Клетки почечного эпителия в моче у ребенка

Клетки почечного эпителия в моче у ребенка[Клетки почечного эпителия в моче у ребенка]

О чем говорит наличие почечного эпителия в моче?

Для первоначальной диагностики заболеваний почек и мочевыводящих путей исследуют показатели почечного эпителия.

Почечный эпителий в моче (см. фото) служит тревожным симптомом, так как указывает на прохождение воспалительного процесса в организме, а именно в почках. Раннее выявление патологии значительно повышает шансы на успешное излечение.

Что это такое?

Эпителий — это клетки, которые выстилают поверхность органов, являясь защитным барьером.

Эпителий бывает следующих видов:

  1. Плоский. Присутствует в уретре и мочеиспускательном канале. Содержится в урине в очень малом количестве.
  2. Переходный. Это эпителий внутренней поверхности мочевого пузыря, почечных лоханок, мочеточников.
  3. Почечный. Покрывает почечные канальцы.

Клетки эпителия попадают в урину в процессе ее прохождения по всем органам мочевыведения. В норме таких клеток очень мало, резкое увеличение показателей свидетельствует о патологиях органов мочевыделения. При воспалении эпителий активно погибает и выводится с уриной.

к содержанию ↑

Сколько его должно быть в норме и что это значит?

Появление плоского эпителия в урине считается нормой для женщин и новорожденных. У женщин плоским эпителием выстланы матка и влагалище. Поэтому нормальным признается количество клеток до 10.

Если эти клетки полностью отсутствуют, это свидетельствует о сниженной выработке эстрогена или атрофическом процессе.

Для новорожденного ребенка также до 10 плоских эпителиальных клеток является нормальным, так как в первые недели жизни организм малыша перестраивается и адаптируется к новым для него условиям.

У представителей сильного пола в норме плоский эпителий в урине должен полностью отсутствовать. Если он обнаружен, это говорит о воспалениях, протекающих в мочевыводящих путях.

Допускается присутствие до 3х единиц переходного эпителия. Доктор Комаровский считает, что в здоровом организме ребенка должна наблюдаться такая же картина.

При полном здоровье в моче не должно быть эпителиальных почечных клеток. Их появление говорит о различных заболеваниях почек.

к содержанию ↑

Причины превышения нормы эпителия

Повышение количества эпителия не является самостоятельным заболеванием. Это лишь симптом различных патологических процессов в мочевыделительной системе.

Среди самых распространенных причин выделяют:

  • Уретрит (воспаление в мочеиспускательном канале). Характеризуется повышением количества плоского эпителия.
  • Пиелонефрит, цистит, простатит, камни в почках. При этих болезнях повышен переходный эпителий.
  • Увеличение числа почечного эпителия свидетельствует о тяжелых поражениях паренхимы почки.

Что собой представляет паренхима почек читайте в нашей статье.

Т.о. причинами повышения почечного эпителия в анализе мочи могут быть:

  • Гломерулонефрит. Это аутоиммунное заболевание, при котором происходит злокачественное перерождение почечной ткани в простую соединительную.
  • Гломерулопатия, проявляется прогрессирующим разрушением ткани почек. Развивается вследствие токсического поражения почек из-за приема лекарств, воздействия химических веществ, лучевой терапии.
  • Метаболическое нарушение почек. В результате тяжелых системных болезней (например, сахарного диабета), ухудшается кровоснабжение. Паренхима почки медленно отмирает, эпителий активно выделяется с мочой.
  • Отторжение пересаженной почки. Иммунная система не принимает донорский орган и разрушает его клетки.
  • Увеличение почечного эпителия в урине может произойти после принятия больших доз алкоголя или некоторых сильных лекарственных препаратов.

к содержанию ↑

Симптоматика

В некоторых случаях повышение количества эпителиальных клеток себя никак не проявляет. Это происходит в начале заболевания. Если болезнь находится в остром периоде или произошло значительное поражение почечной ткани, то у больного возникают следующие симптомы:

  • Помутнение или изменение цвета мочи.
  • Появление в урине капель крови.
  • Резкий неприятный запах мочи.
  • Отечность лица и конечностей.
  • Повышенное давление.
  • Повышение температуры.
  • Повышение показателей белка в моче.
  • Боли в спине.
  • Рези при мочеиспускании.
  • Общее ухудшение состояния больного.

к содержанию ↑

Методы диагностики

Не во всех случаях эпителий, обнаруженный в моче, свидетельствует о каких-то болезнях. Иногда он попадает в урину случайно в результате неправильной сдачи анализа.

От получения наиболее достоверного результата зависит правильная диагностика и выбор лечения.

Поэтому к сдаче анализа мочи следует подготовиться. Это предполагает соблюдение нескольких правил:

  1. Мочу сдают утром натощак. Перед сбором мочи нельзя принимать пищу или напитки.
  2. Перед сбором урины следует вымыть наружные половые органы с мылом и вытереть их.
  3. Собирают урину в чистую сухую емкость, которую предварительно следует прокипятить.
  4. Женщинам при месячных кровотечениях проведение анализа рекомендуется отложить.

Если при соблюдении всех правил сбора анализа клетки эпителия были обнаружены, то это является признаком заболеваний и поводом к началу лечения.

Для выяснения причины больному назначаются дополнительные обследования:

  • Биохимия крови.
  • УЗИ почек, мочевого пузыря и органов малого таза. Оно поможет выяснить локализацию воспаления и степень повреждения органов.
  • Для уточнения диагноза врач может назначить МРТ или КТ почек.

к содержанию ↑

Лечение патологии

Состояние, при котором повышено количество почечного эпителия в моче всегда требует немедленной корректировки. Терапия зависит от первопричины. Для лечения почечных болезней применяют следующие препараты:

  • Антибиотики — для устранения воспалительного процесса (Цефтриаксон).
  • Диуретики — для улучшения оттока мочи и снятие интоксикации (Фуросемид).
  • Лекарства, улучшающие метаболизм в почках (Курантил).

