Допплерометрия в акушерстве

Допплерометрия в акушерстве[Допплерометрия в акушерстве]

Допплерометрия в акушерстве

В период беременности, особенно в последнем триместре, врачи могут направить будущую маму на такое исследование как допплерометрия.

Оглавление:

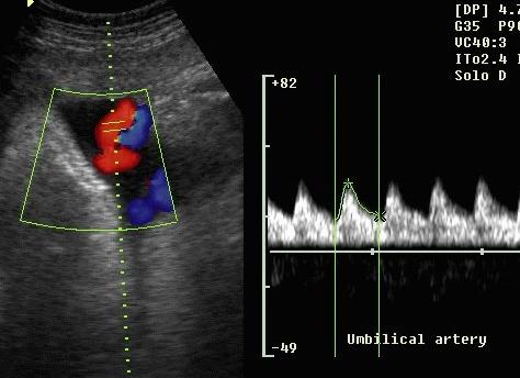
Допплерометрия плода – подвид ультразвуковой диагностики, позволяющий оценить характеристики кровотока в сосудах ребенка, матки и плаценты. На основании результатов исследования можно судить о том, страдает ли малыш от недостатка кислорода (гипоксии) и, в случае положительного ответа, установить, где именно произошло нарушения кровотока: в матке, плаценте или пуповине.

Кислород – важнейший элемент, при участии которого, обмен веществ в клетке происходит должным образом. Если кислорода недостаточно, то энергии, необходимой для роста и функционирования тканей, не хватает. Вследствие чего, гипоксия – повод для интенсивного лечения в стационарных условиях.

Основан метод на так называемом эффекте Допплера – свойстве ультразвуковой волны отражаться от движущихся тел и изменять при этом частоту своих колебаний. В нашем случае это изменение частоты отраженного ультразвукового сигнала от неравномерно движущейся среды – крови в сосудах. Изменения частоты отраженного сигнала регистрируются в виде кривых скоростей кровотока (КСК). Первая попытка использования допплерометрии в акушерстве предпринята в 1977г для оценки кровотока в пупочной артерии. В последующие годы широкое использование допплерометрии позволило значительно снизить процент таких серьезных осложнений, как тяжелые формы преэклампсии, фетоплацентарной недостаточности, задержки внутриутробного развития и внутриутробной гибели плода. Снизилась частота осложнений в родах (дистресс-синдром, асфиксия плода).

Существуют две разновидности допплерометрии:

Волна посылается не постоянно, а циклами. В результате датчик улавливает отраженный ультразвук, посылает его на обработку, и в то же время «выдает» новую «порцию» сигналов. Изображение результатов выдается в черно-белом виде.

  • Триплексная

    В основе – тот же метод, только скорость кровотока в различных участках сосудов кодируется разным цветом. Эти оттенки накладываются на двухмерное изображение. Кровоток будет окрашен красным и синим цветом. Цвет зависит не от вида сосуда (вена или артерия), а от направления кровотока – от УЗИ-датчика или по направлению к нему. Цветная картинка дает более четкое изображение и позволяет заметить то, что на двухцветном изображении нереально рассмотреть.

  • По ощущениям для пациентки процедура не отличается от стандартного УЗИ. Для подготовки к допплеровскому исследованию беременной ничего не требуется делать, правда, желательно за пару часов до посещения кабинета УЗИ не принимать пищу, а ограничиваться водой. На поверхность живота беременной наносится специальный проводящий гель, помогающий проникновению ультразвукового сигнала, и устанавливается ультразвуковой датчик, которым плавно водят по поверхности живота.

    Метод позволяет определить диаметр и расположение главных артерий не только плода, но и плаценты, пуповины, матки, скорость течения крови по сосудам. Допплерометрия также помогает выявить нарушения функций плаценты, которые могут повести за собой осложнения в течение беременности и во время родов.

    Допплерометрия получает все более широкое распространение, так как позволяет при помощи неинвазивной (атравматичной и бескровной) процедуры определить состояние беременной женщины и ребенка. Диагностика не причиняет вреда ни матери, ни будущему малышу. Воздействие ультразвуком имеет непродолжительный характер и в точности соответствует нормам безопасности по мощности и тепловому индексу. Поэтому нагревание от ультразвуковых волн не значительно и не влияет на эмбрион.

    Показания к проведению допплерометрии

    Согласно приказу 572-н Министерства здравоохранения РФ «Об утверждении Порядка оказания медицинской помощи по профилю «акушерство и гинекология (за исключением использования вспомогательных репродуктивных технологий)»» в третьем триместре каждой будущей маме предстоит пройти скрининговое УЗИ плода на срокенедели с допплерометрией.

    Однако допплерометрия плода может назначаться неоднократно в качестве плановой процедуры по следующим показаниям:

    — коллагеновые сосудистые заболевания;

  • Заболевания и врожденные пороки развития плода

    — ЗВУР ( задержка внутриутробного роста плода);

    — несоответствие размеров плода сроку беременности;

    — преждевременное созревание плаценты;

    — неиммунная водянка плода;

    — диссоциированный тип развития плодов при многоплодной бере¬менности (ситуация, когда один плод в утробе матери развивается в соответствии с возрастом и сроком, а второй значительно отстает);

    — врожденные пороки сердца;

    — патологические типы кардиотокограмм

    Кардиотокография (КТГ) — регистрация частоты сердечных сокращений (ЧСС) плода и тонуса матки с графическим изображением сигналов. Регистрация ЧСС производится ультразвуковым датчиком на основе уже описанного нами эффекта Доплера;

    Сердечная деятельность наиболее точно характеризует функциональное состояние плода, следовательно, КТГ является своевременной диагностикой разного рода нарушений. КТГ позволяет выбрать тактику лечебных мероприятий, а также оптимальный срок и метод родоразрешения.

    — дистресс плода и мертворождение при предыдущих беременностях

    — возраст матери больше 35 или меньше 20 лет (ранняя или поздняя беременность)

    — обвитие шеи плода пуповиной;

    Принципы допплерометрии и индексы измерений

    Проведение допплерометрии возможно не раньше 20-й недели беременности, то есть после окончательного формирования плаценты, а наиболее информативным оно является в период интенсивного роста плода, который происходит с 27-й по 34-ю неделю беременности.

    Наиболее доступными и удобными сосудами для исследования являются артерии пуповины плода и маточные артерии. Изучение маточных артерий позволяет оценить состояние сосудистой системы матки, плаценты, межворсинчатого пространства. Кровообращение в матке женщины осуществляется при участии яичниковой и маточной артерий. Еще во время формирования плаценты в стенках этих артерий происходят изменения, которые впоследствии приводят к их росту и расширению параллельно с ростом плаценты. Благодаря этому, маточно-плацентарный кровоток формируется к полному формированию плаценты и увеличивается в 10 раз. При возникающих осложнениях во время беременности некоторые артерии не расширяются и не вырастают во время роста плаценты. Тем самым, они становятся неспособными обеспечить достаточную степень кровообращения и кровоснабжения плаценты, что может приводить к нарушению ее функции, что влечет за собой дефицит питательных веществ и кислорода у плода. Это может повлечь за собой отслойку плаценты, преждевременные роды или гибель плода.

    В особых случаях кровоток может измеряться и в других сосудах: аорте или средней мозговой артерии малыша. Наиболее информативно исследование средней мозговой артерии. Изучение сосуда возможно только при использовании цветного допплеровского картирования (ЦДК), которое позволяет четко визуализировать сосуды виллизиевого круга. Этот анализ более чувствителен к рискам неблагоприятного перинатального исхода, чем аналогичные показатели кровотока в артерии пуповины. Нарушения кровотока в аорте выявляются, как правило, только снедели.

    Показаниями к таким видам исследований может быть:

    • резус-конфликт в случае резус-положительного плода и резус-отрицательной матери

    Проникновение фетальных (плодовых) резус-положительных эритроцитов в кровоток матери вызывает у нее иммунный ответ с выработкой антител, которые свободно проникают в кровоток плода через плаценту и вызывают разрушение его клеток крови. У ребенка возникает анемия тяжелой степени, что запускает механизм развития тяжелой формы гемолитической болезни вплоть до гибели плода.

  • подозрение на задержку внутриутробного развития (ЗВУР)
  • неиммунная водянка плода,
  • врожденные пороки развития плода,
  • аномалии сосудов пуповины,
  • патологические типы кардиотокограмм
  • Результаты допплерографии оцениваются акушером, который наблюдает беременность женщины. Это делается на основании нескольких показателей:

    • резистивный индекс, или индекс резистентности (ИР): отношение разности между систолической и минимальной (диастолической) скоростями кровотока и максимального ее значения
    • пульсационный индекс (ПИ): отношение разницы между максимальной и диастолической скоростями кровотока по данному сосуду к средней величине скорости отношение скорости кровотока по сосуду в систолу и диастолу
    • Систолодиастолическое отношение С/Д, где

    С — максимальная систолическая скорость кровотока;

    Д — конечная диастолическая скорость кровотока;

    сред. — усредненная скорость кровотока (рассчитывается автоматически).

    СДО и ИР по сути характеризуют одно и то же.

    Высокие значения индексов характеризуют повышенное сопротивление кровотоку, низкие значения отражают снижение сопротивления кровотоку. Если индексы не соответствуют норме, это может свидетельствовать о развитии патологии плаценты и нарушении состояния плода.

    Степени нарушения кровотока и показания для дополнительной допплерометрии

    Результаты допплерометрии, проанализированные опытным специалистом, позволяют узнать важную информацию о состоянии здоровья плода и дать прогноз относительно дальнейшего течения беременности. Не стоит забывать, что интерпретировать данные нужно с учетом остальных анализов беременной и данных ее анамнеза.

    Отклонения от нормы наблюдаются при нарушенном внутриутробном кровообращении, которое имеет три степени:

    А — нарушение маточно-плацентарного кровотока при сохраненном плодово-плацентарном кровотоке (повышен ИР в маточной артерии, а в артерии пуповины в норме);

    Б — нарушение плодово-плацентарного кровотока при сохраненном маточно-плацентарном кровотоке (повышен ИР в артерии пуповины, а в маточных артериях в норме;

    2 степень: одновременное нарушение маточно-плацентарного и плодово-плацентарного кровотока (нарушен кровоток и в маточных артериях, и в пуповине), не достигающее критических изменений (сохранен конечный диастолический кровоток);

    3 степень: критические нарушения плодово-плацентарного кровотока (отсутствие кровотока или реверсный диастолический кровоток) при сохраненном либо нарушенном маточно-плацентарном кровотоке.

    Допплерометрию назначают чаще, чем один — два раза, если существуют риски патологии развития плода или осложнений беременности, а также, если того требует состояние матки и плаценты. При выявлении нарушения кровотока, после соответствующего лечения, назначают контрольное допплерометрическое обследование для оценки эффективности проведенной терапии черездней.

    При 1 степени нарушений, если есть подозрения на ухудшение состояния плода, допплерометрия проводится повторно через 2-3 недели, в сроке беременности после 32 недель – обязательно проводить неоднократный контроль КТГ.

    При 2 степени обязательна госпитализация в стационар. Допплерометрический контроль необходим каждые 3-4 дня, КТГ каждые 2-3 дня, иногда ежедневно.

