Допплеровское исследование это

Допплеровское исследование это[Допплеровское исследование это]

Что такое доплер в медицине? Что показывает допплеровское исследование — Здоровье и все для него

Что такое доплер? Разберемся в этом вопросе более подробно.

В физике есть такое понятие как эффект доплера, на нем и основано ультразвуковое допплеровское исследование. Благодаря этому способу можно изучить кровоток во всех кровеносных сосудах нашего организма. Доплер показывает скорость, направление движения крови в сосудах, расстояние между ними, определяет давление в сосудах. Ультразвук является рабочим инструментом при доплер-исследовании.

Допплерография и эффект Доплера

Закон этот открыл австрийский физик Кристиан Доплер. Анализ отраженных при исследовании волн ультразвука дает характеристику кровотока в кровеносной системе. Кровоток, проходящий по главным сосудам конечностей и шеи, можно оценивать с помощью ультразвука. Если в шейных артериях есть нарушение, допплеровский метод выявляет причины защемления и возможность заблаговременно начать бороться с возможным инсультом в будущем. С помощью этого исследования отлично можно увидеть сгустки крови в венах, так называемые тромбы, которые могут оторваться и заблокировать кровоток в сердце или легких. Как делают доплер, интересно многим.

Исследование незаменимо при установлении диагноза гипоксии плода во время беременности, оценивает кровоснабжение ребенка.

Во время исследования датчики ультразвукового прибора касаются кожи выше исследуемых сосудов. Он отправляет ультразвуковые волны и их же и получает, только в отраженном от сосудов виде, действие и глубина волны усиливается посредством микрофона. От разных объектов ультразвуковые волны отражаются по-разному, например, отражение от клеток крови имеет совершенно иной вид, чем отражение от органов. Эритроциты в крови изменяют отраженный сигнал по эффекту Доплера. В медицине его начали использовать не так давно.

При отсутствии кровотока, изменений в сигнале на экран не поступает. Компьютер обрабатывает волны от отраженного ультразвука, который показывает на экране изображение в виде кровотоков сосудов. При необходимости информация сохраняется для следующего УЗИ анализа, после него обязательно делается доплер-расшифровка показаний.

Что такое доплер, расскажем подробнее.

Как делать допплерографию?

Она имеет всего четыре основных исследования.

1. Портативное или продолженное допплеровское исследование, при нем данные о кровотоке получают посредством воздействия на передачу волн. Через патологическую область, врач слушает выдаваемые преобразователем звуки от волн для оценки всего кровотока. Исследование проводится у постели больного с помощью портативного аппарата, что и позволяет скорейшим образом определить заболевание, степень поражения сосудов.

2. Двойное допплеровское УЗИ, при нем чтобы увидеть изображение кровеносного сосуда, а также близлежащих органов, используются приемы стандартного ультразвукового тестирования. Кроме того, все звуки могут превращаться компьютером в показания допплерографии, с помощью которых можно говорить о скорости и характере и кровотока.

3. Цветное допплеровское сканирование проводят следующим образом: изображение при проведении стандартного УЗИ имеет цвет, на нем видны кровеносные сосуды и артерии. На эту картинку при помощи компьютера накладывают звуки, полученные при допплеровском исследовании, это дает возможность измерить скорость кровотока.

4. Технология «включенного ультразвука». Этот метод в 5 раз более чувствительный по обнаружению кровотока в сравнении с цветным доплером. Метод часто применяется в работе с плотными органами и сосудами, во время этого метода получают изображения, недоступные другим исследованиям.

Комбинации методов анализа кровотока в отдельных сосудах и артериях, например, двойного или цветного доплера, дает гораздо более информативные результаты по сравнению с раздельным применением каждого метода.

Показания, полученные при доплеровском исследовании

При ультразвуковой диагностике доплер позволяет определить следующие состояния:

1. Защемленные сосуды или артерии и сгустки крови в разных областях тела, в основном, в кровеносных сосудах конечностей и шее. К нарушению зрения могут привести суженные сосуды или заблокированные артерии шеи, также к головокружению, угнетенному состоянию, нарушению общей чувствительности тканей, параличу конечностей и органов, остальными симптомами инсульта.

2. Отечность щиколоток, боли в ногах, легочную эмболию провоцирует наличие сгустков крови в глубоких венах ног.

3. При помощи метода ультразвуковой допплерографии можно выяснить, вызвана ли боль в ноге следствием атеросклероза ног или же это перемежающаяся хромота.

4. Событие, вызвавшее проблемы с кровотоком (инсульт, например).

5. Метод незаменим для оценки состояния пациента с варикозным расширением вен.

6. Во время применения метода изучают анатомию вен, знания о которой могут быть полезны при операции на шунтирование или пересадке тканей.

7. Оценка степени нормализации кровотока в пересаженных органах или после операций на сосудах. Еще что показывает доплер сосудов?

8. Оценка артерий, их положения и наличия.

9. Предупреждение инсульта, своевременное обнаружение проблем, связанных с кровоснабжением мозга.

10. Контролирование состояния плода: кровотоки в пуповине, сердце и мозгу. Метод допплерографии позволяет определить, достаточное ли питание кислородом получает плод. Такое исследование во время беременности, даже в I триместр, позволяет своевременно зафиксировать задержки во внутриутробном развитии плода.

11. Исследование кровотока через пупочную вену.

12. Величина кровотока позволяет контролировать развитие зародыша.

13. Диагностика на ранней стадии некоторые заболеваний матери, например, серповидноклеточной анемии.

Допплеровское транскраниальное исследование может применяться к детям с серповидно-клеточной анемией для предотвращения возникновения инсульта, а у взрослых такое исследование выявляет спазмы мозгового кровотока.

Перед процедурой доплер-ультразвуковой диагностики испытуемому за несколько часов до назначенного времени исследования нужно отказаться от содержащих никотин продуктов, т. к. он вызывает спазмы сосудов и может в значительной мере искажать результаты. Во время самого исследования необходимо снять все украшения, не позволяющие сделать корректный анализ и всю одежду с обследуемой области. Что такое доплер, теперь известно.

Процедура проведения допплеровского обследования

Исследование проводится ультразвуковым технологом или врачом-специалистом под контролем радиолога непосредственно в кабинете врача или УЗИ.

Во время обследования брюшной полости или грудной клетки больного укладывают на спину, при изучении шеи и головы пациент принимает процедуру сидя, наклоняя голову в стороны. Голову, руки, ноги немного приподнимают при исследовании конечностей. Иногда пациенту для получения лучших результатов необходимо лечь на живот. Беременным женщинам нужно лечь на левый бок или на спину.

Перед началом обследования наносится гель на кожу, в таком случае будут хорошо проводиться звуковые волны. Датчик помещается в этот гель. Во время применения доплера, можно слышать звуки кровотока в сосудах и артериях. Обычно исследование занимает по времени от 30 минут до часа.

Крупные сосуды и сердце при допплеровском исследовании

Допплерография сосудов сердца, показателей их работы также возможна. Обычно сочетают допплеровское обследование и эхокардиографию, только так можно рассчитать скорость и проследить направление кровотока в сердце. Исследование в таком виде показано детям с подозрением на врожденные сердечные заболевания, например, порок сердца.

Что позволяет выявить?

Допплеровское УЗИ позволяет обнаружить:

1. Дефекты в строении сердца уже во внутриутробный период развития, врожденные пороки увеличивающегося сердца. При применении допплеровской методики, если есть изменения, в сердце можно обнаружить нестандартные сообщения между сосудами, артериями и камерами сердца: открытое овальное окно между предсердиями, открытый артериальный клапан между аортой и легочной артерией, отсутствие или изменение межжелудочковой перегородки и т. д.