При отравлении алкоголем или химическими веществами проводят интенсивные дезинтоксикационные мероприятия.

Лечение гломерулонефрита требует особого подхода и длительного периода. В некоторых случаях (камни в почках) решается вопрос о хирургической терапии.

Должен ли присутствовать эпителий в моче узнайте из видео:

Клетки плоского эпителия в моче у ребенка

Плоский эпителий постоянно находится в организме человека, выстилая собой отдельные участки слизистой оболочки и мочеполовых путей. Регистрация фермента этого типа в урине говорит о воспалительном процессе, который может протекать абсолютно бессимптомно.

Повышенный плоский эпителий – что это значит?

Причин повышенного плоского эпителия может быть несколько. Самыми распространенными из них являются следующие:

  • протекание воспалительного процесса в мочевых путях, при этом у ребенка развивается цистит и уретрит;
  • скрытые болезни почек, в том числе врожденного типа;
  • гнойные процессы в организме;
  • воспалительный процесс внешних половых органов;
  • чрезмерное выделение солей из почек;
  • мочекаменная болезнь, которая может сопровождаться сильными болями;
  • долгое отсутствие процесса мочеиспускания из-за стрессов или патологий мочевого пузыря.

Норма плоского эпителия в моче

На сегодняшний день самой результативной методикой по определению количества эпителия в урине является сдача обычного общего анализа мочи. При осмотре сданного материала лаборант считает количество ферментов, находящихся в одной капле урины. При нормальном состоянии здоровья без выраженных проблем с почками и мочеполовой системой количество плоского эпителия на одну каплю мочи не должно превышать показатель 0-3 единицы.

При этом показатель ферментов не должен меняться с возрастом, исключением может стать беременность или возраст после 50 лет. Также повышенный уровень плоского эпителия может наблюдаться у новорожденных детей в течение первых двух недель жизни.

Повышен плоский эпителий: когда бить тревогу?

Если плоский эпителий находится выше границ 3 единиц, стоит насторожиться и обратить внимание на общее состояние ребенка. Даже при незначительном превышении нормы обращение за дополнительным исследованием имеет смысл, когда ребенка мучают болезненные ощущения при мочеиспускании, выделяется кровь из мочеиспускательного канала, сильно болит низ спины, присутствует тяжесть внизу живота.

Такие симптомы говорят о быстром развитии воспалительного процесса, который может протекать внутри почек или мочеполовой системы.

Причины возникновения патологии у детей

У детей патология в основном связана с несколькими самыми распространенными причинами. К ним относятся неправильная гигиена и воспалительный процесс в мочеполовой системе. Обычно дети болеют циститом и уретритом из-за переохлаждения или попадания бактерий в мочеполовой канал при неправильной гигиене после процесса дефекации.

Лишь в некоторых случаях можно говорить о серьезных нарушениях в почках и мочевой системе, когда уровень плоского эпителия повышен в несколько раз и больного ребенка сопровождают неприятные симптомы. К ним относятся боли в области поясницы, затрудненное мочеиспускание, кровотечения из половых органов. В таких ситуациях можно диагностировать раковые новообразования, пиелонефрит, туберкулезное поражение почек.

Плоский эпителий в границах 1-2: что значит?

Такой показатель является абсолютной нормой. Если в поле зрения микроскопа врач обнаруживает от одного до трех ферментов, беспокоиться совершенно не стоит. Такой результат говорит о случайном попадании плоского эпителия в урину из уретры или влагалища. Врач точно не предложит вам сдавать повторный анализ, так как ваш ребенок полностью здоров и не испытывает проблем с почками и мочеполовой системой.

В границах 3-4: что значит?

Как уже говорилось выше, нормой плоского эпителия в моче является показатель от 0 до 3 единиц в одной капле мочи.

После получения такого результата анализа врач порекомендует провести повторное исследование для отслеживания состояния больного в динамике. Если будет наблюдаться рост плоского эпителия в моче даже на одну единицу, потребуется провести УЗИ почек и, возможно, взять мазки для выявления причин симптома.

Что делать при повышенном количестве плоского эпителия?

В первую очередь необходимо срочно пересдать анализ. Если он подтвердит воспалительный процесс, стоит приступать к лечению. Для начала убирается очаг бактерий, для этого назначаются антибиотики. Самыми распространенными препаратами этого типа являются Клавуланат и Амоксициллин. Когда болезнь перешла в стадию пиелонефрита, назначаются Цефотаксим или Цефепим. Дополнительно назначаются противовоспалительные препараты, снимающие дополнительно зуд и отеки. Детям назначаются обычно Канефрон и Фурагин.

В обязательном порядке ребенок должен придерживаться щадящей диеты, чтобы не создавать дополнительную нагрузку на почки. Соблюдается питьевой режим с большим количеством чистой воды и морсов.

Но важно понимать, что лечение ребенка можно проводить только под контролем лечащего врача. Это поможет сохранить здоровье малыша и предотвратить переход болезни в хроническую стадию.

medickon.com

Эпителии в моче

Все знают о строении, функциях и местах расположения эпителиального слоя. Он бывает однослойным (плоским, кубическим призматическим) и многослойным (ороговевающим и неороговевающим) и переходным Клетки эпителия, покрывающие мочеполовую систему человека, со временем могут отслаиваться. Такой процесс способствует его попаданию в осадок мочи. Микроскопические исследования выявляют три вида клеток: плоские, переходные и почечные.

Что значит присутствие плоского эпителия?

Обнаружение небольшого количества плоских клеток не вызывает опасений, особенно часто такое встречается в материале, взятом у женщин и связано с анатомическими особенностями.

Если этот фактор повышен, значит есть воспалительные процессы (простатит, цистит, уретрит) или гинекологические недуги.

Что значит нахождение переходных клеток?

Такие клетки покрывают мочевой пузырь, уретру, мочеточники, лоханки почек и протоки предстательной железы. Небольшое число таких эпителий не требует никаких лечебных действий. Если же переходный эпителий повышен, значит, человек столкнулся с признаками цистита, мочекаменного недуга, а может даже онкологическим заболеванием.

