
Дополнительная хорда левого желудочка: опасно ли это?
В сердце человека есть несколько хорд, которые во время сокращения этого органа не позволяют клапану прогибаться. Благодаря их присутствию, он хорошо удерживает кровь и обеспечивает адекватную гемодинамику. Нормальная хорда представляет собой своеобразную пружину с мышечной структурой. Иногда во время внутриутробного развития в одном из желудочков сердца появляется дополнительная хорда, которая представляет собой нитевидный тяж из соединительной ткани. В некоторых случаях это аномальное образование включает в себя мышечные или сухожильные волокна.
В этой статье мы рассмотрим такую малую аномалию сердца, как дополнительная хорда левого желудочка. В большинстве случаев она обнаруживается у детей до 18 лет, но некоторые люди живут с таким диагнозом многие годы и не ощущают никаких изменений в работе сердца. Обычно дополнительная хорда выявляется случайно: при обследовании по поводу другого заболевания или во время профилактического осмотра. Ни при выслушивании шумов в сердце, ни на ЭКГ она не определяется, и поставить точный диагноз можно только после проведения ЭХО-КГ. Услышав шум в сердце, врач может только заподозрить наличие этой малой аномалии сердца и порекомендовать пройти ультразвуковое исследование, позволяющее опровергнуть или подтвердить диагноз.
В нашей статье мы ознакомим вас с причинами развития, видами, симптомами, методами наблюдения, лечения и профилактики дополнительной хорды левого желудочка. Эти знания помогут родителям детей с такой аномалией сердца выбрать верную тактику отношения к проблеме и избавят их от лишних волнений.
Причины
Аномальная хорда левого желудочка – это наследственная аномалия, которая в 92% случаев предается по материнской линии (в редких случаях – по отцовской), и развивается внутриутробно из-за сбоя в развитии соединительной ткани. Именно поэтому матерям, которым ранее был поставлен такой диагноз, рекомендуется обязательно обследовать своего ребенка.
Не исключено, что причинами появления дополнительной хорды могут стать такие неблагоприятные факторы:
- плохая экология;
- курение или употребление спиртных напитков и наркотиков;
- нервное и физическое перенапряжение.
Виды
Дополнительная хорда может располагаться в разных отделах левого желудочка и иметь различное строение и структуру. Кардиологи выделяют такие виды хорд:
- по гистологической структуре: фиброзная, фиброзно-мышечная, мышечная;
- по направлению волокон соединительной ткани: продольная, поперечная, диагональная;
- по количеству нитевидных тяжей: одиночная, множественная;
- по месту крепления: верхушечная, срединная, базальная.
Симптомы
Педиатр может заподозрить заболевание у ребенка во время обычного осмотра и обследования ребенка, обратив внимание на систолический шум при аускультации сердца.
Дополнительная хорда левого желудочка в большинстве случаев не несет никакой функциональной нагрузки на сердце и не мешает его нормальной работе. Долгие годы эта малая аномалия может не обнаруживаться, т. к. не сопровождается особенными симптомами. Педиатр может выслушивать у новорожденного систолический шум в сердце, который определяется между третьим и четвертым ребром слева от грудины и никак не отражается на работе сердца.
Во время интенсивного развития, когда стремительный рост опорно-двигательного аппарата существенно опережает скорость роста внутренних органов, нагрузка на сердце возрастает, и дополнительная хорда может впервые дать о себе знать. У ребенка могут появляться такие симптомы:
Такие же клинические проявления могут наблюдаться при множественных аномальных хордах левого желудочка. Чаще такие симптомы появляются в подростковом возрасте. В дальнейшем они могут полностью исчезать самостоятельно, но иногда остаются и во взрослом возрасте.
При появлении симптомов ребенку обязательно назначается ЭХО-КГ, ЭКГ и суточный мониторинг по Холтеру. Эти исследования позволят врачу определить наличие или отсутствие гемодинамических нарушений. Если дополнительная хорда «гемодинамически незначимая», то аномалия считается безопасной, и ребенку требуется только диспансерное наблюдение у кардиолога. При «гемодинамически значимом» диагнозе пациенту рекомендуется наблюдение, соблюдение некоторых ограничений и, при необходимости, лечение.
Опасна ли дополнительная хорда левого желудочка?
Большинством кардиологов такая малая аномалия сердца приравнивается к варианту нормы. Известие о наличии дополнительной хорды в левом желудочке не должно вызывать панику у родителей ребенка, т. к. эта аномалия не требует хирургического лечения и, при отсутствии гемодинамических нарушений, не нуждается в медикаментозной коррекции.
В некоторых случаях дополнительная хорда левого желудочка может становиться фактором, который способствует развитию других заболеваний сердца и сосудов (инфекционный эндокардит, нарушения ритма и проводимости сердца, тромбофлебит и др.). Предугадать заранее, насколько вероятно развитие таких патологий, невозможно.
Наблюдение за ребенком с дополнительной хордой при отсутствии гемодинамических нарушений
Основной метод диагностики дополнительной хорды левого желудочка — эхокардиография.
При обнаружении аномальной хорды, которая не сопровождается симптомами, никакого специального лечения не требуется. Таким пациентам достаточно регулярно наблюдаться у кардиолога и проводить контрольное ЭХО-КГ один раз в год.
Детям с такой малой аномалией сердца рекомендуется:
- соблюдать режим труда и отдыха;
- правильно питаться;
- заниматься лечебной физкультурой;
- закаляться;
- часто бывать на свежем воздухе;
- предупреждать стрессы;
- обеспечить полноценный сон;
- отказаться от тяжелых физических нагрузок;
- не принимать лекарственные препараты без рекомендаций врача;
- принимать решение о занятии тем или иным видом спортом совместно с врачом.
Родителям таких детей не рекомендуется от всего ограждать своего ребенка и относиться к нему, как к инвалиду, т. к. это может существенно повлиять на его дальнейшую социализацию. Общение с друзьями, посещение детского сада и школы, занятия в кружках и посильными видами спорта, – все это поможет ребенку нормально адаптироваться в социуме и чувствовать себя полноценным.
Лечение
При обнаружении дополнительной хорды, которая сопровождается симптомами или гемодинамическими нарушениями, помимо вышеописанных рекомендаций и более жестких ограничений в физических нагрузках, рекомендуется медикаментозная терапия.
Таким детям могут назначаться такие лекарственные препараты:
- витамины В1, В2, РР – назначаются для улучшения питания миокарда, принимаются на протяжении месяца, курс лечения повторяется два раза в год;
- Магне В6, Магнерот, Калия оротат, Панангин – назначаются для улучшения проведения нервного импульса и профилактики аритмий, препараты подбираются в зависимости от возраста и принимаются курсами на протяжении месяца и более;
- L-карнитин, Цитохром С, Убихинон – назначаются для нормализации обменных процессов в сердечной мышце;
- Ноотропил, Пирацетам – назначаются при появлении симптомов нейроциркуляторной дистонии.
Показаниями для немедленной госпитализации в кардиологический стационар могут стать такие тяжелые нарушения сердечного ритма:
Они могут развиваться при множественных или поперечных хордах и требуют детального обследования и последующего лечения.