2. Все известные пороки митрального клапана, возникающие на фоне ревматизма. При допплеровском исследовании выявляют нарушения кровотока, сопровождающиеся повышением в камерах сердца давления.

Многие болезни крупных сосудов, аорты и сердца, параметры функционирования последнего также можно обнаружить при помощи допплеровского исследования.

Сейчас популярно УЗИ плода с доплером.

Допплеровское обследование сосудов при беременности

При допплеровском УЗИ при беременности врач оценивает степень кровоснабжения плода, проходимость сосудов и пупочной вены пуповины, проверяет частоту ударов сердца. Это исследование показано беременным с артериальной гипертензией, а также при снижении активности плода.

Оценка результатов допплерографии

Результаты допплерографии могут быть следующими:

  • положение, размеры, просвет между сосудами нормальные, препятствия кровотоку отсутствуют;
  • в венах тромбы не обнаружены;
  • снабжение плода полноценным питанием и кислородом, нормальный кровоток как у беременной женщины, так и у плода.

diet4health.ru

Доплер сосудов для начинающих (лекция на Диагностере) — Диагностер

Австрийский физик Кристиан Допплер заметил, что при отражении от движущихся объектов частота ультразвука меняется. Если объект движется К излучателю, отраженная частота выше — положительный доплеровский сдвиг. Если объект движется ОТ излучателя, отраженная частота ниже — отрицательный доплеровский сдвиг.

Нажимайте на картинки, чтобы увеличить.

Источник и приемник УЗ-сигнала находятся в датчике. Прибор регистрирует допплеровский сдвиг: ΔF=(Fд-Fо), где Fд — частота датчик, Fо — отраженная частота. Для оценки скорости кровотока используют уравнение Допплера. Когда вектор скорости направлен под ∠α к датчику, то ΔF определяется проекцией скорости кровотока (V) на УЗ-луч, т. е. величиной V·cosα: ΔF=2Fд·V·cosα/C ⇒ V=ΔF·C/2Fд·cosα, где С — скорость распространения звука в мягких тканях равная 1540 м/сек.

Когда УЗ-луч и сосуд перпендикулярны, скорость кровотока оценить невозможно: ∠α=90°, cos90°=0, ΔF=0. При малых отклонениях от 90° величина проекции скорости на УЗ-луч (V·cosα) мала ⇒ ΔF небольшой ⇒ неточная скорость. От 0° до 60° cosα уменьшается с 1 до 0,5,  от 60° до 90° — с 0,5 до 0, т.е. при приближении к 90° ошибка возрастает экспоненциально. Для точной скорости всегда направляйте УЗ-луч вдоль потока, однако ультразвук может полностью отражаться от стенки при ∠α 70 мс, ускорение (PSV/TTP)

diagnoster.ru

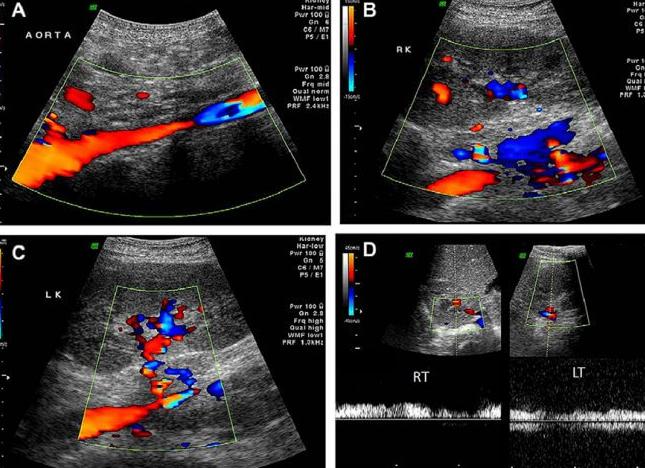
Исследование сосудов с цветным допплеровским картированием

Допплерография – это способ изучения кровотока в крупных и средних сосудах человека, основанный на применении эффекта Допплера.Данное обследование применяется при беременности — для оценки работы плаценты и артерий матки.

Оглавление:

У небеременных пациентов метод используется для уточнения характера и степени нарушения кровообращения в любых не очень мелких сосудах.

По ощущениям для пациента и характеру подготовки УЗ допплерография не отличается от обычного ультразвукового исследования.

Что представляет метод допплерография

Для получения информации о скорости и характере кровотока, давлении, направлении движения крови в сосуде и степени его проходимости используется такой же ультразвук, как при проведении «обычного» УЗИ.

Только испускает его и принимает обратно особый датчик, работающий на основе допплеровского эффекта.

Данное физическое явление заключается в том, что частота отраженного от движущихся объектов (клеток крови) ультразвука сильно изменяется по сравнению с частотой испускаемого датчиком ультразвука.

Прибор регистрирует не саму частоту колебаний, а разницу между начальной и отраженной частотой.

Причем обработка сигналов не только позволяет вычислить эту скорость, но и увидеть направление кровотока (от датчика или к нему), оценить анатомию и проходимость сосуда.

Для сосудов разной локализации используются датчики с разной частотой излучаемого звука.

Ультразвуковая допплерография (УЗДГ) – синонимы названия данного исследования (то есть «Мне сделали допплер» или «Я прошел УЗДГ» — равнозначные утверждения).

Метод безопасен и безболезнен для человека, может проводиться сколь угодно часто, но только по показаниям, устанавливаемым специалистом.

Любопытный факт: в природе данный эффект для определения скорости движущегося объекта используют летучие мыши и дельфины.

Показания к исследованию следующие

В этом случае лечащему врачу необходимо сориентироваться, какой именно сосуд пострадал, насколько он поражен (это определяет терапию), как это будет влиять на здоровье, какие могут возникнуть осложнения.

Так, например, допплер плода проводится в таких случаях:

  • мать страдает сахарным диабетом, гипертонией, анемией или системными заболеваниями
  • размеры ребенка не соответствуют его гестационному возрасту
  • мать имеет отрицательный резус, ребенок – положительный
  • развивается несколько плодов
  • косое или поперечное положение ребенка в матке
  • обвитие шеи младенца пуповиной
  • мало- или многоводие
  • гестоз
  • хромосомные болезни плода.

Такая УЗДГ при беременности (то есть ультразвуковая допплерография) позволяет с 23 недели узнать, страдает ли малыш от недостатка кислорода.

Если этот факт подтверждается, выясняют, где находится патология (в сосудах матки или плаценты), насколько выражена гипоксия плода.

Исходя из этого, выбирается тактика ведения беременности – от более частых прогулок на свежем воздухе до госпитализации и досрочного родоразрешения.

УЗДГ сосудов нижних конечностей назначается, если имеются такие жалобы:

  • видны измененные вены на ногах
  • ноги (ступни и голени) отекают к вечеру
  • изменился цвет одной или двух ног
  • больно ходить, после стояния становится легче
  • ощущения «мурашек»
  • ноги быстро замерзают
  • плохо заживают раны на ногах.

Допплерография – это метод исследования не только вышеуказанных сосудов, но и сосудов грудного и брюшного отделов аорты и их ветвей, головы, шеи, артерий и вен верхней конечности.

Исследование может выполняться как планово у «скомпрометированной» категории пациентов (диабетиков, гипертоников, курильщиков), так и при возникновении жалоб.

