Что показывает мрт сосудов головного мозга

Что показывает мрт сосудов головного мозга[Что показывает мрт сосудов головного мозга]

Что показывает МРТ сосудов головного мозга и симптомы для диагностики

Головной мозг снабжает мощная сосудистая сеть. Она доставляет мозгу все необходимые питательные вещества, без нее невозможна нормальная жизнедеятельность. От питания мозга зависит его работоспособность, а от мозга зависит качество жизни человека, его индивидуальность. Поэтому так важно вовремя диагностировать проблемы, связанные с сосудистой сетью мозга. И хотя это непросто, ведь сосуды – это достаточно хрупкая структура, существуют методы, позволяющие рассмотреть состояние сосудистого русла. К таким методам относят МРТ – магнитно-резонансную томографию.

МРТ сосудистой сети мозга

МРТ используется для диагностики множества органов и систем. Использование томографии в качестве специального исследования сосудов, носит особое название ангиографии.  За короткий срок исследование приобрело большое значение среди практикующих врачей и успела стать «золотым стандартом» при диагностике сосудистых патологий. МРТ головного мозга и сосудов используется не только как диагностический метод для постановки диагноза, но и при планировании операций.

Нередко ангиографию проводят с применением контрастного вещества. Это необходимо для получения более четкого и точного результата. Контраст вводится в сосуд, окрашивает мозговой ток крови и дает возможность показать процесс мозгового кровообращения. Это дает высокую информативность и позволяет обнаруживать проблемы на любом из этапов кровообращения, оценивать их характер и степень, а также масштабность. Крупные диагностические возможности и высокая степень безопасности метода, позволяют отнести его к числу универсальных.

Контрастное соединение вводится в сосуды с помощью катетера или пункции. Так как головной мозг кровоснабжается в основном за счет сонной и позвоночной артерии, контрастное соединение вводят конкретно в них. Чаще всего для этих целей используют сонную артерию. Среди контрастных препаратов основными являются йодные — Урографин, Кардиотраст, Трийодтраст. Эти соединения водорастворимы и их вводят парентерально, то есть способом, минующим желудочно-кишечный тракт.

К противопоказаниям контрастного МРТ относится аллергия на препараты йода и нарушения работы почек, ввиду того, что люди с пониженной функциональной способностью почек, испытывают чрезмерные нагрузки при введении подобных веществ, а это чревато для них опасными последствиями.

Виды МРТ сосудов

Существует несколько видов сосудистого МРТ. В зависимости от пути введения контраста в сосуды выделяют МРТ:

  • Катетеризационное, когда контрастное вещество вводится в сосудистую сеть благодаря катетеру — пластиковой трубке;
  • Пункционное, когда контраст вводится с помощью пункционной иглы.

Местоположение контрастного препарата в сосудистом русле делит ангиографию на:

  • Общую, которая достигается катетеризацией брюшного или грудного участка аорты;
  • Селективную, возникающую при введении контраста в конкретный необходимый сосуд мозга с помощью пункции или катетера;
  • Суперселективную, которая является самой трудоемкой и точной манипуляцией среди остальных видов. Это объясняется введением контраста в самые маленькие ответвления ветвей больших сосудов.

Еще одна классификация МРТ представлена следующими видами:

  • Классической, при которой вводится контрастное соединение с помощью пункции или катетера и выполняется последующая серия рентгенологических снимков;
  • КТ-ангиографией, которая сопряжена с компьютерной томографией и позволяет создавать 3D-модели сосудистого русла;
  • МР-ангиографией, которая может протекать как с введением контраста, так и без него. В настоящий момент, это единственный метод, который находится в распоряжении больных с аллергией на йодные препараты.

Рентген или МРТ?

Часто пациенты приравнивают МРТ и рентгенографию, считая, что это одно и то же исследование. Однако если сравнивать их, то сразу становится понятно, что это абсолютно разные методы. Оба они признаны уникальными и, безусловно, без них медицинские возможности были куда скромнее. Но их разница очевидна, отличия начинаются от принципа работы и заканчиваются способом проведения и полученными результатами.

