Что такое узи с доплером

Что такое узи с доплером[Что такое узи с доплером]

УЗИ с доплером — что это?

В наши дни диагностика приобретает все большую роль. Ведь правильно поставленный диагноз позволит не навредить здоровью и назначить правильное лечение. Все чаще можно услышать про УЗИ с доплером.

Многие не знают, что УЗИ с доплером (допплерометрия) – это разновидность ультразвукового исследования, позволяющего диагностировать заболевания кровеносных сосудов. Данный вид исследования является незаменимым обследованием при заболеваниях артерий, варикозном расширении вен, тромбозе вен и аневризме брюшной полости или конечностей.

Доплер при беременности

Нередко направление на допплерометрию вызывает испуг у беременных женщин. Давайте разберемся, что означает УЗИ-доплер, и в чем преимущество данного исследования при беременности.

Доплер – один из видов ультразвуковой диагностики, позволяющей во время беременности прослушивать сердцебиение ребенка и определять состояние сосудов пуповины плода. Можно получить исчерпывающую информацию о кровоснабжении матки и плаценты. Также можно увидеть общее состояние здоровья сердца ребенка.

Как правило, УЗИ с доплером, назначают в последние месяцы беременности. Но при наличии у беременной женщины таких заболеваний как гипертония, сахарный диабет, гипоксия, почечная недостаточность, проходить исследование могут назначить еще на 20–24 неделе.

Также, чаще обычного, могут рекомендовать допплерометрию женщинам с резус-конфликтом, при многоплодной беременности или подозрении на задержку развития плода.

Чем отличается доплер от УЗИ?

УЗИ дает, так называемую, «общую картинку», показывает строение сосудов. А УЗИ с доплером – движение крови по сосудам, ее скорость и направление. Также можно увидеть очаги, где кровоток, в силу определенных причин, заблокирован. Это позволяет принять своевременные шаги и назначить эффективное лечение.

Современные аппараты УЗИ часто объединяют два вида диагностики. Это позволяет получать более точные и информативные результаты. УЗИ плюс Доплер – это дуплексное сканирование, или ультразвуковая допплерография (УЗДГ).

Триплексное сканирование отличается добавлением цветного изображения, что придает исследованию дополнительную точность.

Как делают УЗИ с доплером?

Для прохождения исследования, не связанного с диагностикой органов брюшной полости, не требует специальной подготовки. Хотя лучше зараннее оговорить все тонкости со свои лечащим врачом.

Исследование не доставляет особенного дискомфорта и занимает, как правило, не больше 30 минут.

Подытоживая, можно сказать, что УЗИ с доплером значит очень много в вопросах диагностики при беременности. Помогает своевременно выявить патологию в развитии плода, сохранить жизнь матери и ребенку.

Статьи по теме:

Допплерометрия при беременности — расшифровка

Современные медицинские приборы для выявления аномалий внутриутробного развития плода совершенствуются с каждым годом. Сегодня чрезвычайно полезным распространенным прибором является Доплер, с помощью которого и проводят допплерометрию. Подробнее о том, как расшифровать результаты анализа, читайте в этой статье.

Допплерография — современный способ исследования маточно-плацентарного кровотока плода, который позволяет выявить ряд нарушений функциональной системы мать-плацента-плод. Подробнее о данном методе вы сможете узнать, прочитав нашу статью.

Эхо КГ плода не входит в обязательный перечень обследований при беременности, однако часто его назначают женщинам дополнительно. Что это за обследование, с какой целью его назначают и что он показывает, — обо всем этом вы узнаете, прочитав нашу статью.

Резкое повышение уровня хорионического гонадотропина человека в крови женщины свидетельствует о успешно развивающейся беременности. Однако у этого гормона существует бета- и альфа- субъединицы. Сегодня мы расскажем о бета-ХГЧ, поскольку именно он является наиболее информативным.

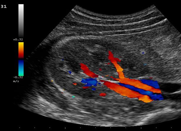
Что представляет собой УЗИ с доплером?

Использование УЗИ с доплером позволяет с помощью звуковых волн увидеть цветное изображение сосудов, обнаружить затруднение в кровотоке, в том числе и отложение бляшек атеросклероза.

Доплеровский ультразвуковой метод предназначен для обследования аорт, капилляров, артерий: шеи и головы; сосудов шеи; сонных артерий.

Что представляет собой УЗИ с доплером?

Расшифровка УЗИ с доплером позволяет получить подробную информацию о структуре сосудов, движении по ним крови, скорости протекания крови. Исследование структуры сосудов шеи, головы, плода называется триплексной допплерографией.

