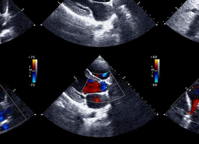
Эхокардиография с допплерографией сердца

Эхокардиография с допплерографией сердца[Эхокардиография с допплерографией сердца]

УЗИ сердца (ЭХО-КГ) + допплерография

Эхокардиография (ЭХО-КГ) – неинвазивный ультразвуковой метод диагностики, является ведущим методом диагностики патологий сердечно-сосудистой системы. Высокая информативность, безопасность для человека и относительно низкая цена УЗИ сердца (по сравнению с другими видами диагностики) – основные параметры, благодаря которым метод получил широкое распространение. В процессе исследования врач в режиме реального времени оценивает деятельность, размеры и строение всех структур сердца (сердечных мышц, камер (предсердия и желудочков), клапанного аппарата, стенок, магистральных сосудов).

С помощью ультразвукового исследования (УЗИ) сердца врач может подтвердить или исключить многие патологии сердца и крупных сосудов

  • приобретенные врожденные пороки сердца,
  • постинфарктный кардиосклероз,
  • мерцательную аритмию,
  • опухоли сердца,
  • внутриполостные тромбы,
  • гипертоническую болезнь,
  • ишемическую болезнь,
  • поражения клапанов и др.
  • Горюнова Татьяна Валентиновна врач ультразвуковой диагностики (УЗИ)

В нашем центре помимо стандартного ЭХО-КГ проводится эхокардиография с допплеровским анализом. Наше оборудование позволяет выполнять расширенную оценку работы сердца и магистральных сосудов с использованием следующих методик:

  • импульсно-волновая допплерография. Служит для оценки насосной функции сердца. Позволяет зафиксировать щелчки открытия и закрытия клапанов. Регистрирует скорость кровотока в клапанах и магистральных сосудах;
  • непрерывно-волновая допплерография. Позволяет измерять большие скорости кровотока. Также служит для расчета давления в крупных сосудах и полостях сердца в разные фазы сердечного цикла;
  • цветовая допплерография. Позволяет оценить не только скорость, но и направление движения крови по магистральным сосудам. Применяется для оценки патологического кровотока через клапаны сердца.

Преимущества эхоКГ с допплеровским анализом

Данный метод позволяет с высокой точностью определять скорость кровотока в любом участке сердца или магистрального сосуда. Еще одним преимуществом допплерографии является ее локальный характер: на результаты не влияет кровоток в соседних сегментах сердца.

Показания к проведению ЭХО-КГ

Заболевания сердечно-сосудистой системы часто развиваются без симптомов. Чтобы вовремя заметить и предотвратить развитие незначительной патологии в серьезное заболевание, рекомендуется проходить эхокардиографию один раз в год. При следующих симптомах исследование назначается обязательно:

  •     острая боль в области сердца и грудной клетки;
  •     ощущение нехватки воздуха и одышка;
  •     головокружения;
  •     потери сознания;
  •     отеки ног;
  •     часто возникающая синюшность кожи: ушных раковин, кистей и пальцев рук, вокруг губ;
  •     быстрая утомляемость;
  •     нарушения ритма сердца и обнаружение шумов при прослушивании;
  •     частые головные боли;
  •     гипертоническая болезнь;
  •     атеросклероз.

Процедура эхоКГ и УЗИ сосудов сердца (допплерография) проста и не требует специальной подготовки. Во время исследования пациент укладывается на кушетку на спину или на левый бок. Врач, с помощью специального датчика, сканирует сердце в различных позициях, чтобы получить изображения всех его отделов и окружающих сосудов.

После процедуры выдается заключение. В зависимости от того, что покажет УЗИ сердца, врач может назначить дополнительные исследования и анализы.

Эхокардиография с допплерографией

Для оценки турбулентности системы кровообращения, а также скорости тока крови потребуется эхокардиография с доплеровским анализом. На сегодняшний день метод считается наиболее востребованным исследованием в кардиологии, особенно для диагностирования сердечных патологий в детском возрасте.

Оглавление:

Какие существуют показания к проведению анализа? Какими преимуществами обладает исследование и как правильно к нему подготовиться?

Основная характеристика исследования

Эхокардиографию с доплеровским анализом считают наиболее эффективной методикой для определения расположения и работы различных сердечных структур в режиме реального времени.

Допплеровский принцип широко применяют в медицине для определения направленности кровотока в сосудах и структурах сердца

Основа метода заключается в вычислении соотношения скорости передвижения объекта по отношению к видоизмененной частоте отражаемого сигнала. При соприкосновении ультразвуковых волн с перемещающимися кровяными тельцами наблюдается преобразование частот, значимость которой является доплеровским сдвигом. Поскольку частота воспроизводства ультразвуковой волны постоянна, то изменение ее частоты указывает на направление и скорость тока крови. Как правило, он воссоздается эхо-прибором в виде слышимого сигнала, который доступен для восприятия человека.

Достоинства метода

Эхокг обладает высокой информативностью, поэтому её назначают мужчинам, женщинам в период беременности, и детям.

Анализ имеет множество преимуществ, среди которых:

  • неинвазивная техника проведения диагностики;
  • обработка большого количества информации в короткие сроки;
  • точное воспроизведение результатов.

Информативное исследование имеет доступную ценовую политику, поэтому в случае необходимости его сможет пройти каждый.

Задачи диагностики

Оценить функционирование сердца невозможно без проведения диагностики его анатомических структур и показателей кровотока в магистральных сосудах. Именно с этой целью современное ультразвуковое оборудование, предназначенное для выполнения эхо кг, оснащено приборами с допплером и необходимым программным обеспечением. Благодаря этому, специалисты получают возможность проводить одновременную визуализацию сердечных структур и допплерографию.

Благодаря высокой информативности метода, можно выявить новообразования в структурах сердца на ранней стадии

Методика позволяет диагностировать следующие параметры деятельности органа:

  • выявить патологические изменения в направлении тока крови;
  • визуализировать пролапс митрального клапана;
  • оценить параметры структурных элементов сердца;
  • определить локализацию тромбов и аневризму аорты;
  • диагностировать врожденные и приобретенные сердечные патологии.

Показания к проведению исследования

Заболевания сердечно-сосудистой системы в большинстве случаев могут развиваться без каких-либо признаков. Для своевременной диагностики сердечных недугов рекомендовано походить эхокардиографию с допплером последующим посещением кардиолога для оценки результатов один раз в год.

Эхокардиограмму следует проходить людям, страдающим артериальной гипертензией, которая сопровождается частыми головокружениями и обмороками

В обязательном порядке диагностику следует проходить пациентам, у которых присутствуют следующая симптоматика:

  • Посторонние шумы в сердце, сопровождаемые нарушениями ритма.
  • Болезненность в области грудной клетки или сердца.
  • Отечность нижних конечностей.
  • Увеличение размеров печени.
  • Острое или хроническое нарушение коронарного кровотока.
  • Усиление сердцебиения.
  • Одышка.
  • Цианоз носогубного участка.
  • Повышенная утомляемость, даже при незначительных усилиях.

Эхокардиографию назначают пройти ребенку, у которого в динамике наблюдается недостаточный набор массы тела.

Уздг необходимо пройти пациентам, которые перенесли оперативные вмешательства на область грудной клетки. Людям, страдающим от хронической головной боли также следует пройти процедуру. Поскольку характер головной боли может приобрести патологическое течение, когда часть тромба начинает мигрировать по сердечным отделам.

Используемые виды допплерографии

Современная ультразвуковая аппаратура позволяет осуществлять диагностику с допплерометрией в трех основных режимах:

  • Импульсно-волновой. Используется для диагностики потоков крови с низкой скоростью, перемещающихся в митральном клапане, левом и правом желудочке, а также легочной и печеночной артериях. Турбулентность потоков отражается графически в виде линии.
  • Постоянный волновой режим. Применяется для измерения скорости кровотока через клапан аорты у пациентов со стенозом аорты. Регистрация скорости потока происходит в виде кривой, заполненной сигналами.
  • Режим цветного картирования потока. Метод применяется для выявления клапанных и турбулентных потоков в области локализации закупорки. Полученные данные выводятся на дисплей в виде цветного изображения, которое является схемой распределения скорости кровотока.

Метод цветного картирования (ЦДК) – это очень эффективное исследование, позволяющие произвести оценку состояния не только сосудов, но и выявить локализацию тромбов, атеросклеротических бляшек, а также аневризму аорты. Интерпретация данных помогает определить специалисту характер новообразования и темп его развития.

Методика спектральной допплерографии объединяет в себе постоянный и импульсно-волновой режимы

На сегодняшний день наиболее широко применяемым исследованием при помощи допплера является тканевая методика. Данный метод оптимизирован для изучения не только направления кровотока, но и визуализации движений сердечных тканей. В ходе допплеровского анализа происходит окрашивание миокарда в различные цвета в соответствии со скоростью и направленностью кровяного потока. Технику применяют для выявления локализованных изменений в сократительной функции миокарда. Данные, получаемые в ходе анализа, регистрируются в виде графика, отображающего зависимость скорости от времени.

