
Гипогенезия мозолистого тела что это такое
Среди аномалий развития мозга одним из самых часто встречающихся заболеваний является врожденная структурная патология, агенезия мозолистого тела, при которой имеет место нарушение ассоциативных связей между двумя полушариями.
Оглавление:
- Агенезия мозолистого тела: в чем опасность заболевания?
- Агенезия мозолистого тела: причины
- Предрасполагающие факторы
- Симптомы и диагностика
- Симптоматика
- Агенезия мозолистого тела: лечение и прогноз
- Медикаментозные средства
- Читайте о здоровье:
- Напиши в комментарии, что думаешь
- Поиск по сайту
- Почтовая рассылка
- Давайте дружить!
- Все про мозолистое тело: функции, анатомия и заболевания
- Что такое мозолистое тело: общая информация
- Анатомия и функции
- Большая комиссура под ударом…
- Агенезия: главные причины, симптоматика, лечение
- Провоцирующие факторы и симптоматика
- Комплекс мер
- Дисплазия и гипоплазия — неправильное или недоразвитие МТ
- Причины и клиника патологии
- Состояние современной медицины
- Последствия гипоплазии
- Последствия дисгенезии
- В сухом, но важном остатке
- Редкое заболевание гипоплазия мозолистого тела, приговор или нет?
- В чем причина?
- Как распознать?
- Как проходит диагностика в больничных условиях
- Особенности лечения
- Советы родителям
- Здоровье, быт, увлечения, отношения
- Гипогенезия мозолистого тела
- Гипоплазия мозолистого тела у новорожденного ребенка
- Причины синдрома гипоплазии мозолистого тела
- Симптомы гипоплазии мозолистого тела у новорожденного ребенка
- Лечение и последствия гипоплазии мозолистого тела
- Агенезия мозолистого тела
- Симптомы агенезии мозолистого тела
- Лечение
- Мозолистое тело — валик, колено и ключ
- Что это такое
- История открытия
- За что отвечает мозолистое тело
- Мозолистое тело у мужчин и женщин
- Заболевания
- Агенезия
- Гипоплазия
- Очаги
- Агенезия мозолистого тела у плода
- Причины
- Симптомы
- Диагностика
- Лечение
Агенезия мозолистого тела: причины
Заболевание, связанное с аномальным развитием головного мозга, врожденное, достаточно редкое, проявляющееся в полном или частичном отсутствии структурного образования, соединяющего полушария мозга, носит название адгезии мозолистого тела.
Мозолистое тело объединяет полушария головного мозга
В норме мозолистое тело, или большая спайка, представлено плотным сочленением нервных волокон, объединяющим полушария мозга, левое и правое, обеспечивает координацию между ними.
Формирование этой структуры с точки зрения морфологии соответствует периодунедели беременности, начало дифференциации ткани мозолистого тела относят к середине шестой недели.
Данная патология может иметь разную степень структурного проявления и выражаться в виде тотального отсутствия, частичного (гипогенез) либо неправильного (дисгенезия) формирования, недоразвития (гипоплазия) мозолистого тела.
Вместо нормальной структуры, которая выглядит как широкая плоская полоса, большая спайка приобретает вид укороченных перегородок или прозрачных столбов свода.
Как правило, точно определить причину врожденного структурного порока развития мозга, затруднительно.
Предрасполагающие факторы
- Наследственность (семейные случаи проявления, с наследованием по типу аутосомного или сцепленного с Х-хромосомой)
- Спонтанные мутации
- Перестройка хромосом
- Внутриутробные инфекции (чаще вирусной природы) или травмы
- Воздействие токсических веществ, тератогенный эффект лекарственных средств в течение утробного развития
- Фатальный алкогольный синдромом у плода (из-за алкоголизма матери в течение беременности)
- Дефицит питательных веществ у плода
- Нарушения обмена веществ у матери
На сегодняшний день однозначно назвать причину агенезии мозолистого тела не представляется возможным; можно лишь выделить факторы, обуславливающие ее возникновение.
Познакомиться со строением головного мозга вы можете, посмотрев предложенное видео.
Симптомы и диагностика
Клиника болезни имеет различный характер проявления, в зависимости от этого может быть выявлена при тяжелой форме в детском возрасте, обычно до двух лет, либо у взрослых, бессимптомно и порой совершенно случайно.
Дети, заболевание у которых по тем или иным причинам не было диагностировано в пренатальный период, при рождении выглядят здоровыми, их развитие соответствует норме до достижения ими трех месяцев.
Именно на данном этапе появляются первые симптомы болезни, обычно в виде так называемых инфантильных спазмов, разновидности приступов эпилептического характера, припадков.
Симптоматика
- Прерывание формирования и дальнейшего развития структуры мозолистого тела на первых стадиях
- Развитие порэнцефалии, дефекта мантии мозга
- Гидроцефалия – отсутствие способности отслеживания глазами, позднее – отсутствие движений произвольного характера
- Атрофические явления нервов, зрительных и слуховых
- Микроэнцефалия
- Появление новообразований, кист в районе полушарий
- Полимикрогирия (недостаточно сформированные извилины)
- Преждевременное, раннее половое развитие
- Проявление синдрома расщепления позвоночника
- Проявление синдрома Айкарди
- Развитие липом
- Патология органов желудочно-кишечного тракта, опухолеобразование
- Замедление, а затем торможение психомоторного развития
- Проявления в различной степени отсталости, умственной и физической
- Нарушения координации
- Задержки развития, аномалии различных органов
- Низкий мышечный тонус
- Аномалии скелета
У пациентов с сохранением интеллекта и двигательных функций проявление аномалии заключается в нарушении обмена информацией между полушариями, например, в затруднениях, которые испытывает правша, при просьбе обозначить по названию какой-либо предмет, находящийся в левой руке.
Диагностируют болезнь путем сканирования головного мозга
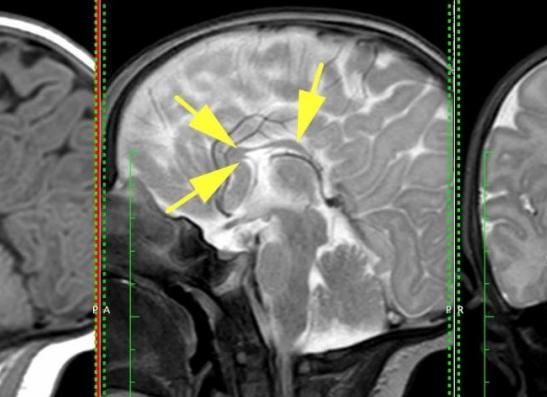
Диагностика заболевания может быть выявлена при выполнении процедуры сканирования головного мозга.
Проведение пренатальной диагностики такой аномалии как агенезия мозолистого тела сопряжена с большими трудностями. Чаще всего диагностируют аномалию на этапе второго-третьего триместра беременности.
В качестве основного метода используют метод эхографии, находят применение также процедуры МРТ, УЗИ.
Проведение процедуры эхографии в пренатальный период позволяет диагностировать далеко не все случаи заболевания, в том числе из-за особенностей предлежания плода.
Кроме того, при частичной агенезии обнаружить дефект еще более затруднительно.
Затрудняет диагностику заболевания то обстоятельство, что агенезия достаточно часто сочетается с целым рядом пороков развития, с различными генетическими симптомами.
Для получения полной картины обследования в случае подозрения на наличие аномалии необходимо выполнять кариотипирование, а также тщательный ультразвуковой анализ, диагностики с использованием магнитно-резонансной томографии.
Сочетание различных современных методов обследования позволяет с большей достоверностью диагностировать случаи агенезии мозолистого тела в пренатальный период.
Агенезия мозолистого тела: лечение и прогноз
На сегодняшний день не существует эффективных методов лечения заболевания.
Лечение направлено на минимальное проявление симптомов болезни
Лечебные мероприятия состоят в терапии серьезных симптомов, сведения их к минимальному проявлению.
Медикаментозные средства
- Антиэпилептического ряда
- Из группы бензодиазепинов
- Фенобарбитал
- Кортикостероидные гормоны
К сожалению, часто лечение малоэффективно, и даже использование сильнодействующих лекарственных средств не приносит желаемых результатов.
