
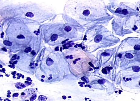
Гонококки в мазке
Существуют различные виды болезней, передающиеся половым путем (так называемые ЗППП). Одним из таких заболеваний является гонорея (или триппер). Болезнь передается в основном при вагинальном и анальном сексе. Иногда заражение происходит и оральным путем. Риску также подвержены дети, рожденные естественным путем, больной матерью. В бытовых условиях гонорея практически не передается.
Диагностика гонореи
Каждому человеку, который ведет половую жизнь, желательно обследоваться у врача хотя бы один раз в год, лучше чаще. На каждом профилактическом осмотре врач берет из гениталий мазок микрофлоры для исследования. Наличие гонококков в мазке на гонорею является сигналом о скрытом течении болезни, либо ее носительстве.
Продолжительность скрытого периода инфекции в среднем 3-10 дней. Часто болезнь протекает бессимптомно. Основными признаками гонореи являются:
- частые позывы к мочеиспусканию;
- жжение, боль при походе в туалет;
- желтовато-белые выделения из гениталий.
- иногда повышается температура тела, болит горло.
Взятие мазков на гонорею
В зависимости от половой принадлежности пациента, применяют разные техники взятия мазков на гонорею. Врач-гинеколог берет анализ на гонококки у женщин со слизистой влагалища, мазок из цервикального и мочеиспускательного каналов. После некоторое количество материала наносится на специальное стекло и передается в лабораторию для исследования. Данная процедура не проводится во время менструации.
Взятие мазка на гонорею у мужчин происходит только из уретры. Но такой анализ берут не из вытекающего гноя, а путем ввода в уретру специального зонда. Перед этим рекомендуется провести массаж мочеиспускательного канала, простаты.
Перед взятием мазков на гонорею, как женщины, так и мужчины должны прекратить прием антибиотиков, половые сношения, а за 1,5-2 часа до забора материала воздержаться от похода в туалет и гигиенических процедур.
Анализ мазка на гонококк Нейссера в лабораторных условиях
В лаборатории для диагностики гонореи используют чаще бактериоскопический и бактериологический виды исследования. Иногда применяют иммунофлюоресцентный, иммуноферментный, серологический методы. Новыми методами считаются ПЦР и ЛЦР.
Бактериоскопический анализ мазка на гонококки
При этом методе лабораторного анализа исследуемый материал окрашивают на предметном стекле. Чаще всего для этого используются 1%-ные растворы метиленового синего или леффлеровского синего. При окраске метиленовым синим прокрашенные гонококки выделяются среди светло-голубых клеток. Но голубоватый окрас имеет сугубо ориентировочное значение, потому что все кокки красятся в синий цвет.
Решающее заключение по результатам анализа дается на основании окраски материала по методу Грама. Данный метод заключается в том, что гонококки обесцвечиваются от воздействия спирта, а кокки, которые не относятся к роду нейссерий, остаются подкрашенными.
Бактериологический анализ мазка на гонококки
Этот метод анализа мазков на гонорею делают, если при бактериоскопии гонококки выявлены не были. Анализ проводится путем «посева» взятого материала в специальную среду. Активное размножение гонококковых микроорганизмов определят наличие заболевания.
Анализ мазка на гонококки расшифровывается следующим образом:
- положительный результат – в материале обнаружены гонококки Нейссера; считается положительным, когда наличие гиперемии с инфильтрацией превышает диаметр 5 мм;
- отрицательный результат – в образце не обнаружены ДНК гонококков Нейссера.
Отрицательным результат также может быть при некачественном заборе биоматериала.
