
Что такое гонококки в мазке у женщин
Главная » Мазок » Что такое гонококки в мазке у женщин
Содержание:
Гонококк (neisseria gonorrhoeae) является возбудителем тяжелого венерического заболевания, поражающего органы мочеполовой системы. Гонорея — антропонозная инфекция, вызывающая гнойное воспаление слизистой оболочки урогенитального тракта. В настоящее время гонококковая инфекция считается довольно распространенным и значимым заболеванием, передающимся половым путем.
Термин «гонорея» в переводе с древнегреческого языка означает «истечение семенной жидкости». Это венерическое заболевание чаще всего встречается у сексуально активных мужчин и женщин в возрасте 15—35 лет. Для молодых девушек эта инфекция очень опасна. Она может стать причиной воспаления органов малого таза и привести к бесплодию. Известны случаи с летальным исходом среди пациентов с генерализацией инфекционного процесса.
Гонококковая инфекция широко распространена в Сибири и на Дальнем Востоке. Чаще всего болеют асоциальные лица — проститутки, гомосексуалисты и бисексуалы.
Neisseria gonorrhoeae
Гонококк Нейссера — грамотрицательный диплококк, внешне напоминающий два кофейных зерна, обращенных друг к другу вогнутой стороной. Они окружены микрокапсулой, жгутиков не имеют, спор не образуют. Гонококки были открыты ученым А. Нейссером в конце 19 века и получили одноименное название. Изучением морфологических, тинкториальных, культуральных, антигенных и биохимических свойств гонококков занимается частная микробиология, иммунология и эпидемиология.
- Морфология. Neisseria gonorrhoeae является неподвижным аэробом. Его оболочка состоит из белков, которые отличаются по своему функциональному значению. Гонококковая клетка имеет пили — отростки в виде нитей, которыми она прикрепляется к эпителиоцитам мочеполового тракта.
- Физиологические свойства. Гонококки очень устойчивы в организме носителя благодаря наличию особой защитной микрокапсулы, оберегающей от воздействия иммуноглобулинов. Бактерии не погибают при фагоцитозе нейтрофилами, сохраняют свою жизнеспособность, вирулентность и активно размножаются. Под воздействием антибактериальных препаратов и сульфаниламидов микробы трансформируются в L-формы. Во внешней среде микроорганизмы мало устойчивы. Они быстро гибнут под воздействием дезинфектантов и высоких температур.
- Тинкториальные свойства. Бактерии полиморфны: их клетки могут иметь бобовидную или палочковидную форму. Гонококки в мазке располагаются попарно, тетрадами и скоплениями.
- Бактерии прихотливы к питательным средам. Они растут на средах, содержащих человеческие белки — асцит-агаре, сывороточном агаре. Инкубируют посевы в атмосфере с повышенным содержанием углекислого газа и при температуре 37 градусов. Одни колонии гонококков мутные и бесцветные, другие круглые и прозрачные, напоминающие капли росы. На жидких средах отмечается диффузный рост с характерной пленкой на поверхности, постепенно оседающей на дно.
- Биохимически гонококки малоактивны. Они расщепляют только глюкозу до кислоты.
- Факторы патогенности. Бактерии вырабатывают бета-лактамазу, нейтрализующую действие антибактериальных препаратов. К факторам вирулентности относятся адгезины, ферменты агрессии, эндотоксин. Neisseria gonorrhoeae патогенны только для человека. Они вызывают развитие специфического гнойно-воспалительного заболевания.
Эпидемиология
Гонорея – венерическая болезнь, поражающая преимущественно сексуально активных лиц. В группу риска входят проститутки и их клиенты, бизнесмены, туристы, наркоманы. Основным источником и резервуаром инфекции являются больные мужчины с бессимптомными формами уретрита. Пути передачи инфекции: половой, бытовой, вертикальный. Распространяются гонококки во время вагинального, анального или орального контактов без презерватива; при использовании инфицированных секс-игрушек; внутриутробно или в родах. Наибольшую опасность представляют выделения больного гонореей — сперма, отделяемое влагалища, слизь кишечника и горла.
Входные ворота гонококковой инфекции — эпителиоциты влагалища, уретры, шейки матки, прямой кишки. Гонококки прикрепляются к эпителиальным клеткам с помощью пилей, вызывают их гибель и слущивание. В месте внедрения neisseria gonorrhoeae возникает патологический процесс. Беловато-желтое отделяемое при отсутствии лечения становится густым. Его скопления перекрывают выводные протоки желез, расположенных в паху. Постепенно экссудат замещается фиброзной тканью, что приводит к сужению уретры.
По мере деструкции эпителия гонококки начинают проникать в поверхностные лимфатические и кровеносные сосуды. Этот процесс сопровождается увеличением паховых лимфоузлов. Достигнув соединительной ткани, гонококки вызывают воспаление и развитие патологии — уретрита, цервицита, вульвовагинита. Затем бактерии проникают в кровь, внедряются в лейкоциты и размножаются в них. Возникает транзиторная бактериемия. В дальнейшем микробы диссеминируют с развитием септицемии, формированием абсцессов в подкожно-жировой клетчатке около ануса и простаты.
Симптоматика
Гонококковая инфекция у мужчин может протекать по типу уретрита, эпидидимита, простатита, везикулита.
-
гонорейные выделения из уретры у мужчин
Гонококковый уретрит начинается остро. Больные жалуются на зуд, жжение, дискомфорт при мочеиспускании. При надавливании на головку полового члена из уретры выделяются капельки гноя. Мочеиспускание становится учащенным и болезненным. В моче появляется кровь. Боль может иррадиировать в промежность, прямую кишку и усиливаться при эрекции, эякуляции, оргазме. Крайняя плоть воспаляется, паховые лимфоузлы увеличиваются. В редких случаях гонококковой уретрит протекает бессимптомно.
- Гонококковый эпидидимит является осложнением гонореи у мужчин. Заболевание проявляется болью в мошонке и в паху. Придаток увеличивается в размерах, становится плотным, болезненным при пальпации. У больных появляются признаки интоксикации: лихорадка, озноб, слабость. Из уретры выделяется гной. Боль отдает в нижнюю часть живота и распространяется на область поясницы, крестца.
- Гонококковый простатит обычно сочетается с везикулитом. Острое воспаление сопровождается интоксикационным, дизурическим и болевым синдромами.
У женщин гонококковая инфекция также имеет несколько морфологических форм: цирвицит, вульвит, эндометрит, сальпингоофорит, эндомиометрит, сальпингит. У больных мочеиспускание становится учащенным и болезненным, появляются необычные, часто гнойные выделения из влагалища, менструации становятся очень болезненными и обильными, возникают межменструальные кровотечения, боль внизу живота. Симптоматика инфекции у женщин выражена не так ярко, как у мужчин.
