
Подготовка к кт с контрастом почек
Одним из наиболее информативных методов рентгенологических исследований является компьютерная томография. В нынешнее время она достаточно распространена и применяется для получения объемных и послойных изображений различных органов. Далее в статье будет рассказано о показаниях к проведению компьютерной томографии почек и необходимой предварительной подготовке.
Данная процедура проводится с целью выявления патологических состояний почек. КТ даёт возможность получить несколько снимков органов для их лучшего изучения. Томография может проводиться как с применением контрастного вещества, так и без него.
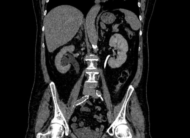
Компьютерные томограммы почек
Показания и противопоказания к проведению
КТ почек в основном назначают для того, чтобы диагностировать:
Наличие опухолевых образований и метастазов. Наличие солей, камней или кристаллов в мочевыводящих путях и почках. Различные проявления поликистоза. Абсцессы и другие патологии почек инфекционного характера. Всевозможных травм – разрывы паренхимы почки, разрывы фиброзной капсулы, повреждение почечных сосудов. Врождённые аномалии – подковообразная почка, эктопия, агенезия почек. Гидронефроз.
Компьютерную томографию проводят с целью определения размеров почек, дифференциации всевозможных новообразований в почках, определения состояния почечного ложа после различных оперативных вмешательств, для выявления места проведения биопсии ткани почки.
КТ является полностью безопасной процедурой, но в некоторых случаях для получения более четкой картины заболевания рекомендовано введение контрастного вещества, в связи с этим могут наблюдаться:
Развитие всевозможных аллергических проявлений (сыпь, припухлость губ), в таких ситуациях рекомендовано применять антигистаминные препараты – тавегил, кларидол, ломилан. Ощущение металлического привкуса во рту, ощущение тепла в месте введения контраста. Почечная недостаточность – очень редкое, но возможное осложнение при использовании контрастирования. Если пациент страдает сахарным диабетом, следует предупредить об этом лечащего специалиста, так как комбинации медикаментов с контрастом могут провоцировать почечную недостаточность. В редких случаях возможно понижение артериального давления или затруднение дыхания.
Помните! При беременности плановое КТ не проводится. Это важно для избежания вредного воздействия на плод. В очень редких случаях во время беременности томография проводится по медицинским показаниям.
Первый триместр беременности очень важен для плода, так как происходит закладка всех органов и систем. В такой ситуации специалистом будет предложено пройти альтернативную диагностику: магнитно-резонансную томографию, ультразвуковое исследование.
Условия проведения КТ с контрастом
Рентгеноконтраст для КТ
Для того, чтобы компьютерная томография почек с применением контрастирования дала информативные результаты следует:
Уведомить специалиста-рентгенолога о наличии аллергических реакций на что-либо, особенно на вещества, в состав которых входит йод. При приеме каких-либо лекарственных препаратов необходимо проконсультироваться с лечащим врачом на предмет временной отмены некоторых из них. Поэтому приём менее важных лекарственных препаратов рекомендовано постепенно отменить за 10 дней до проведения КТ почек. За 3-3,5 часа до процедуры нельзя употреблять пищу.
При проведении КТ без использования контрастирующего вещества особые приготовления не требуются.
Подготовка к процедуре
В первую очередь хочется сказать о том, что перед посещением кабинета компьютерной томографии следует удобно одеться. Это важно, так как для изучения состояния почек требуется снимать одежду.
Во избежание искажения результатов исследования на стадии подготовки необходимо снимать булавки, шпильки, очки и другие изделия, содержащие металл, зубные протезы.
Для подготовки к КТ почек, особенно с применением контрастирования, не рекомендовано употребление пищи за 6-8 часов и строго запрещено за 3-3,5 часа до процедуры. Это вызвано тем, что при переполненном желудке, введение контраста может спровоцировать рвоту или тошноту.
Проведение процедуры
Современный инъекционный аппарат для автоматического введения рентгеноконтрастных веществ
Проведение данного исследования с контрастом подразумевает его внутривенное введение. Наличие металлических частей организме является прямым противопоказанием к проведению, так как результаты будут искажены.
Обязательным условием перед введением контраста является проведение томограммы почек без него, с обязательной полной фиксацией тела. В ходе процедуры специалист постоянно поддерживает связь с пациентом и следит за его состоянием.
При наличии клаустрофобии или постоянных болевых синдромов перед КТ пациенту вводят успокоительные или обезболивающие препараты. Если томографию проводят ребёнку, то рядом с ним могут находиться родители. Это позволит провести диагностику более быстро и без искажения результатов.
