Что показывает мрт средостения

Что показывает мрт средостения[Что показывает мрт средостения]

Что показывает МРТ средостения?

Эта область организма человека хорошо защищена со всех сторон и добраться до ее органов не так просто. Средостение и проблемы, с ним связанные — об этом мы говорим сегодня с врачом-рентгенологом ООО «МРТ Эксперт Владивосток» Хе Сергеем Мансиковичем.

- Сергей Мансикович, скажите, что представляет собой средостение и какие органы в нём располагаются?

Это часть грудной полости, ограниченная спереди грудиной, сзади позвоночником, а по бокам — внутренними поверхностями легких и плевральными полостями. Средостение содержит комплекс органов, куда входят, в частности, сердце с входящими и выходящими из него крупными сосудами (полые вены, аорта), пищевод, трахея, главные бронхи, тимус, крупные нервные стволы, лимфатические узлы и некоторые другие анатомические образования.

- Вы могли бы привести примеры заболеваний органов средостения?

Они многочисленны. К ним можно отнести пороки развития, открытые и закрытые повреждения, доброкачественные и злокачественные опухоли.

- Как их можно заподозрить? Какими симптомами обычно проявляются болезни средостения?

Признаки, так же как и сами патологии, разнообразны. Это боли, кашель, одышка, общая слабость, повышенная температура тела, потливость, похудание.

- Какие методы диагностики образований средостения находятся в распоряжении врача? Как он может подтвердить или исключить предполагаемый диагноз?

В первую очередь это флюорография. Она является скрининговым методом, и если на флюорограмме обнаруживаются какие-то изменения, то человека могут направить на уточняющие исследования, поскольку для постановки окончательного диагноза результатов флюорографии недостаточно. Исходя из конкретной ситуации, пациент может быть дообследован с помощью обзорной рентгенографии, компьютерной или магнитно-резонансной томографии грудной клетки. Хотел бы отметить, что ни один из этих методов не является универсальным и лучшим в отношении всех заболеваний органов средостения, т.е. у каждого из них свои показания и диагностические возможности.

Перечисленные методы являются неинвазивными. Несмотря на их широкие диагностические возможности, ответить на все вопросы состояния органов средостения с их помощью невозможно. Например, на КТ был выявлен онкологический процесс органа средостения. Какое именно это новообразование? С помощью томографии ответить на этот вопрос затруднительно. В таких случаях может применяться инвазивный метод исследования — медиастиноскопия. Он заключается в непосредственном осмотре органов средостения с помощью специального прибора — эндоскопа. При медиастиноскопии, можно, к примеру, взять кусочек опухоли, обнаруженной при компьютерной томографии, с целью уточнения разновидности новообразования. Кроме того, можно проводить некоторые лечебные манипуляции.

Решение о том, какое именно исследование необходимо человеку, принимается лечащим врачом.

- Скажите, а МРТ органов грудной клетки и средостения – это одно и то же или это разные исследования?

Они не идентичны. Комплекс органов средостения — лишь часть грудной клетки. Иными словами, если мы говорим о томографии ее органов, то это, соответственно, само средостение плюс легкие, части плевральных полостей.

Еще один важный момент. Магнитно-резонансная томография применительно к легким недостаточно информативна, поскольку легкие содержат воздух. «Золотым стандартом» в этом плане является компьютерная томография.

- Сергей Мансикович, когда назначают МРТ средостения?

Она используется во всех случаях, когда нужно уточнить диагноз. Например, у больного были найдены изменения на флюорограмме или рентгенограмме грудной клетки, когда с уверенностью поставить диагноз затруднительно. В этом случае, в зависимости от того, где на снимке располагается подозрительная область, врач может порекомендовать провести либо магнитно-резонансную, либо компьютерную томографию.

- Что включает в себя МРТ органов средостения?

Она предполагает исследование всех анатомических образований, входящих в него, и их возможных изменений. О них мы говорили ранее.

- С какой целью проводят магнитно-резонансную томографию средостения вместе с МРТ брюшной полости?

