Гиперэхогенные включения в матке что это такое

Гиперэхогенные включения в матке что это такое[Гиперэхогенные включения в матке что это такое]

Гиперэхогенные включения в матке что это такое

Образование, называемое гиперэхогенным — это не что иное, как любая область ткани или органа с повышенной для проникновения волн УЗИ плотностью. Часто ее роль выполняет костное образование, камень, жир или кальцинированный участок. На снимке УЗИ гиперэхогенная область представлена светлым пятном (если сравнивать с иными тканями). Следует понимать, что ее наличие – это только наблюдение врача-узиста, но не приговор.

Патологии желчного пузыря

Выявленная в указанном органе гиперэхогенная взвесь представляет собой:

  • Камни. Светлый участок расположен в просвете пузыря, дает акустическую тень. Меняет положение, если пациент поворачивается или дышит полной грудью, однако встречаются и фиксированные скопления.
  • Холестериновый нарост. Полип диаметром от 2 до 4 мм с широким основанием и ровными границами. Растет из стенки желчного пузыря.
  • Сладж-синдром. Желчный осадок скапливается на дне пузыря, имеет вязкую консистенцию. Акустической тени не отбрасывает, при движении пациента меняет свои формы. Иногда по показаниям требуется провести УЗИ желчного пузыря.

При обнаружении у исследуемого сладж-синдрома иногда назначают прием желчегонных препаратов. Это оправдано в случаях, когда желчный секрет настолько вязок, что по своей структуре похож на печень. После медикаментозной терапии необходимо провести повторное исследование, чтобы исключить либо подтвердить ранее обнаруженное гиперэхогенное образование в желчном пузыре.

Обследование матки

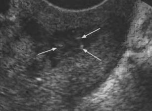
В полости матки также имеет место быть включение, эхо-плотность которого повышена. Желательно проводить исследование на 5-10 день цикла, поскольку роль гиперэхогенных структур могут выполнять полипы или сгустки крови, оставшиеся после менструации.

Когда в мышечном слое матки обнаруживается структура с высокой эхо-плотностью, следует исключить возможную миому или опухоль органа, надо провести УЗИ матки. Характерными симптомами первой являются увеличение матки в размерах и деформация ее формы. Похожая клиническая картина наблюдается и в случае липомы органа.

Наличие у пациентки полости матки с гиперэхогенными включениями говорит о следующем:

  • В матке присутствует средство внутриматочной контрацепции. Контуры четкие, форма разнообразна.
  • Пациентка страдает хроническим эндометритом. Полость матки увеличена, характерна неоднородная структура миометрия, диаметр образований до 2 мм, форма и величина варьируются.
  • О замещении доброкачественных образований жировыми клетками.
  • Об отложении солей кальция в миоматозном узле.
  • О наличии железисто-кистозной гиперплазии и иных опухолях внутреннего слоя стенок органа.

Причиной возникновения гиперэхогенного образования в мышечном слое матки вполне могут стать сахарный диабет у пациенток в менопаузе, а также выскабливание эндометрия. В последнем варианте предполагается либо рубцевание стенок органа, либо наличие некоторых фрагментов плодного яйца.

Исследование грудной железы

Когда в молочной железе выявляется образование с повышенной для ультразвуковых волн плотностью, задача специалиста – исключить следующие патологии:

  • Дисгормональные гиперплазии (доброкачественные разрастания тканей). Гиперэхогенное включение отбрасывает акустическую тень.
  • Узловой мастит в процессе отторжения воспаленных участков.
  • Скопление солей кальция.
  • Фиброз как следствие запущенного воспалительного процесса в ткани железы.

В последнем случае немалую роль играет положение пациентки во время обследования – стоячее или лежачее, читайте как делают УЗИ молочных желез.

Патологии мочевого пузыря

Нередки ситуации, когда гиперэхогенный фокус обнаруживается в указанном органе. В этом случае можно смело говорить о наличии в полости мочевого пузыря камня, который отбрасывает акустическую тень и перемещается при двигательной активности пациента. Врач-сонолог обязательно упомянет этот факт в заключении УЗИ.

Однако увеличенная эхогенность также характерна для шистосомоза (паразитарное заболевание) и некоторых разновидностей опухолей, которые могут быть обнаружены при УЗИ мочевого пузыря. Хотя в отличие от камней, указанные патологии тень не отбрасывают и имеют постоянное место локализации.

Изменения структуры почек

Гиперэхогенные включения в почках классифицируют на:

  • Крупные, отбрасывающие акустическую тень (камни и иные конкременты). Лечение консервативное, с использованием медикаментов, специальной диеты. Показано санаторно-курортное времяпрепровождение.
  • Крупные, равномерной плотности, без тени (гемангиомы, фибромы и иные доброкачественные опухоли). Лечение оперативное с последующим исследованием материала.
  • Яркие точечные гиперэхогенные включения, которые не отбрасывают тень (почечный песок, небольшие камни, псаммозные тела).

Если были выявлены гиперэхогенные включения в почках, необходимо задуматься о возможном наличии:

  • Нефролитиаза (почечнокаменной болезни).
  • Отложений солей кальция.
  • Областей рубцовой ткани.
  • Некоторых разновидностей опухолей.

Для проведения точной диагностики и получения максимально подробных результатов стоит заранее ознакомиться с правильной подготовкой к процедуре УЗИ.

Деформация структуры щитовидной железы

Щитовидная железа не меньше других органов подвержена возникновению гиперэхогенной структуры. В случае ее обнаружения следует провести диагностику на предмет следующих патологий:

  • Аденома (доброкачественное образование).
  • Сгустки солей кальция в опухолях или узлах.
  • Папиллярный рак. Актуально, если пациент адекватно подошел к вопросу подготовки к процедуре.

Бывают ситуации, когда за гиперэхогенное образование по ошибке принимают хрящевые кольца трахеи, поэтому нужно хорошо подготовиться к УЗИ щитовидной железы.

Исследование ткани яичника

Если врач-сонолог диагностирует при УЗИ яичника гиперваскулярное образование, стоит исключить возможные патологии:

  • Скопление солей кальция.
  • Опухолевидные образования, содержащие кости, волосы, жир (тератома или дермоидная киста).
  • Некоторые вариации злокачественных образований.

Как и в случае с другими органами, заключение УЗИ не является диагнозом. Для уточнения состояния пациентки необходима консультация врача-гинеколога.

Деформация структуры печени

Когда в печеночной структуре выявляют высокоплотное образование, зачастую приходится говорить о гемангиомах (доброкачественные опухоли, возникшие из сосудистой ткани). Если этот вариант исключен, следует подтвердить или опровергнуть второй по вероятности диагноз – карцинома (рак печени).

При грамотной подготовке УЗИ печени, можно выявить метастазы иной злокачественной опухоли в ткань печени.

Обратите внимание: включение с повышенной акустической плотностью может наблюдаться в любом органе или ткани. Важно помнить, что заключение УЗИ не является окончательным диагнозом и всегда требует гистологического подтверждения и дальнейших консультаций специалиста.

uzikab.ru

Гиперэхогенное образование в печени

Очень часто на ультразвуковом исследовании опухоль проявляется как гиперэхогенное образование. В печени оно может указывать на раковые поражения или метастазирование из других органов. После такого заключения УЗД, пациента направляют на гистологическую верификацию.

Гиперэхогенность в печени чаще всего указывает на гемангиому. Величина данного новообразования зависит от его разновидности. Капиллярные поражения около 3 см, а кавернозные могут превышать 20 см. Согласно медицинской статистике с данной проблемой чаще сталкиваются женщины. При этом ее точные причины неизвестны, но ученные связывают появление уплотнений с гормональным фоном. Также, известен ряд случаев, когда опухоли выявляли у пациентов детского возраста. Это может указывать на генетическую предрасположенность.

Признаки образования в печени могут и не проявляться. Если оно быстро разрастается, то симптомы становятся ярко выраженными. Больной жалуется на приступы тошноты и рвоты, боли в боку. Лечение зависит от размеров опухоли. Если она меньше 5 см, то показано только врачебное наблюдение. Но если уплотнение мешает нормальной работе соседних органов или его размеры больше 5 см, то проводится хирургическая операция.

