
КТ поджелудочной железы: компьютерная томография поджелудочной
Термин «томо», что значит срез, является базовым названием компьютерной томографии. Компьютерная томография относится к инструментальным исследованиям внутренних органов человека. Этот метод исследования имеет длительную историю развития.
Суть его механизма действия заключается в послойном исследовании внутреннего строения органа при помощи рентгеновских лучей. В разных по плотности тканях измеряется их действие, которое выражается ослаблением проникновения.
Компьютер по сложной программе математической реконструкции объекта рассчитывает поступающие данные, что исключает ошибки. КТ поджелудочной железы дает возможность визуализировать на самой ранней стадии различные ее патологии.
Выбор метода исследования
Патологический процесс, затрагивающий панкреас, протекает в 2 видах:
- Острой фазе, когда человека преследуют боли, носящие опоясывающий характер, тошнота, рвота, диарея.
- Хроническая фаза, развивающаяся бессимптомно или имеющая скудную симптоматику.
Лечащий врач назначает направление диагностики. Среди инструментальных методов: УЗИ, КТ, МРТ. У каждого метода свои преимущества и достоверность. Все они позволяют увидеть и локализовать диффузные изменения поджелудочной железы. Но УЗИ дает общую картину патологии, а также наличие новообразований общего плана. КТ и МРТ выдают картину патологии с наличием новообразований, которые можно измерить и определить их характер.
Компьютерная томография поджелудочной железы назначается при наличии деструктивного панкреатита. Она позволит выявить:
- кальцификацию органа;
- наличие кист и псевдокист;
- малигнизацию;
- патологию соседних органов.
Механизм действия заключается в облучении верхнего участка живота рентгеновскими лучами. Они проходят через ткани железы, улавливаются специальными детекторами аппарата. В этом процессе рассчитывается разница в степени их ослабления и строится картинка, которая передается на экран монитора.
Так исследуется слой за слоем органа, и получается серия изображений срезов поджелудочной железы, что позволяет увидеть действительную патологию. КТ выполняется с контрастным веществом или без него. Использование контраста разницу в плотности тканей резче визуализирует.
Основной целью диагностики компьютерной томографии является подозрение на образования доброкачественного или злокачественного характера. Плотность ткани в области патологии отличает опухоли от кисты. Онкология дает метастазы в рядом расположенные ткани. Поэтому важно определить патологию карманов и сумок, состоящих в структуре поджелудочной железы. В этих очагах может накапливаться гной, кровь, жидкость.
Недостаток исследования в том, что:
- невозможно увидеть на снимке панкреатический проток;
- рентгеновское излучение, невзирая на малые дозы, которые использует КТ, накладывает ограничение на применение. Между циклами надо выдерживать некоторый промежуток времени.
Поэтому можно использовать МРТ, его информативность не уступает КТ поджелудочной железы. А для визуализации проток железы достоверность выше, чем у КТ. У тучных пациентов трудно диагностировать камни. МРТ и КТ это позволяют сделать без труда. Лабораторные исследования не исключаются из диагностики, несмотря на высокую достоверность инструментальных методов обследования.
Показания к инструментальному обследованию
Для диагностики должны быть показания. Самочувствие пациента стремительно ухудшается, возможна потеря веса, ярко выраженная симптоматика или бессимптомное течение панкреатита. При этом у пациента наблюдаются:
- воспалительные процессы в органе в виде острого, хронического панкреатита или панкреонекроза;
- отклонения в развитии органа: врожденные аномалии, кисты;
- нанесенные пациенту травмы верхней части живота, при которых могут случиться даже разрывы паренхимы.
Такие осложнения требуют точной диагностики, потому что часто им предстоят хирургические вмешательства. Хронический панкреатит, единственный, который требует сразу 2 методов обследования МРТ и КТ поджелудочной железы.
В выборе метода диагностики учитывается:
- достоверность и точность информации;
- сроки описания процесса от выполнения процедуры до выдачи заключения на руки.
- течение истории болезни.
Подготовка к обследованиям не требует сложных манипуляций. В мероприятиях подготовки:
- за сутки до манипуляции нужна щадящая диета;
- запрещается употребление спиртных напитков любого качества;
- при использовании контраста важно оценить аллергическую реакцию на йод, который входит в состав контрастного вещества.
Обследование пациент проходит в комфортном одеянии, при отсутствии металлических изделий. В кабинке раздевалки оставляют часы, украшения, заколки и прочие предметы.
Контраст бывает:
- внутривенным;
- пероральным способом приема лекарства через рот. Лекарство принимается поэтапно: вечером, утром и непосредственно перед манипуляцией.
Главное требование, предъявляемое КТ опровержение или подтверждение установленного врачами диагноза. Особенно это важно перед любыми операциями на железе. Неоспоримое качество КТ в том, что из серии снимков можно вывести трехмерное изображение любого очага обследования.
Оно дает место локализации, размеры патологии, что позволяет докторам лучше подготовиться к лечению. Если не упущен момент, когда осложнения перерастают в страшные последствия, лечение имеет хорошие шансы на исцеление. Для этого КТ диагностику лучше сделать на начальных этапах болезни, что позволит выявить отклонения и патологии на ранних стадиях.
Компьютерная томография (КТ) поджелудочной
Выявить патологию в железе поджелудочной можно на раннем сроке болезни, когда терапия будет быстрой и более действенной. Патологии этого органа формируются с признаками, которые проявляются поздно. Чтобы раньше обнаружить заболевание рекомендуют пройти КТ поджелудочной железы. Такой способ исследования считается самым информативным. Благодаря КТ просматривается орган более четко, визуализируются ткани поджелудочной до миллиметра, обнаруживается припухлость, есть ли нарушение строения и образования на этапе формирования. КТ также проводят, если МРТ применить нет возможности.
Показания
КТ поджелудочного органа назначается больному тогда, когда удостоверяются в предполагаемом диагнозе или оспорить его. Врачом будет назначено исследование, при возникновении у больного тянущих и острых болей в верхней области брюшины, развивающиеся после потребления жирных блюд, спиртных напитков.
Показаниями к проведению КТ поджелудочной будут:
- Аномальные проявления в развитии поджелудочного органа.
- Травматизация.
- Наличие острого и хронического типа патологии железы.
- Болевые ощущения в эпигастральной зоне без явных на то факторов.
