
МРТ сосудов головного мозга: информативный метод диагностики
Хронические заболевания и последствия острых критических состояний, которые развились на фоне патологических изменений в сосудах – распространенные причины регулярного наблюдения у невролога. Сосудистые патологии занимают лидирующие позиции в структуре органических патологий ЦНС – 17% всех заболеваний. На сегодняшний день наиболее информативным и безопасным методом визуализации структуры головного мозга признана магнитно-резонансная томография (МРТ). К МРТ сосудов головы прибегают не только для подтверждения диагноза при подозрениях на поражения сосудов, но и в качестве оценки эффективности проводимой терапии для внесения соответствующих корректировок. Благодаря МРТ удается определить анатомические особенности строения кровеносных сосудов, наличие аномальных изменений вен, артерий и капилляров, локализацию очага поражения, объемы мозгового кровотока и степень его нарушения.
МР-ангиография сосудов головного мозга
МР-ангиография – эффективный способ исследования сосудов
МРТ артерий головного мозга методом ангиографии позволяет получать визуальные данные о состоянии сосудов без применения контрастных веществ. В некоторых тяжелых случаях с сомнительным диагнозом для четкой визуализации вен и артерий используют специальные контрастные средства с намагничивающимся компонентом.
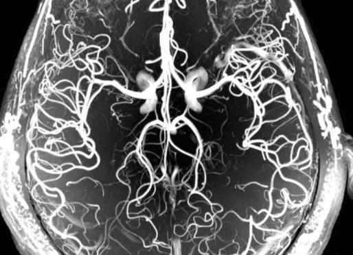
Диагностический метод основывается на том, что выдаваемые томографом сигналы от крови в сосуде и окружающих его неподвижных тканях – различаются. Благодаря магнитно-резонансной ангиографии врач получает трехмерное изображение кровеносных сосудов в проекциях: фронтальной, аксиальной, саггитальной.
Достоинство метода: наличие широкого спектра программ, что позволяет специалисту выбрать подходящий вариант обследования вен и артерий.
В зависимости от последовательностей импульсной передачи выделяют технологии МР-ангиографии:
- время-пролетная – режим «градиентное эхо»;
- фазово-контрастная;
- 4D.
Дифференцируют виды диагностики исходя из объекта исследования:
- артерии и вены головного мозга;
- артерии шеи.
Сфера применения
Важное значение имеет проведение МРТ для диагностики гидроцефалии (избыточного скопления цереброспинальной жидкости в полости черепа) у новорожденных, детей других возрастных периодов и взрослых. Результаты обследования позволяют точно установить степень прогрессирующей патологии, а также визуально выявить наличие церебральных мальформаций – аномального переплетения вен и артерий мозга. При клинических симптомах нормотензивной гидроцефалии: постепенном развитии нарушений ходьбы, недержании мочи, деменции, МРТ показывает расширение сегментов желудочковой системы, деформацию ветвей артерий, изменение плотности вещества мозга.
При эпилептических припадках рекомендуется незамедлительно прибегнуть к томографии для установления провоцирующего фактора, например, опухоли. Показания к исследованию: рассеянный склероз и болезнь Альцгеймера.
При подозрении на опухоли мозга и иных структур черепной коробки для установления диагноза прибегают к проведению МРТ. Первичная цель диагностических мероприятий: дифференцировать вид опухоли, что позволяет сделать достоверный прогноз и избрать подходящую программу терапии. Получаемые результаты дают возможность нейрохирургам судить о локализации опухоли и ее структурных особенностях. На изображении хорошо отслеживаются сегменты сосудистой системы: вены, артерии, капилляры, а также ликворные пространства. В случае использования методов лучевого воздействия, в частности: облучения широкими гамма-пучками, томография показывает вероятность лучевых поражений мозга. Задача врача – постоянно контролировать состояние пациента имеющего опухоль мозга, и в качестве приоритетного метода диагностического обследования рекомендовать проведение томографии.
