Что показывает рентген грудного отдела позвоночника

Что показывает рентген грудного отдела позвоночника[Что показывает рентген грудного отдела позвоночника]

Рентген грудного отдела позвоночника, что показывает и как помогает в диагностировании

Сегодня трудно найти человека, не способного дать ответ на вопрос, что дает рентген грудного отдела позвоночника. Каждый знает об этом распространенном и доступном методе исследования клетки груди, направленного на установление, например, такой патологии, как остеохондроз или иных заболеваний. Такое обследование назначается каждому, кроме случаев беременности, когда необходимо дать заключение на наличия болевых синдромов в грудном отделе спины. Анализ недугов производится с помощью рентгеновских лучей. Сделать рентген грудного отдела – это значит установить диагноз или уточнить его важные критерии.

Понятие флюорографии и частота ее проведения

Каждое серьезное обследование грудного или поясничного отдела позвоночника, кроме случаев беременности, сопровождается наличием у больных больших листов рентгеновских снимков. Их заставляют сделать, чтобы в деталях иметь информацию о состоянии каждого элемента спины.

Флюорография – это методика переноса отснятых частей поясничного или грудного участка позвоночника из рентгеновского снимка на обычную фотографическую пленку в уменьшенном состоянии. Сегодня такие фотографии клетки груди обрабатываются на специальной технике и сохраняются на электронных накопителях. Если лечащему доктору понадобится обзорная расшифровка, то он может легко найти нужные кадры, превратить их в фотографии и дать заключение.

С помощью флюорографии удается сделать заключение о проведенном исследовании многим пациентам в быстром темпе. Именно в этом и заключается основное преимущество данного метода диагностирования, кроме случаев беременности. Но расшифровка флюорографического снимка, например, шейно–грудного или поясничного отдела не предоставляет врачу полную информацию в самых мельчайших подробностях. Поэтому такой вид обследования, в основном, назначают для определения туберкулеза легких. Доза облучения не позволяет проводить рентген органов дыхания больше двух раз в год.

Чтобы получить более полно обзорный анализ патологий хребта, необходима рентгенография грудной клетки. Она делается обычно в двух и более проекциях, что позволяет рассмотреть самые мельчайшие патологические изменения в области шейно–грудного и поясничного отдела хребта.

Случаи необходимости применения рентгенологии

Рентген грудной клетки должен проводиться, когда присутствует постоянно дискомфорт в области хребта при самых незначительных физических нагрузках. Кроме этого, такая процедура назначается в следующих случаях:

  • присутствие болевых ощущений в шейно – грудном отделе или поясничной области хребта;
  • проявления симптомов инфекционного недуга;
  • повреждение хребта механическим способом – расшифровка снимка позволяет установить степень травмы;
  • при подозрении на сколиоз или остеохондроз;
  • когда присутствует потребность сделать снимок для проверки наличия опухоли.

Необходимо помнить, что рентгенография грудной клетки является обязательной процедурой после хирургического вмешательства для контроля процесса возобновления функционирования поврежденного участка. Она показывает, как проходит заживления и восстановления. При таком исследовании врачами обязательно контролируется доза облучения и ее установленная норма.

Подготовка к процедуре

Рентген грудной клетки, кроме случаев беременности, проводится, когда пройдена специальная подготовка пациента. Обзорный снимок получается, когда перед процедурой соблюдается специальная диета, исключающая набор продуктов — хлеб, приготовленный из серых сортов муки, молоко, блюда, куда включена свежая капуста и еда, где содержится картофель и фасоль.

Здесь стоит помнить, что нельзя употреблять продукты, способствующие возрастанию метеоризма. Чтобы в желудочном и кишечном тракте не было большого скопления газов, больному до того, как будет проведена рентгенография грудной клетки, рекомендуют принимать ряд препаратов и процедур. Это делается для того, чтобы расшифровка снимка была четкой и имела обзорный вид. К ним относятся:

  • таблетки активированного угля на протяжении трех дней;
  • настойка валерианы по 15 капель три раза в день;
  • подготовка должна включать клизму перед рентгеном шейно – грудного отдела хребта;
  • перед началом обследования пациенту не рекомендуется принимать пищу.

Кроме еды, обязательно должен учитываться критерий, как доза облучения, особенно когда присутствуют факты беременности.