В редких случаях в структуру дополнительной хорды левого желудочка могут включаться мышечные волокна проводящей системы сердца. Такие аномалии сердца способны вызывать желудочковые аритмии и фибрилляцию желудочков. Для их устранения показано выполнение таких хирургических вмешательств:
- криодеструкция;
- иссечение хорды.
Профилактика
В большинстве случаев дополнительная хорда левого желудочка появляется вследствие наследственной предрасположенности, и предупредить ее развитие во внутриутробном периоде практически невозможно. Несмотря на это, ученые не исключают возможность развития такой малой аномалии сердца под воздействием некоторых неблагоприятных факторов. Именно поэтому беременным женщинам рекомендуется:
- Правильно питаться.
- Оказаться от курения, употребления алкоголя и наркотиков.
- Исключить тяжелые физические нагрузки.
- Предупреждать стрессы.
- Гулять на свежем воздухе и заниматься гимнастикой.
При выявлении у ребенка дополнительной хорды левого желудочка родителям следует обратить пристальное внимание на его здоровье, соблюдать все рекомендации врача, но не ограждать его от социума полностью. Важной мерой профилактики осложнений станет своевременное лечение хронических заболеваний, которые могут осложняться заболеваниями сердца.
Детям с дополнительной хордой рекомендуется регулярно заниматься лечебной физкультурой, которая подразумевает индивидуальный подбор нагрузки. Упражнения на шведской стенке, танцы, гимнастика, бег на короткие дистанции, прыжки со скакалкой, – эти занятия помогут укрепить сердечную мышцу и предупредят развитие осложнения.
Физические нагрузки не должны быть чрезмерными, т. к. они способны усугубить ситуацию. Большинство кардиологов не рекомендует людям с дополнительной хордой заниматься спортом профессионально. А такие виды нагрузок, которые возникают при дайвинге, подводном плаванье или прыжках с парашютом, абсолютно противопоказаны.
Диагноз марс дхлж
Малые аномалии развития сердца (сокращённо «МАРС») — это особенности развития сердца, при котором существенных изменений в его работе, а также нарушений кровообращения в 97-99% случаев не происходит. Можно сказать, что в подавляющем большинстве случаев малые аномалии довольно безобидные особенности человеческого «мотора». Закладываются МАРС еще внутриутробно, когда только-только начинает формироваться крохотное сердечко. С широким использованием ультразвуковой диагностики, диагноз МАРС стал выявляться в десятки раз чаще, чем раньше.
МАРС наиболее часто выявляют у детей до трёх лет (но могут выявляться в любом возрасте), и постановка такого диагноза не на шутку пугает молодых родителей. Следует помнить, что это не патология сердца и не порок. При пороках нарушается гемодинамика, возникает риск для жизни человека, МАРС не влияет на работу сердца и гемодинамику, а с ростом ребёнка некоторые малые сердечные аномалии развития могут исчезать. Разберёмся, почему же возникают сердечные малые аномалии?
2Причины
Человеческое сердце состоит из мышечной и соединительной ткани. Соединительная ткань — это своего рода каркас, опора для многих внутренних органов, она может составлять до 60-88 % от всей их массы. Встречается во всех органах и системах: хрящи, сухожилия, кровь, кости, радужка — это всё её разновидности. В сердце соединительная ткань представлена волокнами коллагена и эластина. При МАРС происходит нарушение формирования соединительной ткани ещё до рождения: возникают дефекты на генетическом уровне, которые не дают нормально развиваться волокнистым структурам, основному веществу ткани.
Данное нарушение имеет название — дисплазия. Поскольку соединительнотканные структуры находятся не только в сердце, при дисплазии может развиваться не только МАРС у детей, а и более серьёзные изменения костно-мышечной системы, внутренних органов. В таком случае диагностируют синдромы: Марфана, несовершенного остеогенеза, Элерса и другие. При данных синдромах малые аномалии развития сердца будут лишь одним (не самым существенным) из многочисленных симптомов.
Поэтому наличие лишь МАРС у детей при отсутствии других проявлений дисплазии не даёт повода родителям пугаться, напротив, указывает на лёгкое проявление дисплазии. Причины дисплазии — изменения на генетическом уровне, наследственность, заболевания матери, мутагенное действие алкоголя, никотина, токсинов на развитие внутренних органов плода при беременности. Важный нюанс! Если у ребёнка выявлены 1-2 малые аномалии сердца, то о дисплазии говорить рано, вероятнее всего врач имеет дело с особенностями развития сердечка.
Ведь сердца формируются не под копирку, каждое имеет свои определённые особенности. А вот если на УЗИ обнаружены 3 и более МАРС, можно предполагать дисплазию и искать подтверждение, обследуя другие органы и системы. Гипермобильность суставов, опущение почек, патологии зрения и прочие проявления соединительнотканной слабости будут свидетельствовать в пользу дисплазии. Только лишь наличие аномалий развития сердца не означает болезнь!
3Классификация
Чтобы проще было ориентироваться в классификации «пройдёмся» по сердечным структурам сверху вниз:
- Предсердия и перегородка между ними:
- пролапс клапана нижней полой вены,
- открытое овальное окно,
- аномальные трабекулы и сосочковые мышцы;
- трехстворчатый клапан:
- двустворчатый клапан:
- пролапс,
- удлинение, чрезмерная подвижность хорд,
- аномальное крепление заслонок,
- дополнительные папиллярные мышцы;
- Лёгочная артерия:
- пролапс створок,
- расширение ствола;
- аорта:
- асимметрия клапанных заслонок,
- нарушение размеров корня,
- расширение синусов;
- Желудочки:
- аневризма перегородки,
- аномальные хорды, трабекулы,
- избыточное количество «нитей» — хорд.
Вот такие изменения может увидеть врач в сердце при проведении ЭхоКГ. Изучив классификацию, можно сделать вывод о том, что не всегда МАРС касаются исключительно самого сердца и клапанных структур, соединительнотканные изменения главных сосудов, отходящих от главного «мотора» организма также относятся к МАРС.
4Было или не было?
Часто на приём к педиатру приходят рассерженные мамы с результатами УЗИ своего ребёнка, или терапевта посещают взрослые люди также настроенные агрессивно, обвиняющие врача в некомпетентности. Как же так? У моего сына два года назад был пролапс митрального клапана, а сейчас врач сказал, что его нет? Не стоит необоснованно обвинять врача в непрофессионализме и портить себе настроение: пролапс, действительно, мог исчезнуть.
Особенностью некоторых МАРС у детей, является то, что они, действительно, могут пропадать с возрастом. Организм ребёнка растёт, развивается, вместе с ним растут внутренние органы, изменяются их пропорции, длина, дозревают соединительнотканные структуры, происходит замена незрелых волокон на зрелые, обновление белков, ферментов. Все эти изменения и обуславливают «пропажу». Родителям можно посоветовать раз в год делать ребёнку УЗИ.
5Открытое овальное окно
Временное отверстие в перегородке между верхними сердечными камерами, овальное окно функционирует всегда в период внутриутробного развития, это приспособление необходимо еще не рождённому малышу для лучшего насыщения маленького сердечка кислородом. Обычно окно закрывается в первые дни-недели от рождения, но может и позже — к году, двум, пяти. В 23% случаев оно закрыто неплотно, либо не зарастает всю жизнь. Через него вбрасывается небольшое количество крови из одного предсердия в другое, и если данная аномалия гемодинамически никак себя не проявляет — нет повода для беспокойства.