- Новообразования доброкачественного и злокачественного течения.
- Наличие конкрементов в панкреатических каналах.
- Подготовительный этап к оперативному вмешательству.
- Оценка действенности лечения.
- Болезненные явления в железе.
- Оценка положения полости и забрюшинного пространства.
Также делается КТ поджелудочной железы, когда у пациента случаются регулярные расстройства пищеварительной системы.
Данный исследовательский метод важен при диагностировании рака, ведь с его помощью реально выявить наличие метастаз в органах, размещенных около железы.
Также имеются и противопоказания КТ поджелудочной железы.
- Дети.
- Период беременности, кормления ребенка.
- Клаустрофобия.
- Диабет.
- Заболевания психического расстройства.
- Патологии, которые не позволяют пациенту быть неподвижным.
А также нельзя делать, когда у больного миеломная патология, болезни почек, сердечной мышцы, эндокринные нарушения.
Подготовка
Для осуществления КТ подготовительный этап будет различным, все зависит от того, какая методика контрастного средства будет выбрана для определенного исследования.
Подготовиться к компьютерной томографии железы поджелудочной потребуется перорально, потребляя медикамент Урографин, следуя плана:
- растворить 2 ампулы препарата в 1,5 литрах воды;
- изначально выпивается 500 мл в 20.00-22.00 часов перед обследованием;
- следующие 500 мл употребляются с утра в тот день прохождения исследования поджелудочной железы;
- остальные 500 мл принимают за 30 минут непосредственно до исследования.
Для перорального употребления пропишут иное средство, поэтому принимать его нужно будет по другой схеме, относительно Урографина.
С вечера перед КТ и утром в день, когда будет проводиться исследование, дозволено кушать лишь блюда мягкой консистенции – кисели, пюрированные овощи.
Если будет проводиться внутривенное введение средства, то идти на обследование поджелудочной голодным. Последний перекус проходит не позже чем за 6 часов до осуществления манипуляции.
За несколько суток до КТ сменяется питание, убрав из рациона еду, которая провоцирует повышенное образование газов (кисломолочная продукция, пища, с содержанием грубой клетчатки, овощи, напитки с газами).
Рекомендовано предварительно до КТ принять активированный уголь, спазмолитик – Но-Шпа. Прием лекарств позволит извлечь картинку более четко.
Как делают
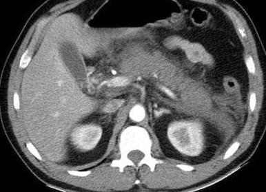
КТ поджелудочной — сканирование органа с помощью рентгеновского облучения, проходящие сквозь ткани. Извлеченную информацию выводят на монитор и обрабатывают с применением определенных программ. Вследствие этого реально получить снимки в нескольких проекциях и выложить трехмерный образец.
Перед осуществлением исследованием больной не должен быть в одежде и аксессуарах, которые оснащены металлическими предметами, размещенных в зоне брюшины.
- Пуговицы на брюках из металла.
- Молнии из металла на кардигане, блузке.
- Пряжки ремней с элементами металла.
- Длинные цепочки.
При наличии металлических деталей, снимки КТ будут с наличием теней, что приведет к сниженной информативности изображения. Как проходит процедура обследования на аппарате КТ general electric optima.
- Больной ложится на выдвигающийся томографический стол. Чтобы картинка не была искаженной на снимках от шевелений больного, его тело фиксируется при помощи специальных подушек и ремней. В лежачей позиции на спине придется находиться на протяжении получаса, потому рекомендовано прийти на компьютерное исследование в одежде, которая будет свободной.
- Доктор может дополнительно попросить обследуемого не дышать пару секунд. Это нужно для исключения дислокации органов во время дыхания и извлечения более точного и информативного изображения КТ.
- Стол с больным заезжает внутрь аппарата так, чтобы зона размещения поджелудочной совпадала с областью дислокации сканера.
- Когда проводится исследование, за больным ведется наблюдение сквозь окно, из расположенного рядом помещения. У человека есть возможность благодаря голосовому контакту или тревожной кнопки связаться с врачом.
КТ поджелудочной железы является абсолютно безболезненным, не вызывает дискомфортные ощущения. Качество изображений будет зависеть от рекомендаций врача пациенту, насколько точно они им выполняются.
Когда пользуются контрастным веществом, то его внедряют либо перед обследованием или получив первую партию снимков.
Использование контраста
Компьютерная томография органа с введением контраста осуществляется, чтобы улучшить визуальное изображение железы поджелудочной и выявить информацию с большей точностью. Контрастом пользуются, чтобы исследовать сосудистую систему, ткани, обнаружить опухоли.
Контрастные вещества вводятся внутривенно. Зачастую применяется йодсодержащее вещество с инфузоматом. В основном дозировка составляет 100-120 мл. Когда наблюдается отсутствие медикамента в тканях органа, то это указывает на наличие некротических повреждений на них.
Перед тем как будет проводиться компьютерная томография с контрастом, выясняется у доктора о наличии аллергических реакций. Угроза формирования аллергии завышенный у больных, которые страдают бронхиальной астмой, не переносит препараты, которые содержат йод и морепродукты.
консультация врача перед обследованием
Когда контрастное вещество вводится в кровь, у больного появляются болевое ощущение в зоне укола, также чувство тепла или жара по телу, в ротовой полости металлический и кисловатый привкус. Подобные проявления не являются опасными для организма, потому КТ не прерывается.
Однако когда контрастное вещество уже введено, у пациента могут развиться следующие симптомы:
- тошнота;
- отечность лицевой зоны;
- одышка;
- спад давления;
- спазмы в бронхах;
- головокружение;
- повышение отделения пота;
- учащенное биение сердца;
- крапивница.
О подобных реакциях организма пациент должен сразу сообщить врачам. Побочные проявления будут довольно выраженные, что требует немедленного приема антигистаминных препаратов.
Зачастую продолжительность КТ составляет 10-15 минут. Диагностирование проводится около получаса.
Какие болезни обнаруживаются при осуществлении компьютерной томографии?
- Панкреас – острого и хронического течения.
- Конкременты в панкреатических каналах.
- Повреждение поджелудочной железы кистами.
- Онкологические процессы.
- Липоматоз.