Гиперэхогенное образование в почке

Во время ультразвукового исследования надпочечников и почек в них могут быть выявлены участки ткани с высокой акустической плотностью и измененной внутренней структурой. Гиперэхогенное образование в почке – это бесклеточные микроструктуры, представленные скоплениями кальцификатов, белково-липидными отложениями или фиброзно-склеротическими участками. На экране аппарата УЗИ такой участок выглядит более светлым в сравнении с остальными почечными тканями.

Виды эхопозитивных включений в почке:

Объемные образования с акустической тенью – наблюдаются при крупных камнях и макрокальцификатах, склеротизированных участках из-за длительного воспалительного процесса. Новообразование без акустической тени – в большинстве случаев указывает на атеросклеротические изменения сосудов, песок, кистозные полости, доброкачественные или злокачественные опухоли, мелкие конкременты или жировую клетчатку почечного синуса. Яркие точечные включения без акустической тени – свидетельствуют о наличии псаммомных телец или микрокальцификатов. Наблюдаются при злокачественных и диффузно-склерозирующих опухолях.

На УЗИ могут встречаться комбинированные варианты вышеописанных уплотнений в различных комбинациях. Появление таких тканей может указывать на почечнокаменную болезнь, кровоизлияния, кистообразные выросты, рубцы, онкологические опухоли, воспалительные процессы.

После ультразвукового исследования пациента направляют на дополнительную диагностику для уточнения диагноза. Проводится комплекс лабораторных исследований крови на онкомаркеры, мочи, рентгенография и МРТ. Если патология имеет сложный характер, то показана биопсия. Лечение полностью зависит от вида уплотнения. Если это камни, то больному назначают мочегонные препараты. Доброкачественные новообразования и кисты удаляют с помощью частичного иссечения. При злокачественных опухолях показано полное удаление почки и длительный курс химиотерапии.

Гиперэхогенное образование в желчном пузыре

Участок органа или ткани с высокой плотностью для ультразвуковых волн – это гиперэхогенное образование. В желчном пузыре такое уплотнение может указывать на:

Камни – плотные фокусы в просвете пузыря с акустической тенью. Образование подвижно при глубоком дыхании или любых движениях, но встречаются и фиксированные конкременты. Желчный сладж – это скопление осадка желчи на дне органа. Она имеет высокую эхогенность и не дает акустической тени, может менять форму при движениях тела. В некоторых случаях желчь может быть настолько вязкой, что по своей структуре становится схожей с печенью. Больному назначают дополнительные исследования желчного и прием желчегонных препаратов. Холестериновый полип – новообразование, произрастающее из стенок органа с высокой плотностью. Имеет небольшой диаметр около 2-4 мм, широкое основание и ровный контур.

Кроме вышеописанных причин, уплотнение может быть злокачественным или указывать на метастазы из других органов.

Гиперэхогенное образование щитовидной железы

Плохая экологическая обстановка, ионизирующее излучение, эндокринные заболевания, дефицит йода в организме и ряд других факторов могут вызвать гиперэхогенное образование щитовидной железы. В большинстве случаев уплотнение представляет собой узелок, который может разрастаться и делиться. Иногда даже повышенные стрессовые ситуации и наследственность провоцируют эхопозитивные включения.

Ткани щитовидки с повышенность плотностью могут быть связаны с такими состояниями: аденома железы, кальцинаты, папиллярный рак без инкапсуляции, хрящевые кольца трахеи и другое. Эхогенность не всегда проявляется на ранних этапах. Чаще всего патология дает о себе знать тогда, когда уплотнение достигает больших размеров.

Признаки тканей с высокой акустической плотность:

Повышенная слабость и постоянное чувство сонливости. Проблемы с желудочно-кишечным трактом. Приливы холода и жары. Ухудшение состояния волос и ногтей. Резкие изменения веса. Раздражительность и частые смены настроения.

Разрастание узловых образований сопровождается увеличением железы, постоянной отдышкой и затрудненным дыханием. Нарушается голос, появляются хрипы и боли при глотании, дискомфорт в горле.

Для уточнения причин новообразования и его вида, пациенту назначают комплекс всесторонних исследований. Кроме УЗИ необходимо сдать анализ на гормоны, общий анализ крови, рентген грудной клетки и многое другое. Если есть подозрения на онкологию, то показана тонкоигольная биопсия.

Лечение зависит от течения болезни, количества уплотнений, их размеров и особенностей организма больного. Если это единичный узелок менее 1 см, то назначается регулярное наблюдение у врача. Если узел доставляет дискомфорт, то для его лечения применяют различные методики подавления активности щитовидки. Это может быть лазерная деструкция, применение радиоактивного йода, этаноловая склеротерапия и другое. Хирургическое вмешательство возможно в том случае, если опухоль имеет большие размеры, вызывает болезненные ощущения и мешает дышать.

Гиперэхогенное образование в матке

Если во время ультразвукового исследования у женщины было выявлено гиперэхогенное образование в матке, то это может указывать на такие состояния:

В середине менструального цикла центральная часть тканей эндометрия становится гиперэхогенной с темным ободком. Во время месячных «ободок» светлеет и увеличивается в толщине. Уплотнение может указывать на образование в полости органа, к примеру, на полипы или миому, но не на беременность. После аборта в матке могут оставаться скелеты плода, которые кальцинируются и определяются как гиперэхогенность. Очень часто у таких женщин диагностируют вторичное бесплодие, а менструации очень обильные. При хроническом эндометрите или после хирургического выскабливания на УЗИ видны уплотнения акустического типа и пузырьки воздуха. Запущенная миома матки – это еще одна возможная причина ткани с высокой плотностью для ультразвуковых волн. В миоме могут быть кальцинаты с дистальной тенью. Если новообразование множественно, то нарушается нормальный контур и смещается полость органа. Кальцифицированные участки указывают на миоматозные узлы в маточной полости. Такое возможно после внутриматочных хирургических вмешательств или недавней родовой деятельности.

Для выявления каждого из вышеописанных состояний, пациентке назначают комплекс дополнительных исследований. После чего может быть назначено лечение или наблюдение у врача.

Гиперэхогенное образование шейки матки

Участок с усиленной плотностью, то есть гиперэхогенное образование шейки матки может быть полипом или сгустком крови, не вышедшим после менструации. Для дифференциации данных состояний проводится ультразвуковое исследование на 5-10 день цикла. Если эхопозитивные структуры выявлены в мышечных тканях органа, то это может выступать признаком миомы, липомы или опухоли. В этом случае матка увеличивается в размерах и меняет свои контуры.

Фокусы повышенной акустической плотности в толще миометрия наблюдаются у женщин с сахарным диабетом в период менопаузы или после выскабливания эндометрия. В последнем случае, светлые участки на УЗИ указывают на рубцевание стенок органа или остатки плодного яйца.

Гиперэхогенное образование молочной железы

С проблемой опухолевых поражений груди может столкнуться каждая женщина. Гиперэхогенное образование молочной железы требует дополнительных исследований, так как может выступать признаком серьезных патологий. Эхоструктура опухоли бывает разной и зависит от ряда факторов: кальцинаты, фиброз, участки омертвения.

Молочная железа состоит из стромы и паренхимы. Последняя состоит из протоков и ацинусов. Строма поддерживает грудь, то есть выступает соединительной тканью, которая связывает жировую ткань и паренхиму. Наличие включений в данных тканях чаще всего связано с такими заболеваниями:

Карцинома – имеет нечеткие контуры, акустическую тень и неравномерную структуру. Кистозное образование – уплотненный участок с правильными и четкими контурами. Атипичное кистозное образование – имеет толстые стенки, которые на УЗИ выглядят ярким пятном с сильным разрастанием внутри.

Особое внимание дополнительным диагностическим исследованиям необходимо уделить в том случае, если уплотнение сопровождается такими симптомами: боли в груди не связанные с менструальным циклом, травмы, изменение плотности или втяжение соска, асимметрия, увеличение подмышечных лимфоузлов. В некоторых случаях эхопозитивные включения связаны со злокачественными заболеваниями.

Гиперэхогенное образование в мочевом пузыре

Во время ультразвукового исследования органов малого таза может быть выявлено гиперэхогенное образование в мочевом пузыре. Данное явление чаще всего связано с конкрементами или пристеночными полипами. Полипы менее эхогенны, но могут достигать 8-10 мм. Камни имеют большую плотность и акустическую тень, их размеры варьируются от множественных мелких включений, до больших образований. Для дифференциации данных состояний пациента просят менять свое положение. Полипы остаются на месте, в том время как камни подвижны.

