
Мрт с контрастом и без: в чем разница?
Магнитно-резонансная томография (МРТ) может проводиться с введением контрастного вещества и без него. Суть самой процедуры от этого не меняется, но существуют важные различия, о которых пациент должен знать. Зачастую врач может предложить на выбор, но иногда только специалист решает, вводить ли контрастное вещество во время обследования, учитывая наличие четких противопоказаний.
Что такое контрастное вещество и как оно действует?
Контрастное вещество представляет собой специальный раствор, вводимый в вену. Он попадает с кровотоком в обследуемый орган и на время изменяет электромагнитный потенциал каждой клетки. И с помощью этих изменений томограф может более четко и точно «увидеть» даже малейшие изменения в их структуре.
Введение контрастного препарата может осуществляться шприцем или капельницей. Назначает препарат исключительно врач. Через время вещество выводится из организма, клетки очищаются и их магнитный потенциал восстанавливается до нормальных величин.
Когда не могут назначить МРТ с контрастным веществом?
- Наблюдается особая чувствительность к компонентам раствора.
- Наличие аллергических реакций.
- Период беременности и кормления.
- Если у человека пересажена печень.
- Если диагностирована почечная недостаточность.
Зачем вводят контраст и когда он обязательно необходим?
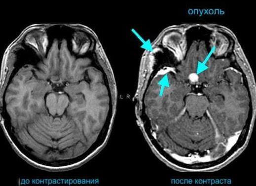
Если болезнь относится к онкологии, обязательно проводят МРТ с контрастом. То же самое касается и рассеянного склероза, и диагностики изменений сосудов в головном мозге. Контрастное вещество помогает четче увидеть, на какой стадии находится опухолевый процесс, и к какой категории относить новообразование. Как правило, злокачественная опухоль вберет в себя большее количество контрастного раствора, поэтому на рисунке можно в мельчайших деталях ее рассмотреть. И это позволяет врачу расшифровать картинку максимально точно.
Обязательно нужно контрастное вещество и при изучении метастаз. Найти их легче, если контрастность клеток повышена до максимума, а вот при мрт без контраста отыскать их практически невозможно.
Как найти клинику, где делают самое дешевое мрт?
Обследование МРТ никогда не относили к дешевым процедурам. Дорогое оборудование и квалифицированный персонал не могут стоить копейки, поэтому очень важно вовремя узнать, где в городе низкие цены на МРТ. Сделать это в телефонном режиме невозможно, ведь записывать под диктовку ценники будет очень долго. И тем более не стоит мониторить цены приезжая в каждую клинику.
Максимально быстро и комфортно можно это сделать на сайте AddHealth.ru, где собрана полная база врачей и клиник по всей России. Достаточно только выбрать свой город и необходимую диагностику, а сервис поиска врача сделает все остальное. Данные в виде таблицы будут доступны через несколько секунд, после чего останется только записаться на МРТ в специальной форме.
В чем разница между МРТ с контрастом и без него
В арсенале современной медицинской отрасли имеется множество способов исследования человеческого организма. На сегодняшний день наиболее часто применяемым методом считается МРТ, основанный на использовании магнитного резонанса атомного ядра. По сравнению с рентгеном или компьютерной томографией, этот метод отличается отсутствием вреда для человека – при его проведении не используется опасное ионизирующее излучение.
Итоговые данные МРТ поступают непосредственно в компьютер врача и там, благодаря специально разработанным программам, обрабатываются. Снимок исследуемого органа представлен трехмерным изображением, благодаря которому можно провести точную дифференциацию тканей. Данная диагностическая методика стала незаменимой в ряде случаев – при подготовке к хирургическому вмешательству, контроле состояния пациента после операции и выявлении ранних стадий большинства патологических процессов.
Магнитно-резонансную томографию используют как неинвазивный метод визуализации спинного и головного мозга, диагностирования последствий травм, злокачественных новообразований, ишемии, различных аномалий развития. Практикующие радиологи разработали множество способов, позволяющих повысить точность итоговых данных исследования, основными из них считаются методики с применением контрастного (особого красящего ткани) вещества или без него.
Пациент, получивший направление на такое обследование, интересуется – в чем разница МРТ с контрастом и без него? Именно поэтому в нашей статье мы хотим рассказать о преимуществах данного метода, в каких случаях врач принимает решение использовать контрастное вещество и в чем главное отличие диагностики.
