
Симптомы кисты головного мозга и методы лечения
Головной мозг представляет собой достаточно сложную структуру, работе которой подчиняется весь организм. Он подвержен многочисленным патологическим процессам. Наиболее распространенным недугом считаются кисты головного мозга. Эти образования доброкачественной этиологии. Они могут появиться как у маленького ребенка, так и у престарелого человека. Это весьма опасное явление, которое требует грамотной терапии. В противном случае увеличивается вероятность возникновения осложнений.
Сущность патологического процесса
Кисту головного мозга можно описать как капсулу с жидким секретом внутри. Новообразование локализуется в разных его частях, но преимущественно в паутинообразном покрытии коры мозговых полушарий. Именно эта область характеризуется высокой степенью травматизации и развития воспалительных реакций.
Механизм возникновения патологического процесса достаточно прост. Врачи связывают его с различными болезнями, травмами и иными воздействиями, способствующими формированию участков с отмершими клетками. Между височной и теменной областями мозга всегда находится жидкость. В случае появления аномальных зон этот секрет стремится заместить мертвые элементы. Когда объем скопившейся жидкости достигает определенной нормы, формируется полость. Это и есть киста мозга.
Чаще всего она не несет в себе потенциальной угрозы для здоровья человека. Многие люди живут с такими образованиями и даже не подозревают об их наличии. Несколько иного отношения требуют патологии, имеющие тенденцию к росту. Оставлять их без внимания нельзя. Постепенно увеличиваясь в размерах, такая киста может сдавливать окружающие ткани и элементы. В результате у человека появляются соответствующие симптомы, которые требуют грамотного лечения.
Этиология новообразования
Киста в головном мозге образуется на фоне появления многочисленных участков с отмершими тканями. Постепенно они заполняются жидкой средой. Среди основных причин, способствующих возникновению патологического процесса, врачи называют различного рода повреждения мозга. Это могут быть переломы костей черепа, травмы или ушибы. Нарушение кровоснабжения, паразитарные заражения или дегенеративные изменения структуры тканей также часто являются причиной недуга. В результате действия описанных факторов появляется небольшая капсула с жидким секретом внутри.
Что происходит, если такая киста головного мозга начинает увеличиваться в размерах? Дальнейшее развитие новообразования наблюдается только под воздействием негативных факторов. Среди них особого внимания заслуживают следующие: воспалительные реакции, увеличение мозгового давления, нарушение циркуляции крови, рассеянный склероз, аутоиммунные недуги.
Клиническая картина
Симптомы кисты головного мозга и ее лечение — эти два вопроса требуют отдельного рассмотрения. Однако сначала необходимо ознакомиться с примерной клинической картиной патологического процесса.
Размеры новообразований варьируются в достаточно широком диапазоне. Маленькие кисты не сопровождаются проблемами со здоровьем. Обычно их выявляют случайно, чаще всего при исследовании мозга посредством МРТ или КТ. Образования более крупных размеров со временем приводят к сдавлению внутренних структур. В результате появляются характерные симптомы. Их список весьма обширен, поскольку признаки недуга могут разниться в зависимости от локализации проблемы. Среди наиболее распространенных симптомов можно отметить следующие:
- заметное ухудшение остроты зрения и качества слуха;
- судорожные подергивания в мышцах;
- сильные головные боли, которые не исчезают после медикаментозной помощи;
- онемение конечностей;
- эмоциональная неустойчивость;
- потеря памяти;
- частые обмороки;
- беспричинная тошнота/рвота.
Клиническая картина расстройства во многом определяется локализацией новообразования и оказываемым давлением на располагающиеся рядом области. Каждый участок мозга отвечает за определенный набор функций в организме. Когда на месте кисты создается давление, развивается ишемия.
Например, если новообразование локализуется рядом с мозжечком, оно начинает постепенно ущемлять его в функциях. Постепенно у больного ухудшается работа вестибулярного аппарата. Когда давление оказывается на гипоталамус, нарушаются обменные процессы в организме. Человек может утратить чувство голода или насыщения, жажды. Примерно то же происходит и с другими участками головного мозга. В одних случаях их функции прекращаются частично, а в других — практически полностью. Отсутствие грамотной терапии может привести к серьезным последствиям, вплоть до паралича и слабоумия.
Разновидности нарушения
Лечение кисты головного мозга во многом определяется ее формой. Всего выделяются несколько разновидностей новообразования, каждая из которых обладает определенными характеристиками.
- Арахноидальная киста. Образование локализуется преимущественно между паутинными оболочками мозга. Чаще всего патологический процесс выявляется у лиц мужского пола, причем в детском и подростковом возрасте. Он может носить как врожденный (возникает на фоне нарушения эмбрионального развития), так и приобретенный (является следствием воспалительных недугов) характер.