Статьи по теме:
| Цитологическое исследование шейки матки
Каждой женщине раз в пятилетку положено проходить цитологическое исследование шейки матки. Этот анализ может спасти вам жизнь, вовремя заметив начинающийся рак. Но если у вас есть папилломы – проверяйтесь чаще! |
Во время гинекологического осмотра врач берет не только безболезненный мазок из влагалища, но и довольно чувствительный соскоб из уретры. Для чего нужен этот анализ и как к нему правильно подготовиться? |
|
Чтобы исследовать клетки матки на наличие атипии, проводят специальный анализ, который называется гистологией. Причем на гистологию могут сдавать не только выскобленный эндометрий, но и саму матку после операции по удалению. |
Моча может рассказать о человеческом организме много интересного. Кому, как ни ей, знать обо всем, что творится в мочевом пузыре? Какие же анализы нужно сдавать при цистите и на что обратить внимание при получении результатов? |
Мазок на гонококки у женщин
Главная » Мазок » Мазок на гонококки у женщин
Существует огромное количество болезней, которые передаются через половые отношения, это так называемые заболевания, передающиеся половым путем, сокращенно ЗППП. И среди многообразия всегда выделяется гонорея или как еще называют это заболевание – триппер.
Заболевание передается при незащищенном половом акте преимущественно во время вагинального или анального секса. Однако существует риск передачи и при оральном сексе. Важно понимать, что единственная действенная контрацепция в данном случае представляет собой барьерный тип, то есть презервативы. Другие виды контрацепции не защищают партнера.
Есть также случаи передачи гонореи от матери ребенку во время прохождения через родовые пути. Этот способ заражения называется вертикальным.
Важно! В бытовых условиях гонорея практически не передается, гонококк крайне слабо приспосабливается к условиям окружающей среды.
Диагностика заболевания
Диагностика ЗППП не должна игнорироваться человеком, который вступил в половую жизнь. Особенно это касается случаев, когда происходит частая смена половых партнеров или случайные связи, незащищенный секс. Именно поэтому врачи настоятельно рекомендуют минимум раз в течение года сдавать анализы на венерические заболевания.
Таким образом, мазок на гонококк является одним из самых распространенных анализов на венерические заболевания. Мазок берется из влагалища на каждом профилактическом осмотре у гинеколога. Помимо гонококка в мазке врач исследует всю микрофлору влагалища. Если в мазке на гонококк обнаружен возбудитель, это сигнал либо о скрытом течении заболевания, либо о том, что женщина является носителем болезни.
Симптомы гонореи
Скрытый период гонореи может продолжаться в среднем от 3 до 10 дней, при этом заболевание может вообще протекать бессимптомно. Тем не менее, обозначим основные признаки заболевания, которые должны стать своеобразным направлением на мазок:
- Учащаются позывы к мочеиспусканию, притчам их количество возрастает многократно.
- При мочеиспускании женщина чувствует жжение и болевое ощущения.
- Из влагалища появляются выделения желтовато-белого цвета.
- Иногда может быть повышение температуры.
В принципе, ни один из симптомов явно не указывает на гонорею, но все они точно говорят о венерическом заболевании, инфекции. Так что при наличии хотя бы одного признака, рекомендовано обратиться к врачу и сдать мазок на гонококк.
Как берется мазок
Мазок на гонококк можно взять как у женщины, так и у мужчины, поэтому техника забора биологического материала отличается.
У женщины мазок на гонококк берется гинекологом со слизистой оболочки влагалища. Кроме того, мазок может быть взят со стенок цервикального и мочеиспускательного каналов. После того, как биологический материал получен, некоторое его количества наносят на специальное стекло, и дальше отправляют в лабораторию. В лаборатории мазок исследуется под микроскопом. Отметим, что мазок не сдается во время менструального цикла, так как в этот период результаты будут н е корректными и малоинформативными.
Что касается мазка на гонококк у мужчины, то он может быть взят исключительно из уретры. Однако мазок не предполагает, что биологический материал будет получен из вытекающего гноя. Для получения необходимого мазка в уретру вводится специальный зонд, который и собирает биологический материал для анализа.
Перед тем, как брать мазок на гонококк у мужчины, проводится массаж простаты и мочеиспускательного канала.
Для получения информативного и корректного результата как женщине, так и мужчине необходимо соблюдать перед анализам основные рекомендации:
- Перед анализом обязательно прекращается прием антибиотиков. Если это невозможно сделать, то необходимо предупредить врача и обозначить препараты, которые принимаются.
