
Компьютерная томография шейного отдела позвоночника
Шея современного человека подвержена постоянным негативным воздействиям. Межпозвоночные диски и костная ткань страдает из-за отсутствия нормальной физической нагрузки, неправильного сидения за компьютером больше 8 часов в день, неполноценного питания с недостатком нужных витаминов и минералов.
Обнаружить нарушение в костной ткани визуально, или основываясь только на данных анализов крови и мочи, даже опытный специалист не способен. На помощь ему приходят инструментальные способы и привлечение современных технологий. КТ шейного отдела позвоночника – простой и информативный способ определения нарушений в костных тканях и сосудах человека. Он позволяет изучить спинномозговой канал, состояние спинного мозга в целом, хрящевую ткань между отдельными составляющими хребта, костную ткань.
Когда проводится исследование?
Компьютерная томография шейного отдела позвоночника предполагает использование специальной аппаратуры. Она показывает картину происходящего и дает возможность обнаружить патологические изменения даже на ранних стадиях. Изображения представляют собой срезы слой за слоем тела в заданной области. Чем плотнее ткань, тем светлее она будет на снимке. Кость имеет бесцветный оттенок, так как практически полностью впитывает ионизирующие лучи аппарата.
Проводится томография шейного отдела по направлению врача, при диагностировании следующих болезней:
- Нарушения строения позвоночного ствола или врожденные аномалии хребта.
- Развитие грыжи или остеохондроза.
- Диагностирование злокачественных новообразований.
- Появление сужений в спинномозговом канале.
- Смена конституции позвонков, деформирование в верхней области.
- Травмирование шеи или перенесенное хирургическое вмешательство.
- Наличие кровоизлияний в спинной мозг.
- Хронические болевые ощущения в районе шеи, головокружения и блоки.
Полученные снимки отражают 1-3 мм ткани, если выбрать в настройках большую толщину, то информативность обследования существенно снижается. Современное оборудование, используемое в КТ-кабинетах, позволяет специалисту увидеть трехмерное изображение позвонков. Это предоставляет специалисту возможность рассмотреть проблемную область под разными углами, провернуть, приблизить ее или увеличить. Чем больше имеется информации об исследуемом органе, тем точнее будет постановка диагноза. Особенно это важно при травмировании шеи.
КТ шейного отдела позвоночника – это достаточно сложная процедура, результат которой зависит от правильной подготовки больного перед предстоящим исследованием. Если планируется изучение области с применением контраста, то больному запрещается употреблять за сутки ряд продуктов. Последний прием пищи должен быть за 8 часов до начала, даже пить воду не рекомендуется.
Основные особенности проведения КТ:
Что такое рентгеновская денситометрия
- Перед началом специалисту надо предоставить выписку медицинской карты, направление на прохождение процедуры и результаты (вместе со снимками), сделанные с использованием компьютерного томографа ранее.
- Как и в случае с МРТ с тела, убираются все имеющиеся металлические украшения, из карманов все удаляется, для исключения искажения снимка.
- Пациент фиксируется в одном положении на специальной кушетке и не шевелится до того, как ему разрешит это сделать оператор.
- Детородные органы защищаются от негативного излучения при помощи специального свинцового фартука. Если исследование проводится в отношении ребенка, то такой же халат надевается родителю, который будет держать его в процессе.
- Сканирование проводят в течение 10 минут, в редких случаях оно занимает 25 минут. Диагност и ассистенты находятся в это время в соседнем кабинете, наблюдая за процессом через прозрачное стекло.
Альтернативой данному исследованию является мультиспиральная компьютерная томография (МСКТ), отличающаяся более низкой дозировкой излучения и более высокой скоростью проведения. Через некоторое время после завершения сеанса, пациенту вручается медицинский бланк с описанием полученной информации и электронный носитель, где отражены полученные снимки.
Расшифровывает полученные изображения специалист, и на написание заключения требуется некоторое время. Обычно выдаются они на руки пациенту через 1-2 дня после проведения обследования. Но стоит понимать, что указанные данные не являются основанием для постановки диагноза, так как его ставит врач, основываясь на клинической картине, симптоматике и анамнезе больного.
Компьютерная томография абсолютно безболезненная процедура
Компьютерная томография относится к рентгенологическим процедурам, поэтому принято считать, что она опасна для здоровья человека. Но современная аппаратура позволяет снизить лучевую нагрузку и при этом не страдает информативность. Используется методика для диагностирования патологий головного мозга, мягких тканей шейного отдела и других исследований. Основными плюсами КТ являются:
- Возможность изучить центральную нервную систему, позвоночный канал и другие органы.
- Изображение можно сделать любого размера без потери качества.
- Повышенная точность метода и отсутствие необходимости проводить дополнительные исследования.
Проводят КТ, как и магнитно-резонансную томографию, не чаще 1 раза в 3-4 недели, для исключения накапливания радиации в скелете. Ведь это в будущем может стать причиной развития различных онкологических болезней и патологий. Контраст делает процедуру еще опаснее, особенно если есть риск развития негативного иммунного ответа на него. Запрещено его использование у людей с больными почками, так как вещество не выводится нормально из организма и оказывает на него токсическое воздействие. Негативная реакция проявляется в виде рвоты, мигрени, скачков давления, приступов тошноты и неприятного привкуса во рту.
