Изоэхогенный узел щитовидной железы с хало

Изоэхогенный узел щитовидной железы с хало[Изоэхогенный узел щитовидной железы с хало]

Изоэхогенный узел щитовидной железы с хало — Про щитовидку

НАШИ ЧИТАТЕЛИ РЕКОМЕНДУЮТ!

Для лечения щитовидки наши читатели успешно используют Монастырский чай. Видя, такую популярность этого средства мы решили предложить его и вашему вниманию. Подробнее здесь…

Что такое узлы в щитовидной железе и насколько опасно их наличие? Это особые образования, которые могут иметь разный размер, структуру и форму. В большинстве случаев они представляют собой измененную ткань щитовидной железы. При этом сам орган не увеличивается в размерах и не изменяется. Если узел заполнен жидкостью, значит, говорят о кисте. При наличии образования незначительного размера очень велика вероятность полного отсутствия любых симптомов заболевания. Данное патологическое состояние определяется исключительно во время профилактической диагностики при помощи УЗ-исследования. Большие образования могут прощупываться и быть заметными во время обычного осмотра у эндокринолога.

Описание проблемы

Наличие узлов в щитовидной железе, симптомы и последствия которых не всегда представляют опасность для организма человека, часто диагностируется среди населения. В большинстве случаев данная проблема имеет доброкачественный характер. Злокачественные образования диагностируются только в 5% от всех случаев выявления болезни. Обычные узлы не имеют тенденции к перерождению.

Частота возникновения данных образований значительно увеличивается с возрастом. Если у детей или молодых людей обнаруживается узел в щитовидной железе только в 1-2%, то у пожилых мужчин и женщин – уже в 70%. При этом диагностировать такие образования во время осмотра пациента при пальпации возможно только у 4-7% больных. В остальных случаях для постановки данного диагноза требуется более тщательное исследование с применением современных методик.

Также приблизительно у половины пациентов, у которых наблюдаются узлы в щитовидке значительных размеров (ощутимых при пальпации), присутствуют другие образования. Для их выявления также необходимо дополнительное исследование. У женщин узлы на щитовидной железе развиваются гораздо чаще, чем у мужчин. Это связано с их особым гормональным фоном. В большинстве случаев данные образования локализуются в поверхностных отделах щитовидной железы. Именно поэтому возможно их выявление во время пальпации.

При патологиях щитовидки узлы могут образовываться как в единичном количестве, так и во множественном. Эта болезнь может развиваться в виде следующих форм:

  • рак щитовидной железы. Может быть папиллярной, фолликулярной, анапластической формы. Данное узловое образование обычно единственное и отличается быстрым ростом. Оно не имеет четких границ, оболочки, что хорошо видно на ультразвуковом исследовании. Такой узел очень плотный на ощупь и чаще всего болезненный. При увеличении шейных лимфатических узлов можно говорить о наличии метастаз;
  • аденома. Это доброкачественное образование, которое окружено фиброзной капсулой. Данная опухоль обычно растет медленно и почти никогда не переходит на другие органы или соседние ткани. Такой узел состоит из нормальных клеток (тироцитов). Данная доброкачественная опухоль чаще всего выявляется у женщин, возраст которых превышает 40 лет;
  • коллоидные узлы. Данное образование представляет собой фолликулы со значительным количеством тироцитов. В щитовидной железе узлы такого типа чаще всего присутствуют во множественном числе. Они очень медленно растут и ничем не беспокоят человека, поэтому в большинстве случаев обнаруживаются случайно. Данная патология не требует никакого лечения, потому что она не представляет опасности для жизни и здоровья больного;
  • киста. Представляет собой образование, которое заполнено внутри жидкостью. Кисты чаще всего обнаруживаются в женщин разного возраста. Данное образование отличается медленным ростом, наличием плотной оболочки или капсулы.

Стадии развития узлов

Узел щитовидной железы формируется последовательно, просматривается четкая стадийность.

Этот фактор хорошо виден при ультразвуковом исследовании:

  • однородный (эхогенный) узел. Плотность веществ, наполняющих образование, не отличается от окружающих тканей щитовидки. Данная стадия характеризуется усиленным кровотоком, расширенными сосудами на проблемном участке;
  • неоднородный или изоэхогенный узел. Он, в свою очередь, может иметь незначительные изменения тканей, характеризоваться значительными патологическими преобразованиями или иметь участки с кистозной дегенерацией.

В свою очередь, неоднородные узловые образования щитовидной железы формируются на фоне гибели тиреоидных клеток:

  • анэхогенный узел. Сопровождается разрушением тканей, их которых состоит данное образование. В данном случае полость узла заполняется жидкостью, что преобразовывает его в кисту;
  • процесс рассасывания. Характеризуется устранением содержимого кисты;
  • процесс рубцевания.

Процесс преобразования узлов достаточно длительный. Его скорость зависит от многих факторов. В первую очередь от размера самого узла, функционирования иммунной системы и организма в целом.

Причинами возникновения узлов разного типа в щитовидной железе являются следующие факторы:

  • 90% узелков в щитовидной железе, причиной возникновения которых считается скопление коллоида в фолликулах, провоцируется нарушением кровообращения в данном участке;
  • формирование кист происходит вследствие совокупности определенных факторов. К таким относят наличие врожденных аномалий, затрагивающих щитовидную железу. Негативные изменения в данном органе могут возникать при травмировании, в результате чего происходит кровоизлияние в фолликул. Также кисты образовываются при нарушении оттока коллоида;
  • эмоциональное перенапряжение и длительное влияние низкой температуры провоцируют спазм сосудов. Из-за такого негативного процесса наблюдается недостаточное питание клеток, значительно снижается местный иммунитет. При наличии данных провоцирующих факторов значительно повышается риск образования узлов в щитовидной железе (причины разного рода в большинстве случаев сочетаются);
  • плохая экологическая обстановка. Наличие токсических веществ в окружающей среде приводит к поступлению в организм человека большой дозы свободных радикалов и канцерогенов. Они нарушают структуру тироцитов, что становится причиной их бесконтрольного деления. Такое воздействие может спровоцировать образование в щитовидной железе как доброкачественных узелков, так и злокачественных;
  • дефицит йода в организме человека. Провоцирует негативные изменения в щитовидной железе, симптомы и лечение которых хорошо известны многим;
  • воздействие высокого уровня радиации. Приводит к мутациям клеток, что провоцирует образование злокачественных опухолей;
  • воспалительные процессы, вызванные отдельными заболеваниями – туберкулезом, тиреоидитом. Наличие данного фактора может стать причиной отека левой или правой доли щитовидной железы. В результате формируются псевдоузлы, которые по внешнему виду очень напоминают опухоли;
  • развитие аутоиммунных заболеваний. Организм атакует свои же клетки, что приводит к воспалениям;
  • аденома гипофиза. Гормональный дисбаланс, который формируется на фоне данного заболевания, приводит к развитию большого количества узлов;
  • наследственные факторы.

Симптомы заболевания

Признаки данной патологии зависят от того, каким уровнем гормонов щитовидной железы она сопровождается. При пониженной концентрации этих веществ симптомы заболевания следующие:

  • снижение метаболических процессов в организме. Признаки данного явления – увеличение веса, понижение температуры тела, заторможенность движений и реакции;
  • наличие отеков (особенно утром и вечером);
  • нарушение работы половой системы – нестабильный менструальный цикл, бесплодие, снижение сексуального влечения;
  • часты поносы, чередующиеся запорами;
  • угнетение интеллектуальных способностей, развитие депрессивных состояний;
  • сухость, хрупкость волос, ногтей и кожи;
  • сниженное артериальное давление, брадикардия.

При нормальных гормонах наблюдаются такие симптомы:

  • дискомфортные ощущения в области шеи;
  • кашель без видимой причины;
  • отдышка, если гормоны в норме, но патологический процесс только начал свое развитие. При более тяжелом состоянии человека наблюдается сильное удушье;
  • чувство першения в горле;
  • хриплость голоса;
  • наличие трудностей при глотании.

Если в результате исследования обнаружены значительные превышения со стороны разных гормонов щитовидной железы, проявляются следующие симптомы:

  • чрезмерная активность метаболических процессов. Сопровождается высокой температурой тела, резким снижением веса;
  • выпячивание глазных яблок;
  • повышенная раздражительность, чрезмерная активность;
  • тремор мышц;
  • повышение артериального давления;
  • расстройство пищеварения;
  • повышенная секреция потовых и сальных желез.

Диагностика

Обнаруживать узлы на щитовидке можно разными способами:

  • пальпация. При ощупывании участка шеи, где размещается щитовидная железа, можно найти много проблемных зон. Также нужно понимать, что образования незначительного размера при помощи внешнего осмотра не будут определены;
  • ультразвуковая диагностика. Данная методика исследования способна находить узелки даже небольшого размера (минимальный диаметр 1 мм);
  • анализ крови на уровень гормонов, на антитела, чтобы определить аутоиммунную природу заболевания;
  • томография (компьютерная, магнитно-резонансная). Позволяет выявить узелки, размещающиеся на загрудинном пространстве;
  • изотопное исследование с применением специальных радиоактивных веществ, позволяющих выявить участки с излишней или незначительной активностью;
  • биопсия узла щитовидной железы – лечение злокачественных процессов невозможно без данного исследования.