Прогрессивным и эффективным методом диагностики заболеваний почек является компьютерная томография (КТ). КТ почек выявляет структурные дефекты, воспаления и даже очень маленькие новообразования. Но облучение, вырабатываемое томографом при сканировании, может быть опасно, например, для детей. Важно знать, что хоть томография является безболезненной и безопасной для человека, у некоторых больных она может вызвать осложнения и побочные эффекты.
Суть компьютерной томографии почек и ее разновидности
В основе компьютерной томографии лежит использование рентгеновских лучей и обработка полученных данных сканирования с помощью современных компьютерных технологий. По сравнению с обычным рентгеном, КТ почек считается более информативным диагностическим методом, поскольку с его помощью врач получает четкое и достоверное изображение. Что же происходит во время компьютерной томографии? Рентгеновские лучи проходят вдоль всего тела, а компьютер фиксирует изменения в их энергии. После этого данные обрабатываются и на экран выводится двухмерное изображение просканированных органов. Также КТ иногда делают с контрастным веществом. Оно применяется для получения более отчетливого изображения почек.
Существует несколько видов КТ:
Спиральная компьютерная томография (СКТ) — исследует структуры тела по слоям в течение нескольких секунд.Мультиспиральная компьютерная томография (МСКТ) — отличается от спиральной количеством детекторов в томографе и количеством оборотов рентгеновской трубки во время сканирования тела человека.Вернуться к оглавлению
Что выявляет компьютерная томография?
КТ почек показывает такой дефект, как измененную их форму, а это, в свою очередь, признак более серьезных заболеваний. На снимке также будут видны почечные кисты и любые другие образования, например, раковые опухоли. Если же исследуемый уже знает, что у него есть новообразования в почках, то с помощью томографии можно определить их размер и характер, узнать, нет ли кровоизлияний или некроза тканей. С помощью мультиспиральной КТ делают исследования очагов возникновения опухолей в кровотоках почек и надпочечников. КТ покажет начинающуюся обструкцию мочевыводящих путей, поликистоз или нарушение оттока мочи. У новорожденных с помощью томографии можно обнаружить проблемы в выделительной системе.
Вернуться к оглавлению
Показания к проведению
В первую очередь, КТ назначают больным, у которых есть подозрение на наличие желчных камней. Для получения дополнительной информации томографию могут сделать при врожденных патологиях почек. Когда при обследовании пациента врач обнаруживает воспалительные или инфекционные процессы, тоже назначается КТ. При наличии или подозрении на возникновение образований любого происхождения, основным диагностическим инструментом является именно компьютерная томография почек. Она точно показывает очаги поражения и их площадь. Врачи также используют метод для наблюдения за состоянием больного после удаления почки.
Противопоказания
Проведение КТ при беременности противопоказано.
Хоть томография— безболезненна и не опасна для здоровья человека, некоторым группам людей она противопоказана. Это:
Беременные женщины — облучение, несмотря на его незначительность, может негативно сказаться на здоровье плода.Новорожденные и дети до 14 лет — из-за особой восприимчивости организма рентгеновские лучи наносят ему вред.Люди с почечной недостаточностью — им запрещена КТ с контрастированием, поскольку контраст связывается и выводится почками.Больные сахарным диабетом в запущенном состоянии.Люди с ярко выраженным болевым синдромом.Больные раком плазматических клеток.
Также есть группа людей, которым физически невозможно сделать КТ. Это исследуемые с весом более 120 кг, которые не помещаются в томограф. Поскольку при проведении процедуры необходимо все время оставаться неподвижным, ее нельзя использовать для исследования пациентов с заболеваниями психического характера или если больные находятся в бессознательном состоянии. Не рекомендуется томографическое исследование женщинам в период лактации, но если отказаться от кормления грудью на 2−3 дня, то его проведение возможно.
Подготовка к исследованию
При обычной КТ не требуется особой подготовки. Если же необходимо сделать сканирование с контрастом, тогда нужно подготовиться к некоторым моментам. Доктор должен знать, есть ли у человека аллергия, какие-либо другие заболевания. В этом случае подготовка заключается в проведении аллергопробы, чтобы выяснить, не возникнет ли при использовании контраста каких-либо осложнений. Действующее вещество наносится на кожу. Если в этом месте появляются воспаление, сыпь или зуд, нельзя использовать это контрастное вещество для проведения КТ. Существуют правила, касающиеся питания, а именно: не употреблять газообразующую пищу, алкоголь и продукты содержащие кофеин. За 8 часов до проведения томографии нельзя ничего не есть, а за 2−3 часа — пить.
