
Атеросклероз магистральных артерий головы (МАГ): причины, симптомы и лечение
Атеросклероз маг (сокращение от «магистральных артерий головы») представляет собой заболевание, в результате которого нарушается кровоснабжение головного мозга. Происходит это вследствие возникновения холестериновых бляшек на стенках магистральных артерий.
Холестериновые образования сужают сосудистый просвет, из-за чего мозг недополучает через кровь достаточного количества кислорода. В наибольшей степени атеросклерозу подвержены мужчины старше 45 лет и женщины после наступления 55-летнего возраста.
Характеристика заболевания
Атеросклероз магистральных артерий головы начинается с накопления жировых клеток на стенках артерий. Первоначально скопления невелики по размеру и не приносят существенного вреда организму. Однако если не принять своевременных мер, бляшки увеличиваются в размерах и количестве, постепенно все больше перекрывая сосудистый просвет.
Атеросклероз магистральных артерий опасен для здоровья человека, поскольку в результате развития патологии ограничивается доступ воздуха к важнейшему человеческому органу — головному мозгу. На тяжелой стадии атеросклероза разрушаются сосудистые стенки, образуются аневризмы. Следствием атеросклероза может стать тромбоэмболия — опасная патология, часто приводящая к смертельному исходу.
Атеросклероз магистральных артерий мозга принято подразделять на два вида — локальный и диффузный. Локальный атеросклероз развивается в одном или нескольких участках головного мозга, лобного или теменного участка. Диффузный атеросклероз характеризуется тотальным поражением головного мозга, при котором мозговые клетки заменяются соединительной тканью. При диффузном атеросклерозе компьютерная томограмма показывает наличие некротических процессов и множественные аневризмы.
По тяжести развития выделяют следующие стадии атеросклероза мозговых артерий:
- Нестенозирующий атеросклероз. Заболевание представляет собой начальный этап атеросклеротической патологии магистральных артерий мозга. На этой стадии холестериновые бляшки перекрывают артерии не более чем на половину. Нестенозирующий атеросклероз хорошо поддается лечению, так как изменения в сосудах еще минимальны. Показано консервативное лечение.
- Стенозирующий атеросклероз. Патология этого типа относится к терминальным стадиям атеросклероза мозговых артерий. Заболевание опасно для жизни, поскольку сосуды перекрыты больше чем наполовину, что затрудняет кровоснабжение мозга. Поражаются как мозговые, так и внечерепные участки магистральных артерий головы. Применяется комплексное лечение, включающее медикаментозную терапию, хирургические операции. При стенозирующем атеросклерозе велика вероятность осложнений и летального исхода для пациента.
Причины
Вне зависимости от локализации участка магистральной артерии, пораженного холестериновыми бляшками, причины развития атеросклероза:
- Наличие вредных привычек. Особенно опасно в этом смысле курение.
- Ожирение.
- Нарушения всасывания глюкозы в кровь.
- Нездоровое питание.
- Частые психологические стрессы.
- Повышенное в течение долгого времени артериальное давление. Речь идет прежде всего о ситуациях, когда такое состояние никак не купировалось.
- Высокий показатель холестерина в крови.
- Болезни эндокринного происхождения.
- Возрастные изменения.
Симптомы
Атеросклероз экстракраниальных сегментов артерий отличается интенсивным проявлением симптомов. На симптоматику заболевания влияет локализация патологии.
К симптомам атеросклероза магистральных артерий относят:
- Шум в ушах.
- Внезапные приступы головокружения.
- Головные боли сдавливающего характера. Сила болевого синдрома определяется стадией атеросклероза, степени окклюзии, местоположением холестериновой бляшки.
- Стремительное ухудшение памяти. Особенно страдает кратковременная память. Больной быстро забывает только что сказанное и события, произошедшие недавно. Человек забывает простейшие слова. Долговременная память ухудшается на поздней стадии атеросклероза магистральных артерий.
- Нарушение координации движения.
- Неясность речи, нарушения дикции.
- Нарушения ночного сна. Больной долго неспособен заснуть, часто встает среди ночи. В течение дня человек ощущает усталость и сонливость.
- Появление темных пятен перед глазами. Больной может видеть их как перед открытыми, так и закрытыми глазами.
- Тремор рук.
- Нарушение поведенческих реакций. У больных отмечаются депрессии, плаксивость, склонность к резким переменам настроения, немотивированная встревоженность, подозрительность, требовательность. Психическое состояние больного нестабильно: человек раздражается или расстраивается по самому незначительному поводу.
Атеросклероз сосудов мозга часто распространяется и дальше, в том числе на ноги. В этом случае симптоматика дополняется следующими признаками:
- Сокращение пульса в нижних конечностях.
- Быстрая утомляемость при физических нагрузках. Особенно быстро человек устает от ходьбы на большие дистанции.
- Холодные руки. На них могут проявляться небольшие язвы.
- На поздних стадиях болезни поражение кожи может перерастать в гангрену.
- При поражении сосудов ног наступает хромота.
- Истончение ногтей.
- На ногах выпадают волосы.
При появлении первых подозрений на атеросклероз необходимо без промедления обратиться к доктору. Врач проведет диагностические мероприятия и, если нужно, назначит лечение.
Диагностика
Для обнаружения атеросклероза магистральных артерий необходимы комплексные диагностические действия. Врач должен установить местонахождение патологии, параметры образованной холестериновой бляшки, наличие или отсутствие роста соединительной ткани.
Для диагностики атеросклероза используют такие диагностические процедуры:
- Анамнез болезни. Устанавливают факторы, приведшие к атеросклерозу. Изучают сопутствующие патологии, наличие вредных привычек, сроки развития заболевания.
- Измерение артериального давления, пульса, частоты дыхания.
- Общеклинические анализы мочи, крови, глюкозы.
- Биохимические анализы, в том числе на липидный фактор, почечный и печеночный комплексы. Проверяют показатель холестерина, долю его разновидностей.
- Ультразвуковое исследование. Методика позволяет получить информацию о сонных и позвоночных артериях. Доктор выясняет диаметр сосудов и степень их сужения.
- МРТ. Исследование позволяет выявить состояние артерий головного мозга, шеи и конечностей. Томография выполняется в нескольких проекциях. МРТ считается самым информативным методом диагностики.
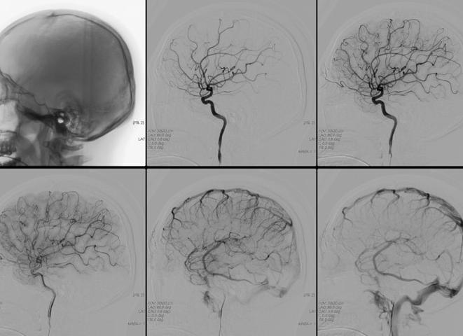
- Ангиография. Методика предназначена для изучения патологических процессов в сосудах. В кровь обследуемого вводят специальный контраст, после чего выполняется рентгеновский снимок.
