Атипичные лимфоциты в анализе крови

Атипичные лимфоциты в анализе крови[Атипичные лимфоциты в анализе крови]

Атипичные лимфоциты: норма и причины появления атипичныех лимфоцитов в анализе крови

Атипичные лимфоциты в анализе крови: стоит ли паниковать?

Не секрет, что за борьбу с болезнями в нашем организме отвечают крохотные тельца, называемые антителами. За их выработку отвечает красный костный мозг — орган кроветворения, в недрах которого созревают новенькие иммунные клетки: лимфоциты, нейтрофилы, базофилы, эозинофилы и моноциты.

Главнейшим агентом иммунного ответа являются лимфоциты — их численность в крови преобладает над всеми остальными, именно с помощью них организм ведёт основную борьбу с инфекцией. Большинство лимфоцитов имеет правильную круглую форму и чёткие контуры, однако есть клетки, параметры которых немного отличаются от «оригинала». Такие клетки учёные называют атипичными.

Атипичные или реактивные лимфоциты — это особые иммунные тела, появляющиеся при аллергических реакциях, инфекционных и других заболеваниях. Неправильная форма и размер клеток обусловлены воздействием патогенных микроорганизмов, полностью меняющих их структуру. В норме атипичные иммунные тела не должны появляться вообще, а их наличие может указывать на развитие различных заболеваний.

В этой статье мы расскажем вам, что делать, если в вашем анализе крови обнаружены атипичные лимфоциты, поведаем о причинах, которые могли спровоцировать их рост.

В чём проявляется атипичность лимфоцитов?

Как известно, лимфоциты участвуют в процессах иммунного ответа — то есть, одни из первых бросаются на борьбу с опасными микроорганизмами. В результате этой борьбы они могут приобретать следующие параметры:

  • Нестандартный внешний вид

Обычно лимфоцит имеет круглую форму и ровные границы. Атипичные лимфоциты отличаются рваными контурами и неправильной многоугольной структурой.

В нормальном состоянии размер лимфоцита не превышает 12 мкм. Увеличение этого показателя говорит о его атипичности.

Воздействие патогенных организмов распространяется также и на ядро клетки — если посмотреть на неправильный агранулоцит через микроскоп, можно обнаружить, что оно вытянуто, удлинено, испещрено продолговатыми трещинками.

Атипичные лимфоциты также имеют более яркий окрас, при добавлении в анализируемую кровь красителя гематоксилина — это также один из способов выявления необычных клеток.

А вы знали, что черты характера человека влияют на его уровень сопротивляемости болезням? Есть исследование, подтверждающее, что активные и уверенные в себе люди вырабатывают большее количество клеток иммунного ответа, что и помогает им бороться с болезнями. Таким образом, оптимистичный и положительно настроенный человек имеет меньше поводов для беспокойства о своём здоровье.

Причины появления атипичных лимфоцитов

Многие люди, напуганные различными статьями в интернете и медицинских справочниках, уже на рефлекторном уровне начинают паниковать при виде слов «атипичный», «неправильный» и «мутагенный», ассоциируя их с онкологическими заболеваниями. Не спорю, повышенное число лимфоцитов, как и появление атипичных лимфоцитов, может являться косвенным симптомом рака, но это лишь одна из возможных причин, причём не самая распространённая.

Гораздо чаще к усилению выработки лимфоцитов приводит какая-либо инфекция или же аллергическая реакция. Такое явление называют лимфоцитозом. Медики различают три разновидности данного заболевания: реактивный, постинфекционный и злокачественный. Первые два связаны с ослаблением функций организма в результате инфекции, третий — с наличием опухолевого процесса в организме.

Лимфоцитоз неизбежно ведёт к образованию неправильных лимфоцитов, а точнее, он является одним из факторов, сопутствующих данной патологии. Причин у неё может быть несколько:

  • Приём определённого круга лекарственных препаратов (к примеру, иммунных сывороток органического происхождения);
  • Инфекционные заболевания: пневмония, ветрянка, гепатит и т.д.
  • Бруцеллёз — заболевание, поражающее домашних животных. Попадая в организм человека через продукты питания, может вызывать нарушение в работе различных систем, в том числе и иммунной;
  • Токсоплазмоз — заболевание без явной клинической картины, поражающее, однако, иммунные клетки организма и приводящее к возникновению реактивных лимфоцитов;
  • Лимфолейкоз — злокачественное поражение лимфатических узлов, характеризующееся накоплением в них раковых клеток;
  • Коклюш — заболевание дыхательных путей, сопровождаемое судорожным кашлем. Чаще всего встречается у детей;
  • Сывороточная болезнь — аллергия на препараты животного происхождения;
  • Сифилис на некоторых стадиях.

Уровень агранулоцитов в крови определяется общим анализом крови (на тромбоциты, эритроциты и лейкоциты). Сдаётся такой анализ обычно с утра и на голодный желудок.

Стоит отметить, что в крови взрослого человека можно обнаружить атипичные лимфоциты и при отсутствии патологического процесса в организме, поэтому так важно проконсультироваться с врачом насчёт результатов вашего анализа — именно он первым заметит неладное и посоветует, что делать в сложившейся ситуации.

Ещё одним немаловажным фактором развития атипичных агранулоцитов является аллергия. Врачи по всему миру твердят о том, что аллергические реакции станут одной из главных проблем, преследующих городских жителей в XXI веке. Дело в том, что в условиях экологических катаклизмов и загрязнённости воздуха, иммунная система человека начинает работать неправильно, «сбоить». Официальная статистика показывает, что уже сейчас число болеющих аллергией детей составляет 15%!

Норма атипичных лимфоцитов и лечение

В организме здорового человека может содержаться до 6 % атипичных лимфоцитов, большая часть из них консолидируется в кровеносной системе. Стоит встревожиться, если этот уровень превышает 7-10%, именно на это и необходимо указать своему врачу.

Лечение атипичных лимфоцитов, естественно, заключается в выявлении первопричины, а до тех пор не стоит прибегать к каким-то серьёзным мерам.

Чаще всего врачи назначают:

  • Витаминно-минеральную терапию, укрепляющую иммунитет.
  • Если заболевание имеет вирусную природу, соответственно назначаются антибиотики и противовирусные препараты.
  • Антигистаминные и противоаллергические лекарства, если образование атипичных лимфоцитов спровоцировано аллергией.

Не стоит забывать также и о правильном питании, здоровом образе жизни и других мероприятиях, направленных на укрепление организма.

Резюмируя:

Лимфоциты — это группа иммунных клеток крови, подвид лейкоцитов, участвующая в борьбе организма с инородными телами и вирусами. Когда иммунная клетка сталкивается с серьёзной проблемой, его структура, размер и цвет могут меняться, и тогда можно говорить о развитии его атипичности. Норма атипичных лимфоцитов в крови человека составляет 6%, всё, что выше — свидетельствует о негативных изменениях в работе организма. Эти нарушения, в свою очередь, могут быть вызваны как вирусами, так и опухолевыми процессами, требующими немедленного лечения.

