Мрт с контрастом головного мозга как делают

МРТ с контрастом: отзывы, подготовка. Как делают МРТ головного мозга с контрастом?
МРТ не является инвазивным методом обследования, но иногда он требует применения контрастных веществ для усиления четкости снимков. Это исследование врач назначает только в тех случаях, когда стандартной методики недостаточно для объективной оценки состояния организма. Применение современных диагностических средств безопасно и позволяет лучше рассмотреть малейшие детали. Порой нужно сделать МРТ с контрастом, чтобы быть уверенным в диагнозе и вовремя начать правильное лечение.
Общая информация о процедуре
МРТ (магнитно-резонансная томография) – это современный вид диагностики, позволяющий получать качественные снимки послойных срезов сухожилий, суставов и мягких тканей разных органов. Контрастное усиление при исследовании головного мозга может понадобиться для уточнения сомнительного диагноза или обнаружения опухолей наименьшего размера. Процедура безболезненна и очень информативна. МРТ головного мозга с контрастом позволяет быстро и точно оценить объем патологических изменений этого органа при травмах и многих болезнях.
Аппараты для исследования могут отличаться своей мощностью (она измеряется в Тл). При диагностике заболеваний головного мозга для качественных снимков желательно проводить процедуру на томографе с показателем 1-1,5 Тл. Более высокое разрешение применять не имеет смысла, поскольку этой мощности вполне достаточно, а менее чувствительные аппараты могут выдать не слишком детальные снимки.
Показания к исследованию
В отличие от обычного МРТ, исследование с применением контрастного вещества проводится только по показаниям врача, обычно в медицинских центрах его не делают без направления с печатью. Это связано с тем, что в организм пациента будут вводиться специальные вещества, усиливающие эффект намагничивания тканей. Данная процедура проводится только под контролем анестезиолога, поскольку реакция организма на контраст может быть разной.
Показания к МРТ головного мозга с контрастным веществом:
- подозрение на аденому гипофиза;
- диагностированные ранее опухоли других отделов головного мозга (для уточнения их природы);
- рассеянный склероз;
- тяжелые случаи инсульта;
- инфекционные заболевания нервной системы с выраженной патологической симптоматикой;
- выявление метастазов злокачественных опухолей;
- неоднозначные результаты обычного исследования без применения усиления.
Зачем применяется контрастное вещество?
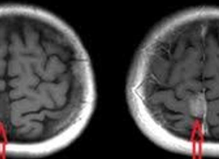
В некоторых ситуациях необходимо более четкое отображение структур головного мозга. Обычно МРТ с контрастом назначается при подозрении на злокачественную (или доброкачественную) опухоль головного мозга, а также при установленном факте ее наличия для определения размеров, границ и структур.
Пациенту в организм вводится вещество на основе солей гадолиния. Это металл, который накапливается в местах с повышенным кровотоком (обычно это характерно для опухолей из-за их быстрого роста). Эти участки хорошо видны на снимках, поэтому пропустить их практически невозможно. Препараты на основе данного вещества малотоксичны и редко вызывают побочные эффекты.
Многие серьезные медицинские исследования могут навредить здоровью человеку, если он не будет правильно подготовлен к процедуре. Одно из них – МРТ с контрастом. Подготовка пациента и детальный инструктаж о его действиях до процедуры и во время обследования позволяет избежать этого.
Как подготовиться к МРТ?
Перед МРТ с контрастом пациенту нужно воздержаться от приема пищи и воды в течение 2 часов до процедуры. Это связано с введением в организм лекарства (при обычной диагностике кушать и пить можно). Перед исследованием человеку нужно снять все металлические изделия (кольца, серьги, одежду с застежками). Для процедуры пациенту обычно предоставляется просторная одноразовая одежда, которая не содержит материалов, создающих помехи во время сканирования. В помещение, где расположен томограф, нельзя заносить мобильный телефон и другую электронику, платежные карты, ключи и т. д.
Немаловажный момент – психологическая подготовка к диагностической процедуре. Учитывая, что при исследовании нужно находиться 20-30 минут практически в замкнутом пространстве, не двигаясь и не разговаривая, важен правильный настрой. При МРТ головного мозга с контрастом аппарат издает шумы и разные звуки. Поэтому для защиты ушей человек надевает специальные наушники.
МРТ с контрастом: как делают процедуру?