УЗДГ сосудов применяется, чтобы диагностировать:

  1. Изменение размера сосуда, в том числе его диаметра.
  2. Выявление закупорок, которые часто возникают в артериях или венах.
  3. Врачи активно применяют УЗИ с доплером для того, чтобы изучить брахиоцефальные сосуды, обеспечивающие нормальное кровоснабжение в мозге и кровоток в голове.

Преимуществами данной технологии является то, что обычное УЗИ не показывает структуру и внутреннюю анатомию важных артерий, вен, капилляров. Такие волны просто отражаются от сосудов и крови, а вот компьютер помогает увидеть их особенности.

Также стоит отметить, что допплер сосудов позволяет использовать различные цвета, чтобы увидеть, как течет кровь, где кровоток блокирован или имеет проблемы, какой является скорость и направление крови в конкретной артерии. Какие особенности имеет УЗДГ артерий? Цветовое допплеровское картирование строится на том, что применяется одновременно обычное УЗИ и допплерогарфия. Благодаря полученным результатам, можно диагностировать следующие заболевания:

  1. Окклюзия сонных артерий.
  2. ЦДК отлично показывает образование тромбоза как в поверхностных, так и глубоких венах.
  3. Клапанную недостаточность.
  4. Варикозные вены.
  5. Аневризмы в различных органах, в том числе в нижних и верхних конечностях, брюшной полости.
  6. Задача допплерографии направлена на обнаружение и подтверждение диагноза артерий ног и рук.

УЗДГ сосудов обычно делает узист, но иногда и хирург, который прошел специальное обучение. Проводится процедура в обычном кабинете УЗИ, где есть оборудование, позволяющее провести доплер сосудов головы, шеи, брюшной полости, конечностей, плода.

Читать еще

Эхокардиография сердца

Обычно УЗИ с допплером занимает около получаса, но продолжительность процедуры иногда меньше, что зависит от заболевания или видов патологии. При УЗДГ сосудов специальные лекарства в организм пациента не вводятся, что помогает избежать ненужной интоксикации и образования вредных веществ.

Предварительная подготовка к доплеру не нужна, но она понадобится, если нужно сделать цветовое доплеровское картирование брюшной полости. Перед прохождением процедуры лучше не есть газообразующих веществ, поскольку образование газов может затруднить УЗИ с допплером. Особенно это касается кишечника.

Доплер позволяет увидеть всю структуру брахиоцефальных сосудов, увидеть сонные, подключичные артерии, сосуды, которые формируют ствол возле соединения плеча и головы. Очень эффективно такое УЗИ, чтобы обнаружить патологии плода или беременной женщины. Чтобы увидеть все особенности заболевания, пациент должен прилечь или встать прямо, если необходимо выполнить обследование ног.

Как происходит процедура допплерографии сосудов?

Ложась на кушетку, больной должен занять удобное положение, чтобы голова была слегка приподнятой. На конкретный участок кожи будет нанесен гель, который является отличным проводником и передатчиком волн. Датчик УЗДГ проводится по коже вверх-вниз, отправляя сигналы на монитор компьютера. Обследование может сопровождаться свистом, который передает состояние крови и ее движение по артериям.

После процедуры осложнений практически не бывает, но все зависит от индивидуальных особенностей организма человека.

Доплер сосудов различных органов

Допплерогарфия сосудов головы нужна, чтобы оценить кровоток. Это довольно сложная процедура, и тут большую роль играет профессионализм врача. Проводят, чтобы понять, какие будут последствия инсульта, спазмов мозга, операций аортокоронарного шунтирования. Но чаще всего назначаются для изучения различных невропатологических состояний. Поводом к изучению становятся жалобы на постоянные мигрени, наличие вегето-сосудистой дистонии, боли, обмороки, головокружения.

Доплер сосудов шеи направлен на изучение заболеваний и патологий, которые поразили сонные и позвоночные артерии. Назначение на прохождение процедуры выписывает врач. Цветовое доплеровское картирование назначается, если у человека наблюдаются такие симптомы, как:

  1. Слепота временного характера на один глаз.
  2. Шумы и головокружение в голове.
  3. Появление пятен перед глазами.
  4. Боли в голове, которые не имеют конкретной локализации.
  5. Нарушение равновесия, обмороки, потеря сознания.

При таких заболеваниях наблюдаются и состояния, которые характерны для невропатологических заболеваний.

Нижние конечности изучаются, когда необходимо подтвердить тромбоз, варикоз, различные болезни рук и ног. Очень часто обследование назначается, чтобы понять, почему у человека появляется хромота, онемение, чувствительность к холоду, тяжести, отеки.

