Дисгенезия мозолистого тела

Дисгенезия мозолистого тела[Дисгенезия мозолистого тела]

Дисплазия мозолистого тела

Среди аномалий развития мозга одним из самых часто встречающихся заболеваний является врожденная структурная патология, агенезия мозолистого тела, при которой имеет место нарушение ассоциативных связей между двумя полушариями.

Оглавление:

Агенезия мозолистого тела: причины

Заболевание, связанное с аномальным развитием головного мозга, врожденное, достаточно редкое, проявляющееся в полном или частичном отсутствии структурного образования, соединяющего полушария мозга, носит название адгезии мозолистого тела.

Мозолистое тело объединяет полушария головного мозга

В норме мозолистое тело, или большая спайка, представлено плотным сочленением нервных волокон, объединяющим полушария мозга, левое и правое, обеспечивает координацию между ними.

Формирование этой структуры с точки зрения морфологии соответствует периодунедели беременности, начало дифференциации ткани мозолистого тела относят к середине шестой недели.

Данная патология может иметь разную степень структурного проявления и выражаться в виде тотального отсутствия, частичного (гипогенез) либо неправильного (дисгенезия) формирования, недоразвития (гипоплазия) мозолистого тела.

Вместо нормальной структуры, которая выглядит как широкая плоская полоса, большая спайка приобретает вид укороченных перегородок или прозрачных столбов свода.

Как правило, точно определить причину врожденного структурного порока развития мозга, затруднительно.

Предрасполагающие факторы

  • Наследственность (семейные случаи проявления, с наследованием по типу аутосомного или сцепленного с Х-хромосомой)
  • Спонтанные мутации
  • Перестройка хромосом
  • Внутриутробные инфекции (чаще вирусной природы) или травмы
  • Воздействие токсических веществ, тератогенный эффект лекарственных средств в течение утробного развития
  • Фатальный алкогольный синдромом у плода (из-за алкоголизма матери в течение беременности)
  • Дефицит питательных веществ у плода
  • Нарушения обмена веществ у матери

На сегодняшний день однозначно назвать причину агенезии мозолистого тела не представляется возможным; можно лишь выделить факторы, обуславливающие ее возникновение.

Познакомиться со строением головного мозга вы можете, посмотрев предложенное видео.

Симптомы и диагностика

Клиника болезни имеет различный характер проявления, в зависимости от этого может быть выявлена при тяжелой форме в детском возрасте, обычно до двух лет, либо у взрослых, бессимптомно и порой совершенно случайно.

Дети, заболевание у которых по тем или иным причинам не было диагностировано в пренатальный период, при рождении выглядят здоровыми, их развитие соответствует норме до достижения ими трех месяцев.

Именно на данном этапе появляются первые симптомы болезни, обычно в виде так называемых инфантильных спазмов, разновидности приступов эпилептического характера, припадков.

Симптоматика

  • Прерывание формирования и дальнейшего развития структуры мозолистого тела на первых стадиях
  • Развитие порэнцефалии, дефекта мантии мозга
  • Гидроцефалия – отсутствие способности отслеживания глазами, позднее – отсутствие движений произвольного характера
  • Атрофические явления нервов, зрительных и слуховых
  • Микроэнцефалия
  • Появление новообразований, кист в районе полушарий
  • Полимикрогирия (недостаточно сформированные извилины)
  • Преждевременное, раннее половое развитие
  • Проявление синдрома расщепления позвоночника
  • Проявление синдрома Айкарди
  • Развитие липом
  • Патология органов желудочно-кишечного тракта, опухолеобразование
  • Замедление, а затем торможение психомоторного развития
  • Проявления в различной степени отсталости, умственной и физической
  • Нарушения координации
  • Задержки развития, аномалии различных органов
  • Низкий мышечный тонус
  • Аномалии скелета

У пациентов с сохранением интеллекта и двигательных функций проявление аномалии заключается в нарушении обмена информацией между полушариями, например, в затруднениях, которые испытывает правша, при просьбе обозначить по названию какой-либо предмет, находящийся в левой руке.

Диагностируют болезнь путем сканирования головного мозга

Диагностика заболевания может быть выявлена при выполнении процедуры сканирования головного мозга.

Проведение пренатальной диагностики такой аномалии как агенезия мозолистого тела сопряжена с большими трудностями. Чаще всего диагностируют аномалию на этапе второго-третьего триместра беременности.

В качестве основного метода используют метод эхографии, находят применение также процедуры МРТ, УЗИ.

Проведение процедуры эхографии в пренатальный период позволяет диагностировать далеко не все случаи заболевания, в том числе из-за особенностей предлежания плода.

Кроме того, при частичной агенезии обнаружить дефект еще более затруднительно.

Затрудняет диагностику заболевания то обстоятельство, что агенезия достаточно часто сочетается с целым рядом пороков развития, с различными генетическими симптомами.

Для получения полной картины обследования в случае подозрения на наличие аномалии необходимо выполнять кариотипирование, а также тщательный ультразвуковой анализ, диагностики с использованием магнитно-резонансной томографии.

Сочетание различных современных методов обследования позволяет с большей достоверностью диагностировать случаи агенезии мозолистого тела в пренатальный период.

Агенезия мозолистого тела: лечение и прогноз

На сегодняшний день не существует эффективных методов лечения заболевания.

Лечение направлено на минимальное проявление симптомов болезни

Лечебные мероприятия состоят в терапии серьезных симптомов, сведения их к минимальному проявлению.

Медикаментозные средства

  • Антиэпилептического ряда
  • Из группы бензодиазепинов
  • Фенобарбитал
  • Кортикостероидные гормоны

К сожалению, часто лечение малоэффективно, и даже использование сильнодействующих лекарственных средств не приносит желаемых результатов.

Для коррекции состояния пациента может потребоваться проведение различных хирургических вмешательств, применение методов физиотерапии, лечебной физкультуры.

Прогноз для пациентов с агенезией мозолистого тела во многом зависит от типа аномалии. При отсутствии сочетания заболевания с патологией какого-либо типа можно говорить о достаточно благоприятном прогнозе.

Если имеет место сочетание агенезии и другой патологии, о благоприятном прогнозе речь не идет, в таких случаях проявления нарушений интеллекта, неврологических проблем, задержки развития и остальных симптомов проявляются с большой частотой.

Лечение пациентов с агенезией мозолистого тела в настоящее время носит симптоматический характер и не является действенным.

Патология мозга, агенезия мозолистого тела, может быть отнесена к группе заболеваний с множественными аномалиями развития и неблагоприятным прогнозом.

Заметили ошибку? Выделите ее и нажмите Ctrl+Enter, чтобы сообщить нам.

Читайте о здоровье:

Напиши в комментарии, что думаешь

Поиск по сайту

Почтовая рассылка

Давайте дружить!

прямого разрешения администрации журнала «Докоторам.нет»

Источник: https://doctoram.net/content/ageneziya-mozolistogo-tela-v-chem-opasnost-zabolevaniya.html

Редкое заболевание гипоплазия мозолистого тела, приговор или нет?

Мозолистое тело головного мозга играет важную функцию в организме, но даже такой небольшой орган подвержен болезням – гипоплазия мозолистого тела, одна из редких, но не менее опасных аномалий, которая влияет на функционирование данного органа.

В чем причина?

Мозолистое тело расположено ровно посредине между двумя полушариями мозга. Его функции были открыты сравнительно недавно примерно в 60–70-х годах прошлого столетия, причем случайно. При лечении эпилептических припадков существовала практика, раздвоения данного тела на две половины, в результате чего припадки исчезали, но появлялось много побочных эффектов от подобной процедуры, которые и натолкнули докторов, проводивших изучение, на правильные мысли. Мозолистое тело является проводником нейронов между двумя полушариями, благодаря ему в нашем организме происходи много важных процессов, таких как:

  • двигательная активность;
  • проявления чувств;
  • познавательные процессы.

Говорить о том, что все эти процессы будут ограничены для больного нельзя, такое возможно лишь в крайне тяжелой форме болезни, но наличие отклонений будет заметно невооруженным глазом.

К примеру, когда у взрослого человека с эпилептическими припадками рассекали мозолистое тело, через некоторое время обратили внимание, что все, что связано с творчеством (рисование, стихосложение и т. п.) человек мог делать только левой рукой, тогда как обычные процедуры (прием пищи, переписывание текста) только правой.