- За сутки до мазка рекомендовано прекратить половые сношения любого характера.
- Минимум за полтора часа до мазка нельзя ходить в туалет и совершать гигиенических процедур, в противном случае нарушается микрофлора влагалища или уретры.
Как проходит анализ
В современных лабораториях для диагностики гонореи используются бактериоскопический и бактериологический виды исследования. Помимо этого, мазок может быть отправлен на:
- Иммунофлюоресцентный анализ.
- Иммуноферментный анализ.
- Серологический.
- На новые методы исследования, к примеру, ПЦР и ЛЦР.
При бактериоскопическом анализе мазок на стекле окрашивается в специальный раствор. Чаще всего для этих целей используются 1%-ные растворы метиленового синего или леффлеровского синего. Окрашивание дает возможность моментально различит в мазке гонококков. Однако при этом все кокки окрашиваются. И решающим заключением здесь является окраска по методу Грамма. Гонококки в этом методе под воздействием спирта обесцвечиваются.
При бактериологическом методе исследования для гонококков создается удобная для развития среда. Если в ней гонококки начинают активно размножаться, значит, тест можно считать положительным.
Анализ мазка всегда расшифровывается в двух направлениях: положительный – при наличие гонококка, и отрицательный.
ЧИТАЙТЕ ТАК ЖЕ
rodinkam.net
Гонококки у мужчин: что это такое в мазке, анализ мазок на исследование
Гонококки, у мужчин найденные в анализе на мазок – нередкое явление в наши дни. Микроорганизмы являются возбудителем такого заболевания, как гонорея.
Болезнь передается половым путем, занимает лидирующее место по сравнению с другими венерическими заболеваниями. В острой форме у мужчины проявляются выраженные симптомы, что заставляет немедленно обратиться за помощью к специалисту.
У женщин, напротив, часто симптомы отсутствуют, что позволяет ей не обращаться за медицинской помощью и заражать своих партнеров. Лечение бывает затруднительным из-за устойчивости микроорганизмов ко многим видам антибиотиков.
Бактерии имеют круглую форму с бугристой поверхностью. Располагаются парно. Скапливаются в лейкоцитах, где и погибают при захватывании. Их можно увидеть под микроскопом, при окрашивании специальным раствором.
Микроорганизмы не устойчивы к условиям окружающей среды, погибают при открытых солнечных лучах, нагревании и просушивании.
Причины развития заболевания у мужчин
Основной путь распространения гонококков – половой контакт. Однако встречаются случаи заражения через предметы общего пользования, но это чаще всего бывает в детском возрасте.
Отдельные виды штаммов имеют способность к выработке специального фермента, который разрушает действие антибиотиков. Поэтому в некоторых случаях лечение может затянуться. Определить наличие паразитов возможно, сделав мазок на гонококки у мужчин.
Встречаются редкие формы заболевания:
- При гонококковом перигепатите поражаются ткани печени. У пациента наблюдается тошнота, рвота, температура тела повышается. Это заболевание легко спутать с другими болезнями печени;
- Микроорганизмы вызывают фарингит, который может вовсе не сопровождаться какими-либо симптомами или же проявляются типичные симптомы характерные для этого недуга;
- Поражение глаз. Болезнь вызывает несоблюдение основных правил личной гигиены. Глаза отекают, выделяется гной, при свете появляется резь. Чаще всего инфекция попадает в глаза через загрязненные руки;
- При гонококковом проктите появляются слизистые выделения с кровью из анального отверстия. Могут появляться ложные позывы к дефекации. При затяжном течении у пациента появляется резкая боль и зуд в области прямой кишки;
- При проникновении бактерий в кровь у человека начинают опухать суставы, резко повышается температура тела. Изменениям подвергаются кожные покровы, на которых возникают гнойничковые воспаления;
- При гонококковом артрите воспалению подвергаются суставы. Сильный отек сопровождается покраснением кожи вокруг, жжением в пораженной области. На коже может не наблюдаться высыпаний.