Алгоритм проведения процедуры

Эхокардиография с использованием допплера проводится как обычная ультразвуковая диагностика. Процедура не требует проведения специальных подготовительных мероприятий, за исключением отказа от пищи, алкоголя и курения за несколько часов до скрининга.

Процедура проведения эхокардиографии с допплерографией

Этапы проведения диагностики:

  1. Освободить область грудной клетки от одежды.
  2. Принять горизонтальное положение на левом боку, чтобы обеспечить максимальную визуализацию верхушки сердца.
  3. На область грудины наносить специальный гель, после чего подключают датчики.
  4. Датчики передают ультразвуковые волны по тканям организма пациента, затем они преобразовываются в электрический сигнал, обрабатываемый аппаратурой эхокардиограммы.
  5. Данные регистрируются на мониторе в виде четкого изображения.
  6. Интерпретация данных проводится после процедуры, однако в ходе исследования уже могут визуализироваться патологические изменения.

Оценка результатов

Данные, полученные в ходе процедуры, являются важным диагностическим критерием, поэтому их расшифровкой должен заниматься высококвалифицированный кардиолог. В первую очередь специалист проводит оценку сократительной способности миокарда, а затем определяет параметры, функциональное состояние левого и правого желудочков.

Параметры работы сердца и движения кровотока в норме

При оценке данных проведенного скрининга у ребенка необходимо учитывать площадь поверхности тела.

Эхокардиография с допплеровским анализом является высокоинформативной современной методикой для диагностирования различных заболеваний сердца. При помощи исследования определяется функциональная способность отдельных сердечных элементов, а также скорость и направленность кровотока. Все данные, полученные в ходе анализа, играют важную роль в постановке правильного диагноза, от них зависит дальнейшая тактика лечения пациента.

Источник: https://serdec.ru/diagnostika/ehokardiografiya-s-doplerovskim-analizom

Эхокардиография сердца — показания и противопоказания

Эхокардиография(ЭхоКГ) — это способ обследования сердца, он основан на ультразвуковом сканировании груди.

Благодаря этому методу проводят исследование разных заболеваний организма.

Он помогает дать оценку диаметра сердца и его подструктур, ширину миокарда желудочков, предсердий.

Процедура выявляет массу сердца, а также множество других параметров.

Эхокардиографии врачи и обычные люди иногда могут давать другое название — это УЗИ.

Поэтому при вопросе, чем отличается ЭХО сердца от УЗИ сердца, врачи говорят — ничем.

Это одна и та же процедура.

На эхокардиографию врач может направить если:

  • у клиента обнаружены шумы в районе сердца;
  • люди с аномалиями на ЭКГ;
  • человек замечает сбои в функционировании сердца;
  • повышение температуры тела, признаками появления ОРВИ;
  • во время диагностики была обнаружена деформация сердечной мышцы, а также увеличение массы органа.

Эхокардиография может применяться в следующих случаях:

  • Пациентам с очень высоким артериальным давлением.
  • Больным, у которых в родовом древе наблюдались пороки сердца.
  • Если есть признаки боли в области левой груди.
  • Если присутствует отдышка или наблюдается отечность конечностей.
  • У пациента присутствуют обмороки.
  • У пациента наблюдаются головокружения.
  • Обнаружены признаки опухолевого образования на сердце.
  • После перенесения инфаркта и других заболеваниях.

Самым безопасным и уникальным способом для выявления проблем и дефектов сердца служит ЭхоКГ. Его можно проводить людям разной возрастной категории (детям и взрослым), даже может назначаться беременным мамам. Назначается для определения аномалий плода и исправления ситуации в кратчайшие сроки, чтобы ребеночек остался целым и невредимым. Эхокардиография безопасна для малыша и его мамы.

Такая процедура необходима беременным при таких случаях:

  • Если у беременной наблюдались пороки сердца у кровных родственников.
  • Наблюдались случаи выкидышей.
  • Если у беременной наблюдается сахарный диабет.
  • Если во время беременности была перенесена краснуха.
  • Если в первом или втором триместре будущая мама употребляла антибиотики или другие препараты.

Эхокардиография сердца — преимущества и недостатки

ЭКГ — это электрокардиография, а ЭхоКГ- это эхокардиография сердца.

Какое же между ними различие, и есть ли оно вообще:

  • Эхограмма сердца работает благодаря специальным приборам — преобразователя (его врач кладет на грудь клиента в районе сердца). Аппарат считывает ультразвуковые волны, которые проходят сквозь стенки организма, и отображает их назад. Преобразователь получает необходимые импульсы, после чего они перерабатываются компьютером.
  • Электрокардиография работает иным способом: на грудную полость клиента закрепляются датчики. Они определяют электрическую активность сердца. Датчики подсоединены к специальной машине, которая после измерения показывает специальный график силы и характер электрических сигналов.

Благодаря эхокардиографии сердца врачи определяют степень его работы и работы всего организма в целом. С помощью его можно также выявить, насколько сердце ослаблено. Электрокардиография может только измерять уровень подачи сигнала, и есть ли активные электрические импульсы, которые посылают «двигатели» организма. Результаты всегда показываются в виде графика.

Результаты эхограммы сердца регистрируются на фотографиях. Благодаря электрокардиограмме можно определить дефекты ритма сердца, выявить аритмию, тахикардию и брадикардию. Ультразвуковое исследование поможет определить, насколько хорошо функционирует сердце, состояние его клапанов, есть ли сгустки крови в организме, деформацию сердца.

Также существуют определенные сходства эхокардиографии и электрокардиографии:

  • Оба метода диагностики помогут дать оценку диаметра камер сердца. В виде примера может служить выявление увеличения диаметра предсердия.
  • Оба способа помогут выявить патологию в расположении «двигателя» организма.
  • Отечность сердца, благодаря эхокардиографии сердца электрокардиографии также можно выявить воспаление тканей, которые окружают сердечную мышцу.

ЭКГ из двух вариантов самый доступный метод. Но, к сожалению, он не всегда может выявить и показать точную картину проблемы. А эхограмма сердца наоборот поможет выявить более ясную картину. Эхокардиография сердца может выявить точные структурные патологии, обеспечивает точное изображение.

Метод является более достоверным при выявлении состояния здоровья сердца. Одним из больших плюсов УЗИ сердечной мышцы является возможность врача следить за камерами сердца. Одним из значимых минусов можно считать то, что данный метод может применяться только в частных медицинский учреждениях, и он значительно дороже, чем ЭКГ.

Эхокардиография с допплеровским анализом и другие способы УЗИ

Эхокардиография с допплеровским анализом и другие способы диагностики выявляют большое количество проблем.

  • Сердечная недостаточность.
  • Болезнь Скольского-Буйо.
  • Разнородные сердечные опухоли.
  • Вегето-сосудистая дистония.
  • Воспаление сердечной мышцы.
  • Формы ишемической болезни.
  • Артериальная гипертензия.
  • Высокое кровяное давление.
  • Врожденные или приобретенные пороки сердца.
  • Закупорка сосудов.

Существует несколько способов проведения ЭХО.

Обследование сердца делает такими методами:

  1. Трансторакальная эхокардиография — самый общеизвестный метод, так как используют его уже многие годы. Данная методика нахождения сердечных проблем производится поверх грудной клетки с использованием специального датчика. Его прижимают к телу исследуемого в районе сердца. У больного во время сеанса расположение тела должно быть на боку либо на спине.
  2. Чреспищевая эхокардиография. Этот метод пользуется ультразвуковой проверкой сердца. Проводится данный метод с использованием специального датчика, через пищевод. Датчик устанавливают туда для наилучшего приближения к сердцу пациента, и это помогает разглядеть его отделы. При обычном УЗИ невозможно наблюдать отделы сердца.

Также есть разные режимы проверки сердца.

Подвижный М-режим. При ЭхоКГ в М-режиме, с помощью датчика подаются волны в одной оси, которую можно выбрать. В ходе исследования, отображается сердце, и данные показываются на экране монитора. Сердце можно наблюдать в виде сверху в реальном времени.

Если менять направления ультразвука, удастся проверить желудки, сосуд, который выходит из левого желудка и поставляет кровь наполненную кислородом для всех органов пациента, а также два верхних отдела сердца. Можно применять данное исследование функций сердца как для ребёнка, так и для человека в возрасте, потому что проведение процедуры абсолютно безопасно для здоровья.

Эхокардиография с допплеровским анализом. Метод допплер ЭхоКГ проводится для определения скорости, с которой движется кровь и турбулентности кровотока. Информационные данные, которые получаются во время проведения, несут сообщение о пороках сердца и наполнении левого желудка.

Расчёт скорости объекта и её изменения, а также разницы частот сигналов являются основой данного способа проверки. Частота меняется, когда эритроциты сталкиваются со звуком. Допплеровским сдвигом обозначают объём этой перемены. Данный сигнал может восприниматься ухом человека и его можно воспроизвести при помощи эхо-аппарата в виде звука, который мы сможем услышать.

В-метод. При помощи 2D эхокардиограммы лечащие врачи получают изображения в двух полях видимости. При проведении волны в форме ультразвука, частота которой 30 раз на 1 секунду, её ведут по дуге в 90 градусов, то есть поле сканера обычное по отношению четырехкамерного сердца и его положения. Менять направление датчика можно с помощью картинки, которая изображается на экране и с её помощью нужно проанализировать структуру сердца.

