Кт или мрт почек

Методы диагностики: что лучше — КТ или МРТ почек?
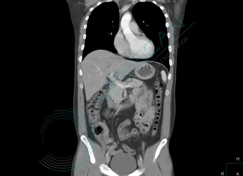
Магнитно-резонансная и компьютерная томография — высокотехнологические исследования, благодаря которым можно выяснить причину болей в пояснице, отеков, обнаружить болезнь почек, когда она еще никак не проявляется. Пациентам важно понимать, что лучше — КТ или МРТ почек, и на чем основывается врач, когда назначает тот или иной метод исследования.








