Что показывает мрт сосудов шеи

Что показывает мрт сосудов шеи[Что показывает мрт сосудов шеи]

МРТ сосудов шеи

Если у человека болит или ноет шея, он часто может игнорировать эти симптомы, и напрасно. Многие функциональные патологии позвоночника вызваны отклонениями в работе именно его шейного отдела. При боли в этой области врач чаще всего назначает МРТ сосудов шеи, так этот метод способен оценить состояние всех структур позвоночника, в том числе и кровеносных сосудов.

Если пациент обратился ко врачу после травмы шеи или есть симптомы, указывающие на патологии в этой части тела, то именно МРТ будет назначено в первую очередь. Нередко дискомфорт в этой зоне может быть вызван заболеваниями сосудов, а также могут сказываться и серьёзные болезни сердца или желудка. Магнитно-резонансная томография достоверно определит проблему и выявит самые разные нарушения, среди них:

  1. Диагностирует грыжи, которые могли появиться между шейных позвонков.
  2. Показывает любые аномальные процессы, в том числе инфекционные.
  3. Определит опухоль в спинном мозге или сосудах.
  4. Диагностирует остеохондроз шейной зоны.
  5. Обнаружит стеноз канала позвоночника.
  6. Выявит любые патологии сосудов: тромбы, атеросклероз и др.
  7. Поможет определить местоположение травмированного участка и оценить последствия травмы.
  8. Исследование показывает аномалии развития или нарушения функций щитовидной железы.
  9. Диагностирует заболевания гортани и лимфоузлов.

Стоит отметить, что МРТ шеи чаще всего проводят совместно с исследованием сосудов головного мозга. Система сосудов шеи и мозга тесно связаны, патологии одной из них не могут бесследно пройти для второй, именно поэтому рекомендовано комплексное сканирование. Только при параллельном исследовании головного мозга врач-диагност может получить полноценные данные о состоянии мозгового кровообращения и поставить однозначный диагноз.

Кому необходимо пройти это обследование?

Для проведения МРТ шейного отдела позвоночника есть множество разнообразных показаний. Нередко процедура назначается как часть подготовительного периода перед хирургическим вмешательством, такое исследование позволяет врачу чётко оценить объёмы и характер операции. Также магнитная томография шеи позволяет установить причины частых мигреней, этот метод в данной ситуации остаётся информативным даже тогда, когда альтернативные обследования оказались бесполезными.

Показания

  1. Стоит пройти это сканирование тем, кто часто испытывает головокружения или падает в обмороки.
  2. Рекомендована процедура людям, которые ощущают дискомфорт в шее, чувство «зажатости».
  3. Поводом для беспокойства и проведения МРТ могут стать неприятные, порой болезненные ощущения в прикорневой зоне волосяного покрова.
  4. Обследование шейного отдела позвоночника и головного мозга стоит провести, если периодически немеет не только сама шея, но и кожа головы, кисти рук.
  5. В некоторых случаях процедура назначается, если больного беспокоят сильно выраженные «мурашки» на коже.
  6. Показана магнитная томография шеи и головного мозга людям с вертебро-базилярной недостаточностью кровообращения.
  7. Медики часто рекомендуют это исследование в том случае, если у них появились подозрения о развитии тромбоза сосудов шейного отдела.
  8. Обязательно стоит пройти МРТ тем, кто испытывает сильные болевые ощущения в шейном отделе, при этом они отдаются в руки, грудную клетку или в голову.
  9. В большинстве случаев назначается процедура людям, которые перенесли травму спинного мозга.
  10. В составе комплексной диагностики исследование стоит пройти и пациентам, у которых часто и резко меняется артериальное давление.
  11. В обязательном порядке будет проведено МРТ, если есть вероятность появления опухолей головного мозга, особенно злокачественных.
  12. Назначается при инфекционных поражениях позвоночника, среди них может быть токсоплазмоз, туберкулёз, остеомиелит.
  13. Подобное исследование шейного отдела и головного мозга проводится и при аутоиммунных заболеваниях позвоночника, например, болезни Бехтерева или спондилита.
  14. Также МРТ применима и при ранее выявленных абсцессах шейного отдела.
  15. Процедура рекомендована при ревматизме и хроническом артрозе.