Для коррекции состояния пациента может потребоваться проведение различных хирургических вмешательств, применение методов физиотерапии, лечебной физкультуры.
Прогноз для пациентов с агенезией мозолистого тела во многом зависит от типа аномалии. При отсутствии сочетания заболевания с патологией какого-либо типа можно говорить о достаточно благоприятном прогнозе.
Если имеет место сочетание агенезии и другой патологии, о благоприятном прогнозе речь не идет, в таких случаях проявления нарушений интеллекта, неврологических проблем, задержки развития и остальных симптомов проявляются с большой частотой.
Лечение пациентов с агенезией мозолистого тела в настоящее время носит симптоматический характер и не является действенным.
Патология мозга, агенезия мозолистого тела, может быть отнесена к группе заболеваний с множественными аномалиями развития и неблагоприятным прогнозом.
Заметили ошибку? Выделите ее и нажмите Ctrl+Enter, чтобы сообщить нам.
Читайте о здоровье:
Напиши в комментарии, что думаешь
Поиск по сайту
Почтовая рассылка
Давайте дружить!
прямого разрешения администрации журнала «Докоторам.нет»
Источник: https://doctoram.net/content/ageneziya-mozolistogo-tela-v-chem-opasnost-zabolevaniya.html
Все про мозолистое тело: функции, анатомия и заболевания
Мозг человека является сложным биологическим механизмом, в котором беспрерывно происходят процессы, обеспечивающие жизнедеятельность организма.
Это единая система, получающая, обрабатывающая и передающая информацию ко всем органам, клеткам и тканям. Происходит это благодаря импульсам, которые сосредоточены в мозолистом теле головного мозга.
Что такое мозолистое тело: общая информация
Мозолистое тело головного мозга (МТ) или большая комиссура, как этот элемент называют специалисты, является скоплением нервных волокон.
Оно объединяет между собой две части, формирующие головной мозг — правое и левое полушария. Также мозолистое тело координирует их стабильную работу, обеспечивает слаженность передачи и получения сигналов от каждого из полушарий. Кроме того, мозолистое тело объединяет серое вещество каждого из полушарий мозга.
Образование является плотной по консистенции структурой белого цвета. Анатомия мозолистого тела достаточно сложна – в целом — это вытянутая спереди назад структура, длинна которого, в зависимости от возраста и пола, составляет от 7 до 9 см.
Местом расположения большой комиссуры является продольная щель мозга человека.
Анатомия и функции
Мозолистое тело покрыто сверху небольшим слоем мозгового серого вещества, что объясняет, соответственно, серый покров на нем. При визуальном рассмотрении можно различить 3 основных отдела:
- ствол (или срединный мозговой отдел);
- колено (отдел головного мозга, располагающийся в передней части);
- клюв или валик мозолистого тела (задний отдел).
Яркость большой комиссуре (при рассмотрении на снимках или в разрезе) обеспечивают волокна, которые располагаются радиально и находятся в каждом из полушарий.
Средний отдел при рассмотрении выглядит как выпуклость, которая является одновременно самой длинной частью всего головного мозга. Задний отдел – визуально просматривается, как утолщение относительно других отделов и зон, которое свободно располагается над соседними участками головного мозга. Серое вещество представлено полосками и находится сверху.
Функции, которые обеспечивает мозолистое тело:
- передача важной для функционирования организма информации (импульсами) из одного полушария в другое;
- формирование основных характеристик, определяющих личность и ее особенности;
- основные (базовые, определяющие) навыки и возможность их применения в течение жизни человеком;
- работа по формированию эмоционально – личностной сферы.
Большая комиссура под ударом…
Нарушения мозолистого тела – явление редкое, оно встречается в 2% от всех случаев заболеваний головного мозга и ЦНС. В случае заболеваний мозолистого тела наблюдаются:
- расстройства различного характера и интенсивности, проявляющиеся в эмоционально – личностной и когнитивной сферах;
- физиологические проблемы в работе конечностей;
- проблемы с глазными яблоками и зрением в целом.
Развиваются соответствующие заболевания — агенезия, гипоплазия и дисплазия (дисгенезия) мозолистого тела головного мозга.
Агенезия: главные причины, симптоматика, лечение
Агенезия мозолистого тела, как самостоятельное заболевание, представляет собой сложное нарушение, носящее структурный характер. Если оно имеет место быть, то у пациента наблюдается, соответственно, нарушение ассоциативных связей между правым и левым полушариями головного мозга, чего в нормальном состоянии не наблюдается, так как этот орган отвечает за объединение этих участков.
Заболевание развивается в ходе нарушений (аномалий) в ходе развития. Оно редкое – около 2%, врожденное, проявляется в полном или частичном отсутствии при рассмотрении на снимках или исследованиях этого структурного образования.
Агенезия выражается полном отсутствие большой комиссуры или ее недоразвитостью, иногда она присутствует лишь частично (нет определенного участка). В этом случае образование, если оно недоразвито или присутствует частично, представлено в виде значительно укороченных перегородок или прозрачных столбов свода мозга.
Провоцирующие факторы и симптоматика
Современные неврологи и ученные не могут с точностью назвать основные причины, которые влияют на развитие этой патологии. Основными предполагаемыми факторами являются:
- наследственность (в 70% случаев, если в семье уже были проблемы подобного характера, то они повторятся у будущих поколений);
- генетические (в том числе и хромосомные) изменения и мутации;
- перестройка хромосом (в период формирования плода);
- развитие инфекций, вызванных вирусом, протекающие в период беременности (внутриутробно, особенно опасны на ранних сроках);
- травмы;
- попадание веществ с токсическим (ядовитым) воздействием на организм или формирующийся плод (в том числе, воздействие алкоголя);
- последствия приема медикаментов (побочные эффекты или осложнения);
- нарушение течения беременности (дефицит питательных веществ у плода в период развития);
- нарушение обменных процессов в организме беременной.
Основные симптомы, свидетельствующие о наличии у человека агенезии мозолистого тела и о необходимости немедленного квалифицированного диагностирования:
- гидроцефалия;
- нарушения в развитии и функционировании зрительных и слуховых нервов;
- появление доброкачественных кист и других видов опухолей в мозге;
- недостаточно сформированные, для выполнения заложенных функций, мозговые извилины;
- раннее половое созревание;
- развитие липом;
- разнообразные проблемы и нарушения в работе органов ЖКТ (разной природы и интенсивности);
- нарушение психомоторики;
- проблемы с поведением (особенно остро выражается в детском возрасте);
- диагностика умственной отсталости в легкой степени (выявляется в детском возрасте);
- нарушение координации движений;
- низкий тонус мышц;
- нарушения развития мышц и костей скелета.
Комплекс мер
Лечение чаще всего представляет собой медикаментозную терапию. Включает в себя прием препаратов антиэпилептического ряда, а также кортикостероидных гормонов. Также в некоторых случаях показаны занятия ЛФК (физкультурой с лечебным уклоном).
Дисплазия и гипоплазия — неправильное или недоразвитие МТ
Гипоплазия или, как еще называют это заболевание, — микроцефалия, представляет собой сложную патологию, во время течения и развития которой наблюдается значительное уменьшение (берется значение, исходя из нормальных показателей) объемов головного мозга и, соответственно, мозолистого тела в том числе.
В большинстве случаев вместе с диагностикой гипоплазии наблюдаются и другие нарушения, среди которых, неправильное развитие присутствующих частей мозолистого тела (дисплазия или дисгенезия), недостаточная сформированность спинного мозга, недоразвитие конечностей и ряда внутренних органов.
Причины и клиника патологии
Основной причиной нарушения развития и уменьшения размеров (или полное отсутствие) мозолистого тела является та или иная врожденная патология. Факторы, вызывающие подобные изменения:
- наличие вредных привычек у беременной (курение, прием наркотических препаратов или алкоголя);
- интоксикация;
- облучение радиацией (ионизирующей);
- последствия сложных и серьезных заболеваний – краснухи (перенесенной во взрослом возрасте или в период беременности особенно), гриппа, токсоплазмоза.