На этом всё, следите за состоянием своего организма, ведите здоровый образ жизни и не пускайте на самотёк имеющиеся проблемы, именно в этом и заключается секрет крепкого здоровья. Удачи!

Атипичные лимфоциты в анализе крови: что это такое и почему появляются?

Что делать, когда в анализе крови обнаруживаются атипичные лимфоциты? Данный вопрос беспокоит многих людей, получивших результаты исследования биологического материала, сданного на анализ.

Если и вы хотите получить ответ на вопрос и узнать про причины появления атипичных лимфоцитов, то читайте статью.

Общая информация

Лимфоцитами называют разновидности клеток крови, отвечающих за защитные процессы организма при его поражении различными заболеваниями.

Атипичные лимфоциты являются модификацией «стандартных» белых кровяных телец, отличающихся размерами и «рабочими» свойствами.

В идеале у здорового взрослого человека или ребенка количество лимфоцитов в крови должно попадать в границы пределов референтной нормы.

Количество телец значительно возрастает тогда, когда организм пациента приступает к борьбе с какой-либо проблемой, поражающей ткани, органы или иммунную систему.

Состояние, при котором лимфоциты повышены, называют лимфоцитозом. Иногда патология может наблюдаться и у внешне здоровых людей, не имеющих жалоб на какие-либо проблемы с самочувствием.

В таком случае при выявленном и подтвержденном повторными анализами лимфоцитозе пациентам следует посетить профильного врача – гематолога, занимающегося исследованием патологий крови.

Атипичные лимфоциты бывают различных видов. Данные виды названы в честь врачей, исследовавших болезни крови и впервые обнаруживших тот или иной вид атипичных клеток.

Первая группа атипичных телец называется клетками Дауни. Впервые они были выявлены в первой трети двадцатого века у пациентов, страдающих от патологий, спровоцированных наличием цитомегаловируса или вируса Эпштейна-Барра.

Вторая группа атипичных лимфоцитов названа в честь известного гематолога Ридера, исследовавшего различные патологии крови своих пациентов.

Ридер выявил, что у многих из тех, кто страдали от острой лейкемии, лимфоциты приобретают иное строение.

В частности, ядра таких лимфоцитов словно разделены пополам и обладают неравным контуром. Иногда тельца данной группы называют амитотическими.

Третья группа атипичных лимфоцитов называется клетками Боткина-Клейна-Гумпрехта. Основное заболевание, провоцирующее появление данных атипичных телец, – лимфаденоз.

Клетки данного вида не обладают какими-либо полезными функциями, но при этом постоянно находятся в крови пациентов, страдающих от патологий. В некоторых медицинских источниках можно встретить альтернативное название данных атипичных лимфоцитов, звучащее как «тени Боткина-Клейна-Гумпрехта».

Разновидности атипичных лимфоцитов

Атипичные лимфоциты появляются в организме под воздействием различных антигенов. Главной отличительной чертой является увеличенный размер клеток.

Для сравнения, размер «стандартных» телец колеблется в районе десяти – двенадцати микрометров, размер атипичных лимфоцитов составляет около тридцати микрометров.

Стандартные лимфоциты имеют характерную круглую форму, а лимфоциты, обладающие атипичным происхождением, могут видоизменяться, превращаясь в многоугольные клетки, обладающие неравномерными по длине рваными гранями.

Главные изменения, специфические для атипичных лимфоцитов, происходят внутри их ядер.

В ходе лабораторного исследования данных клеток можно обнаружить, что внутри них располагаются не обычные, гладкие и слегка удлиненные ядра, а ядра вытянутой формы, покрытые микротрещинами и небольшими вмятинами.

Анализ крови, направленный на выявление атипичных телец, предполагает использование специализированных реактивов, позволяющих правильно оценить окрас клеток.

В качестве дополнительных реактивов традиционно используются вещества, называемые «гематоксилином» и «эозином».

После взаимодействия с данными веществами лимфоциты атипичного вида, находящиеся в составе биологического материала пациента, взятого на анализ, приобретают темно-серый или синеватый цвет, причем их ядра окрашиваются в оттенки фиолетового цвета. Классические лимфоциты имеют жемчужный, слегка сероватый или желтоватый оттенок.

Повышенное количество лимфоцитов в крови пациента может быть спровоцировано различными факторами. Выделяют реактивный, постинфекционный и злокачественный лимфоцитоз.

Реактивный лимфоцитоз появляется вследствие значительно ослабленного иммунитета.

Организм, незащищенный даже от не самых значительных патологических ситуаций, порождает большое количество как обычных, так и атипичных телец, обладающих большими размерами и неспособных эффективно бороться с заявленными проблемами.

Постинфекционный лимфоцитоз является наиболее безопасным для человека, так как носит временный характер.

Основной причиной его появления называют вирусные или инфекционные заболевания, перенесенные в недавнем прошлом.

Злокачественный лимфоцитоз – патологический симптом, характерный для людей, страдающих от каких-либо онкологических заболеваний.

Онкология стимулирует организм человека вырабатывать огромное количество лимфоцитов, часть из которых перерождается в атипичные клетки.

Причины появления

Если анализ крови покажет присутствие в биологическом материале атипичных лимфоцитов, то не стоит паниковать и думать о плохом.

В подавляющем большинстве случаев их нахождение будет оправдано недавно перенесенными вирусными заболеваниями или различными аллергическими процессами, протекающими в тканях организма.

Чтобы нивелировать проблему и не спровоцировать развитие более серьезных патологических ситуаций, следует заняться восстановлением иммунной системы.

Видео:

После ее восстановления иммунитет перестанет производить на свет неполноценные, атипичные кровяные тельца и вновь будет готов к борьбе с возможными заболеваниями.

Однако в некоторых случаях наличие атипичных телец в крови у ребенка или взрослого может указывать на ряд достаточно серьезных патологий, которые требуют либо незамедлительного (и зачастую радикального) лечения либо тщательного контроля врача над их течением.

Речь идет о таких патологиях, как:

  • лимфолейкоз (поражение лимфатической системы раковыми клетками);
  • бруцеллез (заболевание инфекционного спектра, передающееся людям от контакта с животными и негативным образом сказывающееся на правильной работе нервной и сердечно-сосудистой систем);
  • сифилис (инфекция, поражающая слизистые ткани, костную и нервную систему);
  • токсоплазмоз (заболевание, не имеющее ярко выраженных симптомов, но при этом в острой форме разрушающее все системы организма);
  • пневмония, ветрянка, гепатит и проч.

Кроме того, появление атипичных лимфоцитов в организме человека может быть вызвано длительным лечением каких-либо патологий, в ходе которого использовались специализированные сыворотки животного происхождения, предназначенные для повышения радикально ослабленного иммунитета.

