
Виды кист в головном мозге у ребенка, симптомы и лечение
Киста в головном мозге у детей — внутричерепное образование, заполненное жидкостью. Шаровидная капсула формируется на различных небольших омертвевших участках ткани головного мозга. Опухоли в голове у ребёнка классифицируют в зависимости от локализации и давности развития (врождённые и приобретённые). Чем опасна патология, и является ли она угрозой для здоровья малыша после рождения?
Опухоли классифицируют в зависимости от локализации и давности развития — врождённые и приобретённые.
Причины возникновения
Кисту у ребёнка в головном мозге часто выявляют ещё до рождения на перинатальных скринингах. В этот период женщина проходит УЗИ, с помощью которого определяют ранние нарушения в развитии. Причиной опухолевидного процесса является нарушение нервной системы. Врождённые кисты головного мозга у ребенка практически никогда не перерождаются в онкологическое образование, но за ними нужно следить.
Патологию часто выявляют ещё до рождения на перинатальных скринингах.
На фоне каких факторов обнаруживают патологию?
- Осложнения во время беременности (гестоз).
- Сдавление головы во время прохождения по родовым путям.
- Кислородное голодание у плода или гипоксия (анемия, астма матери, недостаточный плацентарный кровоток, несовместимость резус-фактора).
- Вирусные инфекции.
- Бесконтрольный приём лекарственных препаратов.
- Травмы головы с повреждением тканей мозга.
- Воспалительные процессы (энцефалит, менингит).
Виды кист в головном мозге у ребенка
Доброкачественные опухоли образуются в разных отделах головного мозга, некоторые из них не влияют на развитие малыша.
Кисты сосудистых сплетений
В сосудисто-эпителиальной ткани мозга отсутствуют нервные клетки, они являются основным источником насыщения мозга через спинномозговую жидкость. При стремительном делении клеток в пространстве между сплетениями происходит накопление церебрального вещества. Образование не вносит изменения в работу головного мозга. Кисту могут обнаружить у маленького ребёнка или в подростковом возрасте.
Не требуется консервативная или хирургическая коррекция, опухоль проходит самостоятельно.
Такой диагноз — не редкость в педиатрической практике, но психическое и умственное развитие остаётся на естественном уровне, поэтому для него не требуется консервативная или хирургическая коррекция. У плода обычно к 28 неделе полости исчезают самостоятельно. Если этого не случилось до рождения ребёнка, высока вероятность, что это произойдет в течение года после родов.
Ретроцеребеллярная киста
Редкая патология, может развиться в глубине любого отдела головного мозга у ребёнка. Причиной образования ретроцеребеллярной капсулы является отмирание клеток серого вещества, что само по себе является опасным явлением. Постепенно капсула заполняется, увеличиваясь в размерах, и приводит к сильному сдавлению соседних участков органа. К специфике опухоли относится её стремительное разрастание с нарушением кровотока в мозге.
В отягчённой динамике ретроцеребеллярная опухоль достигает 11-12 см, а толщина её стенок бывает до 2 см.
Патология у ребёнка проявляется множественными симптомами — отклонения в психическом состоянии, нарушение движения тела, неустойчивая координация, головная боль, гидроцефалия и паралич. В отягчённой динамике ретроцеребеллярная киста достигает 11-12 см, а толщина её стенок бывает до 2 см. Самые опасные формы опухоли возникают после менингита, и не поддаются консервативной терапии.
Арахноидальная киста
Образование формируется при механических повреждениях, травмах затылка и ушибах
Полое образование, заполненное жидкостью, растёт на поверхности коры головного мозга ребёнка, где расположены паутинные оболочки. Стенки арахноидальной капсулы сформированы из паутинных клеток или зарубцевавшегося коллагена. Первичная патология характеризуется аномальным развитием мозговых оболочек у эмбриона. Вторичный тип является приобретённой патологией, вызванной инфекционными и воспалительными течениями в головном мозге. Часто у детей арахноидальные кисты формируются при механических повреждениях, травмах затылка и ушибах.
Дермоидная киста
Дермоид или зрелые тератомы образуются при смещении зародышевых элементов под кожный покров. В результате этого полость содержит в себе производные дермы — фолликулы, волосы, сальные железы, хрящевую ткань и даже зубную эмаль. Дермоидные кисты в голове у ребенка — нарушение при эмбриональном развитии, которое определяется по линиям частей плода, в эмбриональных соединениях и складках. Строение таких областей позволяет скапливаться зародышевым листкам.
В основном это нарушение при эмбриональном развитии.
Появление капсулы-дермоида в голове является редкостью, практически все случаи патологии замечены в желудочках органа. Крупные размеры образования негативно влияют на течение родов, препятствуют нормальному развитию ребёнка. Наиболее крупные кисты достигают 15 см, имеют 1 камеру, и растут очень медленно. Около 8% тератом склонны к малигнизации — продуцированию злокачественных клеток.
Церебральная киста
Ещё один тип опухоли образующейся в толще мозга. Церебральная киста может формироваться при развитии нервной системы, включая в себя погибшие нейроны и церебральное вещество. Застойные процессы приводят к формированию стенок, капсула растёт, и сдавливает клетки.
Застойные процессы приводят к формированию стенок, капсула растёт, и сдавливает клетки.
Последствия такой опухоли для ребёнка без лечения разнообразны. В некоторых случаях симптомы отсутствуют, но внезапно проявляются, если размер кисты становится критичным.
Симптомы
Клинические признаки имеют зависимость от локализации кистозного образования у ребёнка. Если оно осложнённое, то могут проявляться разные признаки, среди которых есть угрожающие состояния.
