Что такое мрт малого таза у женщин

Что такое мрт малого таза у женщин[Что такое мрт малого таза у женщин]

Как и что показывает МРТ малого таза у женщин?

Преимуществом МР томографии является возможность качественного обследования мягких тканей человеческого организма. С его помощью удается диагностировать ранние патологии и структурные изменения в метаболизме клетки. Что показывает МРТ малого таза у женщин? Во время этого обследования уделяется внимание следующим органам:

  • Почки, мочевой пузырь, мочеточники и т.д.
  • Репродуктивные органы. Яичники, матка и шейка матки, фаллопиевы трубы и т.д.

Так как именно эти органы наиболее часто становятся причиной воспалительных процессов и дают начало онкологическим заболеваниям у женщин, необходимость в такой проверке может возникнуть при малейшем подозрении на наличие такого патологического процесса. Процедура МРТ малого таза у женщин показывает наличие онкологии еще на начальной стадии, что существенно увеличивает шансы на выздоровление.

МРТ в гинекологии

МРТ в гинекологии на сегодняшний день является стандартной процедурой, которая призвана предупредить пациента о возможных проблемах и точно диагностировать наличие структурных патологических изменений в мягких тканях. Рекомендовано назначение такого обследования при наличии следующих симптомов:

  1. Острая или тянущая боль в животе или в области малого таза.
  2. Быстрая беспричинная потеря веса.
  3. Кровь в моче или стуле.
  4. Сильные кровотечения при менструации.

Показаниями к МРТ малого таза является наличие, по крайней мере, нескольких симптомов одновременно. Своевременно проведенная диагностика помогает своевременно выявить проблему и назначить наиболее эффективное лечение.

Расшифровка МРТ малого таза у женщин показывает изменения в структуре тканей органов на начальной стадии. Так с ее помощью удается различить наличие злокачественного образования размером меньше чем 1 см. также такое обследование помогает выявить следующие патологии:

  1. Наросты на яичнике или внутри матки.
  2. Наличие злокачественных опухолей и метастазирования.
  3. Воспалительные и инфекционные процессы в органах малого таза.
  4. Наличие камней в почках.
  5. Патологии кровеносных сосудов.
  6. Эндометриоз.
  7. Определение причин слабости в мышцах тазового дна.
  8. Наличие врожденных или приобретенных патологий.

МРТ органов малого таза у женщин при беременности, помогают предотвратить причины преждевременных родов. Обследование может показать необходимость госпитализации с целью сохранения плода. Проводить такую диагностическую процедуру рекомендуется после 3 месяцев беременности. После этого срока можно проводить такое исследование без ограничений.

Как и у практически любого обследования связанного с воздействием на человеческий организм МРТ имеет свои противопоказания. Они связаны с индивидуальной непереносимостью контрастных веществ, а также с физиологическими особенностями самого пациента. Не рекомендуется магнитно-резонансная томография малого таза в следующих ситуациях:

  1. Подозрение на беременность. Теоретически магнитное поле может повлиять, на зародыш, но не приносит вред уже резвившемуся плоду. Если будет использоваться контраст необходимо рассказать о беременности лечащему врачу, так как некоторые виды маркера могут быть опасны для будущего ребенка.
  2. Почечная недостаточность. Если делают МРТ с контрастированием органов малого таза, тогда существует риск осложнений связанных с мочеполовой системой. Особенно часто страдают почки в случае диабета или любой патологии связанной с работой почек.
  3. Аллергическая реакция на йодсодержащие препараты. Особенно внимательным стоит быть пациентам, у которых существует аллергия на морепродукты особенно на моллюсков. Чтобы убедиться отсутствии противопоказаний подготовка к МРТ органов малого таза у женщин может включать аллергопробу. По ее результатам будет рекомендована дальнейшая диагностика органов.
  4. Металлические предметы. Металлические скобы и импланты, инсулиновый насос и кардиостимулятор являются прямыми противопоказаниями к проведению томографии.

Если у пациентки, поступившей в гинекологию, установлен ВМК (спираль) из меди, следует проконсультироваться с гинекологом. Воздействие магнитного поля может сместить ее и сделать такой метод предохранения неэффективным и требует последующей консультации в кабинете планирования семьи.