Медикаментозное лечение узлов

Как вылечить узлы щитовидной железы, предупредив развитие осложнений? Любой способ терапии применяется исключительно в случаях, когда данное образование опасно для здоровья человека. Это происходит, если оно каким-то образом нарушается нормальная выработка гормонов.

Лечение узлов щитовидной железы без операции подразумевает применение следующих медикаментозных средств:

  • препараты с содержанием гормонов щитовидной железы. При их применении не происходит дальнейшее деление клеток, из которых состоит узел. Данные средства показаны для лечения узлового коллоидного зоба;
  • тиреостатические препараты. Активно используются при лечении токсического узлового зоба и аденомы;
  • препараты с содержанием йода. Компенсируют недостаток данного вещества в организме.

Хирургическое вмешательство показано при подтверждении злокачественных процессов в узле, чтобы предупредить смертельный исход заболевания. Также операция проводится при наличии образования значительных размеров, когда оно слишком быстро растет.

Альтернативные методы лечения

При наличии узлов в щитовидной железе лечение может проходить при помощи специальных методик. Одной из таких является склеротерапия. Она подразумевает введение в образовавшийся узел 95% этилового спирта. Он разрушает видоизмененные ткани. Из-за того, что узел имеет плотную капсулу, спирт не попадает в окружающие участки тела. Эффективность данного метода достаточно высока, если придерживаться инструкции при проведении процедуры.

Также на сегодняшний день широко используется лазер для устранения узлов. Во время процедуры в образование вводится игла. Через нее в ткани передается определенная тепловая энергия. Под таким воздействием узел разрушается. Процедура обязательно проводится под контролем УЗИ.

Гипоэхогенный узел щитовидной железы выявляется в результате ультразвукового исследования щитовидной железы. Наряду с лабораторными исследованиями УЗИ является важным методом диагностики нарушений состояния железы. Гипоэхогенность (способность пропускать ультразвук) выявляется лишь в 2-4% случаев.

Что это такое

Если сонолог при УЗИ щитовидной железы (ЩЖ) подчеркивает, что орган имеет пониженную акустическую плотность (гипоэхогенность), то это означает, что в тканях имеется образование, которое имеет менее плотную структуру, чем окружающие ткани. Такое описание может свидетельствовать о наличии:

  • кисты;
  • образования, заполненного жидкостью;
  • сосудистого образования;
  • злокачественного новообразования.

Гипоэхогенными могут быть кисты и узлы — очаговые образования в ЩЖ. Узлы в 4-8 раз чаще обнаруживаются у женщин, с возрастом количество образований увеличивается. Гипоэхогенные структуры обнаруживаются у 4-7% населения, большинство из них — доброкачественные. Рак щитовидной железы встречается реже. Кроме эхогенности при проведении УЗИ учитывают:

  • контуры;
  • структуру тканей;
  • зернистость;
  • кровоснабжение тканей;
  • наличие или отсутствие очаговых изменений.

Образование с четкими контурами — доброкачественное. Если узел с нечеткими контурами, назначают дополнительный анализ — гистологическое и цитологическое исследование содержимого, т.к. размытый контур и гипоэхогенность предполагают злокачественный процесс. Но в 10-12% случаев у злокачественных структур могут быть и четкие границы.

В гипоэхогенных узлах может быть выявлен повышенный кровоток. С кровотоком, его скоростью, обилием и локализацией связывают диагностический признак доброкачественности образования.

Гипоэхогенные новообразования могут быть единичными или множественными. Если структура продуцирует гормоны, она называется автономным токсическим узлом. Бывают и спокойные, не вырабатывающие гормоны структуры.

Гипоэхогенный узел — это не приговор и не диагноз, а только описание.

Сниженная акустическая плотность ткани свидетельствует о разрушении фолликулов и тиреоидных клеток, дегенерации тканей и заполнении капсулы жидкостью и разрушенными клетками.

Причины появления

Главной причиной возникновения очаговых гипоэхогенных образований в щитовидной железе является генетическая предрасположенность. На фоне наследственных хромосомных отклонений к образованию узлов приводят:

  • нарушение кровообращения в любой из долей железы;
  • стрессы;
  • снижение иммунитета;
  • влияние токсических веществ;
  • вредные привычки;
  • травмы;
  • дефицит йода;
  • влияние радиоактивных элементов;
  • аутоиммунные патологии;
  • хронические воспалительные болезни;
  • аденома гипофиза;
  • воздействие некоторых лекарственных препаратов.

Фактором появления гипоэхогенных узлов являются и возрастные нарушения гормонального фона.

Симптомы гипоэхогенных узлов

Гипоэхогенные очаговые структуры в ЩЖ прогрессируют медленно, в начале развития не вызывая дискомфорта и симптомов. При увеличении размера они могут визуально определяться на фронтальной части шеи и оказывать давление на прилежащие кровеносные сосуды и трахею, вызывая:

  • ощущение «комка» в горле;
  • першение;
  • затруднение при глотании;
  • болевые ощущения при пальпации.

Автономные гипоэхогенные узлы проявляются симптомами, характерными для гипертиреоза:

  • усиленным сердцебиением;
  • потливостью;
  • дрожанием конечностей;
  • резкой сменой настроения;
  • возбуждением, раздражительностью;
  • гипертонией;
  • одышкой;
  • мышечной слабостью;
  • нарушением сексуальной функции;
  • бесплодием;
  • экзофтальмом.

Развитие признаков васкуляризации (появления дополнительных кровеносных сосудов) ЩЖ сопровождается следующими симптомами:

  • ощущением озноба, независимо от внешней температуры;
  • частыми простудными заболеваниями;
  • болевыми ощущениями в мышцах и суставах;
  • сухостью кожных покровов;
  • ломкостью ногтей, истончением и выпадением волос;
  • отечностью лица;
  • гормональной и половой дисфункцией;
  • снижением или увеличением веса;
  • проблемами с памятью;
  • резкой сменой настроения;
  • депрессией, раздражительностью;
  • гипергидрозом;
  • бессонницей;
  • диспепсическими нарушениями;
  • нарушением менструального цикла;
  • снижением либидо.

При васкуляризации сосуды видны под кожей, визуализируется пульсация крови.

Сложность при раннем выявлении представляют «спокойные» и небольшие образования, которые только случайно могут быть обнаружены. У ребенка увеличение гипоэхогенного новообразования не всегда свидетельствует о прогрессировании патологии.

Диагностика

При обнаружении структуры со сниженной акустической плотностью врач-эндокринолог назначает лабораторные исследования. Если гормоны в норме, то через полгода назначают повторное УЗИ. Визуально оценивают величину и прогрессирование гипоэхогенного новообразования, его контуры.

Для диагностики патологических образований щитовидной железы проводится цитологическое и гистологическое исследование биоматериала, полученного при тонкоигольной аспирационной биопсии. Проводят следующие анализы:

  • определение концентрации гормонов щитовидной железы;
  • пробы, отражающие периферическое действие гормонов;
  • выявление антител к различным компонентам щитовидки;
  • определение функциональной активности железы.

Методы визуализации анатомической и морфологической структуры железы:

  • УЗИ;
  • МРТ и КТ;
  • сцинтиграфия.

При проведении ультразвукового исследования оценивают:

  1. Структуру. Неоднородная структура щитовидной железы бывает при воспалительном процессе, который развивается на фоне снижения иммунитета. Прогрессирование патологии приводит к возникновению гипоэхогенности.
  2. Четкость контуров.
  3. Размер гипоэхогенного узла.
Показания к проведению исследования

Показаниями к проведению исследования являются:

  • гипоэхогенная структура, размеры которой превышают 1 см;
  • возраст пациента менее 14 и более 70 лет;
  • проведенная химио- или радиотерапия;
  • патология ЩЖ у близких родственников;
  • обнаружение уплотнения при пальпации;
  • стремительно растущее гипоэхогенное образование;
  • увеличение регионарных лимфатических узлов;
  • неподвижное новообразование, сросшееся с прилежащими тканями и структурами;
  • проявление гипертиреоза.

Перечисленные признаки могут проявляться в случае озлокачествления узла.

Диагностика с помощью ТАБ

Тонкоигольная аспирационная биопсия (ТАБ) показана при подозрении на перерождение гипоэхогенного узла, увеличении образования больше чем на 5 мм при динамическом наблюдении. Для забора биоматериала используют шприцы с иглами, диаметр которых составляет 23G. Анестезия не требуется, только при повышенной чувствительности кожи наносят крем на основе лидокаина. Процедура длится 10-15 минут.

ТАБ является методом, который с высокой достоверностью может подтвердить или опровергнуть диагноз рака ЩЖ. Диагностика направлена на определение клеточного состава содержимого гипоэхогенного новообразования. Увеличение количества клеток с аномальным строением говорит о прогрессировании злокачественного процесса.

Как лечить гипоэхогенный узел

Стратегия лечения гипоэхогенных узлов зависит от:

  • их размера;
  • количества;
  • выраженности симптомов;
  • риска озлокачествления.

