Что такое цдк при узи

Что такое цдк при узи[Что такое цдк при узи]

Что такое УЗИ с ЦДК

Ультразвуковое исследование зарекомендовало себя исключительно с лучшей стороны: оно позволяет выявить патологию на разных стадиях, пронаблюдать прохождение беременности и получить изображение всех внутренних органов. ЦДК (цветовое допплеровское картирование) помогает увидеть строение кровеносной системы органа, и в сочетании с УЗИ этот метод даёт более точные результаты.

При проведении обычного ультразвукового исследования на мониторе можно видеть, как функционирует и выглядит обследуемый орган. Но если проводится УЗИ с ЦДК, то видны ещё и все двигающиеся жидкости как в самом органе, так и вокруг него.

К тому же цветовое допплеровское картирование создаёт цветовую картину сосудистой системы органа. Таким образом, можно рассмотреть работу каждого сосуда, выявить патологии сосудов и даже обнаружить опухоли.

Данная методика особенно необходима, когда возможная патология имеет какую-либо связь с состоянием самих сосудов.

УЗИ с ЦДК позволяет диагностировать:

  • Степень патологии сосуда;
  • Наличие аневризма сосуда;
  • Насколько утолщена сосудистая стенка;
  • Наличие опухолей;
  • Функции каждого сосуда.

У данной методики нет противопоказаний, а значит она может быть применена к любому человеку с учётом рекомендаций врача.

Преимущества метода

Основными преимуществами подобной диагностики являются:

  1. Полная безболезненность;
  2. Безопасность, в том числе и для беременных женщин (процедура никак не навредит ни пациенткам, ни плоду);
  3. Возможность заполучить нужные подробные сведения об организме. Особенно это ценно для получения информации о здоровье будущего ребёнка;
  4. Короткая длительность процедуры;
  5. К диагностике людей допускают без предварительной сдачи каких-либо анализов.

Возможные противопоказания

Прямых противопоказаний к проведению такой диагностики нет, однако есть ситуации, при которых лучше не проводить УЗИ с ЦДК:

  • Сильно повреждённая кожа на месте, которое обследуется (раны, крупные ожоги);
  • Тяжёлые состояния пациентов, которые не позволяют полноценно провести процедуру;
  • Проведение колоноскопии менее, чем за десять суток до диагностики.

Подготовка к процедуре

Подготовка зависит в основном от того, какое место будет обследоваться. В случае, если человеку назначили диагностику вен шеи, головы, верхних и нижних конечностей, какие-либо ограничения перед процедурой отсутствуют. Рекомендуется воздержаться от жареной, жирной, острой пищи. Не стоит употреблять алкоголь или курить сигареты.

Всем пациентам, а в особенности беременным женщинам, перед проведением обследования брюшной полости, стоит отказаться от пищи, которая способствует вздутию и брожению в кишечнике. Минимум за четыре дня нужно убрать из рациона:

  • Мучные продукты;
  • Бобовые;
  • Любые газированные напитки;
  • Капусту;
  • Сладости;
  • Алкоголь.

На исследование брюшной полости следует прийти с пустым желудком. Лучше отказаться от пищи за 4-9 часов до начала обследования.

Порядок проведения УЗИ с ЦДК

Данное обследование ничем не отличается от обычной ультразвуковой диагностики. При себе нужно иметь пелёнку, сухие салфетки или полотенце.

  1. Обследуемый располагается на кушетке в горизонтальном положении;
  2. На тело наносится специальный гель, с помощью которого улучшается сигнал;
  3. Пациент должен постараться не двигаться, чтобы результаты не сбились;
  4. Иногда обследуемого для лучшей видимости просят выполнять некоторые команды (глубоко вдохнуть, не дышать).

Проводится диагностика через переднюю брюшную стенку, только с применением трансабдоминального датчика.

Результаты обследования

Результаты вполне информативны. Они выявляют всё от дефектов кровеносной системы до серьёзных онкологических заболеваний.

Опытный специалист с лёгкостью поймёт картину, отображённую на экране, и обнаружит отклонения, если они есть, после чего поставит диагноз. При необходимости пациенту сразу же будет назначено медикаментозное лечение.

ЦДК в УЗИ — это прекрасная возможность для получения данных о состоянии органов пациента. Особенно полезна такая процедура для беременных женщин, желающих узнать о здоровье будущего младенца. Если обследование проведено вовремя, то оно позволит определить различные виды патологий ещё на начальных стадиях, что поспособствует более быстрому лечению.

Допплерография – новейший высокоинформативный метод ультразвукового исследования

Ультразвук широко применяется в медицинской отрасли как безопасный и недорогой метод диагностики, позволяющий определить патологию в начальной стадии практически в любой системе человека.

Допплерография – это метод исследования сосудов с дополнительным определением скорости и направления кровотока с помощью эффекта допплера. Методика безболезненна и безопасна для пациента, позволяет определить состояние крупных и мелких ветвей сосудистой сети. УЗИ ЦДК применяется при беременности с целью оценки кровоснабжения плаценты, а также лицам, которым требуется подробное исследование кровеносной системы.

Показания

УЗИ с допплерографией применяется по назначению врача в ситуациях, когда диагностировано какое-либо заболевание кровеносной системы или имеются жалобы, указывающие на сосудистую патологию.

Исследование позволяет определить патологию, ее локализацию и спрогнозировать дальнейшее развитие процесса. Назначается допплерография сосудов во время беременности (УЗДГ при беременности):

  • с целью оценки состояния кровообращения плода в случаях заболеваний женщины сахарным диабетом, любыми системными заболеваниями или вегетососудистой дистонией;
  • при несоответствии развития плода (развитие органов отстает от срока);
  • при резус конфликте плода и матери (возникает в случае разности в резусе);
  • при многоплодной беременности (одновременное развитие 2 и более плодов) обследование сосудов матки позволяет оценить состояние питания всех малышей;
  • при поперечном положении плода;
  • обвитие шеи плода пуповиной;
  • многоводие;
  • маловодие;
  • диагностирование тяжелых форм гистоза;
  • при подозрении или определении хромосомной патологии плода.

УЗИ с ЦДК доступно при сроке беременности свыше 23 недель, методика позволяет оценить питание плода и определить насыщение его тканей кислородом.

При обнаружении недостатка питания врач выясняет степень нарушения и определяет причину патологии. После определения причины и выяснения возможного сценария развития ситуации подбирается тактика ведения беременной для устранения негативной ситуации и восстановления полноценного кровоснабжения развивающегося малыша.

УЗДГ сосудов нижних конечностей назначается в случае:

  • визуального определения венозных нарушений;
  • при стабильно возникающих отеках ног;
  • разница в окраске или размере между нижними конечностями;
  • боли, возникающие при ходьбе, не превышающей привычную дистанцию;
  • возникновение трофических язв или просто плохо поддающиеся регенерации ранки;
  • онемение и похолодание конечностей.