Показания к магнитно-резонансному обследованию — это наличие симптомов инфекционных и дегенеративных поражений мозга. Абсцесс диагностируется при наличии сформированной тонкой капсулы, которая выглядит как объемный участок круглой формы с гладкими четкими контура. При обследовании в режиме Т2 о наличии абсцесса информирует повышение сигнала в зоне гнойного очага. Путем МРТ можно опровергнуть или подтвердить развитие:
- менингита;
- эмпиемы;
- туберкулезной инфекции;
- вирусных энцефалитов;
- паразитарных поражений.
Диагностика нарушения кровообращения
Показания к МРТ – разнообразные нарушения кровообращения в головном мозге:
Острое нарушение мозгового кровообращения
- внутримозговое кровоизлияние по типу геморрагического пропитывания или гематомы;
- кровоизлияние в субарахноидальное пространство;
- эпидуральные и субдуральные гематомы неустановленного генеза;
- гипертензивная форма энцефалопатии;
- тромбоз венозной системы негнойного характера;
- дисциркуляторная энцефалопатия;
- деменция сосудистого типа.
Результаты МРТ указывают на дистрофические поражения при различных формах метаболических энцефалопатий: печеночной, уремической, диабетической, панкреатической. Рекомендуют также провести МР-ангиографию пациентам детского и подросткового возраста при подозрении на острые нарушения мозгового кровотока.
Результаты МРТ вен и артерий мозга при нарушениях кровоснабжения
Ишемический инсульт требует обязательного подтверждения диагноза путем обследования на томографе вен и артерий, так как без таких данных вероятность врачебной ошибки превышает 5%. МРТ дает информацию, позволяющую дифференцировать ишемический инсульт от кровоизлияния в мозг, опухолей, черепно-мозговых травм, рассеянного склероза, дисметаболических и токсических энцефалопатий. При МР-томографии удается выявить даже небольшие по размерам очаги поражения, локализированные в мозговом стволе. Путем МР-ангиографии можно определить редкие формы инсульта, спровоцированные расслоением артерий, сужением или расширением их просвета, стенозом и тромбозом вен, надрывом внутренней оболочки.
Показания к исследованию также: все случаи транзиторных ишемических атак для исключения иных вероятных причин, спровоцировавших неврологические нарушения. У большинства пациентов с транзиторными ишемическими атаками не определяются очаговые изменения мозга.
Ведущий метод исследования при симптомах кровоизлияния в мозг в остром периоде (по истечении одних суток) – магнитно-резонансная томография. МРТ-ангиография дает возможность обнаружить причину кровоизлияния, например: артериовенозную мальформацию. При стандартном обследовании об артериовенозных мальформациях информирует наличие компактного участка неоднородного изменения сигнала. Врач может визуализировать не только поврежденные артерии, но и определить площадь ишемии, зону атрофии и наличие кровоизлияния. При геморрагическом инсульте томограф показывает типичные признаки резорбции гематом – образование кист.
Субарахноидальное кровоизлияние
Для диагностики аневризм головного мозга в остром периоде субарахноидального кровоизлияния предпочтительна МР-ангиография, которая благодаря своей неинвазивности, высокой разрешающей способности, трехмерной проекции дает качественную картину сосудов головного мозга и позволяет определить источник проблемы.
Заключение
Благодаря магнитно-резонансной томографии возможна постановка точного диагноза в начальной фазе патологии, что важно для своевременной разработки адекватной и комплексной терапевтической стратегии.
МРТ сосудов
МРТ сосудов, или магниторезонансная томография, относится к новым методам диагностики, используемым во всем мире. Процедура имеет массу преимуществ перед рентгенологическим обследованием и компьютерной томографией. В статье рассмотрим, что такое магниторезонансная томография сосудов, в чем суть метода, основные показания и противопоказания процедуры, а также стоимость обследования.