Что же говорить о человеке с гипоплазией мозолистого тела. В данном случае последствия куда более тяжелые, но… Обо всем по порядку.

Причина возникновения данного недуга до конца неизвестна, но ученые сходятся во мнении, что львиная доля кроется в генетических отклонениях, которые закладываются во внутриутробном развитии, в частности, на 2–3 неделе эмбрионального периода.

Кроме того, есть мнение, что на наличие гипоплазии обуславливается мутациями, влияющими на развитие мозга. К сожалению, более точной информации врачи дать не в состоянии.

В группу риска попадают мамы, которые:

  • употребляют алкогольные напитки во время беременности;
  • переболели краснухой, во время беременности, ровно как токсоплазмозом или тяжелыми формами гриппа;
  • подвергались радиационному облучению;
  • были подвержены общей интоксикацией организма.

Данное заболевание относится к разряду редких и согласно статистике встречается у каждого 10-тысячного младенца.

Как распознать?

Гипоплазия мозолистого тела у новорожденного диагностируется, как правило, после первых двух месяцев жизни, но чаще это происходит в период внутриутробного развития.

Если до рождения ребенка врачи просмотрели недуг, то в течение 2 первых лет жизни ребенок будет развиваться гармонично, как и подобает нормальному младенцу, и лишь по прошествии указанного времени родители могут заметить некоторые отклонения, такие как:

  • инфантильные спазмы;
  • судороги;
  • эпилептические припадки;
  • ослабевание крика;
  • нарушение осязания, обоняния и зрения;
  • снижение коммуникативных навыков;
  • проявления, связанные с мышечной гипотонией.

инфантильные спазмы – судороги, характеризующиеся внезапным сгибанием и разгибанием рук и ног

мышечная гипотония – состояние, характеризующееся сниженным мышечным тонусом, может развиваться в сочетании со снижением мышечной силы у больного.

В том случае, если в детском возрасте, по какой-либо причине не удалось диагностировать и распознать наличие заболевания, оно обязательно проявится в зрелом возрасте, к симптомам можно отнести:

  • нарушение зрительной или слуховой памяти;
  • гипотермия;
  • проблемы с координацией движения.

Гипотермия – проблемы с терморегуляцией организма (снижение температуры тела ниже 35 градусов)

Как проходит диагностика в больничных условиях

Как правило, с гипоплазией мозолистого тела может развиться большое количество сопутствующих заболеваний, поэтому возможно, наличие других (отличных от указанных выше) симптомов. В 80% случаев диагностика данной болезни происходит во внутриутробном развитии при помощи УЗИ диагностики.

Тем не менее возможно назначение дополнительных анализов после рождения (если во время беременности клиническая картина была ясна не до конца) либо после обращения родителей к специалисту. Доктор проводит первичный опрос и уточняет наличие симптомов, характерных для данного диагноза, после чего обычно назначает:

  • магнитно-резонансная терапия (МРТ);
  • электроэнцефалограмма головы (ЭЭГ);
  • другие исследования неврологического характера.

На основании данных полученных по результатам вышеупомянутых исследований врач делает заключение и назначает лечение.

Особенности лечения

К сожалению, эффективного лечения на сегодняшний момент еще не придумано, и доктора по большей степени борются с симптомами болезни, поэтому дети с данным диагнозом обречены на постоянное лечение и поддерживающую терапию.

Конкретный план подбирает лечащий врач индивидуально для каждого. Все зависит от тяжести поражения мозолистого тела и клинической картины недуга.

В 70—75% случаев отмечается неблагоприятный исход. Большая вероятность умственной отсталости и развития серьезных психических отклонений, таких как шизофрения и т. п.

Советы родителям

Если вашему крохе поставлен диагноз гипоплазия мозолистого тела у новорожденного, то ему важна будет ваша поддержка и помощь. Вот несколько общих рекомендаций, по оказанию профилактических действий для малыша дома:

  1. Обращайте внимание на общее состояние младенца, если он устал или не проявляет интереса к занятиям или общению, дайте ему время передохнуть, он сам даст понять когда можно возобновить процедуру.
  2. Носите ребенка в позе «самолет», данное упражнение оказывает укрепляющее воздействие на организм, главное, не переусердствовать.
  3. Выкладывайте малыша себе на грудь, лицом к лицу, таким образом, чтобы его руки были под грудью, рукой гладьте его от головы к попке – данная процедура поможет ему перенести вес от головы к тазу, можно также класть его на кровать, а под живот свернутый валик из полотенца.
  4. Если малыш произносит звуки, копируйте их и повторяйте за ним, с той же интонацией, старайтесь выдерживать небольшие паузы, это будет стимулировать его к повторению.
  5. Во время игр с погремушкой дайте ребенку зафиксировать на ней взгляд, и, медленно водите из стороны в сторону, побуждая его следить за игрушкой. При потере ее из виду, легонько погремите, привлекая внимание и, продолжите процедуру. Если ребенок потерял интерес, не наседайте, дайте передохнуть.

К сожалению, диагноз гипоплазия является серьезным и часто не приходит один, можно лишь пожелать терпения родителям с больными детьми, ну а вы сами должны надеяться на лучшее, так как 25—30% имеют положительный итог, и возможно, именно вы попадете в эти проценты.

Источник: https://nervivporyadke.ru/tsns/gipoplaziya-mozolistogo-tela.html

Дисплазия

Определение дисплазия означает неправильное структурное развитие органа либо ткани организма человека. Под термином современная медицина рекомендует понимать общие расстройства эмбриогенеза и нарушения формирования тканей после рождения человека. Аналогичные данные предоставляет РКФ. Нарушения способны затрагивать любые органы и ткани, составляющие структуру человеческого организма. Изменёнными становятся величина и форма клеток и тканей, целых органов. Возможно диспластическое разрастание эпителия многих органов, клеток надпочечников, мозолистого тела. Отдельной главой выступают мезодермальная и лимфофолликулярная дисплазия, мультикистозная дисплазия почек и надпочечников.

Часто дисплазия выступает в роли врождённого патологического состояния, способна развиваться у взрослых людей под воздействием ряда неблагоприятных факторов. Диспластические процессы поражают с одинаковой частотой мужчин, женщин, животных, согласно данным РКФ. В избранных случаях возможно определить наличие патологии у плода.

Термин дисплазия, или диспластический процесс, введён в обращение сравнительно недавно, но современная медицина и врачи РКФ стали использовать название достаточно широко.

Вопреки распространённому мнению, дисплазия эпителия и воспаление – различаются. Каждая патология обнаруживает индивидуальные причины и отдельный код в международной классификации МКБ 10.

Виды дисплазии костно-мышечной системы

Различают виды дисплазии опорно-двигательного аппарата, развивающиеся на фоне неблагополучно протекавшей беременности либо наследственной предрасположенности. Каждый вид дисплазии имеет собственный код и определение по МКБ 10, зафиксирован врачами РКФ. Виды дисплазии поражают скелетные ткани, хрящи и суставную ткань.

  1. Спондилоэпифизарная дисплазия — группа заболеваний, когда нарушается правильное развитие костной ткани в конечностях, позвоночнике и костном кольце таза. Нарушение строения костной ткани приводит к уплощению тел позвонков, замедлению роста и нарушению развития точек окостенения. Спондилоэпифизарная дисплазия носит генетически обусловленный характер, сопровождается дистрофическими изменениями в сетчатке глаз, нарушением роста и развития зубов.
  2. Эпифизарные дисплазии включают патологические состояния: множественная эпифизарная дисплазия, поражающая собственно эпифизы трубчатых костей, точечная эпифизарная дисплазия, спастическая, гемимелическая и диспластический процесс тазобедренного сустава. Множественная эпифизарная дисплазия долгое время расценивалась как атипичная ахондроплазия, однако исследования ученых доказали, что разница присутствует.
  3. Дисплазия вертлужной впадины поражает тазобедренный сустав, приводит к образованию врождённых вывихов и подвывихов тазобедренного сустава. Если у врача ортопеда возникает подозрение на дисплазию при осмотре ребёнка первого года жизни, назначается ультразвуковое исследование тазобедренного сустава. Когда ребёнку исполнится три месяца, возможно делать рентгеновские снимки.
  4. Дистрофическая дисплазия являет аутосомно-рецессивный процесс, поражающий хрящи и связки органов, включая опорно-двигательный аппарат. Дистрофическая дисплазия характеризуется карликовостью, контрактурами в суставах, деформацией костей верхних конечностей.
  5. Кампомелическая дисплазия проявляется во внутриутробном недоразвитии хрящевой ткани опорно-двигательного аппарата и относится к разряду остеохондродисплазий. Часто диагноз выставляется до родов при обследовании плода. Патогномоничным симптомом считаются изогнутые голени и бедра ребёнка. Часто кампомелическая дисплазия у плода сочетается с многоводием и выступает причиной преждевременных родов.

