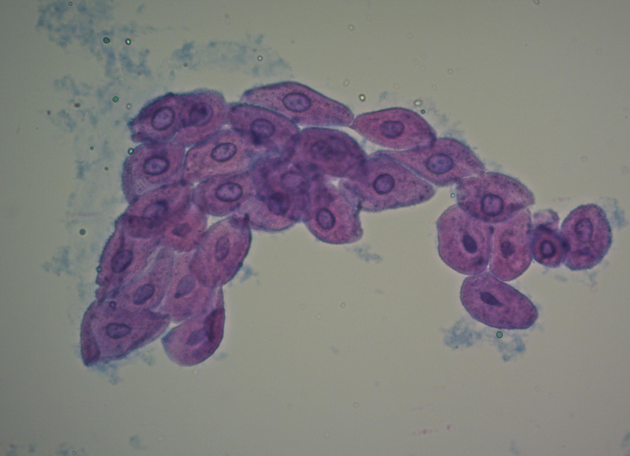
Клетки почечного эпителия в моче

Клетки почечного эпителия в моче[Клетки почечного эпителия в моче]

Эпителий почечный в моче что это значит

Анализы мочи – это обязательная процедура для того, чтобы выяснить общее состояние организма и наличие каких-либо заболеваний. Один из показателей данного анализа – эпителий.

Он является клеточным слоем, выстилающим кожные поверхности, слизистые внутренних органов и систем. Эпителий имеет свои характерные особенности и строение.

В моче у каждого человека присутствуют данные клетки, они попадают в нее через уретру. Резкое увеличение данного показателя может стать сигналом о присутствии в организме какой-либо инфекции. Сам по себе данный элемент практически не несет никакой информации, но в совокупности с другими показателями, он может стать сигналом о воспалительных процессах, которые протекают в организме. Что это значит мы рассмотрим чуть ниже.

Классификация

Помимо количества, в рамках общего анализа мочи определяется и тип эпителия, который выделяется вместе с мочой. В этой биологической жидкости при микроскопии можно обнаружить три типа эпителиальных клеток.

  1. Плоский эпителий – выстилает уретру – их количество повышается при воспалении мочеиспускательного канала (уретрит).
  2. Переходный эпителий – покрывает главным образом стенки мочевого пузыря, а также мочеточников, протоков предстательной железы, почечных лоханок. Также, как и клетки плоского эпителия, данный тип форменных элементов встречается в анализе мочи в единичном количестве. Резкое увеличение количества этого типа эпителия говорит о цистите, пиелонефрите, простатите, мочекаменной болезни. Помимо заболеваний, на количество этих клеток в моче могут влиять некоторые другие факторы.
  3. Почечный эпителий – выстилает канальцы почек – в моче здорового человека обнаруживаться не должен вовсе. Допускается наличие представленного вида эпителиальных клеток для детей возрастом до 1 месяца в количестве от 1 до 10 штук. Выявление почечных клеток в моче человека указывает на поражение паренхимы почек.).

Определение эпителиальных клеток в моче требует от лаборанта особой точности – ведь даже если количество на первый взгляд нормально, необходимо правильно определить тип клеток – от этого зависит диагноз и оценка тяжести состояния человека. 

Норма эпителия в моче

У женщин и мужчин эпителиальные клетки всегда встречаются в анализе. Попадают они туда, слущиваясь со слизистой оболочки мочевыводящих путей. В зависимости от происхождения выделяют переходный vtc (мочевой пузырь), плоский (нижние отделы мочевыводящих путей) и почечный (почки) эпителий. Увеличение эпителиальных клеток в мочевом осадке говорит о воспалительных заболеваниях и отравлениях солями тяжелых металлов.

Норма эпителия в моче:

  • у детей 0-1/ Negative;
  • у мужчин и женщин 0-1-2-3 в поле зрения.

От количества найденного в моче эпителия зависит, есть ли патология в организме. Показатель не более 3 единиц означает, что человек полностью здоров. Если клеток эпителия больше, то предварительно диагностируется воспаление мочеиспускательного канала, что довольно часто наблюдается у мужчин.

Вызывается болезнь вирусами и бактериями. У женщин такое количество эпителиальных клеток не всегда означает наличие болезни. Часто проводят повторный анализ: может быть так, что пациентка неправильно сделала забор мочи.

Как правильно сдать анализ?

Нередко клетки плоского эпителия выявляются в урине в результате неправильной подготовки к сдаче анализа.

  1. Передать емкость с мочой в лабораторию нужно в течение 1-2 часов после мочеиспускания.
  2. При менструации лучше воздержаться от сдачи анализа.
  3. Сбор мочи проводится только в чистую (желательно стерилизованную) емкость, достаточное количество мочи – 100 мл.

Основное правило, которого нужно придерживаться, – проведение гигиенических процедур наружных половых органов до сбора мочи.

Причины повышенного плоского эпителия в моче

Если обнаружены клетки плоского эпителия в моче выше нормы, это значит наличие воспалительного процесса. Вот заболевания, которые диагностируют у взрослых, если анализ указывает на высокие показатели:

  1. Нефропатия лекарственного характера. Структурные и функциональные изменения почек, развивающиеся на фоне фармакологической терапии.
  2. Нефропатия (заболевание почек, при котором нарушено их функционирование) дисметаболического характера. Заболевание, связанное со структурными и функциональными нарушениями почек, развивающиеся на фоне нарушения обмена веществ, сопровождающегося кристаллурией.
  3. Цистит — воспаление мочевого пузыря, вызванное мочевой инфекцией.
  4. Другие уретриты различной этиологии, например, простатит (у мужчин).

Если повышено значение у женщин, то это не всегда означает наличие серьезного заболевания (одного из вышеперечисленных), в то время как для мужчины это является тревожным сигналом для его здоровья.

Почечный эпителий в моче: причины

Если найдена увеличенная концентрация почечного эпителия в моче, то этот факт идентифицирует о происходящих заболеваниях почек в организме, например, о поражении паренхимы почек, потому как почечный эпителий образовывает поверхность канальцев у почек. Причиной воспалений является интоксикация, инфекции, пиелонефриты, сбой кровообращения, гломерулонефриты.

Если у пациента была произведена трансплантация почки, а через три дня результат анализа показывает наличие почечной разновидности, и его содержание 15 и выше в поле зрения, то этот факт говорит о возможности отторжения аллотрансплантата.

Переходный эпителий в моче: причины

Переходный эпителий выстилает лоханки почек, мочеточники, мочевой пузырь, крупные протоки предстательной железы и верхний отдел мочеиспускательного канала. Клетки переходного эпителия в моче здоровых встречаются людей в единичном количестве.