- уменьшение объемов головного мозга относительно обычных показателей (основной симптом);
- изменение обычной структуры мозговых извилин и некоторых структур (извилины плоские);
- недостаточное для нормального функционирования развитие височных и лобных долей мозга у человека;
- уменьшение в размерах пирамид – элементов продолговатого мозга (развивается пирамидный синдром);
- нарушения и сбои выявленные в работе мозжечка;
- нарушения функций ствола (отдела головного мозга);
- в большинстве случаев отмечается нарушение интеллекта;
- нарушения физического развития;
- неврологические расстройства и характерные нарушения;
- патологии зрительного бугра.
Состояние современной медицины
При гипоплазии черепная коробка меньших размеров, чем должна быть у человека в норме.
Несмотря на развитие современной медицины качественное и эффективное лечение подобного нарушения отсутствует. Есть возможность сведения проявлений симптомов к минимуму.
Важно помнить, что данная аномалия ведет к снижению продолжительности жизни. Основная мера воздействия – прием медикаментов.
Последствия гипоплазии
Если на раннем этапе развития и формирования аномалии не будут приняты соответствующие меры, то у большинства пациентов в дальнейшем (уже в детском и подростковом возрасте) будут наблюдаться различные проблемы в области неврологии.
Также у многих пациентов с гипоплазией присутствует среднее и тяжелое нарушение интеллекта, задержка развития, как умственного, так и физического.
Так, по данным различных медицинских исследований, не менее чем в 68-71% случаев диагностирования гипоплазии мозолистого тела имеет место такое последствие, как умственная отсталость. Кроме того, нарушение ведет к появлению более серьезных расстройств психического плана, таких как шизофрения.
Последствия дисгенезии
Дисгенезия мозолистого тела может вызывать изменения в системе мышц и в скелете в целом. Она являться распространенной причиной возникновения сколиоза.
Отмечаются отставания в умственном и психо – эмоциональном развитии детей и подростков. Также наблюдаются нарушения интеллекта, неврологические проблемы, задержки в развитии, поэтому пациенты в большинстве случаев нуждаются в постоянном присмотре и интенсивном лечении.
Если принять меры к устранению проявлений, то дети могут обучаться необходимым навыкам, в том числе осваивать несложную школьную программу.
В сухом, но важном остатке
Таким образом, мозолистое тело головного мозга, несмотря на свои крошечные размеры, оказывает большое влияние на жизнь человека. Оно позволяет формироваться личности, отвечает за появление привычек, осознанных действий, умению общаться и различать предметы.
Именно поэтому крайне важно в период беременности относиться к своему здоровью бережно, так как основные нарушения МТ формируются именно в этот период.
Не следует забывать, что мозолистое тело формирует интеллект, делает человека личностью. Несмотря на все попытки изучить эту структуру, ученым еще не удалось раскрыть всех его тайн, поэтому и методов лечения нарушений, если таковые появляются, разработано очень немного.
Основные из них – лекарственная терапия и специальный комплекс упражнений – ЛФК, позволяющий поддерживать оптимальные показатели физического развития. Принимать меры по устранению симптоматики нарушений следует немедленно, иначе желаемых улучшений может и не наступить.
Этот раздел создан чтобы позаботиться, о тех, кому необходим квалифицированный специалист, не нарушая привычный ритм собственной жизни.
Источник: https://neurodoc.ru/bolezni/drugie/mozolistoe-telo-zabolevaniya.html
Редкое заболевание гипоплазия мозолистого тела, приговор или нет?
Мозолистое тело головного мозга играет важную функцию в организме, но даже такой небольшой орган подвержен болезням – гипоплазия мозолистого тела, одна из редких, но не менее опасных аномалий, которая влияет на функционирование данного органа.
В чем причина?
Мозолистое тело расположено ровно посредине между двумя полушариями мозга. Его функции были открыты сравнительно недавно примерно в 60–70-х годах прошлого столетия, причем случайно. При лечении эпилептических припадков существовала практика, раздвоения данного тела на две половины, в результате чего припадки исчезали, но появлялось много побочных эффектов от подобной процедуры, которые и натолкнули докторов, проводивших изучение, на правильные мысли. Мозолистое тело является проводником нейронов между двумя полушариями, благодаря ему в нашем организме происходи много важных процессов, таких как:
- двигательная активность;
- проявления чувств;
- познавательные процессы.
Говорить о том, что все эти процессы будут ограничены для больного нельзя, такое возможно лишь в крайне тяжелой форме болезни, но наличие отклонений будет заметно невооруженным глазом.
К примеру, когда у взрослого человека с эпилептическими припадками рассекали мозолистое тело, через некоторое время обратили внимание, что все, что связано с творчеством (рисование, стихосложение и т. п.) человек мог делать только левой рукой, тогда как обычные процедуры (прием пищи, переписывание текста) только правой.
Что же говорить о человеке с гипоплазией мозолистого тела. В данном случае последствия куда более тяжелые, но… Обо всем по порядку.
Причина возникновения данного недуга до конца неизвестна, но ученые сходятся во мнении, что львиная доля кроется в генетических отклонениях, которые закладываются во внутриутробном развитии, в частности, на 2–3 неделе эмбрионального периода.
Кроме того, есть мнение, что на наличие гипоплазии обуславливается мутациями, влияющими на развитие мозга. К сожалению, более точной информации врачи дать не в состоянии.
В группу риска попадают мамы, которые:
- употребляют алкогольные напитки во время беременности;
- переболели краснухой, во время беременности, ровно как токсоплазмозом или тяжелыми формами гриппа;
- подвергались радиационному облучению;
- были подвержены общей интоксикацией организма.
Данное заболевание относится к разряду редких и согласно статистике встречается у каждого 10-тысячного младенца.
Как распознать?
Гипоплазия мозолистого тела у новорожденного диагностируется, как правило, после первых двух месяцев жизни, но чаще это происходит в период внутриутробного развития.
Если до рождения ребенка врачи просмотрели недуг, то в течение 2 первых лет жизни ребенок будет развиваться гармонично, как и подобает нормальному младенцу, и лишь по прошествии указанного времени родители могут заметить некоторые отклонения, такие как:
- инфантильные спазмы;
- судороги;
- эпилептические припадки;
- ослабевание крика;
- нарушение осязания, обоняния и зрения;
- снижение коммуникативных навыков;
- проявления, связанные с мышечной гипотонией.
инфантильные спазмы – судороги, характеризующиеся внезапным сгибанием и разгибанием рук и ног
мышечная гипотония – состояние, характеризующееся сниженным мышечным тонусом, может развиваться в сочетании со снижением мышечной силы у больного.
В том случае, если в детском возрасте, по какой-либо причине не удалось диагностировать и распознать наличие заболевания, оно обязательно проявится в зрелом возрасте, к симптомам можно отнести:
- нарушение зрительной или слуховой памяти;
- гипотермия;
- проблемы с координацией движения.
Гипотермия – проблемы с терморегуляцией организма (снижение температуры тела ниже 35 градусов)
Как проходит диагностика в больничных условиях
Как правило, с гипоплазией мозолистого тела может развиться большое количество сопутствующих заболеваний, поэтому возможно, наличие других (отличных от указанных выше) симптомов. В 80% случаев диагностика данной болезни происходит во внутриутробном развитии при помощи УЗИ диагностики.
Тем не менее возможно назначение дополнительных анализов после рождения (если во время беременности клиническая картина была ясна не до конца) либо после обращения родителей к специалисту. Доктор проводит первичный опрос и уточняет наличие симптомов, характерных для данного диагноза, после чего обычно назначает:
- магнитно-резонансная терапия (МРТ);
- электроэнцефалограмма головы (ЭЭГ);
- другие исследования неврологического характера.
На основании данных полученных по результатам вышеупомянутых исследований врач делает заключение и назначает лечение.
Особенности лечения
К сожалению, эффективного лечения на сегодняшний момент еще не придумано, и доктора по большей степени борются с симптомами болезни, поэтому дети с данным диагнозом обречены на постоянное лечение и поддерживающую терапию.
Конкретный план подбирает лечащий врач индивидуально для каждого. Все зависит от тяжести поражения мозолистого тела и клинической картины недуга.
В 70—75% случаев отмечается неблагоприятный исход. Большая вероятность умственной отсталости и развития серьезных психических отклонений, таких как шизофрения и т. п.