Анальные контакты без презерватива с больным мужчиной часто заканчиваются развитием гонококкового проктита. Это заболевание в наибольшей степени свойственно гомосексуалистам. В заднем проходе возникает зуд и жжение, появляются гнойные выделения из прямой кишки, акт дефекации становится болезненным, в кале обнаруживается кровь.
Орогенитальные контакты приводят к развитию гонококкового фарингита. Заболевание обычно протекает бессимптомно и выявляется случайно. В редких случаях у больных першит в горле, возникает сухость и болезненность, осиплость голоса. Зев при осмотре гиперемирован, слизистая глотки отечна.
Диагностика
С диагностической целью у больных берут мазок, проводят исследование и расшифровывают полученные данные. У женщин берут мазок со слизистой влагалища, шейки матки, а у мужчин — из уретры. После нанесения материала на предметное стекло его передают в лабораторию. Перед взятием мазка больным не следует мочиться в течение 2 часов, не принимать антибиотики и местные антисептики в течение месяца.
- Бактериоскопическое исследование — приготовление, фиксация и окрашивание мазка метиленовым синим. При микроскопии гонококки имеют синий цвет, а остальные клетки — светло-голубой. В препаратах, окрашенных по Граму, обнаруживаются грамотрицательные диплококки, имеющие бобовидную форму.
- Бактериологический анализ на гонококки осуществляется путем посева биоматериала на питательные среды. Посевы помещают в эксикатор на сутки. Для приготовления питательных сред используют питательный агар из мяса кролика или бычьего сердца. В мясо-пептонный или сывороточный агар добавляют «Полимиксин» или «Линкомицин» для подавления роста посторонней микрофлоры. Если рост гонококков отсутствует, чашки переставляют в термостат на срок до 8 суток. Ежедневно просматривают их. Neisseria gonorrhoeae растут в виде круглых, выпуклых колоний с ровными краями, блестящей поверхностью и слизистой консистенцией. Их колонии напоминают капельки росы.После получения чистой культуры исследование продолжают микроскопическим методом. С учетом морфологических, культуральных, ферментативных и прочих свойств выделенные микробы идентифицируют до вида, а затем определяют их чувствительность к антибиотикам.
- Серодиагностика — реакция иммунофлюоресценции, латексаглютинации, коаглютинации, непрямой гемагглютинации, связывания комплимента. Иногда применяют иммуноферментный анализ.
- ПЦР – диагностика направлена на выявление фрагментов ДНК neisseria gonorrhoeae. Метод является высокочувствительным и специфичным. Это качественный анализ, отражающий все инфекции, передаваемые половым путем, у конкретного обследуемого. В норме ИППП отсутствуют у здоровых лиц.
- Аллергические пробы — внутрикожное введение 0,1 мл свежей гонококковой вакцины. Реакция считается положительной, если через 24 ч на коже появляется гиперемия и отек.
Если гонококковая инфекция протекает вяло и хронически, прибегают к провокационным методам. Искусственное обострение патологии приводит к увеличению количества гонококков в отделяемом.
Лечение
Лечение гонококковой инфекции проводится в специализированных стационарах. Больным назначают антибиотики, сульфаниламидные препараты, полноценное питание, иммуностимуляторы, местное лечение.
- Лечение гонококковой инфекции противомикробное. Больным назначают антибиотики из группы цефалоспоринов – «Цефтриаксон», фторхинолонов – «Ципрофлоксацин», макролидов — «Азитромицин».
- Гонококковая вакцина — вспомогательное средство для лечения гонорейной инфекции, протекающей в хронической форме.
- Иммуномодуляторы — «Левамизол», «Изопринозин», «Амиксин», «Полиоксидоний».
- Биостимуляторы или адаптогены — «Женьшень», «Элеутерококк», «Алоэ», «Лимонник».
- Местное лечение в виде ванночек— мужчинам промывают уретру растворами антисептиков и дезинфектантов: перманганатом калия, фурацилином, мирамистином, женщинам делают влагалищные ванночки с теми же средствами, смазывают цервикальный канал Люголем.
- Физиолечение — ультразвук, УВЧ.
Лечиться необходимо обоим половым партнерам. Во время терапии запрещено посещать бассейн, вести половую жизнь. Специалисты рекомендуют ежедневно мыть гениталии теплой водой с мылом, употреблять много жидкости, исключить из рациона острую пищу и алкоголь. После проведения терапевтических мероприятий следует пройти повторное исследование на гонорею. Контрольный мазок берут у больных спустя десять дней после завершения антибиотикотерапии.
Гонорея — серьезное заболевание, избавиться от которого можно только с помощью современных антибактериальных препаратов. Народная медицина в этом отношении абсолютна бессильна. Чтобы избежать развития серьезных осложнений и тяжелых последствий, необходимо обратиться к врачу при появлении первых симптомов патологии. При своевременном и полноценном лечении прогноз заболевания вполне благополучный.
Профилактика
Мероприятия, предупреждающие развитие гонореи:
- Моногамные отношения,
- Осторожность в выборе полового партнера,
- Использование презервативов при полигамии,
- Обработка антисептиками наружных половых органов и уретры после случайного полового контакта,
- Применение препаратов «Фарматекс», «Гексикон»,
- Регулярное прохождение медицинского обследования у гинеколога или уролога,
- Санпросветработа среди населения,
- Обследование контактных лиц,
- Диспансерный учет и наблюдение больных гонореей.
Гонококки — возбудители одного из самых распространенных венерических заболеваний. Гонорея часто имеет бессимптомное течение. Больные не подозревают о наличии у себя заболевания и продолжают жить половой жизнью, заражая партнеров. При отсутствии своевременного лечения болезнь прогрессирует и может вызвать серьезные нарушения, что приводит к тяжелым осложнениям со стороны репродуктивной сферы организма. Гонорея – бактериальная инфекция, являющаяся одной из наиболее часто встречающихся причин мужского и женского бесплодия.
Видео: врач о гонококковой инфекции
izppp.ru
Гонококк нейссера: что это такое, расшифровка исследования
Возбудителем опасного венерического заболевания является бактерия Neisseria gonorrhoeae (гонококк Нейссера). Проникая в организм человека, бактерия локализуется на мочеполовых органах и провоцирует развитие гнойных воспалений.
Определяется гонококк Нейссера в мазке, который берется у женщин при осмотре у гинеколога. При отсутствии лечения, заболевание передающееся половым путем, может стать причиной серьезных патологий, а порой и летального исхода.
Что представляет собой гонококк Нейссера
Гонококк представляет собой грамотрицательный парный диплококк, который вызывает антропонозную венерическую инфекцию. Существует несколько путей передачи инфекции – это наиболее распространенный половой, бытовой и вертикальный.
В группу риска заболевания входит большая часть населения земли, так как гонококк передается не только при незащищенном половом акте, но при ношении чужого белья, внутриутробно и при родах от инфицированной матери.
