Что показывает рентген грудного отдела позвоночника в двух проекциях

Что показывает рентген грудного отдела позвоночника в двух проекциях[Что показывает рентген грудного отдела позвоночника в двух проекциях]

Рентген грудного отдела позвоночника

Рентген грудного отдела позвоночника в Немецкой семейной клинике на Варшавской (отделение для взрослых): исследование и расшифровка снимков. Запись на рентген по телефону (812) 432-32-32, (812) 337-12-12.

Грудной отдел позвоночника включает 12 позвонков и связан с задней стенкой грудной клетки. По форме ассоциируется с буквой С. Ребра крепятся к грудным позвонкам посредством суставов, при этом передние отделы ребер образуют целостный каркас – грудную клетку. Грудной отдел не является самой подвижной частью позвоночника, возможно сгибание, разгибание, наклоны в стороны. Грудной отдел выполняет защитную, а также дыхательную функцию, поэтому вследствие развития паталогических процессов часто возникает дыхательная недостаточность, что в свою очередь несет негативные последствия для всех органов и систем человеческого организма. Для своевременной диагностики широко используется метод рентгенографии. 

Рентген грудного отдела позвоночника: что может стать причиной направления и что покажет снимок

Рентген грудного отдела позвоночника может быть назначен врачом в таких случаях:

  • жалобы пациента на дискомфорт в области спины, верхних и нижних конечностях, ощущения онемения пальцев;
  • после различного рода механических воздействий на грудной отдел вследствие травм;
  • боли между лопатками, вдоль ребер, а также в области груди, которые усиливаются при поворотах и наклонах;
  • видимые деформации позвоночного столба;
  • послеоперационный период (после операций на позвоночнике)

Результаты лучевой диагностики и детализированное описание полученного изображения специалистом дадут возможность врачу, направившему на рентген:

  • диагностировать перелом, вывих, подвывих грудного отдела;
  • выявить в суставах процессы патологического, системного воспалительного и инфекционного характера, в том числе туберкулез;
  • обнаружить опухоли и другие новообразования различного происхождения;
  • выявить метастазы;
  • определить врожденные патологии у грудных детей;
  • визуализировать лордоз, кифоз, а также деформацию суставов;
  • определить признаки остеопороза и остеохондроза грудного отдела.

Методика рентгенографии грудного отдела позвоночника

Что показывает рентген грудного отдела позвоночника, насколько информативен полученный снимок во многом зависит от ряда факторов: какое рентгенологическое оборудование используется, насколько хорошо обследуемому удается сохранить неподвижное положение во время получения рентгенограммы, правильность выбора проекций для исследования и т.д.

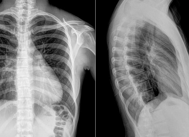
Как правило, для того, чтобы избежать затенения органами брюшной полости и получить информативный снимок, делают рентген грудного отдела позвоночника в двух проекциях: прямой и боковой. Для получения снимка в прямой проекции пациент ложиться на спину без подушки, ноги прямые, руки – вдоль туловища. Иногда применимо вертикальное положение обследуемого (стоя). Когда необходима рентгенограмма в боковой проекции, требуется лечь на бок. Опорную руку обследуемый подкладывает под голову, второй рукой обхватывает колени (ноги слегка согнуты).

Обычно делают не более 5 снимков в течение 15 минут. Все это время обследуемый должен сохранять неподвижность и изменять положение тела только по команде врача. Ведь движения, даже незначительные, могут привести к размытости снимков и ложности диагноза.

По окончании процедуры специалист должен внести в соответствующий лист учета карты пациента сведения о полученной дозе облучения. Эта информация важна для вычисления суммарной дозы облучения и учитывается в том числе при назначении последующих рентгенологических процедур.

Противопоказания рентгенодиагностики грудного отдела позвоночника

Проведение процедуры считается нецелесообразным, если:

  • пациент страдает ожирением – четкие снимки получить не удастся;
  • к потере информативности рентген-изображения приведет и неспособность обследуемого сохранять неподвижное положение в силу каких-либо заболеваний;
  • если с момента проведения исследования брюшной полости посредством рентген-контрастного бария не прошло четыре дня (в течение этого периода времени остатки взвеси бария находятся в организме, что помешает получить достоверную картину);
  • если у обследуемого имеется травма позвоночника, что делает невозможным его перемещение и изменение положения тела;
  • детям до 14 лет назначают рентген в случаях острой необходимости;
  • не рекомендована процедура женщинам в период лактации и беременности.