КТ с использованием контраста
Компьютерная томография славится высокой результативностью, но уточнить данные можно за счет использования контраста. Если исследуется костная ткань шейно грудного отдела, то применение его не требуется. Решение о необходимости дополнительного контраста, повышающего информативность метода, принимается на основе полученных изменений, которые нельзя идентифицировать.
Задействуется вещество на основе йода, которое вводится внутривенно один раз. Делается это до начала процедуры или прямо во время нее. В этом случае КТ покажет все особенности кровоснабжения тканей и состояние сосудов шеи. После использования у пациента могут наблюдаться следующие побочные эффекты:
- Характерный вкус металла во рту.
- Болезненные ощущения в месте введения препарата.
- Бросание в жар или в холод.
Ни одно из таких проявлений не представляет угрозу для здоровья или жизни больного и не искажает результаты исследования. О том, что у человека непереносимость контраста, показывают такие симптомы, как бронхоспазм, появление крапивницы, сильной рвоты или отека. У некоторых людей проявляется в виде затрудненного дыхания или резкого подъема артериального давления. Если у больного появились такие признаки в первые сутки после введения препарата, необходимо незамедлительно обратиться за медицинской помощью. Аллергическая реакция требует срочного лечения, поэтому о недомогании лучше сообщить лечащему врачу сразу, не дожидаясь самостоятельного исчезновения симптомов.
КТ позволяет детально рассмотреть практически все анатомические структуры
Основные противопоказания
КТ шейного отдела позвоночника не проводится детям до 12 лет и беременным женщинам на любом сроке. Важным показателем также является вес больного, так как максимальная нагрузка на кушетку томографа составляет 120 кг. Кроме этого противопоказаниями к проведению исследования будут следующие факторы:
- Лактация (в период прохождения исследования молоко не пригодно для кормления).
- Наличие большого количества миелом.
- Патологии почек или выделительной системы
- Сахарный диабет любой стадии.
- Индивидуальная чувствительность к препаратам на основе йода.
В остальных случаях решение о целесообразности проведения исследования принимает лечащий врач, учитывая все важные факторы и риск для здоровья пациента.
Вред от компьютерной томографии гораздо меньше, если сравнивать его с классическим рентгеном. Поэтому проводить ее можно гораздо чаще. Аллергию на контраст сегодня диагностируют лишь у 4% пациентов, но без явной надобности его специалисты не применяют. К КТ прибегают при необходимости исследования костной структуры, для выявления патологий мягких тканей чаще всего задействуется МРТ.
КТ шейного отдела позвоночника: задачи исследования, подготовка к процедуре
Одна из самых уязвимых точек человеческого организма – это шея. Здесь, на небольшом участке, сходятся многочисленные кровеносные сосуды, артерии, трахеи, нервы. Выявить заболевание этой области довольно трудно. Специально для подобных случаев существует процедура КТ, или компьютерная томография. Благодаря ней можно точно узнать, какой из органов нуждается в лечении.
КТ шейного отдела позвоночника
В статье разберемся, как проходит КТ шейного отдела позвоночника, как готовиться к такой процедуре и какие результаты она дает.
Что такое компьютерная томография (КТ)?
Томография – это метод обследования, при котором отдельные участки организма исследуются при помощи просвета в разных плоскостях. Изначально томография проводилась путем применения рентгена. Однако подобный способ не стал пользоваться большой популярностью. При нем исследователи не получали нужную информацию об интересующем их участке. Поэтому ученые стали думать над усовершенствованием данного метода. По мере развития технологического прогресса был создан новый метод посредством применения компьютера. Он был назван компьютерной томографией, или в сокращении КТ. Применяя этот метод, врачи могут во всех мельчайших подробностях изучить обследуемый орган.
С помощью данной методики идет обследование позвоночника в области шеи. На основе полученных данных создаются трехмерная и двухмерная модели шейных позвонков, что облегчает исследование этого отдела. КТ является высокоточным рентгеновским обследованием, которое широко применяется в изучении костных повреждений и патологий мягких тканей.
С помощью КТ шейного отдела можно определить различные патологии в этой области
В основе находится технология рентгена с компьютерной обработкой и анализом, поэтому на выходе получаются детализированные и четкие изображения.
При помощи компьютерной томографии человечество получило возможность видеть всю картину целиком, что особенно полезно при обследовании внутренних органов и структуры множества тканей.
Особенность такого подхода заключена в снятии многочисленных снимков при помощи томографа, который как бы «крутится» вокруг выбранной зоны обследования. Вслед за этим идет обработка на компьютере, благодаря чему снимки обретают свою четкость. Изображения позволяют вглядеться в мельчайшие подробности, размер самой мелкой детали может доходить до 0,5 мм. К тому же все снимки хранятся в «цифре». Их можно просмотреть в любой момент, развернуть под нужным углом и в требуемой плоскости.