Помимо ЦДК вен нижних конечностей допплерографические исследования проводятся для ветвей аорты брюшной полости, сосудов головы и шеи. При необходимости проводится УЗИ молочных желез и органов малого таза. В терапии часто применяется УЗИ почек для дифференцирования поражения почечной системы.

Благодаря простоте проведения диагностики и быстроте получения данных ультразвуковая допплерография позволяет провести первичную диагностику уже при первом обращении пациента и быстро сориентироваться в необходимом объеме лечебных процедур.

Противопоказаний к ЦДК БЦС нет.

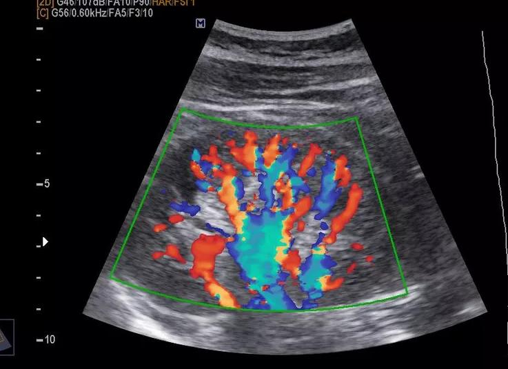
Что такое ЦДК

Цветовое допплеровское картирование (ЦДК) представляет собой ультразвуковое исследование с дополнительной оценкой кровотока с помощью допплеровского эффекта, выражающееся в цветном изображении кровотока исследуемого участка, наложенном на черно-белую картину, полученную при УЗИ.

Режим ЦДК позволяет оценить дополнительные параметры, а именно:

  • направление движения крови, скорость ее перемещения и другие характерные особенности;
  • свободу кровеносного русла;
  • сопротивление кровотока;
  • размеры сосудистой стенки и диаметр просвета венозной и артериальной сети в различных участках организма.

Анализ указанных данных позволяет определить не только заболевание и локализацию нарушения, но и спрогнозировать дальнейшее развитие процесса. Это помогает оценить риск для жизни и здоровья пациента еще до серьезных клинических проявлений и предпринять необходимые меры по профилактике и лечению.

Что можно выявить

УЗИ с ЦДК позволяет определить новообразования и оценить состояние опухоли: злокачественная или доброкачественная, насколько прорастает в окружающие органы, имеются ли метастазы и насколько опасна локализация процесса в каждом случае заболевания. Чем сильнее развита сосудистая сеть, тем быстрее разрастается опухоль и раньше распространяются метастазы по току крови.

Для определения рака наиболее часто используется УЗДГ сосудов брюшной полости, позволяющая определить поражение органов забрюшинного пространства и средостения.

Помимо новообразований исследование в дуплексном режиме позволяет определить:

  • изменение толщины сосудистой стенки (это может быть утолщение при гипертрофии или истончение при аневризме аорты);
  • тромбы, помимо определения их наличия методика позволяет выявить точную локализацию, степень и стадию развития и оценить риск отрыва;
  • аномальное строение сосудистой сети даже на уровне мелкого калибра.

Помимо перечисленных патологий УЗИ почек позволяет определить камни даже самого мелкого калибра.

УЗИ брахиоцефального ствола – нарушение в питании головного мозга, при исследовании сосудов сердца выявляются даже незначительные нарушения в кровообращении мышц главного органа кровеносной системы.

Преимущества УЗИ с доплером

УЗИ с применением ЦДК считается наиболее высокоинформативной методикой безопасного и безболезненного исследования, позволяющей определить патологию сосудистой сети на начальном этапе развития.

При применении метода у лиц, относящихся к группе риска по заболеваниям сердца и сосудов, можно предупредить развитие болезни, если использовать анализ состояния венозной и артериальной сети с периодичностью не более 2 лет. Безопасность для организма и простота в исследовании позволяет проводить диагностику и в более короткие сроки, а относительно небольшая цена на УЗИ делает ее доступной для большого числа жителей.

При беременности специалист с уверенностью определит уровень питания плода кислородом и с высокой точностью выявит малейшее отклонение в развитии малыша. Это увеличивает возможность влияния на ход беременности с целью повышения шанса на рождение здорового ребенка. Своевременно принятые меры по коррекции отклонений на ранних этапах зачастую позволяют устранить развитие патологии.

Возможность проведения исследования без специальной подготовки позволяет оценить состояние интересующего участка организма или развития плода при беременности на первом посещении. Это значительно сокращает время на выявление проблемы и повышает шанс на благоприятный исход заболевания.

Где проводят УЗДГ ЦДК

Диагностика органов и тканей пациента с применением системы оценки сосудистой сети возможно в любом кабинете ультразвуковой диагностики, где есть грамотный специалист. Аппаратура не является слишком дорогостоящей, поэтому установлена не только в специализированных и многопрофильных клиниках, но и в кабинетах ультразвуковой диагностики при поликлинике. Помимо бесплатного исследования в пределах государственной сети исследование можно пройти в любой частной клинике или кабинете диагностики за приемлемую сумму.

(Оцените статью первым!) Загрузка…

УЗИ брюшной полости с ЦДК

Ультразвуковое исследование брюшной полости позволяет обследовать определенный орган. А цветовое допплеровское картирование (ЦДК) дает возможность специалисту в режиме реального времени видеть на мониторе не только сам обследуемый орган, но и все жидкости в нем и вокруг. Этот вид диагностики дает широкое представление о состоянии внутренних органов человека, поэтому с помощью УЗИ с ЦДК можно на ранних стадиях выявить опухоли, патологии и множество различных заболеваний.

Проведение процедуры

Техника проведения цветового допплеровского картирования мало чем отличается от обычного УЗИ брюшной полости. Пациент ложится на кушетку, врач наносит на его живот специальный гель, по которому двигается датчик. Непосредственно в организм человека ничего не вводится. Основное отличие в проведении подобной процедуры от обычного УЗИ заключается в изображении на мониторе. На нем врач будет видеть не просто черно-белую картинку, а изображение с цветными вкраплениями, обозначающими сосудистую систему исследуемого органа. Стоит также заметить, что никакими болевыми или неприятными ощущениями обследование не сопровождается.

Варианты проведения

УЗИ с ЦДК проводится не только в районе брюшной полости. Также обследоваться может:

  • Щитовидная железа
  • Плод в утробе
  • Верхние и нижние конечности

Подготовка к процедуре

Комплекс подготовительных действий перед диагностикой будет зависеть от того, какая часть тела человека будет обследоваться. Если процедура назначена на УЗИ конечностей, то особых указаний не будет. Пациенту просто рекомендуется не употреблять алкогольные и табачные изделия и не есть продукты, ускоряющие движение крови в сосудах.

Если запланировано УЗИ брюшной полости — при беременности для обследования плода или по другой причине, то при подготовке необходимо употреблять достаточное количество жидкости и соблюдать диету. Следует на время исключить из рациона питания все продукты, которые приводят к метеоризму и брожению в кишечнике. Непосредственно на обследование нужно приходить на голодный желудок, чтобы максимально увеличить достоверность исследования.

