
Киста головного мозга: что это, симптомы, лечение
Киста головного мозга, к сожалению, встречается у многих. Позитивный исход после этого опасного заболевания зависит от того, насколько своевременно его выявили и как проходит лечение.
Что это
Киста – это пузырь, в котором скопилась жидкость. Он может локализоваться на любом участке головного мозга. Однако наиболее часто киста встречается в паутинной «сетке», покрывающей полушария мозга, потому как именно она подвержена воспалениям и травмам различной степени.
При правильной диагностике и постановке диагноза больному необходимо придерживаться всех тех советов, которые ему дал лечащий врач, а если того требует ситуация – решиться на хирургическое вмешательство.
Виды кисты мозга
Можно выделить 2 классификации. Первая посвящена тому, где располагается киста, то есть она бывает:
- Арахноидальная, размещенная между оболочек мозга.
- Внутримозговая, когда она располагается внутри тканей мозга.
Вторая классификация – в зависимости от того, как она появилась:
- Врожденная киста возникает при нарушениях внутриутробного развития во время беременности, а также при внутриродовой асфиксии, когда гибнут мозговые ткани.
- Приобретенная киста обычно возникает после серьезных травм, воспалений и кровотечений.
Симптомы
Киста не имеет никаких симптомов, если ее размер невелик. Большие же новообразования, как уже было сказано, создают неприятное ощущение сдавливания. Поэтому выделяют следующие симптомы кисты головного мозга:
- Проблемы со слухом: он может либо пропасть, либо ухудшиться, либо может произойти так, что слышать будет лишь одно ухо. Также может развиться шум в ушах.
- Постоянная головная боль, которая не проходит после употребления лекарственных средств.
- Потеря сна.
- Проблемы в работе вестибулярного аппарата, когда происходит нарушение координации.
- Возможен даже паралич конечностей.
- Расстройство нервной системы, а значит и нервозность.
- Гипо-/гипер- тонус мышц.
- Обморок и судороги.
- Сильные пульсации в голове.
- Тошнота и рвота.
- Чувство, когда в голове что-то сдавлено.
- Нарушение тактильных ощущений.
Стоит понимать, что симптоматика полностью зависит от того, в каком именно месте образовался пузырь, ведь каждому участку головного мозга присвоена своя функция, которую он должен выполнять. Также на это влияет то, куда давит киста, то есть, если на мозжечок, то возникнут проблемы с равновесием, походкой и жестами, ведь именно мозжечок отвечает за это. При развитии пузыря с жидкостью в частях, отвечающих за двигательный аппарат, страдать будет именно эта функция.
Диагностика
Диагностика кисты подразумевает использование ультразвукового исследования, а также компьютерной томографии и МРТ. При исследовании определяется локализация новообразования и его размеры. Иногда может возникнуть сомнение в том, киста это или опухоль. Для этого специалисты изобрели специальное контрастное вещество, которое и показывает, чем является новообразование в данном случае. При кисте эта жидкость не набирается, а опухоли его накапливают.
Лечение
Из-за того, что последствия кисты могут быть абсолютно непредсказуемыми, следует не только выявить ее наличие, но и предотвратить появление новых. Специальные обследования, которые проводятся в настоящее время, позволяют узнать о причинах ее появления.
Лечение кисты мозга может быть разным, потому как зависит именно от причин. При неразвивающейся кисте не требуется никакого лечения, ведь она позволяет человеку вести обычную жизнь.
В случае, если киста меняет свой размер в большую сторону, необходимо срочно начинать лечение, ведь не упущенное время – залог успеха. Часто именно из-за нескольких месяцев решается вся жизнь человека.
Выделяют несколько видов терапии:
- Консервативная. Само название говорит за себя: только традиционные лекарства и медикаментозное лечение, которые должны устранить причины появления и развития кисты. Обычно применяются иммуномодулирующие, противовирусные или антибактериальные лекарства, специальные препараты, которые рассасывают кисту, а также восстанавливают кровоснабжение.
- Хирургия. При хирургическом вмешательстве киста удаляется полностью, происходит прямой контакт с ней, потому как обычно используют трепанацию черепа, эндоскопию и шунтирование.
Стоит также понимать, что на одних антибиотиках путь к полному выздоровлению абсолютно закрыт. Они особо ничем не помогут, если не совмещать с ними и другие препараты.
Киста возникает при ослабленном иммунитете, поэтому для того, чтобы ее убрать, нужно повысить иммунитет организма.
Также при кисте нарушается кровообращение в головном мозге, поэтому нужно привести в норму артериальное давление и снизить холестерин в крови. Такое лечение должно сопровождаться применением антиоксидантов и ноотропов.
Вообще хирург может подобрать индивидуальную программу лечения, ведь это формируется из результатов обследования.