Увеличение количества клеток переходного эпителия может наблюдаться при цистите, пиелонефрите, почечнокаменной болезни. Нормы переходного эпителия не имеют подразделений в соответствии с возрастом и полом. Максимальное количество для здорового человека – это не более 3 клеток в моче.

simptomy-lechenie.net

Эпителий в общем анализе мочи

Эпителием называется слой клеток, который выстилает полости и поверхность тела, слизистые оболочки, в том числе мочеполовые пути.

Моча человека постоянно контактирует с эпителием во время ее прохождения через почки, мочеточники, другие органы мочевыделительной системы. В некоторых случаях клетки эпителия отслаиваются и попадают в мочу. Их можно обнаружить в ходе микроскопического исследования осадка мочи. В зависимости от того, какого вида эпителиальные клетки обнаруживаются, врач может предположить развитие того или иного заболевания.

Виды эпителия в анализе мочи

Специалисты различают три вида эпителия – плоский, переходной, почечный.

Плоский эпителий в анализе мочи у здоровых мужчин обычно не встречается. Он может попасть в мочу из нижней трети мочеиспускательного канала.

В отличие от мужчин, у женщин и девушек в моче практически всегда присутствует незначительное количество плоского эпителия. У них происходит постоянное обновление слизистых оболочек половых органов, и эпителиальные клетки из влагалища попадают в мочу. Кроме того, в моче женщин также может присутствовать небольшое количество клеток плоского эпителия из мочеиспускательного канала.

Достаточно часто встречается плоский эпителий в анализе мочи у новорожденных до двух недель жизни. Это связано с тем, что мочевыводящая система малыша приспосабливается к новым условиям жизни.

Диагностическое значение количества плоского эпителия в исследовании мочи не особенно велико. Однако повышение его уровня содержания может указывать на инфекционные заболевания мочевыводящих путей. Чаще всего данный показатель анализа мочи увеличивается при цистите острого или хронического течения, простатите, остром или хроническом пиелонефрите, уретрите.

Переходной эпителий выстилает мочевой пузырь, мочеточники, лоханки почек, верхние отделы мочеиспускательного канала, крупные протоки предстательной железы у мужчин. В моче здоровых людей клетки переходного эпителия могут встречаться в единичном количестве.

Увеличение содержания клеток переходного эпителия в моче может быть симптомом развития таких заболеваний, как пиелонефрит, цистит, мочекаменная болезнь, новообразования мочевыводящих путей.

Почечный эпителий в общем анализе мочи в норме не должен обнаруживаться. Единичные клетки данного вида эпителия могут наблюдаться в моче новорожденных детей до месяца жизни.

Обнаруживается повышенное содержание почечного эпителия в моче при поражениях паренхимы почек, гломерулонефрите хронического или острого течения, пиелонефрите, интоксикации организма, инфекционных заболеваниях, лихорадочных состояниях, нарушениях кровообращения. Выявление этого вида эпителия указывает на поражение почечных канальцев. Кроме того, значительное повышение количества почечного эпителия является ранним и опасным признаком отторжения трансплантата после пересадки почки.

Норма эпителия в анализе мочи составляет менее 10 клеток в поле зрения микроскопа. Некоторые лаборатории указывают норму данного показателя не более 2-3 клеток в поле зрения.

Достаточно часто клетки эпителия, особенно плоского, обнаруживаются в моче пациента вследствие неправильного сбора мочи на анализ. Многие пренебрегают основными правилами сбора мочи. В результате анализ может оказаться ложным, в том числе в нем могут быть обнаружены клетки эпителия.

Моча на анализ собирается утром натощак (если не было иных рекомендаций врача). Очень важно перед сбором мочи провести тщательный туалет наружных половых органов. Если женщине необходимо сдать мочу во время менструации, нужно воспользоваться гигиеническим тампоном.

Моча собирается в чисто вымытую посуду, лучше всего в специальный контейнер для сбора мочи (можно приобрести в аптеке). На анализ берется средняя моча, то есть сначала мочеиспускание проводят в унитаз, затем в посуду, и завершают тоже в унитаз.

Собранную мочу необходимо в течение двух часов доставить в лабораторию.

При обнаружении клеток эпителия в анализе мочи врач обычно направляет пациента на дополнительные обследования. Только после этого устанавливается диагноз.

ymadam.net

Эпителии в моче

Все знают о строении, функциях и местах расположения эпителиального слоя. Он бывает однослойным (плоским, кубическим призматическим) и многослойным (ороговевающим и неороговевающим) и переходным Клетки эпителия, покрывающие мочеполовую систему человека, со временем могут отслаиваться. Такой процесс способствует его попаданию в осадок мочи. Микроскопические исследования выявляют три вида клеток: плоские, переходные и почечные.

Что значит присутствие плоского эпителия?

Обнаружение небольшого количества плоских клеток не вызывает опасений, особенно часто такое встречается в материале, взятом у женщин и связано с анатомическими особенностями.

Если этот фактор повышен, значит есть воспалительные процессы (простатит, цистит, уретрит) или гинекологические недуги.

Что значит нахождение переходных клеток?

Такие клетки покрывают мочевой пузырь, уретру, мочеточники, лоханки почек и протоки предстательной железы. Небольшое число таких эпителий не требует никаких лечебных действий. Если же переходный эпителий повышен, значит, человек столкнулся с признаками цистита, мочекаменного недуга, а может даже онкологическим заболеванием.

Часто встречается, что в образцах здоровых людей обнаруживают плоский и/или переходный эпителий. Такое явление связано с неправильным забором мочи. Чтобы ваш анализ дал правильный результат нужно соблюдать правила его получения. Урину собирают по утрам, сделав все гигиенические процедуры. Емкость для сбора нужна чистая, лучше стерильная.

Что значит  почечный эпителий?

Такими клетками покрыты почечные канальца в паренхиме. Если в исследовании происходит выявление таких клеток, то это однозначное отклонение. Исключением будет анализ ребенка в первые дни жизни, ведь организм новорожденного выводит оставшиеся гормоны матери. В остальных случаях появление этих эпителий в моче означает протекание воспалительных процессов (пиелонефрит, гломерулонефрит) или даже тяжелых поражений (ишемическое поражение почки при сахарном диабете).

Что значит выявление эпителий у ребенка?

У ребенка в норме будет не больше чем три эпителии в моче, причем как плоских клеток, так и переходных (кубических или цилиндрических). Повышенный показатель в разных комбинациях указывает на разные болезни.

  1. Повышен только плоский эпителий, значит может присутствовать уретрит, цистит и воспаления половых органов.
  2. Увеличение переходного эпителия при нормальном или повышенном плоском эпителии происходит при инфекции или воспалении (цистит, пиелонефрит, мочекаменная болезнь).