Проявляется головная боль, в движениях наблюдается заторможенность.
- Головная боль. Интенсивность симптома варьируется, обычно он проявляется после пробуждения. Определить наличие головной боли у несмышлёного ребёнка сложно. Он меняется в поведении, капризничает, иногда плачет по несколько часов.
- Ухудшение общего состояния. В движениях наблюдается заторможенность, меняется режим сна и бодрствования. Аппетит значительно ухудшается, иногда происходит полный отказ от груди или смеси.
- Увеличение головы. Такой признак говорит о большом размере кисты у ребёнка, но проявляется редко. Наряду с изменением формы черепа обнаруживается пульсация в области родничка и его выпячивание.
- Нарушенная координация. Симптом является следствием роста капсулы в мозжечковой области. Дополнительно отмечается расстройство зрения при сдавлении зрительного нерва — двоение в глазах, мушки, размытые картинки.
Выявляется нарушение координации движений.
- Отклонения в половом развитии. Возникают в подростковом периоде, если опухоль образуется в шишковидной железе. Происходит гормональный сбой, который приводит к раннему созреванию или значительной задержке.
- Эпилептические припадки. Чрезмерные электрические импульсы спровоцированы кистой, залегающей в глубине оболочек мозга и крупных его борозд. Эпилепсия проявляется судорожным состоянием, закатыванием глаз, дрожанием ресниц и потерей сознания.
Осложнения
Любой тип кисты требует тщательной диагностики и контроля. Глубокие внутримозговые и злокачественные образования представляют опасность, так как могут вызывать стойкие неврологические нарушения у ребёнка. Психоэмоциональная адаптация в социуме значительно затрудняется. При несостоятельности нейрохирургической операции может произойти разрыв кисты или её инфицирование. Такое состояние заканчивается летальным исходом.
Диагностика
Уже в 16 недель вынашивания плода на УЗИ определяются полости в мозгу.
Исследование проводится на раннем этапе. Уже в 16 недель вынашивания плода на УЗИ определяются полости в мозгу. Более углублённые исследования проводят в послеродовой период. При выраженных симптомах малышу назначают магнитно-резонансную томографию. Если родничок ещё не закрыт, использую нейросонографию. В редких случаях проводят пункцию, если есть доступ к стенкам опухоли.
Лечение
Замершие кистозные полости без прогрессирования или полости в сосудистых сплетениях не требуют специального лечения, их периодически наблюдают. Для динамичных образований назначают лекарственное и хирургическое лечение.
Медикаментозное лечение
Широко применяются ноотропные и иммуномодулирующие препараты.
В традиционную терапию входит устранение причины патологии. Могут назначаться препараты, способствующие рассасыванию стенок опухоли и спаек. Для восстановления кровообращения в поражённой области выписывают гипотензивные и антиагрегационные средства. Широко применяются ноотропные и иммуномодулирующие препараты.
Хирургическое вмешательство
Метод радикального лечения, при котором кистозная капсула полностью извлекается из головного мозга.
- Шунтирование. В полость вводят дренажную трубку и эвакуируют содержимое. Стенки опадают и зарастают. При операции сохраняется высокий риск инфицирования тканей мозга.
- Эндоскопия. Метод удаления опухолей, осуществляемый через проколы. В черепную коробку вводят инструмент, которым вылущивают кисту.
- Трепанация черепа. Эффективная и длительная операция. Позволяет удалить крупные опухоли с осложнённым течением.
Новорожденным проводят подобные операции в отделении детской нейрохирургии, но только в том случае, если размеры кисты угрожают развитию ребёнка.
Благодаря хирургическому лечению кист пациенты избегают большинства негативных последствий — психических расстройств, головных болей, потери зрения или слуха в раннем возрасте.
Киста головного мозга у детей
Киста головного мозга – это объемное образование в головном мозге, которое представляет собой шаровидную полость, заполненную жидкость и располагающуюся на месте отмершей нервной ткани.
Киста может сформироваться в самых разнообразных областях мозга, быть как единичным образованием, так и множественным. Не стоит забывать, что она не является опухолевым образованием!
Причины образования кист у новорожденных детей
Основной причиной формирования кист у новорожденных являются врожденные нарушения развития центральной нервной системы и травмы послеродового периода.
У детей грудного возраста они образуются при недостаточности мозгового кровообращения, что приводит к некрозу нервной ткани, после различных травм, воспалительных заболеваний (например, менингита, энцефалита), кровоизлияний в мозг.
Все эти причины приводят к дегенерации мозговой ткани, ее некрозу и формированию в данной области полости, которая со временем заполняется жидкостью и сдавливает близлежащие ткани, что приводит к появлению определенной неврологической симптоматики, задержке роста и развития ребенка.
Классификация
У детей выделяют 3 основных типа кист головного мозга:
- арахноидальная киста,
- субэпендимальная киста,
- кисты сосудистых сплетений.
Арахноидальная киста у ребенка представляет собой полость самых различных размеров и формы, может локализоваться во всех отделах головного мозга. Причиной ее развития может быть воспалительный процесс, например, менингит, травма, кровоизлияние. Характерной особенностью является стремительный рост, что приводит в последующем к сдавливанию близлежащих тканей и развитию тяжелых осложнений.
Субэпендимальная киста — одна из тяжелых ее форм, которая требует постоянного динамического наблюдения за ребенком. Развивается она вследствие недостаточности мозгового кровообращения в месте расположения желудочков головного мозга, что приводит к тяжелой ишемии и некрозу ткани, на месте которого и формируется кистозная полость. У детей с субэпиендимальной кистой следует проводить ежегодную диагностическую магнитно резонансную томографию с целью выявления увеличения размеров кисты.
