Флюорография расшифровка результатов

Флюорография расшифровка результатов[Флюорография расшифровка результатов]

Расшифровка флюорографии

Каждому человеку необходимо ежегодно проходить профилактическое обследование. Это позволяет медицинским специалистам обнаружить ранние стадии таких опасных патологий, как туберкулез и опухолевидные образования. Изучение состояния здоровья пациента проводится по итоговым данным лабораторных исследований и флюорографии – интерпретация ее результатов дает возможность врачу оценить состояние легких.

Однако несмотря на распространенные сведения о необходимости проведения флюорографического исследования грудной клетки, многие пациенты сомневаются по поводу необходимости ее проведения. Это явление объясняется предполагаемым вредным воздействием на человеческий организм рентгенологического излучения.

Именно поэтому в нашей статье мы хотим предоставить полезную для каждого человека информацию о позитивных и негативных сторонах рентген-диагностики, особенностях расшифровки флюорографии легких. А также рассказать о том, какое значение имеют коды, в которых зашифрован определенный патологический процесс.

Суть метода

На сегодняшний день лидирующая позиция по выявлению заболеваний органов дыхания занята флюорографией. Это вызвано целым рядом преимуществ данной диагностической процедуры, к ним относят:

  • Доступность – обследование может пройти любой человек при посещении любого медицинского учреждения. А с началом использования цифровой аппаратуры пациенту не нужно покупать рентгеновскую пленку для снимков – данные исследования поступают сразу врачу на монитор компьютера, и он детально их изучает.
  • Скорость проведения процедуры – ее длительность всего несколько минут, предварительная запись к специалисту-рентгенологу не требуется.
  • Отсутствие болезненных ощущений и длительного подготовительного процесса – единственным минусом являются холодные части оборудования, к которым пациент прижимается обнаженной частью тела.
  • Высокую информативность – проведение диагностики позволяет своевременно выявить серьезные заболевания.

При обнаружении очага патологического процесса, пациенту назначаются ряд дополнительных исследований, на основании которых устанавливают окончательный диагноз

Единственный недостаток методики – воздействие рентгеновского излучения на человеческий организм. Однако если процедуру выполняют с соблюдением строгих норм – негативного влияния лучей не ощущается. Проведение флюорографии противопоказано детям до 15 лет, больным клаустрофобией, беременным женщинам, людям с ограниченными возможностями.

Однако в современной медицине существуют случаи, когда диагностику проводят и таким пациентам, к примеру – при наличии явных признаков воспаления легких.

Перед проведением обследования пациенту не требуется специальная подготовка. Для того чтобы сделать снимок, нужно прийти в медицинское учреждение в назначенный срок. В кабинете флюорографии пациент заходит в специальную кабинку, встает на подставку и плотно прижимает к экрану аппарата грудную клетку. Рентген-лаборант подает команду «вдохнуть и задержать дыхание» и включает оборудование для получения изображения органов.

После выключения аппарата, пациент покидает кабину. При необходимости получения разных проекций изображения, выполняют несколько снимков, под разными углами. По окончании процедуры на снимки наносится специальная маркировка, пациент надевает одежду и получает информацию о дате получения итоговых данных обследования. Технология флюорографического исследования заключается в получении изображения легких с помощью электромагнитного излучения, которое проходит через ткани грудного отдела туловища человека.

Во время рентген-диагностики вырабатываются флюоресцирующие микроскопические частицы, которые проникают через легочную ткань и переносят на пленку рисунок легких. На наличие в них патологических процессов указывают различные изменения на пленке:

Облучение при флюорографии

  • не имеющие четких контуров;
  • очаговые отпечатки;
  • сфокусированные темные пятна;
  • сегментные отображения;
  • усиление долевых отпечатков в прикорневых зонах.

При выявлении одного из этих видов затемнений, пациенту назначают дополнительное исследование – развернутую рентгенограмму, которая заключается в получении изображения грудной клетки в различных проекциях. Во избежание постановки ошибочного заключительного диагноза, интерпретацией ее итоговых данных занимается квалифицированный рентгенолог.

Выявление очагового пятна до 10 мм может свидетельствовать о проблемах сосудистой системы, формировании онкологической патологии, нарушении функциональной деятельности дыхательных органов. Для более точного диагноза необходимо проведение компьютерной томографии, лабораторного исследования мокроты. Присутствие на снимке единственного сегментарного пятна треугольной конфигурации, имеющего четкие границы, указывает на наличие в легких инородного тела, последствие травмы или эндобронхиального новообразования.

Наличие очаговых затемнений может свидетельствовать об инфаркте миокарда, а в некоторых случаях его клиническая симптоматика напоминает признаки ранней стадии туберкулеза

Множественные «треугольники» наблюдаются:

  • при острой или хронической пневмонии;
  • скапливании плеврального выпота;
  • раковой опухоли;
  • туберкулезе;
  • метастазировании новообразования из близлежащих органов.

