
Компьютерная томография почек: правила подготовки, проведение и результаты
В организме почки играют роль фильтра, очищающая кровь и выводя токсические вещества и продукты обмена за пределы внутренней среды. При нарушении их функции возникают симптомы почечной недостаточности, способные стать причиной развития тяжелых осложнений. Врачи рекомендуют не игнорировать признаки нарушения работы почек (частые позывы на мочеиспускание, боли в области поясницы и температура, выделение малого количества мочи за сутки и так далее), а своевременно обращаться за медицинской помощью. Помимо общих клинических и инструментальных методов обследования, максимум информации для врача предоставляет компьютерная томография почек.
Определение
КТ почек – неинвазивный лучевой метод диагностики, позволяющий получить информацию о размерах органа и его внутреннем строении. Лечащий врач изучает как отдельные плоские снимки, так и трехмерную реконструкцию почек. Такие технологии помогают оценить норму или обнаружить заболевания на ранних этапах их развития, что повышает эффективность назначаемой терапии.
Исследование разделяется на два типа: стандартная томография, которая позволяет оценить анатомию почек, и КТ с использованием контрастных веществ для уточнения выявленных изменений и изучения сосудистого русла органа.
Показания и противопоказания
Чаще всего КТ назначается уже после того, как были проведены другие исследования – лабораторные анализы крови (клинический и биохимический), общий анализ мочи, ультразвуковое исследование, рентгенологические снимки области почек и пр. В этих случаях, томография используется для дифференциальной диагностики, когда требуется комплексное обследование. КТ почек проводят для выявления следующих патологий:
- врожденные пороки развития почек;
- хронические инфекционные заболевания (пиелонефрит, абсцессы);
- гидронефроз в связи с нарушением оттока мочи;
- атеросклеротические изменения почечных артерий (стенозы или перекрытие просвета фиброзными бляшками);
- поликистоз;
- метастатическое поражение или первичные опухоли;
- вторичное сморщивание почек;
- повышенное артериальное давление неясного происхождения;
- для оценки состояния почечного ложа после удаления почки;
- травматические повреждения поясницы;
- камни в мочевыводящих путях;
- обструкции мочевыводящих путей без установленной причины.
Существуют состояния, при которых запрещается использовать томографию в качестве диагностического мероприятия:
- беременность (излучение от рентгеновской трубки может привести к порокам развития у развивающегося плода);
- неврологические заболевания, сопровождающиеся резкими подергиваниями или судорожным синдромом – эпилепсия и гиперкинезы;
- дети в возрасте до 5 лет, так как они не способны длительное время сохранять неподвижное положение тела;
- боязнь замкнутого пространства;
- психопатологические состояния.
Не назначают КТ почек с контрастированием при следующих состояниях:
- аллергия и индивидуальная непереносимость контрастных веществ;
- почечная или печеночная недостаточность в стадии декомпенсации;
- тяжелые заболевания легких;
- заболевания щитовидной железы;
- гипергликемия при декомпенсации сахарного диабета.
Период грудного вскармливания является относительным ограничением для КТ с контрастом. При использовании контраста он попадает в кровоток и может попасть в организм ребенка при кормлении грудью. Поэтому женщине после исследования рекомендуют на сутки сцеживать молоко. Детям до 18 лет КТ делают только по строгим показаниям.
Показания и противопоказания определяются лечащим врачом. Не стоит заниматься самостоятельным поиском заболеваний и назначением КТ – при проведении диагностики следует всегда консультироваться со специалистом.
Контрастные вещества и КТ
Использование контраста позволяет оценить чашечно-лоханочную систему, анатомические особенности и кровенаполнение органа, состояние артерий и других сосудов почек, наличие камней или опухолей, тромбоз сосудов и пр. Основным веществом, используемым для контрастного исследования, является йод, который хорошо визуализируется с помощью лучевых методов.
Введение препаратов, содержащих контрастное вещество, может отличаться друг от друга. Существует несколько способов введения рентгенконтрастных препаратов:
- внутривенный;
- пероральный;
- ректальный.
Для КТ почек применяется внутривенная медленная инфузия с помощью шприца-инжектора (Йопромид, Йодиксанол, Йогексол). Процедура позволяет визуализировать сосуды почек и мягкие ткани. Урографин и Верографин в основном используют для выполнения внутривенной урографии.
Перед введением контрастного вещества врач должен провести опрос и собрать аллергологический анамнез, а также выполнить аллергические пробы. После окончания КТ с контрастированием пациент находится под наблюдением специалистов 2-3 часа, чтобы минимизировать негативные последствия, связанные с введением йодсодержащих медикаментов.
Где можно пройти обследование
При развитии первых признаков патологии почек (частые позывы на мочеиспускание, задержка мочи, боли в пояснице на фоне высокой температуры, развитие отеков на лице, наличие крови в моче и др.) стоит записаться на прием к участковому терапевту, врачу-нефрологу или урологу. После прохождения консультации и первичного обследования доктора назначают дополнительные методы исследования: ультразвуковое исследование почек или рентген. Только после того, как будут определены показания к КТ, врач выдаст направление на томографию.
Оплата компьютерной томографии будет произведена за счет полиса обязательного медицинского страхования. Помимо этого, компьютерная томография может быть проведена в частных диагностических центрах за счет средств самого пациента.
