
КТ грудной клетки: что показывает, как делают, подготовка к компьютерной томографии
Многослойная спиральная компьютерная томография (МСКТ) – это метод диагностики, отличающийся высокой точностью и позволяющий не только выявлять различные заболевания, но и дифференцировать их согласно характеру происхождения и месту локации. МСКТ органов грудной клетки проводят по многим показаниям, полученные результаты позволяют назначить и провести наиболее эффективное лечение в каждом индивидуальном случае.
Показания к проведению диагностики
В некоторых случаях прочие диагностические процедуры не дают полного исчерпывающего ответа на поставленные вопросы. Иногда диагноз нуждается в подтверждении, либо необходимо детально определить характер распространения заболевания, вероятность смещения его патологических процессов в направлении других органов и их систем. Например, требуется выяснить, произошло ли распространение раковой опухоли из области первичного образования в ткани иных органов. С этой целью проводится компьютерная томография органов грудной клетки (КТ ОГК).
Показаниями к ее проведению могут служить:
- подготовка к оперативному вмешательству в области органов грудной клетки (ОГК);
- подтверждение диагностированного прежде рака каких-либо органов, расположенных в этой области;
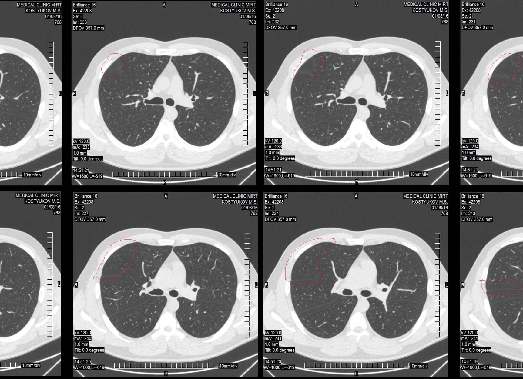
- обнаружение метастаз и характер их распространения, если таковые будут иметь место;
- увеличение лимфатических узлов с целью установки характера и причины процесса;
- уточнение причин несоответствия клинических проявлений заболевания с данными иных методов диагностики;
- подтверждение диагноза иных заболеваний, в том числе пневмонии, туберкулеза и др.
Технология проведения КТ ОГК позволяет исследовать расположенные в этой области органы с максимальной точностью, поскольку отображает строение каждого, детализируя имеющиеся в них патологические процессы. Данный вид диагностики отражает состояние следующих расположенных в этой области органов:
- сосудов (в т.ч. легочной артерии, аорты);
- легких;
- бронхов;
- пищевода;
- средостения;
- сердца;
- лимфатической системы;
- ребер;
- молочных желез.
В основе МСКТ грудной клетки, также как и рентгенографического исследования, лежит рентгеновский луч, который наносит организму определенный вред. Поэтому применение данного вида диагностики должно быть обоснованным, а его негативное воздействие соизмеримым с риском от возможных заболеваний.
Следует отметить, что в отличие от рентгеновского снимка, изображение, полученное в результате РКТ органов грудной клетки, показывает каждый исследуемый участок в отдельности, без накладывания одного слоя на другой.
Для определения локализации патологического процесса это обстоятельство имеет решающее значение.
к оглавлению ↑
Воздействие КТ на детей и взрослых
Учитывая, что рентгеновское излучение, которому подвергается человек в процессе прохождения КТ, негативно влияет на его здоровье, данную процедуру назначают при серьезных основаниях и не проводят слишком часто.
Особенно это относится к диагностике заболеваний у детей. Детские органы слишком уязвимы, порой еще не полностью сформированы, частое рентгеновское излучение способно нанести им серьезный вред, даже спровоцировать развитие злокачественных новообразований.
Поэтому компьютерная томография грудной клетки проводится детям только в самом крайнем случае, когда необходимость определения или уточнения диагноза превышает прочие возможные риски.
Проведение КТ происходит следующим образом. Человек располагается горизонтально на специальном столе. Затем стол приходит в движение, плавно смещаясь по направлению к сканеру. По мере прохождения тела через него осуществляется рентгеновское излучение, в результате которого на экране возникает снимок. Сканер представляет собой подобие трубы или тоннеля, в отверстие которого и смещается диагностический стол с лежащим на нем пациентом.
Важно: если данной процедуре подвергается ребенок, ему предварительно делается общий наркоз, поскольку положение пациента на столе должно быть недвижимым.
При этом спиральная компьютерная томография предполагает движение луча по спирали, давая трехмерное изображение исследуемых органов во всех плоскостях. Мультиспиральный метод является более инновационным и быстрым по сравнению со всеми предыдущими, что особенно важно для диагностики состояния пациентов при тяжелом течении заболеваний.