Способы выполнения

Для того чтобы, например, четко сделать описание такого недуга, как остеохондроз шейно – грудной области, применяется рентгенография грудной клетки в двух или трех проекциях. Это выполняется с обязательным учетом такого критерия, как доза облучения.

Методика проведения рентгена шейно – грудного отдела спины в двух или трех проекциях является простой. Участок хребта обследуется спереди, сзади и сбоку. Чтобы получилась обзорная картина недуга, больной должен оголить торс и снять все украшения. Потом он должен лечь на спину и после перевернуться набок или на живот. Обычно процедура получения снимка в двух или трех проекциях занимает двадцать пять минут. Здесь обязательно учитывается доза облучения, то есть, его норма.

После того, как остеохондроз обследован с помощью рентгеновских лучей, врач, выполнивший диагностику, анализирует полученный обзорный снимок. Анализ показывает степень развития болезни. Все результаты записываются в карточку пациента, а также указывается доза облучения, чтобы строго контролировалась его норма.

Противопоказания рентгенографии

Диагностировать остеохондроз или другую болезнь с помощью рентгеновских лучей не рекомендуют, когда присутствуют следующие факторы — беременность, когда нарушена нормальная двигательная способность, а также наличие ожирения организма.

Сегодня рентгенология является основным способом диагностировать остеохондроз и другие заболевания позвоночника. Также она помогает установить наличие травмы и степень ее серьезности.

Рентгенограмма грудного отдела позвоночника

Рентгеновское исследование — один из самых распространенных способов выявления патологий опорно-двигательного аппарата. Рентген грудного отдела позвоночника позволяет врачу сделать вывод о нарушениях строения позвоночника в этом отделе.

Когда назначают процедуру?

Исследование проводится при подозрениях на различные нарушения в работе опорно-двигательной системы. Рентген грудного отдела назначают в следующих случаях:

  1. Если пациент жалуется на боли в спине при наклонах и поворотах туловища, а также на дискомфорт в области грудной клетки. Проводится для диагностики патологий позвоночника.
  2. При сколиозе. При этом заболевании необходимо регулярно обследоваться, чтобы отследить динамику течения болезни.
  3. Если есть подозрения на травму позвоночника в грудном отделе.
  4. При подозрениях на опухолевый процесс.
  5. При подозрениях на инфекционные заболевания.
  6. После проведения операций по восстановлению позвоночника.
  7. Если есть подозрение на попадание инородного тела в дыхательные пути.

Подготовка и проведение рентгенографии

Проведение рентгенографии не требует предварительной подготовки. Однако желательно для собственного комфорта перед проведением процедуры не употреблять продукты, вызывающее повышенное газообразование в кишечнике.

Пациенту непосредственно перед началом процедуры необходимо раздеться до пояса, снять все металлические украшения. Во время проведения исследования необходимо лежать неподвижно.

Для более точной диагностики исследование проводят в двух проекциях:

Как делают процедуру:

  1. Для проведения процедуры в боковой проекции человек находится на диагностическом столе аппарата, лежа на боку. Руку с той стороны, на которой лежит, пациент должен поднять наверх и положить на нее голову. Ноги должны быть согнуты, другой рукой следует обхватить колени и прижать их к животу.
  2. Для проведения процедуры в прямой проекции пациент ложится на спину, ноги выпрямлены, руки лежат вдоль туловища.

Для исследования грудного отдела редко применяют функциональные пробы, т.к. этот отдел характеризуется низкой подвижностью. Однако если врач считает проведение такой пробы целесообразным, то он сам решает, в какой позе необходимо провести обследование для выяснения причины боли.

Что можно увидеть на снимке?

Оценить и разобрать результат рентгена может только врач. Снимки, полученные при проведении процедуры, бывают готовы на следующий день.

Что показывает рентген:

  • состояние суставных щелей;
  • наличие или отсутствие переломов, смещений;
  • состояние костной ткани позвонков;
  • состояние поверхностей позвонков;
  • форму позвонков;
  • размеры и расположение остистых отростков позвонков.

Рентгеновское исследование не показывает мышцы и связки, а также мягкие ткани, патология которых также может быть источником болезненных ощущений. Поэтому если рентгенограмма показала отсутствие патологий, а боли при движениях есть, то необходимо провести исследования, которые определят состояния мышц и связок.