Если узел один и небольшого размера, не имеет выраженных симптомов, то назначается консервативная терапия и проводится регулярный контроль состояния гипоэхогенной структуры. В период выжидания в качестве поддерживающей терапии может применяться фитотерапия или народное лечение.

При обнаружении больших (от 1 см) или множественных гипоэхогенных образований показано хирургическое вмешательство.

Оперативное лечение с последующей химиотерапией или облучением необходимо в случае рака щитовидной железы.

Лекарства

Для лечения гипоэхогенных образований применяют лекарственные препараты, используемые в терапии диффузного узлового зоба:

  • левотироксин натрия, препятствующий росту узла;
  • тиреостатики — Тиамазол, Эспа-Карб, Пропицил;
  • препараты йода — Йодомарин, Йод-актив, Йодбаланс.

При выраженных симптомах нарушения функции щитовидной железы назначается симптоматическая терапия.

Народное лечение

Для профилактики прогрессирования патологии применяют рецепты народной медицины.

Предупреждает рост гипоэхогенных новообразований отвар и настой лапчатки белой. При лечении автономного токсического новообразования применяют настой и отвар зюзника европейского. Напар, сок растения и отвар дурнишника обыкновенного помогают предупредить увеличение щитовидки, снизить токсические симптомы.

Дрок красильный применяют для нормализации функции щитовидной железы. Его свойства похожи на действие L-тироксина, и отвар из растения используют по тем же показаниям.

Свежие или сушеные слоевища ламинарии содержат большое количество йода в органической форме, что облегчает его усвоение организмом. Поэтому морская капуста — ценный источник природного йода.

Прогноз

Прогноз при появлении гипоэхогенных узлов ЩЖ зависит от их формы. Доброкачественные образования при адекватной терапии излечиваются полностью.

При раннем обнаружении злокачественных опухолей, отсутствии метастазов благоприятный прогноз вероятен в 70% случаев.

Профилактика

С целью профилактики образования и увеличения количества гипоэхогенных новообразований необходимо:

  • регулярно употреблять продукты или препараты, содержащие йод в количестве, соответствующем возрастной физиологической потребности;
  • исключить вредные привычки — курение, употребление спиртных напитков;
  • избегать длительного пребывания под прямыми солнечными лучами;
  • предупреждать травмирование ЩЖ и проведение физиопроцедур в области железы;
  • принимать витаминно-минеральные комплексы, способствующие усвоению йода и улучшающие функции ЩЖ.

Возрастным пациентам и людям с генетической предрасположенностью следует проходить УЗИ ежегодно. При обнаружении гипоэхогенных узлов пациенту необходимо делать УЗИ раз в полгода.

Причины появления коллоидных узлов в щитовидке и методы борьбы с ними

Читать далее…

Это становится причиной развития различных патологий в виде узловых образований, которые человек может у себя обнаружить самостоятельно, прощупав область щитовидки.

Наиболее частой патологией является коллоидный узел щитовидной железы. Несмотря на то, что это новообразование нарушает структуру органа, оно чаще всего носит доброкачественный характер и не отражается на функциях щитовидной железы.

Название такого узла обусловлено тем, что он состоит из фолликулов, выполняющих функцию своеобразных резервуаров, в которых в норме хранится коллоид – жидкость, состоящая из гормонов щитовидки. А образование и рост узла обусловлены нарушением его оттока.

Такие узлы редко требуют специализированного лечения и, уж тем более, хирургического вмешательства. Но чтобы предотвратить их появление, необходимо знать о причинах, приводящих к их образованию и о способах лечения, применяемых для устранения данной патологии.

Как развиваются узлы

Щитовидка – это железа внутренней секреции, имеющая форму бабочки. Несмотря на сравнение со столь нежным существом, ей приходится трудиться день и ночь, подбрасывая в топку дрова в виде гормонов. А если человек попадает в стрессовую ситуацию, восстанавливается после перенесенной болезни или проживает в населенном пункте с неблагоприятной экологической обстановкой, щитовидной железе приходится продуцировать гораздо больше гормонов.

Вполне естественно, что подобные перегрузки негативно сказываются на работе отдельных участков органа, которые начинают проявлять активность больше других. В результате в этих участках происходит расширение сосудов и, как следствие, изменение плотности ткани щитовидной железы, в которой начинают образовываться узлы.

Почему образуются узлы

Щитовидная железа очень чутко реагирует на любые внутренние и внешние факторы. А потому причин, вызывающих нарушение ее работы, может быть очень много. К наиболее частым из них относятся следующие:

  • загрязненный воздух;
  • дефицит йода в воде и продуктах питания;
  • период полового созревания;
  • беременность;
  • переохлаждение;
  • частые стрессы и эмоциональные переживания;
  • неблагоприятные условия работы;
  • бактериальные и вирусные инфекции.

Для выработки трийодтиронина и тироксина – гормонов щитовидной железы требуется йод. То есть йод является строительным материалом для энергетических гормонов. Однако большая часть России расположена в эндемических районах, где присутствует дефицит этого вещества, как в воде, так и в воздухе, а также почве.

Недостаток йода приводит к тому, что клетки щитовидной железы начинают бесконтрольно делиться, стремясь захватить йод из близлежащих тканей. В результате ткань щитовидки разрастается, становясь причиной развития эндемического зоба.

Коллоидные узлы щитовидной железы нередко образуются в подростковом периоде и во время беременности, когда происходят физиологические изменения в организме.

Переохлаждение и стрессы вызывают спазм сосудов, в которых происходит нарушение оттока крови. Нарушению кровотока способствуют и инфекционные заболевания, вызывающие отек щитовидки.

Признаки заболевания

Узел, размер которого не превышает 10 мм, может существовать, никак себя не проявляя. Если же он начинает расти, человека беспокоят следующие проявления:

  • ощущение кома и першение в горле;
  • боль при глотании;
  • чувство удушья.

Появление этих признаков обусловлено тем, что узел оказывает давление на близлежащие органы, к числу которых относятся гортань, пищевод и трахея. Кроме этого возникает косметический дефект в виде деформации шеи. У больного человека может измениться тембр голоса, который становится осиплым или хриплым.

Недостаточное поступление йода в организм может стать причиной развития следующих проявлений:

  • у человека снижается аппетит или вовсе пропадает;
  • кожа становится сухой;
  • волосы истончаются, становятся хрупкими и начинают выпадать;
  • дефицит йода приводит к разрушению зубов и ломкости ногтей;
  • у человека ухудшается память, и возникают трудности с концентрацией внимания;
  • его мучают головные боли, которые не снимаются традиционными анальгетиками;
  • может наблюдаться снижение слуха.

Способы выявления коллоидного узла

Так как при наличии небольшого узла какие-либо симптомы отсутствуют, выявить его чаще всего удается абсолютно случайно, когда человек проходит медкомиссию, или обращается к врачу по поводу другого заболевания. Только заподозрив у пациента проблемы со щитовидкой, врач направляет его на дальнейшее обследование к эндокринологу.

Диагностировать узловые образования помогают следующие методы:

  • ощупывание шеи или пальпация, в процессе которой врач определяет контуры и размеры узла;
  • УЗИ – наиболее информативный метод, позволяющий определить точное месторасположение, структуру и размер узла;
  • анализ крови на содержание гормонов щитовидной железы;
  • биопсия – процедура, проводимая в том случае, если у врача возникло подозрение на злокачественный характер узлового образования.

Эти способы помогают поставить точный диагноз и назначить правильное лечение.

Способы лечения

Коллоидный узел щитовидной железы редко требует лечения. Чаще всего пациентам назначается прием специальных препаратов, содержащих йод. Кроме этого больным показано соблюдение диеты, предусматривающей включение в рацион продуктов, содержащих йод.

В случае нарушения функций щитовидной железы больному может быть назначен курс заместительной гормональной терапии. Оперативное вмешательство требуется, если коллоидный узел сдавливает близлежащие органы.

Также существуют малоинвазивные методики, позволяющие разрушить узлы, не прибегая к операции. К ним относятся:

  • этаноловая склеротерапия;
  • лазерная термотерапия;
  • радиочастотная деструкция.

Профилактика против образования коллоидных узлов

Чтобы избежать нарушения оттока коллоида из фолликулов и образования узлов, необходимо придерживаться следующих правил:

  • избегать стрессов;
  • не принимать близко к сердцу возникающие проблемы;
  • проводить отпуск на морском побережье, где йод буквально витает в воздухе;
  • чаще гулять;
  • включать в рацион продукты, насыщенные йодом.

Восполнить дефицит йода помогут следующие продукты:

  • морская рыба;
  • печень трески;
  • морская капуста и другие морепродукты;
  • грецкие орехи и фундук;
  • хурма;
  • черника;
  • черноплодная рябина;
  • шпинат.

Следует избегать употребления любых консервированных продуктов, сладких напитков и копченостей. Людям, страдающим заболеваниями щитовидной железы, следует ограничить употребление крепкого чая и кофе, а также мяса.

Заключение

Коллоидные узлы не представляют опасности для жизни человека. Современные методики лечения позволяют безоперационным способом устранить эту проблему. Главное — вовремя проходить медицинское обследование и лечить заболевание на ранних стадиях развития. А соблюдая правила профилактики, удастся и вовсе избежать этого недуга.

Как лечить зоб Хашимото?