Опасность таких проявлений в том, что симптомы схожи со многими другими заболеваниями невенерического характера, это может значительно затруднить диагностику.
Как проявляется
Инкубационный период заболевания длиться от 3 до 7 дней, после инфицирования. При повышенной сопротивляемости к различным инфекциям первые симптомы могут проявиться лишь на 2 неделю.
Болезнь может протекать в острой или хронической форме. Симптомы воспаления в острой форме:
- гнойные и слизистые выделения;
- при мочеиспускании появляется боль и жжение;
- увеличением количества мочеиспусканий за сутки.
При несвоевременной медицинской помощи воспаление распространяется на придатки яичек.
Происходит увеличение размеров яичек, появляются лихорадочные приступы и сильная боль в области мошонки. Приблизительно через месяц воспаление либо идет на спад, либо переходит в хроническую форму. Также имеется риск омертвения придатков.
В хронической форме симптомы могут быть не выраженными, поэтому пациент может долгое время не посещать специалиста, даже не подозревать, что такое гонококки у мужчин. Это крайне опасно за счет риска развития осложнений.
Если болезнь остается без лечения, то со временем воспалительным процессам подвергаются мочевой пузырь и почки.
Головка полового члена воспаляется, сужается уретральный канал. Нередким явлением является воспаление семенных пузырьков, которое называют везикулитом.
Симптомы при остром везикулите:
- повышенная температура тела;
- при мочеиспускании и дефекации возникает тупая боль;
- утомляемость и озноб;
- головные боли;
- эрекции в ночное время;
- выделение крови со спермой.
При остром воспалительном процессе сразу 2 яичек мужчина может с трудом передвигаться или же это бывает невозможно. Иногда такие осложнения вызывают необратимые изменения, что приводит к импотенции и бесплодию.
Методы диагностики
Для постановки точного диагноза недостаточно проявления симптомов, для этого проводят микробиологические исследования. Потому, что эти признаки схожи с другими заболеваниями, которые передаются через половые контакты.
С помощью бактериоскопического метода можно под микроскопом определить наличие микроорганизмов. Бактериологическим методом выявляют чувствительность паразитов к различным антибактериальным препаратам.
В лаборатории проводят следующие исследования:
- мазок со слизистой оболочки;
- выявление ДНК возбудителя;
- бактериологического посева;
- определение антител.
Гонококки в мазке у мужчин изменяют количество лейкоцитов.
Метод исследования ПЦР является наиболее точным и дешевым. Только после проведения этого исследования можно наверняка судить о наличии возбудителя.
Мазок помещается в питательную среду, результаты будут известны уже через 5-7 дней. Для определения антител необходим анализ крови.
Расшифровка анализов
Положительный результат при исследовании мазка, когда гонококки обнаруживаются:
- Повышенное количество лейкоцитов, 10 – наличие воспалительного процесса, от 10 до 20 – острое гнойное воспаление;
- При окраске по Гамму присутствуют микроорганизмы;
- Наличие слизи, изменение лейкоцитов, больше 1 +, считают признаком воспалительного процесса;
- Присутствие в большом количестве клеток эпителий.
Результаты посева на гонококк:
- Наличие роста микроорганизмов;
- Найден возбудитель гонококка.
Анализ на гонококки у мужчин в обязательном порядке требует расшифровки квалифицированного специалиста.
Заключение
Чтобы избежать заражения необходимо во время секса с малознакомой партнершей использовать презервативы. Соблюдать все необходимые правила личной гигиены, регулярно мыть руки после нахождения в общественном месте.
Кроме того, как минимум 2 раза за год необходимо проходить обследования, чтобы выявить возможные заболевания на ранней стадии. Мужчинам с беспорядочной половой жизнью желательно проводить обследование каждый месяц.
101parazit.com
Симптомы и лечение гонококковой инфекции
Гонококковая инфекция – это заболевание инфекционного характера, которое чаще всего передается во время половой связи от зараженного человека здоровому. Гонококковая среда поражает мочеполовую систему, а затем проявляется в виде множества других вторичных симптомов. Возникшее заболевание называется гонорея или триппер.