При рентгенологическом исследовании снимки позволяют определить деформацию позвонков, признаки сколиоза. Снимки поясничного отдела отображают клиновидные тела позвонков. Во всех суставах тела отмечается сужение эпифизарных отделов костей. Купол вертлужной впадины плоский, лимбус выражен крайне слабо. Бедренные кости смещены вверх, достигают крыльев подвздошных костей. Тазовые кости выражено деформированы, что демонстрируют рентгеновские снимки. В запущенных случаях выявляется эрозия хряща и суставных головок.

Для животных разработан специальный тест на дисплазию, предложенный РКФ, позволяющий оценить состояние тазобедренных суставов.

Как лечить дисплазии костно-мышечной системы

Чтобы лечение проблем опорно-двигательного аппарата проходило эффективно, используются специальные ортопедические шины и приспособления. К примеру, можно применять шину Виленского. Детям часто назначают носить аппарат Гневковского. Аппарат состоит из пояса, сделанного из медицинской стали и специальных манжеток, надеваемые на бедра для правильной фиксации тазобедренного сустава и опорно-двигательного аппарата.

Назначает носить аппарат Гневковского врач. Продолжительность лечения определяется индивидуально в каждом случае после проведения полноценного обследования и появления значительной динамики. Другим действенным методом считается шина Виленского. Перед надеванием шины Виленского необходимо посоветоваться с врачом.

При выраженном болевом синдроме в позвоночнике современная медицина широко использует корсет Орлетт. Показаниями к применению средства становятся диспластические и дистрофические изменения позвонковых тел, травмы у мужчин после занятий спортом, острые боли в позвоночнике.

При дисплазии суставов у мужчин нельзя заниматься профессиональным спортом, болезнь повлечёт рецидив обострения и выраженный болевой синдром.

Если дисплазия протекала в лёгкой форме и откорректирована вовремя, впоследствии человеку возможно давать значительные нагрузки на конечности, даже заниматься спортом. Для этого допустимо воспользоваться специальными шинами, к примеру, Виленского.

Диспластические процессы сосудов

Фиброзно мышечная дисплазия относится к гиперпластическим процессам, поражающим артериальную сеть. Часто происходит поражение сонной артерии и почечных сосудов, реже фиброзно мышечная дисплазия поражает коронарные артерии или сосуды нижних конечностей. Другое название заболевания – фибромускулярная дисплазия или фибромышечная дисплазия. Наиболее часто заболевание поражает среднюю мышечную оболочку сосудов. Фибромускулярная дисплазия характеризуется гиперпластическим разрастанием тканей и появляется в сочетании с фиброзом эластической оболочки. На ангиографии фибромышечная дисплазия имеет вид бус или чёток, позволяя выставить диагноз с высокой достоверностью. Достоверный диагноз «фиброзно мышечная дисплазия» устанавливает биопсия тканей.

Лечение заболевания осуществляется путём назначения антиагрегантов, если не выявлены противопоказания к применению. В отдельных случаях проводится ангиопластика поражённого сосуда. Заболевание способно давать рецидив, требует регулярного наблюдения врачом. По данным РКФ прогноз у животных считается сомнительным.

Гормональные диспластические процессы

Дисгормональная дисплазия шейки матки, или гиперкератоз, считается атипическим разрастанием и изменением структуры эпителия шейки матки в её влагалищном отделе. Заболевание относят к разряду предраковых. Развивается на фоне эрозии или длительно текущего воспаления. Часто возникает у женщин после родов. Если процесс длится менее года, считается обратимым, хорошо поддаётся лечению. Важно обнаружить дисплазию шейки матки и эндометрия на ранних сроках, провести профилактику развития онкологических заболеваний, предупредить рецидив заболевания.

Эффективным диагностическим средством становится биопсия тканей, обнаруживающая гиперкератоз и изменения клеток плоского эпителия. При обнаружении воспаления шейки матки можно применять эпиген спрей, с помощью которого делают аппликации и орошения. Особенно эффективен эпиген спрей при инфицировании вирусами папилломатоза. Наносить эпиген спрей допустимо в домашних условиях по рекомендации врача. Хорошим эффектом обладает Индол.

Дисгормональная дисплазия отличается от эрозии. Согласно исследованиям РКФ, в случаях эрозии у животных происходит механическое травмирование тканей слизистой оболочки. При диспластическом процессе происходит изменение клеток плоского эпителия, выстилающего шейку матки, развивается гиперкератоз. Часто наблюдается рецидив процесса, особенно в местах, где образовалась эрозия или гиперкератоз. Часто развитию процесса способствует наступившая менопауза. Уточнить диагноз позволит биопсия. С большой степенью вероятности удаётся выявить гиперкератоз клеток плоского эпителия шейки матки. Для комплексного лечения используют спрей эпиген и биодобавку индол.

Наиболее частые причины развития дисплазии шейки матки и эндометрия — вирусы папилломы человека, характеризующиеся повышенной онкогенностью. Если у женщины имеется эрозия шейки матки, вирус инфицирует клетки, вызывая их перерождение, после чего развивается онкологическое заболевание. Диагноз требует подтверждения с помощью лабораторных анализов. Лечение осуществляют с использованием средства эпиген спрей или индол. Основным фармакологическим эффектом препарата эпиген служит его выраженное противовоспалительное свойство. Если необходимо лечение обоих партнеров, допустимо применять эпиген и для мужчин. При местном лечении папилломатоза у мужчин спрей впрыскивают в уретру. Препарат имеет противопоказания, требуется применять по рекомендации врача. Заниматься самолечением и делать самостоятельно назначения запрещено! Эффективно лечиться помощью фотодинамической терапии или препарата Индол. Специалисты РКФ рекомендуют длительное наблюдение и курсовое лечение.

Основным факторами, провоцирующими дисплазию, становятся:

  • Иммунодефицит, вызванный стрессами, тяжёлыми заболеваниями надпочечников, неправильным питанием, операцией конизации шейки матки. Немаловажную роль играет питание при дисплазии. Получить консультацию по питанию и уходу за животными можно у специалистов РКФ.
  • Вредные привычки.
  • Хронические вялотекущие воспаления половых путей, после которых часто развиваются эрозия и гиперкератоз.
  • Менопауза, большое количество родов, осложнения у матери и плода, состояние после конизации шейки, состояние после операции надпочечников.
  • Эрозия шейки матки.

Диагностика дисплазии проводится с помощью осмотра врачом, гинекологических мазков, кольпоскопического исследования. Широко применяется ультразвуковая диагностика тела матки и придатков, биопсия тканей. В качестве консервативной терапии широко используется эпиген спрей для снятия воспаления либо биопрепарат Индол.

Лечение дисплазии шейки матки осуществляется оперативным методом конизации. При проведении конизации осуществляется забор кусочка ткани с образцом клеток плоского эпителия. Заживление после операции проходит быстро и безболезненно, позволяет предотвратить рецидив. В послеоперационном периоде назначают спрей эпиген, лечение фотодинамической терапией, Индол.

Чтобы предотвратить рецидив, показано регулярно проходить обследование у гинеколога, включая менопаузу. В виде профилактики допустимо принимать препарат Индол.

Гиперкератоз клеток плоского эпителия шейки матки часто наблюдается у женщин в период менопаузы. Физиологические изменения в организме женщины приводят к гиперкератозу. В гинекологической практике гиперкератоз клеток плоского эпителия шейки матки занимает ведущее место по частоте встречаемости. В последнее время гиперкератоз имеет тенденцию к омоложению. Заболевание часто сопровождает мультикистозная дисплазия. Эффективно лечение с помощью фотодинамической терапии и препарата Индол. Животное должно быть регулярно обследовано у специалистов РКФ.

