гинеколога.
Некоторые специалисты советуют с приходом климакса сделать профилактические осмотры более частыми – раз в полгода. Так, дама сможет вовремя диагностировать появление опасного заболевания и начать своевременно его лечить.
Причины развития заболевания
Поскольку, гиперплазия эндометрия при климаксе очень опасное заболевание, то всем женщинам будет полезно знать, какие причины его развития и кто находится в группе риска.
Выделяют такие основные причины возникновения болезни:
- Гормональный дисбаланс, при котором количество эстрогенов превышает норму, а прогестерона, наоборот, недостает. К этому приводит бесконтрольный приём гормональных лекарств, предназначенных для уменьшения интенсивности проявлений климактерических симптомов. Ведь, в состав большинства таких препаратов входит только эстроген. К таким же последствиям может привести употребление противозачаточных таблеток. Предпочтение следует отдавать комплексным гормональным средствам, которые содержат и эстрогены, и прогестерон.
- Если смотреть через микроскоп.
Нарушения обмена веществ. С возрастом сбой в обмене веществ может спровоцировать развитие сахарного диабета, патологии печени, проблем с сосудами. Все эти изменения в работе органов и систем женского организма приводят к утолщению эндометрия во время менопаузы. Кроме того, у дамы с нарушенным обменом накапливается лишний вес. Жировые ткани имеют способность производить эстрогены. Поэтому, чем выше у дамы показатель избыточного веса, тем больше баланс гормонов склоняется в сторону эстрогенов.
- Проблемы в работе эндокринной системы. Щитовидная и поджелудочная железы, а также надпочечники вырабатывают гормоны, которые влияют на весь организм дамы. Сбои в их работе могут привести к избытку эстрогенов.
- Частые вторжения в матку. В результате проводимых во время репродуктивного возраста абортов и выскабливаний, рецепторы эндометрия могут почти не реагировать на воздействие прогестерона. С учетом того, что во время менопаузы уровень прогестерона понижается, то клетки под воздействием эстрогенов начинают усиленно размножаться.
По мнению специалистов, одной из весомых причин развития болезни является генетическая предрасположенность. Проводимые исследования подтвердили, что у большинства женщин, болеющих на гиперплазию эндометрия, предки по женской линии имели такой же диагноз. В группу риска попадают дамы, имеющие миомы и мастопатии.
Какое применяют лечение
Гиперплазия эндометрия в менопаузе требует лечения методами традиционной медицины. Поскольку, болезнь может переродиться в онкологическое заболевание, то женщинам не следует пытаться лечить её только народными средствами. Их можно приметь, как дополнение к основному лечению, но только после консультации со своим лечащим доктором.
Популярная ведущая телепередач о здоровье Елена Малышева в программе посвященной лечению гиперплазии эндометрия акцентировала внимание том, что при подозрении на болезнь необходимо сразу обратиться к доктору и пройти комплексное обследование.
Оптимальный метод лечения выбирает только врач в зависимости от стадии болезни и общего состояния здоровья пациентки. Лечение народными рецептами, только займет драгоценное время и приведет к чрезмерному разрастанию эндометрия.
Медикаментозный метод
Этот метод предусматривает лечение гормональными препаратами, которые содержат прогестерон. Приём лекарственных средств может длиться около полугода.
Во время курса лечения женщины постоянно проходят УЗИ с целью определения толщины эндометрия. Лечащий врач по результатам обследования корректирует дозу лекарств.
Заниматься самолечением категорически нельзя. Когда дама самостоятельно увеличивает или уменьшает дозировку препарата, то она может спровоцировать рецидив болезни.
Для облегчения состояния дамы врач может назначить дополнительно фитотерапию. После завершения лечения женщине нужно каждые 3-6 месяцев проходить УЗИ для того чтобы контролировать состояние эндометрия.
Оперативный метод
Если у дамы после приема курса препаратов случается рецидив болезни, то применяют оперативный метод лечения гиперплазии эндометрия. В постменопаузе лечение заболевания проводят обоими методами.