Снимок МРТ шеи

Противопоказания

  1. Не рекомендована процедура при беременности, особенно в первом триместре.
  2. Не применимо МРТ к пациентам, у которых на сосудах в головном мозга установлена клипса.
  3. Одно их неоспоримых противопоказаний – наличие металлических элементов на теле человека, среди них имплантаты, протезы и др.
  4. Не проводится сканирование и для тех людей, которые постоянно пользуются кардиостимулятором или нейростимулятором.
  5. Не стоит применять этот вид обследования к пациентам, которые страдают от аритмии.
  6. МРТ может отрицательно сказаться на состоянии больных сердечной недостаточностью.

Многие задаются вопросом – как же металлические элементы в человеческом теле могут помешать ходу сканирования? Напомним, что этот метод диагностики основан на действии магнитного поля, и поэтому даже небольшие частицы металла могут исказить результаты процедуры. Внимательно стоит относиться к МРТ людям, которые имеют на теле татуировки, декоративные краски нередко содержат частицы металла. Если же вы носите слуховые аппараты или иные медицинские приборы, их нужно обязательно снимать на время сканирования, так как они могут прийти в негодность или сильно нагреться.

Как подготовиться к сканированию?

Этот метод диагностики хорош тем, что не требует от пациента специальной долгой подготовки, не нужно соблюдать диету или принимать специальные препараты. Помните, что врач может знать не обо всех ваших болезнях, поэтому обязательно напомните ему о хронических заболеваниях, особенно тех, которые входят в список противопоказаний. Если МРТ проводится девушке, и она не может полностью исключить беременность, то стоит сначала сделать соответствующий тест. Также женщина должна сообщить медику о наличии внутриматочной спирали.

Помешать исследованию может что угодно, даже зубной протез, не забудьте предупредить и о боязни замкнутого пространства, если такая присутствует. При сильной клаустрофобии МРТ не проводят, так как нахождение в закрытой капсуле в течение длительного времени может вызвать у такого больного непредсказуемую реакцию.

Как проводят сканирование?

МРТ шейного отдела проводится так же как и магнитная томография любой другой части тела. Во время сканирования больной не почувствует ничего болезненного или неприятного, небольшой дискомфорт может возникнуть только после введения контрастного вещества.

Проведение МРТ сосудов шеи

Ход процедуры

  1. Перед входом в кабинет больному стоит снять все украшения, а также часы.
  2. Его просят занять лежачее положение на столе аппарата. При необходимости вводится контрастирующее вещество.
  3. Передвижной стол задвигают в тоннель аппарата, руки и ноги больного в некоторых случаях заранее фиксируют специальными ремнями, чтобы избежать случайных шевелений.
  4. Когда начнётся сканирование, диагност покинет это помещение, он будет следить за ходом диагностики из соседней комнаты, при необходимости можно связаться с ним по микрофону, он находится в камере томографа.
  5. Во время работы аппарат может издавать негромкие звуки, никаких ощущений пациент при сканировании не чувствует.
  6. Длится процедура может около 30 минут, но с применением контраста она может занять около часа.
  7. Все данные о состоянии шейного отдела позвоночника поступают на экран монитора, именно с помощью этих снимков диагност подготовит результаты сканирования.
  8. Когда процедура окончена, больной ещё некоторое время ждёт подготовки результатов, а затем может сразу отправиться домой.

Стоит отметить, что при необходимости человеку дают выпить седативные препараты, они нужны тогда, когда больной не способен долгое время сохранять полную неподвижность. А от этого напрямую зависят результаты исследования, так как даже малейшее телодвижение может исказить данные и диагностика будет неэффективной.

Особенности МРТ с применением контраста

Сканирование с контрастом считается более сложной процедурой, поэтому оно и длится намного дольше, и список противопоказаний у него немного длиннее. Контраст используют тогда, когда возникает необходимость в большей детализации и чёткости изображения. Чаще всего применение этого вещества актуально при выявлении опухолей, особенно онкологических. Что такое контраст? Это медицинский препарат — гадолиний, который активно откликается на магнитное поле. Его вводят в вену при помощи катетера, с кровью он быстро распределяется по системе сосудов, подсвечивая её таким образом. Стоит отметить, что йода такой контраст не содержит, поэтому аллергию вызывает крайне редко. Если будет применяться контраст, то необходимо заранее узнать нет ли на него аллергии у больного, контрастное МРТ не проводится при астме и поллинозе, а также не рекомендовано при заболеваниях почек.