УЗДГ БЦС стало настоящим прорывом в обследовании плода, чтобы понять, как двигается кровь в артериях, отвечающих за поставку крови будущему ребенку. Такое изучение важно, чтобы понимать состояние плаценты, обменных веществ, идущих через пуповину к ребенку. Необходимо, чтобы обнаружить внутриутробные патологии, оценить сердцебиение, давление внутри артерий.

УЗИ с доплером — что это?

Среди множества исследований, которые проводятся при беременности, УЗИ занимает, пожалуй, центральное место. Именно данный вид аппаратного исследования в большинстве случаев помогает установить нарушение на раннем его сроке, и предпринять необходимые меры своевременно.

Однако если об ультразвуковом исследовании будущим мам хоть что-то известно, то вопрос относительно того, что значит УЗИ с доплером, — довольно часто звучит из их уст. Давайте подробнее рассмотрим доплер УЗИ, и чем оно отличается от обычного ультразвукового исследования.

Что такое доплер УЗИ?

Перед тем, как сравнивать данных 2 похожих вида исследования (УЗИ и УЗИ с доплером), разберемся с тем, что это вообще такое УЗИ с доплером.

В основе допплерографии находится физический эффект Доплера, который заключается в изменении частоты отправленных ультразвуковых волн при перемещении среды, от которой они впоследствии отражаются, или при перемещении источника ультразвука, или при одновременном перемещении самой среды и источника.

В случае проведение подобного исследования ультразвуковые волны отражаются непосредственно от частиц крови. Именно поэтому данное изменение напрямую зависит от скорости кровотока. Говоря другими словами, такое исследование помогает определить состояние кровотока в том или ином сосуде, и даже скорость движения крови в нем.

В чем отличие доплер УЗИ от обычного ультразвукового исследования?

Разобравшись с тем, что означает УЗИ доплер, расскажем о том, чем отличается оно от всем известного УЗИ. Так, оба метода используют ультразвуковые волны, и регистрирует процесс отражения этих волн. Однако все же разница присутствует.

При проведении обычного УЗИ, создается изображение, — эхограммы, с помощью звуковых волн высокой частоты. Когда звуковые волны отражаются от внутренних органов, последние создают эхо. Ткани, пораженные кистами или плотными образованиями, к примеру, создают УЗИ сигнал и на мониторе образуют изображение, отличное от того, что наблюдается при обследовании нормальных тканей. Таким образом, врач на экране видит картинку, на которой отчетливо видна пораженная часть того или иного органа.

При доплер УЗИ происходит запись скорости и направления движения крови по сосудам. При этом отсутствует картинка – записываются волновые движения кровяных клеток по сосудам.

Если же говорить о том, как делают УЗИ с доплером, то он с виду ничем не отличается от обычного ультразвукового исследования: тот же датчик, экран.

Особенности проведения доплер УЗИ во время беременности + расшифровка результатов

06.02.2018

Во время беременности будущей маме приходится делать множество общих и гинекологических исследований, которые помогают врачу контролировать ее состояние и здоровье малыша.

Помимо абдоминального и трансвагинального УЗИ, женщинам назначается доплерометрия. Как определить, соответствуют ли полученные показатели норме или есть отклонения, узнаем далее.

Что такое доплер УЗИ

Доплерометрией называют один из видов УЗ-диагностики, позволяющей в гестационный период услышать сердцебиение малыша и изучить интенсивность кровообращения через сосуды плода и матки.

Это безопасное исследование: оно абсолютно безвредно для матери и крохи. Врач может контролировать течение беременности и при обнаружении любых отклонений быстро среагировать, назначив лечение.

Принцип основывается на том, что частота сигнала от эритроцитов меняется во время их движения. Прибор фиксирует колебания с неодинаковой частотой за определенное время и производит их подсчет. Устройство отображает сигнал, который выглядит как светящиеся точки, обладающие разной интенсивностью.

Специалист делает заключение, в каком состоянии находится плод, и решает, как именно будет вести беременность.

Кому и когда назначают УЗИ с доплером – показания к проведению

В III триместре все будущие мамы проходят через доплерометрию. Ее часто совмещают с третьим скрининговым ультразвуковым исследованием и кардиотокографией. Это предоставляет возможность полной оценки внутриутробного состояния малыша.

Иногда врачи рекомендуют пройти исследование женщинам во 2 триместре, потому что иные диагностические методы в это время не позволяют оценить протекание беременности.

Процедуру назначают при следующих показаниях:

  1. Получение во время гестации травм живота.
  2. Неблагоприятные результаты кардиотокографии плода.
  3. Возраст будущей мамы входит в категорию риска: ей меньше 18 лет или больше 35 лет.