Это делается в тех случаях, когда патологический процесс находится на границе между грудной и брюшной полостями, или же когда по результатам исследования органов средостения врач видит, что процесс также может распространяться и в брюшную полость. В этом случае целесообразно такое совместное исследование двух полостей.

- Расскажите, пожалуйста, как проводится МРТ средостения?

Никаких особенностей в проведении исследования этой области нет. В обязательном порядке уточняются все противопоказания к проведению МРТ, в том числе и к исследованию с контрастным веществом. Также выясняется, какие заболевания переносил человек, а также имеющиеся на момент исследования. В целом особых ограничений по режиму дня, питанию или приему медикаментов нет (если лечащий врач не оговорил иное).

Пациента размещают на специальному столе аппарата МРТ, тело фиксируется специальными ремнями для сохранения неподвижности. В связи с тем, что аппарат в процессе работы издает достаточно ощутимый шум, на голову человека надеваются специальные наушники или ему предлагаются беруши. После этого выполняется диагностическая процедура. В зависимости от объема исследований она продолжается от 30 минут и дольше.

Для справки:

Хе Сергей Мансикович

Выпускник Тихоокеанского государственного медицинского университета 2013 года.

В 2014 году окончил интернатуру по специальности «Хирургия».

В 2015 — интернатуру по специальности «Рентгенология».

Прошел усовершенствование по магнитно-резонансной томографии.

В настоящее время работает врачом-рентгенологом в ООО «МРТ Эксперт Владивосток».

Как проводится МРТ средостения и что показывает

МРТ средостения является наиболее эффективной методикой обследования грудной клетки и ее органов. Также она способствует определению всех анатомических образований, находящиеся в пределах средостения. В случае необходимости процедуру можно проводить с внутривенным введением контрастного вещества.

Показания и противопоказания для МРТ органов средостения

Магнитно-резонансная томография проводится при подозрении на наличие у пациента:

  • злокачественных или доброкачественных новообразований в области грудной клетки;
  • инфаркта миокарда;
  • различных нарушений, связанных с сердечной деятельностью (стенокардии, кардиомиопатии и др.);
  • пороков сердца;
  • тромбов как в легочных сосудах, так и в сосудах сердца;
  • заболеваний грудного отдела аорты (например, таких как аневризма, расслоение стенок аорты и т. д.);
  • экссудативного перикардита;
  • воспаления легких.

Процедура противопоказана если:

  • в теле обследуемого человека имеются электронные импланты (кардиостимуляторы, стимуляторы нервов, инсулиновые помпы и кохлеарные импланты);
  • в теле пациента есть инородные тела (протезы, пирсинг, сосудистые клипсы, искусственные клапаны сердца, металлические штифты и др.).

Что касается МРТ органов средостения с контрастным усилением, то его нельзя делать следующим категориям людей:

  • беременным и кормящим грудью женщинам;
  • больным, имеющим почечную недостаточность;
  • пациентам, у которых есть аллергия на компоненты, входящие в состав контрастного вещества.

Подготовка к исследованию

МРТ средостения не требует от пациента проведения каких-либо специальных подготовительных процедур. Больному перед обследованием нужно выполнить только стандартные рекомендации. К ним относятся:

  • отказ от приема пищи за 2-3 часа до выполнения томографии (это делается для того, избежать риска возникновения рвотных позывов);
  • смена одежды на более просторную, на которой не должно быть металлических пуговиц и закрытого воротника (переодеться можно в специальной комнате там же, где проводится процедура);
  • снятие с тела металлических украшений и наручных часов;
  • сдача личных вещей (очков, кошелька, верхней одежды, мобильного телефона, ключей и т. д.) в специальную комнату для их хранения.

Кроме этого, пациенту предварительно нужно сделать анализ на мочевину (необходим для определения наличия проблем в работе почек) и анализ крови на ее реакцию с контрастным веществом (позволяет обнаружить аллергию на компоненты контрастного усиления).