Нет необходимости в особой подготовке к проведению такого исследования, однако существуют определенные рекомендации, которые в значительной мере влияют на качество и результаты анализов. А именно:

  1. Менструальный цикл. Во время месячных обследование не проводится. Приток крови к органам половой системы настолько сильный, что возможность точной диагностики, сводится к минимуму. Наилучшие результаты достигаются, если исследование проводится на 7-10 день цикла.
  2. Рацион. Следует придерживаться определенной диеты в течение суток перед проведением исследования. Необходимо исключить газированные напитки, кисломолочные продукты, черный хлеб, а также все продукты, в состав которых входит грубая клетчатка.
  3. Непосредственно перед диагностикой. МРТ с контрастом малого таза по времени длится около 30-45 минут в зависимости от сложности. Непосредственно перед процедурой необходимо сходить в туалет, а также принять активированный угол. 2 таблетки на каждые 10кг. тела.
  4. За 4-6 часов необходимо воздерживаться от любой пищи. Особенно важно в последние сутки не употреблять сладкого.
  5. Перед процедурой за 30-40 минут можно принять одну две таблетки Но-Шпа.

Для того чтобы МРТ женских половых органов прошло наиболее эффективно, следует предоставить врачу клиническую историю болезни. Рекомендации и назначения, а также все результаты предыдущих обследований. Это позволит локализовать поиски патологии и определить причины тревожащих симптомов.

Ежегодно сотни тысяч женщин становятся жертвами рака яичника. Успех в лечение этой и других патологий зависит от раннего диагностирования проблемы и правильно назначенной терапии. МРТ помогает достичь этих целей. Своевременное обследование залог успеха в лечении этого и других заболеваний органов малого таза.

МРТ малого таза

МРТ органов малого таза – это высокоточное, информативное и безопасное исследование органов данной области, которое применяется как для женщин, так и для мужчин. Этот метод обследования в современной медицине играет значительную роль для диагностирования различных мужских и женских патологий  при исследовании мочеполовой сферы.

МРТ совершенно безболезненная неинвазивная процедура, то есть во время выполнения обследования не осуществляется проникновений в кожу и тело пациента.

Точность этого метода позволяет увидеть органы и ткани в разных плоскостях с шагом среза до 1 миллиметра, что является немаловажным для планирования врачами лечения больного, в том числе назначения хирургического вмешательства или лучевой терапии.

Что показывает МРТ органов малого таза? Магнитно-резонансная томография органов малого таза используется для выявления и диагностирования различных заболеваний: новообразования (как доброкачественные, так и злокачественные) на ранних стадиях, острые и хронические воспалительные заболевания, последствия травматических повреждений, сосудистые патологии,  позволяет определить причины появившихся болей в малом тазу, и другие.

Благодаря своим преимуществам МРТ органов малого таза сегодня свободно конкурирует с другими способами диагностирования, например, гистероскопия и лапароскопия, которые достаточно болезненны для больных.

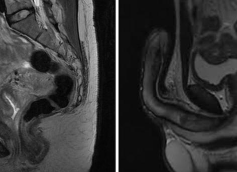
На МРТ органов малого таза у женщин исследуются следующие органы: матки, яичники, маточные трубы, влагалище, область за маткой (мягкие ткани, лимфоузлы, сосуды), пояснично-крестцовый отдел позвоночника и мочевой пузырь.

У мужчин МРТ показывает семявыводящие  протоки, простату, придатки.

Показания для назначения МРТ органов малого таза женщинам и мужчинам

  • обнаружение опухолей различной природы в области малого таза, их размеры и развитие, выявление метастаз в соседние структуры
  • наличие болей неясного характера в этой области
  • аномалии в развитии мочеполовой системы
  • камни или песок в мочеточниках и мочевом пузыре
  • травмы области малого таза
  • выявление воспалительных процессов
  • тромбофлебиты, флебиты
  • анализ состояния лимфатических узлов
  • в случае невозможности поставить диагноз на основании результатов других методов обследования
  • контроль после проведенных операций.

На МРТ органов малого таза направляют также в случаях возникновения необходимости незамедлительного оперативного вмешательства.

Особую ценность МРТ имеет при подозрениях на наличие опухолевых образований. Благодаря возможности получения мельчайших срезов опухоли можно обнаружить на самых ранних стадиях их развития. А в диагностировании опухолевых образований в мочевом пузыре, МРТ имеет большую точность, чем компьютерная томография (КТ).