Показания к проведению УЗИ с ЦДК

Цветное допплеровское картирование – очень распространенный вид диагностики на данный момент. Пациенту может быть назначена эта процедура при подозрении на множество разных болезней. Крайне часто этот вид обследования проходят беременные.

Когда может быть назначена допплерография при беременности?

  • Если развитие малыша в утробе не укладывается в сроки
  • При наличии повышенного давления или сахарного диабета у матери, которые могут привести к нарушению кровообращения плода
  • В случаях, когда пуповина обвила шею ребенка. Это может грозить неправильным развитием плода и даже его смертью
  • Если пациентка беременна сразу несколькими малышами
  • При резус конфликте между матерью и ребенком
  • Когда наблюдает либо излишнее, либо, наоборот, недостаточное количество амниотической жидкости в утробе матери, которое может нарушить развитие плода

Когда может быть назначено УЗИ щитовидной железы с ЦДК?

  • У пациента наблюдается повышенная нервозность
  • Есть трудности с проглатыванием
  • Наличие сильной боли в области головы и шеи
  • Жалобы на плохой сон
  • Снижение массы дела без обоснованной причины
  • В случаях, когда длительное время держится температура, что может свидетельствовать о наличии воспалительных процессов

Когда может быть назначено УЗИ с ЦДК конечностей?

  • Судороги
  • Ощущение постоянного холода в конечностях
  • Сильное выделение вен
  • Отеки
  • Появление болезненных ощущений и синяков

Противопоказания

УЗИ с ЦДК относится к ряду безопасных для организма человека процедур, поэтому она доступна практически всем и не имеет прямых противопоказаний.

Однако, отказаться от этой процедуры стоит людям, недавно делавшим колоноскопию и лицам с незажившими ранами и ожогами в области проведения обследования.

Кровоток в режиме цдк

Современная медицина активно использует достижения науки и техники для того, чтобы сделать диагностику максимально точной, быстрой и беспроблемной. Ультразвуковое исследование давно зарекомендовало себя с самой лучшей стороны, позволяя получить точное изображение внутренних органов, а также дает возможность оценить состояние беременности и развивающегося плода, выявить патологии на самых ранних стадиях.

Оглавление:

Но иногда получить изображение органа недостаточно для составления заключения и составления точного диагноза. На помощь приходит другой метод исследования, дающий возможность увидеть строение кровеносной системы органа и оценить состояние существующего кровотока. Такая методика называется ЦДК, или цветовое допплеровское картирование. В сочетании с УЗИ этот метод дает прекрасные результаты.

Что такое УЗИ с ЦДК и его назначение

ЦДК – это эффективный метод диагностики, который относится к подвидам УЗИ и основанный на эффекте Допплера

Если при проведении ультразвукового исследования на экране можно увидеть, как выглядит и функционирует тот или иной обследуемый орган, то цветовое допплеровское картирование позволяет видеть в режиме реального времени все движущиеся жидкости в этом органе и вокруг него. То есть можно не просто увидеть, в каком состоянии находятся сосуды органа, но и отследить движение жидкости.

Мало того, цветовое картирование позволяет обозначить потоки крови с разной скоростью движения различными цветами, то есть создает цветовую картину сосудистой системы органа. Можно в подробностях увидеть структуру и работу каждого отдельного сосуда, выявить патологии самих сосудов, а также обнаружить опухоли — в них отсутствует обычная система кровоснабжения.

Сочетание УЗИ с ЦДК является одним из самых востребованных и передовых методик исследования, позволяющих получать комплексную картину заболевания.

Она особенно необходима в том случае, если предполагаемая патология имеет прямую или косвенную связь с работой или состоянием сосудов. Если при ультразвуковом исследовании на экране монитора появляется только черно-белое изображение, то цветовое картирование показывает цветные элементы в области исследования. Нужно понимать, что красный и синий цвет означает не вены и артерии, а демонстрирует направление движения крови — от датчика или к нему. Опытный специалист в этой области отлично знает все тонкости такого способа диагностирования, а специальные таблицы на экране прибора помогают в проведении точной оценки проблем.

Назначается ультразвуковое исследование с цветовым допплеровским картированием в следующих случаях:

  • При жалобах пациента на боль и другие проявления дискомфорта в области головы, шеи, груди, живота и рук. В основном такие жалобы связаны с артериальной гипертензией, заболеваниями печени, диабетом, патологиями строения и функционирования сосудов, атеросклерозом и многими другими заболеваниями.
  • При жалобах пациента на сильные, долго не проходящие отеки нижних конечностей, появление болей, судорог, визуально заметных «узловатых» вен, обширных болезненных синяков при малейшем прикосновении, постоянно холодных ногах, ощущению мурашек, а также при возникающих трофических язвах, которые плохо заживают даже при наличии качественного лечения.
  • Для подтверждения предварительного диагноза, поставленного врачом на основании симптомов пациента, его жалоб и анализов.
  • При обследовании беременной, если есть подозрения на существующие проблемы в состоянии ее здоровья или у формирующегося плода.

ЦДК может выявить патологии строения сосудов, наличие аневризм, атеросклеротических бляшек, утолщения или истончения стенок сосудов, многие другие проблемы, а также станет очень практичным методом выявления инородных тел или опухолей в различных органах. С помощью методики можно легко отличить камень от полипа или другого опухолевого образования по отсутствию или наличию кровоснабжения.

Проведение полноценного комплексного обследования при помощи современной аппаратуры поможет выявить не только саму патологию и классифицировать ее, но и установить точную локализацию. В случае необходимости хирургического вмешательства это существенно упростит работу сосудистым хирургам и поможет сократить срок самого вмешательства и время пребывания больного под наркозом.

Подготовка и процедура

Процедура УЗИ с ЦДК вен нижних конечностей

Подготовка к УЗИ с ЦДК зависит от того, какой именно орган будет обследоваться и может иметь достаточно существенные различия.

Если пациенту назначено обследование вен головы, шеи, верхних и нижних конечностей, особых требований и ограничений не предусматривается. Рекомендовано не употреблять слишком тяжелую мясную пищу, так как она может повлиять на скорость кровотока, а это будет отражено при выполнении диагностики. Также не стоит переедать, пить спиртное и курить.

Особенно важно правильно подготовиться к проведению исследования органов брюшной полости, а также беременным. Им необходимо отказаться от пищи, провоцирующей брожение в кишечнике и вздутие, метеоризм. Для этого минимум за трое суток из меню убирают бобовые, капустные овощи, свежий белый хлеб и выпечку, дрожжевые продукты, газированные напитки, сладости, копчености, спиртные напитки. На обследование нужно приходить с пустым желудком, в идеале голодный период должен составлять 8 часов, но беременным и детям это время допустимо сократить до 3 часов.

Перед процедурой рекомендуется принять таблетки Эспумизана или Мотилиума для уменьшения газообразования. В остальном никаких других особенностей в подготовке не имеется.