Выбор конкретного варианта диагностики определяется лечащим врачом в индивидуальном порядке. Специалист исходит из особенностей истории болезни пациента и оборудования, имеющегося в наличии у клиники.
Лечение
Когда поставлен диагноз, врач назначает пациенту лечение. Основные методы борьбы с атеросклерозом магистральных артерий — консервативное лечение и хирургическая операция. При возможности избегают оперативного вмешательства и концентрируются на медикаментозном лечении. Терапевтический процесс всегда комплексный: необходимо не только принимать лекарственные препараты, но и вести здоровый образ жизни.
Медикаментозное лечение
Для лечения атеросклероза применяют разные группы медикаментов:
- Антиагреганты. Лекарственные средства данной группы используются, что избежать склеивания тромбоцитов в крови. Это позволяет уменьшить вероятность возникновения тромбоза. Антиагреганты нельзя использовать в лечении атеросклероза, если пациент страдает печеночной или почечной недостаточностью, язвенной болезнью или перенес геморрагический инсульт. Нежелательно применять антиагреганты во время беременности. К препаратам группы относятся «Тромбо-асс», «Кардиомагнил», «Плавикс» и другие.
- Препараты для снижения вязкости крови. Позволяют крови легче проходить через сужения в сосудах. В группу препаратов этого типа входят «Сулодексид», «Флогэнзим» и некоторые другие.
- Никотиновая кислота. Улучшает циркуляцию крови в сосудах.
- Препараты для уменьшения уровня холестерина в крови. Позволяют эффективно лечить нестенозирующий атеросклероз. Наиболее известные препараты группы — «Крестор», «Торвакард».
- Препараты для улучшения коллатерального кровообращения. К лекарственным средствам этого типа относятся «Солкосерил», «Актовегин» и ряд других.
- Препараты для устранения симптомов атеросклероза. В их числе прежде всего противовоспалительные средства и анальгетики.
Курс лечения медикаментами занимает обычно 8 – 12 недель. Дозировки и длительность терапии устанавливается лечащим врачом — отдельно для каждого пациента.
Обратите внимание! При атеросклерозе магистральных артерий назначается пожизненное употребление ацетилсалициловой кислоты. Препарат позволяет уменьшить вероятность развития тромбоза.
Хирургическое лечение
Операции при атеросклерозе назначают при стенозирующем виде болезни. Существует три вида оперативного вмешательства:
- Шунтирование. Операция состоит в создании около поврежденного сосуда дополнительного канала для кровотока. В результате хирург добивается нормализации кровообращения.
- Стентирование. Операция заключается в установке имплантата, за счет которого восстанавливается правильное кровообращение в артерии.
- Баллонная ангиопластика. В ходе операции в сосуд вставляют специальный баллон. Далее в баллоне поднимают давление, расширяющее поврежденный сосуд.
Выбор конкретного вида операций зависит от состояния здоровья больного (вмешательства отличаются по степени травматичности), локализации пораженных сосудов.
Лечебная физкультура
Упражнения лечебной гимнастики применяют при нестенозирующем атеросклерозе. Предпочтительно проводить занятия со специалистом. Отдельные упражнения выполняются пациентом самостоятельно:
- Ходьба по помещению размеренным шагом. В ходе выполнения упражнения важно следить за уровнем артериального давления.
- Наклоны шеи. Встать ровно. Плавный выдох, наклонить голову назад, максимально выгибая шейный отдел позвоночника. Удерживать голову в такой позиции 2 – 3 секунды, затем вернуться в исходное положение. Повторить упражнение, но на этот раз наклонить голову вперед.
- Подъемы рук вверх. Занять положение стоя, руки на груди. Поднять руки кверху, максимально выпрямив позвоночник. Опустить руки, вернувшись в изначальное положение. Повторить упражнение 10 – 12 раз.
- Наклоны в стороны. Встать ровно. Попеременно наклоняться в боковые стороны.
- Разведения ног на стуле. Сесть на стул с высокой спинкой. Отвести ногу в сторону и подержать ее несколько секунд в таком положении. Вернуться в изначальную позицию и повторить упражнение с другой ногой.
Обратите внимание! Главное правило лечебной физкультуры — регулярность занятий.
Народная медицина
Средства народной медицины используются не в качестве самостоятельного лечения, а как вспомогательное средство. Основная задача препаратов из арсенала народных средств — уменьшить интенсивность проявления симптомов атеросклероза магистральных артерий.
К проверенным средствам лечения относят такие рецепты:
- В 300 граммов кипятка добавляют чайную ложку березовых почек. Состав кипятят в течение получаса. Далее средству дают 2 часа настояться. Употребляют настойку трижды в сутки по 100 граммов.
- В 200 граммов кипящей воды добавляют чайную ложку сухих цветов боярышника. Далее кипятят жидкость в течение 30 минут. Процеживают отвар и дают ему остыть. Принимают состав 3 – 4 раза в сутки.
- Для приготовления лечебного состава понадобится сок одной луковицы и столовая ложка меда. Компоненты соединяют, добавляют небольшой объем воды для жидкости состава. Употребляют средство трижды в сутки по чайной ложке.
Лечебная диета
Лечение атеросклероза магистральных артерий сопряжено с соблюдением строгой диеты. Главная цель лечебного питания — предотвратить чрезмерное поступление в кровь низкоплотного («плохого») холестерина.
Для правильной организации питания следует соблюдать следующие правила:
- Включать в рацион продукты, содержащие много йода. Пример такого продукта — морская капуста.
- Полностью исключить употребление жиров животного происхождения. Дефицит белка рекомендуется восполнить за счет бобовых. Мясо разрешается — курятина и индейка. Жирные сорта мяса следует полностью исключить из меню.
- Употреблять побольше продуктов-диуретиков. К таковым относятся арбузы, дыни, яблоки.
- Включать в рацион достаточное количество овощей, фруктов, ягод и орехов.
- Полностью отказаться от сладкого, крепкого чая, кофе, шоколада, консервации.
Здоровое питание позволяет замедлить развитие атеросклероза магистральных артерий и уменьшить проявление симптомов.
Осложнения и прогноз болезни
Особую опасность представляют осложнения атеросклероза, к числу которых относятся:
- Невозможность выполнения любой умственной работы из-за прогрессирующего стеноза.
- Инсульт. Из-за полного закупоривания происходит разрыв сосуда и кровоизлияние в мозг. Привести к подобному результату может и повышенное артериальное давление. Гипертонический криз влечет сжатие сосудов, из-за чего просвет в них сильно уменьшается.
- Атрофия мозговых тканей. Последствиями этого осложнения являются психические расстройства и слабоумие.