Данные сыворотки могут восприниматься телом пациента, получающего лечение, в качестве инородных реагентов, поэтому его организм может начать бороться с компонентами, входящими в их состав, используя остатки собственной, но изрядно истощенной иммунной системы.

Лабораторные анализы и лечение проблемы

Чтобы выявить наличие или отсутствие атипичных лимфоцитов в биологическом материале пациента, врачи направляют человека на сдачу общего анализа крови, подразумевающего детальное исследование уровня и разновидностей лейкоцитов, эритроцитов, лимфоцитов и тромбоцитов.

Чтобы получить направление на анализ, следует посетить терапевта – врача общей практики, или гематолога – доктора, специализирующегося на лечении заболеваний крови.

Впрочем, дать направление на данный анализ могут и другие профильные врачи в том случае, когда заподозрят у пациента, жалующегося на определенные симптомы, какие-либо проблемы со здоровьем, предполагающие наличие атипичных телец.

Состояниям, для которых характерно появление атипичных лимфоцитов в крови, в одинаковой степени подвержены как взрослые люди, так и маленькие дети, обладающие сниженным иммунитетом, не способным самостоятельно, без помощи лекарственных средств, бороться с возникающими заболеваниями.

Лечение проблемы, для которой характерно повышение данного показателя, симптоматическое и зависит от вида патологии-катализатора процесса выработки атипичных лимфоцитов.

Если причиной всему – аллергия, то больным назначают прием антигистаминных препаратов.

Тогда, когда появление атипичных телец вызывается различными бактериальными инфекциями, используют антибиотики узкого или широкого спектра действия.

При наличии более серьезных патологий у пациентов им назначают комплексное лечение, состоящее из нескольких фаз.

Лимфоциты атипичного вида, обнаруженные в общем анализе крови – повод для проведения дополнительных уточняющих исследований биологического материала.

В норме они должны отсутствовать в человеческом организме. Чтобы исключить риск появления или прогрессирования каких-либо патологических ситуаций, для которых характерно появление данного показателя, следует внимательно прислушиваться к рекомендациям лечащего врача.

О чем говорит наличие атипичных лимфоцитов в крови, и стоит ли волноваться?

Многие пациенты начинают интересоваться вопросом, что такое атипичные лимфоциты? после сдачи анализов в лаборатории. Само слово «атипичные» не вызывает положительных ассоциаций, поэтому у пациента появляется повод для волнений. Но паниковать не нужно. Такое заключение слышат многие взрослые и дети, но, как правило, ничего угрожающего оно не несет.

Внешние отличия атипичных лейкоцитарных клеток

Лейкоциты – главные агенты иммунитета. Они представляют собой многочисленный класс клеток, отличающихся друг от друга по строению и функциям. Особенность лейкоцитов состоит в том, что они происходят от разных типов клеток-предшественников, следствием этого становится их высокая полиморфность.

В процессе дифференцированного созревания лейкоциты разных видов приобретают характерные морфологические признаки и выходят в кровь. Пребывают они в кровотоке недолго, до двух дней, затем попадают в ткани. Поэтому при исследовании крови на уровень лейкоцитарных клеток микроскопии подвергаются только те клетки, которые на момент анализа находились в русле крови.

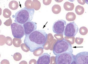
Лимфоцит атипичной формы с увеличенной цитоплазмой и нормальный лимфоцит

Во время анализа оценивается численность каждой популяции лейкоцитарной группы (гранулоцитов и агранулоцитов) и их морфологические признаки. В организме здорового человека морфологически лейкоциты не отличаются от стандартных форм и размеров. Но при определенных условиях (аллергии, инфекции, опухоли) в крови обнаруживаются атипичные лейкоциты с патологическими морфологическими признаками.

В микроскопе опытный лаборант сразу определит атипичные клетки по таким признакам:

  • Нестандартная форма. Нормальные лимфоциты округлые. Атипичность клетки проявляется в рваном контуре или многогранной форме.
  • Увеличенный или уменьшенный размер. Обычный размер лимфоцита – около 12 мкм. Атипичные формы могут достигать размеров моноцитов (до 30 мкм).
  • Видоизменённое ядро. При оценке морфологии клетки смотрят на соотношение размеров ядра с объемом цитоплазмы. Незрелые нейтрофилы не имеют сегментированного ядра, а ядро атипичного лимфоцита, наоборот, может состоять из нескольких сегментов. Атипичные лимфоциты имеют увеличенную плазму, их называют плазматизированными. Базофильность плазмы говорит о молодости этих клеток.
  • Нетипичное окрашивание клетки красителями, зернистость цитоплазмы. При обработке атипичных лимфоцитов эозиновым красителем они окрашиваются в синий цвет. Ядра становятся фиолетовыми. Нормальные лимфоциты после подкрашивания становятся жемчужными, сероватыми или желтоватыми.

Причины появления атипичных клеточных форм

Из основных факторов, которые становятся причиной появления лейкоцитарных клеток нетипичной формы, можно выделить четыре группы:

  • Вирусные и бактериальные инфекции;
  • Интоксикация организма;
  • Ионизирующее излучение;
  • Рак и генетические патологии.

Во всех этих случаях появление атипичных форм клеток сопутствует лейкоцитозу (усиленной выработке всех или отдельных популяций клеток), которое диагностируется по анализу крови со сдвигом влево (с преобладанием молодых незрелых форм клеток).

Характер механизма появления атипичных лимфоцитов может быть реактивным, инфекционным или злокачественным. Причем диагностика в первых двух случаях основывается на совокупности сопутствующих симптомов (недавние физические нагрузки, повышенная температура, другие характерные клинические признаки инфекционного заболевания). Эти механизмы наиболее распространенные. Третий – злокачественный механизм развивается намного реже и характеризуется появлением определенных типов атипичных клеток.

Важно! Если в крови обнаружены лейкоциты атипичных форм, это, в первую очередь, означает, что иммунная система пребывает в напряженном состоянии.

Виды атипичных лейкоцитарных клеток и причины появления

Реактивный лейкоцитоз возникает вследствие усиленного лейкопоэза. Этот процесс активируется в организме при помощи цитокинов, активных компонентов комплемента, в ответ на появление токсинов. В таких экстремальных условиях не все клетки созревают правильно, и неизбежно появляются атипичные формы реактивных лимфоцитов. В лаборатории атипичные клетки подсчитываются на каждые 100 клеток определенной группы

Дегенеративные изменения

Эта атипичная форма клеток появляется при длительной и интенсивной интоксикации организма. В лейкоцитах накапливаются отложения токсических веществ, и клетка утрачивает способность делиться и выполнять свои функции. Эти вещества могут иметь разную природу (жировые, пигментные). Такие клетки отличаются увеличением количества и размеров вакуолей (вакуолизация), появляется токсогенная зернистость цитоплазмы. Изменения размеров может быть в большую или меньшую (сморщивание) сторону. Такие изменения обычно связаны с тяжелым сепсисом, абсцессами, дистрофией печени.