Долевое пятно с ясным контуром появляется при гнойном воспалении легочной ткани или бронхоэктазии, а сфокусированные пятна – при пневмонии разной стадии, бронхиальной астме и глистной инвазии. Наличие на флюорографии затемнений без определенных конфигураций характеризует экссудативный плеврит, стафилококковую пневмонию, скопление жидкости в плевре, инфаркт миокарда.

Существует множество причин появления на рентгеновском снимке различных затемнений. Пациенту нельзя самостоятельно диагностировать заболевание! Именно поэтому при наличии каких-либо изменений практикующие рентгенологи используют специальные коды, в которых зашифрованы патологии органов. Только опытный врач может правильно их интерпретировать и назначить следующий этап диагностики.

Что означают цифры в ответе флюорографии?

После оценивания полученного снимка, в случае выявления изменений легочной ткани, в заключении обследования рентгенолог указывает локализацию обнаруженной патологии и код, в котором она зашифрована. Каждое легкое условно разделено на 3 легочных поля – верхнее, среднее, нижнее, их также указывают в описании выявленного патологического очага в легких.

Цифровыми обозначениями зашифрованы следующие патологические процессы:

  • I – синдром кольцевидной тени или полости;
  • II – затемнение в легких;
  • III – очаговые изменения легочной ткани;
  • IV – расширение средостения;
  • V – накопление жидкости в полости плевры;
  • VI – выраженные фиброзные изменения ткани легких;
  • VII – ограниченный фиброз;
  • VIII – повышение прозрачности легочных полей, вызванное локальной или распространенной эмфиземой;
  • IX – патологические изменения плевры, связанные с обызвествлением, наличием плевральных наслоений или сращений;
  • X – ограниченные изменения плевры;
  • XI – очаговое отложение солей кальция (петрификаты) в легочной ткани;
  • XII – множественные крупные петрификаты, расположенные в корнях легких;
  • XIII – множественные мелкие петрификаты в легочной ткани;
  • XIV – множественные мелкие петрификаты в корнях легких;
  • XV – единичные крупные петрификаты в легочной ткани;
  • XVI – единичные петрификаты в корнях легких;
  • XVII – локализация единичных мелких петрификатов в ткани легких;
  • XVIII – единичные мелкие петрификаты в легочных корнях;
  • XIX – изменение диафрагмы, не связанное с патологией плевральной полости (грыжа или высокое стояние одного из куполов);
  • XX – состояние легкого после оперативного вмешательства;
  • XXI – деформация скелетно-мышечной системы грудной клетки, вызванная переломом ребра либо формированием сколиоза, спондилита, остеохондроза;
  • XXII – обнаружено инородное тело;
  • XXIII – видоизменения, характеризующие патологические процессы в сердечной и сосудистой системах;
  • XXIV – наличие добавочной доли легких;
  • XXV – рисунок органов четкий, затемнения или светлые пятна не наблюдаются – легкие и сердце в пределах нормы;
  • XXVI – брак пленки или нарушение техники проведения процедуры.

Особенности интерпретации результатов

Рентгеновский снимок врач может трактовать по-иному, к примеру – измененная форма диафрагмы может указывать на сформированные в грудной клетке спайки или заболевания пищеварительных органов (пищевода, желудка, печени, кишечника).

Важно знать, что органы человека поглощают рентгеновское излучение по-разному, именно поэтому контраст изображения неоднородный – сердце и бронхи имеют вид белых пятен, а цвет здоровых легких всегда равномерен

Заключение рентгенолога может иметь следующие формы:

  • корни легких уплотнены и расширены – возможно наличие бронхиальной астмы, пневмонии, бронхита;
  • тяжистые корни, характеризующие обострение хронического бронхита или чрезмерное курение;
  • выражена сосудистая картинка – свидетельство проблем сосудистой системы, бронхита, воспаления легких, формирования опухолевидного образования;
  • присутствие очаговых пятен возможно при туберкулезе или воспалительном процессе в дыхательных путях – пациенту необходимо провести дополнительную диагностику;
  • затемнения с четко выраженными границами свидетельствуют о перенесенном туберкулезе или пневмонии.

Особенности расшифровки флюорографии курильщика

Современной наукой доказано, что даже первая выкуренная сигарета вызывает у человека в органах дыхания определенные патологические изменения. Именно поэтому всем активным и пассивным (лицам, которые постоянно вдыхают воздух с табачным дымом) курильщикам нужно проходить обследование легких 1 раз в год.

Очень часто люди, злоупотребляющие табакокурением, скептически относятся к флюорографии. Однако своевременное выявление такого заболевание, как пневмония, позволит избежать возникновение многих серьезных осложнений. У курильщиков наблюдается наличие утолщений структуры ткани легких, скопление жидкости в их полостях или формирование опухолевидных образований.