Большую роль магнитно-резонансная томография играет в диагностировании различных заболеваний предстательной железы, выявлении рака предстательной железы.

Что лучше МРТ или КТ малого таза?

Для первичного исследования назначают УЗИ. Однако, по сравнению с МРТ, ультразвуковая диагностика дает неполную картину заболевания, так как имеет невысокую степень  разрешения картинки.

Выбор способа обследования (УЗИ, КТ или МРТ) для каждого больного остается за врачом, который основывается при этом выборе на всех показателях картины заболевания перечня противопоказаний каждой процедуры. Выбор метода зависит также от  области их применения, так как данные виды диагностирования основываются на разных принципах действия и имеют свои плюсы и минусы.

В случаях необходимости обследования органов области таза вопрос выбора решается индивидуально для каждого пациента, а иногда применяется несколько видов обследования. Они дополняют друг друга и позволяют уточнить диагноз. Показания для назначения КТ и МРТ органов малого таза достаточно похожи. Разница состоит в том, что информативность КТ достаточно высока для исследования костных структур, а МР-томография — для тканей и кровеносных сосудов.

Обследование МР-томография способно обнаружить самые мельчайшие патологические изменения в организме человека, разрешает получить тонкие разрезы органов в различных плоскостях, вследствие чего является более точным и информативным, особенно с помощью применения контрастирующих препаратов.

При проведении МР-томографии специалисты получают максимум данных для постановки точного диагноза.

В отношении исследования заболевания рака простаты, ведущая роль принадлежит именно МРТ. В гинекологии МРТ-исследование, благодаря неинвазивности, используется для замены других сложных и болезненных методов (гистероскопия,  лапараскопия).

Преимущества  магнитно-резонансной томографии:

  • безболезненность и безопасность обследования для здоровья — не используются рентгеновские лучи, как в КТ и  рентгенографии
  • получение высокого качества изображений органов и тканей в различных плоскостях с последующей реконструкцией в 3D
  • высокая информативность.

МРТ с контрастом

В целях улучшения видимости органов, тканей и кровеносных сосудов и получения более точных данных о заболеваниях и патологиях, проводят МРТ органов малого таза с контрастированием, то есть в организм пациента внутривенно вводится специальный препарат.

В случаях подозрений на раковые опухоли используются контрастирующие препараты на основе гадолиния.

Данный препарат перед процедурой вводится внутривенно и, накапливаясь в органах, позволяет при выполнении последовательных снимков выявить злокачественный процесс, так как злокачественные опухоли сильно васкуляризированы. Границы и размеры таких опухолей очень отчетливо видны, а также врачи могут распознать распространение  процесса в прилегающие области и структуры.  Такое обследование также проводят больному и после выполненной химеотерапии для контроля динамики развития опухоли. Высокую эффективность контрастирование имеет при изучении функций почек.

Подготовка к МРТ органов малого таза

Подготовка к исследованию МРТ органов малого таза включает в себя следующие подготовительные действия:

  • больному необходимо придерживаться специальной диеты за несколько дней до обследования, которая подразумевает отказ от продуктов, вызывающих повышенное газообразование в кишечнике. К таким продуктам относятся  фрукты и овощи, кондитерские изделия, кисломолочные продукты, а также газированные напитки. Следует пить как можно больше чистой воды для очищения кишечника накануне вечером перед процедурой нужно принять активированный уголь либо эспумизан, для очищения кишечника рекомендуется сделать очистительную клизму
  • утром перед процедурой не следует завтракать, а за 4-6 часов постараться отказаться от приема любой жидкости. Для МРТ органов малого таза нежелательно сильное наполнение мочевого пузыря,  иначе переполненный мочевой пузырь создаст дискомфорт, а результаты получатся искаженными. В крайних случаях МР-томографию выполняют без предварительной подготовки пациента
  • на обследование нужно приходить в свободной и комфортной одежде без металлических вставок, пуговиц и молний. В некоторых клиниках выдается одноразовая одежда
  • перед входом в кабинет с МР-томографом нужно будет оставить все металлические предметы, украшения, часы, карточки
  • также перед обследованием медицинским специалистам, проводящим процедуру, нужно сообщить о наличии в теле металлических имплантатов, протезах, инородных предметах (пули, осколки). Эти предметы являются прямым противопоказанием для МР-обследования. Съемные протезы необходимо убрать перед сканированием.

