Что такое мрт легких фото

Что такое мрт легких фото[Что такое мрт легких фото]

Магнитно-резонансная томграфия легких и бронхов — описание диагностики с адресами клиник

МРТ легких и бронхов становится альтернативным методом диагностики заболеваний дыхательной системы. Изучение строения легких с помощью МРТ основано на получении ответного сигнала от протонов тканей и жидкостей человеческого тела, так называемом, явлении ядерно-магнитного резонанса.

Точный и широкодоступный в перспективе этот метод диагностики необходимо выбрать, когда строго необходимо избегать применения ионизирующего излучения, в частности, у детей, беременных женщин, а также при заболеваниях, требующих проведения повторных процедур (например, нейтропения), что способствовало бы значительному снижению совокупной радиационной дозы.

Что показывает

МРТ имеет преимущество перед КТ в диагностике легких в следующих случаях:

  • Опухоли (в области средостения и при распространении на грудную клетку)
  • Дифференциальная диагностика ателектаза и опухоли
  • Дифференциальная диагностика опухолей средостения
  • Оценка функции дыхания
  • Диагностика нарушений легочного кровообращения (эмболия, гипоксическая легочная вазоконстрикция)
  • Муковисцидоз (с исследованием сосудистого компонента)

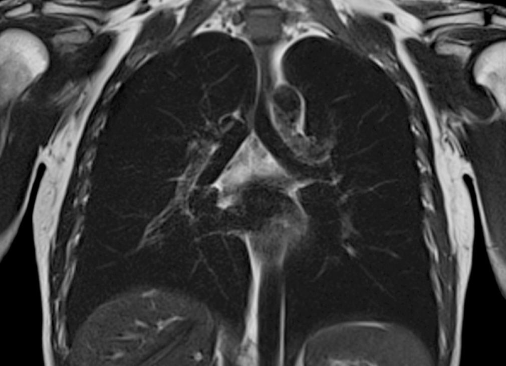
МРТ снимок больного раком легкого

МРТ также эффективно, как и КТ в диагностике, при диагнозах:

  • Пневмония
  • Ателектазы
  • Пневмофиброз (без исследования сосудистого компонента)
  • Туберкулез
  • Легочные узлы (более 3 мм)
  • Саркоидоз
  • Острая и хроническая легочная недостаточность
  • Аномалии сосудов легких
  • Аневризма легочной артерии
  • Секвестрация легкого
  • Артериовенозные мальформации (синдром Рандю-Вебера-Ослера)
  • Определение стадии рака легких
  • Васкулит (болезнь Вегенера)
  • Плевральный выпот неясного происхождения
  • Мезотелиома

Снимки МРТ и КТ с нарушениями в легких

В следующих случаях, лучше диагностировать заболевание с помощью КТ, МРТ  менее эффективно:

  • Легочные узлы (менее 3 мм)
  • Интерстициальная болезнь легких
  • Эмфизема/ХОБЛ

МРТ бронхов очень эффективно для диагностики бронхиального утолщения стенок и дилатации центральных бронхов, но ограничения в разрешении аппарата исследования не позволяют четко видеть мелкие сосуды дыхательных путей, такие как третьего или четвертого поколения.

Основным видом диагностирования бронхоэктазов у ​​взрослых, пациентов с кистозным фиброзом и молодых пациентов является КТ, но при повторных обследования МРТ, возможно, даст более полную информацию о заболевании.

Хотя КТ имеет лучшее пространственное разрешение и показывает морфологию более подробно, чем МРТ, но МРТ бронхов лучше использовать для оценки функциональных изменений гемодинамики и перфузии, а также для оценки вентиляции легких и их функционирования.

Подготовка и противопоказания

МРТ легких не требует особой подготовки. Общие требования и противопоказания вы можете найти в описании МРТ грудной клетки.

МРТ-снимки легких в сосудистом режиме

Стоимость

МРТ при заболеваниях легких лечащий врач назначает в том случае, если предыдущие исследования не смогли дать полноценные данные для постановки точного диагноза. Исследование довольно дорогостоящее. Цена МРТ легких и бронхов варьируется от 3500 до 8000 рублей. Она зависит от того, проводится ли МРТ с контрастированием или без, области обследования: легкие, бронхи, — а также зависит от мощности аппарата, клиники и региона проживания.

Автор: Попов Павел Александрович, Кандидат медицинских наук

МРТ лёгких: альтернативные и инновационные методики

МРТ лёгких — методика определения состояния органов дыхания на базе регистрации радиоволн, производимых с помощью колебательных движений атомов водорода под действием магнитных волн.

К магнитно-резонансному обследованию чаще прибегают после проведения рентгена в паре проекций в случаях, когда полученной информации оказывается недостаточно для выявления патологии.