Как проводят обследование

Диагностика заболеваний средостения с помощью магнитно-резонансной томографии производится следующим образом:

  • пациента укладывают на специальный стол, на котором установлен томограф (он представляет собой цилиндрическую камеру);
  • фиксируют грудную клетку обследуемого человека при помощи специальных валиков и ремней;
  • затем стол с больным передвигается внутрь цилиндрической камеры (томографа) и начинается диагностика.

Все данные, полученные в процессе выполнения МРТ, фиксируются на экране монитора.

Во время осуществления процедуры человеку нельзя двигаться, потому что любые движения могут вызвать искажение получаемой информации. Аппарат, делающий томографию, издает громкие звуки, которые могут причинить дискомфорт пациенту. Поэтому в таких случаях обследуемому могут выдать звуконепроницаемые наушники. Сам томограф еще оборудован прибором двухсторонней связи, и если больного что-то будет беспокоить, то он сможет обратиться к доктору в любой момент.

Процедура длится от 15 до 30 минут. Время ее проведения может увеличиваться до одного часа, если томография будет выполняться с внутривенным введением контрастного усиления.

Что включает томография органов и средостения

В МРТ органов средостения входит возможность обследования:

  1. Сердца. С помощью процедуры врач может оценить состояние сердечной мышцы (миокарда), кровеносных сосудов, клапанов и камер внутреннего органа. Кроме этого, томография дает возможность обнаружить зоны рубцевания миокарда (в случае перенесенного инфаркта).
  2. Легких. МРТ позволяет определить наличие видоизмененных участков в органе и его плевре, а также установить степень распространения патологического процесса.
  3. Мягких тканей, костных и хрящевых структур грудного отдела. Обследование может предоставить врачу информацию о состоянии, в котором находятся ребра, позвонки и жировая ткань грудной клетки.
  4. Кровеносных сосудов, артерий и узлов лимфатической системы организма. При помощи магнитно-резонансной томографии можно обнаружить наличие заболеваний лимфатической системы и аномалии в строении сосудов и артерий (аневризмы).

Ощущения во время процедуры

В ходе выполнения диагностического обследования пациента может беспокоить следующее:

  • металлический привкус во рту или прилив крови к конечностям (в случае использования контрастного вещества);
  • увеличение температуры тела;
  • чувство жжения или холода в том месте, куда вводилось контрастное вещество;
  • дискомфорт от длительного пребывания в неподвижном состоянии.

Невзирая на возможный дискомфорт, процедура легко переносится и не вызывает болезненных ощущений у обследуемого человека.

Использование контрастного усиления

Контрастное вещество применяется в тех случаях, когда необходимо увеличить точность диагностической процедуры. Если без контрастного усиления не обойтись, то перед проведением МРТ пациенту внутривенно вводят специальный препарат, в состав которого входит гадолиний.

Контрастное усиление позволяет врачу установить точную локализацию опухолевых новообразований и их границы.

Стоимость МРТ

Стоимость проведения магнитно-резонансной томографии как в государственных, так и частных медицинских учреждениях начинается от 4500 рублей и выше.

Что покажет МРТ, какие патологии видно на снимках

Во время осуществления диагностики можно обнаружить:

  • аномалии в развитии кровеносных сосудов, артерий и лимфатических узлов грудного отдела;
  • наличие патологических новообразований в сердце, костях, легких и в мышцах жировой ткани;
  • развитие воспалительных процессов в органах и тканях средостения;
  • особенности в строении сердца (незакрытое овальное окно, дополнительные хорды и т. д.);
  • нарушение кровотока в сердечных камерах или сосудах органа;
  • скопление избыточного количества жидкости в плевральной полости или перикарде (околосердечной сумке);
  • структурные изменения сердечной мышцы в области инфаркта;
  • развитие грыжи в позвоночном столбе грудного отдела.

Патологии разнообразные обнаруживаются в ходе выполнения процедуры. Поэтому врачи при диагностике тех или иных заболеваний отдают большее предпочтение МРТ по сравнению с другими видами обследования.

