Церебральная ангиография сосудов головного мозга

Церебральная ангиография сосудов головного мозга[Церебральная ангиография сосудов головного мозга]

Церебральная ангиография сосудов

Рейтинг: 1 285

На современном этапе развития медицины существуют дорогие и дешёвые, инвазивные и неинвазивные исследования. Церебральная ангиография представляет собой рентгенологический метод визуализации сосудов головного мозга с помощью введения контрастного вещества в сосудистое русло.

Перед проведением церебральной ангиографии сосудов, необходимо определиться с показаниями и противопоказаниями.

Показания

Среди показаний церебральной ангиографии выделяют общие и частные

Общие показания:

  • определение характера поражения;
  • место расположения патологии;
  • оценка проходимости сосудистого русла;
  • состоятельность коллатералей;
  • обоснование хирургического или консервативного лечения;

Частные показания:

Патология сосуда головного мозга

Заболевания и симптомы, при которых показано проведение церебральной ангиографии сосудов головного мозга:

  • атеросклероз сосудов;
  • внутричерепная гипертензия;
  • эпилептические припадки;
  • гематома;
  • очаговая неврологическая симптоматика;
  • хроническое головокружение и головная боль, сопровождаемая тошнотой и рвотой;
  • частые обмороки.

Противопоказания

Абсолютных противопоказаний церебральной ангиографии нет. Относительные – основаны на невозможности введения контрастного вещества из-за наличия тяжёлой патологии:

  • острая печёночная или почечная недостаточность;
  • специфические заболевания в острой фазе, например, активный туберкулёз в открытой форме;
  • острые вирусные инфекции;
  • беременность;
  • аллергическая реакция на контраст.

Методы

По доступу к сосудистому руслу:

  • прямые – введение контраста производится в исследуемый сосуд;
  • непрямые – контраст вводится в артериальную систему.

Методы церебральной ангиографии мозга в зависимости от зоны обследования:

  • Обзорная – введение контраста производится в один из магистральных сосудов головного мозга. Мозг кровоснабжается из двух артерий – сонной и позвоночной.
  • Селективная – подведение контрастного вещества максимально близко к патологии с помощью катетера.

Способы визуализации сосудов:

  • Рентген-ангиография – после введения контраста в бедренную артерию, производятся рентгеновские снимки в двух проекциях.
  • Компьютерная томография – после введения йодсодержащего контраста, аппарат делает множество послойных снимков, преображающихся с помощью компьютерной программы в объёмное изображение.

Преимущества церебральной ангиографии головного мозга:

  • контраст вводится в локтевую вену;
  • рентген-нагрузка меньше;
  • более информативный метод.

Дополнительным противопоказанием является значительное ожирение, из-за которого пациент может просто не поместиться в аппаарат.

  • Магнитно-резонансная томография не имеет рентгеновской нагрузки, однако, при исследовании с помощью магнитного поля, необходимо расширить список противопоказаний:
    • металлосодержащие имплантаты;
    • клаустрофобия, из-за длительного пребывания в аппарате;
    • ожирение;
    • беременность.

Ангиография головы позволяет определить фазы наполнения сосудистого русла – артериальную, капиллярную и венозную. Благодаря этому, специалист может определить вид образования и провести дифференциальную диагностику между доброкачественностью и злокачественностью.

Доступность визуализации метода ангиографии

Подготовка

Церебральная ангиография – это хирургическая манипуляция, поэтому пациенту, подвергающемуся данному исследованию, необходимо пройти тщательное обследование.

Осмотр врача:

  • В первую очередь врач разъясняет больному, для чего и почему нужно провести исследование, после чего пациент подписывает или не подписывает согласие на операцию.
  • Далее выясняется аллергологический анамнез: были ли в прошлом какие-либо аллергические реакции на лекарства.
  • Наличие хронической патологии и приём некоторых препаратов имеет немаловажное значение. Об этом тоже нужно сказать врачу. Если обследуемый принимает антиагреганты и антикоагулянты, то их следует отменить на время, для предупреждения сильного кровотечения.
  • Проводится осмотр терапевта, анестезиолога.

Лабораторные тесты:

Перед подготовкой к операции церебральной ангиографии, назначают следующие лабораторные тесты:

Аллергопробы:

  • Целесообразно проведение аллергопробы на йодсодержащее контрастное вещество. Если после введения небольшой дозы препарата, появились высыпания на коже и слизистых, их покраснение, головная боль, боль в желудке, повышение температуры тела, озноб, кашель, затруднённое дыхание, то проводить исследование небезопасно из-за гиперчувствительности к контрасту.
  • При необходимости проведения исследования, назначается массивная противоаллергическая терапия и ангиография проводится под прикрытием.

Беременность и кормление грудью

Беременным пациенткам ангиография на мозгу проводится только при наличии жизненно важных показаний. Если пациентка кормит грудью, то необходимо сцедить молоко, потому что контраст выводится из организма до 24 часов. Вечером, накануне проведения диагностики, назначаются транквилизаторы, для снятия страха. В день исследования необходимо быть натощак.

Как проводится

Церебральная ангиография проводится под местным обезболиванием, исключением является непереносимость препаратов йода. При этом состоянии, исследование допустимо проводить под наркозом.

Место введения катетера необходимо побрить. Катетер, через который поступает рентгенконтрастное вещество, вводится в магистральный сосуд головного мозга.

В качестве контрастных веществ используют водорастворимые йодсодержащие препараты, которые выводятся почками. Поэтому так важно провести обследование мочевыделительной системы до проведения процедуры.

Правильный подбор дозы контраста, зависящий от возраста пациента, его конституциональных особенностей, играет важную роль в профилактике развития почечных осложнений.