Подробнее о том, что такое УЗИ и как оно работает можно узнать из видео:

Сама процедура практически ничем не отличается от обычного УЗИ:

  • Для нее пациенту потребуется взять с собой пеленку или простынку, чтобы постелить под себя для проведения исследования, и салфетку или полотенце для того, чтобы убрать с места исследования специальный контактный гель.
  • При комбинированном исследовании даже для беременных не используют интравагинальный или трансректальный датчик — вся процедура проводится исключительно через переднюю брюшную стенку.
  • Тот же метод применяется и для получения данных при подозрении на наличие гинекологических заболеваний, опухолей матки, яичников и других органов малого таза.
  • Для улучшения прохождения сигнала на тело наносится специальный контактный гель.

Результаты обследования

Результаты УЗИ с ЦДК очень информативны, так как данные получаются сразу в нескольких проекциях, к тому же в режиме реального времени. Однако получаемая картина очень сложна и требует работы отлично подготовленного опытного специалиста. Для чтения результатов нужны глубокие знания как в профильной области медицины, так и понимание отражающейся в распечатке «картинки».

Даже и не стоит пытаться самостоятельно разбираться в этой системе, если вы не имеете специального образования. Доверьте эту важную функцию профессионалу — он разберется во всех подробностях, обнаружит малейшие отклонения от нормы, даст правильное заключение, на основании чего будет поставлен диагноз и назначено грамотное лечение.

Самое важно в этой передовой и прогрессивной методике — это возможность не только найти дефекты кровеносной системы и выяснить причину нарушения функции органа, но и «вычислить» опухоли еще в такой стадии, когда другие методики просто бессильны что-либо найти. Кроме того, при помощи этого метода опытный специалист может дифференцировать опухоль доброкачественную от смертельно опасного онкологического новообразования.

Столь же важно правильное прочтение результатов исследования при проверке состояния беременной и плода.

Именно этой методикой можно выявить ряд ранних патологий и нарушений у будущего ребенка, связанных с генетическими наследственными или приобретенными проблемами. К их числу относятся достаточно распространенные «заячья губа», «волчья пасть», другие деформации костей лицевого отдела черепа плода, а также нарушения формирования и развития конечностей.

Данные ультразвукового исследования с цветовым допплеровским картированием для специалиста информативны и понятны, они помогают быстро и точно поставить диагноз, а это, в свою очередь, приводит к немедленному началу медикаментозного лечения или же к направлению на хирургическое вмешательство. Так как ряд заболеваний, особенно онкологических, может быть успешно вылечен только на ранних стадиях, эта методика диагностики может считаться наиболее совершенной и помогающей людям избавиться от множества опасных заболеваний и состояний.

Возможные противопоказания

Абсолютных, полноценных противопоказаний к проведению УЗИ с ЦДК не существует

Считается, что методика неспособна наносить вред организму, не облучает его и не вызывает никаких изменений в состоянии его функционирования.

Повторять исследование можно по мере необходимости, столь часто, как это будет необходимо для получения правильного диагноза, так и для контроля состояния органа после проведенного лечения или оперативного вмешательства.

К числу непрямых противопоказаний относится критическое состояние пациента, не позволяющее проводить диагностику, наличие свежих раневых или ожоговых поверхностей в месте наложения датчика, а также после проведения колоноскопии или ФГДС. После этих процедур в кишечнике больного могут оставаться пузырьки воздуха, которые помешают получению четкой и правильной картины при проведении ультразвукового и допплеровского исследования.

Преимущества метода

УЗИ с ЦДК – эффективный и безопасный метод диагностики, который позволяет выявить патологии на ранних стадиях и начать правильное лечение

В наши дни УЗИ с ЦДК считается одним из самых передовых, информативных и безвредных способов точной диагностики. К числу основных преимуществ методики можно отнести безопасность метода, отсутствие необходимости сдачи крови или других компонентов, неинвазивность методики, безвредность для беременной и плода, быстрота проведения процедуры, безболезненность и многое другое.

Отдельно стоит отметить исключительную пользу этого метода для диагностики различных проблем внутриутробного развития плода. Исследование дает возможность получить множество различных сведений, одно из самых существенных для здоровья и развития плода — это показание уровня кислорода, поступающего в организм будущего малыша.

При помощи методики цветового допплеровского картирования можно не только обнаружить само состояние, но и «вычислить» виновника нехватки кислорода у ребенка.

Безопасность, практичность, удобство и результативность такого способа проведения исследования и диагностики сделали его одним из самых популярных, востребованных и информативных методик.

Добавить комментарий Отменить ответ

В продолжение статьи
Мы в соц. сетях
Комментарии
  • ГРАНТ – 25.09.2017
  • Татьяна – 25.09.2017
  • Илона – 24.09.2017
  • Лара – 22.09.2017
  • Татьяна – 22.09.2017
  • Мила – 21.09.2017
Темы вопросов
Анализы
УЗИ / МРТ
Facebook
Новые вопросы и ответы

Copyright © 2017 · diagnozlab.com | Все права защищены. г. Москва, ул. Трофимова, д. 33 | Контакты | Карта сайта

Содержание данной страницы исключительно ознакомительного и информационного характера и не может и не являет собой публичную оферту, которая определяется ст. №437 ГК РФ. Предоставленная информация существует с ознакомительной целью и не заменяет обследование и консультацию у врача. Имеются противопоказания и возможны побочные эффекты, проконсультируйтесь с профильным специалистом

Источник: https://diagnozlab.com/uzi/uzi-s-tsdk.html

Как проводится и что показывает УЗИ щитовидной железы с ЦДК?

УЗИ щитовидной железы с ЦДК позволяет специалисту увидеть индивидуальные особенности строения важного органа у пациента. Метод помогает определить причину, направление и скорость распространения поражения. Внутритканевый поток крови исследуется с помощью современного электронного прибора, медицинского оборудования. Это один из наиболее эффективных методов исследования эндокринного органа.

Разные подходы и мнения ученых

Современная медицина считает УЗИ эффективным методом выявления патологии щитовидной железы на ранних стадиях. Число больных увеличивается, поэтому эндокринологи внедряют методы, дающие многостороннюю информацию о качестве патологии. Цветное допплеровское картирование (ЦДК) расширяет возможности УЗИ в традиционном понимании. ЦДК, по мнению врачей-практиков, оценивается неоднозначно.

Существует несколько различных подходов:

  1. Метод имеет неоспоримую ценность (мнение большинства врачей).
  2. Не имеет большого значения, не дает новых дифференцированных данных о типах и видах патологии.
  3. Информация от ЦДК увеличивается при комбинации УЗИ с пункционной биопсией в серо- шкальном режиме.

Прогрессивный метод дает возможность не только выявить дефекты кровоснабжения щитовидки. Он обнаруживает опухолевые образования на стадии, когда другие методы исследования их не замечают. ЦДК позволяет глубже заглянуть внутрь происходящего. Опытный врач сможет провести после получения результатов дифференциацию патологий. Он отличит доброкачественную опухоль от опасного онкологического поражения. Суть и структура тканей новообразования будут видны в нескольких проекциях.