Если у пациента диагностируют заражение гонококками, то ему требуется безотлагательное лечение.
Возбудитель заболевания
Микроорганизмы, которые вызывают инфекцию, — это гонококки Нейсера (neisseria gonorrhoeae). Если посмотреть на них под увеличением, то они имеют форму бобов, сложенных рядом вогнутыми сторонами внутрь. Во внешней среде бактерия быстро погибает, а вот в человеческом организме может находиться достаточно долгое время.
Все дело в том, что они окружены особой защитной капсулой, которая не дает взаимодействовать с иммуноглобулином человека. Длительность лечения объясняется еще и тем, что кокки и гонококки производят бета-лактамазу, нейтрализующую действие большинства современных антибиотиков.
Попавшие в организм гонококки «обитают» внутри клеток, а именно, в лейкоцитах. Вероятность инфицирования для женщин составляет 50-70%. Этот показатель повышается до 90% в том случае, если постоянный сексуальный партнер женщины инфицирован триппером. Мужчина, имевший несколько контактов с больной партнершей, имеет риск заражения до 80%.
Этиология
В медицине известно несколько путей попадания гонококковых бактерий в организм пациента. Самый первый – это незащищенный или случайный половой контакт с зараженным человеком. Инфицирование возможно при любом акте: анальном, оральном или вагинальном.
Следующий способ передачи – этот заражение ребенка, который во время родов проходит путь через половые органы матери, имеющей триппер. Микроорганизмы с большой долей вероятности попадут в организм новорожденного.
Инфицирование возможно и в бытовых условиях (через предметы гигиены, полотенца, грязное белье). Но в медицине такие случаи фиксируются довольно редко.
Симптоматика у мужчин
Симптоматика гонореи у мужчин следующая:
Если слегка надавить на головку, то из уретрального канала выделится небольшое количество гноя. Если гонококковый возбудитель доходит до задней части уретры, то мочеиспускания становятся частыми, во время них пациент ощущает боль. При окончании мочеиспускательного процесса возможны кровяные выделения. Вторичным симптомом является воспаление лимфатических узлов в паховой области, они укрупняются и воспаляются.
Гонококки — это болезнетворные микроорганизмы, заражение которыми требует немедленного лечения. Если вовремя не обратиться в больницу, то воспалительный процесс перекинется на мочеиспускательный канал, простату, семенные железы и яички.
Симптоматика у женщин
Основные признаки наличия инфекции – это обширное поражение матки и ее шейки, уретры, влагалища. Симптомы зависят от того, как сильно затронуло женские органы заболевание. Воспаление в уретре приводит к частому мочеиспусканию, сопровождающемуся болезненными ощущениями. Если воспалилась шейка матки и ткани влагалища, то характерны выделения с гноем, тянущая боль в нижней части живота. При оседании инфекции на наружных половых органах развивается вульвит.
Опасность данного заболевания у женщин состоит в том, что у 50% пациенток начальная его стадия протекает бессимптомно. Женщина не чувствует дискомфорта, но при этом является носителем инфекции и нуждается в медицинском лечении. Гонорея переходит в запущенную стадию, вызывая поражение маточных труб, яичников. В будущем это может спровоцировать внематочную беременность, сложные роды или даже бесплодие.
Диагностика
Исследования, которые на сегодняшний день применяют гинекологи, следующие:
- Сбор анамнеза пациента. Чтобы составить общую картину здоровья человека, врач должен знать наличие хронических заболеваний в половой системе, бесплодия, патологий, которые возникали во время беременности, если таковая имела место, состояние мочеполовых органов постоянного партнера.
- Визуальный осмотр наружной части гениталий. С его помощью можно выявить воспалительный процесс, отечность или гиперемию слизистой уретры, патологический характер выделений.
- Осмотр на кресле с использованием специального зеркала. Таким образом, выявляются воспаления в матке, влагалище, нетипичные выделения.
- Гинекологическое обследование бимануального характера на наличие воспаления придатков и матки.
Лабораторный анализ будет назначен врачом в случае наличия у пациента таких показаний:
- диагноз бесплодие.