Что такое ЦДК

Цветовое допплеровское картирование (ЦДК) – это один из подвидов УЗИ, основанного на эффекте Допплера. Оно также «работает» с оценкой кровотока в сосудах.

В основе данного исследования – совмещение обычного черно-белого УЗИ и допплеровской оценки кровотока.

В режиме ЦДК врач видит на мониторе черно-белое изображение, в определенной (исследуемой) части которого отображаются в цвете данные скорости движения структур.

Так, оттенки красного цвета будут кодировать скорость течения крови, направленного к датчику (чем светлее, тем меньше скорость), оттенки голубого цвета – скорость кровотока, направленного от датчика. Рядом выводится шкала, на которой обозначено, какой именно скорости соответствует тот или иной оттенок. То есть, синим цветом обозначены не вены, а красным – не артерии.

Цветовое допплеровское картирование визуализирует и анализирует:

  • степень утолщения сосудистой стенки
  • пристеночные тромбы или атеросклеротические бляшки (может их отличить)
  • патологическую извитость сосуда
  • аневризму сосуда.

Это исследование помогает не только обнаружить конкретно сосудистую патологию. На основании полученных в результате данных можно отличить доброкачественный процесс от злокачественного, выяснить склонность опухоли к росту, отличить некоторые образования.

Исследование позволяет отличить также некоторые объемные образования. Так, с помощью картирования можно отличить камень, припаянный к стенке желчного пузыря, от его полипа (в последнем будет определен кровоток, тогда как в камне его нет).

УЗИ допплерометрия отличается от ЦДК тем, что здесь нет цветового обозначения скоростей кровотока. Это исследование – та же допплерография, только оценивается кровоток на мониторе, запись не фиксируется графически.

Подготовка к допплеровскому исследованию

Зависит от того, какие сосуды требуется оценить. Так, для исследования сосудов и верхних, и нижних конечностей, головы или органов мошонки готовиться к процедуре не нужно.

Допплерография во время беременности проводится также без предварительной подготовки. Желательно только проходить исследование через пару часов после еды, так как недавнее поступление питательных веществ к малышу несколько изменяет картину реального кровотока.

Только допплерография брюшной аорты проводится после предварительной подготовки. Для получения правильных результатов ее исследования нужно в течение двух дней до процедуры исключить из питания такие продукты:

За три часа до исследования нужно выпить 3-4 капсулы «Эспумизана», пакетик «Смекты» или несколько таблеток активированного угля. УЗДГ аорты и ее ветвей проводится натощак.

Как проводится исследование

  • Дуплексное сканирование сосудов головы и шеи проводится в лежачем или сидячем положении.
  • Голова пациента поворачивается так, чтобы хорошо открыть область исследуемых сосудов.
  • На шею наносят гель, по которому двигается датчик.
  • Допплер других участков тоже делается через кожу, на которую наносят специальный гель. В полости (интравагинально, трансректально) допплерографический датчик не вводится.

Какие показатели важны для оценки кровотока

Расшифровка допплерографии проводится по ряду показателей, которые оцениваются в артериальных и венозных сосудах, а затем сравниваются с нормативными именно для этого сосуда.

Кроме этого, врач знает, как должен проходить данный сосуд в норме, где у него есть изгибы, где он впадает в более крупный сосуд. Расположение и извитость артерий у конкретного человека сравнивается с нормальными показателями.

Оцениваются такие параметры артериального кровотока:

  1. Скорость кровотока. Для каждого сосуда есть свои нормы скорости.
  2. Отношение систоло-диастолическое. Это соотношение максимальной и минимальной скорости кровотока. Первая бывает в сосуде во время систолы – вторая – в диастолу.
  3. Пульсационный индекс (PI) – отношение разности максимальной и минимальной скоростей к средней скорости в сосуде.
  4. Индекс сопротивления (RI) получается, если разницу между систолической и диастолической скоростями разделить на систолическую скорость.
  5. Толщина сосудистой стенки (этот параметр обозначается как толщина комплекса интима-медиа). Почти во всех сосудах норма этого показателя – 0,9-1,1 мм.
  6. Диаметр сосуда. Сравнивается с нормативными показателями.

Цена допплерографии зависит от того, какие сосуды нужно осмотреть. Так, цена УЗДГ органов мошонки составляет рублей, допплер сосудов нижних или верхних конечностей – рублей. Сканирование сосудов головы стоит – рублей. УЗДГ глазных сосудов –рублей. Допплерография плода – рублей.

Таким образом, допплерография – это информативный метод диагностики патологии огромного количества сосудов человека. Проводится данное исследование как обычное УЗИ, является безопасным и безболезненным. Именно этой диагностике зачастую нет альтернативы.

Самое популярное

• Подготовка к УЗИ брюшной полости, что входит

• УЗИ скрининг 1 триместра — часто задаваемые вопросы

• 2 скрининг при беременности

• Подготовка к УЗИ почек, подготовка к исследованию

• Как делают УЗИ кишечника

• Стоит ли бояться перед УЗИ почек

• Что такое трансвагинальное УЗИ

• Что это такое желтое тело в яичнике

• Что вы не знаете о фолликулометрии

• Расшифровка КТГ плода

• Фетометрия плода по неделям (таблица)

• УЗИ щитовидной железы, норма (таблица)

• На каком сроке УЗИ показывает беременность

• Как делают дуплексное сканирование сосудов головы и шеи

• Что такое анэхогенное образование

• Что такое гипоэхогенное образование

• М-эхо матки, норма

• Размеры печени в норме у взрослых на УЗИ

• УЗИ молочных желез на какой день цикла делают

• УЗИ желудка, подготовка и прохождение

• Как проверить кишечник на УЗИ

• ТрУЗИ предстательной железы как делают

• КТГ 8 баллов — что это значит?

• УЗДГ при беременности — что это такое?

• УЗИ сосудов головы и шеи, как делают

Рекламодателям | От авторов сайта | Карта сайта

Источник: https://uzilab.ru/soedinitelnyie-tkani/dopplerografiya-eto.html

Процедура допплероскопии и расшифровка УЗДГ диагностики сосудов: что показывает допплерографическое исследование?

Ультразвуковое ангиосканирование — это современный метод медицинского исследования. Он применяется для диагностики заболеваний вен и артерий, а также проблем с кровоснабжением у мужчин и женщин.

В каких случаях рекомендуется провести УЗИ сосудов?

С целью профилактической проверки, даже если проблем с сосудами пока не наблюдается, УЗИ сосудов стоит сделать пациентам обоего пола старше 40 лет. Также это обследование стоит пройти тем, кто страдает вредными привычками или избыточным весом.

Симптомы, при которых назначается УЗИ сосудов:

  • часто кружится голова;
  • внезапно падает зрение;
  • появляется нарушение речи, внезапная слабость, немеют руки или ноги;
  • скачет артериальное давление;
  • при измерении давления на разных руках наблюдается разница больше 15 мм. ртутного столба;
  • ноги часто болят, отекают, постоянно мерзнут;
  • на ножных венах появляются болезненные уплотнения;
  • конечности становятся слишком чувствительными к холоду.

Болезненное уплотнение вен на ногах — веский повод для назначения ультразвукового исследования

Существует несколько методик УЗИ сосудов, которые помогают определять различные параметры сосудистой системы. Все вместе они позволяют составить полную картину ее состояния.