При дефиците витамина B12 или недостатке фолиевой кислоты в крови обнаруживают гиперсегментированные нейтрофилы. Их ядра могут содержать до 6 сегментов.

Атипичные мононуклеары

Называются клетками Дауни или лимфомоноцитами из-за морфологического сходства атипичных лимфоцитов этого типа с моноцитами. По размерам они крупнее обычных лимфоцитов, имеют моноцитарное ядро. Эти клетки чаще всего обнаруживают в крови.

У абсолютно здорового человека атипичные мононуклеары не встречаются, но они всегда сопутствуют вирусным заболеваниям. Наиболее частая причиной такого состояния – одна из форм вируса герпеса.

Этот тип атипичных лимфоцитов – один из маркеров мононуклеоза. Если иные заболевания (токсоплазмоз, грипп) способны стать причиной появления нетипичных мононуклеаров до 7% от общего количества лимфоцитов, то превышение количества атипичных клеток этого типа 10% говорит о мононуклеозе.

Это заболевание с ярко выраженными катаральными симптомами и сопутствующими положительными результатами по выявлению атипичных мононуклеаров производит на родителей угнетающее впечатление. Но на самом деле оно не несет ничего угрожающего и после выздоровления лейкоциты в крови у ребенка и их морфология самостоятельно приходит в норму.

У детей количество атипичных мононуклеаров (вироцитов) в крови не превышает 1%. Увеличение их количества может быт следствием прививок либо указывать на недавно перенесенное заболевание.

Мазок крови под микроскопом с атипичными мононуклеарами

В крови взрослого человека тоже могут быть обнаружены атипичные мононуклеары, так как с возрастом вероятность носительства вируса герпеса повышается, и к старости достигает 98%. Еще патологические клетки могут появляться в результате аллергических реакций.

Важно! Лечение препаратами сыворотки крови тоже может стать причиной усиления лейкопоэза.

При мононуклеозе диагноз ставится по сопутствующим клиническим признакам, наличию плазматизированных мононуклеаров. Механизм их появления носит инфекционный характер, и после выздоровления картина крови нормализуется.

Клетки-тени Боткина-Гумпрехта

Это фрагменты лимфоцитов или других лимфоидных клеток, их остатки, которые появляются в результате лейколиза в процессе приготовления материала для микроскопии. Такое явление говорит о высокой скорости разрушения лимфоцитов и всегда сопутствует хроническому лимфолейкозу, но встречается и при других инфекционных заболеваниях. Под микроскопом видны хроматиновые тяжи, голые или полуразрушенные ядра. Эти фрагменты и называют тельцами Боткина-Гумпрехта.

Клетки Ридера

Это почкообразные клетки с зазубренным контуром ядра. Обнаруживаются при лейкемии, пернициозной анемии, тяжело протекающих инфекциях, отравлениях свинцом или фосфором.

Норма атипичных лимфоцитов, меры по нормализации

Организм взрослого человека постоянно подвергается атакам чужеродных агентов, поэтому тонус иммунной системы может меняться. Атипичные лимфоциты в анализе крови могут появляться в зависимости от текущей нагрузки на иммунитет. Допустимая норма – не выше 6%. Внимания заслуживают показатели выше 7%.

Специфической терапии для нормализации уровня атипичных лейкоцитов нет, так как это явление становится следствием какой-либо патологии. Поэтому лечение направлено непосредственно на борьбу с заболеванием или устранение причины (аллергических факторов, прекращение приема лекарственных препаратов, сывороточных компонентов крови). Для лечения бактериальных инфекций назначают антибиотики, аллергические реакции купируют антигистаминными препаратами.

Болезнь Эпштейн-Барра (вирус герпеса IV типа) у взрослых часто протекает бессимптомно и специфического лечения не имеет. Сама болезнь не несет угроз, зато опасность представляет способность вируса вызывать злокачественные опухоли. При ослабленном иммунитете болезнь носит рецидивирующий характер, который может проявляться синдромом хронической усталости, развиться в лимфогранулематоз, лимфому, рассеянный склероз. Такие состояния требуют длительной терапии по коррекции иммунной системы.

Популярное видео, как работает иммунитет:

Вместе с тем пациентам рекомендуется нормализовать режим и рацион, что благотворно повлияет на потенциал иммунитета.

У ребенка атипичные лимфоциты

Главная » Лимфоциты » У ребенка атипичные лимфоциты

Внешние отличия атипичных лейкоцитарных клеток

Лимфоцит атипичной формы с увеличенной цитоплазмой и нормальный лимфоцит

  • Нестандартная форма. Нормальные лимфоциты округлые. Атипичность клетки проявляется в рваном контуре или многогранной форме.
  • Увеличенный или уменьшенный размер. Обычный размер лимфоцита – около 12 мкм. Атипичные формы могут достигать размеров моноцитов (до 30 мкм).
  • Видоизменённое ядро. При оценке морфологии клетки смотрят на соотношение размеров ядра с объемом цитоплазмы. Незрелые нейтрофилы не имеют сегментированного ядра, а ядро атипичного лимфоцита, наоборот, может состоять из нескольких сегментов. Атипичные лимфоциты имеют увеличенную плазму, их называют плазматизированными. Базофильность плазмы говорит о молодости этих клеток.
  • Нетипичное окрашивание клетки красителями, зернистость цитоплазмы. При обработке атипичных лимфоцитов эозиновым красителем они окрашиваются в синий цвет. Ядра становятся фиолетовыми. Нормальные лимфоциты после подкрашивания становятся жемчужными, сероватыми или желтоватыми.

Причины появления атипичных клеточных форм

  • Вирусные и бактериальные инфекции;
  • Интоксикация организма;
  • Ионизирующее излучение;
  • Рак и генетические патологии.

Виды атипичных лейкоцитарных клеток и причины появления

Дегенеративные изменения
Атипичные мононуклеары

Мазок крови под микроскопом с атипичными мононуклеарами

Клетки-тени Боткина-Гумпрехта
Клетки Ридера

Норма атипичных лимфоцитов, меры по нормализации

lechiserdce.ru

Причины повышения лимфоцитов в крови

Повышенные лимфоциты в крови – признак сбоя функций иммунной системы, поскольку эти клетки выполняют защитные функции в организме. Определить уровень этих клеток поможет общий анализ крови, на основании полученных результатов врач сможет подобрать адекватные методы коррекции.

Повышение количества лимфоцитов в крови говорит о нарушении в работе иммунной системы

Роль лимфоцитов

 Лимфоциты  – белые кровяные тельца, вместе с моноцитами они относятся к незернистой группе лейкоцитов, составляют основу иммунной системы. При появлении в организме чужеродного объекта, они моментально перемещаются к нему, что приводит к активизации защитных функций. Когда в организме начинается борьба с патогенными микроорганизмами и патологическими клетками, число лимфоцитов в крови увеличивается – это означает, что болезнь находится в острой фазе.