Следующий этап – серия рентгеновских снимков. После ангиографии, больному необходимо провести 24 часа в положении лёжа на спине, под наблюдением врача.

Катетер для введения контрастного вещества

Оценка результата

Оценка результатов при нормальном исследовании характеризуется чёткой визуализацией изгиба сонной артерии, всех её веточек, просвет сосудов одинаковый, сужение происходит постепенно.

При подозрении на опухоль, абсцесс, сосуды в непосредственной близости к патологическому очагу — выпрямляются, смещаются.

При атеросклерозе головного мозга – визуализируются неравномерное сужение просвета сосуда. Степень сужения может быть разной, вплоть до полного перекрытия просвета сосуда.

Осложнения

При любых инвазивных методах исследования могут развиться осложнения, ангиография не исключение:

  • Наружное или внутреннее кровотечение. При развитии внутреннего – формируется гематома.
  • Повреждение стенки сосуда и выход части содержимого сосуда в окружающие ткани.
  • Тромбоз сосуда может происходить при длительном нахождении катетера в сосуде, что приводит к развитию инфаркта, инсульта.
  • Эмболия происходит в результате отрыва тромба, разрушения атеросклеротической бляшки.
  • У пациентов старшей возрастной группы возникает временная неврологическая симптоматика.
  • Резкий спазм сосудов и нарушение мозгового кровообращения.
  • Судороги.
  • Развитие острой почечной недостаточности из-за действия контраста.
  • Общая реакция организма на токсическое контрастное вещество может проявляться аллергически в виде шока. Что это такое? Резкое снижение давления, потеря сознания, судороги, учащение сердцебиения.

Церебральная ангиография – актуальный метод диагностики сосудов головного мозга

Церебральная ангиография (Cerebral angiography) – это малоинвазивный способ исследования состояния артерий головы и головного мозга, являющийся «золотым стандартом» в выявлении их поражения. Подобным методом диагностируют атеросклеротический процесс, тромботические и эмболические состояния, врожденные нарушения строения сосудов и т.д. Исследование проводится в соответствии с имеющимися показаниями и противопоказаниями, что позволяет добиться высокого уровня безопасности и информативности при церебральной ангиографии сосудов головного мозга.

О процедуре

Церебральная ангиография – это исследование сосудов головного мозга, проводимое для проверки их состояния

Ангиография церебральных сосудов – современный метод диагностики, позволяющий визуализировать артерии головного мозга, выявив при этом нарушения в их строении, например:

  • различные виды сужений и аневризм;
  • атеросклеротическое поражение;
  • тромботические массы или любые другие эмболы;
  • места разрыва артерий;
  • опухолевые образования и пр.

Селективная церебральная ангиография проводится с одновременным введением в артериальное русло контрастного вещества, которое позволяет выделить сосуды на получаемом изображении. Для визуализации головного мозга и черепа может использоваться классические виды рентгенографии, а также компьютерная или магнитно-резонансная томография (КТ или МРТ, соответственно). В качестве контрастных веществ, чаще всего используются препараты йода, отличающиеся высокой безопасностью для пациентов.

Назначение процедуры всегда должно основываться на выявлении у человека показаний и противопоказаний к обследованию.

Селективная ангиография отличается от стандартной тем, что контрастное вещество изначально вводится в небольшой сосуд, позволяя добиться лучшей информативности при меньшем воздействии на организм.

Показания и противопоказания

При использовании церебральной ангиографии очень важно определить имеющиеся у пациента показания и противопоказания к проведению ангиограммы. К показаниям относят следующие состояния:

  • атеросклеротическое поражение сосудистого русла головного мозга и стенозы артерий любой другой причинной обусловленности;

Артерия в норме и сужение просвета сосуда при атеросклерозе

  • нарушения кровоснабжения, связанные с тромбами или эмболами;
  • расширения артерий, а также врожденные нарушения их строения;
  • высокий уровень внутричерепного давления;
  • геморрагическое поражение структур центральной нервной системы;
  • подозрения на опухолевое поражение головного мозга;
  • эпилепсия;
  • постинсультные состояния и т.д.

Во всех этих случаях, назначая обычную или селективную ангиографию, доктор должен оценить и имеющиеся у больного противопоказания. В противном случае, возможно развитие различных осложнений процедуры. К противопоказаниям относят:

  • индивидуальную непереносимость или аллергические реакции на препараты йода, используемые в качестве рентгеноконтрастных веществ;
  • острые нарушения работы внутренних органов;
  • хроническое поражение почек;
  • патологические изменения в системе гемостаза, в связи с риском развития тромбозов или кровоизлияний;
  • период беременности и естественного вскармливания.

Беременность – одно из противопоказаний к проведению ангиографии

Любое противопоказание, является прямым запретом на проведение данного диагностического метода.

При выявлении любых противопоказаний, от исследования необходимо отказаться, выбрав другой способ визуализации мозговых сосудов.

Виды исследования

Селективная ангиография – это «золотой стандарт» в выявлении поражений артерий головного мозга. При этом существует несколько разновидностей процедуры, отличающиеся местом введения рентгеноконтрастного вещества:

  • при общей ангиографии, введение рентгеноконтраста проводится в аорту или общую сонную артерию, что позволяет визуализировать все сосуды головы;
  • селективная разновидность исследования заключается во введение рентгеноконтрастного вещества в артерии головного мозга, что позволяет добиться минимального воздействия на другие сосуды организма;
  • при суперселективом подходе, контрастированию подвергаются только небольшие веточки мозговых артерий.