Кисты сосудистых сплетений развиваются у новорожденного во внутриутробный период в следствие герпес-вирусной инфекции. При выявлении кисы в период беременности прогноз для ребенка благоприятный, так как со временем они самостоятельно спадаются. При ее формировании в более позднем возрасте прогноз менее благоприятный и чреват развитием тяжелых осложнений.
Симптомы
Симптоматика данной патологии будет зависеть от места локализации кистозной полости в головном мозге.
Так если она находится в затылочной области, то это приводит к повреждению зрительного центра и проявляется различными видами нарушения зрения: двоением, снижением остроты, ощущением тумана перед глазами.
Если же киста сформировалась в тканях мозжечка, то основными проявлениями станут нарушения походки, координации движений, головокружение.
При локализации полости кисты в турецком седле, рядом с гипофизом, у ребенка возникнут нарушения со стороны эндокринной системы в виде задержки физического и полового развития.
Также у ребенка также могут возникать судорожные припадки, парезы и параличи конечностей, нарушения слуха.
В том случае, если происходит увеличение ее размеров, то будет повышаться внутричерепное давление, так как объем черепной коробки постоянен, а количество тканей увеличивается. Повышение внутричерепного давления будет сопровождаться головными болями, головокружением, чувством распирания и пульсации в голове, тошнотой, рвотой, вялостью, повышенной сонливостью. В особо тяжелых случаях может произойти расхождение костных швов, незаращение родничков у новорожденных и, как следствие, задержка физического и умственно развития ребенка.
Диагностика
Основным способом диагностики кисты у новорожденных на первом году жизни является ультразвуковое исследование (нейросонография). Это время является наиболее благоприятным, так как роднички еще не заросли, а кости черепа не сомкнулись, что дает высокую результативность исследования. Проводить это скрининговое исследование необходимо у недоношенных детей, у новорожденных после тяжелого течения беременности и родов, в случаях, если имела место гипоксия плода.
С помощью данных МРТ и КТ исследований можно получить наиболее точную информацию о локализации, размерах, форме кистозной полости.
Лечение
Лечение кистозных образований заключается в использовании хирургических методов. Все оперативные вмешательства, используемые при данной патологии, можно разделить на 2 типа:
- радикальные;
- паллиативные.
Радикальные методы — это проведение трепанации черепа с последующим полным удалением кисты, ее содержимого и стенок. Так как эта операция ведется открытым способом, то она сопровождается высокой травматичностью.
Паллиативные методы:
- шунтирование – удаление содержимого кисты с помощи шунтирующей системы. Является малотравматичным методом, в сравнении с радикальным способом, но имеет несколько недостатков, например, высокий риск инфицирования из-за длительного пребывания шунта в мозге, киста полностью не удаляется, а эвакуируется только ее содержимое.
- Эндоскопический метод – удаление содержимого кисты с помощью эндоскопа через специальные проколы. Это наиболее безопасный и малотравматичный метод.
Прогноз
При своевременной диагностике, лечении, малых размерах кисты, отсутствии ее роста прогноз для жизни благоприятный.
В случае стремительного роста кистозной полости, который приводит к сдавливанию тканей мозга, нарушению оттока ликвора, и, в конечном итоге, к развитию серьезных осложнений, прогноз несколько хуже и зависит от своевременности оперативного вмешательства.
Опасна ли киста мозга у ребенка
Киста в голове у ребенка
Диагноз «киста мозга у новорожденного» звучит довольно пугающе. Вместе с тем около 40% детей рождаются с кистой, которая представляет собой полость, заполненную жидкостью.
Появление кисты возможно в любом любом месте головного мозга, это могут быть как множественные, так и единичные образования с одной или с двух сторон мозга.
В некоторых случаях кисты сосудистых сплетений можно диагностировать еще в период внутриутробного развития. Однако в таких случаях врачи рекомендуют не беспокоиться, поскольку, появившись, они обычно исчезают самостоятельно. Это считается нормальным, это стандартное явление на определенном сроке беременности.
Более позднее их появление, уже после появления малыша на свет, может быть спровоцировано поражением инфекцией плода, или какими либо осложнениями при беременности и родах. Нередко виновником подобных образований является вирус герпеса.
Самой серьезной патологией здесь является субэпендимальная киста. и ей нужно особенное наблюдение за развитием. Считается, что причина в данном случае, это недостаточное кровообращение в желудочках головного мозга ребенка, которое приводит к отмиранию тканей вследствие дефицита кислорода на месте которых может возникнуть полость.
Арахноидальная киста, это еще одна патология, на этот раз паутинной оболочки. Она может принимать различные формы и размеры и возникать в любом месте. Точная причина этой патологии неизвестна.
Причина кисты в головном мозге ребенка
Причиной кисты у детей может стать:
- менингит или иной воспалительный процесс,
- травма,
- кровоизлияние.
Обычно подобная кисла не проникает в желудочки мозга. Однако, всегда необходимо помнить, что кисты имеют тенденцию к дальнейшему развитию, увеличению размеров, что приводит к сдавливанию соседних участков мозга.
Если ребенку еще не исполнился год, кисту легко диагностировать при помощи УЗИ. Благоприятствует такому исследованию тот факт, что родничок к этому времени еще полностью не закрылся.
Лечение кисты в голове
При обнаружении кисты сосудистого сплетения врачи советуют не волноваться, просто следует продолжать наблюдения и ожидать, пока образования исчезнут сами. На работу и развитие мозга малыша они никак не отражаются. Однако выявить инфекцию, спровоцировавшую образование следует обязательно. Через несколько месяцев следует повторить УЗИ.