Синтезирует лимфоциты костный мозг, но в своём первозданном виде клетки существуют недолго, затем они начинают преобразовываться в лимфоузлах и тимусе (вилочковой железе). В зависимости от места дифференциации, клетки выполняют разные функции в организме. Обычные лимфоциты становятся активированными, если организм подвергся атаке патогенных микроорганизмов.

Лимфоциты выполняют множество полезных функций

За что отвечают лимфоциты тимуса:

  • синтезируют вещества, которые позволяют адекватно среагировать на вторжение чужеродных организмов;
  • устраняют болезнетворные агенты;
  • борются с опухолями, уничтожают клетки после их мутации;
  • создают защитный барьер, который препятствует проникновению в организм вирусов и инфекций;
  • при нарушении целостности кожных покровов лимфоциты в большом количестве скапливаются возле повреждённого участка, чтобы предотвратить проникновение патогенных микроорганизмов.

B-лимфоциты образуются в лимфатических узлах, влияют на формирование приобретённого иммунитета, способствуют сохранению пожизненного эффекта после прививок, синтезируют антитела. После распознавания и уничтожения болезнетворных микроорганизмов, они сохраняют информацию об агенте, передают её новым клеткам.

Нормы содержания лимфоцитов

Количество лимфоцитов зависит от возраста – у новорождённых активно развивается вилочковая железа, поэтому уровень этих клеток у них высокий. К 13–16 годам железа у ребёнка прекращает расти, число белых кровяных тел у подростков приравнивается к нормам у взрослых. У мужчин и женщин уровень защитных клеток примерно одинаковый.

Таблица нормы лимфоцитов
Возраст пациента Относительные показатели (%) Абсолютное содержание (109 клеток/л)
Новорождённые 15–35 0,8–9
Дети до 1 года 45–70 0,8–11
Дети и подростки до 15 лет 30–50 1,3–9,5
Взрослые 30–40 0,8–4

При беременности, при месячных уровень активированных лимфоцитов у женщин может достигать 50%, такое превышение не считается патологическим.

Определение уровня лимфоцитов

Выявить число лимфоцитов поможет клинический анализ крови. Для обозначения абсолютного содержания лимфоцитов используют аббревиатуру LYM# (LY#), относительное процентное соотношение обозначают LYM% (LY%).

Для диагностирования аутоиммунных и онкологических патологий проводят анализ ANA для выявления титра антител, проверяют наличие специфических белковых соединений, которые организм синтезирует при конкретной болезни. Дополнительно делают УЗИ печени, селезёнки, сердца, суставов.

Повышенный уровень лимфоцитов показывает наличие воспалительных, инфекционных процессов, такое состояние имеет название лимфоцитоз. При абсолютной форме заболевания увеличивается общее количество белых кровяных клеток, относительный лимфоцитоз – увеличение процентного соотношения лимфоцитов и других лейкоцитов, что отражается в лейкоцитарной формуле.

Симптомы лимфоцитоза:

  • печень, селезёнка, лимфоузлы увеличиваются в размерах – подобные признаки часто возникают при мононуклеозе, это заболевание возникает при активизации вируса Эпштейна-Барра;
  • слабость, частые простуды, постоянная отёчность слизистой оболочки носа, усиленное слезотечение;
  • признаки заболеваний органов дыхания, резкое увеличение миндалин;
  • резкие колебания температурных показателей;
  • диспепсические расстройства – рвота, запоры чередуются с диареей;
  • при аутоиммунных патологиях на теле появляется узелковая сыпь, пятна синего или красного цвета, долго держится повышенная температура, после пробуждения сложно двигаться, суставы опухают;
  • ухудшение психоэмоционального состояния, бессонница, снижение аппетита.

При лимфоцитозе появляется сыпь на теле

Если защитные силы организма сильно ослаблены, в крови появляется много атипичных клеток, в таких случаях ставят диагноз реактивный лимфоцитоз. Неполноценные белые кровяные тельца в большом количестве – один из основных признаков онкологических патологий, такой процесс называют злокачественный лимфоцитоз, проявляется в виде сильной слабости, повышенной утомляемости, кожа становится бледной, человек резко теряет вес, его беспокоят приступы головокружения и тошноты.

Лимфоцитоз сигнализирует о наличии патологических процессов в организме, которые имеют вирусное или бактериальное происхождение, уровень защитных клеток повышается при аутоиммунных болезнях.

Лимфоциты повышены – что это значит:

  • инфекционные болезни вирусного характера – корь, ветряная оспа, краснуха, высокие показатели лимфоцитов могут присутствовать ещё до появления клинических признаков заболевания;
  • кишечные, ротавирусные инфекции;
  • бактериальные патологии – сифилис, коклюш, туберкулёз;
  • острая фаза лучевой болезни;
  • сбои в работе щитовидки, надпочечников;
  • отравление химическими веществами, длительное курение;
  • число белых кровяных клеток возрастает при онкологии, при вирусном гепатите, сильном или продолжительном стрессе;
  • авитаминоз, нервное и физическое истощение;
  • болезнь Крона;
  • лимфоциты выше нормы всегда диагностируют после оперативных вмешательств, после удаления селезёнки;
  • у детей лейкоцитоз может возникнуть после длительного пребывания на солнце.

Туберкулёз может быть причиной повышения уровня лимфоцитов

Часто при увеличении белых защитных клеток возрастают и другие качественные показатели крови. Высокий уровень лимфоцитов и нейтрофилов бывает при дифтерии, коклюше, сепсисе, повышенные значения могут сохраняться в течение двух месяцев после выздоровления.

Одновременно незначительно увеличивается число лейкоцитов и моноцитов при кори, ветрянке, паротите. Если показатели значительно превышают норму, то врач может заподозрить развитие моноцитарный лейкоз – злокачественное новообразование системы кроветворения.

Причины повышения атипичных лимфоцитов

В крови могут присутствовать атипичные широкоплазменные лимфоциты, при тяжёлых инфекционных патологиях их уровень превышает 10% от общего количества белых клеток крови.

Подобный процесс развивается при аутоиммунных и онкологических патологиях, ВИЧ, болезнях крови, бруцеллёзе, токсоплазмозе, может свидетельствовать о передозировке лекарствами.

 У детей число атипичных клеток возрастает при коклюше, пневмонии, кори, тяжёлых формах гриппа, гнойной ангине, менингите. 

У детей атипичные лимфоциты повышаются из-за гнойной ангины

Повышенное содержание лимфоцитов во время терапии свидетельствует о том, что методы лечения выбраны правильно – во время выздоровления начинают активно вырабатываться защитные клетки. Такое состояние называют постинфекционным лимфоцитозом.

Что делать при лимфоцитозе

Если в анализе крови количество лейкоцитов значительно выше нормы, то врач назначает медикаментозное лечение на основании внешних проявлений патологии, результатов диагностики.