- патологическое протекание беременности, невынашивание или самопроизвольные аборты.
- наличие урогенитальных инфекций острого или хронического характера.
- обнаружение урогенитальных заболеваний у полового партнера.
Если есть подозрение на гонорею, то следует выполнить все этапы диагностики:
Для выявления гонореи чаще всего используется подробный анализ выделений, собранных из уретры (мазок на гонококк). Вероятность обнаружить гонококки в мазке у мужчин составляет около 90%. Гонококки в мазке у женщин определяются всего лишь в 60% случаев. Поэтому одного только такого исследования недостаточно. Параллельно выполняются другие, более точные методы диагностики.
Мазок, взятый из половых органов, бывает бактериологическим и бактериоскопическим. Анализ бактериоскопического типа выполняется путем окрашивания мазка химическим раствором метиленового синего. Происходит быстрая реакция, в ходе которой на лабораторном стекле четко видны окрашенные гонококки, выделяющиеся на фоне других клеток.
С 95-100% точностью гонорею у женщин диагностируют посредством посева выделений. Забор биоматериала осуществляют из мочеиспускательного канала, влагалища, ротовой полости (глотки), прямой кишки, шейки матки. Чтобы получить достоверный результат, достаточно минимального количества материала. Длится такое исследование до 7 дней. С помощью анализа посева секрета из влагалища также можно установить чувствительность внутренней микрофлоры к различным антибиотикам. Это очень важно для последующего лечения гонококковой инфекции.
Расшифровка анализа
Существует только два варианта результата:
- положительный – в исследованном материале найдены гонококки;
- отрицательный – расшифровка исследования на гонококк полностью исключает наличие гонококков Нейссера.
Нужно учитывать тот фактор, что отрицательный показатель может быть результатом неправильного забора материала или неквалифицированного выполнения микроисследования. Ложный ответ возможен, если пациент в текущем месяце проходил курс антибиотикотерапии.
Лечение
Лечение гонококковой инфекции – длительный процесс, который состоит из комплекса врачебных предписаний. Вначале заболевание устраняли с помощью пенициллинсодержащих лекарств. Но современные штаммы гонореи приобрели устойчивость к этому компоненту. Схемы лечения изменились. Теперь инфекция лечится препаратами тетрациклиновой группы, макролидами, фторхинолонами. Антибиотикотерапия выполняется по схеме, которую каждому пациенту врач назначает индивидуально. Ни в коем случае нельзя заниматься самолечением или превышать установленные дозировки.
Если у человека выявлен хронический триппер, то целесообразно сделать инъекцию гонококковой вакцины. Вакцинация является эффективным вспомогательным средством при осуществлении лечебной терапии. Ее назначают пациентам возрастом от 3 лет. Если все остальные виды терапии не дали результата, то последней рекомендацией врача станет данная вакцинация.
Для повышения защитных сил организма пациентам выписывают лечение биостимуляторами, иммуномодулирующими средствами, ванночки со слабым раствором мирамистина.
В период лечения больному строго запрещены сексуальные отношения, употребление алкогольных напитков. Желательно в период острой фазы соблюдать постельный режим.
Профилактика
Единственной профилактической мерой является исключение случайных сексуальных контактов. Если у вас появился новый партнер, то обязательно используйте барьерную контрацепцию. После интимного акта тщательно обработайте половые органы мылом и теплой водой.
brulant.ru
Гонококки в мазке
Диагностика гонореи
- частые позывы к мочеиспусканию;
- жжение, боль при походе в туалет;
- желтовато-белые выделения из гениталий.
- иногда повышается температура тела, болит горло.
Взятие мазков на гонорею
Анализ мазка на гонококк Нейссера в лабораторных условиях
Бактериоскопический анализ мазка на гонококки
Бактериологический анализ мазка на гонококки
- положительный результат – в материале обнаружены гонококки Нейссера; считается положительным, когда наличие гиперемии с инфильтрацией превышает диаметр 5 мм;
- отрицательный результат – в образце не обнаружены ДНК гонококков Нейссера.