Что такое МРТ
Магниторезонансная томография – это метод исследования, при котором используется специальное оборудование, помогающее получить томографические медицинские изображения, на которых можно увидеть состояние внутренних органов и тканей человека. В основе метода лежит электромагнитный отклик атомных ядер, чаще водородных. Отклик удается получить методом возбуждения этих ядер определенным сочетанием электромагнитных волн.
Во время проведения МРТ сосудов аппарат синтезирует определенное сочетание электрических волн, которые провоцируют вибрацию ядер водорода, располагающихся в молекулах воды человеческого тела. Это явление называют ядерным магнитным резонансом. При этом на мониторе аппарата врач может довольно точно рассмотреть многие внутренние органы и ткани. Главное преимущество методики в том, что во время ее проведения не происходит вредных излучений, как, например, при рентгене. Кроме этого, МРТ проводят для обследования внутренних органов и тканей, если у пациента имеются противопоказания к эндоскопии.
Что можно увидеть во время исследования
МРТ артерий и сосудов назначают пациентам для выявления различных патологий. Методика помогает получить важные сведения, необходимые для правильной постановки диагноза и выбора соответствующего лечения.
Магниторезонансная томография позволяет:
- выявить заболевания, связанные с острым нарушением тока крови в области спинного и головного мозга;
- дать оценку процессу передвижения крови по артериям, венам и капиллярам через ткани головного мозга и других органов;
- диагностировать метаболические сбои;
- получить визуальное представление о состоянии сосудов головного, спинного мозга, верхних, нижних конечностей и других частей тела;
- картировать изображение правого и левого полушарий головного мозга;
- выявить степень нестабильности позвоночного столба.
С помощью МРТ удается дать оценку даже самым мелким сосудам и капиллярам Важно! В отличие от рентгена, магниторезонансную томографию некоторым пациентам назначают несколько раз в год. Если больной не имеет противопоказаний, процедура не приносит вреда человеку.
Какие сосуды можно обследовать
С помощью магниторезонансной томографии удается обследовать любой участок тела. Методика подразумевает следующие виды диагностики:
- обследование сердечной мышцы и коронарных сосудов. Эта процедура применяется при таких патологиях, как атеросклероз, аневризма сосудов, стеноз, различные пороки сердца, васкулит;
- МРТ сосудов, расположенных в области позвоночного столба. Методика позволяет оценить состояние вен и артерий грудного, пояснично-крестцового отдела, области копчика;
- исследование сосудов шеи. Этот вид диагностики применяется довольно часто, ведь именно в шейном отделе находится скопление вен и артерий, которые напрямую связаны с головным мозгом;
- визуальная оценка сосудов головного мозга;
- МРТ- венография и ангиография – визуальная оценка сосудов любой локализации.
Для получения более точной информации во время процедуры используется специальное контрастное вещество, которое вводят пациенту непосредственно перед сеансом. Этот способ помогает оценить состояние даже самых мелких капилляров. Особенно информативен этот метод при различных новообразованиях. В других случаях МРТ артерий проводится без контрастного вещества.
Магниторезонансная томография помогает обследовать артерии, вены и капилляры всего тела
Показания к использованию контрастного вещества
Контрастное вещество врачи используют для достижения следующих целей:
- оценки состояния позвоночного столба после иссечения грыж и протрузий;
- для подтверждения доброкачественного образования в головном мозге;
- для диагностики онкологических образований в области позвоночника и головного мозга;
- для оценивания состояния тканей после проведения оперативного вмешательства;
- с целью диагностики метастазов в спинном, головном мозге.
МРТ артерий с использованием контрастного вещества – это информативная методика, позволяющая четко визуализировать состояние артерий, вен и капилляров всего тела.
Показания
МРТ артерий проводится пациентам с такими состояниями:
- кровоизлияния, спровоцированные травмами шеи и головы;
- диффузное дистрофическое поражение тканей головного мозга (энцефалопатия), обусловленное гипертонией, инфекционными заболеваниями, токсическими и химическими отравлениями, гиповитаминозами, сахарным диабетом;
- ишемический или геморрагический инсульт;
- новообразования сосудов;
- тромбоз, атеросклероз и прочие состояния, ведущие к нарушению кровообращения в головном мозге;
- болезнь Бинсвангера, Паркинсона или Альцгеймера.