Методика УЗДГ сосудов

УЗДГ сосудов (ультразвуковая допплерография) — это способ исследования, опирающийся на открытие под названием «эффект Допплера». Здесь измеряется изменение частоты звуковых волн, когда они отражаются от движущихся объектов — клеток крови. По результатам, полученным при УЗДГ сосудов, компьютером создается графическое «изображение» участка кровеносной системы, по которому можно судить о направлении и скорости потока крови. Исходя из этих данных, можно лишь предположительно судить о нарушениях кровотока и вызвавших их причин (стеноз, бляшки, тромбоз). Методику УЗДГ сосудов применяют, чтобы найти проблемные места в кровоснабжении головного мозга, глаз, шеи, рук и ног, почечных артерий, сердца и т.п.

Особых условий ультразвуковая допплерография не требует. Только непосредственно перед процедурой нельзя принимать сосудистые препараты. Единственное неудобство состоит в том, что все время, пока проводится ультразвуковое обследование, нельзя разговаривать и двигаться, пока не разрешит врач. Отметим, что ультразвуковая допплерография часто используется в различных областях медицины: в сосудистой хирургии, кардиологии, флебологии и т.д.

Спектральная допплерография

Эта методика помогает врачу проследить за движением крови в крупных сосудах, артериях и камерах сердца. Результаты, которые выдает аппарат можно сравнить с линией кардиограммы. Однако, на самом деле запись, — это график. В нем по вертикали показывается скорость перемещения крови, а по горизонтали откладывается проходящее время. Немаловажным является то, что можно задать прибору расстояние, на которое будут испускаться ультразвуковые волны, чтобы замерить разнонаправленные потоки крови.

Спектральная допплерография выдает график, построенный на данных о перемещении крови в сосудах

Энергетическая допплерография

Это исследование позволяет врачу, проводящему УЗИ, оценить кровоток во всех сосудах, в том числе мелких, с небольшой скоростью течения крови. Однако, этот способ не дает узнать, куда именно движется кровь и с какой скоростью. Поэтому обычно, эта методика используется, для оценки васкуляризации — чтобы проверить, насколько хорошо снабжаются кровью различные органы и участки человеческого тела. Результат такого исследования выглядит как цветная картинка, где желтый и темно-оранжевый цвета означают участки качественного кровоснабжения — в этих местах ультразвуковые сигналы отражались наиболее интенсивно.

Оба этих метода — спектральный и энергетический — сейчас используются одновременно, поскольку современные аппараты позволяют легко комбинировать их.

Дуплексное сканирование

Дуплексное сканирование сосудов объединяет допплерографическое обследование и обычное УЗИ. Традиционный режим ультразвукового обследования выдает результат в виде черно-белой картинки, которая изображает на мониторе состояние органа в настоящий момент.

Цветовое допплеровское картирование

ЦДК или так называемый «цветовой допплер» показывает движение крови в визуально понятном виде. На экране во время проведения ЦДК разнонаправленные потоки изображены разными цветами — красным и синим. Причем их оттенки зависят о того, как быстро «бежит» кровь. ЦДК используют не только для исследования кровотока в сосудах, но и в эхокардиографии. Метод ЦДК в сочетании с дуплексной допплерометрией обозначают как триплексное сканирование.

Трехмерная допплерография

Такая методика исследования с помощью компьютера выдает объемную модель сосуда или органа. Причем наблюдать за движением крови в нем можно в реальном времени, используя при этом цветное картирование. Чтобы создать трехмерное изображение, нужно несколько снимков, сделаны они должны быть под разными углами. Проблема метода в том, что создаются эти снимки в ручном режиме. А это значит, что велика вероятность получить искажение, вследствие неравномерного перемещения датчика.

Дуплекс сосудов позволяет оценить не только скорость кровотока, но и достоверно определить причины его нарушения. Трехмерная допплерография, в свою очередь, является исследованием с максимально высокой информативностью

Как проходит процедура УЗГД?

Многих интересует, как делают УЗИ сосудов. Все просто. При допплерографическом обследовании применяется датчик, который направляет волны ультразвука, например, к артерии, а также приемник, отмечающий перемену частоты отраженного сигнала. Полученная в результате исследования информация помогает узнать скорость кровотока, его направление, объем перемещающейся крови. Расшифровка результатов УЗИ сосудов поможет узнать, есть ли проблемы с кровотоком: закупорка тромбами, атеросклеротический стеноз и т.п.

УЗДГ сосудов дает возможность проверить характеристики кровотока и в самых мелких капиллярах, и в крупных венах и артериях. Такая процедура относится к числу не инвазивных. Это означает, что не делается никаких проколов. Также организм пациента не подвергается вредному излучению.

Какие заболевания могут быть выявлены в ходе исследования?

  • Внутричерепная артериальная и артериовенозная аневризма (это небольшого размера новообразования на стенке). Когда аневризма растет, она причиняет боль, сдавливая нерв, также ее рост может привести к кровоизлиянию.
  • Атеросклероз (очаги разрастания соединительной ткани).
  • Стеноз (патологическое сужение сосуда).
  • Варикозное расширение вен.
  • Острый тромбоз и тромбофлебит (воспаление внутренней стенки вены, ведущее к образованию тромбов). Это заболевание опасно тем, что оторвавшийся тромб может закупорить легочную артерию и привести к летальному исходу.

УЗДГ артерий нижних конечностей может показать признаки таких болезней, как:

  • атеросклероз артерий;
  • деформация стенок и кровотока при сахарном диабете;
  • облитерирующий эндартериит.

Если исследуются почечные артерии на УЗГД, в результате диагностики сосудов можно выявить:

  • их врожденные патологии;
  • стойкое повышение артериального давления.

Внимание! Вся информация на сайте предоставляется исключительно в справочных целях и носит ознакомительный характер. По всем вопросам диагностики и лечения заболеваний необходимо обратиться к врачу за очной консультацией.

Источник: https://uzimetod.ru/tkani/uzi-sosudov-i-arteriy.html

Ультразвуковая диагностика (УЗИ) сосудов: как и когда делают, преимущества, частные ситуации

Сосудистые заболевания стали настоящей чумой нашего времени. Ученые считают, что сосуды мало изменились в ходе эволюции, а вот образ жизни людей поменялся кардинально: гиподинамия, питание рафинированными продуктами, загрязненная окружающая среда, информационные перегрузки. Все это негативно сказывается на состоянии органов человека, в том числе и сосудов. Однако медицина тоже не дремлет – она развивается. В ее арсенале содержится довольно внушительная коллекция методик лечения патологий сосудов. Наиболее эффективные и безопасные – допплеровские исследования.

Сегодня для изучения состояния сосудов и кровотока чаще всего используется ультразвуковая допплерография (УЗДГ) и дуплексное сканирование сосудов (ДС).

В чем преимущества данных методик?

  • Они высокоинформативные.
  • Позволяют выявить самые ранние доклинические признаки сосудистых заболеваний, оценить поражения сосудов и нарушения кровотока.
  • Являются неинвазивными и абсолютно безопасными.

Допплеровские методики так названы потому, что основаны на одном и том же эффекте Доплера (по фамилии австрийского физика). Суть явления состоит в отражении ультразвукового луча от движущихся объектов, например, кровяных клеток. При этом меняется частота сигнала. Эти изменения помогают определять скорость кровотока, направление движения крови, атеросклеротический стеноз, объемный минутный кровоток, закупорку сосуда, провести оценку коллатерального кровообращения, наличие пульсации. Все эти показатели определяются с помощью УЗДГ.