Обнаружение почечных эпителий в моче ребенка выявляет аномалии работы почек (пиелонефрит, нефросклероз, туберкулез почек, врожденные патологии) или мочевыводящих путей.

Такие заболевания кроме эпителий в моче имеют богатую симптоматику (боли при мочеиспускании, задержка или недержанием мочи, отеки, нарушением других параметров в исследованиях урины и крови.

Также клетки определяются при:

  • застое урины во время стресса или самопроизвольном удержании;
  • пузырно-мочеточниковом рефлюксе (выброс мочи из мочевого пузыря обратно в почки);
  •  отложении солей;
  • интоксикации организма;
  • использовании катетера при получении материала;
  • проблемах с кровообращенем;
  • неправильном сборе урины;
  • нарушении правил транспортировки материалов.

Здравомыслящие родители должны знать и учитывать факторы, которые стают первопричиной таких заболеваний. Это:

  1. Наследственная предрасположенность. Повышенный риск появления отклонений возможен, если в семье тоже есть такие недуги.
  2. Патологии при протекании беременности.
  3. Недоношенность.
  4. Отклонения в родах (асфиксия).
  5. Врожденные пороки развития.
  6. Стафилококковые и стрептококковые инфекции (ангина, фурункулез, хронический тонзиллит).
  7. Другие перенесенные инфекции.

Если есть такие факторы, то необходима консультация профильного специалиста (нефролог, уролог) и, желательно, систематический мониторинг состояния здоровья ребенка.

www.mymocha.ru

Какие виды эпителия могут быть обнаружены в моче

Любой полостной внутренний орган, кожные покровы и слизистые оболочки, внутренние поверхности кровеносных сосудов и различных каналов обладают наружным слоем, который состоит из эпителиальных клеток. Не исключение и все отделы мочевыделительной системы. Чашечно-лоханочные структуры, мочеточники, мочевой пузырь, мочеиспускательный канал – все эти органы имеют определенный тип клеток эпителия.

Как и во всех тканях организма, в эпителиальном слое мочевых путей постоянно происходят процессы регенерации. Старые клетки, выполнившие свои функции, отмирают и заменяются молодыми элементами. Отторгаясь от стенок, они попадают в просвет каналов и постоянно продвигаются по ним вместе с током урины. В итоге все клетки, подлежащие удалению, оказываются в мочевом пузыре и во время акта мочеиспускания выбрасываются наружу.

Поэтому эпителий в моче всегда должен присутствовать как показатель нормальной (физиологической) регенерации мочевыводящих путей, что и обнаруживает анализ мочи каждого исследуемого человека. У одних пациентов эпительные клетки могут быть в количестве 2-3 штук в поле зрения, у других – несколько больше. По общепринятым лабораторным критериям норма эпителия в моче составляет до 10 клеток.

Поверхность всех отделов мочевыделительной системы выстлана неоднородным эпителием. Его функции и назначение несколько различны, в зависимости от локализации, чем и определяются различия в строении эпителиальных клеток. Поэтому в анализе урины могут обнаруживаться клетки с неодинаковой структурой, что может означать их различное происхождение. В результате в мочевом осадке при микроскопии можно определить следующие типы эпителия:

  • почечный;
  • переходный;
  • плоский.

Развитие воспалительного процесса в мочевыводящих отделах, воздействие токсинов или нарушения кровоснабжения всегда сказываются на состоянии слизистых оболочек, а значит, и на состоянии эпителиального слоя. При всех этих состояниях происходит поражение и массовое отторжение клеток, которые в большом количестве оказываются в просвете каналов и удаляются с мочой. Их изучение под микроскопом позволяет уточнить особенности строения каждой клетки и констатировать ее принадлежность к определенному типу эпителия. Эти данные – незаменимая информация при диагностике почечных патологий.

Почечный эпителий – что это значит

Клетки почечного эпителия в моче не должны быть обнаружены, их появление всегда свидетельствует о серьезной патологии почек. Такой тип строения имеет поверхностный слой слизистой оболочки, выстилающей почечные канальцы, по которым начинает свое движение первичная урина. Наличие почечного эпителия в моче в любом количестве считается нормальным только у новорожденных младенцев в первые 24 часа их жизни. Его присутствие говорит о временном мочекислом диатезе, который развивается в результате влияния гормонов матери на детский организм. Как только эти эстрогены выводятся из организма малыша, так прекращается и выделение клеток почечного эпителия.

При микроскопии можно отметить характерные особенности этих клеток. Они имеют полигональную или округлую форму, зернистую цитоплазму и крупное ядро в виде пузырька. Размер немного превышает лейкоциты.

При исследовании мочи здоровых людей других возрастов данные клетки отсутствуют, но существуют патологии, которые сопровождаются поражением паренхимы и канальцев почек. В этих случаях обнаружение почечного эпителия становится признаком серьезного заболевания, причем чем их больше в поле зрения под микроскопом, тем сильнее поражена паренхима и тяжелее течение болезни, что в дальнейшем определяет прогноз заболевания. Как правило, большое содержание этих клеточных форм в урине наблюдается при следующих заболеваниях:

  • воспалительные патологии (пиелонефрит, гломерулонефрит);
  • мочекаменная болезнь;
  • гемодинамические нарушения в почках (например, при сахарном диабете);
  • отторжение пересаженной почки.

О чем свидетельствует наличие переходного эпителия в анализе мочи

Следующий тип эпителиальных клеток в моче – переходный, который расположен в нижних отделах мочевыводящего тракта. Другое его название – уротелий, и состоит он из 5-8 клеточных рядов. Ими выстланы почечные лоханки, мочеточники, мочевой пузырь, начальный отрезок мочеиспускательного канала. Такое же строение имеет и верхний слой слизистой оболочки протоков предстательной железы. При нормальном состоянии этих отделов слущивание и отторжение старых клеток происходит постоянно, но в небольших количествах. Поэтому нормальным является обнаружение единичных клеток переходного эпителия в моче, от 1 до 3 в каждом поле зрения. При этом суммарное количество всех типов эпителия не должно превышать 10.

При микроскопии эти морфологические составляющие также имеют свои черты, но в целом они полиморфны. Их форма может быть грушевидной или округлой, могут отмечаться характерные «хвостики», размер небольшой, ядра крупные.

Если в анализе мочи уровень переходного эпителиального типа повышен, то можно думать о различных патологиях мочевыводящих путей, встречающихся как у взрослых, так и у детей. Это инфекционные заболевания, злокачественные и доброкачественные новообразования, мочекаменная болезнь, поражение предстательной железы. Но переходный эпителий мочевого пузыря и других отрезков мочевыводящего тракта может иметь транзиторный, или преходящий, характер. Например, при длительном назначении некоторых лекарственных средств (антибиотиков, в частности) или сразу после перенесенного наркоза.