Согласно методическим рекомендациям по защите населения при назначении и проведении рентгенодиагностических исследований от 2004 года при условии соблюдения мер безопасности – экранирование и диафрагмирование – рентгенография органов грудной клетки и грудного отдела позвоночника допустима в любой период беременности по клиническим показаниям. При рентгенодиагностике беременных женщин исходят из того, что доза, полученная плодом за любые 2 месяца не должна превысить 1 мЗв. Экранирование предполагает защиту необследуемых частей тела фартуками, состоящими из прослоек свинца, который отражает Х-лучи. Диафрагмирование предполагает изменение ширины пучка исходящих Х-лучей, создание таким образом более концентрированного потока непосредственно на исследуемый участок.

В среднем индивидуальная доза, полученная при рентгенографии грудного отдела с использованием традиционного пленочного метода, составляет 0,5 мЗв за одну процедуру. При использовании цифрового рентгенологического оборудования, лучевая нагрузка значительно снижается – до 0,06 мЗв за процедуру. К примеру, человек, который пройдет в год плановую флюорографию и несколько раз сделает рентген для лечения в стоматологии, за счет естественной радиации получит за год облучение в 15 мЗв.

Тем не менее, врачи исходят из того, что детям младше 14 лет рентгенодиагностика показана только в экстренных случаях и неэффективности альтернативных методов диагностики:

  • в случае травм;
  • чтобы исключить злокачественные новообразования в позвоночнике и смежных тканях;
  • для диагностики инфекционных и воспалительных заболеваний костей и назначения лечения

Когда речь идет о рентгенодиагностике детей, беременных женщин, очень важно снизить лучевую нагрузку, что возможно сегодня благодаря современному цифровому оборудованию. К сожалению, не все государственные медучреждения имеют в распоряжении такую аппаратуру. Сделать рентген грудного отдела позвоночника можно и в негосударственной клинике. Немецкая Семейная клиника оснащена цифровым рентгенологическим оборудованием производства GE, которое позволяет делать четкие снимки, не прибегая к повышению мощности потока Х-лучей. Лучевая нагрузка будет минимальной, воздействие лучей – только на обследуемые области. Опыт и квалификация педиатров, работающих в Немецкой клинике, а также технические возможности оборудования позволяют безопасно проводить обследования даже детей грудничкового возраста.

Как снизить риск возможных последствий от воздействия ионизирующего облучения

Постановка правильного и своевременного диагноза является приоритетной по отношению к возможному вреду, причиняемому здоровью, за счет применения относительно небольших доз облучения, а также использованию средства защиты в момент воздействия Х-лучей. Кроме того, было установлено, что некоторые продукты, точнее вещества в них содержащиеся, способствуют выведению радиации из организма. К ним относят:

  • грибы, орехи (содержат селен);
  • молочные продукты и цитрусовые (содержат калий);
  • фасоль, кукуруза, яйца, петрушка (содержат метионин);
  • редис, перец, капуста, клубника (содержат пектин);
  • сливы, виноград, яблоки (содержат каротин).

Квалифицированные ответственные врачи всегда при назначении рентгена исходят из принципа, обозначенного в методических рекомендациях по защите населения при назначении и проведении рентгенодиагностических исследований: необходимо исключение всякого необоснованного облучения и снижение дозы до минимально достижимого уровня. Сегодня это возможно благодаря использованию современного цифрового оборудования.

 Внимание: цены, представленные на сайте, не являются публичной офертой. Уточняйте, пожалуйста, стоимость услуг по многоканальному телефону +7 (812) 432 32 32. 

Рентген исследование позвоночника грудного отдела

Рентген позвоночника применяют довольно часто, ведь без него трудно в при диагностике многих заболеваний. Благодаря тому, что процедура доступная и совсем несложная врачи могут оперативно и качественно определять наличие травмированных участков в каком-либо отделе позвоночного столба. Этот вид исследования характерен высокой информативностью. Такое свойство гарантирует получение полной картины состояния больного.

Рентгенография в медицине применяется повсеместно. Рентген могут назначить как для диагностирования недугов, так и для того, чтобы проконтролировать уровень качества терапии. В нашем случае рентген делают для осуществления диагностики болезни грудины. Он является главным методом скрининга, терапии онкологических лёгочных опухолей, обструктивных хронических патологий лёгких.