Киста, которая не растет и не развивается, может быть удалена и с помощью народной медицины.
Но самое главное состоит в том, что не надо пренебрегать медицинскими осмотрами. Потратить 2 дня за год и прожить на десятки лет больше – неужели это сложно?
Доктор Комаровский о кисте:
Лечение кисты головного мозга — методики, отзывы врачей и пациентов, последствия
Нейрохирургическая практика часто направлена на лечение или контроль за кистами головного мозга.
Это достаточно распространённое явление – полость, заполненная жидкостью.
Киста, как правило, не влияет на качество жизни пациентов и, если её размеры со временем не увеличиваются, никакого лечения не требуется.
Но в ряде случаев обнаруживаются серьёзные неврологические нарушения, когда лечение кисты головного мозга обязательно.
Киста головного мозга – доброкачественное образование шаровидного типа.
Локализация
Выделяют:
- арахноидальные кисты – находятся между оболочками мозга;
- внутримозговые кисты – внедряются в толщу тканей мозга.
По происхождению
Происхождение кисты подразделяет этот вид новообразований на:
- врождённые кисты – возникают как следствие внутриутробных нарушений;
- приобретённые кисты – развиваются как осложнение после воспалительных процессов, травм, кровоизлияний.
По поврежденным тканям
В зависимости от тканей, из которых формируются кисты, выделяют такие их виды:
- Арахноидальная киста – образование с содержанием цереброспинальной жидкости. Встречается в основном у мужчин. Если рост кисты не наблюдается, то целенаправленное лечение не назначается. Если полость увеличивается, как правило, требуется оперативное вмешательство;
- Коллоидальная киста – протекает часто без каких-либо признаков, но при этом увеличивается в размерах. Когда размеры достигают критического уровня, прекращается отток ликвора, развивается гидроцефалия. Тогда хирургическое вмешательство является неизбежным и срочным;
- Дермоидная киста (дермоид) – это дефект развития, при котором зародышевые клетки, предназначенные для формирования тканей лица, остаются невостребованными. Лечение дермоидов всегда оперативное;
- Эпидермоидная киста (эпидермоид) – клетки зародыша, предназначенные для формирования тканей кожи, волос и ногтей, не выводятся из мозга. Лечение также хирургическое;
- Пинеальная киста – киста эпифиза, встречается приблизительно в 3% случаев. Протекает бессимптомно, признаком является головная боль, трудно смотреть наверх.
Как лечить кисту головного мозга
Если киста небольшого размера, то никаких мер не предпринимается и диагностируется образование, скорее всего, случайно.
Клиническая картина с характерными для кисты признаками имеет место уже при сдавливании кистой тканей и нарушениях оттока цереброспинальной жидкости.
Симптоматика охватывает такие признаки активно развивающейся кисты:
-
головокружение;
- чувство сдавливания и распирания в голове;
- нарушения зрения;
- галлюцинации;
- частичный парез рук или ног, паралич;
- эпилепсия;
- нарушение чувствительности кожи;
- тремор;
- бессонница;
- тошнота и рвота (часто фонтанирующая).
Настораживают также агрессивные головные боли, пульсация в голове, шум в ушах и другие нарушения слуха, потери сознания, раскоординированность движений, онемение рук и ног. В этом случае немедленно следует обратиться к врачу.
Если пациенту диагностирована киста, следует периодически наблюдаться у врача и контролировать размеры образования.
Делается это с помощью методов компьютерной (КТ) и магниторезонансной томографии (МРТ), ибо только они дадут реальную информацию о локализации, размерах и очертаниях кисты и возможность отличить её от опухоли.
Диагностика направлена на снижение артериального давления, обнаружение нарушений кровообращения, кровоснабжения мозга, контроль состояния сосудов шеи и головы, работы сердечной мышцы, исследование крови с целью определения качества её свёртывания, уровня холестерина, маркеров воспаления.
Врач выясняет также, присутствуют ли у пациента аутоиммунные заболевания.
Консервативное лечение
Медикаментозные методы лечения кисты головного мозга направлены на устранение заболеваний, которые стали причинами появления кисты.
Это могут быть антибиотики, иммуномодулирующие и противовирусные средства, препараты, восстанавливающие кровоток.
Хирургические методики
Отзывы указывают, что лечение кисты головного мозга с помощью медикаментов зачастую недостаточно и увеличение полости кисты и наличие признаков её роста предопределяют использование оперативного вмешательства.
Хирургия кисты головного мозга предполагает 3 типа операций:
- радикальные операции – трепанация черепа для удаления кисты (высокая эффективность сочетается с повышенной травматичностью);
- шунтирование кистозной полости – установка дренажной трубки, через которую оттекает жидкость, а стенки полости после чего спадаются (риск инфицирования очень высок);
- эндоскопические методы – содержимое удаляют через проколы кисты (способ наименее травматичный, но его использование зависит от типа кисты).