В каких случаях обнаруживается плоский эпителий в моче

Этот тип клеток характерен для конечного отрезка мочеиспускательного канала. У мужчин клетки плоского эпителия в моче, как правило, не обнаруживаются, если сбор урины выполнен правильно и для анализа представлена средняя порция. При этом единичные клетки должны вывестись с начальной порцией мочи. У женщин эпителиальные клетки плоского типа присутствуют как в мочеиспускательном канале, так и в слизистой оболочке наружных половых органов и влагалища. Поэтому плоский эпителий в моче у девочек и женщин есть всегда, но в небольших количествах.

Эти клетки обладают большими размерами, полигональной формой и маленькими ядрами. Они не имеют особого значения в диагностике, но их повышенное количество в анализе мочи может свидетельствовать о том, что порция мочи была собрана не совсем правильно. Поэтому правила сбора урины должны соблюдаться неукоснительно, только в этом случае полученные результаты будут играть диагностическую роль.

Как собрать мочу для анализа правильно

Общий анализ мочи может быть назначен как для уточнения характера заболевания, так и для проведения планового или диспансерного обследования. В большинстве случаев человек знает об этом заранее и может приложить все усилия, чтобы образец мочи был собран по всем правилам. Так, за один день до сбора урины желательно соблюдать меры, которые помогут сохранить естественный цвет и кислотность мочи. Для этого важно отказаться от пищевых продуктов, способных окрасить жидкость в другой цвет: черника, свекла, морковь, цитрусовые.

Необходимо ограничить соль, пряности, исключить временно витамины, нитрофурановые средства (окрашивают мочу в интенсивно-желтый цвет), мочегонные препараты. Чрезмерная физическая нагрузка накануне сбора мочи может вызвать превышение уровня белковых комплексов в анализе.

Утром в день исследования необходимо выполнить следующие действия:

  • не принимать пищу до сбора мочи;
  • промыть наружные половые органы теплой водой с мылом;
  • сбор производится после пробуждения; если это невозможно, то через 2-3 часа после самого первого утреннего мочеиспускания;
  • собирается средняя порция урины в специальный стерильный контейнер или вымытую баночку, при этом начальная и заключительная порции пропускаются в унитаз;
  • емкость закрывается и доставляется в лабораторию утром в день сбора.

Кроме того, необходимо помнить, что женщинам нежелательно собирать мочу во время месячных. Если этого не избежать, то нужно воспользоваться гигиеническим тампоном. После цистоскопии анализ мочи можно осуществлять только через неделю. В некоторых случаях для диагностики требуется собирать не среднюю порцию, а все количество утренней мочи, об этом должен предупредить доктор. Урину важно собирать сразу в емкость, в которой она будет транспортироваться для исследования, отливать ее из горшка или судна не допускается. Желательно доставлять мочу в лабораторию сразу после сбора, но разрешается и кратковременное хранение емкости в холодильнике, не более 2 часов. При более длительной задержке моча теряет свои физические свойства, в ней начинается размножение микроорганизмов.

При соблюдении этих несложных рекомендаций все показатели, в том числе и эпителий в моче, будут наиболее достоверными. В клинической практике, если содержание каких-либо компонентов мочевого осадка высокое, то общий анализ мочи повторяется. Если и в повторных результатах будет слишком много эпителия, лейкоцитов, эритроцитов или белка, то осуществляются дополнительные анализы по другим методикам.

2pochki.com

Эпителиальные клетки в моче

Эпителий — слой клеток, выстилающих поверхность всех внутренних органов, включая также органы мочевыделительной системы. Отмирая, эпителиальный слой частично попадает в мочу, которая проходит по мочевыводящим путям, что обычно обнаруживается при анализе.

У здорового человека эпителий в моче не должен быть вовсе или может присутствовать в минимальных количествах.

Повышенная концентрация данного компонента – сигнал о патологии, чаще всего о воспалительных поражениях мочеполовой системы.

Нормальное выделение эпителия

Эпителиальные клетки в моче присутствуют всегда, но только в малых количествах. Если эпителия слишком много – имеет смысл подозревать наличие в организме воспалительных заболеваний или обратить внимание на употребление определенных медикаментозных средств (например, антибиотиков).

Само по себе повышение количества эпителиальных клеток в моче – не причина для беспокойства, но повод обратиться к врачу, который определит конкретный тип эпителия и характер развивающейся патологии.

Существует три разновидности эпителиальных клеток:

  1. Плоский эпителий. У женщин и детей незначительное количество (до 10 единиц в области увеличительного стекла микроскопа) является нормой, большие объемы – свидетельство развития инфекционного заболевания. У мужчин клетки в любом количестве становятся сигналом о наличии патологии. Иногда плоский эпителий обнаруживается вследствие неправильного предоставления материала для анализа первой, а не второй порции, в нестерильной емкости или при несоблюдении правил личной гигиены перед сбором.
  2. Переходный эпителий. Присутствие в моче более 3-х единиц у представителей любого пола и возраста означает наличие воспаления в отделе мочевыделительной системы. Редко переходный эпителий выделяется вместе с мочой у мужчин, прошедших массаж предстательной железы, а также при начинающемся простатите.
  3. Почечный эпителий. У взрослых и детей, мужчин и женщин нормой является отсутствие подобных клеток в моче (у грудничка до 1 месяца жизни могут быть показатели от 1 до 10 единиц). Повышенная цифра содержания – признак заболевания почек, в частности, канальцев и паренхимы органа.

Подытоживая, следует сказать, что норма для женщин — отсутствие в анализе мочи содержания эпителиальных клеток в моче. Наличие небольшого количества плоского эпителия также допустимо.

Эпителий у детей и будущих матерей

У ребенка, как и у взрослого, процесс отслаивания созревших эпителиальных клеток с последующим выведением с мочой происходит постоянно, вследствие чего анализ обычно показывает наличие небольшого количества плоского эпителия (не более 10 единиц) и единичных проявлений эпителия переходного. Как уже было отмечено, у детей, возраст которых не достиг 1 месяца, возможно, проявление почечных эпителиальных клеток, но только в пределах 1-10 единиц.

Беременность для женщин характеризуется выделением плоских (не более 5 единиц в поле зрения микроскопа) и переходных (не более 1 единицы) эпителиальных клеток, в то время как почечных клеток не должно быть вовсе. Если общий анализ мочи показывает при беременности повышенное количество плоского или переходного эпителия, женщине необходимо пройти обследование для выявления потенциальных воспалительных процессов в мочевыводящих путях.

Возраст и эпителий

У женщин с возрастом норма эпителия плоского в моче меняется, и достаточно значительно. До достижения девочкой 1 года оптимальный показатель – 1-3 единицы, и повышение нормы на 3-5 единиц является поводом для дополнительных обследований и назначения лечения. В течение следующих 17 лет жизни у представительницы женского пола может отмечаться 1-3 клетки, что характеризует оптимальную работу мочеполовой системы.