Особое внимание необходимо обратить на структуры мочевого пузыря, которые сопровождаются такими симптомами:

Частые позывы к мочеиспусканию. Болезненные мочеиспускания. Примеси крови и осадка в моче. Задержка мочи. Резкие болезненные ощущения внизу живота.

При наличии вышеописанной симптоматики необходимо провести дополнительные исследования, по результатам которых пройти адекватную терапию.

Гиперэхогенное образование в яичнике

Если во время ультразвуковой диагностики была выявлена область с высокой плотностью, которая не позволяет проходить УЗ волнам, то это указывает на гиперэхогенное образование. В яичнике оно встречается также часто, как в матке или других органах.

Уплотнение может быть отложением солей кальция, доброкачественной или злокачественной опухолью. В любом случае оно требует регулярного наблюдения. Если в процессе динамического мониторинга наблюдается увеличение новообразования, то пациентке назначают ряд дополнительных исследований, одно из которых анализ крови на онкомаркер СА 125 и консультация онколога.

Эхо-плотность в яичнике может указывать на дермоидную кисту, в состав которой входят элементы костей, жира и волос. В этом случае показано хирургическое вмешательство и удаление подобного включения.

Гиперэхогенное образование в сердце

Повышенная яркость определенного участка сердечной мышцы на ультразвуковом исследовании – это гиперэхогенное образование. В сердце его очень часто диагностируют у будущего ребенка на 32-34 неделе беременности. Фокус повышенной плотности не является пороком развития, а просто отображает характер УЗД. Данное явление может указывать на отложение солей кальция в одной из мышц органа, что никак не влияет на его работу.

Эхопозитивные уплотнения требуют наблюдения, так как в динамике УЗИ могут исчезать. В некоторых случаях включение указывает на хромосомные заболевания, к примеру, синдром Дауна. Но данный маркер относится к малым маркерам данного синдрома, поэтому его наличие очень редко подтверждает болезнь и не требует дополнительных исследований.

Гиперэхогенное образование в простате

Основная причина гиперэхогенного образования в простате – это воспалительные поражения железы. Если во время ультразвукового исследования были выявлены включения с высокой плотностью, то это повод сдать дополнительные анализы. Прежде всего, это бактериологический посев секрета простаты, мазок из уретры на инфекции.

Яркие светлые включения простаты на мониторе УЗ аппарата могут указывать на новообразования из фосфора и кальция. Их размер находится в пределах 2-20 мм. Кальцинаты предстательной железы характеризуются особой формой. Камни могут указывать на доброкачественную гиперплазию или хронический простатит. В большинстве случаев ткани с высокой плотностью выявляют у мужчин старше 50 лет.

Кальцинаты в предстательной железы связаны со многими факторами, рассмотрим их:

Отсутствие полноценных половых отношений в течение длительного периода времени. Сидячая работа и малоподвижный образ жизни. Гиподинамия. Частые запоры. Хронические инфекционные поражения организма. Неправильное питание с преобладанием жирной пищи. Регулярные переохлаждения организма.

Гиперэхогенность данной природы не требует лечения и не сопровождается болезненной симптоматикой. Основное противопоказание при отложении кальциевых солей в простате – это массаж данного органа. Это связано с высоким риском травмы и застоя простатического секрета. Если кальцинаты возникли на фоне хронического простита, по проводится хирургическая операция.

Гиперэхогенное образование в поджелудочной железе

Во время ультразвукового исследования внутренних органов, особое внимание уделяется их эхогенности. Она позволяет оценить плотность и состояние исследуемых органов. Гиперэхогенное образование в поджелудочной железе указывает на сбои в работе органа. Эхоструктуры могут быть связаны с воспалительными процессами. Поджелудочная железа отвечает за процессы пищеварения и обмена веществ. Она обладает эндокринными и экзокринными функциями, осуществляет внешне и внутрисекреторную деятельность. Изменение состояния ее тканей может вызвать серьезные нарушения в организме.

Основные причины эхопозитивности поджелудочной железы:

Панкреатит Опухолевые новообразования Повышенное газообразование Кальцификация тканей Некротические изменения тканей паренхимы Фиброзные и фибрознокистозные изменения Сахарный диабет Липоматоз

Уплотнения могут возникать из-за реактивного воспаления при многих инфекционных заболеваниях, из-за употребляемой пищи или смены образа жизни. В этом случае наблюдается умеренная эхогенность. Локальное повышение эхогенности чаще всего связано с кальцификатами, псевдокистами (жидкостные образования, возникающие из-за панкреатита), метастатическими опухолями и фиброзными участками.

Лечение полностью зависит от причины патологического состояния и общего самочувствия. Если высокая акустическая плотность тканей связана с острым панкреатитом, то больному назначают препараты для снижения выработки соленой кислоты в ЖКТ и угнетения ферментативной активности поджелудочной. При липоматозе показана диета с пониженным количеством животных жиров. Если появление включений связано с камнями в протоках, фиброзом или кальцинатами, то назначается диета и рассматривается вопрос хирургического вмешательства.

Гиперэхогенные образования в селезенке

Если во время ультразвукового исследования были выявлены мелкие гиперэхогенные образования в селезенке, то в большинстве случаев – это кальцинаты. Более крупные включения, треугольной формы и с четкими контурами – это селезеночные инфаркты и застарелые травмы. Ни первые, ни вторые не требуют лечения.

Если образования имеют неоднородную структуру, нечеткие границы и акустическую тень, то это указывает на абсцессы и метастазы злокачественных опухолей. Селезенка очень часто страдает от метастазирования из других органов. На УЗИ метастазы выглядит яркими включениями с неравномерным контуром. Ткани с высокой плотностью могут указывать и на доброкачественные поражения: липома, гемангиома.

Гиперэхогенные образования в таламусах

Таламус – это большое парное скопление серого вещества в боковых стенках промежуточного мозга. Гиперэхогенные образования в таламусах выявляют у 4% людей с органическими поражениями нервной системы. В большинстве случаев они указывают на опухолевые поражения. Данная патология занимает пятое место среди онкологии другой локализации, уступая новообразованиям в матке, легких, органах ЖКТ.

Уплотнения в таламусах встречают у пациентов любого возраста, но чаще всего в пубертатном периоде и в возрасте 45-50 лет. Точная причина патологических включений не известна. Ученые предполагают, что они связаны с поздним активным развитием клеток, которые раннее были спящими. Также не стоит забывать об экзогенных и эндогенных факторах: инфекции, гормональные нарушения, травмы.

Симптоматика патологических уплотнений основана от гистоструктуре опухоли. Больные сталкиваются с повышением внутричерепного давления, которое провоцирует головные боли и головокружение, приступы рвоты, изменение костей черепа, поражение черепных нервов и психики. Лечение данных состояний зависит от возраста пациента, особенностей его организма и объема гиперэхогенного уплотнения.

При обследовании щитовидной железы пациенту назначается ультразвуковое исследование, которое на данный момент является одним из самых безопасных и информативных методик. С помощью этой диагностики, осуществляемой специалистом УЗИ-кабинета, определяется эхогенность щитовидной железы, т.е. интенсивность отражения сигнала от ткани этого органа. Врач оценивает ее, сопоставляя изображение, появляющиеся на мониторе, с градацией серого оттенка.

Между жидкостью, содержащейся в тканях органа и уровнем акустической плотности существует определенная зависимость. Эхогенность щитовидной железы снижается при увеличенном скоплении жидкости в ее тканях.

Виды эхогенности

Специалисты подразделяют эхогенность на следующие виды:

изоэхогенность (нормальная); гипоэхогенность (сниженная); гиперэхогенность (высокая); анаэхогеность (отсутствие отражения сигнала от ткани органа).

При определении образования той же плотности, что и здоровые ткани, при этом имеющего разграниченность с другими акустическими параметрами, его называют «изоэхогенным». О гиперэхогенном образовании говорят, когда выявляется неоднородная область с увеличенной акустической плотностью. Как правило, это наблюдается при разрастании соединительных тканей в щитовидке и наличии кальциевых отложений. Обычно наличие гиперэхогенной области свидетельствует об аутоиммунном тиреоидите, аденоме и карциноме фолликулярного вида.