Как понизить уровень лимфоцитов:

  • противовирусные лекарства – Римантадин, Гропринозин;
  • при кишечных инфекциях – Энтерол, Бифидумбактерии;
  • иммуностимуляторы – Иммунал, Интерферон;
  • антибиотики – Флемоклав Солютаб, Сумамед;
  • жаропонижающие препараты – Парацетамол, Ибупрофен;
  • противопаразитарные средства – Вормил, Немозол, Вермокс;
  • противоопухолевые препараты – Асалин, Бензотэф;
  • глюкокортикоиды – Преднизолон.

Римантадин — эффективное противовирусное средство

Лечение запущенных форм онкологических заболеваний крови при помощи химиотерапии, облучения проводят в стационаре. Но чаще всего единственный эффективный метод терапии – пересадка костного мозга.

Народные способы лечения

Если лимфоцитов немного повышены, причиной их увеличения стала простуда, ОРВИ, то справиться с болезнью помогут средства нетрадиционной медицины – обильное тёплое питьё, лучше всего применять отвар из плодов шиповника, чай с листьями малины, чёрной смородины, молоко с мёдом. Дополнительно следует промывать нос солевым раствором, полоскать горло настоем ромашки, эвкалипта, липы.

Чай из черной смородины полезен при лимфоцитозе

Если в крови много лимфоцитов уменьшить их количество, нормализовать состав крови поможет настойка из сушёных соцветий катарантуса – смешать 10 г сырья и 200 мл водки, убрать в тёмное место на 10 суток, отфильтровать. Пить по 10 капель лекарства каждый день независимо от приёма пищи, предварительно его нужно растворить в 200 мл воды. Продолжительность терапии – 3 недели.

Профилактика

Профилактика лимфоцитоза заключается в регулярном и постоянном укреплении защитных сил организма.

Что поможет избежать повышения лимфоцитов:

  • составить сбалансированный рацион – в меню должно быть больше продуктов с высоким содержанием аскорбиновой кислоты;
  • регулярные закаливающие процедуры;
  • ежедневные пешие прогулки;
  • занятие спортом;
  • своевременное лечение инфекционных патологий;
  • отказ от пагубных пристрастий.

Чтобы нормализовать уровень лимфоцитов употребляйте больше продуктов с аскорбиновой кислотой

Чтобы вовремя распознать любое заболевание, необходимо делать клинический анализ крови раз в 4–6 месяцев.

Любое отклонение в анализе крови требует консультации врача, дополнительной диагностики. Лимфоцитоз чаще всего сигнализирует о наличии вирусной, бактериальной инфекции в организме, заражении паразитами. Но повышение лимфоцитов может возникнуть и на фоне тяжёлых, смертельных патологий.

Заболевания Кровь

lechusdoma.ru

Атипичные лимфоциты в крови у ребенка

Атипичные лимфоциты

Слово атипичные не дарит приятных ассоциаций, ведь атипичными называются измененные клетки организма, вызывающие появление рака. Тем не менее, если вам говорят, что у вас в крови повышены атипичные лимфоциты. не стоит бить тревогу и писать завещание. В этом случае атипичные значит необычные , то есть имеющие не свойственные лимфоцитам особенности. С онкологией они не имеют ничего общего и встречаются при совершенно других болезнях.

Что такое атипичные лимфоциты и как они выглядят:

Как известно, при раздражении антигенами, а также во время некоторых заболеваний (вирусные болезни, аллергии) показатели лимфоцитов повышаются. Наряду с этим некоторые из них меняют свои свойства и внешний вид.

Атипичные лимфоциты приобретают следующие особенности

Они становятся крупными. Обычно макрофаги – самые большие лейкоциты, а лимфоциты редко вырастают более чем до 12 мкм. Когда они становятся атипичными, их размер может составлять 30 мкм и более.

Нормальный лимфоцит имеет форму, близкую к округлой. Измененные же формы клеток приобретают неправильную, многоугольную форму, а их границы могут выглядеть рваными .

Ядро обычной клетки округлое или немного вытянутое. У атипичного лимфоцита оно может таким оставаться, однако зачастую бывает удлиненным, с изъеденными контурами, перетяжками или расщелинами. Бывает уменьшенным.

Если мазок крови, в котором изучают показатели лимфоцитов, окрасить стандартными красителями (для этого используют гематоксилин и эозин), то атипичные клеточки будут приобретать более яркую окраску, чем нормальные . Ядро их фиолетовое, а цитоплазма серая, темно-синяя либо голубая.Если атипичные лимфоциты появились у пациента, зараженного цитомегаловирусом или вирусом Эпштейна-Барра, то их называют клетками Дауни. Дело в том, что в 1923 году американский врач-гематолог с такой фамилией одним из первых увидел их в микроскоп и описал их свойства.Некоторые лимфоциты с атипичными свойствами также называют клетками Ридера, или амитотическими лимфоцитами. Их особенность состоит в том, что у них почкообразная форма и ядра с зазубренными контурами или перетяжкой посередине, разделяющей их на дольки.

Также среди атипичных лимфоцитов выделяют клетки Боткина-Клейна-Гумпрехта. Сразу три ученых описали специфические клетки, которые встречаются при лимфаденозах. Собственно, это не живые клетки, а их останки, которые какие-то время циркулируют в крови. За то, что их едва видно, эти лимфоциты еще называют клетками-тенями.

Где находятся атипичные лимфоциты:

Обнаруживают их главным образом в крови, так как именно кровь берут на анализ, чтобы изучить эритроциты, лейкоциты, лимфоциты и прочие важные показатели. Но в тканях их тоже немало.

В организме взрослого человека может быть 6% атипичных лимфоцитов, даже если этот человек полностью здоров. Когда же в связи с болезнью у пациента наблюдаются высокие лимфоциты в крови. то показатель атипичных может подниматься до 7-10% и выше.

Чем обусловлено появление атипичных лимфоцитов?

Когда человек болеет, и его организм нуждается в защите, иммунная система должна выработать достаточное количество лимфоцитов, чтобы они общими усилиями смогли справиться с агрессором. Увы, иногда ресурсов иммунитета на это не хватает. Клетки вырабатываются, однако не могут полноценно созреть и подготовиться к встрече с возбудителем или аллергеном. Так и получается, что в крови возрастает количество таких необычных лимфоцитов. Они выполняют нужные функции, но вот внешность у них не очень полноценна.

Стоит больному пойти на поправку, и картина крови тут же, всего за несколько дней, налаживается.

Иногда высокие лимфоциты в крови и появление атипичных форм наблюдаются не только при ОРВИ и аллергиях. но и в более серьезных ситуациях. К появлению их большого количества могут приводить коклюш, сифилис, туберкулез. лимфолейкоз, бруцеллез, токсоплазмоз, сывороточная болезнь.

Что делать, если в крови повышены атипичные лимфоциты?

Вариант только один: лечиться, принимая терапию, прописанную доктором. Это, в зависимости от природы заболевания, могут быть самые разные медикаменты и методики. Кроме того, по согласованию с лечащим врачом можно принимать препарат Трансфер Фактор .