Наибольшую опасность для здорового человека представляет именно слизь инфицированного: сперма, и выделения из влагалища.
Паразитирующая бактерия гонококк была открыта знаменитым бактериологом Альбертом Нейссером в конце 19 века. Он же и разработал метод лечения заболевания, который на то время был недостаточно результативным, тем не менее сокращал рост патогенной флоры.
Гонококки Нейссера – что это такое, и как выглядит бактерия, которая становится причиной такого серьезного заболевания? Такими вопросами часто задаются те, кто впервые столкнулся с инфекцией. Чтобы понять, что представляет собой данная бактерия, необходимо затронуть такие сферы деятельности, как микробиология, эпидемиология и иммунология.
Грамотрицательный гонококк неподвижен, имеет форму двух кофейных зерен, скрепленных между собой согнутыми сторонами. Доли расположены в прочной микрокапсуле, без жгутиков. Клетка гонококка имеет пили – это тончайшие нитевидные отростки, которыми бактерия цепляется за эпителиоциты.
Физические свойства. Защитная капсула бактерии обеспечивает ей высокую жизнестойкость в организме человека. Гонококк защищен от иммуноглобулинов, вирулентен, и способен к активному размножению. При антибактериальной терапии бактерия способна трансформироваться, и подстраиваться под изменившуюся среду.
Когда проводят исследование на гонококки Нейссера, определяют индивидуальную чувствительность к антибиотикам. В окружающей среде бактерия быстро высыхает, погибает в дезинфицирующем растворе и при высоких температурах.
Тинкториальные особенности. При диагностике бактерия окрашивается анилиновыми препаратами, и при нахождении в питательной среде проявляет себя как грамположительный микроорганизм.
Культуральные особенности. Активно размножается при температуре 37 градусов, и уже через 72 часа образует на полости поверхностную пленку, с хлопьевидным осадком. Большая численность колонии гонококка образуется уже через 48 часов.
Ферментативные свойства. Малоактивные биохимические бактерии, ферментируют до кислоты без газа, образуя оксидазу.
Патогенность для животных. В организме животных бактерия не развивается, и не вызывает гнойных инфекций.
Метод передачи. Основной путь заражения человека: половой и интранатальный. Основной процент зараженных инфицировались путем незащищенного полового акта, также существует риск заражения через индивидуальные предметы обихода, внутриутробное и при родах.
Основной процент зараженных инфицировались путем незащищенного полового акта
Саногенез. При заражении иммунитет к инфекции не вырабатывается. В организме исцелившегося находится повышенная концентрация антител, но это не защищает от повторного инфицирования.
Способы диагностики. Для определения инфекции мазки на гонококк Нейссера берут из влагалища женщины и уретры мужчины. Используется серологическое, бактериоскопическое и бактериологическое лабораторное исследование.
Как собирается биоматериал на гонококки
Для диагностики патогенной бактерии применяется специальное лабораторное исследование, которое позволит выявить возбудителя.
Для этой цели высокую результативность показывают несколько методов: из влагалища берется мазок на гонококки Нейссера, расшифровка которого укажет на состояние микрофлоры и наличие патогенных микроорганизмов, диагностика ПЦР или ЛЦР, серологический метод, и исследование на реакцию иммунной флуоресценции.
Самым распространенным и результативным является мазок из влагалища, который покажет наличие и концентрацию гонококка на слизистой.
При хроническом течении гонореи, диагностика инфекции проводится методом провокационных проб, которые заставляют гонококк выйти наружу, и вызвать рецидив заболевания.
Подготовка к анализу
Для того чтобы полученный результат был максимально достоверным, женщинам перед анализом необходимо соблюсти такие правила:
- За 1-2 недели прекратить прием любых антибактериальных препаратов, которые могут нарушить результаты.
- В течении двух дней до анализа соблюдать половой покой, не пользоваться никакими вагинальными таблетками, мазями и спреями. Это правило относится и к геморроидальным свечам.
- Гигиену половых органов нужно провести за 12 часов до сдачи анализа, без антибактериального мыла.
- Не рекомендуется мочиться в течении двух часов до сдачи мазка.
Придерживаясь таких правил, вы сможете добиться максимальной результативности, и анализ выделений на гонококки Нейссера в расшифровке покажет достоверные данные.
Техника взятия мазка на гонококки
Ложка Фолькмана для забора мазка у женщин
Мазок на гонококк сдается на 3-4 день менструального цикла, так как в это время бактерия проявляет максимальную активность. Для забора слизи со стенок влагалища, шейки матки и уретры, используются стерильные или одноразовые предметы.
- Изначально гинеколог проводит визуальный осмотр с использованием расширителя «зеркало».
- Далее проводится забор слизи разными шпателями или ватными тампонами, чтобы исключить ошибку при диагностике.
- Мазок берется легким движением по поверхности, не причиняя болезненных ощущений пациентке.
- Гнойные выделения и бели не берутся для анализа, так как имеют наименьшую концентрацию возбудителя.
- Полученные образцы отправляются в лабораторию для диагностики.
Результаты анализа на гонококки Нейссера и расшифровка будут готовы приблизительно через трое суток. Ознакомиться с полученными данными можно у лечащего гинеколога.
Лабораторные методы исследования на гонококк
Если лаборатория расположена в той же клинике, где и проходил забор мазка, то предметные стекла отправятся на исследование сразу. Если же предполагается отправка образцов в другое место, тогда транспортировка проводится в специальных стерильных боксах.
Бактериологический метод исследования заключается в окрашивании материала специальным антисептиком Метиленовый синий, который окрашивает патоген в насыщенный голубой цвет. Следующий образец проходит исследование по Граму, что дает возможность отделить гонококки от других бактерий.
Если гонококки не удается определить такими методами, тогда материал отправляется на посев, при котором бактерии растут в благоприятной среде и проявляют свою активность. Результативность данного метода имеет 90%, которых достаточно для постановки диагноза.
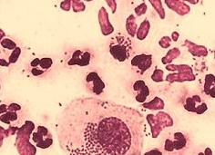
Гонококки (окраска метиленовым синим)
Если женщина страдает хронической формой гонореи, тогда проводятся такие провокационные пробы:
- Химическая провокация – заключается в обработке уретры, прямой кишки и цервикального канала специальным раствором. Мазок-соскоб берется через двое и трое суток. Таким образом удастся выявить гонококки Нейссера в мазке у женщин, и определить чувствительность к антибиотикам.
- Биологическая провокация проводится методом введения гонококковой вакцины внутримышечно. Соскоб берется через 1, 2, 3 суток.
- Физиологическая провокация предполагает забор слизи в дни месячных, когда снижаются защитные силы организма.
- Алиментарная провокация требует от женщины употребления накануне сдачи анализа соленых или пряных продуктов, алкоголя. Забор слизи проводится через каждые сутки, на протяжении трех дней.