В этом случае срочно проводится курс лечебных мероприятий, которые направлены на выведение пациенты из зоны риска. Надеемся, что вышеизложенная информация поможет нашим читателям понять, для чего необходима флюорография, как трактовать ее результаты. А также то, что переоценить важность проведения профилактических обследований невозможно!

diametod.ru

Расшифровка флюорографии: основные показатели и результаты

Флюорографическое исследование лёгких и сердца выполняется для диагностики туберкулёза, а также с целью определения других патологий органов дыхания. Результаты флюорографии помогают оценить состояние бронхов, лёгких. Увидеть воспалительные процессы, спайки, отклонения со стороны диафрагмы. Окончательный диагноз ставит врач-рентгенолог после изучения снимка.

Исследование рентгеновскими лучами: положительные и отрицательные стороны процедуры

Рентгеновское исследование основано на способности проникновения рентгеновских лучей сквозь тело человека. В результате прохождения лучей через ткани различной плотности они будут по-разному поглощаться, оставляя на плёнке силуэты оттенков светлого и тёмного цвета. Твёрдые структуры имеют светлый оттенок, а мягкие — тёмный. Такое свойство процедуры позволило широко применять её в диагностике заболеваний лёгких, а малодозовый рентген (флюорография) — стали делать массово для выявления в первую очередь туберкулёза лёгких.

Минусы исследования состоят в возможном риске, которому подвергаются пациенты. Обследование крайне нежелательно беременным женщинам.

Изменения в правом кардиодиафрагмальном углу. Киста перикарда.

Несмотря на отрицательные стороны рентгеновского облучения, процедура имеет и плюсы. Например, дешевизна проведения флюорографии позволила сделать исследование массовым и предупредить развитие вспышек туберкулёза. В частности, в таких уязвимых социальных группах, как дети, люди пожилого возраста. К тому же рентгеновское исследование неинвазивное — оно визуализирует состояние внутренних органов без вскрытия грудной клетки.

Диагностическая ценность рентгеновского облучения также велика — при помощи лучей видны тяжелейшие патологические процессы, абсцессы, пневмония, опухолевые образования. Получить результат можно за кратчайший срок и своевременно начать лечение болезни.

Подготовка к флюорографии и механизм её проведения

Флюорограф цифровой сканирующий (самый безопасный и современный метод диагностики)

Флюорографическое исследование не требует особой подготовки от пациента. Однако, перед проведением необходимо учесть некоторые особенности. На результат не влияют:

  • медикаменты, которые принимает пациент;
  • курение перед проведением исследования;
  • продукты, приводящие к газообразованию в желудке;
  • физические нагрузки.

Перед тем как делать снимок, необходимо снять предметы, способные отобразиться на плёнке и привести к сложностям в диагностике. Врачи предупреждают:

  • женщинам требуется снимать бюстгальтер, или приспускать на талию, чтобы не попали в обзор застёжки;
  • пациентам требуется снять нательные украшения — цепочки, кулоны, крестики;
  • пациентам с длинными волосами рекомендовано подколоть их наверх, чтобы они не падали на плечи и не создавали помех на снимке.

При необходимости проведения флюорографии нужно учесть, что она не влияет на работу кардиостимуляторов. Поэтому пациентам не стоит переживать или отказываться от обследования в том случае, если у них установлен такой прибор.

Рентгенография контролируется медицинским работником, который инструктирует пациента, помогает ему найти нужно положение. Выделяют такие ключевые моменты:

  • после подготовки человека просят встать в кабину перед ПЗС-матрицей и максимально плотно прижаться грудной клеткой, стоять нужно немного сгорбившись, чтобы плечи прижимались к поверхности экрана;
  • в момент проведения процедуры двери кабинки закрываются, а пациенту даётся команда вдохнуть и не дышать — дыхание задерживается на несколько секунд, после чего даётся команда дышать и двери открываются. Момент фотографирования проводится при задержке дыхания;
  • после открытия дверей можно покидать кабинку и одеваться.

Если требуется снимать в нескольких проекциях, то пациенту будут даны соответствующие рекомендации от медицинского персонала. На этом проведение исследования заканчивается. Расшифровка флюорографии передаётся врачу, который дал направление либо подклеивается в карточку пациента. Если исследование профилактическое, пациенту выдаётся корешок с указанием личных данных, времени проведения исследования, а также результата флюорографии.

Расшифровка

Изменения аорты. Аневризма аорты

Расшифровка процедуры требует специальных знаний, поэтому проводят её врачи-рентгенологи. На снимке лёгких бывают патологические затемнения, свидетельствующие о таких отклонениях:

  • наличие свободной жидкости в полости лёгких;
  • отсутствие чёткого контура органов дыхания;
  • очаговые пятна в различных местах;
  • сфокусированные пятна;
  • долевые изображения на плёнке;
  • сегментные отображения.

При обнаружении пятен на рентгеновском снимке врачи назначают дополнительное исследование — оно будет давать подробную картину, поскольку органы грудной клетки фотографируются в нескольких проекциях.