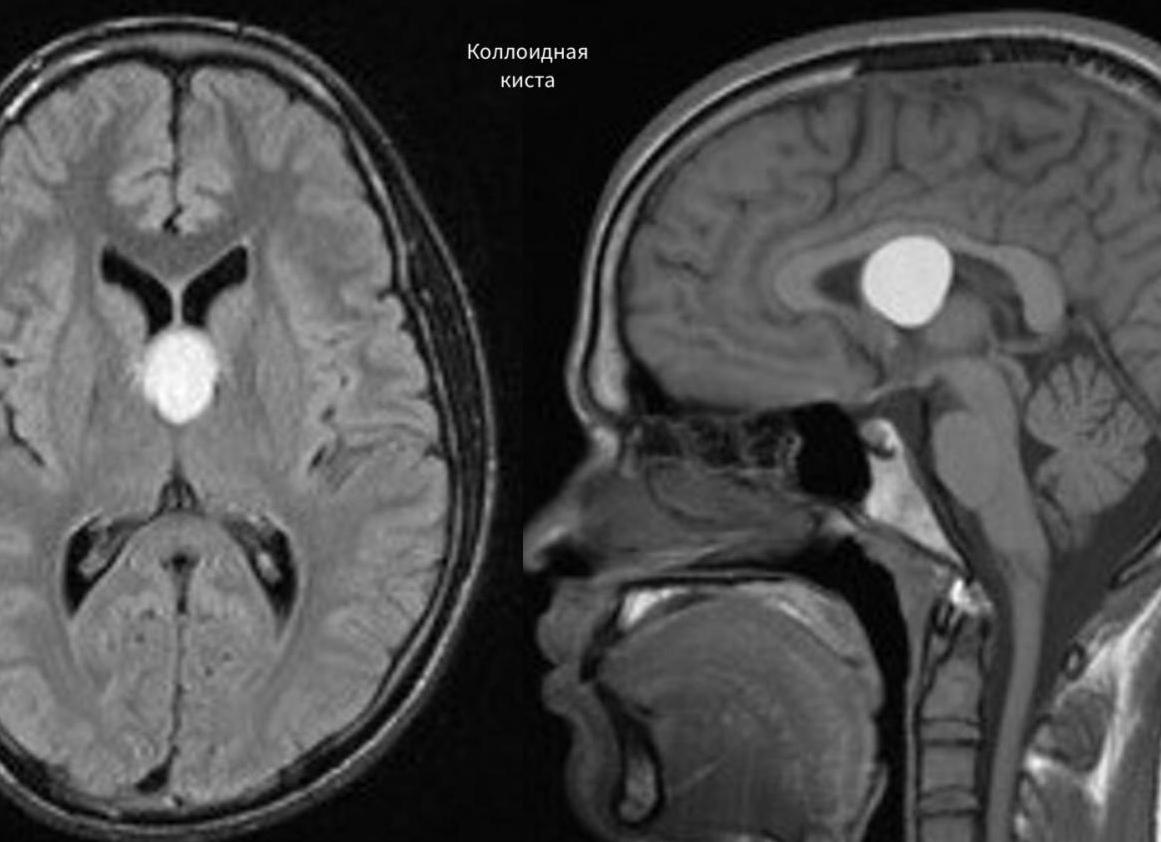
- Коллоидная киста возникает на стадии эмбрионального развития плода, когда формируется ЦНС. Чаще всего ее присутствие в организме не сопровождается ярко выраженной клинической картиной. Иногда киста влечет за собой нарушение тока ликвора. Это, в свою очередь, опасно гидроцефалией и летальным исходом.
- Дермоидная/эпидермоидная киста. Патология развивается в первые дни зарождения плода. Поэтому в ее составе часто обнаруживают волосяные и жировые элементы. Данная форма недуга характеризуется быстрым ростом, подлежит хирургическому удалению.
- Пинеальная киста. В случае несвоевременной диагностики нарушения повышается вероятность развития гидроцефалии, расстройства обмена веществ, проблем со зрением.
Вне зависимости от разновидности патологического процесса пренебрегать им нельзя.
Методы диагностики
Лечение кисты головного мозга назначается только после комплексного обследования организма больного. Обычно прибегают к помощи МРТ или КТ. Посредством данных процедур можно рассмотреть контуры новообразования, определить его конкретную локализацию, а также проследить динамику развития.
Кисты не следует ассоциировать с онкологическими недугами. Крайне редко они несут в себе злокачественную природу. Во время проведения КТ или МРТ дополнительно в полость вводится контрастное вещество. С его помощью специалист и определяет степень злокачественности кисты. Чаще всего подобного рода патология хорошо поддается терапии, если пациент своевременно обращается за медицинской помощью.
Чтобы предупредить быстрый рост проблемы, необходимо выявить первопричину ее возникновения. С этой целью пациенту назначаются следующие диагностические мероприятия:
- Допплеровское исследование (позволяет оценить качество кровотока в головном мозге).
- ЭКГ.
- Анализ крови на свертываемость и уровень холестерина. Эти показатели чаще всего становятся причиной закупорки сосудов, как следствие, развития кисты головного мозга.
