Кт головы что такое

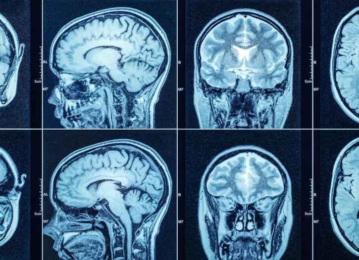
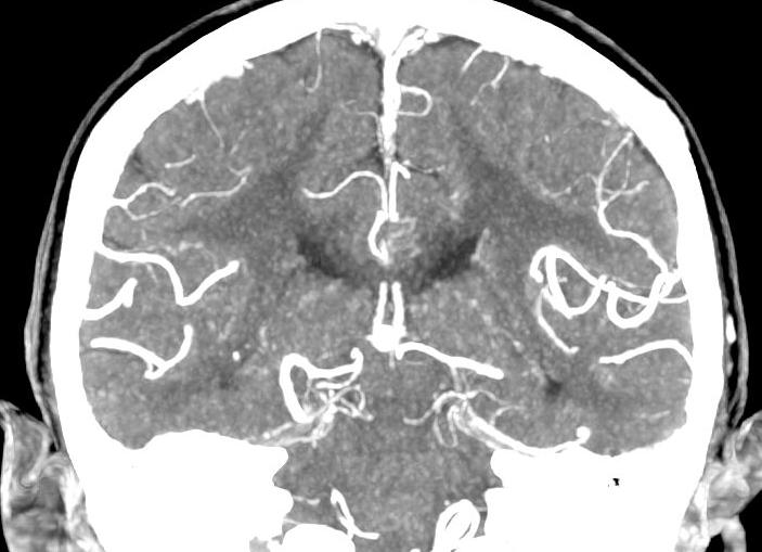
Компьютерная томография головы (КТ) – что показывает?
Компьютерная томография головы – незаменимая процедура для оценки состояния головного мозга.
Статья поможет вам разобраться, как работает КТ, какие результаты с ее помощью можно получить, а также как часто и при каких обстоятельствах ее можно проводить.
Показания к исследованию
Ситуации, при которых требуется делать томографию головы, возникают довольно часто: эта процедура незаменима, когда нужно обследовать головной мозг, сосуды головы и шеи, а также костную ткань.







