Что такое гипохромия в анализе крови

Что такое гипохромия в анализе крови[Что такое гипохромия в анализе крови]

Что такое гипохромия в анализе крови?

Любые изменения в составе крови имеют важное диагностическое значение. Так, морфологические изменения эритроцитов могут касаться их размеров, формы, характера окрашивания. При проведении общего анализа крови может обнаружиться, что эритроциты слабо окрашены. При этом красные кровяные тельца имеют вид колец, то есть по краям — темный ободок, а центральная часть — светлая.

Такое изменение называется гипохромией. Обусловлена она низким содержанием гемоглобина в эритроцитах и, как следствие, пониженным цветовым показателем в общем анализе крови, составляющем меньше 0,8. В этом случае речь идет о развитии гипохромной анемии, которая не является самостоятельной нозологической формой. Этот термин применяется как общее название всех разновидностей анемий, вызванных таким изменением эритроцитов.

Гипохромия связана с нарушением синтеза гемоглобина. Это случается при дефиците железа, а также хронических отравлениях свинцом, наследственных болезнях, при которых нарушается обмен железа и синтез гемоглобина (талассемии, сидеробластной анемии). Различают несколько разновидностей гипохромных анемий:

  • железодефицитную с абсолютным уменьшением железа;
  • железонасыщенную – железо в норме, но оно не участвует в синтезе гемоглобина;
  • железоперераспределительную;
  • смешанного типа.

Клиническая картина гипохромных анемий зависит от уровня гемоглобина, по уровню которого и судят о степени тяжести болезни. Для любых форм характерны такие симптомы, как слабость, раздражительность, бледность кожи, головокружение, мушки перед глазами, снижение трудоспособности, сердцебиение.

Как определяют гипохромию?

Патология определяется во время общего анализа, при проведении которого кровь берут из пальца натощак. При этом учитывается не только уровень гемоглобина (в норме у взрослых — 120-160 г/л), но и цветовой показатель крови, норма которого находится в пределах от 0,85 до 1,15. Гипохромия имеет место в том случае, если ЦП ниже 0,8. Степень тяжести патологии определяется по уровню гемоглобина:

  • превышает 90 г/л – 1 степень;
  • находится в диапазоне от 70 до 90 г/л – 2 степень;
  • менее 70 г/л – 3 степень.

Железодефицитная анемия

Можете также прочитать:

Клинический анализ крови у детей

Гипохромия такого типа встречается чаще всего. Большая часть больных (до 95%) – женщины в возрасте от 15 до 50 лет. Возникает такой вид анемии в случае превышения расхода железа по сравнению с его поступлением в организм. Это бывает при хронических кровотечениях, при несбалансированном питании, а также при физиологических процессах, таких как беременность и лактация.

Ее определяют по следующим диагностическим признакам в анализе крови:

  • цветовой показатель менее 0,8;
  • гипохромия эритроцитов (темная окраска по краям и светлая в центре);
  • низкий уровень сывороточного железа.

После приема железосодержащих препаратов у пациентов улучшается самочувствие и лабораторные показатели.

Железонасыщенная анемия

При данной патологии содержание железа в крови находится в норме, но нарушено его всасывание, а значит, и образование гемоглобина. Гипохромия такого вида развивается при хронической интоксикации химикатами или некоторыми лекарственными препаратами. Диагностируется по следующим признакам:

  • цветовой показатель понижен;
  • эритроциты гипохромные;
  • нормальный уровень сывороточного железа.

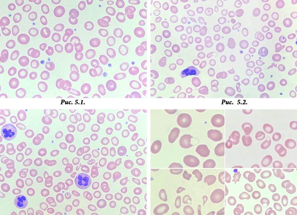
При гипохромии эритроциты приобретают вид колец – темные по краям и светлые в центре

Прием железосодержащих препаратов в этом случае не дает необходимого эффекта.

Железоперераспределительная анемия

Эта патология обусловлена накоплением излишнего количества железа при быстром распаде красных кровяных телец. Развивается такая анемия, как правило, при туберкулезе, эндокардите, ряде гнойных инфекций. К диагностическим признакам относятся следующие:

  • сниженный уровень гемоглобина;
  • гипохромия эритроцитов;
  • уровень железа в норме.

В этом случае отсутствует результат после приема препаратов с железом.

Лечение

Терапия заключается в первую очередь в устранении причин гипохромии. Важно вылечить заболевание, которое привело к снижению уровня гемоглобина. Специфическое лечение обусловлено типом анемии.

При дефиците железа показаны средства железосодержащие, а также рекомендуется специальная диета с преобладанием мяса, печени и другой пищи, богатой железом. Особенно много железа в изюме, гранатах, кураге, яблоках, свекле. Как правило, необходим длительный курс лечения. Прием препаратов продолжается примерно около полугода.

Видео о причинах и симптомах железодефицитной анемии:

При железонасыщенной форме назначают витамин В6. В случае железоперераспределительной анемии проводят лечение заболеваний, вызвавших ее развитие, а также поддерживающую терапию с помощью витаминов. При этих двух видах болезни не следует принимать препараты, содержащие железо, в противном случае это может привести к накоплению его излишнего количества.

При тяжелых формах может потребоваться внутривенное введение препаратов железа, витаминов, а также вливание эритроцитарной массы.

Если причиной патологии является кровотечение, необходимо его остановить. В этом случае может потребоваться, как консервативное, так и хирургическое лечение.

Очень важно начать лечить анемию как можно раньше, поскольку только в этом случае возможен положительный исход. С помощью одного лишь питания, богатого железом, от этой патологии избавиться невозможно, поэтому медикаментозное лечение обязательно.

Заключение

Обнаружение гипохромии при проведении общего анализа крови дает возможность раннего диагностирования разных видов гипохромных анемий, а это важно для эффективного лечения.

serdec.ru

Что такое гипохромия в анализе крови, диагностика и лечение

Цветовой показатель (ЦП), характеризующий общее состояние эритроцитов, можно рассчитать по простой и надежной формуле:

ЦП = (Hb, г/л • 3) / три первых значения общего содержания эритроцитов

Возможные результаты и их интерпретация:

  • ЦП находится в диапазоне 0,85-1,05 – норма содержания эритроцитов, содержащих достаточное количество гемоглобина.

  • ЦП менее 0,8 – гипохромная анемия (гипохромазия), когда количество эритроцитов в норме, но гемоглобина недостаточно.

  • ЦП выше 1,1 – гиперхромия (гиперхромазия), свыше 1,4 – имеется дефицит фолиевой кислоты (витамина B12), или пернициозная анемия.

Цветовой показатель – это отношение содержания гемоглобина к эритроцитам, выраженное в цифрах. Дефицит гемоглобина и низкий уровень цветового показателя – признак дефицита железа или сидероахрестической анемии, образующейся из-за нарушения синтеза гемоглобина в эритробластах. Эти состояния относятся к классу гипохромных анемий.

От точности определения уровня Hb и подсчета числа эритроцитов зависит правильный подсчет цветового показателя. Эти критерии определяют наличие или отсутствие анемического синдрома.

Качественный и количественный анализ

Подсчет количества эритроцитов, выполненный при помощи гематологического анализатора, малоинформативен. Для получения полной информации используется морфологический или качественный анализ.

Что позволяет сделать это исследование:

  • Изучить мазок;

  • Определить размер эритроцитов;

  • Визуально увидеть степень насыщения эритроцитов гемоглобином.

Морфологические признаки гипохромной анемии:

  • Гипохромия, или наличие неокрашенных анулоцитов;

  • Гипохромия и микроцитоз;

  • Появление шизоцитов (фрагментов красных кровяных клеток) и нормобластов (молодых клеток);

  • Полихроматофилия – состояние, когда в мазке имеются эритроциты, поддающиеся окраске кислыми и щелочными красителями;

  • Колебания или отсутствие реакции со стороны белой крови.

Размер клеток, как важный показатель

При отклонении значений ЦП от нормы гематолог анализирует размер красных кровяных клеток:

  • Эритроциты нормального размера (нормоциты), имеющие размер 7-8 микрон могут быть при некоторых видах анемий;

  • Макроциты (эритроциты с диаметром более 8 мм) – признак анизоцитоза с преобладанием макроцитов;

  • Микроциты (эритроциты с диаметром менее 8 мм) – признак микроцитарной анемии.

При появлении отклонений от нормы гематолог изучает материал при помощи кривой Прайс-Джонса.

Интенсивность окрашивания эритроцитов

Важный критерий оценки эритроцитов – интенсивность их окрашивания:

  • Нормохромия (нормохромазия), когда эритроциты, насыщенные Hb, выглядят, как нормальные клетки с небольшим светлым пятном посередине клетки, ЦП при этом находится в диапазоне 0,85-1,0. Это состояние не всегда соответствует норме, может наблюдаться при нормохромной анемии.

  • Гиперхромия (гиперхромазия), когда срединное просветление не отличается от остальной части эритроцита из-за чрезмерного насыщения пигментами. ЦП при этом более 1,1.

  • Гипохромия (гипохромазия), когда срединное просветление чрезмерно велико, а ободок клетки очень узок из-за слабого насыщения красным пигментом. Состояние характеризуется некачественным выполнением эритроцитами своих функций.

Врач, оценив характеристики эритроцитов при проведении морфологического исследования, выявит анемию и отразит диагноз, оформляя заключение.

Степени гипохромии

Градация гипохромной анемии:

  • 1 степень – ободок клеток окрашен, зона просветления больше, чем обычно;

  • 2 степень – центральное просветление шире, чем обычно, приближается к мембране, окрашенная зона четкая;

  • 3 степень – окрашена лишь зона у мембраны, эритроцит похож визуально на бледное кольцо. Проявляется при тяжелой анемии, в очень запущенных стадиях.

Очень часто гипохромию сопровождает микроцитоз, эти симптомы – признаки гипохромных анемий. Они приобретают еще большее значение, если требуется различить микроцитарные анемии друг от друга или дифференцировать их от других патологий крови.

  Нашли ошибку в тексте? Выделите ее и еще несколько слов, нажмите Ctrl + Enter

Достоверный признак гипохромных анемий

Различают следующие формы анемических состояний, входящие в группу гипохромных анемий:

  1. Железодефицитная анемия. Самая распространенная форма гипохромных анемий.

    Характерные признаки:

    • Микроцитоз в сочетании с гипохромией;

    • Цветовой показатель ниже нормы;

    • Сниженный уровень сывороточного железа;

    • Положительная динамика лечения.