Ультрозвуковая допплерогрфия как изолированное исследование сегодня применяется все реже. В основном используется ДС – дуплексное сканирование, которое сочетает в себе УЗДГ и традиционное УЗИ. Режим традиционного ультразвукового исследования (В-режим) информирует врача об анатомии сосудов посредством двухмерных изображений в черно-белом цвете. Применение этого режима дополняет ультразвуковую допплерографию графическим изображением стеноза или участков окклюзии, оценкой характеристики изменения проходимости сосудов, проведением исследования размеров и плотности тромба, изучением состояния и диаметра стенки сосуда. Если имеются свищи, проводится исследование их размеров. Возможно более точное определение локализации поврежденного сосуда.

Здоровая (слева) и пораженная стенозом (справа) артерия на снимке с дуплексной УЗ-диагностики.

В первом случае кровоток имеет нормальное русло, скорость (около 60 см/с) и окраску

Во втором — кровоток нарушен, из-за сужения артерии его скорость на пораженном участке достигает 507 см/с

Другие же варианты допплерографии принципиально не отличаются от описанных выше. К примеру, цветовое картирование переводит информацию о кровотоке в более удобную форму: венозная кровь на мониторе окрашивается в синий цвет, а артериальная – в красный.

Триплексное сканирование – это технологический режим ДС. Оно не является самостоятельной ультразвуковой методикой. Во время этого исследования ультразвуковой аппарат работает в трех режимах: В-режиме, УЗДГ и режиме ЦДК (цветовое допплеровское картирование).

Важно! Определяющим фактором при выборе варианта исследования должна быть не цена, а рекомендация врача. В зависимости от локализации сосудов и характера поражения назначается тот или иной метод исследования.

Видео: врач объясняет принципы проведения УЗ-диагностики сосудов

Допплеровские исследования сосудов нижних конечностей

Для проведения исследования сосудов нижних конечностей используют два варианта: собственно УЗДГ сосудов нижних конечностей и дуплексное сканирование. Эти процедуры выявляют такие недуги как тромбангиит (болезнь Бюргера), тромбоз артерий, атеросклероз и другие.

Основные цели исследования сосудов ног:

  1. Диагностика тромбоза сосудов;
  2. Выявление аневризмы;
  3. Оценка состояния периферических сосудов;
  4. Диагностирование пульсирующих образований;
  5. Наблюдение за динамикой расширенных вен;
  6. Определение венозной недостаточности;
  7. Диагностирование посттромбофлебитической болезни;
  8. Предоперационная разметка вен.

Смело можно сказать, что ультразвуковые методики являются самыми передовыми способами обследования сосудов ног. Например, с помощью дуплексного сканирования вен нижних конечностей можно детально изучить сосуды, определить степень изменения в них, поставить правильный диагноз. Важно, что данные методы выявляют сосудистые нарушения на самой ранней стадии, что не всегда можно сделать другими способами.

Когда обращаться к доктору?

Рекомендуется посетить лечебное учреждение, если постоянно или время от времени тревожат определенные симптомы.

Признаки патологии артерий:
  • Часто отмечается чувство онемения ног;
  • Появляются жалобы на слабость в конечностях;
  • Возникают судороги мышц по непонятной причине;
  • Могут отмечаться боли при беге, ходьбе;
  • Ноги становятся холодными на ощупь и бледными, так как происходит понижение температуры в них;
  • Человек хромает, хотя в суставах отсутствует воспалительные процессы.
На проблемы с венами указывают:
  1. Отеки ног, усиливающиеся к вечеру;
  2. Буроватая кожа ног;
  3. Возникновение сосудистых звездочек;
  4. Могут появляться долго незаживающие язвы;
  5. Становятся заметными расширенные вены.

Следует отметить, что онемение, слабость, судороги и другие признаки могут появляться у совершенно здоровых людей. Поэтому не нужно сразу ставить себе диагноз и, что еще хуже, назначать лечение. Обратитесь к врачу, расскажите о своих подозрениях, при необходимости вам будет назначено обследование и только потом лечение.

Преимущества ультразвуковых исследований сосудов ног:

  • Абсолютная безопасность;
  • Безболезненность;
  • Информативность;
  • Неинвазивность (без повреждения кожи);
  • Быстрота манипуляции (результат пациент получает немедленно);
  • Можно проводить в любом возрасте;
  • Низкая цена.

УЗИ сосудов ног проводится амбулаторно. После нанесения специального геля врач с помощью датчика обследует сосуды. Патологические изменения отчетливо видны на мониторе аппарата. При цветном картировании легко отличить вены от артерий. Вся манипуляция продолжается менее часа. Готовиться к обследованию также не надо.

Важно! Заключение допплерографии сосудов нижних конечностей − еще не диагноз. Степень патологии определяет только лечащий врач.

Видео: врач о УЗИ вен ног

Ультразвуковые исследования сосудов при беременности

Это самый безопасный способ получить информацию о состоянии ребенка. Допплерография плода помогает проследить динамику внутриутробного развития. Уже при беременности сроком в 21 неделю будущая мама и ее лечащий врач получают обширные сведения о кровотоке в матке, плаценте и плоде, о давлении в сосудах, их эластичности. Благодаря такому исследованию можно узнать о недостатке в питании плода, о возможной патологии в развитии.

Степени изменения кровотока плода:

  1. Изменение в кровотоке матки и плаценты.
  2. Нарушение в кровотоке плода и плаценты.
  3. Некритичное изменение кровотока плода, матки и плаценты.
  4. Критичное изменение кровотока плода, матки и плаценты.

При выявлении легких степеней изменения кровотока беременная должна еженедельно обследоваться. Если состояние ухудшилось, обследоваться необходимо каждый день. При данной патологии возможны роды в срок естественным способом.

Если же диагностируется вторая степень патологии, то рекомендуется обследоваться через день. При необходимости после 32 недели делается операция кесарево сечение.

Если же выявляется третья степень патологии, то контроль должен осуществляться ежедневно.

Допплерографическое исследование беременных проводится внепланово, в случае:

  • Многоплодной беременности;
  • Резус-конфликта;
  • Колебания артериального давления;
  • Ненормального размера плода;
  • Задержки в развитии ребенка;
  • Нарушения в состоянии плаценты;
  • Сахарного диабета у матери.

Видео: УЗИ при беременности

УЗИ сосудов головного мозга

Это обследование по-другому называется транскраниальной допплерографией. По существу, это дуплексное сканирование сосудов головного мозга. Термин «транскраниальная» означает, что исследование проводится внутри черепа. Обычно проводится в комплексе с дуплексным сканированием магистральных сосудов шеи и головы (БЦА).

Самое плохое, что может произойти с сосудами головного мозга – их закупорка. В результате наступает кислородное голодание тканей мозга, а в итоге − некроз. Такое состояние называется инфарктом мозга или инсультом. Одни люди после инсульта благополучно восстанавливаются, другие – увы. Все зависит от локализации поврежденного сосуда и степени поражения мозга.

Случаются, конечно, острые нарушения кровотока. Но чаще первые «звоночки» появляются задолго до печального события. Они проявляются определенными симптомами (о которых ниже), но бывают и бессимптомными. Важно заметить эти «звоночки». Ведь многие люди бессонницу или нарушение памяти за симптом и не считают. Очень редко, но встречаются врожденные аномалии сосудов. Однако чаще они дают о себе знать еще в молодом возрасте.

Чтобы оценить состояние мозгового кровотока, достаточно сделать процедуру транскраниальной допплерографии.

Транскраниальная допплерография информирует врача и пациента о:

  1. Состоянии внутренней сосудистой оболочки;
  2. Повреждении сосудистой стенки;
  3. Эластичности сосудов;
  4. Наличии внутри сосудов образований;
  5. Изменений в анатомии сосудов.