Данный метод наиболее точно позволяет определить возможные повреждения шейной зоны позвоночника.
Негативное влияние процедуры минимально. Воздействие рентгеновских лучей низкое, а время исследования меньше, чем при обычном КТ.
Во время процедуры могут быть найдены патологии и повреждения в позвонках шеи, гортани, глотки, мышцах, сосудах, лимфоузлах, щитовидной железе и т. д.
Компьютерная томография обычно применяется для:
- подтверждения диагноза;
- составления плана лечения;
- планирования операций;
Комплексный вид изучения шеи при помощи КТ представляет собой изображения всех «слоев» шеи, где хорошо различимы все представляющие эту область ткани. Также здесь можно заметить полые органы, такие как пищевод и трахея, структуры костей и вместе с этим всевозможные в них изменения.
КТ назначают при многих заболеваниях шеи и органов в этой части
Благодаря КТ есть возможность исследовать:
- развившиеся отклонения в органах;
- опухоли и их метастазы в мягких тканях и костях шеи;
- нарушения стенок сосудов, связанные с проявлением атеросклероза;
- аневризмы и сдавления кровеносных сосудов;
- повреждения пищевода (его расширение и выпячивание);
- узелки в щитовидной железе;
- разрушаемость хрящей в гортани;
- камни в слюнных протоках;
- травмы;
- опухоли и другие инородные тела;
- кисты;
- изменения лимфатических узлов, их увеличение;
- воспаления, абсцессы, флегмоны;
- деформация шейного отдела.
Безопасность методики
За время существования КТ проводились различные исследования, касающиеся получаемой человеком дозы облучения во время этих процедур. Одно из последних таких исследований было проведено в Беларуси в 2008 году. Ученые проверяли влияние КТ-сканеров от разных производителей. Результаты отличаются в зависимости от времени, проведенного под сканером и обследуемой области организма.
Средний показатель облучения при обследовании шеи составил 2,6±1,0 мЗв. В год приемлемая доза лучевой нагрузки для человека равно 3-4 мЗв.
Хотя КТ несильно облучает организм, оно крайне не рекомендуется беременным женщинам.
КТ – относительно безопасная процедура
К обследованию детей также следует подходить с осторожностью. Детей отправляют на КТ лишь в случаях острой необходимости получения информации.
Кому следует проводить это исследование?
Обследование шейного отдела позвоночника, его мягких и костных тканей, а также внутренних органов эффективней всего делать при помощи компьютерной томографии. Благодаря ней поочередно изучаются все принадлежащие к этому отделу структуры. Друг за другом обследуются кости, позвоночник, сосуды и лимфатические узлы.
Когда назначают процедуру сканирования шеи при помощи компьютерной томографии?
- КТ назначается при любом повреждении головы или шеи, главным образом при тяжелых последующих проявлениях.
- Назначается для подтверждения диагноза, наличия злокачественных или доброкачественных новообразований, обнаружения метастазов, выявления темпа их роста.
- Для проверки близлежащих органов и тканей на поражение опухолевыми поражениями.
- Назначается для определения места локации опухолей, для выявления их количества и особенности строения.
- КТ помогает дать оценку кровообращения. Определить, насколько в норме питание органов и тканей шейного отдела.
- Компьютерную томографию проводят при обнаружении воспалительных процессов. Сюда входят абсцессы, флегмоны, инфильтраты и т. д. Также назначается при ранее диагностированных воспалениях, при которых было назначено неэффективное лечение.
- Используется для выявления кист и шейных дивертикул и мягких тканей гортани.
- Рекомендуется при диагностике остеохондроза позвоночника.
- Используется для обнаружения всевозможных отклонений в кровеносных сосудах и лимфатических узлах, расположенных в шее. Например, аневризмы, атеросклероза и аномалий в работе лимфоузлов.
Противопоказания
Компьютерная томография основана на технологии рентгена. По своей сути она похожа на рентгенографическое исследование. Единственная разница в том, что при проведении КТ лучи идут в веерообразном направлении. В итоге они сходятся в одной точке. При рентгене лучи идут в параллельном направлении. Несмотря на все различия, обе эти процедуры так или иначе негативно действуют на организм человека. Хотя компьютерная томография менее вредна, полностью безвредной ее не назовешь.
Такая процедура имеет некоторые противопоказания
Исходя из этого, данная процедура противопоказана следующим людям:
- беременным женщинам на любом сроке;
- КТ неприемлемо проходить кормящим матерям. Если же процедура была проведена, кормить малыша не разрешается двое суток;
- компьютерную томографию не рекомендуется проводить детям до 14 лет. Разрешается только в экстренных случаях, при тяжелых патологиях;
- из-за узкой арки томографа, максимальный вес обследуемого пациента не должен превышать 200 килограмм;
- у пациента, проходящего томографическое обследование с применением контраста, не должно быть аллергии на йод и морепродукты;
- контрастное окрашивание противопоказано людям с болезнью почек, почечной недостаточностью, заболеваниями сердца и щитовидной железы;
- КТ запрещено людям с металлическими зубными имплантами и различными протезами в области шеи;
- процедура не проводится пациентам с тяжелыми стадиями диабета;
- проведение компьютерной томографии неприемлемо для людей с психическими отклонениями, нарушением координации и находящимся в состоянии комы.