Если недавно проводилось УЗИ, МРТ или рентген, необходимо сказать врачу.
Есть и общие правила, которые необходимо соблюдать при любом виде КТ почек. Если человеку недавно проводилось УЗИ, МРТ или обычный рентген, ему лучше поставить врача в известность об этом, чтобы он не получил слишком большую дозу облучения. Перед тем, как зайти в кабинет, где будет проводиться компьютерная томография почек, необходимо снять все металлические предметы (пирсинг, украшения), поскольку они исказят полученные снимки. Человек должен быть одет в просторную и удобную одежду.
Как сделать сканирование?
При томографии почек исследуемый принимает позу лежа на спине, руки и ноги фиксируются, чтобы не испортить качество снимков. Также необходимо ввести контраст. Для проведения КТ почек и надпочечников используют такие препараты как «Гипак», «Омнипак», «Ультратвист», они вводятся внутривенно. Могут применяться и пероральные препараты, которые принимаются до начала исследования, например, йод неионного типа. Препараты не должны вызывать волнений, ведь они безопасны для организма и через пару часов выводятся с мочой из организма. Человеку дают прибор с «тревожной» кнопкой — нажав ее, можно вызвать врача, если что-то пойдет не так. Если у обследуемого— боязнь замкнутого пространства, до проведения сканирования ему дают успокаивающие средства.
Стол с обследуемым заезжает в тоннель томографа. Далее врач включает аппарат и наблюдает за процессом в соседнем помещении. Когда доктор подаст команду, человеку необходимо задержать дыхание. Сканер вращается, из датчиков на нем посылаются рентгеновские лучи в тело пациента и делаются послойные снимки. Во время сканирования слышатся щелкающие звуки. Если снимки не получились с первого раза, придется повторить процедуру. Время сканирования при обычном КТ мочевыделительной системы — 3 минуты, при КТ почек с контрастом — до 30 минут. Полученные результаты передаются лечащему врачу, а он на их основе ставит диагноз.
После процедуры
КТ с контрастами может вызвать аллергическую реакцию.
КТ без контрастного вещества хорошо переносится всеми. Контраст может вызывать аллергические реакции, поэтому, если больного что-то беспокоит после процедуры, ему следует обязательно сообщить об этом лечащему врачу. Из возможных реакций на контраст наблюдаются: покраснение кожных покровов и зуд, затруднение дыхания. Бывает, что в месте, где в руку входила иголка от капельницы, возникает боль или покраснение. Насчет таких симптомов можно не переживать, поскольку они быстро исчезают сами по себе. После проведения КТ, если никаких симптомов аллергии не наблюдается, специальное наблюдение врача не требуется.
Ощущения, возможные осложнения во время и после КТ
Томограф не причиняет неприятных ощущений, только шумит. Также человеку может быть некомфортно из-за жесткого стола или температуры в кабинете. Для того, чтобы на столе было более удобно, предлагаются подушки. Из побочных эффектов после процедуры возможно повышение артериального давления и затруднение дыхания.
Если человеку делают КТ с контрастом, во рту может возникнуть соленый или металлический привкус. От контраста иногда возникает головная боль. Аллергические реакции на контраст проявляются в виде тошноты, чувства жжения в желудке, припухлости губ и кожной сыпи. Они возникают, если из организма больного полностью не вывелись остатки контраста от предыдущего исследования. Осложнения после проведения сканирования могут возникнуть только если человек до этого прошел много исследований, тоже связанных с облучением. Также врач сообщает, что когда происходит сканирование, рентгеновские лучи могут повлиять на работу металлических имплантатов, кардиостимулятора, инсулиновых помп и любых электрических стимуляторов.
Проведение в детском возрасте
КТ почек может назначаться детям только в случае крайней необходимости.
Компьютерная томография почек может назначаться детям, но только когда это действительно необходимо. Такая диагностика проводится для того, чтобы обнаружить в органах врожденные патологии, которые необходимо устранить в срочном порядке. Процедура проведения исследования— точно такая же как и у взрослых, оно делается достаточно быстро из-за повышенной восприимчивости детского организма. Чтобы дети не двигались во время сканирования, томографию делают под наркозом. За 3 часа (рекомендуется даже за 5) до КТ нельзя кормить и поить ребенка. Одет он должен быть в свободную одежду без металлических и другого рода деталей. Помните, что детское КТ — крайняя мера и прибегать к ней стоит только в крайнем случае. Если есть возможность сделать обследование другим, менее вредным для организма методом, лучше воспользоваться им.