Возможны следующие варианты хирургических операций:
- Кюретаж (выскабливание) – назначают пациенткам, у которых толщина эндометрия превышает 10 мм. Операция проводится под местной анестезией и длится примерно полчаса. Фрагменты удаленного эндометрия обязательно отправляются на гистологическое исследование, с целью выявления раковых клеток. При положительном результате принимается решение удалять матку.
- Прижигание – дает максимальный эффект в том случае, когда есть отдельные очаги заболевания. Прижигание выполняю несколькими способами: холодом (криодеструкция), электрическим током (диатермокоагуляция) или лучом лазера (лазерная деструкция).
- Гистерэктомия – предусматривает ампутацию матки. Если болезнью поражены и яичники, то их удаляют вместе с маткой. Этот метод применяют в том случае, когда ткани матки поражены очень глубоко или выявлено аденоматозную гиперплазию эндометрия, которая может привести к развитию рака.
Хирургическое лечение гиперплазии эндометрия в постменопаузе применяют в том случае, когда у женщины обнаружены полипы или атипичные клетки, которые с высокой вероятностью могут переродиться в раковые.
Этот недуг может перерасти в рак.
Итог
Гиперплазия эндометрия во время менопаузы угрожает дамам более чем раньше. Это заболевание может спровоцировать развитие онкологического новообразования. На ранних этапах болезнь можно вылечить медикаментозно, не прибегая к оперативному лечению.
Поэтому, очень важно не менее чем раз в год проходить гинекологическое обследование и УЗИ, которые помогут выявить болезнь на ранних этапах. Кроме того, следует по возможности исключить все факторы риска развития гиперплазии. Крепкого вам здоровья!
А что знаете вы о таком серьёзном заболевании?
Гиперплазия эндометрия в менопаузе
Одной из распространенных патологий, встречающихся у женщин среднего возраста, является гиперплазия эндометрия в менопаузе.
Данное заболевание представляет собой разрастание внутреннего слоя матки (эндометрия) патологического характера. Проблема появляется на фоне переизбытка гормона эстрогена при устойчивом дефиците прогестерона в организме женщины. Прогестерон подавляет секрецию эстрогена и препятствует спонтанный рост эндометрия. Недостаток этого гормона и приводит к развитию гиперплазии эндометрия.
Аденомиоз также является одним из типов эндометриоза, в случае этого вида эндометрий разрастается в слое полости матки.
Факторы, провоцирующие развитие патологии
Возникновение этих патологий обусловлено определенными факторами. Основные из них:
- Проведение выскабливания, аборты;
- Кесарево сечение;
- Операция удаления узлов миомы, в частности, когда был разрез органа;
- Нестандартные роды;
- Воспалительные очаги в матке;
- Иные хирургические вмешательства, связанные с маткой.
Патология может быть регистрирована у пациенток, не перенесших указанные операции. У таких пациенток стимулом развития заболевания может стать затрудненный выход менструаций, что вызывает повышенное давление в маточной полости, вследствие чего эндометрий травмируется.
Признаки
Аденомиоз и гиперплазия у некоторых женщин могут протекать бессимптомно. Однако, у основной группы пациенток фиксируются специфические признаки.
Важным симптомом являются маточные кровотечения
У большинства женщин фиксируются задержки менструации на 1 — 3 месяца, которым чередует длительные кровянистые выделения разной интенсивности. Редко, но встречаются случаи, когда кровотечения цикличные. Менструация имеет обильное и длительное течение, сопровождается сильными болями. В основном у больной отмечаю неустановленный цикл на протяжении долгого времени, на фоне которого провоцируются кровотечения. У незначительного процента женщин кровотечения наблюдаются при полном отсутствии менструации. Присутствует метаболизм.
Патологические выделения могут сопровождаться:
- Ожирением;
- Гиперинсулинемией;
- Выраженным проявлением черт мужского пола, к примеру оволосение, огрубение голоса.