Процедура МРТ органов малого таза

После выполнения всех подготовительных действий пациент проходит в кабинет с аппаратом МР-томографа. Ему предлагают лечь на подвижной стол томографа и закрепляют тело с помощью валиков и ремней. В течение всей процедуры обследования следует сохранять полную неподвижность, иначе снимки будут некачественными. Передвижной стол помещается в туннель томографа. Специалисты выходят из комнаты, в процессе сканирования больной находится в комнате один. Общаться с больным специалисты могут по специальному устройству двухсторонней связи, встроенному в томограф.

Если обследование проводится с контрастированием, то его вводят в вену, для чего подключается  катетер и контраст попадает в кровоток в необходимом количестве.

Иногда у ряда больных могут проявиться аллергические реакции на контраст в виде сыпи, зуда, отека лица. В этих случаях больному дают антигистаминные препараты.

Во время сканирования больные не чувствуют боли или дискомфорта. Неприятные ощущения может создавать сильный шум и треск томографа во время работы. Больному могут выдать наушники для снижения дискомфорта.

Длительность процедуры и результаты МРТ органов малого таза

Длительность МРТ малого таза составляет около 40 минут, включая подготовку (примерно 10-15 минут). При использовании контрастирования время процедуры увеличивается.

При проведении МРТ детям или людям с клаустрофобией, психическими расстройствами могут быть использованы седативные препараты. В таких случаях длительность обследования также увеличивается. При введении детям снотворного, их оставляют в клиниках до окончания действия лекарств и пробуждения малышей.

После окончания обследования, специалисты приступают к расшифровке снимков и составлению заключения. Время подготовки заключения может составлять от часа до двух. Заключение и снимки выдаются пациенту на руки, с ними следует незамедлительно обратиться к врачу, назначившему обследование.

Противопоказания

МРТ органов малого таза имеет такие же противопоказания, как и при МРТ-исследовании любых других органов организма человека:

  • почечная недостаточность
  • импланты, штифты, пластины из ферромагнитных сплавов в теле пациента
  • любые кардиостимуляторы, водители ритма, клипсы на сосудах мозга
  • другие инородные предметы в теле из металла
  • беременность в первом триместре
  • клаустрофобия, психические заболевания
  • тяжелое состояние больного
  • аллергия на контрастные  препараты
  • избыточный вес больного.

Если МРТ выполняется не в государственных медицинских поликлиниках и больницах, а в частных клиниках, то стоимость процедуры будет варьироваться в пределах 5-10 тысяч рублей. Цена диагностики зависит от региона нахождения клиники, уровня оборудования и специалистов. В случае комплексных обследований пациентам могут предоставляться скидки. В отличие от КТ, цена  на МРТ является более высокой, но в настоящее время такое обследование становится все более распространенным, что приводит к снижению цен на магнитно-резонансную томографию.

ПОДЕЛИТЕСЬ С ДРУЗЬЯМИ И ПРОГОЛОСУЙТЕ

(4 голосов, оценка: 5,00 из 5) Загрузка…       

Что показывает МРТ органов малого таза у женщин?

МРТ органов малого таза у женщин позволяет исследовать состояние мочеполовой системы, а также соседние органы, обнаружить воспалительные процессы и другие патологии на начальном этапе развития.

Принцип действия МРТ

В магнитно-резонансной томографии объединяются лучшие черты КТ (полностью это обследование называется рентгеновской компьютерной томографией) и УЗИ (ультразвуковое исследование). Благодаря этому использование МРТ малого таза уженщин позволяет получить детализированную информацию относительно состояния мочевого пузыря, прямой кишки, мочеточников, матки, яичников, сигмовидного отдела толстой кишки, брюшины, лимфоузлов и других мягких тканей. 

В сфере гинекологии очень большое внимание уделяется безопасности обследования, так как состояние здоровья женщины прямо влияет на развитие будущего ребенка, даже если женщина в момент проведения медицинского обследования не беременна. То есть к диагностическим методикам предъявляются следующие требования:

  • безопасность;
  • отсутствие рентгеновского облучения;
  • высокая информативность;
  • неинвазивность (безоперационный метод) или малая инвазивность.