Подготовка пациента
КТ почек без контраста не требует особых подготовительных манипуляций: специалист лучевой диагностики проводит первичную консультацию пациента, на которой подробно рассказывает о ходе исследования и отвечает на вопросы человека. Непосредственно перед началом томографии больного просят снять все украшения и металлические предметы, так как они могут привести к снижению качества снимков. Также пациента попросят извлечь съемные зубные протезы и скобы с зубов, и переодеться в больничную одежду.
При применении контрастных веществ требуется дополнительная подготовка: сбор аллергологического анамнеза и проведение аллергопроб; соблюдение диеты за 2-3 дня до томографии (необходимо исключить из рациона все продукты, которые способствуют повышенному газообразованию – свежий хлеб, фасоль, горох и чечевицу, молочные продукты, сладости и сдобную выпечку, газированные напитки, свежие овощи и зелень). Также исключается прием алкоголя и кофеинсодержащих напитков. Вечером накануне процедуры можно перекусить легким ужином. За 4-5 часов до исследования нужно воздержаться от приема пищи, разрешается выпить немного воды.
Ход исследования
Для проведения КТ пациента укладывают на специальный столик, являющийся частью томографа. Исследуемого просят лежать неподвижно во время проведения процедуры и закрыть глаза для сохранения спокойствия. Любые движения туловищем и конечностями могут привести к снижению качества получаемых снимков, что затруднит их последующую расшифровку. На случай ухудшения состояния пациента или появления сильного страха, в томографе есть динамики и микрофон, которые позволяют связаться с врачом.
Специалист проводит инструктаж и уходит в другой кабинет, откуда наблюдает за ходом исследования и состоянием человека. Когда начинается манипуляция, столик-кушетка двигается поступательно в сторону томографа. Сама рентгеновская трубка при этом совершает движение по спирали вокруг тела пациента. Весь процесс диагностики занимает от 15 до 30 минут в зависимости от того, какое количество снимков требуется сделать. После окончания томографии пациента провожают в комнату, где он может переодеться, забрать свои вещи и вернуться в отделение.
При проведении исследования с контрастным веществом, сначала делают серию нативных снимков, затем пациенту внутривенно вводят контраст. Персонал постоянно наблюдает за состоянием пациента, при необходимости измеряют артериальное давление и частоту пульса. В последующем ход процедуры такой же, как и без контрастирования, однако, длительность КТ увеличивается до 30-40 минут. После завершения исследования больного провожают в палату, где в течение 2-3 часов наблюдают за его состоянием.
Во время введения контраста у некоторых пациентов возникают неприятные ощущения – металлический привкус во рту, головная боль или тошнота. Если интенсивность симптомов нарастает и состояние ухудшается, необходимо немедленно сообщить об этом врачу.
Интерпретация результатов
Оценкой состояния почек и расшифровкой результатов компьютерной томографии занимается специалист по лучевой диагностике. Самостоятельная постановка диагноза не допускается, так как это может привести к назначению неэффективного лечения. После того как будет готово заключение, лечащий врач пациента подбирает ему терапию, которая зависит от выявленной патологии и степени ее выраженности.
В случае самостоятельного обращения в частную клинику, пациент получает заключение от врача-рентгенолога на руки. Вместе с ним следует записаться на прием к терапевту или нефрологу, которые смогут правильно оценить клиническую ситуацию и подобрать дальнейшие диагностические и лечебные методы.
Осложнения и побочные эффекты
При проведении компьютерной томографии без контраста один раз в 6-12 месяцев побочные эффекты не встречаются. Если женщина не знает о беременности или скрывает это от врача, то процедура может привести к негативным последствиям. Воздействие рентгеновских лучей на плод, особенно на ранних стадиях его развития, грозит формированием различных пороков внутренних органов и нервной системы или гибелью ребенка.
Процедура с применением контрастного вещества может вызывать аллергические реакции в виде сыпи на коже, отечности губ или слизистых оболочек, приступа бронхоспазма и анафилактического шока с падением артериального давления. В связи с этим перед проведением манипуляции врачи тщательно выясняют аллергологический анамнез и проводят пробы с рентгенконтрастными средствами.
Компьютерная томография может вызвать у человека приступ паники и страха из-за длительного нахождения в замкнутом пространстве. Для решения этой проблемы с пациентом постоянно поддерживается речевой контакт. Кроме того, существуют томографы, которые имеют незамкнутый контур, в результате чего люди чувствуют себя спокойно во время всей процедуры.
Преимущества томографии
Компьютерная томография – один из методов визуализации почек и мочевыводящих путей. Диагностическое исследование обладает следующими преимуществами по сравнению с аналогами:
- Безопасность исследования, так как обычная томография имеет низкую лучевую нагрузку, которая не способна навредить пациентам при ограничении количества процедур в год.
- По сравнению с магнитно-резонансной томографией (МРТ), КТ имеет более низкую стоимость, что делает его доступнее для большого числа пациентов.
- Высокие диагностические возможности − томограф способен обнаружить опухолевое образование размером от 0,5 мм, что обеспечивает раннее выявление патологии с последующим успешным лечением.
- Высокая скорость проведения исследования. КТ почек с использованием контраста занимает от 20 до 30 минут, нативное до 15 минут. В среднем, МРТ почек занимает 40-50 минут. Если при этом вводят контрастные средства, то длительность процедуры увеличивается до 70-90 минут.