К кому идти с результатами исследования

Результаты диагностического обследования пациент может получить в тот же день, в который проводилась процедура. После этого больного отправляют к лечащему врачу (если МРТ проводилась по направлению доктора), который уже на основании полученной информации поставит диагноз и назначит необходимый курс лечения.

Если же томография проводилась без направления, а по желанию самого пациента, то в случае обнаружения каких-либо заболеваний его отправят вместе с результатами на консультацию к соответствующему специалисту (в зависимости от вида болезни).

Преимущества и риски исследования

Главным преимуществом магнитно-резонансной томографии является то, что она проводится без использования вредного излучения и поэтому не оказывает отрицательного воздействия на организм человека. Кроме этого, такая процедура считается одной из самых высокоточных.

Еще одно достоинство исследования заключается в использовании контрастного вещества на основе гадолиния. Такое вещество менее опасно в отличие от его аналогов, применяющихся при рентгенографии или компьютерной томографии.

К рискам проведения процедуры можно отнести:

  • возможность появления аллергической реакции на контрастное усиление;
  • застывание контрастного вещества в органах и тканях (может возникать у пациентов, имеющих нефрогенный фиброз).

Безопасность процедуры

МРТ средостения — это одна из самых безопасных процедур, и поэтому она не оказывает негативного влияния на здоровье обследуемого человека, если последний выполнил все рекомендации по подготовке перед проведением исследования.

Есть ли аналоги данного исследования

Аналогов, полностью заменяющих возможности магнитно-резонансной томографии, нет. Однако существуют похожие процедуры, которые могут быть менее информативными при диагностике некоторых заболеваний. Ими являются ультразвуковое исследование (УЗИ) и компьютерная томография (КТ).

Как проводится МРТ средостения и что показывает Ссылка на основную публикацию

МРТ органов средостения – что показывает томография с контрастом и без него | Второе мнение

МРТ органов средостения – это исследование, дополняющее другие диагностические методы. При верификации болезней грудной клетки применяется несколько диагностических способов – рентгенография органов грудной клетки, компьютерная томография, ПЭТ/КТ. При необходимости можно сделать МРТ средостения с контрастом для выявления небольшого злокачественного очага.

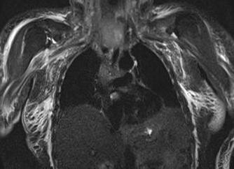
МРТ средостение – образование с локализацией в правой яремной ямке

Способы медицинской визуализации включают разные технологии, созданные для оценки микро- и макроструктуры, морфологических особенностей легочной ткани. Комбинированная диагностика позволяет не пропустить даже самые мелкие опухоли средостения, легких. Магнитно-резонансная томография визуализирует патологию мягких тканей. Компьютерная томография (КТ) показывает повреждения костной ткани. Специфичность и чувствительность современных лучевых методов позволяет определить злокачественные новообразования диаметром более 4-5 мм. На практике комбинированное применение рентгена, КТ и МРТ позволило обнаружить опасные болезни верхних дыхательных путей – пневмония, ХОБЛ, рак легкого, туберкулез. Радиоконтрастная компьютерная томография и рентгенография легкого в прямой и боковой проекциях – это самые распространенные методы современной визуализации, назначаемые не только пульмонологами, но и врачами амбулаторного профиля.

Практические исследования больных пневмонией, которым производилась МРТ средостения и легких, позволили обнаружить опухоли в 2% случаев. Количество пациентов – свыше 4000, поэтому можно доверять полученным результатам.