- Аневризмы в артериях мозга. Чрезвычайно опасное осложнение, вследствие которого разрываются сосудистые стенки.
Прогноз атеросклероза определяется стадией патологии, степенью уменьшения просвета в сосудах, локализацией процесса, количеством холестериновых бляшек.
Запущенный атеросклероз магистральных артерий ведет к полной потере трудоспособности больного или даже к летальному исходу. На начальном этапе при своевременно начатом лечении имеется возможность предотвращения прогресса болезни.
Успешность лечения атеросклероза магистральных артерий определяется временем обнаружения патологии. Чем раньше диагностировано заболевание, тем выше шансы на успех.
Магистральные артерии головы — Ваше здоровье
Магистральные артерии головы
Рис. 1. Магистральные артерии головы и сосуды основания мозга (схема). 1 — передняя мозговая артерия,
2 — передняя соединительная артерия,
3 — средняя мозговая артерия,
4 — глазничная артерия,
5 — задняя соединительная артерия,
6 — задняя мозговая артерия,
7 — верхняя артерия мозжечка,
8 — основная артерия,
9 — передняя нижняя артерия мозжечка,
10 — внутренняя сонная артерия,
11 — позвоночная артерия,
12 — задняя нижняя артерия мозжечка,
13 — наружная сонная артерия,
14 — общая сонная артерия,
15 — подключичная артерия,
16 — плече-головной ствол,
17 — аорта.
Внутреннюю сонную артерию (a. carotis interna) делят обычно на экстракраниальный отдел, включающий 2 отрезка: синус и шейный отрезок, и интракраниальный отдел, в составе которого 3 отрезка: внутрикостный, сифон и мозговой. С и н у с представляет собой значительно расширенную начальную часть внутренней сонной артерии. Он обладает богатой иннервацией (баро- и хеморецепторы) и играет большую роль в регуляции кровообращения. Ш е й н ы й отрезок включает в себя часть артерии от синуса до входа в череп. Оба этих отрезка не отдают ветвей. В экстракраниальном отделе внутренняя сонная артерия подвергается в большей мере, чем в других отделах, воздействию различных повреждающих факторов, таких, как механическая травма или сдавление ее извне.
771
Атеросклероз магистральных артерий головы — Лечение гипертонии
Главным в лечении этого заболевания на этой стадии является соблюдение диеты и ведение здорового образа жизни. В питании используются продукты с незначительным содержанием жиров животного происхождения. Рекомендуется постоянные и продолжительные прогулки шагом, плаванье, занятие некоторыми видами спорта.
При нестенозирующем атеросклерозе брахиоцефальных артерий необходим постоянный контроль над уровнем холестерина в крови и профилактика. Если не придерживаться этих рекомендаций, болезнь может прогрессировать во вторую стадию.
II стадия
Стенозирующий атеросклероз брахиоцефальных артерий является второй стадией заболевания и характеризируется уменьшением просвета сосуда до значения ниже 50%. Эта стадия заболевания является уже более угрожающей для жизни больного, поскольку кровоснабжение головного мозга, вследствие частичного перекрытия одного из головных сосудов его питающих, становится недостаточным. Как следствие кровоток в Виллизиевом круге перестраивается для обеспечения головного мозга необходимым количеством питательных веществ, а нагрузка на остальные сосуды возрастает. Но и при перестройке кровотока головному мозгу не всегда хватает питательных веществ.
В связи с этим возникают такие признаки стенозирующего атеросклероза как частые головокружения, особенно при повороте больным головы или ее наклоне. Также головокружение может возникать при резких движениях головой. Кроме этого, головокружения могут возникать при понижении артериального давления у больных. Это повязано с тем, что при пониженном давлении кровь уже не может пройти в достаточном количестве через частично закупоренный сосуд, и в связи с этим возникает недостаток кровотока. А реакция головного мозга на недостаток кислорода незамедлительна, в отличие от остальных органов, которые некоторое время могут обходиться без поступления кислорода.
Диагностика при этом состоянии проводится с использованием инструментальных методов, таких как УЗИ, и доплеровское исследование. Использование этих методов диагностики позволяет выявить точную картину поражения сосуда, локализацию закупорки сосуда, степень сужения его просвета. Кроме этого, с их помощью удается узнать такие необходимые сведения как скорость тока крови по пораженному сосуду и его проходимость, что дает возможность точно установить необходимые меры для лечения этого состояния. Часто при проведении диагностики удается установить нестенозирующий атеросклероз внечерепных брахиоцефальных артерий. Последний является еще одной разновидностью заболевания, при котором закупорка сосудов происходит в той его части, которая находится вне черепа.
Лечение
В зависимости от состояния и степени развития заболевания возможно лечение хирургическим путем и консервативное лечение. При необходимости хирургического вмешательства, что устанавливается при диагностическом обследовании, возможны два варианта последнего. Это может быть эндоваскулярная операция, при которой сосудистым хирургом проводится стентирование пораженного сосуда. А также классическая операция открытого типа, при которой пораженный участок сосуда удаляется полностью, а на его место устанавливается протез или проводится сшивание сосуда.
Консервативное лечение включает в себя налаживание правильного питания больного, рекомендации по ведению здорового образа жизни и прием препаратов, которые уменьшают агрегацию эритроцитов и тромбоцитов. Кроме этого, проводится постоянный контроль уровня холестерина.
Атеросклероз сосудов головного мозга
С атеросклерозом МАГ (магистральных артерий головы) обычно сталкиваются люди за 40 лет, но в настоящее время участились случаи возникновения этого недуга у пациентов младшего возраста. Заболевание является крайне опасным, т.к. из-за закупорки сосудов мозг недополучает питательные вещества. При отсутствии лечения у больного может развиться инсульт, что в 70% случаев приводит к инвалидности.
Атеросклероз магистральных артерий головы – самое распространенное заболевание мозга. При этом недуге страдают от атеросклеротических бляшек мышечно-эластические сосуды. Формируются отложения во внутренней оболочке артерии, что создаёт определенную опасность для здоровья человека. Соединительная ткань начинает разрастаться, а стенки кальцинироваться, что приводит к сужению сосудистого просвета.
Данная болезнь развивается у людей после 20 лет. Мужчины сталкиваются с ней раньше при достижении 50-60 лет. У женщин атеросклероз этого типа начинает развиваться после 60 лет. Главная опасность болезни заключается в том, что на начальных этапах она может не давать каких-либо симптомов. Нарушение гемодинамики можно выявить в начале атеросклероза, когда уменьшается растяжимость сосудов. У отдельных пациентов сосудистые стенки растягиваются и можно диагностировать атеросклеротическое расширение.