Какой специалист может назначить КТ обследование шейной области?
Заболевания области шеи крайне разнообразны. Таким образом, направление на КТ обследование могут выписывать различные специалисты. Ими могут выступать ортопед, хирург, онколог, травматолог и т. д. Главным симптомом, служащим для КТ диагностики, являются болевые проявления в области шейного отдела. После завершения процесса пациент уходит со снимком в руках, диском с информацией о проведенном обследовании и текстовым заключением.
КТ шеи может назначить любой специалист, поскольку в этой области могут быть нарушения, связанные как с позвоночником, так и с внутренними органами
Какая процедура лучше при диагностике заболеваний отдела позвоночного столба в шейном разделе – МРТ или КТ?
Один из наиболее часто задаваемых вопросов, возникающих у людей, проходящих лечение – что наиболее эффективно при выяснении заболеваний отдела позвоночника в шейной части? Компьютерная томография или магнитно-резонансное обследование?
МРТ в наибольшей степени направлено на выявления патологий в области костей позвоночника. Благодаря процедуре МРТ врач во всех подробностях доступны как внешние, так и внутренние структуры позвоночного столба.
Важно! Современные томографы в состоянии определить прочность костных структур, их целостность и толщину. А при наличии специальных компьютерных приложений появилась возможность узнавать денситометрические данные, то есть костную плотность.
Благодаря исследованию КТ специалисты могут узнать о наличии у пациента заболеваний позвоночника и различных патологий, например, аномального развития позвоночного столба, процессов деминерализации, склеротических изменений, спинномозговых кровоизлияний, опухолей и т. д.
Результаты МРТ и КТ могут быть схожи, однако принцип действия аппаратов значительно различается
КТ представляет собой более точное исследование шейного отдела позвоночника и всех его структур. Настолько подробной и точной информации не даст ни одно другое диагностическое обследование. Однако, несмотря на подобную точность, при подозрении на возникновение отклонений в межпозвоночных структурах шейного отдела предпочтение отдается магнитно-резонансной томографии.
При помощи КТ-исследования врач в состоянии не только обнаружить само заболевание, но спрогнозировать его дальнейшее течение. Например, если произошел сильный удар затылком, могут возникнуть переломы отростков и тел шейных позвонков, а также их нестабильное поведение. Имея эту информацию, врач может предположить, что без должного лечения в будущем может произойти сдавление нервных окончаний. Это в свою очередь приведет к параличу некоторых органов и систем организма, за которые отвечали поврежденные нервные отростки.
Учитывая все плюсы КТ, у магнитно-резонансного исследования меньше противопоказаний. Это происходит из-за отсутствия рентгеновского излучения, которое применяется при компьютерной томографии. Благодаря вышесказанному, магнитно-резонансное обследование может быть назначено даже новорожденному младенцу и беременной женщине. При равных условиях КТ таким пациентам не назначают.
Обследование щитовидной железы
Щитовидная железа – самая крупная в организме человека. Она находится в области горла. Железа состоит из двух долей, которые соединены с помощью перешейка. В редких случаях выявляется его отсутствие. Железа защищена фиброзной и наружной оболочками. Пространство между ними заполнено жировой тканью. Ее пронизывает сеть сосудов и нервов. Щитовидная железа участвует в образовании необходимых организму гормонов — тироксина, кальцитонина, трийодтиронина и тиреокальцитонина.
В диагностике заболеваний и патологических новообразований КТ-исследование не уступает по информативности таким процедурам, как МРТ и УЗИ. При помощи компьютерной томографии врач своевременно может выявить наличие кистозных образований, аденом и других патологических узлов.
При помощи КТ можно обследовать щитовидную железу
Исследование трахеи и гортани
Гортань соединяется посредством девяти подвижных гиалиновых хрящей. Между собой их соединяют связки, мембраны и суставы. Изнутри гортань покрывает слизистая ткань. Гортань составляют три части – верхняя, средняя и нижняя.
Основная функция гортани – циркуляция воздушных потоков. Здесь находятся голосовые связки. Кода поток воздуха проходит сквозь них, возникает звук. Его звучание зависит от нескольких параметров: формы и размера гортани, влажности, натяжения связок и их эластичности.
Немного ниже с гортанью соединяется трахея, которая имеет форму трубки. Трахея состоит из волокнистых, мышечных и хрящевых тканей. Ее покрывает слизистая оболочка. Ее основная функция заключается в обеспечении циркуляции воздушных потоков в легких.
При помощи КТ можно обследовать и состояние гортани
С помощью такого метода можно выяснить, какие изменения происходят в трахее и гортани под влиянием воспалений, ларингитов, стенозов и травм в этой области шеи. Данный метод признается наиболее информативным, так как он обеспечивает исследования в послойных проекциях. Благодаря этому врачу хорошо понятно, где находится патология. Это в свою очередь способствует правильному диагнозу и эффективное лечение. Оно может быть как медикаментозным, так и хирургическим.