Т.к. обследование показывает все патологии костной и хрящевой системы, на снимках можно выявить следующие заболевания:

  • остеохондроз;
  • сколиоз;
  • переломы;
  • опухоли позвоночника;
  • смещения позвонков;
  • патологические изменения костной ткани позвоночника;
  • туберкулез позвоночника;
  • нарушения строения суставов;
  • протрузии;
  • истончение межпозвоночных дисков;
  • генетические аномалии позвоночного столба;
  • трещины позвонков;
  • аутоиммунные патологии — болезнь Бехтерева, ревматоидный артрит, ревматизм.

Рентгеновский снимок — это черно-белое изображение, где белые участки — это костная ткань. Хрящевая ткань на изображениях не видна, однако толщину межпозвоночного диска врач может определить по расстоянию между позвонками. Различные темные пятна могут указывать на новообразования.

Противопоказания

Рентген позвоночника, как и любая другая диагностика, имеет некоторое количество противопоказаний. Исследование нельзя проводить беременным женщинам, т. к. даже небольшая доза облучения, которая безопасна для взрослого человека, может быть губительна для плода.

Исключение составляют угрожающие жизни состояния, когда опасность от проведения процедуры несоизмеримо мала по сравнению с риском, которому подвергается женщина, отказавшись от исследования.

Рентгенография не проводится детям до 15 лет по той же причине — действие излучения может быть опасно для несформированного детского организма.

Аппарат для рентгена не предусматривает вес пациента более 130 кг, поэтому пациенты с высокой степенью ожирения не могут пройти обследование из-за лишнего веса. Проходить процедуру человеку с избыточной массой тела не имеет смысла, потому что большое количество подкожно-жировой клетчатки делает снимки нечеткими, и это не дает врачу получить необходимые для диагностики результаты.

Нельзя проводить рентген, если до этого были исследования с бариевой взвесью, т. к. ее наличие в организме может смазать результаты рентгена, поэтому необходимо подождать 4–5 дней, пока барий не выйдет из организма.

Рентгенография безопасна для организма при соблюдении всех правил, однако частое проведение обследования может оказывать негативное влияние на организм. Тем не менее это влияние менее опасно, чем отсутствие объективной информации о состоянии здоровья, поэтому рентген при наличии показаний делать необходимо.

Показания и подготовка к рентгену позвоночника: что показывает исследование?

Главная » Диагностика » Показания и подготовка к рентгену позвоночника: что показывает исследование?

4456 0

Рентген (рентгенография) – это исследование органов человеческого тела при помощи рентгеновского излучения.

При этом изображение исследуемого объекта проецируется на чувствительную пленку или фотобумагу.

Врач получает проекционное изображение органа посредством прохождения через него лучей Рентгена.

Что такое рентген

Получение изображение на особой чувствительной пленке основывается на том, что рентгеновской излучение ослабляется при прохождении его через те или иные ткани.

В результате этого на пленке получается изображение с разной степенью интенсивности. На рентгеновской пленке получается так называемое усредненное изображение. Это говорит о том, что для получения нужного снимка проводится исследование неоднородных органов.

Необходимо, чтобы снимки проводились как минимум в двух проекциях. Это связано с тем, что исследуется трехмерный объект, а рентгенограмма – это плоское, двухмерное изображение.

Расположение патологической области можно увидеть как раз в двух проекциях.

Мощность рентгеновского излучения зависит от исследуемого органа, габаритов пациента. Запись же изображения в РФ проводится, как правило, на чувствительную пленку.

Какие патологии позволяет выявить?

На сегодняшний день этот вид диагностики остается одним из самых популярным. Это связано с ее простотой, дешевизной и высокой информативностью.

По сравнению с магнито-резонансной томографией и компьютерной томографией рентгенография позвоночника является более доступной.

Итак, что показывает рентген позвоночника:

Однако, рентгенография не позволяет увидеть патологию межпозвоночных дисков.

По данным такого исследования можно косвенно судить о состоянии этой части позвоночника, что имеет определенную ценность в комплексной диагностике.