    При 3 степени ставится вопрос о проведении экстренного родоразрешения путем кесарева сечения. При глубоко недоношенной беременности и неблагоприятном прогнозе для плода собирают консилиум и принимают решение о дальнейшей тактике ведения, учитывая желание женщины.

    Нормы допплерометрии по неделям

    Для каждого срока беременности соответствуют определенные нормативные значение индексов кровотока. Если полученные значения им соответствуют, значит, кровоток в норме.

    Не стоит отчаиваться, если исследование выявило некоторые отклонения. Полученные результаты позволят врачу скорректировать дальнейший ход беременности и предотвратить возможные проблемы.

    Нормы показателей допплерометрии при беременности представлены в таблице:

    Каждой будущей маме стоит знать о том, что нормальные показатели допплерометрии при беременности — это важный показатель для оценки течения беременности. Кровообращение плода требует тщательного контроля, ведь это от него зависит здоровье и счастливое будущее вашего малыша!

    Copyright ©15 Panorama Prenatal Test

    Строго запрещено копировать и распространять информацию, представленную на panoramatest.ru, на сторонних сайтах в любом виде без официального разрешения, а если разрешение получено, необходимо указать источник – panoramatest.ru.

    Лаборатория Геномед является авторизованным дистрибьютором тестов лаборатории Натера в России, Казахстане и Белоруссии. Данный сайт не редактировался и не утверждался Natera, Inc.

    Геномед самостоятельно несёт полную ответственность за его содержимое согласно как принципам партнёрства, так и политики продвижения тестов в России

    Источник: https://panoramatest.ru/dopplerometriya/

    Допплерометрия: суть метода, проведение, показатели и интерпретация

    Невозможно представить себе область медицины, где бы не применялись дополнительные методы обследований. Ультразвук благодаря своей безопасности и информативности при многих заболеваниях используется особенно активно. Допплерометрия – это возможность не только оценить размеры и строение органов, но и зафиксировать особенности движущихся объектов, в частности, кровотока.

    Ультразвуковое исследование в акушерстве дает огромный объем информации касательно развития плода, с его помощью стало возможным определять не только число зародышей, их пол и особенности строения, но и наблюдать за характером кровообращения в плаценте, плодных сосудах и сердце.

    Бытует мнение, что исследование будущих мам с помощью ультразвукового метода может нанести вред будущему малышу, а при допплерометрии интенсивность излучения еще выше, поэтому часть беременных боится и даже отказывается от процедуры. Однако многолетний опыт использования УЗИ позволяет достоверно судить о том, что оно абсолютно безопасно, а такого количества сведений о состоянии плода невозможно получить никаким другим неинвазивным способом.

    УЗИ с допплерометрией должны проходить все беременные женщины в третьем триместре, по показаниям оно может быть назначено и раньше. На основании этого исследования врач исключает или подтверждает патологию, ранняя диагностика которой дает возможность своевременно приступить к лечению и предупредить многие опасные осложнения для растущего плода и мамы.

    Особенности метода

    Допплерометрия относится к числу ультразвуковых методов, поэтому ее проводят с помощью обычного аппарата, но снабженного специальным программным обеспечением. Она основана на способности волны ультразвука отражаться от движущихся объектов, меняя при этом свои физические параметры. Данные отраженного ультразвука представляют в виде кривых, которые характеризуют скорость движения крови по сосудам и камерам сердца.

    Активное применение допплерометрии стало настоящим прорывом в диагностике практически всех видов акушерской патологии, которая обычно связана с нарушением кровообращения в системе мать-плацента-плод. Путем клинических наблюдений были определены показатели нормы и отклонений для различных сосудов, по которым судят о той или иной патологии.

    Допплерометрия при беременности дает возможность установить величину и расположение сосудов, скорость и особенности движения крови по ним в момент сокращения сердца и его расслабления. Врач может не только объективно судить о патологии, но и указать точное место ее возникновения, что очень важно при выборе методов лечения, так как гипоксия может быть вызвана патологией и маточных артерий, и пуповинных сосудов, и нарушениями развития плодного кровотока.

    Допплерометрия бывает дуплексной и триплексной. Последний вариант очень удобен тем, что видна не только скорость кровотока, но и его направление. При дуплексной допплерометрии врач получает черно-белое двухмерное изображение, по которому аппарат может рассчитать скорость движения крови.

    пример кадра триплексного допплерометрического обследования

    Триплексное исследование более современно и дает больше информации о кровотоке. Получаемое цветное изображение показывает кровоток и его направление. Врач видит на мониторе красные и синие потоки, а обывателю может показаться, что это движется артериальная и венозная кровь. На самом деле, цвет в данном случае говорит не о составе крови, а о ее направлении – в сторону датчика или от него.

    Перед проведением допплерографии не требуется какой-либо специальной подготовки, но женщине могут рекомендовать не принимать пищу и воду за пару часов до процедуры. Исследование не причиняет боли и дискомфорта, пациентка лежит на спине, а кожа живота обрабатывается специальным гелем, улучшающим проведение ультразвука.

    Показания к допплерометрии

    Ультразвуковое исследование с допплерометрией в качестве скрининга показано всем беременным женщинам в третьем триместре. Это значит, что даже при отсутствии патологии оно должно быть проведено в плановом порядке, и врач-акушер гинеколог обязательно направит будущую маму на обследование.

    Оптимальным считается промежуток между 30 и 34 неделями беременности. В этот срок плацента уже хорошо развита, а плод сформирован и постепенно набирает массу, готовясь к предстоящим родам. Любое отклонение от нормы в этом периоде хорошо заметно, и вместе с тем, у врачей еще будет время для коррекции нарушений.

    К сожалению, далеко не каждая беременность протекает столь благополучно, что будущая мама в положенный срок и, скорее, для профилактики проходит УЗИ с допплерометрией. Есть целый перечень показаний, по которым исследование проводится вне установленных для скрининга рамок и даже неоднократно.

    Если есть основания предполагать гипоксию плода, задержку его развития, что заметно при обычном УЗИ, то допплеровское исследование будет рекомендовано уже внедели. До этого срока проводить процедуру нецелесообразно ввиду недостаточной развитости плаценты и сосудов плода, что может стать причиной ошибочных заключений.

    Показаниями к внеплановой допплерометрии считают:

    • Заболевания у матери и патологию беременности – гестоз, болезни почек, высокое артериальное давление, сахарный диабет, резус-конфликт, васкулиты;
    • Нарушения со стороны плода – задержка развития, маловодие, врожденные пороки развития органов, несинхронное развитие плодов при многоплодной беременности, когда один из них значительно отстает от остальных, старение плаценты.

    Дополнительная допплерометрия плода может быть показана в случае, если размеры его не соответствуют должным на данном сроке беременности, ведь замедление роста – признак возможной гипоксии или пороков.

    Среди прочих причин к проведению УЗИ с допплерометрией могут оказаться неблагоприятный акушерский анамнез (выкидыши, мертворождения), возраст будущей мамы старше 35 лет или моложе 20, переношенная беременность, обвитие пуповины вокруг шеи плода с риском гипоксии, изменения на кардиотокограмме, повреждения или травмы живота.

    Параметры допплерометрии

    При проведении УЗИ с допплерометрией врач оценивает состояние маточных артерий и сосудов пуповины. Они наиболее доступны аппарату и хорошо характеризуют состояние кровообращения. При наличии показаний возможна оценка кровотока в сосудах малыша – аорте, средней мозговой артерии, сосудах почек, камерах сердца. Обычно такая необходимость возникает при подозрении на некоторые пороки, при внутриутробной гидроцефалии, задержке развития.

    Важнейшим органом, объединяющим организм мамы и будущего малыша, является плацента. Она приносит питательные вещества и кислород, одновременно удаляя ненужные продукты обмена, реализуя свою защитную функцию. Кроме того, плацента выделяет гормоны, без которых не происходит правильного развития беременности, поэтому без этого органа невозможно созревание и рождение младенца.

    Формирование плаценты начинается фактически с момента имплантации. Уже в этот момент происходят активные изменения сосудов, направленные на достаточное обеспечение содержимого матки кровью.

    Основными сосудами, обеспечивающими кровью организм растущего плода и увеличивающуюся матку, являются маточные и яичниковые артерии, находящиеся в полости малого таза и контактирующие в толще миометрия друг с другом. Разветвляясь на более мелкие сосуды в направлении внутреннего слоя матки, они превращаются в спиральные артерии, которые несут кровь к межворсинчатому пространству – тому месту, где происходит обмен между кровью мамы и малыша.

    В организм плода кровь поступает по сосудам пуповины, диаметр, направление и скорость кровотока в которых также имеет очень важное значение, прежде всего, для растущего организма. Возможно замедление тока крови, реверсивный поток, аномалии количества сосудов.

    Видео: серия лекций о кровообращении плода

    По мере увеличения срока беременности, спиральные сосуды постепенно расширяются, в их стенках происходят специфические изменения, позволяющие доставлять большой объем крови к постоянно растущим матке и малышу. Потеря мышечных волокон приводит к превращению артерий в крупные сосудистые полости с низким сопротивлением стенок, благодаря чему облегчается процесс обмена кровью. Когда плацента полностью сформирована, маточно-плацентарное кровообращение увеличивается примерно в 10 раз.

    При патологии не происходит правильной трансформации сосудов, нарушается внедрение элементов трофобласта в стенку матки, что непременно влечет и патологию развития плаценты. В таких случаях есть большой риск гипоксии вследствие недостатка кровотока.

    Гипоксия – одно из мощнейших патогенных условий, при котором нарушается и рост, и дифференцировка клеток, поэтому при гипоксии всегда выявляются те или иные нарушения со стороны плода. Для исключения или подтверждения факта недостатка кислорода показана допплерометрия, оценивающая кровоток в маточных, пуповинных сосудах, межворсинчатом пространстве.

    пример гипоксии из-за нарушения плацентарного кровотока

    Аппарат УЗИ фиксирует так называемые кривые скорости кровотока. Для каждого сосуда они имеют свои пределы и нормальные значения. Оценка кровообращения происходит в течение всего сердечного цикла, то есть скорость движения крови в систолу (сокращение сердца) и диастолу (расслабление). Для интерпретации данных важны не абсолютные показатели кровотока, а их соотношение в разные фазы работы сердца.

    В момент сокращения сердечной мышцы скорость потока крови будет наиболее высокой – максимальная систолическая скорость (МСС). При расслаблении миокарда движение крови замедляется – конечная диастолическая скорость (КДС). Эти значения и отображаются в виде кривых.

    При расшифровке данных допплерометрии учитывается несколько индексов:

    1. Систолодиастолическое отношение (СДО) – соотношение между конечной диастолической и максимальной скоростью кровотока в момент систолы, высчитываемое путем деления показателя МСС на КДС;
    2. Пульсационный индекс (ПИ) – из показателя МСС вычитаем значение КДС, и полученный результат делим на цифру средней скорости (СС) движения крови по данному сосуду ((МСС-КДС)/СС);
    3. Индекс резистентности (ИР) – разность систолического и диастолического кровотока делится на показатель МСС ((МСС-КДС)/МСС).