Специфической симптоматикой для данного недуга являются:
- Вторичное бесплодие. Не удается зачать ребенка после года нормальной половой жизни ;
- Невынашивание плода, ранние выкидыши;
- Хронические недуги половой системы;
- Мастопатии и миомы;
- Болезненные ощущения в нижней части живота (в основном при полипах);
- Кровянистые выделения при половом контакте.
Такие патологические проявления возникают вследствие того, что эндометрий, внедренный в мышечный слой, носит изменения в момент менструации, реагируя на перемены, протекающие в гормональном балансе, участвуя в цикле. Именно по этой причине в зонах аденомиоза наблюдаются такие процессы.
Причины развития патологии
Основным стимулом для проявления заболевания является абсолютное или частичное повышение степени эстрогена — гиперэстрогения, которая формируется по определенным причинам. К ним относятся:
- Возрастные перестройки регуляции половых гормонов — количественные изменения эстрогенов перед климаксом;
- Гормональный дисбаланс — избыток эстрогенов и нехватка прогестерона;
- Гормонопродуцирующие новообразования яичников;
- Нарушение деятельности коры надпочечников;
- Неконтролируемое использование гормональных препаратов;
- Аборты, осложнения после них,выскабливания;
- Генетическая предрасположенность;
- Воспалительные болезни половых органов.
Причиной появления болезни могут стать:
- гипертония;
- недуги молочных желез;
- прибавление веса;
- сахарный диабет;
- проблемы с щитовидной железой.
Каким бывает аденомиоз ?
При аденомиозе внутренний слой матки проникает в глубину мышечных тканей матки. Такая патология провоцирует воспалительный процесс, вследствие которого размеры матки увеличиваются.
Различают 3 вида аденомиоза:
- очаговый;
- узловой;
- диффузный.
Очаговый аденомиоз эндометрия выражается в форме отдельных областей, процесс протекает бессимптомно. Причиной такого вида аденомиоза могут стать:
- выскабливание;
- аборты;
- механические чистки.
Данный вид патологии в период беременности может вызвать серьезные осложнения.
Узловая форма аденомиоза протекает образованием узелков, напоминающих миому по форме и по симптоматике. Образования имеют плотное строение, внутри этих образований жидкость коричневатого цвета или кровь. Встречаются единовременные проявления узлового аденомиоза и миомы.
Диффузный вид аденомиоза характеризуется масштабными зонами поражения, которые в равной степени охватывают мышечный слой матки. Формируются слепые карманы с разными глубинами, иногда свищи. К такому виду патологии более расположены пациентки, у которых проводились операции матки, когда у больной были:
- воспалительные заболевания;
- послеродовые осложнения.
У одной пациентки могут диагностироваться сразу все три вида патологии.
Виды
По характеру трансформации тканевых участков эндометрия выделяют следующие виды патологии:
- Железистая гиперплазия. Формируется вследствие репродукции клеток мышечной и железистой ткани эндометрия. Данная форма носит доброкачественный характер. В итоге аномальных процессов слизистая эндометрия утолщается, железы, расположенные на яйцах, обретают перекошенный вид и пронзают его. Болезнь имеет острую фазу, возникающую в итоге повышения процента эстрогена, а также хроническое течение, когда регистрируется незначительное изменение степени гормона эстрогена в значительно продолжительный интервал времени.
- Железисто-кистозная дисплазия. При такой форме заболевания наблюдается забивание желез, которые наполняются слизью, разбухают, что становится оптимальным фоном для появления кист. Атипическая гиперплазия (аденоматоз). Параллельно с процессом аномальных размножений клеток начинаются трансформации строения ядра. Такая патология характерна для злокачественных образований и при обнаружении такой формы болезни нужно применять незамедлительные меры, так как имеет место серьезный повод для беспокойства. В сложных случаях данной формы патологии вероятность рака возрастает до 60%.
По масштабности патологических изменений внутренней поверхности матки выделяют:
- Диффузный вид поражения всей поверхности эндометрия, в условиях, когда его слой утолщается равномерным образом.