Когда назначается рентгенография

Рентгенография позвоночника назначается в таких целях:

  • определение причины возникновения болей в позвоночнике или конечностях;
  • появление чувства слабости или онемения в позвоночнике;
  • диагностика изменений межпозвоночных дисков;
  • определение наличия травм позвоночника различного происхождения;
  • выявление остеохондроза и воспалительных процессов в позвоночнике;
  • диагностика искривления позвоночника различных форм и происхождения;
  • определение врожденных патологий позвоночника у новорожденных;
  • диагностика состояния позвоночных артерий.

Исследование пояснично-крестцового отдела

Рентген пояснично крестцового отдела позвоночника – простая и достаточно информативная процедура. Она позволяет обнаружить даже самые небольшие отклонения в этой части позвоночника.

Врач может адекватно оценить состояние пояснично-крестцового отдела, состояние коркового слоя. Хорошо видна структура позвонков, их мягкие ткани.

Такое исследование назначают при таких патологических состояниях:

Рентненография неэффективна при диагностике растяжений мышц, связок.

В этом отделе позвоночника повреждения случаются довольно часто, так как он очень уязвим и притом слабо защищен мышечной тканью.

Между тем грыжи, остеохондрозы в этом отделе развиваются достаточно быстро и могут нанести огромный вред здоровью.

Врачи рекомендуют делать рентген шейного отдела позвоночника при наличии таких показаний:

  • постоянные головные боли различного происхождения;
  • головокружения, которые случаются часто и без видимых причин;
  • появление «мушек» перед глазами, ряби в глазах;
  • онемение рук и ног, изменение в походке.

Достоинство такого исследования – низкая стоимость, возможность увидеть все изменения шейных позвонков. Врач также может увидеть наличие образований на костях – остеофитов.

Кроме того, на рентгенограмме этого отдела позвоночника видны такие изменения:

  • последствия сколиоза, родовых травм;
  • переломы в шейном отделе;
  • смешение позвонков;
  • остеохондроз;
  • новообразования различной природы;
  • артриты.

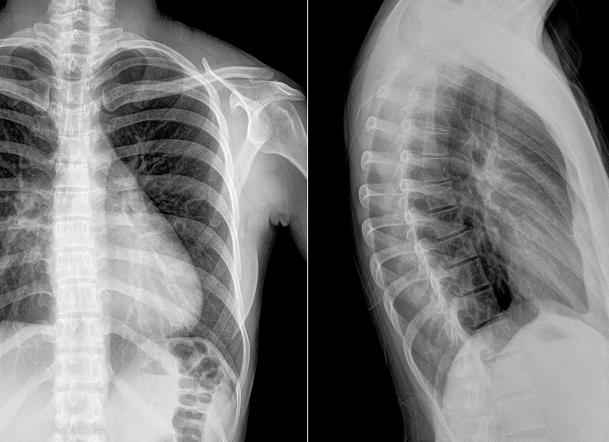
Рентгенография грудного отдела позвоночника

Это исследование дает возможность получить подробное изображение грудных позвонков. По изображениям врач будет судить о состоянии межпозвоночных дисков, наличии искривления позвоночника, а также других деформаций органа.

Рентген дает возможность увидеть:

  • все грудные позвонки;
  • патологические искривления позвоночника;
  • наличие новообразований в позвоночнике;
  • остеохондроз;
  • поражение грудного отдела инфекционным процессом.

Обычно бывает, что нижние два или три позвонка не видны на снимке отчетливо. Это связано с тем, что они перекрываются плотными тканями органов брюшной полости.

Нужно учесть и то, что при развитии выраженного кифоза грудного отдела изображение позвонков может значительно искажаться.

Рентгенографию этого отдела показано делать при таких заболеваниях:

  • боли в области живота, грудей;
  • головные боли;
  • головокружение, которое появляется при резких наклонах или поворотах головы;
  • головокружение или боль, появляющиеся в результате неудачных поворотов шеи;
  • онемение конечностей.

Подготовка к рентгенографии

Подготовка к обследованию зависит от отдела позвоночника, который необходимо диагностировать.

Подготовка к рентгену поясничного отдела позвоночника включает в себя такие действия:

  • исключение из рациона продуктов, стимулирующих газообразование, за два – три для до процедуры;
  • прием ферментных препаратов (например, Фестал, Мезим), активированного угля;
  • проведение очистительной клизмы накануне исследования;
  • последний прием пищи должен быть не позже семи часов вечера накануне рентгенографии.