Такие методы исследования имеют высокие показатели, и помогают безошибочно диагностировать гонококковую инфекцию.
Гонорея – это серьезное инфекционное заболевание, которое может стать причиной различных патологий женских половых органов. В целом, прогноз заболевания благоприятный, особенно это касается ранней стадии, когда применяется минимальная антибактериальная терапия. В группе риска заболевания находятся абсолютно все население земли, поэтому каждому нужно понимать, что гонококки Нейссера это опасные бактерии, которые могут передаваться не только половым путем.
Предупредить инфицирование гонореей можно только соблюдая осторожность при выборе полового партнера, используя презерватив при половых контактах, и проходя регулярные профилактические осмотры у гинеколога.
101parazit.com
Гонококки в мазке у мужчин и женщин
Гонококки в мазке могут быть обнаружены как у женщин, так и у мужчин. Если в мазке обнаружены гонококки, это может быть поводом для беспокойства.
Что такое гонококк?
Гонококк – это грамотрицательная бактерия, вызывающая такое неприятное заболевание, как гонорея.
Этот микроб очень коварен, так как быстро адаптируется в организме. Следствием этого является сильная устойчивость гонококка к антибиотикам. Инфекция передается при всех видах секса: вагинальном, оральном и анальном.
Как диагностируется гонорея?
Примерно в 70% случаев болезнь протекает бессимптомно. Поэтому людям, ведущим активную половую жизнь, следует регулярно проходить обследования.
При каждом профилактическом визите производится забор мазков. Полученный материал затем исследуется на предмет наиболее распространенных ЗППП. Если в мазке обнаружены гонококки, а симптомов болезни нет – это указывает на бессимптомное течение.
Симптомы гонореи следующие:
- Боль и жжение при мочеиспускании
- Желтоватые выделения с резким неприятным запахом
- Повышение температуры
- Если заражение произошло после орального секса – боли в горле
При возникновении этих симптомов или подозрении в здоровье партнера, необходимо сдать анализы.
Важно! Сдавать анализ надо до того, как начался прием антибиотиков.
Как берется мазок?
Перед тем, как сдать мазок, следует подмыться. Специальные гигиенические средства использовать не стоит – ограничьтесь обычным мылом. За пару часов до сдачи не следует ходить в туалет. За сутки до анализа нужно воздержаться от секса.
Сама процедура может доставить дискомфорт, но выраженных болевых ощущений не будет. Спустя еще какое-то время после мазка может быть неприятное чувство в области мочеиспускательного канала.
Гонококки в мазке у женщин определяются в материале, взятом из трех участков: влагалища, уретры и шейки матки. Гонококки в мазке у мужчин определяются, естественно, иначе. Важно, чтобы на мазок не попало гнойное отделяемое.
Поэтому мужчинам в уретру вводится зонд. Оптимально до начала процедуры провести массаж простаты. Так мазок на гонококки у мужчин пройдет менее болезненно. В случае подозрения на гонококковый фарингит мазок берется из горла.
Какие бывают анализы мазка на гонококк?
Гонококки Нейссера в мазке определяются несколькими видами исследований:
- Бактериологическое
- Бактериоскопическое
- ИФА (иммуноферментный анализ)
- РИФ (иммунофлуоресцентный анализ)
- Серологическое исследование
- ПЦР (полимеразная цепная реакция)
В первую очередь делается бактериоскопический анализ. Полученный материал окрашивается по Грамму и исследуются под микроскопом.
Если бактериоскопия не дала результатов, но подозрения все еще есть, используется бактериологический анализ. Взятый материал высеивается на питательную среду, после чего ждут роста бактерий. Результаты такого анализа будут готовы не раньше, чем через 3 дня.
Как правило, бактериологического анализа достаточно для выявления возбудителя. Другие виды анализов проводят при несостоятельности первых двух способов. Результаты анализов выдаются пациенту на бланке. Знак «+» напротив возбудителя свидетельствует о том, что в мазке присутствует гонококк. Если же в графе стоит «-» — возбудитель не обнаружен.
В мазке обнаружен гонококк: что делать?
Гонококки в мазке – это повод для скорейшего обращения к специалисту! Заболевание следует лечить под обязательным контролем врача.
Гонорея может перейти в хроническую форму или в носительство. Чаще всего гонорею лечат без госпитализации. Для лечения используются антибиотики и препараты, укрепляющие иммунитет.
Важно! Лечение гонореи должно проводиться одновременно у обоих партнеров.
Обращайтесь в нашу клинику, мы поможем вылечить гонорею, работаем без выходных.
venerologiya.moscow
О чем свидетельствуют гонококки в мазке? :
Обнаруженные гонококки в мазке являются основанием для постановки такого диагноза, как гонорея. Это заболевание на слуху у всех и вызывает крайне негативные ассоциации. И это неудивительно, ведь гонорея (или триппер) — самое распространенное венерическое заболевание на планете.
Описание возбудителя заболевания
Гонококки в мазке обнаруживаются легко, так как они не имеют сходства с иными возбудителями инфекции. Все представители рода Нейссерия имеют бобовидную форму и не окружены капсулой. Споры и жгутики у них также отсутствуют. Гонококк – кислотоустойчивый микроорганизм, а это свидетельствует о том, что воздействия нормальной кислой среды влагалища у женщин ему не страшны. Клеточная стенка этого микроорганизма такова, что он способен продуцировать в крови антитела различных классов. При этом он формирует в организме такое состояние, при котором повторное заражение происходит быстрее и легче. Высокие показатели титров противогонококковой инфекции в крови могут сохраняться длительное время.
Клиническая картина при гонококковой инфекции
Идентифицированные гонококки в мазке могут свидетельствовать о наличии как острой, так и хронической формы заболевания. Вторая выявляется сложнее и имеет практически бессимптомное течение. Хронизация острой гонореи происходит очень быстро, особенно при неполноценно функционирующем или ослабленном иммунитете. Как было сказано выше, диагностирование хронической гонококковой инфекции вызывает большую сложность, так как данный микроорганизм является внутриклеточным паразитом и способен длительное время находиться в организме, никак не проявляя свое присутствие. В данном случае решающую роль в постановке диагноза имеет всесторонняя и качественная лабораторная диагностика.
Лабораторное исследование на гонококки
В настоящее время для диагностирования гонореи широко применяются методы микроскопического исследования мазка. Не менее популярны серологические и культуральные способы. Появляются и новые методы диагностики, например полимеразная цепная реакция. В перечень основных лабораторных исследований, которые применяют для обнаружения гонококка, входят:
- микроскопия мазка из влагалища;
- экспресс-тесты;
- бактериологические методы (гонококки в мазке окрашивают по Грамму, делают посев на питательную среду, изучают колонии);
- иммуноферментный анализ;
- РИФ (реакция иммунной флуоресценции);
- молекулярно-генетические методы;
- серологические методы (прежде всего реакции Борде-Жангу и связывание комплемента);
- для обнаружения хронической формы применяются провокационные пробы.