В настоящее время врачи выделили более 200 причин, провоцирующих развитие атеросклеротической болезни сосудов головного мозга. Самыми весомыми факторами, влияющими на кровообращение, являются курение, гипертоническая болезнь, отсутствие физической активности и ожирение. Именно они провоцируют отложение холестериновых бляшек, и ускоряют развитие атеросклероза у обоих полов. Также к потенциальным факторам, провоцирующим это заболевание, относят:
- сахарный диабет;
- постоянные стрессы;
- проблемы в работе эндокринной системы;
- неполноценное питание;
- проблемы с всасыванием глюкозы в кровь;
- изменения в организме, спровоцированные возрастом.
Патогенез развития болезни сам по себе очень сложный и изученный лишь наполовину. Основную роль в развитии недуга кроме провоцирующих факторов играют особенности транспорта с метаболизмом жиров и их комплексов, соединенных с белками. Также оказывает влияние на скорость развития атеросклероза функциональные нарушения внутренней оболочки артерии.
К атеросклеротической болезни магистральных сосудов предрасположенность у 90% пациентов генетическая. Для таких людей наиболее опасным считается психоэмоциональное напряжение. Под воздействием кортизола и иных гормонов активизируются нейрогуморальные механизмы. Они изменяют структуру сосудистых стенок, что приводит к формированию бляшек.
Как развивается болезнь?
Атеросклероз экстракраниальных сосудов встречается в 5 раз чаще, чем интракраниальных. Если данное заболевание сильно прогрессирует, больные могут столкнуться с разрушением сосудов обоих типов. Чаще всего от болезни страдает внутренняя сонная артерия. Каких-либо неприятных ощущений пациент при этом не испытывает, потому важно своевременно реализовать диагностику патологии. Атеросклеротические бляшки, поражающие мозг и шейные артерии, имеют следующие отличительные особенности:
- Содержат много коллагена и относятся к каротидным.
- Содержат колоссальное количество липидов фиброзной структуры, поэтому стеноз у больных более выражен.
- По своей структуре являются неоднородными.
Разрушаются эти бляшки в результате гематомы, вызванной ударами текущей крови, или под действием насыщенных липидов. В обоих случаях пациент может столкнуться с инсультом и ишемическими атаками.
Симптомы атеросклероза магистральных артерий
На первых порах при повреждениях сосудов головного мозга пациент не будет испытывать какой-либо дискомфорт. Чем сильнее становится ишемия, тем ярче начинают проявляться симптомы болезни. На выраженность их влияет локализация повреждения, т.е. какие именно сосуды были затронуты заболеванием. К общим проявлениям болезни относят:
- головные боли;
- шум в ушах;
- проблемы со сном;
- снижение кратковременной памяти.
Проблема заключается в том, что данная симптоматика характерна для многих проблем с функционированием головного мозга. У некоторых пациентов начинает меняться личность. Они страдают от вспышек агрессии, плаксивости и всевозможных тревожных состояний.
Диагностика заболевания
Атеросклеротическую болезнь сосудов головного мозга можно выявить с помощью МРТ. Если же данный метод диагностики нельзя применять из-за имплантатов, то назначают компьютерную томографию. Минусом последнего метода диагностики является отсутствие на снимках мест, где расположены холестериновые бляшки. Врач увидит только проблемы с какими-либо конкретными сосудами или нарушения в работе мозга. Также для диагностики могут применяться следующие способы:
Именно УЗИ шейных сосудов позволяет выявить атеросклеротические бляшки, если МРТ противопоказано пациенту. Перед всеми анализами следует отказаться от приема медикаментов и продуктов, повышающих артериальное давление.
Как лечат атеросклероз мозга?
Как и при любой другой патологии, выделяют консервативные и оперативные способы лечения. К консервативным методам относят приём медикаментов, занятия физкультурой, массаж. Медикаментозная терапия включает приём следующих препаратов:
- снижающих вязкость крови;
- усиливающих ток крови в коллатеральных сосудах;
- уменьшающих уровень плохого холестерина в организме;
- противовоспалительных;
- препятствующих образованию тромбов.
Самостоятельно прописывать себе данные таблетки нельзя, т.к. без полного обследования больной не сможет определить факторы, влияющие на развитие патологии у него, и сделает себе только хуже. Если во время диагностики врач выявил, что сосуд сузился более чем на 50%, больного направляют на консультацию с сосудистым хирургом. Человеку могут назначить каротидную эндартерэктомию в следующих ситуациях:
- Стеноз сонных артерий более 90%.
- Стеноз артерий более 70%, сопровождаемых неврологическими симптомами;
- Быстрое развитие сужения каротидного вида и другие формы этого сужения, сопровождающиеся различными патологиями.
Операцию не будут проводить, если у пациента повреждены полушария мозга и присутствуют патологии ЦНС. Суть операцию заключается в том, что пораженный участок сосуда удаляют. Хирургическое вмешательство этого типа крайне опасно, поэтому его осуществляют при отсутствии реакции организма на консервативные методы лечения или при критическом состоянии пациента. Иногда во время операции создают обходные пути кровотока, когда видят, что естественным образом организм с этим не справится или существует критическая нехватка кровоснабжения мозга.
Возможные осложнения: инсульт, мозговая недостаточность
Недостаток кровообращения крайне опасен для работы мозга. Поврежденные в результате атеросклероза сегменты не смогут восстановиться. В начале развития заболевания это вызывает забывчивости и лёгкую рассеянность, но затем может привести к инсульту. Разумеется, на скорость развития болезни влияет общее состояние организма и наличие генетической предрасположенности.
Ещё одним недугом, который может спровоцировать атеросклероз, является мозговая недостаточность. Бляшки очень быстро разрастаются, т.к. имеют неоднородную структуру. Чем больше их в сосудах, тем больше кровоизлияний в мозге. В итоге это вызывает стойкое нарушение кровообращения.
Профилактика атеросклероза
Мероприятия, предотвращающие формирования бляшек, являются общими для всех типов болезни. Необходимо отказаться от вредных привычек, включающих переедание и курение. Следует заняться контролем уровня холестерина и сахара в крови. Люди, имеющие лишний вес, должны от него избавиться.
Обязательными для всех пациентов являются занятия физкультурой. При правильном образе жизни можно предотвратить дальнейшее прогрессирование атеросклеротической болезни мозга. При масштабных нарушениях кровообращения нужно стимулировать развитие окольных притоков крови следующими способами:
- Регулярная разноплановая мышечная деятельность. Это значит, что вы должны не только ходить в тренажерный зал и заниматься со свободными весами, но и выполнять упражнения на равновесие, координацию, посещать бассейн и т.д.
- Отслеживание регулярности стула. Периодически следует принимать солевой раствор, чтобы заставлять холестерин из кишечника выходить вместе с калом.
- Систематическое лечение всех сопутствующих болезней.