Данный метод считают одним из самых недорогих. Этот способ можно назвать медицинской визуализацией. Она с помощью специфических рентгеновских лучей выдаёт изображение органов и тканей. Это своеобразный процесс фотографирования того, что непрозрачно, а если точнее, то строения человека изнутри.

Получение снимков на плёнке, которая очень чувствительна, опирается на то, что излучение становится слабее, проходя через различные ткани. Из-за этого на ней возникают изображения с различной интенсивностью. На плёнке для рентгена получают усреднённое изображение. То есть для того чтобы получить нужный снимок нужно провести исследование органов, которые неоднородны.

Снимок следует делать минимум в двух проекциях. Это нужно, потому что исследуют трёхмерный объект, а рентгеновский снимок – плоский, двухмерный. Нахождение определённой патологии можно заметить именно в этих проекциях.

Сила рентгеновского излучения напрямую связана с тем, какой орган исследуют и каковы габариты больного. Доза облучения совсем неопасна для здоровья больного. Запись снимков в России проводят только на чувствительную плёнку. Для получения очень точных результатов, следует придерживаться неких правил, технических условий.

Показания

Самым главным симптомом, свидетельствующим о том, что в области груди что-то не в порядке и следует сделать рентген, есть дискомфорт, испытываемый в спинной области. А именно неприятные ощущения при поворотах туловища и наклонах. Но есть и другие немаловажные показания:

  • Нарушилась глубина и частота дыхания. Она сопровождается ощущением нехватки воздуха (диспноэ).
  • Появилась интенсивная лихорадка.
  • Стало трудно дышать.
  • Дыхание останавливается на время.
  • Появился кашель с элементами крови.
  • Возникли боли в грудине.
  • Нижние конечности начали отекать.
  • Нарушилась осанка.
  • Деформировалась грудная или спинная область.

Если что-то из этого вы заметили у себя, то обратитесь к специалисту. Он вас направит на рентген. И помните, что вовремя отреагировать – это полпути к выздоровлению!

Ещё рентгенографию проводят с целью контроля состояния, работы кардиостимулятора, дефибриллятора и катетера. Эти аппараты находятся в грудной клетке и крепятся проводником к сердцу. Диагностика требуется для определения, правильно ли разместили и нормально ли работают данные приспособления.

А также может быть проведена миелография (она исследует ликворопроводящие пути спинного мозга). С её помощью выявляют опухоли спинного мозга, грыжи, хронические спинальные арахноидиты и иные патологические видоизменения. Кроме этого, рентген обязательно нужно делать после хирургического вмешательства, которым восстанавливали функциональность позвоночника.

Противопоказания

Рентгенологическое исследование, как любая медицинская процедура, обладает рядом противопоказаний. Но они не считаются очень строгими.

  1. Рентген в период вынашивания ребёнка нежелателен. Излучение может негативно подействовать на развитие ребёнка, поэтому это исследование лучше не проводить беременным. Но если есть очень серьёзный повод для данной процедуры, а альтернативы нет, то исследование можно провести.  В процессе его проведения область живота прикрывают специфическим «свинцовым» фартуком.
  2. Есть специалисты, которые не рекомендуют делать рентген даже во время вскармливания грудью. На пару дней стоит воздержаться от кормления после того, как было проведено исследование с использованием бария.
  3. Бывает, что проблемой становится лишний вес больного. Обычно проблема возникает, если вес превысил рубеж в 180 килограмм. Эта характеристика пациента негативно скажется на качественности снимка.
  4. Противопоказанием есть нервозность или двигательная расторможенность. Особенно те ситуации, когда у пациента не получается сохранить неподвижность даже в течение недлительного времени. Ведь нельзя сделать рентгеновский снимок, если пациент статичен.

Процедура проведения

Как делают рентгенографию? Обычно чтобы получить полную и достоверную картину состояния грудины нужно не больше чем пять снимков. Сделать эти снимки удастся за 15 минут. Процедура совсем не вызывает болезненности. Её проводят в специальном кабинете для рентгена стационарным приспособлением или же при особо тяжёлых случаях у больничной постели портативным устройством.

Если у вас есть возможность, то выбирайте место, где вам проведут процедуру более современным устройством. В новых вариантах аппаратов доза излучения значительно меньше. Обычно пациенту достаточно слушать, что говорит доктор, который проводит исследование и выполнять его указания. Обследуемым, у которых серьёзная травма позвоночника рентген делают очень осторожно. Часто на носилках для транспортирования больных.