КТ, МРТ и рентгенография лёгких: отличительные черты

В таблице ниже представлены характеристики рассматриваемых диагностических методик, позволяющие сравнить процедуры по принципу действия, области применения и прочим позициям:

КТ Рентген

МетодикаХарактеристики
Рентген — базируется на принципе воздействия рентгеновских лучей на исследуемую область — область применения — выявление костных повреждений, диагностика кишечника, лёгких, почек — результат — наслоение разных структур диагностируемой зоны — продолжительность — несколько секунд — небольшая доза облучения (до 15 раз ниже, в сравнении с КТ)

— требуется минимум затрат

КТ — принцип работы аналогичен описанному выше — применяется для диагностики костно-суставной системы, органов дыхания, надпочечников — в результате получаются объёмные снимки, которые визуализируют структуру элемента

— процедура не проводится будущим мамам и кормящим женщинам

МРТ — базируется на сильном воздействии магнитного поля — не несёт лучевой нагрузки (проводится беременным во 2, 3 триместре и детям) — эффективна при диагностике опухолей, системы кровообращения, позвоночника, головного мозга

— проводится сканирование организма в трёх проекциях — в результате получается 3D-снимок

Показания

Выбор в пользу той или иной диагностической процедуры остаётся за специалистом. В качестве ключевых критериев анализа целесообразности проведения МРТ, КТ или рентгена выступают показания к диагностированию.

Когда нужно делать МРТ, и что продемонстрирует снимок

МРТ бронхов и лёгких проводится в следующих клинических случаях:

  • дифференциация онкологической патологии средостения, ателектаза;
  • оценка состояния функции дыхания;
  • сбой в кровообращении органов дыхания;
  • хроническая форма плеврита;
  • подозрения на онкологию, метастазы;
  • увеличение лимфатических узлов в груди;
  • послеоперационный или терапевтический контроль;
  • подозрения на развитие туберкулёза;
  • подготовительный этап операции;
  • воспаления, например, при пневмонии.

Магнитно-резонансная томография помогает также визуализировать утолщение стенок бронхов, дилатацию центральных органов.

МРТ-диагностика лёгких и бронхов помогает рассмотреть на снимке структурные изменения клеток, состоящих из воды.

Когда отдают предпочтение КТ

Компьютерная диагностика оказывается эффективной в случае выявления следующих недугов:

  • лёгочных узлов;
  • эмфиземы;
  • интерстициальной болезни лёгких.

Для КТ характерно лучшее пространственное разрешение, процедура демонстрирует морфологические изменения более подробно, чем магнитная томография.

Магнитно-резонансный аппарат имеет ограниченное разрешение, по этой причине при необходимости оценки состояния мелких сосудов больному показано прохождение КТ.

Показания к рентгену

Рентгенография или МРТ — нетрадиционное соотношение альтернатив. Обычно выбор делается между рентгеном и КТ органов дыхания. Рентгенографию проводят в качестве первичной диагностической процедуры в целях демонстрации общей клинической картины при подозрении на следующие патологии:

  • пневмонию;
  • плеврит;
  • опухоли;
  • бронхит;
  • туберкулёз.

Если больной жалуется на отдышку, боль в груди, кашель, его сразу отправят на рентген.

Листы противопоказаний

Выбор в пользу той или иной процедуры часто делается на базе имеющихся у пациента противопоказаний. Имеет смысл сравнить перечни ограничений к проведению КТ и МРТ.

В числе общих противопоказаний к проведению рассматриваемых видов диагностик:

  • период вынашивания ребёнка, а именно 1 триместр (МРТ без контрастирования можно проводить беременным женщинам во 2, 3 триместре);
  • боязнь замкнутого пространства (при возможности применяется альтернативное оборудование);
  • детский возраст (возможно применение успокаивающих препаратов для обеспечения неподвижности пациента);
  • психические патологии;
  • индивидуальные ограничения.

В таблице ниже представлены дифференцированные ограничения к проведению магнитно-резонансной томографии, КТ и рентген лёгких:

МетодикаПротивопоказания
Рентген — детям до 15 лет — беременным на протяжении всего срока
КТ — приём лекарств, несовместимых с воздействием рентгеновских лучей — вес больного более 150 кг

— нарушения функции кроветворения

МРТ — металлические имплантанты, кардиостимулятор, брекеты, слуховые аппараты и прочие внедрённые элементы из металла — приступы постоянного кашля — масса тела пациента более 120 кг

— татуировки на теле больного, имеющие в составе металлические красители

Достоинства и недостатки методик

В заключительной таблице представлены «обе стороны медали» рассматриваемых типов диагностики органов дыхания. Анализ преимуществ и недостатков каждой из позиций поможет облегчить выбор специалиста и пациента:

МетодикаПлюсыМинусы
Рентгенография — доступность диагностики — экономичность

— относительная безопасность

— вред лучевой нагрузки для беременных и детей — небольшая разрешающая способность (невозможность диагностирования патологии на ранних стадиях развития)

— плохая визуализация сосудов, связочного аппарата, нервов и других мягких тканей

Компьютерная томография — результат — 3D-снимок — безболезненность — быстрота сканирования и анализа результатов — высокая точность данных — нет противопоказаний при наличии металлических, электронных элементов в теле человека

— эффективность при диагностике костной ткани, кровоизлияний, полых органов

— нет информации о функциональной способности органов — вред для здоровья — нет возможности частого применения

— противопоказания к проведению будущим мамам и детям

Магнитно-резонансная томография — высокая точность результата — неинвазивность — эффективность при исследовании головного и спинного мозга, опухолевых процессов — получение детализированного трёхмерного изображения — возможность применения в случае с детьми и беременными

— безопасность

— низкая информативность при диагностике полых структур — продолжительность исследования — противопоказания к проведению при наличии металлических и электронных элементов

— дороговизна обследования

Рентген в силу своей невысокой информативности выступает в качестве первичной диагностической меры. При недостаточности информации после проведения рентгенографии назначают КТ или МРТ.

Поскольку лёгкие — это полые органы, при диагностике патологий органов дыхания специалисты становятся на сторону компьютерной томографии. В случае наличия противопоказаний или неоднократности проведения исследования назначается МРТ (с контрастом или без).

Инновационные методики

Обогнать КТ по информативности диагностики лёгких способна инновационная методика — томосинтез. Речь идёт о развитии линейной томографии. В процессе диагностики применяется цифровой детектор изображения, который способен делать целую серию снимков в период 11 секунд по мере передвижения источника излучения. Результат — большое количество срезов трёхмерной анатомической структуры за один сеанс.

В случае с томосинтезом пациент получает аналогичную в сравнении с рентгеном дозу излучения — 40-70 мкЗВ. Современное КТ-оборудование даёт дозу в 4000 мкЗВ — это приемлемо в случае проведения однократной диагностики, но слишком много при необходимости повторного сеанса.

Томосинтез скоро в России…

Информативность томосинтеза в отношении КТ составляет 95-97%. Даже не учитывая привилегию в более низкой стоимости исследования, томосинтез является привилегированным вариантом диагностики лёгких при необходимости периодического контроля состояния системы органов, например, при лечении пациентов, страдающих туберкулёзом.

МРТ, КТ и рентген — диагностические методики, которые используются при оценке состояния органов дыхания, однако, различны по информативности, базовому принципу и ряду прочих характеристик. Рентген — первичная мера диагностики. КТ и магнитная томография помогут разъяснить клиническую картину при недостатке информации рентгенографии, при этом МРТ в отношении диагностирования патологий лёгких, бронхов, трахеи и прочих элементов дыхательной системы уступает КТ. Отличной альтернативой компьютерной томографии окажется томосинтез — безопасный, информативный, и простой способ контроля состояния лёгких пациента.

Видео

Что такое мрт легких фото — Лечение гипертонии

В норме давление в лёгочной артерии указывает на здоровое состояние не только лёгких, но и всей сердечно-сосудистой системы. При отклонениях в артерии практически всегда обнаруживается как вторичное нарушение, так как давление в лёгочной артерии. Норма может превышаться из-за ряда патологий. О первичной форме говорят только в случае невозможности установить причину нарушения. Для лёгочной гипертензии характерно сужение, фибрилляция и гипертрофия сосудов. К последствиям относят сердечную недостаточность и перегрузку правого желудочка.

Показатели нормы

Нормальное давление в легочной артерии позволяет определить состояние сосудистой системы. Для установки диагноза учитывается 3 основных показателя:

  • норма систолическое давление в легочной артерии составляет 23–26 мм рт. ст.;
  • диастолическое давление 7–9 мм рт. ст.;
  • среднее значение – 12–15 мм рт. ст.

ВОЗ согласовала показатели нормы, согласно которым принято нормальное систолическое давление в легочной артерии до 30 мм рт. ст. В отношении диастолического показателя максимальное значение нормы – 15 мм рт. ст. Диагностика гипертензии лёгочной артерии производится начиная с отметки в 36 мм рт. ст.

Регулировка гипертензивного состояния проводится рецепторами, расположенными в стенках сосудов. За изменение просвета отвечает ответвление блуждающего нерва, а также симпатическая система. Нахождение наибольших зон с расположением рецепторов можно выполнить благодаря обнаружению больших артерий и мест разветвления сосудов.