Результаты исследования
Расшифровывает полученные во время сканирования снимки врач-рентгенолог. Всю информацию он передает лечащему врачу. На основе этого и имеющихся первичных данных выстраивается диагноз. Есть несколько вариантов результатов. Если у обследуемого выявлены отклонения от нормы, есть такие варианты диагноза:
новообразование — кисты или опухоли (на снимке отличаются по структуре и степени окрашенности);анатомические особенности — это могут быть нетипичные сплетения нервов или сосудов;разрывы структуры почки;гематомы, затеки мочи;тромбы;воспаления тканей;абсцесс.
Врач может сообщить, что почки находятся в нормальном состоянии. Это означает, что паренхима почек плотнее чем печеночная, и менее плотная, чем костная. Кроме того, важно исследовать форму почек, их размер и расположение. Местонахождение почек оценивается относительно других органов брюшной полости, то есть учитываются индивидуальные особенности тела.
Компьютерная томография почек: как проводится, подготовка к обследованию
Для получения подробной информации о течении заболевания используется компьютерная томография почек. Данное обследование, на современном этапе развития медицины, максимально информативное, так как имеет несколько разновидностей, чтобы оценить динамику заболевания или диагностировать почечные патологии.
Показания к применению
Направление на КТ почек выдают при достаточно большом спектре заболеваний или при подозрении на патологию, чтобы уточнить диагноз и начать лечение:
- При мочекаменной болезни компьютерная томография укажет на точную локализацию конкрементов, их размер и возможные нарушения, спровоцированные камнями в чашечно-лоханочной области почки.
- При наличии новообразований в паренхиме почки или прорастание чужеродных клеток внутрь.
- В целях диагностики, чтобы детально рассмотреть повреждение почечной структуры и смежных органов.
- Определение расположения почки, для понимания того, насколько произошло смещение или опущение внутреннего органа.
- Различные врожденные аномалии, связанные с формой, количеством или соединением органов.
- Для понимания качественных показателей функционирования почек.
- Осмотр почечных кровеносных сосудов и определения их аномального сужения или расширения.
Дополнительно компьютерная томография применяется при проведении биопсии или после трансплантации органа, чтобы понимать динамику ее работы.
Разновидности КТ
Основным принципом работы КТ являются гамма-лучи, которые используются для получения детальных снимков, на них показана точная модель почки. Современная медицина подразделяет обследование на несколько разновидностей:
- Спиральная компьютерная томография (СКТ) подразумевает действие направленных рентгеновских лучей, которые вращаются по спирали. Делается несколько снимков в течение одного оборота пучка излучений. Скорость вращения при этом зависит от прибора и параметров, заданных врачом.
- МСКТ почек – мультиспиральная компьютерная томография имеет такой же принцип действия, как и СКТ, но в более ускоренном темпе с повышенной эффективностью. Прибор осуществляет около 300 кадров только за один оборот и позволяет рассмотреть аномальные процессы в почках, которые происходят с минимальной частотой.
- КТ с применением контрастного вещества, чаще всего это йод. При наличии аллергической реакции у пациента на данный препарат, его заменяют на менее эффективный, но более щадящий. Метод становится показательным при подозрении на онкологические заболевания почек.
Использование рентгеновских лучей при КТ настолько минимальное, что не приносит вреда для здоровья пациента, в отличие от рентгенографии.
Подготовительный этап
Подготовка к обследованию не занимает много времени:
- За 5-6 часов до планируемого обследования исключить прием пищи и питье.
- Сообщить врачу о препаратах, которые принимались накануне.
- Обозначить лекарства, на которые существует аллергия.
Если КТ проводится без контраста, то дополнительных мер по подготовке к обследованию не предусмотрено. При использовании контрастного вещества, половина раствора выпивается накануне вечером, а вторая – непосредственно перед процедурой.
Ход проведения обследования
При проведении процедуры СКТ и МСКТ с применением контрастного вещества предполагается подписание документов, в которых описывается план действий и возможные риски. После чего, медицинские работники приступают к исследованию почек с помощью компьютерного томографа:
- С пациента снимаются все металлические предметы (серьги, браслеты, пирсинг), чтобы снимки не были искажены.
- Одежда должна быть свободного кроя, которая не обтягивает тело. Чаще всего предоставляется больничный халат.