Синдром уплотнения. Инфильтрат. Рак.

Если при расшифровке флюорографии лёгких обнаружены очаговые пятна в пределах до одного сантиметра в диаметре, то это может указывать на отклонения сосудистого характера, или начальную стадию онкологического процесса. И также это может свидетельствовать о патологии органов дыхания. Для конкретизации пациенту дополнительно будет проведена компьютерная томография, а также взята мокрота на анализ.

Помимо этих предположений, очаговые тени свидетельствуют и о возможном инфаркте миокарда — именно его путают с начальной стадией развития туберкулёза.

Ещё один вариант отклонения — сегментарные пятна. Они имеют чёткие границы и треугольную форму. Контур пятен ясный, без размытости. При одиночном обнаруженном сегменте врач подозревает травму лёгочной ткани. Но это может быть инородное тело или эндобронхиальная опухоль. При наличии множественных сегментарных пятен варианты возможных патологий широки. Это могут быть:

  • онкологические патологии;
  • туберкулёз лёгкого;
  • воспаление лёгких в острой или хронической форме;
  • наличие жидкости в плевральной полости;
  • возможные метастазы.

Синдром уплотнения. Очаг низкой и средней плотности. Туберкулез.

При обнаружении долевого пятна врач подозревает бронхоэктазийную болезнь, гнойное повреждение лёгких и другие патологии. А вот чётко сфокусированные пятна являются признаком:

  • пневмонии на различной стадии развития патологии;
  • наличия жидкости в плевральной полости;
  • бронхиальной астмы;
  • гнойного повреждения ткани в результате воспалительного процесса;
  • глистной инвазии.

Пятно может быть результатом появления мозоли в костной ткани, если пациент ранее получил перелом кости.

При тенях неопределённого рода (нечётких, с «рваными» краями) врачи диагностируют одну из патологий:

  • стафилококковое поражение лёгкого и развившееся на этом фоне воспаление;
  • скопление жидкости в плевре;
  • экссудативный плеврит;
  • инфарктное состояние сердца.

Поскольку отклонения от нормы в снимке могут трактоваться неоднозначно, то диагноз на основании данных флюорографии не ставится. Для диагностики собирается комплекс признаков, делаются дополнительные анализы, в том числе и компьютерная томография. И только на основании целого комплекса симптомов возможно говорить о точном заболевании.

Осумкованный экссудативный плеврит

При расшифровке флюорографии учитывается не только наличие пятен и затемнений. Врачи внимательно относятся и к исследуемым структурам — корням лёгких, бронхам, диафрагме. Их состояние и отображение на снимке позволяет проиллюстрировать ту или иную патологию.

К примеру, отмечаются следующие характеристики:

Декстрапозиция органов средостения и желудка

Уплотнение корней лёгких — это характеристика не именно корня, а всех структур, которые визуализируются на данном участке (главный бронх, сосуды, лимфатические узлы). Если корни расширены и плотные по структуре, то это свидетельствует о хроническом патологическом процессе, а также о недавно перенесённом бронхите или пневмонии.

Если рентген показывает, что корни тяжистые, то это говорит о хроническом бронхите у пациента. Этот признак может быть и при онкологической патологии, при бронхоэктазийной болезни, при профессиональных вредностях.

Расширение сердца в поперечнике

Усиление лёгочного сосудистого рисунка — это результат активного кровоснабжения, которое возникает при остром воспалительном процессе в лёгких, при врождённых пороках сердца, раковом поражении органа. Этот признак диагностируется и при лёгких патологиях — бронхите, ОРВИ.

Если на снимке есть фиброз или обнаружена фиброзная ткань, то это говорит о ранее перенесённом заболевании, например, пневмония, инфекционный процесс, операция, туберкулёз.

Инородные тела в мягких тканях

Кальцинаты — это включения, по плотности напоминающие костную ткань, поэтому визуализируются светлым оттенком. Образуются в месте, где ранее был нагноительный процесс, глистная инвазия или инородное тело. Кальцинаты являются свидетельством контакта с больным туберкулёзом, но у самого пациента заболевание не перешло в активную фазу.

Спайки и плевроапикальные наслоения — признаки ранее перенесённого воспалительного процесса. Спайки не требуют вмешательства. Плевроапикальные наслоения являются утолщениями плевры, которые также говорят о воспалительном процессе, который был ранее. Напоминают о воспалении и синусы плевры. Если синус свободен или запаян, то это говорит о норме или патологии соответственно.

Воздух в расширенном пищеводе

Изменения со стороны диафрагмы — часто являются не столько признаком лёгочной патологии, сколько свидетельством патологии органов пищеварения.

Тень средостения считается расстоянием между лёгкими. Здесь расположены трахея, пищевод, железы, лимфоузлы и кровеносные сосуды. Тень средостения расширена и смещена при увеличении размера сердца и гипертонической болезни.