Стресс-эхокардиография. Применяется для изучения работы сердца пациента с применением физической нагрузки при проведении данного метода, по этим данным показаниям осуществляют и производят необходимую нагрузку дозами, которые определены заранее.

Используя фармакологические лекарства, вызывают возбуждённую сердечную работу. Тут же исследуют изменения, которые происходят с мышцами в сердце при тесте на нагрузку. При отсутствии уменьшения кровоснабжения, часто обозначают минимальный процент риска для сердечно — сосудистых осложнений.

Процедура может нести характер необъективной оценки использования, программы для эхокардиографии выводят изображения на экран записывающиеся при разных стадиях обследований. Такой анализ работы сердца при спокойствии и при стрессовой нагрузке даёт сравнить показания.

Данный метод наблюдений позволяет найти скрытые неполадки работы сердца, которые незаметны при состоянии покоя. Чаще всего процесс обследования занимает порядка 45 минут, для каждого клиента подбирают отдельные нагрузки, которые зависят от возраста и здоровья.

Для подготовки пациента к такому исследованию необходимо выполнить такие действия как:

  • Надеть свободную одежду, которая не будет сковывать движения.
  • Перестать проводить физические нагрузки и употребление пищи в больших объёмах за 3 часа до стресс-эхо.
  • После чего за 2 часа до исследования выпить стакан воды и устроить небольшой перекус.

Эхокардиография сердца абсолютно безопасная процедура. Проблемы могут появиться только в связи с особенностями анатомии больного, они возможно будут совмещены с неспособностью просачивания ультразвука с помощью чреспищеводной методики. Помехой может стать деструкция клетки груди, избыточный вес, объёмная грудь у женского пола или большой покров волос у мужчин.

В каких ситуациях не допускается проводить УЗИ сердца:

  • Если человек имеет заболевания желудка, такие как, язва желудка и гастрит.
  • Если у больного имеется опухоль какой-либо степени. Чреспищеводное УЗИ сердца в данных случаях не разрешается производить. При этом можно делать трансторакальную эхокардиографию.

Стоимость данного лечения в больницах частного типа варьируются от 2300 до 3000 рублей. Цена также будет зависеть от квалификации доктора, актуального на сегодняшний день оборудования, места, где находится здание клиники, которое оказывает эти услуги, а также от почётности клиники.

Далеко не каждая государственная поликлиника может предложить данный метод исследования сердца. В Москве вы можете пройти эхокардиографию, и это будет дороже, в сравнении с Воронежом. При сравнении цен на обследование УЗИ и ЭКГ, в случае с ЭКГ пациенту придётся отдать около 700 рублей. Зачастую электрокардиограмма в клиниках государственного типа проводится совершенно бесплатно.

Эхокардиограмма сердца — подготовка и проведение

Эхокардиограмма сердца проводится в амбулаторных условиях. Перед исследованием, соблюдая интервал в несколько часов, пациенту следует воздержаться от употребления какой либо еды и даже воды.

Кроме того, за сутки до исследования запрещается злоупотреблять кофеином и продуктами, его содержащими, а также прекратить приём препаратов, содержащих нитроглицерин. При наличии зубного протезирования, необходимо снять все протезы перед исследованием.

Чреспищеводное ЭхоКГ сердца проводится так:

  1. Пациент укладывается на медицинскую тахту, он занимает удобное положение. Затем вводится катетер, с помощью которого делают общую или местную анестезию. Глотку пациента промывают специальным анестетическим составом, чтобы не произошло раздражения.
  2. Далее подключается специальное оборудование, призванное отслеживать работу сердечной системы и дыхательной системы. При применении общего обезболивания организм человека также обеспечивают кислородом, искусственно подаваемым специальным устройством.
  3. Обследуемого человека разворачивают на левую сторону, в полость рта помещается специальный загубник, а затем вводят эндоскоп. При применении общего обезболивания эндоскоп вводят в глотку человека через пищевод и продвигают дальше. Специальный датчик на конце прибора проецирует всё увиденное на экран компьютера. Сердечная мышца исследуется специалистом под различными углами.

Трансторакальная эхокардиограмма сердца каких-либо запланированных действий по подготовке не предусматривает.

В кабинете пациенту необходимо снять одежду с верхней части тела, укладывается на тахту. Затем на левую часть груди пациента наносится гель, чтобы волны УЗИ корректнее передавались на монитор. Затем врач устанавливает датчики и отмечает показанные данные.

После исследования все данные анализируются, и составляется письменное заключение, которое отдаётся пациенту. С полученными результатами ЭхоКГ сердца больному необходимо обратиться к кардиологу, для разъяснения поставленного диагноза и назначения корректного лечения.

Нормы эхокардиографии сердца для расшифровки результатов

Нормы эхокардиографии сердца сравнивают с результатами исследования, и кардиолог разъясняет постановку точного диагноза.

Чтобы лишний раз не накручивать себя ниже можно ознакомиться с параметрами, которые считаются нормой при проведении ЭхоКГ:

  • Полость ПЖ в финале фазы расслабления — от 0,9 до 2,6 (среднее значение — 1,7).
  • Полость ЛЖ в финале расслабления — от 3,5 до 5,7 (среднее значение — 4,7).
  • Поперечник устья аорты — от 2,0 до 3,7 (среднее значение 2,7).
  • Плоскость левого предсердия — от 1,9 до 4 (среднее значение — 2,9).

Выше представлены основные параметры, на которые обращают пристальное внимание врачи при постановке диагноза.

В нормальном состоянии толщина стенки ПЖ должна составлять 5 мм, а его размеры в состоянии покоя — 0,75-1,1 см. Расшифровка показателей исследования сердечных клапанов намного легче. Отклонения от указанных параметров могут говорить о наличии стеноза или сердечной недостаточности.

Только профессиональный кардиолог способен правильно расшифровать и разъяснить результаты исследования пациенту, опираясь на нормы эхокардиографии сердца. Самостоятельное прочтение и расшифровка результатов хоть и имеет место быть, но однозначно не даст полной картины диагноза человеку и уж тем более нельзя самостоятельно назначать необходимое лечение.

Со средними значениями можно лишь ознакомиться для успокоения собственных нервов перед приёмом у специалиста. Только квалифицированный доктор, с определённым стажем работы может грамотно прочесть результаты исследования и ответить на все возникшие вопросы, а также назначить корректное лечение возникшего заболевания.

Но не стоит заранее волноваться, если средние значения не совпадают. Существует вероятность, что оборудование, на котором проводится исследование, фиксирует показатели напротив других пунктов. Это лишь указывает на то, что оборудование довольно устарело.

Современные аппараты дают точнейшие показатели, которые гарантируют пациенту получение необходимого лечения в соответствии с диагнозом и различные рекомендации.

Ещё раз хочется отметить, что самостоятельно расшифрованные результаты могут привести к неправильной постановке диагноза. Правильный результат может дать лишь консультация опытного кардиолога, который также назначит подходящее лечение.

Помните, что самолечение опасно для вашего здоровья! Обязательно проконсультируйтесь с лечащим врачом! Информация на сайте представлена исключительно в популярно-ознакомительных целях и не претендует на справочную и медицинскую точность, не является руководством к действию.

Источник: https://med88.ru/kardiologija/diagnostika/jehokardiografija/

uziprosto.ru

Энциклопедия УЗИ и МРТ

Эхокардиография, проводимая с допплеровским анализом: что это такое ?

Проведение эхокардиографии и допплеровского анализа: что это такое, сущность исследования

Сердце – самый важный орган в человеческом организме. Он отвечает за продвижение крови по сосудам. Нарушение работы сердца – это одна из актуальных медицинских проблем, привлекающих специалистов к их решению, выбору способов выявления различных заболеваний. Широко применяемая диагностическая методика – эхокардиография (Эхо КГ) с допплеровским анализом. Что это за исследование? Как оно проводится и что с помощью него может быть диагностировано у больных людей?

Что это за исследование?

Эхокардиография – эффективный диагностический метод, позволяющий выявлять различные патологии сердца. Его активное использование в медицине обусловлено отсутствием отрицательного влияния на организм человека, высоким уровнем современных приборов, быстротой выполнения обследования и получения результатов.

Назначается Эхо КГ специалистами при наличии определенных показаний. К ним относятся:

  • отклонения от нормы, выявленные при проведении рентгенографии грудной клетки;
  • нарушения ритма;
  • шум в сердце;
  • болевые ощущения в груди, возникающие по непонятным причинам;
  • наличие у пациента ишемической болезни сердца, приобретенных и врожденных пороков, артериальной гипертензии, инфаркта миокарда.

Выделяют несколько вариантов выполнения Эхо КГ. Один из них – эхокардиография, сочетаемая с допплерографией. В основе этого исследования лежит применение ультразвука. Проводится Эхо КГ при положении пациента на левом боку с незначительно приподнятой верхней половиной туловища. Врач для выполнения исследования располагается за спиной больного или лицом к нему.