- Постепенное снижение количества сахара в крови. Несмотря на то, что нормализация массы тела и изменение питания невозможны без отказа от сладостей, их потребление следует сокращать постепенно. При резком отказе от сахара ток крови ухудшится, что спровоцирует приступы ишемии.
Обязательным является соблюдение назначений врач. Не следует пытаться заниматься лечением самостоятельно с помощью трав и других народных средств или заменять ими назначенные таблетки, т.к. таким образом можно серьёзно ухудшить своё состояние.
Особенности атеросклеротического поражения магистральных сосудов головы
Атеросклероз экстракраниальных сегментов магистральных артерий головы — распространенная патология, которая требует качественного и своевременного лечения. Отсутствие терапии может привести к ишемическому инсульту. Эта форма заболевания хроническая и проявляется в поражении сосудистой системы головного мозга путем образования наростов. По мере развития недуга просветы сужаются.
Общая характеристика заболевания
В результате атеросклеротического поражения сосудов их внутренние стенки уплотняются, что провоцирует ряд осложнений. Качество жизни пациентов значительно ухудшается, нарушается циркуляция крови, клетки не получают достаточного количества кислорода и питательных веществ.
На начальных стадиях недуг протекает без видимых симптомов, поэтому обнаружить и диагностировать болезнь при таких обстоятельствах очень сложно. Когда холестериновые бляшки не перекрывают более пятидесяти процентов просвета, то эта стадия характерна для атеросклероза магистральных артерий головы нестенозирующего типа.
По мере развития патологического процесса признаки проявляются в виде нарушения слуховых и зрительных функций. Люди часто жалуются на головные боли, возникающие шумы в ушах, указывают на «мушки», появляющиеся перед глазами, чувство онемения в ногах и руках. В большинстве случаев подобные проявления очень слабые, поэтому обычно люди не обращают на них внимание. Обнаружить патологию на этом этапе возможно только во время случайного обследования.
Клинические проявления становятся отчетливыми уже при прогрессировании стенозирующего атеросклероза магистральных артерий головы.
Стенки сосудистых просветов сужаются более чем на пятьдесят процентов. Одна из главных причин его возникновения — пожилой возраст. В то же время выделяют несколько факторов риска, способных привести к развитию патологии. Это форма становится хронической. Она намного опаснее и является причиной серьезных осложнений.
Причины
Атеросклероз магистральных сосудов головного мозга возникает в силу разных причин. На сегодняшний день этиология заболевания еще изучается. Но любые патологические процессы, связанные с нарушением расщепления и выработки жиров, — это результат осложнений липидного обмена в организме. Чаще возникновению подобных болезней подвержены люди, имеющие проблемы с лишним весом.
К другим факторам, способствующим развитию недуга, относят:
- Вредные привычки. Чтобы снизить риск формирования патологии, необходимо избавиться от куреня и чрезмерного употребления алкогольных напитков.
- Систематическое повышение артериального давления.
- Наличие сахарного диабета.
- Плохое питание.
- Наследственную предрасположенность.
- Малоподвижный образ жизни.
- Проблемы с лишним весом, ожирение разной степени.
- Высокий уровень холестерина.
- Заболевания эндокринного характера.
Поражение магистральных артерий головы развивается на фоне постоянного воздействия стрессовых ситуаций, возрастных изменений (согласно данным статистики, представители мужского пола больше подвержены патологии). Следует учесть и тот факт, что атеросклероз экстракраниальных сегментов МАГ диагностируют чаще, чем поражение интракраниальных сосудов.
Стенки магистральных систем по своей структуре являются более тонкими, уровень их эластичности немного ниже. Это создает благоприятную почву для развития стеноза по сравнению с сосудистыми системами других органов.
Клинические проявления болезни
Нарушение памяти — симптом наиболее характерный для стенозной формы патологии. Постепенное ухудшение состояния сопровождается головными болями, распространяющимися на область шеи, и головокружениями, что вызвано недостаточным поступлением кислорода и питательных веществ. Болевой синдром может усиливаться на фоне постоянных переутомлений и стрессов. По истечению некоторого времени болезненные ощущения усугубляются, и такое состояние становится привычным для пациента. К другим клиническим проявлениям относят:
- ухудшение зрительных и слуховых функций (точки, «мушки» перед глазами, шум в ушах);
- повышенная потливость;
- проблемы со сном, бессонница;
- нарушение координации, хромота;
- чувство постоянной усталости, слабости и сонливости.
Негативные изменения происходят и на психоэмоциональном фоне. Появляется раздражительность, человеку становится трудно концентрировать внимание, могут появиться депрессивные расстройства. Проявление признаков болезни зависит от степени повреждения сосудистой системы и нарушения питания мозговых клеток.
Следует учесть и тот факт, что постепенная закупорка внутренних просветов практически никак не проявляет себя. Поэтому на начальных стадиях все симптомы человек склонен объяснять усталостью, наличием постоянных стрессов, напряженным графиком работы. Обычно признаки становятся более отчетливыми во второй половине дня, но их интенсивность резко снижается после отдыха.
На этапе прогрессирования симптомы усиливаются. Их также сопровождает нарушение речи, дрожь верхних конечностей. Люди испытывают некоторые трудности при приеме пищи (тяжело глотать), появляются первые признаки депрессии.
На стадии декомпенсации у больных значительно ухудшается память, теряется способность трезво оценивать происходящее вокруг. В этот период существует высокий риск развития серьезных осложнений (паралич или инсульт).
При транзиторных ишемических атаках человек ощущает, будто верхние или нижние конечности не слушаются его. Клинические проявления такого состояния напрямую зависят от области пораженного участка.
Процесс постановки диагноза начинается с изучения анамнеза пациента и первичного осмотра. Для определения уровня холестерина врач назначает проведение биохимического анализа крови, оценивает показатели ОАК и ОАМ. Для выявления очага поражения проводят ряд инструментальных манипуляций.
Чтобы установить стадию заболевания, понадобится ультразвуковое исследование внечерепных и внутричерепных сосудов головного мозга. Систолические шумы стенозированных артерий поводят при помощи дуплексного сканирования.
Для того чтобы окончательно подтвердить диагноз, может понадобиться мрт, а также ангиография сосудистой системы. С помощью этого метода оценивается состояние уплотнений на стенках.
Особенности и специфика лечения
Для лечения патологии, поражающую сосудистую систему головного мозга, используется комплексная терапия. Этот процесс во многом зависит от усилий самих пациентов. Врачи настоятельно рекомендуют кардинально сменить образ жизни: избавиться от вредных привычек, правильно питаться (в первую очередь это отказ от острой, жареной и жирной пищи с высоким содержанием холестерина), заниматься умеренными физическими нагрузками.
Медикаментозная терапия обычно основана на приеме следующих препаратов:
- Антиагрегантов, действие которых направлено на разжижение крови.
- Статинов. Препятствуют увеличение размеров нароста.