    Полученные результаты могут как превышать средние нормальные значения, что говорит о высоком периферическом сопротивлении со стороны сосудистых стенок, так и снижаться. В обоих случаях речь будет идти о патологии, ведь и суженные сосуды, и расширенные, но с низким давлением, одинаково плохо справляются с задачей доставки нужного объема крови к матке, плаценте и плодным тканям.

    В соответствии с полученными индексами различают три степени нарушений маточно-плацентарного кровообращения:

    • При 1А степени обнаруживается увеличение ИР в артериях матки, при этом кровоток в плацентарно-плодной части сохранен на нормальном уровне;
    • обратная ситуация, когда нарушено кровообращение в сосудах пуповины и плаценты, но сохранено в маточных артериях характеризует 1Бстепень (ИР повышен в пуповинных сосудах и нормальный в маточных);
    • При 2 степени отмечается расстройство кровотока как со стороны маточных артерий и плаценты, так и в сосудах пуповины, при этом значения еще не достигают критических цифр, КДС в пределах нормы;
    • 3 степень сопровождается тяжелыми, подчас критическими, значениями кровотока в плацентарно-плодной системе, а кровоток в маточных артериях может быть как измененным, так и нормальным.

    Если при допплерометрии установлена начальная степень нарушений кровообращения в системе мать-плацента-плод, то лечение назначается амбулаторно, а через 1-2 недели беременной необходимо повторное УЗИ с допплером для контроля эффективности терапии. После 32 недель гестации показаны многократные КТГ для исключения гипоксии плода.

    Нарушение кровотока 2-3 степени требует лечения в условиях стационара с постоянным наблюдением за состоянием и женщины, и плода. При критических значениях показателей допплерометрии значительно повышается риск отслойки плаценты, внутриутробной гибели плода, преждевременных родов. Раз в 3-4 дня таким пациенткам проводится допплерометрия, а кардиотокография – ежедневно.

    Тяжелое нарушение кровотока, соответствующее 3 степени, угрожает жизни плода, поэтому при отсутствии возможности его нормализации ставится вопрос о необходимости родоразрешения, даже если это придется сделать раньше срока.

    Преждевременные искусственные роды в части случаев патологически протекающей беременности ставят целью спасти жизнь маме, ведь внутриутробная гибель плода по причине неадекватного кровотока может стать причиной смертельно опасного кровотечения, сепсиса, эмболии. Конечно, такие серьезные вопросы не решаются в одиночку лечащим врачом. Для определения тактики создается консилиум специалистов, учитывающих все возможные риски и вероятные осложнения.

    Норма и патология

    Поскольку состояние сосудов и матки, и плаценты, и плода постоянно меняется в течение всей беременности, то важно оценивать кровообращение именно соотнося его с конкретным сроком гестации. Для этого установлены средние нормы по неделям, соответствие которым означает норму, а отклонение – патологию.

    Иногда при удовлетворительном состоянии мамы и плода в процессе допплерометрии обнаруживаются некоторые отклонения. Не стоит впадать при этом в панику, ведь своевременная диагностика позволит скорректировать кровоток в той стадии, когда изменения его еще не вызвали необратимых последствий.

    Нормы по неделям подразумевают определение диаметра маточных, спиральных артерий, сосудов пуповины, плодной средней мозговой артерии. Показатели рассчитаны, начиная с 20 недели и до 41. Для маточной артерии ИР в срокенедели составляет в норме не более 0,53. постепенно уменьшаясь к концу гестации, нанеделе он не более 0,51. В спиральных артериях этот показатель, наоборот, увеличивается: внедели он составляет не больше 0,39, к 36 неделе и до родов – до 0,40.

    Плодный кровоток характеризуют артерии пуповины, ИР для которых до 23 недели не превышает 0,79, а к 36 неделе снижается до максимального значения в 0,62. Средняя мозговая артерия малыша имеет аналогичные нормальные показатели индекса резистентности.

    СДО в течение беременности постепенно снижается для всех сосудов. В маточной артерии показатель внедели может достигать 2,2 (это максимальное нормальное значение), к 36 неделе и до конца беременности составляет не более 2,06. В спиральных артериях СДО внедели не более 1,73, к 36 – 1,67 и ниже. Сосуды пуповины имеют СДО до 3,9 к 23 неделям гестации и не более 2,55 нанеделе. В средней мозговой артерии малыша цифры такие же, как в артериях пуповины.

    Таблица: нормы СДО на допплерометрии по неделям беременности

    Таблица: сводные значения норм плановой допплерометрии

    Мы привели лишь некоторые нормальные значения для отдельных артерий, а врач при обследовании оценивает весь комплекс сосудов, соотнося показатели с состоянием матери и плода, данными КТГ и других методов обследования.

    Каждая будущая мама должна знать, что проведение УЗИ с допплерометрией – неотъемлемая часть всего периода наблюдения беременности, ведь от состояния сосудов зависит не только развитие и здоровье, но и жизнь растущего организма. Тщательный контроль кровотока – задача специалиста, поэтому лучше доверить расшифровку результатов и их интерпретацию в каждом конкретном случае профессионалу.

    Допплерометрия позволяет не только своевременно диагностировать тяжелую гипоксию, гестозы второй половины беременности, задержку развития плода, но и в значительной степени помогает предупредить их появление и прогрессирование. Благодаря этому методу снизился процент внутриутробных смертей и частота тяжелых осложнений в родах в виде асфиксии, дистресс-синдрома новорожденных. Результатом своевременной диагностики становится адекватная терапия при патологии и рождение здорового младенца.

    Источник: https://sosudinfo.ru/arterii-i-veny/dopplerometriya/

    Доплер для беременных: детальная информация о допплерометрии

    Доплер для беременных – это высокоинформативный, точный и безопасный метод исследования, применяемый в акушерстве для диагностики нарушений кровообращения в матке, пуповине и сосудах плода.

    С помощью этого обследования можно определить, нормальный ли кровоток, или имеется его нарушение от минимального до такого уровня, когда это экстренно угрожает жизни плода.

    Основана допплерометрия при беременности на эффекте Доплера – свойстве ультразвуковой волны, отражаясь от движущихся тел, изменять частоту своих колебаний.В итоге датчик, который посылает один тип звуков, воспринимает их отраженными с другой частотой, это расшифровывается программой, и на экран поступает изображение в виде графика, серо-белой или цветной картинки.

    Вот что такое УЗИ доплер при беременности.

    Режимы исследования

    1. Непрерывный волновой: ультразвук посылается постоянным сигналом.
    2. Импульсный режим УЗИ с доплером при беременности: волна посылается не постоянно, а циклами. В результате датчик улавливает отраженный ультразвук, посылает его на обработку, и в то же время «выдает» новую «порцию» сигналов.
    3. Допплерография при беременности может проводиться также в режиме цветового картирования. В основе – тот же метод, только скорость кровотока в различных участках сосудов кодируется разным цветом. Эти оттенки накладываются на двухмерное изображение, которое можно увидеть и при обычном УЗИ. То есть, если на мониторе вы видите различные цвета, это вовсе не артерии (красные) и вены (синие), а сосуды с разной скоростью кровотока, который может быть направлен от датчика и к датчику.

    В каких случаях исследуют

    1. если на УЗИ видны петли пуповины недалеко от шеи плода
    2. для выявления патологии плаценты
    3. при мало- или многоводии
    4. по УЗИ есть подозрения на порок развития сердца или мозга
    5. по результатам наружного акушерского осмотра или по УЗИ плод меньше, чем должен быть в этом сроке
    6. если у матери есть гестоз, сахарный диабет, аутоиммунные заболевания (например, красная волчанка, васкулит, тиреоидит Хашимото), болезни почек, гипертония
    7. два или больше плодов, особенно если они сильно отличаются по размерам
    8. «замершая» предыдущая беременность
    9. до этого был самопроизвольный выкидыш
    10. по УЗИ видны аномалии пуповины
    11. конфликт матери и плода по резус-фактору
    12. травма живота беременной
    13. «плохие» результаты КТГ после 30 недели

    На каком сроке беременным делается допплерометрия

    На каком сроке делается доплер УЗИ. Это исследование при беременности может проводиться тогда, когда полностью сформирована плацента, то есть кнеделе беременности.

    Именно в это время можно четко визуализировать маточно-плацентарный бассейн, имеющий низкое сопротивление сосудов.

    Раньше этого срока проводить доплер нет смысла. А лучше совместить УЗИ с доплером с обычным ультразвуковым обследованием, проводимом нанеделе.

    Как подготовиться к исследованию

    К УЗИ доплера при беременности готовиться не нужно. Можете поесть накануне, или прийти натощак – от этого качество результатов не зависит. Мочевой пузырь для исследования также наполнять не нужно.

    Как проводится при беременности УЗИ с допплерометрией

    Женщина ложится на кушетку, на живот наносят немного специального геля для того, чтобы допплерометрия была проведена без ошибок, которые могут возникнуть, если между датчиком и кожей попадет воздух. Длительность доплер УЗИ при беременности – около 30 минут.

    Процедура проста и безболезненна для пациентки. Вагинальный датчик при этом не используют.

    Какие сосуды оценивают при допплерографическом исследовании

    Доплер для беременных имеет несколько основных показателей, которые помогают оценить кровоток и проходимость каждого сосуда отдельно. Многие из них зависят от срока беременности.

    Наиболее информативно УЗИ доплера при беременности оценивает такие сосуды:

    • маточные артерии
    • артерии пуповины
    • средняя мозговая артерия плода
    • аорта развивающегося малыша.

    Артерии пуповины – наиболее изучаемые сосуды. Именно при изменениях скоростных характеристик в них страдает снабжение кислородом плода.

    Характер кровообращения в них позволяет судить о плодово-плацентарном кровотоке, микроциркуляции в той части плаценты, которая кровоснабжает непосредственно плод.

    Расшифровка данных

    Доплер для беременных оценивает кровоснабжение на основании таких показателей:

    1. Систоло-диастолическое отношение (СДО или С/Д) – это показатель, который получится, если максимальную скорость в сосуде в систолу (когда сердце сокращается) разделить на конечную диастолическую (когда мышца сердца «отдыхает») скорость. Показатель для каждого сосуда имеет свое значение.
    2. Допплерометрия при беременности также оценивает показатель «индекс резистентности» (ИР). Он получается, если разницу между максимальной (систолической) и минимальной скоростями кровотока разделить на максимальную скорость.
    3. ПИ (пульсационный индекс): если разделить разницу между максимальной и минимальной скоростями на среднюю скорость кровотока за полный цикл сердца.

    Все эти три показателя называются «индексами сосудистого сопротивления» (ИСС). Это – основные «киты» оценки состояния кровотока. Для того, чтобы их оценить правильно, конкретный показатель по каждому сосуду сравнивают с нормативными таблицами с учетом срока беременности.

    Как разобраться во всех этих цифрах

    Плацента сообщается с маткой посредством терминальных ворсин. Это такие разветвления, которые имеют огромное количество сосудов и являются основным местом, где кислород и полезные вещества проходят к плоду, а продукты жизнедеятельности – отводятся.

    Если беременность протекает нормально, допплерография не показывает изменений. Как только происходит уменьшение количества сосудов в этих ворсинах вследствие различных причин (это и называется фето-плацентарной недостаточностью), возрастает сосудистое сопротивление в артерии пуповины, увеличиваются СДО и ИР.