Стоит отметить, что в Эхо КГ используются различные варианты допплера:

  1. Импульсноволновой. Если на клавиатуре прибора нажать кнопку PW, то на экране в месте расположения курсора появится контрольный объем. Специалисты перемещают его в нужную точку и изучают ток крови в этой области.
  2. Энергетический. Этот вариант подходит для регистрации низкоскоростного кровотока. В кардиологии энергетический допплер пока не нашел широкого применения.
  3. Непрерывноволновой. При данном методе по ходу луча регистрируются все потоки. Применяется названный вариант допплера для регистрации высокоскоростного кровотока.
  4. Тканевой. Данный вариант допплера, используемый в Эхо КГ, позволяет оценивать скорость движения миокарда и иных сердечных структур.
  5. Цветовой. Преимущество названного метода заключается в быстрой оценке кровотока в магистральных сосудах, желудочках и предсердиях сердца. Это возможно благодаря тому, что каждая точка изображения внутри исследуемой области окрашивается в конкретный оттенок в зависимости от скорости и направления движения красных кровяных телец.
  6. Цветовой М-режим. Такое исследование – сочетание обычного М-режима, позволяющего получить графическое изображение движения створок клапанов, стенок сердца во времени, и режима цветового кодирования кровотока.

Зачем делать эхокардиографию с допплерографией?

Оценить работу главного органа человеческого организма невозможно без проведения исследования кровотока в сосудах и сердечных камерах. Именно поэтому современные ультразвуковые системы, предназначенные для выполнения Эхо КГ, оснащены допплеровскими приборами и необходимыми компьютерными программами. Благодаря этому специалисты одновременно проводят как ультразвуковое сканирование сердца, так и допплерографию.

Названный диагностический метод дает возможность врачам:

  • выявлять патологическое направление кровотока;
  • производить расчет эффективной площади трехстворчатого отверстия и митрального клапана;
  • определять при нормальном направлении тока крови его турбулентность;
  • оценивать величины давления в камерах сердца, диастолическую податливость левого желудочка, количество крови, выбрасываемое им за одно сокращение, и прочие показатели кардиогемодинамики.

Эхокардиография, сочетаемая с допплерографией, позволяет специалистам получать необходимую информацию и выявлять у пациентов пороки сердца, различные заболевания.

Что врачи диагностируют по результатам исследования?

Эхокардиография применяется в медицине с середины прошлого века. Появление допплеровских технологий значительно расширило возможности исследования сердца с помощью ультразвука. Сегодня эхокардиография, сочетаемая с допплерографией, активно применяется специалистами и позволяет им диагностировать у пациентов нижеуказанные патологии.

Ишемическая болезнь сердца (ИБС)

Этот термин специалисты используют для обозначения патологии, характеризующейся нарушением кровоснабжения миокарда, которое произошло из-за поражения коронарных артерий. Больные жалуются на слабость, нарушение сердечного ритма, одышку, появление отеков нижних конечностей, загрудинную боль, связанную со стрессами или физическими нагрузками. В некоторых случаях симптомы вовсе не проявляются.

Диагностирование заболевания может быть осуществлено с помощью Эхо КГ, дополненной допплерографией.

В ходе исследования оцениваются:

  • систолическая функция желудочков;
  • локальная сократимость миокарда;
  • диастолическая функция желудочков;
  • гемодинамика малого круга кровообращения.

Этот диагностический метод также позволяет выявлять осложнения, возникающие из-за ИБС.

Эхокардиография с допплерографией позволяет зарегистрировать у людей:

  • нарушение локальной (или региональной, сегментарной) сократимости стенки левого желудочка;
  • снижение функции этого отдела сердца (уменьшение скорости в выносящем тракте левого желудочка, уменьшение минутного объема, изменение соотношения E/A – скоростей позднего и раннего наполнения);
  • сопутствующую митральную регургитацию, возникающую при дилатации левого желудочка или дисфункции папиллярных мышц.

Аортальный стеноз

Клапанный стеноз – термин, объединяющий патологии клапанов сердца. При этих заболеваниях показано проведение Эхо КГ. Алгоритм исследования включает в себя:

  • определение размеров и оценку работы правого и левого желудочков;
  • изучение клапанного аппарата;
  • оценку гемодинамики.

Исследование в режиме непрерывного (постоянного) допплера у пациента с тяжелым аортальным стенозом.

По результатам Эхо КГ, проведенной с допплерографией, может быть поставлен диагноз «стеноз устья аорты». Это патологическое сужение клапана, невозможность полного раскрытия его створок. Стеноз устья аорты бывает врожденным и приобретенным. Причинами развития заболевания могут выступать воспаления, вызвавшие сращение створок (например, ревматическая лихорадка, поражение ткани клапанного аппарата сердца и эндотелия патогенными микроорганизмами), или дополнительные образования, возникшие на створках и влияющие на их подвижность (кальцинаты, зажившие вегетации).

Эхокардиография, проводимая с допплерографией, при наличии у больного человека приобретенного стеноза устья аорты позволяет обнаружить конкретные признаки:

  • створки становятся более плотными и толстыми;
  • аортальное отверстие уменьшается (нормальное значение – от 3 до 4 кв. см);
  • створки в момент систолы раскрываются меньше.

Митральная недостаточность

Митральная недостаточность (транспищеводная ЭхоКГ)

Это довольно часто диагностируемое нарушение функционирования митрального отверстия. При патологии кровь при каждом сокращении левого желудочка обратно поступает через этот клапан. Причины возникновения заболевания заключаются:

  • в изменении подвижности и строения створок;
  • дилатации митрального кольца;
  • изменении подклапанных структур.

Основной допплер-эхографический признак митральной недостаточности – это систолический турбулентный поток в левом предсердии. Косвенными показателями заболевания выступают:

  • увеличение размеров левых камер сердца в момент систолы и диастолы;
  • раннее закрытие аортального клапана;
  • увеличение экскурсии передней створки двустворчатого клапана между левыми камерами сердца;
  • увеличение амплитуды движения корня аорты.

Таким образом, эхокардиография с допплеровским анализом – информативный метод диагностики. Он позволяет врачам увидеть работу и структуру сердца, проанализировать движение кровотока, его турбулентность, скорость. Вся информация, получаемая в процессе проведения исследования, крайне важна для постановки правильных диагнозов.

Источник: https://uziprosto.ru/ultrazvuk/serdca/exokardiografiya-s-dopplerovskim-analizom-chto-eto-takoe-svedeniya.html

Эхокардиография с допплерографией в диагностике СН

Стресс-ЭхоКГ

Традиционно любой вид энергичных физических нагрузок не приветствовался при ХСН из-за опасения, что дополнительная гемодинамическая нагрузка приведет к дальнейшему ухудшению сократительной функции миокарда. Однако данное мнение было опровергнуто отсутствием корреляции между функцией ЛЖ и работоспосо.

Высокая эффективность ЛС, служащих основой терапии больных с ХСН, подтверждена результатами крупных рандомизированных исследований. Постоянно растет и роль хирургических методов лечения таких больных. Большое значение имеет организация амбулаторного наблюдения. Хотя меры, связанные с образом жизни, .

Основные цели лечения больных миокардитом, на достижение которых должна быть направлена терапия: предотвращение формирования необратимой дилатации камер сердца; предотвращение развития ХСН; предупреждение возникновения угрожающих жизни больного состояний (тяжёлые нарушения ритма и проводимости).

Видео о санатории Zdraviliski Dvor, Римские Термы, Словения

Диагностирует и назначает лечение только врач при очной консультации.

Научно-медицинские новости о лечении и профилактике болезней взрослых и детей.

Зарубежные клиники, госпитали и курорты — обследование и реабилитация за границей.

При использовании материалов сайта — активная ссылка обязательна.

Источник: https://medbe.ru/materials/serdechnaya-nedostatochnost/ekhokardiografiya-s-dopplerografiey-v-diagnostike-sn/

ЭхоКГ допплер-диагностика сердца и сосудов: УЗИ аорты сердца с ЦДК

Распространенность заболеваний органов сердечно-сосудистой системы сегодня занимает лидирующие позиции среди недугов всего населения планеты. Уровень смертности от патологий сердца также один из самых высоких в мире. Однако медицинская кардиологическая диагностика на современном этапе развития располагает большим набором методик и способов своевременного выявления структурных изменений органов и отклонений в работе системы.

ЭхоКГ сердечно-сосудистой системы

Аппаратное исследование сердечной аорты назначается после тщательного осмотра пациента узким специалистом. Предварительное обследование у кардиолога заключается в проведении опроса для составления анамнеза заболевания, изучении субъективных жалоб и симптомов. Также измеряется частота пульса, артериальное давление и прослушиваются сердечные тоны и шумы.

Метод ультразвукового мониторинга сердечной системы

В основе эхокардиографического метода обследования сосудов и сердца лежит принцип ультразвукового излучения. Нынешний уровень развития УЗИ сердца дает возможность:

  • проводить тщательное исследование сосудистой системы, определять такие параметры, как диаметр и ход коронарных сосудов, толщина и плотность их стенок;
  • изучать спектральные характеристики кровотока на любом участке аорты, определять показатели скорости тока крови;
  • исследовать проходимость кровеносных сосудов.