Как лечить заболевания щитовидной железы у мужчин?

Причины возникновения и методы лечения болезни Грейвса

Основные этапы сестринского процесса при гипотиреозе

Эффективные способы лечения щитовидной железы с помощью народных средств

О диффузно-токсическом зобе или зачем иммунитету бороться со щитовидной железой

Изоэхогенный узел щитовидной железы с хало — Про щитовидку

Гипоэхогенное образование щитовидной железы – это жидкостная или узловая структура, которая обнаруживается при проведении ультразвукового исследования. Если сравнить гипоэхогенный узел со здоровыми участками железы, то он будет выглядеть на экране монитора значительно темнее. В большинстве случаев эндокринологи направляют пациента на УЗИ щитовидной железы, если имеется подозрение на рак.

Если обратиться к статистике, то из 300 пациентов с гипоэхогенностью щитовидной железы у 200 был обнаружен рак. Как правило, инструментальное исследование покажет измененную неровную структуру таких участков. Если данные изменения обнаружены на ранней стадии новообразования, то есть все шансы спасти жизнь и здоровье человека.

Эхогенность щитовидной железы может быть:

  • Пониженная — гипоэхогенность;
  • Нормальная – изоэхогенность;
  • Повышенная – гиперэхогенность;
  • Анаэхогенность – отсутствие сигнала при исследовании структурных изменений ткани щитовидной железы.

Если во время УЗИ сигнал изоэхогенный, то он не меняется ни на одном из участков органа, и это говорит, что в щитовидной железе не наблюдается диффузных изменений, увеличения плотности. Иными словами, изоэхогенный узел свидетельствует о том, что пациент абсолютно здоров.

Гиперэхогенный сигнал могут вызвать соли кальция, образованные на тканях щитовидной железы, вследствие нарушения электролитно-солевого обмена в организме. Гипоэхогенный узел возникает в результате структурных изменений в тканях железы. Наиболее часто этот сигнал говорит о наличии злокачественного образования щитовидной железы.

Правильная постановка диагноза

Если после УЗИ пациенту дали заключение о наличии гипоэхогенного узла диаметром более 1 см, то следом за этим необходимо провести биопсию этого участка. Также нужно будет сдать анализ крови на онкомаркеры и гормоны.

Отсутствие каких-либо патологических изменений исходя из анализа крови, дает право врачу соблюдать выжидательную тактику. То есть на протяжении полугода необходимо будет наблюдать за состоянием пациента. Для этого больному ежемесячно нужно сдавать анализы крови на биохимические показатели и периодически делать биопсию под ультразвуком.

Биопсия предполагает проникновение тонкой иглы в полость новообразования. В течение нескольких секунд врач берет небольшой участок ткани для цитологического исследования. Если анализ ткани под микроскопом показал, что клетки щитовидной железы начинают перерождаться в злокачественное образование, то больному ставиться диагноз – онкология.

Возможные заболевания

Если эхогенность железы снижена, то это может говорить о дефиците йода в организме, аутоиммунном тиреоидите или же о наличии диффузного токсического зоба. В таком случае пациенту назначают исследование крови на определение уровня тиреотропного гормона.

Повышена эхогенность у тех пациентов, которые проживают в зоне повышенной радиации, и где отмечается плохая экология.

Химическое отравление токсическими веществами также дает толчок к диффузному изменению щитовидной железы. Не отрицается наследственная предрасположенность к образованию гипоэхогенной структуры в железе.

Узлы щитовидной железы образуются в результате:

  • Воспалительного процесса, провоцирующего рост кисты;
  • Эндемического, коллоидного зобов;
  • Возникновению аденом железы;
  • Появления опухолевых новообразований как доброкачественных, так и злокачественных;
  • Дефицита йода в организме;
  • Лучевой или химиотерапии.

Симптомы заболевания

Узлы железы дают о себе знать задолго до проведения инструментального анализа. Если узел более 3 см, то больной может иметь жалобы на сложности при глотании, полную или частичную потерю голоса, повышенную потливость, наличие лихорадки на протяжении долгого времени.

У человека также отмечается тахикардия, одышка, экзофтальм (выпячивание глазных яблок), замедленное моргание век, обусловленное нарушение вегетативной системы глаз.

Кожа начинает стремительно терять эластичность, становится предельно тонкой и мягкой. Со стороны пищеварительного тракта у пациента отмечается вздутие живота, постоянные запоры, наличие рвотного рефлекса после каждого принятия пищи, тошнота.

Если больному постоянно хочется пить, то это может быть сигналом нарушения водного обмена в организме. При поднятии тяжестей или после обычного подъема на лестницу, у больного наблюдается слабость в мышцах, боль в суставах. Узлы щитовидной железы у женщин приводят к нарушению менструального цикла, прекращению овуляции и даже бесплодию.

Лечение болезней щитовидной железы

Любое лечение необходимо начинать с правильной постановки диагноза, поэтому нужно получить заключение врача. Как было сказано выше, пациенту при возникновении неприятных ощущений в области щитовидной железы, необходимо пройти физиологический осмотр у врача-эндокринолога. Затем следует сделать УЗИ диагностику, которая покажет, есть ли у больного гипоэхогенный узел.

Анализ крови на гормоны и онкомаркеры сможет подтвердить или опровергнуть диагноз. После обследования врач-эндокринолог назначает медикаментозное лечение или же устранение гипоэхогенной структуры хирургическим методом.

Для лечения коллоидного зоба применяется препарат L-тироксин. Он направлен на прекращение деления клеток узла. Тиреостатические медикаменты – еспа-карб, тиамазол, пропицил способны уменьшить диффузные размеры узлов. Если же узлы щитовидной железы образовались в результате дефицита йода, то в таком случае показаны медикаменты йодид 200 и калия йодид 200.

Хирургическое вмешательство при гипоэхогенном образовании необходимо в том случае, если оно превысило 3 см в диаметре или же является злокачественным. Чтобы избежать злокачественных изменений в щитовидке, необходимо каждые полгода проходить профилактический осмотр у врача-эндокринолога.

Изоэхогенные образования в щитовидной железе в организме человека

Если щитовидная железа функционирует в нормальном режиме, то под её контролем находятся работа всех органов, однако, если она подвергается определенным нарушениям, то начинают формироваться определенные новообразования, одним из самых распространенных является изоэхогенный узел. Если это имеет место, значит, началась патология и орган работает в неправильном режиме. Щитовидная железа вообще орган чувствительный, остро реагирующий на любые факторы.

Что представляет собой изоэхогенный узел щитовидной железы

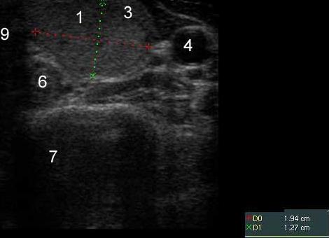
Итак, изоэхогенное образование щитовидной железы что же это такое? Если говорить о том, что представляет собой изоэхогенное образование щитовидной железы в виде узлов, то речь идет идет о формировании, снабженным ободком, а его плотность, такая же, как и у ткани в обычном состоянии. А что касается ободка, то он развивается в силу усиленного кровообращения по окружности.

Если речь идет о первичной стадии, то отрицательного воздействия на щитовидку нет, однако, при отсутствии лечения, могут быть нарушения гормональной выработки. Так что, очень важно при первых же негативных симптомах обращаться к доктору. Каким образом идет патологические развитие? В первое время гормональная выработка идет в нормальном режиме, однако. потом узловые фолликулы отмирают, формируются полости, которые начинают увеличиваться, они наполняются жидкостью, что способствует кистовому образованию. Потом жидкость начинает рассасываться, ткань рубцуется и начинает разрастаться. Причем больший размер новообразования влечет за собой большее количество проблем, поскольку их структура имеет больше возможностей для негативных изменений в организме человека.

Такие формирования могут быть разными по форме, размерам. Узел может быть только один, также их может быть несколько. Если говорить о структуре, то в узле могут быть изменения значительного характера и минимального, могут быть и включения гипоэхогенного типа.

Если говорить о размерах, то они бывают следующего характера:

  1. Маленькие — до 10 мм.
  2. Средние — до 30 мм.
  3. Крупные — больше 40 мм.

Возникает вопрос — а каким образом можно ощутить то, что такие узлы начинают появляться? Если такое образование не отличается большими размерами, то его часто невозможно выявить. Однако, по мере роста, они вызывают значительной дискомфорт.

Симптомы патологии

Признаки могут быть разными, однако, самыми распространенными являются следующие:

  • человеку становится трудно дышать;
  • в горле ощущается сдавленность;
  • глотать становится больно;
  • в ушах и челюсти ощущается боль;
  • вес тела снижается;
  • признаки тахикардии;
  • обильно выделяется пот;
  • настроение резко меняется;
  • человек быстро устает.

Не смотря на то, что подобные образования носят доброкачественный характер, полностью безопасными их назвать нельзя. Не редко бывает так, что начинается увеличение лимфатических узлов, процессы воспалительного характера. А также, общее состояние здоровья человека начинает стремительно ухудшаться, работа щитовидки нарушается. Чтобы всего этого не допустить, очень важно все вовремя диагностировать и начать лечить.