Вначале пациенту проводится обычное магнитно-резонансное обследование без применения контрастного вещества. Это необходимо, чтобы в дальнейшем сравнить полученные результаты и иметь в итоге более полную клиническую картину. Затем больной покидает аппарат, и ему внутривенно под контролем врача-реаниматолога вводят препараты для контрастного усиления.
Несмотря на то что современные подобные лекарства не содержат йод и практически не токсичны, человеку нужно внимательно прислушиваться к ощущениям в своем теле после их введения. Если все в порядке (нет головокружения, тошноты, боли в животе и голове, ощущения жара), то пациент опять проходит МРТ. В процессе исследования по внутривенному катетеру постепенно подаются свежие дозы лекарственного препарата параллельно с процессом сканирования.
Вызывает ли МРТ боль или неприятные ощущения?
МРТ не причиняет человеку боли или других дискомфортных явлений во время исследования. В теле иногда может ощущаться легкое тепло или покалывание, хотя чаще всего люди физически вообще ничего не чувствуют. Введение контраста в большинстве случаев хорошо переносится. Правда, иногда встречаются случаи индивидуальной повышенной чувствительности или аллергии.
Основной дискомфорт, связанный с МРТ, – это психологическое напряжение у некоторых людей из-за тесного пространства. В аппарате достаточно воздуха, а конструкция выполнена так, что часть тела пациента находится снаружи. Чтобы успокоиться, больному нужно понять, что во время исследования за ним наблюдает врач, весь процесс полностью под контролем. В руку всем пациентам вкладывают специальную грушу, соединенную проводом со звуковым датчиком, которую можно сжать при очень сильном волнении. Это даст сигнал врачу о том, что нужно остановить процесс и дать больному время успокоиться.
Противопоказания
Противопоказания к МРТ с контрастом бывают относительными и абсолютными. Окончательное решение о возможности процедуры всегда принимает врач. Исследование с контрастным веществом полностью исключается при таких состояниях:
- наличие кардиостимуляторов;
- вживленные в тело человека элементы из металлов, которые намагничиваются;
- тяжелые нарушения функции почек;
- беременность и лактация;
- недавно выполненная пересадка печени;
- аллергия на компоненты контрастного вещества.
К относительным противопоказаниям относятся клаустрофобия и масса тела более 120 кг (в большинстве аппаратов это максимальный предел допустимого веса). Если на теле больного есть татуировки, нужно обязательно уточнить у мастера, выполнявшего ее, не входят ли металлы в состав красителя, который использовался при процедуре.
МРТ с контрастом: отзывы пациентов
Отзывы людей о МРТ в основном нейтральные или положительные. Особых ощущений большинство пациентов при обследовании не испытывает. Иногда людям сложно лежать, почти не двигаясь, около получаса в закрытом пространстве. Практически все пациенты отмечали высокую результативность МРТ мозга с контрастом, ведь врачебное заключение полностью описывает все необходимые структуры. Для постановки диагноза в нейрохирургии это ведущий метод, который к тому же безболезненный и быстрый по времени.
Судя по отзывам пациентов, аллергия или непереносимость контраста встречается очень редко. Неприятный эффект от лекарства иногда проявляется только легким головокружением, которое быстро проходит. Благодаря МРТ с контрастом многим больным людям удалось узнать об опухолях на ранних стадиях, что позволило вовремя удалить их или начать консервативное лечение.
Как проводится МРТ головного мозга с контрастом
При подозрениях на серьезную болезнь пациентам всегда назначают проведение специальных обследований. Одним из наиболее эффективных методов диагностики является МРТ. Особенно часто такое исследование проводится для проверки головного мозга. В таких случаях будут использоваться медицинские препараты для контрастирования при МРТ, что положительно скажется на результатах процедуры. Чтобы понять, почему не стоит отказываться от проведения томографии с контрастом, нужно разобраться в ее особенностях.
Контраст, облучение, возможности
Магнитно-резонансная томография проводится с использованием специального аппарата, в который помещают пациента. Он излучает магнитные поля, которые проявляются высокочастотными импульсами. С их помощью специальное компьютерное ПО определяет состояние проверяемого аппаратом участка. При исследовании головного мозга после МРТ врач получает изображения с высокой степенью детализации, что позволяет максимально подробно его изучить.
Очень часто процедура проводится с введением в организм пациента контрастного вещества. Разница обычного МРТ и исследования с контрастом в том, что во втором случае медицинские препараты будут усиливать степень анализа мозга или другого органа человека, что позволит получить максимально точную информацию о патологии и быстро начать основное лечение.