Технику МРТ используют при самых различных патологиях
Помимо прямых показаний к проведению, поводом для использования МРТ артерий могут стать такие жалобы пациента:
- частые обмороки, головные боли, головокружения;
- частое повышение или снижение артериального давления;
- снижение слуха и зрения;
- рвота, головная боль, помутнение сознания и прочие проявления, указывающие на тромбоз мозгового синуса;
- приступы эпилепсии;
- мигрень.
Важно! Решение о назначении процедуры принимает врач, основываясь на истории болезни, жалобах пациента и данных, полученных при других исследованиях.
Подготовка к процедуре
При проведении магниторезонансной томографии сосудов без использования контрастного вещества специальной подготовки не требуется. Перед процедурой врач обязан объяснить человеку, что его ждет и как будет проходить обследование. Пациент, в свою очередь, должен сообщить доктору, если есть беременность, клаустрофобия и другие противопоказания. В день процедуры следует придерживаться определенных правил:
А еще советуем прочитать:Как проверить сосуды головы
- взять с собой удобную обувь и одежду, на которой нет металлических элементов (молний, заклепок, прочего);
- женщинам нельзя пользоваться косметикой, ведь в состав некоторых средств могут входить вещества, которые способны исказить результат обследования;
- перед проведением магниторезонансной томографии нужно снять часы, очки, ювелирные изделия, зубной протез и другие металлические изделия.
Если для диагностики используется контрастное вещество, перед процедурой обязательно проводится тест на чувствительность к применяемому препарату. Для проведения МРТ больному необходимо явиться в больницу в назначенный день. Перед этим нельзя есть и пить. Контрастное вещество вводится через вену, после чего выполняется томография.
Во время томографии врач инструктирует больного о необходимом поведении внутри камеры
Этапы проведения
Сканирование сосудов проводится в специальном кабинете с необходимым оборудованием. Методика выполняется в несколько этапов:
- Больной ложится на специальный стол, врач застегивает ремни, объясняет правила нахождения в аппарате. После этого стол задвигается в камеру МРТ.
- Во время обследования врач находится в соседней комнате, но человек может разговаривать с ним через специальный микрофон.
- Если во время сканирования у больного возникает ощущение дискомфорта, он может воспользоваться специальной кнопкой вызова медицинского персонала.
- При проведении томографии человек не должен двигаться. Общая длительность сеанса обычно составляет от 15 до 40 минут. При сложности постановки диагноза требуется 1,5 часа.
- После окончания обследования врач выдвигает стол с пациентом из установки, расстегивает фиксирующие ремни, помогает больному встать.
Специалист должен обязательно поинтересоваться, как самочувствие больного, нет ли головокружения, тошноты и прочих симптомов.
Расшифровка результатов
Результат диагностики можно узнать сразу после окончания процедуры. Расшифровкой результатов занимается специалист. Доктор-радиолог делает заключение, передает его ведущему врачу или отдает в руки больному. Иногда данные исследования записываются на диск, но эта процедура, как правило, требует дополнительной платы.
МРТ вен и артерий дает очень точные данные. Изображения позволяют дать оценку состоянию сосудов головного и спинного мозга даже без использования специальной контрастной жидкости.
Важно! Для получения наиболее достоверных данных во время проведения сеанса пациент должен соблюдать абсолютную неподвижность и другие рекомендации врача.
Что может увидеть специалист
После проведения анализа полученных результатов врач может диагностировать такие состояния:
- болезни сосудов;
- начальную стадию инсульта;
- патологии, вызывающие головные боли;
- участки внутренних кровоизлияний и кровотечений;
- доброкачественные или злокачественные образования;
- причины, вызывающие повышение внутричерепного давления;
- различные болезни инфекционного характера;
- воспалительный процесс;
- болезни органов речи и слухового аппарата.