Комплексное обследование УЗИ щитовидной железы ЦДК рекомендуют, если у пациента обнаружены симптомы заболеваний щитовидки:

  • онкологические;
  • аденома;
  • злокачественные опухоли;
  • доброкачественные узловые образования;
  • тиреоидиты острого протекания и хронического характера.

Содержание информации, получаемое с помощью метода

Комплекс УЗИ с ЦДК считается сегодня самым используемым методом. Клиническая картина позволяет определить качество и степень поражения эндокринной системы. При использовании допплеровского картирования в цвете специалист видит не только сам обследуемый орган, но движение жидкости вокруг щитовидной железы. Врач просмотрит состояние сосудов. Цветовое ДК предоставляет эндокринологу нужную информацию в режиме реального времени. Два цвета, красный и синий, предают на экран движение крови: от датчика прибора и к датчику. Ошибочное мнение, что цвета – это тип сосудов: вены, артерии. Для расшифровки врач пользуется специальной таблицей, характеризующей проблему или тип заболевания.

Примерный перечень получаемых данных с помощью приборов:

  1. Скорость движения потока крови.
  2. Цветовая картина сосудов.
  3. Структура тканей отдельного кровеносного сосуда.
  4. Рабочий ритм щитовидки.
  5. Нарушения сосудистого снабжения железы.
  6. Опухолевые образования.

Назначение метода

Ультразвуковое исследование щитовидной железы с цветовым допплеровским картированием назначается при определенных диагнозах, подозрение на которые выявляет специалист:

  1. Повышенное артериальное давление.
  2. Эндокринные заболевания из-за нарушения в обмене углевода и воды.
  3. Болезни печени.
  4. Патологические отклонения в структуре кровеносных сосудов.
  5. Атеросклероз.

Метод комплексного обследования применяется при жалобах человека на постоянные отеки ног. Больные замечают боли в конечностях, судороги, появляются узлы на венах, видимые простым взглядом. Пациенты отмечают, что от обычных прикосновений появляются синяки. Еще одна жалоба – постоянно холодные ноги, ощущение мурашек, озноба. Если на ногах появляются язвы, они плохо вылечиваются даже с помощью врачей.

Метод УЗИ с ЦДК назначается специалистом после изучения всех симптомов, анализа жалоб, результатов анализов.

Гинекологи направляют на УЗИ с ЦДК беременных женщин, если появляется малейшее подозрение на неправильное течение периода вынашивания плода, проблемы здоровья, отклонения в формировании плода.

Современная аппаратура уточнит локализацию болезни. Если предполагается необходимость оперативного лечения, данные помогут хирургам, предоставят точные данные о расположении пораженных сосудов. Операция пройдет быстрее, период нахождения под наркозом сократится до минимума.

Описание процедуры и подготовки к ней

Важно знать, УЗИ щитовидной железы с ЦДК что это? Пациент должен заранее продумать предстоящую процедуру, морально и психологически к ней подготовиться, т. е. настроиться. Нельзя приходить к специалисту в состоянии стресса или шока. Страх не даст точной картины, все органы будут работать в состоянии напряженности. Советуют отказаться от тяжелой мясной пищи, влияющей на скорость движения крови. Нельзя перед процедурой наедаться до тяжести в организме. Понятно, что врач не примет пациента в состоянии алкогольного опьянения. Рекомендуется ограничить курение в день процедуры.

С собой в лабораторию берут пеленку (одноразовые салфетки). На них укладывается пациент при непосредственной процедуре исследования. Полотенце, ткань или гигиеническая салфетка потребуются, чтобы убрать специальную смесь (гель), которой будет смазана область проверки. Методика не вредит организму, не проводит облучения органа и тканей.

Есть у процедуры, как и многих медицинских действий, противопоказания:

Преимущество данной методики очевидно. Специалисты выделяют ряд плюсов и преимуществ УЗИ с ЦДК по сравнению с другими способами лабораторного анализа щитовидки.

Диагностика характеризуется следующими положительными характеристиками:

  1. Достаточно широкая информативность.
  2. Безвредность для человека.
  3. Точность данных.
  4. Безопасность для пациента.
  5. Быстрота процедуры.
  6. Безболезненность.
  7. Удобные условия исследования.
  8. Неинвазивность.

Исключительную пользу врачи отдают данному методу в случае необходимости обследования беременных, когда от способа проверки зависит здоровье развивающегося малыша. Все преимущества делают метод востребованным, популярным у специалистов и пациентов. Используемое оборудование постоянно развивается, улучшается и модернизируется.

Источник: https://schitovidka.com/diagnostika/uzi-shhitovidnoj-zhelezy-s-cdk-chto-eto.html

Что такое ЦДК при УЗИ?

Цель ультразвукового исследования заключается в диагностике внутренних органов, получении их точного изображения и оценке состояния беременности и будущего младенца. Своевременно проведенная процедура позволяет определить различные виды патологий на ранней стадии их развития. Однако результаты ультразвуковой методики не всегда могут предоставить полную информацию для того, чтобы сделать точный диагноз. Тогда специалисты решают проводить иное исследование, под диагностику которого попадает кровеносная система органов в виде ее строения и оценка состояния имеющегося кровотока. Применение УЗИ с ЦДК позволяет врачу получить максимально точные результаты.

УЗИ с ЦДК: что это такое?

Используя ультразвук, специалисты могут проводить исследование с целью получения точных данных о кровотоке, характеризующимся скоростью, характером, давлением, направлением движения и степенью проходимости.

Добавление ЦДК в УЗИ: что это? Данное исследование представляет собой добавление к обычному черно-белому УЗИ допплеровской оценки кровотока. Допплеровский эффект дает возможность организовать посылку и обратное получение ультразвука посредством определённого датчика. Кровоток в режиме ЦДК в зависимости от направления и скорости движения имеет оттенок одного из цветов. Если целью направления кровотока является датчик, то кодироваться будут красные тона, если имеет место обратное направление кровотока – синие.

Благодаря цветовому картированию у врачей появляется возможность наглядно оценить характер кровотока и провести визуализацию просвета сосуда.

Результат такого измерения представлен разницей между отражаемым показателем частоты и изначальным. Кроме того данная процедура позволяет диагностировать показатель скорости кровотока, его направление, а также получить информацию о строении сосудов и проходимости. Данный метод исследования позволяет диагностировать:

  • Насколько утолщена сосудистая стенка;
  • Есть ли место пристеночным тромбам или атеросклеротическим бляшкам;
  • Какова степень патологической извитости сосуда;
  • Присутствует ли аневризм сосуда.

Исследование способствует обнаружению сосудистых патологий, результат позволяет уточнить злокачественность процесса, вид новообразования и риски к его развитию и росту. В связи с тем, что у методики нет противопоказаний и болезненных симптомов, она может быть применима к любому пациенту многократно с учетом рекомендаций врача.