При субэпендиамальной кисте также специфического лечения не требуется, поскольку в этом случае мозговые ткани самостоятельно нормализуются, но постоянно следует наблюдаться у врача.
А вот при субэпендимальной кисте, следует несколько раз за год проводить диагностику МР или МРТ. Считается, что течение этих образований благоприятно, однако они опасны своими последствиями, если со временем произойдет рост кистозной полости и давления жидкости в ней.
Если киста головного мозга у новорожденного достигает крупных размеров, изменяется положение соседних тканей и начинается давление на них. У ребенка это проявляется в форме судорожных припадков, приобретающих прогрессирующий характер, при котором неврологические симптомы усиливаются, а общее состояние ухудшается. Этот процесс усугубляетсяся геморрагическим инсультом.
Однозначно не пропадает сама по себе арахноидальная киста, ей должно оказываться особое внимание и принятие радикальных мер. Если малыш страдает таким пороком его необходимо постоянно проверять у невролога.
В случае необходимости назначается оперативное вмешательство, которое может осуществляться методами микронейрохирургии, эндоскопии или шунтирования.
Прогноз лечения, как правило, положительный.
САМЫЕ ИНТЕРЕСНЫЕ НОВОСТИ
Я в панике. У сына (3 мес) большая киста и она растет. Заключение УЗИ головного мозга при рождении: эхопризнаки перивентрикулярного кровоизлияния 1 ст. В 1 месяц:перивентрикулярное кровоизлияние 1 ст с обеих сторон, стадия обратного развития. Киста сосудистого сплетения левого бокового желудочка (7х6)
В 3 месяца: последствия ПВК 1 с обеих сторон. Киста сосудистого сплетения левого бокового желудочка (9х7). И это после лечения (актовегин 10 уколов, Б12 10 уколов, электрофорез, массаж). Малыш плохо держит голову, но ножками упирается крепко, с 2 месяцев смеется, спокойный. Чем опасна киста и каковы причины ее появления? Правильное ли лечение было проведено?
врач детский невролог Сообщения: 2030 Зарегистрирован: Чт мар 24, 2005 22:31 Откуда: Рязань Поблагодарили: 1 раз
Гузель. киста в данном случае сосудистого происхождения и любая стимуляция кровообращения в головном мозге будет ее увеличивать. У нас такие дети в обязательном порядке показываются нейрохирургам, они предписывают режим лечения, наблюдения, дают рекомендации и только после этого ребенок передается неврологам. Думаю, в Уфе не проблема найти детского нейрохирурга.
Спасибо, Наталья Борисовна. Вот это да, Вы взглянули на проблему в совершенно ином ракурсе! Попробую пойти в данном направлении. Спасибо за совет!
Здравствуйте! Моей дочери 2 месяца. Она родилась на сроке 28 недель. Вес ей написали 750 г. но когда через неделю перевезли в обл. больницу, то вес был уже 980г. Врач сказала, что в роддоме просто перестраховались, на случай если ребенок не выживет. Она перенесла желтушку, но она прошла в легкой форме (при относительно невысоких цифрах непрямого билирубина). Сейчас у малышки бронхо-легочная дисплазия. Было еще и небольшое кровоизлияние, но врач сказала, что оно рассасывается. Сейчас сделали УЗИ мозга. Оно показало, что у малышки образовалась небольшая киста.(ГОСПОДИ! ) Я сама еле передвигаюсь. Надеюсь на чудо. Какова вероятность, что она выживет? Врачи говорят только, что всегда надо надеется.
Сообщения: 3450 Зарегистрирован: Ср мар 23, 2005 20:20 Откуда: Санкт-Петербург, Поблагодарили: 2 раза Контактная информация:
vmarina. Вашей дочери уже 2 месяца. Самый опасный период позади Кисты разные бывают, часто сами рассасываются. Настройтесь на лучшее. Малышке нужна не еле передвигающаяся мама, а оптимистичная, не уставшая, любящая. Так что не думайте о болезнях, думайте о Вашем чуде, маленькой девочке. Все будет хорошо! Сил Вам и терпения!
Большое спасибо за поддержку! Я стараюсь все вынести ради доченьки. Но как тяжело, когда приходишь, а тебе говорят, что до завтра она может не дожить. Но я все равно ее жду и надеюсь на чудо!
vmarina. раз уж Ваша дочка приняла такое решение — ЖИТЬ (или кто-то вверху так посчитал), то всё образуется. Юля-СПб права — самое тяжелое — это первые дни и недели, а Вы растёте, первые недели уже позади. И вес набирается! Кстати, а как ее кормят? Глюкоза и прочее? а ваше молоко — оно было, есть? Нельзя ли кормить дочку хотя бы через зонд сцеженным молоком? А то, что проблемы с легкими — это обусловлено недоношенностью. В легких есть вещество сурфактант (так вроде, если не переврала слово), котроое прпятствует слипанию легочных тканей, оно в полной мере образуется на 8-м месяце беременности, так что самостоятельно и без проблем дышать может ребенок, родившийся не раньше 36-38 недель. А у вас 28. Но всё наладится, организм ведь тоже борется и взрослеет с каждым днем и часом.
Мы за вас будем переживать, держите нас в курсе, выздоравливайте.