Помимо различий в подходах к контрастированию, процедуры могут отличаться используемым методом визуализации:

  • классический подход заключается в применении стандартной рентгенографии в нескольких проекциях. Это позволяет получить необъемные изображения головного мозга с выделенными мозговыми артериями. Как правило, данный подход в современной медицине используется при недоступности следующих разновидностей процедуры;
  • ангиография с использованием компьютерной томографии позволяет получить объемное изображение сосудистого русла. В связи с этим, доктор может легко выявить структурные нарушения и выставить точный диагноз. Основное преимущество данного метода – небольшие временные затраты при сохранении высокого уровня визуализации;

Аневризма, обнаруженная при проведении КТ-ангиографии сосудов головного мозга

  • магнитно-резонансная томография с или без контрастирования артерий позволяет добиться высокой степени детализации сосудистого рисунка, что позволяет обнаружить даже незначительные нарушения в строении артерий. Важно отметить, что данный метод ангиографии занимает значительно дольше времени, чем описанные выше.

Выбор конкретного вида исследования зависит от лечащего врача. Именно он оценивает состояние больного, имеющиеся показания и противопоказания, определяя необходимый подход к диагностике заболевания.

Что необходимо сделать пациенту?

Прежде чем говорить о том, как проводится исследование и что это такое, церебральная ангиография сосудов головного мозга, необходимо рассмотреть вопрос о правильной подготовке больного к обследованию. Лечащий врач должен обеспечить следующие подготовительные этапы:

  1. Проведение диагностического обследования, включающего в себя общий и биохимический анализ крови, флюорографическое исследование легких, электрокардиографию, анализ свертывающей системы крови.
  2. Консультации у врача общей практики и анестезиолога.
  3. Проведение пробы на чувствительность к йодосодержащими медикаментам. Данная проба проводится путем внутривенного введения 1 мл контрастного вещества с последующей оценкой состояния пациента и выявления у него клинических симптомов аллергической реакции.
  4. Беседа с пациентом о предстоящем исследовании.

Врач проводит с пациентом беседу о проведнии ангиографии

Лечащий врач перед проведением ангиографии должен обсудить с пациентом нюансы данного исследования, а также объяснить ему необходимые действия после процедуры.

Помимо действий со стороны доктора, пациенту рекомендуется следовать следующим советам:

  • последний прием пищи должен быть осуществлен не позднее чем за 10-12 часов до исследования;
  • во время процедуры необходимо снять различные серьги, кольца, протезы зубов и др.

Следование указанным рекомендациям позволяет обеспечить высокую безопасность процедуры и предупредить развитие негативных последствий.

Проведение обследования

Селективная ангиография сосудов головного мозга проводится в условиях операционной с помощью специального ангиографа. На первом этапе, пациенту катетеризируют бедренную или сонную артерию, по которой в просвет сосуда вводят специальный зонд, необходимый для подачи контрастного вещества.

Проведение катетеризации артерии

Постепенное введение рентгеноконтрастного препарата с одновременным проведением компьютерной или магнитно-резонансной томографии, позволяет получить изображения артерий головного мозга и выявить в них патологические процессы.

В конце исследования зонд удаляется из сосуда, а на место его введения накладывают давящую повязку. Как правило, время проведения ангиографии редко превышает один час. Важно отметить, что по завершению обследования, больной должен соблюдать постельный режим, а также увеличить потребление жидкости.

Возможные осложнения

Несмотря на высокий уровень безопасности для пациентов различного возраста, проведение ангиографии может закончиться развитием негативных последствий для больного. Чаще всего отмечаются следующие состояния:

  • выход рентгеноконтрастного вещества из сосудистого русла в окружающие ткани. Подобная ситуация может привести к воспалительным изменениям различной степени выраженности;
  • аллергические реакции на контрастное вещество или его индивидуальная непереносимость. В подобных случаях у больного может появиться зуд, крапивница, отек Квинке и другие специфические для аллергии симптомы;
  • острое нарушение функции почек, как осложнение проводимого обследования, наблюдается у пациентов с их заболеваниями.

Для предупреждения осложнений процедуры необходимо обеспечить всестороннее обследование больного до проведения исследования.

На ангиографии выявлена аневризма в бассейне внутренней сонной артерии

Говоря о том, что это такое церебральная ангиография, важно отметить, что данный метод считается «золотым стандартом» в выявлении заболеваний сосудов головного мозга. В связи с этим, при любых подозрениях на данные болезни, доктор может рекомендовать пациенту указанный метод постановки диагноза. Перед его проведением пациенту необходимо проконсультироваться с лечащим врачом для выявления возможных показаний и противопоказаний.

Когда, зачем и как проводится церебральная ангиография?

Для исследования состояния сосудов головного мозга и черепа используется современный метод — церебральная ангиография. Это рентгенологический инструментальный метод обследования, суть которого заключается во введении в сосудистое русло головного мозга контрастного вещества с последующим выполнением рентгенографии.

Благодаря контрастному веществу на снимке получается сосудистый рисунок в виде слепка, на котором видны изменения стенок, места сужения просвета артерий или наличия преграды для кровотока, аномалии и выпячивания стенок. Данное исследование является инвазивным, то есть таким, при котором выполняется операция пункции (прокола) сосуда черепа, с последующим введением в него контрастного вещества.