- Высокая степень безопасности томографии позволяет использовать ее для оценки состояния больных после оперативных вмешательств.
- Отсутствие шума при работе компьютерного томографа. МРТ во время процедуры издает сильный шум, который плохо сказывается на состоянии пациентов, особенно, детей.
- Компьютерные томографы имеются практически в каждом лечебном заведении. Устройства для магнитно-резонансной томографии распространены меньше, в связи с чем подобное исследование не всегда может быть проведено.
Цена томографии почек колеблется по регионам России от 5 до 7 тысяч рублей без контраста и до 9 тысяч рублей с использованием контрастного вещества. Как правило, стоимость исследования компенсируется Фондом обязательного медицинского страхования.
Компьютерная томография почек – отличный метод диагностики заболеваний на ранних стадиях. Например, томография показывает опухоль и метастазы при размерах, когда их невозможно выявить с помощью УЗИ. Компьютерная томография при этом обладает высокой степенью безопасности и точности, что позволяет использовать ее у пациентов различного возраста и при различных патологиях почек. Обычно, КТ назначается после предварительного УЗ-исследования почек, анализов крови и диагностических проб мочи, так как метод носит уточняющий характер. При необходимости оценки выявленной патологии и визуализации сосудистого русла органа проводят томографию с рентгенконтрастным веществом.
Компьютерная томография почек
Краткое содержание статьи:
- Показания и противопоказания
- Что показывает КТ почек без контраста
- Использование контрастирования
- Что показывает КТ почек с контрастом
- Преимущества данного метода
- Как подготовиться к КТ почек
- Как проводится исследование почек
- Расшифровка и заключение врача
- Частые вопросы пациентов
- Где сделать КТ почек?
Запись со скидкой на КТ и МРТ в клиники Москвы и Московской обл.: +7 (499) 519-32-37
Один из самых информативных методов диагностики мочевыделительной системы – КТ почек. Компьютерная томография позволяет получить точную информацию о структурном строении органа и выявить скрытые патологии. Сделать КТ почек можно в исследовательских институтах и в диагностических центрах.
Краткое описание:
Продолжительность обследования: от 30 секунд до 5 минут, с контрастом – до 30 минут.
Применение контраста: необходимо практически всегда.
Предварительная подготовка: есть.
Противопоказания: есть.
Ограничения: масса пациента до 200 кг.
Подготовка заключения: до 30 минут.
Диагностика детям: от 14 лет.
Показания и противопоказания
Компьютерная томография почек назначается при наличии следующих показаний:
- Анализы и предварительная диагностика показали камни в почках.
- Болевые синдромы в области поясницы.
- Появление крови в моче.
- Травмы спины.
- Киста почки.
- Сильная отечность.
- Затрудненное мочеиспускание.
- Наличие в моче белка сверх установленной нормы.
Показания к тому, чтобы сделать КТ надпочечников и почек:
- Повышенный рост волос на теле.
- Половая дисфункция.
- Резкое снижение или увеличение веса.
- Сбой в работе почек.
- Наличие различных новообразований в почках и в железе.
- Васкулит, атеросклероз, тромбоз.
- Аномалии в развитии мочевыводящей и эндокринной системы.
- Гидронефроз.
Противопоказания к проведению исследования:
- Беременность и лактация.
- Возраст пациента до 14 лет.
- Сахарный диабет.
- Клаустрофобия.
- Вес пациента свыше 200 кг.
- Психические заболевания, сопровождающиеся неадекватным поведением больного.
- Наличие в теле обследуемого кардиостимулятора, инсулиновой помпы, металлических шин и скоб.
Что показывает КТ почек без контраста
Мультиспиральная КТ почек диагностирует:
- Поликистоз почек.
- Камни и песок в почечных лоханках.
- Воспалительные заболевания почечных тканей.
- Дистрофию почки.
- Врожденные аномалии развития органа.
- Травмы мочеточников и почек.
- Цистит и пиелонефрит.
- Кровоизлияния в с околопочечную жировую клетчатку.
- Аномальное развитие и воспалительные заболевания мочевыводящих путей.
Использование контрастирования
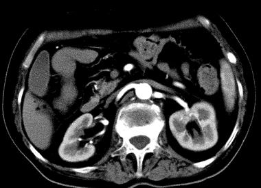
Для более детального изучения некоторых заболеваний проводят КТ почек с контрастированием. Контрастный препарат на основе радионуклидов йода вводится пациенту внутривенно. Если исследуется онкологический очаг на ранней стадии образования, то в этом случае используют КТ почек с болюсным усилением.
Фото: снимок КТ почек с контрастом
Болюсное усиление – это капельное введение контраста на протяжении всего исследования. Контрастное вещество медленно поступает в почку и «захватывается» патологическими клетками. В результате накопленный в пораженной области радионуклид делает границы этой области хорошо различимыми на снимках.
Что показывает КТ почек с контрастом
- Рак почки.
- Метастазы в почках и в прилегающих тканях.
- Сосудистые патологии (определяется при ангиографии сосудов почек).
- Абсцессы в почечной лоханке и в мочеточниках.
- Рак надпочечников.
- Метастазы в надпочечниках.
- Ангиомиолипома почки.
- Непроходимость мочеточников.
- Апостема почки.
- Рак почки.
- Метастазы в почках и в прилегающих тканях.