- Очаговую форму. Поражения касаются частичных зон поверхности. Полипы эндометрия являются примером данной формы недуга. Пораженные участки имеют вид разросшихся образований, на основание соединительной ткани.
Сложность трансформаций, протекающих в структуре тканевых масс эндометрия, имеет прямую связь с увеличением вероятности перехода в злокачественную форму.
Гиперплазия без выделений
Симптомами гиперплазии эндометрия при климаксе являются кровянистые выделения обильного или скудного характера, фиксированные после отсутствия менструационного цикла, или, наоборот, дважды в месяц. Такие выделения сопровождаются болями внизу живота.
Регистрируются редкие случаи гиперплазии эндометрия без выделений. Такая патология выражается болевой симптоматикой, бессонницей, ожирением, снижением работоспособности, аномальной жаждой, раздражительностью.
Причины для беспокойства
Для постановки диагноза применяют аппаратные способы, в частности УЗИ. Каждой женщине следует проходить обследования даже при отсутствии проблем. Нормальная толщина эндометрии в постменопаузный период — около 5 мм, не больше. Во время менопаузы он атрофируется, так как в слизистой уже не происходят повторяющиеся трансформации. Допустимо и сращение некоторых зон матки, появление в полости жидкости вследствие частичного сужения протока маточной шейки.
При обследовании строения устанавливают трансформации, и если имеются изменения, несовместимые с возрастными симптомами (толщина достигает до 7 мм), то это является сигналом тревоги.
Выскабливание
Чистку проводят в случае, когда толщина слизистой вследствие гиперплазии эндометрия утолщается до 15 мм и больше.
Выскабливание производят:
- Чтобы полученный после выскабливания материал исследовать и выяснить конкретное гинекологическое заболевание;
- Для выявления атипичных клеток на ранней фазе, если они имеются в слизистой;
- С целью прекращения маточного кровотечения.
Диагностическое выскабливание полости матки при гиперплазии эндометрия проводят во всех случаях болезни. Манипуляцию применяют также как лечебную процедуру, когда удаляют аномально увеличенный слой тканей слизистой, вызвавших тяжелые кровотечения и сильные боли.
Выскабливание проводят двумя способами:
- Кюретажом. Используют одноименный инструмент.
- Гистероскопией. Метод предпочтительнее, так как уделяет возможность избегать врачебных ошибок.
После процедуры назначают антибиотики и кровоостанавливающие средства для предупреждения осложнений.
Лечение аденомиоза в период менопаузы
Лечение гиперплазии эндометрия во время климакса начинают с определения типа и масштаба распространения патологии, длительности течения заболевания. Имеются возможности устранения патологии, способ должен быть выбран врачом. Нельзя запустить заболевание, потому что определенные формы аденомиоза могут трансформироваться в злокачественную форму.
Если специалист принимает решение вылечить гиперплазию эндометрия без выскабливания, принцип лечения будет основан на восстановление баланса эстрогенов и гестагенов в организме. При таком случае используют оральные препараты с гормональным составом.
Лекарственная терапия
Медикаментозный курс лечения (без хирургии) назначается, если обследование отрицает наличие фиброзных полипов. Используются гормональные препараты с целью уменьшения воздействия эстрогенов на слизистую матки.
Применяются:
- Мегестрола ацетат;
- Медроксипрогестерон;
- Гидроксипрогестерона капроат;
- Норэтистерон;
- Диферелин.
Гиперплазия в постменопаузный период лечится с использованием:
- Фосфоглива, Эссенциале для стабилизации работы печени;
- Гепарина, Гепатромбина для препятствования свертыванию крови.
- Гестагены и агонисты гонадотропин – рилизинг гормонов, как и антигонадотропины. Их используют до полугода, периодически проходя УЗИ.
Бывают случаи, когда медикаменты применяют перед хирургическим вмешательством, чтобы сузить очаги аденомиоза, с целью снижения травм при операции.