Статьи по теме:
| Цитологическое исследование шейки матки | |
womanadvice.ru
Гонококки в мазке у женщин, терапия по устранению паразитов.
ЗППП – одна из причины, по которой женщинам следует сдавать мазок у гинеколога. Сдается он при помощи ватной палочки, после чего врач может определить наличие патогенных бактерий, в том числе гонококков.
Гонококки: что это такое?
Данные организмы представляют собой микроскопических паразитов, поражающих слизистую вагины. По форме они напоминают бобы. После внедрения в стенки тканей происходит выработка гноя, которые выходит вместе с естественной смазкой половых органов. Гонококки не могут жить во внешней среде, но после выхода наружу вместе с гноем они еще в течение часа могут поражать здоровые клетки. Это стоит учитывать в период лечения и сразу стирать нижнее белье, добавляя специальные обеззараживающие растворы.
Паразиты не могут выносить высоких температур. Чтобы паразиты начали погибать достаточно воздействовать на них +37 градусами тепла. Через 3-6 часов от гонококков уже не останется следа. Но так как такое лечение не может быть проведено живому человеку, специалисты разработали другие более эффективные и безопасные методы терапии.
Норма гонококков в мазке у женщины
У здоровой женщины данных бактерий не должно быть вообще обнаружено в слизистой среде влагалища, шейки матки и цервикального канала.
Если в забранном материале будет найден даже один бобовообразный паразит, стоит срочно начинать терапию по устранению гонореи. При отсутствии терапии болезнь может долгое время протекать бессимптомно, после чего перейдет в стадию хронической инфекции. После этого при малейшем снижении иммунитета болезнь будет вновь себя проявлять и подавлять здоровую среду организма.
Паразиты при беременности
Обнаружение гонококков в мазке беременной женщины очень опасно из-за их мгновенного распространения. Это связано с повышенным кровообращением в области малого таза и половых органов. Заражение болезнью в первые 12 недель грозит выкидышем из-за разрастающегося эндометрия и гнойных новообразований, которые просто вытеснят плодовое яйцо.
При заражении болезнью во второй и третий триместр стоит ожидать серьезных проблем во время родов и после них.
Гонококки вызывают раннее отхождение вод, способны заразить ребенка внутри околоплодной оболочки, а также во время прохождения плода по родовым путям. Дополнительно у будущего малыша могут развиться серьезные внутриутробные патологии.
Именно они являются самым страшным последствием гонореи у беременных. После рождения у ребенка может развиться сепсис, который поставит под угрозу жизнь новорожденного. Если же не произошло заражения данным типом, паразиты попадут в слизистую глаза и ушей. Это спровоцирует отит и конъюнктивит, который потребует сложного и долгого лечения.
Симптомы и проявление гонореи
Обычно на начальной стадии гонорея протекает абсолютно бессимптомно. Но постепенно женщина может заметить за собой несколько болезненных проявлений:
- постоянные боли внизу живота, которые могут быть немного сильнее менструальных и напоминать по характеру ноющие;
- дискомфорт при мочеиспускании, который может сопровождаться также болевыми ощущениями и резями, особенно усиливаются при первом мочеиспускании после ночи;
- периодически могутвозникать кровотечения с примесями гноя, не относящиеся к менструациям;
- появляются слизистые выделения желтоватого оттенка, что также может сопровождаться сильным зудом и покраснением влагалища и области вокруг него.
Важно не спутать данные симптомы с молочницей или нарушением гормонального фона. Из-за самостоятельного лечения симптоматики при помощи народных средств увеличивается вероятность заражения партнера, а также близких, если не соблюдать элементарные правила личной гигиены.
Причины и способы заражения
Заражением опасными паразитами может произойти по нескольким причинам:
- незащищенный половой акт, при котором гнойные выделения с гонококком попадают на слизистую влагалища и закрепляются в ней;
- при прохождении через родовые пути, когда гонококки проникают на слизистые глаз и в ушные отверстия;
- внутриутробно от больной матери ребенку;
- редко бытовым путем, когда гонококки остались на предметах после полового акта или процесса мочеиспускания.