Данная аномалия почти никак себя не проявляет, изредка у ребёнка может выслушиваться сердечный шум, наблюдаться утомляемость, эпизоды временного головокружения. Но чаще диагноз устанавливается по результатам ЭхоКГ или УЗИ сердца. На ЭхоКГ врач определить размеры открытого окна, количество крови, проходящее в него при сердечном сокращении, в каком направлении происходит движение крови, есть ли другие сердечные аномалии.
Если нарушений кровотока значимых не выявлено, жалоб нет, то лечение аномалии не требуется. Достаточно лишь наблюдение кардиолога и проведение повторных ЭхоКГ. Если размеры овального окна существенные, имеются жалобы и нарушения гемодинамики, лечение по показаниям кардиохирурга может проводится эндоваскулярное лечение: врач через бедренный сосуд вводит в сердечную полость катетер со специальным пластырем и «заклеивает окно»: пластырь способствует его заращению.
6Пролапс митрального клапана
Провисание, прогибание створок двустворчатого клапана сердца при сокращении желудочков в сторону левого предсердия. Провисать может одна створка или обе. Если прогиб створки по результатам УЗИ не превышает 2-6 мм, то степень данной аномалии 1-ая. При пролабировании на 6-9 мм — 2-ая степень, если же клапан провисает на 9 мм и более — диагностируется 3-я степень пролапса.
Куда более значимыми для врача является не степень провисания створок, а наличие или отсутствия обратного излития крови — регургитации. Хорошо, если регургитации нет вовсе, в этом случае гемодинамика не страдает, пациент чувствует себя хорошо. А если происходит обратный ток крови — то это состояние требует детального наблюдения и порой хирургического лечения.
7Добавочная хорда левого желудочка
В камерах сердца, преимущественно желудочках, есть особые «нити» — хорды. Состоят они из соединительнотканных элементов и выполняют роль пружинного сердечного механизма: то укорачиваются, то удлиняются, тем самым позволяя сердечным клапанам оставаться эластичными, подвижными, гибкими. Хорды крепятся одним концом непосредственно к клапанам, а другим к сердечным камерам. В процессе эмбриогенеза может наблюдаться увеличение числа таких хорд на одну и более. Наиболее часто закладываются дополнительные нити в левом желудочке.
Более чем в 90% случаях одиночная хорда никак себя не проявляет, не сказывается на кровотоке, и жалоб при её наличии пациент не предъявляет. Данная аномалия, как и многие другие, — случайная находка врача ультразвуковой диагностики. Иногда в подростковом возрасте, в период интенсивного «скачка» роста и развития костно-мышечной системы, сердце «не успевает» за быстрым ростом и у пациентов с лишней хордой могут возникать неспецифические симптомы: головокружение, сердцебиение, покалывания в сердце. Но такие явления возникают нечасто.
zabserdce.ru
Что такое МАРС и почему они возникают
МАРС у ребенка возникает во время его вынашивания или после появления малыша на свет. Патологию вызывают:
- структурные аномалии;
- метаболические нарушения (обменные).
Те или иные дефекты в строении сердечной мышцы возникают по нескольким причинам:
- мутации на генном уровне;
- неблагоприятное течение беременности матери;
- воздействие внешних факторов.
Врожденные МАРС обычно возникают из-за нарушений во время образования тканей органов на начальных этапах внутриутробного развития. На пятой-шестой неделе беременности женщина может даже и не подозревать о своем «интересном положении». Курение и пристрастие к спиртным напиткам в этот период могут спровоцировать сердечную патологию у ее будущего ребенка.
Порой малые аномалии сердца развиваются при отсутствии каких-либо врожденных анатомических патологий. В этом случае провоцирующими факторами могут быть:
- плохая экологическая обстановка в месте проживания;
- влияние токсических химических веществ;
- инфекционные заболевания.
Часто малые сердечные аномалии выявляют у детей до трех лет. Обычно это незначительные анатомические дефекты в структуре сердечной мышцы, которые не проявляются клинически или сопровождаются единичными слабо выраженными симптомами. Однако со взрослением ребенка признаки сердечной патологии могут нарастать.
Решение о причислении выявленных структурных нарушений к МАРС или об обособлении их в самостоятельные заболевания должен принимать специалист.
Классификация малых сердечных аномалий
Аномалии МАРС принято систематизировать по их локализации в области:
- Предсердий и перегородки между ними:
- пролабирующие (провисающие) гребенчатые мышцы (мышечные пучки на внутренней поверхности правого предсердия);
- пролапс (выпячивание) клапана нижней полой вены;
- аневризма (выпячивание) предсердной перегородки;
- особенность строения сердечной перегородки, называемая открытым овальным окном (ООО);
- увеличенный евстахиев клапан (складка эндокарда);
- измененные трабекулы (сухожильные образования);
- Клапана легочной артерии и трикуспидального (трехстворчатого) клапана:
- расширение;
- пролабирование заслонок;
- аневризма;
- нарушение симметричности заслонок;
- изменения корня аорты;
- дополнительные трабекулы;
- измененные хорды в сердце и их неправильное положение;
- дефект выносящего тракта (область сердца, через которую кровь поступает в артерии);
- аневризма перегородки, разделяющей желудочки;
- пролабирование заслонок клапана;
- дефекты в прикреплении хорд и их распределении;
- добавочные, увеличенные, неправильно расположенные или структурно измененные мышцы, продолжающие миокард левого желудочка.
При установленном диагнозе МАРС нужно выяснить, есть ли изменения в гемодинамике и регургитация, и определить степень их проявления. У взрослых пациентов чаще диагностируют пролабирование клапанов, «неправильные» и дополнительные хорды в левом желудочке, чрезмерную трабекулярность.
Симптоматика МАРС
Клинические проявления МАРС незначительны, порой бессимптомны. Малым сердечным аномалиям присущи разные типы аритмии и искажения прохождения нервных сигналов по миокарду:
- приступообразная тахикардия;
- экстрасистолия;
- нарушение или прекращение проводимости в пучке Гиса (в правой его ножке);
- слабость синотриального узла.
Аритмии возникают при пролабировании заслонок антриовентрикулярных отверстий, аневризмах перегородки между предсердиями, наличии измененных хорд. Связано это с внеочередными сигналами, возникающими в дополнительных хордах или механическим влиянием аномальных хорд на желудочек. Процесс регургитации вызывает возбуждение сердечной стенки и синотриального узла. Особо выражено это состояние при дефектах трехстворчатого клапана.
На пациентов с малыми сердечными аномалиями негативно влияют психоэмоциональные и физические нагрузки. Они чувствуют нарушения в работе сердечной мышцы, быстро устают. Им свойственны различные вегетативные проявления:
- панические состояния;
- нестабильное кровяное давление;
- головокружения и утомляемость;
- частые перемены настроения;
- мигрени;
- нарушения в работе пищеварительной системы;
- повышенное потоотделение.
Одна из самых распространенных форм аномалии МАРС – пролабирование митрального клапана. Она часто наблюдается и у взрослых. На симптомы пролапса заслонок влияет выраженность дефекта и проявление регургитации. Его признаки:
- вялость;
- невозможность адекватно воспринимать физические нагрузки;
- утомляемость;
- болевые ощущения в районе сердца;
- головокружения.