- Фибратов. Они способствуют снижению уровня триглицеридов.
- Никотиновой кислоты.
- Витаминных комплексов.
- Гипотензивных лекарственных средств. Нормализуют давление, но только при условии ежедневного приема. В противном случае пациенту грозит развитие гипертонического криза.
- Эзетимибов. Они не дают возможность холестерину активно всасываться в кишечнике.
В ряде случаев может понадобиться хирургическое вмешательство. При помощи открытой операции проводится удаление нароста. Этот метод известен как эндартерэктомия. Чтобы обеспечить доступ к пораженному участку кожа разрезается, перекрывается кровоток и происходит рассечение сосудистой стенки. После нарост удаляется.
При помощи эндоскопического метода в крупные сосуды вводят эндоскоп, а затем стентами расширяют просвет. Таким образом восстанавливается нормальное кровообращение.
Возможные осложнения и профилактика болезни
Патологическое изменение в сосудах приводит к кислородному голоданию, что провоцирует атрофию тканей. На этом фоне развиваются расстройства психического и эмоционального характера.
По мере прогрессирования болезни происходит систематическое повышение давления кровотока. Стенки сильно истончены, их прежняя эластичность теряется. Отсутствие своевременного лечения приводит к еще большему разрастанию наростов, что в конечном итоге может спровоцировать гипертонический криз, а затем инсульт.
Меры профилактики заключаются в регулярном обследовании у врача и определения уровня холестерина в крови. Также следует выполнять систематические, но умеренные физические упражнения, правильно питаться и свести к минимуму воздействие стресс-факторов.
Дуплекс маг магистральные артерии головы и шеи — Про холестерин
Сосудистые заболевания стали настоящей чумой нашего времени. Ученые считают, что сосуды мало изменились в ходе эволюции, а вот образ жизни людей поменялся кардинально: гиподинамия, питание рафинированными продуктами, загрязненная окружающая среда, информационные перегрузки. Все это негативно сказывается на состоянии органов человека, в том числе и сосудов. Однако медицина тоже не дремлет – она развивается. В ее арсенале содержится довольно внушительная коллекция методик лечения патологий сосудов. Наиболее эффективные и безопасные – допплеровские исследования.
Сегодня для изучения состояния сосудов и кровотока чаще всего используется ультразвуковая допплерография (УЗДГ) и дуплексное сканирование сосудов (ДС).
- Они высокоинформативные.
- Позволяют выявить самые ранние доклинические признаки сосудистых заболеваний, оценить поражения сосудов и нарушения кровотока.
- Являются неинвазивными и абсолютно безопасными.
Допплеровские методики так названы потому, что основаны на одном и том же эффекте Доплера (по фамилии австрийского физика). Суть явления состоит в отражении ультразвукового луча от движущихся объектов, например, кровяных клеток. При этом меняется частота сигнала. Эти изменения помогают определять скорость кровотока, направление движения крови, атеросклеротический стеноз, объемный минутный кровоток, закупорку сосуда, провести оценку коллатерального кровообращения, наличие пульсации. Все эти показатели определяются с помощью УЗДГ.
Ультрозвуковая допплерогрфия как изолированное исследование сегодня применяется все реже. В основном используется ДС – дуплексное сканирование, которое сочетает в себе УЗДГ и традиционное УЗИ. Режим традиционного ультразвукового исследования (В-режим) информирует врача об анатомии сосудов посредством двухмерных изображений в черно-белом цвете. Применение этого режима дополняет ультразвуковую допплерографию графическим изображением стеноза или участков окклюзии, оценкой характеристики изменения проходимости сосудов, проведением исследования размеров и плотности тромба, изучением состояния и диаметра стенки сосуда. Если имеются свищи, проводится исследование их размеров. Возможно более точное определение локализации поврежденного сосуда.
Другие же варианты допплерографии принципиально не отличаются от описанных выше. К примеру, цветовое картирование переводит информацию о кровотоке в более удобную форму: венозная кровь на мониторе окрашивается в синий цвет, а артериальная – в красный.
Триплексное сканирование – это технологический режим ДС. Оно не является самостоятельной ультразвуковой методикой. Во время этого исследования ультразвуковой аппарат работает в трех режимах: В-режиме, УЗДГ и режиме ЦДК (цветовое допплеровское картирование).
Важно! Определяющим фактором при выборе варианта исследования должна быть не цена, а рекомендация врача. В зависимости от локализации сосудов и характера поражения назначается тот или иной метод исследования.
Допплеровские исследования сосудов нижних конечностей
Для проведения исследования сосудов нижних конечностей используют два варианта: собственно УЗДГ сосудов нижних конечностей и дуплексное сканирование. Эти процедуры выявляют такие недуги как тромбангиит (болезнь Бюргера), тромбоз артерий, атеросклероз и другие.
Основные цели исследования сосудов ног:
- Диагностика тромбоза сосудов;
- Выявление аневризмы;
- Оценка состояния периферических сосудов;
- Диагностирование пульсирующих образований;
- Наблюдение за динамикой расширенных вен;
- Определение венозной недостаточности;
- Диагностирование посттромбофлебитической болезни;
- Предоперационная разметка вен.
Смело можно сказать, что ультразвуковые методики являются самыми передовыми способами обследования сосудов ног. Например, с помощью дуплексного сканирования вен нижних конечностей можно детально изучить сосуды, определить степень изменения в них, поставить правильный диагноз. Важно, что данные методы выявляют сосудистые нарушения на самой ранней стадии, что не всегда можно сделать другими способами.
Когда обращаться к доктору?
Рекомендуется посетить лечебное учреждение, если постоянно или время от времени тревожат определенные симптомы.
- Часто отмечается чувство онемения ног;
- Появляются жалобы на слабость в конечностях;
- Возникают судороги мышц по непонятной причине;
- Могут отмечаться боли при беге, ходьбе;
- Ноги становятся холодными на ощупь и бледными, так как происходит понижение температуры в них;
- Человек хромает, хотя в суставах отсутствует воспалительные процессы.
- Отеки ног, усиливающиеся к вечеру;
- Буроватая кожа ног;
- Возникновение сосудистых звездочек;
- Могут появляться долго незаживающие язвы;
- Становятся заметными расширенные вены.
Следует отметить, что онемение, слабость, судороги и другие признаки могут появляться у совершенно здоровых людей. Поэтому не нужно сразу ставить себе диагноз и, что еще хуже, назначать лечение. Обратитесь к врачу, расскажите о своих подозрениях, при необходимости вам будет назначено обследование и только потом лечение.
- Абсолютная безопасность;
- Безболезненность;
- Информативность;
- Неинвазивность (без повреждения кожи);
- Быстрота манипуляции (результат пациент получает немедленно);
- Можно проводить в любом возрасте;
- Низкая цена.