С возраста 45-50 лет норма выделения эпителия с мочой поднимается до 1-6 единиц, причем без каких-либо значимых причин. Чаще всего это свидетельствует о начале перестройки организма перед менопаузой, а иногда – о некоторых заболеваниях гинекологической сферы. В этом случае жизни женщины ничего не угрожает, но здоровье может оказаться серьезно подорванным.

При превышении уже этих показателей на 4-5 единиц требуется дополнительная диагностика, так как такой результат анализа может свидетельствовать о следующем:

  • проблемах с работоспособностью почек;
  • патологии шейки матки, придатков и яичников;
  • наличии полипов или кист во влагалище (редко).

Анализ мочи на выявление проблемы

Анализ мочи на наличие эпителия важен не только потому, что при его проведении выявляется повышенная концентрация клеток, но и потому, что позволяет определить, какие именно заболевания стали причиной такого состояния. Клеточный состав каждого органа уникален, поэтому эпителий, отделившийся с поверхности почек, под микроскопом заметно отличается от клеток, выстилающих мочеиспускательный канал. Также в ходе анализа клетки идентифицируются, определяется их видовая принадлежность, что тоже способствует постановке точного диагноза.

А чтобы результат анализа был верным, необходимо придерживаться правил сбора мочи, которая сдается на исследование:

  1. Сутки перед анализом не употреблять такие продукты, как свекла, морковь и цитрусовые, отказаться от соли и пряностей.
  2. Не принимать определенные медикаментозные средства — витамины, диуретики и препараты с нитрофурановыми соединениями.
  3. Перед сбором мочи тщательно промыть половые органы.
  4. Необходимо собрать в стерильную емкость не менее 100 мл мочи (утренней, среднюю порцию).
  5. Быстро доставить материал на исследование в клиническую лабораторию.
  6. При менструации желательно отложить сбор урины или собрать ее с использованием гигиенического тампона.

Даже при условии правильного сбора мочи и получения положительных результатов, наличие заболевания дополнительно подтверждается иными анализами. В частности, врач возьмет слизь из влагалища для исследования мазка, назначит общий и биохимический анализ крови на лейкоциты, при необходимости – даст направление на инструментальные методы обследования внутренних органов мочеполовой системы.

Если у пациента повышены показатели содержания эпителиальных клеток в урине, а также присутствуют специфические симптомы (проблемы с мочеиспусканием или боль внизу живота), консультация врача строго обязательна.

mpsdoc.com

Эпителий – это верхний слой всех слизистых оболочек. Именно поэтому при анализе мочи эти клетки могут быть обнаружены. Ведь моча проходит через почки, мочеточники, мочевой пузырь и уретру.

И везде есть клетки эпителия, которые постоянно сменяют друг друга. При этом отпавшие клетки эпителия оказываются в моче.

Однако существует несколько типов эпителия, и об этом стоит поговорить подробнее.

Много эпителий в моче может обнаружиться у женщин. Причём эпителий этот будет называться плоским. В мочу женщины эти клетки попадают чаще всего из влагалища. Однако некоторое количество плоского эпителия может попасть в мочу и из мочеиспускательного канала.У мужчин при этом будет наблюдаться совершенно другая ситуация. В моче здоровых мужчин клеток эпителия практически нет. А если он там и появляется, то появляется из нижней трети мочеиспускательного канала.

Особого значения присутствие этих клеток в моче роли не играет. Но в некоторых случаях при наличии большого числа плоского эпителия можно заподозрить инфекцию в области мочевыводящих путей.

Второй вид эпителия называется плоским. Он тоже присутствует в почках, мочевом пузыре, уретре. В моче не болеющих людей клеточки переходного эпителия выделяются в единичном количестве

Много эпителий в моче данного типа встречается при цистите, пиелонефрит и камнях в почках.И, наконец, третий вид эпителия называется почечным. При хорошем здоровье такого эпителия в моче нет. Однако в некотором случае эти клетки могут быть обнаружены у новорожденных деток. Если в моче есть большого количество этих клеток, то это говорит о том, что в организме есть воспаления почек.

Однако точно определить, есть ли эпителий в моче или нет можно только в лаборатории. На глазок это сделать невозможно. Если в моче есть большое количество клеток эпителия, то непременно стоит выяснить причину его появления, особенно если было найдено большое количество почечного эпителия.

В норме количество эпителия не должно превышать 1-2-3 в поле зрения. Если это количество сильно увеличено, то стоит провести либо новый анализ, либо провести полное исследование организма для определения причины появления большого числа эпителий.

Для того, чтобы анализ был достоверный, мочу нужно собирать правильно и только в чистую посуду. Собирать мочу лучше всего с утра после гигиены наружных половых органов. В некоторых случаях при неправильно собранной моче у женщин, при попадании в баночку вместе с мочой выделений из влагалища, анализ может быть интерпретирован неправильно. И поэтому для его достоверности рекомендуется провести катетеризацию мочевого пузыря.

www.ddhealth.ru

Эпителий в общем анализе мочи

Виды эпителия в анализе мочи

Микроскопия компонентов мочи проводится в осадке, образующемся после центрифугирования 10 мл мочи. Осадок состоит из твердых частиц, суспендированных в моче: клеток, цилиндров, образованных белком (с включениями или без них), кристаллов или аморфных отложений химических веществ.

Эритроциты в моче

Эритроциты (форменные элементы крови) попадают в мочу из крови. Физиологическая эритроцитурия составляет до 2 эритроцитов/мкл мочи. Она не влияет на цвет мочи. При исследовании необходимо исключить загрязнение мочи кровью в результате менструаций! Гематурия (появление эритроцитов, других форменных элементов, а также гемоглобина и др. компонентов крови в моче) может быть обусловлена кровотечением в любой точке мочевой системы. Основная причина увеличения содержания эритроцитов в моче — почечные или урологические заболевания и геморрагические диатезы.

Норма: отсутствуют; при микроскопии — до 2 в поле зрения

Эритроциты в моче — превышение нормы:

  • камни мочевыводящих путей;
  • опухоли мочеполовой системы;
  • гломерулонефрит;
  • пиелонефрит;
  • геморрагические диатезы (при непереносимости антикоагулянтной терапии, гемофилиях, нарушении свертывания, тромбоцитопениях, тромбоцитопатиях);
  • инфекции мочевого тракта (цистит, урогенитальный туберкулез);
  • травма почек;
  • артериальная гипертензия с вовлечением почечных сосудов;
  • системная красная волчанка (люпус-нефрит);
  • отравления производными бензола, анилина, змеиным ядом, ядовитыми грибами;
  • неадекватная терапия антикоагулянтами.