Общие сведения об МРТ
Данная методика представляет собой неинвазивный, безопасный и безболезненный способ детального изучения внутренних тканей и органов. Специальное медицинское оборудование создает мощное магнитное поле постоянной частоты, которое позволяет получить послойные снимки объекта исследования. Толщина его среза – несколько микрон, полученное изображение преобразовывается в трехмерную модель, позволяющую врачу детально оценить состояние органа.
Благодаря использованию мощного томографа и высокоточной компьютерной техники можно обнаружить многие патологические изменения в человеческом организме, которые трудно диагностировать на другом оборудовании:
- небольшие опухолевидные образования;
- изменения сосудов;
- инфекционно-воспалительные процессы;
- травматические повреждения;
- метастазы.
Однако в некоторых ситуациях обследования обычным магнитно-резонансным способом недостаточно. Особенно часто это случается при поражениях головного мозга. Для улучшения качества изображения столь важного для человека органа дополнительно вводят контрастные вещества, основанные на солях гадолиния – Дотарем, Гадовист, Омнискан, Примовист.
В каких случаях проводят МРТ головного мозга с контрастом?
Контрастный раствор вводят пациенту внутривенно перед началом диагностического обследования для получения более объемного и четкого изображения органа. Данное вещество выполняет роль индикатора изменений, происходящих в головном мозге – оно активно накапливается в зоне очага патологического процесса.
Особое значение использование диагностики с контрастированием имеет:
- при доброкачественных и злокачественных новообразованиях;
- генетических патологиях;
- травматических повреждениях головного мозга;
- кистах;
- менингиоме;
- метастазах;
- инфекционных болезнях;
- нейродегенеративных расстройствах центральной нервной системы;
- болезни Альцгеймера.
Также практикующие специалисты используют МРТ с контрастом для оценивания состояния гипофиза – мозгового придатка, который секретирует биологически активные вещества, влияющие на гормональный фон человека. Данное обследование назначается при любых подозрениях на нарушение его функциональной деятельности:
- в излишней активизации некоторых групп гормонов;
- изменении функции эндокринной системы;
- часто возникающих у пациента головных болей;
- при формирования пролактиомы;
- беспричинном снижении остроты зрения;
- нерегулярном менструальном цикле;
- эректильной дисфункции;
- резком изменении массы тела;
- наличия отклонений роста – явной карликовости или гигантизма.
При внутривенном введении контрастного вещества, оно с циркулирующей кровью распространяется по сосудам и достигает головного мозга.
Принцип действия контраста
Магнитный резонанс с красящим веществом считается более эффективной методикой, нежели без него – врач может не только определить место развития патологического изменения, но и его характер. Для проведения исследования используют хелатный комплекс, который содержит ионы гадолиния. Эти вещества нетоксичны, не вызывают аллергию и какие-либо побочные эффекты, не накапливаются в организме, а быстро выводятся из него.
Контраст обладает способностью «подсвечивать» ткани, это явление фиксирует чувствительное медицинское оборудование. Магнитное поле, воздействующее на красящий препарат, позволяет получить более четкую визуализацию исследуемой области человеческого тела. Скорость распространения вещества по сосудистой системе находится в зависимости от интенсивности кровообращения в месте обследования.
Какие нюансы учитывают при проведении диагностики с контрастом?
Красящие средства, используемые в современной медицине, очень редко вызывают у пациента аллергическую реакцию. Однако при наличии индивидуальной непереносимости для подтверждения диагноза заболевания врач выбирает другой метод.
МРТ органов брюшной полости с контрастированием
При беременности МРТ не рекомендуют проводить на любом сроке этого периода. При острой необходимости проводят обычную диагностику – без введения контраста, так как его влияние на развивающегося младенца до конца не изучено.
Выраженное нарушение почечной функции является противопоказанием не только для применения контрастного вещества при МРТ-исследовании, но и для использования любого контрастирования. Особую осторожность при проведении процедуры необходимо соблюдать при имеющихся у пациента трансплантированных органов (в частности, почек и печени) – возможно негативное воздействие вещества на их функцию.
Дополнительную консультацию специалистов требует проведение процедуры с контрастом у пациентов с сердечно-сосудистыми патологиями, бронхиальной астмой, анемией, гемобластозом. При наличии в человеческом организме имплантантов или металлических предметов проводить диагностическую процедуру с использованием магнитного поля запрещено! Высокомощная аппаратура имеет способность притягивать и передвигать металл – это явление может стать причиной не только появления у пациента болезненных ощущений, но и угрожать его жизни.