МРТ органов средостения после рентгенографии и продольной томографии

На практике назначается МРТ органов средостения после предварительной рентгенографии легких или флюорографии. При обнаружении на снимках подозрительных зон специалисты назначают магнитно-резонансную или компьютерную томографию, позволяющую получить срезы нужных областей. С помощью трехмерной реконструкции программное обеспечение строит пространственную модель органов средостения. После ее анализа хирурги определяют правильную тактику оперативного лечения злокачественных новообразований, доброкачественных опухолей, кист и другой патологии. Применение рентгенографии для диагностики болезней средостения и легких применяется в медицине около 100 лет. Практическое использование обследования для скрининга обусловлено низкой ценой и малым радиационным облучением пациента. Флюорография – это метод первичного скрининга, позволяющий определить заболевания легочной системы и средостения, на раннем этапе. Малая лучевая нагрузка, небольшая стоимость исследования при высокой информативности позволяет обследовать большое количество людей. Разрешающей способности флюорографии недостаточно для определения небольших образований размером до 5 мм. При наличии подозрений на дополнительные тени рекомендуется выполнение МРТ органов средостения.

МРТ легких не проводится из-за низкой информативности. Ткани, насыщенные кислородом с малым содержанием воды, плохо верифицируются на томограмме. Только после контрастирования удается проследить состояние легочной ткани.

МРТ средостения при кистах: на Т1 и Т2 взвешенных последовательностях

Цифровое отображение органов средостения не сопровождается высоким качеством, но позволяет значительно снизить лучевую нагрузку на пациента. Обнаружить патологию легких МРТ не позволяет, а компьютерная томография обладает слишком высоким радиационным облучением, чтобы использовать технологию для массового обследования людей. До появления КТ рентгенологи назначали послойную томографию легких для тщательного изучения патологического очага на нескольких срезах. С появлением более качественных технологий, трехмерного моделирования у врачей появилась возможность получения более обширного перечня информации с определением практических размеров. При отсутствии оборудования для проведения компьютерной томографии применяется метод тонкой оценки патологии средостения.

Постепенно компьютерная томография (КТ) из-за высокой разрешающей способности потеснила традиционную линейную томографию. Тонкие среды органов грудной клетки, качественная программная обработка информации позволяет получить данные о патологических образованиях с размерами более 4 мм. Более мелкие очаги верифицировать достаточно сложно. По структуре они могут напоминать сосуд или характеризоваться гиперинтенсивным сигналом, который подобен на фиброзные скопления в проекции средостения, легочной ткани. Улучшить качество компьютерной томографии позволяет использование специальных режимов с подавлением сигнала от жировой ткани, передаточной пульсации сосудов.

МРТ грудной клетки и средостения – что исследует, какие органы входят

МРТ средостения исследует сердце, полостные образования, в которых могут локализоваться злокачественные новообразования.

После трехмерной реконструкции органов средостения видно, какие органы входят в срез. Высокая стоимость обследования, повышенная лучевая нагрузка требует назначения процедуры исключительно по показаниям.

Что исследует МРТ средостения:

1. Патология сердечной мышцы; 2. Плевральные опухоли, фиброзные наложения; 3. Плевриты, определения состояния лимфатических узлов корня, органов средостения; 4. Выявление объемных образований; 5. Анализ хронических процессов;

6. Верификация патологии в корнях легких и средостении.

МРТ органов средостения показывает изменения бронхолегочной системы. Появление современного оборудования позволяет более четко дифференцировать между лимфоидной, легочной тканью. Легкие магнитно-резонансная томография не показывает из-за избыточного скопления воздуха, но при использовании контраста удается верифицировать нужные патологические образования и опухоли.

Магнитно-резонансная томография сердца в аксиальной плоскости

Достоинство магнитно-резонансной томографии – это возможность выявления тканевых и сосудистых образований корней легких, органов средостения. После внутривенного контрастирования удается определить не только первичное образование, но и прорастание опухоли в окружающие органы, сосуды, мягкие ткани.

Магнитно-резонансная томография не может визуализировать бронхоальвеолярную ткань из-за скопления в ней большого количества воздуха – это существенный недостаток обследования. При МР-сканировании средостения рационально было бы получить информацию о состоянии легочных полей. К сожалению, данную область приходится исследовать с помощью других способов – рентгенографии или компьютерной томографии.