    В норме доплер УЗИ при беременности определяет их так:

    • недели с 20 по 23: 0,62-0,82
    • 24-29 недели: 0,58-0,78
    • с 30 по 33 недели: 0,521-0, 75
    • 34-37 недели: 0,482-0,71
    • 38-40 недели: 0,42-068.

    2. Систоло-диастолическое отношение в пуповинной артерии

    Если страдает маточно-плацентарный кровоток, то подобные увеличения ИСС, видимые на УЗИ доплера при беременности будут отмечаться в маточных артериях. По показателям кровотока маточных артерий судят о том, возникнет ли задержка внутриутробного развития у ребенка.

    3. Норма СДО в маточных артериях

    4. ПИ в маточных артериях в III триместре, которое позволяет доплер УЗИ беременных: 0,40-0,65.

    На видео:допплерометрия беременной

    5. Средний ИР в маточных артериях в III триместре: 0,3-0,9.

    Если в результате снижения кровотока в сосудах плаценты и/или матки уже начинает страдать ребенок, это можно выявить по изменениям ИСС в аорте плода. Тогда вы увидите, что эти цифры больше, чем нормативные показатели, рассчитанные для УЗИ с доплером при беременности:

    6. СДО в аорте плода:

    7. ИР в аорте плода: в среднем составляет 0,75.

    Если кровоснабжение плода настолько страдает, что ему, вместо того, чтобы развиваться, остается только поддерживать свою жизнедеятельность, это можно увидеть по увеличению ИР и СДО сонной и мозговых артерий плода.

    8. ИР средней мозговой артерии в сроке 22 недели и до родов: в норме — 0,773.

    9. СДО мозговой средней артерии (срок 22 и более недель): норма – более 4,4.

    10. ИР сонной внутренней артерии плода, который определяет допплерография при беременности:

    • с 23 по 25 недели: 0,942
    • 26-28 недель: 0,88-0,90
    • 29-31я недели: 0,841-0,862
    • 32-34 недель: 0,80
    • с 35 по 37ю неделю включительно: 0,67-,85
    • больше 38 недель: допплер при беременности показывает норму в 0,62-0,8.

    Какие патологии выявляются

    1. Гестоз. При этом состоянии допплерометрия при беременности обычно сначала показывает повышение ИР и СДО в маточных артериях, затем такие же изменения происходят в артериях пуповины.
    2. При перенашивании, резус-конфликте и сахарном диабете матери доплер УЗИ при беременности покажет увеличение ИР и СДО в артерии пуповины и аорте ребенка.
    3. Если беременность многоплодная, и при этом плоды развиваются неравномерно, то допплерография при беременности покажет повышенные показатели ИР и СДО в артерии пуповины плода, развитого хуже. Если же показатели одинаковы у обоих плодов, но один из них отстает в развитии, это означает, что в этом случае имеет место трансфузионный синдром.

    Также УЗИ с доплером при беременности не просто помогает установить диагноз нарушения кровообращения на каком-то уровне в системе «плод-плацента-мать», но и установить ее степень. В случае выявления высокой степени нарушений маточно-плодово-плацентарного кровообращения, в зависимости от ситуации, может быть назначено как обязательное лечение, так и экстренное родоразрешение.

    О стоимости обследования

    Цена на УЗИ доплер при беременности составляет от 1000 до 3500 рублей, провести исследование можно в специализированных центрах, в условиях некоторых роддомов. Если же у вас есть особые показания, указанные выше, то УЗИ доплера при беременности должно назначаться акушером-гинекологом и проводиться в условиях медико-генетических консультаций на аппаратах экспертного класса.

    Таким образом, доплер для беременных – информативный и объективный метод диагностики, который обязательно должен оцениваться врачом, который наблюдает вашу беременность. Он помогает не только вовремя выявить патологию в сосудах плода, матки и плаценты, но и сделать прогноз, оценить степень нарушений кровотока. Не стоит рисковать, увидев «плохое» заключение врача УЗИ, и пробовать расшифровать результаты самим: разобраться довольно трудно, а счет иногда идет «на часы».

    Посмотрите, как на экране монитора отображается процесс доплер УЗИ беременной.

    Самое популярное

    • Подготовка к УЗИ брюшной полости, что входит

    • УЗИ скрининг 1 триместра — часто задаваемые вопросы

    • 2 скрининг при беременности

    • Подготовка к УЗИ почек, подготовка к исследованию

    • Как делают УЗИ кишечника

    • Стоит ли бояться перед УЗИ почек

    • Что такое трансвагинальное УЗИ

    • Что это такое желтое тело в яичнике

    • Что вы не знаете о фолликулометрии

    • Расшифровка КТГ плода

    • Фетометрия плода по неделям (таблица)

    • УЗИ щитовидной железы, норма (таблица)

    • На каком сроке УЗИ показывает беременность

    • Как делают дуплексное сканирование сосудов головы и шеи

    • Что такое анэхогенное образование

    • Что такое гипоэхогенное образование

    • М-эхо матки, норма

    • Размеры печени в норме у взрослых на УЗИ

    • УЗИ молочных желез на какой день цикла делают

    • УЗИ желудка, подготовка и прохождение

    • Как проверить кишечник на УЗИ

    • ТрУЗИ предстательной железы как делают

    • КТГ 8 баллов — что это значит?

    • УЗДГ при беременности — что это такое?

    • УЗИ сосудов головы и шеи, как делают

    Рекламодателям | От авторов сайта | Карта сайта

    Источник: https://uzilab.ru/prenatalnaya-diagnostika/dopler-dlya-beremennyih.html

    Допплер УЗИ при беременности: суть и назначение метода

    В акушерстве ведущее место среди всех дополнительных методов функционального исследования занимает ультразвуковая диагностика. Благодаря ей значительно снизилось число различных осложнений со стороны матери и ребенка.

    Допплер УЗИ при беременности — это методика ультразвукового исследования, целью которого являются определение и оценка кровотока в маточно-плацентарно-плодной системе, позволяющие своевременно выявлять ранние нарушения в ней.

    Суть методики

    Допплер УЗИ, или допплерометрия (Допплерография) базируется на одноименном эффекте, сущность которого заключается в распространении в исследуемом объекте ультразвуковых колебаний заданной частоты, генерируемых пьезоэлементами датчика, в виде упругих волн.

    Часть энергии этих волн, достигнув границы двух сред, имеющих разное ультразвуковое сопротивление, отражается и воспринимается тем же датчиком, а вторая часть переходит границу в соседнюю среду. Частота колебаний волн, отраженных от неподвижной среды, не изменяется и равна первоначальной генерируемой частоте колебаний.

    Движущаяся навстречу ультразвуковым импульсами среда соприкасается с ними значительно чаще, чем неподвижная, и частота колебаний волн увеличивается, по сравнению с исходной. При движении же объекта в сторону, противоположную датчику, частота отраженных импульсов по мере отдаления становится все меньше. Разница частот отраженных и генерируемых волн называется допплеровским сдвигом, который имеет положительное значение в первом случае и отрицательное — во втором. Эта величина напрямую зависит от скорости движения исследуемого объекта и угла наклона датчика.

    Таким образом, эффект Допплера является характеристикой изменения частоты ультразвуковых волн в результате их отражения от объекта движения, что в медицинском исследовании используется в целях определения скорости кровотока. Отражающей поверхностью в этом случае служат преимущественно эритроциты.

    Скорость тока крови неодинакова вдоль стенок сосудов и в центре потока. Кроме того, она различна для разных сосудов, например, для пуповины и сосудов плаценты, маточных артерий и разных сосудов плода, во время систолы и диастолы (сокращение и расслабление мышцы сердца) и т. д.

    Что показывает допплерометрия?

    Широкий спектр частот усиливается, обрабатывается ультразвуковым сканнером и отображается на допплерограмме в виде графика спектральных кривых скоростей (дуплексное сканирование). Последние отражают изменения средней моментальной или наибольшей скоростей кровотока в течение одного сердечного цикла.

    Существуют и аппараты цветового (триплексного) сканирования, которые преобразуют сигналы не в графики, а в изображение сосудов на мониторе в результате картирования разными цветами (красным и синим) разнонаправленных потоков крови — допплеровское цветовое картирование. Допплер дает возможность найти необходимый сосуд, увидеть его анатомическое расположение, особенности тока крови в определенном органе и диагностировать отслойку плаценты, сосудистые микроциркуляторные изменения в ней, врожденные сердечные пороки у плода, обвитие его шеи пуповиной (у 25% рожениц), нарушения в плацентарных сосудах и т. д.

    Однако цветовой метод не позволяет рассчитать важные показатели по скорости кровотока, поэтому при необходимости эти два вида используются в комбинации. Достоверность допплерометрии в диагностике негативных изменений в состоянии плода, плаценты и матери составляет в среднем около 73%.

    Расшифровка Допплер УЗИ при беременности

    На полученном графике отмечаются определенные участки, проводятся расчеты специальных показателей (индексов) сосудистого сопротивления, характеризующих кровоток в определенных сосудах, и результаты сравниваются с установленными нормами.

    Особой ценностью о состоянии маточно-плацентарного кровообращения обладает информация, которая получена при одновременном исследовании состояния кровотока в артериях пуповины, магистральных сосудах головного мозга, аорте и внутренних сонных артериях плода, а также в маточных артериях.

    В целях оценки состояния тока крови используются в основном следующие индексы:

    1. А/В, или СДО — индекс систоло-диастолического отношения, означающий отношение максимальной скорости крови при систоле (А) к конечной ее скорости во время диастолы сердца (В).
    2. (А-В)/А, или ИР — индекс сопротивления, или резистентности.
    3. (А-В)/М, или ПИ — пульсационный индекс, в котором М означает среднюю скорость тока крови за один сердечный цикл.

    Разработаны показатели нормы Допплер УЗИ при беременности для основных сосудов и сроков, например:

    СДО в норме составляет:

    • для аорты внедель — 5,6 ± 0,7; внедели — 5,40 ± 0,51;недель — 5,22 ± 0,70;недели — 4,90 ± 0,40;
    • для пуповинной артерии — 3,20 ± 0,3; 2,86 ± 0, 48; 2,50 ± 0,33; 2,12 ± 0,26 соответственно;
    • для маточных артерий — 1,83 ± 0,32; 1,76 ± 0,50; 1,70 ± 0,30; 1,65 ± 0,25 соответственно.

    Средний ИР аорты плода — 0,75; для средней мозговой артерии от 22 недель беременности до родов ИР составляет 0,773, СДО — > 4,4.

    В зависимости от этих показателей определяется степень нарушения маточно-плацентарного и плодно-плацентарного видов кровообращения:

    1. IA — нарушенный маточно-плацентарный кровоток при сохраненном плодно-плацентарном.
    2. IБ — нарушенный плодно-плацентарный кровоток при сохраненном маточно-плацентарном.
    3. II — нарушены оба вида кровотока, но не до критического значения.
    4. III — критическая степень нарушения плодно-плацентарного кровотока при нарушении или сохранении маточно-плацентарного.

    Критериями диагностики маточно-плацентарного кровообращения является снижение скорости тока крови в артериях матки во время диастолы мышцы сердца, плодно-плацентарного — в артериях пуповины (от нулевого до отрицательных значений). Прогрессирование патологии ведет к этим изменениям в период не только диастолы, но и систолы, а также к увеличению их длительности.