Также магнитное поле может повлиять на нормальную работу кардиостимулятора, слухового и другого электронного индивидуального оборудования. Наличие у пациента различных психических нарушений или клаустрофобии не является противопоказанием к проведению обследования. Перед процедурой необходимо принять седативное средство, которое успокоит нервную систему и позволит пациенту сохранять неподвижное состояние.
Наиболее проблемным и тяжелым нежелательным эффектом от применения контраста считается нефрогенный системный фиброз. Патологический процесс поражает кожные покровы, паренхиматозную ткань внутренних органов и проявляется разрастанием фиброзной ткани. Его происхождение и этиологическая причина до конца не выяснены.
Предполагают, что возникновение данного заболевания может быть вызвано сочетанием таких факторов, как:
- почечная недостаточность;
- наследственная предрасположенность;
- прохождение МРТ с дополнительным контрастированием.
С целью предупреждения формирования нефрогенного фиброза перед выполнением МРТ с контрастом оценивают состояние почек, а именно: исследование показателя скорости клубочковой фильтрации.
Основное различие между двумя видами МРТ
Основная разница процедур проявляется в качестве изображения – использование контрастного препарата позволяет более четко визуализировать исследуемый орган. Обычную диагностическую процедуру проводят без дополнительного усиления какими-либо красящими веществами. Для ее выполнения не нужны предварительные подготовительные мероприятия. Сканирование органов с введением контрастных препаратов требует специального подготовительного процесса.
Существует разница и в цене диагностического исследования – стоимость используемых препаратов на основе редкоземельного металла высокая, что значительно превышает цену обычного сканирования. В заключении вышеизложенной информации хочется еще раз подчеркнуть преимущества контрастирования. Красящие вещества прошли целый ряд испытаний – учеными доказана слаботоксичность гадолиния.
Это вещество не вызывает аллергическую реакцию и легко выводится из организма пациента. Его уникальность заключается в способности «подсвечивать» сосуды и ткани, что предоставляет возможность специалистам более подробно изучить исследуемые ткани. А это играет значительную роль в выявлении злокачественных опухолей! Благодаря использованию магнитной томографии с контрастным веществом значительно выросли возможности диагностирования патологий головного мозга, скрытых внутренних кровотечений и воспалительных процессов.
МРТ с контрастом и без — в чем разница
Магнитно-резонансная томография — современная диагностическая процедура, позволяющая получить посрезовые изображения, при этом не используется вредное рентгеновское излучение.
В отдельных случаях МРТ назначают с контрастом, это необходимо для того, чтобы усилить визуализацию и рассмотреть в подробностях сосудистое русло, а также определить наличие даже небольших опухолей.
Парамагнетические контрастные вещества вместе кровью распространяются по сосудам. Под воздействием контраста цветовая интенсивность увеличивается, и врач может с точностью выявить размеры и границы патологий или структуру злокачественных/доброкачественных новообразований. Без контраста специалист просто не заметит на снимках изменения, поскольку их не будет видно.
Обычно используется препараты на основе гадолиния: Магневист, Гадовист.
Когда нужно контрастирование?
Многие пациенты задаются таким вопросом, поскольку применение контраста приводит к удорожанию процедуры примерно в два раза. С другой стороны, необходимо понимать, что увеличивается и диагностическая ценность обследования.
Доктор предложит провести МРТ с введением препарата в следующих случаях:
- демиелинизирующие заболевания — контраст поможет определить «свежие» очаги поражения;
- подозрение на опухолевые образования;
- оценка состояния сосудов.
Подготовка перед томографией не требуется, желательно воздержаться от пищи за два часа до диагностики.
МРТ с контрастированием проводится аналогично обычному обследованию. Вначале выполняется простое сканирование, затем медсестра с помощью шприца вводит средство и исследование повторяется.
Помните, что препарат может вызвать аллергические реакции или побочные действия, поэтому обязательно проконсультируйтесь с врачом для исключения неприятных ситуаций.
Что такое МРТ с контрастом: все про исследование
Делаем МРТ без контраста
МРТ сегодня считается одним из инновационных и самых точных методов диагностики разных заболеваний. В зависимости от предварительного диагноза, могут исследоваться разные участки тела. Более того, иногда врачи рекомендуют пациенту пройти МРТ с контрастом.
В чем разница МРТ с контрастом и без
Разница МРТ без контраста и с контрастом в том, что перед процедурой больному вводится контрастное вещество, которое позволяет врачу получить более четкую картинку. Так как магнитно резонансная томография предполагает ввод в организм пациента контрастного вещества, многие пациенты задумываются, вредно ли это и что это такое контрастное вещество?