Так, рентгенография работает благодаря активным радиоактивным лучам. Это не совсем полезное для человеческого организма излучение, однако, умеренное дозированное использование не приносит большого вреда. Но наиболее уязвимые группы населения, такие как малые дети или беременные, кормящие женщины, не должны испытывать этот вид излучения на себе в виду беззащитности и слабости своего организма.

Рентген хорошо выявляет патологии, связанные с твердыми, прочными структурами тела, такими как кости, а для выявления заболеваний сосудов это исследование практически не подходит. Оно нецелесообразно. Это связано с его малой чувствительностью по отношению к мягким тканям, к которым и относятся сосуды. Кроме того, МРТ более чувствительный и точный метод, он не несет вреда для организма из-за чего так и ценится специалистами.

Показания и противопоказания

Магнитно-резонансная томография сосудистой сети головного мозга проводится в следующих случаях:

  • Наличии постоянного чувства «раскалывается голова» и хронической боли, причина которой не ясна, а другие методы диагностики оказались недейственными;
  • Наличия частого чувства головокружения или шума в ушах без известной причины;
  • Черепно-мозговых травмах различной степени тяжести;
  • Расстройств мозгового кровообращения;
  • Артериальной гипертензии;
  • Стеноза сосудов головного мозга, то есть их сужения из-за атеросклеротических бляшек;
  • Аномалий сосудистого русла в виде аневризм – это выпячивания сосудистых стенок, очень хрупких, склонных к разрывам и последующему кровоизлиянию и врожденных мальформаций мозга;
  • Рвоты и тошноты, сопряженных с головной болью, которые не приносят облегчения;
  • Участившейся потери сознания;
  • Подозрения или при уже имеющейся опухоли мозга;
  • Инсульта или микроинсульта головного мозга;
  • Тромбоза венозных синусов мозга.

Все противопоказания к проведению МРТ сосудистой сети мозга можно разделить на абсолютные и относительные. К абсолютным относятся те, которые категорически невозможны, и никакие обстоятельства не могут это изменить:

  • Наличие кардиостимулятора или слухового аппарата;
  • Наличие металлических образований в организме, таких как протезы с металлическими элементами;
  • Избыточный вес пациентов, свыше 140 кг;
  • Наличие на теле пациента татуировок, выполненных краской, содержащей металлические компоненты.

К относительным относятся такие противопоказания, которые возможно нарушить с учетом разрешения врача. В таких случаях, польза от МРТ-исследования должна превышать возможные негативные последствия:

  • Клаустрофобия или боязнь замкнутого пространства, которая преодолевается с помощью аппарата МРТ открытого типа;
  • Тяжелое состояние пациента, которое возможно разрешить с помощью оказания необходимой помощи и приведения его в удовлетворительное состояние;
  • Беременность пациентки. В таком случае процедура осуществима при наличии справки с согласием к проведению диагностики от акушера.

Что показывает МРТ

Магнитный резонансный томограф способен показывать целый ряд патологических изменений, она дает возможность оценить динамику процесса и его функциональные возможности. Среди таких изменений в мозге, показанный МРТ способен выявить:

  • Опухоли и кисты, в том числе и сосудистого происхождения;
  • Изменения спинномозговой жидкости;
  • Черепно-мозговую травму, ее масштаб, характер, локализацию и степень;
  • Постинфарктный и постинсультный очаг;
  • Воспалительные процессы в мозге;
  • Аномальные изменения в строении самого мозга, а также его компонентов;
  • Области изменений рассеянного склероза.
  • Сосудистые аневризмы в мозге;
  • Атеросклеротические бляшки внутри сосуда;
  • Сдавления сосудов из-за рубцов после операции или из-за воздействия патологических процессов;
  • Области ишемических и геморрагических поражений мозговых сосудов.