Что можно выявить?

  • Атеросклероз;
  • Васкулит (воспаление сосудистых стенок и их изменение);
  • Аномалии расположения или хода сосудов;
  • Травматические поражения;
  • Вегето-сосудистую дистонию;
  • Ангиопатии (токсическую, диабетическую, гипертоническую);
  • Дисциркулярную энцефалопатию.

Выполнив допплер-исследование сосудов головы можно понять:

  1. Степень патологического процесса, в результате которого произошло повреждение артериальных сосудов;
  2. Причины инсультов, транзиторных ишемических атак;
  3. Степень изменения просвета сосудов из-за сахарного диабета, атеросклероза, курения.

Результаты УЗДГ сосудов головы и шеи позволяют врачу оценить состояние внутричерепных и периферических сосудов, назначить правильное лечение и составить индивидуальный прогноз.

Показания к допплеровскому исследованию сосудов головы

Начитавшись страшных историй о последствиях нарушения мозгового кровоснабжения, многие приходят к выводу, что необходимо срочно обследоваться. Есть категория людей, которые исследуют «вдоль и поперек» свой организм, но, как правило, ничего не находят. А ведь потрачены нервы и деньги. Нужно ли это делать?

Некоторые могут возразить, что исследование сосудов мозга надо проходить всем без исключения, даже здоровым. Встречаются же врожденные аномалии развития сосудов. А вдруг внезапно возникнет аневризма, которая также внезапно разорвется и убьет своего хозяина? А потому – вперед на обследование!

Можно утешить паникеров: врожденные аномалии сосудов встречаются весьма редко. И другое: у человека может быть масса бессимптомных заболеваний. Означает ли это, что следует делать всевозможные КТ, УЗИ, МРТ, и тому подобное? Доверьтесь мнению специалиста, опишите ему свои жалобы, а уж ему решать: обследовать ваш мозг или нет.

Допплер-исследование сосудов головы могут назначить в случае:

Иногда человек проходит другие виды обследований (МРТ, сцинтиграфию, КТ), в результате которых выявляются нарушения. Для уточнения диагноза врач назначает допплерографию.

Плановая допплерография

Есть категория людей, которым показано хотя бы один раз в год делать УЗИ с допплеровскими методиками. Это:

  1. Пожилые люди, родственники которых страдали сосудистыми заболеваниями;
  2. Больные сахарным диабетом;
  3. Курильщики со стажем;
  4. Люди с нарушением ритма;
  5. Имеющие метаболический синдром;
  6. Пациенты, перенесшие инсульт;
  7. Люди с нарушением мозгового кровообращения;
  8. Больные после оперативного вмешательства в головной либо спинной мозг или находящиеся в ожидании операции.

Подготовка к обследованию

Для проведения исследования головы какой-то специальной подготовки не нужно. Единственное: в сам день исследования не рекомендуется употреблять продукты, влияющие на тонус сосудов:

Желательно воздержаться от курения.

Что касается лекарственных препаратов, способных повлиять на результаты исследования, отменять их без разрешения невропатолога не рекомендуется.

Детали исследования

Транскраниальная допплерография осуществляется по общему с другими допплеровскими методиками принципу. Ультразвуковые лучи проникают к сосудам мозга через череп.

Врач поочередно подносит датчик к различным областям головы:

  1. Надглазничным;
  2. Височным;
  3. Область затылка;
  4. Место перехода позвоночного столба в затылочную кость.

Предварительно на исследуемые области наносят специальный гель, который обеспечивает лучший контакт датчика с кожей.

Кроме осмотра сосудов врач делает функциональные пробы (к примеру, просьба о задержке дыхания) для уточнения либо опровержения диагноза нарушения вегетативной регуляции.

Что при обследовании говорит о патологиях?

  • О васкулите судят по изменению эхогенности сосуда, сосудистой стенки, дифференцировки слоев стенки.
  • Нестенозирующий атеросклероз можно заподозрить, если увеличена толщина стенки сосуда, но артерия сужена не более чем на 20%. Эхогенность при этом изменена по неравномерному типу.
  • Гипоэхогенные образования с тонким ободком – так диагностируются бляшки в артериях.
  • Обязательного лечения требует сужение артерии на 50% и более.

Видео: врач о УЗИ сосудов головы

Проведение исследования мозговых сосудов детям

Маленькому ребенку чаще проводят комплексное исследование головного мозга, называемого нейросонографией. Если быть более точным, то этот термин объединяет разные методики изучения состояния ЦНС: обследование позвоночного столба, головного и спинного мозга, сосудов, тканей головы. Но принято нейросонографией называть ультразвуковое исследование головного мозга.

С помощью ультразвуковых методик врач может выявить патологии тканей, кисты, опухолевидные образования, диагностировать внутричерепное повышение давления и другие нарушения.

Сегодня нейросонографию проводят тремя разными способами:

  1. Наиболее простой – чрезродничковый. Название говорит само за себя: датчик подносят к родничку ребенка и осматривают мозг. Недостаток – изучение мозга делается в одной проекции.
  2. Второй – транскраниальная нейросонография. Для него требуется более серьезное оборудование. Этим способом изучается мозг и взрослых людей.
  3. Третий способ объединяет два других. Транскраниально-чрезродничковая нейросонография проводится маленьким пациентам. Достоинства – мозг рассматривается в разных проекциях. Требует больше времени на проведение и серьезное оборудование.

Основные показания к исследованию:

Особая подготовка к обследованию не нужна. Процедура абсолютно безопасная и безболезненная.

Исследование брахиоцефальных артерий (магистральных сосудов шеи)

Мозг питают не только внутричерепные, но и периферические сосуды. Важная роль в процессе принадлежит брахиоцефальным артериям (плечеголовного ствола, сонной артерии, подключичной и позвоночных артерий). Атеросклеротические изменения в них могут стать серьезной проблемой. При появлении бляшек в артериальных сосудах, питающих кожу, костные, мышечные ткани, большой беды не будет. Совсем другое дело – мозг. За его кровоснабжение отвечает несколько крупных сосудов − артерий. Закупорка любой из них может в конце концов привести к инсульту.

Ультразвуковое исследование БЦА на примере сонных артерий

Самой частой жалобой людей с патологией БЦА является головокружение. В основном оно появляется при резком повороте головы. Иногда − в результате понижения давления. Конечно, одноразовое головокружение – не беда. Оно может возникнуть при переутомлении, смене атмосферного давления или по другим причинам, но рецидивы этого состояния нельзя сбрасывать со счетов.

Исследованию БЦА проводят в случае:

  • Частых головных болей по непонятным причинам;
  • При проявлении клинических признаков инсульта или цереброваскулярной недостаточности;
  • Наличия у пациента заболеваний, провоцирующих нарушения мозгового кровообращения (васкулиты, диабет, артериальная гипертензия и другие);
  • Клинических признаков тромбозов БЦА;
  • Наличия патологии окружающих тканей (если имеется возможность сдавления БЦА).
  • Предстоящих операций на сердце и сосудах.

Диагностика

Обычно для постановки диагноза БЦА исследуют с помощью УЗДГ брахиоцефальных сосудов, в результате которой определяются характеристики кровотока.

Для уточнения диагноза используется дуплексное сканирование брахиоцефальных артерий. Доктор может визуально оценить все недостатки в анатомии артериальных сосудов. Это, несомненно, повышает диагностические возможности. С помощью этой методики врач определяет деформации, извитости артерий, тромбы, бляшки и другие патологические изменения.