Относительно лучевой нагрузки следует отметить то, что использование методов диагностики, основанных на рентгеновском облучении, не дает возможность проводить процедуры часто. Все прекрасно знают, что рентгенографию и флюорографию можно проходить не чаще одного раза в полгода. Но обычно требуется наблюдение за состояние здоровья пациента и ходом лечения, а для этого нужно проводить обследования довольно часто. Здесь смогут помочь лишь такие методики, в которых нет лучевой нагрузки. Именно к таким методам относится магнитно-резонансная томография. При помощи МРТ органов малого таза можно не только выявить их состояние на текущий момент, но и дать точный прогноз на будущее.

Принцип действия магнитно-резонансного томографа основан на создании электромагнитного поля высокой напряженности с особой конфигурацией. Этим полем создаются радиочастотные волны, которые генерируются томографом. Аппарат МРТ представляет собой подвижный стол и камеру, по типу она может быть закрытой либо открытой. В ней расположены магнитные катушки, с помощью которых происходит сканирование нужной области тела. Обследуемый помещается на стол в лежачем положении, процедура занимает в среднем полчаса.

Изображения на томограмме получаются следующим образом. В организме человека существует огромное количество атомов водорода, у которых ядро образовано протоном. Эти протоны постоянно находятся в движении, вращаясь вокруг своей оси. Магнитно-резонансный томограф создает магнитное поле высокой мощности, и под его воздействием протоны меняют траекторию движения. После того, как воздействие аппарата на определенную область прекращается, протоны возвращаются на свои места, при этом выделяется энергия. Ее воспринимает катушка томографа, и полученная информация обрабатывается на компьютере. От плотности тканей зависит величина излучаемой энергии: чем они плотнее, тем больше энергии. Компьютерная программа, получив данные о разных величинах энергии, может выстроить соответствующее изображение.

Магнитно-резонансная томография дает изображения органов и тканей в виде срезов. Толщина их достигает 3 мм, можно рассмотреть их с самых разных проекций. Так как в результате данные будут представлены в цифровом виде, можно будет впоследствии более детально изучить состояние органов малого таза и прочих частей тела.

МРТ малого таза с контрастом

В ряде случаев лечащий врач может назначить МРТ органов малого таза с контрастом. Перед процедурой в кровь внутривенным способом вводится специальное контрастирующее вещество — это низкомолекулярный препарат, в основе химической формулы которого находится гадолиний. Наиболее распространенными контрастирующими веществами являются магневист и омнискан. Их действие основано на том, что гадолиний обладает отличными парамагнитными характеристиками, это значит, что он может поглощать и излучать электромагнитные волны. Таким образом, контрастное вещество при воздействии электромагнитного поля накапливается именно в той части, куда воздействует аппарат МРТ. Ткани и органы в области малого таза на изображениях получаются более яркими и контрастными.

В отличие от КТ малого таза с контрастом, при котором используется йодосодержащий препарат, здесь аллергическая реакция очень редка, поэтому такое обследование считается безопасным. Такое исследование применяется тогда, когда существует сложность в постановке диагноза, если нужно полноценно оценить структуру опухоли или другого новообразования, для повышения качества визуализации лимфоузлов, если обычная МРТ не дает однозначных результатов и т.п.

Преимущества МРТ органов малого таза

При обследовании органов малого таза используется не только МРТ, но также УЗИ и КТ. Каждая из этих методик имеет свои достоинства и недостатки, но в результате проведения МРТ малого таза информация получается не только максимально детализированной, но также этот способ относится к самым безопасным, особенно если сравнивать КТ и МРТ.

  • В результате обследования получаются изображения органов в нескольких плоскостях (срезах, ракурсах). 
  • Объем данных очень большой, информация обладает достоверностью и четкостью.
  • Нет ограничений по возрастному признаку, то есть МРТ органов малого таза можно проводить не только взрослым женщинам, но и девочкам.
  • Нет требований к уровню наполненности мочевого пузыря.
  • Позволяет отслеживать динамику лечения, так как проведение МРТ малого таза возможно с необходимой частотой.

Очень велико значение МРТ малого таза тогда, когда есть подозрение на онкологию. Такое исследование не только дает четкую и однозначную картину заболевания, показывает границы опухоли, распространение метостаз, но и позволяет сделать точный прогноз относительно течения болезни и оценить эффективность лечения.