Лейкоциты в моче

Повышенное количество лейкоцитов в моче (лейкоцитурия) — симптом воспаления почек и/или нижних отделов мочевого тракта. При хроническом воспалении лейкоцитурия более надежный тест, чем бактериурия, которая часто не определяется. При очень большом количестве лейкоцитов гной в моче определяется макроскопически — это так называемая пиурия. Наличие лейкоцитов в моче может быть обусловлено примесью к моче выделений из наружных половых органов при вульвовагините, недостаточно тщательном туалете наружных половых органов при сборе мочи для анализа.

Норма: отсутствуют; при микроскопии:

мужчины — 0 — 3 в поле зрения женщины, дети < 14 лет — 0 — 5 в поле зрения

Повышение лейкоцитов в моче наблюдается почти при всех заболеваниях почек и мочеполовой системы:

  • острый и хронический пиелонефрит, гломерулонефрит;
  • цистит, уретрит, простатит;
  • камни в мочеточнике;
  • тубулоинтерстициальный нефрит;
  • люпус-нефрит;
  • отторжение почечного трансплантата.

Эпителиальные клетки в моче

Клетки эпителия почти постоянно присутствуют в осадке мочи. Эпителиальные клетки, происходящие из разных отделов мочеполовой системы, различаются (обычно выделяют плоский, переходный и почечный эпителий).

Клетки плоского эпителия, характерного для нижних отделов мочеполовой системы, встречаются в моче у здоровых людей, и их присутствие обычно имеет небольшое диагностическое значение. Количество плоского эпителия в моче повышается при инфекции мочевыводящих путей.

Повышенное количество клеток переходного эпителия может наблюдаться при циститах, пиелонефрите, почечнокаменной болезни.

Присутствие в моче почечного эпителия свидетельствует о поражении паренхимы почек (наблюдается при гломерулонефритах, пиелонефритах, некоторых инфекционных заболеваниях, интоксикациях, расстройствах кровообращения). Наличие клеток почечного эпителия в количестве более 15 в поле зрения через 3 дня после пересадки является ранним признаком угрозы отторжения аллотрансплантата.

Норма: отсутствуют;

при микроскопии: клетки плоского эпителия:

  • женщины – единичные в поле зрения
  • мужчины – единичные в препарате

другие эпителиальные клетки — отсутствуют

Обнаружение клеток почечного эпителия:

  • пиелонефрит;
  • интоксикация, прием салицилатов, кортизола, фенацетина, препаратов висмута, отравление солями тяжелых металлов, этиленгилколем);
  • тубулярный некроз;
  • отторжение почечного трансплантата;
  • нефросклероз.

Цилиндры в моче

Цилиндры — элементы осадка цилиндрической формы (своеобразные слепки почечных канальцев), состоящие из белка или клеток, могут также содержать различные включения (гемоглобин, билирубин, пигменты, сульфаниламиды). По составу и внешнему виду различают несколько видов цилиндров (гиалиновые, зернистые, эритроцитарные, восковидные и др.).

В норме клетки почечного эпителия секретируют так называемый белок Тамм-Хорсфалля (в плазме крови отсутствует), который и является основой гиалиновых цилиндров. Гиалиновые цилиндры могут встречаться в моче при всех заболеваниях почек. Иногда гиалиновые цилиндры могут обнаруживаться у здоровых людей. Как патологический симптом, они приобретают значение при постоянном обнаружении и в значительном количестве, особенно при наложении на них эритроцитов и почечного эпителия.

Зернистые цилиндры образуются в результате разрушения клеток канальцевого эпителия. Их обнаружение у пациента в состоянии покоя и без лихорадки свидетельствует о почечной патологии.

Восковидные цилиндры образуются из уплотненных гиалиновых и зернистых цилиндров в канальцах с широким просветом. Встречаются они при тяжелых заболеваниях почек с преимущественным поражением и перерождением эпителия канальцев, чаще при хронических, чем при острых процессах.

Эритроцитарные цилиндры образуются при наслоении на гиалиновые цилиндры эритроцитов, лейкоцитарные — лейкоцитов. Наличие эритроцитарных цилиндров подтверждает почечное происхождение гематурии.

Эпителиальные цилиндры (редко) образуются при отслойке канальцевого эпителия. Встречаются при тяжелых дегенеративных изменениях канальцев в начале острого диффузного гломерулонефрита, хроническом гломерулонефрите. Их наличие в анализе мочи через несколько дней после операции — признак отторжения пересаженной почки.

Пигментные (гемоглобиновые) цилиндры образуются при включении в состав цилиндра пигментов, и наблюдается при миоглобинурии и гемоглобинурии.

Цилиндроиды – длинные образования, состоящие из слизи. Единичные цилиндроиды встречаются в моче при норме. Значительное их количество бывает при воспалительных процессах слизистой оболочки мочевых путей. Часто они наблюдаются при стихании нефритического процесса.

Норма: гиалиновые цилиндры – единичные, остальные — отсутствуют

Гиалиновые цилиндры в моче:

  • почечная патология (острый и хронический гломерулонефрит, пиелонефрит, почечнокаменная болезнь, туберкулез почек, опухоли);
  • застойная сердечная недостаточность;
  • гипертермические состояния;
  • тяжелая физическая нагрузка,
  • повышенное артериальное давление;
  • прием диуретиков.

Зернистые цилиндры (неспецифический патологический симптом):

  • гломерулонефорит, пиелонефрит;
  • диабетическая нефропатия;
  • вирусные инфекции;
  • отравление свинцом;
  • лихорадка.

Восковидные цилиндры:

  • хроническая почечная недостаточность;
  • амилоидоз почек;
  • нефротический синдром.

Эритроцитарные цилиндры (гематурия почечного происхождения):

  • острый гломерулонефрит;
  • инфаркт почки;
  • тромбоз почечных вен;
  • злокачественная гипертензия.

Лейкоцитарные цилиндры (лейкоцитурия почечного происхождения):

  • пиелонефрит;
  • люпус-нефрит при системной красной волчанке.

Эпителиальные цилиндры (наиболее редко встречающиеся):

  • острый канальцевый некроз;
  • вирусная инфекция (например, цитомегаловирусная);
  • отравление солями тяжелых металлов, этиленгликолем;
  • передозировка салицилатов;
  • амилоидоз;
  • реакция отторжения почечного трансплантата.

Бактерии в моче

Выделение бактерий с мочой имеет существенное диагностическое значение. Бактерии сохраняются в моче не более чем 1-2 суток после начала антибиотикотерапии. Предпочтительна для исследования первая утренняя порция мочи. Определить вид бактерий и оценить уровень бактериурии, а также выявить чувствительность микроорганизмов к антибиотикам можно с помощью бактериологического посева мочи.