Лёгкие курильщика: как читать рентген

Лёгкие курильщика дают типичную картину, по которой видно о пристрастии к пагубной привычке. Особенность исследования таких пациентов в том, что изменения не всегда видны на снимке. Тем не менее у курильщиков наблюдается утолщение тканей лёгких, изменения бронхиального дерева. Отмечается скопление жидкости, опухолевые точечные образования. Если корни на флюорографии уплотнены, то это тоже является свидетельством того, что человек курит.

Противопоказания к рентгеновскому исследованию

Исследование нельзя проводить при плохом самочувствии пациента (высокая температура, слабость, озноб, лихорадящее состояние), при наличии одышки. Не делают флюорографию также тем пациентам, которые не способны удерживать тело в нужном положении. Не проводится исследование детям и беременным женщинам.

Флюорография лёгких — эффективная диагностика органов грудной клетки. При помощи исследования определяют не только наличие туберкулёза, но и такие патологии, как рак, эмфизема, аномалии строения сердца и лёгких. Проводится флюорография быстро, а особого вреда не приносит. Тем не менее врачи рекомендуют её исключительно по показаниям, чтобы лишний раз не облучать пациента.

Видео

osnimke.ru

Расшифровка результатов флюорографии: таблицы, нормы, когда готовы?

После полной расшифровки результатов флюорографии можно определить не только туберкулез или опухоль онкологического характера на легких, но и некоторые другие патологии.

Сколько раз можно проводить данное исследование без вреда для здоровья? Проводится исследование планово не чаще, чем один раз в год. Флюорография является обязательной при устройстве на работу.

В большинстве случаев результаты расшифровки флюорографии готовы уже через несколько дней.

Характерные особенности выполнения

В основу метода флюорографии положена способность рентгеновских лучей проникать через плотную поверхность легочной ткани и проявляться на специальной пленке в виде рисунка легких, полученного посредством флюоресцирующих частиц.

Данное обследование относится к обязательным, если пациента готовят к различным операциям или если человек проходит диспансеризацию и плановое обследование.

Как правило, такое обследование легких назначается не чаще чем один раз в год, если человек здоров. При необходимости такая диагностика легких может быть рекомендована и в более частом режиме.

Фото:

Флюорография легких не является высокоинформативным методом исследования, однако ее результаты могут послужить поводом для дальнейшего дообследования.

Полученный снимок дает врачу возможность своевременно определить различные патологические состояния легких, проверить уплотнены ли их корни, а также проанализировать некоторые другие цифры.

На снимке хорошо видны все изменения, которые происходят в строении легочной ткани. Для каждого показателя, который определяется через флюорографию легких, есть своя норма.

Любое отклонение от нее означает развитие патологических состояний в легочной ткани. Расшифровка снимка выполняется в течение нескольких дней, после чего ее результаты доводятся до пациента.

Основной задачей данного метода является своевременное выявление туберкулеза и поражений легочной ткани онкологического характера.

Помимо этого, снимок легких, сделанный при помощи флюорографии, дает возможность выявить на ранних стадиях развитие патологических состояний в костном скелете, в сердце, в некоторых крупных сосудах и в диафрагме.

За счет того, что флюорография позволяет выявить некоторые скрытые недуги, проводят ее массово. Чтобы самостоятельно пройти обследование, необходимо получить направление у врача.

Как правило, аппарат для проведения флюорографии имеется в каждом медицинском учреждении, в том числе и в противотуберкулезном диспансере.

Видео:

Кроме того, существуют и передвижные установки, которые используются для обследования населения, проживающего в отдаленных районах.

При выполнении флюорографии человек получает небольшую лучевую нагрузку, которая в разумных пределах не вредит здоровью.

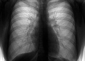
Сам снимок, полученный после обследования, выглядит неоднородно. Связанно это с тем, что органы, расположенные в области грудной клетки, имеют свойство по-разному поглощать поступающее излучение.

На снимке можно увидеть сердце и бронхи в виде светлых пятен. Легочная ткань здорового человека будет отображена равномерно, без неоднородных вкраплений.

Если на легких имеются какие-либо патологии, то снимок покажет либо затемненные области, когда корни легких и сама ткань уплотнены, либо проявятся светлые участки, свидетельствующие о том, что ткань имеет высокую воздушность.

Качество снимка и его информативность зависит от того, насколько современная используется аппаратура для обследования. Ждать результаты флюорографии пациенту придется в течение нескольких дней.

Показания к назначению

Флюорография позволяет обследовать достаточно большую область внутреннего организма у человека. В большинстве случаев ее назначают для исследования состояния легочных тканей.

Помимо этого, при помощи флюорографии можно также выявить некоторые патологии в работе сердца и грудных желез. Данная диагностика используется и при исследовании косточек скелета.

В настоящий момент наиболее распространенной считается флюорография грудины. В этом случае есть возможность диагностировать такой серьезное заболевание, как туберкулез, а также выявить формирование злокачественных образований в легких и груди.