Особенно это важно, если принять во внимание, что 10 процентов таких новообразований при несвоевременном лечении переходят в образования злокачественного характера.

Почему появляются узлы?

Причины могут быть разными, следует перечислить наиболее распространенные:

  • человек проживает в условиях негативной экологической обстановки, что провоцирует попадания в организм вредных веществ, под таким влиянием начинается бесконтрольное клеточное деление;
  • не хватает йода;
  • наследственный фактор;
  • человек постоянно подвергается переохлаждению;
  • человек постоянно нервно напряжен;
  • есть недуги воспалительного характера;
  • радиоационный уровень превышает допустимую норму.

Под влиянием постоянных стрессов и переохлаждений, щитовидка начинает активизироваться и вырабатывать больше гормонов, что приводит с сосудистому спазму. Клетки начинают перенапрягаться, что препятствует их естественному делительному процессу. Если имеют место процессы воспалительного характера, то щитовидка начинает отекать, что также может вызывать узловые формирования. Они имеют энхогенные границы, которые называются хало.

Каким образом осуществляется диагностика

Диагностические мероприятия могут осуществляться разными способами, однако, прежде всего, проводится пальпация. Таким образом есть возможность выявить размеры и уровень плотности образования, место нахождения узлов, степень их подвижности. Потом необходимо приступать к УЗИ, таким образом можно полученные результаты уточнить, что дает необходимую информацию для лечения.

Когда осуществляется обследование ультразвуком, получаются данные об уровне плотности, месте дислокации, объеме и глубине опухолевидного образования. Если границы максимально четкие, значит речь идет об очаговом процессе. Если же наблюдается изменение всей эхоструктуры, значит процесс носит диффузный характер.

Объекты гипоэхогенного типа имеют вид пятен белого цвета, плотность структуры повышена, так что ультразвук пройти сквозь них не может. Узел изохогенного типа обладает такой же плотностью, что и ткань, когда она здоровая. Если посмотреть на экран, то она является светло-серого цвета, степень проницаемости средняя. Если они очень темная, значит плотность низкая. Примечательно, что с помощью УЗИ не всегда удается выявить онкологические признаки, так что обязательно нужны дополнительные исследования.

Необходимо сделать биопсию и обследование цитологического типа. Также в диагностике используются такие методы:

  • ларингоскопия;
  • МРТ;
  • гормональные анализы крови.

Ларингоскопия используется, если имеет место давление на гортань и трахею, а с помощью МРТ есть возможность определения минимальных по размеру узлов и можно выявить метастазы. Гормональные анализы покажут, насколько понижен или повышен их уровень, это всегда влияет на работу щитовидной железы. Только после того, как получены результаты всех анализов, специалист может назначить определенный лечебный метод. Не редко доктор рекомендует принять меры профилактического характера, в тех случаях, когда новообразования в щитовидке не вредят здоровью. Однако, в какое-то время все может стать хуже и тогда уже будет необходимо полноценное лечение.

Очень важно не заниматься самодиагностикой, не пытаться выяснить, что такое образовалось в организме разными сомнительными способами. Этот недуг при несвоевременном и неправильном лечении может стать причиной самых тяжелых последствий, вплоть до онкологии, так что не стоит экспериментировать. Эхогенность узлов должна обследоваться только квалифицированным специалистом.

Как образом осуществляется лечение

В случае маленьких образований, необходимо за ними наблюдать, здесь часто нужно лечение консервативными способами. Чаще всего прописываются лекарственные препараты, содержащие йод или гормоны тиреоидного типа. При наличии киста, в лечении используется пункция, при наличии воспалительных процессов используются антибиотики.

Что касается хирургического вмешательства, то оно является необходимым, если образование является злокачественным. При оперативном вмешательстве может удаляться определенная часть железы (как большая так и меньшая), а если образований много, то могут удалить и весь орган. А ещё есть такие показания для проведения операции:

  • разные органы подвергаются сдавливанию;
  • образования имеют крупные размеры;
  • имеются рецидивы.

После того, как операция прошла, необходимо пройти гормональный курс, а также нужны кальциевые препараты. Также назначается йод радиоактивного типа, который борется с остатками образований злокачественного характера в случае онкологии. Если человеку щитовидку удалили полностью, то ему нужно будет всю жизнь принимать гормональные препараты, чтобы организм функционировал в нормальном режиме. А ещё в таких случаях есть необходимость в регулярных обследованиях, чтобы изоэхогенные образования не начали рецидивировать, что наблюдается в некоторых случаях.

Предупреждение узловых образований

Чтобы избежать негативных последствий, необходимо вовремя заниматься профилактическими действиями. Прежде всего, нужно кушать продукты, содержащие в необходимом количестве йод:

  • морская капуста;
  • черная смородина;
  • чеснок;
  • разные морепродукты.

Очень важно обеспечивать организм необходимым количеством витаминов и минералов, а для этого необходимо полноценно и разнообразно питаться. Если имеют место вредные привычки, надо от них отказаться, регулярно заниматься спортом, причем необязательно истязать себя в спортивном зале, может быть достаточно активных прогулок и бега. Стоит избегать стрессовых ситуаций и не подвергать свой организм переохлаждению.

Примечательно, что такое образование в течении долгого времени может себя никоим образом не проявлять. Но все может измениться в любой момент, поэтому нужно своевременно обращаться за медицинской помощью, чтобы такие образования в щитовидной железе не привели к тяжелым последствиям.

Все что нужно знать про гипоэхогенный узел щитовидки

Гипоэхогенный узел щитовидной железы расположен, как правило, в боковых долях, и при ультразвуковом обследовании выглядит темнее, чем здоровая жировая ткань. При первичных случаях новообразования, очаг поражения может локализоваться в области перешейка щитовидки.

Ультразвуковая диагностика проблемных зон эндокринной системы

При УЗИ в паренхиме щитовидной железы визуализируют гипоэхогенные участки, которые по своим размерам могут соответствовать всей площади злокачественно изменённой ткани. Между участками с изменённой эхоструктурой и окружающей её паренхимой, чётких границ не наблюдается. Однако в некоторых случаях гипоэхогенный узел с чёткими контурами имеет ярко выраженную ограничительную линию от здоровых тканей щитовидки. Следует знать, что при УЗИ выявленный гипоэхогенный узел щитовидной железы не является установочным диагнозом, это всего лишь отражение результатов ультразвукового сканирования. Для определения доброкачественного или злокачественного узлового образования, требуются более детальные методы диагностирования. Только после биопсии, с последующим цитологическим исследованием полученного образца ткани узла щитовидной железы, можно установить тип гипоэхогенного образования.

Установленное количество недифференцированных клеток в щитовидной железе, не дают оснований для уныния. Поэтому пациенту следует более активно прислушиваться к рекомендациям врача-эндокринолога.

Решение проблемы гипоэхогенных узлов

После подтверждённого диагноза, человек испытывает лёгкий шок, который приводит к дестабилизации его внутреннего состояния. Очень важно, чтобы в этот момент пациент имел адекватное представление о ситуативном положении. Онкология – это не приговор, а повод к решительным действиям. Следует понимать природу новообразовавшихся узлов, которые представляют собой простое жидкостное скопление и поддаются лечению.

В зависимости от патологических изменений в узловой структуре, наличия осложнений и метастазов, подбирается индивидуальный способ лечения. Это может быть химиотерапия или облучение радиоактивным йодом. Если же гипоэхогенный узел щитовидной железы является злокачественным образованием, с явным преимуществом раковых клеток, тогда применяется радикальный метод устранения заболевания.

Путём хирургических манипуляций проблемная зона щитовидной железы удаляется.

Реабилитация в послеоперационный период

После того как проблемные зоны щитовидной железы устранены, не стоит думать, что узловые гипоэхогенные образования больше не смогут появиться. Необходима плановая проверка у эндокринолога раз в полугодие. Постоянный контроль гормонального фона и профилактические мероприятия, позволяют свести к минимуму появление новых узловых образований. Следует ограничивать своё пребывание в зоне прямого попадания ультрафиолетовых лучей и мест возможного радиационного облучения. Важным моментом в послеоперационный период, становится соблюдение рационального и сбалансированного питания. В дневном рационе должны присутствовать:

  • Крупы (овёс, гречка, пшеница и т.д.);
  • Молочные продукты (сыр, кефир, творог);
  • Овощи (морковь, свёкла, чеснок, капуста);
  • Фрукты (клубника, виноград, лимон и т.д.).

Щитовидная железа требует достаточного потребления йодосодержащих продуктов, которыми богаты морепродукты. Подробную консультацию по здоровому питанию, можно получить у врача-диетолога.

Нелишним будет в реабилитационный период посещение морских курортов, которые насытят организм йодом.

Санаторно-курортное лечение станет эффективным способом функционального восстановления на клеточном уровне всей эндокринной системы организма.

Как влияют изоэхогенные узлы на щитовидную железу?

При нормальном функционировании щитовидка регулирует работу всех систем и органов, но если что-то нарушается в работе, появляются различные новообразования, в том числе, изоэхогенный узел щитовидной железы.

Такие образования говорят о патологии и неправильном функционировании органа.

Щитовидная железа – очень чувствительный орган, и любые негативные воздействия могут вызвать появление узлов.