Контраст
Для проведения МРТ с контрастом пациенту внутривенно вводят вещество, состав которого основан на гадолинии. При правильном введении раствора риск получения осложнений будет минимальным. Вводить контраст можно даже пациентам, чье состояние считается критическим. Всего применяются 4 препарата:
- Гадовист;
- Магневист;
- Дотарем;
- Омнискан.
После их введения врачи приступают к проведению томографии. В конце исследования никаких специальных действий по удалению вещества из организма предпринимать не требуется.
Облучение
Магнитно-резонансная томография является наиболее безвредным способом диагностики организма. Никаких последствий, связанных с излучением от аппарата, ожидать не стоит. Причина в том, что МРТ проводится только с помощью магнитных полей, облучение от которых получить практически невозможно. Влияние этого оборудования можно сравнить с воздействием мобильного телефона, которым каждый человек пользуется ежедневно. Накопления облучения при этом почти не происходит. Поэтому бояться побочных эффектов от излучения не имеет смысла. Вредным аппарат назвать нельзя.
Никакого усиления излучения не дает и контраст при МРТ, он лишь увеличивает видимость труднодоступных органов, не влияя на степень облучения. Проходить процедуру можно многократно, не боясь получить какие-либо проблемы со здоровьем.
Возможности
МРТ с контрастом буквально высвечивает все внутренние органы при диагностике. Врач получает возможность максимально четко видеть изменения внутри организма, добираясь до самых труднодоступных мест. Если говорить о голове, то с помощью контрастного вещества удается обнаружить образование опухолей, их особенности, состояние гипофиза, сосудов и мягких тканей, наличие недавнего кровоизлияния или повреждения мозга.
Во время введения вещество начинает распространяться по телу, попадая в поврежденные участки, что делает их более выраженными на изображении, получаемом после процедуры. Главными преимуществами метода являются:
- Четкость изображения, выявление границ поврежденных участков;
- Возможность определения степени развития патологии;
- Обнаружение болезней на ранних этапах.
МРТ с контрастом может использоваться для исследования шеи, носоглотки, брюшной полости, почек и надпочечников, позвоночника, спинного мозга, печени, грудной клетки и сердца, включая проверку миокарда. Процедура также применима для выявления особых болезней у мужчин или женщин, для чего может делаться проверка других систем и органов: молочных желез, яичников, матки, простаты, семявыводящих путей и иных элементов мочеполовой системы.
Средняя стоимость проведения МРТ головного мозга с контрастом составляет 7-8 тыс. рублей. Цена для обычной томографии без контраста более умеренная и держится половины названной выше стоимости, но сама процедура будет менее эффективна.
Показания и противопоказания
Проходить МРТ нужно только после консультации с врачом, если он посчитает процедуру необходимой. В некоторых случаях поставить диагноз удается без нее, при этом немаловажно учитывать ряд противопоказаний, т.к. для некоторых людей проведение томографии может оказаться вредным и даже опасным. Поэтому нужно сообщить о наличии заболеваний врачу до проведения исследования.
Показания
Некоторые болезни могут быть полноценно диагностированы только с помощью магнитно-резонансной томографии, проведенной с использованием контрастного вещества. Поэтому у ряда пациентов, пришедших к врачу с жалобами на проблемы, касающиеся головы, нет выбора, а такой метод исследований становится единственными гарантированным способом получить точный диагноз и сразу заняться терапией.
Назначить процедуру могут при следующих проблемах:
- Подозрения на наличие опухолей (особенно злокачественных);
- Наличие метастаз головного или спинного мозга;
- Воспаление головного мозга;
- Нарушения в работе кровеносных сосудов;
- Присутствие неопределенной инфекции в организме;
- Рассеянный склероз, необходимость определения его стадии;
- Восстановление после проведенной хирургической операции на мозге или позвоночнике;
- Проявление различных симптомов (обмороки, регулярное головокружение, интенсивные головные боли, судороги, снижение чувствительности кожных покровов на лице);
- Черепно-мозговые травмы;
- Проверка возможности проведения хирургической операции.
Показаниями к проведению исследования других органов могут служить различные патологии, проявления серьезных симптомов, а также период восстановления, требующий постоянного контроля за здоровьем пациента.