Часто встречается, что в образцах здоровых людей обнаруживают плоский и/или переходный эпителий. Такое явление связано с неправильным забором мочи. Чтобы ваш анализ дал правильный результат нужно соблюдать правила его получения. Урину собирают по утрам, сделав все гигиенические процедуры. Емкость для сбора нужна чистая, лучше стерильная.

Что значит  почечный эпителий?

Такими клетками покрыты почечные канальца в паренхиме. Если в исследовании происходит выявление таких клеток, то это однозначное отклонение. Исключением будет анализ ребенка в первые дни жизни, ведь организм новорожденного выводит оставшиеся гормоны матери. В остальных случаях появление этих эпителий в моче означает протекание воспалительных процессов (пиелонефрит, гломерулонефрит) или даже тяжелых поражений (ишемическое поражение почки при сахарном диабете).

Что значит выявление эпителий у ребенка?

У ребенка в норме будет не больше чем три эпителии в моче, причем как плоских клеток, так и переходных (кубических или цилиндрических). Повышенный показатель в разных комбинациях указывает на разные болезни.

  1. Повышен только плоский эпителий, значит может присутствовать уретрит, цистит и воспаления половых органов.
  2. Увеличение переходного эпителия при нормальном или повышенном плоском эпителии происходит при инфекции или воспалении (цистит, пиелонефрит, мочекаменная болезнь).

Обнаружение почечных эпителий в моче ребенка выявляет аномалии работы почек (пиелонефрит, нефросклероз, туберкулез почек, врожденные патологии) или мочевыводящих путей.

Такие заболевания кроме эпителий в моче имеют богатую симптоматику (боли при мочеиспускании, задержка или недержанием мочи, отеки, нарушением других параметров в исследованиях урины и крови.

Также клетки определяются при:

  • застое урины во время стресса или самопроизвольном удержании;
  • пузырно-мочеточниковом рефлюксе (выброс мочи из мочевого пузыря обратно в почки);
  •  отложении солей;
  • интоксикации организма;
  • использовании катетера при получении материала;
  • проблемах с кровообращенем;
  • неправильном сборе урины;
  • нарушении правил транспортировки материалов.

Здравомыслящие родители должны знать и учитывать факторы, которые стают первопричиной таких заболеваний. Это:

  1. Наследственная предрасположенность. Повышенный риск появления отклонений возможен, если в семье тоже есть такие недуги.
  2. Патологии при протекании беременности.
  3. Недоношенность.
  4. Отклонения в родах (асфиксия).
  5. Врожденные пороки развития.
  6. Стафилококковые и стрептококковые инфекции (ангина, фурункулез, хронический тонзиллит).
  7. Другие перенесенные инфекции.

Если есть такие факторы, то необходима консультация профильного специалиста (нефролог, уролог) и, желательно, систематический мониторинг состояния здоровья ребенка.

www.mymocha.ru

Эпителий в моче — что это значит?

В моче могут обнаружиться различные вещества и химические соединения вроде белков и креатинина, эритроцитов и билирубина, лейкоцитов или солей, бактерий либо грибов и пр. Может выявиться в ходе лабораторных исследований и присутствие эпителия. Обычно он обнаруживается в количестве, не превышающем десятка единиц и только определенные эпителиальные разновидности вроде переходного или плоского. При повышении подобных параметров можно говорить о функциональных аномалиях мочевого пузыря либо почек.

Эпителиальный слой выстилает предстательные протоки и почечные лоханки, мочеточники и уретру, мочепузырные структуры

Если в урине обнаружилось незначительное число эпителиальных клеточных структур, то в лечении они не нуждаются. Обычно подобное может случиться, если нарушаются правила забора биоматериала. Поэтому врачи предупреждают, что перед сбором мочи нужно подмыться и собирать в емкость утреннюю порцию урины только в чистую и сухую емкость.

Эпителий в моче

Виды

Существует несколько типовых разновидностей эпителия, который может обнаружиться в урине:

    • Плоский. Самая распространенная форма, клетки крупные, плоские, округлой формы, на вид бесцветные. В урине могут обнаружиться в виде пластов либо в форме единичных структур. Такие клетки всегда есть в женской моче, куда они попадают из мочеиспускательного канала или влагалища. У мужчин такой эпителий проникает в урину из нижних отделов уретры. Если содержание плоского эпителия в урине превышено, то это часто свидетельствует о развитии инфекционных поражений мочевыводящих структур.

Плоский эпителий в моче

    • Переходный эпителий. Его клеточные структуры бывают различных форм и параметров, отличаются желтоватым цветом. Подобный эпителий покрывает поверхность почечных лоханок и мочеточников, верхних отделов уретры. При повышении таких эпителиальных клеток говорят о развитии пиелонефрита или цистита, а также мочекаменной патологии. Также переходный эпителий в урине может указывать на развитие полипов, гепатита или камнеобразование.

Переходный эпителий в моче

  • При обнаружении в урине у любого пациента почечных эпителиальных клеток обычно диагностируют паренхиматозные почечные патологии. Кроме того, почечный тип эпителия указывает на инфекционные процессы в почках и мочеполовой системе, гломерулонефрит либо пиелонефрит и прочие патологии. Обычно такой эпителий в урине сопровождается гипертермическими признаками.

В зависимости от типа обнаруженных эпителиальных клеточных структур и определяется диагностическая направленность.

В целом наличие плоского эпителия в урине у женщин считается нормой, а вот у беременных этот показатель падает примерно до 5 единиц. У мужчин же подобная находка в моче зачастую свидетельствует о патологии. Также плоский эпителий может обнаружиться в урине у мужчин при приеме медикаментов, отличающихся плохой усваиваемостью, либо после операции. У детей безопасным проявлением наличие эпителия считается лишь в период новорожденности. В первые недели жизни происходит адаптация и перестройка мочевыводящей системы. В более старшем возрасте стоит подозревать патологию.