Что такое изоэхогенные узлы?

Изоэхогенный узел – это образование, которое имеет ободок и плотность, как у обычной ткани. Ободок или границы возникают из-за усиленного кровообращения вокруг этой зоны.

На первой стадии узлы не влияют на работу щитовидки, но если вовремя не начать лечение, они могут нарушить выработку гормонов. Поэтому важно следить за своим самочувствием и при проблемах обращаться к специалисту.

Как развивается патология? Сначала гормоны вырабатываются нормально, но постепенно фолликулы узлов отмирают.

На начальной стадии они имеют границы, поэтому образуются полости. Далее полости увеличиваются, в них образуется жидкость, формируются кисты.

Через некоторое время жидкость рассасывается, и ткань рубцуется, потом она разрастается. Чем больше это новообразование, тем выше риск появления проблем.

Изоэхогенные узлы щитовидной железы отличаются по структуре, количеству и размерам. Они могут формироватьсяв единственном числе или в большом количестве.

По структуре различают изоэхогенные узлы со значительными изменениями и минимальными, а также с гипоэхогенными включениями.

Что касается разделения образований по размерам, они делятся на:

  • небольшие – не больше 10 мм;
  • средние – 20-30 мм;
  • большие – более 40 мм.

Как можно заподозрить появление таких узлов? Если образование маленькое, то выявить самостоятельно его довольно сложно.

А вот большие узлы уже вызывают определенный дискомфорт. Но в любом случае следует обратить внимание на такие симптомы:

  • затрудненное дыхание;
  • чувство сдавленности горла;
  • проблемы при глотании;
  • боль в зоне ухо-челюсть;
  • снижение массы тела;
  • тахикардия;
  • потливость;
  • резкое изменение настроения;
  • сильная утомляемость.

Изоэхогенный узел щитовидной железы обычно бывает доброкачественным, однако он совсем не безопасен. Зачастую такой узел ведет к увеличению лимфоузлов, нагноениям, воспалительным процессам.

В целом, такое образование ведет к ухудшению состояния и нарушению в работе этого важного органа. Поэтому своевременная диагностика и лечение необходимо.

Причины появления образований

Почему возникают такие узлы? Причин может быть несколько. Вот основные:

  • плохая экологическая обстановка – в организм попадают вредные вещества, и клетки начинают бесконтрольно делиться;
  • дефицит йода в питании;
  • наследственность;
  • регулярные переохлаждения;
  • постоянное нервное напряжение;
  • воспалительные заболевания;
  • высокий уровень радиации.

Регулярные стрессы и переохлаждения постепенно могут привести к образованию изоэхогенных узлов. В таких случаях щитовидная железа активизирует работу и вырабатывает больше гормонов, при этом возникает спазм сосудов.

В итоге клетки перенапрягаются, и нарушается их естественный процесс деления. При воспалительных болезнях щитовидка отекает, а это может спровоцировать образование узлов.

Диагностика изоэхогенных узлов

Как диагностируют проблему? Прежде всего, специалист проводит пальпацию щитовидной железы.

Эта процедура помогает определить примерный размер, плотность образования, а также расположение узла или узлов, степень подвижности.

После этой процедуры, специалист проводит ультразвуковую диагностику, которая помогает уточнить полученные данные и получить новую информацию.

Во время УЗИ специалист получает данные о плотности, точном нахождении, глубине и объеме опухоли. Границы новообразования могут быть четко видны, тогда этот процесс очаговый.

А если эхоструктура всей щитовидка изменилась, то говорят о диффузном процессе. Бывают разные виды эхоненности:

  • гиперэхогенность;
  • изоэхогенность;
  • гипоэхогенность;
  • анэхогенность.

Гиперэхогенные объекты выглядят как белые пятна, у них плотная структура. Ультразвук не проходит через эти образования.

У изоэхогенного узла такая же плотность, как и у здоровой ткани. На экране они выглядят светло-серыми, проницаемость средняя. Очень темный цвет означает низкую плотность.

Анэхогенная граница узла называется хало, там располагается система кровеносных сосудов.

Если во время ультразвуковой диагностики выявлено изоэхогенное образование, значит, назначают углубленную диагностику. Делают биопсию и цитологическое исследование.

Этот анализ позволяет узнать цитоморфологическое строение образования. Для выявления проблем в работе железы делают сцинтиграфию.

Для этого в организм вводят специальные вещества (изотопы), чтобы получить двухмерное изображение органа.

Какие еще методы диагностики применяют:

  • бронхо- и ларингоскопию;
  • МРТ щитовидки;
  • анализы крови на гормоны.

Первые два метода используют, если беспокоит сдавливание гортани и трахеи. А МРТ позволяет определить наличие самых маленьких узлов и метастаз.

Анализы на гормоны покажут увеличение или снижение их уровня, что влияет на состояние щитовидной железы.

После прохождения всех анализов и различных специалист может подобрать соответствующее лечение в конкретной ситуации.

Возможно также, что врач посоветует профилактические методы, если образования в щитовидной железе не приносят вреда здоровью и не ухудшают самочувствия.

Если же через некоторое время состояние ухудшится, значит, доктор назначит лечение.

Лечение изоэхогенных узлов

Если образования небольшие (меньше сантиметра), они требуют наблюдения. Консервативное лечение проводится при небольших узлах. Пациенту могут назначать препараты с йодом или тиреоидным гормоном.

Если есть киста, лечение проходит с помощью пункции. Для лучшего сращения стенок в полость вводят склерозант. Если есть воспаление, могут назначаться антибиотики.

Операции проводятся, если образование в щитовидной железе злокачественное. А также при малигнизации кисты или узла щитовидки.

Могут удалять небольшую или большую часть железы (если узел один) или весь орган (если их очень много). Кроме того, операция проводится, если:

  • сдавливаются различные органы;
  • образования больших размеров;
  • уже были рецидивы.

После операции назначают курс тиреоидных гормонов. Кроме того, необходимо принимать препараты кальция.

Радиоактивный йод, который назначают после операции, убирает остатки злокачественных образований, если была онкология.

Как предупредить образование узлов?

Профилактика этой проблемы заключается в употреблении продуктов, богатых йодом, а также специальных препаратов. Много йода содержится в следующих продуктах:

  • чеснок;
  • морепродукты и рыба;
  • хурма;
  • морская капуста;
  • черная смородина.

Рекомендуем узнать:  Узлы с кровотоком в щитовидной железе

Организм должен получать достаточно витаминов и других полезных веществ. То есть, питание должно быть полноценным и разнообразным.

Кроме того, следует отказаться от вредных привычек, заниматься спортом. Ежедневная физическая нагрузка необходима, это может быть:

  • зарядка;
  • фитнес;
  • плавание;
  • бег и даже прогулки.

Обязательно надо избегать облучений и повреждений в области щитовидной железы, а также стоит исключить стрессы и не мерзнуть. Все это может привести к образованию изоэхогенных узлов и кист в щитовидной железе.

Изоэхогенный узел в щитовидной железе может никак не проявлять себя и не влиять на здоровье. Однако в любой момент возможно его разрастание и увеличение.

Поэтому при наличии таких узлов следует регулярно проходить диагностику, чтобы не возникли сбои в работе щитовидной железы и всех органов. Если беспокоит дискомфорт в области щитовидки, надо сразу обратиться к врачу.

Узел щитовидной железы с хало — Про щитовидку

  •  Узловой зоб  в цифрах
  • Факторы риска, способствующие развитию узлового зоба
  • Какими бывают узлы щитовидной железы?
  • Проявления узлового зоба
  • Методы исследования узлов щитовидной железы
  • Определение лабораторных показателей и сцинтиграфия
  •  УЗИ щитовидной железы
  • Тонкоигольная аспирационная биопсия (ТАБ)
  • Дальнейшая тактика

Если у Вас обнаружили узел в щитовидной железе, для более детального обследования придется пройти дополнительные методы диагностики, которые может назначить только эндокринолог. Именно от результатов этих исследований будет зависеть дальнейшая тактика лечения узлового зоба.

 Узловой зоб  в цифрах

  1. У 40-50 % населения земного шара обнаруживаются признаки узлового зоба.
  2. 50-80 % узлов не прощупываются и обнаруживаются на УЗИ.
  3. 50-75 % из всех случаев обнаружение узлового зоба происходит при вскрытии.
  4. У женщин узловой зоб выявляется в 2-4 раза чаще, нередко сочетается с миомой матки.
  5. 90 % случаев узлового зоба из них — это коллоидный нетоксический узловой зоб.
  6. 4-5 % случаев — это рак щитовидной железы.
  7. 3,5 % случаев — это микроаденомы.
  8. Узловой зоб встречается в 30-50 % пожилых людей.
  9. Смертность от рака щитовидной железы среди всех раков — 0,4 % случаев.

к содержанию

Факторы риска, способствующие развитию узлового зоба

  • Дефицит йода является самым основным фактором зоба.
  • Генетический фактор. Часто узловой зоб возникает у членов одной семьи, сочетается с синдромом Дауна, Кляйнфельтера.
  • Факторы внешней среды (СО, недостаток микроэлементов, курение)
  • Зобогенные факторы еды (о них я подробно писала в статье «Спасение от эндемического зоба»)
  • Лекарственные препараты
  • Бактериальные и вирусные инфекции, в особенности хронические. Так, хронический тонзиллит встречается у 50 % людей с узловым зобом.