Советы родителям
Если вашему крохе поставлен диагноз гипоплазия мозолистого тела у новорожденного, то ему важна будет ваша поддержка и помощь. Вот несколько общих рекомендаций, по оказанию профилактических действий для малыша дома:
- Обращайте внимание на общее состояние младенца, если он устал или не проявляет интереса к занятиям или общению, дайте ему время передохнуть, он сам даст понять когда можно возобновить процедуру.
- Носите ребенка в позе «самолет», данное упражнение оказывает укрепляющее воздействие на организм, главное, не переусердствовать.
- Выкладывайте малыша себе на грудь, лицом к лицу, таким образом, чтобы его руки были под грудью, рукой гладьте его от головы к попке – данная процедура поможет ему перенести вес от головы к тазу, можно также класть его на кровать, а под живот свернутый валик из полотенца.
- Если малыш произносит звуки, копируйте их и повторяйте за ним, с той же интонацией, старайтесь выдерживать небольшие паузы, это будет стимулировать его к повторению.
- Во время игр с погремушкой дайте ребенку зафиксировать на ней взгляд, и, медленно водите из стороны в сторону, побуждая его следить за игрушкой. При потере ее из виду, легонько погремите, привлекая внимание и, продолжите процедуру. Если ребенок потерял интерес, не наседайте, дайте передохнуть.
К сожалению, диагноз гипоплазия является серьезным и часто не приходит один, можно лишь пожелать терпения родителям с больными детьми, ну а вы сами должны надеяться на лучшее, так как 25—30% имеют положительный итог, и возможно, именно вы попадете в эти проценты.
Источник: https://nervivporyadke.ru/tsns/gipoplaziya-mozolistogo-tela.html
Здоровье, быт, увлечения, отношения
Гипогенезия мозолистого тела
Что можно сказать про гипогенезия мозолистого тела?
Что можно сказать про гипоплазию и агенезию мозолистого тела?
Если говорить про само мозолистое тело, то тогда можно сказать о том, что оно является сплетением нервных волокон в головном мозге у человека, которое соединяет левое и правое полушарие. Это мозолистое тело само по себе состоит приблизительно из двухсот миллионов волокон нервных. Еще про мозолистое тело можно сказать то, что оно само себе является само большой структурой, которая соединяет два полушария головного мозга. Когда мозолистое тело сформировалось, то тогда оно начинает постепенно расти и дальше, как в ширину, так и в длину. Если говорить про пересечение волокон, которые впоследствии начинают соединять одно полушарие головного мозга с другим, то стоит сказать о том, что все это происходит у человека на таком сроке жизни как двадцать недель.
Если же мозолистого тела нет частично или же полностью оно отсутствует, то тогда можно говорить о том, что у человека происходит агенезия мозолистого тела. Стоит сказать о том, что когда у человека происходит гипоплазия или же агенезия мозолистого тела, то тогда основная спайка, которая образовалась у человека при помощи коммиссуральных волокон, может либо полностью, либо частично отсутствовать, и от этого третий желудочек у человека остается открытым. Когда у человека агенезия, то тогда есть специальные столбы свода, и также еще имеются и специальные прозрачные перегородки. А когда человек страдает от гипоплазии, то тогда у человека можно заметить только отсутствие задней спайки, а само мозолистое тело у человека укорочено. Когда у человека происходят пороки мозолистого тела, то чаще всего они могут начать сопровождать и какие-либо другие нарушения в головном мозге у человека, но также они могут иметь место еще и изолированно.
Чаще всего такого рода дефекты у ребенка могут начать появляться буквально через две недели после его зачатия. Если говорить про частоту проявления такого, то стоит сказать то, что эта болезнь развивается у человека в коэффициентах один на две или даже три тысячи.
Какие существуют неврологические дефекты?
Если говорить про неврологические дефекты, то можно сказать о том, что они могут быть:
- Порэнцефалией;
- Могут быть и микрогирией;
- Может быть и такое, что у человека может быть развита еще и атрофия зрительных нервов;
- Также они могут быть и липомами межполушарными и мозолистого тела;
- Если у человека гипоплазия лимбической системы;
- Если человек страдает от прерывания начала мозолистого тела;
- Если у человека шизенцефалия;
- Если человек имеет кисту в зоне мозолистого тела;
- Если имеется расщипление позвоночника;
- Если у человека имеются колобомы. К ним можно отнести такое, как: дефект радужки или тканей век, дефект хрусталика глаза, дефект сетчатой или же сосудистой оболочек глаза у человека;
- Когда у человека отсутствует прозрачная перегородка и многое другое.
Источник: https://goldstarinfo.ru/2014/08/04/gipogeneziya-mozolistogo-tela/
Гипоплазия мозолистого тела у новорожденного ребенка
Гипоплазия мозолистого тела у новорожденного – диагноз очень серьезный, но при этом, к великому счастью, и довольно редкий. Подобное заболевание согласно статистическим данным возникает у одного из двух тысяч появляющихся на свет младенцев.
По своей природе, рассматриваемое патологическое состояние, также как и агенезия указанной структуры, относится к дефектам внутриутробного этапа развития мозговой ткани. Однако в отличие от агенезии, заключающейся в полнейшем отсутствии мозолистого тела, в случае гипоплазии последнее сохранено, но присутствует в мозге в недоразвитом состоянии и соответственно не выполняет весь объем возложенных на него функциональных обязанностей.
Принимая во внимание последствия гипоплазии мозолистого тела у новорожденного, данную патологию следует рассматривать как болезнь с не очень благоприятным прогнозом. Особенно учитывая тот факт, что рассматриваемое патологическое состояние не всегда протекает изолированно. Зачастую в совокупности с ним протекают и иные нарушения, затрагивающие головной мозг.
Причины синдрома гипоплазии мозолистого тела
Для того чтобы четко понимать, чем опасна гипоплазия мозолистого тела головного мозга у ребенка, необходимо иметь представление о том, что это за структура и какова ее роль в человеческом организме.
Мозолистое тело на протяжении многих времен было неразгаданной загадкой для анатомов. Исследователям долго не удавалось установить, за что именно отвечает этот мозговой участок. Но, как говориться, если долго копать, то обязательно до чего-нибудь докопаешься.
На сегодняшний день известно, что указанная структура есть не что иное, как группа нервных волокон, соединяющая правую и левую половину головного мозга и обеспечивающая тем самым нейронную связь между ними. Именно через данное анатомическое образование осуществляется передача двигательной, чувствительной и познавательной информации от одного полушария к другому, за счет чего происходит слаженная работа всего организма.
Основной причиной, из-за которой у малыша развивается синдром гипоплазии мозолистого тела, врачи называют нарушения, возникающие в процессе закладки структур головного мозга, что происходит на начальных этапах развития эмбриона. А вот вразумительно объяснить, почему случаются подобные нарушения, на сегодняшний день не в состоянии даже самые профессиональные доктора.
Все дело в недостаточной изученности этиологии данного патологического состояния. В наши дни, возможно, говорить лишь о некоторых факторах, которые могут обусловить появление указанного заболевания. Первые места в их числе занимают мутации, затрагивающие хромосомы, а также отягощенная по рассматриваемому недугу наследственность.
Гипоплазия мозолистого тела у ребенка может развиваться и как результат внутриутробных инфекций. Другие возможные причины описываемого состояния пока еще изучаются медиками.
Симптомы гипоплазии мозолистого тела у новорожденного ребенка
Клинические проявления указанной патологии, как правило, имеют разнообразный характер. По этой причине рассматриваемое заболевание может быть выявлена как в раннем детском возрасте, что чаще всего происходит в период до двух лет при наличии тяжелого течения болезни, так и уже у взрослого человека, причем совершенно случайно, что характерно для бессимптомного протекания недуга.
Малыши, которым по каким-либо причинам подобный диагноз не был поставлен в пренатальный период, поначалу кажутся вполне здоровыми. Первые симптомы гипоплазии мозолистого тела появляются с момента достижения трехмесячного возраста. До этого развитие малютки идет обычными темпами и не отличается от нормы.
Клиническая картина начинается с возникновения у крохи инфантильных спазмов, к которым могут присоединяться приступы, напоминающие эпилепсию.
У ребятишек страдающих данной патологией, часто наблюдаются судороги, такие дети обычно отстают в моторном развитии, также у них отмечается малая модуляция крика, и развиваются нарушения сенсорных реакций. В дальнейшем у них можно заметить низкую коммуникабельность.