Этот способ даёт дополнительную возможность – не только оценить состояние сосудов, но и зафиксировать характеристики кровотока. Также МРТ с использованием контраста позволяет проследить за работой любого органа и самой системы сосудов. Диагност не сможет пропустить из виду места переплетения или сужения сосуда. Это самый простой способ для обнаружения онкологических образований, так как в месте их дислокации обычно наблюдается большое скопление сосудов.

Расшифровка результатов МРТ

Если сканирование позади, то вам останется только дождаться пока врач-диагност подготовит снимки, а, главное – расшифрует данные сканирования. Подготовка экспертного заключения может занять всего 15 минут, иногда приходится ждать до часа. Для каждого пациента специалист подготовит не только заключение по результатам МРТ, но и даст индивидуальные советы и рекомендации по дальнейшей диагностике или лечению. Вас могут направить к конкретному узкому специалисту. Чаще всего диагноз может быть поставлен после первой процедуры, но иногда могут быть показаны альтернативные методы исследования.

Итак, магнитно-резонансная томография сосудов шеи – это полностью безопасная, неинвазивная, безболезненная и очень информативная методика. Она позволяет получить полноценные и подробные изображения всех сосудов и нервных окончаний. На сегодня это один из самых современных и точных способов исследования системы сосудов головы и шеи.

МРТ сосудов шеи: особенности диагностики

Современные методы диагностики, позволяющие визуализировать различные структуры организма, оказывают неоценимую помощь в установлении истинной причины заболевания. Именно с такой целью при разнообразных сосудистых и воспалительных процессах, травмах шейного сегмента позвоночника рекомендуют провести МРТ сосудов шеи.

Это исследование за относительно короткий период уточнит наличие патологии и точную зону ее локализации, установит вероятную причину, спровоцировавшую ее развитие, что обеспечивает эффективное лечение и восстановление здоровья пациента.

Томография шеи — для чего нужна диагностика

Зона шеи в организме человека обеспечивает соединение головы с туловищем, и в этой области расположено огромное число сосудов, нервных волокон, костных структур и сочленений, соединяющих различные анатомические области.

МРТ шейного отдела позвоночника

Остовом шеи является позвоночный столб, который в этом отделе состоит из семи позвонков, отличающихся друг от друга по объему движений и выполняемым функциям. Спинномозговой канал, образованный телами позвонков, является прибежищем для спинного мозга и его оболочек.

Для шейного сегмента свойственна разветвленная и обширная сосудистая сеть, обеспечивающая кровоснабжение указанных анатомических структур, а также головного мозга и смежных областей.

Основная особенность кровоснабжения этой зоны заключается в поступлении и оттоке крови по двум сосудистым бассейнам:

  • сонной артерии — обеспечивает кровоток в передней и боковой поверхности шеи;
  • позвоночной артерии — доставляет кровь и питательные вещества к тканям задней поверхности этой области.

Артерии и вены головного мозга и шеи

Попадая в полость черепа, они сосуды формируют два сообщающихся между собой круга кровообращения головного мозга, при этом случайное прекращение поступления крови может быть компенсировано за счет альтернативного источника. Магнитно-резонансная томография (МРТ) шеи и сосудов шеи позволяет рассмотреть особенности строения нервной ткани, оболочек спинного мозга, артерий и вен, а также мягких тканей, изучить функциональные изменения в них.

При проведении диагностики тело пациента помещают в магнитное поле, и атомы водорода, присутствующие во всех органах и тканях человеческого организма, вовлекаются в ядерно- магнитный резонанс. Этот эффект может быть уловлен специальными датчиками и преобразован в изображение, которое доктор использует в диагностике.

Особенность МРТ диагностики заключается в том, что дополнительное контрастирование используется только в случаях, когда необходимо отчетливо рассмотреть мельчайшие детали снимка — в остальных случаях изображение дает всю необходимую информацию. Обязательно дочитайте до конца эту статью, чтобы узнать все про мрт сосудов шеи.

Как выполняют МРТ шейного отдела – принцип диагностики

МРТ сосудов с контрастом используют:

  • при подозрении на нарушение проходимости магистральных сосудов, относящихся к системе сонной и позвоночной артерии, вызванное атеросклеротическим или воспалительным процессом;
  • для выявления патологии расположения артерий и вен, врожденных аномалий развития этих сосудов;
  • с целью диагностики артериовенозных мальформаций и аневризм в сосудах шеи и головного мозга;
  • в случае, когда у пациента подозревают по клинической картине тромбоз магистральных вен головы и шеи;
  • для подтверждения диагноза новообразований, затрагивающих сосуды;
  • для выявления осложнений системных заболеваний, затрагивающих сосуды (васкулиты, сахарный диабет, гипертоническая болезнь);
  • при подозрении на черепно-мозговую травму и уточнения тяжести ее последствий (эпидуральные и субдуральные кровоизлияния, кровотечение в вещество головного и спинного мозга);
  • если пациента в течение длительного времени беспокоят головные боли, приступы головокружения, сопровождающиеся расстройствами слуха, зрения и обоняния;
  • при патологиях хребта, повлекших изменения в артериях и венах, проходящих в поперечных отростках позвонков шейного отдела.