Еще одна частая аномалия – дополнительная хорда левого желудочка. Нередко протекает без выраженных симптомов. Иногда ей присущи аритмии – из-за появления внеочередных импульсов. ООО – менее исследованная форма МАРС. Ее симптомы:
- головокружения;
- вялость;
- «сбои» в работе сердечной мышцы;
- эмоциональная нестабильность.
У большей части детей эта форма малых сердечных аномалий во время взросления и роста массы миокарда исчезает сама по себе.
Диагностика малых сердечных аномалий
Систолический шум, обнаруженный врачом при осмотре – повод для серьезного обследования по поводу наличия малых сердечных аномалий. Предполагаемый диагноз в кардиологии базируется на:
- оценке симптомов;
- анализе внешнего вида пациента (астенический тип телосложения, плоскостопие, сколиоз, нарушение зрения);
- аускультации (щелчки, шумы, изменение ритма сердца);
- данных инструментальных методов исследования – электрокардиография, УЗИ.
У некоторых пациентов с малыми сердечными аномалиями исследуют и другие органы. Обычно это необходимо при врожденных или наследственных болезнях соединительных тканей. Эхокардиография позволяет получить достоверные сведения об особенностях строения органа. Наиболее результативен метод при пролабировании клапанов. Трехмерная эхокардиография дает возможность оценить степень пролапсов заслонок, присутствие и степень регургитации, негативные изменения клапанных структур. Патологии хорд обнаружить труднее, для их диагностики применяют двухмерную эхокардиографию.
При аритмии проводят электрокардиографию с дозированной нагрузкой. Данные исследований позволяют определить функциональный резерв сосудов и миокарда. Выявлению источников внеочередных импульсов способствует чреспищеводное электрофизиологическое исследование сердца.
При кажущейся безобидности диагноза проявления МАРС могут спровоцировать ощутимые изменения кровоснабжения и различные осложнения. Существует вероятность:
- инфекционного эндокардита, поражающего клапанные заслонки;
- недостаточности двустворчатого клапана;
- повреждения лишних или неправильно расположенных хорд;
- непредвиденная смерть кардиальной этиологии (при определенных патологиях проводимости).
При подобных обстоятельствах, диагностируя малые сердечные аномалии, врачи вынуждены обращаться к медикаментозной терапии.
cardioplanet.ru
Как известно, цели и задачи кардиологии заключаются в том, чтобы изучать сердечно-сосудистую систему человека, диагностировать всевозможные нарушения в ее работе и, соответственно, лечить выявленные заболевания (например, если обнаружена дополнительная хорда левого желудочка). Долгое время считалось, что проблемы с сердцем беспокоят главным образом представителей старшего поколения. Однако сегодня ситуация изменилась: сердечные заболевания нередко диагностируются у людей среднего возраста, подростков и даже совсем маленьких детей. О последних мы поговорим подробнее.
Детская кардиология
Все сердечно-сосудистые недуги у детей принято делить на врожденные и приобретенные. Первая группа патологий возникает еще в процессе формирования зародыша. В качестве основных предпосылок к этому врачи называют плохую экологию, постоянные стрессы, испытываемые будущей матерью, наследственную предрасположенность и целый ряд инфекционных заболеваний. Что же касается приобретенных проблем с сердцем, то здесь первое место в списке возможных причин занимают инфекции. К осложнениям, как правило, приводит неправильное лечение. Что можно считать поводом для визита к кардиологу? Учащенное сердцебиение, боль в области грудины, отеки, опухания суставов. Кроме того, следует помнить, что отдельные болезни, например порок сердца, на начальной стадии развиваются совершенно бессимптомно. Поэтому целесообразно проводить регулярные обследования. А что предпринять, если обнаружилась в левом желудочке дополнительная хорда?
МАРС
В области детской кардиологии существует такое направление, как малые аномалии развития сердца (сокращенно МАРС). Именно к этой категории относится дополнительная хорда левого желудочка. По свидетельству врачей, подобного рода проблемы не представляют большой опасности, поскольку не несут прямой угрозы жизни пациента. Следует отметить, однако, что все они требуют постоянного медицинского контроля. Самым распространенным проявлением в этой группе является дополнительная хорда левого желудочка.
Что это такое?
Подобного рода хорда представляет собой нитевидную структуру. С одной стороны она крепится к стенке сердечной мышцы, а с противоположной – к створке клапана. Диагностика патологии затрудняется тем, что ее невозможно выявить по результатам ЭКГ и даже прослушать. Кардиолог может заподозрить, что у пациента имеется дополнительная хорда левого желудочка, если услышит шумы в сердце. В этом случае врач должен направить больного на УЗИ, чтобы подтвердить или опровергнуть диагноз.
Характеристика
Данная аномалия может иметь разную форму и строение. Нередко дополнительная хорда левого желудочка сердца играет роль дополнительного проводящего элемента. Этот фактор провоцирует развитие аритмии и фибрилляции желудочков. Зачастую жалобы больного напоминают симптомы хронической болезни сердца. Тем не менее, осложнения могут возникнуть лишь в том случае, если хорда обладает гемодинамической значимостью. В противном случае никакого особенного лечения вам не потребуется. Единственное, что придется сделать, это пройти глубокое обследование перед тем, как браться за чрезмерные физические нагрузки.
fb.ru
Анатомия сердца
Человеческое сердце состоит из камер – их четыре: два предсердия и два желудочка. В правильно работающем органе кровяной поток переправляется в желудочки из предсердных отделов. Единое направление кровяного тока обеспечивается клапанами между отделами. Клапаны открываются и закрываются в зависимости от сжатий и расслаблений сердечной мышцы. Чтобы гибкость и функциональность клапанных створок сохранялась, их поддержка обеспечивается нитями сухожилий – хордами в полостях желудочков. Нити сжимаются поочередно, обуславливая натяжение клапана и открывая путь кровяному потоку в желудочек. Затем они разжимаются, обеспечивая закрытие клапанной створки, кровь перемещается в предсердие.
В некоторых случаях, когда сердце младенца в утробе матери находится на стадии развития, закладываается еще одна (а иногда и несколько) добавочная нить в желудочковом отделе. Таким образом, дополнительная хорда в сердце у ребенка – это добавочное соединительнотканное формирование, которое располагается чаще всего в левом желудочке сердца.
Что это такое? Лишняя нить не несет гемодинамической угрозы функциональности сердечного органа. Поэтому его называют малой сердечной аномалией.
С учетом локализации дополнительной хорды в левом желудочке сердца принято идентифицировать диагональные, расположенные продольно или поперечные добавочные хорды. Поперечные хорды – явление редкое. Первые две разновидности хорд не препятствуют нормальному прохождению крови в сердечных камерах, а поперечная может стать серьезной помехой для продвижения кровяного потока, от чего страдает функциональность сердечной мышцы слева. Продольная и диагональная хорды не являются гемодинамически влиятельными, в отличие от поперечной. Последняя может стать причиной нарушения ритмики сердца у человека во взрослом возрасте.
Причины формирования добавочной хорды
Одной из главных предпосылок к формированию дополнительной хорды в сердечном желудочке (ДХЛЖ) является генетическая расположенность. Если мать ребенка имеет сердечные патологии, то риск развития врожденных заболеваний или отклонений сердца у плода высок. Среди частых патологий детского сердца отмечается АРХ, ложная хорда, пролапсы клапанных створок и др.