- Определение АД. В течение целого дня компьютер записывает все показания у больного. В случае резких скачков давления можно говорить о высокой вероятности инсульта.
- Анализ крови на аутоиммунные и инфекционные патологии. Данное обследование необходимо при подозрении на рассеянный склероз.
На основании полученных результатов обследования, изучения анамнеза пациента и его жалоб врач назначает терапию. Также на приеме он может рассказать, чем опасна киста головного мозга, если пренебрегать ее ростом.
Особенности проводимой терапии
Лечение новообразования подбирается с учетом его типа. Например, небольшая по размерам киста не требует проведения специфической терапии. Таких пациентов даже берут в армию.
Новообразование средних размеров чаще всего можно ликвидировать с помощью приема медикаментов. Как лечить кисту головного мозга в этом случае? Использование лекарственных препаратов целесообразно для устранения первопричины патологического процесса. Например, для избавления от спаек рекомендуется «Карипаин» или «Лонгидаза». Чтобы привести в норму кровообращение, врачи прибегают к помощи лекарств для снижения показателей холестерина и АД.
Обеспечить различные элементы головного мозга глюкозой и кислородом можно посредством ноотропов («Пантогам», «Пикамилон»). Чтобы клетки стали более восприимчивы к внутричерепному давлению, применяются различные антиоксиданты. При выявлении аутоиммунных или инфекционных болезней назначаются антибиотики и противовирусные медикаменты. В каждом конкретном случае дозировку и продолжительность приема таблеток определяет врач.
Стоит заметить, что лечение народными средствами при кисте головного мозга не приветствуется традиционной медициной. С помощью отваров и примочек можно не только навредить собственному организму, но и усилить рост новообразования.
Необходимость оперативного вмешательства
Когда наблюдается стремительный рост и увеличение в размерах новообразования, врачи обычно предлагают операцию по его иссечению. Удаление кисты головного мозга возможно следующими способами:
- Шунтирование. Во время хирургического вмешательства специалист устанавливает дренаж. С помощью особой трубки впоследствии из тела кисты будет выводиться лишняя жидкость. Постепенно стенки образования начинают спадать и зарастать. Стоит заметить, что данный метод не является полностью безопасным, поскольку существует риск занесения инфекции.
- Эндоскопия. Данный способ вмешательства чаще всего используется у взрослых. Во время операции врач делает несколько проколов, посредством которых выполняет хирургические манипуляции. Эндоскопический метод считается наименее травматичным, однако обладает рядом противопоказаний. К его помощи не рекомендуется прибегать больным с ослабленным зрением.
- Трепанация черепа. Такая операция является весьма эффективной. Во время ее проведения все же существует риск дополнительного травмирования мозга.
Причины кисты головного мозга у детей и взрослых во многом схожи. Именно поэтому используются аналогичные варианты воздействия на проблему. Однако к помощи хирургического вмешательства прибегают только в тех случаях, если патология действительно прогрессирует, имеется опасность для развития крохи.
Благодаря своевременно и качественно проведенной операции можно предупредить большинство негативных последствий. Киста головного мозга часто сопровождается психическими расстройствами и проблемами с развитием, нарушением зрения. После вмешательства при условии отсутствия у пациента осложнений его обычно выписывают через 4 дня. Далее он должен в обязательном порядке проходить профилактические обследования, чтобы своевременно распознать и устранить рецидив.
Заключение
Киста в мозге — это достаточно серьезная патология. Однако после ее выявления не стоит сразу ставить крест на собственной жизни. Если образование не прогрессирует и характеризуется небольшими размерами, даже лечение не потребуется. В противном случае современная медицина предлагает сразу несколько вариантов терапии, начиная медикаментозным воздействием и заканчивая серьезным операционным вмешательством. Какой именно вариант из предложенных выбрать, должен решать специалист.
Кисты головного мозга у взрослых последствия
Mikki Dzin Гуру (3629) 5 лет назад
Не смертельно, если нет усиленного роста тела кисты. В ходе роста происходит давление на ту или иную зону мозговой активности, что ведёт к непереносимым болям и может сопровождаться эпилептическими припадками в следствии кислородного голодания одного отдела мозга где расположена киста.
Наталья Просветленный (20756) 5 лет назад
Под кистой головного мозга подразумевается пузырь жидкости, которая образуется между структурами мозга. Есть два главных типа кист. Это арахноидальная киста, которая характеризуется скоплением жидкости между слипшимися слоями мозговых оболочек, и внутримозговая киста, которая характеризуется скоплением жидкости на месте погибшего участка мозга. Арахноидальная киста чаще всего является результатом воспалительных процессов оболочек мозга, кровоизлияний либо травм. Такое название данной кисты возникло от названия паутинной оболочки мозга. В случае если жидкость в кисте давит намного сильнее, чем внутричерепное давление, это может привести к сдавливанию коры, что в свою очередь приведет к многочисленным неприятным симптомам.