Исследования лимфатических узлов в области шейного раздела позвоночника
С помощью исследования КТ можно обнаружить воспалительные процессы в отделе шеи и гортани.
Лимфатические узлы могут быть передними, латеральными, глубокими и заглоточными. Они покрыты плотной капсулой, содержащей корковое и мозговое вещества. Из них в венозное русло поступает лимфа, которая участвует в урегулировании водного баланса.
При помощи КТ можно увидеть патологические изменения, происходящие в лимфоузлах. КТ может выявить воспаления, развитие новообразований, нарушения в развитии лимфатических узлов. Благодаря процедуре стало возможно с точностью выяснить диагноз и назначить адекватное лечение. КТ также проводится перед проведением операции и для контроля заболевания.
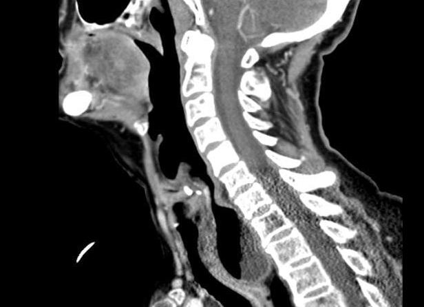
Компьютерная томография в шейной области с применением контраста
Многие заболевания в шейной области позвоночника развиваются вследствие нарушения нормального кровообращения. Для обнаружения наличия данной проблемы проводится компьютерная томография с контрастом. Основа контраста – йод. Контраст распространяется по обследуемым тканям, тем самым из становится видно намного отчетливей. Подобное сканирование следует проводить в следующих случаях:
- при необходимости в детальном обследовании сосудов. Выяснить скорость кровообращения;
- в случае подозрений наличия новообразований. В местах опухолевых тканей контраст проявит себя более сильно.
Полученные данные сообщат об изменениях, происходящих в тканях шейного отдела позвоночника. Благодаря нему можно определить наличие атеросклеротических бляшек, степень сжатия сосудов, развитие тромбов, аневризмы и т. д.
Проведение компьютерной томографии с применением контраста можно не всем. Перед процедурой следует сдать анализы на мочевину, креатинин, узнать уровень глюкозы. Людям с недостаточностью почек, сахарным диабетом, аллергией и беременным женщинам строго противопоказано исследование КТ с контрастом. Перед процедурой врач должен быть проинформирован о здоровье пациента.
Наиболее часто используемым контрастирующим средством является «Урографин».
«Урографин»
Порядок проведения и подготовка к процедуре обследования
Перед проведением компьютерной томографии, независимо от необходимости введения контрастного вещества, на руках у пациента должны быть результаты прошлых обследований. Также при себе следует иметь медицинскую карту со всей историей заболевания. Наличие документов облегчит врачам настройку аппарата и установки необходимого режима для проведения сканирования.
При проведении компьютерной томографии без контраста не требуется никакая дополнительная подготовка или условия. Если же исследование подразумевает наличие контрастного вещества, следует воздержаться от еды и напитков за 6 часов до начала процедуры. Эти меры помогут не столкнуться с возможными побочными эффектами. Это может быть тошнота и рвота.
До процедуры пациенту лучше узнать все подробности. Таким образом, снизится волнение, связанное с предстоящим исследованием. Пациент располагается головой к кольцу томографа. Чтобы избежать подвижности головы и шеи, их мягко фиксируют, подложив под шею удобный валик. Главное, что потребуется от пациента – не нервничать и постараться не напрягаться.
Перед процедурой необходимо снять все металлические украшения, одежду со вставками метлла
Стоит помнить, что перед обследованием необходимо снять все украшения из металла, одежду со вставками металла, отложить в сторону телефон, ключи и кошелек с деньгами.
Контраст следует вводить за 15 минут до начала или в середине обследования. Все зависит от назначения врача.
Объяснение результата
Результат становится известен спустя 30-40 минут после проведения процедуры. Пациент может получить его сразу на руки, в электронном виде и на диске. Если было обнаружено наличие патологии или какого-либо отклонения, врач обязан об этом сообщить. В зависимости от результата следует обратиться:
- к травматологу при наличии переломов;
- к неврологу или нейрохирургу с консультацией по поводу неврологии спинного мозга;
- к онкологу при выявлении новообразований;
- к ревматологу по поводу других травм позвоночника.
Альтернативы компьютерной томографии при обследовании шеи
Существует несколько альтернатив компьютерной томографии.