Проводимое МРТ сосудов головного мозга что же показывает? Результаты, которые предоставляет МРТ, позволяют врачам делать прогноз относительно развития заболевания, оценивать динамику состояния больного, составлять план лечения, планировать оперативные вмешательства. Это уникальный метод, без которого представить медицину просто невозможно.

Автор статьи: Врач невролог Махеев Константин Олегович.

Видео

Принцип проведения и сфера применения МРТ сосудов головного мозга

Традиционные рентгенография и УЗИ не дают медикам всего массива информации о функционировании мозга и качестве его сосудов. Чтобы получить дополнительные нужные подробности, найти возможные патологии, врачи назначают больному важное обследование с применением магнитно-резонансного способа, или МРТ сосудов головного мозга.

Что покажет МРТ сосудов головного мозга

Сразу опровергнем ошибочное мнение, отметив, что для пациента это абсолютно безвредная, безболезненная процедура, проводить которую с промежутками можно не один раз. Её практикуют как с использованием контрастного раствора, так и без него. Электромагнитные волны помогают получить двухмерные и трёхмерные фотографии мозговых сосудов в разнообразных проекциях. Именно по этим фотографиям опытные специалисты делают вывод о том, есть ли в организме человека заболевания, какие именно, или же их нет.

Исследование в формате МРТ-ангиографии позволяет с мельчайшими деталями разобраться с состоянием его артерий и вен. Очень чёткие снимки отражают все внутренности сосудов, включая поверхности стенок вплоть до микроскопических новообразований. Помимо того, функциональный формат 3D проявляет внутри мозговых сосудов систему его кровотока, адекватно отражая его непростой процесс, выявляет даже незначительные отклонения от нормальных параметров. Внимательно изучив эти отчётливые снимки, сопоставив их с результатами других обследований пациента, врач получает объективную картину всего происходящего внутри сосудов и затем сможет определить наличие тромбозов, аневризмов, атеросклероза, расслоений и прочих аномалий, отклонений от нормы. Стоит заметить, что контрастные вещества применяются, как правило, в очень сложных случаях, если есть метастазы, опухоли. На основании того, что показывает исследование, врач принимает соответствующее решение о дальнейшем лечении заболевания.

Иногда пациенты спрашивают, интересуясь томографией, что такое МРТ с сердечной программой. Дело в том, что проведение этой процедуры противопоказано, если у больного имеется сердечная недостаточность, кардиоимплантатор и т. п. В таком случае во избежание нежелательных осложнений процедуру не проводят.

Аппараты для МРТ головного мозга

На практике широко используется как отечественная, так и зарубежная техника для изучения с помощью МРТ головы и сосудов головного мозга. Эта высококачественная аппаратура характеризуется повышенной точностью показаний, что неоднократно доказывалось в клинических условиях. Для проведения диагностической процедуры используют функционально оснащённый кабинет, где установлен стол для пациента с фиксирующими ремнями. Неподалёку размещают пульт управления.

Кому назначается МРТ головы

Веских причин для назначения процедуры немало. Врач рекомендует её в тех случаях, когда пациент жалуется на наличие системно повторяющихся головных болей, а также болей в шее, предобморочных состояний или случаев обмороков. Кроме того, если постоянно фиксируются резкие перепады давления с одновременной рвотой или тошнотой, отклоняются от привычных параметров в работе слух и зрение, случаются провалы в памяти, приступы эпилептического образца, иные необъяснимые действия. Назначают исследование и при подозрении тромбоза мозга, симптомами которого считают, в частности, приступы мигрени, рвоты, ощущение озноба, отёчные веки, туманное сознание и прочие факторы.