Методы диагностики

Чтобы обнаружить в составе урины эпителиальные клетки, достаточно сдать анализ мочи. Собирать ее необходимо в стерильную емкость, чтобы исключить искажение результатов анализов. Предварительно нужно подмыть гениталии, затем некоторое количество утренней порции опорожнить в унитаз, среднюю часть набрать в емкость, а последнюю порцию снова в унитаз. Именно средняя часть первой утренней мочи считается самой информативной.

Обычно превышение эпителиального компонента в моче сопровождается массой неприятных симптомов вроде дискомфортного мочеиспускания, болезненных ощущений, мочепузырных патологий либо воспаления простаты.

Норма

Специалисты для такого показателя, как эпителий, определили варианты нормы, а превышение этих показателей говорит о развитии патологии, чаще уретрита:

  • Для женщин считается нормальным содержание в урине до 10 единиц эпителия, а для беременных и того меньше – около пяти.
  • Что касается сильного пола, то для них вариантом эпителиальной нормы в моче считается наличие не больше 3 единиц.
  • Норма для новорожденного ребенка составляет порядка десятка эпителиальных клеток, но на втором месяце жизни они начинают снижаться, составляя в норме уже 0-3 единицы.

Как видно, для каждой категории пациентов определяются свои стандартные нормы, что весьма важно при диагностике.

Отклонения от нормы

Если же при исследовании урины обнаружились эпителиальные показатели повышены, то у пациента, вероятнее всего, развивается какая-либо патология, на которую обычно указывается степень превышения нормы и тип присутствующего в урине эпителия.

  • К примеру, у женщин незначительное превышение нормы эпителия может наблюдаться даже при отсутствии каких-либо мочеполовых и мочевыводящих патологий. Подобные клетки проникают в мочу из уретры. Если же показатели эпителия у женщин значительно превышают норму, то можно говорить о развитии цистита, который сопровождается болезненной симптоматикой, нарушением мочеиспускания, его частыми позывами, гематурией и пр. Обычно моча при этом становится мутной и неприятно пахнущей. Подобная симптоматика часто указывает на уретрит, молочницу либо половые инфекции.
  • У мужчин в норме клетки плоского эпителия в моче не должны присутствовать в урине (не больше трех). Если же они обнаруживаются в больших количествах, то доктор может предположить наличие мочеполовых инфекций и воспалительных заболеваний вроде цистита либо гломерулонефрита и пр.
  • У одномесячных детей нормальным считается показатель в 0-10 клеток, если происходит его резкое повышение, то это может указывать на воспаления в половых органах, пиелит или нефросклероза и пр. В целом любое повышение эпителия в урине детей можно расценивать, как патологию. Но подобные клетки помимо болезни, сопровождаются характерным перечнем симптомов вроде болей, температуры либо мочеиспускательных проблем.

Важным моментом является своевременное обращение к специалисту, ведь запущенные патологии лечению поддаются гораздо сложнее. В индивидуальном порядке пациенту назначается должное лечение. Эпителий встречается у всех пациентов, однако его уровень должен быть минимальным.

gidmed.com

Вид эпителия

В общем анализе мочи ребенка, специалисты могут обнаружить 3 основных вида эпителия:

  1. Плоский эпителий – покрывает мочевыводящие пути, женские внутренние и внешние половые органы.
  2. Переходный эпителий – покрывает мочевой пузырь, лоханку, мужской проток простаты и мочевыводящие пути.
  3. Почечный эпителий – покрывает почечные канальца.

Каждый вид эпителиальных клеток в своей концентрации имеет норму или отклонение от неё, что будет свидетельствовать о разнообразных патологиях почек и мочевыводящей системы.

Спонтанное увеличение концентрации плоского эпителия в моче ребенка, является сигналом о начавшемся воспалительном процессе (цистит, уретрит или испорченная проба мочи).

При повышенных значениях в общем анализе мочи плоского и переходного эпителия, говорит об инфицировании верхних отделов мочеполовой системы (пиелонефрит, камни в почках).

Самым опасным является наличие почечного эпителия в анализе мочи ребёнка. Такой симптом указывает на развитие патологического процесса в мочевой системе, как врожденных, так и приобретенных (нефроз, некроз и др.).

Специалисты используют конкретные нормы, показателей количества различных эпителиальных клеток:

  1. Плоский – до 3-4 клеток.
  2. Переходный – 2-3 клетки.
  3. Почечный – полное отсутствие.

Лишь новорожденные дети до 14 дней имеют в общем анализе мочи все виды эпителия, и это считается также нормой, это связано с непривыкшей к внешней среде мочевыделительной системой.

При повышенном количестве плоского эпителия (свыше 5 клеток), следует, сразу обратится с ребёнком к участковому педиатру за назначение эффективной диагностики и лечением. Крайне редко бывают случаи, что повышенное количество эпителия является нормальным для отдельно взятого ребёнка, это следует из наследственного характера аномалии.

Симптоматика

Симптомы, сопровождающие появления повышенного количества эпителиальных клеток в анализе мочи детей:

  1. Болезненный синдром при оттоке мочи.
  2. Задержка урины, плохой отток.
  3. Появление отеков.
  4. Общая слабость, сонливость, вялость, повышение температуры, отказ от еды и сна.
  5. Поясничные боли.
  6. Появления в анализе мочи: солей, эритроцитов, белка, слизи, бактериальной микрофлоры.
  7. Выявленные патологии в анализе крови.
  8. Диагностика, при помощи различных томографий, патологий в мочеполовой системе.

Причины появления

Во избежание повторной сдачи анализов, следует перед сбором проб мочи, очень усердно проводить гигиенические мероприятия и использовать стерильную тару для сбора. Для сбора порции используют среднюю мочу, поэтому первые несколько мл спускают и лишь, потом начинают забор. Срок хранения мочи до передачи в лабораторию не должен превышать 2 ч.