Если обнаруживается острая фаза панкреатита, то на компьютерной томографии врач наблюдает:
- очертание органа нечеткое;
- рядом с органом просматривается выделительная жидкость;
- ткани отечные, окружают поджелудочную железу;
- нет ячеистого строения, которое считается естественным явлением у здорового пациента.
При хроническом течении болезни поджелудочной возможно выявление кальциевого отложения.
Возможные риски
Основную угрозу связывают с применением контрастного препарата. Данные страхи являются необоснованными, ведь уровень облучения, который используется при КТ очень маленький, чтобы навредить организму.
При этом, учитывая то, что радиация накапливается, нельзя делать КТ поджелудочной очень часто. Рекомендованы временные перерывы между процедурами КТ.
Следующим риском считается контраст, который может иногда спровоцировать развитие нетипичных реакций организма даже у тех обследуемых, которые несклонные к проявлению аллергии.
Альтернативы
Орган, возможно, обследовать различными методами. Помимо КТ поджелудочной, пользуются также МРТ, ультразвуковым анализом, ангиографией.
Изменение функциональности органа провоцирует появление стрессов, неважный рацион, потому проведение магниторезонансной томографии или КТ не являются единственными методами. Обнаружить заболевания органов реально используя гормональные и биохимические анализы, поскольку изменения в иных органах способны оказывать воздействие на положение кровяного русла, гормонов, лимфы, что отражается на работе органа.
Другие методы диагностики.
- МСКТ – метод диагностики относится к разновидности КТ. Отличительные характеристики содержаться в аппарате современного образца, что дает возможность понизить дозировку получаемого облучения, кроме того МСКТ проходит несколько быстрее.
- ПЭТ КТ – самый современный и информативный способ исследования. Благодаря такой диагностике сканируется сразу большая область органов брюшной полости.
Очень важно обращаться к врачу при обнаружении первых симптомов болезни поджелудочной, он назначит лечение медикаментами и диету. Если же патология запущена, потребуется проведение диагностики, одним из методов которых будет компьютерная томография.
Кт поджелудочной железы что показывает
Главная » Поджелудочная железа » Кт поджелудочной железы что показывает
Поджелудочная железа в организме человека несет пищеварительную и эндокринную функции, отвечает за обмен веществ, переваривание белков, жиров, углеводов, снабжение крови инсулином. В функционировании она связана с печенью, в связи с чем заболевания печени вызывают перебои в функционировании железы. В свою очередь панкреатиты и опухоли железы могут провоцировать нарушения работы печени.
Компьютерная томография (КТ) поджелудочной железы — это вид диагностики, с помощью которого производится визуализация строения железы. Обычно КТ назначают при подозрениях на панкреатиты, опухолевые новообразования и при постоянных расстройствах пищеварения.
Компьютерная томография построена на принципе сканирования специальными датчиками органов и тканей рентгеновскими лучами и последующей компьютерной обработке полученных данных. После такой обработки получают снимки в различных проекциях, а также можно построить трехмерное изображение обследуемой области.
Сейчас все большее распространение получает МРТ, однако КТ является очень востребованным методом диагностирования для обследования органов человека. Компьютерная и магнитно-резонансная томография поджелудочной железы имеют схожие показания, КТ также назначается, когда магнитно-резонансную томографию провести невозможно.
Что показывает КТ поджелудочной железы
Заболевания поджелудочной железы поддаются диагностированию сложно, так как внешние симптомы проявляются не сразу и болезнь может затронуть другие структуры организма.
Показания для КТ поджелудочной железы:
- аномалии в развитии органа
- опухолевые образования различной природы (злокачественные и доброкачественные): киста поджелудочной железы, псевдокисты, раковые опухоли
- наличие камней в панкреатических протоках
- повреждения после травм
- хронический панкреатит
- острая форма панкреатита
- исследование забрюшинного пространства.
Во главе угла при КТ-исследовании стоит подтверждение или опровержение предварительно поставленного врачами диагноза. Также на КТ могут направлять больного перед запланированным хирургическим вмешательством.
Большое значение КТ поджелудочной железы имеет при раке. Разрешающая способность КТ близка к УЗИ, но КТ несет большую информативность в определении распространённости рака железы на расположенные рядом другие органы и структуры, в обнаружении регионарных метастаз.
Проведение исследования
Подготовка к КТ поджелудочной железы не требуется, если процедура проводится без контрастирования. Прийти на обследование нужно в свободной, комфортной одежде без металлических вставок. Украшения, часы, карточки, съемные протезы оставить надо перед входом в кабинет с томографом. Перед обследованием с контрастированием нужно ограничить прием пищи и напитков, вызывающих повышенное газообразование. Контраст-препарат вводится внутривенно перед сканированием. Если контрастный препарат вводится перорально (через рот), то он принимается поэтапно: вечером перед процедурой, утром и непосредственно перед сканированием.
Как проходит исследование
Пациенту предлагают лечь на подвижной стол аппарата томографа, для сохранения неподвижности его могут закрепить ремнями и валиками. Сканирующее кольцо вращается вокруг стола с пациентом. Для получения качественных и точных снимков пациент должен быть абсолютно неподвижным и спокойным. В некоторые моменты во время работы аппарата пациента попросят задержать дыхание. На каком-то этапе врач попросит задержать дыхание. Длительность обследования — около 15 минут. Обследование не причиняет боли и дискомфорта пациенту.
Применение контраста — что это такое?
КТ поджелудочной железы с контрастированием необходимо для улучшения визуализации органа и получения более точных данных. Контраст применяют для исследования сосудов, тканей, обнаружения опухолевых образований. Контраст вводится внутривенно. Применение контраста безопасно для человека, он выводится естественным путем в течение двух суток после обследования. У некоторых пациентов на контраст могут возникнуть побочные эффекты: тошнота, головокружение, зуд, учащение сердцебиения. О таких реакциях организма во время обследования нужно сразу сообщить специалистам при их появлении.
Противопоказания
Запрещено такое исследование беременным женщинам и детям, так как применяются рентгеновское излучение. Противопоказано людям с миеломной болезнью. Противопоказанием к процедуре с контрастированием будет почечная недостаточность у больного, заболевания сердца, нарушения эндокринной системы и наличие аллергии на йод. Клаустрофобия, тяжелое состояние больного, психические заболевания помешают пациенту сохранять полную неподвижность, поэтому могут быть применены седативные препараты.