Показания

Клиническое обследование имеет многие показаний. Его назначают для выявления ряда специфических заболеваний, аномалий, отходов от нормы, в том числе при фактах:

  • кровоизлияний вследствие травмированной головы или шеи;
  • дисциркуляторной энцефалопатии, возникающей при наличии атеросклероза, отравлений, инфекционных заболеваний, гиповитаминоза, а также, если налицо артериальная гипертензия;
  • злокачественных или некачественных деформаций сосудов;
  • ишемического или геморрагического инсульта, причины которого – заболевания сосудов или гипертонические кризы;
  • аневризма, атеросклероза, тромбоза и иных деформаций, нарушивших механизм кровообращения в мозгу;
  • заболеваний Бинсвангера, Паркинсона, Альцгеймера.

Также исследование проводят, чтобы адекватно оценить результативность комплексного лечения, прошедшего после непростых операций, черепно-мозговых травм, инсультов и прочих деформаций.

Противопоказания

Классических противопоказаний немало, например:

  • когда в пациенте есть кардиостимулятор, дефибриллятор, иные медицинские приспособления ферромагнетического или электронного характера, включая наличие механического сердечного клапана;
  • когда на коже татуировка, в краске которой есть частицы металлов;
  • беременность на первоначальном этапе, после родов – при кормлении ребёнка;
  • опасные формы болезней почек;
  • негативная реакция организма на вводящийся контрастный раствор.

Обоснованными причинами для отказа врач может посчитать такие ситуации, когда у пациента сердечная недостаточность, он психически неуравновешен, находится в острой стадии болезни, боится ограниченного пространства и др. В подобном случае его обследуют лишь в качестве исключения.

Какие болезни диагностирует эта процедура

Высокая точность исследований с помощью современной аппаратуры позволяет диагностировать множество непростых заболеваний, в том числе проявившихся:

  • атеросклерозом мозговой системы сосудов;
  • острым инфарктом, инсультом;
  • злокачественными, доброкачественными опухолями;
  • аневризмами;
  • инфекционными воспалениями;
  • деформированным гипофизом, турецким седлом;
  • энцефаломиелитом, васкулитом;
  • рассеянным склерозом;
  • разного рода черепно-мозговыми травмами и т. д.

С учётом результатов назначают соответствующую терапию – лечение резонансной мозговой травмы или иных выявленных заболеваний, а в ряде случаев прибегают к операционным формам лечения.

Подготовка к МРТ головного мозга

Подготовку предваряют несколько обязательных условий. Прежде всего, врач должен быть обязательно и в полном объёме проинформирован, есть ли у пациента (и какие) противопоказания к процедуре, например, что налицо клаустрофобия или беременность. Необходимо предъявить также все документы про результаты прежних обследований. В день обследования желательно обойтись без макияжа, одеться просто, удобно, без часов, брошей и других металлических, ювелирных предметов. Нецелесообразно брать с собой также лишние документы, телефон и т. п. Если планируют применить контрастный раствор, желательно непременно апробировать отсутствие аллергической реакции организма, а в день проверки явиться на неё натощак.

Как проходит процедура МРТ

Многих интересует, как проходит магниторезонансная томография, как делают МРТ. Этот процесс довольно простой. Подготовленного к нему пациента укладывают на подвижный стол, затем фиксируют специальными ремнями. Потом стол вместе с пациентом задвигают в особенную камеру с магнитной установкой. Специалисты руководят всей аппаратурой за пультом из соседней комнаты, общаясь с пациентом посредством установленного в камере микрофона. Имеется кнопка вызова врача на тот случай, если состояние человека ухудшится, ему потребуется помощь. Процедура требует неподвижного положения пациента в течение промежутка времени от получаса до полутора, после чего стол возвращают из камеры, больного освобождают от ремней, начинается подготовка снимков, их изучение.

Признаки на МРТ патологий

При патологиях процесс имеет свои специфические нюансы. Так, если у человека тяжёлое заболевание почек, от него предварительно потребуют анализ мочи. Когда больной отличается нервными расстройствами, испытывает боли, или приобрёл синдром неконтролируемых движений, анестезиолог делает ему седацию. При клаустрофобии пациента обеспечивают открытость контура аппарата, в который он будет помещён.