- Сосудистые патологии (определяется при ангиографии сосудов почек).
- Абсцессы в почечной лоханке и в мочеточниках.
- Рак надпочечников.
- Метастазы в надпочечниках.
- Ангиомиолипома почки.
- Непроходимость мочеточников.
- Апостема почки.
Диагностика мочевыделительной системы с применением контрастного препарата называется внутривенная компьютерная пиелограмма.
Преимущества данного метода
Основное преимущество компьютерной томографии – это возможность создать трехмерное изображение обследуемого участка или органа, что немаловажно при подготовке к операционному вмешательству. По своей эффективности КТ заметно превосходит ультразвуковую диагностику, экскреторную урографию и обычный рентген.
В плане исследования онкологии на раннем этапе развития с точностью компьютерного томографа не сравниться не один другой метод диагностики. Только томограф с помощью контраста может точно установить место локализации опухоли, ее размер и этиологию.
Как подготовиться к КТ почек
Подготовка к КТ почек начинается за несколько дней до обследования. Пациенту необходимо в течение 2-3 дней соблюдать особую диету, исключающую продукты и блюда из бобовых культур. Также в эти дни нельзя употреблять газированные напитки, кисломолочные продукты, продукты, содержащие дрожжи и способствующие повышенному газообразованию в кишечнике.
Если назначено КТ мочевого пузыря, то на диагностику следует прийти с наполненным мочевым пузырем. Обследование выполняется натощак. Последний прием пищи не позднее, чем за 5 часов до начала процедуры. утром накануне обследования можно выпить воды или некрепкий чай.
Людям, у которых ранее наблюдались аллергические реакции на медицинские препараты, рекомендуется сделать тест на восприимчивость контрастного вещества. Если на выбранный врачом препарат тест будет положительный, врач может либо заменить маркер при проведении диагностики, либо провести исследование без контраста.
Как проводится исследование почек
Пациента, подготовившегося к процедуре, укладывают на подвижную кушетку томографа, которая задвигается в полость аппарата. Подвижное кольцо сканера начинает спирально-поступательное движение вокруг исследуемого участка. Датчики считывают информацию и отправляют ее на компьютер, где после соответствующей обработки будут сформированы послойные снимки.
При исследовании с контрастом контрастное вещество вводится в вену пациента непосредственно перед началом процедуры исследования. При дополнительном болюсном контрастировании больному ставится капельница с контрастом, и он поступает в кровь постепенно на протяжении всего периода сканирования. Длительность диагностического процесса ориентировочно занимает около 20 минут.
Расшифровка и заключение врача
Окончательная расшифровка снимков и подготовка заключения занимает от 15 минут до получаса. Компьютерная томография не ставит диагноз, она лишь обнаруживает и детализирует наличие патологических участков в исследуемом органе. Это и отражает в заключении врач-диагност.
Если проводилось исследование онкологического заболевания, то точность выявления начальной стадии рака при размерах опухоли менее 3 мм составляет 97%. На более поздних стадиях точность составляет 100%. Онкологический очаг четко визуализируется на томографических снимках, а послойные изображения позволяют оценить степень гомогенности опухоли и степень ее злокачественности.
Частые вопросы пациентов
• Что лучше: КТ или МРТ почек?
– Оба эти метода одинаково эффективны при обследовании органов забрюшинного пространства. Компьютерный томограф лучше «видит» плотные структуры и сформировавшиеся опухоли. Магнитно-резонансный томограф хорошо визуализирует патологии мягких тканей и сосудов.
• Что информативнее: КТ или УЗИ почек?
– КТ информативнее, но дороже. Томография может распознать камни в почках и в мочевом пузыре, независимо от того, какой структуры эти минеральные образования. УЗИ не «видит» оксалаты, но хорошо определяет наличие фосфатов. Онкологию УЗИ диагностирует только на поздних стадиях. КТ в этом плане более информативна и способна распознать опухоль размером в несколько миллиметров.
• Как часто можно делать КТ почек?
– Несмотря на то, что компьютерный томограф использует для сканирования рентгеновское излучение, современные аппараты созданы с таким расчетом, чтобы максимально уменьшить лучевую нагрузку на обследуемого человека. Поэтому данную диагностику можно проходить столько раз, сколько назначит лечащий врач. КТ почек ребенку также выполняется с учетом общегодовой лучевой нагрузки. Если возникла необходимость обследовать ребенка возрастом менее 14 лет, то диагност выставит на аппарате минимальный уровень излучения.
Где сделать КТ почек?
Сделать КТ почек можно в диагностических центрах, в урологических клиниках и в исследовательских институтах. Компьютерными томографами сейчас оснащены много муниципальные поликлиники и больницы. Цена КТ почек варьируется в пределах 3000-5000 рублей в зависимости от модели диагностического оборудования и квалификации обслуживающего персонала.
Компьютерная томография почек: особенности процедуры с контрастированием и другие виды, подготовка с обследованию, результаты
Медицинская наука почти два тысячелетия основывалась на очень примитивных методах диагностики — прощупывании, выстукивании и выслушивании различных звуков в организме. Естественно, точность установленных диагнозов врачами древности, средневековья и нового времени оставляла желать лучшего. Приблизительно такой же эффективностью обладали методы лечения. И вот наконец в последнее столетие медицинская диагностика сделала громадный шаг вперёд. У врача появились невиданные доселе возможности — изучить внутреннее строение органов при жизни пациента. Рентген и ультразвук — первые вехи движения медицины вперёд. В конце двадцатого века появился метод, который ещё больше повысил точность устанавливаемых диагнозов. Болезни почек не стали исключением. Этот ультрасовременный метод диагностики — компьютерная томография.