Когда назначается и проводится ЦДК в УЗИ?

Главная цель назначения допплерографии заключается в оценке кровотока, возникшего в том или ином сосуде. Толчком к назначению ЦДК в УЗИ становятся жалобы пациента и характер развития заболевания, говорящие о возможности появления сосудистой патологии. Чтобы определиться с пострадавшим сосудом и степенью его поражения, врач обращаетсяк данной методике исследования. Областью применения ЦДК в УЗИ являются все системы организма:

  • Если у пациента есть жалобы на присутствие болевых и иных дискомфортных симптомов в таких зонах как голова, шея, грудь, живот или руки, то выявить истинную их причину помогает ультразвуковое исследование в сочетании с ЦДК;
  • Для выявления заболеваний щитовидной железы специалисты прибегают к методу УЗИ с ЦДК, характеризующемуся простотой, доступностью, надежностью и безопасностью. При помощи такой диагностики щитовидной железы врач может выявить нарушения в ее структуре, вызванные различными заболеваниями. Прежде, чем назначить ЦДК в УЗИ, врач-эндокринолог проводит обследованием пациента методом ощупывания и анализ результатов крови на уровень гормонов.

УЗИ щитовидной железы рекомендовано пациентам, испытующим следующие симптомы: появились затруднения при глотании, нервозность, бессонница, резкий спад веса, повышение температуры на протяжении долгого времени. В качестве профилактики УЗИ щитовидной железы рекомендуется проходить следующим категориям граждан: возраст превышает 35 лет и место проживания характеризуется дефицитом йода, проводится лечение посредство гормональных препаратов, у ближайших родственников были проявления заболеваний щитовидной железы.

При обнаружении онкологического заболевания железы врач назначает прохождение более точной диагностики с добавление ЦДК. Целью процедуры является изучение строения и структуры щитовидной железы и исследование кровотока. Причиной назначения ЦДК в УЗИ становится аденома щитовидной железы, а также опухолевые узлы. Благодаря данному методу исследования щитовидной железы, у врача появляется возможность узнать о том, что спровоцировало развитие онкологии и в каком направлении распространяются метастазы.

В целях своевременного выявления патологий в области почек и иных органов брюшной полости, врачи рекомендуют проводить ультразвуковую диагностику данной зоны. Причиной для беспокойства может стать:

  • Наличие болевых и дискомфортных ощущений в области почек;
  • появление отечности, а также затруднений при мочеиспускании.

При возникновении подозрений на онкологическое заболевание почек или иных органов брюшной полости, пациенту назначается ЦДК. Также проведение диагностики органов брюшной полости, в том числе и почек, необходимо пациентам, ожидающим операцию, а также предрасположенным к таким заболеваниям как стеноз, тромбоз, разрывы сосудов или развитие аневризма.

Прохождение диагностики с применением ЦДК в УЗИ необходимо для женщин в период беременности в том случае, если врач подозревает наличие каких-либо проблем в здоровье пациентки или будущего ребенка.

УЗИ с ЦДК: что это за процедура и какая подготовка к ней требуется?

В зависимости от того, какому органу требуется ультразвуковое исследование, меняется степень подготовки. Если врач назначил пациенту ЦДК в УЗИ щитовидной железы и верхних и нижних конечностей, головы, то особые требования к подготовке к процедуре отсутствуют. Основные рекомендации включают в себя отмену тяжелой мясной пищи, влияющей на значение скорости кровотока, а также спиртных напитков и табачных изделий.

Намного больше требований предъявляется к пациентам, которым будут проводить УЗИ с ЦДК органов брюшной полости и в период беременности. Подготовка к проведению диагностики брюшной полости, в том числе и почек, заключается в соблюдении диеты. За 3 дня до процедуры необходимо исключить из пищи острые, жареные, сладкие продукты, а также капусту и бобовые. Перед началом диагностики должен пройти 8-часовой период голода. Также за 7 часов до начала исследования пациенту необходимо воспользоваться активированным углем в целях избавления кишечника от газов, что облегчит видимость почек и иных органов брюшной полости. По сути, у процедуры с ЦДК нет особых различий с обычным проведением УЗИ:

  • Пациенту необходимо иметь с собой любую подстилку на период проведения диагностики, а также любую материю для дальнейшего удаления контактного геля;
  • Любой вид обследования, в том числе и при беременности, проводится посредством передней брюшной стенки, без использования интравагинального датчика;
  • По той же методике проводится исследование органов малого таза с целью выявления различных заболеваний в области гинекологии;
  • В зависимости от исследуемого органа, пациенту необходимо освободить от одежды данную зону тела и принять удобное для специалиста положение;
  • Исследуемую область врач покрывает специальным контактным гелем, который помогает датчику лучше скользить;
  • Посредством вождения датчика и отражающихся ультразвуковых волн на экране формируется изображение, по которому происходит расшифровка данных.

На данную процедуру затрачивается не более получаса.

Самые новые статьи и обзоры

  • Разделы журнала
  • Голова и шея
  • Грудная клетка
  • Брюшная полость
  • Мочеполовая система
  • Мягкие ткани
  • Беременность
  • Для справки
  • Руки и ноги
  • О портале
  • О проекте
  • Контакты
  • Карта сайта

Копирование материалов сайта возможно при условии

установки активной индексируемой ссылки на наш сайт!

Источник: https://uziwiki.ru/myagkie_tkani/chto_takoe_tcdk_pri_uzi.html

Цветовое допплеровское картирование в диагностике опухолей матки

В статье рассматриваются возможности цветового допплеровского картирования (ЦДК) в дифференциальной диагностике опухолей матки. Сущность метода состоит в возможности визуализации всех движущихся жидкостей организма в режиме реального времени и проведения анализа их движения. Основными достижениями ЦДК в диагностике опухолевых процессов являются визуализация и оценка кровотока новообразованных сосудов опухоли, которые имеют свои характерные особенности. Система васкуляризации опухоли, как правило, представлена множеством мелких, очень тонких, аномальных по форме и расположению сосудов, хаотично разбросанных в пределах опухолевых тканей. Кровоток в этих сосудах характеризуется крайне низким сосудистым сопротивлением, высокой скоростью и разнообразным направлением. Метод ЦДК обладает высокой чувствительностью, специфичностью и точностью прогноза в ранней диагностике опухолей и их дифференцировки по степени злокачественности. Кроме того, оцененный с помощью цветового допплеровского картирования уровень васкуляризации позволяет прогнозировать быстроту роста выявленного образования. И.С. Сидорова, И.Н. Капустина, С.А. Леваков, А.Н. Саранцев

Кафедра акушерства и гинекологии факультета повышения послевузовского профессионального образования (зав. кафедрой — проф. И.С. Сидорова) Московской медицинской академии им. И.М. Сеченова,

Городская клиническая больница N 40 (глав. врач — засл. врач РФ М.И. Федорова), Москва.