Расшифровкой анализов занимается специалист
Своевременная диагностика многих заболеваний позволяет провести необходимое лечение, предотвратить осложнения патологии.
В чем преимущество МРТ сосудов
В отличие от других методик, которые позволяют оценить состояние преимущественно крупных вен и артерий, МРТ сосудов дает четкую визуализацию даже мелких капилляров по всему телу. Это дает возможность увидеть общую картину кровообращения по всему телу человека.
Контрастное вещество, используемое при МРТ, считается более безопасным, чем препарат, который вводят во время проведения рентгена.
По сравнению с ультразвуковой доплерографией, магниторезонансная томография позволяет получить реальную картину сосудистой сетки, а не нарисованные изображения.
Кроме состояния сосудов, с помощью томографии удается выполнить также оценку соседних тканей. Это особенно важно при диагностике новообразований различного характера.
Противопоказания
Несмотря на безопасность процедуры, МРТ сосудов противопоказана пациентам при следующих состояниях:
- при наличии кардиостимулятора, слуховых аппаратов, имплантированных в среднее ухо, сосудистой клипсы, устройств для фиксации костей, металлических осколков после ранений и прочего;
- если на теле есть татуировки, нанесение которых осуществлялось с помощью красок с металлическими вкраплениями;
- если у больного имеется металлический сердечный клапан;
- беременность на первом триместре.
Проведение методики с использованием контрастного вещества не рекомендуется среди таких пациентов:
- беременных;
- женщин во время кормления грудью;
- людей с острой или хронической недостаточностью почек;
- пациентов с индивидуальной непереносимостью контрастного препарата.
При наличии относительных противопоказаний метод может использоваться, если польза от его проведения превышает возможные риски для пациента.
Цена вопроса
Стоимость процедуры зависит от клиники и города, в котором проводится обследование. В таблице указана примерная стоимость магниторезонансной томографии в том или ином отделе тела.
Важно! В таблице приведены примерные цены, точную стоимость следует уточнять в диагностическом центре или больнице.
К какому специалисту обратиться
Дать направление на проведение магниторезонансной томографии может онколог, травматолог, хирург или невролог. Показаниями к проведению метода могут выступать самые различные состояния, к которым относят эпилепсию, инсульты, атеросклероз, образование гематом после получения травмы и многие другие заболевания. Грамотная и своевременная диагностика патологий позволяет подобрать эффективное лечение, сохранить жизнь пациента.
МРТ сосудов головного мозга (артерий и вен)
Так как такой метод относится к наиболее информативным, то его рекомендуют пройти пациентам при подозрении на многие патологии. За исключение нескольких симптомов, патологическая симптоматика проявляется, вследствие нарушения поступления кислорода в мозг и ухудшения его кровоснабжения. Поэтому в большинстве случае в первую очередь проводиться целенаправленная диагностика мозговых артерий. Это производится с целью, выявить их текущее состояние, существует ли их аномальное сужение.
Проведение МРТ вен и артерий головного мозга назначается при следующих патологических проявлениях:
- Острая, непрекращающаяся головная боль
- Внезапные обмороки, постоянные головокружения, нарушение пространственной ориентации
- Перепады артериального давления даже в состоянии длительного покоя
- Припадки эпилептического характера
- Тромбоз
- В постинсультный период, в особенности для контроля состояния и оценки эффективности лечения
- Постоянная усталость, слабость, недомогание
- При подозрениях на злокачественную опухоль
Даже незначительное сужение просвета сосудов может привести к необратимым последствиям в будущем. Поэтому очень важно систематически проходить МРТ артерий и вен головного мозга определенным группам населения.
К ним относятся пациенты:
- С заболеванием сосудов, в особенности их атеросклероза
- Людям с гипертонической болезнью
- Пациентам с длительным стажем курения
- С постоянными эмоциональными перенапряжениями
При вышеперечисленных симптомах МРТ головного мозга, артерий и вен головного мозга, позволяет выявить практически любые их заболевания, даже те, которые начинают свое развитие с отсутствием симптоматических проявлений.