Неоднородная пониженная эхогенность щитовидной железы свидетельствует о накоплении жидкости в железе и признаках изменений злокачественного характера. Обычно гипоэхогенными образованиями являются узлы и кисты. Как правило, при их выявлении пациенту рекомендуется пройти тонкоигольную биопсию, необходимую для определения качественного состава клеток щитовидной. При пониженной эхогенности необходимо проведение анализов на тиреотропин и другие гормоны, а также антитела. Если выявляются некоторые отклонения показателей, пациенту эндокринолог назначает терапию. Развитию узловых образований с низкой эхогенностью способствует йододефицит, аутоиммунный тиреоидит. Наличие токсического зоба также можно выявить с помощью УЗИ-обследования.

Если эхоструктура не определяется, стоит подозревать поражение сосудистой сети и тканей железы нормофолликулярной аденомой.

Причины неоднородной структуры

Неоднородная эхоструктура щитовидной железы обычно выявляется при следующих заболеваниях:

аденоме; узловом зобе; кистах; аутоиммунных процессах; злокачественных образованиях; диффузном и эндемическом зобе.

Недостаток йода, неблагоприятная экология, затяжные стрессы чаще всего становятся причинами того, что УЗИ выявляется неоднородная эхоструктура щитовидки. Отсутствие лечения хронических инфекционных и воспалительных процессов нередко становится предрасполагающим фактором развития аутоиммунного заболевания щитовидной железы, при котором в начальной стадии наблюдаются признаки гиперсекреции тиреоидных гормонов, приводящих к симптомам тиреотоксикоза. Они проявляются тревожностью, тремором, гипертермией, резкой потерей веса, потливостью. В дальнейшем синтез гормонов железой значительно снижается, что приводит к гипотиреоидному состоянию.

Если на ультразвуковом исследовании выявлена неоднородная эхоструктура и имеются признаки наличия кистозных и узловых новообразований, требуется проведение биопсии. Во время этой процедуры, осуществляемой также под контролем ультразвука, берется часть измененной ткани железы, которая отправляется на гистологию. После проведения этого исследования и получения данных эндокринолог ставит диагноз, определяет тактику лечения.

Влияющие на эхогенность факторы

Определение эхогенности во многом зависит от качества аппаратуры: так при использовании оборудования низкого класса изображение получается более контрастным и крупнозернистым. Некоторые эффекты гиперэхогенности могут проявиться при изменении настроек монитора, например, при увеличенной яркости изображения.

Большую роль в определении показателей ультразвукового исследования играет и опытность специалиста. Именно поэтому проходить такую диагностику следует у грамотных специалистов, работающих на качественном оборудовании.

Если имеется необходимость в регулярном контроле состояния щитовидной железы с помощью ультразвукового исследования, желательно обращаться к одному и тому же УЗИ-специалисту, поскольку результаты у разных врачей могут различаться.

Проходить УЗИ щитовидной железы следует в проверенных клиниках, имеющих хорошую репутацию. Экономить на этом исследовании нежелательно, ведь неоднородная эхоструктура железы или пониженная эхогенность могут свидетельствовать о развивающихся патологических образованиях. Ранее их обнаружение значительно повышает благоприятность прогноза. 

За последние годы произошел рост численности эндокринных заболеваний. Специалисты объясняют это ухудшающейся экологической ситуацией, малым содержанием йода в продуктах, а также повышенной радиоактивностью в окружающей среде.

Все вышеперечисленные факторы влияют на состояние организма человека, в том числе на работу щитовидной железы. Они вызывают патологические процессы в тканях щитовидки, приводящих к ее структурным изменениям. Появляются различные новообразования в виде узлов, кист, которые со временем могут исчезнуть или, наоборот, переродиться в рак.

Учеными было установлено, что болезни щитовидки намного чаще регистрируются у женщин (50%), чем у мужчин (20%). Также с возрастом частота патологии щитовидной железы неуклонно возрастает. Одной из проблем является позднее выявление онкообразований различных органов и систем, включая и щитовидную железу.

Ультразвуковое исследование и его показатели

При заболеваниях щитовидной железы наряду с анализами крови на гормоны обязательно проводится УЗИ. Сегодня это доступный и безопасный метод обследования, к тому же не требующий специальной подготовки. В чем же он заключается?

Эхоструктура и эхогенность тканей щитовидки

Под эхогенностью подразумевается акустическая плотность участков железы. Ультразвук может отражаться или свободно проходить сквозь ткани органа. Визуализация на экране УЗ-аппарата проходит в режиме серой шкалы. При эхографии щитовидной железы определяются ультразвуковые структуры 4 видов (уровней) эхогенности: гипер-, изо-, гипо- анэхогенные.

Гиперэхогенные включения не содержат жидкость. Они представляют собой плотные неклеточные образования – скопления псаммозных (песочных) телец, солей кальция, фиброзно-склеротические изменения, а также междольковые соединительнотканные прослойки.

Изо- и гипоэхогенные участки соответствуют только тканевым клеточным структурам. Изоэхогенная ткань определяется при неизмененной железе, а также новообразованиях с близким к щитовидной железе морфологическим строением. Гипоэхогенная структура ткани присутствует при различных видах узловой и диффузной патологии.

Анэхогенные (гидрофильные) структуры содержат в основном жидкость, которая, как правило, имеет низкую акустическую сопротивляемость. Это сосуды щитовидной железы и новобразований, кистозные полости узловых образований, увеличенные в размерах фолликулы. Такие зоны выглядят на экране наиболее затемненными.

Под эхоструктурой подразумевают сочетание участков с различной звуковой проводимостью, отражающих неоднородность ткани исследуемого органа. Для определенных видов диффузной и узловой патологии щитовидной железы их состав постоянен, что лежит в основе индивидуальной звуковой картины заболевания.

Гипоэхогенный узел щитовидной железы

При анализе узлов необходимо также рассматривать и другие показатели УЗИ, которые позволят дать наиболее точную и правильную их оценку: форму новообразования, его границы, а также наличие кистозных полостей, гиперэхогенных или васкулярных включений.

Результаты исследований показали, что ни один из показателей УЗИ, взятый в отдельности, не может использоваться как достоверный критерий в оценке характера узлов щитовидной железы, поскольку каждый может наблюдаться как при доброкачественных, так и злокачественных новообразованиях. Поэтому оценка характера узла требует комплексного учета всех 6-ти указанных ультразвуковых характеристик с максимально точной трактовкой каждого отдельного ультразвукового признака.

Также исследователи считают, что для получения наиболее точной и оптимальной оценки узла необходимо сочетать УЗИ и пункционную биопсию. Эти два диагностических метода дополняют друг друга, и совместный учет их результатов превышает показатели эффективности каждого метода в отдельности.

Гипоэхогенное образование щитовидной железы: что это такое

В структуре щитовидной железы гипоэхогенные образования на экране УЗ-аппарата видны в виде затемненных жидкостных пятен. Есть ряд заболеваний щитовидки, приводящих к подобным изменениям ее структуры. Наиболее распространенные из них это:

Узловой зоб. Образование в щитовидной железе узлов неопределенного происхождения. Киста. Формирование в железе жидкостных полостей. Аденома. Злокачественная опухоль. Диффузный зоб. Характеризуется усиленной выработкой гормонов. Относится к аутоиммунным заболеваниям. Эндемический зоб. Причина появления – недостаток йода в пище и окружающей среде. Спорадический зоб. Характеризуется значительным увеличением железы. Аутоиммунные заболевания.

Существует ряд наиболее характерных симптомов, при появлении которых следует посетить врача-эндокринолога для получения у него консультации и прохождения обследования:

если у человека присутствует постоянная дрожь в руках; частые скачки давления в сторону его повышения; слабость по утрам; головные боли; снижение интенсивности мыслительной деятельности, памяти; нервные расстройства, депрессия; значительное снижение или повышение веса; увеличение потоотделения, невосприятие жары или даже простого тепла; задержка или отсутствие месячных; бесплодие.

В случае обнаружения одного или более симптомов появляется основание для проведения УЗИ и других анализов. Гипоэхогенный узел щитовидной железы может образовываться в силу следующих причин:

стрессы; неблагоприятная экология; гормональный дисбаланс; воспалительный процесс в тканях щитовидки.

Из-за ухудшающейся с каждым годом экологии, качества продуктов и других факторов необходимо внимательно относиться к своему здоровью. При малейших отклонениях его от нормы обращаться за помощью к специалисту.

Лечение гипоэхогенных образований

Если врач-эксперт после проведения УЗИ считает, что у обследуемого патологии не выявлено, прием на этом заканчивается. Пациентам с несущественными отклонениями от нормы предписывается УЗ-контроль. Больным с патологией щитовидной железы (на основании данных УЗИ) выполняется дифференциальная диагностика заболевания.