Заключение
Анализ на гонококки, точнее его эффективность, во многом зависит от правильности постановки реакций и формы гонококковой инфекции. Чем более запущена болезнь, тем сложнее ее диагностировать. Хроническая гонорея очень сложно поддается лечению, поэтому при малейших подозрениях на инфекцию необходимо обратиться к врачу и пройти обследование.
www.syl.ru
Что такое гонококки и чем они опасны
Есть информация, которую необходимо знать о гонококках – что это такое, какие заболевание могут вызвать патогенные бактерии, каковы симптомы недуга и чем он опасен. И самое главное – пути заражения инфекцией.
О таком заболевании, как гонорея (триппер), знают практически все взрослые, да и дети с определенного возраста. А вот об особенностях ее возбудителя наслышаны немногие. Также мало кто знает о том, что заболевание может быть смертельно опасным и вызывать серьезные осложнения.
В современном мире гонококк стал устойчив к некоторым видам антибиотиков. Именно поэтому выбрать адекватные методы лечения сможет только специалист после проведения определенных тестов.
Не стоит полагаться на то, что вычитанная в Интернете информация по лечению гонореи станет на сто процентов панацеей и даст возможность полностью избавиться от заболевания самостоятельно. Это лишь стандартная схема, на основе которой врач дерматовенеролог составит индивидуальный план лечения для каждого конкретного пациента.
Общие характеристики
Гонококк Нейссера – грамотрицательный диплококк. Этот представитель патогенной микрофлоры в норме не присутствует в организме человека вообще. Инфекция анаэробная, то есть не требующая для жизнедеятельности кислородную среду. При заражении живет и размножается на слизистых внутренних органов человека. Преимущественно на тех, которые выстелены цилиндрическим эпителием — уретра, мочевой пузырь.
Эти патогенные микроорганизмы были открыты в конце 19 века немецким ученым Нейссером (в честь которого и названы). Именно он сумел выделить инфекционный агент путем окрашивания по Грамму и рассмотреть его в микроскоп.
Гонококк напоминает по строению кофейные зерна, которые соединены попарно вогнутыми поверхностями внутрь. Бактерия крайне восприимчива к окружающей среде. Вне человеческого организма живет недолго, погибая без необходимого для жизнедеятельности белкового субстрата. Но зато во влажной среде, богатой сывороточным белком и минимальным содержанием углекислого газа в окружающем воздушном пространстве, прекрасно себя чувствует.
Микроб хоть и неподвижен, но защищен очень прочной «пленкой», состоящей из преимущественно гликолипидов (соединения из молекул глюкозы и жира). Такое строение уникально и не присуще ни одному грамотрицательному микроорганизму.
Именно это оболочка и дает возможность гонококкам длительное время избегать иммунного ответа организма. Патогенная бактерия мимикрирует (маскируется) под собственные клетки человеческого тела.
Факторы патогенности
Особенности строения нейссерии обуславливают ее устойчивость к защитным функциям организма и противодействие лечению. Именно таким образом гонорея, имеет свойство переходить в хроническую форму, что очень опасно как для здоровья, так и для самой жизни больного. Выделяют такие защитные механизмы гонококков:
- Наличие пилей – выростов на поверхности клетки патогенного микроорганизма, с помощью которых он прикрепляется к стенкам внутренних органов (уретры, влагалища). Кроме того, с их помощью гонококк сопротивляется фагоцитозу (уничтожению клетками-хелперами) и внедряется в слизистую на клеточном уровне, паразитируя внутри клеток эпителия.
- Капсульная оболочка состоит из нескольких компонентов, но особое место отводится сиаловой кислоте. Она надежно защищает бактерию от реакции организма на чужеродного агента.
- Эндотоксины, выделяемые бактерией во время жизнедеятельности, пагубно влияют на слизистую оболочку мочеполового тракта, вызывая воспалительные процессы с выделением гнойного экссудата.
- Белковые соединения наружной оболочки усиливают ее сопротивляемость, делая гонококк практически непроницаемым.
- Ферменты помогают распространению бактерии в межклеточном пространстве, уничтожают все антитела, находящиеся вокруг, а также другие бактерии. Иными словами, гонококк становится «хозяином положения» и не терпит конкуренции со стороны других представителей, даже патологической микрофлоры.
- Бактериоцины способствуют размножению колоний микробной флоры и их распространению вначале в пределах слизистых мочеполовой системы, а затем и в других органах (в случае перехода в хроническую форму и при развитии осложнений).
- Секретируемые факторы персистенции – особенность патогенных микроорганизмов, которая дает им возможность длительное время выживать в организме носителя, сохраняться в минимальных неактивных количествах при воздействии определенных факторов (например, лечение) и прогрессировать при определенных благоприятных условиях.
Все эти качества в совокупности дают возможность гонококку длительное время находиться в организме человека, выживать и размножаться даже при проведении определенного лечения. Но нужно помнить, что терапия гонореи, возбудителем которой выступает этот микроорганизм, должна быть адекватной и полной. Незавершенный курс лечения, неправильно подобранная антибиотикотерапия, несоблюдение элементарных правил личной гигиены и поведения, могут стать причиной перехода патологии в хроническую форму.
Гонорея
Гонорея – венерическая болезнь, возбудителем которой является гонококк Нейссера. Относится к группе инфекций, передаваемых половым путем. Характеризуется поражением слизистых оболочек органов с цилиндрическим эпителием (матка, уретра, прямая кишка, глотка, конъюнктива глаз).
Симптомы будут разниться в зависимости от локализации поражения. Но главная особенность – воспалительные процессы, сопровождающиеся дискомфортом и выделением гноя. Если вовремя не провести лечение, патология может вызвать воспаление органов малого таза, бесплодие. Если болезнь обнаружена у беременной женщины – то инфицирование ребенка происходит во время родов.
Гонококки очень быстро гибнут во внешней среде, так как боятся прямых солнечных лучей, высушивания, относительно высоких температур (выше температуры тела человека), обработки антисептическими средствами. Но внутри организма прекрасно себя чувствуют, живут и размножаются, вызывая болезнь.
Патогенные микроорганизмы могут располагаться как на поверхности клеток, так и внутри их. При определенных обстоятельствах образуют специфические формы, которые нечувствительны к антибиотикам.
По месту локализации патогенного процесса выделяют следующие формы гонореи:
- мочеполовых органов (влагалища у женщин, уретры – у мужчин);
- аноректальный (гонорейный проктит);
- костно-мышечный (гонартрит);
- конъюнктивы глаз (бленнорея), обычно эту патологию диагностируют у новорожденных;
- гнококковый фарингит.
Гонококковую инфекцию можно «подхватить» только двумя путями, один из которых составляет весьма малый процент. Зная, что такое гонококки, необходимо также знать и причины их попадания в организм.