К таким заболеваниям относятся:
- Инсульт различного характера и микроинсульт
- Аномальное строение артерий и вен (мальформацию)
- Тромбоз, стеноз
- Аневризмы, расслоение аорты
- Механическое повреждение артерий (используется метод МР-ангиографии)
- Эпилепсию
- Внутренние кровоизлияния
- Опухолевые и кистообразные образования, а также процесс метастаз
- Синдром внешнего сдавления сосудов
По всем интересующим вопросам вы можете связаться с нами по телефонам
8 (927) 553-33-04, 8 (8512) 58-08-46, 8 (8512) 58-07-73
МРТ сосудов головного мозга (ангиография) (вены и артерии)
2400₽ (при условии одновременной оплаты 3-х и более обследований (КТ, МРТ)) 2600₽ (для льготных категорий граждан)* 2800₽ (обычная стоимость)
Исследование позволяет определить вариант развития сосудов, патологическую извитость, аневризматические расширения, стенозы сосудов.
Что показывает:
- Трехмерное изображение всей системы кровообращения головного мозга
- тромбоз глубоких шейных вен
- Инсульты
- Атеросклерозы
- Вертебробазилярная недостаточность сосудов головного мозга
- Повышение внутричерепного давления
- Аневризмы
- Пороки развития сосудов.
артеросклероз сосудов головного мозга; состояния после травм головы; подозрение на ишемический геморрагический инсульт мозга; инфекционные воспалительные состояния головного мозга злокачественные или доброкачественные новообразования в головном мозге;
- Противопоказания
- Подготовка к исследованию
-
- Искусственные водители ритма сердца.
- Первые три месяца беременности.
- Внутриглазные металлические объекты.
- Искусственные протезы клапанов сердца.
- Внутренние инфузионные насосы для лекарственных препаратов.
- Нейростимуляторы
- Металлические приспособления медицинского назначения.
-
- В комнату, где расположен сканер, нельзя вносить металлические предметы (часы, монеты, кредитные карты, телефоны и т.д.) – сильный магнит сканера может их повредить, а получаемые изображения будут низкого качества из-за искажения магнитного поля.
- Перед исследованием у пациентов в обязательном порядке выясняются и фиксируются следующие вопросы:
- Если у человека присутствуют такие заболевания, как головокружение, высокое внутричерепное давление, ишемия, рассеянный склероз, клаустрофобия – перед тем, как проводить МРТ, следует проконсультироваться с врачом.
- Магнитная томография — это, по сути, магнитная буря, которая создается искусственно. Некоторые метеозависимые люди могут почувствовать легкое головокружение, которое быстро проходит после окончания диагностики. В остальном же томография абсолютно безопасна для здоровья, поэтому ее назначают даже маленьким детям. При исследовании МРТ создается сильный звуковой эффект за счет переключения режимов магнита, поэтому зачастую во время проведения диагностики используются специальные заглушки для ушей.
наличие у пациента кардиостимулятора, протезов клапанов сердца, искусственных суставов, скобок, фильтров и любых других устройств медицинского назначения из металла, находящиеся внутри его тела. наличие слухового аппарата. наличие в анамнезе, (в прошлом) операции на головном мозге, сердце и других органах. наличие у пациента в теле каких-либо иных, не медицинских металлических объектов, попавших в него в результате несчастных случаев, ранений или при других обстоятельствах. наличие у пациента таких заболеваний как эпилепсия, судорожные припадки, наличие в анамнезе случаев потери сознания. вопрос о возможной беременности пациентки.
* Льготные категории граждан: пенсионеры, инвалиды, дети по потере кормильца до 18 лет, при предъявлении соответствующих документов.
- обследование;
- результаты обследования – описание, снимок 35х43 см., диск (CD-R для МРТ обследования, DVD-R для КТ обследования)