- Пациент ложится спиной на стол томографа, который в начале исследования автоматически передвинется в центр аппарата.
- Медработники находятся в другой комнате, но при этом через встроенный микрофон могут переговариваться с пациентом.
- Проведение процедуры предполагает максимальную неподвижность. Врачи время от времени могут просить обследуемого задерживать дыхание для получения более четких снимков.
Длительность обследования зависит от того, с контрастом или без было проведено КТ:
- без контраста – до 15 минут;
- с контрастом – до 30 минут.
При получении снимков плохого качества компьютерную томографию могут повторить. После окончания процедуры рекомендуется обильное питье для скорейшего вывода контрастного вещества.
Противопоказания и последствия
Существует ряд противопоказаний и ограничений, которые исключают применение компьютерной томографии:
- ожирение на последних стадиях – масса тела пациента превышает 120 кг;
- дети до 14-ти летнего возраста;
- декомпенсационная стадия сахарного диабета;
- период беременности и лактации;
- миелома — разновидность раковых клеток, проявляющихся на коже;
- патологии в функционировании щитовидной железы.
В некоторых случаях КТ может давать незначительные негативные реакции организма:
- привкус металла в ротовой полости, по причине использования контрастного вещества;
- аллергическая реакция (сыпь на кожных покровах, припухлости лица) на контрастное вещество;
- трудности с дыханием или низкое артериальное давление – встречается крайне редко.
Чтобы исключить все негативные последствия, необходимо обсудить с врачом возможные реакции организма и предупредить их.
Расшифровка результатов
Расшифровка и оценка результатов полученных снимков занимает от 1 до 1,5 часов. Итоги компьютерной томографии заносятся в карту пациента, а серия снимков, по желанию больного, может быть записана на диск и выдана на руки.
На основании полученных данных врач сможет точно диагностировать заболевание и назначить соответствующее лечение. При подозрении на определенное заболевание специалисты могут направить пациента к профильному врачу. Наличие опухолей предполагает обращение к онкологу, а образование конкрементов в мочевыделительной системе обязует обратиться к нефрологу или урологу.
Нормальные показатели почек на КТ-снимках оцениваются по форме, структуре и локализации внутренних органов. Сравниваются параметры смежных органов для получения точной диагностической картины.
Отклонения от нормы на снимках могут быть самыми разнообразными. Наросты на почке или внутри нее будут иметь отличающуюся плотность тканей, что будет видно по совершенно другой цветовой гамме, благодаря контрастному веществу. Структура почечных сосудов с повреждениями четко просматривается и не оставляет сомнений в постановке диагноза для врачей.
Исследования почек и всей мочевыделительной системы с помощью компьютерной томографии является наиболее эффективным способом выявления аномальных процессов и повреждений, что позволит своевременно начать адекватное лечение.
Как подготовиться к КТ почек
Данный метод исследования применяется для:
- первичного выявления болезни;
- уточнения уже поставленного диагноза;
- оценки эффективности проводимого лечения хронических болезней.
Наиболее часто КТ почек назначается при подозрении на наличие камней в этих органах, а также при травматизации области живота и спины. Нередко к данной процедуре прибегают пациенты с врожденными аномалиями развития почек, а также люди с подозрением на инфекционное поражения данных органов. Метод применяется при подозрении на наличие злокачественного новообразования для оценки его распространенности и выявления очага болезни, а также для контроля за состоянием органа после хирургического вмешательства.
Благодаря применению современных технологий, методика позволяет послойно сканировать органы во множестве срезов. Данный способ позволяет исследовать не только почки, но и надпочечники с забрюшинной областью.
Перед назначением компьютерной томографии, врач обязан собрать полный анамнез пациента, чтобы выявить противопоказания к проведению, если они есть. Исследование крови позволяет определять в ней уровень креатинина и мочевины, что особенно важно при подозрении на расстройство почечного функционирования.
КТ почек: подготовка к исследованию
Подготовка к КТ почек и надпочечников не требует особых усилий от пациентов. За несколько суток до проведения компьютерного сканирования пациент должен сдать кровь для ее биохимического исследования.
Специалисты рекомендуют воздерживаться от приема пищи за четыре-шесть часов до процедуры. Накануне компьютерной томографии пациенту запрещено употреблять продукты, которые усиливают процесс газообразования в организме (спиртные напитки, цельнозерновые продукты, бобовые, капусту, молочные продукты, газированные напитки и др.).