  2. Железонасыщенная анемия (сидероахрестическая). Уровень Hb при этой патологии неуклонно снижается из-за неэффективного всасывания железа к месту синтеза гемоглобина. Возникает по причине интоксикации промышленными ядами, химикатами, побочного действия лекарственных препаратов, влияющих на образование красных кровяных телец.

    • Низкий Hb;

    • Гипохромия;

    • Нормальный уровень железа;

    • Отсутствие эффекта от использования препаратов с повышенным содержанием железа.

  3. Железоперераспределительная анемия. В основе этиологии этой формы анемии лежит чрезмерный гемолиз эритроцитов, туберкулез, гнойные процессы, сердечные патологии. Относится к гипохромным микроцитарным анемиям.

    • Низкий Уровень Hb;

    • Уровень сывороточного железа в норме;

    • Отсутствие эффекта от терапии препаратами железа.

При сочетании признаков разных видов диагностируют смешанную форму гипохроматоза.

Причины гипохромии

В основе этиологии гипохромии лежит гипохромная анемия.

Факторы риска, способствующие развитию гипохромии и анемии:

  • Длительные или хронические кровопотери (ЖКТ, матка);

  • Хронические воспалительные процессы (энтерит, резекция органов), приводящие к нарушению всасыванию железа в желудочно-кишечном тракте;

  • Злокачественные опухоли ЖКТ (рак желудка);

  • Повышенная потребность в железе, витаминах и микроэлементах во время беременности, лактации, усиленного роста детей и подростков;

  • Нехватка железа и витаминов, помогающих его усваивать из-за резкого уменьшения поступления продуктов питания в организм (при вегетарианстве или соблюдении диеты).

Клинические признаки анемии в зависимости от степени тяжести и уровня гемоглобина:

  • 1 степень (легкая) – уровень Hb ниже нормы, но не опускается менее 90 г/л;

  • 2 степень (умеренная) – уровень Hb в диапазоне 70-90 г/л, ЦП ниже 0,8, при визуальной оценке мазка отмечается умеренная гипохромия;

  • 3 степень (тяжелая) – уровень Hb ниже 70 г/л, ЦП снижен, при визуальной оценке мазка отмечается выраженная гипохромия.

Чем меньше степень анемии, тем слабее выражены ее проявления.

Что это такое?

Анизохромия — это состояние крови, при котором эритроциты имеют разную окраску. Степень окраски зависит от содержания гемоглобина. Если содержание гемоглобина повышено или понижено, то красные кровяные тельца (эритроциты) окрашиваются неравномерно, то есть могут быть бледнее или ярче нормы.

Читайте также:  Анализ на гормоны щитовидной железы: как сдавать?

Эритроциты — это красные кровяные тельца, которые заполняются гемоглобином.

Именно эритроциты, благодаря своей округлой форме и большому размеру, доставляют кислород к тканям. Чем больше гемоглобина содержится в эритроцитах, тем быстрее происходит насыщение тканей кислородом. Количество гемоглобина в эритроцитах называется цветовой показатель.

В норме цветовой показатель (ЦП) у здорового человека находится в пределах 0,86-1,04, это определяется термином «нормохромия». При этом эритроциты имеют однородную яркую окраску с небольшим просветлением в середине клетки.

Если ЦП не достигает 0,79, то это называется «гипохромия», эритроциты имеют бледно-розовую окраску, одновременно уменьшается их размер. Превышение показателей также является отклонением от нормы. Если ЦП больше 1,5, то говорят о гиперхромии. В этом случае центральная светлая часть эритроцита будет меньше по размеру или вовсе отсутствовать.

Одновременно наблюдается увеличение толщины клетки.

Как определяется анизохромия

Анизохромия выявляется в общем анализе крови.

Количественный показатель эритроцитов считает машина.

А вот цветовой показатель лаборант вычисляет вручную по формуле:

ЦП = (гемоглобин х 3) / первые три цифры содержания эритроцитов.

Важное значение имеет также размер эритроцитов, который определяется либо с помощью автоматической гемолитической системы, либо лаборантом с помощью кривой Прайс Джонса.

Нормы и отклонения

Для постановки диагноза и определения причины анизохромии оценивается не только цветовой показатель, но и количество эритроцитов, их размер, уровень гемоглобина.

Читайте так же:  Информация про анализ на патологию плода

Уровень гемоглобина оценивается следующими цифрами:

  • женщины — 120-140 г/л;
  • мужчины — 135-160 г/л.

Снижение уровня свидетельствует об анемии:

  • 90 г/л — легкая степень;
  • 70-85 г/л — средняя;
  • менее 65 — тяжелая, когда требуется переливание крови.

ЦП измеряется в единицах и имеет следующие значения:

  • 0,86-1 — нормохромия;
  • менее 0,82 — гипохромия;
  • более 1 — гиперхромия.

При анемии наблюдается изменение размеров эритроцитов.

В медицине приняты следующие показатели:

  • 7-8 микрон — нормальные эритроциты (нормоциты);
  • более 8 микрон — превышение показателей (макроциты);
  • менее 7 микрон — уменьшение показателей (микроциты).

В зависимости от того, какие клетки преобладают, можно говорить о разных видах анемии.

Уменьшение показателей

Гипохромия свидетельствует о наличии анемии. Различают три степени гипохромии:

  • Первая. Середина клетки является более светлой по сравнению с нормой.
  • Вторая. Красный цвет наблюдается только по периферии эритроцита.
  • Третья. Окрашена лишь мембрана клетки, сам эритроцит остается светлым.

Увеличение показателей

В случае гиперхромии эритроциты имеют более насыщенный красный цвет. Различают две степени:

  • Первая. Светлая серединка клетки уменьшена в размере.
  • Вторая. Светлая серединка клетки отсутствует, эритроцит полностью окрашен в красный цвет.

Обычно гиперхромия сопровождается увеличением размеров клетки (макроцитозом).

Что такое гипохромная анемия

Гипохромная анемия — собирательный термин для нескольких видов анемий. Характеризуется снижением уровня гемоглобина (железосодержащий белок, присутствующий в составе клеток крови). Это приводит к кислородному голоданию органов и тканей организма. В результате нехватки кислорода они перестают выполнять свои функции, что чревато серьёзными осложнениями.

Анемия с греческого переводится как малокровие. Может встречаться при любом заболевании, которое каким-либо образом связано с поражением крови.

Гипохромия характеризуется снижением уровня гемоглобина и количества красных кровяных клеток (эритроцитов)

Важно! Люди с низким уровнем гемоглобина болеют в 2 раза чаще кишечными инфекциями и ОРЗ.

При малокровии уменьшается не только уровень гемоглобина и эритроцитов, но и изменяется цветовой показатель. Кровяные клетки также меняют размер и форму, они приобретают вид кольца с просветлением в середине и тёмным ободком по краям.

При гипохромной анемии меняется цветовой показатель красных кровяных телец. Они обесцвечиваются, а по краям наблюдается тёмная окантовка

Проблема анемии часто встречается в педиатрической практике. При рождении у малыша вырабатывается определённое количество железа. В последующем его необходимо пополнять. Если этого не происходит, вероятность появления болезни повышается.

Причины

Причины зависят от вида анемии. Однако чаще всего провоцируют заболевание:

  • обильные кровотечения (менструации, послеоперационные или сильные травмы);
  • несбалансированное питание с недостаточным количеством витаминов, белков. Характерно для людей, которые придерживаются строгой диеты, а также для вегетарианцев;
  • внутренние кровоизлияния. Кровопотери могут быть незначительными, но постоянными (частыми). К ним относятся кровоточивость дёсен, геморрой, заболевания ЖКТ. При миоме (доброкачественной опухоли) матки и кисте яичников их полости заполняются кровью, гемоглобин превращается в другие соединения и постепенно рассасывается. В медицине такое явление называется «псевдопотеря крови»;
  • хронические инфекционные болезни — при туберкулёзе, энтероколите, гепатите происходит перераспределение железа или его плохое усвоение. У пожилых людей анемию часто провоцируют болезни печени, почек;
  • интоксикация, отравление химическими элементами — встречается при железонасыщенной анемии;
  • беременность — в этот период организму требуется повышенное количество железа;
  • глисты;
  • заболевания крови;
  • аутоиммунные болезни провоцируют гибель эритроцитов, что приводит к снижению гемоглобина.

Анемия у новорождённых и недоношенных детей появляется при:

  • резус-конфликте;
  • инфицировании плода в период вынашивания вирусами герпеса, краснухи;
  • неправильном питании будущей мамы;
  • родовой травме.

У грудничка заболевание может развиться вследствие неправильного питания. В основном это происходит при искусственном вскармливании.

Гипохромная анемия часто встречается в подростковом возрасте, когда происходит изменение гормонального фона.

Классификация

Медики выделяют несколько видов гипохромной анемии:

  • железодефицитная (микроцитарная) – встречается наиболее часто. Причиной могут стать частые кровотечения, недостаток железа и его плохая усвояемость, физиологические процессы (лактация, беременность). Наблюдается больше у детей и молодых женщин;
  • железонасыщенная (сидероахрестическая) – характеризуется нормальным уровнем железа в крови, однако этот элемент не всасывается, в результате чего гемоглобин не вырабатывается. Чаще встречается у людей преклонного возраста. Патология наблюдается при алкогольной интоксикации, отравлениях ядами или химическими веществами, длительном употреблении лекарственных препаратов;
  • железоперераспределительная — возникает при большой концентрации железа в крови после распада эритроцитов (красных кровяных клеток). Заболевание часто встречается при туберкулёзе, гнойных инфекционных процессах;
  • смешанная — развивается вследствие дефицита витамина В12 и железа. Среди основных симптомов выделяют быструю утомляемость, снижение иммунитета, отёчность верхних конечностей.

Болезнь может носить наследственный или приобретённый характер.

  1. Приобретённая форма возникает после перенесённых операций, инфекционных заболеваний, при отравлениях.
  2. Врождённая анемия встречается при болезнях крови.

По данным ВОЗ, каждая третья женщина и каждый шестой мужчина страдают хронической формой болезни. Дело в том, что хронические заболевания, несбалансированное питание, диеты приводят к недостатку железа в организме и снижению уровня гемоглобина. Больные привыкают к слабости, плохому самочувствию, объясняя это переутомлением и стрессами.

Симптомы гипохромии

Длительное время больные не обращают внимания на ухудшение состояния, списывая плохое самочувствие на стрессы и усталость.

Симптомы полностью зависят от степени тяжести анемии. Сначала все пациенты жалуются на:

  • общее недомогание;
  • быструю усталость;
  • нарушение внимание;
  • снижение физической выносливости;
  • сонливость.