Церебральная или внутримозговая киста заполняет лишнее пространство головного мозга, которое возникает на месте погибшего участка органа. Очень важно, чтобы причина гибели участка была найдена. Это поможет сохранить весь остальной головной мозг в целости и сохранности. Практически всегда кисты возникают из-за малого мозгового кровообращения, инсульта, травм, воспалительных процессов, а также после хирургических вмешательств в полости черепа.
Арахноидальная киста находится на поверхностной части головного мозга. Церебральная киста в свою очередь располагается в толще вещества головного мозга. Наличие кисты никак не связано с наличием ракового заболевания. Иногда они могут расти. Но во всех случаях кисту можно вылечить. Принцип лечения кисты основывается на борьбе с Задать Вопрос причиной ее возникновения.
Марина Карлина Гуру (2957) 5 лет назад
Нет это не смертельно. У меня ребенок родился с кистой. Квалифицированное лечение и СЛАВА БОГУ, у нас все хорошо.
Маша Жук Оракул (85928) 5 лет назад
не смертельно, если киста в оболочках млзга, но могут быть сильные головные боли
Источник: сама с такой кистой живу
Интересный факт: Три четверти видов бактерий, живущих в кишечнике человека, еще не открыты.
Интересный факт: В теле человека примерно сто триллионов клеток, но лишь десятая часть из них — человеческие клетки, остальные – микробы.
Интересный факт: Мужчины примерно в 10 раз чаще женщин страдают дальтонизмом.
Интересный факт: Вес сердца в возрасте 20–40 лет в среднем достигает у мужчин 300 г, у женщин — 270 г.
Интересный факт: Суммарное расстояние, которое преодолевает кровь в организме за сутки, составляет 97000 км.
Интересный факт: По мнению калифорнийских ученых, люди, съедающие в неделю хотя бы 5 грецких орехов, в среднем по статистике живут на 7 лет дольше.
Интересный факт: Палец человека за всю жизнь сгибается около 25 миллионов раз.
Интересный факт: Диабет перестал быть смертельной болезнью только в 1922 году, когда двумя канадскими учеными был открыт инсулин.
Интересный факт: Вплоть до 19 века зубы удаляли не стоматологи, а врачи общего профиля и даже парикмахеры.
Интересный факт: Самое распространенное инфекционное заболевание в мире — это зубной кариес.
Интересный факт: «Виагра» была изобретена случайно в процессе разработки лекарства для лечения сердечных заболеваний.
Интересный факт: Человек может обойтись без пищи дольше, чем без сна.
Интересный факт: Пиявок ставили еще египетские фараоны, в древнем Египте исследователи нашли высеченные на камнях изображения пиявок, а также сцен лечения ими.
Интересный факт: Самая высокая температура тела была зафиксирована в 1980 году у Уилли Джонса из Атланты, США, при поступлении в больницу она составляла 46,5С.
Интересный факт: В 2002 году румынские хирурги установили новый медицинский рекорд, удалив из желчного пузыря пациента 831 камень.
Киста головного мозга
Киста головного мозга – патологическое образование, которое характеризуется наличием оболочки с заключенной в ней жидкостью.
Симптомы
Если образование имеет небольшой размер, то заболевание протекает без проявления каких-либо симптомов. При достижении полостью значительных размеров клиническая картина меняется.
Основными симптомами кисты головного мозга являются:
- головные боли ;
- чувство пульсации;
- головокружения ;
- галлюцинации;
- ощущения распирания, давления в голове;
- нарушение слуха;
- шум в ушах;
- нарушение координации движений;
- тремор рук;
- нарушение чувствительности кожи;
- тремор ног;
- нарушение зрения, которое проявляется в виде двоения, размытости;
- потеря сознания;
- развитие паралича;
- эпилептические припадки;
- тошнота, рвота;
- нарушение сна .
Причины кисты головного мозга
Основными причинами кисты головного мозга являются:
- нарушение внутриутробного развития, которые выступают врожденной аномалией;
- дистрофические, дегенеративные нарушения в головном мозге, которые приводят к замещению мозговой ткани кистозным новообразованием;
- нарушения мозгового кровообращения ;
- травмы головного мозга.
Киста головного мозга у новорожденных
У новорожденных заболевание встречается следующих видов:
- Вариантом нормы на определенном этапе эмбрионального развития являются кисты сосудистых сплетений. Они не представляют опасности, с течением времени наблюдается их полное исчезновение. Опасность представляют кисты сосудистых сплетений, которые образовываются после рождения. Причиной данного вида кисты могут послужить воспаления, инфекции, которые перенесла женщина во время беременности.
- Субэпендимальная киста головного мозга у новорожденных может возникать по причине недостаточности кровообращения головного мозга, недостаточной степени снабжения его кислородом. За развитием новообразования требуется постоянный контроль.
- Симптомами арахноидальной кисты являются прогрессирующие судорожные припадки, ухудшение общего состояния, нарастание неврологической симптоматики.