С помощью допплер ЭхоКГ проводится исследование работы сердечной мышцы в общем и оценивается работа каждого его участка по отдельности. Основным помощником при определении степени постинфарктных повреждений миокарда является методика эхокардиографии. Поводом к проведению УЗИ сердца и сосудов может стать наличие таких патологий:

  • обнаружение порока сердца;
  • стенокардия;
  • инфаркт миокарда;
  • шумы;
  • отек, тромбоз, варикозное расширение вен нижних конечностей;
  • одышка не выясненного происхождения.

Допплерографическое исследование

Методика допплерографии аналогична эхокардиографическому исследованию, в основе лежит принцип ультразвукового излучения. Отличие УЗИ диагностики с доплером заключается в дополнительном изменении волновой частотности излучения во время отражения ультразвуковой волны от кровяных телец. Методика, используемая при УЗИ коронарных сосудов, дает возможность получения точных данных о быстроте и направлении движения эритроцитов и о структурных изменениях в исследуемых органах.

ЭхоКГ с доплером позволяет выявить вероятность развития таких сосудистых патологий, как разрывы и тромбозы. Эхокардиография с допплерографией успешно применяется для диагностики варикозного расширения вен и различных заболеваний, причинами которых стало патологическое артериальное сужение.

Современное развитие диагностических технологий позволяет визуализировать кровоток аорты в виде разноцветной картограммы. Во время цветного допплеровского картирования (ЦДК) цветовая гамма используется для детального отображения интенсивности и направленности кровотока.

Режим ЦДК позволяет наиболее полно оценить состояние сосудистой системы

Дуплексное сканирование

Метод дуплексного сканирования комбинирует в себе две методики УЗИ: исследование с доплером и В-режим. Проведение УЗИ методом В-режима заключается в применении специального датчика, состоящего из большого количества кристаллов. Определенной частоты ультразвуковые волны, излучаемые кристаллами, проникают сквозь все структуры к исследуемому органу под всевозможными ракурсами и с разным временным интервалом и моментально сканируют его. Результатом УЗИ становится визуализация коронарных сосудов и аорты на экране монитора в виде двухмерного изображения. Исследование движущихся кровяных телец проводят с доплером. Совместно с В-режимом позволяет изучить анатомическое строение аорты и имеющиеся нарушения морфологического характера, а также собрать сведения о патологическом влиянии заболевания на показатели кровяного потока. Дуплексное УЗИ коронарных сосудов и аорты выявляет наличие атеросклеротических бляшек, стенозов, окклюзий и других патологий.

Триплексное сканирование

В основе триплексной диагностики лежит проведение допплер ЭхоКГ. Используемый здесь метод делает триплексное сканирование наиболее информативным. Диагностика таким методом позволяет визуализировать изучаемый орган одновременно в трех режимах: именно здесь В-режим и допплер дополняются цветовым допплеровским картированием (ЦДК). Обследование коронарных сосудов триплексным сканированием дает возможность детально изучить показатели кровяного потока на отдельных участках.

С помощью триплексного УЗИ сердечно-сосудистой системы с высокой достоверностью можно определить анатомическое строение и проходимость аорты, показатели и характеристики кровотока в цветовом режиме.

Исследование сосудов сердца в триплексном режиме (ЦДК)

Правильная подготовка к ЭхоКГ

В качестве подготовки к эхокардиграфиии сердечной мышцы рекомендуют произвести последний прием пищи за три часа до процедуры. Подготовка не требует соблюдения специальных диет и проведения очистительных клизм. Однако некоторые очевидные отклонения работы сердца нуждаются в предварительном медикаментозном корректировании. Так, повышенное артериальное давление и учащенный пульс необходимо по возможности скорректировать с помощью рекомендаций кардиолога.

Подготовка к внутрисосудистому УЗИ состоит из предварительного шестичасового голодания. Также в течение четырех часов перед проведением процедуры нельзя употреблять жидкость. Более тщательной подготовки не требуется, поскольку данное сканирование осуществляется совместно с процедурой коронарографии либо при кардиологическом операционном вмешательстве.

Техника проведения и расшифровка результатов

Методика диагностики заключается в следующем: пациенту необходимо раздеться по пояс и принять горизонтальное положение, то есть лечь на медицинскую кушетку. Затем грудная клетка смазывается небольшим количеством специального средства, улучшающего контакт с датчиком. Сбор информации начинают, располагая ультразвуковой датчик в конкретных точках грудной клетки. Для получения более точных данных меняют угол наклона датчика.

Проведение внутрисосудистой диагностики существенно отличается. Коронарная артерия исследуется изнутри датчиком, вводимым в нее с помощью рентгеновского контроля. Исследование позволяет оценивать тромбы, атеросклеротические бляшки или установленные импланты с близкого расстояния. Расшифровка полученных сведений производится параллельно с проведением процедуры.

Количественные показатели скорости кровотока при исследовании с допплерографий представлены в таблице:

Трактовка результатов осуществляется путем сравнения полученных данных с показателями нормы для артерий и аорты. Определяется:

  • величина сечения артериального просвета (LA);
  • артериальная площадь (VA);
  • процентная степень стеноза (% РА);
  • максимальный, средний и минимальный диаметр просвета аорты;
  • максимальная и минимальная толщина бляшки;
  • какой процент диаметра перекрыт бляшкой (% VD);
  • толщина стенки аорты;
  • эхогенность сосудистых стенок;
  • наибольшая и наименьшая скорость потока крови.

Другие виды диагностики сердечно-сосудистой системы

Электрокардиографическое исследование (ЭКГ)

Постановка правильного диагноза или его подтверждение не может ограничиваться только медицинским осмотром. Для детального исследования состояния коронарных сосудов существует множество методик, основной из которых является электрокардиография. Быстрота и простота метода, который не требует специальной подготовки, сделали его обязательным диагностическим исследованием, наряду с измерением артериального давления и частоты пульса.

ЭКГ — простой, доступный и информативный способ исследования сердечно-сосудистой системы

На основании результатов исследования делают заключение:

  • о размерах сердца, его ритмах работы и расположении сердечной мышцы относительно других органов, находящихся в грудной клетке;
  • о наличии и стадиях инфарктных состояний;
  • о существовании возможных рубцов и участков плохого кровообращения.

Электрокардиография сердца позволяет обнаружить и подтвердить инфарктное состояние, воспалительные заболевания сердечных оболочек, ишемическую болезнь, размерные отклонения отделов сердца.

Для описания других патологических сердечных состояний применяются более информативные способы исследования. Так, ЭКГ позволяет фиксировать аномальные процессы на ранней стадии при отсутствии симптомов, возникновение рецидивов перенесенного заболевания, а также не требует предварительной подготовки. Однако метод имеет ряд недостатков: применяемые провода (электроды) делают ЭКГ – картирование непрактичным и затянутым по времени.

Холтеровское мониторирование заключается в регистрации показателей работы сердца в течение 24 часов. Эффективно применяется для определения возможных патологических изменений, которые не были выявлены при электрокардиографии.

Рентгенография сердечно-сосудистой системы

Данная диагностическая методика позволяет определять месторасположение сердца в грудной клетке относительно других органов. Это ценная информация, поскольку изменение положения органа указывает на развитие патологических состояний, таких как плевриты, опухоли средостения, спайки.

Велоэргометрическое исследование основывается на измерении изменений в работе сердечно-сосудистой системы при выполнении определенных физических упражнений. Тестирование проводится под обязательным контролем специалиста. Во время выполнения велоэргометрии давление, работа и состояние сердечной мышцы фиксируются электрокардиографическим способом. Для проведения процедуры используется имитация езды на велосипеде при помощи велотренажера.

Одним из востребованных видов рентгенологического исследования является ангиокардиография. Методика проведения заключается в использовании особенного медицинского препарата, который контрастирует в центральных сосудах.

Внимание! Вся информация на сайте предоставляется исключительно в справочных целях и носит ознакомительный характер. По всем вопросам диагностики и лечения заболеваний необходимо обратиться к врачу за очной консультацией.

Источник: https://uzimetod.ru/grudina/ehokardiografiya-s-tsdk.html

Эхокардиография с допплеровским анализом: принципы метода

Существует много видов эхокардиографии, и один из наиболее востребованный — эхокардиография с допплеровским анализом, широко применяемая в детской кардиологической практике. Допплер-ЭхоКГ — это неинвазивный метод анализа параметров, характеризующих кровоток сквозь важные магистрали, идущие от и к сердцу, а также движение крови внутри этого органа. Принцип метода заключается в следующем: ультразвуковая волна атакует исследуемый движущийся объект, после чего, в зависимости от его скорости, плотности и прочих свойств, меняет свою частоту, что анализирует приемник. Этот эффект получил название Допплер в честь своего изобретателя.

Изначально были слабые приборы, способные излучать ультразвук одной волны, поэтому результат можно было узнать для какого-то крупного элемента сердца и рядомлежащих сосудов (например, скорость кровотока в аорте в целом).

Затем допплер эхокардиография стала более совершенной — и теперь можно свободно узнать характеристики кровотока в отдельных небольших частях сердечно-сосудистой системы (например, в районе клапанов). Это было достигнуто за счет использования импульсных волн, действующих более избирательно на объект.