В более старшем периоде детства гипоплазия мозолистого тела головного мозга дает последствия в виде нарушения регуляции телесной температуры по типу гипотермии, у больных появляется дефицит координации, страдает зрительная и слуховая память.
Лечение и последствия гипоплазии мозолистого тела
В отношении такого патологического состояния как гипоплазия мозолистого тела лечение, которое могло бы похвастаться высокой эффективностью, еще не разработано. Однако это не означает, что нужно пренебрегать обращением к врачу.
На современном этапе развития медицины терапия рассматриваемого заболевания предусматривает лишь совокупность мер, направленных на минимизацию отклонений в развитии страдающего данной патологией пациента.
Специалисты, практикующие нейропсихологию, рекомендуют таким больным с определенной периодичностью выполнять особый комплекс физических упражнений, разработанный специально для лечения описываемого недуга. Такие упражнения помогают восстановить межполушарные связи. Кроме того, пациенту может быть назначена информационно-волновая терапия.
Как уже упоминалось выше, рассматриваемая патология может сочетаться с другими заболеваниями, в силу чего прогноз ее скорее неблагоприятный.
У пациентов проявляются разного рода неврологические проблемы, нарушается интеллект, задерживается развитие. В частности, по данным исследователей не менее чем в 71% случаев гипоплазия мозолистого тела имеет последствия в виде умственной отсталости.
Кроме того, описываемая аномалия мозолистого тела зачастую играет не последнюю роль и в возникновении расстройств психического характера, например, таких как шизофрения.
Источник: https://med-pomosh.com/?p=6393
Агенезия мозолистого тела
Агенезия мозолистого тела – врожденная патология, важную роль в развитии и распространении которого играют генетические факторы. Само мозолистое тело представляет самое крупное структурное образование мозга, которое соединяет оба полушария между собой. Пересечение волокон, а также их связь с полушариями начинается уже на сроке двенадцати, тринадцати недель. Агенезия мозолистого тела, последствия, лечения и симптомы которого будут рассмотрены ниже, имеет место быть при частичном или полном отсутствии его самого, как такового.
Мозолистое тело – это плотное сплетение нервов в головном мозге. Оно призвано соединять правое и левое мозговые полушария. В его состав входят до двухсот пятидесяти миллионов нейронов. Мозолистое тело плоское и широкое, состоит из аксонов, располагается непосредственно под корой. Волокна, в основном, проходят в поперечном направлении и соединяют симметричные отделы головного мозга, но есть и продольные волокна, соединяющие несимметричные отделы противоположных полушарий, либо одной части. Агенезия мозолистого тела, последствия которого находят отражение на интеллектуальных способностях человека, является частью многих, широко распространенных, врожденных нарушений развития, патологий и болезней. Основная мозолистая спайка в этом случае, частично или полностью, отсутствует, ее заменяют прозрачные столбы свода, короткие и неполные перегородки. Частота появления такого рода пороков – один случай на две тысячи зачатий, причина тому наследственность или спонтанные необъяснимые генные мутации.
Симптомы агенезии мозолистого тела
- Прерывание начала его зарождения и развития;
- Порэнцефалия;
- Атрофия зрительных и слуховых нервов;
- Липомы различного характера;
- Шизэнцефалия;
- Локализация кист и новообразований в области соединения полушарий;
- Расщепление позвоночника;
- Дефекты органов зрения;
- Микроэнцефалия;
- Припадки;
- Синдром расщепления;
- Торможение психомоторного развития;
- Лицевой дизморфизм;
- Синдром Айкарди;
- Отклонения в развитии ЖКТ, наличие опухолей в нем;
- Лакунарные трансформации на глазном дне;
- Ранее половое созревание и так далее.
Симптомы агенезии мозолистого тела могут проявляться по-разному, так или иначе, выражаясь в интеллектуальной отсталости различного уровня, припадках эпилепсии, нарушениях двигательной физической активности, а также аномалиях формирования и роста внутренних органов человека. Часто болезнь проявляется совместно с синдромом Айкарди, редкостным генетическим недугом, характеризующимся особыми изменениями на электроэнцефалографии головы и аномалиями развития глаз. Существуют и костно-скелетные аномалии, и кожные поражения, связанные с агенезией.
Лечение
Лечение агенезии мозолистого тела сводится к минимизации серьезной симптоматики и ликвидации инфантильных спазмов. Терапия фактически мало действенна и до конца не разработана, поэтому применяются различные сильнодействующие препараты в максимальных курсах и дозировках. Лечение агенезии мозолистого тела находится в разработке, а сама болезнь до сих пор плотно изучается, да и диагностируется заболевание на стадии своего возникновения очень плохо, в связи с особенностями предлежания плода и отсутствием возможности ясной визуализации полостей и структур мозга эмбриона. Отсутствие мозолистого тела или его недоразвитость ведут к нарушениям неврологического развития ребенка. Но статистика зафиксировала ряд случаев, когда не было каких-либо других аномалий, при этом определялся нормальный кариотип. Длительность наблюдения в этом примере за детьми составляла от нескольких месяцев до одиннадцати лет.
Рекомендуем к прочтению
Хоть раз в жизни каждый человек чувствовал головокружение. Оно может возникнуть как у здоровых людей при переутомлении, так и у.
Арахноидальные кистозные образования в голове формируются между его поверхностью и паутинной, арахноидальной, оболочкой. Кисты обнаруживаю.
Головную и шейную боль, сопровождающуюся головокружением и тошнотой, возникающую на вторые или третьи сутки после люмбальной пункции, в ме.
Состояние, при котором нарушаются функции печени различной степени выраженности, называется печеночная энцефалопатия, симптомы которой сос.
16+ Сайт может содержать информацию, запрещенную для просмотра лицам до 16 лет. Информация на страницах сайте предоставлена исключительно в образовательных целях.
Не занимайтесь самолечением! Обязательно обращайтесь к врачу!
Источник: https://teamhelp.ru/nevrologiya/ageneziya-mozolistogo-tela.html
Мозолистое тело — валик, колено и ключ
Что это такое
Подобно химическим элементам, которые соединяются различными видами связей, левое и правое полушарие конечного мозга соединяются между собой мозолистым телом. Эта структура выступает связывающим мостом между двумя отделами мозга.
Мозолистое тело это структура, состоящая из скоплений нервных волокон – аксонов (до 300 миллионов), и располагается под корой полушарий. Это образование присуще только млекопитающим. Тело состоит из трех частей: задний отдел – валик, передний отдел – это колено, переходящее в дальнейшем в ключ; между валиком и коленом располагается ствол.
История открытия
Несмотря на активное изучение структур мозга в прошлом столетии, функции мозолистого тела долго оставались в тени от научного микроскопа исследователей. Пристальное внимание волокнистое образование получило от американского нейропсихолога Роджера Сперри, получившего в дальнейшем Нобелевскую премию за его изучение.
Ученый провел серию оперативных вмешательств на мозолистом теле: как всякий нейропсихолог, Сперри перерезал контакты, удалял структуру и наблюдал за работой мозга после операций. Он заметил закономерность: при удалении нейронной сети, соединяющей оба полушария, пациент, ранее страдавший эпилепсией, избавлялся от своего недуга. Исследователь сделал вывод: мозолистое тело активно участвует в эпилептическом процессе и распространении патологического возбуждения по разным отделам мозга. В 1981 году Роджер Сперри за результаты своих трудов удостоился престижнейшей международной премии в области физиологии и медицины.
Тем не менее, несмотря на подобные изучения, полный функциональный набор этой структуры все еще не открыт, и с его деятельностью связывают множество загадок в работе головного мозга, в том числе и развитие шизофренического процесса.
За что отвечает мозолистое тело
Обладая колоссальным количеством аксонов (структуры, отвечающие за передачу электрического импульса к нервным клеткам), мозолистое тело в буквальном смысле соединяет два полушария головного мозга. Его волокна связывают аналогичные участки коры (например: теменная кора левого полушария соединяется с таковой правого). Таким образом, волокнистое скопление отвечает за координацию и совместную работу обеих частей мозга. Исключением является височная кора, так как за ее соединение отвечает соседняя мозолистому телу структура – передняя спайка.
Мозолистое тело позволяет «делиться» информацией одному полушарию с другим: при проведении экспериментов на высших млекопитающих оказалось, что, перерезая зрительным тракт, corpus callosum передает информацию из зрительной коры левого полушария к правому.