    Как проводится исследование

    Показаниями являются наличие:

    • сахарного диабета, сосудистых заболеваний аутоиммунной этиологии, почечной патологии, повышенного артериального давления;
    • осложнений течения настоящей беременности — маловодие, водянка или многоплодие, преждевременное созревание или приращение плаценты, перенашивание беременности;
    • несоответствия развития плода срокам беременности, подозрения на пороки его развития или хромосомные заболевания, обвития вокруг шеи плода пуповины и/или ее аномалий, внутриутробной гипоксии плода, неудовлетворительных или сомнительных результатов проведения кардиотокографического (КТГ) исследования состояния плода;
    • резус-сенсибилизации, гестоза;
    • отягощенного акушерского анамнеза при прошлых беременностях — гестозы, задержка внутриутробного развития плода, различные аномалии его развития или пуповины, невынашивание беременности;
    • возраста женщины более 35 или менее 20 лет.

    Специальная подготовка не требуется. Противопоказания отсутствуют. Проводить УЗИ можно при полном и пустом мочевом пузыре, натощак или после приема пищи.

    Оно внешне мало чем отличается от обычного, знакомого всем женщинам, ультразвукового исследования и длится в течениеминут. Осуществляется процедура в горизонтальном положении на спине после смазывания поверхности живота специальным гелем: для лучшего контакта кожи с датчиком аппарата. Она безопасна для будущей матери и плода.

    На каком сроке беременности проводят допплерометрия?

    Проведение этого метода исследования возможно не раньше 20-й недели, то есть после окончательного формирования плаценты, но наиболее информативным оно является в период интенсивного роста плода, который происходит с 27-й по 34-ю неделю беременности.

    Для ранних выявлений патологических изменений в маточно-плацентарно-плодной системе грубого характера Допплер, как правило, проводят нанеделе, а на 30-й-34-й неделе — в комплексе с УЗИ.

    Возможность использования допплерометрии в течение всей беременности, простота применения и безопасность, в том числе и на ранних ее сроках, при высокой диагностической и прогностической информативности сделали эту методику исследования кровообращения незаменимой в акушерской практике.

    Источник: https://ginekolog-i-ya.ru/doppler-pri-beremennosti.html

    Что такое допплерометрия маточных артерий и плацентарно-плодового кровотока при беременности, каковы нормы и расшифровка показателей?

    УЗИ в период беременности – это стандартная скрининговая процедура. Благодаря ультразвуковой диагностике, во многих случаях женщина впервые узнает о своем положении, или получает достоверное подтверждение беременности.

    Что такое допплерография?

    Допплерография – диагностическая процедура, позволяющая оценить кровоток по магистральным сосудам (артериям и венам), его характеристики в количественном и качественном выражении.

    Что такое допплерометрия? — это другое название допплерографии. Результат исследования – допплерограмма, строится на основании анализа разницы частот посланного зондирующего и отраженного сигналов от движущихся объектов, в данном случае форменных элементов крови (эритроцитов).

    Во время процедуры допплерометрии регистрируется ультразвуковой сигнал, анализируются его спектральные и частотные характеристики, изучается разница центрального и пристеночного потоков. Выявляются УЗИ-признаки патологических отклонений «звучания» сигнала.

    Допплерометрия проводится в спектральном, импульсно-волновом режимах, а также ЦДК (цветное допплеровское картирование) с анатомическим М-режимом. Для проведения исследования используются несколько типов датчиков.

    Сроки допплерометрии при беременности

    УЗИ исследования назначаются при наличии показаний не зависимо от срока беременности. Что касается допплерометрии, то она имеет строго установленные сроки. Это период с 21-й по 22-ю неделю. В эти сроки проводится:

    • допплерометрия маточно-плацентарно-плодового кровотока;
    • определение положения плода;
    • определение наличия/отсутствия пуповинного обвития и признаков гипоксии;
    • определение состояния сердца и магистральных артерий плода.

    Для определения состояния малыша в утробе матери, характеристики кровотока наиболее информативны в указанные сроки. По степени безопасности, комфорту, отсутствию болевых ощущений, последствий в отдаленном периоде для матери и ребенка допплерометрия ничем не отличается от любой другой процедуры УЗИ.

    Максимально информативной допплерометрия для будущей роженицы будет в период с 21 по 22 неделю, поэтому процедура проводится в рамках этого срока

    Подготовка к диагностике допплеровским методом

    Специфическая подготовка, диета, прием или отмена препаратов не требуется. Процедура допплерометрии при беременности проводится в положении лежа (на спине или на боку), кожа обрабатывается специальным гелем, это облегчает скольжение датчика и улучшает его контакт с кожей. Таким образом достигается максимальный по качеству эффект отображения полученных сигналов на мониторе.

    Если пациентка продолжает курить во время беременности, воздержаться от этого нужно в течение нескольких часов до УЗИ. Ангиоспазм, вызванный отравлением организма никотином, искажает результаты ультразвуковой допплерографии.

    Допплерография может быть проведена в стандартном режиме или сопровождаться цветным картированием, при котором направления движения потока крови отображены в цвете. При наличии цветовой картины облегчается обнаружение патологических процессов в артериях и венах.

    Показания к допплерографии плода

    Помимо этого, УЗИ диагностика плода может быть назначено повторно, в случае наличия патологических изменений, полученных при предыдущем исследовании:

    • много-, маловодие;
    • синдром ЗРП;
    • обвитие пуповиной плода, подозрение на гипоксию;
    • патология плаценты/пуповины;
    • патологии внутриутробного развития плода.

    При многоводии допплерография может быть назначена повторно, чтобы отследить изменения состояния и вовремя принять необходимые меры

    Допплерометрия плода может быть назначена при неблагоприятном течении беременности, или наличии внешнего источника негативного воздействия на будущую мать:

    • травмы брюшины, полученные в период беременности;
    • острая психологическая травма (потеря близкого человека, авария без травматических последствий и т.п.);
    • угроза срыва вынашивания;
    • возраст матери (до 18-ти лет и более 35-ти лет);
    • отличные от нормы характеристики кардиотокография (КТГ) плода.

    Что оценивает допплерометрия плода?

    Допплерометрия при беременности — незаменимая процедура по обследованию артерий ребенка утробе матери. Допплерографическое исследование плода дает возможность оценить кровоток в следующих системах сосудов:

    • МПК — маточно-плацентарной (в обеих артериях, обеспечивающих кровью матку);
    • ППК — плодово-плацентарной;
    • ПК — плодной.

    Плодный кровоток включает в себя аортальное кровоснабжение и кровоснабжение посредством внутренней сонной артерии и средней головной артерии.

    Плодный кровоток нарушается, как правило, при развитии плацентарной недостаточности и артериальной недостаточности.

    Результаты допплерометрии: показатели

    Расшифровка допплерометрических характеристик кровотока позволяет оценить его скорости: максимальную в фазе сжатия сосудистой стенки и минимальную в фазе расслабления сосудистой стенки. На основе этой информации рассчитываются относительные характеристики кровотока (ИСС – индексы сосудистого сопротивления):

    • RI – индекс резистентности;
    • PI – индекс пульсации;
    • СДО (систолодиастолическое отношение).

    RI — отношение разницы скоростей (максимальной, в период сжатия, и минимальной, в период расслабления), к максимальной скорости в период сжатия. PI — отношение разницы скоростей максимальной, в период сжатия, и минимальной, в период расслабления, к усреднённой скорости кровотока. СДО — отношение максимальной скорости, в период сжатия (систолы), и минимальной, в период расслабления (диастолы).

    Кроме того проводится расшифровка и качественная оценка полученных кривых скоростей. Скорости зависят от срока беременности. Патологические изменения кровотока в системе «матка-плацента-плод» имеют характерную эхо-картину на допплерограмме. Полученные значения сравнивают с показателями нормы.

    Патологические изменения кровотока внутри системы «матка-плацента-плод» отлично регистрируются на допплерографии. Расшифровываются они путем сравнения с показателями нормальной гемодинамики

    Нарушения кровотока (по М.В. Медведеву)

    Величина отклонений относительных индексов (ИСС) рассчитывается на основе информации, которая была получена в процессе УЗИ. Отклонения индексов от нормы говорит о степени нарушений МПК и ППК.

    При I-й степени нарушения кровотока возможна доношенная беременность, естественные роды, в случае если нет серьезного ухудшения состояния кровотока по показателям допплерометрии и ЧСС по показателям кардиотокографии. Существует два варианта патологического изменения кровотока:

    • МПА – нарушен при сохраненном ППК;
    • ППК – нарушен при сохраненном МПК.

    При II-й степени кровоток нарушается как в артериальной системе матки, так и в пуповинной артерии. Такое состояние требует не только постоянного врачебного наблюдения, мониторинга с помощью ультразвуковой допплерографии и кардиотокографии, но госпитализации беременной в стационар. А также назначения специфического лечения для профилактики и лечения состояния кислородного голодания ребенка в утробе, СЗРП.

    При III-й степени нарушения кровообращения системы сосудов «матка-плацента-плод», изменения кровотока достигают критического значения. Скоростные количественные характеристики стремятся к нулю, в некоторых случаях достигают нулевой отметки, и отмечается обратный (реверсный) кровоток в фазе расслабления сосудистой стенки (в период диастолы). В подобной ситуации если:

    1. Беременность достигла 30-ти недельного срока – рекомендовано экстренное оперативное родоразрешение.
    2. Беременность не достигла 30-ти недельного срока – интенсивная, комплексная поддерживающая терапия системы «плацента-плод», с целью продления вынашивания до 30-ти недель. Терапия проводится при постоянном УЗИ и КТГ мониторинге.

    При III степени нарушения гемодинамики могут быть показаны экстренные роды, если беременность уже достигла срока 30-ти недель

    Оценка степени кислородного голодания плода

    При обнаружении с помощью УЗИ нарушений кровотока в системе «матка-плацента-плод» проводится диагностика ребенка в утробе матери с целью установить наличие и степень его кислородного голодания. При наличии гипоксии относительные индексы (ИСС) аорты и артерий плода на допплерограмме четко покажут отклонения имеющихся показателей от нормативов.

    В случае обнаружения гипоксии плода на УЗИ устанавливается его степень. Согласно выявленной степени кислородного голодания проводятся терапевтические мероприятия:

    1. I степень – изменения кровоснабжения плода регистрируются, но сопровождаются компенсаторными изменениями индексов сосудистого сопротивления в артериях плода. Такое состояние требует терапии. Его можно обратить и довести беременность до состояния доношенности и естественного родоразрешения. При отсутствии грамотной и своевременной терапии состояние ухудшается и уже через 3 недели последствия можно увидеть на допплерограмме.
    2. II степень – затруднен кровоток по сосудистой системе плода, присутствует кислородное голодание. Состояние быстро усугубляется.
    3. III степень – тяжелое состояние, нарушается сердечная деятельность плода, ПК стремиться к нулю, развивается тяжелая гипоксия, состояние достигает степени необратимости. Риск гибели плода велик и достигает 40%. Возможность сохранить жизнь ребенку зависит от срока беременности и своевременности проведения кесарева сечения.

    Допплерография способна выявить патологию движения крови и причины изменения кровоснабжения плода. Основным достоинством УЗИ является возможность диагностики патологи кровоснабжения плода на доклинической стадии.