Внутреннее строение почки
Почки, как и любой другой орган, приспособлены для выполнения своей главной задачи — очищать кровь от вредных веществ, образующихся ежедневно во всех участках организма. Парные органы бобовидной формы расположены внутри живота на уровне поясничного отдела позвоночника. Широкой частью почки обращены в сторону рёбер. Рядом с позвоночником расположены сосуды, приносящие кровь — артерии и вены. Здесь же начинается извилистая трубка для отведения мочи — мочеточник.
Почка имеет сложное внутреннее строение
Под внешней оболочкой почки находится плотный участок — кора. Здесь близко расположены нефроны — специальные структуры, образующие мочу. В составе каждого нефрона имеются два принципиально разных компонента — клубочки и канальцы. В первых происходит грубая очистка, во вторых — более тонкая. Клубочки получили своё название из-за того, что состоят из переплетённых мелких сосудов. Именно здесь находится тот фильтр, через который первично прогоняется под давлением вся кровь организма несколько десятков раз за сутки.
Клубочки плавно переходят в канальцы — длинные узкие извитые трубки. Внутри их расположены клетки, которые умеют распознавать различные химические вещества. Их задача — рассортировать полезные и вредные вещества, попавшие в первичную мочу после прохождения через почечный фильтр. Первые необходимо вернуть в кровоток, вторые отправить наружу. В итоге на выходе из канальцев получается моча конечного состава.
Кора почки состоит из множества нефронов
Из канальцев моча попадает через несколько пирамидальных чашек в лоханку — замкнутую полость, оканчивающуюся отверстием, ведущим в мочеточник. В непосредственной близости от лоханки находятся крупные сосуды — артерии и вены почки. С внешней стороны орган покрыт прочной оболочкой — капсулой и слоем жировой ткани. Верхний полюс почки соседствует с небольшой железой треугольной формы — надпочечником.
Внутреннее строение почки — видео
Методика построения изображения при компьютерной томографии
В конце девятнадцатого века было открыто рентгеновское излучение. С его помощью были получены первые снимки костей скелета и внутренних органов. Рентгеновские снимки ещё долго использовались для диагностики болезней, в том числе почечных. Однако большой точностью полученные на плёнке результаты не обладали. Лучше всего в рентгеновских лучах видны очень плотные и воздушные объекты — кости и лёгкие. Все остальные органы обладают приблизительно одинаковой плотностью, в особенности те, которые заполнены жидкостями — сердце и почки. По сути, рентгеновский снимок представляет собой суммарное изображение всех органов, оказавшихся на пути пучка излучения аппарата.
КТ использует рентгеновские лучи для построения изображения
Компьютерная томография является разновидностью рентгеновского исследования. Однако существует несколько существенных отличий от обычного снимка на плёнке:
- за время процедуры выполняется не один, а множество снимков в разных ракурсах;
- все снимки обрабатываются при помощи компьютера по специальному алгоритму;
- полученные снимки позволяют построить трёхмерную модель органа;
- томографические снимки позволяют выяснить соотношение различных компонентов почки между и собой и с соседними органами.
Основная часть томографа — гентри — содержит рентгеновскую трубку, датчики и стол для пациента. Именно взаимодействие этих трёх компонентов лежит в основе получения томографического изображения. В аппаратах первого поколения использовалась пошаговая съёмка, когда стол, трубка и датчики двигались последовательно в одном направлении.
Современные томографы производят спиральное сканирование
В современных аппаратах используется спиральный (СКТ) и мультиспиральный (МСКТ) тип съёмки. В момент исследования трубка и датчики движутся вокруг стола пациента по спиральной траектории, при этом рентгеновские лучи генерируются аппаратом в строго определённых направлениях. В результате получается серия отдельных снимков — срезов. Чем больше срезов снимает аппарат, тем меньше их толщина и точнее полученное изображение. На сегодняшний день самыми современными томографами являются 128 и 256-срезовые. В 2007 году японская фирма Toshiba представила 320-срезовый компьютерный томограф.
МСКТ имеет ряд преимуществ перед спиральной томографией:
- временное и пространственное разрешение у многослойной КТ лучше;
- больше скорость съёмки;
- более чёткое изображение;
- снижение дозы радиации на треть;
- широкий охват исследуемой поверхности;
- улучшение контрастного разрешения.
При исследовании плотных органов полученных по такой методике изображений вполне достаточно для установления точного диагноза. Органы, которые заполнены жидкостью — сосуды, почечная лоханка, мочевой пузырь, нуждаются в применении контрастного вещества. Этот препарат вводится путём обычной инъекции в локтевую вену, после чего попадает в крупные сосуды. Через определённый промежуток времени препарат достигает почек, проходит через фильтр клубочков, канальцы и попадает в лоханку и мочеточник. Такое дополнение к исследованию существенно повышает качество полученного изображения.