При рентгенографии других отделов позвоночника специальная подготовка не требуется.

Как проводят диагностику?

До проведения диагностической процедуры пациент должен выполнять все предписания врача. В первую очередь, во врачебном кабинете надо раздеться до пояса, а также снять с себя все ювелирные украшения.

Во время диагностического исследования больному необходимо по просьбе врача ложиться на спину, на бок, наклоняться. В течение довольно длительного периода (а это может быть около 10 – 15 минут) надо лежать неподвижно.

Больным, которые не могут лежать в одном положении столь длительное время, не назначают исследования. Пациенту надо быть готовым к тому, что необходимо задерживать дыхание в момент, когда об этом попросит врач.

Рентгеновское исследование на назначается часто, поскольку оно вредит организму. Врач старается подбирать интенсивность облучения только в минимальной дозе.

А беременным, кормящим женщинам, маленьким детям такой вид диагностики и вовсе противопоказан.

К положительным качествам данного вида диагностики относят:

  • возможность немедленного обследования пациента, как только он обратился в клинику;
  • рентгеновская аппаратура есть практически в каждом лечебном учреждении, так что всегда есть возможность сделать снимок в экстренном случае;
  • низкая стоимость диагностики;
  • существует возможность оцифровать изображение;
  • предварительной подготовки пациента в большинстве случаев не нужно, что сокращает время на обследование.

В то же время рентгенография позвоночника имеет некоторые недостатки. Вот на что необходимо обратить внимание в первую очередь:

  • по сравнению с другими методами исследования рентгенография наименее информативна;
  • рентгеновские лучи оказывают радиационное воздействие на организм.

Что лучше: рентгенография или МРТ

На фото рентген поясничного отдела позвоночника

Для того, чтобы понять, какой из этих методов диагностики лучше, надо знать их предназначение.

Томография хорошо показывает нарушения в мягких тканях.

Выбор в пользу рентгенографии или МРТ делается на основании поставленного диагноза.

Врач обязательно назначит необходимое обследование и никогда не будет предлагать делать то, чего не нужно.

Кому не назначается данный вид диагностики?

Главное противопоказание для такой диагностики – это беременность.

Рентгеновские лучи могут отрицательно сказываться на состоянии плода.

Если пациент в течение 4 часов проходил исследование с использованием бариевой смеси, то рентгенографию позвоночника также не проводят.

Снимки получаются нечеткими и малоинформативными, если пациент не может находиться долгое время неподвижно, а также, если у него имеется ожирение.

Доступная цена

Поскольку рентгеновские установки есть во многих клиниках страны, сделать обследование в РФ не предоставляет трудностей.

Обратившись в любую клинику, можно пройти необходимые процедуры.

Цена рентгенографии позвоночника зависит от качества услуги, авторитетности клиники, объема предоставляемых услуг. Она также будет отличаться в зависимости от региона.

Рентгенография позвоночника – доступное и информативное обследование. Оно позволяет обнаружить многие патологии развития позвоночника, травмы, новообразования. Ее можно проводить во многих экстренных случаях.

Все же ввиду специфики действия рентгеновских лучей на организм не рекомендуется проводить такое исследование очень часто.

Что показывает рентген позвоночника: возможности обследования

На сегодняшний день рентгенологическое исследование по-прежнему является востребованным диагностическим методом патологических состояний позвоночного столба. Процедура проста в проведении и не требует больших денежных затрат. Благодаря тому, что показывает рентген позвоночника, можно распознать большинство заболеваний и травм опорно-двигательной системы.

В большинстве случаев причиной обращения к специалистам становятся болевые ощущения в спине. Боль может быть различной интенсивности и распространенности, поэтому для уточнения деталей используют рентгеновское исследование.

Показания к рентгенографии:

  • боли в различных отделах позвоночника;
  • онемение верхних и нижних конечностей;
  • состояние после травмы на предмет переломов, вывихов, подвывихов позвонков; выявление или исключение искривления позвоночного столба;
  • для контроля состояния позвоночника в послеоперационный период;
  • подозрение на воспалительный или опухолевый процесс;
  • подозрение на врожденные аномалии /чаще проводят у детей/.