Какими бывают узлы щитовидной железы?

Поскольку узловой зоб — это предварительный диагноз, как я уже писала выше, то чтобы поставить точный диагноз, нужно знать, чем является этот узел. Ниже я привела 7 заболеваний щитовидной железы, которые могут выглядеть как узловой зоб.

  1. Узловой эутиреоидный коллоидный зоб. Встречается почти в 90%   случаев. Он может быть в разной степени пролиферации.
  2. Аденомы из А и В клеток. Наиболее частые фолликулярная и папиллярная аденомы.
  3. Очаговая форма АИТ (аутоиммунного тиреоидита).
  4. Очаговая форма фиброзного тиреоидита.
  5. Очаговая форма подострого тиреоидита.
  6. Рак щитовидной железы.
  7. Кисты щитовидной железы, которые могут быть простыми и сложными.

Так как узловой коллоидный эутиреоидный зоб — наиболее частое проявление узлового зоба, то речь пойдет именно о нем. Симптомы других заболеваний, при которых возникают похожие узловые образования, вы можете узнать из моих прошлых или будущих статей.

Итак, как правило, при узловом коллоидном зобе симптомов не возникает. В основном беспокоит косметический дефект в области шеи, ее деформация.

Если появляется боль, то это уже признак начинающихся осложнений, таких как быстрый рост узла, связанный, как правило, с ростом раковой опухоли щитовидной железы, появление воспаления или кровоизлияния в узел.

При особо крупных размерах узлового зоба щитовидной железы могут возникнуть нарушения глотания при сдавливании пищевода или дыхания при сдавливании трахеи.

Узловой зоб — довольно частое заболевание,  а особенно у женщин. Кроме эстетического дефекта, наблюдаются и другие проблемы, о них — в моей статье «узловой зоб».

Рекомендации Российской Ассоциации Эндокринологов  по диагностике узлового зоба и по его лечению построены на рекомендациях Американской Ассоциации Клинических Эндокринологов от 2006 года.

В настоящий момент обновлений рекомендаций по диагностике узлового зоба не производилось, поэтому все принципы диагностики и лечения, которые будут изложены ниже, датируются 2006 годом, но при этом остаются актуальными во всем мире. Чтобы быть в курсе последних тенденций, рекомендую вам подписаться на обновления блога, чтобы получать новые статьи на свой e-mail.

Любая диагностика заболевания, и не только щитовидной железы начинается с опроса и  осмотра пациента.

Обычно жалоб узловой зоб не вызывает, за исключением зоба огромных размеров, который может вызвать симптомы сдавливания или нанести косметический дефект.

Паралич голосовых связок, увеличение и сращение лимфатических узлов с окружающей тканью указывают на факты в пользу рака щитовидной железы.

Появление болей в проекции узла также может указывать на опухолевое заболевание узла щитовидной железы.

Данные на которые нужно обратить особое внимание при диагностике узлового зоба:

  1. Облучение области головы и шеи
  2. Общее облучение при трансплантации костного мозга
  3. Данные о  раках щитовидной железы у родственников первой линии родства
  4. Нахождение  в зоне Чернобыльской АЭС
  5. Возраст до 14 лет
  6. Плотный узел с быстрым ростом

Обязательно проводится ручное ощупывание шеи в проекции щитовидной железы. Поддаются прощупыванию узлы более 1 см в диаметре и расположенные ближе к передней поверхности щитовидной железы. Узлы, которые не прощупываются и в размере менее 1 см, не имеют клинического значения и не требуют активного поиска, если не связаны с факторами риска, о которых я говорила выше.

Определение лабораторных показателей и сцинтиграфия

Первым этапом диагностики узлового зоба является определение ТТГ (тиреотропного гормона гипофиза).

Если ТТГ снижен или подавлен, то это указывает на функциональную активность узла, другими словами узел может вырабатывать избыток тиреоидных гормонов, вызывая симптомы  тиреотоксикоза.

Эта патология называется функциональной автономией щитовидной железы, сюда входят токсическая аденома, многоузловой токсический зоб. Рекомендую вам прочитать статью «Тиреотоксикоз и функциональные автономии», в которой все подробно описано.

Но не только функциональная автономия может давать снижение ТТГ. Подобные изменения в гормонах может вызвать фолликулярный рак щитовидной железы. Поэтому исследование должно проводиться с особой тщательностью.

В этом случае для подтверждения этого диагноза проводится сцинтиграфия. Если на сканограмме определяется «горячий» узел, это говорит, что именно этот узел сильнее всего поглощает радиохимпрепарат, что подтверждает данный диагноз.

Сцинтиграфии у меня на блоге посвящена целая статья, а потому сначала ознакомьтесь с ней, чтобы понять, о чем идет речь. Она так и называется «Сцитиграфия щитовидной железы».

На этой картинке как раз показан «горячий» узел, который говорит, что он гормонально активен и выделяет большое количество тиреоидных гормонов. К сожалению, чтобы отличить функциональную автономию от рака, этого не достаточно. В этом нам поможет совсем другое исследование, о котором я буду говорить чуть позже.

Также в этом случае определяют уровень тиреоидных гормонов св Т4 и св Т3.

Если ТТГ повышен, то это указывает на снижение функции всей железы и развитие гипотиреоза.

Сцинтиграфия при этом не проводится. Определяется только св Т4.

При узловом зобе определение любых антител и тиреоглобулина не проводится.

 УЗИ щитовидной железы

Всем лицам с узловым зобом проводится УЗИ. При сравнительной дешевизне метода он несет в себе достаточную информационную нагрузку. Определяются параметры железы, размеры  и структура самих узлов, определяется кровоток, состояние лимфатических узлов. Имеются классические признаки злокачественности узлов.

Вероятностные признаки злокачественности узлов:

  • Гипоэхогенный узел
  • Единственный узел
  • Узел в перешейке
  • Неоднородный узел со множеством включений, кальцинатов, пристеночных тканей
  • Неподвижность железы
  • Усиленный кровоток в узле
Тонкоигольная аспирационная биопсия (ТАБ)

Тонкоигольная аспирационная биопсия (ТАБ) остается наиболее значимым методом обследования, который нам позволяет провести дифференциальную диагностику узлового зоба и исключить онкологическую патологию. Информативность метода — почти 100 %, а если выполнять процедуру под контролем УЗИ, то информативность возрастает.

Пункции подвергаются все узлы больше 1 см в диаметре, либо узлы меньшего диаметра при наличии признаков рака по УЗИ.

Результаты исследования могут иметь такое заключение:

  • неинформативное исследование
  • злокачественная опухоль
  • промежуточный или подозрительный результат
  • доброкачественный результат

При получении заключения злокачественной опухоли или промежуточного результата показано оперативное лечение.

Если получен неинформативный результат, то тонкоигольная аспирационная биопсия повторяется уже под контролем УЗИ. При некоторых узлах, особенно кистозных, повторные ТАБ также могут оставаться неинформативными, но в итоге узлы они в большинстве своем оказываются злокачественными.

А что нужно, чтобы сделать эту процедуру максимально эффективной? Рекомендую прочитать статью «Секреты эффективной пункции щитовидной железы».

Напрашивается вывод:  после многократного получения неинформативных результатов ТАБ оправдана хирургическая диагностическая операция. Во время этой операции извлекается участок ткани узла и исследуется тут же под микроскопом, это называется интраоперационным гистологическим исследованием.

Промежуточный результат обозначается термином «фолликулярная неоплазия». Она обнаруживается в 15-30 % случаев всех тонкоигольных аспирационных биопсий. С диагностической целью проводят операцию, в течении которой определяют злокачественность процесса, а потом, если это так, расширяют операцию для радикального удаления щитовидной железы.

При доброкачественном результате дальнейшаябезотлагательная диагностика и лечение не требуются. Потому что это коллоидный зоб в различной степени пролиферации, аутоиммунный тиреоидит или подострый тиреоидит.

Тонкоигольная аспирационная биопсия при многоузловом зобе

Вероятность рака при многоузловом зобе такая же, как и при одиночном узле. Если делать биопсию только самого большого узла, то можно пропустить рак в других узлах. Поэтому выбирают, какой узел пунктировать, по особенностям узлов по УЗИ (микрокальцинаты,более темный чем окружающие ткани, усиленный кровоток внутри узла).

Если по УЗИ признаков рака нет, то берут биопсию из самого большого из них, а может быть, и из двух.

При многоузловом зобе также определяется ТТГ. И если ТТГ понижен, то есть функциональная автономия. После этого проводят сцинтиграфию, для биопсии выбирают «холодные» и «теплые» узлы.

Дальнейшая тактика

Вот мы убедились, что у нас вариант доброкачественного узла, т. е. это пролиферирующий эутиреоидный узловой зоб. Неотложная операция нам не нужна. Как же быть дальше?

А дальше эти пациенты должны быть под динамическим наблюдением. Почему?