Омнипак — современный рентгенконтрастный препарат
В качестве контрастного вещества используются препараты, содержащие йод — Омнипак, Оптирей, Йопамидол. Препарат при введении может вызвать неприятные ощущения — тошноту, рвоту, покраснение лица, головную боль. Возможна местная аллергическая реакция в виде кожной сыпи. Наиболее опасной является системная реакция с нарушением деятельности сердца и сосудов (анафилактический шок). Контрастный препарат целиком выводится из организма с мочой. Поэтому жизненно необходимо, чтобы почки нормально выполняли свою работу по очистке крови. Доза препарата зависит от вида исследования и веса пациента.
Сыпь на коже — одно из проявлений аллергии на йодсодержащий препарат
Компьютерная томография — видео
Подготовка и методика проведения КТ почек
При проведении бесконтрастного исследования предварительной подготовки не требуется. Непосредственно перед процедурой необходимо снять все украшения и металлические предметы, чтобы создаваемые ими помехи не ухудшали качество изображения. Перед проведением контрастного исследования рекомендуется употреблять пищу не позднее, чем за четыре часа.
Компьютерная томография почек проводится в крупных больницах и частных медицинских центрах. Обычно процедура является плановой, осуществляется по направлению лечащего врача и служит для уточнения диагноза. Продолжительность процедуры зависит от того, какой тип исследования — с контрастом или без — используется. При томографической съёмке почек используется следующий алгоритм:
- Пациент укладывается на стол в положение на спине, головой в сторону гентри.
- Съёмка происходит в направлении от головы к ногам.
- Аппарат формирует срезы от диафрагмы до малого таза.
- По окончании съёмки программа реконструирует полученные изображения.
При контрастном исследовании препарат автоматически вводится в вену по команде специалиста, проводящего процедуру. После этого съёмка производится повторно. При необходимости получить изображение лоханок, мочеточников и мочевого пузыря съёмка повторяется через некоторое время, за которое почки выводят препарат.
Йодсодержащий препарат вводится в вену автоматически
Преимущества и недостатки метода
Популярность метода компьютерной томографии обусловлена рядом преимуществ:
- для проведения исследования не требуются разрезы и общее обезболивание. Исключение составляют лишь маленькие дети. В контуре аппарата во время съёмки двигаться нельзя, это ухудшит качество изображения. Поэтому младенцам и грудничкам даётся кратковременный наркоз;
- точность полученных изображений позволяет установить правильный диагноз;
- исследование осуществляется в амбулаторных условиях, госпитализация в стационар не требуется;
- результат можно получить на руки в виде распечатки снимков на плёнке и записи на компакт-диске. Впоследствии их можно предоставить лечащему врачу и использовать для сравнения с другими результатами.Во время исследования делается серия снимков
У компьютерной томографии, также как и у любого метода, существует ряд недостатков:
- качество изображения сильно снижает сигнал от металлических конструкций внутри организма, особенно вблизи интересующего участка. К таковым относятся искусственные протезы суставов, позвонков, штифты, болты и другие конструкции для закрепления костных отломков;
- при введении контрастного вещества возможны неприятные ощущения, местные и общие аллергические реакции;
- контрастное исследование невозможно провести при плохой способности почек фильтровать кровь (почечной недостаточности);Контрастное вещество не используется при почечной недостаточности
- повторять томографию слишком часто нельзя, поскольку существует ограничение по допустимой годовой дозе лучевой нагрузки.
- использование рентгеновских лучей для построения изображения делает невозможным проведение исследования при беременности из-за их негативного влияния на развивающийся плод;
- вес пациента, помещаемого в контур аппарата, ограничен. У каждого томографа в инструкции указан максимальный вес объекта, который можно исследовать.
Показания к проведению КТ и расшифровка результатов
Анализ изображений, полученный с помощью компьютерной томографии, позволяют диагностировать различные почечные заболевания:
- инфекционно-воспалительные: пиелонефрит, туберкулёз почки, карбункул, паранефрит;
- онкологические: рак почки и лоханки, доброкачественные опухоли (ангиомиолипома);
- аномалии развития почки: удвоение чашек, лоханок, мочеточников;
- аномалии строения сосудов почки;
- гидронефроз;Гидронефроз возникает из-за блокады оттока мочи
- поликистоз;
- одиночные кисты почки;
- мочекаменную болезнь.
Аномалии развития
КТ успешно диагностирует анатомические аномалии во внутреннем строении почки. Такие изменённые органы — результат их неправильного развития в материнской утробе. Аномалии чаще всего сопровождаются уменьшением размера почки. С помощью томографии можно отличить гипоплазию и аплазию почки. В первом случае внутри органа имеются все его части — кора, лоханка, сосуды. Все они имеют миниатюрные размеры. В случае аплазии никакой подобной картины нет. На месте почки отмечается небольшое образование, по плотности схожее с соединительной тканью.
При аплазии размер почки резко уменьшен
При просмотре реконструированных срезов специалист может диагностировать подковообразную почку. По сути — это два органа, которые по какой-то причине срослись в одну структуру. На КТ-снимках хорошо видно удвоение чашечно-лоханочной системы и мочеточника. Если у человека не достаёт одной почки или сформировалась добавочная — специалист это обязательно отметит.
Кисты почек
Разрешающая способность современных аппаратов позволяет диагностировать кисты размерами 2–3 мм. На снимках кисты выглядят в виде образований круглой формы с чёткими контурами. Внутри этих образований определяется однородное содержимое, плотность которого соответствует жидкости. Однозначно определяется граница между кистой и здоровой почкой. При контрастном исследовании эта область не накапливает препарат.