Когда формальности соблюдены, и рентгеновский снимок уже в руках у специалиста, то остается дело за малым. Прежде всего доктор либо подтвердит, либо опровергнет свои предположения. Дальнейшая тактика лечения или коррекции будет определена в индивидуальном порядке.

Обследование шейных позвонков

Что показывает рентген позвоночника в шейном отделе? Информативный метод позволяет обнаружить следующие патологические процессы:

  • деформацию позвонков и смещение дисков между позвонками;
  • воспаление в суставах;
  • опухолевидные образования;
  • вывихи и подвывихи шейных позвонков;
  • радикулит (сдавление нервных корешков);
  • признаки патологического кифоса (выпуклость позвоночника).

Кроме этого, рентгенологическое обследование подтверждает факт присутствия остеохондроза и нестабильности шейных позвонков. С целью уточнения диагноза используются ряд функциональных проб, позволяющих детально отразить патологические очаги на снимках.

Исследование грудных позвонков

Что показывает рентген грудного отдела позвоночника? Зачастую приходится прибегать к диагностике посредством рентгена, чтобы обнаружить:

  • деформацию отдельных позвонков;
  • наличие изменений в костных структурах, характерных для остеохондроза;
  • патологию межпозвонковых дисков реберно-позвонкового сочленения;
  • опухолевый процесс;
  • последствия травматического повреждения позвоночника;
  • аномальное развитие позвонков;
  • наличие остеопороза (снижение плотности костной ткани).

Обследование поясничных позвонков

В результате обследования что покажет рентген поясничного отдела позвоночника? Полученная серия рентгеновских снимков позволит безошибочно установить или отклонить следующую патологию:

  • грыжевое выпячивание;
  • новообразование или метастазы;
  • искривление позвоночного столба;
  • посттравматические нарушения;
  • остеохондроз;
  • остеопороз.

Рекомендуем

Рекомендуем прочесть статью о методах диагностики сколиоза у детей и взрослых. Какие методы наиболее достоверны для определения искривления позвоночника. Какие новые подходы в скрининге сколиоза существуют сегодня — вы узнаете из этой статьи.

Исследование крестцовой области

В большинстве случаев к рентгенографии крестца склоняются при тревожных симптомах:

  • болевых ощущениях с иррадиацией в отдаленные участки позвоночника;
  • повышении температуры тела до фебрильных цифр;
  • скованности движений.

Так что же показывает рентген крестцового отдела позвоночника? Как правило, это различного рода травмы (трещины и переломы кости), признаки воспаления или опухолевого процесса.

Обследование пояснично-крестцового отдела

А что показывает рентген пояснично-крестцового отдела позвоночника? Соединение поясничных позвонков непосредственно с крестцовой костью может быть подвергнуто следующей патологии:

  • сочетанной травме позвонков поясничной области и крестца;
  • грыжевому выпячиванию в месте сочленения;
  • сколиотическому искривлению позвоночного столба в области поясницы;
  • остеохондрозу, артрозу и артриту;
  • опухолевидному образованию с возможным метастазированием.

Видео о проведении рентгенографии поясничного отдела позвоночника:

Возможности обследования

Пациенты довольно часто задают волнующие их вопросы перед обследованием, на предмет патологии опорно-двигательного аппарата. Покажет ли рентген грыжу позвоночника? И сможет ли рентген показать опухоль позвоночника? Сомнения пациентов безусловно оправданы, потому как для них важно исключить серьезное заболевание, нежели вступить в борьбу с недугом. Главное не паниковать и не делать преждевременные выводы.

Современная медицина и высокая квалификация специалистов позволяет полностью исключить заболевание или же вынести вердикт, обосновывая свой диагноз дополнительными методами обследования.

Если грыжевое выпячивание имеет место, то врач, после оценки рентгенологической картины, даст рекомендации и назначит консервативное лечение.

Исходя из результатов терапии доктор будет корректировать и дополнять лечебные процедуры. В случае с доброкачественным или злокачественным новообразованием все намного сложнее. Но нет ничего не возможного в условиях современной медицинской помощи. Как правило, раннее выявление страшной болезни — это первый и самый важный шаг на пути к выздоровлению.  


Смотрите также