Рентгенография дает возможность врачам обнаружить инородные предметы, попавшие во внутреннее пространство грудины.

Кроме того, есть возможность своевременно диагностировать такие патологии, как фиброз или склероз.

Флюорографический снимок четко показывает всевозможные воспалительные процессы, которые носят нефизиологический характер.

К таким процессам врачи относят различные кисты, абсцессы, а также всевозможные каверны.

На основании цифр, полученных после проведения расшифровки снимка, можно диагностировать наличие в полостях газа или инфильтрата.

В том случае, если флюорография необходима для обследования на туберкулез, проводить ее следует не чаще чем один раз в год.

В том случае, если у человека был постоянный контакт с больным туберкулезом, то исследовать легкие придется один раз в полгода.

Раз в шесть месяцев в обязательном порядке делают снимок грудины все служащие родильных домов, больниц и других медицинских учреждений.

Очень часто флюорография назначается в качестве дополнительного обследования при различных патологиях.

В обязательном порядке она проводится один раз в шесть месяцев тем пациентам, которым была диагностирована бронхиальная астма или сахарный диабет.

Регулярно проверять свои легкие следует и тем, кому поставили диагноз ВИЧ или выявили какое-либо поражение желудка.

Все вышеперечисленные рекомендации относятся и к людям, которые отбывали наказания в не столь отдаленных местах и находятся в зоне риска.

Флюорографию обязательно проходят все призывники перед отправкой на службу. Пройти такую внеочередную диагностику могут рекомендовать и тем, кто постоянно проживают рядом с беременными женщинами или новорожденными.

В обязательном порядке регулярно делают снимок грудины те пациенты, которым в свое время был диагностирован туберкулез, или если у врача есть подозрение на наличие у человека данной сложной патологии.

Если рентгенолог на основании снимка делает заключение «норма», то это означает, что у пациента не выявлено каких-либо патологий в исследуемых зонах, то есть человек может вести обычный образ жизни.

Расшифровка флюорографии может показать и отклонение некоторых цифр от нормальных показателей. В этом случае врач принимает решение о дальнейшем обследовании в индивидуальном порядке.

Здесь все зависит от того, насколько обширно развивается выявленная патология.

Вместе со снимком пациенту на руки выдается и заключение, в котором рентгенолог подробно описывает все выявленные негативные процессы и установленные отклонения полученных цифр от нормы.

Анализ результатов

Точность результатов и цифр основных показателей, полученных после проведения флюорографии легочной ткани, в большинстве своем зависят от квалификации рентгенолога, который должен их расшифровать.

Если при анализе не выявлено каких-либо отклонений и патологий, то ставится норма. Во всех остальных случаях могут быть назначены дополнительные обследования, направленные на уточнение окончательного диагноза.

В заключении к снимку могут содержаться различные специальные формулировки, каждая из которых означает развитие определенной патологии.

Так, если в заключении указанно, что корни несколько расширены или уплотнены, то это может указывать на развитие бронхита, наличие воспаления легких, а также некоторые другие недуги хронического характера.

В том случае, когда врач указал «тяжистые корни», то, скорее всего, у пациента развивается острый или хронический бронхит. Также такое состояние характерно для курильщика.

Заключение может содержать формулировку «усиление сосудистого рисунка», что означает усиление кровообращения вследствие какого-либо воспалительного процесса.

Данное состояние может быть вызвано развивающейся пневмонией, простым бронхитом или раком на ранней стадии.

Если присутствует пункт «фиброзные ткани», то, скорее всего, человек уже перенес в своей жизни заболевание легких либо это является следствием травм.

Врач может указать на наличие на снимке очаговых теней. Это может с большой вероятностью говорить о развитии пневмонии.

В том случае, когда тени наблюдаются в верхней части легких, то, скорее всего, у человека развивается туберкулез.

Следует отметить, что при проведении расшифровки флюорографии используются специальные кодовые обозначения, которые сводятся в таблицы.

Каждый код, который присутствует в таблице, соответствует определенной патологии, для каждой из которых, в свою очередь, есть своя норма.

В своем заключении врач должен указать не только код выявленной патологии, но и подробно расписать локализацию легочного поля.

Для каждой конкретной патологии есть характерные группы заболеваний. Расшифровка флюорографии позволяет выделить зоны риска и после дополнительного обследования поставить точный диагноз.

К примеру, если сделанный снимок показал некоторые очаговые изменения, то у пациента может присутствовать очаговый туберкулез либо периферический рак, который протекает без распада в самом легком.

Флюорография также может показать плевральный выпот, что означает скопление определенного количества жидкости в области плевральной полости.

Это характерно при туберкулезе и различных пневмониях.

Следует отметить, что делать флюорографию не рекомендуется беременным женщинам, а также молодым мамочкам, которые кормят грудью.