УЗИ сосудов ног проводится амбулаторно. После нанесения специального геля врач с помощью датчика обследует сосуды. Патологические изменения отчетливо видны на мониторе аппарата. При цветном картировании легко отличить вены от артерий. Вся манипуляция продолжается менее часа. Готовиться к обследованию также не надо.
Важно! Заключение допплерографии сосудов нижних конечностей − еще не диагноз. Степень патологии определяет только лечащий врач.
Видео: врач о УЗИ вен ног
Ультразвуковые исследования сосудов при беременности
Это самый безопасный способ получить информацию о состоянии ребенка. Допплерография плода помогает проследить динамику внутриутробного развития. Уже при беременности сроком в 21 неделю будущая мама и ее лечащий врач получают обширные сведения о кровотоке в матке, плаценте и плоде, о давлении в сосудах, их эластичности. Благодаря такому исследованию можно узнать о недостатке в питании плода, о возможной патологии в развитии.
Степени изменения кровотока плода:
- Изменение в кровотоке матки и плаценты.
- Нарушение в кровотоке плода и плаценты.
- Некритичное изменение кровотока плода, матки и плаценты.
- Критичное изменение кровотока плода, матки и плаценты.
При выявлении легких степеней изменения кровотока беременная должна еженедельно обследоваться. Если состояние ухудшилось, обследоваться необходимо каждый день. При данной патологии возможны роды в срок естественным способом.
Если же диагностируется вторая степень патологии, то рекомендуется обследоваться через день. При необходимости после 32 недели делается операция кесарево сечение.
Если же выявляется третья степень патологии, то контроль должен осуществляться ежедневно.
Допплерографическое исследование беременных проводится внепланово, в случае:
- Многоплодной беременности;
- Резус-конфликта;
- Колебания артериального давления;
- Ненормального размера плода;
- Задержки в развитии ребенка;
- Нарушения в состоянии плаценты;
- Сахарного диабета у матери.
Видео: УЗИ при беременности
УЗИ сосудов головного мозга
Это обследование по-другому называется транскраниальной допплерографией. По существу, это дуплексное сканирование сосудов головного мозга. Термин «транскраниальная» означает, что исследование проводится внутри черепа. Обычно проводится в комплексе с дуплексным сканированием магистральных сосудов шеи и головы (БЦА).
Самое плохое, что может произойти с сосудами головного мозга – их закупорка. В результате наступает кислородное голодание тканей мозга, а в итоге − некроз. Такое состояние называется инфарктом мозга или инсультом. Одни люди после инсульта благополучно восстанавливаются, другие – увы. Все зависит от локализации поврежденного сосуда и степени поражения мозга.
Случаются, конечно, острые нарушения кровотока. Но чаще первые «звоночки» появляются задолго до печального события. Они проявляются определенными симптомами (о которых ниже), но бывают и бессимптомными. Важно заметить эти «звоночки». Ведь многие люди бессонницу или нарушение памяти за симптом и не считают. Очень редко, но встречаются врожденные аномалии сосудов. Однако чаще они дают о себе знать еще в молодом возрасте.
Чтобы оценить состояние мозгового кровотока, достаточно сделать процедуру транскраниальной допплерографии.
Транскраниальная допплерография информирует врача и пациента о:
- Состоянии внутренней сосудистой оболочки;
- Повреждении сосудистой стенки;
- Эластичности сосудов;
- Наличии внутри сосудов образований;
- Изменений в анатомии сосудов.
Что можно выявить?
- Атеросклероз;
- Васкулит (воспаление сосудистых стенок и их изменение);
- Аномалии расположения или хода сосудов;
- Травматические поражения;
- Вегето-сосудистую дистонию;
- Ангиопатии (токсическую, диабетическую, гипертоническую);
- Дисциркулярную энцефалопатию.
Выполнив допплер-исследование сосудов головы можно понять:
- Степень патологического процесса, в результате которого произошло повреждение артериальных сосудов;
- Причины инсультов, транзиторных ишемических атак;
- Степень изменения просвета сосудов из-за сахарного диабета, атеросклероза, курения.
Результаты УЗДГ сосудов головы и шеи позволяют врачу оценить состояние внутричерепных и периферических сосудов, назначить правильное лечение и составить индивидуальный прогноз.
Показания к допплеровскому исследованию сосудов головы
Начитавшись страшных историй о последствиях нарушения мозгового кровоснабжения, многие приходят к выводу, что необходимо срочно обследоваться. Есть категория людей, которые исследуют «вдоль и поперек» свой организм, но, как правило, ничего не находят. А ведь потрачены нервы и деньги. Нужно ли это делать?
Некоторые могут возразить, что исследование сосудов мозга надо проходить всем без исключения, даже здоровым. Встречаются же врожденные аномалии развития сосудов. А вдруг внезапно возникнет аневризма, которая также внезапно разорвется и убьет своего хозяина? А потому – вперед на обследование!
Можно утешить паникеров: врожденные аномалии сосудов встречаются весьма редко. И другое: у человека может быть масса бессимптомных заболеваний. Означает ли это, что следует делать всевозможные КТ, УЗИ, МРТ, и тому подобное? Доверьтесь мнению специалиста, опишите ему свои жалобы, а уж ему решать: обследовать ваш мозг или нет.
Допплер-исследование сосудов головы могут назначить в случае:
- Частых головных болей;
- Головокружения;
- Наличия признаков повышенного внутричерепного давления;
- Тяжести в голове;
- Обмороков;
- Шума в ушах;
- Ухудшения зрения;
- Расстройства координации движения;
- Слабости в ногах или руках;
- Нарушения речи;
- «Мурашек» в руках.
Иногда человек проходит другие виды обследований (МРТ, сцинтиграфию, КТ), в результате которых выявляются нарушения. Для уточнения диагноза врач назначает допплерографию.
Плановая допплерография
Есть категория людей, которым показано хотя бы один раз в год делать УЗИ с допплеровскими методиками. Это:
- Пожилые люди, родственники которых страдали сосудистыми заболеваниями;
- Больные сахарным диабетом;
- Курильщики со стажем;
- Люди с нарушением ритма;
- Имеющие метаболический синдром;
- Пациенты, перенесшие инсульт;
- Люди с нарушением мозгового кровообращения;
- Больные после оперативного вмешательства в головной либо спинной мозг или находящиеся в ожидании операции.
Подготовка к обследованию
Для проведения исследования головы какой-то специальной подготовки не нужно. Единственное: в сам день исследования не рекомендуется употреблять продукты, влияющие на тонус сосудов:
- Кофе;
- Чай;
- Энергетические напитки.
Желательно воздержаться от курения.
Что касается лекарственных препаратов, способных повлиять на результаты исследования, отменять их без разрешения невропатолога не рекомендуется.