Можно назвать ряд причин формирования аномалий:
- Негативное влияние загрязненности воздуха и питьевой воды.
- Наличие мутагенных воздействий, связанных с употреблением наркотиков, спиртного, курением при вынашивании плода.
Внимание! Эти факторы наиболее опасны в период формирования соединительной структуры у плода в утробе матери (до шестой недели беременности) и на протяжении всего срока вынашивания ребенка.
Разновидности дополнительных хорд
Дополнительная хорда левого желудочка имеет разную локализацию, структуру и строение. Доктора различают следующие виды ложных хорд:
- По структуре: фиброзная, мышечная, комбинированная – фиброзно-мышечная.
- По способу размещения соединительных волокон: поперечная, размещенная диагонально и продольно.
- По числу добавочных выростов: одиночная или множественная.
- По месту, где находится лишняя нить: срединная, верхняя, базальная.
Симптоматика
Обычно ложная хорда левого желудочка не сопровождается проявлениями в любом возрасте пациента с данным отклонением. Это справедливо для тех случаев, когда патология не характеризуется дисплазией соединительной ткани и имеет одну добавочную нить.
Если на УЗИ у ребенка выявляется не одна дополнительная хорда, а несколько, они размещаются поперечно, то вероятно появление жалоб на сердца во время быстрого развития и роста ребенка, во время беременности и пубертатного этапа развития. Среди таких жалоб можно выделить:
- Боли в левой части груди.
- Повышенная утомляемость.
- Постоянная физическая слабость.
- Нарушение ритма сердцебиения.
- Кажется, будто не хватает кислорода.
- Бледные кожные покровы.
У некоторых пациентов из-за наличия аномальной хорды, образовавшейся в полости левого желудочка, наблюдаются аритмические симптомы или приступы тахикардии.
Если диагноз МАРС спровоцирован патологией дисплазии, возможны следующие симптомы заболевания:
- Худощавое строение тела ребенка.
- Аномально высокий рост.
- Повышенная мобильность суставов.
- Нарушение строения ребер.
- Ослабление позвоночника.
- Частые случаи вывихов суставов.
- Изменение структур органов мочевыделительной и дыхательной систем.
- Иные аномалии.
Ложная хорда левого желудочка не перегружает сердце и не становится помехой для нормального функционирования. Данная незначительная аномалия в течение многих лет может никак не обнаруживаться, поскольку не появляется никаких симптомов. Детский врач может на приеме услышать небольшие шумы в сердечке новорожденного. Однако он не отражается на сердечной функции.
Клинические проявления возможны в процессе развития и роста ребенка, когда увеличение конечностей и тела многократно опережает по скорости увеличение органов внутри, от чего увеличивается нагрузка на сердечную систему. В этом случае у детей могут возникнуть следующие признаки:
- Боли в сердце.
- Частые головокружения.
- Учащенный ритм.
- Беспричинная утомляемость.
- Нестабильность психики.
Если лишняя хорда в сердце дает о себе знать, ребенку необходимо пройти обследование, сделать кардиограмму, находиться под наблюдением кардиолога. Исследования сердца помогут доктору выявить гемодинамические отклонения от нормы.
Насколько опасна ДХЛЖ?
Большая часть врачей приравнивают данную малую аномалию сердца к норме. Наличие аномально прикрепленной хорды внутри левого желудочка не является страшным вердиктом. Ведь аномалия не нуждается в оперативном лечении, и когда нет нарушений гемодинамики, ее не нужно лечить медикаментозным путем.
В определенных случаях добавочная хорда становится фактором, приводящим к образованию сердечных патологий, к примеру: нарушение проводимости сосудов, эндокардит, образование тромбов и пр. Заранее спрогнозировать риск развития аномалий невозможно.
Внимание! Берут ли в армию? Если у мужчин до призывного возраста на фоне лишней хорды в сердце не появилось иных патологий, они пригодны для службы в армии. Таких парней без раздумий берут в армию.
Методы диагностики
Аномальная хорда левого желудочка диагностируется при эхокардиоскопии новорожденного. В месячном возрасте малышам обязательно проводят УЗИ сердца, чтобы уточнить наличие или отсутствие сердечных заболеваний, не выявленных после их появления на свет. Данное обследование плановое для детей. Так что при обследовании УЗИ родители могут узнать, что в сердце здорового ребенка имеется лишняя хорда. Но если у ребенка нет другой патологии, то он практически здоров, и ему не нужно наблюдаться у кардиолога.
При сочетании добавочной хорды в сердце с иной патологией сердечно-сосудистой системы ребенку нужно стать на учет в кардиологии. Помимо УЗИ малышу назначают другие виды диагностики: ЭКГ или Эхо-КГ. В подростковом возрасте будет проводиться ЭКГ диагностика с дополнительными нагрузками. Для взрослых пациентов с диагнозом эктопической хорды схема мониторинга такая же: ежегодные исследования и прослушивания сердца на кардиограмме и УЗИ. То, сколько исследований в год проводить, зависит от течения заболевания.
Нужно ли лечить?
При обнаружении у грудничка ложной хорды в сердце, являющейся единственным аномальным отклонением от нормы, лечить патологию не нужно.
Если наблюдаются расстройства работы сердца в старшем возрасте, но они не вызывают гемодинамических нарушений, гипертензии, не приводят к недостаточности функций сердца, то доктор может назначить поддерживающие работу миокарда лекарственные средства. Не лишними будут препараты магния и калия, витамины группы В, актовегин, мексидол и прочие антиоксиданты. Педиатр ребенку с лишней сухожильной хордой в сердце назначает комплексные детские витамины, объясняя, сколько курсов пропивать в год.
При появлении отклонений в работе сердца кардиолог может выписать мочегонные, гипотензивные лекарственные средства, препараты для нормализации ритма сердца.
Показания для медикаментозной терапии ложных хорд в левом желудочке встречаются в редких случаях.
Для профилактики нарушения ритмики сердца, улучшения проводимости сосудов доктор может прописать такие препараты: Магнерот, Панангин, Пирацетам. Лекарственные средства прописываются с учетом возрастной категории. Любые витаминные комплексы дети должны принимать курсами с периодичностью повторений. Если усиливаются симптомы дистонии, доктор может выписать Ноотропил.
Важно! При появлении опасных нарушений сердечной деятельности: экстрасистолии, аритмических мерцательных процессов, острой тахикардии, ребенку может понадобиться срочное лечение в стационаре.
Образ жизни: советы
Если у малыша диагноз «аномально расположенная хорда в полости левого желудочка» при отсутствии иных патологических аномалий в сердце, то ему не нужно вести необычный образ жизни. Достаточно обеспечить рациональное питание с употреблением продуктов с богатым витаминным составом. Для здорового развития сердца полезны долговременные прогулки на улице, активная физкультура, посещение спортивных или танцевальных секций.
Родители не должны ограничивать занятия физическими упражнениями или спортом. Ведь ребенку ничего не мешает активно прыгать, бегать, развивать свои возможности. Поэтому нагрузки должны соответствовать возрастной норме. На физкультуре в учебном заведении ребенок находится в равных условиях со сверстниками. Врачи рекомендуют таким детям заниматься плаванием, катанием на коньках и роликах, велосипедным спортом.