В ряде случаев проводится КТ грудной клетки с контрастированием, что означает введение внутривенно специального контрастного вещества, что способствует более точному изучению состояния сердечной мышцы и сосудов.
Что касается сравнительной характеристики эффективности КТ и МРТ (магнитно-резонансная томография), то в части исследования органов грудной клетки КТ бесспорно более надежна.
В первую очередь потому, что некоторые органы находятся в постоянном движении – сердечная мышца сокращается, легкие расширяются и сужаются в процессе дыхания, а МРТ при этом не может дать четкой картины, ее снимок по информативности сопоставим с обычным рентгеновским.
к оглавлению ↑
Подготовка и противопоказания
Данный вид диагностики практически не нуждается в специальных мерах подготовки. Как правило, все ограничивается разъяснительной беседой с врачом, в ходе которой пациенту подробно описывается сама процедура, ее значение, необходимость проведения, а также обращается внимание на правила поведения в течение всего процесса. Если же предполагается введение контрастного вещества, врач может потребовать соблюдения определенных ограничений в еде, а также воздержания от приема пищи за четыре часа до проведения процедуры.
Противопоказаний для КТ грудной клетки тоже практически нет. Из всех имеющихся ограничений можно выделить:
- беременность;
- период лактации;
- гиперкинез;
- выраженный болевой синдром;
- масса тела выше 150 кг;
- индивидуальная непереносимость йодсодержащих препаратов (при контрастировании);
- немотивированный страх перед процедурой, неадекватное поведение.
Последний пункт нуждается в некотором пояснении. В отдельных случаях наблюдаются панические состояния пациентов при прохождении данного вида диагностики, контролировать которые они не в состоянии.
Между тем, проведение КТ требует нахождения тела в состоянии покоя. Если никакие разъяснения и прочие меры адекватного воздействия на пациента не приносят желаемого результата, проведение процедуры становится невозможным. В любом случае, приступить к процессу без добровольного согласия пациента невозможно.
Совет: если КТ проводится с применением контрастирования, после процедуры необходимо как можно больше пить – это позволит организму быстрее избавиться от контрастного вещества.
Введение контрастного вещества при проведении КТ грудной клетки имеет как явные преимущества, так и некоторые минусы. К числу достоинств данного метода следует отнести высокую эффективность.
Контрастное вещество по мере продвижения окрашивает сначала сосуды, после чего скапливается в тканях, что многократно повышает эффект визуализации. Можно оценить не только общее состояние органов, но и рассмотреть малейшие подробности, вплоть до состояния стенок сосудов и холестериновых бляшек.
Однако применение метода контрастирования в некоторой степени расширяет список ограничений к проведению процедуры. Главным образом это объясняется тем, что контрастное вещество содержит йод. Именно поэтому возникает эффект окрашивания сосудов и тканей после введения вещества. Тем не менее, кроме беременности и лактации в перечень противопоказаний к подобной процедуре входят:
- бронхиальная астма;
- сахарный диабет;
- аллергия на йод;
- аллергия на морепродукты;
- возраст до 14 лет.
Кроме того, препятствием для проведения КТ с контрастированием могут явиться тяжелые заболевания почек, печени или сердца.
Если у человека, направляемого на подобную диагностику, существуют такие болезни, об этом обязательно надо поставить в известность врача, чтобы он оценил риски и принял решение, можно ли проводить такую процедуру. В любом случае, врач должен подробно рассказать о том, что такое КТ и контрастное вещество, как функционирует сканер, какое значение имеет результат данного вида диагностики, какое негативное воздействие может оказать.
Статья помогла вам?
Дайте нам об этом знать — поставьте оценку
Загрузка…
Компьютерная томография органов грудной клетки что это такое |
Компьютерная томография (КТ) Органов грудной клетки — детальное послойное рентгеновское изображение органов, а также структур грудной клетки. Исследование дает возможность успешно диагностировать Заболевания легких, Сердца, пищевода, кровеносных сосудов, а также поражения Мягких тканей и органов Средостения.
Чаще всего КТ грудной клетки назначают для уточнения изменений легких и средостения, выявленных при флюорографии или рентгенографии, а также при следующих состояниях:
- патологические состояния бронхов (наличие инородных тел, Бронхоэктазы, диагностика новообразований); изменения качественного состояния Средостения и плевральной полости (патология вилочковой железы, новообразования, определение наличия жидкости, изменения перикарда, изменения Лимфатических узлов, диагностика заболеваний лопаток, грудины, ребер, и др.); подозрение на объемное образование средостения; диагностика хронической и расслаивающейся Аневризмы грудной аорты и Легочной артерии; оценка распространенности опухолей грудной стенки, в том числе опухолей грудной железы на соседние ткани.