Особенности диагностики

При проведении МРТ, в отличие от классического рентгеновского снимка и компьютерной томографии, организм пациента не подвергается воздействию рентгеновских лучей, соответственно, отсутствует лучевая нагрузка.

В случае необходимости МРТ сосудов шейного отдела позвоночника и головного мозга (на фото) может использоваться для контроля проведенного лечения и отслеживания изменений, являющихся следствием хирургического вмешательства на артериях и венах.

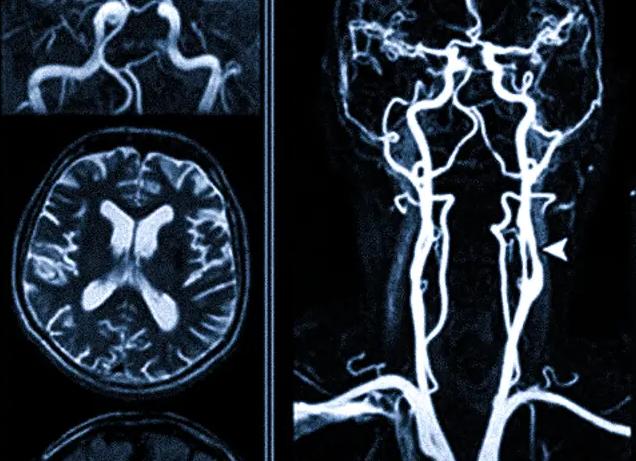
МРТ сосудов головы и шейного отдела позвоночника

Такая диагностика может повторяться неоднократно – если есть показания магнитно-ядерную томографию можно делать несколько раз. В этом случае специалисты рекомендуют выполнять сканирование на одном и том же аппарате для корректного сравнения результатов.

В отличие от КТ, врач может разрешить проведение исследования на аппаратах закрытого и открытого контура. Различие оборудования (использование “открытого” аппарата) делает МРТ доступным для пациентов, страдающих боязнью замкнутого пространства.

В этом случае диагностическая ценность полученного результата будет существенно ниже, чем в аппаратах “закрытого” контура, но существенные патологические изменения, оказывающие влияние на кровоснабжение тканей шеи и головы, обнаруживаются.

Цель исследования

Пациенты при назначении такой диагностики часто интересуются, что показывает МРТ ангиография сосудов шеи и головного мозга и можно ли заменить подобную томографию какими-то другими исследованиями. Магнитно-ядерный резонанс обеспечивает четкое изображение структур, которые очень сложно изучить какими-то другими тестами — любых мягких тканей организма человека.

На снимке отчетливо будут видны:

  • хрящевые и соединительно-тканные структуры позвоночного столба (межпозвоночные диски, связки, хрящи суставов);
  • сосуды разного калибра — от очень крупных артерий и вен до структур мелкого калибра;
  • мягкие ткани головы и шеи;
  • особенности строение шейного отдела спинного и всех структур головного мозга (оболочки, серое и белое вещество, другие анатомические отделы).

Патология сонной артерии, обнаруженная на МРТ (реконструкция)

При дополнительном введении специального контрастного вещества на снимке будут отчетливо видны артериальные и венозные сосуды, образующие соединенные между собой каротидный и вертебро-базиллярный круги, которые обеспечивают кровоснабжение головного мозга. Изучение сосудов, питающих спинной мозг, при дополнительном контрастировании демонстрирует нарушение нормального кровотока этой зоны.

Кроме того, МРТ ангиография сосудов шеи демонстрирует особенности кровотока по крупным артериям, отходящим от аорты — к ним относят сонные и позвоночные артерии.

Каротидные артерии располагаются на переднебоковой поверхности шеи — именно эти сосуды чаще всего поражаются атеросклеротическим процессом, что ухудшает условия кровоснабжения головного мозга. Позвоночные артерии, проходящие через отверстия в поперечных отростках позвонков шейного отдела, сдавливаются при остеохондрозе шейного отдела позвоночника — такое состояние часто провоцирует гипертоническую болезнь.