Дисплазии лицевого черепа и черепных нервов

  1. Врождённая септооптическая дисплазия ещё носит название синдром Монсьера. Это заболевание носит наследственный характер и выражается недоразвитием зрительного нерва, отсутствием прозрачной перегородки головного мозга, недоразвитием мозолистого тела и гипопитуитаризмом. Эта патология обнаруживает различные симптомы и варианты течения. Наиболее тяжёлые случаи заболевания характеризуются полной слепотой, поражением мозолистого тела, надпочечников, и недоразвитием интеллекта. Однако более часто встречается умеренная клиническая картина, характеризующая данный диагноз.
  2. Септохиазмальная дисплазия клинически выражается горизонтальным нистагмом, недоразвитием диска зрительного нерва и мозолистого тела. Нарушения зрения могут иметь весьма широкий диапазон. Нистагм обычно начинает проявляться у детей первого года жизни. Однако дать точный прогноз у детей до года бывает затруднительно, а то и вовсе невозможно. К сожалению, эффективных методов, чтобы исправить зрение при такой патологии, как септо оптическая дисплазия, до сих пор не разработано.
  3. Фронтоназальная дисплазия клинически проявляется сращениями швов черепа, брахицефалией, специфическим разрезом глазной щели, множественными аномалиями костей и суставов, поражением мозолистого тела.
  4. Фронтоназальная дисплазия сцеплена с Х-хромосомой и у мужчин встречаться крайне редко. Если фронтоназальная дисплазия носит доминантный характер, она характеризуется множественными пороками развития черепа и мозолистого тела. У женской половины населения этот синдром протекает тяжелее, чем у мужчин.
  5. Мезодермальная дисплазия поражает сетчатку глаза.

Диагностика синдромов проводится при помощи магниторезонансной томографии черепа. Для мужчин не рекомендуются занятия спортом и армия.

Дисплазии зубов

В стоматологической практике выделяется такая нозологическая единица, как дисплазия дентина, или синдром Капдепона-Стентона. Поражает ретикулярный дентин, коронковый. Дисплазия дентина первого типа наследуется по аутосомно-доминантному принципу и поражает как молочные зубы, так и коренные. Рентгеновские снимки зубов позволяют определить короткие корни зубов и отсутствие корневых каналов. При коронковой форме зубы имеют голубоватый цвет, полости коронок при этом облитерируются. Малейшая эрозия коронки или шейки зуба приводит к его быстрому разрушению.

Синдром Капдепона известен как наследственный чёрный зуб. Это наследственное заболевание, названо по имени французского врача Капдепона, проявляется в изменении цвета зубной эмали из-за её истончения и обнажения дентина, показывающего коричневатый цвет.

Корни зубов при этом укорочены, не реагируют на раздражители. Снимки зубов при синдроме Капдепона демонстрируют уменьшение полости зуба и полное сужение корневых каналов. Синдром относится к генетическим и передаётся по аутосомно-доминантному признаку. Лечить синдром Капдепона возможно лишь симптоматически. Диагноз подтверждается клиническим осмотром и рентгенологическим исследованием.

Дисплазии нейроэндокринной системы

Ряд пациентов с синдромом Кушинга поражено диспластическим процессом надпочечников. Не менее часто встречается патология мозолистого тела. Часто заболеванию сопутствует мультикистозная дисплазия почек.

Часто узелковое перерождение надпочечников выявляется в пожилом возрасте. Влияя на выброс гормонов из группы кортикостероидов, дисплазия приводит к развитию аденомы надпочечников. Чётко причины развития не установлены, однако подавляющее большинство клиницистов склоняется к аутоиммунной природе. Помимо поражения надпочечников отмечаются прочие нарушения – гиперпигментация кожи, предсердная миксома, мультикистозная дисплазия.

При проведении исследования на УЗИ мультикистозная дисплазия обнаруживает себя в виде множества кистозных образований.

Диффузный процесс диспластического поражения надпочечников трудно выявить на УЗИ. Информативным методом исследования надпочечников и мозолистого тела будет магниторезонансная томография и исследование крови на гормоны.

Дисплазией мозолистого тела называется его аномальное строение, сформировавшееся в результате нарушения гистогенеза. Поражение мозолистого тела проявляется в виде дисплазии и гипоплазии.

Частым поражением эндокринной системы становится лимфофолликулярная дисплазия подслизистых слоёв пищеварительной системы. Лимфофолликулярная дисплазия чаще всего поражает поджелудочную железу и пищеварительные железы кишечника.

Источник: https://otnogi.ru/bolezn/drugie/displaziya.html

Врожденные аномалии и пороки развития головного мозга , страница 2

IV желудочек широко сообщается с большой цистерной мозга, червь и полушария мозжечка гипоплазированы. Гидроцефалия. Сообщение IV желудочка с большой цистерной мозга и субарахноидальным пространством подтверждается гиперпульсацией ликвора в водопроводе и большой цистерне мозга.

Дифференциальный диагноз проводится с ретроцеребеллярной ликворной кистой и атрофией мозжечка. При ретроцеребеллярной ликворной кисте IV желудочек виден отдельно от кисты, при этом отмечается смещение IV желудочка вместе с полушариями мозжечка вверх и сдавливание IV желудочка. Атрофия мозжечка характерна для алкоголиков, проявляется равномерным уменьшением мозжечка с расширением борозд.

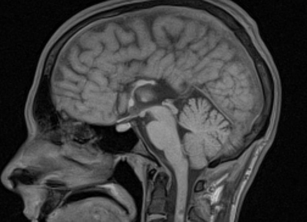
Агенезия мозолистого тела

Мозолистое тело – поперечные пучки белого вещества, соединяющие полушария головного мозга.

Степень недоразвития мозолистого тела может быть различной. Частичное недоразвитие – гипогенезия. Полное отсутствие – агенезия. Частичный дефект формирования – дисгенезия.. Частота составляет 1 на человек.

В мозолистом теле выделяют 4 отдела:

Агенезия мозолистого тела не имеет характерной клинической картины, а неврологическая симптоматика связана с сопутствующими изменениями.

Признаки агенезии мозолистого тела на МРТ. Широко расставленные передние рога и тела боковых желудочков, параллельный ход медиальных стенок боковых желудочков, расширенные задние рога боковых желудочков, высокое стояние Ш желудочка. Часто сочетается с липомой мозолистого тела или межполушарной кистой. Может сочетаться с другими дизрафиями.

Цефалоцеле – черепно-мозговые грыжи.

Представляет собой дефект развития костей черепа и твердой мозговой оболочки с экстракраниальным распространением структур мозга. В зависимости от содержимого грыжевого мешка выделяют: менингоцеле, менингоэнцефалоцеле, энцефалоцистоцеле (с частью желудочковой системы), атретическое цефалоцеле (ТМО, фиброзная ткань) глиоцеле(глиальная киста). Грыжи называются по локализации грыжевых ворот:

5. Краниошизис — через расщелины черепа.

Наиболее частая локализация менингоэнцефалоцеле (70%) – окципитальный регион, где они часто сочетаются с мальформацией Киари и стенозом водопровода. По 10 % занимают грыжи париетального и фронтального регионов (Grossman R.I., Yousem D.M., 1994). Грыжи фронтального региона часто сочетаются с агенезией мозолистого тела и шизэнцефалией. В типичных случаях грыжи располагаются по средней линии или парамедианно. Ткань мозга имеет характеристики мозговой ткани, менингоцеле — характеристики ликвора. Особое значение имеет диагностика грыж назофронтального и сфеноэтмоидального региона, которые клинически выглядят как полипы.

Анэцефалия

Диагностика должна осуществляться при дородовом УЗИ или МР-исследовании.

Гидранэнцефалия. Сформированы части мозга, питающиеся ЗМА (задние части височных долей, затылочные доли, таламус и инфратенториальные структуры. Отсутствуют части мозга, питающиеся из бассейна ВСА (ПМА, СМА), их место занимает огромный ликворный коллектор. Причина — окклюзия ВСА в эмбриональном периоде.