Пути заражения и группы риска
Как мы уже выяснили, гонорея – венерическое заболевание. Половым путем передается в 99% всех случаев. Может происходить при любой форме сексуальных контактов как традиционных, так и «нетрадиционных».
Анальный и оральный секс, как утверждают венерологи, еще более опасен в плане заражения гонореей, так как слизистые прямой кишки и рта более ранимы и чувствительны, нежели слизистые влагалища и уретры.
Гонорея – болезнь, угнетающая гендерное равноправие. Но для этого есть сугубо физиологические причины – особенности строения мочеполовой системы у женщин. У мужчин канал уретры более узкий и длинный, нежели у женщин. Именно таким обстоятельством объясняется, что при незащищенном сексуальном контакте с больным мужчиной (либо носителем) женщина инфицируется в 50-80% случаев.
Мужчина же при аналогичном контакте с больной или носительницей получает инфекцию в качестве “бонуса” за удовольствие только в 30-40%. Но вероятность в разы возрастает при бурном сексуальной акте, неестественном удовлетворении страсти и при наличии критических дней у партнерши.
Есть и второй, непрямой путь передачи – бытовой. Но составляет он мизерный процент – всего 1. Причем и здесь в большей опасности девочки или женщины, нежели представители сильного пола любого возраста.
Вероятность такого заражения существует, если в быту очень близко контактировать с больным человеком, либо носителем инфекции. Использование предметов личной гигиены (мочалки, полотенца, мыло) могут спровоцировать попадание инфекции в организм.
Среди групп риска выделяют следующие:
- лица, занимающиеся проституцией, инъекционные наркоманы;
- гомосексуалисты;
- люди, ведущие беспорядочную половую жизнь;
- члены семей больного либо носителя.
Но даже один сексуальный контакт с незнакомым или малознакомым партнером может завершиться походом в венерологический диспансер и курсом не самого «полезного» лечения, если не использовать барьерные средства контрацепции. Презерватив в этом случае поможет избежать инфицирования.
Клиническая картина
У 10% мужчин и более 50% женщин данное заболевание протекает бессимптомно – то есть клинические проявления отсутствуют или слабо выражены и не являются специфическими.
Диагностируется свежая гонорея, если с момента инфицирования прошло менее 2 месяцев, и хроническая – если от заражения прошло уже более 2 месяцев.
По форме гонорея классифицируется как острая, подострая и малосимптомная. Существует еще носительство, когда признаков патологии субъективно нет, а гонококк в организме присутствует.
Симптомы заболевания могут проявляться через 1-5 дней с момента инфицирования. Иногда инкубационный период длится до месяца, но крайне редко.
Признаки заболевания могут быть значительно смазаны либо изменены, так как зачастую гонорея в чистом виде встречается все реже. Как сопутствующие недуги диагностируют хламидиоз, трихомониаз и другие патологии, передающиеся половым путем. Эти сочетания могут удлинять инкубационный период, изменять симптоматику, затруднять диагностику и лечение.
Классические проявления гонореи у мужчин:
- выделение из уретры гнойных и серозно-гнойных масс, преимущественно в утренние часы в больших количествах;
- затруднение мочеиспускания либо болезненность процесса;
- классические признаки уретрита – зуд, отечность, гиперемия уретры, болезненность при тактильном контакте.
У представителей сильного пола симптомы, как правило, проявляются очень быстро. Если гонорея имеет восходящее течение, то в патологический процесс вовлекаются семенные каналы, яички, простата, семенные пузырьки. Может отмечаться повышение температуры, озноб и общее недомогание. Акт дефекации становится болезненным, если в процесс вовлечена толстая кишка, возможны поносы, иногда с кровью.
Для острого течения недуга у женщин, характерными признаками будут:
- выделения из влагалища серого цвета с желтоватым или зеленоватым оттенком, с гноем. Имеют специфический достаточно сильный запах;
- отечность, сильное покраснение и возникновение язвочек на внешних половых органах;
- процесс мочеиспускания сопровождается болью, зудом, жжением, значительно учащается;
- менструации становятся очень болезненными и обильными, с выделением сгустков крови, зловонные;
- часто отмечаются кровотечения в промежутках между критическими днями;
- схваткообразная, достаточно интенсивная боль внизу живота.
Патологический процесс на ранних стадиях обычно локализуется во влагалище, а восходящая гонорея может затронуть шейку матки, уретру. Очень редко могут развиваться поражения самой матки, так как плоский эпителий этого органа невосприимчив к возбудителю.
Однако некоторые другие патологии, имеющиеся у женщины, могут спровоцировать и такой сценарий развития событий. В частности изменения гормонального фона в климактерическом периоде, во время полового созревания и при некоторых эндокринных недугах (например, патологиях щитовидной железы, влияющих на гормональный статус).
Так как у женщин гонорея может протекать вяло или вообще бессимптомно, очень часто обращение к врачу происходи на стадии хронического процесса. В этот период патологические изменения могут затрагивать матку, придатки, брюшину. Отмечается значительное повышение температуры тела, диарея, тошнота и рвота. Ухудшается общее состояние.
Методы лечения
Существует стандартная схема, как лечить гонорею. Обычно все терапевтические мероприятия проводятся в условиях специализированных стационаров. В обязательном порядке назначаются антибиотики, а также сульфаниламиды, иммуномодуляторы и полноценный рацион.
Если обнаружены гонококки в мазке у женщин, это не всегда свидетельствует о самой болезни. В случае отсутствия симптомом речь идет о носительстве. Однако проведение комплексного лечения обязательно.
Протокол лечения таков:
- антибиотики цефалоспоринового, фторхинолонового либо макролидового ряда. Какой именно препарат будет назначен, зависит от лабораторных показателей. Проводится тест на чувствительность гонококка к определенному виду препаратов;
- введение специальной гонококковой вакцины, как вспомогательного средства при терапии хронической формы заболевания;
- препараты, стимулирующие иммунитет (иммуномодуляторы). Это может быть Амиксин, Изопринозин, Левамизол;
- лекарственные препараты на натуральной основе, являющиеся биостимуляторами и адаптогенами. Это настойка женьшеня, элеутерококка, лимонника, алоэ;
- местные процедуры в виде ванночек и промываний с растворами лекарственных средств;
- физиотерапевтические процедуры, воздействующие на патогенную микрофлору.
Во время лечения категорически запрещено заниматься сексом, употреблять алкоголь. Питание должно быть сбалансированным и полезным, включать в себя много продуктов, богатых витаминами и белками.
Осложнения гонореи могут приводить к серьезным патологиям внутренних органов. Попадая в лимфатическую систему и кровоток, гонококк способен спровоцировать любые заболевания, которые могут привести к летальному исходу.