Относительно возрастных прививок согласно государственному календарю можно отметить, что наличие лишней хорды в сердце не является медицинским отводом. Поэтому малыша можно прививать в соответствии с возрастом.
Не стоит ограждать малыша от незначительных опасностей. Родители не должны воспринимать его как больного и беспомощного. Ведь это может негативно сказаться в будущем на социализации ребенка. Посещение садиков и школ, дружба с одногодками, занятия в спортивных и развлекательных секциях – все это необходимо для нормальной адаптации и развития любого ребенка в обществе независимо от диагноза. Каждый растущий человек должен быть полноценным и счастливым.
lechiserdce.ru
Множественные дополнительные хорды левого желудочка
Чем опасны дополнительные хорды в левом желудочке?
Дополнительная или ложная хорда левого желудочка представляет собой анатомическую аномалию в строении сердца человека. Это фрагмент волокнистой ткани, соединяющий створку сердечного клапана со стенкой сердца. В органе их может быть несколько штук. Основная задача тяжа – помогать клапану не прогибаться, и удерживать кровь в период сокращения сердечных мышц.
При ультразвуковом исследовании плотные хорды хорошо просматриваются. В заключении может быть указано «гемодинамически незначимая» или «гемодинамически значимая» хорда. В первом случае это никак не повлияет на работу органа и здоровье пациента. А вот со «значимой» хордой лучше дообследоваться у кардиолога.
Патология или норма
Доп. хорда в ЛЖ является наследственным заболеванием, передающимся от матери ребенку еще в период вынашивания плода. Это своеобразный сбой в развитии соединительных тканей органа. Заболевание не относится к числу опасных, обозначается как малая аномалия сердца (МАРС), не причиняющая существенного вреда функциональности органа. МАРС-синдром у ребенка может быть диагностирован буквально при первом же обследовании после рождения и сохраняться в записях наблюдений длительный период.
Заметим, что всевозможные аномалии в строении внутренних органов, в том числе и МАРС, еще каких-нибудь 30-40 лет назад можно было выявить только после вскрытия тела умершего. Сегодня же патологию на ранней стадии развития помогает выявить простое УЗИ сердца.
Ряд специалистов считают, что дополнительная левожелудочковая ткань – это норма. А вот, если доп. тяжи обнаруживаются в правом желудочке, это действительно серьезно и чревато различными заболеваниями.
Добавочная ткань в полости потребует своевременного и адекватного лечения. В противном случае ребенка в будущем ожидают проблемы со здоровьем, вызванные МАРС:
- Изменение скорости кровотока и сердечного ритма.
- Повреждение эндокарда из-за несущественной длины нити.
- Фиброз.
- Препятствие расслаблению желудочка.
- Нарушенная биомеханика сердца.
- Развитие диссинергии миокарда.
Виды диссинергии миокарда
Причиной МАРС может стать дисплазия соединительной ткани (неправильное ее развитие). Она может быть или слишком слабой, или формироваться в избытке, или не там, где положено. Как следствие – различные аномалии сердца.
Разновидности сердечных хорд
Этот тип соединительной ткани классифицируют по ряду признаков.
1. Место расположения в полости:
2. Тип гистологии:
3. Область крепления:
4. Направление ткани:
5. Число доп. нитей:
Симптоматика заболевания
При аномалиях типа МАРС редко наблюдаются видимые симптомы. Единичные доп. хорды никак себя не проявляют. Пациент на протяжении всей жизни может и не подозревать, что у него есть дополнительная хордовая нить.
Подозрение о заболевании могут вызвать систолические шумы сердца при прослушивании ребенка после рождения. МАРС может быть диагностирован на основании соответствующих исследований в последующие три года жизни малыша.
У ребенка явными признаками патологии могут быть:
- боли в области сердца;
- ощущение сердцебиения;
- быстрая утомляемость;
- несанкционированная слабость;
- головокружение;
- психоэмоциональная нестабильность;
- вегето-сосудистая дистония;
- нарушение сердечной ритмики.
Эти симптомы чаще проявляются в подростковом возрасте и продолжаются после него.
Множественные доп. хорды (дисплазия соединительной ткани) могут обнаруживаться не только в сердце, но и в других органах, где есть такой тип тканей:
- деформация скелета (конечностей, позвоночника, таза);
- изменение строения трахеобронхиального дерева;
- аномалии в строении органов пищеварения, мочевыделительной системы и пр.
В каждом отдельном случае назначается определенное лечение. Особенно тщательно подбирается терапия в случае множественной дисплазии органов.
Диагностирование
Дополнительная ткань в ЛЖ выявляется при проведении УЗИ сердца (для ребенка в возрасте одного месяца этот метод диагностики заменяется ЭХО-КГ). Исследование достаточно точное, процедура безболезненная. ЭХО-КГ (эхокардиография) направлена на изучение сердца в реальном времени и движении.
Доплеровский метод диагностики применяется для определения длины доп. нити, ее плотности, толщины, места крепления, скорости кровотока по ней и так далее.
Бессимптомный МАРС-синдром не нуждается в медикаментозной терапии. Единственное, что потребуется, регулярное наблюдение у кардиолога с посещением кабинета УЗИ минимум один раз в год.
Если же дополнительная хорда проявляет себя, то есть у пациента наблюдаются характерные симптомы заболеваний сердечно-сосудистой системы, то потребуется следующее медикаментозное назначение:
- Витамины В1, В2, РР принимаются месяц с курсом два раза в год. Эти вещества необходимы для лучшего питания сердечной мышцы.
- Препараты с магнием и калием. Здесь применяются различные виды лекарств, содержащих эти вещества. У каждого своя дозировка, курс приема, противопоказания. Назначение необходимого препарата – прерогатива лечащего врача. Эти вещества способствуют восстановлению процесса реполяризации.
- Антиоксиданты способствуют улучшению метаболических процессов в тканях сердечной мышцы.
- Нейротропные препараты прописываются в случае проявления у пациента нейроциркуляторной дистонии .
Среди общего терапевтического назначения при доп. хордах:
- адекватная ЛФК;
- закаливание;
- сбалансированное питание, обогащенное витаминами;
- неутомительные прогулки и длительное пребывание на свежем воздухе;
- соблюдение дневного распорядка (время сна и бодрствования, труда и отдыха).
Дополнительная нить поперечного направления, множественное число доп. хорд могут потребовать немедленной госпитализации пациента, детального обследования и уже затем адекватного лечения. В редких случаях требуются оперативные меры по иссечению доп. нитей или криодеструкция.
Очень сложно предсказать заранее, как будут протекать такие малые аномалии, как дополнительная левожелудочковая хорда. Обычно же это не причиняет существенного вреда организму пациента. Если структурные изменения не привели к нарушению работы органа и его системы, то специальная терапия, возможно, и не потребуется. Дополнительная соединительная ткань внутри сердечной мышцы редко приводит к развитию осложнений. Расстройство сглаживается или устраняется медикаментозно.
Если у малыша или уже у взрослого человека обнаружены ложные соединительные нити в левом сердечном желудочке, не стоит сразу бить тревогу, опасаясь за здоровье и жизнь пациента. Регулярное наблюдение у кардиолога, при необходимости прием препаратов, а также нормализация образа жизни – вот основные правила заботы о человеке с такой аномалией.