Зачастую после терапии больным вновь назначают прохождение МРТ с контрастом. Это необходимо для отслеживания динамики выздоровления, а также предупреждения возможных рецидивов. Иногда пациентам могут назначать регулярные проведения томографии с определенной периодичностью.
Противопоказания
Люди, которые уже испытали на себе этот метод исследования, могут уверенно сказать, что никакого негативного эффекта после процедуры они не испытали. Однако у МРТ головного мозга человека с контрастированием есть ряд противопоказаний. Если их не учитывать, то есть риск столкнуться с неприятными или даже тяжелыми последствиями. Ограничения связаны с воздействием магнитных волн, которые могут оказаться вредными для части пациентов.
Нельзя делать МРТ при:
- Утолщениях кожных покровов;
- Нарушениях или патологиях почек;
- Астме любого типа;
- Болезнях крови;
- Проблемах с сердечно-сосудистой системой;
- Некоторых психических нарушениях;
- Приеме лекарственных препаратов с бета-блокаторами.
Также запрещено проводить процедуру при алкогольном или наркотическом опьянении пациента и сильном обезвоживании организма. Если у больного есть металлические имплантаты, стоматологические протезы, внутриматочные спирали, металлические осколки внутри тела после получения травм, перманентный макияж и т.п., то до МРТ его не допустят. Это могло бы не только значительно исказить результаты тестирования, но и навредить обследуемому.
Во время беременности проходить исследование можно только после 12 недель вынашивания. Если пройти его раньше, то есть небольшой риск развития отклонений у плода, т.к. воздействие магнитных волн может негативно сказаться на формировании внутренних органов малыша. Не рекомендуют процедуру также при грудном вскармливании, чтобы избежать вредного воздействия на молоко матери.
Иногда МРТ может давать побочные эффекты. Они вызываются в 2-х случаях: при нарушении противопоказаний или при индивидуальной непереносимости контрастного вещества. В первом случае возможно ухудшение самочувствия больного, обострение имеющихся противопоказанных заболеваний или развитие осложнений. Во втором случае может проявиться аллергическая реакция, которая вызовет массу трудностей. Также иногда у пациентов повышается артериальное давление, появляется незначительное раздражение кожи с зудом.
Если пациент страдает от клаустрофобии, то ему тоже будет отказано в проведении классического МРТ. Для него порекомендуют пройти процедуру с использованием аппарата открытого типа. Такое исследование менее эффективно, но может оказаться очень нужным при боязни замкнутых пространств.
Подготовка, проведение МРТ
Перед введением контрастного вещества для МРТ и прохождением процедуры потребуется небольшая подготовка, чтобы результаты исследования были максимально подробными, а пациент не столкнулся с проблемами. Поэтому важно не только ознакомиться с особенностями проведения исследования, но и заранее подготовиться к нему.
Подготовка
Начать подготавливаться к МРТ нужно за несколько дней до процедуры. Это очень важно для получения максимально точных результатов. Первым элементом подготовки является беседа с врачом, в ходе которой выясняется вся важная информация о пациенте, способная стать противопоказанием к проведению МРТ. Поэтому очень важно вспомнить, не было ли ранее перенесены операции с установкой имплантатов или других металлических элементов. Особенно это касается стоматологических процедур.
После этого готовиться к процедуре будет очень легко, т.к. особых требований нет. Нужно выполнить лишь следующие правила:
- Подготовиться психологически. Важно настроить себя на отсутствие страха, быстрое завершение процедуры, а также положительный результат. Заняться этим следует за несколько дней до МРТ.
- Отказаться от использования макияжа. Рекомендуется не пользоваться косметикой перед прохождением томографии мозга, т.к. это может навредить точности результата.
- Снять все металлические вещи, убрать электронные устройства. Лучше всего не брать с собой ничего металлического или электронного, чтобы случайно не забыть об этих вещах. Если они с собой есть, то обязательно убрать их до выполнения диагностики.
Категорически запрещено употреблять перед томографией алкогольные напитки. Также не рекомендуется курить, нервничать и каким-либо образом влиять на свой мозг или сосуды.
Такие правила применимы для любого типа МРТ с контрастом. Однако при исследовании брюшной полости важно придерживаться строгой диеты, избегая вредную пищу, а также не есть за сутки до процедуры, при этом отказавшись от употребления жидкости за 5 часов до МРТ.