Диагностика
Основными методами диагностики заболевания являются МРТ и КТ, с помощью которых можно точно установить локализацию, форму, размеры кистозного образования.
Доплеровское ультразвуковое сканирование сосудов позволяет оценить состояние кровоснабжения ткани головного мозга, установить зоны ишемии, где развиваются новообразования.
К дополнительным методам диагностики относятся ЭКГ, Эхо-ЭКГ, позволяющие установить признаки нарушений ритма, сердечной недостаточности, которые могут служить причиной плохого кровоснабжения.
Установить причины заболевания помогают анализы крови, которые несут информацию об уровне холестерина, аутоиммунных процессах, оценку свертываемости крови.
Лечение
При отсутствии симптомов кисты головного мозга лечение заболевания не проводится. Динамический рост кистозных образований требует медикаментозного лечения, которое предусматривает прием противовирусных, антибактериальных препаратов, иммунномодуляторов, лекарственных средств, способствующих рассасыванию спайки, восстановлению кровообращения.
Увеличение кистозной полости, которое сопровождается ярко выраженной симптоматикой, требует оперативного вмешательства. Хирургические методы лечения кисты головного мозга делятся на три группы:
- шунтирование полости кисты с использованием дренажной трубки;
- радикальные операции;
- эндоскопические методы.
Народные методы лечения кисты головного мозга
Народная медицина предлагает следующие эффективные методы лечения:
- Листья лопуха промыть, перетереть, отжать сок, настаивать 4-5 дней в темном месте в стеклянной посуде. Принимать по 2 столовые ложки дважды в сутки до еды в течение двух месяцев.
- Взять три литра кипяченой воды, размешать в них одну столовую ложку сухих дрожжей. В полученный раствор добавить 40 грамм сухой травы девясила. Настаивать два дня. Принимать в течение 21 дня 4 раза вдень по 0,5 стакана.
- Смешать корни щавеля, репейника, душицу, крапиву, листья грецкого ореха, спорыш по 1 столовой ложке. Растереть, добавить по три столовых ложки зверобоя, бессмертника, столовую ложку валерианы. Полученный сбор в количестве две столовые ложки залить 0,5 л кипятка, настаивать 12 часов. Принимать за 30 минут до еды по 1 столовой ложке 3-4 раза в день.
Последствия кисты головного мозга
Последствия кисты головного мозга могут иметь различный характер:
- нарушение слуха;
- нарушение зрения;
- нарушение координации;
- нарушение двигательной функции;
- гидроцефалия – избыточное скопление цереброспинальной жидкости в желудочковой системе;
- энцефалит – заболевания, которые характеризуются протеканием воспалительного процесса в головном мозге, имеющие различную локализацию, этиологию;
- внезапная смерть.
Данная статья размещена исключительно в познавательных целях и не является научным материалом или профессиональным медицинским советом.
Диагнозы Кисты сосудистого сплетения головного мозга
Данная информация не может использоваться при самолечении! Обязательно необходима консультация со специалистом!
Почему образуются кисты?
В головном мозге человека есть специальное образование — сосудистое сплетение, основной задачей которого является продукция внутримозговой жидкости (ликвора). Формируется это сплетение на самом раннем этапе эмбриогенеза (формирования плода). В ходе этого процесса ликвор иногда поступает не в желудочки мозга (полости, заполненные спинномозговой жидкостью), а в межтканевое пространство. В результате этого формируются округлые образования, содержащие ликвор. Чаще всего подобные кисты образуются у плода на сроке 16–23 недель. Размеры их обычно не превышают нескольких миллиметров.
Как таковые кисты сосудистого сплетения не являются патологией и представляют один из вариантов нормального развития головного мозга человеческого плода. Частота встречаемости составляет 1–3% всех беременностей. Чаще всего эти кисты исчезают к 25–27 неделе беременности, но изредка сохраняются вплоть до рождения ребенка.
Как врач обнаруживает кисты, и какими они бывают?
Диагностика кист сосудистого сплетения проводится посредством ультразвукового обследования плода. Врач УЗИ-диагностики обычно сообщает об этом беременной и делает запись в протоколе обследования.
Классификация кист сосудистого сплетения подразумевает выделение одиночных (солитарных) и множественных кист. Также они могут быть односторонними и двусторонними (при наличии их в обоих полушариях мозга).
Факторы, способствующие развитию этой патологии
Факторы риска развития кист сосудистого сплетения: внутриутробная инфекция плода (особенно часто они формируются при герпетическом поражении), патология беременности (угроза прерывания, самопроизвольные аборты в анамнезе). Частота встречаемости этих образований увеличивается у детей с хромосомной патологией. Например, они являются одним из признаков синдрома Эдвардса. Однако стоит помнить, что обнаружение только кист не свидетельствует о наличии у ребенка этого синдрома. Крайне редко кисты могут становиться причиной повышенного внутричерепного давления, но только в сочетании с другой патологией головного мозга, например, параллельно с перинатальной энцефалопатией.