Норма: отрицательно

Бактерии в моче:

  • инфекции органов мочевыделительной системы пиелонефрит, уретрит, цистит).

Дрожжевые грибки

  • кандидамикоз, возникающий чаще всего в результате нерациональной антибиотикотерапии.

Референсные значения: отрицательно

Неорганический осадок мочи (кристаллы), соли в моче

Моча — это раствор различных солей, которые могут при стоянии мочи выпадать в осадок (образовывать кристаллы). Образованию кристаллов способствует низкая температура. Наличие тех или иных кристаллов солей в мочевом осадке указывает на изменение реакции в кислую или щелочную сторону. Избыточное содержание солей в моче способствует образованию конкрементов и развитию мочекаменной болезни. В тоже время диагностическое значение присутствия в моче кристаллов солей обычно невелико. К образованию кристаллов ведут повышенные дозы ампициллина, сульфаниламидов.

Мочевая кислота в физиологических условиях встречается при большой концентрации мочи, после обильной мясной пищи, после обильного потоотделения.

Норма: отсутствуют

Мочевая кислота и ее соли (ураты):

  • высококонцентрированная моча;
  • кислая реакция мочи (после физической нагрузки, мясной диете, лихорадке, лейкозах);
  • мочекислый диатез, подагра;
  • хроническая почечная недостаточность;
  • острый и хронический нефрит;
  • обезвоживание (рвота, понос);
  • у новорожденных.

Кристаллы гиппуровой кислоты:

  • употребление в пищу плодов, содержащих бензойную кислоту (черника, брусника);
  • диабет;
  • болезни печени;
  • гнилостные процессы в кишечнике.

Аммиак-магнезии фосфаты, аморфные фосфаты:

  • щелочная реакция мочи у здоровых;
  • рвота, промывание желудка;
  • цистит;
  • синдром Фанкони, гиперпаратиреоз.

Оксалат кальция (оксалурия встречается при любой реакции мочи):

  • употребление в пищу продуктов, богатых щавелевой кислотой (шпинат, щавель, томаты, спаржа, ревень);
  • пиелонефрит;
  • сахарный диабет;
  • отравление этиленгликолем.

Лейцин и тирозин:

  • выраженное расстройство обмена веществ;
  • отравление фосфором;
  • деструктивные заболевания печени;
  • пернициозная анемия;
  • лейкоз.

Цистин:

  • врожденное нарушение цистинового обмена – цистиноз.

Жир и жирные кислоты:

  • дегенеративные изменения эпителия почечных канальцев;
  • употребление в пищу большого количества рыбьего жира.

Холестерин:

  • хилурия;
  • жировое перерождение почек;
  • эхинококкоз почек;
  • цистит;
  • холестериновые камни.

Билирубин:

  • гепатиты;
  • рак печени;
  • инфекционные заболевания;
  • отравление фосфором.

Гематоидин:

  • хронические кровотечения на протяжении мочевыводящего тракта, особенно если кровь где-либо застаивается.

Слизь в моче

Слизь выделяется эпителием слизистых оболочек. В норме присутствует в моче в незначительном количестве. При воспалительных процессах содержание слизи в моче повышается. Увеличенное количество слизи в моче может говорить о нарушении правил правильной подготовки к взятию пробы мочи.

Норма: незначительное количество.

formulazdorovya.com

Что означают клетки плоского, почечного эпителия в моче у женщин и мужчин

О чем свидетельствует плоский эпителий в моче? Это слой клеток в организме человека, образующих кожные покровы или полостные и слизистые оболочки. Клетки плоского эпителия находятся в мочевыделительной системе и служат для образования оболочек отдельных органов. Наличие их в моче часто свидетельствует о том, что в женском организме развивается какое-либо заболевание.

Расшифровка анализа

При рассмотрении результатов анализов важно учитывать половой и возрастной признак. В этом случае диагностика будет проведена грамотно.

По результатам одной только расшифровки нельзя ставить пациенту диагноз. Лаборант, имеющий профессиональные навыки проведения диагностики, правильно проанализирует, в каком количестве находятся все вещества в моче, норма — это показатель, на который будет ориентироваться лечащий врач. Если значение повышено, то есть основания провести другие анализы и обследования.

При ухудшении самочувствия пациента речь может идти о серьезных проблемах со здоровьем. Необходимо установить, какой именно эпителий присутствует в моче в большом количестве. Сделать это позволяет современное медицинское высокоточное оборудование, предназначенное для проведения лабораторных исследований. Специалисты различают плоский, почечный и переходный эпителий. Признаки отклонений от нормы определяют в зависимости от типа клеток и их количества.

Эпителий в урине у ребенка

Если плоский эпителий находится в моче у ребенка, то это нормальное явление. Допускается, что небольшое количество отшелушившихся со слизистых оболочек клеток попадает в урину. Здесь также может находиться кубический или почечный эпителий, который образует лоханки почек, уретру, мочеточники и мочевой пузырь.

Присутствие почечного эпителия в урине может говорить о нарушениях в функционировании отдельных органов. Нужно бить тревогу, когда анализ мочи сильно отличается от установленной нормы. Чем больше количество переходного или плоского эпителия в моче, тем сильнее опасения, что в органах мочевыделительной системы развивается воспалительный процесс:

  1. Эпителий плоский в моче указывает на наличие в организме таких заболеваний, как цистит или уретрит. Похожие результаты будут при воспалительном процессе в половой сфере, неправильной гигиене интимных мест или несоблюдении правил при сборе мочи для проведения анализа.
  2. Переходный и плоский эпителий может являться свидетельством инфекционно-воспалительных заболеваний, включая пиелонефрит или мочекаменную болезнь.
  3. Почечный эпителий в любом количестве неблагоприятный признак. Он указывает на вероятную патологию, которая может быть как врожденной, так и приобретенной. Во втором случае речь может идти о туберкулезе почек, тубулярном некрозе, нефросклерозе.

Диагноз подтверждается, если отмечаются следующие клинические проявления: недержание мочи, боль при мочеиспускании, отечность, слабость, головные боли, болезненные ощущения в пояснице. Ребенку становится легче после принятия коленно-локтевого положения.

Тщательная расшифровка результатов лабораторного исследования помогает выявить повышенное содержание других веществ: белка, эритроцитов, лейкоцитов, слизи, солей, болезнетворных бактерий. Необходимо сделать анализ крови и провести инструментальные исследования. К последним относятся УЗИ, МРТ, КТ, экскреторная урография, цистоскопия. Если изменения в организме подтвердятся, то врач установит диагноз и назначит соответствующее лечение. Необходимо как можно скорее выяснить причину патологии в организме ребенка.