К функциям этой структуры также относится поддержание интеллектуальной деятельности человека: осуществляя синтез информации двух отделов мозга, мозолистое тело обеспечивает более глубокое осмысление полученных извне данных. В поддержание этой позиции свидетельствует эксперимент (вся нейрофизиология базируется на экспериментальных данных): рассекая и извлекая скопление соединяющих нервных волокон, ученые заметили, что исследуемые обретают сложности в понимании письменной и устной речи.
К самым интересным и загадочным функциям относится единство сознания и эмоциональной реакции на раздражитель. При удалении мозолистого тела, люди, как правило, проявляли двоякое отношение к явлению или объекту (амбивалентность). То есть у них наблюдалось наличие двух диаметрально противоположных мыслей или эмоций одновременно, как-то: ненависть и любовь, страх и удовольствие, отвращение и заинтересованность. Подобный феномен наблюдается в психопатологии шизофрении, когда больные, сами того не осознавая, проявляли любовь и ненавистную вражду к чему-то. Речь идет не о поочередном проявлении противоположных чувств: эмоции располагаются на параллельных прямых и в одном отрезке времени.
Мозолистое тело у мужчин и женщин
Мужской и женский мозг развивается по-разному: начиная от внутриутробного формирования нервной трубки по половым признакам и заканчивая пожизненным действием гормонов. В последнее время часто можно услышать, что женский организм не отличается от мужского. Однако это неправда: нейрофизиология, психофизиология и нейропсихология предоставляет множество экспериментальных данных в пользу отличия мужского мозга и женского.
Это касается и мозолистого тела, а именно: количество нервных волокон, надлежащих структуре, больше у женщин, чем у мужчин. Данное исследование говорит в пользу того, что женский пол лучше оперирует речевыми понятиями. Обладая бо́льшим аппаратом обмена информации, женщина, таким образом, балансирует между полушариями, когда мужской мозг «специализируется» на одном из них. Тем не менее, в противоположность такому утверждению существует множество упреков.
Заболевания
Дисгенезия, она же – дисплазия мозолистого тела головного мозга – это врожденная патология нервной структуры, проявляющаяся в аномальном ее развитии отдельных участков и тканей. Заболевания является результатом дефекта некоторых хромосом. Болезнь сопровождается нарушением тканевого состава мозолистого тела и влечет за собой нарушение его функций.
Последствия дисгенезии мозолистого тела головного мозга проявляются в виде расстройств неврологической и психической сферы человека. К ним относится:
- замедление реакции на внешние раздражители;
- замедление развития интеллектуальных свойств психики;
- нарушение распознавания и понимания письменной речи;
- дислексия;
- затруднение и заторможенность в обработке световых сигналов головным мозгом.
Кроме этого, существует так же еще одна патология – отсутствие мозолистого тела головного мозга у новорожденного – агенезия.
Агенезия
Данная патология распространяется в среднем до 3% в популяции, что является довольно высоким показателем. Агенезия мозолистого тела – это болезнью, которая часто сопровождается с другими недугами. Врожденное отсутствие связывающей полушария структуры имеет свои симптомы:
- Hзамедление психологического и неврологического развития ребенка;
- лицевой дисморфизм – нарушение кровотока мимических мышц лица;
- патология желудочно-кишечного тракта, почек и наличие опухолей;
- чрезмерно быстрое половое развитие;
- эпилептические припадки;
- грубые нарушения развития внутренних органов;
- дефекты в развитии зрительной системы;
- болезни опорно-двигательного аппарата;H
Гипоплазия
Эта патология характеризуется неполным развитием тканей мозолистого тела. В отличие от предыдущего недуга, гипоплазия проявляется недоразвитием, а не полным отсутствием структуры. Гипоплазия мозолистого тела головного мозга у ребенка диагностируется врачами на протяжении первых месяцев жизни, потому что проявления болезни отличительны:
- спазмы неочевидного происхождения;
- эпилептические состояния (припадки, локальные судороги);
- слабый крик младенца;
- отсутствие или нарушение чувствительной сферы, то есть ребенок может не слышать, не видеть или не ощущать запахи;
- ослабления мышечной силы или ее отсутствие, следственно, атрофия или очень слабые мышцы.
Последствия гипоплазии мозолистого тела головного мозга недоброжелательны, и при отсутствии должной диагностики прогноз неблагоприятен. В 70% дети, с такой патологией, страдают серьезной умственной отсталостью.
Очаги
Мозолистое тело может страдать очагами демиелинизации – заболеванием, при котором разрушается внешняя оболочка аксона. Миелин играет крайне важную роль в работе мозга: благодаря ему скорость передачи электрического импульса по просторам серого вещества достигает сотни метров в секунду, без миелина же – до 5 м/с. Наличие очагов в тканях тела вызывает торможение хода нервного сигнала и, следовательно, ухудшается взаимосвязь между полушариями. Кроме собственно демиелинизации, возникновение очагов является предпосылкой к развитию рассеянного склероза.
Источник: https://sortmozg.com/structure/mozolistoe-telo-golovnogo-mozga-funktsii-i-zabolevaniya
Агенезия мозолистого тела у плода
Агенезия мозолистого тела у плода представляет собой врождённое заболевание головного мозга, которое формируется под действием генетически обусловленных факторов. Данное заболевание является внутриутробной патологией и встречается в очень редких случаях.
Мозолистое тело образуют нервные окончания, которые переплетают друг с другом. Функцией данного анатомического образования является соединение левого и правого полушария головного мозга. По своей форме мозолистое тело является широким и плоским, а располагается оно под корковым веществом мозга.
Формирование агенезии наблюдается при полном отсутствии спаек, которые соединяют оба полушария. С точки зрения частоты встречаемости, на агенезию мозолистого тела приходится не более 1 случая на 2000 новорожденных детей.
Причины
Наиболее вероятным фактором возникновения этой врожденной аномалии являются генетические дефекты, которые отражаются на развитии структур ЦНС. Существует два варианта течения агенезии. В первом случае у новорожденного ребенка не страдает двигательная и интеллектуальная активность, при этом нарушения отражаются на качестве и скорости передачи нервных импульсов от правого полушария к левому, и наоборот. Такие дети, по мере взросления, не способны определять, в какой руке находится тот или иной предмет. Кроме того, расстройства могут затрагивать речевую функцию.
Если говорить о втором варианте развития агенезии, то у таких детей наблюдаются серьезные пороки развития центральной нервной деятельности. Проявлениями данного варианта агенезии являются судорожные припадки, гидроцефалия, нарушение миграции нейронов, а также умственная отсталость.
Сроком формирования данной структуры у плода является период с 10 по 20 неделю гестации. По характеру течения в медицинской практике выделяют неправильное формирование мозолистого тела, его частичное или полное отсутствие. Несмотря на то, что истинная причина данного дефекта развития до сих пор не установлена, выделяют такие предрасполагающие факторы развития агенезии:
- Хромосомная перестройка;
- Запуск процесса неконтролируемой генной мутации;
- Наследственная предрасположенность;
- Стойкое нарушение метаболических процессов в организме будущей матери;
- Употребление алкоголя и табакокурение во время вынашивания ребенка;
- Недостаточное поступление жизненно важных компонентов в организм развивающегося плода;
- Токсическое поражение организма ребёнка, находящегося в утробе матери. Речь идёт о попадании в материнский организм некоторых лекарственных компонентов и других токсических веществ;
- Различные травмы, перенесенные будущей матерью во время беременности;
- Наличие инфекционно-воспалительного процесса в организме беременной женщины.
Симптомы
Клинические проявления агенезии, а также их интенсивность, находятся в тесной связи с уровнем недоразвитости мозолистого тела. После того как ребёнок появился на свет, у него могут развиваться такие клинические проявления агенезии мозолистого тела:
- Дефекты развития зрительного аппарата;
- Микроцефалия;
- Опухоли мозга;
- Атрофия нервов, ответственных за функциональное состояние органов зрения и слуха;
- Лицевой дисморфизм;
- Риск возникновения судорожных припадков;
- Патологии глазного дна;
- Раннее половое созревание;
- Патологии ЖКТ;
- Задержка психомоторного развития.