Кроме того, крайне опасно проводить это обследование и детям до 14 лет, а также тем, кто страдают некоторыми группами тяжелых заболеваний.

Надеемся, данная статья поможет вам определиться с тем, зачем и сколько раз стоит делать флюорографию. Будьте здоровы!

moydiagnos.ru

Расшифровка результатов флюорографии. О чем говорят снимки пациенту?

Каждый человек знает о необходимости прохождения медицинского обследования каждый год. Это дает возможность врачам выявить на ранних стадиях развития опасные для жизни патологии туберкулеза, онкологических образований, а также процессы других заболеваний. Заключение о состоянии здоровья выносится по результатам анализов, и после того, как будет пройдена флюорография. Именно ее расшифровка открывает картину перед специалистами о состоянии легких пациента.

Позитивные и негативные стороны диагностики рентгеновскими лучами

При данном процессе обследования на организм человека ложится определенная нагрузка. Ее определяют рентгеновские лучи, направленные внутрь человека. Поэтому данная диагностика назначается строго по предписанию врача и проводится под пристальным вниманием медицинских работников.

Флюорография до сегодняшнего дня занимает лидирующую позицию среди других способов выявления заболеваний в организме человека. Это вызвано рядом преимуществ данной процедуры. Ими являются:

  • Доступная стоимость для каждого человека. Ее можно пройти без особых проблем в каждой районной поликлинике. С появлением такого новшества, как цифровая аппаратура, отпала необходимость покупать пленку, чтобы сделать снимки. Они сразу поступают в базу данных, и врач через монитор может детально изучать их.
  • Быстротечность прохождения процедуры. Она длится всего несколько минут и не требует предварительной записи у рентгенолога. Результат обследования готовится сутки, после чего пациент получает талончик о прохождении на руки.
  • Рентгеновские лучи не вызывают болевых ощущений. Перед процедурой больному не требуется делать инъекции с обезболивающим веществом. Единственный минус – это холодные части устройства, к которым приходится прижиматься обнаженным телом.
  • Высокий показатель информативности. Процедура способна обнаружить страшные заболевания на начальном этапе развития.

Единственным недостатком данного метода является вредность рентгеновских лучей на организм человека. Но, если диагностика проводится со строгим соблюдением норм, то их негативное влияние не ощущается. Кроме этого, флюорография не способна предоставить достаточно информации врачу при обследовании грудной клетки. Она способна определить очаг патологий, а окончательный диагноз устанавливают больному после дополнительных исследований.

Подготовка и механизм проведения

Для прохождения такого обследования пациенту не требуется проходить специальную подготовку. Необходимо в назначенное время прийти и сделать снимок. При этом нельзя забывать, что увеличенная диафрагма может существенно повлиять на результат обследования. Поэтому его необходимо проходить на не наполненный пищей желудок.

Перед рентгеном требуется раздеться в специальном помещении до пояса, не забыв при этом снять украшения. Женщинам, имеющим длинные волосы, требуется поднять их выше шеи и зафиксировать с помощью резинки или заколки.

Обследование может состоять в следующем:

  • в потребности, когда пациента просят надеть защитный фартук;
  • пациента просят зайти в специальную кабинку, встать на специальную подставку и плотно прижаться грудной клеткой к экрану аппарата;
  • в требуемый момент времени врач дает команду задержать воздух и не дышать после выдоха несколько секунд, что не предоставляет никаких неудобств;
  • в момент задержки дыхания аппарат включается и фотографирует грудную клетку;
  • идет команда от врача, что можно свободно дышать и следует покинуть кабину.

После процедуры пациент одевается и получает указания, когда требуется прийти за результатом обследования. В случае необходимости получить снимки с разных проекций, то фотографирование происходит несколько раз. Пациента просят прижимать к экрану под разными углами.

Флюорография расшифровка результатов обследования грудной клетки

Флюорография расшифровка результатов

Технология данной процедуры заключается в исследовании состояния органа с помощью рентгеновских лучей, проходящих через ткань грудной клетки. Вырабатываемые в этом процессе флюоресцирующие микроскопические частицы отпечатывают рисунок на пленку.

По правилам, такая диагностика определяется лицам, достигнувшим восемнадцатилетнего возраста не больше одного раза в год. Такая норма относится только к здоровым пациентам, когда дополнительная флюорография не требуется.

Отснятые патологии легких различаются по затемнениям. Они бывают таких видов:

  • показывающие на присутствие жидкости;
  • без четких границ контура;
  • очаговые отпечатки;
  • сегментные отображения;
  • сфокусированные пятна;
  • долевые отпечатки на пленке.

В случае выявления одного из перечисленных пятен, врач назначает дополнительное развернутое рентгенологическое исследование. Оно заключается в том, что грудная клетка фотографируется в разных проекциях. Расшифровывать такой снимок должен опытный рентгенолог, чтобы избежать ошибок в установлении диагноза.