Причин появления повышенного плоского эпителия у детей достаточно много, самые часто встречаемые в медицинской практике:

  1. Воспаление внешних или внутренних половых органов ребенка.
  2. Применение катетера для получения пробы мочи (незначительные повреждение мочевого канала, приводящие к появлению переходного эпителия).
  3. Частички клеток выходят с камнями, песками и солями, которые действуют, как скраб на внутреннюю поверхность мочевого пузыря и мочевыводящих путей ребенка.
  4. Продолжительное нахождение мочи в мочевом пузыре и мочевых путях, при различных проявлениях стрессовых ситуаций или продолжительном времени терпения перед опорожнением.
  5. Процесс перетекания мочи обратно в пузырь, как врожденная патология или приобретенное заболевание.
  6. Инфицирование и появление воспаления в верхних органах мочеполовой системы.
  7. Продолжительный курс медицинских лекарственных препаратов, приводящих к образованию солей (мочегонные, противокашлевые, антибиотики и др.).
  8. Отравление организма ребенка различными способами (отравление, обширный гнойный процесс).
  9. Изменение функции кровотока в мочевыделительной системе.
  10. Плохая гигиена половых органов, неверный метод забора мочи, попадание из внешней среды клеток эпителия, что приводит в неверных результатам.

pochkam.ru

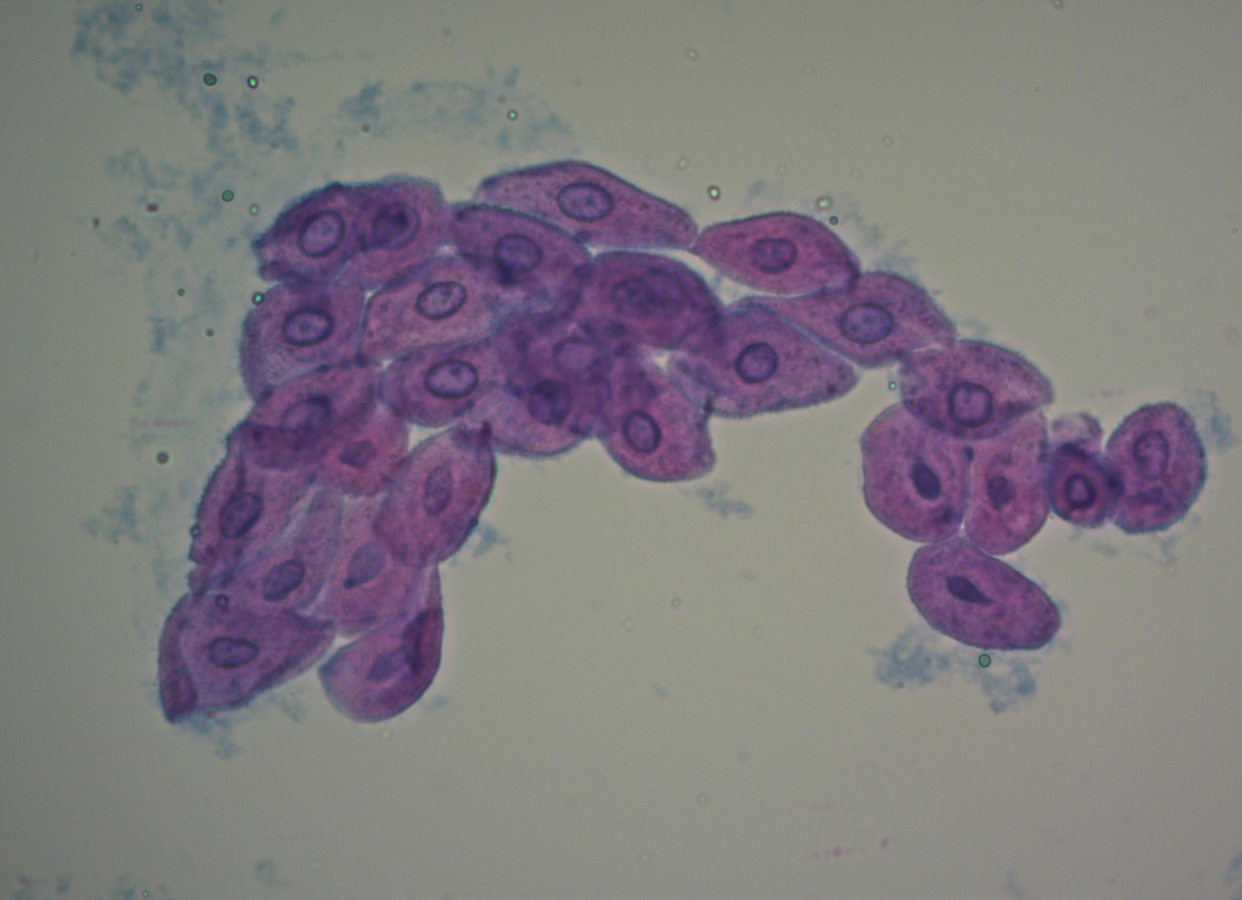
Клетки почечного эпителия в моче у ребенка

Микроскопия мочевого осадка на наличие клеток крови и эпителиоцитов — часть общего анализа мочи. Эпителий в моче у ребенка может быть обнаружен как в норме, так и при наличии патологий мочеполовой системы. Постановка диагноза основывается на подсчете эпителиальных клеток в поле зрения и определении типа обнаруженных клеток.

Эпителий в моче у ребенка может быть обнаружен как в норме, так и при наличии патологий мочеполовой системы.