Особенности проведения МРТ детям и беременным

Во многих клиниках процедуру детям стараются не проводить, однако, вопрос состоит не так в их возрасте, как в способности неподвижно пролежать всё время исследования. Во избежание психологических стрессов с детьми также проводят профилактическую беседу, избавляя от страха, переживаний, убеждая, что обследование им совершенно ничем не грозит. Если женщина беременна, решение принимает врач, однако, на начальном этапе (до 3 месяцев) обследование настоятельно не рекомендуют, так как именно в этот период начинают формироваться органы плода.

Сколько стоит процедура

Немаловажный вопрос пациентов – стоимость МРТ сосудов головного мозга. Цена магниторезонансной томографии зависит от многих факторов, начиная с того, где именно находится диагностический центр, и заканчивая уровнем его классности. Обычно стоимость стартует в районе 3 тысяч рублей и доходит до показателя 5 тысяч и выше. Для инвалидов, пенсионеров, других категорий населения, а также некоторых категорий больных в ряде центров предусмотрены существенные льготы.

Что показывает МРТ диагностика сосудов головного мозга?

Это высокотехнологичное и точное исследование назначается прежде всего при многих неврологических заболеваниях. Во время процедуры применяется томограф – аппарат, излучающий мощное, но безвредное магнитное поле. Многими врачами доказана высокая эффективность такого обследования.

Что являет собой исследование?

В ходе такого обследования врач может увидеть состояние сосудов головного мозга, степень их поражений и проч. В зависимости от направленности МРТ бывает несколько его разновидностей.

Магнито-резонансная ангиография. Суть этого метода состоит в том, что сигналы от неподвижных тканей и крови отличаются, и томограф передает это в разные сигналы. Благодаря магнито-резонансной ангиографии врач получает качественные трехмерные изображения сосудов головного мозга, а также может судить о степени их поражения.

Магнито-резонансная синусография направлена прежде всего на обследование вен головного мозга. Она показывает венозные тромбозы – закупорки сосудов разной степени.

Магнито-резонансное исследование магистральных артерий. Врач получает детальное обследование таких сосудов головного мозга. Оно помогает определить степень их поражения при ишемической болезни сердца и мозга. Болезнь помогает также определить инсульт.

Диффузно-взвешенное магнито-резонансное обследование (МРТ) основывается на том, что здоровые и пораженные патологическим процессом ткани имеют разный коэффициент поглощения. Такая особенность и чувствительности тканей организма помогает получить качественные изображения этого важнейшего участка сосудов.

Когда необходима томография?

МРТ сосудов головного мозга назначается в таких случаях:

  • атеросклероз, распространяющийся и на сосуды головы;
  • аневризмы и диссекции аорты;
  • врожденные пороки сердца разного типа;
  • сужение артерий, питающих головной мозг;
  • сосудистые окклюзии;
  • закупорка сосудов головы сгустком крови – тромбом;
  • васкулит – системное заболевание сосудов;
  • мальформации;
  • закупорка синуса головного мозга кровяным сгустком;
  • если больной перенес инсульт геморрагического или ишемического типа, а также микроинсульт;
  • опухоли мозга, в том числе и подозрения на новообразования;
  • черепно-мозговая травма.

Что можно увидеть на снимке?

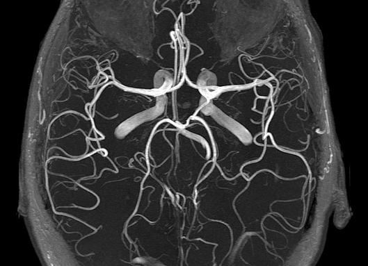
Снимок сосудов головного мозга при мрт ангиографии

МРТ сосудов головного мозга показывает многие особенности строения сосудов, их возможные отклонения от норма.