В случае появления спазма в лёгочной артерии провоцируется отклонение в системе питания кислородом всего кровотока. Гипоксия тканей различных органов приводит к ишемии. Из-за дефицита кислорода наступает чрезмерное выделение веществ для увеличения тонуса сосудов. Это состояние приводит к сужению просвета и усугублению состояния.

Из-за раздражения нервных окончаний в блуждающем нерве усиливается локальный кровоток в лёгочных тканях. При раздражении симпатического нерва происходит противоположный эффект, сосуды постепенно сужаются, увеличивая сопротивление току крови. Нервы находятся в балансе, когда давление в легких соответствует норме.

Врачи диагностируют гипертензивное состояние только при повышении до 35 мм рт. ст. систолического показателя, но это при активных физических нагрузках. В состоянии покоя давление не должно превышать 25 мм рт. ст. Спровоцировать патологию в давлении способны некоторые патологии, но к нарушениям приводит также ряд лекарственных средств. Врачами фиксируется практически одинаковый исход как первичной, так и вторичной формы патологии, но чаще диагностируется вторичная ЛГ. Первичная встречается всего 1-2 раза на миллион случаев.

В среднем патология регистрируется в возрасте 35 лет. Замечено гендерное влияние на количество регистрируемых случаев, среди женщин вдвое больше пациентов. Преимущественно встречается спорадическая форма нарушения (в 10 раз больше случаев), реже диагностируется семейная патология.

Преимущественно при генетической передаче патологии мутация происходит в гене костного морфогенетического белка второго типа. Дополнительно 20% пациентов со спорадическим заболеванием сталкиваются с мутацией гена.

Факторами, провоцирующими ЛГ, являются заболевания вирусом герпеса 8 и патологии в передаче серотонина. Причинами острой патологии выступают:

  • острая форма недостаточности левого желудочка независимо от генеза;
  • образование тромба в артерии или ТЭЛА;
  • болезнь гиалиновых мембран;
  • бронхит с астматическим компонентом.

Факторы, провоцирующие хронические патологии:

  • увеличение количества крови в лёгочной артерии:
  1. артериальные протоки в открытом состоянии;
  2. врождённая аномалия перегородки в предсердиях;
  3. патология в межжелудочковой перегородке;
  • избыточное давление в предсердии слева:
  1. недостаточность в левом желудочке;
  2. образование тромба или миксомы (поражение в левом предсердии);
  3. наличие врождённых отклонений в строении митрального клапана;
  • чрезмерное сопротивление в лёгочное артерии:
  1. обструктивный генез:
  2. употребление препаратов;
  3. рецидивирующая форма ТЭЛА;
  4. болезнь диффузного типа в отношении соединительной ткани;
  5. гипертензия первичного типа;
  6. веноокклюзивное заболевание;
  7. васкулит;
  1. субателектаз;
  2. высотная болезнь;
  3. ХОБЛ.

Симптоматика

Давление в легочной артерии до проведения УЗИ определить довольно сложно, так как в умеренной форме ЛГ не имеет ярко выраженных симптомов. Характерные и заметные признаки наступают только при тяжелых формах поражения, когда отмечается превышение нормы давления в несколько раз.

Симптоматика появления лёгочной гипертензии на начальном этапе:

  • одышка появляется при отсутствии большой физической активности, иногда возникает даже в состоянии спокойствия;
  • продолжительное уменьшение массы тела, этот симптом никак не зависит от качества питания;
  • астеническое расстройство, сильная слабость, отсутствие работоспособности, подавленность. Характерно, что состояние не меняется в зависимости от погоды, времени дня и т. д.;
  • продолжительный и регулярный кашель, какие-либо выделения отсутствуют;
  • охрипший голос;
  • дискомфортные ощущения в брюшной полости, продолжительное чувство тяжести или давления изнутри. Причина в застойных явлениях крови в воротной вене, которая должна передавать кровь в печень;
  • гипоксия поражает головной мозг, это может спровоцировать обморочные состояния и частые головокружения;
  • тахикардия постепенно становится ощутима и заметна на шее.

При прогрессии давление в легочной артерии по УЗИ нарастает, и появляются следующие симптомы:

  • выделение мокроты вместе с кашлем, где становятся заметными кровяные выделения, указывающие на отёчность лёгких;
  • приступообразное появление стенокардии с характерными болевыми ощущениями в грудине, избыточной секрецией потовых желез и необъяснимым чувством страха. Симптомы указывают на ишемию миокарда;
  • мерцательная аритмия;
  • болевой синдром в области правого подреберья. Состояние возникает из-за включения большого круга патологий в сфере кровоснабжения, так, печень разрастается в размерах, это провоцирует растягивание капсулы. В процессе растяжения появляются боли, так как именно в оболочке присутствует множество рецепторов;
  • отёчность нижних конечностей;
  • асцит (образование большого количества жидкости в брюшинной полости). Вследствие недостаточности сердечной мышцы, а также застоя в кровеносном русле формируется декомпенсаторная фаза – эти симптомы напрямую угрожают жизни человека.