Обратите внимание на то, что во время манипуляций больному требуется не двигаться. Даже самое малейшее движение может привести к тому, что снимок будет менее качественным. Следовательно, результаты могут быть неточны, диагноз совсем может быть неправильным.

Подготовка пациента

Нет необходимости в какой-то специфической подготовке к рентгенографии груди. Вся подготовка заключается в том, что в рентгенологическом кабинете пациенту нужно раздеться до пояса, а затем снять всевозможные украшения.

Ход процедуры

Для получения наиболее объективной картины состояния грудного отдела, рентгенографию делают в прямой и боковой проекциях. В первой ситуации больному нужно лежать на спине без подушки. Ноги следует полностью выпрямить, руки положить вдоль тела. Может быть такое, что обзорный снимок (в прямой проекции) делают, когда пациент находится в положении стоя.

Чтобы сделать рентген в боковой проекции, обследуемый должен лечь набок. Руку, которая прилегает к столу, ему требуется поднять вверх и положить под голову. Второй рукой нужно обхватить колени, перед этим несильно согнув их. Когда делают снимок, следует лежать, не дыша и делать всё, что скажет доктор.

Расшифровка снимка

Как процедура будет завершена, сначала рентгенолог проанализирует снимки и сделает определённые заключения. Затем он передаст их вертебрологу (специалисту по недугам позвоночного столба). Потому как этот врач компетентен поставить диагноз и назначить курс лечения.

Что до информативности снимков, так на них можно рассмотреть все позвонки, но нижние могут быть видны не очень чётко. Такой эффект возникает из-за особенностей строения нашего организма. Органы брюшной полости перекрывают своей тенью данные позвонки.

Что показывает рентген грудной части? На снимке видно:

  1. Нарушения структуры каждого из рёбер, позвонков. А именно частичные и полные переломы.
  2. Расстояние меж отдельными рёберными дугами, что есть признаком вывиха или подвывиха.
  3. Чёткое нахождение позвонков, рёбер. Сравнивается с нормальным расположением и выявляют смещения, искривления.
  4. Возникновение остеофитов (костных отростков).

Рассмотрим пример. Если у больного диагностируют кифоз грудины, то нижние, верхние позвонки на снимке имеют вид деформированных. Если конкретно, то они друг друга перекрывают и мешают доктору просмотреть межпозвоночные диски. Для детального описания деформированных отделов позвоночника, нужны специфические снимки, выполняющиеся при требуемом наклоне трубки рентгена.

Важно! Врач обязан в медицинской карточке написать какая была доза облучения получена обследуемым. Такая информация требуется для того, чтобы спланировать дальнейшие процедуры рентгенографии.

 Загрузка …

Видео «Рентгенография грудины»

Из этого видео Вы узнаете о процедуре рентгенографии грудного отдела позвоночника.

Рентгенологическое исследование грудного отдела позвоночника

Рентген грудного отдела позвоночника ─ всем известный, быстрый и надежный неинвазивный метод исследования, позволяющий оценить наличие и характер патологии в грудном отделе позвоночного столба. Даже с появлением новых современных методик исследования рентген не теряет своей актуальности по причине своей простоты и дешевизны.

Укладка для рентгенографии грудного отдела позвоночника в прямой проекции

Что оценивают с помощью рентгена?

Что именно показывает рентгеновский снимок? Рентген показывает:

  • Целостность костных структур, возможные переломы, смещения.
  • Состояние костных поверхностей.
  • Особенности структуры позвонков (разрежение или уплотнение вещества кости).
  • Состояние суставных щелей.

Грамотно провести расшифровку результатов рентгенографии позвоночника в двух проекциях может только врач.

Когда назначается?

Пациентка на приеме у врача-ортопеда

Врач рекомендует провести рентгенологическое исследование грудного отдела позвоночника при следующих состояних:

  • Получении травмы.
  • Видимом искривлении позвоночного столба у пациента для изучения изгибов позвоночника.
  • Болях, дискомфорте в области грудной клетки.
  • Парестезиях.
  • Новообразованиях или их поиске.

Что выявляет?