Голопрозэнцефалия. Неполное разделение правой и левой церебральных гемисфер. Выделяют основные формы:

1. Лобарная. Отсутствует или недоразвит фалькс, отсутствует прозрачная перегородка., боковые желудочки соединены между собой, мозолистое тело также отсутствует.

2. Семилобарная. III и боковые желудочки формируют единую срединную гигантскую желудочковую полость – диэнцефальную кисту. Мальформации лица.

3. Алобарная. Мозг содержит одну огромную полость. Нет мозолистого тела, фалькса, нет обонятельных луковиц и трактов. Обязательна грубые мальформации лица — циклопизм, отсутствие костей носа, сошника, клиновидной кости.

Септооптическая дисплазия. Сочетание гипоплазии зрительных нервов (нарушение остроты зрения), отсутствие прозрачной перегородки, атрофия зрительных нервов на МР-томограммах в корональной плоскости с использованием жироподавления.

Шизэнцефалия. Это врожденная расщелина, идущая вдоль первичных щелей мозга (латеральная, центральная) до бокового желудочка. Разделяют на два типа: с открытыми краями и с закрытыми краями (открытые губки, закрытые губки). По краям расщелины видно серое вещество (гетеротопия серого вещества), этим отличается от порэнцефалии. МРТ является методом выбора.

Аномалии нейрональной миграции.

Гетеротопия. Это скопление клеток серого вещества в необычных для них местах, связанное с задержкой радиальной миграции нейронов. Возникает от 7 до 16 недель гестации, когда осуществляется миграция нейробластов из перивентрикулярного региона в сторону мягкой мозговой оболочки. Почти все пациенты с гетеротопией страдают эпилепсией и нарушением развития. Различают гетеротопию фокальную (узловую), лентовидную (диффузную). Наиболее типичное место гетеротопии – субэпендимарный регион, где она носит типичную узловую форму. В отличие от туберозного склероза узелки гетеротопии имеют характеристики серого вещества, а при туберозном склерозе – участки белого вещества. Хорошо дифференцируется на Т2-ВИ.

В отличие от опухолей нет зоны перифокального отека, участки изоинтенсивны серому веществу, не накапливают контрастное вещество. Узелки могут содержать сосуды и ликвор, напоминая опухоль. Лентовидная гетеротопия может иметь масс-эффект.

Пахигирия. Это короткие, широкие и жирные извилины. (short, broad and fat). Если борозды не формируются вообще, получается гладкая поверхность мозга, и это состояние именуется агирией или лиссэнцефалией. Характерен высокоинтенсивный кортикальный ободок за счет ламинарного некроза. Сильвиевы щели не развиты. Высокий риск пахигирии имеют пациенты с врожденной цитомегаловирусной инфекцией.

Полимикрогирия (мелкие дезорганизованные кортикальные извилины) на МРТ трудно отличить от пахигирии, но отличается толщина коры: при полимикрогирии 5-7 мм, при пахигирии больше 8 мм.

Мегалэнцефалия. Это отчетливое увеличение всей или части церебральной гемисферы. На пораженной стороне обычно выявляется полимикрогирия, агирия, Расширенная зона коры, дилатация ипсилатерального желудочка с удлинением и выпрямлением переднего рога, нарушенная миелинизация. Клинически выявляются судороги, гемиплегии, нарушения развития и необычная конфигурация черепа.

Нейрокожные синдромы (факоматозы)

Заболевания, при котором поражаются структуры эктодермального происхождения: нервная система, кожа, глазное яблоко и его содержимое, иногда внутренние органы. Входят 4 заболевания:

1. Нейрофиброматоз (НФ) Реклингаузена I и II типов.

НФ – I типа. Аутосомно-доминантное заболевание. Встречаемость 1 на человек. Пятна цвета кофе с молоком на коже, подкожные нейрофибромы, глиома зрительных путей, астроцитомы, опухоли оболочек нервов, кифосколиоз, сосудистые дисплазии, эпилепсия, психические нарушения. На МРТ-томограммах могут быть зоны повышенного МР-сигнала в зрительных буграх неясного генеза.

НФ – II типа. Двухсторонние невриномы VIII нервов, менингиомы, глиомы, нейрофибромы. Встречаемость 1 на 5000 человек.

2. Энцефало-тригеминальный ангиоматоз (болезнь Штурге-Вебера). Триада симптомов: ангиома лица, глаукома, ангиоматоз мозговых оболочек с атрофией мозгового вещества. На краниограммах и КТ могут быть петрификаты в теменно-затылочных областях, напоминающие сосуды. На МРТ — после в/в усиления ангиомы проявляются как области повышенных сигналов в субарахноидальных пространствах.

3. Туберозный склероз (болезнь Бурневиля). Петрификаты в стенках боковых желудочков, на МРТ — субэпендимарные гамартомы изоинтенсивные с белым веществом. Субэпендимарные астроцитомы характерны в области межжелудочкового отверстия.

4. Ангиоматоз ЦНС (болезнь Гиппель-Ландау). Ретинальная ангиома, гемангиобластома мозжечка, ангиоматоз почек, печени, феохромоцитома.

  • АлтГТУ 419
  • АлтГУ 113
  • АмПГУ 296
  • АГТУ 266
  • БИТТУ 794
  • БГТУ «Военмех» 1191
  • БГМУ 172
  • БГТУ 602
  • БГУ 153
  • БГУИР 391
  • БелГУТ 4908
  • БГЭУ 962
  • БНТУ 1070
  • БТЭУ ПК 689
  • БрГУ 179
  • ВНТУ 119
  • ВГУЭС 426
  • ВлГУ 645
  • ВМедА 611
  • ВолгГТУ 235
  • ВНУ им. Даля 166
  • ВЗФЭИ 245
  • ВятГСХА 101
  • ВятГГУ 139
  • ВятГУ 559
  • ГГДСК 171
  • ГомГМК 501
  • ГГМУ 1967
  • ГГТУ им. Сухого 4467
  • ГГУ им. Скорины 1590
  • ГМА им. Макарова 300
  • ДГПУ 159
  • ДальГАУ 279
  • ДВГГУ 134
  • ДВГМУ 409
  • ДВГТУ 936
  • ДВГУПС 305
  • ДВФУ 949
  • ДонГТУ 497
  • ДИТМ МНТУ 109
  • ИвГМА 488
  • ИГХТУ 130
  • ИжГТУ 143
  • КемГППК 171
  • КемГУ 507
  • КГМТУ 269
  • КировАТ 147
  • КГКСЭП 407
  • КГТА им. Дегтярева 174
  • КнАГТУ 2909
  • КрасГАУ 370
  • КрасГМУ 630
  • КГПУ им. Астафьева 133
  • КГТУ (СФУ) 567
  • КГТЭИ (СФУ) 112
  • КПК №2 177
  • КубГТУ 139
  • КубГУ 107
  • КузГПА 182
  • КузГТУ 789
  • МГТУ им. Носова 367
  • МГЭУ им. Сахарова 232
  • МГЭК 249
  • МГПУ 165
  • МАИ 144
  • МАДИ 151
  • МГИУ 1179
  • МГОУ 121
  • МГСУ 330
  • МГУ 273
  • МГУКИ 101
  • МГУПИ 225
  • МГУПС (МИИТ) 636
  • МГУТУ 122
  • МТУСИ 179
  • ХАИ 656
  • ТПУ 454
  • НИУ МЭИ 641
  • НМСУ «Горный» 1701
  • ХПИ 1534
  • НТУУ «КПИ» 212
  • НУК им. Макарова 542
  • НВ 777
  • НГАВТ 362
  • НГАУ 411
  • НГАСУ 817
  • НГМУ 665
  • НГПУ 214
  • НГТУ 4610
  • НГУ 1992
  • НГУЭУ 499
  • НИИ 201
  • ОмГТУ 301
  • ОмГУПС 230
  • СПбПК №4 115
  • ПГУПС 2489
  • ПГПУ им. Короленко 296
  • ПНТУ им. Кондратюка 119
  • РАНХиГС 186
  • РОАТ МИИТ 608
  • РТА 243
  • РГГМУ 118
  • РГПУ им. Герцена 124
  • РГППУ 142
  • РГСУ 162
  • «МАТИ» — РГТУ 121
  • РГУНиГ 260
  • РЭУ им. Плеханова 122
  • РГАТУ им. Соловьёва 219
  • РязГМУ 125
  • РГРТУ 666
  • СамГТУ 130
  • СПбГАСУ 318
  • ИНЖЭКОН 328
  • СПбГИПСР 136
  • СПбГЛТУ им. Кирова 227
  • СПбГМТУ 143
  • СПбГПМУ 147
  • СПбГПУ 1598
  • СПбГТИ (ТУ) 292
  • СПбГТУРП 235
  • СПбГУ 582
  • ГУАП 524
  • СПбГУНиПТ 291
  • СПбГУПТД 438
  • СПбГУСЭ 226
  • СПбГУТ 193
  • СПГУТД 151
  • СПбГУЭФ 145
  • СПбГЭТУ «ЛЭТИ» 380
  • ПИМаш 247
  • НИУ ИТМО 531
  • СГТУ им. Гагарина 114
  • СахГУ 278
  • СЗТУ 484
  • СибАГС 249
  • СибГАУ 462
  • СибГИУ 1655
  • СибГТУ 946
  • СГУПС 1513
  • СибГУТИ 2083
  • СибУПК 377
  • СФУ 2423
  • СНАУ 567
  • СумГУ 768
  • ТРТУ 149
  • ТОГУ 551
  • ТГЭУ 325
  • ТГУ (Томск) 276
  • ТГПУ 181
  • ТулГУ 553
  • УкрГАЖТ 234
  • УлГТУ 536
  • УИПКПРО 123
  • УрГПУ 195
  • УГТУ-УПИ 758
  • УГНТУ 570
  • УГТУ 134
  • ХГАЭП 138
  • ХГАФК 110
  • ХНАГХ 407
  • ХНУВД 512
  • ХНУ им. Каразина 305
  • ХНУРЭ 324
  • ХНЭУ 495
  • ЦПУ 157
  • ЧитГУ 220
  • ЮУрГУ 306