    Сегодня была на доплерометрии. Срок 32 нед. Данные допплерометрии следующие: Пупочная артерия: S/D 1,82 RI 0,45. Маточные артерии: правая S/D 3,82 RI 0,74 левая S/D 1,82 RI 0,45. Большое ли отклонение от нормы? Чем это грозит?

    По этому вопросу необходимо проконсультироваться с врачом, ведущим Вашу беременность. Важное значение имеет оценка профиля кривых скоростей (см/с) кровотока, а не только соотношение цифровых значений с нормой. По цифровым показателям наблюдается нарушение маточно-плацентарного кровотока первой степени — 1а (повышены показатели S/D и RI в правой маточной артерии). Вам может быть назначено профилактическое лечение амбулаторно или же при дневном стационаре (когда Вы приходите на лечебные процедуры днем), с применением препаратов, улучшающих маточно-плацентарный кровоток. Необходимы дополнительные контрольные наблюдения — проведение допплерометрии и кардиотокографии (КТГ) в среднем 1 раз в 7-10 дней (согласно назначению Вашего врача).

    скажите, пожалуйста, нормальны ли показатели УЗИ на сроке 33,6 недель бпр84, лзр 104, дб 63, ог 30,2 ож27,6,

    пмп 1944. ставят маловесный плод, это за счет размеров живота?

    и еще на двух узи с разницей 3 недели очень низкий иаж-55 мм, лечение не назначали, перенесла орви 2 недели назад. почему иаж не меняется?

    фпн и нмпк не ставят, ир пуповины 0,59 ир мат. арт 0,31-0,30

    Расшифруйте пожалуйста : ir cma 0,87 ir uma 0,55/0,54 ir uta 0,49/0,60

    У меня 29 недель ( полных) беременности. Стоит пессарий. Получаю утрожестан 400 мг. Беременность после эко ( крио протокол). Делали в контроле узи- шейка 36 мм закрыта, воды ( ставили многоводие , пила вильпрафен) ИАЖ 249 ( норма 231). Вес малыша 1300. Еще сделала допплер — ПИ ма справа 1,07 ( 0,52-1,06) ПИ ма слева 0,77. ПИ а. Пуповины- 0,94 (0,55-0,78), ИР 0,68 ( норма 0,67) s/d 3,1 (3,0). ПИ внутр сон арт 1,59- норма. Врач узи сказала, что ничего критичного — а в заключении написала 2 степень нарушений. По данным интернета нормы показателей, в отличии от моих данных, имеют нижние и верхние границы, а не четкие цифры. Еще во время исследования регистрировался умеренный тонус и поперечное положение плода. Насколько все плохо с кровотоком и весом малыша и что делать. Спасибо

    На первой доплерометрии в 23 недели были показатели артерия пуповины сдо 1,72 ир 0,42 правая маточная артерия сдо 1,62 ир 0,38 левая сдо 1,63 ир 0,39 заключение : нк не выявлено. Повторно делала доплерометрию в 31 неделю артерия пуповины 2,0 ир 0,50 правая маточная артерия сдо 1,77 ир 0,44 левая сдо 2,00 ир 0,50. Заключение нк 1а степени. Скажите пожалуйста, верны ли заключения? Стоит ли переделать доплерометрию у другого врача на другом оборудовании? И мой гинеколог назначил магне пить и все, повторный доплер через 10 дней

    Здравствуйте!Вторая беременность Срокнеделя. По УЗИ Аретрия пуповины — ИР-0,71, правая маточная артерия ИР -0,78, левая маточная — 0,68. В заключении ГДН 1а ст. в бассейне правой мат.артерии. Рекомендация- доплер через 3-4 недели. Все остальные показатели находятся в пределах нормы. Чем это грозит?

    Здраствуйте..На узи внедель..Допплерометрия венозный проток написано «3» ф..что это значит..В заключении Кравевое предлеждание плаценты.Развивающаяся беременностьнедель..Что означает 3 ф

    Подскажите в норме ли значения IR при сроке 31,5. В артерии пуповины 0,44, а маточных артериях правой 0.32, в левой 0,30, в спиральной артерии 0,46, в среднемозговой артерии 0,79, в дуге аорте плода 0,80. И нормально ли то что показатели артерии пуповины и маточных артерий чуть ниже нормы для моего срока?

    Здравствуйте, 3 беременность срок 25 недель Изи с доплером: ИП-1,04; ИР-0,66; СДО-2,93 (норма 3,51)профиль кровотока в артериях пуповины. Страшно ли это, и что надо предпринять? Спасибо.

    Внимание! Вся информация на сайте предоставляется исключительно в справочных целях и носит ознакомительный характер. По всем вопросам диагностики и лечения заболеваний необходимо обратиться к врачу за очной консультацией.

    Источник: https://uzimetod.ru/prenatal/dopplerometrija-sosudov-placenty-ploda.html

    Практические рекомендации ISUOG: Использование ультразвуковой допплерографии в акушерстве

    Международное общество ультразвука в акушерстве и гинекологии (ISUOG) является научной организацией, которая содействует развитию клинической практики в сфере эхографии, обучению специалистов и научным исследованиям в области диагностической визуализации в охране женского здоровья.

    Комитет клинических стандартов ISUOG (The ISUOG Clinical Standards Committee – CSC) создан для разработки практических руководств (Practice Guidelines) и консенсусов (Consensus Statements) в качестве учебных рекомендаций, которые обеспечивают работникам здравоохранения общепринятый подход к диагностической визуализации.

    Они предназначены для отражения положений, рассмотренных ISUOG и признанных наилучшей практикой на момент публикации. Несмотря на то, что специалистами ISUOG были предприняты максимальные усилия для обеспечения точности текста руководства при его издании, тем не менее, ни само Общество ни ктолибо из его сотрудников или членов не несут юридической ответственности за последствия какой либо неточной или вводящей в заблуждение информации, вариантов или утверждений опубликованных CSC.

    Руководства ISUOG не ставят своей целью установить юридические стандарты в здравоохранении, поскольку на интерпретацию данных, изложенных в руководствах, могут оказывать влияние индивидуальные обстоятельства и доступность ресурсов. Одобренные руководства могут распространяться свободно с разрешения ISUOG ([email protected]).  

    СОДЕРЖАНИЕ ДОКУМЕНТА

    Данный документ обобщает практические рекомендации относительно того как следует выполнять ультразвуковую допплерографию фетоплацентарного кровообращения. Особо важным является положение, что эмбрион и плод не должны подвергаться неоправданному вредному воздействию ультразвуковой энергии, особенно на ранних этапах беременности.

    На этих этапах, допплерография должна проводиться при наличии клинических показаний и с использованием по возможности наименее низких уровней энергии. Ранее ISUOG было опубликовано руководство по использованию ультразвуковой допплерографии при проведении ультразвукового исследования (УЗИ) плода в сроки с 11 до 13+6 недель беременности (1).

    При проведении сканирования в допплеровском режиме, показатели термического индекса (TI) не должны превышать 1, и время воздействия должно быть сокращено до минимума, обычно не дольше 5–10 минут и максимально не должно превышать 60 минут (1). Целью этого руководства не является определение клинических показаний, установление конкретных сроков беременности в которые должна проводиться допплерография, обсуждение того как следует интерпретировать диагностические находки, а также использование допплерогрфии в ходе проведения эхокардиографического исследования плода.

    Целью руководства является описание импульсноволновой ультразвуковой допплерографии и ее различных режимов таких как спектральный, цветовой и энергетический, которые традиционно используются в исследованиях кровообращения в системе мать–плацента–плод. Мы не будем описывать метод постоянноволновой допплерографии, в виду того, что он обычно не используется в акушерском УЗИ.

    Однако, в случаях, когда у плода развиваются состояния, ведущие к возникновению кровотоков с очень высокими скоростями (например, при аортальном стенозе или трикуспидальной регургитации) метод может быть полезен для точного определения максимальных скоростей потока без помех, создаваемых aliasing-артефактом.

    Методы и способы, описанные в этом руководстве, подобраны с целью уменьшения ошибок при измерениях и улучшения воспроизводимости результатов. Однако, в ряде случаев они могут оказаться не применимы для некоторых клинических состояний, а также для протоколов научных исследований.  

    РЕКОМЕНДАЦИИ

    Какое оборудование требуется для проведения Допплерографии при оценке фетоплацентарного кровообращения?
    • Оборудование должно обладать режимами цветовой и спектральной допплерографии, с отображением на экране монитора скоростной шкалы кровотока или частоты повторения импульсов (PRF), а также допплеровской частоты используемого датчика (в МГц).
    • Механический индекс (MI) и температурный индекс (TI) должны отображаться на экране монитора.
    • Ультразвуковая система должна отображать кривую скорости кровотока (КСК) по максимальной скорости потока, отображая полный спектр допплеровской волны.
    • Должна быть возможность четко очерчивать КСК с использованием системы автоматического или ручного очерчивания (трассировки) формы кривой.
    • Система должна иметь программное обеспечение, позволяющее оценивать пиковую систолическую скорость (PSV), конечную диастолическую скорость (EDV) и усредненную по времени максимальную скорость КСК и вычислять общепринятые допплерографические индексы, такие как пульсационный индекс (ПИ) и индекс резистентности (РИ) а также систолодиастолическое соотношение (С/Д). На трассировке КСК должны отображаться точки, отражающие значения, которые будут использоваться для проведения вычислений, чтобы обеспечить точность определяемых индексов.  
    Как можно оптимизировать точность Допплерографических измерений?

    Импульсноволновая допплерография

    • Запись должна осуществляться во время отсутствия дыхательных движений и двигательной активности плода, и при необходимости во время временной задержки дыхания матери.
    • Картирование цветового потока не является обязательным, однако это может быть полезно для идентификации интересующих кровеносных сосудов и определения направления кровотока.
    • Оптимальным условием инсонации является полное совпадение направления УЗ луча с направлением кровотока. Это обеспечивает идеальные условия для оценки абсолютных значений скоростей и спектров КСК. Допустимы небольшие отклонения угла инсонации. Угол инсонации в 10 градусов соответствует 2%ной ошибке измерения скорости, в свою очередь угол в 20 градусов соответствует 6%ой ошибке. Когда измерение абсолютной скорости является клинически важным параметром (например, в средней мозговой артерии, СМA) и полученный угол превышает 20 градусов, можно использовать корректировку угла, но это само по себе может явиться причиной ошибки.

      В том случае, если измеряемые показатели не улучшаются с повторными попытками оптимизации инсонации, в протокол исследования следует внести запись с указанием угла инсонации, а также информацию о том была ли использована корректировка угла или же скорости был зарегистрированы без его коррекции.

    • Рекомендуется начинать исследование, установив относительно большие значения контрольного объема (Doppler gate, sample volume) импульсноволнового допплера, чтобы обеспечить запись максимального спектра скоростей во время всего сердечного цикла. Если пульсация рядом лежащих сосудов создает помехи, накладываясь на изучаемую кривую, контрольный объем может быть уменьшен для повышения качества записи. Необходимо помнить, что контрольный объем может быть уменьшен только в высоту (в вертикальном направлении), но не в ширину.
    • Подобно режиму сканирования в серой шкале, глубина сканирования и разрешение допплеровского сигнала (луча) может быть оптимизирована путем регулировки частоты (МГц) датчика.
    • Частотный фильтр (wall filter), также называемый “отсечка малых скоростей” (“low velocity reject”), “фильтр движения стенки” (“wall motion filter”) или “фильтр высокого пропуска” (“high pass filter”), используется для устранения шума, вызванного движением стенок сосуда.