Проведение рентгена грудного отдела позвоночника позволяет выявить:

  • Переломы, трещины и смещения позвонков.
  • Остеохондроз (а именно такой его компонент, как артроз).
  • Сколиоз и его тяжесть, определяется с помощью различных методик с использованием угла искривления позвоночника.
  • Инфекционные болезни (туберкулез опорно-двигательной системы).
  • Новообразования (например, метастазы рака молочной железы, половых органов, почек, легких).
  • Остеопороз ─ системное снижение плотности костной ткани, приводящее к резкому возрастанию риска возникновения переломов, даже при незначительной нагрузке.
  • Системные заболевания суставов (например, анкилозирующий спондилоартрит ─ болезнь Бехтерева, при которой происходит постепенное ограничение подвижности позвоночника, окостенение связок, укрепляющих позвоночник, завершающееся образованием анкилозов).

Противопоказания

В некоторых случаях рентгенография противопоказана

Рентгенография противопоказана беременным женщинам (так как рентгеновское излучение негативно сказывается на развитии плода) и детям младше 15 лет (может нарушить процессы роста и развития детского организма).

Однако к рентгеновскому исследованию все же прибегают. Даже у детей исследование возможно, но по жизненным показаниям, а также при невозможности проведения удовлетворительной диагностики любыми другими методами.

Рентген в этом случае назначают:

  • При обследовании после травмы или падения.
  • Для исключения воспалительных процессов в костной ткани, инфекционных заболеваний.
  • При диагностике новообразований.

Подготовка и проведение процедуры

Никакой специальной подготовки пациента к исследованию не нужно. Перед началом рентгенографии следует снять украшения, цепочки ─ все в обследуемой области, что содержит в себе металлические части и, в противном случае, отразится на снимке.

Рентген грудного отдела производится лежа на спине и на боку. Диагностику проводят обычно в двух проекциях ─ прямой и боковой. Гораздо реже доктору для полной картины требуются снимки под углом в 45°. Также возможна рентгенография с использованием функциональных проб: пациент лежит на боку, ему предлагают осуществлять сгибание и разгибание. В связи с тем, что грудной отдел позвоночного столба не такой подвижный как остальные, функциональные пробы используются редко, а если используются ─ подбираются врачом индивидуально.

Укладка для рентгенографии грудного отдела позвоночника в боковой проекции

Дозы облучения при рентгенографии варьируют в зависимости от аппарата и методики обследования.

В среднем, доза общего облучения организма при рентгене грудного отдела позвоночника находится в диапазоне от 1,15 мЗв до 1,5 мЗв, что можно сопоставить с природным облучением, получаемым в течение 6 месяцев.

Сделать рентгенографию позвоночника можно по направлению в районной государственной поликлинике или, прибегнув к услугам частного медицинского центра, располагающего необходимой аппаратурой.

Недостатки рентгенологического метода в диагностике патологии позвоночника

Проведенный в двух проекциях рентген показывает:

  • Положение и состояние позвонков.
  • Наличие разрастаний костной ткани (остеофитов) на телах или суставных отростках позвонков.
  • На каком расстоянии тела позвонков отстоят друг от друга, суставные щели.
  • Физиологические и патологические изгибы позвоночного столба.

Однако при рентгенографии не видны хрящевые структуры (межпозвоночные диски) и мягкие ткани (мышцы, связки), вследствие чего затрудняется диагностика их патологии.

Какие существуют альтернативы?

МРТ и КТ как альтернатива рентгенографии

Рентгенологический метод диагностики может быть дополнен или, в зависимости от цели исследования, заменен:

  • УЗИ-исследованием.
  • Магнитно-резонансной томографией.
  • Компьютерной томографией.

Перечисленные методики позволяют более точно визуализировать костную ткань, обнаружить наличие в мягких тканях гноя, опухолей, а также изучить состояние недоступных рентгеновским лучам:

  • Мышц.
  • Сухожилий.
  • Связок.
  • Сосудов.
  • Суставных полостей.

УЗИ-метод основан на способности тканей отражать ультразвуковые волны. Исследование доступно практически повсеместно, но может помочь в решении лишь ограниченного количества диагностических задач.

МРТ-диагностика остается малодоступным способом диагностики, вследствие недостаточной оснащенности больниц и дороговизны оборудования. Согласно физическим принципам метода, основанном на воздействии магнитного поля на протоны организма человека, особую эффективность МРТ имеет для диагностики патологии мягких тканей.