Присутствие атипичных лимфоцитов указывает на то, что иммунная система человека работает в напряженном режиме. Это средство позволяет ей помочь. Оно создано на основе информационных молекул, извлеченных из коровьего молозива и яичных желтков. Молекулы обучают лимфоциты правильной работе, что ускоряет их образование, созревание и повышает работоспособность. Регулярный прием препарата помогает быстрее восстановить здоровье и вернуть нормальные показатели крови.

Атипичные лимфоциты

Атипичные или реактивные лимфоциты — это крупные лимфоциты, появляющиеся в результате антигенной стимуляции при инфекционных или аллергических заболеваниях. Атипичные лимфоциты в размере превышают 30 мкм, имеют неправильную форму.

Ядро атипичного лимфоцита может быть круглым, эллиптическим, с зазубренными контурами, расщелинами. Цитоплазмы больше чем в типичном лимфоците, выраженная базофилия (при окраске имеет насыщенно голубой цвет). Иногда присутствуют гранулы азурофильной зернистости, вакуоли. Чаще цитоплазма серого, голубого или темно-синего цвета.

Атипичные лимфоциты появляющиеся при цитомегаловирусной и эпштейн-барр вирусной инфекции называют клетками Дауни, по имени американского гематолога, описавшего их в 1923 году.

Реактивные лифоциты появляются в кровотоке в случае резкой необходимости в лимфоцитах. В таком случае лимфоциты просто не успевают «созреть» и приобрести полноценную морфологию. При стихании инфекционного процесс количество атипичных лимфоцитов резко снижается до нормы

Причины появления атипичных лимфоцитов в крови:
  • Лимфолейкоз.
  • Вирусная инфекция — инфекционный лимфоцитоз, инфекционный мононуклеоз, инфек­ционный гепатит, вирусная пневмония. экзантема в детском возрасте, паротит, ветрянка, цитомегаловирусная и эпштейн-барр вирусная инфекция.
  • Коклюш .
  • Бруцеллез.
  • Сифилис (на некоторых стадиях).
  • Токсоплазмоз.
  • Реакции на лекарства и сывороточная болезнь.

У здоровых людей может быть до 6% атипичных лимфоцитов в анализе крови .

Папилломы — ПРИЗНАК наличия паразитов в теле! На ночь нужно пить кружку.

Наталья уже как щепка (-25 КГ за месяц)! Для этого она дважды в день.

Лимфоциты в крови: что значит превышение нормы у ребенка и взрослого

Лимфоциты в крови?

Получая на руки результаты сданных анализов крови или мочи, большинство обывателей с растерянностью читают непонятные обозначения, проценты и определение граничных показателей. А видя диковинные подписи, паникуют, считая, что им поставили неизлечимый диагноз. На самом деле, все не так печально: это специалисты лаборатории расшифровали лимфоциты в крови, указывая на возможные отклонения от нормы медицинскими терминами. Что означают эти показатели? Норма лимфоцитов в крови

Лимфоциты являются представителями белых кровяных телец, иначе – лейкоцитов (WBC). Это разношерстная группа клеток, разнообразных по строению, функциям: эозинофилы, базофилы, моноциты, нейтрофилы и лимфоциты. Последние называют важнейшими клетками иммунной системы. Они первыми определяют «чужака», распознают инородные антигены, вырабатывая механизм адекватного ответа на проникновение инфекций, вирусов.

Лимфоциты подразделяются на: В-клетки. Сталкиваясь с антигенами, В-лимфоциты производят антитела против конкретного вида проникших инородных структур. Периферическая кровь содержит от 8 до 20%. Т-клетки (цитотоксические лимфоциты) составляют до 70%. NK (Natural Killers) – клетки-убийцы чужеродных тел. Их число в крови невелико – от 5 до 10%. Атипичные лимфоциты, которые представлены: О-лимфоцитами (нулевыми клетками), не имеющими характерных для вышеуказанных клеток рецепторов. К-, Ь-, ЕК-лимфоцитами, которые действуют нестандартно: изменяют свойства, завися от антигена. Где образуются лимфоциты? За воспроизводство этих клеток отвечает красный костный мозг и его лимфатический отдел кроветворения. Распространенное мнение, что лимфоциты «блуждают» по крови, убивая известные только им вирусы – ошибочно. В периферической крови находится около 2% всего запаса лимфоцитов, остальные содержит лимфоидная ткань, лимфатические узлы.

Уровень лимфоцитов у взрослых в крови составляет от 25 до 40% общего количества белых кровяных телец – лейкоцитов. У женщин и мужчин этот показатель имеет незначительные отличия. Изменения гормонального фона, вызванные менструацией, при беременности, сказываются на качественных показателях клинического анализа крови: в этот период происходит увеличение удельного веса лимфоцитов до 50 – 55%. Если полученные результаты указывают на повышенное содержание в крови или их уровень значительно ниже нормы, могут быть назначены дополнительные исследования: Иммунофенотипирование лимфоцитов периферической крови. Этот метод генных исследований позволяет выявить точную структуру клеток, разграничивая причины отклонений от нормы на реактивные и опухолевые. Наличие в крови пролимфоцитов, лимфобластов свидетельствует о патологии в организме. Анализ на активированные лимфоциты. Рекомендуется врачом при затяжной болезни вирусного/инфекционного характера для определения течения заболевания, а также оценки эффективности назначенного лечения.

Детский организм до 13 – 15 лет имеет «собственное мнение» о количестве лимфоцитов в крови. Так, у грудничка первые 4 дня жизни превалируют в крови нейтрофилы, а с 5 нормальный уровень лимфоцитарных клеток увеличивается до 40-50%. С целью защиты от вирусных инфекций, природа сделала так, что у детей в возрасте одного года этот показатель составляет около 60%, постепенно снижаясь к 4 – 6 годам. В этом возрасте показатели нейтрофилов и лимфоцитов сравниваются, а по достижении 12-ти лет среди лейкоцитов вновь преобладают нейтрофилы.

Повышенное содержание лимфоцитарных клеток в крови называется лимфоцитозом. Важнейшим вопросом при этом является установление причины такой клинической картины. Превышение нормы может быть вызвано: Реактивным ответом на чужеродные тела. Снижение показателей до нормального состояния происходит в течение месяца-двух после выздоровления. Злокачественными образованиями. Чтобы исключить данный диагноз, проводятся дополнительные биохимические исследования, анализы.

Лимфоциты повышены у взрослого

Повышение лимфоцитарных клеток крови взрослого человека не сопровождается симптомами, а узнают о нем зачастую при лечении инфекционного заболевания. Проявляется как: Абсолютный лимфоцитоз – общее количество иммунных стражей организма резко возрастает как ответ на заболевание или патологию. Относительный лимфоцитоз – изменяется удельный вес лейкоцитов в структуре лейкоцитарной формулы: не меняя абсолютного значения в крови, они «вытесняют» другие клетки, например, нейтрофилы.