Подготовка к МРТ

В большинстве случаев для пациентов, которым рекомендовано МРТ, нет необходимости продолжительной подготовки — специалисты рекомендуют воздержаться от приема пищи за 2-3 часа до исследования, если не планируется введение контраста, и 4-5 часов при дополнительном введении лекарственных препаратов.

Необходимости ограничивать себя в приеме жидкости для больных нет, они могут принимать медикаменты, рекомендованные доктором даже непосредственно перед проведением исследования.

Как проводится диагностика

Независимо от того, планируется ли МРТ сосудов шеи и головного мозга на аппаратах открытого или закрытого контура, условия диагностики не изменяются.

МРТ шеи в аппарате закрытого контура

Перед началом исследования человека укладывают на движущийся стол томографа, голову фиксируют специальной подставкой. После этого медицинский персонал выходит из комнаты, где находится томограф — до этого в руку больного вкладывают устройство, при помощи которого он сможет сообщить о дискомфорте во время процедуры. Медики, проводящие исследование, общаются с пациентом при помощи встроенного динамика.

Продолжительность МРТ составляет 20-30 минут — за это время томограф выполняет послойные срезы, на основании которых будет построена картина, дающая представление о строение тканей изучаемой зоны. Если необходимо дополнительное введение контраста, то лекарственное вещество вводится в сосудистую систему через вену (чаще выполняют пункцию сосудов в локтевой ямке).

Кроме того, существует особый вид исследование — МРТ сосудов головы и шеи в ангиорежиме. При таком варианте диагностики томограф генерирует особые импульсные последовательности в 2D и 3D режимах, при выполнении которых кровь, движущаяся с довольно большой скоростью, становится естественным контрастом.

МРТ сосудов шеи в ангиорежиме

Видео в этой статье показывает, как проводится исследование.

В комнату, в которой проводится томография, нельзя входить со следующими предметами:

  • любыми изделиями из металлов — пациенты должны снять часы, сережки, крестики, пирсинг;
  • пластиковыми картами;
  • очками в металлической оправе;
  • мобильными телефонами и другими гаджетами.

Все эти предметы повреждаются магнитным излучением — банковские карты могут размагничиваться, предметы нагреваться, нарушается работа современной электроники.

Противопоказания к диагностике

К магнитно-резонансной томографии существуют абсолютные и относительные противопоказания, ограничивающие возможности проведения исследования.

Инструкция говорит, что к абсолютным противопоказаниям к диагностике относят:

  • наличие в организме пациента любых электронных устройств, работы которых может быть нарушена магнитным полем — кардиостимуляторов, слуховых аппаратов;
  • присутствие в теле любых предметов, в состав которых входит железо (клипс, используемые для гемостаза на крупных сосудах, охотничьей дроби, инородных тел из металла)
  • беременность в первом триместре — нет достоверных сведений, что такая диагностика не навредит развивающемуся плоду.

При выявлении любого из указанных противопоказаний пациенту рекомендуют альтернативные исследования диагностики, позволяющие провести комплексное обследование интересующей зоны

К относительным противопоказаниям относят:

  • возраст пациента до 7 лет — маленьким детям сложно пролежать неподвижно в течение времени, нужного для проведения МРТ;
  • клаустрофобия — при боязни замкнутого пространства рекомендуют исследование на аппаратах открытого контура;
  • присутствие в теле пациента металлических изделий, которые не содержат железо;
  • наличие внутриматочной спирали у женщин;
  • брекеты, установленные для коррекции зубного ряда и стоматологические имплантаты из титана.

В этих случаях врач до процедуры МРТ должен взвесить возможные риски и потенциальную пользу для больного и решить, насколько безопасным исследование будет в этом конкретном случае. Отсрочка необходима, если пациенту титановые имплантаты устанавливались в течение последних двух месяцев до запланированной диагностики.

От чего зависит стоимость

Цена проводимого МРТ напрямую зависит от мощности аппарата, используемого для процедуры — сегодня в клиниках можно найти оборудование, напряженность магнитного поля в котором составляет от 0,3 до 3 Т.