В процессе подготовки к КТ почек необходимо будет удостовериться в отсутствии у пациента каких-либо металлических предметов. Зубные протезы, металлические украшения, очки, наручные часы — все это необходимо снять на время компьютерной томографии, так как изделия из металла мешают правильной интерпретации результатов.
При посещении отдела КТ, пациент должен быть одет в удобную просторную одежду без металлических вставок. В некоторых случаях его могут попросить переодеться в специальное медицинское белье для прохождения томографии.
Для чего применяется контрастное вещество
Контраст вводят в организм пациента для того, чтобы качество изображения в результате было улучшенным. Это позволяет более точно диагностировать патологические процессы или наблюдать за эффективностью проводимой терапии.
В качестве контрастного вещества используются неионные препараты, которые содержат в своем составе йод. Благодаря йоду, все структуры почек видны очень детально, поэтому врач может более точно рассмотреть томограмму и поставить диагноз. Почки относятся к паренхиматозным органам, так что, в случае необходимости КТ, рекомендуется применение контраста (при отсутствии противопоказаний).
КТ почек с контрастом: подготовка к исследованию
Зачастую процесс введения контраста пугает пациентов. Однако, если у человека нет противопоказаний к данной процедуре — бояться нечего.
При подготовке к КТ почек с контрастом рекомендуется воздерживаться от приема пищи минимум за 4 часа до начала исследования. Точно так же, как и при КТ почек без применения контраста, необходимо:
- не употреблять пищу и напитки, которые усиливают процесс образования газов в организме;
- не надевать тесную и неудобную одежду при подготовке к КТ, а при необходимости переодеться в выданную персоналом специальную одежду для проведения процедуры;
- снять все металлические украшения, очки или зубные протезы с вставками из металла.
Контрастное вещество может вводиться в организм инъекционно или перорально.
Если необходимо внутривенное применение контраста, его вводят с помощью автоматического инъектора. Действовать вещество начинает в среднем через двадцать секунд. При этом пациент может чувствовать ложные позывы сходить в туалет, однако это состояние довольно быстро проходит и можно приступать к компьютерной томографии. Не следует пугаться, обнаружив у себя легкую тошноту и привкус металла во рту — это нормальная реакция на введение контраста.
Пероральный метод введения подразумевает то, что пациент выпивает специальный раствор, предварительно сделав КТ без контраста. После чего, спустя некоторое время, делается компьютерная томография уже с контрастным веществом. За несколько часов до КТ с использованием контраста необходимо отказаться от приема не только пищи, но и напитков.
Общие рекомендации по компьютерному сканированию:
- во время проведения процедуры необходимо сохранять абсолютное спокойствие и не совершать движений;
- за 24 часа до исследования нужно отказаться не только от спиртных напитков, но и от напитков, содержащих кофеин;
- важно сообщить врачу заранее, если незадолго до компьютерной томографии пациенту проводили магнитно-резонансную томографию, рентген или ультразвуковое исследование: возможно, что КТ придется отложить;
- не надевать одежду и украшения с металлическими элементами;
- обязательно нужно предупредить врача или медсестру, если есть аллергия на йод или какое-либо из противопоказаний.
Противопоказания к проведению КТ почек
Несмотря на безболезненность и безопасность данного способа исследования, противопоказания все-таки существуют (особенно при использовании контраста). В связи с тем, что контрастное вещество из организма выводится именно почками, перед его использованием необходимо убедиться, что оно не нанесет этим органам вреда.
Нельзя применять компьютерную томографию в случае:
- Беременности (вне зависимости от срока). В связи со способностью рентгеновских лучей проникать сквозь организм и оказывать воздействие на эмбрион. Рекомендуется применение магнитно-резонансной томографии (во втором и третьем триместре) или ультразвуковой диагностики (в первом триместре). Контраст применять запрещено, так как он проникает через плацентарный барьер.
- Наличия аллергических реакций на какой-либо из компонентов контрастного вещества.
- Сахарного диабета (особенно в тяжелой стадии), почечной и сердечной недостаточности.
- Малолетнего возраста пациента: детям до 14 лет такая процедура практически не применяется.
- Наличия тяжелых психических расстройств, так как проведение процедуры требует длительного пребывания в томографе в неподвижном состоянии. По этим же причинам томография не назначается людям, которые находятся без сознания (возможны рефлекторные телодвижения).
- Наличие миеломной болезни и патологий щитовидной железы.