Терминальная стадия характеризуется формированием тромбоза в артериолах, это приводит к инфаркту и нарастающему удушью.

Для определения состояния используется ряд аппаратных обследований:

  • ЭКГ: справа появляется перегрузка, характеризующаяся патологическим увеличением желудочка и разрастанием предсердия. Характерно наступление различных форм экстрасистолии и фибрилляции предсердий;
  • рентгенография: отмечается избыточная пропускная способность по отношению к излучению аппарата в полях лёгких, увеличение корней, смещение граней сердца вправо;
  • тесты дыхательной системы, а также анализ на количество и уровень газов в крови – используется для определения степени дыхательной недостаточности и тяжести патологии;
  • эхокардиография отличается информативностью в отношении уровня давления в лёгочной артерии и позволяет диагностировать большинство нарушений сердца. Обследование обеспечивает возможность диагностики ЛГ при начальных проявлениях;
  • сцинтиграфия используется при тромбоэмболии. Методика имеет свыше 90% вероятности получения достоверных результатов;
  • КТ и МРТ назначаются из-за высокого качества картинки, наилучшая информативность достигается при введении контрастного вещества для оценки состояния сердечно-сосудистой и дыхательной системы.

Лечение

Терапия ЛГ подразумевает комплексное лечение, включающее базовые рекомендации для уменьшения риска рецидива, лекарства для терапии основной болезни и средства для симптоматического лечения. Нередко назначается хирургическое вмешательство.

Общие рекомендации:

  • проведение вакцинации;
  • восстановление правильного питания и введение физической нагрузки: особенно при недостаточности сердца или сосудов;
  • предотвращение наступления беременности из-за повышенных рисков летального исхода вследствие большой нагрузки на сердечно-сосудистую систему;
  • психологическое равновесие. Следует предупреждать стрессы и следить за здоровьем ЦНС.

Терапия для поддержания состояния:

  • диуретики для отвода избыточной жидкости позволяют понизить нагрузку на сердце и устранить отёчность. Обязательно проводится контроль над электролитическим состоянием крови;
  • тромболитические средства и антикоагулянты способствуют устранению тромбов и блокируют склонность к их разрастанию;
  • оксигенотерапия подразумевает ввод 12–15 л кислорода ежедневно. Процедура позволяет насытить кровь кислородом и стабилизировать состояние пациента;
  • гликозиды для сердца («Дигоксин») нормализуют функцию сердца и улучшают кровоток. Препараты устраняют отёчность, одышку, спазмы сосудов и аритмическое состояние;
  • сосудорасширяющие средства понижают давление во всей сосудистой системе.

Среди хирургических методик выделяют баллонную септостомию предсердия, а при тяжёлых нарушениях показана трансплантация лёгких.

Компьютерная томография в ангиорежиме

Компьютерная томография — это метод с гораздо более высокими разрешительными способностями по сравнению с обычным рентгеном, хотя если нет гибели легочной ткани, то томография будет так же неинформативна, как и обычная обзорная рентгенография органов грудной клетки.

Однако наиболее ценным в томографии является возможность визуализировать (увидеть) все артериальное русло легочной артерии. Это достигается путем введения специального рентгенконтрастного вещества внутривенно. Когда контраст заполняет артериальное русло, производится томография.

Томография основана на рентген-лучах. Рентген-лучи меняя угол производят срезы, сотни срезов, которые после обработки компьютером позволяют увидеть грудную клетку в разрезе. При этом видно как контраст протекает по легочной артерии и если где-нибудь его продвижение заблокировано или обнаруживается дефект наполнения диагноз ТЭЛА становиться вероятен на все 100%.

Более точного и безопасного метода, чем томография в ангиорежиме до сих пор не существует. Самая большая проблема метода это его дороговизна, хотя цены не заоблачные — 150-200$.

Недостатком метода является возможность побочных эффектов в виде аллергических реакций и токсического воздействия контраста на почки. Такие осложнения бывают редко, тем не менее, даже такой риск требует от врача тщательно взвесить все «за» и «против».

Если диагноз ТЭЛА маловероятен, то вначале рекомендуют проведение лабораторной диагностики – определение в крови Д-димера.