Показания к проведению

Церебральная ангиография проводится только по специальным показаниям, к которым относятся:

  • нарушение кровообращения в сосудах головного мозга по геморрагическому типу (предрасположенность к возникновению внутричерепного кровоизлияния) — аневризмы (патологические расширения) артерий головного мозга, дивертикулы (выпячивания) стенок внутричерепных сосудов, мальформации и ангиомы (опухолевые образования);
  • патологическое кровообращение в сосудах головы по ишемическому типу — в этом случае имеются препятствия для нормального тока крови — тромбы, атеросклеротические бляшки (церебральный атеросклероз), деформации (изменение формы) артерий головного мозга;
  • новообразования головного мозга — доброкачественные или злокачественные опухоли, которые приводят к увеличению сосудистого рисунка в месте их локализации;
  • отсутствие информативности при использовании других инструментальных методах головного мозга, при наличии симптомов заболевания или нарушения кровообращения.

Виды церебральной ангиографии

В зависимости от обширности обследования выделяют такие виды:

  1. обзорная церебральная ангиография — контрастное вещество вводится в магистральную артерию, питающую головной мозг, при этом визуализируются все сосуды;
  2. селективная — это прицельный метод исследования, когда контрастное вещество вводится локально в артерию, питающую небольшой участок мозга.

В современной медицине для более информативного результата исследования используется серия послойных снимков сосудов головы, из полученных снимков на компьютере формируется трехмерное изображение. Эта методика называется КТ церебральная ангиография сосудов головного мозга.

Противопоказания к проведению исследования

С учетом возможных осложнений процедуры рентгенологического исследования сосудов головного мозга, есть ряд противопоказаний:

  1. аллергическая реакция на введение йодсодержащих контрастных веществ — является относительным противопоказанием, как альтернатива используются гадолиниевые контрастные соединения;
  2. индивидуальная непереносимость любых компонентов контрастного вещества;
  3. тяжелые психические заболевания в стадии обострения (рецидива);
  4. острая или хроническая почечная недостаточность, которая является причиной невозможности выведения контрастного вещества из организма;
  5. острый инфаркт миокарда;
  6. хронические заболевания внутренних органов в стадии декомпенсации;
  7. беременность, лактация и возраст ребенка до 2− лет (только по жизненным показаниям) — являются противопоказаниям ввиду вредного воздействия рентгеновского излучения на организм плода или ребенка;
  8. заболевания, которые сопровождаются нарушением свертываемости крови — при этом высокий риск развития выраженного кровотечения после пункции сосуда.

Это важно! Стоит помнить, что письменный отказ пациента от проведения церебральной ангиографии сосудов головы также является противопоказанием к ее проведению.

Подготовка к процедуре

Этап подготовки к проведению этого исследования является не менее важным, он включает:

  • согласие в письменном виде пациента на проведение церебральной ангиографией, после того, как медицинский персонал довел информацию о сути, методике и возможных осложнениях исследования;
  • введение транквилизаторов или седативных препаратов накануне исследования для снятия напряжения и беспокойства у пациента;
  • по показаниям повторное введение седативных препаратов и противоаллергических средств непосредственно перед проведением церебральной ангиографии;
  • обеспечение проведения процедуры натощак после 12-ти часового воздержания пациента от приема пищи — отказ от ужина и завтрака накануне исследования.

Это важно! Есть несколько условий, необходимы для проведения церебральной ангиографии сосудов головного мозга — асептические условия для предотвращения попадания инфекции в месте пункции сосуда, бригада врачей — рентгенолог, анестезиолог и кардиореаниматолог. Также после проведения процедуры пациент еще некоторое время должен находиться под медицинским наблюдением.

Методика проведения церебральной ангиографии

Всю процедуру данного исследования можно разделить на несколько этапов:

  1. подготовка места для пункции — обработка кожи раствором антисептика для уничтожения микроорганизмов и местное обезболивание;
  2. непосредственно пункция сосуда специальной иглой и введение гибкого катетера;
  3. введение в сосудистое русло головного мозга контрастного вещества через катетер;
  4. выполнение серии рентгенологических снимков сосудов, при КТ церебральной ангиографии проводится серия послойных снимков;
  5. интерпретация и расшифровка полученных снимков с заключением — проводится врачом рентгенологом совместно с сосудистым хирургом.

Учитывая первостепенную важность правильного мозгового кровообращения, адекватная и правильная диагностика сосудистых проблем является основой дальнейшего их успешного лечения.

Оцените статью: (Пока нет голосов)  Loading …

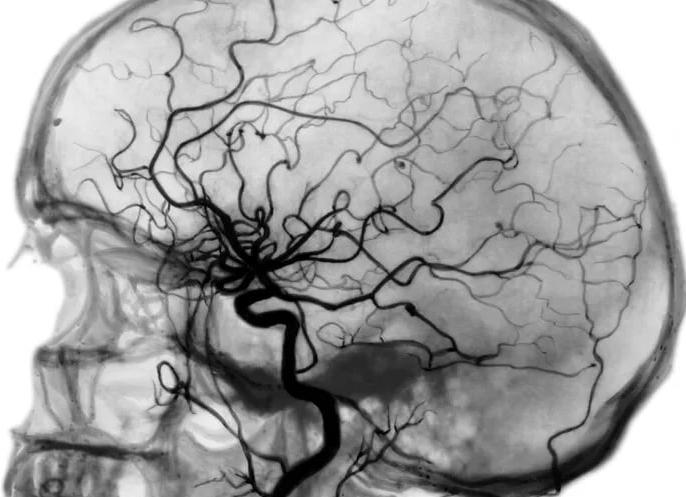
Церебральная селективная ангиография сосудов головного мозга при аневризме —

Ангиография сосудов головного мозга (церебральная ангиография или ангиография церебральных сосудов) назначается для оценки состояния сосудов головного мозга и исследования мозгового кровообращения. Диагностика проводится с помощью рентгеновского аппарата или специального томографа.