Признаки болезни в зависимости от степени тяжести — таблица

Особенности проявления у детей

У детей, особенно грудного возраста, симптомы выражены слабо. Диагностировать заболевание часто удаётся только после сдачи анализа крови. Родителям необходимо обратить внимание на следующие признаки:

  • бледные кожные покровы;
  • плохой сон и аппетит;
  • вялость;
  • частые простудные заболевания;
  • трещинки в уголках рта;
  • отставание в физическом и психомоторном развитии.

Длительное игнорирование заболевание может привести к летальному исходу, поэтому патология нуждается в обязательном лечении.

Диагностика

В первую очередь врач проводит внешний осмотр, изучает клинические проявления, наследственные патологии. Диагноз подтверждается на основании исследования общего анализа крови, в котором показан уровень гемоглобина и количество эритроцитов (красных кровяных клеток), позволяющих определить тип анемии и цветовой показатель.

Расшифровка результатов общего анализа крови — таблица

В норме содержание гемоглобина в эритроцитах колеблется в пределах от 0, 85 до 1, 15. При гипохромной анемии цветовой показатель становится ниже 0,85.

Дополнительно проводится дифференциальная диагностика:

  • анализ кала на скрытую кровь;
  • гастроскопия — осмотр органов ЖКТ с помощью гибкого шланга, который вводится через рот;
  • колоноскопия — исследование толстого кишечника специальным зондом;
  • анализ мочи;
  • УЗИ почек;
  • рентгенограмма грудной клетки;
  • гинекологический осмотр (женщинам);
  • изучение сыворотки крови на содержание железа и проб костного мозга.

Для подтверждения малокровия пациентам проводят клинический анализ крови

Лечение

Терапия полностью зависит от клинических проявлений и степени тяжести гипохромии. В первую очередь лечение направлено на устранение причины заболевания.

Медикаментозная терапия

Основной упор делается на приёме лекарственных препаратов, которые восполняют дефицит железа и витамина В12. 

Необходимо учесть, что витамины быстро выводятся с мочой, поэтому быстрых результатов только от приёма витаминосодержащих препаратов добиться невозможно.

  1. Железосодержащие средства принимают от 4 до 8 недель до нормализации уровня гемоглобина. Это могут быть: Феррум Лек, Фенюльс, Гемофер. Препараты, которые необходимо вводить капельно или в виде инъекций, рекомендуется использовать только в условиях стационара, чтобы исключить аллергические проявления.
  2. Если выявлено недостаточное поступление витамина В12, назначаются подкожные инъекции Цианокобаламина. Курс лечения — 1–2 месяца до нормализации состояния.
  3. Часто недостаток витамина В сопровождается дефицитом фолиевой кислоты. В этом случае выписывают дополнительные препараты. Курс лечение — до 30 дней.

Медикаменты рекомендуется принимать в виде сиропа, капсул или таблеток. Инъекции назначаются в том случае, если у больного обнаружены болезни ЖКТ или острые кровопотери.

Следует учитывать, что терапия средней и тяжёлой форм анемии проводится только в стационаре под наблюдением врача.

Препараты для лечения заболевания — галерея

Феррум Лек

Фенюльс Гемофер

Народные средства

Средства народной медицины принимают только в качестве поддерживающей терапии и в комплексе с лекарственными препаратами.

  1. Утром рекомендуется съедать по 100–150 г тёртой моркови со сметаной.
  2. В течение дня употреблять по несколько кусочков варёной тыквы.
  3. Крапива улучшает состав крови, повышает уровень гемоглобина и эритроцитов. Для приготовления настоя необходимо измельчить 10 г листьев, запарить стаканом кипятка и настоять 10 мин. Жидкость принимать по 1 ст. л. 3 раза в день.
  4. Смесь из сухофруктов. Измельчить курагу, чернослив, изюм, инжир, шиповник в равных пропорциях, добавить мёд. Принимать 3–4 раза в день по 1 ст. л.
  5. Отвар шиповника.

Диетотерапия

В комплексе с медикаментозным лечением больным рекомендована диетотерапия. 

Основные принципы:

  1. Ежедневно в рационе должно присутствовать не менее 130–150 г белков животного происхождения (говядина, телятина).

    Белки способствуют выработке гемоглобина и эритроцитов.

  2. Рекомендуется ограничить потребление жиров, поскольку при малокровии имеет место ожирение костного мозга и печени, что угнетает кроветворение.
  3. У больных с анемией наблюдается снижение аппетита, что объясняется ухудшением секреторной функции. Для улучшения состояния следует включить в рацион рыбные, мясные, грибные отвары.
  4. В меню обязательно должны присутствовать продукты, богатые витамином В — яйца, рыба, творог, пивные дрожжи. Ежедневно или через день употребляют по 100 г печени.

Рекомендованные продукты:

  • рыба, мясо, печень (нежирные);
  • творог;
  • грибы;
  • яйца;
  • чёрный и белый хлеб;
  • дрожжи;
  • гранатовый сок;
  • бобовые (горох, фасоль, чечевица);
  • ягоды и фрукты с большим содержанием витамина С — шиповник, чёрная смородина, гранатовый сок.

Употреблять в чистом виде гранатовый сок не рекомендуется, лучше разводить его со свекольным в пропорции 1:1.

Рекомендованные продукты — галерея

Говядина полезна для кроветворения. Высокое содержание витаминов В, С и минералов благотворно влияют на качество крови

С одним яблоком в организм поступает около 480 мг железа, что способствует поддержанию нормального уровня гемоглобина Рыба — источник витамина В12 Гранатовый сок содержит большое количество аскорбиновой кислоты, которая способствует всасыванию железа

Продукты, которые препятствуют всасыванию железа:

  • овсянка, пшено;
  • чай;
  • листовая зелень;
  • молочные продукты;
  • кофе;
  • блюда с высоким содержанием жиров.

Продукты, которые следует исключить из рациона — галерея

Спиртное способствует патологическим процессам при анемии

Молочные продукты следует употреблять в ограниченном количестве, поскольку они задерживают усвоение железа Кофе и чай вымывают железо, поэтому злоупотреблять этими напитками не стоит

Примерное меню — таблица
Рецепты
  1. Каша из проса. Замочить 250 г хлопьев в 500 мл яблочного сока на ночь. Утром проварить смесь в кастрюле с толстым дном в течение 10 мин.

    В просе содержатся микроэлементы, которые необходимы для укрепления иммунитета.

  2. Печёная свёкла. Овощ вымыть, обрезать побеги на высоту 1,5 см от корнеплода. Смазать обильно оливковым маслом, присолить морской солью. Запекать в духовом шкафу при температуре 175°С около 45 мин.
  3. Напиток из дрожжей. 10 г живой культуры растереть в 100 мл воды, оставить на 50 мин. Пить небольшими глотками.
  4. Ягодный салат. Для приготовления потребуется взять по 50 г малины, ежевики, клубники. Добавить 1 банан и яблоко. Фрукты смешать, сбрызнуть лимонным соком и полить жидким мёдом (1 ст. л.).
  5. Морс из рябины. 100 г сушёных ягод измельчить, добавить 300 г цветов рябины и 10 г мяты. Залить кипятком в пропорции 2 ст. л. на 200 мл воды. Остудить.

Прогноз лечения и возможные осложнения

При своевременном обращении к врачу прогноз в большинстве случаев благоприятный. При отсутствии лечения гипохромная анемия может привести к:

  • снижению иммунитета;
  • задержке роста, умственного и психомоторного развития (у детей);
  • развитию кардиомиопатии — при недостаточном поступлении кислорода сердце начинает работать с удвоенной силой. Это приводит к сердечной недостаточности;
  • увеличению печени;
  • хронической анемии.

Низкий уровень гемоглобина негативно сказывается на нервной системе.

Профилактика

Основной профилактической мерой считается правильное и сбалансированное питание. В рационе должны присутствовать продукты, богатые железом.

  1. Говяжья печень, почки.
  2. Перепелиные и куриные яйца.
  3. Свежие овощи и фрукты — брюссельская капуста, хурма, гранат, свёкла, курага.

Особое внимание на профилактику анемии следует обратить женщинам, поскольку из-за менструации они теряют крови в два раза больше, чем мужчины.

Причины гипохромии

Гипохромная анемия может быть спровоцирована самыми разными явлениями:

  • Нарушение всасываемости железа в восстановительный период после операции или при энтерите;
  • Кровотечения хронические или не прекращающиеся длительное время;
  • Состояния, которые сопровождаются повышением потребности организма в железе (это беременность и кормление грудью);
  • Интоксикация химическими веществами промышленного производства;
  • Неправильное питание при недостаточном содержании мяса в рационе;
  • Прием определенных препаратов.

Причины гипохромии

Симптомы гипохромной анемии

Проявления гипохромии зависят от ее тяжести.

Основные симптомы заболевания, проявляющиеся для всех типов гипохромных анемий:

  • Одышка;
  • Головокружение;
  • Учащенное сердцебиение;
  • Слабость;
  • Бледность слизистых и кожи;
  • Раздражительность;
  • Повышенная утомляемость.

При появлении симптомов следует сделать анализ крови, и по его результатам можно будет подтвердить либо опровергнуть диагноз. Что это такое и какое лечение необходимо – подскажет специалист. Главное — во время посетить врача, не занимаясь самолечением.

Определение гипохромии

Заболевание определяется посредством общего анализа крови. При этом принимается в расчет как уровень гемоглобина, так и цветовой показатель. Гипохромия имеет место в случае, если ЦП составляет менее 0,8.

Степень тяжести патологии определяется по уровню гемоглобина. Если анализ гипохромной анемии показал содержание гемоглобина на уровне 90 г/л, определяется I степень тяжести, если 70-90 г/л — фиксируется II степень тяжести, ниже 70 г/л — диагностируется анемия III степени.

Виды заболевания

Железодефицитная анемия

Это самый распространенный тип гипохромии. Подавляющее большинство больных (90 – 95%) – это женщины в возрасте 15 – 50 лет. Данный вид анемии возникает при превышении расхода железа в сравнении с поступлением в организм.

Наблюдается при несбалансированном питании, хронических кровотечениях, а также определенных физиологических процессах у женщин (беременность и лактация).

Она определяется в общем анализе крови по таким признакам:

  • Цветовой показатель – менее 0,8;
  • Низкий уровень сывороточного железа;
  • Гипохромия эритроцитов (светлая окраска в центре и темная по краям).

После приема препаратов, содержащих большое количество железа, у пациентов наблюдается нормализация лабораторных показателей и улучшение самочувствия.