КОМПЬЮТЕРНАЯ ТОМОГРАФИЯ ЛЕГКИХ — послойное рентгенологическое Исследование легких, основанное на компьютерной реконструкции изображений, получаемых при спиральном сканировании органа узким пучком рентгеновского излучения.
Компьютерная томография легких осуществляется с целью:
- диагностики хронической эмболии легких; раннего выявления, а также контроля во время лечения диффузных заболеваний легких; диагностики Туберкулеза легких; скрининг диагностики Опухолей легких, распространенности первичной опухоли, состояния лимфатических узлов, наличия метастазов; раннего выявления, количественной оценки Эмфиземы легких; для более точной диагностики пневмонии; выявления профзаболеваний, связанных с вдыханием частиц кремния, кварца, асбеста и др.
В Поликлинике «ДОКТОР АЛЕКС» при исследовании органов и систем используется высокоточный мультиспиральный Компьютерный томограф Aquilion 16 производства компании Toshiba (Япония), который позволяет проводить диагностические манипуляции быстро и с минимальной лучевой нагрузкой.
На компьютерной томограмме отчетливо видны легочные сосуды, бронхи, трахея, доли и сегменты легких, внутригрудные лимфатические узлы. Кроме того, при КТ легких можно видеть состояние сердца и сосудов (аорты, легочной артерии, верхней полой вены).
Преимущества мультиспиральной компьютерной томографии:
- Высокое качество изображения. Позволяет выявлять минимальные изменения внутренних органов, невидимые при других исследованиях. Высокая скорость сканирования. Получение срезов минимальной толщиной 0,5 мм. Построение высокоинформативных трехмерных изображений внутренних органов, сосудов, костей и суставов. Реконструкции изображений в любой заданной плоскости без потери качества изображения. Наличие автоматического шприца, позволяющего осуществлять внутривенные контрастные исследования с целью точной диагностики состояния внутренних органов и сосудистой системы. Низкая лучевая нагрузка.
ВРЕМЯ РАБОТЫ КАБИНЕТА КОМПЬЮТЕРНОЙ ТОМОГРАФИИ поликлиники «ДОКТОР АЛЕКС»:
Понедельник–пятница — с 9.00 до 18.00
КТ органов грудной клетки
КТ органов грудной клетки назначают с целью диагностики воспалений и патологий костных и мягких тканей. Преимущества этой методики в том, что она позволяет увидеть любые нетипичные изменения, структурные аномалии и нарушения работы органов. Компьютерная томография — разновидность лучевой диагностики, характеризующая уменьшенной радиологической нагрузкой. По сравнению с обычной рентгенографией нагрузка на организм снижена в разы.
Аппарат пронизывает тело пациента пучками лучей срезами в 1,5-2 мм в разных направлениях. Все данные направляются на подключенный к аппарату компьютер, который систематизирует полученную информацию и выстраивает двух — или трехмерное изображение. Точность такой диагностики составляет примерно 98%. То есть возможности диагностики с этим оборудованием значительно возрастает. Направление на это обследование дает терапевт или другой врач при необъяснимых болях в грудной клетке, увеличении лимфоузлов в этой области, сомнительных результатах рентгенографии, кровохаркании, непрекращающемся кашле и др.
Цель обследования — подтвердить или опровергнуть предварительный диагноз. Это может быть:
- Опухоли легких Пневмония Абсцессы и травмы Нарушения работы сосудов, в том числе тромбозы и аневризмы Стеноз пищевода Инородные предметы в дыхательных путях Аномалии развития органов Проблемы в работе грудного отдела позвоночника
КТ необходима также перед хирургическим вмешательством и после него для оценки восстановительного процесса. Незаменима процедура при планировании лучевой терапии.
Противопоказания
Противопоказания выясняют непосредственно перед назначением процедуры. Это необходимо, чтобы не нанести серьезного вреда здоровью человека. Обследование не проводят:
- Беременным Маленьким детям — допустимый возраст определяется индивидуально, по возможности заменяют КТ нелучевыми средствами диагностики Больным миеломой Людям с избыточной массой — обычно аппарат рассчитан на вес пациента не более 130-140 кг Страдающим от клаустрофобии, чтобы не допустить приступа паники Пациентам с гиперкинезами — они не смогут сохранять полную неподвижность во время сканирования
Если проверка необходима кормящей женщине, то ей рекомендуют в течение двух дней воздерживаться от лактации и сцеживать грудное молоко.