Ограничением служит и вес пациента. Людям с ожирением (массой тела более 120 кг) физически тяжело поместиться в стандартный аппарат, поэтому для проведения компьютерной томографии используется устройство открытого типа.
Относительным противопоказанием служит период лактации. После процедуры кормящим женщинам рекомендуется воздерживаться от лактации на протяжении 24-48 часов, как минимум.
Вероятные риски компьютерной томографии
Сама процедура безболезненна и безопасна. Риски возникают при необходимости использования контраста, ведь в случае аллергии у пациента на какой-либо из компонентов контрастного вещества может возникнуть анафилактический шок. Для предупреждения подобных инцидентов, при подготовке к КТ сдают кровь для анализа на предмет наличия аллергии.
В подавляющем большинстве случаев данный метод прекрасно переносится пациентами, у которых нет явных противопоказаний к его использованию.
КТ почек с контрастированием и без: подготовка, расшифровка КТ почек с контрастом
Компьютерная томография (далее — КТ) почек – это диагностическая процедура, которая совмещает в себе рентгеновское послойное исследование тканей и обработку полученных снимков при помощи специализированных компьютерных программ.
Результатом обследования является послойное изображение почек, надпочечников, прочих органов и структур, составляющих мочевыводящую систему, забрюшинное пространство.
Оглавление: Преимущества КТ и суть метода Показания к назначению КТ почек Противопоказания к процедуре Подготовка к обследованию Как проходит обследование Интерпретация результатов Возможные осложнения
Преимущества КТ и суть метода
Во время исследования через тело пациента пропускают рентгеновское излучение одновременно в различных плоскостях. Принимающее устройство томографа улавливает отраженные от тканей лучи. Информация обрабатывается при помощи компьютерной программы. На выходе врач получает трехмерное изображение исследуемого органа или системы.
Существует 2 методики исследования – простое и с использованием контрастных веществ. Обычно в качестве контраста применяют йод. В случаях непереносимости этого вещества или наличия индивидуальных противопоказаний, показано введение гадолиния в качестве контраста.
Преимущества КТ-исследования:
- точность и достоверность;
- безболезненность и неинвазивность;
- не требует специализированной подготовки, за исключение КТ с контрастными веществами;
- можно повторить несколько раз в течение года;
- высокая скорость обследования.
Минусом процедуры можно назвать облучение рентгеновскими лучами. Но в терапевтических дозировках оно не нанесет существенного вреда организму.
Обратите внимание
Современные аппараты – МСКТ и СКТ – используют спиральную методику подачи рентгеновских лучей во время обследования. Это увеличивает скорость процедуры и снижает лучевую нагрузку на организм.
Показания к назначению КТ почек
Компьютерная томография позволяет получить достоверную информацию о состоянии органов мочевыделительной системы, контролировать процесс лечения в динамике.
Исследование показано в следующих случаях:
- предполагаемая или диагностированная травма почек;
- кровоизлияния в полость брюшины, забрюшинное пространство;
- патологии почек воспалительного генеза, близлежащих органов;
- туберкулез, абсцесс;
- патологии развития органов мочевыводящей системы, осмотр сосудов с использованием контрастных веществ;
- карциномы и аденомы почек и близлежащих органов, поиск вторичных опухолей при подверженной онкопатологии органов брюшины, малого таза, легких;
- кисты, гидронефроз почек;
- изменение лимфатических коллекторов в брюшине и забрюшинном пространстве;
- наличие конкрементов;
- после установки дренажа, контроль во время биопсии;
- контроль лечения, в том числе и оперативного.
КТ, как метод контроля лечения, используется крайне редко, так как исследование – дорогостоящее. И при положительной динамике у пациента новой информации для врача томография не даст.
Противопоказания к процедуре
КТ является неинвазивной манипуляцией, поэтому противопоказаний к проведению исследования немного. Если показана томография с контрастными веществами, то количество противопоказаний увеличивается.
Когда КТ не проводится:
- Беременность. Лучевая нагрузка во время процедуры незначительна, но без острых показаний КТ, особенно плановое, лучше не проводить. Предполагаемая польза от исследования для женщины должна быть больше предполагаемого вреда для ребенка. В этом случае альтернативой КТ станет МРТ без контраста.
- Лактация – в первые сутки после КТ не следует кормить ребенка грудью. Молоко в этом случае сцеживается. Затем можно вернуться к кормлению.
- Сахарный диабет в тяжелых формах. В компенсированном состоянии решение о проведении исследования должен принимать лечащий врач совместно с эндокринологом.