Лечение конкретного вида кисты
Лечение разных видов кист головного мозга имеет свои отличия.
Ликворная киста
Это полость, сформировавшаяся между оболочками мозга.
Она может быть вызвана менингитом, инсультами, травмами или воспалительными процессами. Болезнь обнаруживается на поздних стадиях, так как вначале протекает бессимптомно.
Основными признаками являются судороги, рвота, психические заболевания, частичный паралич конечностей, невозможность сохранять равновесие.
Ликворная киста головного мозга не лечиться консервативно и удаляется полностью с помощью хирургии. В некоторых случаях ставят шунт.
Лакунарная киста
Это скопление жидкости в подкорковых узлах или в варолиевом мосту, реже в мозжечке или зрительных буграх.
К её возникновению могут привести атеросклероз или возрастные изменения в головном мозге, гипертензия, инфаркт миокарда и другие сердечные проблемы, венерические и эндокринологические болезни. Симптомы её отличаются резким проявлением и важно сразу обратиться к специалисту.
Своевременная медицинская помощь может спасти жизнь.
Последствия развития лакунарной кисты могут быть необратимы.
Если выявлена лакунарная киста головного мозга, то назначается хирургическое лечение.
Сопутствующая терапия направлена на снижение уровня артериального давления, уровня холестерина в крови, очищение сосудов, нормализацию сердечной деятельности, нормализацию церебральной гемодинамики, улучшение микроциркуляции и мозгового кровотока, коррекцию психических расстройств.
Также проводятся тренинги для повышения концентрации внимания, логического мышления, памяти.
Арахноидальная киста
Что такое арахноидальная киста головного мозга и как происходит ее лечение читайте в нашем материале.
Ретроцеребеллярная киста
Что такое ретроцеребеллярная киста головного мозга и ее лечение подробно расписаны в нашей статье.
Пинеальная киста или киста эпифиза
Проявляет себя болью в голове, дезориентацией, пациент чувствует сонливость, замечает трудности при ходьбе и двоение в глазах.
В запущенных состояниях болезнь осложняется гидроцефалией, нарушением обмена веществ, энцефалитом.
Пинеальная киста (эпифиза) головного мозга — часто небольшая, но она часто увеличивается в размерах, что вызывает необходимость хирургического лечения, но это может определить только нейрохирург.
Отзывы пациентов и врачей о методиках лечения
Лечение кисты головного мозга — сложное мероприятие, тем важнее изучить отзывы людей, который столкнулись с этим заболеванием.
Отзывы пациентов
Валентина. У племянника диагностировали кисту головного мозга 2 года назад. Этому предшествовало две МРТ. Сказали, что нужна операция. Основными симптомами были головокружение и двоение в глазах.
Размер кисты около 3 см. Врачи в нашем городе сказали, что киста врождённая, и они не ручаются за результат операции, потому что племяннику моему уже 28 лет. Посоветовали ехать в Москву.
Так и сделали. Там провели операцию, она длилась около 5 часов. Сейчас всё хорошо, опасения по поводу потери зрения не подтвердились, умственные способности не пострадали.
Татьяна. Моему ребёнку сделали операцию по удалению дермоида. Киста располагалась в подчерепной ямке. Я не знаю, как другие, но я на операцию решалась очень сложно, так жалко мне было свою девочку.
Тем более, многие говорят, что киста, которая не увеличивается в объёме, хирургическому вмешательству не подлежит, лечится медикаментозно. Но всё-таки меня убедили врачи и сама испугалась, что могу лишить дочку здорового будущего…операцию сделали.
Прошло полгода, у нас всё нормально. Но молодым родителям скажу одно: на самом деле, ни в чём нельзя быть уверенным, особенно, когда дело касается операции на головном мозге.
Отзывы врачей
Попов П.Р., нейрохирург. У одного из пациентов в полости третьего желудочка сформировалась коллоидная киста. Она перекрыла каналы оттока ликвора из других желудочков в третий и четвёртый желудочки головного мозга.
Кризис наметился в том, что возникла гидроцефалия. Это угроза для жизни.
Кроме этого, трудность в лечении представлял тот факт, что пациент потерял память. Такая ситуация сразу наводит на мысль о том, что киста давит на своды головного мозга и её нужно удалять.
Операция по удалению коллоидной кисты весьма сложная вещь, поскольку нужно всё время контролировать, чтобы жидкость из полости кисты никуда больше не попала, иначе начнётся инфицирование соседних желудочков. Это эндоскопическая малотравматичная операция.