Альтернативные методы исследования
Обследование железы можно проводить разными методами. Кроме КТ, это МРТ, УЗИ, ангиография.
Нарушения работы железы могут вызвать стрессы, плохое питание человека, поэтому МРТ или КТ это не единственные способы исследования этого органа. Диагностировать заболевания могут гормональные и биохимические анализы, ведь нарушения в других органах могут влиять на состояние крови, лимфы и гормонов, что сказывается на функционировании поджелудочной железы.
Преимущество перед УЗИ у компьютерной томографии состоит в том, что она обладает более четкой визуализацией тканей. КТ назначается когда не может помочь рентген, например, у людей с избыточным весом на рентгенографии не видны отложения кальция, что затрудняет постановку точного диагноза.
УЗИ дает только общую картину, наличие или отсутствие локальных образований, а МРТ и КТ разрешают построить трехмерное изображение, определить характер и измерить патологии и образования.
МСКТ — это разновидность компьютерной томографии. Отличие заключается в более современном виде оборудования, которое позволяет снизить дозу получаемого облучения, а также МСКТ по времени процедуры проходит быстрее, чем обычная КТ.
ПЭТ КТ — изобретение ядерной медицины, наиболее современный и информативный метод обследования. Разрешает специалистам исследовать органы и ткани в режиме реального времени. Специфической чертой такого обследования является сканирование сразу большой области и органов в комплексе, а не одного органа. Например, в брюшной полости сканируются сразу все органы. Обследование дорогостоящее и проводит их небольшое количество клиник в Москве, в регионах распространенность еще меньше.
КТ или МРТ поджелудочной железы — что лучше?
По информативности сегодня преимущество имеет МРТ-диагностика.
Применение в КТ рентгеновских лучей ограничивает назначение такого обследования многократно. КТ можно проходить через определенные промежутки времени, хотя доза получаемого облучения низка и практически не вредит здоровью. МРТ основывается на принципе воздействия сильного магнитного поля, без использования рентгена и перечень противопоказаний для этого вида обследования меньше.
Что показывает МРТ поджелудочной железы?
В отличие от компьютерной томографии поджелудочной железы МРТ позволяет более точно локализовать расположение опухоли.
МРТ-диагностику хвоста поджелудочной железы выполняют в случае подозрения на развитие раковых опухолей, которые могут вызвать серьезные нарушения эндокринного состояния в организме, что влечет избыточное выделение инсулина. В ряде случаях это может спровоцировать гипогликемическую кому.
Рак поджелудочной железы МРТ разрешает обнаружить во всех формах. МРТ является одним из самых современных и точных методов для обнаружение опухолей, определения их размеров и местонахождения на самых ранних этапах. Позволяет достаточно хорошо визуализировать и исследовать цистаденокарциному и аденокарциному, определить направление их развития для назначения эффективной методики лечения.
МР-диагностика позволяет обнаружить метастазы из других органов, более всего из желудка. Рак других органов распространяется на эту область очень редко.
Показания к МРТ поджелудочной железы:
- боли в области желудка, опоясывающие боли
- частые нарушения пищеварения
- сбой в работе кишечного тракта
- опухоли
- послеоперационный контроль.
МР-томография выполняется на томографах с мощностью свыше 1,5 Тл. По времени обследование составляет 30-40 минут. Время обследования составляет около получаса. Подготовка к МРТ поджелудочной железы не влечет специальных действий и отказов от приема лекарств пациентом. За сутки нужно ограничить прием пищи и газированных напитков, которые вызывают газообразование в кишечнике.
В случае проведения МРТ железы с контрастом специалистам нужно знать о наличии аллергических реакций на контрастные препараты, поэтому может понадобиться сдача анализа.
Стоимость МРТ более высокая, чем у компьютерной томографии.
Преимущества метода КТ
- высокая точность и информативность по сравнению с УЗИ и рентгенографией
- выявление небольших новообразований и патологий, метастаз
- небольшой уровень облучения в отличие от рентгена.
Стоимость КТ
Цена КТ поджелудочной железы с контрастированием и стоимость без контраста отличаются. Цена определяется также такими параметрами, как: уровень томографа, рейтинг клиники, квалификация специалистов. Также обычно с железой проводится КТ печени и селезенки. В Москве цена КТ будет выше, чем в регионах. Стоимость ориентировочно составляет от 3,5 до 6 тысяч рублей, с применением контраста — 5,5-10 тысяч рублей. Методом МСКТ без контрастирования можно пройти обследование за 3 тысячи, с использованием контраста исследование будет стоить уже от 5 до 7 тысяч. Цена МРТ поджелудочной железы: сделать с контрастом — от 8 до 14 тысяч рублей, без контраста — диапазон от 4 до 8 тысяч. Стоимость ПЭТ КТ очень высока из-за ее малодоступности и начинается от 40-50 тысяч рублей. Цена обусловлена дорогостоящим оборудованием и использованием редкого контраста.
ПОДЕЛИТЕСЬ С ДРУЗЬЯМИ И ПРОГОЛОСУЙТЕ
(2 голосов, оценка: 5,00 из 5)
Получите скидку до 2000 рублей на МРТ и КТ. Телефон в Москве: 8 (495) 162-99-90 Телефон в Санкт-Петербурге: 8 (812) 245-36-58
tomografpro.ru
МРТ поджелудочной железы
Среди паренхиматозных органов брюшной полости поджелудочная железа наиболее слабо объективизируется с помощью рутинных методик обследования. Даже крупные образования органа при наличии выраженного сосудистого компонента в структуре, не могут полноценно визуализироваться ни ультразвуковыми, ни рентгенологическими методами обследования. Несмотря на то, что компьютерная томография достигла больших диагностических высот, в некоторых ситуациях без МРТ поджелудочной железы обойтись не удастся.
Как работает методика
Суть применяемого обследования – возможности магнитного поля неравномерно отражаться от различных структурных образований любых паренхиматозных органов. Качество получаемых томографических изображений, которые выводятся на экран монитора, подключенного к томографу, напрямую зависит от его мощности. Существует два типа магнитно-резонансного оборудования: открытое и закрытое. Первое имеет ограниченную мощность, не более 0.5 Тесла, поэтому не может в условиях современной медицины активно применяться для диагностики поджелудочной железы. Закрытый томограф имеет мощность более 1Тесла, но чем она выше, тем достовернее будет результат обследования. Идеально выполнять МРТ поджелудочной железы на аппарате мощностью больше 1.5 Тесла.