Причины появления пятен

Если флюорография обнаружила пятна очагового вида до 10 мм, то это напрямую указывает на проблемы с сосудистой системой, на появление патологий онкологического характера или нарушений органов дыхания. Более точное определение даст результат компьютерной томографии и общие анализы, куда включена мокрота.

Флюорография расшифровка

Кроме этого очаговые затемнения могут показывать, что у пациента присутствует инфаркт миокарда. Стоит отметить, что симптомы данного заболевания часто напоминают туберкулез на стадии начального развития.

Сегментарные пятна обладают треугольной конфигурацией с ясным контуром. Если такая патология в единственном числе, то есть одно затемнение, то это может быть принято за последствие травмы легочной ткани, присутствие инородного тела или наличие эндобронхиальной опухоли. Если таких треугольников несколько, то это может говорить, что у пациента может быть одно из заболеваний:

  • острая или хроническая форма воспаления легких;
  • раковая опухоль;
  • скапливание жидкости в плевральной области;
  • туберкулез;
  • присутствие метастазов в соседних органах организма.

Долевое пятно с четкой границей показывает, что пациент страдает на одно из легочных заболеваний. Это может быть бронхоэктазия, гнойное воспаление тканей легких и другие.

Сфокусированные пятна появляются на поверхности легких при таких болезнях:

  • воспаление легких разной стадии;
  • бронхиальная астма;
  • скопление жидкости в плевральной зоне;
  • глистная инвазия;
  • гнойное воспаление легочной ткани.

Также такие пятна зарождаются в местах расположения мозолей кости, появляющиеся в местах получения перелома.

Если расшифровка результата флюорографии показала, что у пациента присутствуют затемнения неопределенной конфигурации, то это может подтверждать:

  • на воспаления, возникшие из-за стафилококковой инфекции;
  • на концентрации жидкости в плевральной области;
  • на инфарктное состояние сердца;
  • на плеврит экссудативный.

Как видно из перечисленных патологий причин затемненных проявлений на снимке существует множество. Поэтому нельзя независимо ставить диагноз. Только специалист сможет правильно расшифровать снимок и дать рекомендации о следующем этапе диагностирования.

Особенности расшифровки результатов флюорографии

Специалист рентгенолог может дать расшифровку рентгеновского снимка в одной из таких форм:

  1. Корни находятся в уплотненном и расширенном состоянии. Возможна пневмония, бронхиальная астма или бронхит.
  2. Присутствие корней тяжелой формы. Характерно для бронхита в обостренной стадии или частое курение.
  3. Выраженность сосудистой картинки. Указывает на наличие проблем с сосудистой системой, появление раковой опухоли на первой стадии, воспаление легких или бронхит.
  4. Очаговые пятна. Назначить больному дополнительную диагностику. Патология указывает на туберкулез или воспаление в обостренной форме верхних или нижних дыхательных путей.
  5. При затемнениях с явно выраженными контурами лечебные процедуры не назначаются. Организм пациента самостоятельно переборол туберкулез или воспалительный процесс в легких. Это выражается солевыми отложениями.

Например, снимок рентгена может трактоваться врачом по-иному. Видоизменение формы диафрагмы свидетельствует о наличии спаек в грудной клетке или нездоровье органов пищеварения – печени, желудка, кишечника.

Важно помнить, что каждый орган по-своему поглощает рентгеновские лучи. Поэтому, этому снимок по контрастности выглядит не однородно. Сердце и бронхи всегда показываются белыми пятнами, а здоровые легкие равномерными по цвету, без каких-либо затемнений.

Расшифровка флюорографии легких курильщика

Наука уже давно доказала, что даже впервые выкуривание сигареты вызывает определенные видоизменения в легких и дыхательных путях. Именно поэтому врачи настоятельно рекомендуют курильщикам и людям, находящимся постоянно под воздействием табачного дыма, проходить флюорографию каждый год.

Как показывает практика, не всегда начальные патологии в дыхательной системе курящего человека могут отобразиться на снимке рентгена. Обычно они свое начало берут с бронхиального дерева. Но, несмотря на это, на карточке могут отобразиться утолщения в структуре легочной ткани, различные опухолевые образования и концентрация жидкости в полостях легких.

Как бы скептически курильщики не относились к данной процедуре, но своевременное определение, например, такого заболевания, как воспаление легких поможет избежать тяжелых последствий. Больному назначают срочно курс терапевтических процедур, выводящих его из зоны риска.

Противопоказания к обследованию с помощью рентгена

В современной медицине существует перечень пациентом, которым врачи не назначают флюорографию. В данный список входят дети до 17 лет, больные на клаустрофобию, беременные женщины и люди не способные держать тело в вертикальном положении. Также в группу риска попадают пациенты планирующие зачатие ребенка.

На практике много случаев, когда таким пациентам назначают рентген в экстренных случаях. Например, при явных признаках воспаления легких.

zdorovie-legkie.ru


Смотрите также