Когда принимают решение об операции?
Хирургическое вмешательство, как решение проблемы при климаксном возрасте выбирают тогда, когда заболевание рецидивирует, или когда обнаружена симптоматика, предшествующая возникновению рака.
Атипичные клетки в организме являются сигналом того, что операция необходима. Операция проводится следующими разными способами:
- Кюретаж. Снимают наружную поверхность слизистой со всеми наростами. Процедура проводится под наркозом (продолжительность около 30 минут).
- Прижигание. Способ подходит при очаговой форме. Для обработки пораженных участков используется лазер. Пораженные слои разрушаются и выводятся после без вмешательства
- Криодеструкция. Метод идентичен способу прижигания, только при таком способе применяют низкие температуры. Пораженные зоны некрируют и выводятся самостоятельно.
- Гистероэктомия. Когда регистрируются предпосылки развития рака, а точнее фиксируется осложненная форма атипичной гиперплазии, удаляют матку. В более поздних фазах менопаузы могут быть удалены и яичники, и именно поэтому в этом возрасте операция захватывает и все придатки матки.
Народные методы лечения гиперплазии эндометрия
Лечение лекарственными растениями имеет ряд преимуществ. Народные рецепты рекомендуются и применяются и специалистами.
Применение фитотерапии имеет свои плюсы:
- Растительные составы не вызывают побочные явления;
- Они хорошо переносятся организмом;
- Средства можно использовать длительное время;
- Растительные составы повышают результативность традиционных лекарственных средств.
Однако и растительные сборы, и отвары нужно принимать, начиная с минимальной дозы, постепенно увеличивая их количество во избежание аллергических реакций.
Известны своими целебными свойствами при лечении гиперплазии эндометрия боровая матка и лопух, чистотел, изготовленные из них отвары и настойки.
Гиперплазия эндометрия довольно тяжелое и опасное заболевание, распространение которого фиксируется день за днем. Это можно объяснить и плохой экологией, и ростом соматических недугов, на фоне которых развивается патология.
Каждая женщина, особенно перед климаксом и после него, должна периодически проходить УЗИ исследование, получать нужные рекомендации, для предупреждения возникновения как данной, так и иных гинекологических болезней. Здоровье каждой женщины прежде всего в собственных руках!
Гиперплазия эндометрия в менопаузе
После 45 лет в организме женщины наступают определенные гормональные изменения, которые отражаются на работе различных систем организма. Гиперплазия эндометрия в менопаузе является наиболее распространенным отклонением, опасность которого заключается в вероятности развития злокачественных опухолей.
Содержание:
Гиперплазия эндометрия при климаксе: что это такое?
Изменения в организме женщины после 45 лет характеризуются гормональным дисбалансом, являющимся наиболее частой причиной появления гиперплазии.
Матка женщины состоит из нескольких слоев, одним из которых является эндометрий. Под действием эстрогенов его клетки начинают разрастаться, что характерно для начала менструального цикла – организм готовится к беременности. Если она не наступает, клетки отторгаются с небольшим количеством кровянистых выделений, вызывая менструацию.
Под действием гормональной перестройки у женщин старше 45 лет часто происходит проникновение клеток эндометрия в другие слои матки. Этот процесс называется гиперплазией или аденомиозом. Часто заболевание может протекать без явных признаков, поэтому женщина может не догадываться о наличии этого недуга.
При восстановлении баланса между эстрогеном и прогестероном аденомиоз проходит самостоятельно.
В зависимости от течения заболевания, выделяют его следующие виды:
- Железистая гиперплазия в менопаузе. Выражается неконтролированным разрастанием желез с сохранением их функций.
- Железисто-кистозная форма (ЖКГЭ). Она относится к более выраженной, проявляется образованием кист, дисфункцией желез.
- Кистозный аденомиоз. Заболевание образуется за счет увеличения размеров желез, на которых формируются кисты. Данное проявление считается предраковым состоянием, поэтому требует обязательного лечения.