Магнитно-резонансная томография органов грудного отдела и ее отличие от КТ

Обследование с помощью магнитно-резонансного томографа позволяет провести максимально эффективный и безопасный анализ состояния тканей и органов грудного отдела. Специалист создаёт 3D-модель необходимого участка тела с послойными фотоснимками, на которых отображаются все структуры – сосуды, мышечная масса, кости и мягкие ткани. Это позволяет увидеть любые деструктивные изменения или новообразования на ранней стадии их развития. Но стоимость оборудования для такого исследования достаточно высокое, что влияет на цену использования томографа. Поэтому данный метод анализа не предназначается в первичной диагностике пациента, а применяется для уточнения диагноза либо выявления несоответствий между жалобами пациента и предполагаемым диагнозом врача.

Этот метод исследования заключается в использовании сильного магнитного поля, создаваемого томографом. На него откликаются 97% клеток организма человека, а специальный компьютер фиксирует обратный ответ и преобразует этот сигнал в изображение.

Такие фото можно изучать с помощью компьютера, распечатать или записать на любой носитель информации. Суть метода заключается в его неинвазивности и полной безопасности для человека, так как не применяется ионизирующее излучение.

Чёткие послойные фото дают возможность специалисту детально рассмотреть все необходимые органы и выявить точную причину обращения пациента.

А также для диагностики используются следующие методы:

Но они не гарантируют такой высокой детализации и зачастую не позволяют сразу выявить различные заболевания. Если после использования вышеперечисленных методов анализа лечебная терапия пациента не принесла результата, тогда специалист направляет на МРТ.

С помощью МРТ возможно оценить состояние всех тканей и органов грудной клетки, средостения, кровеносного питания, плевры и стенок полости. А также томограф создаёт высокую детализацию работы сердечно-сосудистой системы, что даёт возможность специалисту провести оценку её работы.

Область применения МРТ

С помощью этого вида диагностики возможно выявление мельчайших деструктивных изменений в работе органов грудной полости. МРТ назначают для уточнения диагноза, его определениялибо как метод диагностики до или после инвазивного вмешательства. Такой тип обследования крайне важен для оценки онкологических образований.

МРТ отображает такие нарушения работы грудной клетки:

  • состояние костного скелета вследствие механической травмы. Все переломы, возможные осколки или смещения – отобразятся на результатах;
  • любые изменения мышечной массы – наличие воспаления, появление опухоли или нарушенияцелостности;
  • присутствие образования любой природы. Анализ определяет локализацию, габариты и степень распространения на соседние ткани;
  • возможные аномалии строения или развития грудного отдела;
  • пневмоторакс при нарушенной работе лёгких (плевральная полость заполняется воздухом и поджимает лёгкое, вследствие чего развивается лёгочная недостаточность);
  • механизм работы сердца, миокарда и клапанов;
  • аномальную работу сосудистой системы, включая возможность присутствия аневризм, тромбоэмболию;
  • механизм нормальной работы кровеносных и дыхательных систем;
  • наличие любых сбоев или воспалений в лимфо-системе;
  • нарушение работы грудного отдела позвоночника (наличие грыж, опухолей, переломов и прочее).

Если необходимо оценить состояние плевры илиработу средостения, зачастую назначают КТ или рентген. А при необходимости анализа работы сосудистой системы применяется только МРТ. Для этого используют особый вид томографиигрудного отдела – ангиография, что показывает аневризмы или расслоения внутренней части артериальной оболочки.

Обследование человека проводится без особой подготовки, госпитализация до или после процедуры не требуется. Но есть определённые указания для прохождения анализа, которые следует неукоснительно соблюдать.

Перед началом исследования необходимо:

  • снять всю одежду, содержащую металлические детали;
  • избавиться от пирсинга, часов и украшений, снять все съёмные протезы;
  • уведомить специалиста о наличии всевозможных стимуляторов, протезов или механизмов внутри организма, состоящих из металла;
  • проинформировать радиолога о наличии любых нервозных нарушений.

Поскольку аппарат создаёт сильное электромагнитное поле, это может нарушить работу любых механизмов, а металлические детали разогреть, что приведёт к смещению или ожогу. Для пациентов, страдающих клаустрофобией, необходимо введение успокоительного либо использование аппарата открытого типа.

Во время проведения процедуры необходимо лежать неподвижно, а если появятся любые симптомы дискомфорта – уведомить радиолога по встроенному микрофону в корпусе томографа. Врачбудет постоянно следить за пациентом. Исследование не причиняет боли человеку, допустимо лёгкое тепло анализируемого участка тела.

Противопоказания для МРТ

Несмотря на полную безопасность и информативность такого метода визуализации, существуют некоторые ограничения применения МРТ:

  • металлические механизмы, имплантаты, стимуляторы, протезы;
  • тучность пациента (при весе в 120 кг или больше он может не поместиться в туннеле аппарата);
  • наличие татуировок, выполненных красками на основе металлов;
  • клаустрофобия и нервные обострения;
  • почечная недостаточность или наличие аллергии, детский возраст (при введении контраста).