Железодефицитная анемия

Железонасыщенная анемия

Данная патология характеризуется нормальным содержанием железа при нарушении его всасывания, а следовательно, и синтеза гемоглобина. Такого вида гипохромия развивается при хроническом отравлении химикатами либо некоторыми препаратами.

Заболевание диагностируется по таким признакам:

  • Гипохромные эритроциты;
  • Низкий цветовой показатель;
  • Уровень сывороточного железа в норме.

В данном случае прием железосодержащих препаратов не оказывает необходимого действия.

Железоперераспределительная анемия

Данная патология обусловлена излишками количества железа и ускоренным распадом красных кровяных телец. Такая анемия обычно развивается при эндокардите, туберкулезе и некоторых гнойных инфекциях.

Имеет следующие диагностические признаки:

  • Гипохромия эритроцитов;
  • Низкий уровень гемоглобина;
  • Нормальный уровень железа.

В данном случае прием железосодержащих препаратов не оказывает лечебного эффекта.

Лечение

Целью терапии заключается устранение причин заболевания. Важно вылечить патологию, которая вызвала снижение гемоглобина. Конкретное лечение обуславливается типом анемии.

В случае дефицита железа больным показаны железосодержащие препараты, также рекомендуется соблюдать специальную диету, в которой преобладают печень, мясо и другие продукты, богатые железом. Много железа содержится в гранатах, изюме, яблоках, кураге и свекле. Обычно для излечения требуется длительный курс. Продолжительность приема препаратов составляет примерно полгода.

В случае железонасыщенной формы заболевания назначают прием витамина В6. Если это железоперераспределительная анемия, то проводят лечение патологий, вызвавших заболевание, а также витамины (как часть поддерживающей терапии). При этих видах анемии не рекомендуется прием повышающих содержание железа препаратов, поскольку это может привести к излишнему его накоплению.

При наиболее тяжелых формах заболевания может понадобиться внутривенное введение железа, витаминов, а также вливание эритроцитарной массы.

В случае, если патология была вызвана кровотечением, следует его остановить. При такой причине патологии может быть назначено, как хирургическое, так и консервативное лечение.

Очень важно начать лечение анемии как можно скорее, так как только тогда можно рассчитывать на положительный исход. От данной патологии невозможно избавиться при помощи только одного питания, содержащего много железа, поэтому медикаментозная терапия является обязательной составляющей лечения.

  • https://www.ayzdorov.ru/ttermini_gipohromiya.php
  • https://1pokrovi.ru/analizy-krovi/anizoxromiya.html
  • https://krasnayakrov.ru/organizm-cheloveka/gipohromiya-ili-gipohromnaya-anemiya-osobennosti-protekaniya.html
  • https://moyakrov.info/blood/gipohromiya

Помогла статья? Оцените её Загрузка…

zdorovo.live

Что такое гипохромия в анализе крови

Почему развивается анемия?

Гипохромией называют состояние, характерное сниженным количеством гемоглобина в красных клетках крови.

Диагноз заболевания устанавливают выяснением уровня гемоглобина и изучением цветового показателя, который отображает количество гемоглобина в эритроците.

Его норма составляет от 0,85 до 1,05, а гипохромия начинается при падении ниже 0,85. Дополнительно диагноз подтверждают при изменениях формы и размеров клеток, которые имеют вид колец с темными краями и светлой внутренней частью.

Гипохромные анемии подразделяются на следующие виды:

Схематическое отображение симптоматики при анемии

Основные причины развития патологии:

В медицине выделяют три основных причины развития гипохромии, зависящие от вида анемии:

Виды гипохромных анемий

Первичные признаки гипохромной анемии

Гипохромия эритроцитов, или гипохромная анемия, подразделяется на следующие формы, представляющие определенный интерес для врачей:

  • железодефицитная;
  • сидероахрестическая;
  • железоперераспределительная;
  • смешанная (имеет в себе все черты вышеназванных форм).

Все данные формы имеют свои характерные черты, однако, без проведения биохимического и морфологического обследования установить их точную этиологию крайне сложно.

При общем анализе крови, рассматриваются следующие показатели:

  • объем эритроцитов;
  • уровень гемоглобина;
  • окраска кровяных телец;
  • структурное изменение оттенка;
  • структура изменения форм.

Гемоглобин показывает, насколько тяжело протекает анемия.

Насчитывают три степени:

  1. Показатель гемоглобина немного больше 90 единиц;
  2. Отметка уровня гемоглобина падает и находится в пределах 65-90 единиц.
  3. Значение данного показателя немного превышает отметку в 70 единиц.

Гипохромные анемии делятся на три вида:

Первый вид встречается намного чаще остальных. По названию можно сразу понять, что пациент нуждается в железе.

Ее диагностируют по таким признакам:

  • наличие в крови гипохромных кровяных телец;
  • показатель железа намного ниже нормы;
  • сниженный цветовой показатель;
  • при приеме препаратов железа, ситуация налаживается.

Причины гипохромных анемий

Самые распространенные причины развития гипохромии следующие:

  1. Значительные кровотечения (при операциях, родах или травмах).
  2. После внутренних кровоизлияний, которые не обязательно сопряжены с существенными кровопотерями. Заболевание способно развиваться после незначительных, но постоянных кровотечений.
  3. Неправильное питание, при котором ограничено поступление продуктов, богатых железом: мяса, чернослива, яблок, кураги.
  4. Период беременности, при котором железа требуется значительно больше в сравнении с нормой для взрослого человека.
  5. Болезни ЖКТ, при которых нарушается усвоение железа, и в организме образуется его нехватка даже при достаточном поступлении с пищей.
  6. Частая сдача крови при донорстве.
  7. Врожденная детская гипохромия (микроцитоз) и другие наследственные патологии, характерные блокированием синтеза гемоглобина.
  8. Гельминтоз.

Причины развития гипохромных анемий могут быть самыми разнообразными и зависят от ее вида.

Симптомы и лечение

Точно определить наличие гипохромии по внешним признакам невозможно, но любое анемическое состояние характеризуется сходными симптомами (включая микроцитоз), при появлении которых необходимо обратиться к терапевту или гематологу, которые назначат сдачу крови и другие необходимые обследования.

Такими симптомами являются следующие:

  1. Головокружение, ощущение слабости, обморок и мелькание мушек перед глазами.
  2. Быстро наступающая усталость, отсутствие возможности длительное время заниматься физическим или интеллектуальным трудом.
  3. Бледность кожных покровов, синий оттенок под глазами (анемичный вид).
  4. Повышенная раздражительность и беспричинная плаксивость у женщин.
  5. Периодические приступы сердцебиения и тахикардия в состоянии покоя.
  6. Одышка.

Косвенно наличие у человека анемии можно проверить реакцией организма на прием железосодержащих препаратов. При анемии, вызванной нехваткой железа, такие люди ощущают улучшение самочувствия.

Но при железонасыщенном и железораспределительном малокровии прием подобных лекарств эффекта не приносят..

Диагноз гипохромная анемия невозможно поставить по внешним симптомам. Тип заболевания определяют только на основании лабораторных анализов.

Однако все анемические состояния дают о себе знать похожими признаками, заметив которые, нужно идти к врачу и сдавать анализ крови.

  • слабость, головокружение; мелькание черных мушек перед глазами, случаются обмороки;
  • бледность кожи, синева под глазами («анемичный вид»);
  • больные быстро устают, не могут долго заниматься ни физическим, ни умственным трудом;
  • раздражительность, у женщин плаксивость без причины;
  • тахикардия в покое или повторяющиеся приступы сердцебиения;
  • одышка.

Косвенным образом симптоматику различных типов анемии подтверждает реакция организма на препараты Fe. Принимая их при железодефицитной форме, больные чувствуют себя лучше, при сидероахрестической их самочувствие не изменяется.

При железораспределительной назначение железа также не помогает..

Проявления гипохромной анемии зависят от степени тяжести этого недуга. Определить ее можно по содержанию гемоглобина.

Первая степень тяжести – гемоглобин выше 90 г/л, вторая степень тяжести – уровень гемоглобина 70-90 г/л, третья степень тяжести – уровень гемоглобина ниже 70 г/л.

Все гипохромные состояния характеризуются головокружениями, проявлениями слабости, одышкой и мушками перед глазами, снижением физической и умственной активности. А также повышенным сердцебиением.

Диагностика и лечение

Для всех разновидностей симптомы гипохромии практически идентичны:

  • прослушивается учащенное сердцебиение,
  • больной жалуется на хроническую усталость, одышку, сонливость и головокружение,
  • у пациента наблюдается выраженная бледность,
  • нарушение зрения (мушки перед глазами).

Точно определяется гипохромия в общем анализе (забор крови из пальца), который берется амбулаторно натощак. Для полной диагностики учитывают и количество гемоглобина в крови, и показатель цветности. У взрослых в первом случае нормальным является диапазон 120-160 г/л, во втором — выше 0,8 и до 1,15.

Выраженность вышеперечисленных симптомов гипохромии обусловлена степенью тяжести заболевания, зависящей от уровня железосодержащего белка.

при 1 степени не ниже 90г/л, при следующей ступени, второй, — ниже 90 г/л, но выше 70 г/л; если уровень гемоглобина опустился ниже 70 г/л — это третья степень тяжести, и такая стадия заболевания может привести к смерти пациента.

Таблица дифференциальной диагностики гипохромных анемий

Как можно определить наличие сниженного цветового показателя:

  1. Проводят его вычисление по специальной формуле: умножают количество гемоглобина крови (определенное в общем исследовании крови) на 3 и делят полученный результат на первые три цифры количества эритроцитов. Подобным образом можно диагностировать все виды гипохромных анемий, однако, такое исследование не несет необходимой информации о том, какие причины привели к его снижению.
  2. Измерение количества содержащегося железа. Такое исследование проводится, обычно, путем некоторых биохимических реакций, общий принцип которого следующий – к исследуемой крови добавляют определенное количество специального реагента, вступающего в реакцию с железом крови. На основании количества образованного вещества судят об уровне железа сыворотки. Данный метод, несмотря на свою простоту, не получил широкого распространения из-за того, что он не позволяет определить конкретно железо и уровень гемоглобина эритроцитов.
  3. Косвенно, на наличие гипохромии указывают уменьшение средней концентрации гемоглобина в эритроцитах, а также их морфологические изменения, такие как размеры, диаметр, толщина стенок и форма. Для исследования используется как капиллярная, так и венозная кровь больного. Обычно данные о состоянии своего здоровья и уровне гемоглобина, он может получить уже непосредственно в день проведения исследования.