Кисты в почках отличаются округлыми ровными контурами
Компьютерная томография — способ распознать поликистоз. На снимках такая почка имеет волнообразные контуры и разную плотность на всех участках. Размер такого органа, как правило, увеличен. Нормальная ткань почки определяется в виде узких полос, лежащих между кистами.
Киста почки — видео
Опухоли
КТ — замечательный метод диагностики рака почки. Злокачественное новообразование, растущее наружу из почки, на снимках выглядит как выбухание наружного контура. Опухоль, растущая внутрь, приводит к деформации изображения чашек и лоханки. Контуры таких образований неровные, их плотность несколько выше или ниже здоровой ткани почки. Метод позволяет диагностировать опухоли размерами два и более сантиметра. При проведении контрастного исследования участок опухоли неравномерно захватывает йодсодержащий препарат. КТ позволяет диагностировать самую частую разновидность доброкачественной опухоли почки — ангиомиолипомы. Плотность этого новообразования соответствует жировой ткани. Контуры этой опухоли чёткие.
Опухоль почки выглядит как образование с неровными контурами
Рак почки — видео
Гидронефроз
Гидронефроз — ещё одно показание для проведения томографического исследования почек. Для этой болезни характерно чрезмерное расширение чашек и лоханки. Чаще всего причина кроется в каком-либо препятствии, стоящем на пути оттока мочи. При компьютерном исследовании можно достоверно определить размеры чашек и лоханки, а также здоровых участков почки. При введении контраста можно наблюдать, как он заполняет чашки и лоханку.
Гидронефроз хорошо диагностируется при контрастном исследовании
Гидронефроз — видео
Туберкулёз почки
Томографическая картина туберкулёза почек несколько напоминает таковую при кистах. Инфекционное воспаление приводит к образованию внутри почки полостей, которые не накапливают контраст. Все они не выходят за внешний контур почки. Внутри таких полостей часто обнаруживаются плотные мельчайшие очаги скопления кальция.
Мочекаменная болезнь
КТ успешно диагностирует камни в почках размерами до 1 мм. Они хорошо заметны на фоне окружающих тканей благодаря своей высокой плотности. Чаще всего они имеют округлую форму, однако иногда могут быть очень причудливыми (коралловидный камень почки). Если камень блокирует отток мочи, специалист обнаруживает признаки гидронефроза.
КТ — способ диагностики мочекаменной болезни
Мочекаменная болезнь — видео
Компьютерная томография существенно повышает точность диагностики почечных заболеваний. Воспаление, туберкулёз, опухоль, анатомические аномалии — все эти диагнозы устанавливаются благодаря современной технологии исследования.
- Автор: Елена Тимофеева
- Распечатать
Что показывает и как делается компьютерная томография почек и надпочечников
Определить проблемы, связанные с внутренними органами на сегодняшний день можно благодаря проведению процедуры компьютерной томографии.
Данный метод сканирования органов существует относительно недавно, но зарекомендовал себя с положительной стороны. КТ позволяет диагностировать отклонения в работе почек и надпочечников.
Процедура безболезненна для человека. В результате больной может получить полную картину о состоянии своего здоровья и при необходимости приступить к медикаментозному лечению.
Смысл компьютерной томографии
Основная суть данной процедуры состоит в том, чтобы получить как можно большее количество снимков определённого органа в различных проекциях и разрезах. Компьютерные снимки обрабатываются специальной программой, после чего сохраняются на компьютере.
Завершающим этапом исследования является получение снимков, которые в полной мере могут отобразить внутренний орган человека.
При наличии отклонений в развитии почек или надпочечников на фото будет все четко видно. Обычно снимки расшифруют медицинские специалисты.
Как делают КТ с контрастированием?
Для получения более полной картины заболевания почек пациенту могут проводить КТ с контрастом.
Используемое вещество является абсолютно безопасным для человеческого организма. И спустя несколько часов после исследования оно выводится вместе с мочой.
Введенный контраст попадает в ткани органа и окрашивает их. Эта дает возможность заметить все отклонения в строении органов. Очень часто используя контраст, специалисты пытаются определить наличие опухоли или новообразований.
Контраст позволяет правильно оценивать работу почек. Ведь он показывает скорость выделения и клубочковую фильтрацию (это главные показатели, которые свидетельствуют о правильном функционировании данного органа). Контрастирующие вещество создано на основе йода.
Очень важно перед проведением процедуры провести тест на наличие аллергических реакций. Если после пробы пациент чувствует жжение на коже, появляется небольшая сыпь, то это говорит о том, что такую процедуру ему не рекомендуется проводить.
Пациент, которому вводят контраст на протяжении 1,5 часов может ощущать привкус металла во рту и тошноту. Не стоит бояться, это считается нормальной реакцией организма на препарат.
Показания к проведению процедуры
Назначать процедуру сканирования внутренних органов может только врач. Это делается с целью подтвердить предполагаемый диагноз, либо же установить на какой стадии протекает то или иное заболевание.