Магнитно-резонансная методика позволяет определять следующие показатели при обследовании поджелудочной железы:
- форму;
- размер;
- плотность структуры;
- наличие любых образований;
- состояние внутрипанкреатических протоков;
- особенности васкуляризации органа.
Уровень точности МР-томографа позволяет различать изменения в структуре поджелудочной железы от 2 мм. На степень визуализации влияет контрастное усиление. Если специальное вещество, усиливающее магнитный сигнал, не вводится, то МРТ поджелудочной железы нельзя считать полностью достоверным. Контраст позволяет отличить даже мельчайшие структурные изменения, а также увидеть особенности формирования сосудов внутри любых образований органа.
Здоровая поджелудочная железа на МРТ-снимке
Когда назначают обследование
МРТ поджелудочной железы применяется не только при наличии уже подтвержденного диагноза, но и при неясных симптомах, в которые вовлекаются структуры брюшной полости. Часто отдельно обследование органа не проводится, а железа рассматривается в контексте обследования всего живота.
Показания к проведению МРТ поджелудочной железы можно представить так:
- наличие любых образований в эпигастральной области, выявленных при УЗИ;
- подозрение на калькулезный панкреатит;
- опухоли поджелудочной железы;
- внутрипротоковая гипертензия для исключения блока оттока панкреатического содержимого;
- хронический панкреатит для оценки структуры органа, особенно псевдотуморозная форма;
- киста поджелудочной железы;
- гнойные затеки в околопанкреатическую клетчатку;
- постоянный болевой синдром в эпигастрии без наличия явной причины.
Исследование абсолютно безопасно, поэтому может применяться для динамического наблюдения за состоянием поджелудочной железы после операций, а также для контроля эффективности проводимого лечения.
Как готовиться к обследованию
МРТ поджелудочной железы – процедура обычно плановая, требует некоторой подготовки. Исследование назначается на утренние часы, но прийти желательно немного раньше назначенного времени. Если манипуляция бюджетная, оплачиваемая за счет страховой медицины, то необходимо с собой взять классический набор документов: паспорт, полис и СНИЛС. Направляет на обследование лечащий специалист при наличии четких показаний к МРТ поджелудочной железы. Как правило, такое направление дается за подписью врачебной комиссии поликлиники.
Перед проведением процедуры рекомендуется:
- за 72 часа придерживаться диеты, которая не способствует газообразованию в кишечнике (не употреблять капусту, хлеб, бобовые, газированные напитки, сладкие соки);
- за сутки не принимать алкоголь;
- если обследование назначено на утро, то следует прийти натощак, если в более поздние часы, то голодный промежуток должен быть не менее 5 часов;
- предварительно снять все металлические украшения с тела, включая пирсинг;
- сообщить врачу о наличии любой аллергии, особенно на контрастные вещества, если они вводились ранее.
При назначении процедуры во время пребывания в стационаре, требования к подготовке могут отличаться. Это связано с особенностями внутреннего распорядка учреждения и мощностей томографа. Предварительно иногда назначается очистительная клизма или выводится содержимое желудка через зонд. Последнее обязательно сделать при наличии застоя в верхних отделах пищеварительной системы. Правильная подготовка обеспечивает более точные диагностические возможности магнитно-резонансной томографии.
Как проходит процедура
Обследование выполняется в специальном кабинете, в котором установлен томограф. Пациента укладывают на подвижный транспортировочный стол, с помощью которого больного продвигают к магнитной камере. Если аппарат закрытого типа, то пациент полностью находится внутри магнитной округлой сферы. Если открытого типа, то трубка, содержащая томограф, устанавливается непосредственно над зоной поджелудочной железы.
При необходимости введения контраста больного подключают через внутривенный катетер к специальному устройству, которое подает вещество под давлением. Используется контраст только на основе гадолиния. Наиболее эффективные препараты, которые применяются для МРТ поджелудочной железы в настоящее время, представлены ниже:
- Гадовист;
- Примовист;
- Прохэнс;
- Магневист.
Все эти вещества содержат разные варианты соединений гадолиния. Контрастные препараты, где в качестве усиливающего компонента используется йод, для МРТ не подходят. Они предназначены только для компьютерной томографии на основе рентгеновского излучения.
При проведении МРТ поджелудочной железы снимки делаются дважды: до введения контраста и после него. Врач оценивает накопление вещества в патологических тканях органа. Общая продолжительность процедуры – около 40 минут, Все это время пациент должен находиться в неподвижном состоянии, периодически выполняя команды доктора о задержке дыхания. Так как томограф сильно жужжит, то больному часто одеваются наушники для более полного контакта с врачом.
Когда нельзя использовать данное обследование
Несмотря на безопасность и актуальность методики, у нее существуют противопоказания. МРТ поджелудочной железы нельзя применять в следующих ситуациях:
- в теле есть несъемные металлические предметы – застарелые осколки, скрепляющие скобы, особые швы, коронки зубов;
- наличие автономных встроенных в организм приборов, например, водителей ритма сердца;
- любые металлические протезы – клапаны сердца, искусственные суставы;
- беременность 1 триместр;
- вес более 150 кг, так как диагностический стол не выдерживает такую нагрузку.
Несмотря на то, что проводится исследование только поджелудочной железы, наличие металла в любой части организма, даже в зубах, считается абсолютным противопоказанием к манипуляции. Категорический отказ пациента убрать пирсинг или снять кольцо также станет препятствием для проведения МРТ поджелудочной железы.
При аллергии на контрастное вещество можно проводить обследование без него, но эффективность диагностики снижается. Если пациент не может лежать в течение всей процедуры, например, в результате психических заболеваний, то манипуляцию отменяют. При жизненной необходимости по согласованию с врачом-реаниматологом проводится наркоз в условиях стационара. Клаустрофобия тоже может стать препятствием для назначения МРТ, особенно при оборудовании закрытого типа.