Само исследование необходимо назначать пациентам, предъявляющим жалобы на слабость, нарушения функции и состояния кожных покровов, волос.

Обязательного дообследования требуют пациенты, у которых гипохромия является случайной находкой (особенно у лиц молодого возраста).

Чтобы уточнить диагноз гипохромная анемия, в лаборатории определяют уровень гемоглобина, эритроцитов в крови и цветового показателя крови (нормальное его значение – от 0,85 до 1,05).

Подтверждают предварительным исследованием размеров и формы красных кровяных телец..

Нормальный эритроцит окрашен равномерно, а в данном случае он становится похож на колечко с темным ободком и светлым участком в центре.

Такое состояние красных кровяных телец называется «гипохромия эритроцитов», из-за которого кровь под микроскопом выглядит бледнее, чем у здорового человека.

Анемию невозможно вылечить саму по себе, потому что она являет собой не самостоятельное заболевание, а симптом и следствие других болезней и состояний. Принимаясь за лечение, врачи ставят перед собой две задачи: устранить основную болезнь, которая вызвала недуг, и отрегулировать обмен железа в организме.

Лечения

Гипохромия эритроцитов лечится устранением причины патологии одновременно с симптоматической терапией, а также нормализацией обмена железа в организме.

Так, в зависимости от вида малокровия, терапевтические меры будут следующие:

Железодефицитная анемия лечится устранением причин, вызывающих потерю железа, и его восполнение до необходимого уровня, при этом применение препаратов сочетается с другими видами воздействия:

Общее лечение гипохромной анемии включает в себя устранение фактора ее развития, а также лечение основного заболевания, которое привело к данной патологии. Специфическое лечение гипохромной анемии зависит от ее формы.

При железодефицитной анемии лечение проводят следующим образом:

Гипохромная анемия без лечения приводит к общей гипоксии всех внутренних органов и тканей. Восстановить состояние организма при гипохромии очень сложно.

Поэтому лечение гипохромной анемии важно начать с самой ранней стадии заболевания, это обеспечит более высокий терапевтический эффект.

План и вид лечения гипохромии назначается врачом и зависит от формы патологии:

  1. При железодефицитной анемии назначают железосодержащие лекарства: ферронал, гемофер, фенюльс, актиферрин — с целью восполнения железа и восстановления синтеза гемоглобина. Принимать их нужно в соответствии с врачебными рекомендациями в одно и то же время. Грамотно составленное меню с преобладанием белковой и железосодержащей пищи станет отличным дополнением к лекарственной терапии при гипохромии.
  2. При сидероахрестической анемии сначала необходимо устранить основное заболевание, провоцирующее нарушение всасывания железа, а затем восстанавливать уровень гемоглобина. В этом случае начинают с употребления витаминных комплексов (лучше В12). После курса витаминотерапии при анемии назначают железосодержащие препараты. Для контроля гипохромии требуется постоянный забор крови на наличие свободного железа.
  3. Смешанная гипохромная анемия, при лечении которой используют указанные выше методы, требует проведения полного обследования организма на возможное развитие злокачественных опухолей. Если опухоль обнаружена, назначают цитостатические лекарственные средства или используют радикальные методы лечения гипохромии вплоть до оперативного вмешательства.

Медикаментозные препараты, рекомендованные к употреблению при гипохромии, выпускаются в виде суспензии, капсул или таблеток.

Внутримышечные/внутривенные инъекции при анемии назначают только при сопутствующих болезнях желудочно-кишечного тракта и обильных/острых кровотечениях.

Средняя и тяжелая степени гипохромной анемии лечатся под наблюдением врача в условиях стационара.

В качестве поддержки к основному лечению гипохромии прибегают к народным методам лечения. Чтобы повысить уровень гемоглобина, при гипохромии рекомендуется каждый день кушать:

Последствия гипохромной анемии

Своевременная диагностика гипохромии и лечение позволяют полностью излечить заболевание (исключение – врожденный микроцитоз), но отсутствие терапии приводит к следующим негативным последствиям:

  1. Ослабление иммунитета.
  2. Развитие кардиомиопатии – работа сердечной мышцы с удвоенной силой при нехватке кислорода, что ведет к сердечной недостаточности.
  3. Отрицательное влияние на нервную систему.
  4. Увеличение печени.
  5. Хроническое малокровие.

Профилактика

Главная профилактическая мера по недопущению развития гипохромии – сбалансированная диета, включающая продукты с достаточным содержанием железа.

почки и говяжья печень, яйца, зелень, гранат, свекла, курага, хурма. Также периодически необходимо проводить обследования для контроля количества гемоглобина и других показателей крови.

Женщинам на профилактику гипохромной анемии следует особенное внимание, так как они теряют значительное количество крови при менструации.

Гипохромия – это патология, характеризующаяся пониженным содержанием гемоглобина в эритроцитах.

Она может развиваться при недостатке поступления или нарушениях процесса усвоения железа в организме. При появлении характерных симптомов необходимо пройти обследование для выявления причины заболевания, так как на основании характерных признаков поставить точный диагноз невозможно.

При отсутствии генетической предрасположенности к гипохромии (врожденный микроцитоз), ее появление возможно предотвратить при помощи профилактических мер.

praviloserdca.ru

Микроцитоз гипохромия

  • Связанные с:
    1. уменьшением поступления железа с пищей (вегетарианство или другие диеты, вынужденные или целенаправленные, ограничивающие насыщение организма белком и железом);

    Помимо ЖДА, исходя из таких признаков, как размер эритроцита и окраска, в группу микроцитарных анемий включена и другая гематологическая патология:

    • Многие виды гемоглобинопатий (талассемии, наследственный микросфероцитоз или болезнь Минковского-Шоффара, гемоглобинопатия Н и др.);
    • Сидеробластные анемии — гетерогенная группа патологических состояний, основой которых является нарушение обмена железа. При сидеробластной анемии отмечается микроцитоз, гипохромия, сниженный уровень железа в эритроцитах, повышенный — в крови (костный мозг не забирает этот элемент для синтеза гемоглобина). В данной патологии имеют место приобретенные варианты, развивающиеся у взрослых людей и сопровождающие другие болезни (воспалительный процесс, злокачественная опухоль, хронический алкоголизм), и наследственная форма (рецессивный признак, сцепленный с полом – дефектный ген располагается в Х-хромосоме);
    • Анемичные состояния, связанные с влиянием хронической инфекции;
    • Анемия, как следствие отравления солями тяжелых металлов, в частности, свинца (Pb), который оказывает негативное влияние на утилизацию Fe и синтез гемоглобина. Характерные признаки такой патологии в мазке крови – микроциты, гипохромия, грубые внутриклеточные включения (базофильная зернистость, тельца Жолли, кольца Кебота);
    • Редкие виды гипохромных микроцитарных анемий, обусловленных врожденной аномалией обмена железа, нарушением процессов транспорта и реутилизации Fe, отсутствием железосвязывающего протеина и др.).

    Впрочем, причины и характерные признаки большинства перечисленных патологических состояний уже освещены на соотвествующих страницах сайта, в чем читатель может убедиться при наличии повышенного интереса к той или иной теме.

    Гипохромная микроцитарная анемия у ребенка

    В зоне особого контроля находятся показатели гемограммы, принадлежащей растущему организму. Гипохромия и микроцитоз в общем анализе крови плюс другие признаки неблагополучия (излишний набор веса либо его потеря, неестественная потребность пробовать на вкус и даже есть несъедобные продукты, изменение поведения, снижение концентрации внимания) заставляют заподозрить у ребенка развитие анемического состояния, обусловленного недостаточным содержанием в организме железа, которое так необходимо для синтеза красного пигмента крови – гемоглобина (Hb). А уменьшение содержания гемоглобина, переносчика кислорода по органам и тканям, повлечет за собой те нежелательные последствия, которые и представляют собой симптомы ЖДА.

    Известно, что подобные нарушения в детском организме случаются куда чаще, нежели у людей взрослых, системы жизнеобеспечения которых, уже завершили свое формирование. Все дело в том, что такое положение складывается по причине особенностей обмена железа и питания у детей. Например, у ребенка, только появившегося на свет, уровень данного химического элемента (Fe) в 10 раз ниже, чем его содержание в организме взрослого, поэтому первые 15 лет идет постоянное возмещение недостачи, которое обеспечивается всасыванием в ЖКТ от 0,8 до 1,5 граммов ежедневно. И здесь основная надежда – на диету, ведь именно она должна «заботиться» о том, чтобы хватало железа для синтеза гемоглобина.

    У ребенка до года больше всего шансов получить нормальное количество элемента при употреблении материнского молока, из которого Fe всасывается намного эффективнее, нежели из коровьего или козьего.

    В дальнейшем (после года) рацион малыша также не особо насыщен железом, поэтому для профилактики ЖДА целесообразно обратить внимание на специальные продукты, из которых организм ребенка может взять нужное для себя количество элемента. В противном случае (при условиях естественной для такого возраста нестабильности в отношении железа) — микроцитарная анемия (ЖДА) не заставит себя долго ждать. При наличии клинических признаков анемического состояния, ЖДА будет хорошо «читаться» по картине крови, в первую очередь, заявив о себе снижением уровня гемоглобина.

    Снижение железа повлечет ряд биохимических процессов

    По мере уменьшения содержания железа в организме, последует цепочка биохимических реакций:

    • Снизятся запасы гемобразующих компонентов в печеночной ткани и костном мозге;
    • Упадет секреция и, соответственно, уровень главного депонирующего железо белка – ферритина (10 нг/мл и ниже);
    • Параллельно снижению в сыворотке содержания железа начнет расти ОЖСС (общая железосвязывающая способность крови);
    • Возрастет уровень свободных эритроцитарных протопорфиринов, которым просто-напросто не с чем будет соединиться для образования гема;
    • Даже при относительном дефиците Fe упадет активность железосодержащих внутриклеточных ферментов, не говоря уже о высокой степени железодефицитных состояний, когда уменьшение данного параметра будет весьма заметно как в количественном, так и в функциональном плане.

    По мере прогрессирования патологического снижения железа в крови и, соответственно, падения уровня гемоглобина, эритроциты все больше начнут менять окраску, размеры (уменьшаться) и, возможно, внешние очертания. В конечном итоге эритроциты деформируются, превратятся в микроциты — наряду с микроцитозом, в красных клетках крови будут отчетливо прослеживаться признаки гипохромии и пойкилоцитоза.