Контраст – это красильное вещество, которое при воздействии магнитного поля дает возможность получить четкую картинку. Сегодня существует много разных контрастных веществ, которые условно можно разделить на две группы:
- Внутривенные. Эти вещества используются с целью получить четкую картинку кровеносных сосудов, например, при рассеянном склерозе. Контраст в этом случае представляет собой препарат на основе оксида железа. Не стоит беспокоиться вредно ли это, ведь концентрация железа в препарате маленькая и не влияет на состояние пациента.
- Пероральные. Контраст этого типа используется при исследовании пищевого тракта пациента. Как показывают отзывы, в этом случае контрастом могут выступать и не химические препараты, а даже привычные продукты питания. Например, зеленый или черничный чай, из-за высокой концентрации в нем магния, часто используются при магнитно резонансной томографии в качестве контраста.
Интересно, что контрастное вещество не вызывает аллергических реакций. Зафиксированы единичные случаи, когда у пациентов наблюдалась реакция в виде легкого головокружения или сыпи.
Показания и противопоказания для магнитно резонансной томографии с контрастом
Сегодня почти 20% всех магнитно резонансных исследований проводится при использовании контрастного вещества. Существует ряд показаний для выполнения именно этого вида диагностики:
- Опухоль, рак или оперативное вмешательство в анамнезе.
- Если у врача есть подозрения, что в организме пациента присутствует инфекция, или же есть подозрения на наличие рака.
- Оценка состояния кровеносных сосудов (особо актуально при рассеянном склерозе).
- Исследование образования, которое было выявлено при проведении магнитно резонансной томографии без контраста.
Несмотря на то, что врачи, объясняя пациентам, что это такое – магнитно-резонансная томография с контрастом, говорят, что процедура является совершенно безвредной, у нее есть и свои противопоказания.
- Заболевания почек являются причиной, по которой следует отказаться от МРТ этого типа.
- Бронхиальная астма.
- Аллергическая реакция на контраст.
- Болезни сердечнососудистой системы.
- Обезвоживание организма.
- Употребление определенных лекарственных препаратов, например, бета блокираторов.
- Беременность.
Но, как показывают отзывы, наличие факторов, которые являются неблагоприятными для проведения МРТ с контрастом, не являются приговором. В большинстве случаев магнитно резонансную томографию проводят после консультации и получения разрешения специалиста, который занимается лечением патологии. К слову, противопоказания магнитно резонансной томографии с вводом контраста хоть и исключают возможность проведения диагностики беременным женщинам. Но при определенных обстоятельствах такую диагностику приходится сделать и будущей матери.
Подготовка к МРТ с контрастом
Подготовка к выполнению МРТ исследования, которое подразумевает введение контрастного вещества, ничем не отличается от процедуры подготовки пациента к обычной магнитно резонансной томографии. Существует несколько общих правил:
- Непосредственно перед процедурой надо будет снять все металлические предметы и аксессуары с одежды, в том числе сережки, цепочки и т.п. А мобильный телефон и прочие электронные приспособления нельзя заносить в комнату, где находится томограф – под воздействием магнитного поля они могут сломаться.
- Не стоит пользоваться косметикой – металлические частицы, которые содержаться в тенях, могут сделать результат МРТ недостоверным. Если на теле пациента есть тату, о них тоже надо сообщить врачу.
- Зубные протезы перед исследованием надо будет снять.
Кроме того, в зависимости от участка, который надо будет исследовать, используя магнитно резонансную томографию, проводиться и дополнительная подготовка:
- При исследовании брюшной полости с контрастом пациент должен полностью отказаться от еды и питья минимум на 5 часов перед процедурой.
- При подготовке к МРТ органов малого таза пациент за час до процедуры должен выпить минимум 1 л воды. Тогда результаты исследования будут более достоверными.
- Но в большинстве случаев магнитно резонансная томография не подразумевает проведения особой подготовки. Вполне достаточно соблюдать общие правила.
Инъекция контраста внутривенно в большинстве случаев выполняется после предварительного выполнения «не контрастных» снимков. Лаборант вводит в вену на руке пациента небольшое количество контрастного вещества (не более 20 миллилитров). После чего снова проводиться процедура магнитно резонансного исследования. Таким образом, врач, сравнивая снимки с контрастом и без, получает максимум информации о конкретном участке тела пациента и может поставить правильный диагноз.
Вконтакте
Одноклассники
Мой мир