Виды

Эпителиальные клетки в моче у ребенка могут иметь различное происхождение. Для постановки диагноза важно определить тип клеток и участок мочевыделительной системы, где локализованы эпителиоциты этого типа. Возможные типы эпителия:

  1. Клетки плоского эпителия у девочек выстилают дистальный участок уретры, половые губы, влагалище, у мальчиков — слизистую оболочку пещеристой части уретры.
  2. Переходный эпителий выстилает полость почечной лоханки и мочевого пузыря, мочеточники. У девочек переходный эпителий покрывает проксимальный участок уретры, а у мальчиков — только ее простатическую часть. Поверхностные клетки этого типа эпителиальной ткани крупные, грушевидной или уплощенной формы, имеют 2 ядра, включения в виде веретенообразных пузырьков и инвагинации мембраны внутрь цитоплазмы.
  3. Почечный эпителий отличается в зависимости от того, какой участок почечного канальца он выстилает. Почечный эпителий проксимального отдела — однослойный кубический. Клетки имеют одно круглое ядро, расположенное в центре цитоплазмы и щеточную кайму на апикальном полюсе. Тонкий сегмент состоит из клеток, ядро которых выпячивается в просвет канальца. Почечный эпителий дистального участка представлен светлыми кубическими клетками без щеточной каймы.

    Эпителиальные клетки в моче у ребенка могут иметь различное происхождение. Для постановки диагноза важно определить тип клеток и участок мочевыделительной системы, где локализованы эпителиоциты этого типа.

Норма эпителия в моче

В общем анализе мочи учитывают показатели ее физических и химических свойств, микроскопии осадка. По результатам исследований заполняется сводная таблица, нормы показателей в которой сравниваются с фактическими результатами исследований.

Норма клеток эпителия в моче у детей, в зависимости от возраста, — от 3 до 10 клеток в поле зрения.

В осадке могут быть обнаружены эпителиальные клетки слизистой мочевых путей плоского (до 5 штук) и переходного типа (не более 2-3).

Клеток почечного эпителия в моче детей старше 14 дней быть не должно.

У новорожденных

У младенца от рождения до 14 дней в моче могут присутствовать эпителиоциты всех трех типов. Это связано с адаптацией мочевыделительной системы грудничка к самостоятельному, не связанному с организмом матери, существованию.

После окончания периода новорожденности в моче у младенца больше не должны обнаруживаться почечные эпителиоциты.

У младенца от рождения до 14 дней в моче могут присутствовать эпителиоциты всех трех типов.

У подростков

В связи с половым созреванием и гормональной перестройкой организма, в моче подростков может увеличиваться количество клеток эпителия до 10 в поле зрения.

Особенности у девочек

У девочек из-за анатомического строения мочеполовой системы моча контактирует со слизистой оболочкой наружных половых органов. Кроме того, интимная гигиена девочек может способствовать более интенсивному слущиванию эпителиальной ткани слизистой половых губ. Поэтому клетки эпителия могут обнаруживаться в мочевом остатке в большем количестве, чем в моче у мальчиков того же возраста.

Анализы

Общий (клинический) анализ мочи сдают при любом клиническом обследовании ребенка, во время плановой диспансеризации и при подозрении на болезни органов мочевыделительной системы. Для того чтобы показатели анализа были максимально достоверны, важно соблюдать правила сбора урины:

  1. Для сбора мочи используют чистую, сухую пластиковую или стеклянную емкость, не содержащую органических остатков или моющих средств. Лучше приобрести в аптеке специальную стерильную баночку с крышкой.
  2. Перед мочеиспусканием для сбора урины важно уделить должное внимание гигиене наружных половых органов.
  3. Для анализа собирают всю первую утреннюю порцию мочи.
  4. Важно доставить мочу в лабораторию не позже 1,5 часов после отбора пробы.

Если показатели анализа свидетельствуют о наличии острых воспалительных реакций, врач может назначить дополнительное исследование по Нечипоренко, на наличие лейкоцитов, эритроцитов и цилиндров. Обнаружение эпителиальных цилиндров при анализе по Нечипоренко свидетельствует о патологии почек.

Для уточнения локализации воспалительного процесса используют пробу 3 стаканов. Для этого одну порцию мочи последовательно собирают в 3 емкости: пятая часть в начале мочеиспускания, средний объем порции, и ее последняя пятая часть.

Отклонения от нормы

Любое количество почечного эпителия в мочевом осадке у детей старше 14 дней свидетельствует о нефрозе или остром нефрите.

Наличие клеток переходного эпителия в большом количестве является признаком воспалительного процесса в мочеточниках, мочевом пузыре, уретре.

Если в поле зрения обнаружены лейкоциты и эпителий, речь однозначно идет о воспалении. Для уточнения локализации очага проводят пробу трех стаканов.

В зависимости от того, в какой из трех проб в большом количестве обнаружены лейкоциты и эпителий и каков тип эпителиальных клеток повышен, делают заключение о том, какой участок мочевыделительных путей поражен.

Если в поле зрения обнаружен единичный эпителиоцит того или иного типа, проводят повторную микроскопию той же пробы урины или отбирают другую порцию материала.

Причины отклонений

Распространенные причины повышенного содержания клеток эпителия в осадке:

  1. Неправильный сбор урины.
  2. Воспаление мочевого пузыря, уретры, а также заболевания других органов выделительной и половой систем.
  3. Наличие камней или большого количества солей в моче.
  4. Применение некоторых лекарств.
  5. Неправильная интимная гигиена.
  6. Рефлюкс урины.
  7. Интоксикация организма.

    Воспаление мочевого пузыря может быть причиной повышенного содержания клеток эпителия в осадке.

Причины повышенного количества эпителиальных клеток переходного типа:

  1. Воспаление соответствующих участков выделительной системы (уретрит, цистит), заболевания других органов выделительной системы.
  2. Мочекаменная болезнь и механическое повреждение слизистой оболочки конкрементами.
  3. Катетеризация.

Почечный эпителий попадает в мочу из-за гломерулонефрита, пиелонефрита, гидронефроза, туберкулеза, аномалии анатомического строения клубочкового аппарата, тубулярного некроза или образования конкрементов в почечных канальцах.

Цистит

Цистит — воспаление слизистой оболочки мочевого пузыря, сопровождающееся десквамацией переходного эпителия в очаге поражения. Нередко причиной болезни является бактериальная инфекция или переохлаждение организма. Чаще всего возбудителем инфекции является кишечная палочка. Симптом болезни — частое болезненное мочеиспускание.