С большой осторожностью применяют МРТ при беременности, в первом триместре желательно исключить любые процедуры такого характера. Если необходимо провести исследование ребёнку, то предварительно его вводят в состояние медикаментозного сна.Детям невозможно находиться 30 минут без движения из-за особенностей психики. Но такая диагностика применяется только по направлению врача, когда риски будут оправданы.

А также МРТ не применяют для диагностики состояния тяжёлых больных.Обуславливается это длительностью проведения процедуры и невозможностью использования аппаратов жизнеобеспечения, например, необходимо применение механизма искусственного дыхания или важна срочность принятия решения.

Если необходимо применение контрастирующего средства, то приходить на обследование следует голодным. Принимать еду и пить воду можно за 5 часов до начала процедуры, не позже.

Перед началом исследованияврач-радиолог должен уведомить обо всех правилах проведения исследования, выяснить все особенности и наличие противопоказаний у пациента.

Ограничения МРТ органов грудной клетки

Для получения высококачественных фото пациенту необходимо находиться в состоянии полного покоя.При необходимости задержать дыхание на время фиксации изображения. Нервное состояние, страх или клаустрофобия может сильно повлиять на качество изображения.Если пациент страдает ожирением, то в традиционном туннеле сканера он может не поместиться.

Если необходимо срочное обследование, то пациента направляют на другие методы диагностики, например, КТ или рентген, так как проведение такого анализа существенно экономит время и помогает принять срочные решения для сохранения жизни пациенту.

Хотя вредное влияние на беременных женщин не доказано, будущим мамам следует воздержаться от МРТ. Применяется такой вид исследования только по острым медицинским показаниям.

Время проведения МРТ грудной клетки существенно выше, чем при методе рентгенографии или компьютерной томографии. Поэтому новорожденным и детям раннего возраста предварительно вводят седативные препараты.

Разница МРТ и КТ грудной клетки

Эти виды анализа состояния человека, на первый взгляд, идентичны, так как имеют одинаковую схему проведения исследования, но они в корне отличаются. Решение о назначении того или иного варианта анализа принимает врач.

Обязательно берётся во внимание:

  • общее состояние здоровья;
  • беременность;
  • присутствие хронических заболеваний;
  • вид деструктивного изменения, который необходимо уточнить.

Основные различия методик заключаются в способе сбора информации. В компьютерной томографии для получения результата применяется рентгеновское излучение, которое оказывает негативное влияние на человека. В отличие от МРТ (с применением магнитного поля, поэтому возможно обследование даже новорожденных), КТ не подходит для частого использования.

Время проведения процедуры при КТ от 10 минут, при МРТ от 40 минут. При необходимости использования контраста– время пропорционально увеличивается. КТ информативно при исследовании костной системы организма, а МРТ также детально визуализирует все мягкие ткани и органы (например, грудь женщины, шейный позвоночник или невралгию).

При использовании КТ невозможно оценить функциональность работы внутренних органов, а также из-за использования вредного излучения, данный метод исследования не может часто применяться. Иногда излучение провоцирует развитие злокачественных опухолей.

Томография органов средостения

При необходимости обследования средостения специалисты чаще всего назначают КТ, так как этот метод дешевле и даёт неплохую информативность. МРТ в большинстве случаев используется для комплексной диагностики, уточнения заключения или необходимости получения 3D-модели интересующего органа. Магнитную томографию используют для контроля до или после инвазивного вмешательства.

МРТ органов грудной клетки и средостения выявляет такие диагнозы:

  • истончение аортных стенок;
  • наличие образований любой природы;
  • тромбоз артерии лёгкого;
  • дефекты кровообращения;
  • воспаления и патологии лёгких;
  • инфаркт лёгкого или миокарда;
  • дисфункцию мышц сердца.

Расшифровка результатов МРТ

Первичный анализ итогов проводится радиологом, который занимается организацией обследования и расшифровкой полученных данных от томографа. После ознакомления с отображёнными снимками, специалист оформляет заключение.

В некоторых клиниках результаты выдаются на руки пациенту, вместе с фотоматериалами и ходом исследования на носителе информации, но в некоторых случаях заключение передаётся прямо к лечащему врачу.

Иногда необходимо дополнительное обследование, например, при достаточно сомнительном результате, необходимости контролировать влияние терапии на патологию или потребности оценить результат хирургического вмешательства. В каждом отдельном случае решение принимает врач.

Что показывает МРТ легких и бронхов

Мрт легких – качественный метод оценки состояния легочной ткани, средостения и мягких тканей на основе регистрации радиоволн, полученных при колебании атомов водорода под влиянием магнитного поля.

Магнитно резонансная томография легких более качественно показывает анатомические изменения в спинном и головном мозге. Легочная ткань содержит по большей части воздух, поэтому ее диагностика далека от идеальной.