Что представляет из себя дополнительная хорда левого желудочка
Сердца человека стоит из нескольких хорд, препятствующих сгибанию клапана во время сокращения. Благодаря их наличию, орган может удерживать кровь, толкать её по сосудам. У отдельных людей на первых неделях развития формируется дополнительная хорда левого желудочка. Чаще всего она имеет нитевидную структуру, но в отдельных случаях её основу составляют мышцы и сухожилия. В 90% случаев это отклонение обнаруживают у подростков в возрасте 13-16 лет, но многие люди с этим диагнозом живут до преклонных лет без проблем в работе сердца. Ниже мы проанализируем, что это такое и как данное состояние влияет на самочувствие.
Причины развития
Дополнительная хорда в левом желудочке чаще всего появляется из-за генетической предрасположенности. Передаётся она в 95% случаев от матери к ребенку. Развивается МАРС внутриутробно, а катализатором этого процесса становится сбой во время формирования соединительной ткани в полости левого желудочка. По этой причине женщинам, которым был поставлен этот диагноз, нужно обследовать родных детей на наличие данной аномалии. Также причинами развития дополнительных хорд могут быть:
- плохая экологическая обстановка в регионе;
- перенапряжение физического и нервного характера;
- приём алкогольных напитков и курение.
Разновидности хорд
Дополнительная хорда в левом желудочке сердца может быть следующего типа:
- мышечная, фиброзная или фиброзно-мышечная;
- с продольными, поперечными, диагональными соединительными волокнами;
- с одиночными либо множественными тяжами;
- срединной, базальной или верхушечной.
Самыми опасными считаются поперечные хорды. Они могут перекрыть кровоток и создать опасность для организма человека. В остальных случаях эти МАРС считаются безобидными и не несут какой-либо нагрузки на сердце.
Дополнительная хорда на сердце практически никак не проявляется до определенного возраста. При определенном строении она может не проявляться даже в более зрелом возрасте. Считается, что первые признаки ДХЛЖ можно обнаружить во время активного роста ребенка, когда скелет развивается быстрее, чем органы. О наличии МАРС могут поведать следующие симптомы:
- быстрая утомляемость без какой-либо сильной нагрузки;
- головокружения;
- боли в области сердца;
- резкая смена настроения;
- скачущее сердцебиение.
Схожий симптомокомплекс даёт не только дополнительная хорда в полости, но и другие множественные МАРС. Поэтому все диагностические работы должен проводить врач с большим опытом. После завершения стадии активного роста признаки дополнительной хорды левого желудочка пропадают, но затем появляются у взрослого человека. Но на основе перечисленных выше симптомов диагноз не ставят. Юный пациент должен будет подвергнуться различным видам диагностики.
Если после обследования у ребенка выявляется несколько лишних хорд в сердце, то врач должен направить пациента на дополнительную диагностику. Как известно, соединительная ткань в организме человека сконцентрирована не только у сердца, но и в мышцах и других органах. Поэтому могут возникать клинические проявления с их стороны. Если их удалось зафиксировать, то ребенку ставят диагноз соединительно-тканной дисплазии. Это заболевание характеризуется изменениями в скелете, мышечной ткани, строении некоторых органов.
Опасна ли эта аномалия?
Одна дополнительная хорда в сердце расценивается как небольшое отклонение от нормы. Хирургическое лечение при этом типе МАРС не требуется, поэтому родители и ребенок должны сохранять спокойствие. Если отсутствуют нарушения в кровотоке, то хирургическое и медикаментозное лечение недуга не понадобится. По мере взросления она может привести к развитию тромбов, изменению ритма сердца, но предугадать появление этих патологий невозможно.
Диагностика
Диагноз ставят после УЗИ сердца. Пациента предварительно прослушивают на предмет наличия систолических шумов. Чтобы убедиться в том, что аномалия безвредна для организма ребенка, могут назначить ЭКГ классическое и с нагрузкой. Какие конкретно методы диагностики использовать, решает врач после осмотра пациента.
Если у ребенка или взрослого обнаруживают дополнительную хорду с симптомами гемодинамии, то рекомендуется ограничить физическую активность. Также больным рекомендуют принимать следующие препараты:
- l-карнитин, убихинон для восстановления обменных процессов в сердечной мышце;
- пирацетам, чтобы убрать признаки нейроциркуляционной дисфункции;
- внутривенно В6, В12 и никотиновую кислоту, чтобы улучшить состояние миокарда;
- магний и калий, чтобы улучшить проводимость нервных импульсов и предотвратить аритмию.
Развитие аритмии мерцательного типа, тахикардии могут служить показаниями для оперативной госпитализации в больницу. Но чаще всего эти заболевания появляются, когда хорд несколько или одна хорда является поперечной. Тогда врачи проводят детальный анализ сердца и определяют методику лечения возникшей проблемы. Чаще всего хорды, мешающие кровотоку, иссекают либо удаляют с помощью азота.
Если же у ребенка или взрослого дополнительная хорда обнаружена в результате планового обследования, но никакого дискомфорта не доставляет, тогда медикаменты не принимают. Такие пациенты должны нормализовать свой режим дня, не допускать перенапряжения и чрезмерного расслабления. От сильных физических нагрузок придётся отказаться в пользу прогулок на свежем воздухе.
Если ребенок занимается определенным видом спорта, то не стоит резко ему запрещать посещать секцию. Следует обговорить возможность занятий с врачом, чтобы он адекватно оценил состояние пациента. Не нужно отгораживать ребенка от социума, запрещать ему гулять и играть с друзьями, т.к. такой подход заставит его чувствовать себя неполноценным.
Профилактика осложнений
Учитывая, что недуг носит генетический характер, предупредить его появление нельзя. При выявлении у взрослого или ребенка дополнительной хорды, нужно соблюдать рекомендации специалиста по этому поводу. Чтобы не развилось осложнений, в старшем возрасте следует следить за количеством потребляемого холестерина и собственным весом. Лишняя масса тела создаёт дополнительную нагрузку на сосуды, заставляя сердце работать интенсивнее.
Занятия лечебной физкультурой нужны для детей, имеющих дополнительную хорду. Они способствуют укреплению сердечной мышцы, предотвращая развитие всевозможных патологий. Большинство врачей не советуют людям с лишней хордой на соревновательном уровне заниматься спортом. Длительные заплывы, практические занятия в аэроклубе, дайвинг могут навредить людям с представленной аномалией. Но вот спринт, йога и упражнения с собственным весом сделают сердечную мышцу сильнее.
Советуем так же прочесть:
Дополнительная хорда в левом желудочке сердца – аномалия, о которой должен знать каждый
≡ Пищеварение > Лечение желудка > Дополнительная хорда в левом желудочке сердца – аномалия, о которой должен знать каждый
Зачастую в детей до 18 лет врачи находят в сердце небольшую нитеобразную соединительную ткань в левом желудочке, которая называется хорда. Услышав название этой «малой» аномалии сердца родители впадают в панику. Но делать этого не стоит, так как в точности эта патология диагностируется как дополнительная хорда и не является смертельным заболеванием. Однако она имеет и другую сторону – более опасную.
Хорда в левом желудочке сердца – патология или норма?