Что такое ангиография

Ангиография сосудов – это инструментальный метод обследования определённого участка кровеносной системы (артерий, вен, лимфатических сосудов) с целью обнаружения каких-либо патологий, например:

  • сужения;
  • расширения;
  • закупорки тромбами;
  • внутренних кровотечений;
  • опухолевых процессов и т. д.

При ангиографии в сосуд вводится специальное контрастное вещество и параллельно проводится рентгенологическое исследование – это может быть классическая рентгенография, КТ или МТ-томография. Данная методика предоставляет возможность последовательно изучить все фазы кровотока в головном мозге (прохождение крови через крупные артерии, мелкие сосуды и вены) и установить локализацию патологических изменений в его кровеносной системе.

Введение контрастного препарата осуществляется путём пункции или катетеризации сосудов.

  1. При пункции вещество вводится сразу в сосуд через иглу.
  2. Катетеризация заключается в подведении к сосуду катетера (специальной трубки), через который поступает контраст. Головной мозг снабжается кровью из сонных и позвоночных артерий, поэтому контрастное вещество может быть введено в одну из них. Также часто проводится катетеризация бедренной артерии (большого сосуда, отходящего от наружной подвздошной артерии под паховой связкой).

В качестве контрастирующего вещества применяются йодсодержащие водорастворимые препараты, поэтому при планировании ангиографии необходимо учитывать возможные аллергические реакции на йод и имеющиеся проблемы с почками.

Церебральная ангиография назначается, когда существуют подозрения на серьёзные заболевания:

  • аневризмы мозговых сосудов;
  • гематомы;
  • новообразования;
  • выраженные нарушения кровообращения.

Показания и общие противопоказания

Церебральная ангиография назначается для установления патологий сосудов мозга при следующих заболеваниях и состояниях:

  • церебральный атеросклероз и стеноз (сужение сосудов вследствие образования на их стенках склеротических бляшек);
  • тромбоз или эмболия артерий мозга;
  • аневризмы сосудов и прочие отклонения в развитии кровеносной системы, врождённые либо приобретённые;
  • повышенное внутричерепное давление;
  • внутричерепное кровоизлияние;
  • подозрение на опухоль мозга;
  • хронические головные боли и головокружения неясного происхождения;
  • постоянная тошнота;
  • частые обмороки;
  • эпилептические приступы;
  • состояние после инсульта;
  • постоянный шум или звон в ушах;
  • очаговые неврологические симптомы (признаки, которыми сопровождается поражение какой-либо конкретной доли головного мозга).

Церебральная ангиография применяется не только в качестве метода точной диагностики, но и как обязательная процедура при любой планируемой нейрохирургической операции.

Общими противопоказаниями для всех видов ангиографии являются:

  • аллергическая реакция на йодсодержащие препараты, если процедура проводится с использованием контрастирующего вещества;
  • выраженная сердечная, почечная или печёночная недостаточность;
  • нарушения свёртываемости крови;
  • тяжёлое общее состояние или кома;
  • некоторые психические заболевания;
  • беременность и лактация.

Разновидности

В зависимости от места введения контрастирующего препарата ангиография бывает:

  • общая — контрастирующее вещество вводится путём катетеризации в брюшную или грудную аорту;
  • селективная — препарат вводится непосредственно в артерии головного мозга;
  • суперселективная — контрастируются ответвления магистральных артерий мозга.

Сравнение результатов после Классической ангиографии и КТ-ангиографии

Кроме того, существуют разные способы визуализации:

  1. Классическая ангиография – это наиболее старый метод с использованием обычной рентгенографии, который на сегодняшний день применяется всё реже. При классической ангиографии под местной анестезией проводится пункция сонной артерии, в которую вводится контрастный препарат в объёме 10-12 мл, подогретый до температуры тела. Затем делаются рентгеновские снимки в двух проекциях с промежутком в 1-2 секунды, что позволяет оценить различные фазы мозгового кровотока.
  2. КТ-ангиография – относится к современным методам исследования церебрального кровоснабжения. В этом случае контрастный препарат в объёме около 100 мл вводится через катетер в вену на локтевом сгибе. После этого выполняются снимки головного мозга в нескольких разрезах, затем компьютерной программой производится реконструкция трёхмерного изображения с визуализацией сосудистого русла.
  3. МТ-ангиография – при этой методике вместо рентгеновских лучей используются свойства магнитного поля. Состояние сосудов и фазы кровообращения изучаются на основе отслеживания энергетических изменений в тканях. Магнитно-резонансная ангиография может проводиться с применением контрастирующего препарата и без него, причём второй вариант используется чаще.

Каждая методика обладает своими достоинствами и недостатками. Нужный вариант обследования выбирается врачом с учётом индивидуальных показаний.

Характеристика видов ангиографии (таблица)
  • невысокая цена по сравнению с другими видами исследования;
  • точность результата.
  • инвазивность метода (процедура, связанная с проникновением в ткани организма);
  • воздействие на организм рентгеновского излучения.
  • аллергия на йод;
  • выраженный атеросклероз сосудов мозга;
  • гипертония тяжёлой степени;
  • почечная недостаточность;
  • беременность и кормление грудью.
  • меньший риск осложнений после инвазивного вмешательства по сравнению с классической ангиографией;
  • более высокая информативность;
  • отсутствие теневых наложений на снимках.
  • инвазивность;
  • доза рентгеновского облучения, пусть и более низкая, чем при классической ангиографии.
  • аллергия на йод;
  • сахарный диабет;
  • патологии щитовидной железы;
  • почечная недостаточность;
  • беременность и кормление грудью;
  • третья степень ожирения.
  • отсутствие воздействия рентгеновского излучения на организм;
  • самая высокая информативность;
  • возможность проведения процедуры пациентам с аллергией на йодсодержащие вещества.
  • большая продолжительность процедуры;
  • высокая стоимость.
  • наличие в организме металлосодержащих имплантов;
  • наличие кардиостимулятора;
  • сердечная недостаточность;
  • психические расстройства;
  • клаустрофобия (так как человек помещается на продолжительное время в аппарат-капсулу);
  • третья степень ожирения;
  • беременность.