Видео: врач о УЗИ БЦА

Ультразвуковое исследование сосудов почек

УЗДГ сосудов почек проводят, чтобы получить дополнительную информацию о почечном кровотоке. Это исследование более информативное по сравнению с обычным УЗИ. Изучаются внутритканевый кровоток и сосуды ножки почки.

Когда назначается допплерографическое исследование почек?

  • У человека долгое время диагностируется артериальная гипертензия неизвестного происхождения, виной которой могут быть почки.
  • Обычное УЗИ выявило разницу в размерах обеих почек.
  • Отмечаются признаки почечной недостаточности.
  • Травматическое поражение почки.
  • Есть подозрения на тромбоз.
  • Прогнозируется нарушение движения крови в почках. (Чаще такая ситуация отмечается при аномалиях сосудов, опухоли, атеросклерозе, тромбофлебите, нефроптозе).

Нужна ли подготовка?

К ультразвуковой допплерографии почек нужно правильно подготовиться. Причем успех исследования напрямую связан с уровнем подготовки. Избыток кишечных газов может аннулировать результат исследования. Поэтому подготовку надо начинать уже за несколько дней до процедуры. Из своего рациона необходимо исключить, фрукты, бобовые, квашеную капусту, напитки с газом, сладости, фруктовые соки, ржаной хлеб. Полезно принять энтеросорбенты.

Желательно проводить обследование натощак в утреннее время. Если УЗДГ выполняется во второй половине дня, можно утром немного перекусить. Главное, чтобы от приема пищи до процедуры прошло не менее 6 часов.

Важно! Нельзя проводить допплерографию сосудов почек после таких диагностических обследований как фиброгастроскопия и колоноскопия. Это объясняется большим количеством воздуха, проникающим в кишечник в результате этих процедур.

Не вызывает сомнения, что своевременная диагностика сосудистых заболеваний крайне необходима. Благодаря ей удается помочь многим людям прожить не только долгую, но (что важно) активную жизнь. Поэтому бесспорны достоинства допплерографии и дуплексного сканирования как основных методов ранней диагностики. Внимательное отношение к своему организму – залог сохранения здоровья.

Видео: врач-невролог проводит допплерогафию (на примере сосудов мозга)

Здравствуйте! Объясните пожалуйста, меня невролог направил пройти обследование- ТС, УЗДГ БЦА. Вторую аббревиатуру я уже разобрала, а вот с первой, не совсем понятно. Что это за обследование?

Здравствуйте! Возможно, имеется в виду триплексное сканирование, когда одновременно оценивается анатомическое строение сосуда, его проходимость и характер кровотока.

Источник: https://sosudinfo.ru/arterii-i-veny/ultrazvukovaya-diagnostika-sosudov/

Цветовое допплеровское картирование

Цветовое допплеровское картирование

Цветовое допплеровское картирование или ЦДК – метод исследования во флебологии, который используется для определения характера кровотока. Этот метод исследует направление, сокращаемость сосудов, скорость потока, проходимость, диаметр просвета. Благодаря ЦДК определяется наличие заболеваний венозной системы: тромбозы, аневризмы, патологии русла сосудов и прочее.

Что показывает ЦДК

Определение характера кровотока с помощью цветового допплеровского картирования помогает определить склонность к появлению новообразований. При наличии уплотнения или опухоли определяется скорость роста, интенсивность кровотока в этой зоне, а также периферическое сопротивление сосудов.

Полноценная картина заболевания

С помощью этого метода диагностики врач может увидеть четкую картинку и поставить максимально точный диагноз. С помощью ЦДК легко отличить холестериновое образование от полипа, что дает врачу целостную картину заболевания. Исследование степени расширения вен помогает врачу-флебологу определить наличие заболеваний вен: варикозного расширения вен, тромбофлебита, хронической венозной недостаточности и др. Цветовое допплеровское картирование определяет патологии в развитии, расположении сосудов, аномальную извитость, степень проходимости, скорость и силу кровотока.

Как работает ЦДК

Цветовое допплеровское картирование – это ультразвуковой метод визуализации тока крови. Он основан на определении скорости кровотока, кодировании данных о скорости с применением разных цветов. Полученная картина скорости кровотока накладывается на монохромное двухмерное изображение сосудов исследуемой зоны.

Определение скорости кровотока и состояния сосудов

Исследование потоков крови проводится в средних и крупных сосудах, реже – в мелких. Красным цветом кодируется поток, направленный в сторону датчика ЦДК, синим цветом кодируется обратный поток. Темные оттенки этих цветов проявляются в зонах с низкими скоростями, светлые – с высокими. Исследование с применением цветового допплеровского картирования позволяет определить не только скорость кровотока в сосудах, но и состояние сосудов, их сокращаемость, выявить патологии.

Когда применяется ЦДК

Цветовое допплеровское картирование применяется при всех видах ультразвуковых исследований всех систем организма. Сейчас этот метод в сочетании с УЗИ в трехмерном формате используют при исследовании плода.

ЦДК – неотъемлемый метод исследования во всех сферах медицины. С помощью цветового допплеровского картирования устанавливается характер новообразований. Злокачественные новообразования имеют разветвлённую сеть сосудов, которая в большинстве случаев имеет патологию развития (направление, скорость кровотока в сосудах, их форма). Исследование злокачественных новообразований с помощью ЦДК помогает врачу установить активность и скорость роста опухоли. Доброкачественные новообразования имеют либо маленькое количество сосудов, либо не имеют вовсе.

Преимущества использования ЦДК

Раннее выявление заболеваний

Цветовое допплеровское картирование применяется в исследовании всех органов пациента, а также кровеносно-лимфатической системы. Благодаря высокой точности этого метода, а также безвредности, ЦДК используют для исследования всех групп пациентов: тяжелобольных, онко больных, беременных, маленьких детей. При этом подготовка к проведению процедуры обследования не требует специальных приготовлений, переносится без побочных эффектов всеми пациентами и может проводиться несколько раз за день.

Проведение исследования занимает не более 30 минут и дает врачу исчерпывающую картину происходящего в организме пациента. Это делает возможным установить причину нарушения кровотока и максимально быстро назначить эффективное лечение. Обратитесь за консультацией к врачу-флебологу Клиники флебологии и пройдите обследование с применением цветового допплеровского картирования. Выявление заболевания на ранней стадии гарантирует быстрое лечение и снижение риска развития болезни.

  1. Диагностика венозных заболеванийВ Клинике Флебологии вы сможете пройти качественную диагностику сосудистых заболеваний.
  2. Ультразвуковое дуплексное сканированиеУльтразвуковое дуплексное сканирование – это неинвазивный метод исследования, с помощью.
  3. Диагностика сосудов в КиевеОдин из самых эффективных методов диагностики сосудов – допплеровское исследование.
  4. Доплер сосудов в КиевеДоплер сосудов в области нижних конечностей – это современный метод.
  5. Допплерография сосудов в КиевеУльтразвуковая допплерография сосудов – диагностический метод выявления нарушений кровотока в.

Лечение заболеваний:

Наши методы:

Наши методы:

Наши методы:

Информация для пациентов:

Photos on flick r

Клиника Флебологии © 2018. All Rights Reserved.

Источник: https://flebolog.co.ua/cvetovoe-dopplerovskoe-kartirovanie/

Что это за метод обследования ЦДК в УЗИ и как оно проводится?