Компьютерная томография основана на определении плотности тканей. Она также относится к дорогим методам исследования. Позволяет детально исследовать состояние опорно-двигательной системы. Недостатком компьютерной томографии является то, что она оказывает значительную лучевую нагрузку на организм ─ около 6 мЗв. Эту же дозу облучения, получаемую при обследовании единовременно, вследствие природного облучения приобретают на протяжении целых 2 лет.

Как делают и как подготовиться к рентгену отделов позвоночника?

Рентген позвоночника назначается в обязательном порядке при диагностике таких тяжелых повреждений, как переломы. Благодаря рентгену удается определить точное местоположение костных отломков и исходя из этого выбрать способ репозиции. Рентгенологическое исследование обладает высокой информативностью при оценке степени и характера смещения позвонков относительно друг друга, поэтому его применяют при обследовании всех видов искривления позвоночного столба. Костные, хрящевые и мягкие ткани имеют различную плотность, поэтому по-разному отображаются на рентгеновском снимке. Это позволяет включить в сферу применения рентгена диагностику заболеваний суставов, в том числе образования хрящевых тел в суставной жидкости. Часто именно рентген позволяет обнаружить опухоли в районе позвоночника. Само по себе исследование говорит только о наличии опухоли, для того чтобы точно определить ее природу, применяется биопсия. Чтобы рентгенологическое исследование было более достоверным, оно проводится в 2 проекциях: боковой и задней.

По назначению лечащего врача может быть использован снимок в положении сгибания или разгибания позвоночника под определенным углом. Для каждого отдела позвоночника может быть выполнен отдельный рентгеновский снимок в 2 проекциях.

Существует ограничение на проведение рентгена позвоночника у беременных женщин на раннем сроке. Только в экстренных ситуациях можно использовать рентген, например, при подозрении на перелом или если нет другого оборудования. У людей со значительно выраженным ожирением рентген тоже не применяется, поскольку сквозь толщу мягких тканей невозможно получить достаточно информативный снимок. Обычно ограничение касается пациентов с весом более 200 кг. Иногда требуется предварительная подготовка человека к рентгену. Если пациент не в состоянии сохранять неподвижность даже в течение короткого времени (например, при сильном психомоторном возбуждении), сначала проводится прием транквилизаторов, и только после этого делается снимок.

Что показывает рентген позвоночника? На снимке можно увидеть:

  • структурные нарушения каждого позвонка, полные и неполные переломы;
  • расстояния между отдельными позвонками, вывихи, подвывихи;
  • расположение позвонков относительно нормальной траектории позвоночного столба, искривления, смещения;
  • образование костных отростков, остеофиты.

О том, как выглядит остеохондроз на рентгенограмме, читайте здесь.

Для того чтобы получить полное представление о клинической картине каждого нарушения, может потребоваться применение и других методов диагностики:

  • ультразвуковое исследование;
  • компьютерная томография;
  • магнитно-резонансная томография;
  • миелография.

Повреждения и деформации мягких тканей не отображаются на рентгеновском снимке или их отображение не обладает достаточной четкостью. В некоторых случаях опухоли могут выглядеть как области затемнения, что не дает полного представления об их размере. Частыми травмами позвоночника являются вывихи и подвывихи, в результате этих повреждений нарушается целостность связок и сосудов. Рентген позволяет только исключить перелом позвонков, но не сообщает практически никаких данных о состоянии связок или мышц.

Чтобы охватить клиническую картину в комплексе, обычно применяется 2 (и более) метода обследования. У рентгена каждого отдела позвоночника есть свои особенности.

Рентген шейного отдела показан при:

  • травмах черепа;
  • ушибах, вывихах и переломах шейных позвонков;
  • головных болях неясного происхождения;
  • искривлениях и деформациях позвоночного столба в шейном отделе;
  • при жалобах на головокружения, на нарушения зрения;
  • если у пострадавшего имеются неврологические симптомы, онемение верхних конечностей или шеи, сложности с координацией движений.

Рентген позволяет конкретизировать расположение каждого позвонка, однако не дает подробных данных о межпозвоночных дисках или грыжах (подробнее здесь). Как делают рентген при множественных травмах позвоночника? В первую очередь осуществляется исследование шейного отдела, потому что переломы и гематомы в этой области могут спровоцировать летальный исход в течение короткого промежутка времени. Для шейного отдела часто выполняется снимок в 3 проекциях: косой, прямой и через открытый рот.