Проведение процедуры

Подготовка к обследованию

В первую очередь перед ангиографией выполняется проба на чувствительность к йоду. С этой целью в вену медленно вводится 2 мл контрастирующего препарата, после чего человек находится под наблюдением. Если в течение нескольких часов появляется один или несколько симптомов, таких как удушье, кашель, головная боль, отеки, покраснения и высыпания на коже, то проводить рентген-ангиографию или КТ-ангиографию нельзя. В этом случае может быть произведена МТ-ангиография без использования контрастирующего вещества.

Поскольку ангиография – это инвазивная методика, при проведении которой нарушается целостность кровеносных сосудов, необходимо будет сдать все основные лабораторные анализы и пройти инструментальную диагностику, которая включает:

  • общий анализ крови и мочи;
  • обследование функции почек;
  • флюорографию;
  • ЭКГ;
  • анализ на свёртываемость крови, определение её группы и резус-фактора.

Также потребуется консультация терапевта и анестезиолога. Отмена приёма медикаментозных средств не требуется. Исключение составляют препараты, разжижающие кровь, чтобы избежать возможных осложнений в виде кровотечения. По необходимости могут быть назначены успокоительные и антигистаминные средства.

Помимо этого, перед обследованием нужно соблюдать следующие правила:

  • не есть в течение 8-10 часов и не пить воду за 4 часа перед обследованием;
  • непосредственно перед процедурой снять с себя все предметы, содержащие металл: украшения, зубные протезы и т. д.
Процедура исследования
  1. Процедура проводится в положении лёжа, человек укладывается на кушетку или стол.
  2. Под местной анестезией производится пункция сонной артерии или катетеризация бедренной артерии. При катетеризации сначала делается прокол, затем через него вводится зонд – тонкая пластиковая, хорошо изгибающаяся трубка, которая постепенно доходит до дуги аорты. Движение катетера внутри сосуда контролируется передачей изображения на монитор.
  3. Затем через зонд подаётся рентгеноконтрастный препарат. Какие-либо выраженные ощущения при этом отсутствуют. После введения контрастного препарата может появиться металлический привкус во рту или прилив жара к лицу. Это временные явления, которые быстро проходят.
  4. Как только введён контраст, делаются рентгеновские снимки головы в прямой и боковой проекциях. Затем контрастное вещество добавляется, и процедура повторяется. Серия полученных снимков позволяет оценить мозговое кровообращение в динамике.
  5. После исследования игла и катетер удаляются, место пункции зажимается тампоном, который в дальнейшем заменяется на давящую повязку. Продолжительность процедуры ангиографии – от 40 минут до 1 часа.

Важно! После процедуры может быть назначен постельный режим на сутки, но при этом можно вставать. Следует пить как можно больше чистой воды, чтобы вывести из организма йодсодержащее вещество. Если пункции подвергалась бедренная артерия, не рекомендуется сгибать ногу, чтобы не открылось кровотечение.

При проведении МРТ-ангиографии без использования контрастирующего вещества специальной предварительной подготовки не требуется. Процедура проводится с применением МР-томографа так же, как обычная МРТ головного мозга.

Возможные последствия

Несмотря на некоторые минусы, ангиография является очень информативным средством диагностики и считается относительно безопасной методикой. По данным статистики, какие-либо осложнения отмечаются только в 5% случаев. При проведении неинвазивной ангиографии все вышеперечисленные риски отсутствуют.

Стоимость

Сделать ангиографию можно в любой клинике, оснащённой необходимым для этого оборудованием. Цены на церебральную ангиографию варьируются в пределах от 3000 до 8000 рублей в зависимости от разновидности исследования, региона, уровня клиники и квалификации врачебного персонала.

Отзывы

Я сама решила сделать МРТ и ангиографию головного мозга без направления от врача, потому что засомневалась в диагнозе, поставленном мне неврологом. Платное МРТ делают во многих клиниках всем желающим. Особой подготовки не требуется, если обследование проводится без использования контрастного вещества. Перед процедурой дали заполнить бланк, где нужно было указать свои личные данные и жалобы со стороны самочувствия. Попросили снять все вещи с металлическими деталями: украшения, часы, джинсы с заклёпками, выдали бахилы и одноразовый халат. При МРТ головы на голову надевается специальный шлем. Голову нужно держать совершенно неподвижно, никаких поворотов, моргать можно. В руку дают грушу, на которую нужно нажать, если станет плохо – тогда процедура прекратится, но деньги назад не вернут. Я выпила заранее таблетку гидазепама, хотя я боюсь не замкнутого пространства, а сильного шума. Поэтому взяла с собой ещё и беруши. А звуки при МРТ действительно неприятные. Врачебное заключение вместе с записью на диске выдали минут через 40 после обследования. Там было написано, что патологий не выявлено, всё в границах возрастной нормы. Достоинством МРТ-ангиографии считаю безопасность, надёжность, отсутствие облучения, подробное сканирование. Недостатки – высокая цена, долгая и шумная процедура.