Во время операции стенку коллоидной кисты не удалось удалить без последствий: открылось кровотечение, сформировалась гематома, поэтому пришлось удалять не только саму жидкость из кисты, но и гематому.
Удалять стенки кисты не обязательно, поскольку это может привести к негативным последствиям.
Романова Т.А., нейрохирург. Что касается кисты, находящейся в лобной области, то особого смысла в её удалении нет.
Даже поставленный дренаж для эвакуации ликвора из полости не повлияет на приступы головной боли. Скорее всего, они вызваны дефектом развития мозгового вещества.
Прогноз
Благоприятным является прогноз лечения кисты на ранних стадиях и без динамики прироста её размеров.
В случае появления нарушений оттока ликвора, сдавливания кистой тканей головного мозга и сопутствующих заболеваниях, а также при активизации роста полости кисты возможны тяжелые последствия с осложнениями, которые ухудшают прогноз.
В таких случаях возможен целый ряд серьезнейших последствий, которые обуславливает месторасположение кисты (ухудшение зрения, слуха, паралич, потери памяти и т.д.).
Именно поэтому больным с прогрессирующей в развитии кистой показано срочное оперативное вмешательство.
Видео: Удаление кисты пинеальной области
На видео виден процесс операции по удалению пинеальной кисты головного мозга.
Читайте ещё
Киста головного мозга: виды, симптомы и лечение.
Киста головного мозга является доброкачественным образованием, представляющим собой полость с жидкостью. Киста довольно распространена: ей подвержены люди всех возрастов. Встречается она как у новорожденных (причем, достаточно часто), так и у взрослых, и у пожилых. Является довольно опасным заболеванием и может приводить к тяжелым последствиям при отсутствии своевременного лечения. Вот почему так важно следить за здоровьем и периодически проводить полное обследование организма, а в частности, и головного мозга. В особенности это касается людей, наиболее подверженных риску данного заболевания.
Что же вызывает кисту головного мозга? Как распознать ее симптомы, и кто наиболее подвержен ее образованию? Как лечится киста? Всем этим вопросам и посвящена данная статья.
Снимок арахноидальной кисты левой лобной доли мозга.
Киста головного мозга: причины возникновения.
Киста возникает по разным причинам, но механизм ее образования схож во всех случаях. Спинно-мозговая жидкость циркулирует в тканях спины и головы, защищая нервные клетки от любых механических воздействий, повреждений, воспалений. Иными словами, какая бы проблема не возникла с нервными клетками или мозговым веществом, образуется приток этой жидкости к поврежденному участку. Церебро-спинальная жидкость способствует его заживлению и защите. Но слишком обширный поврежденный участок тканей черепа или нарушенное кровообращение вызывают ее скопление. Так организм старается восполнить утраченную ткань, замещая ее жидкостью. Что и приводит к кисте.
Основными причинами возникновения кисты являются:
- Врожденные патологии.
- Последствия родовой асфиксии.
- Ушиб головного мозга, перелом костей черепа.
- Паразитарные поражения мозга.
- Энцефалопатия головного мозга и менингоэнцефалит.
- Менингит.
- Дегенеративные и атрофические изменения тканей мозга.
- Ишемия и гипоксия головного мозга.
Не обнаруженная вовремя киста может увеличиться в размерах и привести к еще более тяжелым последствиям в результате. Обычно причинами ее увеличения становятся:
- Не пролеченное вовремя воспаление оболочек головного мозга;
- Последствия ушиба головного мозга;
- Ишемия, нарушенное кровообращение;
- Не долеченные инфекционные заболевания мозга.
Симптомы кисты головного мозга.
Размеры кист мозга варьируются в довольно широком диапазоне. Небольшая киста в большинстве случаев не провоцирует каких-либо симптомов, и обнаруживается только при исследовании головного мозга посредством УЗИ, МРТ и т.д. А образования крупных размеров создают давление на ткани мозга и его оболочки, вызывая ряд симптомов у пациента. Их список довольно обширен, поскольку симптоматика зависит от того, на какой именно участок мозга давит киста:
- Снижение слуха и ухудшение зрения;
- Приступы головной боли, которая не проходит после приема таблеток;
- Ухудшение координации движений и ориентирования в пространстве;
- Паралич или онемение рук и ног;
- Эмоциональная неустойчивость, неврозы, нервные срывы, приступы гнева;
- При большой кисте возможно возникновение серьезных психических отклонений – частичная потеря памяти, развитие слабоумия;
- Судороги в мышцах;
- Шум в голове, звон в ушах;
- Обмороки;
- Снижение осязательной способности кожи;
- В голове ощущается биение пульса;
- Беспричинная тошнота и рвота, после которой не происходит облегчения;
- Чувство «сдавленности» в голове;
- У младенцев можно прочувствовать сильную пульсацию сквозь родничок.