Нужно ли лечить кисты сосудистого сплетения?
Необходимости в лечении кист сосудистого сплетения нет, так как непосредственной клинической картины не развивается, и как самостоятельная патология кисты не представляют угрозы здоровью и жизни ребенка. Изредка врачи назначают лекарства, ускоряющие рассасывание этих образований. Но доказательная база по этим препаратам крайне скудна, поэтому не стоит рисковать здоровьем ребенка и пытаться лечить то, что в лечении не нуждается.
Подвержены ли взрослые развитию этой патологии?
Крайне редко кисты сосудистого сплетения встречаются у взрослых людей. Это либо оставшиеся кисты с детского возраста, либо последствия перенесенного микроинсульта в области сосудистого сплетения. У взрослых диагностика этой патологии производится путем проведения КТ или МРТ головного мозга. Специфического лечения также не требуется — проводят базовую терапию инсульта, заключающуюся в назначении препаратов, улучшающих мозговой кровоток и стабилизирующих метаболические процессы в головном мозге.
Прогноз и профилактика
Прогноз при кистах сосудистого сплетения благоприятный. При случайном выявлении их в ходе планового УЗИ рекомендуется исключить внутриутробную инфекцию, для чего требуется консультация акушера-гинеколога. При подозрении на синдром Эдвардса гинеколог может направить беременную на консультацию к врачу-генетику.
Специфических мер профилактики не существует. Беременным необходимо избегать переохлаждения и контактов с инфекционными больными, особенно с носителями вируса герпеса. Перед планируемой беременностью женщине рекомендуется пройти полное обследование и по возможности вылечить всю имеющуюся у нее патологию.
© apreka.ru. vet.apreka.ru . Использование материалов разрешено с указанием ссылки на сайт. Все наименования торговых марок принадлежат их законным правообладателям.
Информация размещена на сайте только для ознакомления. Обязательно необходима консультация со специалистом. Если вы нашли ошибку в тексте, некорректный отзыв или неправильную информацию в описании, то просим вас сообщать об этом администратору сайта.
Отзывы размещенные на данном сайте являются личным мнением лиц их написавших. Не занимайтесь самолечением!
Источники: https://otvet.mail.ru/question/57109022, https://dolgojit.net/kista-golovnogo-mozga.php, https://www.apreka.ru/?d=kistyi_sosudistogo_spleteniya_golovnogo_mozga
Комментариев пока нет!
Киста в головном мозге у взрослого последствия
Киста – патологическое полое образование в органах, характеризующееся наличием оболочки и жидкости, заполняющей всю полость.
Что такое киста головного мозга. Типы кист головного мозга
- Арахноидальная киста – кистозное образование, возникшее между слоями арахноидальных (паутинных) оболочек мозга, заполненное спинномозговой жидкостью. Чаще проявляется у пациентов мужского пола (у детей и пациентов подросткового возраста). Если давление внутри арахноидальной кисты превышает внутричерепное давление, то в таком случае киста оказывает сдавливающее воздействие на кору головного мозга, вызывая характерную симптоматику. Арахноидальная киста головного мозга может быть врожденной (формируется в результате нарушения эмбрионального развития) и приобретенной (формируется в результате перенесенных воспалительных и инфекционных заболеваний);
- Коллоидальная киста головного мозга – кистозное образование, возникающее на стадии эмбрионального развития в процессе формирования центральной нервной системы плода. Коллоидальная киста может существовать бессимптомно на протяжении всей жизни пациента. Основным риском, возникающим при кисте головного мозга такого типа, является нарушение тока ликвора, что приводит к негативным последствиям (гидроцефалия, формирование мозговых грыж, смерть);
- Дермоидная/эпидермоидная киста головного мозга – образование, появляющееся в первые дни формирования плода, что объясняет обнаружение в тканях кисты волосяных волокон, жира. Такой тип кист головного мозга характеризуется быстрым ростом и подлежит хирургическому удалению во избежание развития тяжелых последствий;
- Пинеальная киста головного мозга – образование в шишковидном теле (эпифизе) малого объема. При несвоевременной диагностике пинеальной кисты головного мозга последствиями могут быть нарушение процессов обмена веществ, зрения, координации, энцефалит, гидроцефалия.
Коллоидальный, дермоидный (эпидермоидный) и пинеальный типы кист головного мозга относятся к церебральным (внутримозговым) образованиям.
Киста головного мозга: симптомы образования
К основным симптомам кисты головного мозга относятся:
Следует отметить, что чаще всего развитие кисты головного мозга не имеет яркой симптоматики, сама же киста обнаруживается при регулярном обследовании пациента.