Заключение
Таким образом, МРТ поджелудочной железы обладает важнейшим диагностическим потенциалом при различных заболеваниях органа. Процедура требует подготовки, а также специально оборудованного кабинета. Несмотря на безопасность, имеются противопоказания, в том числе, абсолютные, когда процедуру проводить нельзя ни при каких условиях. Благодаря высокой разрешающей способности, МРТ позволяет выявить болезни поджелудочной железы, обнаружение которых недоступно при других вариантах обследования.
pankreatitu.net
КТ поджелудочной железы: подготовка, особенности процедуры, показания
Диагностировать патологии поджелудочной железы обычно сложно на ранних стадиях, когда лечение может пройти быстро, более эффективно. Болезни данного органа развиваются с поздно проявляющимися симптомами. Для более раннего обнаружения болезни можно воспользоваться КТ поджелудочной железы. Данный исследовательский метод является одним из наиболее информативных.
Принцип данного обследования заключается в прохождении рентгеновского облучения сквозь ткани организма, которые наделены различной плотностью. Аппарат передает послойное изображение, дает возможность визуализировать структуру всех внутренних органов. Информативность такого метода очень высока, а уровень облучения при КТ намного меньше, чем при рентгенографии.
В каких случаях показано проводить диагностику железы?
Компьютерная томография дает возможность врачам не только обследовать контуры исследуемого органа, она необходима для оценки его состояния. Этот метод визуализирует отложения кальция, отеки, новообразования, воспаления.
КТ является необходимостью для достижения таких целей:
- дифференциация болезней поджелудочной железы, органов, расположенных внутри забрюшинного пространства;
- диагностика панкреатита;
- обследование опухолей, псевдокист органа.
Сделать КТ врачи рекомендуют пациентам в следующих случаях:
- Для проведения обследования при наличии подозрения на развитие опухолевых образований.
- Для определения причины появившихся у пациента болей в районе желудка, болей, имеющих опоясывающий характер.
- При наличии аномалий в развитии железы.
- При наличии травмы в данной области.
- Для диагностирования сбоя, обнаруженного в функционировании ЖКТ.
- Наличие проблем с пищеварением.
- Для выполнения контроля за состоянием пациента, перенесшего оперативное вмешательство.
- Для наблюдения за ходом терапии.
Подготовка к предстоящему исследованию
Если врач назначил прохождение компьютерной томографии поджелудочной железы, пациент должен знать, что КТ проводят в области поджелудочной преимущественно с контрастированием. Перед проведением процедуры пациент должен уведомить специалиста о наличии противопоказаний к использованию йодсодержащих препаратов, любых аллергических проявлений.
Особой подготовки к компьютерной томографии, проводимой в районе поджелудочной железы, не требуется. Врач обычно предупреждает пациента о возможном проявлении побочных эффектов (они проявляются очень редко). За несколько часов до введения контрастирующего препарата нельзя употреблять пищу.
Собираясь на процедуру. нужно также узнать о ее стоимость, ведь подобные исследования довольно-таки дорогие. Цена диагностики формируется с учетом ряда факторов: статус мед центра, класс применяемого оборудования, наличие/отсутствие контрастирующего препарата, квалификация врача-радиолога.
Если проходить диагностирование без использования контрастирующего вещества, стоимость его будет около 3,5 – 5 тыс. рублей. При использовании контраста цена увеличится до 5 – 8 тысячи рублей.
Особенности выполнения диагностики с контрастированием
Изначально пациент ложится на рентгеновский стол, вокруг которого, на необходимом уровне, устанавливают арку сканера. В таком положении выполняется серия снимков (поперечные слои тела). Выполняется запись полученных результатов на ленту. Выполняется реконструкция изображений срезов поджелудочной железы на монитор. Специалист изучает срезы, фотографируя наиболее информативные из них.
Закончив анализировать первую серию снимков, врач-радиолог переходит ко второму этапу исследования. Пациенту вводят контрастирующий препарат, делают повторно серию снимков. Введение контрастирующего вещества необходимо для повышения диагностической точности данного исследовательского способа.
Пациенту обычно вводят внутривенно капельно водорастворимые йодсодержащие вещества с инфузоматом. Обычно доза составляет 100 – 120 мл. Если в тканях поджелудочной отсутствует контрастирующий препарат, значит на них имеется некротическое поражение.
КТ обычно длится около 10 – 15 мин. Диагностика с контрастированием занимает около 30 минут.
Результаты проведенного обследования врач-радиолог выдает спустя 2 – 3 часа после процедуры.
Какие опасные болезни может обнаружить КТ
При проведении усиленной контрастной компьютерной томографии специалист может обнаружить такую патологию, как липоматоз. Эта болезнь представляет собой замену тканей поджелудочной железы на жировую ткань. Данная патология наблюдается редко, но при ней происходит полное/частичное замещение железы жировой инфильтрацией.
Также диагностика поможет обнаружить рак, который чаще всего локализуется в районе головки данного органа. Кроме этой опасной патологии в исследуемой железе могут формироваться следующие виды новообразований:
- глюкагонома;
- инсулинома;
- серотонин-продуцирующая опухоль.
Врачи отмечают высокую информативность данного исследовательского метода при диагностике панкреатита. Если обследование проводят пациенту с острым панкреатитом, врач увидит такую картину:
- нечеткие контуры поджелудочной железы;
- около железы врач видит экссудативную жидкость;
- отечность тканей, окружающих исследуемый орган;
- отсутствует ячеистая структура, которая является нормой для здорового, нормального органа.
Опасность такого прогрессирующего деструктивного процесса заключается в развитии панкреонекроза.
При хроническом панкреатите у обследуемого специалист может обнаружить отложения кальция. Это невозможно сделать посредством любого другого метода диагностики. У данной патологии имеются свои характерные признаки, которые заключаются в:
- наличии фиброза;
- формировании псевдокист внутри паренхимы, около поджелудочной железы;
- наличии неравномерного расширения панкреатического протока;
- наличии множественных обызвествлений.
Врач-радиолог при проведении компьютерной диагностики сможет обнаружить у пациента основные признаки хронического поражения поджелудочной железы, которые проявляются в визуализации:
- кальцинатов паренхимы;
- кистозной трансформации;
- внутрипротокового калькулеза.
При диагностировании врач может изучить кисты поджелудочной, которые представлены полостными образованиями. Их плотность ниже, чем у кровеносных сосудов.