Ambroziya

https://irecommend.ru/content/idite-na-eto-obsledovanie-tolko-po-naznacheniyu-umnykh-vrachei-chtoby-ne-potratit-zrya-dengi

Мне делали ангиографию в 2004 году, это была необходимая процедура. В самый большой сосуд на бедре ввели красящее вещество и затем сделали по три рентгеновских снимках с каждой стороны головы. Это неприятно, такое ощущение, будто кипяток налили в голову, и так 6 раз подряд. Но двигаться и шевелиться нельзя, иначе придётся все повторять, а желания такого вообще нет. По результатам ангиографии у меня была аневризма, и потом делали операцию на головном мозге. Всё прошло успешно, я благодарна врачам, они практически спасли мне жизнь.

я

https://forum.ykt.ru/viewmsg.jsp?id=5507591

Как проводится ангиография сосудов головного мозга (видео)

Ангиография сосудов головного мозга – диагностический метод, обладающий большой информативностью. С его помощью можно исследовать не только физиологическое состояние сосудов на предмет наличия патологий, но и провести анализ процесса кровообращения в динамике.

Использованные источники: serdcemed.ru

Проверка сосудов мозга с помощью ангиографии

Ангиография — это метод исследования сосудов, который проводится с целью выяснения их состояния и функционирования. Он выполняется с помощью рентгенографии, во время которой используется специальное вещество. Когда есть подозрения на сосудистые мозговые патологии или необходима их диагностика, выполняется ангиография сосудов головного мозга (церебральная ангиография).

Когда делают ангиографию

Данная процедура выполняется, если необходимо выявить источник кровоизлияния, если имеется подозрение на опухоли головного мозга, на наличие сужений, тромбов или аневризмы сосудов, которые приводят к нарушению мозгового кровообращения. С помощью ангиографии можно выявить излишнюю извитость сосудов или аномалии в их строении.

Показания для проведения
  • Жалобы на беспричинные головные боли и головокружения,
  • Появление регулярной или периодической тошноты,
  • Обмороки,
  • Вегето-сосудистая дистония,
  • Необходимость исследования проблем после черепно-мозговых травм,
  • Жалобы пациента на боли в области шеи,
  • Наличие ишемической болезни,
  • Перенесенный инсульт или микроинсульт.

С помощью процедуры можно не только обнаружить сосудистые нарушения, но и определить, насколько они выражены и распространены.

Данный вид диагностики дает возможность оценить венозный отток крови, состояние кровообращения в обходных сосудистых путях (коллатералях). Все это необходимо для профилактики, диагностики и лечения многих заболеваний, связанных с нарушениями кровообращения мозга.

Противопоказания к процедуре

Как и к любой другой процедуре к ангиографии мозга существуют противопоказания. Они связаны как с самой процедурой, так и с контрастным веществом, которое вводится в кровоток. В качестве вводимого вещества используются соединения йода. Количество вещества зависит от объема обследования, оно может составлять 5-10 мл.

Церебральная ангиография не делается в следующих случаях:

  • аллергические реакции на йодсодержащие контрастные вещества,
  • индивидуальная непереносимость,
  • острая или хроническая почечная недостаточность, которая не позволяет использовать контрастное вещество,
  • обострение хронических заболеваний,
  • беременность или лактация,
  • заболевания, сопровождающиеся нарушением свертываемости крови,
  • инфаркт миокарда,
  • возраст до 2 лет,
  • психические заболевания.

Виды церебральной ангиографии

В зависимости от обширности исследования проводится обзорная или селективная ангиография. При обзорной ангиографии контрастное вещество вводится в кровоток через крупную артерию, питающую головной мозг. Благодаря распространению контраста с кровью по более мелким сосудам становится возможным их визуализировать. При селективной ангиографии выполняется прицельная диагностика. Контрастное вещество доставляется локально, в ту артерию, которая питает только определенный участок мозга.

На таком стенде проводится диагностика

Выделяют также прямую (каротидную и вертебральную) и непрямую церебральную ангиографию. Каротидная ангиография предполагает введение контраста в сонную артерию. При вертебральной введение контраста выполняется через позвоночную артерию. Непрямой способ означает, что доступ к позвоночной или сонной артерии осуществляется через другой крупный сосуд, это может быть бедренная или плечевая артерия. Тогда водится длинный катетер, и через него нагнетается контраст.

По способу получения информации ангиография сосудов головного мозга может быть традиционной рентгеновской, компьютерной (на основе рентгеновских снимков) и магниторезонансной.

Как проходит обследование

Важные условия

  • Асептические условия проведения процедуры,
  • Наличие бригады врачей: рентгенолог, анестезиолог, кардиореаниматолог.

Сам процесс обследования пациента занимает примерно полчаса-час. Процедура считается инвазивной, так как выполняется прокол для доступа к артерии, куда вводится специальный катетер. Поэтому ангиографию головного мозга нередко совмещают с другими вмешательствами в организм, которые происходят посредством доступа через крупные кровеносные сосуды, например, с удалением аневризмы.

Чтобы не было осложнений, связанных с проникновением инфекции через место катетеризации, кожу обрабатывают антисептическим раствором. Далее выполняется местное обезболивание. Пункция (прокол) сосуда проводится специальной иглой. Через это место вводится гибкий катетер для подачи контраста. Как правило, пункция делается в местах, через которые легко «добраться» до нужных сосудов.

Через специальный катетер в кровь вводится контрастное вещество. После контрастирования выполняется серия рентгенологических снимков церебральных сосудов.

Эти снимки отображают разные фазы кровообращения: капиллярную, артериальную и венозную. Современная медицинская аппаратура позволяет сделать послойные снимки для формирования в дальнейшем трехмерного изображения с помощью специальных компьютерных программ.