Детали исследования
Транскраниальная допплерография осуществляется по общему с другими допплеровскими методиками принципу. Ультразвуковые лучи проникают к сосудам мозга через череп.
Врач поочередно подносит датчик к различным областям головы:
- Надглазничным;
- Височным;
- Область затылка;
- Место перехода позвоночного столба в затылочную кость.
Предварительно на исследуемые области наносят специальный гель, который обеспечивает лучший контакт датчика с кожей.
Кроме осмотра сосудов врач делает функциональные пробы (к примеру, просьба о задержке дыхания) для уточнения либо опровержения диагноза нарушения вегетативной регуляции.
Что при обследовании говорит о патологиях?
- О васкулите судят по изменению эхогенности сосуда, сосудистой стенки, дифференцировки слоев стенки.
- Нестенозирующий атеросклероз можно заподозрить, если увеличена толщина стенки сосуда, но артерия сужена не более чем на 20%. Эхогенность при этом изменена по неравномерному типу.
- Гипоэхогенные образования с тонким ободком – так диагностируются бляшки в артериях.
- Обязательного лечения требует сужение артерии на 50% и более.
Видео: врач о УЗИ сосудов головы
Проведение исследования мозговых сосудов детям
Маленькому ребенку чаще проводят комплексное исследование головного мозга, называемого нейросонографией. Если быть более точным, то этот термин объединяет разные методики изучения состояния ЦНС: обследование позвоночного столба, головного и спинного мозга, сосудов, тканей головы. Но принято нейросонографией называть ультразвуковое исследование головного мозга.
С помощью ультразвуковых методик врач может выявить патологии тканей, кисты, опухолевидные образования, диагностировать внутричерепное повышение давления и другие нарушения.
Сегодня нейросонографию проводят тремя разными способами:
- Наиболее простой – чрезродничковый. Название говорит само за себя: датчик подносят к родничку ребенка и осматривают мозг. Недостаток – изучение мозга делается в одной проекции.
- Второй – транскраниальная нейросонография. Для него требуется более серьезное оборудование. Этим способом изучается мозг и взрослых людей.
- Третий способ объединяет два других. Транскраниально-чрезродничковая нейросонография проводится маленьким пациентам. Достоинства – мозг рассматривается в разных проекциях. Требует больше времени на проведение и серьезное оборудование.
Основные показания к исследованию:
- Гипоксия;
- Недоношенность;
- Подозрения на патологию ЦНС;
- Воспалительные заболевания ЦНС.
Особая подготовка к обследованию не нужна. Процедура абсолютно безопасная и безболезненная.
Исследование брахиоцефальных артерий (магистральных сосудов шеи)
Мозг питают не только внутричерепные, но и периферические сосуды. Важная роль в процессе принадлежит брахиоцефальным артериям (плечеголовного ствола, сонной артерии, подключичной и позвоночных артерий). Атеросклеротические изменения в них могут стать серьезной проблемой. При появлении бляшек в артериальных сосудах, питающих кожу, костные, мышечные ткани, большой беды не будет. Совсем другое дело – мозг. За его кровоснабжение отвечает несколько крупных сосудов − артерий. Закупорка любой из них может в конце концов привести к инсульту.
Самой частой жалобой людей с патологией БЦА является головокружение. В основном оно появляется при резком повороте головы. Иногда − в результате понижения давления. Конечно, одноразовое головокружение – не беда. Оно может возникнуть при переутомлении, смене атмосферного давления или по другим причинам, но рецидивы этого состояния нельзя сбрасывать со счетов.
Исследованию БЦА проводят в случае:
- Частых головных болей по непонятным причинам;
- При проявлении клинических признаков инсульта или цереброваскулярной недостаточности;
- Наличия у пациента заболеваний, провоцирующих нарушения мозгового кровообращения (васкулиты, диабет, артериальная гипертензия и другие);
- Клинических признаков тромбозов БЦА;
- Наличия патологии окружающих тканей (если имеется возможность сдавления БЦА).
- Предстоящих операций на сердце и сосудах.
Диагностика
Обычно для постановки диагноза БЦА исследуют с помощью УЗДГ брахиоцефальных сосудов, в результате которой определяются характеристики кровотока.
Для уточнения диагноза используется дуплексное сканирование брахиоцефальных артерий. Доктор может визуально оценить все недостатки в анатомии артериальных сосудов. Это, несомненно, повышает диагностические возможности. С помощью этой методики врач определяет деформации, извитости артерий, тромбы, бляшки и другие патологические изменения.
Видео: врач о УЗИ БЦА
Ультразвуковое исследование сосудов почек
УЗДГ сосудов почек проводят, чтобы получить дополнительную информацию о почечном кровотоке. Это исследование более информативное по сравнению с обычным УЗИ. Изучаются внутритканевый кровоток и сосуды ножки почки.
Когда назначается допплерографическое исследование почек?
- У человека долгое время диагностируется артериальная гипертензия неизвестного происхождения, виной которой могут быть почки.
- Обычное УЗИ выявило разницу в размерах обеих почек.
- Отмечаются признаки почечной недостаточности.
- Травматическое поражение почки.
- Есть подозрения на тромбоз.
- Прогнозируется нарушение движения крови в почках. (Чаще такая ситуация отмечается при аномалиях сосудов, опухоли, атеросклерозе, тромбофлебите, нефроптозе).
Нужна ли подготовка?
К ультразвуковой допплерографии почек нужно правильно подготовиться. Причем успех исследования напрямую связан с уровнем подготовки. Избыток кишечных газов может аннулировать результат исследования. Поэтому подготовку надо начинать уже за несколько дней до процедуры. Из своего рациона необходимо исключить, фрукты, бобовые, квашеную капусту, напитки с газом, сладости, фруктовые соки, ржаной хлеб. Полезно принять энтеросорбенты.
Желательно проводить обследование натощак в утреннее время. Если УЗДГ выполняется во второй половине дня, можно утром немного перекусить. Главное, чтобы от приема пищи до процедуры прошло не менее 6 часов.
Важно! Нельзя проводить допплерографию сосудов почек после таких диагностических обследований как фиброгастроскопия и колоноскопия. Это объясняется большим количеством воздуха, проникающим в кишечник в результате этих процедур.
Не вызывает сомнения, что своевременная диагностика сосудистых заболеваний крайне необходима. Благодаря ей удается помочь многим людям прожить не только долгую, но (что важно) активную жизнь. Поэтому бесспорны достоинства допплерографии и дуплексного сканирования как основных методов ранней диагностики. Внимательное отношение к своему организму – залог сохранения здоровья.
Видео: врач-невролог проводит допплерогафию (на примере сосудов мозга)
Шаг 2: после оплаты задайте свой вопрос в форму ниже ↓ Шаг 3: Вы можете дополнительно отблагодарить специалиста еще одним платежом на произвольную сумму ↑