МРТ аппараты с низкой мощностью (0,3 — 0,5 Т), несмотря на очень низкую стоимость диагностики, зачастую не дают всех необходимых сведений об исследуемых объектах, поэтому врачи не рекомендуют использовать их для обследования сосудов головы и шеи. Оборудование, мощность которого составляет 3 Т дает самые четкие снимки, но таких аппаратов в настоящее время не так много, поэтому очередь на МРТ в этом случае может быть слишком большой, а цена — высокой.

Оптимальное соотношение цена-качество обеспечивают томографы, мощность которых составляет 1,5 Т — именно на таком оборудовании чаще всего проводят изучение области головы и шеи.

Важно! МРТ диагностика – современная малоинвазивная процедура, которая позволяет установить анатомические и физиологические особенности изучаемой области и поставить пациенту точный диагноз, необходимый для выбора оптимальной тактики лечения.

Что показывает МРТ сосудов шеи

  1. Показания к МР-ангиографии
  2. Что покажет МРТ сосудов
  3. Что выбрать- КТ, МРТ или УЗИ
  4. На каком аппарате нужно проводить МР-ангиографию

Сосуды шеи, а именно общая сонная, внутренняя, наружная сонные и позвоночные артерии, направляясь в мозг в виде базилярной, передней, задней и средней мозговых артерий, формируют в нем Виллизиев круг. Таким образом, любая патология сонных и/или позвоночных артерий может стать потенциальной угрозой нарушения кровоснабжения в мозге вплоть до ишемического инсульта. Также сонные артерии дают ветви к органам чувств (зрение, слух, обоняние, вкус), поэтому нарушение данных функций также зачастую встречается при патологии этих артерий.

Показания к МРА шеи с контрастированием

  1. Наличие транзиторных ишемических атак, которые проявляются парезом или снижением чувствительности половины тела, расстройством речи, нарушением координации, зрения. Развиваются такие атаки в течение секунд и минут. Критерием транзиторности является полный регресс симптомов в течение суток. Подобные атаки являются предвестником ишемического инсульта!
  2. Проявления дисциркуляторной энцефатопатии, а именно головокружения с головной болью, кратковременная утрата сознания, шум в ушах со снижением слуха, двоение или туман в глазах, снижение зрения. В результате постоянно сниженного кровоснабжения различных участков мозга у пациента развивается неврастения и астения с последующим изменением интеллекта.
  3. Перенесенный инсульт (от 2 дней после возникновения)
  4. Проявления синдрома позвоночной артерии, как в ее компрессионно-ирритативном, так и рефлекторно-ангиоспастическом варианте. В первом случае это головные боли и ползанье мурашек по типу снятия шлема, боль в мышцах шеи с одной или с двух сторон с ощущением щелканья или хруста при ее повороте, расстройства зрения и/или слуха с одной стороны. Во втором случае это головная боль, предвестником которой является стресс, изменение погоды, давления сосудов, чувство распирания в голове, обмороки при резких движениях шеей, нарушение координации движений, снижение слуха с одной стороны, першение или ощущение мурашек в области горла; при всем этом у человека появляются ипохондрические настроения (особенно от области грудной клетки и выше), настороженность, переживания.
  5. Внезапное появление тупой, давящей, реже стреляющей, пульсирующей боли в половине голове или шее с одной стороны- признак, предшествующий ишемическому инсульту при диссекции сонной артерии (расслоении), также может быть кратковременная утрата зрения с одной стороны. При расслоении позвоночной артерии-боль по задней поверхности шеи и в затылке, при этом нарушение кровообращения в мозге почти всегда формируется в момент поворота или наклона головы.

Что можно увидеть при МРТ ангиографии шеи

  1. Атеросклеротические бляшки, сопутствующее повреждение интимы сосуда
  2. Тромбы, попавшие в сосуды шеи из сердца при аритмиях
  3. Перегибы, петлеобразования артерии или вены
  4. Аневризмы сосудов
  5. Хроническая окклюзия и стеноз сосуда
  6. Мальформации сосудов
  7. Сдавление сосуда извне
  8. Гипоплазия (в том числе малая позвоночная или сонная артерия)
  9. Расслоение сосуда с формированием внутристеночной гематомы

КТ, МРТ или УЗИ сосудов шеи- что лучше

Ультразвуковая диагностика всегда является методом выбора в диагностике сосудов шеи. Данный метод является обязательным скринингом и всегда проводится первично. МСКТ и МРТ при этом являются методами верификации, когда присутствуют спорные моменты при УЗИ и требуется уточнение для постановки заключения.