Когда съемка завершается, у пациента удаляется катетер, останавливается кровотечение. Далее происходит расшифровка полученной информации. Расшифровкой и постановкой или уточнением диагноза занимаются сосудистый хирург и рентгенолог.

Пациент после проведения процедуры ангиографии должен некоторое время оставаться под наблюдением медицинских работников.

Нужна ли специальная подготовка к процедуре

Подготовка к проведению очень важна для качества проводимой процедуры. Взрослые пациенты должны быть ознакомлены с процессом, целями исследования и его возможными последствиями. Только после этого они могут принимать взвешенное решение, которое оформляется письменно. В случае, когда церебральная ангиография нужна несовершеннолетнему пациенту, все решения принимают родители.

Этапы подготовки
  • Информирование и письменное согласие пациента,
  • Введение седативных препаратов накануне процедуры для снятия беспокойства и напряжения,
  • Обеспечение проведения исследования натощак (нужно отказаться от ужина накануне и завтрака в день проведения процедуры).

При наличии аллергических реакций на контрастные вещества, но при необходимости проведения данного вида обследования могут применяться антиаллергические средства. При чрезмерном волнении пациента седативные средства могут быть назначены второй раз, в день выполнения процедуры.

Достоинства процедуры

  • Возможность создать трехмерное изображение,
  • Визуализация сосудов, которая позволяет врачу обнаружить тромбы, гематомы, аневризмы,
  • Возможность индивидуального подхода к пациенту, а значит, точной постановки диагноза.

Режимы и программы данного вида обследования могут быть очень широки, поэтому всегда можно выбрать оптимальный вариант в каждом конкретном случае. Отсутствие неточностей в диагностике позволяет своевременно и качественно определить проблемные места в сосудах, понять, в чем причина заболеваний или нарушений в работе сосудов головного мозга. Адекватная диагностика – главное условие правильного лечения.

Использованные источники: prososud.ru

Церебральная ангиография – актуальный метод диагностики сосудов головного мозга

О процедуре

  • различные виды сужений и аневризм;
  • атеросклеротическое поражение;
  • тромботические массы или любые другие эмболы;
  • места разрыва артерий;
  • опухолевые образования и пр.

Показания и противопоказания

  • атеросклеротическое поражение сосудистого русла головного мозга и стенозы артерий любой другой причинной обусловленности;
  • нарушения кровоснабжения, связанные с тромбами или эмболами;
  • расширения артерий, а также врожденные нарушения их строения;
  • высокий уровень внутричерепного давления;
  • геморрагическое поражение структур центральной нервной системы;
  • подозрения на опухолевое поражение головного мозга;
  • эпилепсия;
  • постинсультные состояния и т.д.
  • индивидуальную непереносимость или аллергические реакции на препараты йода, используемые в качестве рентгеноконтрастных веществ;
  • острые нарушения работы внутренних органов;
  • хроническое поражение почек;
  • патологические изменения в системе гемостаза, в связи с риском развития тромбозов или кровоизлияний;
  • период беременности и естественного вскармливания.

Виды исследования

  • при общей ангиографии, введение рентгеноконтраста проводится в аорту или общую сонную артерию, что позволяет визуализировать все сосуды головы;
  • селективная разновидность исследования заключается во введение рентгеноконтрастного вещества в артерии головного мозга, что позволяет добиться минимального воздействия на другие сосуды организма;
  • при суперселективом подходе, контрастированию подвергаются только небольшие веточки мозговых артерий.
  • классический подход заключается в применении стандартной рентгенографии в нескольких проекциях. Это позволяет получить необъемные изображения головного мозга с выделенными мозговыми артериями. Как правило, данный подход в современной медицине используется при недоступности следующих разновидностей процедуры;
  • ангиография с использованием компьютерной томографии позволяет получить объемное изображение сосудистого русла. В связи с этим, доктор может легко выявить структурные нарушения и выставить точный диагноз. Основное преимущество данного метода – небольшие временные затраты при сохранении высокого уровня визуализации;
  • магнитно-резонансная томография с или без контрастирования артерий позволяет добиться высокой степени детализации сосудистого рисунка, что позволяет обнаружить даже незначительные нарушения в строении артерий. Важно отметить, что данный метод ангиографии занимает значительно дольше времени, чем описанные выше.

Что необходимо сделать пациенту?

  1. Проведение диагностического обследования, включающего в себя общий и биохимический анализ крови, флюорографическое исследование легких, электрокардиографию, анализ свертывающей системы крови.
  2. Консультации у врача общей практики и анестезиолога.
  3. Проведение пробы на чувствительность к йодосодержащими медикаментам. Данная проба проводится путем внутривенного введения 1 мл контрастного вещества с последующей оценкой состояния пациента и выявления у него клинических симптомов аллергической реакции.
  4. Беседа с пациентом о предстоящем исследовании.
  • последний прием пищи должен быть осуществлен не позднее чем за 10-12 часов до исследования;
  • во время процедуры необходимо снять различные серьги, кольца, протезы зубов и др.

Проведение обследования

Возможные осложнения

  • выход рентгеноконтрастного вещества из сосудистого русла в окружающие ткани. Подобная ситуация может привести к воспалительным изменениям различной степени выраженности;
  • аллергические реакции на контрастное вещество или его индивидуальная непереносимость. В подобных случаях у больного может появиться зуд, крапивница, отек Квинке и другие специфические для аллергии симптомы;
  • острое нарушение функции почек, как осложнение проводимого обследования, наблюдается у пациентов с их заболеваниями.

Использованные источники: diagnostinfo.ru


Смотрите также