Врач может увидеть на снимках, полученных при МРТ:

  • срезы сосудистых стенок (они получаются очень тонкие, так что специалист без проблем может увидеть, как изменяется их структура и как от этого страдает кровопитание головного мозга);
  • отдельные сосуды головного мозга (направленное воздействие магнитного поля способствует тому, что терапевт видит не только расположение патологического очага, но и его размеры);
  • увидеть тромб, его локализацию и размеры, что очень важно при диагностике тромбоза, инсульта и проч.);
  • собрать необходимую информацию об особенностях морфологического строения сосудов головного мозга;
  • МРТ сосудов головного мозга также показывает аневризму, ее локализацию, размер и проч.

Отметим, что метод магнито-резонансной томографии позволяет диагностировать такие заболевания, которые еще несколько десятков лет были недоступны глазу врача. Вот почему все чаще врач назначает МРТ сосудов головного мозга своим пациентам для более качественного определения проблем с указанными органами. Более того, томография дает возможность поставить диагноз на самой ранней стадии: это улучшает результаты лечения и прогноз болезни.

Как делают МРТ?

Пациенту не надо особенно готовиться к такой процедуре – ее риски минимальны. Не надо соблюдать и специальную диету, ограничиваться в движении и активности. Только в исключительно редких случаях врач может рекомендовать воздержаться от еды и приема жидкости на несколько часов перед диагностикой.

Женщина должна предупредить врача о возможной беременности. Кроме того, перед тем, как зайти в кабинет МРТ, необходимо снять с себя все металлические вещи, украшения и другие предметы, которые могут навредить результатам. Так как пациент помещается в длинный туннель, то в некоторых лиц может развиваться клаустрофобия – приступ боязни замкнутого пространства. Он хорошо устраняется с помощью седации. Если пациент боится трескающих звуков, исходящих от аппарата, ему выдают наушники.

Когда нельзя делать МРТ?

Проведения такого рода диагностики безболезненно и практически не имеет противопоказаний. Обследование головного мозга назначается многим категориям больных.

Все же, несмотря на то, что оно дает превосходные результаты в лечении сердечно-сосудистых патологий, его нельзя применять при таких заболеваниях и состояниях:

  • наличие у человека кардиостимулятора;
  • наличие встроенных ферромагнитных устройств (под воздействием сильного магнитного поля такие
  • аппараты могут изменить частоту, ритм, а также стать причиной летального исхода);
  • имплантаты среднего и внутреннего уха;
  • наличие у человека клипс для остановки кровотечения.

В некоторых случаях противопоказания могут быть относительными (например, при беременности или кормлении грудью). В этих случаях проведение МРТ сосудов головного мозга проводится только с учетом возможного риска будущему ребенку и пользы при такой диагностике. Однако даже при наличии тех или иных противопоказаний, пусть даже и относительных, риск проведения такого обследования минимальный.

Заключение

Так как МРТ сосудов и головного мозга является высокоинформативным способом диагностики, то обычно хватает одного исследования. В редких случаях врач может рекомендовать повторное МРТ. Если по какой-либо причине врач рекомендует проведение магнито-резонансной томографии мозга или сосудов, нельзя отказываться. Дело в том, что только благодаря диагностике можно рассчитывать на нормальное и высокоэффективное лечение.

Что показывает МРТ сосудов головного мозга, когда нужна эта процедура?

Магнитно-резонансная томография известна многим в качестве современного безопасного метода изучения состояния сосудов головного мозга. Такая процедура предоставила специалистам возможность своевременно и, что очень важно, с высочайшей точностью обнаружить любые патологии в функционировании кровеносной системы внутри черепа.

МРТ сосудов головного мозга стала идеальной альтернативой такому методу диагностики, как рентгенография. Это исследование передает детальное изображение о состоянии разных областей мозга, его ствола.

Преимущества МРТ

Магнитно-резонансная томография считается одним из самых надежных, информативных методов, используемых в исследовании сосудов головы. Его проводят посредством высокочувствительного томографа. Для получения качественных результатов должен применяться аппарат, напряженность магнитного поля которого составляет не меньше 0,3 Тесла.