Из-за анатомического строения выделительной системы девочки болеют циститом чаще, чем мальчики; кроме того, у девочек повышается в моче не только количество лейкоцитов и эпителия переходного типа, но и плоскообразного.

Уретрит

Уретрит — это воспаление мочеиспускательного канала. Болезнь может быть инфекционной и неинфекционной природы. К инфекционным причинам можно отнести уреаплазму, микоплазму, трихомонады и другие микроорганизмы, которые активизируются на фоне снижения иммунитета.

Также уретрит может развиться после механического повреждения конкрементами урины или катетером, в результате аутоимунных процессов или особенностей анатомического строения мочевыводящего канала.

При воспалении мочеиспускательного канала ребенка беспокоят частые болезненные мочеиспускания, которые сопровождаются жжением и зудом. Возможны белые слизистые выделения.

Для постановки окончательного диагноза врачу необходимы результаты анализов мочи и исследование участка слизистой оболочки мочевыводящего канала.

Патологии почек

Причиной обнаружения почечного эпителия в урине могут являться такие болезни почек, как гломерулонефрит, пиелонефрит, мочекаменная болезнь и другие.

Камни в почках наносят механические повреждения слизистой оболочки почечных канальцев, вызывая десквамацию эпителиальных клеток, развитие воспалительного процесса и открывая ворота инфекции.

Пиелонефрит — неспецифическое экссудативное воспаление почек бактериальной этиологии, которое характеризуется воспалением лоханки (пиелита), чашечек и паренхимы органа. Пиелонефрит сопровождается болевым, дизурическим и интоксикационным синдромами.

Лечение

Если болезнь проходит бессимптомно, а результат анализа свидетельствует о наличии воспалительного процесса, лечение не назначают без дополнительного обследования. Возможно проведение дополнительных анализов мочи и крови, УЗИ или применение других методов диагностики.

В зависимости от результатов комплексного обследования назначают антибиотики, противовоспалительные или другие лекарственные средства.

Почечный эпителий в моче у ребенка: что это значит и причины

Изменения, происходящие в моче человека, могут рассказать о состоянии организма, уже имеющихся заболеваниях. Например, изменение цвета мочи, когда она становится более темной и присутствие неприятного запаха – это повод для срочного обращения к своему лечащему врачу или урологу. Врач назначит необходимые лабораторные исследования, или анализы, которые покажут наличие или отсутствие признаков заболевания. Если, допустим, почечный эпителий в моче превышает предельно допустимые нормы, то это говорит о серьезных проблемах со стороны здоровья, требующих скорейшего лечения.

Показатели эпителия в моче

Если в лабораторных анализах обнаруживается превышающее норму количество эпителия, то это указывает на проблемы

Быстрый темп жизни людей, отвлекает их от внимания к собственному здоровью. Постоянные стрессовые ситуации держат человека в постоянном напряжении, поэтому у многих даже нет мысли о том, чтобы обратить внимание на цвет мочи при мочеиспускании. А ведь почечные заболевания, и в целом мочевыделительной системы, занимают одно из ведущих мест по частоте обращения за медицинской помощью в клиники. Хорошо, если человек, хотя бы, заметит изменения запаха, что уже является поводом для срочной консультации врача и обследования.

Запах мочи может быть совершенно разным: резким, кислым, может пахнуть теми продуктами питания, которые имели ярко выраженные ароматы и были съедены накануне, или это может химический запах. Элементарный домашний тест может стать профилактикой многих распространенных заболеваний мочеполовой системы и всего организма в целом. Для этого нужно минимум один раз в месяц помочиться утренней мочой в небольшую баночку и визуально оценить цвет и запах содержимого. Если запах присутствует нехарактерный или вы заметили мутную взвесь и осадок – нужно обратится к своему лечащему врачу и пройти дополнительную диагностику.

Обратите внимание! Если в лабораторных анализах обнаруживается превышающее норму количество эпителия, то это указывает на проблемы. В норме эти показатели эпителия в моче не должны превышать 10-и в поле зрения лаборанта.

На что указывает эпителий в моче?

Если при анализе мочи обнаруживается более 10 эпителиальных клеток, то, как правило, это говорит о наличии у пациента заболевания мочевыделительной системы

Эпителий – это клетки поверхностного слоя внутренних органов человека, и мочевыделительной системы в том числе. Эти клетки всегда в некотором количестве присутствуют в моче, поскольку прохождение урины по мочевыводящим путям, всегда с ними взаимодействует. Здесь важно не их присутствие в принципе, а только их количество. Если при анализе мочи в поле зрения лаборанта обнаруживается более 10 эпителиальных клеток, то, как правило, это говорит о наличии у данного пациента воспалительного заболевания мочевыделительной системы. Но и даже это зависит от того вида клеток, которые присутствуют в моче.

Обратите внимание! Превышение эпителия в моче не всегда указывает на воспаление мочевыделительной системы. Это может быть следствие приема пациентом ряда лекарственных препаратов и антибиотиков. А характер заболевания устанавливается, в зависимости от вида эпителиальных клеток, присутствующих в урине.

Виды клеток эпителия в моче

В зависимости от возраста и пола пациента, нормы клеток разные

Как правило, в результатах лабораторных анализов лаборант указывает только те клетки эпителия, которые были обнаружены в большом количестве. В зависимости от возраста и пола пациента, нормы клеток разные, всего выделяют три разновидности эпителиальных клеток:

  • Плоский эпителий. Присутствие большого количества данного вида клеток говорит об инфекционном заболевании. Нормы таковы:
    • Взрослые мужчины в норме плоский эпителий в моче иметь не должны. Их присутствие говорит о наличии патологии, так как данные клетки могут попасть в урину только из нижнего отдела мочеиспускательного канала;
    • Девочки и взрослые женщины могут иметь в анализах плоский эпителий, не более 10 единиц в поле зрения, поскольку это обусловлено нахождения в непосредственной близости влагалища;
    • У новорожденных младенцев, первых 14 дней жизни, допускается нахождение в моче до 10 штук плоского эпителия в поле зрения лаборанта;
  • Переходный эпителий. Нормальным для здорового человека считается нахождение в поле зрения не более 3 клеток переходного эпителия, и эти нормы едины для всех полов и возрастов. Это обусловлено тем, что данный вид клеток выстилает поверхность почечных лоханок, мочеточников, мочевого пузыря и мочеиспускательного канала, и попадает в мочу по мере выделения урины и прохождения ее по данным отделам мочевыделительной системы. Если у человек обнаруживается превышение нормы переходного эпителия, то это указывает на почечные заболевания;
  • Почечный эпителий. Нормы в моче данных клеток, в зависимости от возраста, таковы:
    • У младенцев в возрасте до 1 месяца допускается присутствие в поле зрения до 10 единиц почечного эпителия;
    • У взрослых людей почечный эпителий в моче присутствовать не должен, его появление указывает на патологические поражения паренхимы почек.

Внимание! Отклонение от нормальных показателей не всегда свидетельствует о наличии патологий. Существуют причины, при которых превышение норм эпителия в моче является естественным.

Нормы эпителия

При любых отклонениях от нормы, вы должны проконсультироваться со своим лечащим врачом

Сразу следует отметить, что наличие эпителиальных клеток в моче допустимо только для двух видов: переходного и плоского типа клеток. В случае с почечным эпителием ответ один – его быть не должно, кроме младенцев не старше месяца от рождения.

Внимание! Если почечные эпителиальные клетки в моче обнаруживаются, то вас отправят на дополнительное обследование, в том числе инструментальное. В ходе диагностики выяснятся причины появления данных клеток, ставится точный диагноз и назначается лечение.

В зависимости от вида эпителиальных клеток, его появление нормальным считается в следующих случаях:

  • Поскольку плоский эпителий выстилает поверхность матки и влагалища у девочек и женщин, поэтому попадание в мочу этого вида клеток допустимо, при условии сохранения нормального количества, то есть до 10 штук в поле зрения лаборанта;
  • Переходный тип клеток может обнаруживаться в моче пациентов, которые недавно проходили или проходят в настоящий момент лечение антибиотиками и другими лекарственными препаратами, а также недавно перенесли наркоз.

Внимание! При любых отклонениях от нормы, вы должны проконсультироваться со своим лечащим врачом, чтобы не был пропущен диагноз. В начальных стадиях заболевание всегда легче преодолеть.

Почему нужно обратиться за медицинской помощью?

Плоские клетки эпителия в моче могут указывать на воспалительный процесс, идущий в почках

Разный вид эпителия, а точнее превышение норм содержания этих клеток, указывает на наличие различных заболеваний. Данные диагнозы еще требуется подтвердить в ходе дополнительных обследований, однако первые предположения уже можно сделать:

  • Плоские клетки эпителия в моче могут указывать на:
    • Воспалительный процесс, идущий в почках;
    • Хроническое либо острое воспаление простаты у мужчин;
    • Присутствие инфекции в мочевыводящих путях;
  • Переходный эпителий в моче может свидетельствовать о наличии следующих состояниях:
    • Нарушения и заболевания в работе мочевыделительной системы такие как: камни или крупный песок в почках, полипы и кисты, различные опухоли;
    • Нарушение функций почек, под воздействием самых разных причин;
    • Гепатит, в том числе вирусный;
  • Почечные эпителиальные клетки в урине появляются в случаях:
    • Почечного воспаления;
    • Инфицирования других внутренних органов, которое повлекло за собой повышение температуры тела больного;
    • Тяжелой интоксикации организма после употребления большого или продолжительного приема лекарственных препаратов, либо после токсического воздействия каких-либо химических веществ;
    • Сразу после пересадки почки, при ее отторжении.

Читайте также:  Мочевой пузырь у женщин, мужчин: болезни и лечение

В зависимости от возраста человека и его пола особенности присутствия эпителиальных клеток разные.

Клетки эпителия у разных групп людей

У детей нахождение эпителиальных клеток читается нормальным только в период адаптации мочеполовой системы к самостоятельной жизни

То, что у мужчин уже указывает на наличие патологии, у женщин может быть абсолютно нормальным явлением. Это относится и к присутствию плоских эпителиальных клеток в моче у женщин.  Попадая из женских половых органов в урину, при условии нормального количества, эти клетки не говорят о патологических изменениях в мочевыделительной системе. Например, у небеременной женщины плоский эпителий может достигать 10 единиц, и это нормально, а у беременных – этот показатель в норме не достигает 5 клеток в поле зрения.

Что касается мужчин, то в норме в их моче клеток эпителия не должно быть вообще, либо только переходного типа до 3 единиц. Исключение составляют лишь случаи лекарственной терапии, наркозов, только что перенесенные операции, после которых может наблюдаться повышение содержания данных клеток в урине.

У детей нахождение эпителиальных клеток читается нормальным только в период адаптации мочеполовой системы к самостоятельной жизни вне материнской утробы. На этот период отводится до одного месяца после рождения малыша, дальше нормы берутся такие же, как и для взрослых.

Последствия

Как правило, эпителиальные клетки выявляются случайно в лабораторных анализах, и пациенту об этом сообщает врач. После обнаружения, назначается дополнительное обследование лабораторное и инструментальное:

  • Общий анализ мочи;
  • Анализ мочи на биохимию;
  • УЗИ мочевыделительной системы и др.

Внимание! Любое терапевтическое, медикаментозное лечение должен назначать только квалифицированный специалист, лечащий врач, после прохождения необходимого обследования.

В ряде случаев пациент, в анализах которого превышено содержание эпителия, ощущает и другие симптомы, говорящие о наличии какого-либо заболевания. Это могут быть боли в нижней части живота и промежности, в области поясницы, неприятные ощущения при мочеиспускании и др. В такой ситуации нужно срочно обраться за медицинской помощью, для точной постановки диагноза и назначения врачом необходимого лечения.

Источник


Смотрите также

Комментарии 0