Если проводится адекватное лечение, гонококки гибнут в течение 10-14 дней. Но необходимо соблюдать все предписания врача и не прерывать курс при исчезновении дискомфортных симптомов. В противном случае болезнь перейдет в хроническую стадию, и вылечить ее будет гораздо сложнее.
Нашли ошибку в тексте? Выделите ее и нажмите Ctrl+Enter, и мы все исправим!
Гонококки в мазке у женщин: что это такое, фото
Возбудителем гонококковой инфекции являются простейшие микроорганизмы гонококки, которые при попадании во влагалище крепятся к шейке матки и вызывают воспалительный процесс, с гнойным поражением слизистой оболочки мочеполовых органов.
Гонококки в мазке у женщин свидетельствуют о наличие венерического заболевания гонорея, которое подлежит немедленному лечению.
Что такое гонококки
Гонококки – это разновидность грамотрицательных диплококков, с виду напоминающих кофейные зерна. Антигенная структура бактерии изменчива, и может трансформироваться под воздействием определенных факторов.
Инфекционная бактерия сохраняет жизнедеятельность только внутри организма носителя, во внешней среде микроорганизм погибает при высыхании, в мыльной воде и нагревании свыше +40 градусов.
Передача инфекционной бактерии происходит через незащищенные половые контакты или личные вещи. Что касается риска заражения, то при единичном контакте с инфицированным он составляет около 50%.
Инкубационный период инфекции составляет порядка 10 дней, и опасность недуга заключается в том, что около 80% зараженных женщин не ощущают никаких симптомов.
Возбудители гонореи-гонококки
Иммунитет к гонококковой инфекции не вырабатывается, поэтому каждый заразившийся имеет большой шанс заразиться инфекцией снова, при несоблюдении элементарных правил безопасности.
Как сдается бакпосев на микрофлору
Бактериологическое исследование необходимо проходить регулярно каждой женщине, чтобы определить какие находятся бактерии во влагалище. Гонококки в мазке на флору встречаются достаточно часто, и особенно у молодых женщин до 25 лет.
Стоит отметить, что инфекция представляет собой большую опасность, так как при отсутствии лечения возможно развитие гонококкового сепсиса, что неизменно ведет к летальному исходу.
Микрофлора влагалищной среды не является идеально чистой, так как в ней постоянно находится множество бактерий, составляющих нормальную среду. Одной из важных бактерий является палочка Дедерлейна, создающая кислую среду, и препятствующая размножению бактерий.
Если же в организм проникает инфекция, микрофлора изменяется, так как происходит активное размножение бактериологических колоний. И даже если пациентка не испытывает никаких признаков заболевания, именно бактериологический мазок поможет определить наличие инфекции.
Гонококки в мазке по фото лучше всего видны при культуральном методе диагностики, который основывается на выращивании бактерии в благоприятной среде, с целью определения чувствительности к антибиотику.
Как подготовиться к сдаче мазка
Для того чтобы результаты анализа были максимально достоверны, необходимо знать, как правильно подготовиться к бактериологическому исследованию. Пациентке необходимо за неделю прекратить прием антибактериальных препаратов, и не пользоваться никакими влагалищными мазями, кремами и спреями.
За 48 часов нужно исключить половые контакты, а мыть половые органы нужно вечером, накануне сдачи анализа.
Утром проводить гигиену половым органам не нужно, также нужно постараться не мочиться за 2 часа до анализа. Лучше всего сдачу мазка запланировать на первые дни после месячных, или незадолго до них.
Как проходит забор мазка на флору
Гинекологические мазки на гонококки, трихомонады, кандиды, хламидии и прочие инфекционные бактерии берутся со слизистых стенок влагалища, шейки матки и уретры. Это абсолютно безболезненная процедура, так как забор слизи проводится ватным тампоном.
Единственный дискомфорт, который могут испытать женщины, это взятие урогенитального мазка.
- Изначально проводится стандартный гинекологический осмотр при помощи гинекологического зеркала и пальпации.
- Осмотрев стенки влагалища и шейку матки, гинеколог собирает слизистую среду на стерильный ватный тампон. Некоторые женщины отмечают дискомфорт при касании шейки матки.
- Взятые образцы наносятся на стерильные предметные стекла, и далее отправляются в лабораторию для исследования под микроскопом.
В среднем, оценить результаты анализа уже можно через три рабочих дня. Для этого пациентке необходимо снова посетить гинеколога.
Чем опасно наличие гонококка в мазке
Исследование мазка на гонококки у женщин проводится ложечкой Фолькмана
Если в мазке обнаружили гонококк,это указывает на наличие инфекции передаваемой половым путем. В норме, здоровая микрофлора влагалища не должна содержать гонококк, который является патогенной бактерией, способный стать причиной опасных заболеваний.
Гонококковый цервицит сопровождается густыми, гнойными выделениями, небольшим повышением температуры тела, болезненностью в поясничном отделе и нижней части живота, резью и жжением при мочеиспускании. Характерным признаком заболеванияявляютсякровянистыевыделения после полового акта, и нарушение менструального цикла.
Гонококковый вагинит проявляется гнойными выделениями бледно-желтого цвета, болезненным мочеиспусканием, болями в нижней части живота и боку. При половом акте ощущается сильная боль, менструальный цикл нарушен. Гинекологический осмотр сопровождается болями, так как слизистая оболочка влагалища становится отечной и красной.
Аноректальная гонорея возникает у женщин в силу определенного анатомического строения. У 40% пациентов какие-либо признаки наличия инфекции полностью отсутствуют. Остальные ощущают жжение и зуд в анальном проходе, болезненность при дефекации, и наблюдают гнойные выделения на кале.
Заболевание такого характера нельзя оставлять без внимания, так как при хронической форме развивается параректальный абсцесс.
При ежегодном посещении гинеколога, пациентка сдает бактериологический мазок на гонококки. У женщин расшифровка анализа включает 4 степени чистоты, отражающие состояние микрофлоры. Также присутствуют данные показателей на бактерии, дрожжевые грибки, состояние эпителия и лейкоциты.
Расшифровку показателей проводит лечащий гинеколог, который и определяет,требуется ли проведение медикаментозной терапии.
При наличии инфекции у одного партнера, лечение необходимо проводить обоим
Для лечения гонореи используются антибактериальные препараты, и медикаменты, помогающие укрепить иммунитет и восстановить нормальную микрофлору влагалища.
Курс лечения зависит от тяжести заболевания, и поскольку инфекция редко диагностируется на ранней стадии, лечение будет длительным и кропотливым для обоих партнеров.
Избежать опасного венерического заболевания можно только при соблюдении осторожности, касаемо выбора половых партнеров, не забывать о такой защите, как презерватив, и своевременно проходить обследование у гинеколога.
При наличии инфекции у одного партнера, лечение необходимо проводить обоим, а также необходимо обследовать остальных домочадцев, так как бактерия может передаваться через такие личные предметы, как полотенце, постельное белье.