Киста головного мозга: причины развития образования
При обнаружении кисты головного мозга причины ее развития – основная цель диагностики для определения тактики лечения. При диагностике кисты головного мозга, причинами ее образования могут быть следующие факторы:
Киста головного мозга у новорожденных: типы кист, причины развития
Различают три основных вида кист головного мозга у новорожденных:
Киста головного мозга: лечение, прогнозы
При диагностировании кисты головного мозга лечение выбирается, исходя из первопричины образования. Нединамичные кисты головного мозга лечения не требуют. При обнаружении динамичной кисты головного мозга лечение может быть:
Киста головного мозга: последствия заболевания
При несвоевременной диагностике и лечении любого типа кисты головного мозга последствия могут быть различного характера:
Видео с YouTube по теме статьи:
Информация является обобщенной и предоставляется в ознакомительных целях. При первых признаках болезни обратитесь к врачу. Самолечение опасно для здоровья!
Здравствуйте. Слушать невропатолога.
Беспокоили головные боли, невролог сказал сделать мрт, мрт выявило: ретроцеллебелярную кисту ликворного характера размером до 1.2*1.0 см.
Ответьте пожалуйста!я совсем отчаялась и очень беспокоюсь! с Уважением!
Просто страшно, на всех источниках написано, что нужно незамедлительно лечить. а мне ничего не сказали. мол, все хорошо! Может конечно я паникёр, но страшно. помогите хоть немножко разобраться, ПОЖАЛУЙСТА
Печень – это самый тяжелый орган в нашем теле. Ее средний вес составляет 1,5 кг.
Образованный человек меньше подвержен заболеваниям мозга. Интеллектуальная активность способствует образованию дополнительной ткани, компенсирующей заболевшую.
Самое редкое заболевание – болезнь Куру. Болеют ей только представители племени фор в Новой Гвинее. Больной умирает от смеха. Считается, что причиной возникновения болезни является поедание человеческого мозга.
В стремлении вытащить больного, доктора часто перегибают палку. Так, например, некий Чарльз Йенсен в период с 1954 по 1994 гг. пережил более 900 операций по удалению новообразований.
Люди, которые привыкли регулярно завтракать, гораздо реже страдают ожирением.
В Великобритании есть закон, согласно которому хирург может отказаться делать пациенту операцию, если он курит или имеет избыточный вес. Человек должен отказаться от вредных привычек, и тогда, возможно, ему не потребуется оперативное вмешательство.
Даже если сердце человека не бьется, то он все равно может жить в течение долгого промежутка времени, что и продемонстрировал нам норвежский рыбак Ян Ревсдал. Его мотор остановился на 4 часа после того как рыбак заблудился и заснул в снегу.
Каждый человек имеет не только уникальные отпечатки пальцев, но и языка.
Кроме людей, от простатита страдает всего одно живое существо на планете Земля – собаки. Вот уж действительно наши самые верные друзья.
Наши почки способны очистить за одну минуту три литра крови.
Кариес – это самое распространенное инфекционное заболевание в мире, соперничать с которым не может даже грипп.
Человеческие кости крепче бетона в четыре раза.
При регулярном посещении солярия шанс заболеть раком кожи увеличивается на 60%.
Работа, которая человеку не по душе, гораздо вреднее для его психики, чем отсутствие работы вообще.
Согласно исследованиям ВОЗ ежедневный получасовой разговор по мобильному телефону увеличивает вероятность развития опухоли мозга на 40%.
Каждый раз, когда у ребёнка поднимается температура, болит горло, появляется насморк и кашель, родителей беспокоит вопрос – это обычная простуда или грипп? В эт.
https://www.neboleem.net/kista-golovnogo-mozga.php
Киста головного мозга
Что такое киста головного мозга. Типы кист головного мозга
Киста головного мозга: симптомы образования
Киста головного мозга: причины развития образования
Киста головного мозга у новорожденных: типы кист, причины развития
Киста головного мозга: лечение, прогнозы
Киста головного мозга: последствия заболевания
Кровь человека «бегает» по сосудам под огромным давлением и при нарушении их целостности способна выстрелить на расстояние до 10 метров.
В течение жизни среднестатистический человек вырабатывает ни много ни мало два больших бассейна слюны.
Многие наркотики изначально продвигались на рынке, как лекарства. Героин, например, изначально был выведен на рынок как лекарство от детского кашля. А кокаин рекомендовался врачами в качестве анестезии и как средство повышающее выносливость.
Общеизвестный препарат «Виагра» изначально разрабатывался для лечения артериальной гипертонии.
Желудок человека неплохо справляется с посторонними предметами и без врачебного вмешательства. Известно, что желудочный сок способен растворять даже монеты.
Когда влюбленные целуются, каждый из них теряет 6,4 ккалорий в минуту, но при этом они обмениваются почти 300 видами различных бактерий.
Во время чихания наш организм полностью прекращает работать. Даже сердце останавливается.
У 5% пациентов антидепрессант Кломипрамин вызывает оргазм.
Киста головного мозга: подробно о важном
Подобная аномалия обнаруживается почти у 40% младенцев, но далеко не всегда считается серьезной патологией. Все зависит от разновидности образования: некоторые из них исчезают сами и не беспокоят новорожденного ребенка, в других случаях приходится лечить болезнь. Иногда требуется хирургическое вмешательство и удаление образования.