Виды допплеровской Эхо КГ

Как уже говорилось, эхокардиография с допплеровским анализом — частный случай классической ЭхоКГ, позволяющий выявить проблемы кровообращения в области сердца. Так, ее делают, чтобы выявить клапанный стеноз, наличие турбулентных потоков крови, опасные тромбы и т. д. Но это не один метод, он имеет несколько разновидностей, а именно:

  • импульсная допплер-ЭхоКГ (применяется, как правило, для анализа сосудов на наличие турбулентных потоков; не может регистрировать движение с большой скоростью);
  • непрерывноволновая допплер-ЭхоКГ (работает с высокими потоковыми скоростями, но не способна выявлять изменения на малых участках, а выдает унифицированные результаты на все протяженности луча);
  • тканевая допплер-ЭхоКГ;
  • цветная допплер-ЭхоКГ (используется для выявления клапанной регургитации; метод основан на различном окрашивании потоков, движущихся к датчику и от него).

Процедура проведения анализа

Проводится эхокардиография с допплеровским анализом как и обычное УЗИ сердца. Больной не испытывает никакого дискомфорта, ему не нужно ничего глотать, получать инъекции и т. д. Отличие только в более сложном технически датчике, который передает ультразвуковые волны, отражающиеся от крови в исследуемом объекте. Затем анализатор улавливает отраженное эхо, выводит изображение сосудов и высчитывает, какая скорость кровотока и его характеристики.

Графики допплер-ЭхоКГ

Врачам не нужно пытаться разобраться в цифрах, полученных с датчика, ведь все нормы эхокардиографии отражены в таблицах и графиках. Они иллюстрируют, как должна двигаться кровь в сосудах в норме, какова должна быть их скорость. Сопоставляя полученные данные с шаблонами, можно оценивать наличие заболеваний сердца сейчас и прогнозировать их появление в будущем.

Важность допплерографии

Допплер-ЭхоКГ — не тот метод, который можно применять время от времени. Это очень важный элемент современной диагностики. Благодаря ему врачи получают ценную информацию о работе сердца, не вмешиваясь в его жизнедеятельность. В результате можно получить следующую информацию:

  • наличие закупорок и расширений в крупных сосудах и сердце;
  • оценка общего состояния сердечно-сосудистой системы;
  • измерение размеров всех полостей (сосудов, камер сердца) и сопоставление их с нормой;
  • оценка насосных способностей сердца, свидетельствующих о работоспособности органа.

Цветное допплеровское сканирование

Одним из наиболее важных и современных видов ЭхоКГ является цветная допплеровская эхокардиография. Изобретена она было недавно вследствие усовершенствования импульсной ЭхоКГ. Принцип ее состоит в получение двухмерного изображения сердца и измерения скоростей кровотока в нем. Затем участки, где кровь движется к датчику, окрашиваются в одни цвет, а где от него — в другой (как правило, красный и синий).

Цветное сканирование выявляет скорость кровотока, его направление, наличие турбулентности в потоке и искажения допплеровского спектра. Благодаря этому методу можно быстро получить результаты относительно пространственной ориентации потоков. А это позволяет оценивать регургитационную способность клапанов.

Но на цветное допплеровское исследование могут оказывать влияние многие факторы, хоть точность этого метода и запредельно высока. Например, следующие:

  • разница давлений в кровотоке;
  • частота сердечных сокращений;
  • объем крови;
  • кинетическая энергия кровотока;
  • уровень пред- и постнагрузки;
  • опыт работы оператора;
  • технические возможности самого прибора и т. д.

Но в целом метод цветного допплеровского сканирования ультразвуком — один из наиболее точных и результативных методов в кардиологии.

Сфера применения метода

Допплеровская эхокардиография возможна за счет наличия в крови эритроцитов. Именно от них отражается ультразвуковой сигнал, изменяя свою частоту. Затем измеряется скорость потока, его направление. Но что можно выявить с помощью этого метода и какова сфера его применения? Приведем несколько примеров.

В первую очередь, с помощью допплер-ЭхоКГ можно измерить направление и скорость кровотока не только в отдельных камерах сердца, но и в более малых их отделения. Что это позволяет определить? Например, если кровь движется из левого желудочка в сторону левого предсердия, это свидетельствует об одном: у больного ярко выраженная недостаточность митрального клапана. А если порция крови забрасывается из аорты обратно в левый желудочек, имеет место быть недостаточность клапана аорты.

Кроме того, если составить двухмерную эхокардиограмму, на основании ее произвести расчеты площади отверстия, пропускающего кровоток, а также высчитать время выброса крови, то легко рассчитывается количество (или объем) крови, которая протекает в определенный отрезок времени через определенную часть сердечно-сосудистой системы. Так, зная скорость потока крови в восходящей аорте, площадь поперечного сечения сосуда, а также время систолического изгнания, можно узнать, каков объем систолического выброса левого желудочка. Погрешности при расчетах будут минимальными. Как правило, они связаны с невозможностью определить точный диаметр отверстия, через который проходит кровь.

Таким же способом можно рассчитать и объем крови, который проходит за определенное время через выбранный клапан сердца, внутрисердечный шунт или другие участки. Благодаря этому можно не только зафиксировать недостаточность исследуемого клапана, но и физически описать, каков объем обратно забрасываемой крови. Этим же способом измеряют и другую величину — количество внутрисердечного шунтирования крови. Особенно это важно при наличии дефектов межпредсердной или межжелудочковой перегородки.

Допплер-эхокардиография и оценка недостаточности клапанов

Допплер-эхокардиография выявляет не только проблемы с кровотоком. Она еще позволяет оценить, насколько сильно стенозированы клапаны. В этом случае используется известное свойство, описанное законом Бернулли, согласно которому, зная изменение скорости движения потока крови, можно определить градиент давления между соседними камерами сердца. Чем более стенозирован клапан, тем больше будет градиент давления. То есть, если между левым предсердием и желудочком высокий градиент давления, митральный клапан очень сильно стенозирован.

Итак, допплер-эхокардиография сейчас — это безальтернативный метод оценки и выявления недостаточности клапанов (в частности, аортального, митрального клапана), их стенозирования (в том числе, количественного описания степени стенозирования).

Позволяет она выявлять и пороки сердца, оценивать степень внутрисердечного шунтирования крови. Конечно, можно возразить, ведь стеноз митрального, трискупидального и прочих клапанов можно определить с помощью двухмерной эхокардиографии. Но только с помощью допплеровского метода исследования можно количественно оценить степень этого стенозирования.

Выводы

Допплер-эхокардиография развивается стремительно, создаются новые датчики, регистрирующие минимальные движения и патологии. Наличие цветной допплерографии — только малое подтверждение тому. Сейчас ни одно исследование сердечной деятельности не обходится без этого малоинвазивного способа обследования. Более того, даже если проведено классическое эхокардиографическое исследование в М-режиме, любой опытный кардиолог назначит дополнительно допплер-исследование. Ведь характеристика движения кровотока, его скорости, направления — важный элемент в диагностике любого сердечного заболевания, будь то ишемическая болезнь сердца либо порок.

Допплер-эхокардиография — абсолютно безопасный метод. Его рекомендуют применять даже для оценки работы сердечно-сосудистой системы новорожденных и плода внутри утробы матери. Это практически единственный метод, с помощью которого можно выявить любые сердечные отклонения на ранних этапах их развития, получив при этом максимально полную картину.

ПОХОЖИЕ ПУБЛИКАЦИИ:

Получите скидку на УЗИ. Телефон в Москве: Телефон в Санкт-Петербурге:

Навигация

Источник: https://uzipro.ru/uzi-grudnoj-kletki/ehokardiografiya-s-dopplerovskim-analizom.html

Эхокардиография с допплерографией сердца — Все про гипертонию

Многие годы безуспешно боретесь с ГИПЕРТОНИЕЙ?

Глава Института: «Вы будете поражены, насколько просто можно вылечить гипертонию принимая каждый день…

Читать далее »

Без использования дополнительных способов диагностики невозможно поставить точный диагноз и назначить правильное лечение.

Когда человек идет на прием к кардиологу, то ему рекомендуется пройти кардиограмму и Эхо КГ. Что такое эхокардиография сердца, и каковы возможности у этого вида исследования?

НАШИ ЧИТАТЕЛИ РЕКОМЕНДУЮТ!

Для лечения гипертонии наши читатели успешно используют ReCardio. Видя, такую популярность этого средства мы решили предложить его и вашему вниманию. Подробнее здесь…

Что можно определить?

Если выражаться более простым языком, то можно сказать, что Эхо КГ — это метод, основанный на использовании ультразвука. Он позволяет очень точно определить:

  • функциональные возможности органа;
  • состояние клапанного аппарата;
  • размеры внутренних полостей желудочков и предсердий;
  • измерить давление внутри легочной артерии;
  • определить сократительную способность сердечной мышцы;
  • особенности тока крови внутри сердца.

УЗИ сердца не позволяет определить состояние коронарных артерий, а также состояние проводящей системы сердца. Для этого используются коронарография и кардиограмма.

Виды исследования

Наиболее простым способом является трансторакальная эхокардиография, он проводится прямо через поверхность грудной клетки, и не требует особой подготовки.