Преимуществами томографии является возможность неинвазивного высокоточного изучения сосудистых структур на большом протяжении с одновременной визуализацией калибра и диаметра сосуда, возможность получать изображения под различными углами при единственном сборе данных, в труднодоступных для УЗИ областях.

При этом МСКТ является методом выбора при острых, угрожающих жизни патологиях сосуда, когда нет времени для проведения МР-исследования. К таким патологиям относят угрожающий разрыв аневризмы, расслоение артерии, острый тромбоз с ишемией мозга.

В любом другом случае, по возможности, должно быть проведено МР-исследование. Оно без какого-либо облучения и без применения контрастного вещества достоверно визуализирует все известные патологии сосудов в высоком разрешении. Например, при МРТ шеи видно структуру атеросклеротической бляшки от 0,1-0,3 мм.

Следует помнить, что КТ исследование всегда проводится с внутривенным контрастированием, что создает некоторый риск, так как контрасты для КТ содержат высокую концентрацию йода и часто являются высокоосмолярными по отношению к крови. Снимки МРТ вен шеи, артерий шеи и экстракраниальных сосудов высокоэффективно выявляют патологию как без контраста, так и с ним. При этом контраст для МРТ (гадолинийсодержащий) не вызывает осложнений.

Подготовка к МРТ шеи не нужна. При КТ-ангиографии ввиду применения контраста нужно отказаться от еды за три часа до исследования.

Где сделать МРТ сосудов шеи

Для МР-ангиографии нужно выбирать центр с минимум 1,5 тесловым томографом закрытого типа. При исследованиях на аппаратах открытого типа визуализация сосудов затруднена из-за низкого поля томографа, ввиду чего приходится прибегать к введению контраста для усиления изображения.

МРТ сосудов шеи

Артерии и вены, находящиеся в области шеи, непосредственно связаны с сосудами головного мозга. Изменение структуры сосудов приводит к нарушению его кровоснабжения и тяжелым заболеваниям. Диагностика состояния вен и артерий позволяет вовремя обнаружить причину патологий. Метод магнитно-резонансной томографии дает возможность получить точное трехмерное изображение головы и шейного отдела. На таком изображении нетрудно обнаружить области сужения или расширения сосудов.

Стенозы (сужения) могут стать причиной нарушения координации движений, потери слуха и других патологий. Аневризмы (расширения), являющиеся результатом износа сосудистых стенок и повышения кровяного давления, могут привести к их разрыву, кровоизлияниям в различные участки мозга. Это состояние часто приводит к смерти. Вовремя обнаружив такие процессы методом МРТ, можно начать срочное лечение, чтобы избежать тяжелых осложнений.

МРТ сосудов шеи

Виды МРТ шеи и их особенности

Метод МР томографии основан на различии реакции здоровой и больной ткани на воздействие сильного электромагнитного поля. Эта разница позволяет получить ясное изображение пораженного участка на фоне здоровых тканей. Для того чтобы добиться еще большей четкости, в кровь вводятся специальные препараты, которые в отличие от органических тканей не реагируют на электромагнитное излучение. Нарушение кровообращения из-за поражения сосуда определенной области вызывает скопление там контрастного вещества. Это дает возможность получить четкую картину патологии.

Обследование сосудистой системы области шеи может проводиться как с введением контрастного вещества, так и без него. В зависимости от вида обследуемых сосудов различают следующие виды МР томографии с контрастированием:

  1. Артериография;
  2. Венография (флебография).

При артериографии контрастирующие препараты под давлением вводятся непосредственно в артерию с помощью катетера или шприца. Они пропускаются чаще всего по направлению движения крови. В некоторых случаях – против ее тока. Давление в сосудах может вызвать неприятные болезненные ощущения у пациента.

Применение МР артериографии дает возможность заметить изменения в самих артериях, а также обнаружить опухоли в окружающих тканях.

Венография проводится с внутривенным введением контрастного препарата. После обследования вводится физиологический раствор для очистки вены.

Венография сосудов шеи

Состояние сосудов иногда изучается другим путем: контрастный препарат вводится в ткань, окружающую сосуды.

Для того чтобы получить полную информацию о сосудах шейной области часто применяется одновременное проведение МРА и МРВ.

Сосуды, которые можно увидеть на МРТ изображении области шеи

С помощью МР томографа на экране компьютера можно увидеть четкое изображение артерий, по которым кровь поступает в мозг, а также вен, отводящих ее из мозга. К ним относятся:

  • Сонная артерия с ответвлениями;
  • Артерии позвоночника;
  • Яремные вены и их ветви.