Итак, симптоматика определяется тем, в каком участке головного мозга образовалась киста, а также тем, на какую его область она оказывает давление. Каждый участок мозга отвечает за определенный ряд функций в организме. При давлении на участок кисты возникает ишемия, теряется его способность нормально работать.
Так, например, сдавленный кистой мозжечок не выполняет в полной мере свою функцию, ухудшается работа вестибулярного аппарата: человек подвержен потере равновесия, головокружению. Если давление оказывается на гипоталамус, то нарушается обмен веществ, могут пропасть такие ощущения, как чувство насыщения или голода, жажды. Если сдавлена центральная часть мозга — таламус, то возможны онемения, глухота, слепота, потеря вкусовых ощущений, поскольку она отвечает за восприятие информации от органов чувств. То же происходит и с другими участками мозга под давлением кисты: их работа прекращается частично, или даже полностью. Большие кисты могут вызывать серьезные проблемы в работе организма, вплоть до вегетативного состояния, параличей, слабоумия.
Подробная схема строения мозга.
Киста – достаточно коварное заболевание, поскольку иногда о ее наличии не сигнализируют никакие симптомы. Это происходит, если киста имеет небольшие размеры и не растет с течением времени. Конечно, специального лечения такая киста не требует. Но в данном случае необходимо регулярное обследование, поскольку в любой момент она способна увеличиться.
Слово эксперта о симптомах, причинах и диагностике кисты:
Виды кисты головного мозга.
В зависимости от типа тканей, на которых локализовалось новообразование, все кисты делятся на два типа: арахноидальную – расположенную в оболочках мозга, и ретроцеребеллярную – возникающую непосредственно в тканях мозга.
В зависимости от зоны локализации различают несколько видов кист:
- коллоидальную;
- пинеальную;
- эпидермоидную;
- кисту сосудистого сплетения.
- кисту перегородки головного мозга.
- лакунарные кисты головного мозга
- порэнцефалическую кисту.
- кисту мозжечка головного мозга.
- кисту гипофиза.
Арахноидальные кисты головного мозга.
Данный вид кисты образуется в твердой, паутинной и мягкой оболочках мозга. Локализуется на любом месте оболочки и включает в себя несколько подвидов кист. Различают первичную арахноидальную кисту – врожденную, и вторичную – образованную после перенесенных заболеваний. Ее возникновению способствуют:
- постоперационный период (если проводилась операция на мозг);
- менингит;
- болезнь Марфана (аномалия соединительных тканей) и т.д.;
Киста прозрачной перегородки головного мозга.
Эта киста арахноидального типа локализуется между передней долей и мозолистым телом мозга. Этот вид кисты бывает как врожденным, так и приобретенным. Врожденная киста перегородки чаще всего никак не вредит работе мозга, а вот за приобретенной требуется наблюдение специалиста, поскольку она может расти.
Лакунарная киста.
Лакунарные кисты образуются в лакунах (пустотах) между оболочками мозга.
Ретроцеребеллярные кисты головного мозга.
Образуется данный тип кист в любых участках мозга, на которых развивается некроз тканей. Замещается отмершее мозговое вещество ликворной жидкостью. Причин их возникновения может быть множество. Главное отличие ретроцебеллярной кисты от арахноидальной в том, что она растет, и достаточно быстро. Этим она и представляет опасность для здоровья, а порой и для жизни.
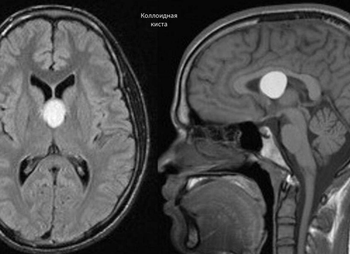
Коллоидальная киста.
Эта киста локализуется в третьем желудочке головного мозга и представляет собой полость из нейроэпителиальных или эндодермальных клеток, заполненную густой желеподобной жидкостью. Такая киста является врожденной, образуется в результате мутации, которая передается по наследству. Обычно имеет небольшие размеры и не угрожает здоровью человека.
Коллоидальная киста, локализованная в третьем желудочке головного мозга.
Пинеальная киста головного мозга (киста шишковидной железы).
Шишковидная железа выполняет множество важнейших функций: вырабатывает мелатонин, определяя биоритмы человека, влияет на иммунитет, своевременно нивелирует гормоны роста в юности, регулирует половое созревание. Киста в теле железы возникает редко. А причинами являются нарушение циркуляции мелатонина или же паразит эхинококк.
Эпидермоидная (дермоидная) киста головного мозга.