Гонококки в мазке у женщин: что это значит, как проводится анализ?
При здоровом состоянии микрофлоры влагалища гонококки в мазке отсутствуют.
Многолетняя практика подтвердила, что мазок на флору является простым и достаточно информативным способом исследования.
По сути, это анализ, который берется как при симптомах тяжелого заболевания, так и в профилактических целях.
Если в мазке обнаружены гонококки, даже в единичном экземпляре, необходимо срочно начинать лечение.
Причины заражения
Болезни, которые передаются половым путем, представляют серьезную опасность здоровью человека.
Гонококки в мазке у женщин служат сигналом к тому, чтобы начинать соответствующее лечение, не откладывая в долгий ящик.
По данным многолетних наблюдений, количество людей, являющихся носителем гонококков, с каждым годом увеличивается.
Этот вид бактерий, относящийся к диплококкам, может длительный отрезок времени, когда мазок не берется, находиться во влагалище и не проявлять своего присутствие.
При этом его разрушительное влияние постепенно нарастает. Микрофлора влагалища меняется и уже не может выполнять свои защитные функции.
Чаще всего гонококки в мазке у женщины появляются после незащищенного полового акта.
Особенность гонококковой патологии заключается в том, симптомы заражения могут проявляться в некоторых случаях уже через 12 часов, но нередко женщина начинает чувствовать дискомфорт только через неделю.
Если поражению гонококком подвергается беременная женщина, то возрастает риск заражения ребенка при прохождении через родовые пути. Для новорожденного болезнь очень опасна.
Гонококки вызывают не только болезненные ощущения, но и отрицательно влияют на развитие малыша. Такие случаи встречаются редко, в основном у женщин, страдающих промискуитетом.
Признаки заражения
Гонорея, которая развивается вследствие патогенной деятельности гонококков, поражает не только органы мочеполовой системы.
Взятие мазка на флору помогает выявить патологический процесс, развивающийся во влагалище. Однако патогенные бактерии поражают и другие органы.
Заражение может произойти при оральном и анальном сексе. В первом случае заболевание развивается как воспалительный процесс, когда поражаются миндалины, и называется такое заболевание гонорейный тонзиллит.
Видео:
Нередко болевые ощущения в горле начинают лечить народными средствами, но мазок на гонококки не сдается. Ожидаемого результата подобное лечение не приносит.
Генитально-анальные контакты завершаются инфицированием прямой кишки. При такой форме инфицирования гонококки в мазке обнаруживаются случайно или после подробного анамнеза.
Специалисты различают следующие формы инфекционного поражения:
- острая гонококковая инфекция;
- поражение гонококками матки и придатков;
- рецидивные явления.
В первом случае поражению подвергается шейка матки, прямая кишка и уретра. Первым и характерным симптомом служат выделения из влагалища, ануса и мочеиспускательного канала, по консистенции похожие на сливки. Общее самочувствие женщины в таком состоянии не ухудшается.
Когда гонококки проникают в полость матки, а затем через маточные трубы и в придатки, самочувствие больной резко ухудшается: температура тела поднимается до 39 градусов, внизу живота возникают постоянные боли, качество сна заметно снижается, по утрам и в течение дня периодически появляется тошнота.
Специалисты классифицируют такое состояние как гонорейный эндометрит. При таких симптомах необходимо в срочном порядке обратиться в женскую консультацию и сдать мазок на гонококки.
Рецидивные явления появляются в том случае, когда лечение проводилось некачественно или не до конца. Если характерные симптомы вновь появятся через неделю-другую, то придется повторить курс лечения.
Диагностика заражения
В последние два десятилетия возможности для проведения диагностики патологий, которые передаются при половых контактах, существенно расширились.
При этом венерологи предпочитают пользоваться методами, которые подтвердили свою эффективность в течение длительного времени.
Когда женщина обращается к венерологу, то у нее, в числе других анализов, всегда берется вагинальный мазок на гонококки.
Если заболевание находится в острой фазе, то мазок берется без предварительной подготовки. Опытный специалист способен поставить точный диагноз ориентируясь на проявления характерных признаков.
На приеме венеролог составляет подробный анамнез. Это необходимо, чтобы выявить половых партнеров, с которыми больная поддерживала интимную связь. Согласно действующему правилу, лечить необходимо одновременно обоих партнеров, женщину и мужчину.
На основании анамнеза, кроме мазка, назначаются дополнительные анализы для выявления других заболеваний, передающихся через половые контакты.
В списке значатся сифилис, СПИД, трихомониаз, хламидиоз. На практике гонококки соседствуют с трихомонадами. Особенности такого рода необходимо учитывать при назначении курса лечения, иначе результат будет отрицательным.
Лечение и профилактика
После того как исследование мазка на гонококки завершено, венеролог определяет алгоритм лечения.
При этом специалисту необходимо учитывать следующие обстоятельства:
- общую картину патологии;
- особенности локализации гонококков;
- восприимчивость гонококков к препаратам определенной группы;
- наличие у пациента аллергии на лекарства.
На протяжении длительного отрезка времени гонококки эффективно уничтожались препаратами на основе пенициллина.
В текущий момент гонококки адаптировались к этим лекарствам. Положительный результат в лечении гонореи достигается при приеме препаратов из ряда фторхинолонов.
Следует подчеркнуть, что основным средством для устранения гонококков являются антибиотики. Когда патология перетекла в хроническую форму, лечение проводится комплексным методом.
В таких случаях выполняются инъекции внутримышечно в ягодицу и в мышечный слой шейки матки.
Дополнительно к уколам назначается местное лечение. Чаще всего это ванночки и раствор мирамистина, который вводится в уретру. Кроме того, яичники и придатки прогреваются УВЧ-излучением. По завершении лечения в обязательном порядке берется контрольный мазок на гонококки.
Лечащий врач после расшифровки мазка на гонококки предупреждает пациентку о том, что в период лечения строго запрещается употреблять спиртные напитки и пиво. От половых контактов тоже следует воздержаться до полного выздоровления и сдачи мазка на гонококки.
Многолетний опыт убедительно доказывает, что лучшей профилактикой венерических заболеваний являются моногамные отношения. Однако в реальности это условие соблюдается не всегда.
При незапланированных половых связях женщине рекомендуется применять свечи «Фарматекс» или «Гексикон», иметь при себе презервативы для партнера.
По данным медицинской статистики, гонококковый синдром считается самым распространенным венерическим заболеванием. Развитию данной патологии способствуют социальная обстановка и низкий уровень культуры населения.
Чтобы снизить риск заболевания, женщинам, у которых имеется более одного полового партнера, необходимо раз в шесть месяцев посещать смотровой кабинет и сдавать мазок на гонококки.
Важно запомнить, что в организме не вырабатывается защитная реакция на вторичное инфицирование: некоторые люди болеют гонореей по нескольку раз.