Таблица №1. Альтернативы КТ.
| МРТ | Является одним из наиболее информативных и достоверных методов обследования организма и, в частности, шейного отдела позвоночника. Неприменим для диагностики полых тканей. Данный метод разрешается применять к беременным и кормящим женщинам. МРТ может уточнить и дополнить информацию, которую получают с помощью КТ. |
| Рентгеновское обследование | Обычно используется для поиска инородных тел. Часто применяется вместе с контрастом для исследования пищевода. Рентген сильно упрощает постановку диагноза, если пациент жалуется на болевой синдром неясного происхождения. Помимо этого, снимки помогают отличить заболевания, имеющие схожую симптоматику. |
| ФГДС | Метод изучения пищевода. Также используется для выявлений аномалий в тканях гортани и слизистых оболочках. |
| УЗИ | В данном случае применяется для общей оценки состояния щитовидной железы и костной и хрящевой тканей в области шеи. Также такой метод позволяет выявить повреждения мышц, мягкий тканей шеи. |
ФГДС
Заключение
Компьютерная томография применяется для выявления повреждений и аномалий в шейном отделе позвоночного столба. Благодаря нему диагностируется наличие опухолей, грыж, проблем с сосудами и т. д. Данный метод не представляет опасность для организма человека, так как доза рентгеновских лучей минимальна. Процедуру часто назначают после УЗИ и рентгенологического обследования шеи.
Цена исследования варьируется в зависимости от клиники, качества услуг, наличия современного оборудования и т.д. В среднем простое КТ стоит 3500 рублей, а при наличии контраста – больше 5500 рублей.
Цена на КТ может варьироваться в зависимости от использования контраста и клиники, в которой проводится обследование
Высокая популярность компьютерной томографии для диагностики шейного отдела позвоночника обусловлена ее оптимальностью в подобных исследованиях. КТ максимально подходит для диагностики патологий позвоночника и окружающих его тканей. К тому же здесь помогает наличие визуализации костных и хрящевых структур, при этом облучение намного ниже, чем при рентгенологическом исследовании.
Современное оборудование позволяет проводить улучшенное КТ-исследование. Оно называется мультиспиральная компьютерная диагностика, или сокращено МСКТ. Отличия состоят в меньшем времени обследования и меньшей лучевой дозе.
Перед обследованием важно исключить всякий страх и довериться врачу, ведь такой метод диагностики абсолютно безболезнен.
Видео — КТ и МРТ сосудов головного мозга и шеи
Компьютерная томография (КТ) шейного отдела позвоночника: что показывает и как проводится
Это инновационное, информативное и неинвазивное обследование позвонков, спинного мозга, межпозвонковых дисков, которые располагаются в районе шеи. Как правило, обследование выполняют, захватывая область грудных позвонков сверху и основание черепа. К сожалению, немногие знают: что это такое – компьютерная томография.
Анализ дает возможность создать послойные снимки областей тела. Светлые и темные области изображений возникают вследствие разной способности задерживать лучи рентгена. К примеру, костная ткань будет светлой, поскольку у нее высокая способность к поглощению лучей.
Толщина срезов может варьироваться и составлять 1-3 мм. При большой толщине обследование не занимает много времени, но при этом снижается общая информативность. Сейчас аппараты дают возможность получать трехмерную модель нужного участка тела.
Определение заболеваний
В большинстве случаев длительное время не придается значения тому, что болит спина. Человек считает это последствием утомления или итогом физической нагрузки. Если своевременно не выполнить обследования, можно допустить развитие осложнений.
С помощью компьютерной томографии шейного отдела позвоночника можно определить наличие:
- травм;
- уровень деформации позвонков;
- наличие изменений в структуре позвонков.
Обследование подтверждает или опровергает артриты или сколиозы. Метод применяется также для определения врожденных дефектов. Он способен показать и изменения в спинномозговом просвете. Определяются все разновидности онкологических и других образований.
Специфика КТ
КТ шейного отдела человеческого позвоночника требует определенной подготовки. При назначении исследования с контрастом, нельзя есть перед процедурой. В последний раз употребление пищи допускается не позже, чем за восемь часов перед исследованием. Запрещено также пить воду. Перед процедурой нужно снять с тела металлические украшения.
В процессе сеанса человек четко выполняет все врачебные указания. Для обследования нужно лечь на специальную поверхность. Врач может принять решение о фиксации пациента. Таким образом, будет обеспечена неподвижность тела для лучшей информативности.
Стол с исследуемым передвигается в оборудование для сканирования. При этом нет болей и дискомфорта. Длительность исследования достигает, в некоторых случаях, 15 минут. После окончания процедуры, человек должен подождать, чтобы врач напечатал снимки. В это время создается заключение об актуальном состоянии пациента. С изображениями он возвращается к своему врачу, который затем ставит диагноз и формирует схему лечения.
Контрастное вещество применяют довольно часто. В организм он может быть введен как внутривенно, так и перорально. У исследования с контрастом существует много противопоказаний. В первую очередь, анализ запрещен людям с больными почками. Вещество должно быть быстро выведено из организма, но если почки нормально не работают, то вещество не уходит из организма, оказывая токсичное действие.
Попадая в организм, контраст отличается определенными негативными эффектами, которые заметны уже в первый день. Чаще всего возникает:
- рвота;
- проблемы с давлением;
- неприятный привкус;
- мигрень;
- приступы тошноты.
КТ с контрастным усилением
Данную процедуру выполняют как с контрастном, так и без него. Сосуды, опухоли разного генеза и воспаления бывают на снимках практически не видны. Костные ткани хорошо видны практически всегда.