МРТ органов грудной клетки и средостения – диагностические алгоритмы

Для выявления патологических образований средостения и грудной клетки недостаточно просто сделать МРТ грудной клетки. Для выявления опухолей рационально сканирование с применением диагностических алгоритмов. В распознавании рака легкого, туберкулеза или пневмонии требуются применение компьютерной томографии.

Выявление нозологии не позволяет использовать компьютерную томографию. При опухолях, воспалении средостения, патологии реберно-диафрагмальных синусов требуется использовании диагностических алгоритмов. На начальном этапе диагностики определить первичную картину легочного воспаления позволяют лабораторные анализы. В них определяется увеличение количества лейкоцитов, ускорение РОЭ.

Молодой возраст, острое начало болезни, воспаление крови, изменения физикальных анализов крови, выявление инфильтративных очагов на рентгенограмме, — процедуры позволяют установить правильный диагноз с вероятностью до 95%. Определение патологии легочной ткани с помощью клинико-диагностических методов позволяет не только выявить воспалительный очаг, но и установить злокачественные процессы.

Для уточнения внутренней структуры патологического очага с применением клинико-диагностических методов требуется соблюдение алгоритма, включающего лабораторные анализы, рентгенографию органов грудной клетки, КТ или МРТ средостения.

Данные компьютерной томографии позволяют уточнить внутреннюю структуру патологических очагов, определить специфические нозологические формы:

1. Легочные инфильтраты с нечеткими контурами; 2. Карнификация корней; 3. Выявление легочных абсцессов;

4. Округлые образования вследствие онкологических очагов.

Для определения воспалительных инфильтратов в средостении требуется магнитно-резонансное сканирование, не только для верификации структуры патологических образований, но с целью определение этиологической структуры патологического очага – с помощью МРТ удается выявить грибковые очаги.

Воспалительный процесс в средостении провоцирует инфильтративный туберкулез, бактерии, вирусы. Для определения частоты пневмоний бактериального и вирусного происхождения требуется проведение клинико-лабораторных анализов. При бактериальных инфекциях с помощью МРТ не удастся определить этиологический фактор, но при отсутствии эффекта от лечения при динамической оценке повышается вероятность вирусной этиологии пневмонии.

По частоте бактериальное воспаление легких встречается в 20 раз чаще, чем грибковая инфекция или туберкулезное поражение ткани. На первичном этапе диагностического обследования назначить рентгенографию позволяет выявление клинических симптомов болезни. Нестандартные факторы, указывающие на наличие воспалительного процесса в легочной ткани:

• Повышение температуры; • Хрипы в легких; • Жесткое дыхание; • Ускорение частоты кровообращения;

• Повышение дыхательных движений.

При появлении инфильтративного очага в верхней доле одного из легких, нельзя исключать туберкулез. При данной нозологии у детей на первичном этапе прослеживается увеличение внутригрудных лимфатических узлов. МРТ средостения позволяет выявить лимфаденопатию, которая станет основой для формирования опасной нозологии. При определении массивного инфильтрата на рентгенограмме с поражением целой доли или части органа, магнитно-резонасное сканирование средостения назначается для исключения опухолевых новообразований, которые сопровождаются воспалением плевры, сдавлением кровеносных сосудов, поражением лимфатических сосудов.

После выполнения рентгенограммы органов грудной клетки и средостения с обнаружением инфильтрата в прикорневой зоне, вначале назначаются антибиотики. Если на протяжении 14 дней не прослеживается эффекта от консервативной терапии, рационально проведение магнитно-резонасной томографии. МРТ позволяет провести дифференциальную диагностику между воспалительной, органической, застойной патологией в прикорневых зонах обеих легких.

Для определения рака легких после рентгенографии лучше выполнять компьютерную томографию (КТ) органов грудной клетки. Магнитно-резонансную томографию средостения рационально проводить при наличии следующих результатов рентгенографии органов грудной клетки:

• Отрицательная динамика лечения болезней легких; • Отсутствие эффекта от лечения;

• Отрицательная динамика при выполнении рентгенографии.