    Перечисленные превращения найдут свое отражение в гемограмме и биохимическом исследовании крови. Снижение гемоглобина, изменение показателей сывороточного железа, смещение эритроцитарных индексов, появление гипохромии и микроцитоза в общем анализе крови – все это будет свидетельствовать о развитии гипохромной микроцитарной анемии.

    Между тем, никогда нет уверенности, что у ребенка идет процесс развития именно железодефицитной анемии, поэтому формирующееся патологическое состояние нуждается в дифференцировке от других гипохромных микроцитарных анемий. Например, вызванных отравлением свинцом (имеющих отличительные признаки — базофильные включения в эритроцитах, повышение уровня Pb в сыворотке крови, появление свободных эритроцитарных протопорфиринов и каптопорфиринов в моче), а также талассемий (повышение в крови HbA2, HbF свидетельствует не в пользу ЖДА).

    Источник: https://sosudinfo.ru/krov/mikrocitoz/

    Гипохромная анемия в анализе крови

    Гипохромия, или гипохромная анемия — заболевание, а точнее ряд заболеваний, при которых эритроциты содержат малое количество гемоглобина. Но ошибочно думать, что данное состояние возникает только лишь из-за плохого питания, в котором недостает железа: случается, что нарушается всасываемость этого элемента, которого в организме в избытке. Поэтому, обнаружив в анализах сниженные показатели, не следует «налегать» на традиционное и народное лечение: вначале нужно посетить врача, чтобы найти причину и разобраться с возникшим состоянием правильно и без последствий.

    Особенности заболевания

    Снижение в крови человека важнейшего показателя — гемоглобина, отвечающего за перенос кислорода в ткани и выполнение окислительно-восстановительных реакций — называется анемией. Это состояние приводит к нарушению работы функционально полноценных эритроцитов, или красных клеток крови, поскольку гемоглобин находится внутри этих клеток. Чтобы гемоглобин в достаточном количестве производился в организме, необходимо соблюдение ряда условий:

    1. Присутствие нормального объема железа в еде.
    2. Оптимальное всасывание железа в желудке и кишечнике.
    3. Наличие белковой пищи в рационе (речь идет о животном белке).
    4. Достаточное поступление витамина В12, фолиевой кислоты.
    5. Отсутствие болезней системы крови.

    Норма гемоглобина для женщин —г/л, для мужчин —г/л, для беременных — от 110 г/л. Когда у ребенка или взрослого в организме нарушается тот или иной процесс, касающийся поступления или всасывания железа, белка или витаминов, развивается патология — анемия. Гипохромия крови (гипохромазия, гипохромная анемия) — объединенное наименование форм анемии, при которых вследствие уменьшения гемоглобина в эритроцитах падает цветовой показатель крови, составляя менее 0,8. Гипохромия в общем анализе также проявляется снижением содержания гемоглобина в эритроците до 30 пг/л и менее, средней концентрации гемоглобина в эритроците — ниже 330 г/л.

    Диагноз гипохромной, а также ее «популярной» разновидности — железодефицитной анемии — может быть поставлен на основании результатов анализа крови. Кроме стандартной расшифровки анализа по основным показателям (клеткам крови) важно оценить размер и форму эритроцитов. Они могут менять диаметр (микроцитоз или макроцитоз), обретать другую форму (пойкилоцитоз). Обычно при гипохромной анемии эритроциты становятся внешне похожими на темное кольцо со светлым центром. Данное явление тоже может стать определяющим для установления правильного диагноза. И все-таки важно и количественное определение основных показателей — гемоглобина, гематокрита, цветового показателя.

    Классификация гипохромии включает несколько ее видов:

    1. Железодефицитная анемия. Данное состояние наиболее распространено, может наблюдаться даже у грудничка. Основные причины — хроническая кровопотеря, нарушение поступления или всасывания железа, беременность. Кроме гипохромии эритроцитов заболевание характеризуется снижением железа в сыворотке крови, падением цветового показателя, достижением положительных результатов от приема препаратов железа. В зависимости от размера эритроцитов данная анемия может быть нормоцитарной, микроцитарной, макроцитарной.
    2. Перераспределительная анемия. Это заболевание связано с избытком железа в сочетании с гемолизом (распадом) эритроцитов. Причины — гнойные инфекции, туберкулез и прочие воспалительные заболевания. В анализах выявляются нормальный уровень железа, гипохромия, сниженный гемоглобин, нарушение формы эритроцитов и их размера. Терапия препаратами железа неэффективна.
    3. Железонасыщенная, или сидероахреастическая анемия. Связана с нарушением всасывания железа в кровь при его достаточном поступлении в организм. В итоге гемоглобин синтезируется в сниженном объеме. Данная патология присуща отравлениям и интоксикациям, а также различным заболеваниям, сопровождающимся синдромом мальабсорбции. Характеристики такой анемии — снижение цветового показателя, гипохромия, норма железа в сыворотке, отсутствие эффекта от лечения препаратами железа.
    4. Смешанная анемия. Может сочетать в себе различные признаки анемии, но всегда сопровождается гипохромией и снижением цветового показателя.

    Даже незначительная, умеренная анемия может быть опасной для человека, ведь без лечения быстро она станет выраженной. У грудничка и малыша до года она становится причиной отставания в росте, развитии, у беременной женщины приводит к дефициту веса плода и ребенка при родах. У взрослого человека гипохромия сильно нарушает работоспособность, приводит к слабости, отекам, сбоям в работе сердца и других органов, что не может не сказаться на качестве жизни и риске развития разнообразных болезней.

    Причины гипохромной анемии

    Существует три основных пути развития данной патологии. Первый — слишком низкое поступление железа с пищей, второй — интенсивные потери железа или усиленный расход элемента, третий — неправильное всасывание железа в тонком кишечнике. Только проведенная диагностика под контролем врача поможет разобраться в причинах болезни и изыскать пути разрешения проблемы. Непосредственные ситуации и заболевания, при которых возможно развитие гипохромии, такие:

    • сниженное потребление пищи, богатой железом, авитаминозы (по витаминам группы В), скудное питание, дефицит животной пищи в рационе;
    • хронические кровотечения — носовые, кровоточивость десен, маточные кровотечения, регулярные затяжные менструации, кровопотери из толстого и тонкого кишечника;
    • острое массивное кровотечение (анемия легкой степени может развиваться даже при небольшой острой кровопотере или при сдаче донорской крови для переливания);
    • заболевания желудка и кишечника, которые не дают железу усваиваться — синдром мальабсорбции, целиакия, болезнь Крона, энтерит, гельминтозы, острые и хронические кишечные инфекции, хронический атрофический гастрит, дисбиоз кишечника, синдром раздраженного кишечника;
    • беременность, лактация, период полового созревания;
    • хроническое отравление вредными веществами при работе на соответствующем производстве, чаще, тяжелыми металлами;
    • нарушение производства и утилизации порфиринов;
    • проведенные на органах ЖКТ операции (особенно при резекции части кишки или желудка), а также другие тяжелые оперативные вмешательства;
    • затяжные тяжелые стрессы;
    • злокачественные патологии крови;
    • раковые опухоли, особенно, с локализацией в ЖКТ и органах брюшной полости;
    • длительно текущее инфекционное заболевание, а также пиелонефрит, пневмония, туберкулез.

    У детей может развиваться гипохромная микроцитарная анемия, что чаще случается из-за снижения содержания железа в депо — в специальных резервах в организме. Кроме того, гипохромия может возникать и при серьезных аутоиммунных заболеваниях, которые приводят к формированию особых иммунных комплексов с включением в них эритроцитов и к выработке антител против собственных эритроцитов. На фоне аутоиммунных анемий возникает гипохромия, а чаще это происходит у людей с такими патологиями, как системная красная волчанка, гломерулонефрит, ревматоидный артрит, системные васкулиты.

    Симптомы заболевания

    Выраженность проявлений гипохромной анемии во многом зависит от степени тяжести болезни. При легкой анемии симптоматика может быть вообще незаметной, только присутствует более сильная утомляемость, чем обычно, некоторое снижение работоспособности человека. У малышей уже на этой стадии может наблюдаться незначительная бледность кожи, прохладность пальцев рук и ног.

    По мере прогрессирования болезни появляются следующие симптомы:

    • головокружения;
    • слабость;
    • головные боли;
    • раздражительность;
    • сонливость;
    • одышка;
    • учащение сердцебиения;
    • сильная неестественная бледность кожи;
    • побледнение слизистых оболочек;
    • ярко-красный, болезненный, как бы полированный язык;
    • снижение давления — гипотония. Также ознакомьтесь с таблетками от давления для беременных

    Уже на данной стадии следует провести анализ крови, чтобы уточнить, нет ли в нем дефицита эритроцитов и гемоглобина.

    Более детальные исследования покажут присутствие гипохромии, против которой применяют различные виды терапии. Но при отсутствии помощи больному в виде необходимых препаратов и правильной диеты симптоматика может усугубляться. Появляются обмороки, серьезные нарушения работоспособности. У многих больных возникает длительный субфебрилитет без видимых причин.

    Падение гемоглобина неизбежно вызывает изменения со стороны волос и ногтей. Волосы сильно выпадают, а ногтевые пластины становятся ломкими, истончаются, расщепляются и ломаются, на них появляется характерная исчерченность. Становится пересушенной кожа — она шелушится, вызывает дискомфорт при касании, порой зудит, в углах рта появляются болезненные трещины — заеды. Если гипохромия существует длительно, могут меняться пищевые пристрастия человека, которому хочется кушать совсем не пригодную для этого пищу, например, мел, уголь и т.д. На данной стадии диагностика еще более важна, ведь причин гипохромии множество, а их последствия могут быть весьма разнообразными.

    Способы диагностики

    Как уже было сказано, основной метод выявления патологии — общий анализ крови. В нем следует оценить гемоглобин, количество эритроцитов, цветовой показатель. Легкая степень анемии ставится при гемоглобине ниже 90 г/л, средняя степень —г/л, тяжелая — менее 70 г/л. Гипохромия устанавливается, если норма цветового показателя (0,85-1,15) занижена. Кроме того, измеряются средний размер, объем эритроцита, количество предшественников эритроцитов (ретикулоцитов). Последний показатель поможет установить эффективность работы костного мозга.

    Также критерием диагностики является обретение эритроцитами характерной формы и вида — темный окрас клетки со светлым пятном в центре. Для оценки степени реагирования организма на препараты железа (железодефицитная или железонасыщенная анемия) проводится проба с Десфералем. Обязательно делают и биохимические исследования крови, среди которых самый важный анализ — определение концентрации сывороточного железа (норма —мкмоль/л) и общая железосвязывающая способность сыворотки (норма 42,3-66,7 мкмоль/л).