Детский кистоз головного мозга. Лечение кисты головного мозга у ребенка
13 ноября | просмотры: 2 548
Детский кистоз головного мозга сегодня все чаще встречается у детей первого года жизни. Как правило, он не несет за собой серьезных последствий, однако требует тщательного наблюдения у специалистов. Однако в том случае, если киста головного мозга достигает слишком большого размера или ее расположение слишком опасно для малыша, то может потребоваться хирургическое вмешательство. Но это скорее исключение, чем правило, поэтому не стоит паниковать раньше времени, если вашему крохе поставили такой диагноз.
Как образуется киста головного мозга?
Киста – полость, внутри которой скапливается жидкость, она бывает единичной и множественной, в виде шариков или разросшихся лепестков. Детский кистоз головного мозга формируется в наиболее нежной и уязвимой его части – так называемой паутинной сеточке, покрывающей его кору, или арахноидальной оболочке, поэтому данная патология получила название арахноидальная киста мозга.
Нередко специалисты сталкиваются и с церебральной и внутримозговой кистами, образующимися после травм и воспалений. Зачастую кисты головного мозга появляются у детей еще в утробе. В основном их связывают с различными инфекциями мамы, перенесенными на определенном сроке беременности, такими, как вирус герпеса. Вот почему так важна своевременная диагностика подобных заболеваний.
Симптомы и диагностика
Киста головного мозга легко выявляется у новорожденных при помощи ультразвуковой диагностики, которую проводят всем детям первого года жизни. Родничок ребенка еще открыт, и поэтому поставить правильный диагноз и найти те или иные патологии не для опытного специалиста не составить труда. В том случае, если выявлена киста головного мозга, необходимо следить за ее динамикой, и, если это образование продолжает расти, значит, причина ее вызвавшая не ликвидирована.
Почему киста растет?
Увеличение арахноидальной кисты мозга может быть связано со следующими причинами: повышенное давление внутримозговой жидкости, разные виды воспаления, вызванные инфекцией, различные травмы головы.
Основные причины, влияющие на рост внутримозговой кисты – это нарушение кровообращения в головном мозге и различные инфекции, вызывающие разрушение мозговой ткани. Для лучшего из выявления нужно провести полное обследование малыша, включающее в себя МРТ и анализы серологические крови на наличие инфекций. Своевременная диагностика детского кистоза головного мозга поможет вовремя назначить лечение, спасти ребенку и жизнь и обеспечить ему полноценное развитие.
Лечение кисты головного мозга
Лечение кисты головного мозга зависит от стадии, причины, вида заболевания. В основном хирургическое вмешательство не требуется, однако мама должна присматриваться к поведению малыша и раз в несколько месяцев проходить с ним обследование. Если у ребенка нарушается координация движений, он неспокоен и вы заметили, что его голова увеличилась в размерах, вам немедленно надо обратиться к специалисту, поскольку такое состояние малыша является признаком того, что киста головного мозга увеличилась. В этом случае может быть необходима операция.
Оперативное вмешательство
Существуют три вида операций, которые проводятся детям в случаях прогрессирования кистоза, не дает малышу полноценно развиваться и может угрожать его жизни. Каждая операция имеет свои противопоказания, поэтому способ хирургического вмешательства должен определить специалист. Одним из таких способов удаления кисты головного мозга является трепанация #8212; нейрохирургическая операция, во время которой киста удаляется сразу. Помимо этого, вам могут предложить установить шунт для постепенного выведения скопившейся жидкости, а также эндоскопическую операцию. При последнем варианте киста головного мозга также удаляется целиком.
Источники: https://nmedicine.net/kista-v-golove-u-rebenka/, https://www.komarovskiy.net/forum/viewtopic.php?t=3517start=225, https://love-mother.ru/detskiy-kistoz-golovnogo-mozga-lechenie-kistyi-golovnogo-mozga-u-rebenka.html
Комментариев пока нет!
Чем опасна киста мозга у ребенка
Что делать: обнаружена киста головного мозга
Кистой головного мозга называют новообразование, возникшее в черепной коробке.
Оно заполняется цереброспинальной жидкостью и образовывается на том месте, где ранее находилась нервная ткань.
Своевременно вылеченная киста у ребенка позволяет избежать большого количества нейрохирургических проблем, поэтому важно заранее распознать развитие этого заболевания.
Причины
Педиатры довольно часто диагностируют у новорожденных различные новообразования. Они появляются во время внутриутробного развития, поэтому не требуют никакого лечения. Кисты самостоятельно образовываются, а затем точно так же пропадают, не причинив ребенку никакого вреда.
Однако не все новообразования в мозгу могут точно так же легко пропасть. Нередко причиной их формирования являются различные нарушения развития нервной системы. Также, они могут появляться после нанесения родовой травмы при неквалифицированном приеме родов у матери.
Кисты возникают и у грудничков. Они наблюдаются при неправильном кровообращении в мозгу.
Это постепенно приводит к отмиранию нервной ткани, и образуется небольшая киста. Ускорить процесс ее формирования могут такие серьезные заболевания, как энцефалит или менингит.
Маленькие кисты имеют тенденцию активного роста. Большие новообразования становятся причиной задержки роста и развития ребенка, что может негативно сказаться на его взрослении. По этой причине важно разобраться, какие кисты могут появиться у ребенка.
Классификация
Нейрохирурги у детей диагностируют следующие типы кист:
- Арахноидальную;
- Субэпендимальную;
- Кисту сосудистых сплетений.
Первый тип кисты по внешнему виду представляет обычную полость, которая может иметь любую форму. Она возникает после травмы головы или менингита. Врачи утверждают, что киста такого типа растет очень быстро, поэтому важно вовремя провести диагностику и лечение.
Субэпендимальная киста #8212; одна из самых тяжелых форм. За ней нужно вести постоянное наблюдение, так как ее большие размеры могут привести к тяжелому случаю ишемии. Больным детям каждый год проводят МРТ головного мозга, чтобы установить, увеличивается ли в размерах киста.