178 диагностических центров в Москве проводят исследование МРТ, выберите подходящий вам:

Подобрать

Недостатки МРТ

Как и у любой медицинской процедуры, у МРТ, кроме достоинств, имеются и некоторые недостатки. К ним можно отнести ряд противопоказаний: ее нельзя проводить беременным женщина, пациентам, имеющим в теле металлические конструкции либо искусственный водитель сердечного ритма, страдающим клаустрофобией. Также к недостаткам этого вида диагностики относится длительность процедуры и ее высокая стоимость. Несмотря на то, что результат обследования получается очень детализированным, иногда применения МРТ недостаточно. Это касается камней и кальцифатов в органах малого таза, здесь надежность магнитно-резонансной томографии оставляет желать лучшего. Если врача при обследовании интересует наличие спаек, например, в маточных трубах, то ориентироваться на данные МРТ следует с большой натяжкой. Дело в том, что на снимках будут видны только самые грубые спайки, а небольшие патологии будут незаметны.

Показания к проведению МРТ малого таза

Так как МРТ малого таза можно проводить столько раз и с такой периодичностью, сколько необходимо, то основным показанием к проведению МРТ является необходимость получения точных результатов диагностики. КТ и МРТ обладают схожим уровнем детализации, но при магнитно-резонансной томографии пациент не получает лучевую нагрузку, как при рентгеновской компьютерной томографии.

Основные показания для проведения МРТ малого таза у женщин:

  • Различные новообразования (доброкачественные и злокачественные) – обследование позволяет определить их размеры, расположение, наличие метостаз в соседних структурах.
  • Боли с непонятной причиной в области малого таза. 
  • Камни, песок в мочевом пузыре и мочеточниках.
  • Мочеполовая система развивается неправильно.
  • Травмирована область малого таза.
  • Чтобы провести оценку состояния лимфоузлов в этой области.
  • Чтобы выявить наличие воспалений.
  • Если требуется срочное оперативное вмешательство.

Если сравнивать МРТ и КТ, то в случаях с диагностирование опухолей мочевого пузыря магнитно-резонансная томография обладает большей точностью.

Противопоказания к МРТ

Так как при МРТ применяется магнитное поле большой мощности, то главным противопоказанием для проведения процедуры будет наличие в теле человека металлических штифтов, болтов, пластин, скоб, имплантов и других конструкций. Магнитное поле, во-первых, может нарушить работу механизмов, что скажется на их функциональности и здоровье пациента, а во-вторых, металлические предметы могут создать помехи в процессе сканирования, и результат получится неточным.

Еще одним важным противопоказанием для проведения МРТ у женщин является беременность, особенно первый триместр. Мощное магнитное поле может повлиять на процесс развития плода в негативном плане.

В процессе проведения процедуры магнитно-резонансной томографии пациентке приходится длительное время провести в неподвижном состоянии в закрытой камере. Если она страдает клаустрофобией, то от МРТ придется отказаться либо выбрать аппарат открытого типа.

Как подготовиться к МРТ малого таза

Подготовка к МРТ органов малого таза, в отличие от классического УЗИ, не такая сложная. Если ультразвуковое исследование проводится только при полностью наполненном мочевом пузыре, то при МРТ это делать необязательно. Мочевой пузырь может быть наполнен умеренно или слабо. Перед процедурой, если она проводится в плановом порядке, женщине необходимо сделать следующее:

  • В течение нескольких дней соблюдать специальную диету, исключающую повышенное газообразование и усиленную перистальтику кишечника. Это значит, что придется отказаться от газированных напитков, хлебобулочных изделий, бобовых, жирного мяса и животных жиров.
  • Накануне дня проведения МРТ нужно принять слабительное средство, после чего нужно поставить очистительную клизму.
  • Если в животе имеются спазматические боли, то примерно за час до прохождения процедуры МРТ следует принять какой-нибудь спазмолитик, например, но-шпу.
  • В день  процедуры с утра ничего не есть. 

Обычно МРТ органов малого таза у женщин проводится в период с 6-го по 14-й дни менструального цикла, но при необходимости процедуру можно пройти и во второй половине цикла.

Какую патологию и как позволяет выявить МРТ малого таза у женщин

У женщин репродуктивные органы находятся внутри малого таза и недоступны визуальному осмотру и пальпации. Диагностика заболеваний мочеполовой системы, как правило, требуют инструментальных методов исследования, немаловажную роль среди них занимает МРТ органов малого таза.