Результаты диагностирования посредством компьютерной томографии могут быть использованы в определении тяжести структурных изменений поджелудочной железы. Специалисты отдают должное КТ при диагностировании панкреатита, но в сочетании с другими методами (ультразвуковое исследование) данный метод диагностики может значительно повысить вероятность постановки правдивого диагноза. Если вам назначают одновременно несколько диагностических методов, нужно проходить все, а не выборочно. Это облегчит постановку диагноза, выбор эффективной терапии.
diagnostlab.ru
МРТ и КТ – высокоточные методы обследования поджелудочной
Внешний вид аппарата для проведения МРТ
Диагностика поджелудочной железы с использованием метода МРТ выполняется по назначению лечащего врача с целью уточнения диагноза, проверки наличия новообразований и мест с отличающейся плотностью структуры. Полученные показания, их расшифровка и описание позволяют судить о состоянии печени и поджелудочной железы (ПЖ), диагностировать появление патологических структур на ранних стадиях. Помимо этого, показания при МРТ отличаются от полученных при обследовании на КТ тем, что применение обследования на МРТ позволяет лучше увидеть структурные изменения и определить нарушения, связанные с образованием сосудов в исследуемом органе.
Обратите внимание! МРТ поджелудочной железы может выполняться в качестве самостоятельного метода или в роли дополнения для таких диагностических операций как холангиопанкреатография, МР-ангиография, рентгенологических и ультразвуковых процедур.
МРТ диагностика с контрастом позволяет визуализировать форму и размеры отдельных участков селезенки поджелудочной железы и печени, при этом предоставляя более точную информацию о наличии злокачественных образований, чем КТ при раке поджелудочной железы.
Помимо отсутствия негативного воздействия, характерного для КТ (компьютерной томографии), выполняемой для ПЖ, проведение МРТ за счет более высокой разрешительной способности позволяет определить опухоли с размерами меньше 2 мм. При выборе между проведением МРТ или КТ в значительной части случаев врачи предпочитают назначение первого метода, ввиду его большей информативности показаний и меньшего количества противопоказаний к проведению процедуры. Кроме этого, показания компьютерной томографии не способны зафиксировать симптомы и развитие хронической фазы панкреатита.
Суть и особенности процедуры
Основой методики, предусматривающей использование магниторезонансного томографа, является принцип неравномерного отражения магнитного поля от органов, имеющих различную плотность структуры, связанную с наличием патологии в органе.
Качество изображения, что показывает томограф и его показания при проведении МРТ, находится в прямой зависимости от мощности используемого оборудования.
Среди методов того, как делают МРТ, выделяют такие способы, как:
- Использование аппаратов открытого типа, с мощностью 0,5 Тл, имеет ограниченное применение, поскольку обеспечивает недостаточно точные показания. При использовании таких устройств, штатив с томографом устанавливаются непосредственно над областью проведения обследования.
- Применение оборудования закрытого типа, имеющего мощность свыше 1 Тл, покажет более достоверные результаты по мере увеличения силы магнитного поля. Томограф представляет собой стационарное устройство, снабженное выдвижным столом, на который укладывают пациента и обеспечивают его передвижение к магнитной камере. При использовании конструкций закрытого типа, пациент укладывается внутри магнитной сферы, имеющей округлую форму.
Четкость изображений, получаемая при проведении МРТ поджелудочной железы, что показывает экран томографа, зависит от того, используется или нет контрастирование, применяемое для усиления сигналов, получаемых от обследуемых органов. При первом выполнении процедуры пациенты задают вопрос, зачем используется контраст и по какому принципу проводится МРТ титром в этом случае.
Использование веществ со специальным составом усиливает сигнал при выполнении МРТ, делает хорошо различимыми контуры структур с размерами меньше 2 мм.
Получение структур с отчетливым размером контуров производится за счет внутривенного введения через катетер под давлением веществ на основе гадолиния. Вещества, в составе которых для создания контраста используются соединения на основе йода, назначаются для КТ обследования ПЖ и не применяются для МРТ.
Изображение на экране томографа при проведении МРТ органов брюшной полости
Проведение процедуры
Точность получаемых данных при изучении такой патологии как острый панкреатит на МРТ аппаратах превышает 95% при изучении центральной и задней части ПЖ. Выбор того, где лучше сделать обследование и МРТ диагностику поджелудочной железы, осуществляется пациентом на основании сравнения цен различных клиник и отзывов больных, проходивших эту процедуру.
Врачи делают МРТ для уточнения диагноза при неявных признаках заболевания, при наличии патологий, затрагивающих различные органы в области брюшины.
Важно! Кроме того, учитывая безопасность процедуры, МРТ выполняется с целью контроля эффективности процедур, служит для отслеживания состояния пациента после проведения оперативного вмешательства.
Одной из новейших методик в сфере изучения патологий панкреатической железы является МСКТ поджелудочной железы. Она основана на свойстве лучей рентгеновского диапазона одновременно выполнять функцию источника излучения и приемника обратных сигналов, передаваемых ими через органы тела.
Мультиспиральная компьютерная томография (МСКТ) выполняется по принципу проникновения лучей через ткани различных структур, в результате чего по изменению мощности источника, фиксируемой на выходе, можно визуализировать внутреннюю структуру изучаемого органа.
МСКТ является дополнительным методом исследования.
Показания к выполнению обследования
Магнитно резонансную томографию в значительной части случаев выполняют для получения описания нарушений в брюшной полости в целом, а не отдельно для панкреатической железы. Проведение обследования назначают при таких патологиях как:
- гнойные образования в области клетчатки, окружающей панкреатическую железу;
- хронический панкреатит с целью оценки изменения структуры органа;
- опухолевые процессы в области поджелудочной;
- подозрение на наличие камней в протоках органа;
- МРТ поджелудочной выполняется при наличии повышенного давления в области протоков, в результате чего исключается отток панкреатической жидкости;
- проверка диагноза при панкреатите калькулезного типа;
- наличие новообразованных структур, выявленных при проведении УЗИ или КТ;
- киста панкреатической железы;
- постоянные болевые ощущения, не имеющих видимых причин, локализуемые в эпигастральной области.
Подготовка к обследованию
Перед проведением изучения структуры органа и патологий в нем необходимая подготовка к выполнению МРТ в области поджелудочной включает ряд таких процедур как:
- Ограничение употребления продуктов, которые вызывают газообразование, которое в свою очередь искажает показания обследования. Ограничение диеты проводится за 3 суток до проведения анализа и состоит в отказе от употребления блюд из бобовых, капусты, приема в пищу сладких соков, хлеба и газированных напитков.