    Дифференциальная диагностика проводится между различными видами анемии, которые следует отличать от гипохромии (гемолитическая анемия, аутоиммунная анемия и т.д.). Далее выявляют причину заболевания, для чего следует опросить больного на счет особенностей питания, образа жизни, выяснить факт наличия беременности, хронических патологий. Для уточнения причины и назначения правильного лечения, которое может быть даже оперативным, могут быть рекомендованы различные методы диагностики (по показаниям):

    1. Фиброгастродуоденоскопия желудка, двенадцатиперстной кишки.
    2. Пальцевое исследование прямой кишки или ректоскопия.
    3. Фиброколоноскопия.
    4. Ирригоскопия.
    5. УЗИ матки и яичников.
    6. Осмотр у гинеколога.
    7. УЗИ, КТ, МРТ внутренних органов.

    Методы лечения

    Средства лечения гипохромии могут быть различными, но начать применять их следует как можно раньше, пока не развились осложнения анемии. Обычно терапия бывает довольно длительной, не менее 2-3 месяцев, но при запущенной степени болезни она может быть еще более долгой и сложной. Одной лишь диетой избавиться от проблемы не получится, применение лекарств обязательно, так как усвоение железа из продуктов недостаточное. Из специальных препаратов этот элемент всасывается намного быстрее, эффективнее.

    Чтобы избавится от анемии, необходимо начать с устранения ее причины. Обязательно корректируется основное заболевание — инфекционная патология, гинекологические проблемы и т.д. Лечение железодефицитной гипохромной анемии может включать такие методы и средства:

    1. Остановка кровотечения путем приема Викасола, препаратов витамина К, а, при необходимости, оперативным путем.
    2. Проведение операций, облучения, химиотерапии при наличии опухолей ЖКТ или другой локализации.
    3. Прием железосодержащих препаратов для восполнения его в организме, а также отложения в депо (запасы). Обычно лекарства дают в виде таблеток, но при тяжелой стадии болезни вводят их внутривенно. Преимущественно, назначаются лекарства Ферретаб, Сорбифер дурулес, Тотема, Фенюльс. Во многих из них есть дополнительно аскорбиновая кислота, с которой железо усваивается намного лучше.
    4. Гемотрансфузии — вливание в кровь больного эритроцитарной массы, полученной из крови донора. Этот метод применяется лишь в исключительных случаях и никак не влияет на причину болезни, поэтому не дает долгосрочного эффекта.
    5. Прием витамина В6 и его препаратов. Применяется при железонасыщенной и перераспределительной анемии, помогает усвоиться излишку железа в организме. При таких типах анемии наиболее важно лечить основные заболевания, которые становятся причиной гипохромии.

    У детей и при беременности чаще всего лечение гипохромии включает прием препаратов железа, а также потребление витаминно-минеральных комплексов вкупе с нормализацией диеты. Во время лечения нужно регулярно проводить анализы крови, чтобы оценивать результативность терапии и, при необходимости, добавлять к ней прочие лекарства.

    Народные средства и питание

    Питание поможет насытить организм необходимым количеством белка, витаминов группы В, а также железом. Лучше всего железо усваивается из мяса (говядины) и печени, а из растительной пищи оно всасывается намного хуже. Тем не менее, исключать растительную еду нельзя, ее тоже должно быть достаточно в рационе для обеспечения больного всеми необходимыми витаминами. Очень полезна при гипохромии такая пища:

    Народные рецепты от анемии могут быть такими (курсы терапии — не менее месяца):

    1. Столовую ложку цветков клевера залить 250 мл кипятка, варить 10 минут, дать остыть. Пить по 2 ложки отвара 5 раз в сутки.
    2. Смешать поровну траву крапивы, траву тысячелистника, плоды шиповника, плоды рябины. Столовую ложку сбора залить стаканом воды, оставить на час, пить по 100 мл трижды в день. Применять при гипохромии, которая вызвана кровотечениями.
    3. Отжать сок из свеклы, моркови, черной редьки, соединить их поровну. Перелить соки в глиняную посуду, томить соки в духовке 1 час. Пить томленый напиток по 2 ложки трижды в день до еды.
    4. Принимать каждый день по 2 стакана смеси из соков граната, яблока, моркови, в которые добавлена ложка меда.
    5. Соединить по 200 г какао-порошка, топленого свиного сала, сливочного масла, меда. Растопить все ингредиенты, кроме меда, на огне, хорошо смешать, остудить, вбить в средство мед. Употреблять по чайной ложке трижды в день во время трапезы.

    Чего нельзя делать

    При гипохромной анемии, как и при других разновидностях болезни, не следует употреблять большое количество продуктов, богатых кальцием. Он не дает железу полноценно усваиваться в крови. Молочные продукты не стоит потреблять вместе с мясом, железосодержащими фруктами, лучше есть их отдельно и не злоупотреблять ими. Нельзя запивать таблетки с железом чаем, кофе и иными напитками, кроме воды: они не дают препарату всасываться в полной мере. От жареных, слишком жирных блюд в диете лучше отказаться, предпочтя правильное, здоровое питание.

    Профилактика патологии

    Для профилактики гипохромной анемии важно не допускать хронических кровопотерь, вовремя лечить все инфекционные болезни, правильно и полноценно питаться, при необходимости, пить витамины и минералы в комплексах, а также препараты железа. Важно также регулярно проходить обследования у врача и сдавать кровь на анализ, чтобы вовремя выявить анемию и вылечить ее без последствий.

    Представленные материалы, являются информацией общего характера и не могут заменить консультации врача.

    Источник: https://atlasven.ru/krov/gipoxromnaya-anemiya.html

    Микроцитоз эритроцитов в общем анализе крови: что это такое

    Каждый из нас, побывав в лаборатории и сдав кровь на общий анализ, с нетерпением ждет результатов. Зачастую, получив их на руки, мы начинаем паниковать, увидев страшные слова и не понимая их значения. К таковым относится микроцитоз. Что это такое и не страшно ли с этим жить, на приеме объяснит ваш лечащий врач и при необходимости назначит корректирующую терапию.

    Важно понимать, что изменение эритроцитов по форме и размеру может быть как признаком незначительного сбоя в работе организма, так и свидетельством тяжелого заболевания. Однако и в том, и в другом случае отложите панику — явление микроцитоза обратимо, а при своевременной диагностике излечимы даже сложные случаи.

    Явление микроцитоза

    В крови человека больше всего находится эритроцитов. По природе своей они обладают характерной двояковыпуклой формой и точными размерными характеристиками. Если эритроциты не изменены, то в медицине их принято называть нормоцитами.

    При различных заболеваниях, который легко определяются клиническим анализом крови, форма и размер эритроцитов может меняться, что свидетельствует о патологическом процессе. О каком именно, укажут видоизмененные клетки:

    • тельца уменьшенного размера — микроциты;
    • тельца увеличенного размера — макроциты.

    Опасность таких клеток в том, что они перестают качественно выполнять свою работа: переносить гемоглобин в необходимых количествах.

    Медики говорят о трех типах микроцитов:

    Микроцитоз — одна из форм анизоцитоза, микроанизоцитоз.

    Микроцитоз — состояние, когда более 30% эритроцитов видоизменились в меньшую сторону. Их стало много, но размер их стал меньше нормы в разы. Такой эритроцит не в состоянии транспортировать кислород к тканям и органам так, как это сделал бы здоровый и полноценный нормоцит.

    Если в анализе крови обнаружен микроцитоз, возможно вы имеете дело с железодефицитным малокровием.

    Причины возникновения микроцитоза

    В сывороточном биоматериале человека пребывание всех видов эритроцитов — нормальных и измененных — дело вполне допустимое. Только вот модифицированных клеток должен быть определенный процент и не больше.

    Допустимой считается норма, когда в крови не более 15% микроцитов от всего количества телец.

    В общем анализе крови может быть обнаружен микроцитоз трех стадий:

    • умеренный — не более 40% видоизмененных клеток;
    • средний — не более 70% модифицированных телец
    • выраженный — более 70% эритроцитов, изменивших свои размеры.

    Основной причиной возникновения микроцитоза считается нарушение синтеза белка, который и ведет за собой ряд заболеваний и патологий.

    Микроизменение эритроцитов зачастую происходит и по другим причинам. К таковым относятся заболевания щитовидной железы, дефицит железа, витаминов группы А и витамина В12, вирусные заболевания, давшие осложнения, печеночные заболевания.

    Когда микроцитоз не патология?

    Нередки случаи, когда видоизменение эритроцитных клеток считается нормой:

    • период беременности и кормления грудью;
    • в крови ребенка до 3 месяцев. Это связано с еще не окончательно сформировавшимся составом крови. К 5-6 месяцам кровь малыша станет приблизительно как у взрослого, а количественный и качественный состав эритроцитов придет в норму.
    • микроцитоз подростка. Возрастное изменение, которое при правильном и полноценном питании со временем исчезнет.

    Микроцитоз, который чаще всего вызван именно железодефицитной анемией, считается отдельным видом гипохромии. Гипохромия — нарушение работы красных телец, при котором резко снижается уровень гемоглобина.

    Гипохромия в клиническом анализе

    Показатель гипохромии определяется первоначально по общему анализу крови. Для выявления патологии врач очень внимательно оценивает цветовую характеристику эритроцита. В норме он должен быть полностью красным. Цветовая норма — 0,85 — 1,05.

    Когда гемоглобин у крови снижается, об этом сразу же говорит окраска красного тельца — красный с белым центром. Такая клетка визуально напоминает мишень. Это и есть гипохромия.

    Она может возникнуть в силу разных причин: нехватка в рационе продуктов, содержащих железо, либо это может быть при частой, но небольшой потере крови.

    При этой патологии назначается специальная терапия, подразумевающая корректировку питания и прием специальных железосодержащих препаратов.

    Симптоматика микроцитоза

    Любое нарушение эритроцитов отражается на общем самочувствии человека. Ни в коем случае нельзя оставлять без внимания очевидные признаки недуга. Признаки микроцитозов и макроцитозов практически одинаковы. Даже без похода в лабораторию можно понять, что ваш организм нуждается в помощи.