Проведение МРТ
Диагностика мозга через аппарат МРТ с введением контраста может длиться от 30 минут до одного часа. Все зависит от того, насколько обширным будет исследование и сколько патологий предполагается выявить. Перед началом процедуры пациент должен сообщить врачу, есть ли у него какие-либо серьезные заболевания, которые могли бы навредить процессу обследования. Если таких нет, то можно приступать к диагностике.
Обследование на МРТ с контрастным веществом будет происходить следующим образом:
- Если требуется, то для начала выполняются снимки без введения контраста. Иногда этот пункт пропускают за ненадобностью.
- Пациенту вводят контраст внутривенно или посредством капельницы. Вещество требуется брать в объеме 0,2 мг на каждый кг веса обследуемого. При этом человек не должен стоять, т.к. возможно помутнение сознания. Контраст вводят очень медленно и осторожно, внимательно наблюдая за состоянием пациента. Длительность введения составляет около 30 секунд.
- Больного просят лечь на специальную кушетку, где ему зафиксируют конечности с головой, чтобы избежать случайных движений.
- Кушетка автоматически медленно перемещается внутрь томографа, после чего аппарат активируется. Перед этим можно надеть беруши, т.к. МРТ работает очень громко.
- От пациента требуется неподвижно лежать в течение установленного врачом времени. Любые движения могут значительно исказить результаты диагностики, из-за чего очень важно контролировать себя.
После выполнения процедуры больного могут попросить подождать некоторое время, чтобы провести ее повторно. Период ожидания составляет от 15 до 60 минут. Если в этом нет необходимости, то пациент может возвращаться к повседневным делам. Изучение результатов будет проводиться несколько часов, после чего обследуемый может забрать заключение. Если полученные изображения будут показывать серьезные отклонения мозговых структур, то с пациентом могут сразу же связаться по телефону для принятия срочных терапевтических или хирургических мер.
Если МРТ проводится у ребенка, то перед обследованием ему дают принять легкое седативное или вводят наркоз. Это очень важная составляющая детской диагностики. Она связана с тем, что ребенок не может быть неподвижным внутри аппарата, а также очень боится.
Важность диагностики
Введенное контрастное вещество при МРТ – гарантированный способ получить максимально подробный результат исследования головного мозга. При многих заболеваниях такой метод диагностики является основным, что делает его особенно важным для современной медицины. А простота и отсутствие болезненности делают его очень привлекательным для пациентов.
МРТ (магнитно-резонансная томография) головного мозга с контрастом
Диагностика посредством магнитно-резонансной томографии – одна из самых информативных и надежных, поскольку помогает не только выявить патологии, но и отследить их изменения. Но в определенных диагностических ситуациях есть необходимость повысить точность получаемых снимков, что достигается благодаря применению контрастных веществ, которые вводятся в организм пациента перед процедурой. Когда стандартное обследование недостаточно объективно, на помощь приходит МРТ головного мозга с контрастом.
Отличие от обычного МРТ
Разница между МРТ головного мозга без контраста и с ним заключается в точности и детальности результата, который будет лучше в последнем случае. Магнитно-резонансная томография дает возможность сделать серию качественных снимков обследуемых органов и выявить патологические изменения.
Что же такое МРТ с контрастом? Обычно данный метод применяется для устранения сомнений относительно постановки диагноза или выявления злокачественных опухолей на ранних стадиях.
Особенность диагностики в − специальных веществах (парамагнетиках), отличающихся усилением отчетливости получаемой картины: поврежденные ткани окрашиваются в иной цвет, причем скопление контрастирующего вещества происходит преимущественно в участках, пораженных болезнью.
Парамагнетики чутко реагируют на воспаление и разрушение тканей, и без них труднее рассмотреть очаг заболевания, выявить рецидив, различить доброкачественность и злокачественность новообразования.
Как делают МРТ головного мозга с контрастом
МРТ головного мозга с контрастным веществом совершенно безболезненно и не требует особой подготовки, но для его проведения нужно соблюсти ряд требований. Чаще всего пациенты во время процедуры ничего не ощущают, иногда же возможны легкие покалывания и тепло. Единственной сложностью является сохранение тела в одном положении.
Это необходимо, чтобы избежать искажений в полученных снимках. Чтобы избежать гудения, обследуемый может получить беруши или наушники. Можно отметить также, что имеется система двусторонней связи врача и пациента для общения и возможного прерывания обследования из-за дискомфорта.