При выборе одного из двух диагностических метолов (УЗИ или МРТ) для исследования головного мозга пациенты должны взвесить все преимущества каждого из них. Ведь точность, информативность метода диагностики влияет напрямую на результаты будущей терапии.

Рассмотрим некоторые характеристики каждого из этих способов исследования сосудов головного мозга: Точность, информативность. Благодаря томографии врачу стало доступным исследование послойного изображения головного мозга. Точность обнаружения какой-либо патологии, опухолевого процесса составляет 95%. УЗИ в этом пункте характеристики заметно отстает. Необходимость дополнительных анализов. Так, как МРТ показывает максимально точную картину, пациенту не потребуется проходить дополнительные обследования. При ультразвуковом обследовании в некоторых случаях специалист назначает дополнительные методы диагностики, которые являются крайне важными для уточнения диагноза.

Удобство. В этом пункте выигрывает конечно же УЗИ. Данная диагностика не требует от пациента сохранения неподвижности на протяжении длительного времени. Учитывая эту особенность УЗИ часто назначают для диагностики детей, которым сложно сохранять неподвижность.

Стоимость. В плане стоимости конечно же многие отдают предпочтение ультразвуковому методу диагностики. Он стоит значительно дешевле. Но магнитно-резонансная томография дает полную картину и после нее не понадобится проходить дополнительные исследования, которые являются платными.

Примерная цена МРТ в области сосудов головного мозга составляет 4 000 — 5 000 рублей. Если процедуру проводят с контрастирующим препаратом, тогда диагностика будет стоит 6 000 — 7 000 рублей.

Что дает процедура врачу?

Если специалист назначил прохождение магнитно-резонансной томографии, значит у него есть подозрение на развитие какой-либо болезни. Что может показать МРТ сосудов головного мозга в данном случае? Данный диагностический метод предоставляет возможность врачу-радиологу:

  1. Получить всю необходимую информацию относительно кровеносных сосудов головы, их физиологических, анатомических характеристик.
  2. Изучить большой участок сосуда. При этом процедуру можно проводить даже без контрастирующего вещества.
  3. Оценить биологические, физико-химические процессы в тканях мозга.
  4. Точно установить диагноз. С полученными данными разработать подходящую в отдельном случае терапию.
  5. Рассмотреть полученное в области исследования изображение кровеносных сосудов.
  6. Установить с минимальной погрешностью размеры, локализацию гематом, сосудистых соустий с патологическими изменениями, тромбов, аневризм.

МРТ головы, сосудов головного мозга может понадобиться многим специалистам:

  • терапевту;
  • неврологу;
  • хирургу.

Развитие патологического состояния во внутричерепном кровоснабжении является признаком прогрессирования многих болезней.

Показания для исследования сосудов мозга

МРТ головного мозга с сосудами целесообразно для обнаружения болезни, также, как и для подтверждения предполагаемого специалистом диагноза. Основные показания к проведению такого диагностического метода выступают:

  • сотрясение мозга;
  • васкулит;
  • болезнь Паркинсона;
  • гипертония;
  • головные боли с разным характером, степенью тяжести;
  • нарушение слуха, зрения;
  • врожденный порок сердца;
  • окклюзия сосуда;
  • энцефалопатия;
  • эпилепсия;
  • головокружения;
  • опухоль, подозрение на ее наличие;
  • шум в ушах;
  • ушиб мозга;
  • травма головы, шейной области;
  • инсульт;
  • аденома, микроаденома гипофиза;
  • нарушение мозгового кровотока;
  • носовые кровотечения (регулярные);
  • аневризмы сосудов головного мозга;
  • ишемическая болезнь;
  • болезни нервной системы, подозрения на их наличие;
  • вегето-сосудистая дистония (ВСД);
  • обморок, кратковременная потеря сознания;
  • мигрень.

МРТ, проводимое в области сосудов головного мозга, признано единственным методом, который способен:

  1. Обнаружить активную воспалительную демиелинизацию.
  2. Показать бляшки рассеянного склероза.