Назначается биопсия щитовидной железы, забор крови для оценки иммунологических показателей и функционального тиреоидного статуса. Эндокринолог, основываясь на показаниях УЗИ и данных клинического осмотра, определяет тактику лечения пациента.

Жидкостные структуры небольшого размера (3 или 4 мм) лечению не подвергаются. В медицинской практике к ним относятся как к видоизмененным фолликулам. Подобная трансформация может произойти на фоне гормональных колебаний и других причин. Включая в рацион питания достаточно йодсодержащих продуктов можно легко и незаметно избавиться от такого рода кист, так как они способны саморассасываться. Необходимо лишь время от времени следить за их состоянием. Для лечения незначительных узловых образований (от 4 мм) применяют терапию йодсодержащими, а также гормональными препаратами. Во время такого лечения необходимо периодически сдавать анализы крови на содержание тиреоидных гормонов. Кроме этого, обязателен контроль УЗИ за состоянием тканевой структуры щитовидной железы. При наличии воспалительного процесса в тканях щитовидной железы врач выписывает антибактериальные препараты, совместимые с йодсодержащими средствами. Хирургическое вмешательство допустимо в случае значительного увеличения железы, когда ее размеры мешают работе близлежащих органов и сосудов. При лечении склеротерапией содержимое кист высасывается специальной иглой. После чего стенки образования склерозируются спиртом.

Большинство болезней щитовидной железы, в том числе и большая часть новообразований, не представляет опасности для жизни. Наблюдение квалифицированного эндокринолога позволяет эффективно контролировать и лечить гипоэхогенное образование щитовидной железы. Вместе с тем, некоторые злокачественные опухоли, особенно в случаях несвоевременного выявления ошибочной диагностики или тактики лечения, могут привести к фатальным последствиям.

net-prostuda.ru

Особенности структуры слоев матки

В любом возрасте нормальное строение слоя миометрия должно быть однородным, без патологических включений.

В начале женского цикла слизистый слой (эндометрий) тонкий, обычно 1 – 2 мм, перед месячным кровотечением он может достигать толщины 12 — 15 мм.

После 45 – 50 лет постепенно происходит истончение обоих слоев.

Поскольку слизистая и мышечная ткань взаимосвязаны, аномальные процессы и патологические изменения структуры тканей обычно затрагивают оба слоя.

При нормально протекающей беременности, если у пациентки до зачатия не было выявлено признаков аденомиоза, мышечный слой однороден и не имеет эхопризнаков диффузных изменений.

Таким образом, диффузные изменения миометрия – это равномерно распределенные по всей мышечной толще неоднородности в структуре ткани, которые просматриваются при ультразвуковом обследовании и указывают на развитие аденомиоза.

Аденомиоз и эндометриоз — в чем разница

Если на УЗИ врач обнаруживает, что ткань миометрия диффузно неоднородная за счет очаговых изменений, то это значит, что вероятность эндометриоза или аденомиоза высока.

В чем отличие этих двух состояний?

При эндометриозе элементы эндометрия (слизистой оболочки тела матки) на разных стадиях способны прорастать во все слои органа, вплоть до брюшинного слоя, и распространяться даже за пределы матки, проникая в яичники и брюшину (внематочный эндометриоз).

При аденомиозе клетки слизистой внедряются только в мышечную ткань миометрия, не выходя за его пределы. То есть аденомиоз рассматривается как первая фаза эндометриоза.

Причины

Точную причину развития аномальных диффузных изменений в миометрии врачи пытаются выявить путем различного рода исследований – теоретических и клинических.

Но на данный момент существуют определенные подтверждения специалистов, что причинами значительных или умеренных диффузных изменений миометрия, а значит и эндометриоза, могут стать:

  • медицинские вмешательства, затрагивающие ткани матки, включая аборты, роды, кесарево сечение;
  • диагностические выскабливания, удаление кист, полипов, миом;
  • эндокринные патологии — болезни щитовидной железы, сахарный диабет, аутоиммунные процессы, ожирение;
  • расстройства функции половых желез, приводящие к гормональным нарушениям, которые провоцируют патологическое разрастание эндометрия;
  • наследственная предрасположенность;
  • тяжелые и длительные стрессы, вызывающие нейрогенные нарушения;
  • половые инфекции любого характера;
  • воспалительные заболевания репродуктивных органов;
  • длительное и частое солнечное облучение.

Эхографические изменения

Эхопризнаки диффузных изменений, регистрируемые при процедуре УЗИ – главный показатель неоднородности миометрия.

Эхогенность – что это такое? Прежде всего, это важный параметр в ультразвуковой диагностике.

Термин обозначает способность ткани отражать ультразвуковые волны. При нормальном строении органа эхогенность низкая. Усиление эхогенности миометрия указывает на аденомиоз той или иной степени. Для аномальных зон характерны размытость контуров и неоднородность эхоструктуры миометрия.

При эндометриозе (аденомиозе) в мышечной толще фиксируют диффузные изменения структуры миометрия с гиперэхогенными включениями, то есть, с аномальными уплотнениями, имеющими очень высокую отражательную способность. Кроме того УЗИ показывает утолщение стенки матки до 40 – 50 мм за счет разрастания слизистого слоя.

Если обследование показывает несоответствие толщины эндометрия фазе менструального цикла, а структура миометрия диффузно изменена, это означает высокую вероятность патологии, степень которой зависит от выраженности эхопризнаков.

Эхопризнаки и виды эндометриоза

Эндометриоз (или аденомиоз), при котором обнаруживают изменения в миометрии, имеет 3 формы:

  1. Диффузная форма, при которой выявляют мелкие структурные изменения в виде эндометриоидных разрастаний по всей поверхности слизистой оболочки и мышечного слоя матки.

Особенности:

  • миометрий диффузно поражен особыми эндометриоидными полостями, которые при УЗИ определяются как ячеистая структура;
  • гиперэхогенные включения могут быть незначительными — от 1 до 2 мм и достаточно крупными – 3 – 5 мм, рассеянными по всей толще тела матки;
  • характерными эхопризнаками диффузных изменений в матке считаются: изменение ее формы и размера. При диффузной форме матка увеличивается до размера 5 – 9 недели беременности и выглядит как шар, становясь еще крупнее до и во время месячного кровотечения;
  • в начальной стадии заболевания признаки диффузных изменений миометрия могут быть незначительными, а иногда структура ткани вообще не показывает аномальных участков из-за очень мелких включений. Далее, происходит явное утолщение эндометрия, повышается эхогенность отдельных участков.
  • если в мышечном слое присутствуют точечные, линейные эндометриоидные участки, на УЗИ эхографически наблюдается мышечная ткань с гетерогенным (неоднородным) строением;
  • поверхность матки становится неровной, на отдельных участках – болезненная при прощупывании.
  1. Узловая форма. При этом виде аденомиоза округлые образования с клетками эндометрия 2 – 6 мм разрастаются локально по типу узлов, не имеющих поверхностной капсулы и четких контуров.
  2. Очаговая форма. В этом случае в маточной толще формируются очаговые образования эндометрия на отдельных участках размером от 2 до 15 мм. Если очаги локализуются в маточном перешейке (узкая часть перед входом в шейку), эта зона уплотняется и набухает. При этом подвижность матки ограничивается, а при попытке смещения возникает боль.

Симптоматика при диффузных изменениях миометрия

На раннем этапе аденомиоз может протекать не давая заметных симптомов, но по мере прорастания эндометрия в толщу маточной стенки и появлении неоднородности миометрия наблюдаются следующие симптомы:

  • обильные месячные кровотечения, при которых в крови присутствуют сгустки разного объема, состоящие из фрагментов слизистого слоя;
  • болезненные менструации, поскольку разросшийся эндометрий отторгается при более активных сокращениях матки;
  • ноющая боль в нижнем сегменте живота в период овуляции (выхода яйцеклетки) на 11 – 15 день цикла;
  • мажущие кровяные выделения между менструациями;
  • увеличение матки до размера 8 недель беременности;
  • дискомфорт при интимной близости;
  • болезненность над областью матки при надавливании, при мочевыделении;
  • сложности с зачатием, ранние выкидыши при состоявшихся беременностях.