Норма показателя у взрослых

У мужчин в норме эпителия в моче нет вообще либо присутствуют только единичные клетки. У женщин в небольшом количестве могут находиться в урине эпителиальные клетки. Высокая концентрация указывает на появление проблем со здоровьем. Это может быть цистит или нефропатия. Взрослый пациент в состоянии понаблюдать за своим самочувствием и появлением неблагоприятных признаков.

Цистит считают заболеванием прекрасной половины человечества: 50% женщин болеет им хоть раз в жизни. Это объясняется различиями в строении мочеполовой системы у представителей разных полов. В женском организме уретра короче. Она располагается ближе к анусу. Поэтому инфекция легко проникает в мочевой пузырь. По статистике, у мужчин цистит встречается реже в 8 раз.

При попадании инфекции в мочеполовую систему у взрослых пациентов, как правило, наблюдаются следующие признаки:

  1. Во время мочеиспускания человек чувствует боль и жжение.
  2. Моча выпускается маленькими объемами.
  3. Часто появляются позывы к мочеиспусканию.
  4. Мутная урина имеет сильный запах.
  5. В темной моче есть следы крови.
  6. У пациента болит низ живота.
  7. Общее недомогание — это распространенный симптом.

При обнаружении любых из вышеперечисленных признаков пациенту рекомендуется обратиться за профессиональной медицинской помощью. Самолечение в этом случае недопустимо. Цистит может пройти сам по себе спустя несколько недель. Однако лучше пройти обследование.

Болезнь Берже — это неизлечимая нефропатия. При своевременном обращении к врачу можно в значительной степени замедлить ее развитие. К признакам недуга относятся отеки конечностей, боль в спине справа или слева в области почек, гематурия, повышение артериального давления, пенистая моча.

Анальгетическая нефропатия часто развивается по причине злоупотребления лекарственными препаратами. Прием медикаментов без назначения врача может иметь нежелательные последствия. Среди симптомов различаются слабость, быстрая утомляемость, сонливость, онемение ног, боль в спине, тошнота и рвота. Иногда наблюдается спутанность сознания. Пациенты с анальгетической нефропатией обладают пониженной чувствительностью. Анализ показывает плоский эпителий в моче, кровяные тельца, белые или красные. Поставить диагноз этого нарушения помогают современные методы. Пациент проходит внутривенную пиелографию, компьютерную томографию почек. Он сдает полный анализ крови. От этого заболевания в основном страдают женщины, которые старше 30 лет.

Исследование состояния человеческого организма

Клинический анализ мочи относится к информативным методам диагностики. По его результатам врач получает возможность оценить состояние человеческого организма. Специалист может судить о том, насколько правильно функционируют мочевыводящая и половая системы. Наличие эпителия в моче — один из важных показателей, указывающих на развитие инфекционного или воспалительного процесса. Это также является признаком наличия любой другой патологии.

Анализ мочи оценивается согласно определенным нормам. При изучении взятых у пациента образцов под микроскопом должно быть видно меньше 10 клеток. В некоторых лабораториях нормой является 2 или 3. Много плоского эпителия в моче у новорожденных в возрасте до 2-х недель. У мужчин количество 1-3 эпителиальных клеток должно быть полностью на весь препарат.

Микроскопия выявляет повышение в урине концентрации нитратов и бактерий, когда исследование показывает значительное количество клеток переходного эпителия в тех случаях, если у пациента воспаление или новообразование. Плоский эпителий в моче делится на разные структуры: однослойные и многослойные. При обнаружении в анализе повышенного количества эпителиальных клеток лечащий врач назначает дополнительное обследование пациенту.

При подтверждении худших опасений человеку предстоит своевременно пройти курс лечения, чтобы избавиться от проблемы. Встречаются случаи, когда плоского эпителия бывает много в организме абсолютно здоровой женщины. Этот тип клеток участвует в формировании влагалища. Некоторое их количество легко попадает в уретру. Наличия единичных клеток бояться не стоит. В любом случае пациенту назначают повторный анализ мочи, чтобы удостовериться в правильности диагноза.

Опытный врач никогда не делает поспешных выводов и тем более не выписывает больному сильнодействующие лекарства без постановки точного окончательного диагноза.

Не пропустите важных симптомов. Снижение аппетита у детей может быть проявлением не плохого настроения, как ошибочно думают родители, а опасного недуга.

Подготовительные мероприятия к диагностике

Пациент должен предварительно ознакомиться с существующими правилами. За 2 дня до проведения теста не рекомендуется принимать ванну, пользоваться спермицидными мазями, различными интравагинальными средствами контрацепции. Нельзя применять вагинальные свечи или делать спринцевания. В отдельных случаях врач рекомендует своей пациентке отказаться от занятий сексом на время сдачи анализа. Женщине придется следовать указаниям специалиста, если она заинтересована в получении достоверного результата с первой попытки.

К общим рекомендациям относится сбор мочи натощак утром. Это следует сделать, если не было других указаний со стороны лечащего врача. Ложный анализ способен исказить картину болезни, поэтому лучше подготовиться к лабораторному исследованию правильно. Перед сбором порции урины проводят гигиенические процедуры. Туалет половых органов должен быть тщательным. Однако нельзя при этом пользоваться дезинфицирующими средствами или антибактериальным мылом. Когда женщина сдает мочу во время менструального цикла, ей понадобится специальный гигиенический тампон.

Врачи не советуют пить больше или меньше жидкости, чем пациент привык. Нежелательно принимать медикаменты антибактериального действия.

Мочу на анализ собирают в заранее вымытую и высушенную посуду. Прекрасно подходит для этой цели контейнер, предназначенный для сдачи мочи. Его можно найти в аптеке. На анализ нужна средняя порция урины. Мочеиспускание проводится в унитаз, потом в подготовленную посуду или контейнер и в конце процедуры опять в сантехнический прибор.

Собранная моча должна быть доставлена в медицинскую лабораторию в течение 2-х часов. Если в урине присутствует почечный эпителий, которого там быть не должно, то ошибка практически исключена. Результат анализа помогает обнаружить серьезные заболевания почек. Когда клеток эпителия меньше нормы, это свидетельствует о гормональном сбое в организме.

После постановки диагноза необходимо пройти полный курс лечения. Даже при подозрении на рак не следует падать духом: современная медицина стремительно развивается. Появляются новые медикаменты и способы лечения. Диатермия, крио- или лазерная терапия — эффективные методы разрушения аномальных клеток, вместо которых растут здоровые. Гистерэктомию врачи рекомендуют тем пациенткам, у кого вероятность развития злокачественной опухоли является высокой, в планах нет рождения детей или наступила менопауза. После проведения процедуры женщина возвращается к обычной жизни.

Следите за своим здоровьем и строго соблюдайте рекомендации лечащего врача.


Смотрите также