Для проведения томографии используются аппараты разной мощности. Изучение состояния головного мозга предполагает использование мощностных характеристик в 1-1,5 Тл, потому что в ином случае снимки могут быть низкокачественными. Сканирование в среднем происходит в районе получаса, но иногда оно может занять 60 минут. Процесс получения снимков быстр – несколько кадров в секунду.
Как подготовится к МРТ головного мозга с контрастом
Подготовка к МРТ головного мозга с контрастом подразумевает:
- воздержание от воды и еды за 2 часа до обследования;
- устранение металлических предметов и элементов, желательно − и косметики с частицами металла;
- удобную одежду, не содержащую вещества, которые препятствуют воздействию магнитного поля;
- запрет мобильных телефонов и другой электронной техники в процедурном помещении;
- возможно – психологическую подготовку к проведению определенного времени в замкнутом пространстве.
Для проведения обследования к исследованию МРТ головного мозга с контрастом дополнительных анализов сдавать ненужно. Для проведения процедуры нужно взять с собой:
- Направление;
- Амбулаторную карту;
- Ранние результаты диагностики.
Как вводят контрастный препарат
В качестве основы контрастирующих препаратов для МРТ головного мозга чаще всего применяют малотоксичные соли гадолиния, растворимые в жидкой среде. Врач определяет количество препарата, беря в расчет массу тела пациента: на 1 кг. массы приходится 0,2 мг. контраста. Есть два способа введения вещества в организм (но в обоих случаях – внутривенно):
- перед процедурой;
- во время обследования посредством капельницы.
Что показывает МРТ головного мозга с контрастом
МРТ головного мозга с контрастированием помогает определить:
- наименьшие новообразования;
- структуру, границы, характер опухолевого образования;
- локализацию патологических изменений при различных недугах;
- наличие метастазов на начальном этапе их распространения;
- все послеоперационные изменения.
Исследованию подвергаются сосуды, структура мозга, дается оценка их работоспособности.
Показания к магнитно-резонансной томографии с контрастированием
Назначение процедуры МРТ с контрастом происходит только по направлению врача. Поскольку реакция пациента на специальное вещество может варьироваться, необходимо наблюдение анестезиолога. Исследование показано в следующих ситуациях:
- подтверждение аденомы гипофиза;
- обнаружение метастазов;
- инсульт тяжелой степени;
- уточнение природы новообразований;
- иммунные болезни (к примеру, рассеянный склероз);
- травмирование головы;
- инфекционные болезни (в их числе − менингит);
- генетически обусловленные недуги (нейрофиброматоз);
- нейродегенеративные заболевания;
- сосудистые нарушения;
- подтверждение выявления болезни Альцгеймера.
Обследование может быть назначено также при таких симптомах, как:
- частые головокружения;
- регулярные тошнота и рвота;
- снижение слуха и зрения;
- плохая координация;
- понижение умственных способностей и ухудшение памяти;
- спутанность сознания.
Вредно ли контрастное вещество
При введении контрастного препарата в норме у пациента появляется ощущение прохлады, длящееся до нескольких минут, иногда во рту на некоторое время возникает металлический привкус. В редчайших случаях в области установленного катетера возникает раздражение.
Чтобы дать ответ на вопрос, вредно или нет использование контрастирования, можно отметить, что отрицательные эффекты дают о себе знать не чаще 1% процедур. Сами магнитные волны полностью безопасны, поэтому диагностирование не имеет каких-то ограничений по частоте применения.
Противопоказания к проведению МРТ головного мозга с контрастом
Противопоказания к МРТ головного мозга с контрастом относительны, то есть в случае острой необходимости они могут быть проигнорированы. Большую опасность обследование представляет при определенных заболеваниях, например, почечная и печеночная недостаточность. Врач может отказать в обследовании при сердечных и сосудистых патологиях, препятствует данному методу и бронхиальная астма. Также ограничением считается чрезмерный избыточный вес, поскольку томограф может его попросту не выдержать.
Исследование не рекомендуется при клаустрофобии (при закрытом типе аппарата), эпилепсии, панических атаках. Также обследование проводить нельзя, если у пациентов:
- имеется кардиостимулятор или иные электронные аппараты, блокирующие работу томографа или искажающие данные;
- присутствуют металлические импланты, брекеты, препятствующие диагностированию;
- беременность сроком менее 14 недель, период лактации (но если последнее требование не соблюсти, нужно отлучить ребенка от груди на 2 дня, за которые препарат полностью выведется из организма);
- недавно перенесенная пересадка печени;
- сильное обезвоживание;
- индивидуальная непереносимость (аллергия) на компоненты контрастирующего препарата.