Киста сосудистого сплетения развивается у детей, матери которых болели герпесом во время беременности. Если киста была выявлена у плода, то есть гарантия того, что она рассосется в будущем. Однако при ее возникновении уже после рождения прогноз становится не таким благоприятным – у ребенка может развиться серьезное заболевание головного мозга.
Симптомы
Симптоматика кист головного мозга может различаться в зависимости от того, где находится новообразование. Если оно появилось в затылочной области мозга, то у ребенка будет ухудшаться зрение. При осмотре врач сможет установить, что острота зрения существенно снизилась, появился «туман» перед глазами и двоение.
При локализации кисты в мозжечке будет наблюдаться ухудшение координации движений. Ребенок будет плохо ходить, слабо двигаться, возможно проявление головокружения. Родителями должна контролироваться норма внутричерепного давления у грудничков .
Если киста образовалась рядом с гипофизом, то малыш при взрослении начнет страдать от гормональных заболеваний и будет отставать в развитии от своих сверстников.
Активный рост кисты всегда сопровождается увеличением внутричерепного давления.
Это связано с тем, что объем черепа постоянный, а киста продолжает свой рост. Ребенок начнет жаловаться на головную боль и головокружение, ощущение распирания в голове, тошноту и повышенную сонливость. При ускоренном росте образования могут разойтись костные швы на черепе, поэтому родителям нельзя медлить.
Диагностика
Для диагностики кист у новорожденных малышей используется исследование при помощи ультразвука – нейросонография. У маленьких детей роднички и костные швы еще не достаточно заросли, поэтому даже без облучения можно получить хорошие снимки. В качестве профилактики такое исследование рекомендуется всем недоношенным детям или же малышам, рожденным при тяжелом течении вынашивания ребенка.
Для диагностики кист у детей более старшего возраста используется МРТ и КТ. Они дают точную информацию про их расположение, форму и размеры. Именно на основании этого исследования врач может установить, увеличилось ли новообразование в размерах и как нужно его лечить.
Лечение
Медикаментозное лечение кист не приносит желаемых результатов, поэтому специалисты вынуждены прибегать к хирургическим методам лечения. Все операции, проводимые на головном мозге ребенка, делятся на такие типы:
К первому типу операций относят трепанацию черепа. Она сопровождается полным удалением кисты, ее стенок и содержимого. Данная манипуляция проводится открытым способом, поэтому повышается риск нанесения серьезной травмы головному мозгу.
Всегда не лишним будет знать о том, что делать при сотрясении мозга у ребенка . Также полезно прочитать подробнее. какой должна быть ежемесячная прибавка веса у новорожденного.
Паллиативные методы хирургического вмешательства могут разделяться на следующие подтипы:
1. Шунтирование – так называют удаление жидкости внутри новообразования с использованием шунтирующей системы. Этот метод не сильно травмирует мозг ребенка, однако повышается риск занесения инфекции в мозг, так как шунт долгое время будет находиться в нем.
2. Эндоскопический метод лечения – он заключается в удалении жидкости из кисты с использованием эндоскопа. В голове ребенка делаются небольшие проколы, через которые врач проводит все необходимые манипуляции. Этот способ лечения щадящий и малотравматичный.
Заключение
У ребенка киста головного мозга может возникнуть как во время внутриутробного развития, так и после рождения. Если в первом случае новообразования могут сами пропадать, то во втором может потребоваться хирургическое вмешательство. Необходимость в срочном лечении кисты у ребенка возникает только после того, как образование начнет активно расти. Не вылеченная вовремя киста может стать причиной задержки в развитии ребенка, что негативно повлияет на его дальнейшую жизнь.
Лечение и возможные последствия субэпендимальной кисты головного мозга у новорожденных
Факторы этиологии
У новорожденных малышей кисты головного мозга делятся на 3 вида:
- субэпендимальные;
- кисты сосудистых сплетений;
- арахноидальные.
Спровоцировать гипоксию плода, которая является основным провокатором появления кисты во время внутриутробного развития, могут такие причины:
- нехватка железа в крови;
- сильный токсикоз, особенно в последнем триместре;
- анемия;
- резус-конфликт между матерью и ребенком;
- многоплодная беременность;
- плацентарная недостаточность;
- инфекционные поражения организма.
Кислородное голодание малыш может испытывать в процессе родовой деятельности. По этой причине киста головного мозга может стать следствием родовой травмы.
Как просто очистить сосуды и избавиться от болей в груди. Проверенный способ — записывайте рецепт. Читать далее
Кислородное голодание может отразиться на дальнейшем развитии ребенка, поэтому если есть подозрение на гипоксию у новорожденного, врач назначает дополнительное обследование, которое поможет выяснить, есть ли патология. Ребенку делают ультразвуковую диагностику (эхографию) и дополнительно проводят лабораторное исследование крови малыша и околоплодных вод.
Субэпендимальная киста головного мозга располагается в той его части, которая заполнена жидкостью и называется церебросинальной.
Когда в мозговых тканях нарушается процесс кровообращения, клетки мозга начинают отмирать и на их месте образуется полость, которая вскоре заполнится жидкостью. Нарушение кровоснабжения может привести к кровоизлиянию в голове у малыша, которое и спровоцирует образование кисты.