Об особенностях процедуры говорит врач, который будет проводить обследование. Введение вещества требуется, когда на изображении врач видит патологию, но не может ее установить вследствие отсутствия определенных признаков.
Анализ выполняется с использованием контрастного вещества на базе йода. Как правило, средство вводится один раз. Длительное введение вещества нужно, когда требуется получить данные о состоянии кровоснабжения и шейных сосудов.
У человека могут быть такие проявления в качестве реакции на контрастное вещество:
- металлический либо кислый привкус в ротовой полости;
- боли в области укола;
- приливы тепла.
Все перечисленное не угрожает здоровью исследуемого.
Непереносимость контрастного вещества вызывает:
- ощущение першения;
- отеки ушей и лица;
- затрудненность дыхания, вследствие отеков гортани;
- зуд и высыпания на коже;
- бронхоспазмы.
Если появилась такая симптоматика, не нужно ждать, когда закончится процедура, больной должен сообщить о своем состоянии медицинской сестре.
Аллергия может проявиться у людей с непереносимостью морепродуктов, йодсодержащих средств и больных бронхиальной астмой. Томографию проводят при лежачем положении исследуемого. Контраст вводится за 15-20 минут до анализа. Могут быть использованы закрепляющие приспособления.
Нижняя часть тела человека накрывается особой тканью, предназначенной для отражения лучей. Сеанс продолжается до 25 минут. При обследовании стол двигается внутри томографа, и подставляет определенные районы под лучи рентгена. Врач осуществляет контроль над процессом через специальное окошко.
Противопоказания и показания
Что обычно показывает КТ шейного отдела позвоночника:
- межпозвоночные грыжи;
- различные новообразования;
- ревматизмы;
- трещины и сколы;
- нарушения спинного мозга.
Шейный отдел часто проверяют перед операциями. Нужно составить полное представление о состоянии сосудистой системы, позвонков и мягких тканей.
КТ или МСКТ шейного отдела позвоночника запрещена женщинам во время вынашивания ребенка, это может вызвать опухоли. С осторожностью исследование назначается полным людям – есть ограничение до 150 килограмм. Кроме этого, нельзя проверять людей с гиперкинезами, вследствие того, что они двигаются, изображения получаются недостаточно четкими.
Контрастное вещество опасно для людей с непереносимостью йода и проблемами с некоторыми органами. Кормящим матерям при контрастном анализе необходимо воздержаться от лактации на два дня.
Альтернативы и риски
Вред от томографии существенно ниже, если сравнивать с классической рентгенографией. Вторую процедуру показано делать через промежуток в несколько недель. Радиация может накапливаться в мягких тканях, что провоцирует опухоли и другие осложнения.
Аллергию на составляющие контрастного вещества определяют только у 4% людей, но исключить ее не представляется возможным.
Наиболее простым и доступным методом исследования остается привычная рентгенография, позволяющая видеть остеофиты, остеопорозы и другие патологии. Хорошая альтернатива— мультиспиральная компьютерная томография. Это обследование отличается незначительным облучением и оптимальной скоростью.
Можно проводить МРТ, но исследование больше подходит для анализа мягких тканей, и редко используется для диагностики проблем позвоночника. В некоторых случаях врач назначает инвазивную методику – миелографию.
Компьютерная томография шейного отдела позвоночника
Особенность каждого отдела позвоночного столба не только в конструкции, но и в заболеваниях, которые присущи некоторым отделам более всего. Например, поясничный отдел чаще всего страдает от грыжи дисков, а шейный чаще всех поражается травмами и так далее.
Дабы своевременно выявить патологию и вылечить ее, пациенту необходимо пройти обследование. Чаще всего обследование в данной области проходят при помощи специальной рентгенологической диагностики компьютерной томографии (КТ).
Что показывает КТ шейного отдела?
Рентгеновская компьютерная томография является томографическим методом исследования внутренних органов человека с применением рентгеновского излучения. Благодаря тому, что доза рентгеновских лучей гораздо меньше, чем при обычном рентгене, данная процедура считается менее опасной, чем сам рентген, но при этом и качество результатов многократно лучше.
При помощи КТ можно выявить различные аномалии в развитии заболевания, опухоли или выявить на начальных стадиях иные патологии в шейной области позвоночного столба.
Стоит уточнить, что, обычно, КТ шейного отдела позвоночника проводится не в каждом случае, где есть подозрения на серьезное заболевание. Изначально врачи проводят обследование при помощи других методов, а компьютерная томография должна лишь подтвердить, подкорректировать или опровергнуть результат исследований, если это потребуется. Ввиду этого прохождение КТ в качестве обследования назначается не всем и не во всех случаях, а лишь в тех, где без данного вида обследования сложно обойтись.
Компьютерная томография шеи: показания
До того как придется выполнить такой вид обследования, как компьютерная томография, обычно пациент имеет определенный список пройденных обследований и их заключений. Если они имеются, то их нужно взять с собой на обследование — эта информация позволит компьютерному рентгенологу правильно спланировать прохождение данной процедуры с учетом всех деталей для каждого конкретного пациента.