Полный список ВУЗов

Чтобы распечатать файл, скачайте его (в формате Word).

Источник: https://vunivere.ru/work15273/page2

Мозолистое тело головного мозга: функции и агенезия

Мозолистое тело головного мозга – это крепкая спайка огромных полушарий, размещенных в головном мозге, которые образовались вместе с развитием neopallium. Мозолистое тело головного мозга – это орган белого цвета, который обладает длинной формой, а также немного уплотненным образованием.

Мозолистое тело вытягивается по всей своей площади с задней части в переднюю, а общая его длина составляет примерно 9-10 сантиметров, благодаря чему он является наиболее крупной спайкой в обоих полушариях головного мозга человека.

Общие сведения

Находится мозолистое тело в глубинной части продольных щелей головного мозга. В общем, такой орган можно разделить на три больших отдела – задний, средний и передний. Теперь более подробно хотелось бы рассмотреть, что же являет из себя каждая часть мозолистого тела.

Если говорить о переднем отделе, то он загибается вперед, после этого вниз и в самом конце назад. Таким образом, формируется орган, который называется коленом мозолистого тела, который плавно переходит в нижние части кили или же непосредственно в клюв мозолистого тела. Потом, последний продолжает продвигаться до конечной пластины, находящейся перед общей спайкой и немного ниже ее.

Средний отдел мозолистого тела еще называют стволом головного мозга. Он имеет вид некой выпуклости, которая, в свою очередь, напоминает форму прямоугольника. Именно такая часть считается самой длинной из всех, которые присутствуют в спайках головного мозга человека.

Задняя часть. Здесь находятся валик мозолистого тела, утолщение. К слову, валик в свободном стиле висит над эпифизом мозга, а также над пластинкой крышки, расположенной в среднем отделе мозга.

На самом верху мозолистого тела находится очень тонкий слой серой жидкости, так называемое серое облачение. В некоторых отдельных ситуациях такое вещество способно образовать четыре утолщения маленьких размеров, которые располагаются вдоль мозолистого тела и имеют вид тонких полосок. С каждой стороны мозолистого тела находится по две такие полоски.

Если разрезать полушарие мозга в горизонтальном направлении, при этом задев верхнюю часть мозолистого тела, то можно достаточно четко увидеть белое вещество, которое разделяет оба полушария головного мозга. Такое белое вещество в каждом полушарии мозга обладает специальным очертанием овальной формы и называется учеными полуовальным центром.

По всему своему периметру такая жидкость сопровождается небольшими слоями серого вещества. От мозолистого тела по всей площади отходят некие волокна белого цвета, которые радиальным способом расходятся в каждое отдельное полушарие головного мозга.

Функции передней спайки и мозолистого тела

Благодаря волокнам мозолистого тела полностью обеспечиваются обильные нервные связи с обеих сторон, при этом объединяются практически все области, которые находятся в коре как первого, так и второго полушария. Исключением является только передняя часть височных долей. Такие височные участки, а в особенности миндалика, которая входит в их состав, связываются между собой специальными волокнами, которые проходят через территорию передней спайки.

Сначала ученые были уверены в том, что мозолистое тело выполняет достаточно важные функции, так как именно здесь находится большое количество волокон. В первую очередь считали, что должна быть какая-то коррекционная функция активности обеих полушарий мозга.

Когда проводили определенные исследования, то в результате оказывалось, что после удаления такого органа, каких-либо серьезных нарушений в работе мозга не наблюдалось. Все это привело к тому, что на протяжении долгого периода времени специалисты так и не могли установить истинную функцию мозолистого тела.

Сегодня, благодаря тому, что надлежащим способом были выполнены множественные эксперименты, ученым все же удалось выяснить главные функции мозолистого тела, и, как оказалось, они являются достаточно важными. В первую очередь, с помощью данного органа передается информация, которая на протяжении определенного периода времени собиралась в одном из полушарий.

Вся полученная и накопленная информация из одного полушария передавалась в корковые участки второго полушария. Теперь хотелось бы привести несколько примеров, которые указывают, насколько важным является взаимодействие между обоими полушариями.

  • Перерезка мозолистого тела способна блокировать проведение важной информации из участка Вернике, который является доминирующим в полушарии к моторной коре, которая находится на другой стороне головного мозга. Таким образом, можно сделать вывод, что все интеллектуальные функции Вернике, которые локализированные в левом полушарии, практически полностью теряют контроль над другой областью мозга – правой корой.
  • Благодаря перерезке мозолистого тела в некотором роде предупреждается передача информации зрительного и соматического характера из правого полушария в участке Вернике доминирующего полушария, находящегося слева. Таким образом, можно констатировать, что и зрительная, и соматическая информации не имеют возможности достигать такой необходимой интерпретирующей части головного мозга, а поэтому ее не удается использовать с целью принятия важных решений.
  • Пациенты, у которых полностью рассечены мозолистые тела обладают двумя абсолютно изолированными, и в то же время сознательными областями мозга.

Агенезия мозолистого тела

Агенезией мозолистого тела головного мозга называется патология, которая присутствует у пациента со дня его рождения. Главными факторами, которые способствуют появлению данной патологии, считаются генетические особенности организма человека.

Приблизительно на 4-5 месяце периода беременности, нервные волокна начинают соединяться, а поэтому образовывается связь с обоими полушариями головного мозга. Ученые хорошо знают, что известны случаи, когда мозолистое тело отсутствует полностью или в частичном виде.

Хотелось бы рассмотреть причины, которые собственно приводят к возникновению подобного диагноза. В первую очередь необходимо отметить тот факт, что довольно часто агенезия начинает развиваться в результате многих врожденных нарушений и пороков. Как следствие, из-за присутствия такого заболевания, человек начинает терять собственные умственные способности.

Кроме того, можно наблюдать либо частичное, либо даже полное отсутствие главной спайки мозолистого тела, а в качестве ее замены располагаются довольно короткие перегородки, которые сочетаются с несколькими прозрачными сводными столбами.

Стоит отметить, что подобные случаи наблюдаются крайне редко, но все же приблизительно раз на каждые 2000 новорожденных, появляется такая своеобразная аномалия.

Причины иногда не могут объяснить даже самые профессиональные врачи, так как часто этому способствует наличие разных мутаций генов или определенные наследственные особенности.