Кроме вышеописанных клинических проявлений агенезии, у детей с подобным диагнозом нередко возникает редкое генетическое заболевание под названием синдром Айкарди. Патология сопровождается зрительными нарушениями, а также функциональными расстройствами центральной нервной деятельности.
Наряду с данным патологическим состоянием развивается агенезия венозного протока у плода. Речь идет о так называемых сочетанных пороках развития ребёнка. У таких малышей могут развиваться такие пороки, как лицевые аномалии, диафрагмальные грыжи, агенезия почек и другие варианты аномалий.
Диагностика
Для достоверного выявления структурных аномалий развития у плода используются такие диагностические методики:
Получить достоверную информацию о тех или иных изменениях возможно только во второй половине беременности..
Диагностические трудности в отношении агенезии мозолистого тела обусловлены тем, что эта внутриутробная патология чаще всего сочетается с другими вариантами аномалий развития. Медицинскими специалистами нередко определяется агенезия червя мозжечка у плода. В клинической практике с одинаковой частотой встречается как частичная агенезия червя мозжечка у плода, так полное его отсутствие.
Лечение
Современная медицина не обладает эффективными методиками коррекции тех отклонений, которые возникают у ребёнка при диагностировании агенезии мозолистого тела. Лекарственная терапия данного состояния подбирается малышу в индивидуальном порядке, учитывая степень агенезии, а также наличие сопутствующих аномалий развития. С целью коррекции функциональных нарушений могут быть использованы такие группы лекарственных медикаментов:
- Гормональные противовоспалительные препараты, например, Преднизолон и Дексаметазон;
- Фенобарбитал и бензодиазепины;
- Нейропептидные средства, например, Церебролизини и ноотропы например, Пирацетам, Семакс;
- Диазепамовые препараты и нейролептики.
Кроме того, малышам с подобной аномалией развития назначают Мексидол, Диакарб и Аспаркам.
Кроме перечисленных консервативных методов лечения, некоторым детям назначают хирургическое вмешательство с целью стимуляции волокон блуждающего нерва. Эта процедура рекомендована тем детям, у которых наблюдаются стойкие функциональные расстройства в работе внутренних органов.
Беря во внимание тот факт, что агенезия мозолистого тела является потенциальной причиной структурно-функциональных отклонений в опорно-двигательном аппарате, у таких детей очень часто развивается S-образный сколиоз. Именно поэтому медицинские специалисты рекомендуют малышам регулярное выполнение лечебной физкультуры и сеансы аппаратной физиотерапии.
Перед выполнением каких либо рекомендаций с этого сайта обязательна консультация с врачом!
Источник: https://1ivf.info/ru/other/ageneziya-mozolistogo-tela-u-ploda
Редкое заболевание гипоплазия мозолистого тела, приговор или нет?
В чем причина?
- двигательная активность;
- проявления чувств;
- познавательные процессы.
Красным выделено мозолистое тело
- употребляют алкогольные напитки во время беременности;
- переболели краснухой, во время беременности, ровно как токсоплазмозом или тяжелыми формами гриппа;
- подвергались радиационному облучению;
- были подвержены общей интоксикацией организма.
Как распознать?
- инфантильные спазмы;
- судороги;
- эпилептические припадки;
- ослабевание крика;
- нарушение осязания, обоняния и зрения;
- снижение коммуникативных навыков;
- проявления, связанные с мышечной гипотонией.
- нарушение зрительной или слуховой памяти;
- гипотермия;
- проблемы с координацией движения.
Как проходит диагностика в больничных условиях
- магнитно-резонансная терапия (МРТ);
- электроэнцефалограмма головы (ЭЭГ);
- другие исследования неврологического характера.
Особенности лечения
Советы родителям
- Обращайте внимание на общее состояние младенца, если он устал или не проявляет интереса к занятиям или общению, дайте ему время передохнуть, он сам даст понять когда можно возобновить процедуру.
- Носите ребенка в позе «самолет», данное упражнение оказывает укрепляющее воздействие на организм, главное, не переусердствовать.
- Выкладывайте малыша себе на грудь, лицом к лицу, таким образом, чтобы его руки были под грудью, рукой гладьте его от головы к попке – данная процедура поможет ему перенести вес от головы к тазу, можно также класть его на кровать, а под живот свернутый валик из полотенца.
- Если малыш произносит звуки, копируйте их и повторяйте за ним, с той же интонацией, старайтесь выдерживать небольшие паузы, это будет стимулировать его к повторению.
- Во время игр с погремушкой дайте ребенку зафиксировать на ней взгляд, и, медленно водите из стороны в сторону, побуждая его следить за игрушкой. При потере ее из виду, легонько погремите, привлекая внимание и, продолжите процедуру. Если ребенок потерял интерес, не наседайте, дайте передохнуть.
Похожие статьи
Дисгенезия мозолистого тела: диагностика, лечение и последствия
Мозолистое тело представляет собой крепкую спайку огромных полушарий, локализованных в головном мозге. Редкой, но сложной патологией считается гипоплазия или дисгенезия мозолистого тела, которая воздействует на работу данного органа. Причины развития такой патологии могут быть различными, а эффективность проводимой терапии зависит от сложности патологии и появившихся симптомов.
Причины развития патологии
Мозолистое тело – это сплетение нервных волокон в головном мозге, соединяющее левое и правое полушария
Мозолистое тело либо большая комиссура является своеобразным скоплением нервных волокон, локализующихся в головном мозге. Они соединяют оба полушария, из которых и состоит орган.
Кроме этого, мозолистое тело отвечает за их скоординированную работу мозга, а также поддерживает процессы передачи и получения импульсов от различных полушарий. Большая комиссура связывает серое вещество, находящееся в полушариях головного мозга.
Мозолистое тело является довольно плотной по консистенции структурой, которая окрашена в белый цвет. Оно имеет вид вытянутой структуры, длина которой определяется полом пациента и его возрастом. Областью локализации большой комиссуры служит продольная щель человеческого мозга.
Зоной локализации мозолистого тела служит область, находящаяся между двумя полушариями мозга. Оно служит своеобразным проводником нейронов, и за счет его в организме человека поддерживаются следующие жизненно важные процессы:
- выражение чувств
- активные движения
- процессы познавательной деятельности
Не совсем верным служит утверждение, что при дисплазии мозолистого тела возникает резкое ограничение таких процессов. Такое состояния наблюдается лишь при осложненной форме заболевания, и наличие у пациента таких отклонений можно будет заметить невооруженным глазом.
Причина развития гипоплазии мозолистого тела еще до конца не изучена.
В то же время, большинство специалистов утверждают, что она заключается в генетических сбоях. Опасным периодом, когда имеют место такие отклонения во время внутриутробного развития плода, является первый месяц беременности.
Кроме этого, существует мнение, что причиной гипоплазии могут становиться мутации, которые воздействуют на процесс формирования мозга. В группу риска специалисты относят женщин, которые:
- распивали спиртные напитки при беременности
- подверглись радиационному облучению
- перенесли в период беременности такие патологии, как краснуха, токсоплазмоз или осложненные формы гриппа
- подверглись воздействию токсинов на организм
Дисгенезия мозолистого тела считается не распространенной и довольно сложной патологией, которая диагностируется у каждого 10-тысячного новорожденного.
Признаки и опасность забоелвания
Патология сопровождается нарушением состава и функций мозолистого тела
Гипоплазия мозолистого тела у грудничков определяется преимущественно в течение первых нескольких месяцев после рождения, но в большинстве случаях это удается сделать во время внутриутробного развития плода.
В ситуации, когда до появления ребенка на свет специалисты не сумели выявить патологию, в течение первых нескольких лет младенец не будет иметь каких-либо видимых отклонений в развитии.
Лишь спустя несколько лет родители смогут заметить у их малыша следующие отклонения в развитии:
- проблемы с органами зрения
- отклонения в обонянии и осязании
- слабый крик
- инфантильность спазм
- припадки эпилепсии
- проблемы с коммуникативным общением
- судорожный синдром
- проявления, спровоцированные мышечной гипотонией
В том случае, если по каким-либо причинам не удалось диагностировать гипоплазию мозолистого тела в детском возрасте, то она обязательно проявится у взрослых людей. Обычно возникают такие симптомы, как гипотермия, нарушение координации движений и проблемы со зрительной и слуховой памятью. Кроме этого, часто диагностируется нарушение интеллекта, проблемы с физическим развитием и различные неврологические расстройства.