Подготовка
Если сканирование будет проводиться без контраста, то подготовка заключается только в предварительной беседе врача с пациентом. Во время нее доктор рассказывает об особенностях КТ и о возможных последствиях. Когда предполагается использование контраста, пациенту рекомендуют приходить на обследование натощак, воздерживаясь от пищи 4-5 часов и не пить. Подходящая для обследования одежда — свободная, комфортная, без металлических вставок и элементов. Также необходимо заранее убедиться в отсутствии аллергических реакций на контраст. С этой целью за 2-3 дня пациент сдает биохимический анализ крови.
Как делают?
Пациент приходит к назначенному времени, переодевается в подходящую одежду. При необходимости ему выдают одноразовый комплект. Далее вводится контраст внутривенно, если это предусмотрено заранее. Человек ложится на стол томографа. Медперсонал наблюдает за обследованием из соседнего помещения через смотровое окно. Когда аппарат начинает работу, стол двигает тело пациента под сканирующим кольцом. Длится это от 10 до 60 минут. Если человек чувствует дискомфорт, неприятные ощущения, жар, он может сообщить об этом врачу с помощью встроенного в аппарат громкоговорителя.
Использование контраста
Контраст необходимо для более точной визуализации мягких тканей и сосудов. Особенно он помогает при выявлении новообразований, которые на снимках отчетливо видны. Одно из составных компонентов контрастного вещества — йод, который расширяет список противопоказаний. Такое обследование недоступно лицам с:
- Заболеваниями эндокринной системы Сахарным диабетом Почечной недостаточностью Аллергией на йод и морепродукты
В целом, контраст безвреден и не оказывает побочного действия на организм. Особенность этого вещества в том, что он беспрепятственно проникает в клетки, не нарушая их структуры. Спустя какое-то время контраст также легко выводится естественным путем.
Преимущества метода
- Низкая лучевая нагрузка Высокая точность полученных снимков Объемное изображение, позволяющие рассмотреть органы в любой плоскости Скорость и доступность
Возможные риски
Побочные эффекты от процедуры бывают крайне редко 1-4 случаев из ста. Большинство из них связано с нетипичной реакцией организма на контраст. Это удается предусмотреть при грамотной подготовке к обследованию. Кроме того, в кабинете радиологии всегда есть экстренный комплект медикаментов для оказания квалифицированной медицинской помощи. Опасность от облучения очень мала, так как дозировка совершенно не опасна при однократном применении. Однако рекомендуют делать интервалы между каждой томографией в несколько недель.
Альтернативы
Самая простая альтернатива КТ грудной клетки — УЗИ. Обычно это обследование проводится для диагностики воспалительных процессов и травм. УЗИ не дает такой четкой картинки и не обладает достаточной информативностью. Проверяют эту область и с помощью МРТ, которая во многом не уступает компьютерной томографии и в чем-то даже превосходит. Методика позволяет точно определять новообразования, особенности работы сердца и легких. Проверка проводится без облучения, в чем и заключается ее главное преимущество.
Если говорить о лучевых методиках, то часто используют МСКТ, которая характеризуется минимальным уровнем облучения. Безусловным лидером по точности, безопасности и информативности является ПЭТ КТ, которая позволяет понаблюдать за работой внутренних органов в динамике. Сегодня это самый современный метод диагностики, позволяющий с предельной точностью выявлять опухоли и метастазы. Если предполагается грудное сканирование ПЭТ КТ, то эта область включает в себя зону от черепа до почек.
Цена КТ грудной клетки в разных клиниках Москвы колеблется от 3 до 7 тысяч. Такая разница объясняется использованием контраста, качеством оборудования и статусом лечебного учреждения. Стоимость повышается при записи данных на диск и при последующей их расшифровке. МРТ грудного отдела обойдется в диапазоне от 5 до 8 тысяч. В такой же ценовой нише находится МСКТ. Рекордсмен по стоимости — ПЭТ КТ, за который при проверки грудной клетки придется отдать около 40 тысяч рублей. Это объясняется дороговизной используемого оборудования и контрастных веществ.
Источники:
Http://doctor-alex. ua/kt-organov-grudnoy-kletki/
Http://www. kt-tomografiya. ru/kt-organov-grudnoy-kletki/
КТ грудной клетки
Существует множество методов диагностики, но КТ грудной клетки позволяет определить даже такие незначительные нарушения, как холестериновые бляшки на стенках сосудов и опухоли размером в несколько миллиметров. Впрочем, гораздо чаще компьютерную томографию используют для подтверждения предварительного диагноза, исследования органов грудной клетки и их работы.