Специалисты проводят допплеровское УЗИ, если имеется патология в развитии беременности или аномалии плаценты:

  • задержка внутриутробного развития ребенка;
  • крупный плод;
  • УЗ-симптомы ВУИ;
  • риск прерывания беременности или преждевременного родоразрешения;
  • симптомы кислородного голодания или сердечной недостаточности малыша;
  • выявленные врожденные аномалии магистральных сосудов, сердца или почек у ребенка;
  • предлежание плаценты;
  • изменение плацентарной структуры, обнаруженное с помощью ультразвуковой диагностики;
  • степень зрелости плаценты либо ее толщина не соответствуют сроку гестации;
  • двойное или тройное обвитие пуповинными петлями вокруг шеи.

УЗИ плюс доплер следует выполнять беременным, имеющим сопутствующую патологию:

  1. Артериальную гипертензию.
  2. Малокровие высокой степени.
  3. Сахарный диабет.
  4. Крупную миому матки.
  5. Инфекционные заболевания органов репродуктивной системы.
  6. Сердечной или дыхательной недостаточности.
  7. Почечные заболевания.
  8. Аутоиммунные болезни.
  9. Поздний гестоз.
  10. Наличие пагубных привычек (курения, наркомании, злоупотребления алкоголем).

Сколько стоит исследование? Средняя цена составляет около 2 тысяч рублей. Однако при желании сделать полное обследование с видеозаписью, его стоимость будет выше, 4000-5000 рублей.

На каком сроке беременности проводят обследование

Специалист может получить наиболее показательные результаты при совершении процедуры на 27-34, иногда 35-36 неделе гестации, когда происходит интенсивный рост и развитие малыша в материнской утробе. Нет необходимости проводить исследование, если срок беременности менее 20 недель, поскольку плацента полностью не сформирована.

Для наиболее раннего определения патологии в системе «мама-плацента-плод» допплерография назначается на 20-24 неделе периода вынашивания крохи.

Какие бывают виды процедур

Специалист может использовать несколько способов допплерометрии.

Изучим основные.

Триплексное исследование

Во время процедуры врач применяет 3 режима работы прибора: цветной, спектральный и обычный.

Проводимый в гестационный период метод дает оценку кровеносному руслу в отношении анатомии и кровообращения, а также его проходимости с помощью точечного цветного изображения. Доктор получает возможность проконтролировать текущее развитие и состояние крохи.

Дуплексное сканирование

Совмещает в себе 2 режима – обычный и спектральный. Врач фиксирует черно-белое изображение на приборе. Затем он делает заключение об особенностях анатомии сосудов и скорости движения в них крови. Также процедура помогает врачу оценить их проходимость.

Особенности проведения УЗИ с доплером

Допплерометрию выполняют на таком же аппарате, что и традиционную УЗ-диагностику. Обычно оба метода проводятся одновременно, чтобы дать полную картину текущей беременности.

Беременной необходимо лечь на спину и открыть живот. На зону матки доктор наносит специальное гелеобразное вещество и устанавливает датчик в определенные точки живота женщины, которые соответствуют изучаемым сосудам.

В чем же разница между ними? Доплерография отличается тем, что занимает немного времени по сравнению с традиционным УЗИ. Она прежде всего зависит от того, какое положение примет ребенок и какая у него двигательная активность: если он спокоен, специалист легко и за короткий промежуток времени изучает кровоток.

При допплерометрии врач должен изучить состояние двух маточных и пупочных артерий, средней мозговой артерии плода. Иногда требуется посмотреть кровообращение в грудном отделе аорты, венозном протоке, почечных артериях, вене пупочного канатика, нижней полой вены, а также внутрисердечного кровотока плода.

На мониторе доктор рассматривает изображение сосуда, где оно выводится в сером цвете. Потом врач использует 1 из режимов работы прибора и фиксирует гемодинамические параметры, которые затем изучает. В завершение процедуры он заполняет протокол исследования, записывая туда значения.

Расшифровка результатов

Чтобы определить состояние кровообращения, специалисты применяют специальные показатели – отношение скорости гемодинамики в систолическую и диастолическую фазы. Устройство вычисляет 1 или несколько показателей, благодаря которым оценивается спектр кровообращения – ПИ (пульсационный индекс), ИР (индекс резистентности) и СДО (систоло-диастолическое отношение).

Затем доктору нужно сравнить полученные цифры с таблицами нормы и сделать заключение о состояния малыша.