- Перед проведением МРТ печени и поджелудочной необходимо устранить с поверхности тела все изделия из металла, включая пирсинг и украшения.
- Обследование лучше всего проводить в утреннее время, в случае, когда анализы сдаются в более позднее время, промежуток между приемом пищи и проведением процедуры должен составлять не менее 5 ч.
Важно! В некоторых случаях при обнаружении застойных явлений в области верхних участков пищеварительного отдела практикуется постановка очистительной клизмы или выведение содержимого желудка через специальный зонд.
Важно знать
lechigastrit.ru
Компьютерная томография и МРТ поджелудочной железы
12-03-2014, 13:48 27 015
- Содержимое:
- Показания к проведению МРТ
- Компьютерная томография
томография поджелудочной железы Поджелудочная железа — очень важный орган человеческого организма, отвечающий за переваривание жиров, углеводов и белков, обмен веществ, снабжение крови инсулином. Она находится позади желудка и панкреатическими протоками связана непосредственно с двенадцатиперстной кишкой. Сквозь протоки в кишку поступают амилаза, липаза и протеаза – секреты, активно участвующие в процессе пищеварения.Она выполняет в организме две различные функции – пищеварительную и эндокринную, выделяя ферменты, способствующие разложению пищи на легкоусваиваемые организмом соединения, и инсулин. В своей работе железа активно связана с печенью, поэтому заболевания печени очень часто провоцируют перебои в работе поджелудочной. В наличии и обратная связь. Панкреатиты и опухоли железы отражаются на функционировании печени.Анатомическое строение органа довольно сложное. Она состоит из трех основных частей – тела, головы и хвоста. Наиболее распространенными болезнями являются:
- Опухоли злокачественного и доброкачественного характера;
- Образование камней в панкреатических протоках;
- Острая форма панкреатита;
- Хронический панкреатит.
Исследование проводится различными способами – КТ, МРТ, УЗИ, ангиография. Все они применяются довольно давно, и могут диагностировать практически все заболевания. Но по информативности и безвредности предпочтительнее МРТ поджелудочной железы.Заболевания железы очень трудно диагностировать. Они проявляются внешними симптомами очень поздно, когда болезнь уже прогрессирует и затрагивает другие системы. Для МРТ поджелудочной железы показания могут быть различными, но наиболее часто практикуется магнитная диагностика при:
- Болях в области желудка, опоясывающие боли;
- Частые нарушения пищеварения;
- Нарушения в работе кишечного тракта;
- Подозрения на наличие опухолевых образований;
- Контроль над состоянием после оперативного вмешательства и наблюдение за ходом лечения.
делается томография поджелудочной железы с введением контрастного вещества Проводится томография на обычных аппаратах с напряженностью магнитного поля выше 1,5 Тл. Длительность проведения процедуры – около 30 минут. Подготовка к МРТ поджелудочной железы не требует выполнения каких-либо особенных операций. Щадящая диета за сутки до проведения исследования, запрет на употребление алкоголя и острых приправ на то же время.При контрастной МРТ важно сделать анализ на отсутствие аллергических реакций. После проведения исследования пациент не нуждается в помощи медицинского характера и может отправляться домой.МРТ хвоста поджелудочной железы проводится при подозрениях на инсулиному – злокачественную опухоль, которая приводит в серьезным нарушениям эндокринного состояния организма, сопровождающимися избыточным выделением инсулина. В некоторых случаях этот процесс может вызвать гипогликемическую кому.Рак поджелудочной железы МРТ выявляет во всех формах и разновидностях. Это один из наиболее точных методов определения характера опухоли и точной ее локализации даже на самых ранних этапах ее развития. Цистаденокарцинома и аденокарцинома визуализируются очень хорошо, также видны направления их развития, которые позволяют разработать правильную стратегию лечения.Определяются с помощью МРТ и метастазы в эту область из других органов, чаще всего из желудка. Рак других органов поражает железу гораздо реже.снимок КТ поджелудочной Наряду с широким применением МРТ, компьютерная томография остается вполне информативным и востребованным методом исследования внутренних органов. Компьютерная томография поджелудочной железы применяется при тех же показаниях, что и МРТ и производится в случаях, когда по тем или иным причинам МРТ сделать затруднительно. Как правило, КТ делается при панкреатитах, подозрениях на опухоли и частых расстройствах пищеварения.Использование в компьютерной томографии рентгеновского излучения делает ее применение ограниченным, в смысле того, что КТ можно проводить через длительные промежутки времени, хотя доза облучения очень мала и практически никакого воздействия на здоровье пациента не оказывает. Если при остальных равных условиях стоит вопрос, что проводить — МРТ или КТ поджелудочной железы? То однозначный ответ дать затруднительно. По уровню информативности они примерно одинаковы, но МРТ позволяет более точно локализовать расположение опухоли.По стоимости МРТ выше и, пока, менее распространена. Сделать компьютерную томографию поджелудочной железы можно в любом диагностическом центре или специализированной клинике по направлению лечащего врача.Обнаруженные на УЗИ диффузные изменения поджелудочной железы МРТ и КТ могут одинаково выявить и локализовать. Если при проведении ультразвуковой диагностики можно выявить только общую картину и наличие или отсутствие локальных образований общего плана, то МРТ и КТ показывают более качественную трехмерную картину, на которой можно не только определить наличие образований или изменений, но и измерить их и определить характер.
КТ проводится только с принятием вовнутрь контрастирующих жидкостей. Поэтому наличие противопоказаний к этим растворам становятся противопоказаниями и для проведения КТ.
Наличие нарушений в работе органа может быть вызвано различными факторами, начиная от некачественной пищи и заканчивая стрессовыми состояниями организма. Поэтому проведение МРТ или КТ нельзя считать единственным методом определения заболевания. Гормональный и биохимический анализ, всесторонние исследования состояния организма могут выявить заболевания органов напрямую с поджелудочной железой не связанных, но в своей работе влияющих на состояние крови, лимфы и гормонов. Это неизбежно сказывается на работе такого сложного органа, как поджелудочная железа. Обследование УЗДГ нижних конечностей, ног
КТ и МРТ мягких тканей
Как часто можно делать МРТ головного мозга человека
КТ и МРТ головного мозга
Исследование на МРТ яичников и матки, придатков
КТ и МРТ органов малого таза