      Традиционно он должен быть установлен на как можно более низком значении (

      Допплерометрия в акушерстве — Все про гипертонию

      Многие годы безуспешно боретесь с ГИПЕРТОНИЕЙ?

      Глава Института: «Вы будете поражены, насколько просто можно вылечить гипертонию принимая каждый день…

      Читать далее »

      Пуповина является основной магистралью, обеспечивающей приток крови с жизненно необходимыми для плода веществами, микроэлементами и кислородом от матери и осуществляющей выведение отработанной крови. Она соединяет плаценту (детское место) с передней брюшной стенкой плода и состоит из трех сосудов, покрытых специальной защитной оболочкой (вартонов студень).

      Что такое единственная артерия пуповины плода?

      Аномалия строения пуповины, когда вместо двух артерий формируется одна, называется единственной артерией пуповины.

      НАШИ ЧИТАТЕЛИ РЕКОМЕНДУЮТ!

      Для лечения гипертонии наши читатели успешно используют ReCardio. Видя, такую популярность этого средства мы решили предложить его и вашему вниманию. Подробнее здесь…

      Отсутствие одной артерии в пуповине бывает изначальным (врожденная аплазия) или развивается в процессе беременности (атрофия артерии, которая возникает в результате полного прекращения ее функционирования).

      Единственная артерия пуповины плода считается достаточно распространенной патологией: 1 случай из 200 одноплодных – 0,5% и 1 из 20 многоплодных беременностей – 5%.

      Причины возникновения этой патологии

      В акушерстве эту аномалию пуповины определяют как синдром единственной пупочной артерии («single umbilical artery»). Вероятность его появления увеличивается при сахарном диабете, многоплодной беременности и других сложных заболеваниях у будущей мамы (патология почек, печени, сердца и сосудов).

      Причины развития синдрома единственной артерии пуповины – это состояния и факторы, которые отрицательно влияют на закладку сосудов и дифференцировку тканей на ранних этапах внутриутробного развития.

      Причины появления аномалий сосудов пуповины до конца не изучены, но наиболее частыми предрасполагающими и провоцирующими факторами являются:

      • хромосомные нарушения (аберрации);
      • тяжелые соматические и инфекционные заболевания будущей матери в первом триместре беременности;
      • интоксикации;
      • сахарный диабет;
      • вредные привычки (курение, злоупотребление алкоголем, прием наркотических и других сильнодействующих препаратов);
      • воздействие радиации, неблагоприятная экологическая обстановка, профессиональные вредности на производстве;
      • многоплодная беременность.

      Атрофия функционирующей артерии пуповины может возникать при тромбозах, сдавлении ее опухолью (тератома, гемангиома) или гематомой, при появлении узлов одной артерии. Эти состояния возникают крайне редко под влиянием нескольких патологических факторов и требуют постоянного динамического контроля состояния плода и будущей матери.

      Симптомы и диагностика единственной артерии пуповины

      Клинические признаки наличия этой аномалии в большинстве случаев отсутствуют, а диагностика осуществляется инструментальными методами обследования:

      • скрининговые (плановые) или срочные УЗИ;
      • доплерометрия – определение основных показателей кровотока в пуповине.

      Определить наличие данной патологии можно на 20-21 неделе беременности путем ультразвукового обследования пуповины в поперечном сечении. Диагностика проводится при полном мочевом пузыре.

      При обнаружении патологии назначается дополнительное обследование – доплерометрия для уточнения отсутствия ослабления кровотока.

      После выявления сосудистой аномалия пуповины у плода необходим постоянный контроль течения беременности до момента родов. Проводятся повторные регулярные допплерометрические обследования, чтобы своевременно диагностировать изменение кровотока в артерии пуповины и избежать осложнений состояния плода.

      Последствия и осложнения при выявлении этой аномалии

      В 70% случаев это состояние не оказывает отрицательного влияния на внутриутробное и послеродовое состояние ребенка – единая артерия полностью справляется с повышенной нагрузкой. Диагностирование этого порока в большинстве случаев не является поводом для беспокойства.

      И все же в 25-30% случаев эта аномалия развития пуповины может сочетаться с другими пороками развития и генетическими нарушениями:

      • Хромосомные болезни.
      • Врожденные пороки развития: сердца и сосудов; мочевыделительной системы; органов брюшной и грудной полости.

      Поэтому при диагностировании единственной артерии пуповины необходимо провести комплексное обследование плода для исключения наличия других аномалий.

      При этом важно помнить, что изолированный синдром единственной артерии пуповины не является показанием к прерыванию беременности и не считается маркером синдрома Дауна и других хромосомных заболеваний.

      Но сочетание этой патологии с другими пороками развития имеет высокий риск для жизни и дальнейшего развития ребенка.

      Последствия сочетанных пороков развития:

      • внутриутробная гибель плода (замершая беременность);
      • задержка внутриутробного развития (ЗВУП);
      • хроническая внутриутробная гипоксия плода;
      • внутриутробная гипотрофия.

      Ведение беременности при наличии единственной артерии пуповины

      Наиболее важными моментами при наличии синдрома единственной пупочной артерии считаются:

      • Постоянный динамический контроль течения беременности акушером – гинекологом.
      • Полное обследование беременной и плода при первичном обнаружении патологии.
      • Необходимые дополнительные инструментальные исследования: дополнительное УЗИ на 28 неделе и плановое обследование на 32-34 неделе беременности; доплерометрия.
      • При любых патологических изменениях состояния будущей мамы, нарушениях кровотока в сосудах пуповины или определении признаков задержки внутриутробного развития плода рекомендуется нахождение беременной в стационаре под круглосуточным наблюдением специалистов.

      Правильная тактика поведения беременной при данной патологии

      Многие беременные женщины после диагностирования данной аномалии находятся в растерянности. Они не знают, что делать и как эта патология может повлиять на внутриутробное развитие и здоровье малыша в будущем.

      Поэтому очень важно:

      • соблюдать определенный режим дня;
      • полностью исключить любые психоэмоциональные перенапряжения;
      • освободиться от выполнения тяжелой работы, подъема тяжестей;
      • гулять на свежем воздухе;
      • не допускать развития запоров.

      В большинстве случаев одна артерия пуповины редко влияет на здоровье ребенка в будущем, а рождение малыша с отклонениями развития при диагностировании данной аномалии развивается крайне редко. При выполнении всех рекомендаций специалистов и постоянном контроле за состоянием плода для дальнейшей жизни ребенка количество артерий пуповины не имеет никакого значения.

      На каком сроке беременности проводится допплерометрия плода и какие нормы исследования

      Доплер УЗИ при беременности применяется как планово, так и при определенных обстоятельствах. Эффект Доплера получил широкое распространение в акушерско-гинекологической практике благодаря исследовательскому методу – доплерометрии. Благодаря его появлению в медицинском мире появилась возможность быстрой и точной диагностики патологий беременности. Также с помощью доплерометрии плода возможным стало прогнозировать возникновение такого грозного осложнения беременности, как острая гипоксия.

      Суть доплеровского обследования и отличия от обычного УЗИ

      Принцип работы датчика УЗИ, оснащенного возможностью использовать доплер, основан на изменениях длины и частоты волны ультразвука в процессе исследования кровообращения малыша, пупочного канатика и детского места. Что же такое доплер эффект? Это процесс, происходящий, когда волны ультразвука отражаются от постоянно перемещающихся клеток крови (эритроцитов).

      На экране при этом отображается график движения крови и вычисляемые аппаратом параметры (скорость тока крови, индексы соотношения скоростей в разные фазы). Все современные модели УЗ аппаратов оснащены датчиком для доплерографии.

      В отличие от обычного обследования ультразвуком, доплер имеет следующие преимущества:

      • определение качества снабжения организма малыша кровью;
      • при доплере возможно определять состояние сердечной мышцы и её клапанов;
      • появляется возможность узнать проходимость и диаметр артерий и вены пупочного канатика;
      • возможно диагностирование гипоксии и фетоплацентарной недостаточности.

      Таким образом, при помощи доплер УЗИ открывается возможность смотреть не только сердцебиение, но и скорость тока крови в матке, пупочном канатике и у малыша.

      Виды доплер при беременности

      Существует две разновидности использования доплер УЗИ: дуплексное и триплексное:

      1. Дуплексное сканирование представляет собой изучение в онлайн-режиме анатомического строения сосуда, его проходимость и возможные причины нарушений в токе крови.
      2. При триплексном сканировании к данному видению присоединяется цветная картинка, на которой изображено движение клеток крови. Данная разновидность доплера, по отзывам врачей, является более точной для диагностики разного вида нарушений.

      Для доплерометрии в международном акушерстве принято использовать фильтр частотой 100-150 Гц. При применении более высоких частот возможна ложноположительная диагностика критических состояний ребенка.

      Когда и в каких случаях проводится доплерография

      Визуализация кровотока при помощи доплера возможна уже через месяц после того, как женщине удалось забеременеть. Однако на раннем сроке этот вид обследования недостаточно информативный.

      Плановая доплерография при беременности осуществляется во втором и третьем триместре:

      1. В первый раз доплер проводится на втором скрининговом УЗИ в 20-24 недели. На этом этапе возможно выявление недостаточности тока крови в пупочном канатике и признаки гипоксии.
      2. Во второй раз данный анализ проводится во время третьего скрининга. Где оценивается функциональное состояние детского организма и исключается задержка в его развитии.

      Некоторым женщинам доплер УЗИ проводится вне этих скринингов при выявлении отклонений в течение беременности, например:

      • многоплодная беременность;
      • задержка внутриутробного развития малыша;
      • преждевременное старение детского места или изменение в структуре данного органа;
      • маловодие;
      • угроза преждевременных родов или позднего выкидыша;
      • конфликт по системе резус;
      • врожденные пороки развития;
      • признаки наличия внутриутробного инфицирования.

      Также возможна внеплановая доплерография у беременной женщины при наличии показаний со стороны её здоровья:

      • анемия III степени;
      • гипертоническая болезнь;
      • мочеполовые инфекции;
      • сахарный диабет;
      • миоматозные узлы больших размеров;
      • дыхательная либо сердечная недостаточность.

      Подготовка и процесс проведения доплерометрии при беременности

      Перед процедурой доплерографии от женщины не требуется никаких особых подготовительных условий:

      • нет необходимости в корректировке питания;
      • не требуется отмена каких-либо назначенных врачом препаратов;
      • обследование может проводиться как при полном мочевом пузыре, так и при не наполненном.

      Допплерометрия плода проводится сразу после обычного УЗИ или КТГ (кардиотокография). Врач УЗД сначала оценивает общее состояние маточной полости и ребенка, при необходимости делает фото найденных изменений.

      Затем проводится определение местонахождения желаемых структур путем наведения на него датчика, и после этого включается доплерометрия. При этом на экране монитора можно разглядеть картину, показывающую состояние тока крови в анатомическом образовании.