Показатели маточных артерий:

Недели гестации ИР СДО
12-13 0,52-0,71 2,0-3,5
14-16 0,48-0,68 1,9-3,1
17-19 0,44-0,62 1,7-2,6
20-24 0,41-0,61 1,6-2,5
25-31 0,40-0,59 1,7-2,4
32-37 0,35-0,58 1,6-2,3
38-40 0,32-0,55 1,4-2,1

Средней мозговой артерии:

Недели гестации ИР СДО
20-25 0,77-0,85 4,3-6,9
26-27 0,76-0,87 4,2-7,9
28-29 0,75-0,88 4,0-8,7
30-33 0,74-0,88 3,7-8,7
34-37 0,69-0,87 3,3-7,9
38-40 0,63-0,86 2,8-7,5

При нарушении маточно-плацентарного кровообращения, специалист отмечает результаты следующих показателей:

  • увеличение ИР в маточных артериях;
  • в фазу диастолы наблюдается уменьшение скорости тока крови в артериях пупочного канатика;
  • образование ранней диастолической выемки, регистрируемой в графике скорости кровотока в маточных артериях.

Специалисты выделяют степени гемодинамического отклонения в плаценте:

  1. I A – ухудшение тока крови в маточных артериях.
  2. I B –патологическое кровообращение в пуповинных артериях, не доходящее до критического уровня.
  3. II – аномальный кровоток в маточных и пуповинных артериях, не достигающих критического уровня.
  4. III – отрицательные показатели гемодинамики в фазу диастолы в пупочных артериях.

Ультразвуковые признаки нарушенного кровотока в СМА ребенка:

  • ИР отклоняется от нормальных значений, а СДО становится ниже нормы;
  • отрицательные показатели кровообращения в диастолическую фазу;
  • «централизация» кровотока у малыша.

Ультразвуковые симптомы сердечной недостаточности ребенка с расстройством внутрисердечного кровообращения:

  • скорость кровотока через сердечные клапаны ниже нормальных значений;
  • функциональная недостаточность трехстворчатого клапана;
  • диастолическое кровообращение трехстворчатого клапана соответствует «взрослому виду».

Симптомы гемодинамического расстройства в пупочной вене – регистрация патологических пульсаций, которые возникают одновременно с ритмом сердца малыша.

Выделяют 4 степени гемодинамических расстройств у плода:

  1. Ухудшение кровообращения в СМА. Кровоток в грудной части аорты остается нормальным.
  2. Субкомпенсированная степень. Она показывает нарушенное кровообращение в грудной части аорты с увеличением СДО и ИР, а также отрицательный ток в момент диастолы.
  3. Аномальное кровообращение в венозном протоке. В систолическую фазу предсердий оно отсутствует либо отрицательное.
  4. Декомпенсированная. В ходе проведения процедуры характерны проявления сердечной недостаточности.

Если обнаружены нарушения в кровотоке – что делать

Выявленная патология подтверждает, что имеется ухудшение кровотока в системе «мать-плацента-плод» и указывает его степень.

Когда фиксируется 1 степень гемодинамических расстройств, вероятнее всего, будущая мать доносит ребенка до своего срока и родит естественным путем. Чтобы контролировать состояние крохи, придется обследоваться каждые 2 недели и проводить КТГ с измерением артериального давления.

Вторая стадия указывает на патологию в маточных и плацентарных сосудах, поэтому женщину кладут в стационар для постоянного медицинского наблюдения и проведения лекарственной терапии, которая сможет компенсировать кислородное голодание малыша в утробе.

Третья стадия характеризуется стремлением скоростных количественных показателей к нулю.

При такой критической ситуации врач выбирает следующую тактику лечения:

  • если срок гестации составляет 22 недели и более, доктор может провести хирургическое вмешательство;
  • когда срок еще небольшой, специалист проводит интенсивную терапию, цель которой состоит в сохранении плода хотя бы до 22 недели.

Современные технологии не стоят на месте: продаются портативные доплер-устройства, благодаря которым будущая мама в домашних условиях может слушать сердцебиение своего ребенка. Такие приборы можно купить в интернет-магазинах и магазинах Медтехники.

Что такое доплерометрия? Ответ специалиста в этом видео:

Заключение

Доплер при УЗИ становится незаменимым исследованием в гестационный период. Процедура определяет диаметр сосуда и кровоток.

Процедура эффективна, безопасна для матери и плода и позволяет получить четкую картину их состояния. Изучив показатели, врач делает заключение о норме или наличии отклонений и при необходимости проводит терапевтические мероприятия. Лечение позволяет сохранить беременность и избежать патологий развития крохи.

Особенности проведения доплер УЗИ во время беременности + расшифровка результатов Ссылка на основную публикацию


Смотрите также