Диагностическое значение цветового допплеровского картирования (ЦДК) трудно переоценить. Сущность этого метода состоит в возможности визуализации всех движущихся жидкостей организма в режиме реального времени и проведении анализа их движения. Исследование кровотока в сосудах новообразований, которые имеют свои характерные особенности, позволяет считать этот метод важным в дифференциальной диагностике доброкачественных и злокачественных опухолей матки [5].

ЦДК позволяет оценить три параметра кровотока одновременно: направление, скорость и характер (однородность и турбулентность). В силу высокой разрешающей способности применяемой в настоящее время аппаратуры возможна визуализация и идентификация мельчайших сосудов вплоть до системы микроциркуляторного русла, невидимых при сканировании в В-режиме [3,4].

Система васкуляризации опухоли, как правило, представлена множеством мелких, очень тонких, аномальных по форме и расположению сосудов, хаотично разбросанных в пределах опухолевых тканей. Кровоток в этих сосудах характеризуется крайне низким сосудистым сопротивлением, высокой скоростью и разнообразным направлением. Изображение кровотока при этом отличается выраженной яркостью цветового сигнала, а в «окраске» опухолевых тканей могут преобладать как основные цвета, так и «мозаичная» форма картирования. Эти особенности кровотока обусловлены наличием большого количества артериовенозных анастомозов среди новообразованных сосудов, которые обеспечивают высокую кинетическую энергию кро-вотока и объясняют широкую вариабельность его направления [5].

Метод ЦДК обладает высокой чувствительностью, специфичностью и точностью в ранней диагностике опухолевых заболеваний внутренних половых органов и их диф-ференцировке по степени злокачественности. Оцененный с помощью ЦДК уровень васкуляризации позволяет прогнозировать быстроту роста выявленного образования [4, 5].

Миома матки. Исследования, выполненные A. Kuljak и I. Zalud [18], показали, что из 291 наблюдения доброкачественных онколей матки в 157 (54%) случаях отмечались признаки васкуляризации опухоли, о чем свидетельствует обнаружение цветовых сигналов в ткани новообразования. Из 17 случаев злокачественных опухолей матки интенсивная васкуляризация выявлена в 16 (94%) наблюдениях, что подтверждено последующими морфологическими исследованиями.

Анализ кривых скоростей кровотока при миоме матки позволил установить следующие особенности. У всех пациенток отмечалось снижение резистентности в обеих маточных артериях. Диастолический кровоток всегда обнаруживался в основных артериях, кровоснабжающих миоматозные узлы. Cреднее значение индекса резистентности на уровне кровотока миометрия составило 0,54. Степень васкуляризации больше зависела от размеров опухоли, нежели от ее локализации. Численные значения индекса резистентности в маточных артериях в среднем составили 0,74+/-0,09 при васкуляризированных узлах и 0,80+/-0,10 при аваскуляризированной миоме матки (контроль 0,84+/-0,09) [5, 18-20].

Установлено, что рост миоматозных узлов напрямую зависит от увеличения кровотока в сосудистой системе матки. Кровоснабжение миоматозных узлов осуществляется из сосудов, представляющих собой ответвления терминальных отделов маточной артерии. Миоматозные узлы растут за счет пролиферации гладких мышечных клеток и фиброзной соединительной ткани, образуя псевдокансулу. Поэтому при ЦДК чаще видны сосуды, располагающиеся на периферии миоматозного узла. Расширенные сосуды, просматриваемые в наружной трети миоматозного узла, чаще всего представлены расширенными венами и артериями. Плотность расположения сосудов зависит от гистологического строения узла и от его локализации. Большее количество артерий отмечается но периферии узла, так как они являются продолжением аркуатных сосудов матки. В центральной части сосуды визуализируются в очень небольшом количестве. В этих случаях при морфологическом исследовании отмечаются некротические, дегенеративные и воспалительные изменения миоматозного узла [5, 16, 18-20].

Частота визуализации сосудов внутриопухолевого кровотока, но данным различных авторов, характеризуется большим разбросом (54-100%). Это обусловлено использованием различных доступов (трансвагинальное и трансабдоминальное сканирование). Установлено, что степень васкуляризации миоматозных узлов зависит не только от их размеров, но и от локализации [5,13,16,18-20].

По данным F. Aleem и М. Predanic [12], наиболее васкуляризованы субсерозные миоматозные узлы. При изучении показателей кровотока в этих узлах отмечены наиболее низкие численные значения индекса резистентности (ИР 0,43), что, по-видимому, зависит от крупного сечения артерии, проходящей через ножку субсерозного миоматозного узла. Интерстициальные и субмукозные миоматозные узлы характеризуются более высокой сосудистой резистентностью (ИР 0,59 и 50 соответственно).

Отмечается также снижение показателей сосудистой резистентности в маточных артериях и артериях неизмененного миометрия.

По данным S.E. Huang [17], внутриопухолевые значения пульсационного индекса пропорциональны размерам матки. Однако они не выявили зависимости показателей пульсационного индекса от клеточной пролиферации и ангиогенеза.

Принимая во внимание значительный разброс численных значений индекса резистентности в разных зонах миоматозного узла, авторы рекомендуют проводить регистрацию кривых скоростей внутриопухолевого кровотока как минимум в 3 участках узла. Измерения проводятся в подозрительных зонах узла (участки сниженной эхогенности, кистозные полости), которые, как правило, располагаются в центре узла опухоли [5, 16, 18, 19].

Цветовое допплеровское картирование используется многими исследователями для оценки эффективности консервативного лечения больных с миомой матки. После 4 мес приема аналогов гонадотропного рилизинг-гормона (АГТРГ) отмечается значительное увеличение сосудистой резистентности матки. В качестве критерия использовался индекс резистентности маточных артерий и крупных артерий миоматозных узлов. Индекс, резистентности маточных артерий до лечения составил в среднем 0,52, в крупных артериях миоматозных узлов — 0,48, а после лечения — 0,92 и 0,91 соответственно. Авторы сделали заключение о том, что уменьшение объема матки на фоне терапии АГТРГ обусловлено снижением васкуляризации матки [5].

Карцинома эндометрия. Рак эндометрия является довольно частой патологией и занимает второе место среди всех злокачественных заболеваний женских половых органов. Статистические данные последних лет свидетельствуют о существенном увеличении заболеваемости раком эндометрия. В нашей стране она ежегодно увеличивается приблизительно на 6% [2].

Наиболее частое клиническое проявление рака эндометрия — появление кровянистых аномальных выделений из половых путей, которые, несомненно, относятся к поздним проявлениям этой патологии.

Многочисленные исследования свидетельствуют о том, что основное внимание при диагностике рака эндометрия отводится определению толщины М-эха [10]. В менопаузе этот показатель, превышающий 5 мм, рассматривается как ведущий эхографический признак данной патологии, что требует комплексного обследования для уточнения диагноза (раздельное диагностическое выскабливание).