- Очаговый тип. Отличительной особенностью являются образования ограниченного размера, которые формируются из клеток соединительной ткани. Формирования могут быть единичными или образовывать полипы.
- Атипичный аденомиоз. При преобладании железистой ткани над соединительной начинают появляться атипичные клетки, характерной особенностью которых можно назвать их бесконтрольное деление. Клеточные патологии могут наблюдаться на всей эпителиальной поверхности или образовывать островки. Опасность заключается в высокой вероятности перехода в злокачественное новообразование.
Часто в постменопаузе диагностируют рецидивирующую гиперплазию. Она появляется повторно после проведенного ранее лечения.
Причины гиперплазии эндометрия в менопаузе
Патологическое состояние эндометрия в период менопаузы встречается гораздо чаще, чем в другие периоды. Это связано с рядом причин, требует обязательного лечения.
Климакс для женского организма – стресс, который не проходит незаметно. Активируются заболевания, которые ранее протекали бессимптомно. Среди основных причин возникновения аденомиоза выделяют:
- Гормональный дисбаланс. Нормальное состояние половой системы обеспечивается сбалансированным выделением эстрогена и прогестерона. С затуханием функций яичников существующее равновесие нарушается. Способствовать этому может гормональная терапия для уменьшения проявлений менопаузы, противозачаточные средства.
- Нарушение обменных процессов, в результате которых появляется лишний вес, увеличиваются жировые отложения. Они также продуцируют эстрогены, провоцируя нарушение существующего баланса.
- Заболевания эндокринной системы. Сахарный диабет, дисфункции щитовидной железы, другие отклонения приводят к выделению веществ, косвенно влияющих на выработку эстрогенов.
- Истончение слизистых оболочек половой системы, вызванное климактерическими изменениями, запускает аутоиммунные процессы, результатом которых является увеличенная скорость деления клеток эндометрия.
- Генетические особенности женщин. Ученые выявили связь между наследственностью и особенностями течения всех стадий климакса.
- Частое травмирование полости матки (аборты, операции, выскабливания). Это снижает восприятие организма к действию прогестерона, вызывая ускоренное деление клеток эндометрия.
Норма толщины эндометрия матки – 4-5 мм. При увеличении этого показателя проводят дополнительные диагностические процедуры.
Лечение гиперплазии в менопаузе возможно только индивидуальными препаратами, которые назначит врач после детального обследования, включающего следующие методы диагностики:
- Ультразвуковое исследование. Проводится регулярно с дискретностью 1 год, позволяет своевременно выявить эхопризнаки заболевания.
- Выскабливание. Дополнительная процедура, проводимая при толщине слизистой 6-8 мм.
- Гистология. Исследование проводится при прорастании клеток в другие слои на глубину 10-12 мм.
- Гистероскопия. Современный метод диагностики, при котором в полость матки вводится специальный тонкий аппарат, позволяющий изучить внутренние стенки.
Лечение назначается индивидуально, основывается на результатах предварительного обследования, поставленного диагноза, в некоторых случаях может включать обязательное хирургическое вмешательство, прием препаратов, грязелечение глиной. Следует придерживаться назначенной терапии, ведь аденомиоз может трансформироваться в онкологическое заболевание. При необходимости записаться на прием к гинекологу, воспользоваться бесплатной консультацией, перейдите по ссылке https://45плюс.рф/registration/.
В возрасте старше 45 лет значительно повышается риск развития гиперплазии.
Женщина в период менопаузы обязательно должна посещать профилактические осмотры. Незамедлительно следует обратиться к врачу при прекращении менструаций более чем на 3-4 месяца с последующим возобновлением, резких болях внизу живота, появлением кровянистых выделений в середине менструального цикла.
Рекомендованное видео:
35604 0
Гиперплазия эндометрия в менопаузе
С завершением репродуктивного возраста изменяется не только работа органов малого таза, но и множества других систем организма. На смену регулярным циклическим процессам приходит продолжительное отсутствие менструации, а на фоне угасания функции яичников снижается выработка половых гормонов.