Рекомендуем врачам назначать КТ органов грудной клетки и МРТ средостения при увеличении объема инфильтрации при возникновении инфильтрации, появлении плеврита, неадекватной картины корней легких. При любой отрицательной динамике от лечения лучше провести дополнительную верификацию, чтобы не пропустить туберкулез или рак легких.

При слабой динамике на рентгенограмме нужно также задуматься о грибковом инфицировании легочных полей и средостения. Компьютерная томография легких показывает патологические образования, туберкулез, рак, вирусные или бактериальные инфекции.

При подозрении на туберкулез легких у взрослых рационально проведение компьютерной томографии:

1. Кальцинаты корней; 2. Инфильтраты верхней доли;

3. Дорожка от патологического узла к корню (лимфангит).

При подозрении на туберкулез у детей советуем выполнять МРТ средостения для определения внутригрудного лимфангита, который является первичной формой заболевания у детей, возникающей до появления специфических инфильтратов в легочных полях.

При определении, что исследует МРТ средостения, нужно зафиксировать основное внимание на необходимость выявления опухолей небольших размеров. При своевременной верификации патологии удается предотвратить ее неоперабельность и летальный исход.

Что показывает МРТ средостения?

МРТ органов средостения — неинвазивная методика исследования данной области, которая применяется в качестве дополнительно источника информации. При помощи томографии врачи получают посрезовые снимки тканей, благодаря чему врачи могут вовремя заметить мельчайшие патологические изменения. При необходимости выполняется МРТ с контрастом, что позволяет более точно определить опухолевые образование.

Что показывает исследование?

Диагностика помогает визуализировать все органы и ткани данной области. Средостение — определенная часть грудной полости, которая как бы отгорожена по бокам внутренними поверхностями легких и плевральными полостями, с одной передней стороны — грудиной, а с другой — позвоночником.

Комплекс органов включает:

  • пищевод;
  • крупные нервные стволы;
  • тимус;
  • сердце с аортой и полой веной;
  • часть бронхов;
  • лимфатические узлы.

МРТ показывает изменения бронхолегочной системы. Обратите внимание, что МРТ легких обычно не проводится, поскольку ткани, насыщенные кислородом и содержащие мало воды, практически не отображаются на томограмме. Визуализация происходит лишь после введения контраста. Поэтому, если необходимо исследование легких, то назначается рентген или компьютерная томография.

Что позволяет исследовать и выявлять магнитно-резонансное сканирование средостения?

С помощью сканирования врачи выявляют:

  • злокачественные образования;
  • плевральные опухоли;
  • патологии сердечной мышцы;
  • объемные новообразования;
  • пороки и аномалия развития;
  • травматические повреждения;
  • плевриты.

Также МРТ используется для анализа и контроля хронических процессов с целью уменьшить лучевую нагрузку, если до этого часто проводились рентгенологические исследования.

Когда стоит пройти МРТ средостения?

Обычно магнитно-резонансная томография назначается в том случае, когда у пациента плохие результаты флюорографии. Целесообразность использования МРТ может решить только квалифицированный специалист, самостоятельно назначать себе процедуру не стоит.

К основным симптомам, при которых врач направит на обследования органов средостения, относится:

  • повышение температуры тела;
  • кашель;
  • боли в груди;
  • одышка;
  • чрезмерная потливость
  • общая слабость и упадок сил;
  • потеря веса.

Иногда доктора рекомендуют пройти МРТ органов средостения совместно с исследованием брюшной полости. Это необходимо при подозрениях на развитие патологического процесса находящегося на границе этих областей.

Помните, что МРТ, КТ, рентгенография — взаимодополняют друг друга, в зависимости от симптомов и предварительного обследования врач решает, к какому типу диагностики лучше прибегнуть. При подозрительных опухолях пациент направляется на инвазивное эндоскопическое обследование — медиастиноскопию, чтобы уточнить характер образования.


Смотрите также