Девушка готовится к МРТ малого таза

В малом тазу у женщины находятся органы разных систем организма:

  • мочевыделительной: мочевой пузырь и мочеиспускательный канал;
  • репродуктивной: матка, ее придатки (яичники и маточные трубы), влагалище;
  • пищеварительной: прямая кишка.

Органы находятся в тесном соприкосновении друг с другом, имея общую иннервацию, кровоснабжение и лимфатическую систему. Пространство между ними заполнено жировой прослойкой.

Часто симптомы патологии разных систем трудно дифференцировать между собой, иногда патология распространяется сразу на несколько органов. Разобраться в сложных диагностических ситуациях помогает МРТ органов малого таза.

Преимущества магнитно-резонансной томографии

В сравнении с УЗИ

  • Первичным методом диагностики заболеваний репродуктивной и мочевыводящей системы у женщин остается УЗИ. Этот метод позволяет выявить большинство патологии органов малого таза у женщин, но часто его недостаточно для установления точного диагноза.
  • УЗИ имеет узкие эхографические окна, которые не всегда позволяют оценить характер патологии, ее распространенность.
  • МРТ обеспечивает более высокую четкость изображения, показывает объемное трехмерное изображение последовательных срезов внутренних органов с интервалом до пяти миллиметров.
  • Возможность фиксации результата на пленке и электронных носителях при магнитно-резонансной томографии позволяют оценить результат нескольким специалистам, провести врачебный консилиум. Во время УЗИ увидеть патологию может только врач, который проводит исследование и если его опыт недостаточный, патология, особенно на ранней стадии, может остаться нераспознанной.
  • На результат МРТ не влияет степень наполнения мочевого пузыря, что необходимо для УЗИ. Этот фактор важен для пациенток с дисфункцией мочевого пузыря и проблемами недержания мочи.
  • МРТ позволяет обследовать девочек и женщин, не имевших половых контактов, так как не требует трансвагинального осмотра.
  • УЗИ не выявляет заболевания прямой кишки, а также осмотру недоступны мочеиспускательный канал и влагалище.

Процедура УЗИ имеет следующее преимущество — возможность оценить течение беременности и внутриутробное состояние плода. Ребенок в утробе матери находится в постоянном движении, он переворачивается, сгибает ручки и ножки. Магнитно-резонансная томография проводится в неподвижном положении, поэтому для оценки состояния плода этот вид диагностики не применяется.

МРТ может быть назначено беременной женщине, но только с целью диагностики проблем ее репродуктивной системы, при угрозе невынашивания беременности, а также проводится для определения положения плода перед родами.

МРТ не оказывает отрицательного влияния на развитие плода, поскольку не имеет лучевой нагрузки. Его принцип основан на регистрации электронного потенциала тканей под действием электромагнитного поля. Электромагнитное поле для человека, в том числе беременных женщин и детей, безопасно даже при частом применении.

В сравнении с компьютерной томографией (КТ)

Рентгенологические методы диагностики, к которым относится КТ, уступают магнитно-резонансной томографии в визуализации мягких тканей. Несмотря на то, что современные компьютерные томографы отличаются высокой разрешающей способностью, сравнимой с МРТ, их применение остается ограниченным из-за высокой лучевой нагрузки. Полностью противопоказано КТ для беременных женщин.

Методика КТ основана на рентгеновском излучении

Показания к проведению магнитно-резонансной томографии малого таза

  • Онкологические процессы. Позволяет установить точные размеры опухоли, ее положение в исходном органе (внутри, в стенке, снаружи), прорастание в другие органы и жировую клетчатку, метастазирование в лимфатические узлы. На основании этого метода будет вырабатываться основная тактика лечения выявленной патологии.
  • Эндометриоз. Заболевание сопровождается разрастанием слизистого слоя матки (эндометрия) за пределы нормального расположения: в мышечный слой матки, яичники, кишечник. Это заболевание сопровождается развитием кровоизлияний в пораженные органы и развитием воспалительных процессов в них. Определить стадию эндометриоза, а также масштаб распространения процесса.
  • Кисты яичников. Определить размер кисты яичника, а также дифференцировать ее от созревшего фолликула или полостной формы онкологического процесса.
  • Заболевания крестцового и копчикового отдела позвоночника.
  • Аномалии развития половой и мочевыделительной систем.
  • Травмы органов малого таза.