Показания к применению МР томографии шеи

Обследование сосудов шейной области методом МР томографии назначается в следующих случаях:

  • Происходит повреждение сосудистой системы в результате травм;
  • Пациент жалуется на частые головные боли, головокружение;
  • Наблюдаются большие перепады артериального давления, обмороки;
  • Возникают гнойные кровотечения из носа, припухлости в области висков. Это может быть признаком воспаления стенок сосудов вызывающего нарушение кровообращения;
  • Появляются признаки образования тромбов (головные боли, тошнота, головокружения, потемнение в глазах, забывчивость, звон в ушах и другие).
  • Есть подозрение на наличие опухолей. При этом происходит сдавливание сосудов разрастающейся опухолевой тканью. Пациента беспокоит боль в области шеи;
  • Возникают нарушения сердечного ритма.

Обследование с помощью МРТ сосудов шейной области назначают, если пациент жалуется на частые головные боли, головокружение

Какие патологии показывает МР томография шеи

В результате МРТ обследования удается получить объемное изображение головного мозга и шейной области на компьютере, что позволит подготовиться к операции на сосудах, а также соседних тканях. МР томография сосудистой системы шеи показывает такие патологии, как:

  • Расширения или сужения артерий и вен;
  • Атеросклероз — появление бляшек на стенках;
  • Образование тромбов, закупорка артерий и вен;
  • Сращивание вен, изменение формы сонных артерий;
  • Травматические повреждения сосудов;
  • Воспалительные процессы в стенках артерий или вен;
  • Раковые поражения самих сосудов или сдавливание их опухолями, находящимися в соседних тканях.

Патологические изменения сосудистой системы области шеи влекут за собой нарушение питания мозга. Тромбы, сужения, атеросклеротические бляшки затрудняют нормальное снабжение его кровью. Это может привести к полной или частичной потере слуха и зрения, склерозу, бессоннице, мигрени и даже нервно-психическим расстройствам.

Проведение МР томографии сосудов шеи

Поскольку сосуды шеи и головы непосредственно связаны, то часто приходится проводить МР томографию этих областей тела одновременно. Применение контрастного вещества повышает надежность результата, что сказывается на цене процедуры. Поскольку химические соединения гадолиния, которые используются в качестве препарата для контрастирования, практически не токсичны, введение контрастного вещества можно осуществлять практически всем. Исключение составляют беременные женщины, грудные младенцы, которым такие вещества вводятся только в экстренных случаях. На препараты могут реагировать также аллергики. О любых проблемах с приемом лекарств они должны сообщить врачу заранее.

Поскольку сосуды шеи и головы непосредственно связаны, то часто приходится проводить МР томографию этих областей тела одновременно

Никаких ограничений в питании и приеме жидкости, а также принятия дополнительных мер подготовки к обследованию не требуется. Пациент должен явиться на обследование за 15-20 минут до его начала, чтобы переодеться, если потребуется, в более просторную одежду (для большей комфортности процедуры), освободиться от любых металлических предметов (кольца, цепи, часы, пирсинг), мобильных телефонов, слуховых аппаратов, съемных зубных протезов.

Металлические предметы (особенно в области головы и шеи) помешают сделать качественный снимок. Мобильные и электронные устройства могут испортиться во время проведения процедуры.

Противопоказания к применению такого метода обследования сосудов шеи

Использовать такой метод нельзя, если у человека имеются вшитые приборы для регулировки сердечных сокращений, металлические частицы в теле, металлические ортопедические штифты. Электрокардиостимуляторы и дефибрилляторы могут выйти из строя в сильном электромагнитном поле, создаваемом в томографе. Это приведет к сердечному приступу. Во время процедуры может произойти незначительное нагревание тканей. Мелкие металлические частицы в теле сместятся и повредят внутренние органы. Даже татуировка может вызвать ожоги за счет разогревания частичек металла, присутствующих в красках.

Для пациентов с такими противопоказаниями выбираются другие методы диагностики.

В остальных случаях метод МРТ опасности не представляет, так как в процессе обследования не используются радиоактивные препараты и излучение. МР томография шейной области и мозга показывает более полную картину нарушений в состоянии сосудов, чем компьютерная томография и исследование ультразвуком, так как с помощью этого метода удается получить трехмерное изображение. Методом КТ и УЗИ получают плоское изображение органов и их тканей.


Смотрите также