Последствия

Поскольку диффузные изменения в миометрии рассматривают как один из симптомов эндометриоза на разной стадии развития, их прогрессирование может привести к серьезным последствиям:

  1. Вследствие атипичных кровотечений между менструациями, а также из-за обильности менструальной крови развивается анемия, причем ее тяжелая форма влечет за собой не только вялость и головокружения, но и нарушения в работе всех органов, тяжелые депрессии вследствие дефицита кислорода в мозговых тканях.
  2. Аномальное разрастание слизистой матки приводит к невозможности имплантации (закрепления) плодного яйца – одной из причин бесплодия.
  3. Занос эндометриоидных клеток в другие органы, включая яичники, маточные трубы, шейку, петли кишечника, мочевой пузырь, легкие и даже конъюнктива глаз. Это ведет к тому, что в яичниках образуются эндометриоидные кисты, которые необходимо удалять, а клетки эндометрия в других органах, подвергаясь таким же гормональным изменениям, что и слизистая матки, начинают вести «циклично», — набухать и кровоточить с разной степенью интенсивности.
  4. Спаечные процессы в органах малого таза и брюшной полости из-за воспалительных явлений.

Лечение

Чтобы избежать неприятных последствий при выявлении диффузных изменений миометрия, необходимо ранняя диагностика и активное лечение аденомиоза.

Методы избавления от этой патологии включают медикаментозное, хирургическое и комбинированное лечение.

Лекарственная терапия

Лечение диффузных изменений миометрия медикаментами нацелено:

  • на предотвращение осложнений;
  • на остановку прогрессирования патологии путем подавления продукции эстрогенов;
  • на сохранение детородной функции;
  • на устранение болевых синдромов и предупреждение онкологии.

Все группы препаратов имеют много побочных эффектов и серьезных противопоказаний, поэтому принимаются только по назначению гинеколога и после подробного изучения полной (а не ознакомительной) инструкции препарата самой пациенткой.

Основные группы медикаментов:

  1. Эстроген-гестагенные противозачаточные (Джес, Жанин, Диане 35, Ярина, Демулен, Нон-овлон, Марвелон).

Способны подавлять овуляцию и секрецию эстрогенов. Помогают на начальных стадиях структурных изменений в эндометрии и миометрии. Запрещены при склонности к тромбозам или повышенной вязкости крови.

  1. Гестагенные препараты – Визанна, Дюфастон, Норколут, Утрожестан, Гетстринон. Назначаются при разной степени поражения миометрия.
  2. Антигонадотропные (агонисты гонадотропных рилизинг-гормонов), среди которых Неместран, Данол, Бусерелин-Депо, Даноген, Люкрин-депо, Золадекс, Диферелин.

При использовании в инъекциях 1 раз в 28 дней достигается существенная атрофия диффузных, узловых и очаговых изменений в теле матки.

Основное преимущество этих препаратов — сочетание более выраженного лечебного эффекта с минимальным процентом побочных эффектов и рецидивов.

При комбинированном лечении, включающем медикаменты и хирургию, рецидивы диагностируют лишь у 7 – 12 пациенток из ста.

ikista.ru

При правильном расположении гиперэхогенное включение доходит до дна полости матки и не выступает за пределы внутреннего зева. При использовании в качестве внутриматочного контрацептива петли Липпса, ультразвуковая картина характеризуется при поперечном сканировании обнаружением цельной гиперэхогенной линии и отдельных включений повышенной эхогенности при продольном. При перфорации матки внутриматочным контрацептивом определяется гиперэхогенное включение частично расположенное в толще миометрия. Чаще это происходит в области дна матки.

Хронический эндометрит. Данный процесс обусловлен гиперплазией эндометрия и может происходить в любой возрастной группе. Ультразвуковая картина гиперплазии вариабельная, чаще имеет вид гиперэхогенных включений небольшого размера (2-7 мм) с четкими контурами, неправильной формы, возможно расширение полости матки. У женщин репродуктивного возраста утолщение эндометрия и гиперэхогенные включения сохраняются во все фазы менструального цикла.

Полипы эндометрия. В большинстве случаев полипы имеют изоэхогенную структуру, однако если в структуре полипа большое количество нитей фибрина, то это приводит к повышению эхогенности образования. Фиброзные полипы имеют схожую ультразвуковую картину с эндометритом. Отличительными чертами является наличие четких ровных контуров, круглая форма при поперечном сканировании. Наблюдается нарушение смыкания листков слизистой, контуры его становятся волнистые, прерывистые. При цветовой допплерографии выявляется сосудистая ножка полипа, которая состоит из вновь образованных сосудов, питающих образование.

В репродуктивном возрасте исследование оптимально проводить в пролиферативную фазу менструального цикла.

  1. Пузырьки воздуха. Данные образования в просвете матки могут появляться в следствие выскабливания матки, а так же при длительном течении хронического эндометрита. При УЗИ визуализируется гиперэхогенное образование с четкими контурами, чаще множественные и небольшого размера. Иногда наблюдается акустический эффект «хвост кометы», который визуализируется как множество эхогенных полос позади образования.
  2. Остатки плодного яйца. Эхографическая картина вариабельная и зависит от того, на котором произошло прерывание беременности. Если остались ткани хориона, то ультразвуковая картина характеризуется разнородностью структуры и повышенной эхогенности. Если прерывание беременности происходит на более поздних сроках, то фрагменты костных структур визуализируются в виде гиперэхогенных образований с четкими контурами и акустической тенью.
  3. Гематометра. Сгустки крови в просвете матки могут оставаться после оперативного вмешательства или родоразрешения. При исследовании визуализируется увеличенная в размерах матка с гиперэхогенными неоднородными включениями без признаков кровотока при использовнии допплера. При УЗИ они имеют схожую картину с остатками хориона. При проведении дифференциальной диагностики важное значение принадлежит динамическому наблюдению. С течением времени сгустки крови подвергаются деструктивным изменениям и смещаются по отношению стенок матки. Компоненты хориона со временем свое строение и расположение практически не изменяют.
  4. Перфорация матки и маточно-пузырный свищ. Визуализируемая картина характеризуется обнаружением тяжа толщиной 4-6мм повышенной эхогенности, проходящего через ткани матки. Характерно наличие сообщения его с полостью матки. Акустическая тень не обнаруживатся при этом. При длительном течение возможно возникновение эндометрита с соответствующей ультразвуковой картиной.
  5. Воспаление послеоперационных швов. Воспалительный процесс проявляется увеличением толщины инфильтрации в области послеоперационных швов на матке. Так же, за счет отложения нитей фибрина, появляется налет повышенной эхогенности, чаще линейного характера.

Более редкие причины возникновения очагов повышенной эхогенности, которые часто не берутся во внимание, это субмкозный миоматозный узел и липома.

Миоматозные узлы имеют гипоэхогенную структуру, однако субмукозные узлы склонны к дегенеративным процессам и образованию кальцинированных участков. Именно эти участки выглядят как включения повышенной эхогенности на общем фоне гипоэхогенного или изоэхогенного узла.

Липома является доброкачественной опухолью из клеток жировой ткани. Считается крайне редкой, отчасти из-за возникновения в старшем возрасте (после 50-60 лет) и бессимптомного течения заболевания. Ультразвуковая картина характеризуется наличием образования с четкими контурами, повышенной эхогенности и отсутствием кровотока при цветовом допплеровском картировании.

При обнаружении гиперэхогенных образований в матке однозначно выставить диагноз по ультразвуковой картине не всегда возможно. Если есть сомнения по поводу природы данного образования, необходимо проведение обследования в полном объеме. Важное значение при проведении дифференциальной диагностики имеют:

Данные анамнеза (проведенные ранее операции для диагностики гематометры и воспаления послеоперационных швов, использование внутриматочных контрацептивов при их диагностике и диагностике осложнений, прерывание беременности для выявления остатков хориона и фрагментов скелета).

  • Клинические данные и жалобы пациентки (болевой синдром, нарушение менструального цикла при эндометрите, полипах и остатках плодного яйца).
  • Диагностическая лапароскопия (при подозрении на перфорацию матки и наличии маточно-пузырного свища).
  • Гистероскопия (при наличии полипов и миоматозных узлов).
  • Магнитно резонансная томография при сложностях дифференциальной диагностики и невозможности постановки диагноза исходя из уже проведенных исследований.