Так же КТ почек, мочевыводящих путей и надпочечников целесообразно проводить в таких случаях:
- если диагностируется какое-либо отклонение в органе, проведение данной процедуры является обязательным дабы подтвердить предполагаемый диагноз и установить характер заболевания;
- для определения опухолей и новообразований, а так же для регулярного контроля за их ростом и распространением в органе;
- исследования сосудистых патологий в почках и надпочечниках;
- для тщательной диагностики сосудистой системы данных органов, а так же определения наличия мочекаменной болезни;
- при почечных коликах и при неправильном развитии данных органов;
- при получении тяжелых травм, которые могли отразиться на функционировании этих органов;
- если имеются воспалительные процессы в почках и диагностируется околопочечная клетчатка;
- для установления диагноза, который бы подтвердил наличие лимфоузлов и кист в почках и надпочечниках.
Компьютерная томография почек и надпочечников проводится как отдельная процедура, а так же при комплексном обследовании всего организма.
Очень часто данное исследование проводится перед биопсией почки и после проведения хирургических операций по трансплантации этих органов.
Кому противопоказано проведение обследования?
Подобный способ диагностирования почек доступен далеко не все желающим. Для определенной группы больных существуют некоторые противопоказания, которые заключаются в следующем:
- Наличие острой боли в области органов, которая в свою очередь не даст больному возможность находиться в обездвиженном положении во время проведения диагностики.
- Не рекомендуется проводить подобную диагностику беременным и женщинам, которые кормят ребенка грудным молоком. Обследование можно провести только тогда, когда ребенка не будут прикладывать к груди на протяжении 2 дней.
- Наличие аллергии на контрастное вещество (если процедуру необходимо проводить только с ним).
- Почечная недостаточность. При данном нарушении запрещается проводить исследованием с введением контраста.
- Наличие сахарного диабета, который протекает в тяжелой форме.
- Масса тела больного составляет выше, чем 120 килограмм.
- Наличие клаустрофобии.
- Неуравновешенная психическая система человека (наличие психосоматических заболеваний).
- Дети, возраст которых не достиг 14 лет.
Перед процедурой
Никакой особой подготовки перед проведением компьютерной томографии почек не нужно проводить, в случае исследования с контрастированием необходимо отказаться от приема еды за 3-4 часа до диагностики.
Очень важно, чтобы на теле пациента не находилось металлических предметов и украшений. Они могут негативно отразиться на результатах обследования и качестве снимков.
Обычно врач заранее уведомляет больного обо всех тонкостях проведения данной процедуры.
Как проходит процедура сканирования?
Вся диагностика может длиться от 30 минут до 1 часа.
Человека предварительно укладывают на специальный стол и закрепляют его конечности медицинскими заклепками (это необходимо для того, чтобы обеспечить его полную неподвижность).
После чего человек помещается в сканер, который на протяжении всей диагностики медленно передвигается по той области, которую необходимо изучить. За прибором из другого помещения управляет врач.
Он хорошо видит больного и все, что с ним происходит. Так как в самом сканере достаточно шумно, больному предлагают одеть на уши наушники.
В непредвиденных случаях внутри сканера находится специальная кнопка, нажав которую пациент может дать понять, что с ним что-то не так.
При использовании контраста, пациенту во время сканирования необходимо периодически задерживать дыхание. Об этом ему будет сообщать врач по микрофону. При этом пациент не чувствует болевых ощущений.
При наличии легкого страха замкнутого пространства, могут быть использованы седативные средства. Так же в некоторых случаях врачи могут позволить нахождение кого-нибудь из родственником в непосредственной близости с пациентом.
Результаты исследования
После проведения компьютерной томографии почек и надпочечников, возможно, установить наличие большого количества заболеваний и отклонений в этих органах.
Что показывает КТ почек:
- увеличение, сращивание почек либо же неправильное месторасположение в организме человека;
- подтверждается наличие камней в почках, определяется их конкретное месторасположение в органе;
- на снимке буду хорошо видны опухоли, новообразования кисты;
- наличие сильного воспалительного процесса в почках (абсцесс);
- изменения в структуре сосудистой системы;
- дисфункция выделительной системы;
- гидронефроз, который может появиться после получения тяжелой травмы.
На сегодняшний день данная диагностика не представляет никакой угрозы для здоровья человека. Не зафиксировано ни одного случая, который бы мог подтвердить тот факт, что человеку после КТ становилось хуже.
Редко возможны головные боли и головокружение. Если использовался контраст, то несколько часов пациента может тошнить.
Обычно исследование происходит спокойно и без осложнений.
Слово пациентам
Отзывы больных, которые прибегали к использованию КТ почек.
Длительное время болела спина. Врачи не могли установить точный диагноз. После большого количества анализов и процедур было принято решение пройти компьютерную томографию почек и надпочечников.
Исследование установило у меня наличие мочекаменной болезни. Как выяснилось, именно камни вызывали у меня острые боли и чувство дискомфорта в пояснице.
Николай, 48 лет
Компьютерную томографию проводили моему сыну для подтверждения предполагаемого диагноза. На тот момент ребенку исполнилось 15 лет, поэтому диагностика прошла успешно и без каких-то осложнений.
После сканирования я получила снимки, с которыми отправилась к лечащему доктору. Диагноз был поставлен правильно, после чего мы приступили к лечению.
Наталья, 32 года
Цена данного исследования на сегодняшний день в Москве составляет от 7000 до 8000 тысяч рублей.
Несмотря на такую стоимость, пациент получает возможность узнать о состоянии своего органа всю необходимую информацию для того, чтобы осуществить дальнейшее лечение.