Ощутимым минусом магнитно-резонансной томографии с контрастом является его высокая цена из-за специального препарата. Тем не менее данный метод диагностики востребован, потому что способствует сохранению не только здоровья пациента, но и жизни.
Видео: Как подготовиться к обследованию
Как делают МРТ головного мозга с контрастированием?
Магнитно-резонансная томография считается одним из распространенных методов исследования, благодаря которому удается выявить множество патологий в организме человека. Основным достоинством такой процедуры считается ее безопасность, то есть электромагнитные волны не оказывают никакого отрицательного воздействия на структуру костной ткани черепа.
Преимущественно МРТ головного мозга с контрастированием применяется при появлении у специалиста подозрений на развивающееся новообразование в сосудах мозга либо его тканях. При проведении такой процедуры в кровоток или полость организма вводится безопасное вещество, которое довольно ярко выделяется в магнитных полях томографа.
Область исследования
МРТ головного мозга с контрастом – высокоинформативный метод диагностики
МРТ предполагает исследование всех структур головного мозга. Такая процедура может выполняться специалистом как с использованием контрастного вещества, так и без него, и зависит это от поставленной цели и области исследования.
С помощью без контрастного исследования удается своевременно диагностировать в организме человека следующие патологии:
Кроме этого, обычная МРТ считается неинвазивным методом исследования, при проведении которого не осуществляется какое-либо воздействие на кожу пациента. Такой метод рекомендуется применять для оценки состояния тех пациентов, которые тяжело переносят любые болезненные манипуляции.
Встречаются ситуации, когда резко возрастает необходимость в высокой точности и информативности магнитно-резонансной томографии и приходится прибегать к использованию контрастного вещества.
Благодаря такой процедуре удается увеличить диагностический эффект и выявить точные виды поражения и болезни.
МРТ с контрастированием помогает выявить следующие патологические состояния организма человека:
- травмы мозга различной сложности
- злокачественные опухоли
- генетические нарушения
- различные виды доброкачественных новообразований
- патологии, спровоцированные нарушением иммунной системы организма
- заболевания инфекционного происхождения
- болезнь Альцгеймера
- нейродегенеративные патологии центральной нервной системы
МРТ с контрастированием может проводиться не только при подозрениях на опухоль в организме человека. Специалисты выделяют следующие показания к назначению такой процедуры:
- различные патологии сосудов головного мозга
- нарушения речи и слуха
- травмы головного мозга с последующим внутренним кровотечением
- частые головные боли
- появление подозрения на инсульт
- возникновение аденом в зоне гипофиза
- эпилепсия и аномалии развития сосудов головы
- необходимость контроля состояния пациента после проведения оперативного вмешательства
К проведению МРТ с контрастным веществом часто прибегают в том случае, если возникают спорные клинические ситуации.
С помощью МРТ с контрастом удается выявить патологические изменения на ранних сроках и поставить верный диагноз, что позволяет подобрать правильную и эффективную терапию. Важным преимуществом такого исследования перед другими методами считается возможность определить микроскопические новообразования, локализованные в различных органах и тканях организма.
Суть метода и преимущества контрастного вещества
Контрастное вещество повышает информативность результатов обследования!
При проведении магнитно-резонансной томографии с контрастированием на головной мозг воздействует магнитное поле, и с его помощью получается вывести на монитор компьютера объемную картинку того органа, который подвергается исследованию.
Чаще всего процедура проводится с применением контрастного вещества в тех случаях, когда появляется необходимость изучения различных онкологических опухолей в организме человека. Это связано с тем, что именно с помощью такой процедуры удается получить самые точные и достоверные данные о состоянии ракового новообразования, его размере и структуре. Кроме этого, благодаря МРТ с контрастным веществом можно выявить наличие в различных органах и тканях метастаз.
В качестве контраста могут выступать соли гадолиния, которые аккумулируются исключительно в патологических клетках, что позволяет выявить раковую опухоль. С помощью контрастирования удается диагностировать:
- опухоли доброкачественного характера
- злокачественные новообразования
- метастазы
- кисты
Применение МРТ с контрастным веществом в медицинской практике позволяет диагностировать всевозможные опухоли в мозгу, а также изменения и нарушения дегенеративного характера. Кроме этого, именно с помощью такого метода можно провести дифференциацию злокачественной опухоли от доброкачественной.