Основные причины образования кисты
Киста головного мозга может иметь разные причины. Среди основных факторов, оказавших влияние на образование пузыря внутри головного мозга, чаще всего отмечают следующие:
Первая группа причин часто напрямую связана со здоровьем матери, носящей ребенка:
Но бывают и другие факторы, не зависящие от беременной, но влияющие на развитие плода:
- передавливание шеи ребенка пуповиной;
- конфликт резус-фактора;
- врожденная генетическая предрасположенность;
- травмы во время родов.
У взрослых высока вероятность образования кисты после ушиба головы, микроинсульта или перенесенных инфекций (особенно таких, как энцефалит или менингит). Симптомы, на которые следует обратить внимание: острая пульсирующая головная боль, тошнота, частичное онемение верхней части лица. Если не начать лечить недуг, последствия окажутся катастрофичными.
Чем опасна киста головного мозга?
В случае наличия и маленьких, и больших образований главной проблемой является своевременное диагностирование. Если лечение началось поздно, возможны следующие последствия для человека:
Потому важно очень серьезно отнестись к подозрительным признакам или общему ухудшению состояния.
Тревожные симптомы
- частые головные боли, особенно «пульсирующего» характера;
- быстрая утомляемость;
- бессонница;
- усиленная потливость и одышка;
- бегающие «мушки» в глазах;
- внезапное ухудшение зрения или слуха;
- тремор рук или подбородка;
- обмороки и судороги.
Имея сразу несколько признаков из вышеперечисленных, следует немедленно обратиться к специалисту и обследоваться с помощью МРТ. Лучше несколько раз перестраховаться, чем один раз столкнуться с последствиями этого недуга.
Диагностируя болезнь у новорожденного ребенка, врачи отмечают еще несколько дополнительных симптомов, которые могут указывать на патологию головного мозга:
- вялость конечностей;
- срыгивание фонтаном практически после каждого кормления;
- дезориентированный взгляд ребенка;
- пульсирующий родничок.
Дети постарше, которые уже могут описать свое состояние, имеют следующие жалобы:
- шум в ушах;
- боль в затылочной части головы;
- яркие вспышки в глазах;
- частое потемнение в глазах;
- сонливость;
- перманентное подташнивание.
Разновидности образований
Лечение патологии во многом зависит от того вида, который имеет киста головного мозга. Классификация этого аномального образования довольно обширна. Наиболее часто встречаются следующие виды:
Традиционные и радикальные методы лечения
Лечение такого образования, как киста головного мозга, подбирается в соответствии с видом аномалии и причин ее появления. Для этого проводят ряд исследований, включающих следующие процедуры:
- анализ крови (на уровень холестерина, параметры свертываемости и наличия вирусов);
- МРТ;
- измерения артериального давления;
- обследование сердца;
- изучение анамнеза пациента;
- визуальный осмотр.
Обследование новорожденного ребенка, имеющего симптомы кисты, может проводиться без МРТ, с помощью нейросонографии.
Далее врач определяет, какой метод борьбы с недугом наиболее предпочтителен:
- медикаментозное лечение;
- удаление образования хирургическим путем.
Традиционное медикаментозное лечение может включать препараты, устраняющие первопричину аномалии:
- снижающие концентрацию холестерина;
- нормализующие артериальное давление;
- устраняющие инфекцию и т. д.
Для рассасывания спаек назначают лечение каприпаином или лонгидазом, а для обеспечения клеток головного мозга достаточным количеством кислорода – пикамилоном или инстеноном.
Лечение радикальным методом предполагает удаление кисты:
- шунтированием – выведением содержания пузыря через специальную дренажную трубку;
- эндоскопией – проколом образования (подходит не для всех видов образований);
- путем трепанации черепа.
Третий метод – один из самых эффективных, но и самый сложный. Когда речь идет о кисте у ребенка, лечить аномалию нейрохирурги берутся только в том случае, если образование имеет большие размеры и быстро растет, угрожая вылиться в необратимые последствия.
Однако практика показывает, что необходимость в радикальном лечении новорожденного возникает крайне редко. Чаще всего малыш просто наблюдается у невропатолога, а через время МРТ подтверждает исчезновение образования.
Похожие статьи:
Какими лекарственными препаратами можно избавиться раз и навсегда от кисты в левой лобной части ?
образовалась киста в затылочной части мозга слева размер1.89\3.2см.с признаками заместительной гидроцефалии(возможно ли излечиться?)
Использование ее в самолечении может привести к нежелательным последствиям.
Помните: лучший вариант — обратиться за помощью к врачу!
Мы не делаем персональных консультаций и не рекомендуем конкретные клиники.
Копирование материалов с сайта без указания активной ссылки на источник запрещено!
https://headhealth.ru/kista-golovnogo-mozga.html
Комментариев пока нет!