  1. Больной ложится на левый бок, поскольку в таком положении сердце наиболее близко располагается к передней поверхности груди.
  2. После этого специальным датчиком выпускается ультразвуковой луч, который имеет прямое направление, и его можно пропускать в межреберный промежуток.
  3. Сначала осматривается аорта, а затем основные отделы сердца и оценивается его сократимость. Для правильного проведения исследования и интерпретации получаемой картины необходим квалифицированный специалист.
  4. Если у пациента отмечается ожирение или была травма грудной клетки, то более удобным способом является чреспищеводная эхокардиография.

Эта методика отличается высокой точностью, так как электрод подводится через пищевод, и оказывается в непосредственной близости от камер сердца. Проведение ее позволяет боле детально оценивать многие параметры, которые не доступны при стандартном виде исследования.

Противопоказанием является заболевания пищевода и склонность к кровотечениям. Не рекомендуется проведение чрезпищеводной Эхо КГ при эхофагите или облучении грудной клетки.

Существует также эхокардиография с допплеровским анализом, которая дополняет сведения к стандартной методике. При этом способе используется способность ультразвука менять свою частотность в зависимости от скорости движения крови.

В результате получается цветная картинка, наглядно демонстрирующая картину прохождения кровотока внутри полости сердца, и его направление, то есть оценить гемодинамику.

Кому необходима эхокардиография?

Для любого вида исследования существуют определенные показания. Не является в этом смысле исключением и УЗИ сердца. Его рекомендуют делать в следующих ситуациях:

  1. При плановом обследовании у новорожденных детей для исключения кардиальных аномалий или пороков.
  2. У подростков для подтверждения или исключения функциональных отклонений.
  3. У беременных женщин при наличии заболеваний сердца.
  4. Наличие шумов при аускультативном исследовании.
  5. Признаки недостаточности.
  6. При подозрении на наличие аортальной аневризмы.
  7. Для диагностики некоторых заболеваний (эндокардит, пороки, кардиомиопатии, ИБС, миокардит, перикардит, нарушения ритма, гипертония, ХСН).
  8. Оценка эффективности назначенного лечения при вышеуказанных патологиях.
  9. Оценка результатов хирургического вмешательства при пороках и других операций на сердце.

Качество проведения зависит от анатомических особенностей больного, умения и опыта специалиста, а также от класса используемой аппаратуры. Поэтому лучше всего проходить исследования в специализированных центрах.

Нормальные показатели

Расшифровка нормы и патологии, после проведенной эхокардиографии возможна только при наличии медицинского образования и специальной подготовки.

При отсутствии отклонений у взрослых результаты обычно бывают следующими:

  • корень аорты составляет от 18 до 35 миллиметров;
  • правый желудочек (ПЖ) в норме — от 3 до 5 миллиметров;
  • КДО (объем крови в расслабленном левом желудочке в момент диастолы) — до 123 миллилитров;
  • КДР (конечный диастолический размер) составляет до 57 миллиметров;
  • КСО (размер левого желудочка в период выброса крови в аорту) 10−16 миллиметров;
  • толщина межжелудочковой перегородки — до 11 миллиметров;
  • диаметр легочного ствола в норме составляет до 25 миллиметров;
  • фракция выброса — 55−60%.

Полученные данные могут варьироваться в зависимости от вида аппаратуры, которая применялась при эхокардиографии.

И они не могут использоваться в качестве самостоятельного аргумента в постановке диагноза. Для этого необходимо проходить только комплексное обследование и посетить кардиолога.

Проведение эхокардиографии сердца и ее расшифровка

Изучить строение и оценить работу сердца можно с помощью ультразвуковой волны. Такую процедуру называют эхокардиография. При выявлении сердечных заболеваний этот метод имеет большое значение.

Показания к проведению

Иногда врач не в силах точно поставить диагноз на основе осмотра. Выслушивание сердца может указывать на наличие какого-либо заболевания. Чтобы подтвердить или опровергнуть подозрения, назначают диагностическое обследование с помощью ультразвука. Терапевт или кардиолог могут направить на ЭхоКГ в следующих ситуациях:

  • обнаружение шумов;
  • изменения миокарда на электрокардиографии;
  • повышенная температура по непонятным причинам;
  • гипертония;
  • одышка, отекшие конечности;
  • частые головокружения;
  • стенокардия;
  • послеинфарктное состояние;
  • подозрение на онкозаболевание;
  • наследственные болезни сердца;
  • обмороки;
  • боли за грудиной;
  • увеличение размера сердца и изменения расположения сосудов.

Процедура безболезненна и не причинит вреда детям и беременным женщинам. С ее помощью можно обнаружить сердечные заболевания у вынашиваемого плода. Проводить данное обследование беременной женщине необходимо, если она:

  • страдает сахарным диабетом,
  • принимала антибиотики или препараты против эпилептических припадков (в 1 или 2 триместре),
  • имеет наследственную предрасположенность к болезням сердца,
  • перенесла острую вирусную инфекцию.

Также показанием к проведению УЗИ сердца является случай, когда предыдущая беременность закончилась выкидышем. Обычно его делают на 18–22 неделе вынашивания.

Для выявления врожденных заболеваний сердца назначается плановое обследование младенцев. Данная процедура необходима профессиональным спортсменам для анализа изменений, которые возникают в работе главного органа кроветворения. Благодаря этому методу врач может обнаружить такие нарушения, как гипотония, тромбоз, опухоль, инфаркт миокарда, ишемическая болезнь сердца (ИБС), ревматизм, сердечная недостаточность и другие.

Виды эхокардиографии

Существуют такие методы обследования сердца с помощью ультразвука:

  1. Одномерный. На экране можно увидеть график, который отображает структуры органа.
  2. Двухмерный. Изображение показывает строение сердца в серых и белых цветах. Мышечные сокращения камер служат причиной постоянно меняющейся картинки.
  3. Допплер-эхокардиография. С помощью отражения ультразвуковой волны можно выявить пороки сердца, скорость кровотока.

Различают и другие способы обследования.

Через пищевод

В этом случае эхокардиография сердца осуществляется из пищевода. Специалист максимально приближается датчиком к органу. Он может рассмотреть его камеры, которые не видны при стандартном ультразвуковом обследовании. Процедуру назначают при подозрении на дефект перегородки между камерами, инфекционные заболеваниях сердца, а также после инсульта. Нельзя применять обследование органа через пищевод в случае опухолей, кровотечения, нестабильности позвонков шейного отдела спины. Процедуру проводят исключительно в специализированных медицинских клиниках.

Трансторакальная методика

Этот способ обследования используется уже давно и довольно распространен. Обнаружение сердечных заболеваний осуществляется с помощью датчика, который прижимают к грудной клетке пациента.

Стресс-ЭхоКГ

Манипуляция заключается в создании дополнительной нагрузки на сердечную мышцу путем использования беговой дорожки или велотренажера. При этом ориентируются на частоту пульса и показатели артериального давления. Указанный способ диагностики используют для выявления ИБС, оценки эффективности проведенной терапии и риска развития негативных последствий после хирургического вмешательства. Противопоказаниями к процедуре являются почечная, печеночная или сердечная недостаточность, острый инфаркт.

Подготовка к процедуре

Для прохождения стандартного обследования сердца особой подготовки не нужно. Людям с повышенным артериальным давлением (АД) и тахиаритмией требуется консультация кардиолога. Возможно, необходимо снизить пульс или давление, чтобы правильно интерпретировать полученные результаты.

Не советуют переедать перед исследованием. Желательно взять с собой воду, чистую ткань и салфетки. Пациенту рекомендуется ограничить факторы, которые могут повысить частоту сердечных сокращений и нагрузку на орган. К ним относятся:

  • чрезмерные физические усилия;
  • употребление кофе, энергетических напитков;
  • прием снотворного или успокоительного;
  • стрессы, эмоциональное перенапряжение.

Для проведения чреспищеводной эхокардиографии полезны следующие рекомендации:

  1. За 5 часов до процедуры нельзя есть, запрещено пить за 4 часа.
  2. За день до исследования не следует употреблять энергетики, кофе или крепкий чай, лучше избегать приема шоколада.
  3. Не нужно принимать лекарства, содержащие нитроглицерин.
  4. У обследуемого не должно быть зубных протезов, зондов в желудке.

Обычно процедуру назначает врач кардиолог, но если человек решил пройти ее самостоятельно, без направления доктора, ему необходимо обратиться в частный медицинский центр. Желательно взять с собой результаты предыдущих обследований, ЭКГ и другие необходимые документы.

Проведение эхокардиографии и расшифровка результатов

Во время процедуры человек лежит на спине или боку. На левую сторону грудины специалист наносит гель, проводит датчиком и отмечает данные, исходя из полученного изображения. Средняя продолжительность манипуляций составляет от семи до тридцати минут. Проводить исследования можно любое количество раз при необходимости.

Расшифровывает результат лечащий врач кардиолог. Он оценивает сократимость миокарда, размеры сердечных полостей, а также выявляет опухоли, тромбы, рубцы и аневризмы. Врачом анализируется состояние клапанов органа, описывается околосердечная сумка.