Существует версия, что этот вид кисты – врожденный, и образуется еще в период формирования плода из клеток эпидермиса, которые случайно попали в черепное пространство и сохранились там. Располагается она в самой середине головного мозга ближе к его стволу. Размеры ее могут быть разными. Этот вид кисты очень легко и безтравматично удаляется в силу строения: ее тело хорошо отделено от мозгового вещества и соединительной ткани.
Киста сосудистого сплетения головного мозга.
Эта киста характерна для новорожденных малышей. Образуется она в закономерном порядке на определенном этапе формирования плода: сосудистые сплетения вырабатывают ликворную (мозговую) жидкость, которая питает спинной и головной мозг. На последних месяцах беременности при нормальном ее течении эти кисты исчезают самостоятельно.
Если малыш родился с сосудистой кистой головного мозга, это может быть последствием перенесенного матерью во время беременности инфекционного заболевания, резким снижением ее иммунитета или следствием неправильного ведения беременности. Как правило, такие кисты у малышей рассасываются самостоятельно до года-двух. И тем не менее, до этого момента требуется регулярное обследование ребенка. У взрослых людей такая киста тоже встречается и, как правило, не доставляет неудобств.
На снимке киста сосудистых сплетений головного мозга у мужчины (возраст 25 лет). Кисты нединамичны, лечения не требуют.
Порэнцефалическая киста.
Новообразования этого типа локализуются в любом участке мозгового вещества на месте отмерших тканей. Опасный вид кисты, чреват развитием таких заболеваний, как гидроцефалия и ряд других осложнений. Требует немедленного лечения.
Кисты мозжечка и гипофиза также относятся к ретроцеребеллярным кистам.
Диагностика и лечение кисты головного мозга.
Киста головного мозга диагностируется посредством контрастной МРТ. Чтобы выявить причины ее образования, следует пройти:
- Доплеровское сканирование сосудов головного мозга.
- Обследовать сердце.
- Исследовать уровень холестерина в крови.
- Исследование артериального давления.
- Проверить наличие инфекции в крови.
- Исключить присутствие паразитов.
- Исследовать динамику кисты (скорость ее роста).
Только после комплексного обследования специалист назначает соответствующее лечение кисты и болезни, которое спровоцировало ее появление.
Только врач может поставить верный диагноз и определить, какой метод лечения необходим.
Лечение кисты назначают в зависимости от ее типа. Нединамичная киста небольшого размера не нуждается в каком-либо лечении и не влияет на работу мозга, однако требует постоянного медицинского наблюдения.
Кисты средних размеров часто возможно устранить посредством медикаментозного метода лечения. Для этого пролечивают заболевание, которое способствовало формированию кисты. А ее тело самостоятельно рассасывается после устранения причины.
Например, если причиной возникновения кисты стало сужение сосудов, то назначаются сосудорасширяющие препараты, спазмолитики и лекарства, способствующие снижению уровня холестерина в крови. Если причиной стала гипертония – пролечивают ее, и так далее.
Большие кисты требуют срочного хирургического вмешательства, поскольку затрудняют работу мозга, наносят ущерб его тканям, нарушают мыслительный процесс и работу всего организма.
Хирургические операции по удалению кисты головного мозга делятся на три типа.
Подразумевают вскрытие черепной коробки и полное удаление кисты вместе с ее оболочкой. Обеспечивает комплексное устранение проблемы без возможности рецидива. Метод очень эффективен, но является самым травматичным из существующих.
Как происходит удаление арахноидальной кисты головного мозга:
В кости черепа делается аккуратный прокол, через который вводится дренажная трубка в тело кисты. С ее помощью откачивают содержимое кисты. Тело кисты «сдувается», стенки постепенно рассасываются. Метод отличается низкой травматичностью. Недостаток его в повышенной вероятности занесения инфекции в прокол.
Самый безопасный и нетравматичный способ удаления кисты. Производится посредством введения в прокол в черепе эндоскопа с видеокамерой. Содержимое кисты удаляется, ее стенки спадают и рассасываются. Однако, недостаток данного метода в том, что он подходит не для всех типов кисты головного мозга.
Поскольку образованию кист в головном мозге подвержены многие возрастные категории, периодическое обследование головного мозга (например, МРТ), рекомендуется проходить каждому не реже раза в 1-3 года.
Киста головного мозга — причины, симптомы, лечение и профилактика
В статье обсуждаем кисту головного мозга. Рассказываем о ее видах, причинах образования, симптомах и диагностике. Вы узнаете, какие бывают последствия у кисты, как происходит лечение традиционными способами и народными методами, какая необходима профилактика.
Содержание статьи
Что такое киста головного мозга
Киста головного мозга — это доброкачественное новообразование в мозговых тканях, представляющее собой заполненную ликвором полость. Форма полости кисты округлая, шароообразная. Размеры варьируют — чем больше киста, тем ярче симптоматика.