С точки зрения В.Н. Демидова [1, 2], наиболее характерными признаками рака эндометрия являются следующие:

— неоднородность внутренней структуры образования;

— более высокая эхогенность но сравнению с мышцей матки;

— большие размеры образования, составляющие половину толщины матки или более;

— наличие жидкостных включений неправильной формы и различной величины;

— заметное увеличение размеров образований при динамическом наблюдении;

— отсутствие четкого изображения контуров матки вследствие перехода опухолевого процесса на смежные органы.

В настоящее время известно, что в большинстве случаев рак эндометрия возникает на фоне предраковых заболеваний. Г.М. Савельева и В.Н. Серов [7] наблюдали переход доброкачественных неопластических процессов в рак у 79% больных. К предраковым заболеваниям относят атипическую гиперплазию, аденоматозные полипы, железисто-кистозную гиперплазию в менопаузе (особенно рецидивирующую) или развивающуюся на фоне нейроэндокринных нарушений. Другие виды патологии эндометрия переходят в рак крайне редко.

Из данных В.Н. Демидова и С.П. Красиковой [2] следует, что применение эхографии у женщин и своевременное выявление и ликвидация доброкачественного неопластического процесса позволили снизить частоту возникновения рака эндометрия в 6,2 раза. Так, до применения эхографии рак I стадии был установлен у 50% больных, II стадии — у 32%, III стадии — у 4% и IV стадии — у 8%. В последние 5 лет применения эхографии эти показатели составили соoтветственно 75, 20, 5 и 0%.

Однако применение ЦДК с анализом кривых скоростей кровотока является более точным методом диагностики карциномы эндометрия, так как в подавляющем болыиинстве случаев заболевания отмечаются патологические кривые скорости кровотока, характерные для сосудов со сниженной резистентностью.

В исследовании, проведенном у 35 женщин с карциномой эндометрия в постменопаузе было установлено, что эндометриальный кровоток регистрировался в 91% случаев: внутриопухолевый — в 29%, периопухолевый — в 45%, их сочетания — в 26%. Индекс резистентности (ИР) при карциноме эндометрия составил 0,42+/-0,02, в норме при атрофичном эндометрии и в большинстве случаев гиперплазии эндометриальный кровоток не визуализировался. Новообразованные сосуды при интраопухолевом типе просматриваются в режиме цветовой допплерографии внутри М-эха, а при периопухолсвом типе — непосредственно по наружной границе М-эха. Индекс резистентности при интраопухолевом кровотоке составляет 0,39, при периопухолевом — 0,43, что значительно ниже, чем в группе пациенток с гиперплазией эндометрия — 0,65 [5, 13, 16. 20].

7. Bourne и соавт. [13] при обследовании 223 женщин в постменопаузе (атрофия эндометрия — 199, карцинома эндометрия — 24) обнаружили, что при аденокарциноме толщина эндометрия составляла в среднем 20,2 мм, тогда как при атрофии -1,35 мм. Пульсационный индекс (ПИ) маточных артерий значительно ниже при раке, чем при атрофии (1,0 и 3,8 соответственно). По данным других авторов, у женщин и постменопаузе с наличием кровянистых выделений из половых путей прогностическая ценность положительного результата цветового допплеровского картирования составила 94%, отрицательного — 91% [5].

Однако более оправдано оценивать кривые скоростей кровотока в специфических сосудах (внутри- и периопухолевых). Пульсациоиный индекс является менее чувствительным критерием, чем индекс резистентности сосудов [20].

P. Sladkevicius и L. Valeiitin (цит. по В.К. Митькову и соавт. [5]) провели обследопание 138 нациепток в постменопаузе не более чем за 8 дней до планируемой операции. У 114 женщин после операции установлены доброкачественные изменения эндометрия и у 24 — злокачественные изменения. Толщина эндометрия при доброкачественных процессах составила 5,5 мм (индивидуальные колебания от 1 до 44 мм), при злокачественных — 24 мм (от 7 до 56 мм). Исследование кровотока производили в маточных артериях, а также в интра- и периопухолевых сосудах. Число случаев обнаружения сигналов в режиме ЦДК было достоверно выше при раке эндометрия, чем при его доброкачественных изменениях, как при исследовании сосудов эндометрия (87 и 34%), так и вокруг него (91 и 58%). Пульсационный индекс в маточных артериях был достоверно ниже при злокачественных процессах эндометрия. В то же время ПИ в интра- и периэндометриальных артериях при злокачественных и доброкачественных процессах не различались между собой. Применение ЦДК для дифференциальной диагностики доброкачественных и злокачественных изменений эндометрия позволяет использовать только такой показатель, как толщина эндометрия [5].

С. Ракиц и соавт. [6] провели проспективный анализ 64 случаев патологии эндометрия с использованием классической серой шкалы в сочетании с цветовым допплеровским картированием для диагностики рака эндометрия. Патологический кровоток, неоваскуляризация характеризовались присутствием «горячих точек» в эндометрии. «Горячие точки» заметно отличались от окружающих кровеносных сосудов. «Горячие точки» представляют собой последовательность вновь образованных хаотичных шунтов и альтернативных изменений в кровотоке. Индексы резистентности и пульсации измерялись в отдельных кровеносных сосудах, что позволило доказать отсутствие мышечной оболочки в стенке артериальных сосудов в бассейне неоваскуляризации. В случае патологии диастолический кровоток был ускорен, но индексы оставались низкими. Границы объемов для ИР 0,4 и ИП 1 в исследовании не отличались от общепринятых.

Рак эндометрия выявлен в 12 случаях, доброкачественная патология в 52 случаях. Отсутствие кровотока выявлено у 48 больных с доброкачественными и 4 — злокачественными изменениями эндометрия.

При наличии патологического кровотока «горячие точки» визуализировались в 8 случаях злокачественных и 4 — доброкачественных изменений (специфичность 92%, прогностическая ценность положительного результата теста 67%, прогностическая ценность отрицательного результата теста 92,3%). Однако их исследования не выявили различия в уровнях скорости кровотока в первичных и вторичных кровеносных сосудах, но показали разницу между двумя группами больных для ИР и ИИ. Оба индекса имеют высокую корреляцию и специфичность, равную 92%. Прогностическая ценность неудовлетворительна: для ПИ — 46% и ИР — 56%. Это может быть объяснено следующим образом: мелкие и извитые сосуды эндометрия выранивают угол допплеровского отражения звука, что приводит к ошибке из-за низкой скорости кровотока. Авторы пришли к выводу, что комбинация двух УЗ-методов представляет собой ценность для скрининга по обнаружению рака эндометрия [6].

Л.Е. Терегулова [9], обследуя 218 пациенток с гистологически подтвержденным раком эндометрия, пришла к выводу, что ультразвуковое исследование позволяет определить степень развития рака эндометрия, глубину инвазии и распространенность процесса, так как с ростом аденокарциномы эндометрия вначале становятся доступными для регистрации венозные, а затем артериальные сосуды с характерным для злокачественных опухолей низким индексом резистентности: ИР


Смотрите также