Чем опасна киста головного мозга: симптомы и лечение у взрослых
Последствия субэпендимальной кисты не отражаются на физическом и психологическом здоровье ребенка. Проблемы начинаются тогда, когда киста со временем увеличивается в размерах и оказывает давление на окружающие ее структуры мозга. Как правило, симптомы патологии начинают себя проявлять на втором году жизни малыша. У ребенка наблюдаются проблемы с речью, плохая концентрация внимания, заторможенность и повышенная возбудимость.
В тяжелых случаях болезнь сопровождается судорогами, неврологическими расстройствами, общим ухудшением самочувствия и может стать причиной летального исхода.
Новообразование локализуется в арахноидальной оболочке, которая паутинкой покрывает весь головной мозг.
Несмотря на многочисленные исследования, на сегодняшний день нет точно установленной причины, которая вызывает появление кист в данной области. Предрасполагающими факторами к возникновению новообразований, являются:
- травмирование головы ребенка;
- кровоизлияние;
- менингеальная инфекция или другие воспалительные процессы.
При образовании арахноидальной кисты у плода происходит внутриутробное раздвоение (расщепление) паутинной оболочки условно на наружный и внутренний листки, между которыми скапливается ликвор (цереброспинальная жидкость).
Арахноидальная киста не проходит самостоятельно и поэтому требует постоянного врачебного контроля.
Наличие кисты у некоторых пациентов может себя никак не проявлять на протяжении всей жизни. Все будет зависеть от того, в каком месте локализовалось кистозное новообразование и каковы его размеры.
К самым распространенным симптомам, которые свойственны для арахноидальной кисты, относят:
- 1. Головные боли. Чаще всего носят распирающий характер и возникают преимущественно в утренние часы.
- 2. Сонливость, тошнота и рвота.
- 3. Эпилептические приступы. Они характеризуются непроизвольным спазмом мышц (судорогами), потерей сознания и самопроизвольным мочеиспусканием.
- 4. Появление выпячивания (бугорка) на кости черепа в том месте, где располагается киста.
К более серьезным нарушениям относят:
- нарушение координации движений;
- проблемы с речевым аппаратом;
- косоглазие;
- снижение мышечного тонуса;
- частичный или полный паралич.
Способы решения проблемы
Место локализации кисты и ее размер играет большую роль для пациента. В первую очередь, данный показатель дает возможность определить весь риск возможных осложнений и подобрать правильное лечение. Курс лечения для каждого ребенка подбирается в индивидуальном порядке.
В большинстве случаев, но не всегда, безопасным считается, когда размер кистозного новообразования не превышает 3 см. Более крупные кисты могут сдавливать окружающие ткани и тем самым вызывать нежелательные осложнения.
При наличии субэпендимальной или кисты сосудистого сплетения, которые имеют небольшой размер и не увеличиваются, ребенку не требуется серьезное хирургическое вмешательство. Как правило, киста рассасывается самостоятельно. Кроме того, что ребенок должен все время наблюдаться у врача.
Когда у ребенка диагностируется арахноидальная киста, чаще всего ее лечение осуществляется с помощью хирургического вмешательства.
В том случае, когда киста головного мозга, независимо от ее вида, начинает быстро увеличиваться в размерах или располагается в той области головного мозга, сдавливание которой приведет к нарушению умственной полноценности ребенка, врач может предложить провести хирургическую операцию по удалению новообразования.
Удаление кисты осуществляется двумя способами:
Чтобы быстро нормализовать работу сердца необходимо с самого начала лечиться правильно и очистить сосуды! Есть проверенный и эффективный способ — рецепт прост, нужно каждый день заваривать. Читать далее
- 1. Трепанация черепа. Опасная хирургическая процедура, которая требует высокого профессионализма врача.
- 2. Шунтирование и эндоскопия. Такое лечение считается максимально щадящим, в сравнении с трепанацией, но вероятность возникновения рецидивов высока.
Лечение и возможные последствия субэпендимальной кисты головного мозга у новорожденных
Если операция была проведена успешно, то дальнейший прогноз в большинстве случаев благоприятный. После операции ребенку предстоит пройти курс противовоспалительной и иммунотерапии.
За счет того, что в столь юном возрасте регенерация клеток (нервных, соединительных) значительно превышает ту, которая наблюдается у взрослых людей, новорожденные имеют все шансы на полное послеоперационное восстановление и полноценное здоровье.
И немного о секретах.
Вы когда-нибудь мучались от БОЛЕЙ В СЕРДЦЕ? Судя по тому, что вы читаете эту статью — победа была не на вашей стороне. И конечно вы все еще ищете хороший способ, чтобы привести работу сердца в норму.
Тогда читайте, что по этому поводу говорит кардиолог с огромным стажем Толбузина Е.В. в своем интервью о натуральных способах лечения сердца и очистки сосудов.
Киста в голове у новорожденного ребенка: причины, признаки, лечение
Киста мозга – это полость, заполненная жидким содержимым, которая относится к большой группе внутричерепных образований. Мозговая патология нуждается в тщательном обследовании и медицинском наблюдении. Киста в голове у новорожденного ребенка – это внутричерепное, доброкачественное образование, заложенное в период эмбриогенеза или приобретенное при родах. Заболевание относится к группе опасных патологий головного мозга. Диагностируется методом нейросонографии (УЗИ) через большой родничок.
Какие бывают виды?
Кисты различают по месту их нахождения:
- арахноидальная,
- церебральная (субэпендемальная).
Первая расположена на паутинной оболочке, вне мозга. Вторая находится внутри мозга. По происхождению выделяют несколько разновидностей церебральных кист:
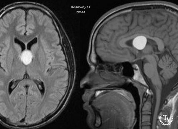
- Коллоидная киста образуется в период формирования головного мозга плода. Долгое время протекает бессимптомно. Увеличение размеров приводит к гидроцефалии и требует нейрохирургического вмешательства.