Показания к проведению томографии с контрастированием

В сложных диагностических случаях, показано МРТ с применением контрастных веществ (на основе гадолиния). Препарат вводят внутривенно струйно или капельно. Распределяясь по сосудам, контрастное вещество позволяет более точно диагностировать патологический процесс.

Показано исследование с контрастированием при онкологических процессах, для диагностики метастазирования и точной локализации процесса, а также показанием является сосудистая патология (тромбозы и тромбофлебиты сосудов малого таза).

Как проводится исследование?

Исследование выполняется с помощью магнитно резонансного томографа, который представляет собой закрытую капсулу, внутрь которой помещают человека на кушетке, создавая вокруг него электромагнитное поле.

Регистрируя ответы электрических импульсов водорода от тканей организма, аппарат создает последовательные сканы исследуемых органов в поперечном и продольном сечении.

Процедура проходит полностью безболезненно, неинвазивная, длится около тридцати – сорока минут. Все время исследования пациентка должна находиться в положении лежа на спине, неподвижно.

Если процедура выполняется с контрастированием, перед ее началом женщине вводят контрастное вещество в локтевую вену. Для капельного введения контраста в просвет вены устанавливают катетер, который обеспечит медленное (капельное) введение препарата.

Противопоказания к проведению МРТ

  • Наличие внешних и внутренних металлических конструкций, таких как аппарат Елизарова, металлические клипсы на сосудах мозга, протезы внутреннего слухового анализатора.
  • Электронные имплантированные устройства (искусственный водитель ритма).
  • Татуировки.
  • Острые психические расстройства.
  • Клаустрофобия.
  • Тяжелое соматическое состояние, не позволяющее пациентке находиться в течение сорока минут неподвижно.
  • Вес более 130 кг.

Металлические протезы, выполненные из инертных сплавов, таких как титан, не являются противопоказанием, поэтому МРТ органов малого таза может быть выполнено при наличии зубных протезов и имплантов, а также с протезами суставов.

Наличие титановых зубных имплантов не является противопоказанием к МРТ

Единственное ограничение: протез тазобедренного сустава, который будет вызывать искажение электромагнитного поля, что скажется на результате, учитывая близкое анатомическое расположение малого таза.

Проблемы клаустрофобии и лишнего веса могут быть решены использованием аппарата с открытыми боковыми поверхностями.

Правила подготовки к исследованию

При необходимости МРТ может быть выполнено без специальной подготовки. Но если процедура запланирована заранее, необходимо помнить, что помешать осмотру органов малого таза могут газы в кишечнике. Поэтому готовиться к процедуре нужно за три дня: лучше соблюдать диету, ограничивающую употребление хлебобулочных изделий, бобовых, молочных продуктов, пива, газированных напитков, овощей.

Накануне, если исследование назначено на утренние часы, лучше отказаться от ужина позднее семи часов вечера. Если МРТ планируется во второй половине дня, не позднее, чем за пять часов до исследования можно съесть легкий завтрак.

Лучше проводить исследование после опорожнения прямой кишки, но прием слабительных средств в качестве подготовки не рекомендуется, так как при некоторых заболеваниях малого таза может иметься механическое препятствие дефекации. В таком случае слабительные препараты только затруднят осмотр, увеличив объем прямой кишки жидкостью.

В отличие от УЗИ, наполнения мочевого пузыря для процедуры не требуется: процедура проводится после мочеиспускания, при пустом или слабо наполненном пузыре.

При МРТ малого таза не требуется наполнять мочевой пузырь

Подготовиться необходимо и с выбором одежды и белья: они не должны содержать металлических деталей (молний, заклепок, этикеток, косточек на бюстгальтере), лучше не стоит надевать одежду с люрексом, так как он может содержать металлические компоненты. Не нужно надевать украшения, их все равно придется снять.

Подготовка также включает беседу с врачом, который будет проводить обследование, он выяснит возможные противопоказания и ответит на все интересующие вопросы о процедуре.

Заключение

Не стоит волноваться и опасаться исследования. Оно полностью безопасно. Пациент находится под постоянным наблюдением медицинского персонала и в случае необходимости обследование, может быть прервано в любой момент.

Находясь в замкнутом пространстве капсулы аппарата, женщина с помощью встроенного микрофона может связаться с персоналом в любой момент.


Смотрите также