Расшифровка результатов мазка
При расшифровке анализа из слизистой влагалища, цервикального канала и шейки матки стоит также обращать внимание на уровень лейкоцитов, плоского эпителия и слизи. Как только начинают возрастать все показатели, такой анализ говорит о недостаточной степени чистоты влагалища. На этом фоне у женщины может развиваться не только гонококковая инфекция, но и влагалищный дисбактериоз.
Чем выше количество гонококков, тем опаснее болезнь. Именно по числу паразитов определяется степень и тип гонореи и назначается лечение.
Лечение гонореи
Чаще всего гонорея поражает организм в одно время с хламидиями. Из-за этого врач назначает два препарата. Один должен убивать кокки, второй – хламидии. Отлично подойдут при прохождении терапии такие лекарственные препараты, как Цефиксим, Ципрофлоксацин, Офлоксацин, Супракс, Флоксал и другие. Поддерживающее лечение проводится при помощи Азитромицина и Апо-Докси, которые закрепляют воздействие противогонококковых средств и устраняют хламидии.
Если гонорея носит сложный и хронический характер, стоит дополнительно применять препараты для повышения иммунитета, сопротивляемости организма, одновременное комбинированное лечение несколькими антибиотиками. Иногда требуется стационарная терапия, которая окажет более действенный эффект.
Несмотря на то, что мазок помогает вовремя заметить развитие болезни, а своевременное лечение дает результат, лучшей профилактикой гонореи станет защищенный секс.
загрузка…
Гонококки в мазке
Гонорея является инфекционным заболеванием.
Оно характеризуется гнойным процессом в уретре (мочеиспускательном канале), а также преимущественно половым механизмом передачи.
Это заболевание относится к группе ЗППП – заболевания, передающиеся половым путем.
Инфекция имеет характерные проявления в виде гнойных выделений из уретры.
Для подтверждения наличия возбудителя проводится лабораторное исследование мазка из уретры на гонококки.
Особенности возбудителя гонореи
Развитие специфического воспалительного процесса урогенитального тракта гонореи вызывает бактерии.
Они относятся к роду Нейссера – Neisseriagonorrhoeae или гонококки.
Эти микроорганизмы имеют характерную форму в виде бобов.
При микроскопии мазка обращает на себя внимание их попарное расположение (диплококки) преимущественно внутри клеток иммунной системы нейтрофилов.
В окружающей среде гонококки неустойчивы.
Они быстро погибают под воздействием высушивания, солнечного света и растворов дезинфицирующих средств.
Поэтому основным механизмом заражения является прямой контакт слизистых оболочек урогенитального тракта во время незащищенного секса.
Знание формы, размера и расположения гонококков помогает в лабораторной диагностике гонореи при микроскопии мазка из урогенитального тракта.
Гонококки в мазке: причины
Анализ мазка на гонококк Нейссера нужно сдавать при воспалительном процессе прямой кишки, конъюнктивы или уретры.
Гонококк достаточно часто становится причиной бесплодия среди молодых людей.
У мужчин возможно появление эпидидимита.
Новорождённые дети заражаются гонококком в процессе родов.
Происходит это во время прохождения по родовым путям, от больной матери к плоду.
При этом возбудитель гонореи поражает, как правило, орган зрения.
В группе риска находятся лица, которые ведут активную половую жизнь.
При несоблюдении правил личной гигиены не исключено заражение половой инфекцией.
После того как произошло заражение, первый видимый признак появляется через 5-10 дней.
Взятие мазка на гонококк
Взятие мазка на гонорею проводится в условиях манипуляционного кабинета.
Такой мазок на гонококки у мужчин берется при помощи введения в уретру специального зонда.
У женщин мазок берется из нескольких точек, а именно: со слизистой оболочки канала шейки матки, влагалища и уретры.
Перед проведением этой процедуры желательно воздержаться от половых контактов.
А также применения локальных антисептиков, системных антибиотиков, которые уничтожают микроорганизмы.