- Эпидермоидная киста – наиболее доброкачественная киста, ее содержимое наполнено роговыми чешуйками, а стенки – плоским эпителием.
- Дермоидная киста происходит из зародышевых листков кожного покрова и содержит недифференцированные пигментные клетки и волосяные фолликулы.
- Пинеальная киста располагается в эпифизе. Первыми ее проявлениями могут быть нарушение координации и зрения. Становится причиной гидроцефалии и воспалительных процессов.
Киста сосудистых сплетений возникает в ранние сроки беременности и протекает доброкачественно. Правильное консервативное лечение способствует рассасыванию этого образования.
Почему появляются?
Причина образования кист заложена в неправильном развитии нервной системы плода. Аномалия связана с инфекционными болезнями матери. Вирусы способны проникать через плацентарный барьер и вызывать воспалительные процессы головного мозга плода. Результат перенесенных внутриутробных болезней – киста у новорожденного в голове, которая может быть обнаружена только посредством ультразвукового обследования.
Второй распространенной причиной появления кист является родовая травма. Благополучное прохождение новорожденного по родовым путям требует не только значительных усилий, но и способности черепа изменяться. Некоторые особенности строения черепа и неправильное предлежание головки становятся причиной травмы и развития кисты.
После травмы образуется внутричерепная гематома, клетки мозга замещаются жидкостью, формируется церебральная киста. Аналогично происходит образование полости после воспаления и повреждения. Постоянный приток ликвора в полость вызывает внутричерепную гипертензию с угрозой отека мозговой ткани и нарушением работы жизненно важных центров. Это приводит к приступам головной боли и рвоты. Сдавливание кистой окружающих тканей вызывает смещение желудочков головного мозга и требует незамедлительного хирургического вмешательства.
Как проявляется у ребенка?
Рост кисты вызывает компрессию мозга, нарушение психического состояния и поведения малыша. Уже через месяц после рождения возникают первые признаки мозговой патологии:
- постоянное, обильное срыгивание;
- отказ от груди;
- нарушение координации движения конечностей;
- психомоторная заторможенность;
- отставание ребенка в росте, недостаточный вес;
- приступы судорог.
Клиническая картина зависит от расположения полостного образования. Сдавливание затылочной области проявляется зрительной патологией ребенка. Если повреждены ткани мозжечка, возникает нарушение координации и речевого развития. Локализация у основания черепа вызывает задержку психического развития. Киста височной области проявляется нарушением слуховых функций.
Увеличение полости вызывает смещение желудочков мозга. Возникает рвота «фонтаном», постоянная сонливость. Прогрессирование состояния вызывает расхождение черепных швов и незаращение родничков. Нарастает неврологическая симптоматика:
Актер Олег Табаков рассказал
- гипертонус мышц;
- тремор конечностей;
- беспокойство и постоянный плач;
- выбухание родничка;
- снижение болевой чувствительности.
Новорожденным со сходной клинической симптоматикой проводят комплексное обследование, которое состоит из осмотра нейрохирургом и УЗИ головного мозга. Мониторинг детей, страдающих кистой головного мозга, заключается в регулярном проведении ультразвуковой диагностики, а в тяжелом случае – МРТ.
Методы лечения
Если киста имеет небольшие размеры и малыш не проявляет признаков беспокойства, можно ограничиться наблюдением и периодическим контролем со стороны специалистов. Медленное прогрессирование с возникновением минимальных клинических симптомов, не являющихся опасными для ребенка, требует консервативного лечения.
Терапия состоит из препаратов, улучшающих динамику мозгового кровотока. Для борьбы с сопутствующими болезнями применяют средства, стимулирующие иммунитет и противовирусные препараты. Учитывая частые срыгивания у таких детей, средства вводят парентерально.
Хирургическое лечение
Церебральная киста, которая постоянно увеличивается, нуждается в оперативном вмешательстве. Применяют несколько методов хирургического лечения. Паллиативный метод выполняется при помощи эндоскопии или шунтирования. В последнем случае содержимое удаляется с помощью шунта. Наличие шунта в мозговой ткани может осложниться инфицированием.
Эндоскопический метод позволяет ликвидировать жидкость из полости через тонкий прокол. Микроинвазия осуществляется эндоскопом. Проведение этого метода ограничено недосягаемыми для эндоскопа участками головного мозга. Оба метода малотравматичны, но не удаляют стенки полости, благодаря чему возникает риск рецидива.В исключительных случаях, когда жизнь ребенка находится в опасности, показана радикальная операция. Она заключается в удалении кисты методом трепанации черепа.
Прогноз и осложнения
Кисты долгое время могут не вызывать беспокойства у родителей. Присоединение инфекций или травмы могут вызвать быстрый рост кисты, который сопровождается выраженной мозговой симптоматикой. Несвоевременное лечение приводит к кровоизлиянию в мозговую ткань. Как осложнения возникают нарушения движения и органов чувств.
Следует помнить, что это доброкачественное образование, и своевременное обследование поможет выявить патологию на раннем этапе. Лечение с использованием современных методов и лекарственных средств помогут успешно справиться с этим заболеванием.
Источники: https://moeditya.com/pediatriya/bolezni/kista-golovnogo-mozga-u-rebenka, https://vashflebolog.ru/vascular-disease/subependimalnaya-kista-golovnogo-mozga-u-novorozhdennyx-posledstviya.html, https://www.infmedserv.ru/stati/kista-v-golove-u-novorozhdennogo-rebenka-prichiny-priznaki-lechenie
Комментариев пока нет!