К главным и наиболее заметным симптомам агенезии мозолистого тела относят следующие:

  • Сначала зарождение, а потом довольно стремительное развитие мозолистого тела способно прерваться уже на начальном этапе.
  • Наблюдаются процессы атрофии как зрительных, так и слуховых нервов.
  • На участках полушарий головного мозга можно увидеть локализацию кисти, а также серьезные и приметные новообразования Микроэнцефалия.
  • Появляются разнообразные опухоли.
  • Намного раньше стандартного периода времени начинается половое созревание.
  • Пациент значительно отстает от своих сверстников в плане психологического развития.

Кроме уже описанных признаков, иногда наблюдаются и некоторые другие признаки развития такого заболевания, но это случается уже не так часто. Как правило, агенезия проявляется в течение первых двух лет жизни человека.

Пороки развития

В первую очередь, учеными выделены две категории пороков развития, а именно гипоплазия и дисплазия. Гипоплазия мозжечка появляется как результат недоразвитая этого органа, который сопровожден существенным уменьшением размера органа, а также дефицитом массы еще с самого рождения пациента.

Дисплазией считается аномалия всего органа, в общем, и структуры его тканей в частности. Такой диагноз появляется вследствие нарушения образования формы органа и гистогенеза. Гипоплазия мозжечка может возникать из-за того, что раньше положенного срока времени остановились миграции клеток, или наблюдался чрезмерно-высокий апоптоз на портяжении того времени, когда структура только начала развиваться.

Термин используется вместе с описанием небольшого мозжечка со стандартными размерами борозд обоих полушарий мозга, а также червя мозжечка. Стоит отметить, что она может быть и фокальной, и генерализованной, например, в результате серьезных нарушений пролиферации клеток, которые сопровождаются гранулярным слоем, а именно процессом его редукции.

Дисплазию рассматривают в качестве результата аномальной миграции нервных клеток, а также нарушения в областях коры мозжечка. В таком случае существенно искажается складчатость и нарушается процесс формирования борозд. Главным симптомом появления этого заболевания считается изменение и размер борозд, и их направления.

Кроме того, наблюдаются пограничные патологические паттерны между белыми и серыми жидкостями, которые находятся как в левом, таки в правом полушарии головного мозга. Также отсутствует типичная арборизация белого вещества, которая сопровождается отсутствием серой жидкости или даже нескольких ядер мозжечка.

Существуют и другие признаки дисплазии, которые относят к категории радиологических, в частности, им принадлежат гипертрофия, значительный уровень истончения корковых слоев, а также изменения в общей структуре коры.

Лечение дисплазии

Чаще всего пытаются вылечить заболевание с помощью терапевтического вмешательства, в общем, разные формы такого диагноза разделяют на три большие группы:

  • Симптоматическое воздействие.
  • Лечение абактериальных нефриторв, гломерулонефритов.
  • Заместительные и консервативные варианты терапий хронической недостаточности в почках.

Достаточно часто, если наблюдается аномалия структурного и анатомического характера, то применяют хирургическое вмешательство. Нужно отметить, что если операцию провести правильно и профессионально, то эффект будет более чем положительным.

Как правило, необходимо прибегать к хирургическому воздействию и в ситуациях, когда возникают серьезные осложнения в жизненно важных органах человека, которые имеют непосредственное отношение к мозолистому телу. Большое значение имеет и то, насколько вовремя было произведено хирургическое вмешательство.

Автор статьи: Роман Русак

НОВОЕ НА САЙТЕ

СОТРУДНИКИ САЙТА

Врач невролог, с 20 летним стажем работы. Имеет 5 летний опыт работы с медицинским оборудованием.

Компетентный врач ответит

на ваши вопросы. Вы можете ЗАДАТЬ ВОПРОС.

НАШ ОПРОС

НАША ГРУППА ВК

Заполните форму ниже, чтобы оставить комментарий:

Внимание! Перед применением лекарственных препаратов и рекомендаций, обязательно проконсультируйтесь с врачом!

Источник: https://golovnieboli.ru/nash-mozg/mozolistoe-telo-golovnogo-mozga

Как лечить дисгенезию мозолистого тела и гидроцефалию?

Здравствуйте, по результатам МРТ у нас дисгенезия мозолистого тела, гидроцефалия. Лечились гирудотерапией, микрополяризацией, Аспаркам+ диаскарб.Вопрос: какие методы помогут дочери стать полноценным человеком, возможно ли догнать сверстников в развитии? Сможет ли она учиться в обычной школе….Есть ли риски при применении микротоковой рефлексотерапии?

Ответ специалиста

Здравствуйте, Ольга. Мозолистое тело — это структура, которая связывает у человека левое и правое полушарие, позволяет им взаимодействовать вместе. Поэтому пациенты, у которых отсутствует мозолистое тело либо его части всегда отличаются особенным мышлением. Вам нужно смириться с тем, что ваш ребенок никогда не будет таким как его сверстники. У детей с диагнозом дисгенезия мозолистого тела всегда есть трудности со школьным обучением и отставание в умственном развитии. Насколько выражены эти проблемы у вас на сегодняшний день и как будет развиваться ваш ребенок до школы вряд ли можно предугадать. Но если степень отставания в умственном развитии не тяжелая, то при проведении постоянных курсов лечения, ребенок может учиться в обычной школе.

Микротоковая рефлексотерапия — это метод лечения, который положительно влияет на состояние ребенка  и широко используется для лечения детей с генетическими отклонениями и гидроцефалией. Если у вашей дочери нет психических заболеваний, кардиостимулятора, острых инфекционных заболеваний, тяжелых сопутсвующих заболеваний или онкологических заболеваний, то вам вполне можно проводить такие курсы терапии.

Особенностью применения МТРТ, как и других методов лечения — гирудотерапии, транскраниальной микрополяризации и им подобных, является понимание родителями, что эти методы не заменяют стандартной терапии — медикаментозного лечения, занятий с ребенком и т.д. Также не нужно ждать чудодейственного эффекта от всех этих процедур. для того, чтобы был результат от микротоковой рефлексотерапии, микрополяризации необходимо провести пять-семь полноценных курсов лечения этими методами. А если вы попробовали один раз микрополяризацию, не увидели эффекта, попробовали МТРТ — нет эффекта, пробуете что-то третье, то боюсь результатов вы так и не дождетесь.

Поэтому по моему мнению необходимо выработать тактику лечения с лечащим врачом вашей дочери и четко ей следовать, а не пробовать все и сразу, не имея результатов нигде.

Агенезия мозолистого тела: причины, лечение и последствия

Агенезией мозолистого тела называют врожденную патологию мозга, причиной возникновения которой в большинстве случаев является генетический фактор, развивается нарушение внутриутробно у плода. Встречается данная аномалия довольно редко.

Мозолистым телом называют сплетения нервов головного мозга, соединяющих правое и левое полушария. Форма мозолистого тела—плоская и широкая. Расположено оно под корой головного мозга.

При агенезии отсутствуют мозолистые спайки, соединяющие полушария, как частично, так и полностью. Эта патология развивается в одном случае из двух тысяч зачатий и может быть вызвана наследственностью или спонтанными необъяснимыми генными мутациями.

Патогенез и этиология нарушения

Как сказано выше, развитие агенезии может быть спровоцировано наследственностью, но чаще всего причины ее возникновения установить невозможно. У этой патологии есть два клинических синдрома.

В первом случае сохраняются интеллектуальные способности больного и его двигательная активность, а заболевание проявляет себя в качестве нарушений в процессах передачи импульсов от левого полушария к правому и наоборот. К примеру, больной, который является правшой, не может определить, какой предмет находится в его левой руке, потому что для этого нужна передача информации от правого полушария к левому, где расположена речевая зона.

Во втором случае совместно с агенезией мозолистого тела у больного присутствуют и другие пороки развития мозга, в том числе нарушения в процессах миграции нейронов или гидроцефалия. В таких случаях больные страдают от тяжелых судорожных припадков, а также отстают в умственном развитии.

Предрасполагающие факторы

В нормальном состоянии мозолистое тело представляет собой плотное сплетение из нервных волокон, призванное объединять правое полушарие мозга с левым и обеспечивать процессы обмена информацией между ними. Эта структура формируется с 10 по 20 неделю беременности, мозолистое тело образуется на сроке 6 недель.