Виды кист
По времени возникновения различают врожденные и приобретенные кисты головного мозга. Примеры врожденных кист:
- дермоидная — в тканях мозга, формируется внутриутробно по типу порока развития и содержит в своей полости клетки кожи, волос;
- субэпендимальная киста — формируется в желудочках или стволе мозга у новорожденных после осложненных родов;
- псевдокиста — формируется в процессе родов вследствие кровоизлияния зародышевой матрицы у 1% недоношенных детей;
- коллоидальная — формируется внутриутробно в подкорке;
- порэнцефалическая — формируется в тканях головного мозга.
Кисты разделяют по их месторасположению: киста шишковидной железы (гипофиза), эпифиза и др. Наиболее часто встречают следующие виды доброкачественных образований:
- ретроцеребеллярная киста — расположена под арахноидальной оболочкой;
- арахноидальная — новообразование арахноидальной наружной оболочки мозга;
- ликворная — формируется между оболочками мозга;
- пинеальная — в эпифизе;
- лакунарная — обнаруживается в зрительных буграх, мозжечке, варолиевом мосту или подкорковых узлах;
- сосудистая киста или киста сосудистых сплетений — доброкачественное образование мозговых сосудов;
Причины появления
Наиболее распространенными общими причинами появления кист головного мозга считают:
- аномалии развития мозга;
- нарушения мозгового кровотока;
- паразиты;
- нейроинфекции;
- травмы, ушибы мозга.
Кроме перечисленных, у некоторых видов кист встречаются свои причины появления:
- Пинеальная киста возникает вследствие эхинококкоза или затруднения/невозможности оттока секрета из эпифиза.
- Ликворная формируется по причине инсульта, менингита, оперативного вмешательства, травм.
- Лакунарная киста возникает в результате возрастных атеросклеротических изменений в тканях мозга.
- Киста мозжечка формируется после аутоиммунных реакций, инфекций мозга.
Симптомы
Симптомы разделяют на специфические и неспецифические. Первые зависят от локализации, размеров, роста новообразования. Вторые характерны для всех видов кист и связаны с тем, что новообразование в процессе роста сдавливает мозговые ткани. Кисты малого размера часто протекают бессимптомно.
Неспецифические симптомы кист вызывают нарушения:
- координации сложных движений;
- мышечного тонуса;
- зрения, слуха;
- психических функций;
- частая головная боль, головокружения;
- чувство давления в полости черепа;
- нарушения сна;
- иногда — обмороки, тремор, эпилептические припадки и др.
Специфическими симптомами кисты гипофиза являются:
- двоение видимых объектов;
- сложности в координации движений;
- невозможность посмотреть вверх.
Симптомами кисты эпифиза являются:
- дезориентация;
- двоение воспринимаемой действительности, “размытость”, пятна перед глазами;
- нарушение ритма сон-бодрствование.
Симптомы пинеальной кисты проявляется нарушением:
- метаболизма;
- зрения;
- координации.
Коллоидальную кисту сопровождают следующие признаки:
- эпилептиформные припадки;
- высокое внутричерепное давление;
- слабость в ногах.
Ликворная киста дает следующую симптоматику:
- нарушение координации;
- диспепсические расстройства;
- психические нарушения;
- судорожные припадки.
Симптомы кисты у новорожденного:
- пульсирующий большой родничок;
- отсутствие фиксации взгляда ребенка на предметах;
- регулярные обильные срыгивания после кормлений;
- вялые движения ручек и ножек;
- частый плач;
- иногда судороги.
Диагностика
Диагностируют кисту, опираясь на клиническую картину и анализы дополнительных медицинских исследований. Само образование визуализируют с помощью:
- УЗИ головного мозга;
- МРТ;
- компьютерной томографии.
Сосудистую кисту у ребенка диагностируют при помощи нейросографии — новый безопасный метод исследования.
Эти методы исследования помогают определить расположение полости, ее размеры, целостность. Проводимые время от времени исследования позволяют проследить динамику развития кисты.
Для того, чтобы убедиться в доброкачественности образования, при исследованиях врачи применяют специальное контрастное вещество. Кисты не накапливают его, в то время как злокачественные новообразования головного мозга активно его поглощают и окрашиваются.
Данные о том, нарушено ли кровоснабжении мозга, получают с помощью допплерографии. Инфекционные и аутоиммунные причины кисты выявляются благодаря анализам крови.
Диагностику кисты у новорожденных проводят с помощью нейросонографии — это наиболее безопасный для ребенка метод визуального медицинского исследования головного мозга.