Исследования всех отделов, кроме шейного, нуждаются в предварительной подготовке. Для того чтобы не затруднять исследование, следует заранее исключить из рациона продукты, способствующие метеоризму:

  • капусту;
  • бобовые;
  • газированные напитки;
  • белый хлеб и выпечку.

Для рентгена грудного отдела позвоночника более важно состояние желудка, а не кишечника, поэтому, чтобы подготовиться к исследованию, нужно прекратить принимать пищу за 8-12 часов. Современная аппаратура имеет другие требования, поэтому может не понадобиться никакая специфическая подготовка. Предварительно нужно проконсультироваться с лечащим врачом, и он даст рекомендации, как лучше провести рентген. До снимка на любой аппаратуре пациент снимает с верхней части тела всю одежду и украшения. В личную карточку производится запись о дозе облучения, полученной во время рентгена.

При проведении множественных исследований данные суммируются, чтобы общая доза не превышала безопасный для человека предел.

Рентген грудного отдела назначается при:

  • травмах грудной клетки (например, ребер);
  • заболеваниях сердца и сосудов;
  • воспалительных процессах в легких и плевре;
  • попадании посторонних предметов в желудочно-кишечный тракт и дыхательные пути;
  • подозрении на туберкулез легких;
  • травмах и искривлениях позвоночного столба.

Время проведения исследования в среднем составляет около 20 минут. Без профессиональной подготовки правильно интерпретировать снимок невозможно, поэтому расшифровкой должен заниматься специалист.

Рентгенография поясничного и крестцового отдела

Иногда для улучшения качества результатов, особенно если исследование проводится на оборудовании старого образца, пациенту предварительно назначают клизмы или слабительное, чтобы скопление газов и каловых масс не фигурировало на снимке. Подготовка к исследованию включает в себя:

  • диету для предотвращения метеоризма;
  • прием абсорбирующих средств (например, активированного угля) за несколько дней до исследования;
  • непосредственно перед исследованием опорожнение кишечника естественным путем с помощью слабительного или клизмы.

На интерпретацию снимка значительное воздействие оказывают когнитивные способности врача, поэтому стоит позаботиться о выборе действительно компетентного специалиста. При каких нарушениях показан рентген? Это:

  • ушибы, переломы и вывихи в нижней части позвоночного столба;
  • боли и онемения в нижних конечностях, утрата чувствительности и мышечного контроля;
  • боли в области спины, особенно локализованные в пояснице, копчике и крестце;
  • структурные деформации позвонков по форме, высоте, расположению относительно друг друга.

Для проведения рентгена поясничного отдела человек принимает горизонтальное положение на специальном жестком столике. Очень важно снять пирсинг и украшения, в том числе и с интимных зон. Для того чтобы выбрать лучшее и четкое изображение, делается несколько снимков подряд. При этом пациенту нельзя двигаться, разговаривать, дышать. Для уменьшения потенциально вредного воздействия на организм применяются специальные фартуки с закрепленной внутри свинцовой вставкой. Металл позволяет защитить определенные части тела от рентгеновского излучения. При необходимости можно осуществить снимок только одной части позвоночника изолированно, например, рентген копчика. Это исследование в обязательном порядке назначается при диагностике ушибов, переломов или вывихов последних 5 позвонков.

Функциональные пробы

В некоторых случаях требуется сделать рентген позвоночника при выполнении сгибания или разгибания под определенным углом, чтобы оценить характер смещения позвонков относительно друг друга не в покое, а под нагрузкой. При некоторых видах сколиоза требуются исследования с отклонением корпуса вперед и назад. Точный перечень движений, которые совершает человек, подбирается врачом в индивидуальном порядке в зависимости от целей исследования. Чаще всего используются максимальное сгибание и разгибание позвоночного столба в положениях стоя, сидя и лежа.

Снимки выполняются в 3 проекциях: 2 боковые и задняя. Функциональные исследования очень редко используются для грудного отдела, обычно применяются для поясничного и шейного отделов, потому что спектр движений в них более широкий. Современная аппаратура позволяет сохранять изображение в очень хорошем качестве сразу на цифровом носителе. Это позволяет увеличивать отдельные фрагменты снимков. Аппаратура старого образца может только воспроизводить снимок на пленке, что создает для врачей множество неудобств, особенно когда требуется диагностировать неполные переломы отдельных позвонков. При заказе исследования в любой частной лаборатории пациент может получить на руки диск или флешку со всеми данными, чтобы затем предоставить их лечащему врачу для интерпретации.


Смотрите также