    • усталость, вялость, быстрая утомляемость;
    • одышка, тяжесть дыхания даже при малейших нагрузках;
    • сбой сердечного ритма: аритмия, тахикардия; Может неожиданно возникать и также неожиданно проходить.
    • бледные кожные покровы, болезненная бледность;
    • волосы и ногти стали ломкими и безжизненными;
    • сухость слизистых;
    • частые заеды по краешкам губ;
    • затрудненный процесс глотания с ощущением постоянного присутствия в горле чужеродного тела;

    Профилактика и лечение микроцитоза

    Поняв, что такое микроцитоз, важно знать как с этим жить, если анализ показывает видоизмененные клетки.

    К счастью, в большинстве случаев микроцитоз — явление обратимое.

    Врач лечит не микроцитоз, а причину, которая его вызвала. Выяснили диагноз — назначили соответствующее лечение — нормализовалось состояние эритроцитов. Такая цепочка — естественный выход из неприятной ситуации.

    Чаще всего микроцитоз вызван железодефицитом. В этом случае врач назначает соответствующее питание для поднятия гемоглобина, а параллельно пациент должен принимать препараты железа.

    Среди продуктов, нормализующих гемоглобин, выделяют:

    Если после терапии и диеты гемоглобин так и остается на низком уровне, то дело не в дефиците железа. Микроцитозы, вызванные раковыми опухолями, сохраняются до тех пор, пока опухоль не будет вырезана или «обезоружена» другими способами.

    Помните, только врач может назначить вам лечение. Самодеятельность в лечении микроцитоза может сыграть с вами злую шутку.

    Источник: https://pro-analiz.ru/krov/mikrotsitoz-v-obshhem-analize-krovi.html

    Гипохромия

    Гипохромия считается серьезным нарушением, в ходе развития которого обнаруживается, что в крови снижен уровень гемоглобина. Чтобы эти анализы были подтверждены, используются лабораторные методы исследования таких показателей, как:

    Гипохромия в общем анализе крови

    Что такое гипохромия, должно быть задается каждый пациент, который обнаружил в собственной расшифровке этот диагноз. В первую очередь, давайте поговорим о том, каким образом различаются подобные патологии. Они обладают следующими формами:

    • Сидероахрестическая или железонасыщенная.
    • Железодефицитная.
    • Смешанная.
    • Железоперераспределительная.

    Наиболее распространенной из всех считается железодефицитная анемия. Характерными признаками становятся:

    • определенные кровотечения, которые происходят, время от времени. Они могут быть очень продолжительными или хроническими, но независимо от этого результат один. Даже незначительный объем кровопотери, которая слишком долго продолжалась, может спровоцировать анемию. Самые распространенные причины – это кровотечения из органов пищеварительного тракта, либо обильная потеря крови у женщин из матки,
    • организм не усваивает железо. Нормальное всасывание этого важнейшего химического элемента может нарушаться при хронических воспалительных процессах, в которых задействованы органы ЖКТ, в частности тонкая кишка (энтерит). Такое также наблюдается после проведения операций на отдельных структурах пищеварительной системы,
    • состояние физиологического характера, как лактация и беременность. Именно в эти жизненные периоды, в женском организме возрастает потребность в железе,
    • также недостаток нужного количество в ежедневном рационе железа. Наиболее уязвимы люди, отказавшиеся по каким-либо причинам от мяса.

    Что касается сидероахрестической анемии, то ее развитие могут спровоцировать следующие факторы: хроническое отравление организма химикатами и промышленными ядами; прием некоторых видов лекарственных препаратов.

    Гипохромия эритроцитов

    Активное развитие гипохромной анемии можно заметить при исследовании, которое осуществляется только при сдаче общего анализа крови. Для точного выявления этого диагноза, врач смотрит на такие показатели, как эритроциты, уровень гемоглобина, а также показатели цветного значения, норма которых варьируется в пределах 0,85 – 1,05. При подобном патологическом состоянии снижение уровня гемоглобина в крови сопровождается понижением цветного показателя. Как правило, работник может поставить диагноз, изучая размеры и форму эритроцитов. Если они выглядят в форме кольца с центральным просветлением и окантовкой по сторонам, как мы говорили, это признак гипохромии. Поэтому количества эритроцитов очень важно при выявлении такого рода заболеваний.

    Гипохромия – микроцитоз

    Железодефицитная анемия или микроцитоз – это отдельный вид гипохромии. Что это и из-за чего этот недуг может возникнуть?

    • В первую очередь, из-за того, что человек в своем ежедневном рационе питания значительно уменьшил употребление железа.
    • Она развивается также по причине периодичной потери крови в небольших объемах.

    Расшифровка анализа

    Для точного определения диагноза, взятую в этот период кровь на анализ, отправляют в лабораторные условия. Если человек почувствовал первые симптомы гипохромной анемии, необходимо незамедлительно обратиться к врачу. От того, насколько быстро человек среагирует и проследует к специалисту за помощью, зависит скорость его выздоровления и ранее улучшение качества жизни.

    Каким образом можно обнаружить гипохромию при получении общего анализа крови, и какой показатель считается приемлемым? Для правильной установки этого заболевания в общем анализе крови, кроме уровня гемоглобина также исследуется цветовое значение. Как правило, оно должно находиться в пределах 0,85-1,05. Если подобный показатель находится ниже минимальной планки этого значения, можно смело говорить о наличии гипохромии. Но помимо этого, заболевание определяется и изменением показателей и форм эритроцитов.

    В случае, когда причиной болезни становятся проблемы с пищеварительной системой, нужно принять кое-какие меры по ее лечению. Определенный уровень гемоглобина из-за неверно выбранного питания нуждается в четкой постановке определенной диеты. Изначально нужно, чтобы человек начал питаться мясом, а затем пропил курс медикаментов, представленных в аптеках разнообразными препаратами, состоящими из железа.

    Если это заболевание уже запущено, его лечат при помощи вливания препаратов, содержащих большой концентрат витаминов, эритроцитной массы и, естественно, железа. При железонасыщенной или перераспределительной анемии, лекарства с содержанием железа не принимаются для препятствия его избытка. При подобном диагнозе врач, как правило, назначает витамин B6.

    Иногда появление анемии связано с хроническими болезнями и избавиться от нее можно только путем полного выздоровления организма. К примеру, апластическая анемия лечится довольно длительный срок. При этом больной должен находиться в изоляторе во избежание инфекционного заболевания от внешней окружающей среды. В лечение входят и введение антибиотиков, а также переливание крови для последующего восстановления функций костного мозга. Порой применяется его пересадка, если прочие методы не влияют на оздоровления пациента.

    СКИДКИ для всех посетителей MedPortal.net! При записи через наш единый центр к любому врачу, Вы получите цену дешевле, чем если бы напрямую обратились в клинику. MedPortal.net не рекомендует заниматься самолечением и при первых симптомах советует незамедлительно обращаться к врачу. Лучшие специалисты представлены у нас на сайте тут. Воспользуйтесь рейтингом и сервисом сравнения или просто оставьте ниже заявку и мы подберем вам отличного специалиста.

    Лучшие врачи-гематологи

    Стаж 24 год. Кандидат медицинских наук

    Лучшие клиники гематологии

    Друзья! Если статья была для Вас полезной, поделитесь пожалуйста ей с друзьями или оставьте комментарий.

    Ваш комментарий:

    ОтменитьДобавить комментарий

    Читайте также

    Гематологический или клинический анализ крови считается врачебным анализом, который предоставляет преимущества оценки содержания, позволяя оценить количество гемоглобина в кровеносной системе, число э.

    Свертывание крови является немаловажным процессом, препятствующим обильной кровопотере в период различных повреждений поверхности тела в виде нарушения целостности сосудов и ранений по разным обстояте.

    Анализ газов крови и ее кислотно-щелочное состояние обладает немаловажным значением при диагностике различных состояний в хирургии, реаниматологии, анестезиологии и играет не менее важную роль при леч.

    Материалы сайта несут ознакомительный характер и не являются руководством к действию. При возникновении любых вопросов, связанных со здоровьем, рекомендуем незамедлительно обратиться к врачу!

    Источник: https://medportal.net/gipohromiya/

    С чем связана гипохромия эритроцитов

    Интенсивность окраски эритроцитов показывают степень их насыщенности гемоглобином. Обычно красные клетки имеют равномерно распределённый розовый окрас с некоторым просветлением в центре. Если уровень гемоглобина в эритроците падает, окраска бледнеет, а площадь осветления в середине клетки возрастает. Такое явление получило название гипохромия эритроцитов.

    Что это такое

    При общем анализе крови такие клетки попадаются в поле зрения исследователя. Они имеют вид колёс с тёмным ободом и светлой центральной частью. Вот, что это такое гипохромия эритроцитов у ребенка и взрослого.

    Изменение окраса эритроцитов при гипохромии

    Степени гипохромии

    При описании результатов анализа крови, непременно показывают ступеньи степени гипохромии эритроцитов.

    Выделяют три степени гипохромии:

    • Первая. Под микроскопом чётко видна зона просветления по центру красной клетки, площадь которой визуально оценивается, как боле широкая, чем у нормально окрашенной клетки;
    • Вторая. Окрас присутствует только в периферийной части эритроцита;
    • Третья. Окраска присутствует только в оболочке клетки.

    Причины

    Самые распространённые причины гипохромии эртитроцитов считают следующие заболевания:

    • Железодефицитная анемия;
    • Гемолитическая анемия;
    • Интоксикация соединениями свинца;
    • Врождённая гипохромия эритроцитов у ребенка (талассемия крови);
    • Прочие врождённые анемии, при которых блокируется синтез гемоглобина.

    Анемии, сопровождающиеся гипохромией эритроцитов получили название гипохромных. Степень гипохромии определяют анализом крови на цветовой показатель. Гемоглобин в крови является натуральным красящим веществом, концентрацию которого определяют по интенсивности окрашивания. Цветовой показатель крови (ЦП)—это условная величина, получаемая расчётным путём и не имеющая единицы измерения. Нижней границей ЦП принимают коэффициент 0,85.

    Если расчёты показали меньшее число, можно говорить о наличии у пациента гипохромной анемии или гипохромии. Заболевание сопровождается микроцитозом, иначе говоря, уменьшением размеров эритроцита.

    Диагностика

    Как проводиться диагностика гипохромии. Из показателей стандартного анализа крови, обращают особое внимание на следующие:

    Определение концентрации гемоглобина в крови (Hb) является важным диагностическим анализом, на основании которого устанавливают меру тяжести малокровия. Нижней границей нормы гемоглобина в крови у женщин считают 120 (г/л), у. мужчин—135.

    Таблица нормы гемоглобина в крови

    1 степень анемии характеризуется падением основного вещества эритроцита до 90. Второй степенью анемии приняли считать состояние, при котором 70>Hb

    allsports62.ru


    Смотрите также