Противопоказания

Проводить данный диагностический метод запрещено определенной категории пациентов. Выделим следующие противопоказания:

  • наличие имплантата среднего уха;
  • клаустрофобия;
  • установленный кардиостимулятор;
  • наличие сосудистых кровоостанавливающих клипс;
  • ферромагнитные аппараты Илизарова;
  • металлические имплантанты больших размеров;
  • ферромагнитные осколки.

Проведение диагностики

Чтобы провести МРТ сосудов пациенту следует после специальной подготовки прилечь на подвижный стол томографа. Его фиксируют посредством специальных валиков, крепежных ремней. Вокруг головы пациента размещают специальные провода, которые необходимы для принятия/посылания радиоволн. Введение контрастного препарата (при необходимости) выполняется через катетер в вену.

После того, как стол будет помещен внутрь магнитного тоннеля, мед персонал выходит из кабинета. После проведения МРТ вен, пациента просят немного подождать, пока врач исследует снимки. При необходимости проводится дополнительная серия снимков (если у врача остаются какие-либо сомнения).

Всего диагностика занимает 30 – 45 минут.

Проведение процедуры детям, беременным

Беременным женщинам МРТ назначают очень редко. Но многие врачи считают, что беременность не считается абсолютным противопоказанием для проведения процедуры. Беременным нежелательно вводить контрастные препараты.

Детям магнитно-резонансная томография также назначается из-за ее абсолютной безвредности. Если нужно провести процедуру ребенку, ему предоставляют специальные наушники. Они необходимы для того, чтобы ребенок не пугался щелчков, звуков, которые издает аппарат при сканировании. Также перед МРТ ребенка следует подготовить психологически.

Если диагностика нужна ребенку, которому еще нет 5 лет, его вводят в состояние наркоза. Это необходимо для того, чтобы он лежал без движений на протяжении всего исследования сосудов головы.

Что врач увидит на снимке?

Рентгенография давала врачам весьма скудные данные о состоянии сосудов, тканей внутри черепа, процессах, которые в них происходят. Теперь же благодаря МРТ в сосудистом режиме все изменилось. С изобретением магнитно-резонансного томографа специалисты получили возможность обнаружить, изучить такие показания:

  • симптомы инсульта;
  • наличие структурных нарушений внутри мозговых тканей, опухоли;
  • внутричерепные гематомы;
  • признаки рассеянного склероза сосудов;
  • образование тромбов, их локализация;
  • контузийные изменения, спровоцированные травмами;
  • аневризмы, мальформации сосудов;
  • кровоизлияния.

МРТ играет весьма ценную роль в медицинской практике. Например, раньше врачи не могли обнаружить все области контузий, гематом после сотрясения мозга. Теперь это просто. Все данные врач-радиолог получает в кратчайший срок, а сам процесс получения такой детальной информации является очень простым. Благодаря МРТ специалисты могут своевременно обнаружить все последствия сотрясения. Это поможет предотвратить развитие в дальнейшем различных осложнений.

Очень часто для исследования сосудов головного мозга прибегают к ангиографии (МРТ артерий), венографии (МРТ вен). Исследовать сосуды головного мозга стало возможным благодаря такому диагностическому методу, как магнитно-резонансная ангиография. Этот способ признан безопасным, быстрым, информативным. Он предоставляет важные сведения, используемые в диагностике, определении с курсом терапии при наличии болезней сосудов головного мозга.

Ангиография предоставляет данные о крупных сосудах, мелких капиллярах, лимфатической системе. Этот метод часто проводят совместно с компьютерной томографией для получения 3D изображения интересующей сосудистой области.

Магнитно-резонансную томографию следует проходить по назначению специалиста. Эта процедура, проводимая без контраста или с контрастирующим веществом намного информативней, чем КТ, УЗИ сосудов. Кроме того, что этом метод диагностики дает максимум информации о состоянии сосудов, он еще и абсолютно безвредный.


Смотрите также