ЦДК в УЗИ — что это такое, в каких случаях и как используется указанное обследование? Этот вопрос не дает покоя многим людям, которые слышат назначение врача о том, что необходимо провести ультразвуковое обследование с ЦДК — цветное (цветовое) допплеровское картирование.

Сейчас допплерография является одним прогрессивных и результативных методов исследования. Не стоит бояться незнакомых терминов, так как этот метод позволяет проводить исследование движения крови по сосудам методом Доплера, и проводится он вместе с ультразвуковой диагностикой.

Что собой представляет ЦДК с УЗИ?

Что такое ЦДК БЦС? Диагностика назначается для исследования брахиоцефальных сосудов, к которым относятся:

  • правая подключичная артерия;
  • правая сонная артерия;
  • правая позвоночная артерия.

Все эти сосуды снабжают кровью головой мозг и окружающие его ткани. В основе данного метода, используемого для исследования брахиоцефального сосуда, лежит эффект Доплера, который основан на способности движущихся предметов отражать ультразвуковые волны. В этом случае движущиеся объекты — эритроциты крови.

При проведении ЦДК сосудов шеи или других сосудов на эхограмме врач видит цветовое обозначение направления кровотока и его силу. Изучается васкуляризация, то есть обеспечение кровеносными сосудами органов и частей тела, от чего напрямую будет зависеть их кровоснабжение.

Если проводится простое УЗИ, то изображение будет в виде двухмерной черно-белой картинки, в этом случае врач может сделать вывод об изменении анатомии органов и сосудов. В случае применения ЦДК можно обнаруживать не только анатомические изменения сосудов, но и определять, какую скорость имеет кровоток и функциональные индексы тока крови.

Данный метод часто используют при проведении диагностики беременных женщин, так как он позволяет оценить, как работает плацента, обеспечивающая жизнедеятельность плода. С его помощью можно определить, в каком органе, расположенном в малом тазу, произошли нарушения кровотока.

ЦДК вен нижних конечностей или любых других сосудов ничем не отличается от проведения обычного УЗИ, поэтому опасаться указанного способа диагностики не надо. Во время проведения такой диагностики в исследуемые сосуды направляют ультразвук, и на основании полученных ответов врач делает соответствующие выводы о движении крови, скорости и давлении кровотока.

Кроме того что при помощи данного метода изучается васкуляризация исследуемого органа, при ЦДК есть возможность определить строение сосудов и их проходимость. Для каждого вида сосудов выставляется соответствующая частота ультразвукового излучения.

Исследование с цветовым картированием является наиболее безопасным методом, который позволяет исследовать кровоток в необходимом органе, при этом он полностью безболезненный. При необходимости васкуляризация сосудов и другие показатели, характеризирующие кровоток, могут проводиться несколько раз подряд.

Этот метод обследования позволяет определять развитие многих болезней, особенно он актуален во время беременности, так как является безопасным для матери и плода. С его помощью можно определить нарушения кровообращения во время беременности, которое приводит к неправильному развитию плода. Если такие нарушения выявлены вовремя, то врач сможет принять меры, которые помогут устранить возникшую патологию, и ребенок родится здоровым.

Во время беременности нанеделе все женщин должны пройти такое обследование для того чтобы узнать, как плацента справляется со своими задачами. Если нарушена васкуляризация плаценты, то это приводит к тому, что нарушается кровоток в указанном органе, поэтому плод может неправильно развиваться, или возникает угроза преждевременных родов.

В каких случаях проводится диагностика?

На последнем сроке беременности такая диагностика проводится в обязательном порядке, но если нарушена васкуляризация плаценты или есть другие показания, то врач может назначить его проведение и на более ранних сроках, а если это необходимо, то оно может проводиться несколько раз.

Если у пациента есть жалобы на проблемы с сосудами или появились соответствующие симптомы, то врач назначает проведение указанного исследования, чтобы выяснить причину таких патологий и назначить необходимое лечение. Часто доплеровский метод проводится при обследовании состояния щитовидной или молочной железы. В данном случае, врач может определить, в каком именно сосуде появились изменения, нарушен ли центральный ствол или другие сосуды, при помощи УЗИ можно определить, как дальше будет протекать заболевание, и контролировать процесс лечения.

Назначается проведение исследования в таких случаях:

  • во время беременности, когда у женщины имеется сахарный диабет, гипертония или вегето-сосудистая дистония;
  • если есть нарушения в развитии плода;
  • при наличии у матери и плода резус-конфликта;
  • если развивается многоплодная беременность;
  • при поперечном расположении плода;
  • при наличии обвития плода;
  • развивается гестоз;
  • если у ребенка развиваются внутриутробные патологии;
  • при наличии проблем с амниотической жидкостью.

Данное исследование во время беременности

Указанный диагностический метод может применяться после 23 недели беременности, так как раньше он не будет иметь достаточной информативности. Если во время диагностики определена гипоксия, то проводятся дальнейшие исследования, которые позволяют выявить причины патологии, при этом выясняется, в каком месте образовалась непроходимость сосудов и что к этому привело.

Поле того как врач определит причину развития патологии, принимается решение о дальнейшем ведении беременности. В каждом случае это делается индивидуально, с учетом особенностей организма беременной.

При наличии вегето-сосудистой дистонии, УЗИ с ЦДК исследование проводится при наличии следующих жалоб:

  • увеличение вен на ногах;
  • отеки нижних конечностей;
  • на ногах меняется цвет кожи;
  • во время ходьбы возникают болезненные ощущения;
  • ноги постоянно холодные;
  • в ногах возникает покалывание;
  • раны очень долго заживают.

Данная диагностика дает возможность проводить исследование брюшной полости, головы, шеи, грудного отдела, при этом оно может проводиться как планово, так и в экстренном порядке.

Еще немного о ЦДК

Если говорить простым языком, то ЦДК является разновидностью обычного черно-белого УЗИ, но в этом случае проводится подсвечивание определенной области. Это позволяет проводить оценку состояния кровотока и сосудистой системы организма.

На экран выводится черно-белая картинка, на которой есть цветные вкрапления, характеризующие скорость и направление кровотока в исследуемых сосудах.

Так как специалист видит на экране размеры кровеносных сосудов, направление и скорость проходящей по них крови и их проходимость, то он может сделать вывод о состоянии сосудов и необходимости проведения лечения при наличии патологий.

Данный метод диагностики позволяет определять такие патологии сосудов:

  • утолщение стенок;
  • патологические изменения в строении;
  • наличие тромбов;
  • развитие сосудистой аневризмы.

Все это дает возможность делать заключение о состоянии сосудов и о тех процессах, которые протекают в организме обследуемого пациента. На основании полученных данных врач может легко отличить доброкачественную опухоль от злокачественной, и сделать прогноз о росте указанного новообразования. Данная диагностика позволяет определить наличие камней даже в том случае, когда они скрытые.

Подведение итогов

Применение указанного метода диагностики позволяет более точно поставить диагноз и назначить эффективное лечение выявленной патологии. Чем раньше и точнее выполнена диагностика, тем проще, быстрее и эффективнее проводится процесс лечения.

ЦДК в УЗИ не опасно для здоровья пациента и никак не влияет на его состояние. Беременным оно проводится обычно во 2 триместре, так как раньше оно будет малоинформативным. Это безопасный метод диагностики, который не вредит ни матери, ни плоду. Проводить его можно несколько раз, необходимость определяет врач.

Источник: https://uzi.one/beremennym/chto-jeto-za-metod-obsledovanija-cdk-v-uzi-i-kak-ono-provoditsja.html

factor-tepla.ru


Смотрите также