Необходимо учитывать при проведении диагностики день менструального цикла, при сомнительной ультразвуковой картине необходимо повторное проведение исследования в другую фазу цикла, что позволит более точно интерпретировать полученные данные. Ультразвуковая диагностика органов малого таза, и в частности матки, требует высокого профессионализма и опыта у врача, проводящего исследование.

uziprosto.ru

Исследования гиперэхогенных включений в матке

Гиперэхогенные включения в матке могут выявляться при проведении ультразвукового сканирования у женщины как при намеренной диагностике какого-либо состояния, так и при плановом исследовании. Данные образования практически никак не проявляют себя клинически и являются сугубо диагнозом, который ставит врач ультразвуковой диагностики. Фактически под данным названием подразумевается образование, определяемое при ультразвуковом сканировании, которое обладает структурой более плотной, чем нормальные образования матки.

Основные принципы при ультразвуковом сканировании

Чтобы правильно понимать природу подобных образований и различать их, для начала нужно понять принципы, которые используют в ультразвуковом сканировании для определения различных тканей. Все ткани организма человека имеют различную плотность. Ультразвуковое сканирование основывается на диагностировании структур и тканей человека путем исследования их с помощью звуковой волны определенного диапазона — ультразвукового (с частотой более 20 тыс. Гц). Данные волны генерируются с помощью специального пьезокристалла, который находится в датчике для проведения ультразвукового сканирования. Данный кристалл совершает механические колебания, которые и создают подобные волны.

Ультразвуковая волна обладает хорошей способностью к распространению в биологических средах и структурах. Проходя сквозь ткани и образования, она отражается от них, формируя характерную картину на экране ультразвукового сканера. Изображения получаются при отражении волны от границы двух разных сред организма (например, от границы между твердой и жидкой средой). Чем больше у ткани сопротивление прохождению волны («акустическое сопротивление»), тем более сильное отражение сигнала можно увидеть на дисплее аппарата. В зависимости от данной сопротивляемости выделяют следующие ультразвуковые типы тканей и образований:

  1. Изоэхогенный тип. У таких образований звуковая плотность идентична остальным тканям.
  2. Анэхогенный тип. В таких структурах звуковой сигнал не может пройти дальше. Обычно это различные воздушные полости или кисты.
  3. Гипоэхогенный тип. Данные образования имеют звуковую плотность меньшую, чем все остальные ткани.
  4. Гиперэхогенный тип. Такие структуры обладают звуковой плотностью гораздо большей, чем другие ткани.

Следовательно, образования повышенной эхогенности (гиперэхогенные) — это такие структуры, которые обладают большей сопротивляемостью к прохождению звуковых волн, чем все остальные. В нормальных структурах такими образованиями являются кости, хрящевые уплотнения. В патологических — образования с отложениями кальция, опухоли.

Вернуться к оглавлению

Применение ультразвукового сканирования в гинекологии показывает, что различные органы малого таза у женщины обладают различной звуковой плотностью. Так, эндометрий является структурой с низкой звуковой плотностью. Он имеет однородное гипоэхогенное строение, под которым начинается серозный слой, через который обычно звуковой сигнал не проходит (анэхогенный). Эндометрий может пересекаться сосудами, через которые тоже не проходит звуковой сигнал (жидкости также имеют высокую эхогенную плотность). Миометрий определяется как изоэхогенная структура. Яичники из-за большого количества фолликулов являются гипоэхогенными органами, плохо пропускающими ультразвуковой сигнал.

Иногда при проведении ультразвукового сканирования во внутренних женских половых органах кроме нормальных образований могут обнаруживаться и патологические уплотнения.

Эхогенность данных образований определяется по таким же критериям, как и у нормальных структур — по способности данных тканей пропускать или же не пропускать эхосигнал.

Гиперэхогенные включения в матке могут указывать на абсолютно различные образования. Однако самыми вероятными и часто встречаемыми из них являются:

  • внутриматочные контрацептивные средства (ВМС), особенно спирали;
  • полипы фиброзного характера;
  • структуры, образующиеся в миометрии (мышечном слое матки), — миомы;
  • эндометриты на хронических стадиях;
  • участки повышенного отложения кальция — кальцификаты;
  • отдельные опухолевые структуры;
  • последствия проведения абортов — наличие отдельных кальцифицированных участков плода.

Различные контрацептивные средства, устанавливаемые в полости матки, имеют характерную картину на дисплее ультразвукового сканера. Являясь по свой сути искусственной структурой, такие средства отражают звук, не пропуская его дальше, поэтому эхогенность ВМС крайне высокая. Кроме того, после изображения ВМС определяется так называемая «дорожка звука». Фактически это тень, которая образуется от преграждающей дальнейший проход звукового сигнала ВМС. Само определение внутриматочного контрацептивного средства при ультразвуковом сканировании не является патологическим. Наоборот, с помощью УЗИ можно определить расположение ВМС и характеристику окружающих его тканей.

Полипы эндометрия могут иметь различный характер. Согласно структуре, выделяют полипы:

  • железистого характера;
  • сочетающие в себе фиброзные и железистые компоненты;
  • полностью фиброзного характера.

При ультразвуковом сканировании лучше всего определяются именно полипы фиброзного характера, так как преимущественно они состоят из волокнистой плотной ткани и способны хорошо отражать ультразвуковой сигнал. Поэтому они имеют повышенную эхогенность.

Данные полипы могут быть как одиночными, так и множественными. Одиночные полипозные структуры выглядят как образование однородной структуры и крайне высокой плотности, которое определяется в маточной полости. Множественные полипозные образования определяются как мелкие образования с высоким уровнем звукового сопротивления.

Полипы фиброзного характера являются структурами, возникающими в большинстве своем у женщин более пожилого возраста. В связи с этим их легко определить при сканировании: они хорошо видны на фоне эндометрия, находящегося в состоянии обратного развития.

Образование, возникающие в толще мышечного слоя матки, миометрии, получило название миомы. Это структура, довольно часто образующаяся у женщин различного репродуктивного возраста. Она имеет доброкачественные свойства, однако может угрожать кровотечением, так как при постепенном росте может произойти повреждение крупных маточных сосудов.

Обычно выделяют две формы данного состояния:

Диффузная разновидность при сканировании ультразвуком может иметь характеристики высокой эхогенности. Это можно объяснить тем, что ввиду поражения именно мышечной прослойки происходит увеличение тканевого объема. В результате этого нарушается однородность данного участка и его плотность.

Ультрасонографически это выглядит как неоднородные структуры, некоторые из них имеют повышенную эхогенность. Кроме того, контуры возможной фибромиомы нечеткие и размытые. На экране аппарата такие патологические структуры будут плавно переходить в нормальные ткани.

Именно этот признак дает возможность отличить диффузную форму (фиброматоз) от узлового характера фибромы. Кроме того, к описанным выше признакам может добавляться и повышенная эхогенность матки (визуальное утолщение ее стенок).

Воспалительные состояния, поражающие эндометрий, могут определяться при сканировании звуковыми волнами как явления гиперэхогенности.

Данный эффект объясняется тем, что слизистая оболочка матки, которая подвергается воспалению, может значительно уплотняться.

При выявлении любого из перечисленных выше образований необходимо проводить дальнейшее дополнительное диагностическое и ультразвуковое обследование.

Оцените статью:

(Нет голосов) Загрузка…

Исследования гиперэхогенной включений в матке

Гиперехогенние включения в матке могут проявляться при проведении ультразвукового сканирования у женщины как при намеренной диагностике любого состояния, так и при плановом исследовании. Данные образования практически никак не проявляют себя клинически и является сугубо диагнозом, который ставит врач ультразвуковой диагностики. Фактически под данным названием подразумевается образование, которое определяется при ультразвуковом сканировании, которое имеет структуру более плотной, чем нормальные образования матки.

Основные принципы при ультразвуковом сканировании

Чтобы правильно понимать природу подобных образований и различать их, для начала нужно понять принципы, которые используют в ультразвуковом сканировании для определения различных тканей. Все ткани организма человека имеют разную плотность. Ультразвуковое сканирование основывается на диагностировании структур и тканей человека путем исследования их с помощью звуковой волны определенного диапазона — ультразвуковой (с частотой более 20 тыс. Гц). Данные волны генерируются с помощью специального пьезокристаллов, который находится в датчике для проведения ультразвукового сканирования. Данный кристалл совершает механические колебания, которые и создают подобные волны.