Компьютерная томография четко видит плотные ткани (костная, паренхиматозная), что не позволяет ей быть альтернативой ядерно-магнитному сканированию.

Назначается мрт легких только после проведения рентгенографии органов грудной клетки в двух проекциях (прямой и боковой), когда полученных данных недостаточно для установки диагноза.

Что показывает мрт органов грудной клетки

Мрт грудной клетки показывает структурные изменения клеток, состоящих из воды. Радиосигнал, полученный от легочной паренхимы при воздействии магнитного поля достаточно информативный для определения патологических образований, расположенных на границе раздела сред: между воздушными альвеолами и паренхиматозными клетками.

Томография легких может выполняться для тканей, в которых находится свободная или связанная вода. Связанный водород находится в комплексе с протеинами, липидами и другими биологически активными веществами. Такой состав влияет на качество получения радиосигнала при воздействии магнитного поля.

При наличии атомов водорода разной плотности мрт легких и бронхов показывает разные тени и затемнения, которые неопытный врач лучевой диагностики может принять за патологию. Высокая вариабельность обеспечивает получение МР-сигнала разной амплитуды и силы. Различное качество тканей обеспечивает высокую контрастность и качество срезов.

Чем томография легких лучше других методов

Ядерно-магнитная томография (мрт) лучше других диагностических методов, потому что она безвредна и обладает высокой диагностической информативностью. В чем достоинство мрт для выявления болезней:

  1. Безвредность для здоровья;
  2. Воспроизведение под любым углом и в любой проекции;
  3. Возможность реконструкции и 3D моделирования;
  4. Повышенная контрастность срезов;
  5. Программная настройка качества изображений;
  6. Получение изображения по протонной плотности;
  7. Контрастирование МР-ангиографии;
  8. Определение скорости движения крови;
  9. Изучение процессов метаболизма веществ.

Что лучше — мрт или кт томография легких?

Цены на томографию легких не являются дешевыми, но полученное качество срезов оправдывает затраты. Стоимость формируется согласно конструктивным особенностям оборудования и в зависимости от области исследования. Для клинических целей достаточно напряженности мрт поля – 0,2-0,5 Тесла. Данной мощности хватает для решения множества клинико-диагностических задач.

Как применять мрт при туберкулезе

Контрастная томография легких применяется преимущественно для диагностики болезней центральной нервной системы и спинного мозга. МРТ позволяет получить срезы в фронтальной, сагиттальной и других плоскостях.

При исследовании спинного мозга высокую информативность создает МР-миелография (введение контрастного вещества в субарахноидальное пространство спинного мозга).

При туберкулезе легких применение контрастных веществ используется для диагностики патологических осложнений заболевания: абсцесса, туберкулезных каверн, гнойного плеврита. Для контрастирования используется магневист, характеризующейся высокой переносимостью и диагностической плотностью.

Другие контрастные вещества в сравнении с магневистом характеризуются меньшей переносимостью и высоким качеством.

При туберкулезе магневист является наиболее качественным средством для исследования легких.

Существенным достоинством мрт является возможность получения картины сосудов без необходимости применения контраста. Такое обследование носит название МР-ангиографии. Его применяют для обследования легких.

Что определяет качество мр-томографии

Контрастность МР-изображений определяется магнитными свойствами тканей. Правильно данное свойство рассчитывать на основе протонной помпы. В воздухе содержится малое количество атомов водорода. Это не позволяет качественно исследовать внутреннее содержимое альвеол, заполненных воздухом.

Когда проводится исследование паренхимы легочной ткани, магнитно-ядерная томография создает изображение высокого качества. Из-за разницы контрастности изображений формируются темные и яркие пятна – Т1 и Т2 взвешенные изображения.

При туберкулезе сочетание Т1 и Т2 снимков позволяет отграничить инфильтрацию от воздушных тканей.

Подводя итог: магнитно резонансная томография легких позволяет выявить патологические инфильтраты небольших размеров. Высокая информативность метода позволяет четко определить и смоделировать воспалительные инфильтраты или злокачественные образования в трехмерном пространстве. Это помогает моделировать патологические изменения при туберкулезе внутри легочной ткани. Что лучше — мрт или кт томография легких?


Смотрите также

  • Анализ генетическая тромбофилия
  • Сдать анализ на тестостерон
  • Узи трансректальное что это
  • Тестостерон за что отвечает у женщин
  • Что такое фолликулометрия в гинекологии
  • Резус фактор что означает
  • Можно ли во время приема антибиотиков сдавать кровь на гормоны
  • Коэффициент атерогенности повышен что это такое
  • Как вырабатывается тестостерон у женщин
  • Антитела гепатита с что это
  • Доминирующий фолликул что это такое