  1. Потому что в 5 % случаев при тонкоигольной аспирационной биопсии обнаруживаются ложноотрицательные результаты. И чтобы не пропустить онкологию, нужно их заново периодически обследовать.
  2. Потому что доброкачественные узлы все же имеют способность расти. Хотя сам по себе рост узла не является признаком опухоли, но все же требует повторной ТАБ. Быстрый рост — это увеличение за 6 месяцев в двух проекциях не менее чем на 2 мм. Вероятность получения ложно положительного результата при повторной ТАБ крайне мала, поэтому в этом случае проводится повторная ТАБ.

Материал подготовлен на основании рекомендаций Американской Ассоциации Клинических Эндокринологов и Российской Ассоциации Эндокринологов.

Последствия образования узлов в щитовидной железе

Проблемы в состоянии щитовидной железы выявляются не всегда в первые дни и годы после возникновения. Иногда проходит несколько десятков лет, пока на случайном профилактическом осмотре пациенту не сообщат о наличии в его щитовидке узлов. И чаще всего в ответ врач услышит искреннее: «А меня ничего не беспокоит, доктор!»

Узлы в щитовидной железе редкость?

К сожалению, узлообразование в щитовидной железе – часто встречающаяся патология. Согласно статистическим данным, в допубертатном возрасте узлы встречаются очень редко. А вот у подростков и молодых людей их число уже имеет значимое количество — 3–5%. После 55 лет практически у каждого второго можно выявить узлы в щитовидной железе. Чаще всего эта патология выявляется у женщин. Соотношение по половому признаку такое – М:Ж = 1:9.

Почему так происходит?

Давайте вспомним процесс образования тиреоидных гормонов. Тиреоциты образуют стенку тиреоидного фолликула. Внутрь этого фолликула выделяется коллоид, состоящий из гормона различной степени активности: монойодтиронин, дийодтиронин, трийодтиронин (Т3) и тироксин (Т4). Дело в том, что щитовидная железа работает всегда с использованием йода. Йод – одна из самых главных составных частей тиреоидного гормона.

При недостатке йода, вырабатывающиеся тиреоидные гормоны будут накапливаться в виде моно- и дийодтиронинов в коллоиде фолликула. Фолликул начнет увеличиваться в размерах, стенки со временем уплотнятся. Так сформируется узел. Гормонов, необходимых организму, выделяется меньше чем надо. Гипофиз вырабатывает тиреотропный гормон (ТТГ) в больших количествах, что приводит к увеличению поверхности и объема железы. Это один из самых частых механизмов формирования узлов.

Только ли из-за дефицита йода возникают узлы?

Не всегда причиной узлообразования бывает дефицит йода. Встречаются варианты, при которых происходит изменение количества активных тиреоцитов. Увеличенное их количество выглядит в виде узла и производит очень большое количество тиреоидных гормонов. Так возникает токсическая аденома. Ее развитие происходит очень быстро, сопровождается клиническими симптомами и быстро диагностируется. Поэтому, этот вариант узлов можно считать относительно благоприятным в плане диагностики.

Гены тоже виноваты

Существует генетическая предрасположенность к узлообразованию. От общего количества узловых форм зоба – это 15–25% случаев. Чаще всего передается склонность к формированию узлового зоба по женской линии. При обследовании таких пациентов все показатели гормонального профиля будут в норме. Характерных для аутоиммунного тиреоидита повышенных цифр антител к тиреопероксидазе (ат-ТПО) не будет. Поэтому, одним из вопросов при первичном обследовании пациента бывает такой: «Выявлялся ли узловой зоб у Ваших родителей?»

Узлы, не проявляющие себя клинически – мина замедленного действия

От 9 до 17% длительно существующих узлов щитовидной железы малигнизируются. Причин такого перерождения может быть много: частые стрессы, физиотерапевтическое лечение, сбой в нормальном процессе деления клеток, загрязнение окружающей среды, употребление канцерогенной пищи. Поэтому все узловые формы зоба требуют пристального наблюдения и своевременного обследования.

Какой узел опаснее в плане злокачественного перерождения?

При диагностике у пациента может быть выявлен один или несколько узлов. Раньше считалось, что чем больше узел, тем больше риск его малигнизации. Следовательно, такой узел нужно срочно удалять. В последнее время в отношении узловых форм зоба тактика наблюдения была изменена. Дело в том, что даже небольшой узелок может оказаться с элементами перерождения, а большой узел диаметром в 5 см будет спокойно жить своей жизнью и не станет превращать свои клетки в раковые.

Были определены критерии, по которым оценивается риск малигнизации:
  • Быстрый рост узла;
  • Нарушение целостности его капсулы;
  • Появление в его толще участков деструкции или кальцинатов;
  • Узел, расположенный в перешейке щитовидной железы;
  • Узлы, выявляемые у лиц мужского пола;
  • Случаи рака щитовидной железы у одного из родителей.
Сдавление жизненно важных органов

Если в щитовидной железе имеется много узлов, увеличивающих ее объем и деформирующих поверхность, возможно сдавление трахеи и появление симптомов удушья. Это редко возникающая патология, но помнить о ней надо. Особенно лицам, имеющим избыточный вес. В этом случае диагностика бывает затруднена особенностями доступа ко всем отделам железы.

Нарушение кальциевого обмена

Эта патология встречается редко. Развивается в случае формирования узлов из смешанных клеток: тиреоцитов и С-клеток. У пациента развивается в этом случае диффузная форма остеопороза, диагностику которого проводят только в условиях специализированного стационара.

Что это такое

  • кисты;
  • образования, заполненного жидкостью;
  • сосудистого образования;
  • злокачественного новообразования.
  • контуры;
  • структуру тканей;
  • зернистость;
  • кровоснабжение тканей;
  • наличие или отсутствие очаговых изменений.

В гипоэхогенных узлах может быть выявлен повышенный ток крови. С кровотоком, его скоростью, обилием и локализацией связывают диагностический признак доброкачественности образования.

Причины появления

  • нарушение кровообращения в любой из долей железы;
  • стрессы;
  • снижение иммунитета;
  • влияние токсических веществ;
  • вредные привычки;
  • травмы;
  • дефицит йода;
  • влияние радиоактивных элементов;
  • аутоиммунные патологии;
  • хронические воспалительные болезни;
  • аденома гипофиза;
  • воздействие некоторых лекарственных препаратов.

Симптомы гипоэхогенных узлов

  • ощущение «комка» в горле;
  • першение;
  • затруднение при глотании;
  • болевые ощущения при пальпации.
  • усиленным сердцебиением;
  • потливостью;
  • дрожанием конечностей;
  • резкой сменой настроения;
  • возбуждением, раздражительностью;
  • гипертонией;
  • одышкой;
  • мышечной слабостью;
  • нарушением сексуальной функции;
  • бесплодием;
  • экзофтальмом.
  • ощущением озноба, независимо от внешней температуры;
  • частыми простудными заболеваниями;
  • болевыми ощущениями в мышцах и суставах;
  • сухостью кожных покровов;
  • ломкостью ногтей, истончением и выпадением волос;
  • отечностью лица;
  • гормональной и половой дисфункцией;
  • снижением или увеличением веса;
  • проблемами с памятью;
  • резкой сменой настроения;
  • депрессией, раздражительностью;
  • гипергидрозом;
  • бессонницей;
  • диспепсическими нарушениями;
  • нарушением менструального цикла;
  • снижением либидо.

Диагностика

  • определение концентрации гормонов щитовидной железы;
  • пробы, отражающие периферическое действие гормонов;
  • выявление антител к различным компонентам щитовидки;
  • определение функциональной активности железы.
  • УЗИ;
  • МРТ и КТ;
  • сцинтиграфия.
  1. Структуру. Неоднородной структура ЩЖ бывает при воспалительном процессе, который развивается на фоне снижения иммунитета. Прогрессирование патологии приводит к возникновению гипоэхогенности.
  2. Четкость контуров.
  3. Размер гипоэхогенного узла.
Показания к проведению исследования
  • гипоэхогенная структура, размеры которой превышают 1 см;
  • возраст пациента менее 14 и более 70 лет;
  • проведенная химио- или радиотерапия;
  • патология ЩЖ у близких родственников;
  • обнаружение уплотнения при пальпации;
  • стремительно растущее гипоэхогенное образование;
  • увеличение регионарных лимфатических узлов;
  • неподвижное новообразование, сросшееся с прилежащими тканями и структурами;
  • проявление гипертиреоза.
Диагностика с помощью ТАБ

Как лечить гипоэхогенный узел

  • их размера;
  • количества;
  • выраженности симптомов;
  • риска озлокачествления.
Лекарства
  • левотироксин натрия, препятствующий росту узла;
  • тиреостатики — Тиамазол, Эспа-Карб, Пропицил;
  • препараты йода — Йодомарин, Йод-актив, Йодбаланс.
Народное лечение

Прогноз

Профилактика

  • регулярно употреблять продукты или препараты, содержащие йод в количестве, соответствующем возрастной физиологической потребности;
  • исключить вредные привычки — курение, употребление спиртных напитков;
  • избегать длительного пребывания под прямыми солнечными лучами;
  • предупреждать травмирование ЩЖ и проведение физиопроцедур в области железы;
  • принимать витаминно-минеральные комплексы, способствующие усвоению йода и улучшающие функции ЩЖ.

Смотрите также