Что показывает КТ грудной клетки?
С помощью КТ органов грудной клетки можно выявить даже самые мелкие нарушения, что очень важно при необходимости оперативного вмешательства, интенсивной терапии или лечении онкологических заболеваний. Наиболее часто показаниями к проведению процедуры выступают:
- боли в грудной клетке различной дислокации;
- затрудненное дыхание, хронический кашель;
- нарушение работы плечевого пояса, позвоночника;
- подозрение на опухоль и установление ее точного места расположения;
- подтверждение диагноза в случае эмфиземы или туберкулеза, скрытой пневмонии;
- планирование химиотерапии и облучения при лечении онкологических заболеваний;
- планирование операций на органах грудной клетки;
- заболевания сосудов различной тяжести, тромбоз, легочная эмболия;
- нарушения в работе сердца, расслоение аорты;
- невозможность выявить болезнь с помощью рентгена и УЗИ.
Как правило, КТ грудной клетки с контрастом или без него назначает лечащий врач. Самовольно пациент попасть на эту процедуру не может. Если у вас есть необходимость проводить плановое обследование из-за неблагоприятных условий работы, либо плохой наследственности, можно обратиться за услугами в частную диагностическую клинику.
Для того чтобы сделать КТ грудной клетки, не требуется специальной подготовки. Перед процедурой пациенту нужно лишь снять все металлические аксессуары и украшения, одеться в удобную легкую одежду и запастись терпением – в среднем обследование длится от 20 минут до полутора часов, в зависимости от объемов зоны исследования и его подробности.
Для проведения компьютерной томографии вам предложат лечь на специальный стол, который будет поступательно двигаться внутри сканера. В свою очередь томограф движется вокруг стола по спирали, с помощью рентгеновских лучей просвечивая органы грудной клетки. В зависимости от плотности тканей различных структур эти лучи могут отражаться, либо поглощаться. В результате компьютер получает точные срезы каждого органа с внутренней и наружной стороны и воссоздает трехмерную модель исследуемой зоны. Это позволяет определить даже крошечные метастазы и малейшие патологии в работе сердечнососудистой системы, органов дыхания, пищеварения и костно-мышечных структур.
КТ грудной клетки с контрастированием необходима, чтобы более подробно отследить работу сердца, движение крови по сосудам и функции легких. Перед тем, как контрастный раствор будет введен внутривенно, или перорально, пациенту нельзя употреблять пищу в течении 4 часов до начала процедуры. Также необходимо сделать полный анализ крови и аллергические тесты на йод и его производные.
Сама процедура относительно безопасна, но детям и беременным ее следует проводить лишь при острой необходимости.
Какие болезни можно выявить с помощью КТ грудной клетки?
Спектр заболеваний, которые можно определить с помощью компьютерной томографии, очень широк, он охватывает абсолютно все органы и системы, дислоцированные в зоне грудины. К ним относятся:
- патологии средостения, аорты, сердца;
- скопление жидкости различного происхождения в зоне плевры;
- бронхоэктазии, эмфизема, рак легких;
- инфекционные болезни органов дыхания;
- нарушения костной структуры ребер, позвоночника;
- метастазы опухолей, проросшие в органы, костный мозг, позвоночник.
Статьи по теме:
| Нарушение мозгового кровообращения – симптомы
Организм человека со времени начинает «изнашиваться». И в первую очередь это проявляется нарушением кровообращения, которое в зависимости от степени тяжести может сопровождаться различными симптомами. Их своевременное выявление позволит начать лечение и предупредить осложнения. |
Чтобы контролировать свертываемость крови, было предложено проводить анализ протромбина по Квику. Поскольку выработка вещества происходит в печени, то его анализ позволяет выявить патологии этого органа и проблемы с пищеварительной системой. |
|
При обследовании у вас обнаружили повышенное количество лейкоцитов? Специалисты называют такое состояние лейкоцитозом. Прочтите статью и узнайте, какие факторы влияют на высокое образование белых кровяных телец, и при каких видах диагностики можно обнаружить те или иные заболевания. |
Обострение хронического холецистита – симптомы
Хронический холецистит проявляет себя не слишком заметными и тревожными симптомами. Часто больные узнают о подобном диагнозе при прохождении УЗИ. А вот обострение болезни не заметить нельзя. Узнайте, что должно заставить вас обратиться за медицинской помощью. |