При эхокардиографии сердца нормы у взрослых и детей могут отличаться. Так, у мужчин и женщин толщина стенки левого желудочка в систоле составляет от 10 до 16 мм, а у новорожденных эта величина варьируется от 4 до 5 мм. Фракция выброса у взрослого человека находится в пределах 55–60%. Аортальный клапан должен открываться не менее, чем на 1,5 см, а нормальным показателем количества жидкости в сердечной сумке считается объем до 30 мл.

При стресс-ЭхоКГ допустимыми являются следующие состояния:

  • стенки левой камеры ритмично двигаются при нагрузке,
  • фракция выброса сердца повысилась,
  • равномерное движение стенок в состоянии покоя,
  • снизился конечно-систолический объем левого отдела.

О наличии патологии говорят снижение фракции выброса, увеличение в габаритах правой камеры, слабая подвижность стенок. При расшифровке эхокардиографии сердца нужно учитывать, что нормативные показатели могут различаться в зависимости от возраста пациента.

Что влияет на результаты?

Факторами, которые влияют на достоверность полученных данных, являются:

  1. Качество оборудования. Современная и многофункциональная техника позволяет зафиксировать более полные и точные сведения о состоянии сердца обследуемого человека.
  2. Квалификация и опыт специалиста кардиолога. Необходимы технические навыки и умение проводить анализ полученных данных, правильно осматривать пораженные структуры органа.

Затруднительно обследовать сердце с помощью ультразвука людям, у которых есть физиологические нарушения в работе дыхательных органов, воспаления кожи, травмы и раны в области груди, психические отклонения. Крик или шевеления ребенка во время эхокардиографии не оказывают влияния на результат.

Иногда анатомические особенности пациента могут стать препятствием для проведения обследования. К ним относятся:

  • деформация грудной клетки,
  • обильный волосяной покров у мужчин,
  • ожирение,
  • большой размер груди у женщин.

Кардиолог должен поставить диагноз на основе данных электрокардиографии и эхокардиографии, других анализов, а также опираясь на симптомы болезни, возраст, состояние здоровья, половую принадлежность, образ жизни пациента.

Эхокардиография помогает выявить самые сложные заболевания, когда другие методы оказываются неэффективными. Поэтому не стоит пренебрегать данной процедурой. Если у человека имеются жалобы на боли в груди или он страдает сердечными заболеваниями, без обследования ультразвуком не обойтись.

Ишемическая болезнь сердца с гипертонией

  • 1 Где связь с гипертонией?
  • 2 Общие причины и группа риска
  • 3 Общие симптомы гипертонии и ишемической болезни сердца
  • 4 Особенности лечения
    • 4.1 Лечение ИБС и гипертонии
  • 5 Профилактика болезней

Чаще всего гипертония и ишемическое расстройство сердца идут рука об руку. Эти болезни схожи по симптоматике и протеканию, но в тоже время одна из них является предвестницей другой. Каковы же симптомы ишемии и гипертонии? Что у них общего, а что различного? Ишемическая болезнь имеет связь с повышенным давлением и это стало часто встречаться в лечебном опыте.

Где связь с гипертонией?

Прямая связь существует между ИБС и гипертонией. Обычно ишемии предшествует появление гипертонической болезни, чаще всего оба недуга появляются у людей, возраст которых старше 50 лет. Гипертония возникает в связи со стрессовыми ситуациями и постоянными нервными потрясениями, которые запускают необратимые реакции организма и выделение гормонов, которые влияют на сердечно-сосудистую систему. Гипертонический криз — это резкое ухудшение состояния гипертоника.

НАШИ ЧИТАТЕЛИ РЕКОМЕНДУЮТ!

на

По сути, ишемическое расстройство сердца является осложнением артериальной гипертензии. Люди, которые генетически предрасположены к данным болезням, и мужчины возрастом от 55 лет и выше — это основная группа риска. Эти риски никак не устранить, поэтому таким людям нужно часто посещать врачей, чтобы вовремя обнаружить и эффективно излечить недуги на ранних стадиях. ИБС — основная причина большинства смертей от сердечных недугов. Статистика гласит, что в Европе ишемия и инсульт мозга — это 90% всех сердечных болезней, а, значит, они встречаются чаще всего.

Вернуться к оглавлению

Общие причины и группа риска

Вредные привычки, плохое питание, fast food. Это сопровождает всех работающих людей практически ежедневно. Поэтому многие люди попадают в группы риска ишемии и гипертонии. Но, зная причины болезней, можно понять, как их избежать. Общими причинами появления ишемической болезни сердца и повышенного давления являются:

  • частые переживания и стрессы, которые запускают механизм начала гипертонии;
  • излишний вес, частые переедания;
  • употребление слишком большого количества соленой и острой пищи;
  • большое количество жирного мяса в рационе (например, свинина);
  • курение и алкоголь чрезмерно;
  • наследственность (кто-то из близких родственников страдает ИБС или гипертонической болезнью);
  • сидячий, малоподвижный образ жизни.

Из этих причин можно вывести несколько основных групп риска, то есть группы людей, которые более всего подвержены возможному появлению двух этих болезней. Это:

  • пожилые люди (старше 55−60 лет);
  • лица, которые имеют избыточный вес и ожирение;
  • люди, которые могут унаследовать данные болезни;
  • персоны, которые имеют сидячую профессию и ведут малоподвижную жизнь.

Зная причины болезней, можно их избежать для этого необходимо обратиться к врачу и пройти некоторые процедуры.

Чтобы выявить эти заболевания, необходимо обратиться к врачу и пройти некоторые процедуры: сделать электрокардиограмму, прослушивание грудной клетки на выявление хрипов и шумов, облучение сердца ультразвуком (эхокардиография), сдать анализы на выявление специфических белков в крови, проверить концентрацию жиров в сосудах, наличие тромбов, проверка физическими упражнениями. Возможно, данные процедуры придется пройти не один раз, а несколько, чтобы точно подтвердить диагноз.

Общие симптомы гипертонии и ишемической болезни сердца

Терапия этих болезней зависит от симптомов, которые проявляются у человека. У ишемии и гипертонии большинство симптомов являются одинаковыми. Это так, потому что гипертоническая болезнь — это, по сути, начало ишемической болезни. Рассмотрим общие проявления этих недугов. Общими проявлениями для гипертонии и ишемии являются:

  • боли в области сердца и грудины;
  • давящие головные боли и покраснение лица;
  • сбитый сердечный ритм (аритмия);
  • «грудная жаба» (стенокардия);
  • одышка;
  • частые головокружения;
  • проблемы с циркуляцией крови в организме;
  • прединфарктное состояние.

Особенности лечения

Исходя из симптомов, заметно, что симптомы острой гипертензии и ИБС фактически идентичны. Значит, излечение двух болезней может быть проведено одинаковыми препаратами. Обычно это препараты, понижающие давление к пределам нормы, препараты, налаживающие кровоток и сердечный ритм, иногда назначают специализированные витамины для миокарда.

Лечение ИБС и гипертонии

Хирургическое вмешательство — это один из немедикаментозных способов терапии. Для излечения ишемических и гипертонических явлений используются:

  • бета адреналиновые блокаторы;
  • мочегонные средства (диуретики);
  • АПФ ингибиторные препараты;
  • антиагреганты;
  • противоаритмические лекарства.

Вначале болезнь легко вылечивается при помощи антидепрессантов и седативных лекарств.

Все вместе данные препараты не принимаются. Их назначает врач в зависимости от вышеупомянутых симптомов и индивидуальной переносимости медикаментов. Диуретики нельзя принимать людям с проблемами почек и почечной недостаточностью. Антиагреганты не стоит принимать при очень высоком давлении. Примеры препаратов, которые принимают при лечении гипертонической болезни и ИБС:

  • «Валсартан»;
  • «Микардис»;
  • «Кальцигард»;
  • «Амлодипин»;
  • «Бисопролол»;
  • «Каптоприл»;
  • «Корвалмент»;
  • Ловастанин.

Существуют и более нестандартные методы для лечения гипертензии и ишемии. Например, волновая терапия (лечение ударной волной невысокой силы), лечение пиявками (гирудотерапия), квантовая терапия, употребление специализированных антибиотиков, различных травяных настоек (народная медицина).

Профилактика болезней

Первым делом профилактические меры помогают тем, кто не болеет и не хочет в будущем болеть этими болезнями. Обязательно нужно соблюдать режим дня, заниматься умеренной физической нагрузкой (ежедневно), выполнять кардиоупражения, придерживаться диетического питания (низкая жирность и соленость продуктов питания, исключить копчености и остроты), употреблять меньше жирного мяса, снимать стресс, разгрузить свое сознание, пить антидепрессанты (в меру), бросить пить и курить, всегда следить за своим давлением (измерять его).

Людям, которые уже страдают гипертоническим недугом, необходимо начинать наискорейшее излечение и не откладывать визит к кардиологу в долгий ящик. Вначале болезнь легко вылечивается при помощи антидепрессантов, седативных лекарств и избегания стрессовых ситуаций. Состояние покоя и тишины — фактически залог успеха в профилактике и лечении гипертонии и предотвращении ишемии.

Комментарий

Псевдоним


Смотрите также