Назначают КТ шейного области позвоночного столба в таких случаях:
- болевой синдром в области шеи и головы, «прострелы» в руках и иные признаки, которые подтверждают существование заболеваний шейной области;
- грыжи и патологии в шейной области;
- ненормальное течение заболевания;
- сужение или излишнее увеличение позвоночного канала;
- начальные стадии опухолей и метастаз в шейных позвонках и шейной области спинного мозга;
- травмирование шейной области позвоночного столба;
- неточные или не имеющие однозначного прочтения результаты иных исследований;
- прочие подобные симптомы в районе шейного отдела позвоночного столба.
Противопоказания к КТ шеи
Но даже если вам врач назначил прохождение данной процедуры, уточните у него или другого специалиста можно ли вам проходить данный вид обследования.
Если вы все же не уверены, тогда необходимо самостоятельно ознакомиться с перечнем противопоказаний к прохождению КТ шейного отдела позвоночника, а именно КТ нельзя проходить в случае:
- беременности;
- превышающего для прохождения компьютерной томографии веса;
- состояния, при котором необходимо предоставить неотложную помощь.
Если вам назначили томографию с применением контрастного вещества, то перечень с ограничениями к прохождению данного обследования увеличивается:
- почечная недостаточность;
- другие патологии почек;
- заболевания щитовидной железы с превышающим выделением териоидных гормонов;
- миеломная болезнь;
- аллергические реакции, особенно на контрастное вещество, йодсодержащие продукты.
Применение компьютерной томографии при вышеперечисленных противопоказаниях может вызвать негативные изменения в теле больного. Правда, это утверждение еще не гарантирует, что данное обследование приведет к ухудшению состояния пациента, но дабы избежать потенциальных последствий рекомендации с противопоказанием лучше учитывать.
Преимущества КТ шейной области позвоночного столба
Одним из основных достоинств компьютерной томографии является высокая четкость получаемых изображений. Высокая четкость обследования позволяет выявить фактически все болезни и позволяет выявить даже совсем маленькие образования (диаметром в десятые доли миллиметра). Это позволяет выявлять заболевания еще на стадии первого проявления и своевременно назначать соответствующее лечение.
В процессе обследования круговое сканирование, в результате которого получаются плоские изображения исследуемой области. На каждом отдельном снимке изображен тонкий «пласт» тканей без наложения теней, это позволяет более точно определить диагноз и назначить корректное лечение.
При помощи специализированного ПО томограф имеет возможность более точно детализировать картинку обследуемого участка, это способствует тому, что специалист может увидеть даже малейшие изменения. Кроме этого, при помощи специализированного ПО, изображение можно откорректировать, дабы не было различных артефактов.
Как проводят КТ шеи
Данный вид обследования проводится в положении лежа. Пациент ложится на специальный стол томографа, голова должна быть направлена в сторону основной части томографа (к кольцу). В любом случае, при прохождении компьютерной томографии с пациентом будет находиться специалист, который подскажет и поправит пациента.
Под шею помещают специальный валик, а голову фиксируют при помощи специального приспособления. При соблюдении этих условий шейный отдел находится в естественном положении, что способствует более быстрому и точному обследованию.
Процедура начинается именно в тот момент, когда стол томографа начинает двигаться в сторону кольцевой части аппарата и заезжает внутрь его. Кольцевая часть начинает вращаться вокруг пациента, лежащего на столе. Сам процесс является безболезненным и приносит минимальное количество дискомфорта.
Длится компьютерная томография примерно от одной до полутора минут, в зависимости от назначенного метода (вида) процедуры.
После прохождения процедуры вам вручат результаты, и вы можете идти домой, при этом, не ощущая никакого побочного эффекта в организме. Результаты обследования будут готовы примерно в течение сорока минут. Если результаты будут готовиться дольше обычного (более сорока минут), тогда об этом вас предупредят. Если у вас нет желания ожидать, тогда вы имеете право попросить переслать вам результаты по электронной почте или передать напрямую доктору, который направил вас на обследование.
Подготовка к КТ шейного отдела позвоночника
Прохождение стандартного обследования при помощи компьютерной томографии не требует специальной подготовки. Единственное что требуется от пациента – это прийти на прием без опоздания и иметь при себе максимальное количество медицинских справок, о прохождении иных первичных обследований, дабы позволить специалистам более точно определить участок обследования.
Если компьютерная томография будет проводиться при помощи контрастного вещества, то незначительные и простые подготовительные действия все же рекомендуются. Эти действия заключаются в том, что пациенту необходимо воздержаться от еды за шесть часов до прохождения компьютерной томографии.
Когда необходимо использовать контраст
Контраст – вещество, которое добавляется больному в кровь, перед прохождением компьютерной томографии. Контрастное вещество имеет особенность накапливаться в тканях, что приводит к более качественным и четким снимкам, а это, в свою очередь, способствует установлению более точного диагноза и правильно подобранному курсу лечения.
В медицине контрастное вещество, которое используется при прохождении КТ приготовлено на основе йода. Его применяют при подозрениях на опухоли, метастазы и иных подобных патологиях, а так же если диагностируются проблемы с кровообращением.