- Миеломная болезнь – злокачественная опухоль лимфатической системы.
- Избыточный вес обследуемого.
Стандартная грузоподъемность стола томографа при избыточном весе пациента составляет 200 кг. Тоннель также имеет определенные габариты. Закрытый томограф в этих случаях не используется, так как поместить пациента в аппарат проблематично.
Показанием для обследования в открытых моделях становятся:
- Клаустрофобия и панические расстройства, эпилепсия.
- Тяжелые психические заболевания.
- Ярко выраженный болевой синдром.
- Высокая температура тела, признаки инфекционного или респираторного заболевания.
- Патологии, при которых пациент не может длительно находиться в неподвижном состоянии.
Список противопоказаний КТ с контрастными веществами расширен. Кроме основного списка, в него входят следующие пункты:
- аллергические реакции на йод иди гадолиний;
- почечная недостаточность. При этом состоянии контрастное вещество не будет выведено почками в полном объеме;
- заболевания щитовидной железы, при которых йод не должен поступать в организм извне.
Важно
Если у пациента имеются противопоказания к процедуре, то он должен сообщить об этом лечащему врачу или рентгенологу, проводящему обследование. Также следует поставить в известность о ранее проведенных КТ, МРТ или УЗИ исследованиях.
Подготовка к обследованию
Если показано КТ без контраста, то особой подготовки к процедуре не требуется. За несколько дней рекомендуется не употреблять в пищу продукты, вызывающие брожение в кишечнике. Также нежелательно принимать алкогольные напитки.
На исследование нужно приходить натощак. Последний прием пищи не ранее, чем за 5 часов до томографии.
Если показано КТ с контрастом, то следует выяснить, какой препарат будет использоваться. Некоторые контрастные вещества вводятся внутривенно во время исследования, другие – перорально. В этом случае первую порцию препарата принимают за 12 часов до томографии, вторую – непосредственно перед исследованием. КТ с контрастом также проводится на пустой желудок. Запрещен прием жидкостей в день процедуры.
В кабинете томографа следует снять все металлические украшения – цепочки, серьги, пирсинги. Предупредить врача о наличии имплантатов в организме, устройств для поддержания ритма сердца, металлических протезов суставов.
На процедуру нужно приходить в свободной не стесняющей движения одежде. В некоторых клиниках пациенту предоставляется одноразовый комплект перед исследованием. В этом случае переоденьтесь.
Как проходит обследование
Пациента помещают на стол томографа. Исследование проводится в положении лежа на спине. Для обеспечения неподвижности используют мягкие ремни. Рентгенолог находится в соседнем кабинете со смотровым окном.
Стол автоматически въезжает в аппарат. Сканирующая часть томографа начинает движение и проводит серию снимков в различных проекциях. Длительность процедуры составляет от 10 до 20 минут. Это зависит от того, вводится ли контрастное вещество или КТ проводится без использования йода или гадолиния.
Если показано введение контраста, то предварительно пациент подписывает согласие на использование препарата. Первоначально проводится серия снимков без использования контраста, затем медсестра вводит контрастное вещество в вену. Через определенное время вновь проводится серия снимков. Это позволяет оценить данные до и после введения контрастного вещества.
Наличие металлического привкуса во рту не является признаком аллергической реакции. Но если появились зуд, тошнота, головокружение, тахикардия или брадикардия, то это развивается непереносимость контрастного вещества. Следует немедленно сообщить об этом рентгенологу!
Интерпретация результатов
В течение часа после обследования пациент получает на руки письменное заключение рентгенолога и серию послойных снимков. Интерпретацию результатов проводит лечащий врач, самостоятельные выводы нежелательны и нецелесообразны.
В сложных случаях лечащий врач может находиться во время процедуры в кабинете томографии для уточнения деталей обследования.
Возможные осложнения
Исследование неивазивно и безболезненно. Поэтому вероятность развития неприятной симптоматики после КТ почек крайне низкая.
Что можно ожидать:
- ощущение дискомфорта от длительного неподвижного состояния;
- аллергия на контрастные вещества;
- болезненность в месте введения препарата;
- страх одиночества, развитие прочих фобий.
КТ почек является информативным исследованием. Но проводиться оно должно только по назначению врача и только в тех случаях, когда другие методики не дали достоверного ответа на вопросы врача. Самоназначение такой процедуры неуместно!
Чумаченко Ольга, врач, медицинский обозреватель
6,100 просмотров всего, 1 просмотров сегодня
(58 голос., средний: 4,16 из 5) Загрузка…