      Одновременно с этим программа на аппарате УЗИ автоматически подсчитывает скорость тока крови и число сердечных сокращений за одну минуту.

      Расшифровка результатов УЗИ-допплерографии

      Для упрощения оценки силы и скорости тока крови в исследуемых объектах были приняты несколько индексов:

      1. Пульсационный индекс (ПИ).
      2. Индекс резистентности (ИР).
      3. Систоло-диастолическое отношение (СДО).

      Эти индексы рассчитываются программой в нескольких кардиоциклах. Далее вычисляются средние значения систолы и диастолы (сокращение и расслабление сердечной мышцы).

      Выходные данные обязательно оцениваются врачом, который сопоставляет их с увиденными изменениями на обычном УЗИ. Все показатели доплерометрии сравниваются с должными значениями для данного промежутка беременности, и обосновывается вывод о состоянии здоровья малыша.

      Все итоги УЗИ с применением доплера должны быть оценены врачом акушером-гинекологом для составления заключения о дальнейшем ведении пациентки и принятии соответствующей акушерской тактики.

      Классификация нарушений тока крови по Медведеву

      Есть несколько классификаций при нарушениях тока крови при беременности.

      В нашей стране наиболее широкое распространение и использование сохраняет классификация М.В. Медведева:

      НАШИ ЧИТАТЕЛИ РЕКОМЕНДУЮТ!

      • I степень разделяется на: IA – сохраняется плацентарный ток крови, нарушения только в системе мать-плацента. IB – сохраняется маточно-плацентарный ток крови, нарушения в плацентарной системе;
      • II степень характеризуется одновременным нарушением кровообращения в двух системах с сохранением конечного диастолического тока крови (некритичные значения);
      • III степень ставится при критических нарушениях в маточно-плацентарном и плодово-плацентарном кровообращении, при этом диагностируется нулевой или отрицательный диастолический ток крови.

      Появление нулевого диастолического тока крови свидетельствует об отсутствии движения крови в пупочном канатике в фазу диастолы.

      Оценка параметров доплерографии для определения гипоксии

      Для диагностики наличия или отсутствия гипоксии недостаточно измерения скорости крови только в плацентарной системе. Врач УЗИ также подробно изучает состояние кровообращения головы и спинного мозга малыша, его внутрисердечный кровообмен и скорость движения крови по пупочной вене.

      В зависимости от выявленных отклонений выделяют следующие степени нарушения кровообращения и, соответственно, степени возникшей гипоксии:

      • 1 степень – сохраняется ток крови в сердце, нарушения выявляются только в спинномозговом кровообращении (компенсированное расстройство);
      • 2 степень – отклонения от нормы в кровяном течении грудной аорты (субкомпенсированное расстройство);
      • 3 степень – изменение тока крови в венозном протоке (субкомпенсированное расстройство);
      • 4 степень – признаки сердечной недостаточности, проявляющиеся нарушением кровообращения во всех вышеперечисленных структурах (декомпенсированное расстройство).

      Доплерэхокардиография

      Наряду с обследованием сосудистых пучков при доплер УЗИ в данный момент широко используется доплерэхокардиография. Метод заключается в изучении сердечного кровообращения малыша, находящегося в утробе матери.

      Эхокардиография с доплером используется в следующих случаях:

      • при отсутствии типичного изображения сердечной сумки при обычном УЗИ;
      • при выявленных расширениях предсердий и желудочков;
      • для уточнения диагностированных ранее пороков развития сердечной ткани;
      • при задержке внутриутробного развития для уточнения прогноза дальнейшего развития беременности;
      • при выявленных нарушениях ритма у малыша.

      Также доплерэхокардиография проводится у женщин с аномалиями пуповины и при неправильном прикреплении детского места (приращение или вращение).

      Опасен ли доплер при беременности

      На многих форумах сейчас можно найти темы про вред УЗИ и доплерографии при беременности. Они не лишены смысла, так как до сих пор неизвестно достоверно, как УЗ волны влияют на малыша.

      Современные аппараты УЗИ имеют собственные характеристики, которыми должны руководствоваться специалисты ультразвуковой диагностики при работе.

      Каждый УЗИ датчик, независимо от стоимости, имеет в сопровождающей документации предельно-допустимые индексы:

      • термальный;
      • механический.

      Нельзя преуменьшать возможности диагностики при помощи доплер УЗИ и полностью отказываться от него, так как потенциальные риски все же меньше, чем получаемая информация о течении беременности в целом и о состоянии будущего малыша.

      Обследование в акушерстве (УЗИ, допплерометрия, КТГ, амниоскопия).

      Обследование в акушерстве (УЗИ, допплерометрия, КТГ, амниоскопия). Грекова В. А.

      Ультразвуковой скрининг • 10 -14 нед. • 20 -24 нед. • 30 -34 нед. Датчики: Трансабдоминальный Трансвагинальный

      1 триместр (10 -14 нед. ) • Установление маточной беременности • Исключение внематочной беременности • Диагностика многоплодной беременности, типа плацентации • Оценка роста плодного яйца • Оценка жизнедеятельности эмбриона • Исследование анатомии , выявление эхомаркеров хромосомной патологии • Изучение экстраабдоминальных структур • Диагностика осложнений беременности • Диагностика патологии гениталий

      Фетометрия — копчико-теменной размер (КТР) — бипариетальный размер (БПР) — измерение длины бедра (ДБ) — окружность живота (ОЖ) — диаметр грудной клетки (ДГК)

      Врожденные пороки развития Мегацистис

      Синдром Дауна

      2 триместр (20 -24 нед. ) • Оценка роста плода • Диагностика пороков развития • Исследование маркеров хромосомной патологии • Диагностика ранних форм ЗРП • Оценка локализации, толщины и структуры плаценты • Определение количества ОВ • Цервикометрия

      3 триместр (30 -34 нед. ) • Диагностика пороков развития с поздней манифестацией • Определение ЗРП • Оценка функционального состояния плода • Предполагаемая масса плода • Определение количества ОВ

      Допплерометрия

      Для оценки состояния кровотока используют: А – максимальная систолическая скорость (сокр. миокарда) В – конечная диастолическая скорость (резистентность сосудов плаценты) М – средняя скорость кровотока за сердечный цикл • СДО (Систоло-диастолическое отношение) А/В • ИР (Индекс резистентности) (А-В)/А • ПИ (Пульсационный индекс) (А-В)/М

      Допплерометрия Исследование: • Маточно-плацентарный кровоток (маточные, спиральные, пуповинные артерии) • Плодовая гемодинамика в аорте и церебральных сосудах Показания: • Экстрагенитальные заболевания • Осложнения беременности

      Характерные признаки нарушения кровотока в маточных артериях: • Снижение диастолического компонента (появление дикротической выемки в фазу ранней диастолы) • Повышение СДО, ПИ, ИР Характерные признаки нарушения кровотока в артерии пуповины: • Снижение КДО • Появление ретроградного компонента

      Нарушения кровотока • В аорте плода: снижение диастолического компонента, «нулевой» или ретроградный кровоток • Средняя мозговая артерия: увеличение диастолического компонента (гиперперфузия, централизация кровообращения при гипоксии)

      Оценка венозной циркуляции • Вена пуповины (в норме нет пульсации) • Венозный проток (в норме есть пульсация) • Патологии: -пульсация в вене пуповины -в венозном протоке «хвостики»

      Ретроградный ток в венозном протоке (высокий риск синдрома Дауна)

      Классификация нарушений маточно-плацентарного и плодово-плацентарного кровотока 1 степень • А – нарушение маточно-плацентарного кровотока (маточные артерии) при сохранении плодово-плацентарного кровотока (артерия пуповины) • Б – нарушение плодово-плацентарного кровотока при сохраненном маточно-плацентарном 2 степень – нарушение маточно-плацентарного и плодово-плацентарного кровотока, не достигающее критических значений (сохранен диастолический кровоток) 3 степень – критическое нарушение плодово-плацентарного кровотока ( «нулевой» или ретроградный диастолический кровоток при сохраненном или нарушенном маточно-плацентарном)

      Цветовое допплеровское картирование • Ретроплацентарное кровотечение • Сосудистые изменения в плаценте (ангиома) и их анастомозы (близнецы) • Обвитие пуповины • Пороки развития сердца и сосудов

      Кардиотокография Цель: своевременная диагностика нарушений функционального состояния плода Проводится с 32 нед. • Непрямая (наружняя) • Прямая (внутренняя) – только во время родов, после излития ОВ при открытии шейки не менее 2 см

      Кардиотокография при беременности Средняя (базальная) ЧСС N (110 -120 — 150 -160)

      Амплитуда осцилляций -ширина полосы записи N=

      Моторно-кардиальный рефлекс -реакция сердечной деятельности плода на его спонтанные шевеления N: увеличение на 15 -30 относительно базальной ЧСС Количество шевелений плода N: за 30 мин не менее 6 эпизодов шевеления

      Признаки нарушения состояния плода • Уменьшение амплитуды осцилляций (5 и меньше) В фазу адаптации амплитуда увеличивается (25 -30), затем декомпенсация • Моторно-кардиальный рефлекс -уменьшение амплитуды на схватки -нет реакции -урежение ЧСС

      Признаки нарушения состояния плода • Тахикардия→Брадикардия • Отсутствие шевелений плода

      Кардиотокография во время родов Акцелерации – повышение ЧСС на 10 -15 в мин. по сравнению с базальной в ответ на: • Шевеление плода • Схватку • Функциональные пробы Свидетельствуют об удовлетворительном состоянии плода

      Децелерации — эпизоды замедления ЧСС на 30 ударов и более продолжительностью не менее 30 с Ранние децелерации (тип 1) -начинаются одновременно со схваткой или с запаздыванием до 30 с. Рефлекторная реакция плода на кратковременную ишемию головного мозга вследствие сдавления головки во время схватки

      Поздние децелерации (тип 2) -возникают через 30 с и более после начала сокращения матки. Признак нарушения маточно-плацентарного кровотока

      Вариабельные децелерации (тип 3) -различные по времени возникновения по отношению к началу схватки и имеют различную форму.

      Базальный ритм Амплитуда осциляций Акцелерации Децелерации Норма 120 -160 в мин. 10 -25 в мин. 2 и более за 10 мин. — Сомнительная КТГ 100 -120 Или 160 -180 Менее 10 Или Более 25 в мин. — Спонтанные неглубокие и короткие Патологическая КТГ Менее 100 Или Более 180 Менее 5 в мин. — Вариабельные, поздние Синусоидальный ритм

      — визуальный метод исследования ОВ путем осмотра нижнего полюса плодного пузыря с помощью амниоскопа. Показания: • Хроническая гипоксия плода • Перенашивание беременности Противопоказания: • Кольпит • Цервицит • Предлежание плаценты • Тазовое предлежание плода Амниоскопия

      Амниоскопия • Подготовка: обработка наружных половых органов, опорожнение мочевого пузыря • Условия поведения: зрелая или сглаженная шейка матки, целый плодный пузырь • Проводится без анестезии

      Методика • Определение проходимости цервикального канала • В шеечный канал за внутренний зев вводят тубус с мандреном • Слизистую пробку удаляют тупфером • После извлечения мандрена в тубус направляют свет

      Спасибо за внимание!


      Смотрите также

    Комментарии 0