Значительные преобразования происходят в матке. Ее слои постепенно преображаются: эндометрий истончается, а миометрий заменяется соединительной тканью. Однако не всегда процессы, заложенные природой, протекают именно так. Около 4 женщин из 10 после 50 лет сталкиваются с диагнозом гиперплазия эндометрия в менопаузе.
Особенности
В норме у женщин в менопаузе не обнаруживается гиперплазия эндометрия. С прекращением работы яичников перестает функционировать внутренний слой детородного органа. Первое, чем проявляется такое состояние – отсутствие менструации. Процессы обратного преобразования начинаются у женщин после 45-50 лет, но у определенных групп пациенток могут стартовать раньше.
Гиперплазией эндометрия называется патологическое разрастание слизистого слоя матки в полость детородного органа или мышечную ткань.
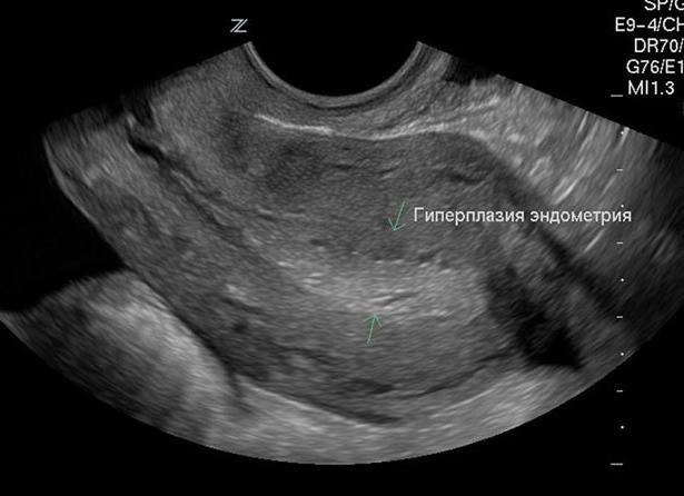
Визуально оценить состояние матки можно при помощи ультразвукового мониторинга. В естественном климаксе сканирование показывает, что толщина слизистого слоя составляет менее 5 мм. При этом матка имеет правильную форму, не увеличена, а в мышечной прослойке нет патологических включений.
Симптомы
Диагноз гиперплазия в постменопаузе ставится на основе клинических данных и инструментальных исследований. Зачастую патологический процесс не беспокоит женщину, а узнает она о нем во время очередного гинекологического осмотра, когда врач обнаруживает увеличенный детородный орган. Вот почему так важно проходить регулярные обследования, кратность которых не должна быть менее двух раз в год.
При патологическом разрастании слизистой матки женщина может ощущать тянущие боли, усиливающиеся при половом контакте или в момент дефекации, но не придавать им особого значения. Болеть низ живота может и по другим причинам.
Самым важным симптомом, который нельзя списать на другие состояния, является кровотечение. Оно бывает скудным или обильным, продолжается от нескольких часов до недель. Любые кровянистые выделения, возникающие во время климакса – не повод шутить с подружками о возвращении молодости. При такой симптоматике следует обратиться к гинекологу или хотя бы сделать УЗИ в ближайшее время.
Причины
Предпосылки к развитию патологии могут начать свое формирование задолго до наступления менопаузы. К основным причинам гиперплазии эндометрия матки относят:
- гормональный сбой;
- нарушение обменных процессов;
- патологические процессы в надпочечниках, гипофизе, щитовидной железе и других органах, продуцирующих гормоны;
- частые вмешательства в полость матки;
- генетическая предрасположенность;
Определить заранее, будет ли в менопаузе разрастание слизистой поверхности матки или его удастся избежать – невозможно. Только регулярные диагностические мероприятия, рекомендованные ВОЗ, помогут определить гиперплазию на ранних этапах.
Классификация
Несмотря на то, что эндометрий представляет собой моногамную структуру, его гиперплазия может принимать разные формы.