Последствия кисты
Различные виды кист приводят к разным последствиям:
- пинеальная киста является одной из причин энцефалита, гидроцефалии;
- ретроцеребеллярная киста быстро увеличивается в размерах, сдавливая здоровые ткани мозга;
- арахноидальная киста ведет к появлению приступов эпилепсии;
- порэнцефалическая киста приводит к заболеваниям гидроцефалия, шизэнцефалия;
- коллоидальная киста часто осложняется мозговой грыжей, гидроцефалией, иногда заканчивается летальным исходом.
Киста головного мозга у ребенка может привести к отставанию в развитии и росте. Разрыв большой по размеру кисты часто приводит к внезапной смерти.
Лечение традиционными методами
Лечение кист может быть:
- медикаментозным;
- оперативным.
Медикаментозная терапия направлена на устранение причин, вызывающих появление и рост кисты у больного. В зависимости от выявленных причин назначают:
- антибиотики;
- иммуномодуляторы;
- противовирусное лечение;
- препараты для профилактики и лечения спаек;
- препараты, нормализующие кровоток в головном мозге (снижающие холестерин крови, нормализующие свертываемость, кровяное давление);
- ноотропы для улучшения питания головного мозга.
Удаление кисты с помощью операции показано в следующих случаях:
- интенсивное увеличение в размерах и невозможность остановить рост кисты медикаментозной терапией;
- тяжелое нарушение психических и физических функций организма.
При направлении на оперативное удаление врач учитывает высокую нагрузку на организм хирургическим лечением и риск осложнений, поэтому на операцию направляют при серьезной угрозе здоровью, жизни.
Оперативное лечение кисты головного мозга проводят 3-мя способами:
- трепанация черепа, микрохирургическая операция;
- операция с использованием эндоскопа;
- операция с использованием шунта.
Иногда лечения кисты головного мозга не требуется. К примеру, это верно на все 100% для псевдокисты новорожденного — она рассасывается самостоятельно в течение первого года жизни. Сосудистая киста, обнаруженная у ребенка, проходит самостоятельно в 42% случаев.
Лечение народными методами
Народная медицина предлагает курсы траволечения с помощью:
- цветов и/или семян болиголова пятнистого;
- корня девясила;
- полыни;
- цветков ромашки;
- цветков календулы;
- тысячелистника;
- корня аира болотного;
- корня диоскория кавказского;
- листьев малины;
- рыльцев кукурузы;
- чины посевной.
Эти травы фитотерапевты назначают в виде спиртовой или масляной настойки, отвара по различным схемам авторских методов.
Спиртовая настойка болиголова пятнистого
Компоненты:
- цветы и/или семена болиголова пятнистого;
- медицинский спирт 40%.
Как приготовить: Болиголов залейте медицинским спиртом в пропорции 3:1. Настаивайте в закрытой герметичной таре в темном месте 60 дней, периодически встряхивайте. Готовую настойку процедите.
Как использовать: Принимайте курс лечения по “царской схеме” 1 раз в день, начиная с 1 капли. Ежедневно дозу увеличивайте на 1 каплю до тех пор, пока количество капель дорастет до 40. После этого суточную дозу капель уменьшайте на 1 каплю в день. Следующий курс лечения можно повторить через 2-3 недели.
Результат: Этот метод считают одним из самых эффективных способов фитотерапевтического лечения кисты головного мозга. Отмечают прекращение прогрессирования кисты либо уменьшение ее размеров до полного рассасывания в некоторых случаях.
Профилактика
Пациенты с диагнозом “киста головного мозга” наряду с ее лечением должны позаботиться о профилактических мерах, которые предупреждают осложнения данного заболевания.
Для профилактики необходимо избегать:
- стрессовых ситуаций и интенсивной психической нагрузки;
- инфекционных и вирусных болезней;
- травмоопасных видов спорта;
- скачков кровяного давления;
- употребления табака и алкоголя;
- использования бытовых медицинских или косметологических приборов с инфракрасным излучением, вибрацией.
Кроме этого врачи рекомендуют:
- обеспечить нормальный режим дня;
- полноценный ночной сон в течении 9 часов;
- полноценное питание и питьевой режим;
- умеренную физическую активность;
- закаливание, повышение иммунного статуса организма (кроме ситуаций с аутоиммунными заболеваниями);
- улучшение кровообращения мозга за счет общеукрепляющего массажа, физиопроцедур, плавания, др.
Что запомнить
- Симптоматика кисты напрямую зависит от ее местоположения и размеров.
- Основные способы диагностики — томография, МРТ и УЗИ мозга.
- Киста мозга — серьезный диагноз, требующий медицинского лечения и регулярного врачебного наблюдения.
- Последствия кист включают гидроцефалию, грыжи мозга, внезапную смерть.
- Медикаментозное лечение устраняет причины возникновения и роста кисты.
- Хирургическое лечение подразумевает удаление кисты, проводят только по назначению лечащего врача.
До встречи в следующей статье!