Больше и информации о строении и функциях головного мозга можно узнать из видео:
Дисплазия мозолистого тела мозга является болезнью, которая чаще всего диагностируется в период внутриутробного развития плода. В том случае, если этого не удается сделать, то при отсутствии эффективной медицинской помощи в дальнейшем наблюдается появление различных проблем в области неврологии.
Медицинская практика показывает, что у большинства пациентов с такой патологией отмечается среднее и тяжелое нарушение интеллектуального развития в сочетании с задержкой умственного и физического развития. Кроме этого, у большей половины пациентов с гипоплазией мозолистого тела мозга выявляется такое последствие болезни, как умственная отсталость. При не оказании эффективной помощи больному с таким диагнозом возможно развитие более серьезных нарушений психического плана и шизофрении.
Методы диагностики
Чаще всего патологию выявляют при беременности на УЗИ
Вместе с гипоплазией мозолистого тела у ребенка может выявляться большое количество различных патологий, поэтому не исключено появление дополнительной симптоматики. В большинстве случаях такую патологию удается определить в период внутриутробного развития плода с помощью УЗИ.
Для того, чтобы получить развернутую клиническую картину либо при посещении родителями специалиста могут назначаться дополнительные исследования. Проводится опрос, изучается анамнез пациента и уточняется наличие симптомов, которые свойственны для такой патологии.
Для постановки правильного и точного диагноза может назначаться:
На основе результатов полученных исследований специалист делает вывод о наличии либо отсутствии патологии, и при необходимости подбирает необходимое лечение.
Способы терапии
На сегодняшний день не существует эффективного лечения, с помощью которого удалось бы вылечить заболевание. Врачи преимущественно борются с симптоматикой дисплазии мозолистого тела, и пациенты с таким диагнозом нуждаются в постоянной терапии и поддерживающем лечении.
План лечения подбирает врач индивидуально в зависимости от тяжести поражения мозолистого тела и симптоматики заболевания. Медицинская практика показывает, что часто наблюдается неблагоприятный исход. У детей с таким диагнозом высока вероятность развития различных психических нарушений и шизофрении.
Способы и методы лечения зависят от тяжести патологии
Лечение патологии проводится с помощью терапевтического вмешательства, которое можно условно разделить на несколько групп:
- симптоматическое воздействие на пациента
- назначение заместительных и консервативных вариантов лечения хронической недостаточности почек
В том случае, если выявляется аномалия структурного и анатомического характера, то прибегают к проведению хирургического вмешательства. Медицинская практика показывает, что если правильно и профессионально провести операцию, то эффект терапии будет положительным.
Чаще всего к проведению операции прибегают в том случае, когда появляются опасные осложнения в жизненно важных органах человека, имеющих непосредственное отношение к мозолистому телу. Важную роль играет и тот факт, насколько вовремя было проведено хирургическое вмешательство.
Советы родителям
При постановке такого диагноза, как гипоплазия головного мозга, малышу понадобиться помощь и поддержка родителей. В домашних условиях можно воспользоваться следующими рекомендациями:
- контролировать состояние ребенка и в том случае, если он устал, позволить ему немного передохнуть, после чего продолжить занятие
- носить малыша в позе самолета, которая оказывает укрепляющее действие на детский организм
- выкладывать ребенка лицом к лицу себе на грудь и гладить его от головы к попке, что позволит перенести вес от головы к тазу
- при произнесении ребенком звуков следует обязательно их повторять с такой же интонацией, выдерживая небольшие паузы
- при играх с погремушкой нужно дать ребенку возможность зафиксировать на ней взгляд, не спеша водить ее из стороны в сторону
Гипоплазия мозолистого тела является серьезной патологией, которая часто сопровождается развитием сопутствующих патологий. Родителям необходимо набраться терпения и обязательно настроиться на благоприятный исход.
Все про мозолистое тело: функции, анатомия и заболевания
Что такое мозолистое тело: общая информация
Оно объединяет между собой две части, формирующие головной мозг — правое и левое полушария. Также мозолистое тело координирует их стабильную работу, обеспечивает слаженность передачи и получения сигналов от каждого из полушарий. Кроме того, мозолистое тело объединяет серое вещество каждого из полушарий мозга.
Открытие этого участка мозга произошло более 50 лет назад в ходе поисков путей лечения сложного заболевания — эпилепсии и сопутствующих ей проблем. Дальнейшие исследования показали, что мозолистое тело отвечает за целый ряд поведенческих реакций, обуславливает половой диморфизм (различия между людьми) и отвечает за некоторые способности и возможности, которыми обладает человек.
Анатомия и функции
- ствол (или срединный мозговой отдел);
- колено (отдел головного мозга, располагающийся в передней части);
- клюв или валик мозолистого тела (задний отдел).
- передача важной для функционирования организма информации (импульсами) из одного полушария в другое;
- формирование основных характеристик, определяющих личность и ее особенности;
- основные (базовые, определяющие) навыки и возможность их применения в течение жизни человеком;
- работа по формированию эмоционально – личностной сферы.
Большая комиссура под ударом…
- расстройства различного характера и интенсивности, проявляющиеся в эмоционально – личностной и когнитивной сферах;
- физиологические проблемы в работе конечностей;
- проблемы с глазными яблоками и зрением в целом.
Агенезия: главные причины, симптоматика, лечение
Формирование МТ без патологии начинается в период 10-20 недели беременности – именно тогда фиксируется начало дифференциации ткани.
Провоцирующие факторы и симптоматика
- наследственность (в 70% случаев, если в семье уже были проблемы подобного характера, то они повторятся у будущих поколений);
- генетические (в том числе и хромосомные) изменения и мутации;
- перестройка хромосом (в период формирования плода);
- развитие инфекций, вызванных вирусом, протекающие в период беременности (внутриутробно, особенно опасны на ранних сроках);
- травмы;
- попадание веществ с токсическим (ядовитым) воздействием на организм или формирующийся плод (в том числе, воздействие алкоголя);
- последствия приема медикаментов (побочные эффекты или осложнения);
- нарушение течения беременности (дефицит питательных веществ у плода в период развития);
- нарушение обменных процессов в организме беременной.
- гидроцефалия;
- нарушения в развитии и функционировании зрительных и слуховых нервов;
- появление доброкачественных кист и других видов опухолей в мозге;
- недостаточно сформированные, для выполнения заложенных функций, мозговые извилины;
- раннее половое созревание;
- развитие липом;
- разнообразные проблемы и нарушения в работе органов ЖКТ (разной природы и интенсивности);
- нарушение психомоторики;
- проблемы с поведением (особенно остро выражается в детском возрасте);
- диагностика умственной отсталости в легкой степени (выявляется в детском возрасте);
- нарушение координации движений;
- низкий тонус мышц;
- нарушения развития мышц и костей скелета.
Комплекс мер
Дисплазия и гипоплазия — неправильное или недоразвитие МТ
Причины и клиника патологии
- наличие вредных привычек у беременной (курение, прием наркотических препаратов или алкоголя);
- интоксикация;
- облучение радиацией (ионизирующей);
- последствия сложных и серьезных заболеваний – краснухи (перенесенной во взрослом возрасте или в период беременности особенно), гриппа, токсоплазмоза.
Особое внимание необходимо проявлять на ранних сроках (1-2 триместры) беременности – в период формирования структур головного мозга.
Симптомы болезни:
- уменьшение объемов головного мозга относительно обычных показателей (основной симптом);
- изменение обычной структуры мозговых извилин и некоторых структур (извилины плоские);
- недостаточное для нормального функционирования развитие височных и лобных долей мозга у человека;
- уменьшение в размерах пирамид – элементов продолговатого мозга (развивается пирамидный синдром);
- нарушения и сбои выявленные в работе мозжечка;
- нарушения функций ствола (отдела головного мозга);
- в большинстве случаев отмечается нарушение интеллекта;
- нарушения физического развития;
- неврологические расстройства и характерные нарушения;
- патологии зрительного бугра.
Состояние современной медицины
Последствия гипоплазии
Последствия дисгенезии
В сухом, но важном остатке
Читайте ещё