Дополнительная хорда – заболевание аутосомно – доминантного характера, которое возникает через сбой в развитии соединительной ткани в период беременности. Проще говоря, у ребенка, в период эмбрионального развития, в сердце возникают тоненькие ниточки. Заболевание это не опасное. Его относят к группе малой аномалии сердца, поскольку оно не вызывает никаких существенных отклонений в работе органа. Более того, большинство врачей называют дополнительную хорду в левом желудочке нормой, а вот образование её в правой части сердца грозит серьезными заболеваниями. Поэтому дополнительная нить соединительной ткани должна лечиться, так как в будущем, с ростом и развитием сердца, могут возникнуть следующие проблемы:
- Дополнительная хорда влияет на кровоток и ритм сердца ;
- Если нить короткая, в ходе развития сердца может возникнуть повреждение эндокарда ;
- Наличие хорды вызывает фиброз ;
- Короткая хорда препятствует расслаблению желудочка;
- Возникает нарушение биомеханики сердца.
- Развивается дисинергия миокарда .
Виды хорды
В научной медицинской литературе выделяют несколько видов хорд.
В зависимости от расположения в сердце:
- Правожелудочковая дополнительная хорда;
- Левожелудочковая дополнительная хорда.
В зависимости от гистологической структуры:
В зависимости от места крепления:
Читайте: Почему при беременности болит желудок? Чем помочь?
В зависимости от направления соединительной ткани:
В зависимости от количества нитей:
Причины образования хорды левого желудочка
В 92% случаев дополнительная хорда возникает из – за наследственной склонности к заболеванию. Передается оно по материнской линии, реже – по отцовской. Поэтому, если мать знает, что ранее в нее была обнаружена дополнительная хорда в левом желудочке сердца, стоит задуматься об обследовании своего ребенка, так как хорда длительно время не дает о себе знать, а это может стать причиной сложного заболевания в будущем.
Диагностика аномалии сердца
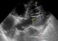
Для того чтобы точно поставить диагноз – дополнительная хорда в левом желудочке сердца, врач назначает ультразвуковое обследование. Благодаря УЗИ, доктор может быстро, безболезненно и точно диагностировать сердечное заболевание или патологию. Кроме того, эхокардиография позволяет изучить сердце в реальном времени и в движении. Изучают проблемы дополнительной хорды и с помощью доплеровского метода, который помогает определить длину нити, её толщину, место крепления и скорость кровотока по ней.
Лечение и профилактика дополнительной хорды в левом желудочке сердца
Дополнительная хорда не лечится традиционными аптечными средствами. Единственное верное решение при её обнаружении – правильный режим, питание и запрет занятиям некоторыми видами спорта: подводным плаванием, парашютизмом, гимнастикой. некоторыми видами танцев. Диагностировав хорду, врач специально назначает пациенту посещать индивидуальную или групповую лечебную физкультуру, которая состоит из следующего комплекса упражнений.
- Танцевальные па медленных видов танцев;
- Строевые упражнения;
- Занятие на шведской стенке, скамье, с обручем, скакалкой и мячом.
- Бег под присмотром на малую дистанцию, прыжки, упражнение с канатом.
- Кроме того, пациенту рекомендуют:
- Соблюдать режим дня.
- Правильно питаться;
- Избегать стрессовых ситуаций ;
- Ходить на массаж ;
- Ежегодно проходить диагностику.
Читайте: Почему размер желудка взрослого человека индивидуален
- Сильные физические нагрузки. Труд должен чередоваться с отдыхом;
- Употребление препаратов без консультации врача;
- Психологические нагрузки;
- Профессиональное занятие спортом.
Невзирая на такие рекомендации врача, психологи советуют не ограждать ребенка от школы, развлечений с друзьями. Дети должны самостоятельно пройти все ступени социализации и не чувствовать себе одинокими или огражденными от мира. Поэтому, помимо домашних указаний, с детьми, имеющими дополнительную хорду в левом желудочке сердца, школьный психолог и врач должны проводить беседы и консультации. регулярно проверять состояние ребенка. Диагностика дополнительной хорды в левом желудочке сердца:
Расскажите друзьям! Расскажите об этой статье своим друзьям в любимой социальной сети с помощью социальных кнопок. Спасибо!
Вместе с этой статьей читают:
- Покалывание в левом боку как симптом…
- 20 причин, почему появляется колющая…
- Панангин: инструкция по применению.…
- Где желудок у человека: проекции,…
Источники: https://cardio-life.ru/zabolevaniya-serdca/dopolnitelnye-xordy-v-levom-zheludochke.html, https://cardioplanet.ru/zabolevaniya/davlenie/dopolnitelnaya-horda-levogo-zheludochka, https://pishhevarenie.com/lechenie-zheludka/dopolnitel-naya-horda-v-levom-zheludochke-serdtsa-anomaliya-o-kotoroj-dolzhen-znat-kazhdy-j/
Дополнительная хорда левого желудочка — причины, симптомы и лечение
Патология или норма
Ряд специалистов считают, что дополнительная левожелудочковая ткань – это норма. А вот, если доп. тяжи обнаруживаются в правом желудочке, это действительно серьезно и чревато различными заболеваниями.
- Изменение скорости кровотока и сердечного ритма.
- Повреждение эндокарда из-за несущественной длины нити.
- Фиброз.
- Препятствие расслаблению желудочка.
- Нарушенная биомеханика сердца.
- Развитие диссинергии миокарда.
Виды диссинергии миокарда
Разновидности сердечных хорд
- левожелудочковые;
- правожелудочковые.
- мышечная;
- фиброзная;
- фиброзно-мышечная.
- верхушечная доп. хорда;
- срединная;
- базальная.
- продольная нить;
- диагональная;
- поперечная.
- одиночные;
- множественные.
Симптоматика заболевания
- боли в области сердца;
- ощущение сердцебиения;
- быстрая утомляемость;
- несанкционированная слабость;
- головокружение;
- психоэмоциональная нестабильность;
- вегето-сосудистая дистония;
- нарушение сердечной ритмики.
- деформация скелета (конечностей, позвоночника, таза);
- изменение строения трахеобронхиального дерева;
- аномалии в строении органов пищеварения, мочевыделительной системы и пр.
Диагностирование
Лечение
Бессимптомный МАРС-синдром не нуждается в медикаментозной терапии. Единственное, что потребуется, регулярное наблюдение у кардиолога с посещением кабинета УЗИ минимум один раз в год.
- Витамины В1, В2, РР принимаются месяц с курсом два раза в год. Эти вещества необходимы для лучшего питания сердечной мышцы.
- Препараты с магнием и калием. Здесь применяются различные виды лекарств, содержащих эти вещества. У каждого своя дозировка, курс приема, противопоказания. Назначение необходимого препарата – прерогатива лечащего врача. Эти вещества способствуют восстановлению процесса реполяризации.
- Антиоксиданты способствуют улучшению метаболических процессов в тканях сердечной мышцы.
- Нейротропные препараты прописываются в случае проявления у пациента нейроциркуляторной дистонии.
- адекватная ЛФК;
- закаливание;
- сбалансированное питание, обогащенное витаминами;
- неутомительные прогулки и длительное пребывание на свежем воздухе;
- соблюдение дневного распорядка (время сна и бодрствования, труда и отдыха).