Железистая гиперплазия характеризуется преимущественным разрастанием слизистой ткани, повышением уровня эндометрия. Во время ультразвукового исследования можно обнаружить, что внутренний слой имеет толщину более 5 мм на всем своем протяжении.
Железисто-кистозная гиперплазия имеет тот же тип развития, что и железистая. Помимо увеличения толщи эндометрия, тут определяются включения – кисты. Также опухолевые процессы могут начинаться в яичниках. Из-за препятствия оттоку содержимого происходит закупоривание желез и их увеличение.
Очаговое разрастание тканей эндометрия характеризуется скоплением клеток в определенном участке. Во время УЗИ сонолог обнаруживает новообразования в виде полипов на ножке. Они бывают единичными или множественными. Полипы пронизаны множеством сосудистых структур, которые при повреждении кровоточат.
Атипическая гиперплазия признается самой опасной. Это состояние характеризуется разрастанием атипичных клеток в толщи миометрия или внутрь полости матки. Во время ультразвукового мониторинга обнаруживаются полипы, сосочки, кисты, утолщения эпителиальной ткани и другие изменения.
Патологическое разрастание эндометрия является довольно опасным состоянием для женщины в менопаузе. Оно может осложняться дополнительными процессами: эндометриозом, эндометритом, множественными миомами, кистами яичников и другими состояниями. Чем запущенней патологический процесс, тем выше вероятность его перерождения в злокачественную форму.
Лечение
В зависимости от времени обнаружения разрастания слизистой, вида патологии и стадии, выбирается соответствующее лечение. Если у женщины обнаружено незначительное утолщение эндометрия, не превышающее 7 мм, то специалисты выбирают выжидательный период.
В течение нескольких месяцев осуществляется постоянный мониторинг поведения слизистого слоя матки. При прогрессировании его роста и увеличении уровня осуществляется лечение. Неотложная терапия проводится для женщин, у которых обнаруживается железисто-кистозная и атипическая форма гиперплазии. Лечение может быть консервативным или хирургическим, что тоже зависит от индивидуальных особенностей течения болезни.
Медикаментозное
Консервативное лечение патологического разрастания слизистой матки осуществляется при помощи гормональных лекарств. Медикаменты призваны снизить влияние эстрогенов на эндометрий и приостановить его разрастание. Лекарства, назначаемые врачом, имеют следующие названия:
- Золадекс;
- Бусерелин;
- Норэтистерон;
- Диферелин;
- Даназол.
Препараты назначаются пациентке в индивидуальной дозе на срок от 3 до 9 месяцев. Медикаментозное лечение также предполагает применение препаратов для восстановления клеток печени и средств, понижающих свертываемость крови. Терапия препаратами может назначаться перед оперативным вмешательством с целью понижения уровня наросшего эндометрия.
Лечение гиперплазии эндометрия без операции возможно только в том случае, если не имеется кистозных включений и полипов.
Оперативное
Хирургическое лечение, которое наиболее распространено в России – кюретаж или выскабливание. Показанием к операции становится толщина слоя эндометрия, превышающая 1 см. Основной плюс такого вмешательства заключается в возможности последующего гистологического изучения материала. Этот анализ необходим для исключения онкологического процесса в матке.
Реже оперативное лечение проводится методом прижигания и криодеструкции. Способы коррекции предполагают воздействие на очаги гипертрофированного эндометрия высокими и низкими температурами. Впоследствии отмершие участки слизистой самоликвидируются из организма.
Гистерэктромия предполагает полное удаление матки. Операция проводится в тех случаях, когда атипичные клетки оказываются злокачественными или возникает высокая вероятность развития рака. В позднем периоде менопаузы аналогичное оперативное лечение проводится также над яичниками с целью понижения риска зарождения онкологии.
Отзывы гинекологов единогласны: регулярное своевременное обследование женщины в постменопаузе позволит предотвратить подобные оперативные вмешательства и вылечить гиперплазию на начальных стадиях при помощи лекарств.
Комментарии 0