Агенезия может проявляться в разной степени тяжести: отсутствием, частичным или неправильным формированием, а также недоразвитием мозолистого тела.

В большинстве случаев причину такого нарушения установить не удается, однако существует ряд факторов, способствующих возникновению подобной патологии. К предрасполагающим факторам можно отнести:

  • процесс спонтанной мутации;
  • наследственные причины;
  • перестройку хромосом;
  • действие токсинов вследствие приема лекарств в период беременности;
  • недостаточное обеспечение плода питательными веществами в период внутриутробного развития;
  • вирусные инфекции или травмы, перенесенные матерью в период беременности;
  • нарушение обменных процессов в организме матери;
  • алкоголизм в период беременности.

Выявление причин возникновения подобных патологий затруднительно, есть возможность всего лишь установить факторы, которые могут спровоцировать их развитие.

Проявления и признаки аномалии

Агенезия мозолистого тела головного мозга проявляет себя по-разному, в зависимости от степени нарушения, основные симптомы при наличии этой аномалии:

  • процессы атрофии нервов в органах слуха и зрения;
  • кисты и новообразования в той части мозга, где соединяются полушария;
  • микроэнцефалия;
  • склонность к припадкам;
  • наличие лицевого дизморфизма;
  • возникновение дефектов в развитии органов зрения;
  • порэнцефалия;
  • патологические изменения глазного дна;
  • задержки в психомоторном развитии;
  • шизэнцефалия;
  • наличие липом;
  • нарушения в процессах развития ЖКТ и наличие образований;
  • раннее половое созревание и прочее.

Помимо перечисленного, заболевание может проявляться с синдромом Айкарди. Это генетическое заболевание встречается крайне редко и характеризуется аномалией развития мозга и органов зрения. Также агенезия вызывает изменения в костях и поражения кожи.

Постановка диагноза

Диагностика агенезии мозолистого тела достаточно затруднена и в большинстве случаев выявляется на 2-3 триместре беременности. К основным методам диагностирования относятся:

Однако эхография дает возможность для выявления заболевания далеко не во всех случаях, а если агенезия мозолистого тела частичная, то ее обнаружение еще более затруднено.

Трудности в диагностировании нарушения возникают по причине того, что эта патология зачастую сопряжена с рядом других нарушений и генетических симптомов. Для того чтобы провести более детальное обследование больного, специалисты прибегают к кариотипированию, ультразвуковому анализу и МРТ.

При помощи сочетания методик обследования есть возможность получить полную картину заболевания.

Основы терапии

В настоящее время не существует эффективных методик лечения такой аномалии, как агенезия мозолистого тела. Методы коррекции зависят от заболеваний, которые были вызваны этим нарушением, поэтому подбираются индивидуально.

Лечение направлено на то, чтобы сводить к минимуму проявления заболевания. Но, по оценке специалистов, оно не дает желаемого эффекта, к тому же методики не проработаны до конца. Терапия по большей части заключается в применении медикаментов сильного действия.

Могут использоваться следующие препараты:

  • бензодиазепины и Фенобарбитал, которые позволяют корректировать частоту приступов при наличии инфантильных спазмов;
  • кортикостероидные гормоны (Дексаметазон, Преднизолон) в сочетании с антиэлептическими препаратами базового типа;
  • нейролептики и диазепамовые препараты, действие которых направлено на уменьшение поведенческих расстройств;
  • ноотропы (Cемакс, Пирацетам) и нейропепидные препараты (Церебролизин);
  • детям чаще всего назначают Аспаркам, Диакарб, Мексидол.

Помимо приема медикаментов, при возникновении необходимости проводятся и оперативные вмешательства, например проводится стимуляция блуждающего нерва. Но делать это можно лишь в тех случаях, когда агенезия послужила причиной серьезных нарушений в работе жизненно важных органов человека.

Эта патология может вызывать нарушения в костно-мышечной системе и являться причиной возникновения сколиоза, поэтому специалисты назначают физиотерапию и лечебную физкультуру. В некоторых случаях также прибегают к операции.

В наше время агенезию тщательно изучают, но добиться ощутимых результатов пока не удалось.

Сколько дней отведено пациентам?

В случаях, когда нарушение не сопряжено с возникновением других патологий в развитии прогнозы благоприятные. Около 80% детей не имеет никаких нарушений в развитии или же наблюдаются незначительные неврологические проблемы.

Однако в большинстве случаев агенезия мозолистого тела провоцирует возникновение различного рода последствий и сопутствующих патологий, и в такой ситуации о хорошем прогнозе не может быть и речи.

У больных наблюдаются нарушения интеллекта, неврологические проблемы, задержки в развитии и прочие симптомы, с которыми долго не живут. Пациентов лечат в соответствии с симптомами, и терапия не имеет особого эффекта.

Агенезию мозолистого тела можно отнести к заболеваниям с большим количеством аномалий в развитии и неблагоприятными прогнозами.

Остается только надеяться и молиться

Несмотря на то, что агенезия мозолистого тела не является крайне редким заболеванием, она мало изучена.

На сегодняшний день медики не располагают достаточными знаниями о причинах ее возникновения в каждом конкретном случае, выявлены лишь факторы, способные послужить толчком к развитию данной патологии.

Также не найдено и эффективных методов лечения этого состояния и оно проводится только по симптомам тех нарушений, которые были вызваны агенезией. В этом случае все меры направлены на следствие, но никак не воздействуют на причину.

Из этого можно сделать вывод, что эффективных мер по профилактике агенезии мозолистого тела не существует.

Читайте ещё

Агенезия мозолистого тела: в чем опасность заболевания?

Агенезия мозолистого тела: причины

Формирование этой структуры с точки зрения морфологии соответствует периоду 10-20 недели беременности, начало дифференциации ткани мозолистого тела относят к середине шестой недели.

Предрасполагающие факторы

  • Наследственность (семейные случаи проявления, с наследованием по типу аутосомного или сцепленного с Х-хромосомой)
  • Спонтанные мутации
  • Перестройка хромосом
  • Внутриутробные инфекции (чаще вирусной природы) или травмы
  • Воздействие токсических веществ, тератогенный эффект лекарственных средств в течение утробного развития
  • Фатальный алкогольный синдромом у плода (из-за алкоголизма матери в течение беременности)
  • Дефицит питательных веществ у плода
  • Нарушения обмена веществ у матери

Читайте:  Схожая симптоматика болезней кишечника

Симптомы и диагностика

Симптоматика

  • Прерывание формирования и дальнейшего развития структуры мозолистого тела на первых стадиях
  • Развитие порэнцефалии, дефекта мантии мозга
  • Гидроцефалия – отсутствие способности отслеживания глазами, позднее – отсутствие движений произвольного характера
  • Атрофические явления нервов, зрительных и слуховых
  • Микроэнцефалия
  • Появление новообразований, кист в районе полушарий
  • Полимикрогирия (недостаточно сформированные извилины)
  • Преждевременное, раннее половое развитие
  • Проявление синдрома расщепления позвоночника
  • Проявление синдрома Айкарди
  • Развитие липом
  • Патология органов желудочно-кишечного тракта, опухолеобразование
  • Замедление, а затем торможение психомоторного развития
  • Проявления в различной степени отсталости, умственной и физической
  • Нарушения координации
  • Задержки развития, аномалии различных органов
  • Низкий мышечный тонус
  • Аномалии скелета

Читайте:  Растяжение связок – оказание первой помощи

Агенезия мозолистого тела: лечение и прогноз

Медикаментозные средства

  • Антиэпилептического ряда
  • Из группы бензодиазепинов
  • Фенобарбитал
  • Кортикостероидные гормоны

Читайте:  Рекомендации и рецепты от остеохондроза


Смотрите также

  • Узи тазобедренного сустава у взрослых
  • Иппп у женщин что такое
  • В анализе мочи обнаружили кровь что это значит
  • Что можно есть при болезни желудка
  • Дефект межжелудочковой перегородки у плода
  • Средняя порция для анализа мочи
  • Таблица анализ мочи при пиелонефрите показатели
  • Диета перед сдачей крови
  • Ректороманоскопия и колоноскопия разница
  • Норма потребления железа в сутки
  • Мрт головного мозга с контрастом подготовка к исследованию