Ультразвуковая волна обладает высокой способностью к распространению в биологических средах и структурах. Проходя сквозь ткани и образования, она отражается от них, формируя характерную картину на экране ультразвукового сканера. Изображения получаются при отражении волны от границы двух различных сред организма (например, от границы между твердой и жидкой средой). Чем больше в ткани сопротивление прохождению волны ( «акустическое сопротивление»), тем сильнее отражение сигнала можно увидеть на дисплее аппарата. В зависимости от данной сопротивляемости выделяют следующие ультразвуковые типы тканей и образований:

  • Ізоехогенние тип. В таких образований звуковая плотность идентична другим тканям.
  • Анехогенний тип. В таких структурах звуковой сигнал не может пройти дальше. Обычно это различные воздушные полости или кисты.
  • Гипоехогенний тип. Данные образования имеют звуковую плотность меньшую, чем все другие ткани.
  • Гиперехогенний тип. Такие структуры имеют звуковой плотностью гораздо большей, чем другие ткани.
  • Следовательно, образование пидвищеноїехогенности (гиперехогенние) — это такие структуры, которые имеют большую сопротивляемость к прохождению звуковых волн, чем все остальные. В нормальных структурах такими образованиями являются кости, хрящевые уплотнения. В патологических — образования с отложениями кальция, опухоли.

    Ультразвуковое сканирование в гинекологии

    Применения ультразвукового сканирования в гинекологии показывает, что различные органы малого таза у женщины обладают разной звуковой плотности. Так, эндометрий является структурой с низкой звуковой плотностью. Он имеет однородную гипоэхогенные строение, под которым начинается серозный слой, через который обычно звуковой сигнал не проходит (анехогенний). Эндометрий может пересекаться сосудами, через которые тоже не проходит звуковой сигнал (жидкости также имеют высокую ехогенних плотность). Миометрий определяется как изоехогенние структура. Яичники из-за большого количества фолликулов есть гипоехогенними органами, плохо пропускают ультразвуковой сигнал.

    Патологические изменения в гинекологическом УЗИ

    Иногда при проведении ультразвукового сканирования во внутренних женских половых органах кроме нормальных образований могут проявляться патологические уплотнения.

    Эхогенности данных образований определяется по таким же критериям, как и в нормальных структур — по способности данных тканей пропускать или же не пропускать ехосигнал.

    Гиперехогенние включения в матке могут указывать на совершенно различные образования. Однако наиболее вероятными и часто встречающимися из них являются:

    • внутриматочные контрацептивные средства (ВМС), особенно спирали;
    • полипы фиброзного характера;
    • структуры, которые образуются в миометрии (мышечном слое матки), — миомы;
    • эндометриты в хронических стадиях;
    • участки повышенного отложения кальция — кальцинаты;
    • отдельные опухолевые структуры;
    • последствия проведения абортов — наличие отдельных кальцификованих участков плода.

    ВМС на ультразвуковом сканировании

    Различные контрацептивные средства, устанавливаемые в полости матки, имеют характерную картину на дисплее ультразвукового сканера. Являясь по свой сути искусственной структурой, такие средства отражают звук, не пропуская его дальше, поэтому эхогенность ВМС крайне высока. Кроме того, после изображения ВМС определяется так называемая «дорожка звука». Фактически это тень, которая образуется от преграждает дальнейший проход звукового сигнала ВМС. Само определение внутриматочного контрацептивное средство при ультразвуковом сканировании не является патологическим. Наоборот, с помощью УЗИ можно определить расположение ВМС и характеристику окружающих его тканей.

    Сканирование фиброзных полипов

    Полипы эндометрия могут иметь разный характер. Согласно структуры, выделяют полипы:

    • железистого характера;
    • сочетают в себе фиброзные и железистые компоненты;
    • полностью фиброзного характера.

    При ультразвуковом сканировании лучше всего определяются именно полипы фиброзного характера, так как в основном они состоят из плотной волокнистой ткани и способны хорошо отражать ультразвуковой сигнал. Поэтому они имеют повышенную эхогенность.

    Данные полипы могут быть как одиночными, так и множественными. Единичные полипозни структуры выглядят как образования однородной структуры и крайне высокой плотности, которое определяется в маточной полости. Множественные полипозни образования определяются как мелкие образования с высоким уровнем звукового сопротивления.

    Полипы фиброзного характера являются структурами, которые возникают в большинстве своем у женщин более пожилого возраста. В связи с этим их легко определить при сканировании: они хорошо видны на фоне эндометрия, что находится в состоянии обратного развития.

    Миомы при ультразвуковом исследовании

    Образование, возникающих в толще мышечного слоя матки, миометрии, получило название миомы. Это структура, довольно часто образуется у женщин разного репродуктивного возраста. Она имеет доброкачественные свойства, однако может угрожать кровотечением, так как при постепенном росте может произойти повреждение крупных маточных сосудов.

  • Узловой вид.
  • Диффузный.
  • Диффузная разновидность при сканировании ультразвуком может иметь характеристики высокой эхогенности. Это можно объяснить тем, что несмотря на поражение именно мышечной прослойки происходит увеличение тканевого объема. В результате этого нарушается однородность данного участка и его плотность.

    Ультрасонографическое это выглядит как неоднородные структуры, некоторые из них имеют повышенную эхогенность. Кроме того, контуры возможной фибромиомы нечеткие и размытые. На экране аппарата такие патологические структуры будут плавно переходить в нормальные ткани.

    Эндометриты и их картина

    Воспалительные состояния, поражающие эндометрий, могут определяться при сканировании звуковыми волнами как явления гиперехогенности.

    Гиперэхогенные включения в матке

    Гиперэхогенный в УЗИ-диагностике означает высокую плотность образования. Гиперэхогенными образованиями в матке могут быть отложения кальция, чаще всего незначительных размеров. Некоторые доброкачественные опухоли и злокачественные образования также выглядят как гиперэхогенные включения в матке при проведении УЗИ.

    Виды гиперэхогенных образований в матке

    1. Центральная часть эндометрия в середине менструального цикла становится гиперэхогенной, окруженной гипоэхогенным ободком. Во время самой менструации он становится полностью гиперэхогенным, увеличенным в толщине.
    2. Присутствие гиперэхогенных включений в матке не признак беременности, а свидетельство наличия каких-либо образований в ее полости. Таким образом диагностируют полипы и миомы.
    3. В структуре фиброзных полипов часто имеются гиперэхогенные включения. В редких случаях вся структура такого полипа может быть гиперэхогенной.
    4. При прерывании беременности на поздних сроках оставшиеся в матке фрагменты скелета плода, кальцинируются и определяются в виде гиперэхогенных включений с акустической тенью. В таких случаях у пациенток нередко отмечаются обильные менструации и вторичное бесплодие.
    5. Миомы матки, особенно запущенные, часто приобретают вид гиперэхогенных. Также, в миомах могут присутствовать кальцинаты, выглядящие как гиперэхогенные образования с дистальной тенью. Почти во всех случаях миомы множественны, также нарушают нормальный контур или смещают полость матки.
    6. Наличие пузырьков воздуха в процессе проведения УЗИ отображается как гиперэхогенное включение, иногда с эффектом «хвоста кометы», акустического типа. Такой вид образований встречается в случаях хронического эндометрита, также после хирургического выскабливания матки.
    7. Кальцифицированные участки, выглядящие как гиперэхогенные включения, встречаются в миоматозных узлах полости матки. После хирургических внутриматочных вмешательств, а также в послеродовой период сгустки крови в полости матки могут визуализироваться как гиперэхогенные включения.

    Статьи по теме:

    Повышен свободный тестостерон у женщин

    Тестостерон сильно влияет на гормональный фон женского организма. Его превышение может грозить потерей овуляции и нарушением менструального цикла. А в тяжелом случае — и изменениями во внешности.

    Повышенный тестостерон у женщин — симптомы

    Слабый пол привлекателен своей нежностью и женственностью. И для того чтобы женщинам оставаться такими, нужно стараться избегать гормонального дисбаланса, который может стать причиной как внешних, так и внутренних изменений – особенно это касается гормона тестостерона.

    Эстрогены – главные гормоны женского организма. Их нехватка – серьезная проблема, которая может вылиться в бесплодие и другие заболевания. Помогают решить вопрос с восполнением эстрогенов современные препараты в виде таблеток и в других формах выпуска.

    Андрогены у женщин — лечение

    Самой частой гормональной причиной бесплодия у многих девушек и женщин является повышение мужских гормонов. Андрогены у девушек синтезируются в яичниках и одинаково плохо влияют на организм в случае дефицита или избытка.


    Смотрите также