Использование контрастного вещества не вызывает у больного никакого дискомфорта и боли, а также не представляет для него никакой опасности. Сама процедура проходит совершенно безболезненно и обычно хорошо переносится человеком при отсутствии аллергической реакции на вводимое вещество.
Подготовка и проведение процедуры
Процедура обследования головного мозга с помощью МРТ с контрастом
Введение контрастного вещества в организм человека проводится внутривенно, но при этом могут использоваться два способа:
- Возможно вливание препарата в организм человека непосредственно перед началом магнитно-резонансного исследования.
- При применении второго способа контрастное вещество поступает в организм человека внутривенно капельно в ходе проведения исследования.
Подбор дозировки вещества проводится индивидуально с учетом массы тела пациента. МРТ с контрастным веществом не требует какой-либо специальной подготовки. В некоторых случаях специалист может попросить больного отказаться на некоторое время от приема пищи и питья. Перед проведением диагностики человеку необходимо снять с себя все металлические украшения.
Женщинам необходимо обязательно сообщать врачу о наличии беременности, а также о перенесенных ранее патологиях и оперативных вмешательствах. В том случае, если пациент страдает клаустрофобией, то специалист может предложить ему выпить успокоительный препарат.
Аппарат МРТ — это цилиндр большого размера, в котором имеются отверстия по оба конца контура.
Пациенту предлагают удобно расположиться внутри такого устройства на неподвижном столе, и фиксируют его ремнями. Дело в том, что чем менее подвижен будет человек, тем четче изображения получится получить. При МРТ головного мозга аппарат с проводами, которые посылают и принимают радиоволны, располагается вокруг головы.
После того, как пациент расположился на столе, ему вводится внутривенно контрастное вещество, дозировка которого зависит от веса и состояния человека. После введения препарата возможно небольшое и кратковременное головокружение, и спустя несколько минуту начинается процедура сканирования.
Больше информации об МРТ головного мозга можно узнать из видео:
Читайте: ЭЭГ при эпилепсии — особенности исследования и установка диагноза
Внутри томографа достаточно шумно, поэтому пациенту предлагают надеть беруши. После этого стол перемещается в томограф и выполняется несколько последовательных снимков, благодаря которым удается составить четкую картину. Обычно проведение процедуры с контрастным веществом занимает 45-50 минут. Для получения качественных изображений необходимо соблюдать полную неподвижность, что может причинить человеку небольшой дискомфорт.
Оценку полученных в ходе МРТ снимков осуществляет врач-радиолог, который и делает заключение. Далее лечение пациента продолжается у невролога в том случае, если у него были выявлены заболевания нервов черепа или дегенеративные патологии. При выявлении злокачественных опухолей больной находится под наблюдением онколога, а при диагностировании сосудистых нарушений головного мозга необходимо посетить нейрохирурга.
Противопоказания к процедуре
МРТ можно делать людям с весом до 130 кг.
На сегодняшний день МРТ головного мозга с контрастным веществом считается одним из информативных методов исследования, благодаря которому удается диагностировать в организме человека различные заболевания.
Несмотря на это, встречаются ситуации, когда от проведения такой процедуры придется отказаться:
- Основным противопоказанием к проведению МРТ с контрастом считается слишком большой вес пациента. Дело в том, что таким людям довольно проблематично пройти такую процедуру, ведь томограф может просто не выдержать такую массу и результаты будут недостоверными.
- Не рекомендуется делать такое исследование тем больным, у которых были диагностированы эпилептические припадки, панические атаки и клаустрофобия.
- Противопоказанием к проведению МРТ с контрастированием специалисты считают и непереносимость применяемого вещества, то есть развитие на него аллергической реакции.
- Не удается провести такую процедуру и тем пациентам, у которых имеются металлические и электрические импланты, ведь образующееся во время диагностики магнитное поле может вызвать их повреждение.
Специалисты выделяют некоторые противопоказания к назначению такой процедуры, как МРТ с контрастированием:
- выявление у пациента бронхиальной астмы
- тяжелые патологии сердца и сосудистой системы
- заболевания почек
- сильное обезвоживание организма
- беременность до 14 недель
- прием бета-блокаторов
Существенным минусом МРТ с контрастом считается его высокая стоимость по сравнению с такой же процедурой без применения специального вещества. Несмотря на это, такой метод диагностики является довольно востребованным и помогает сохранить пациенту не только здоровье, но и жизнь.
Комментарии 0