Причинами являются: Инфекционные заболевания вирусного типа. Хронические болезни. Аллергический ответ на некоторые виды медицинских препаратов. Перенесенные заболевания, которые требуют времени на восстановление защитных сил организма. Сдавая кровь на анализ в этот период, будьте готовы встретить «странные» расшифровки на карточках результатов: плазматизация цитоплазмы лимфоцитов – означает изменение структуры клетки, приближая ее по свойствам к моноцитам; лимфоцитоз гранулопения при беременности показывает наличие воспалительных инфекций у будущей мамочки. Эндокринные сбои организма. Лейкозы и лимфолейкозы.

Причины появления у детей

Высокие лимфоциты у деток в крови вызваны зачастую вирусными заболеваниями, которые помогают вырабатывать пожизненный иммунитет к кори, краснухе, паротиту, ветрянке и пр. Абсолютное повышение иммунных клеток порой сигнализирует о начинающемся ОРВИ или гриппе. Когда лимфоциты и моноциты повышены, особое внимание следует обратить на вероятность такого заболевания, как мононуклеоз. Если длительное время после выздоровления этих клеток все еще много в крови, необходимо обратиться к гематологу или онкологу.

Лимфоцитопения – состояние, характеризующееся пониженным содержанием лимфоцитов. Отличается снижением общего количества этих клеток относительно других лейкоцитов. Например, нейтрофилов при пневмониях, гнойных инфекциях становится больше, а лимфоциты падают. Абсолютная лимфопения характерна при заболеваниях, когда костный мозг не может продуцировать иммунные тела или производит незрелые клетки.

Низкие лимфоциты у взрослых.

Наличие лимфоцитов в крови ниже нормы не вызывает тревоги, если этот показатель связан с вирусной инфекцией (ОРВИ) в самом разгаре. Организм усиленно подавляет инородные тела за счет воздействия имеющихся иммунных клеток, а новые еще не сформированы. Аналогичный механизм наблюдается у лиц, страдающих ВИЧ-инфекцией, когда истощенный организм не успевает восполнять запасы лейкоцитов. При нарушениях деятельности органов, отвечающих за производство/созревание лимфоцитарных клеток, наблюдается стойкое, длительное снижение от нормы:

при беременности; анемии; при лечении кортикостероидами; болезни Иценко – Кушинга; при онкологии или после проведенной химиолучевой терапии.

Источники: https://www.transferfaktory.ru/atipichnyie-limfotsityi, https://pro-analizy.ru/atipichnye-limfocity/, https://ebolanews.ru/2015/11/limfocity_v_krovi_chto_znachit_prevyshenie_normy_u_rebenka_i_vzroslogo_427027.html

Комментариев пока нет!

orebenkah.ru

Лимфоцитоз: что это, причины и разновидности, симптомы, диагностика и лечение

Содержание:

В организме человека постоянно происходит множество реакций в ответ на внешние условия. Иммунная система – первейший барьер, который встречает чужеродный агент на своем пути. Ее реакция – повышение или снижение определенных компонентов крови.

Лимфоцитоз – это увеличение содержания лимфоцитов в периферической крови свыше 37%. В разных источниках можно встретить разные показатели нормы лимфоцитов, в среднем их количество должно составлять 20-40%. В абсолютных числах лимфоциты составляют 0,8-3,6 грамм клеток в литре периферической крови.

Белые кровяные клетки (лейкоциты) составляют основное звено иммунитета, они могут сами обезвреживать чужеродные частицы, синтезировать специфические защитные белки (иммуноглобулины) и хранить память о встрече с возбудителем десятилетиями и даже всю жизнь.

Лимфоциты составляют до 40% всех белых кровяных телец, различают Т-лимфоциты, участвующие главным образом в клеточных реакциях на «чужое» и В-лимфоциты, вырабатывающие иммуноглобулины. В разные фазы заболевания количество тех или иных фракций лимфоцитов может отличаться, а их общее количество – повышается.

В процессе выздоровления лимфоциты постепенно приходят в норму, но довольно долгое время после перенесенной инфекции показатель может оставаться повышенным. Если лимфоцитоз присутствует постоянно без явной на то причины – это тревожный симптом, который может говорить о злокачественных опухолях и тяжелых нарушениях иммунитета.

Лимфоцитоз не считается самостоятельным заболеванием. Это явление сопровождает самую разную патологию и служит маркером неблагополучия или процесса выздоровления, поэтому при обнаружении повышенного количества лимфоцитов первостепенная задача – выяснить его истинную причину, в соответствии с которой врач будет определять характер лечения и его целесообразность.

Причины и виды лимфоцитоза: относительный, абсолютный

В зависимости от общего числа лимфоцитов в крови различают абсолютный и относительный лимфоцитоз.

Об относительном лимфоцитозе говорят тогда, когда их количество в литре крови остается неизменным, а меняется лишь процентное соотношение с другими фракциями белых клеток крови. Такой лимфоцитоз встречается намного чаще и обычно сопутствует увеличению или уменьшению общего количества лейкоцитов за счет других составляющих формулы белого ростка гемопоэза.

Абсолютный лимфоцитоз означает, что увеличена масса лимфоцитов в объеме крови, то есть абсолютное их число, вне зависимости от концентрации других клеток белого ростка, хотя на фоне роста числа лимфоцитов будет и увеличение общего количества белых клеток.

снимок: лимфоцитоз в крови

Относительный лимфоцитоз, как правило, является показателем выздоровления или недавно перенесенной инфекции, часто встречается и у взрослых, и у детей в начальной фазе вирусных заболеваний, поэтому при его обнаружении в анализе не нужно поддаваться панике, а стоит вспомнить, чем в ближайшее время пациент болел и нет ли каких-то новых симптомов начинающейся инфекции.

Если относительный лимфоцитоз в большинстве случаев не требует никакого лечения и является фактически отражением нормальной работы иммунитета при инфекции, то абсолютное увеличение количества лимфоцитов почти всегда считается указанием на серьезные изменения и потому этот показатель игнорировать нельзя.

Не являясь самостоятельной болезнью, лимфоцитоз сопровождает самые разные патологические изменения и особые состояния иммунной системы организма. Причины лимфоцитоза крайне разнообразны, но всегда есть «провоцирующий» агент – вирус, бактерия, клетка раковой опухоли.

Абсолютный лимфоцитоз может сопровождать:

  • Острые вирусные респираторные поражения;
  • Коклюш;
  • Внедрение цитомегаловируса, вируса гепатита;
  • Инфекционный мононуклеоз;
  • Туберкулез;
  • Поражение токсоплазмой;
  • Нарушение функции щитовидной железы и надпочечников;
  • Злокачественные опухоли, где основной субстрат – белые клетки крови (лимфолейкозы, парапротеинемии).

Относительный лимфоцитоз отражает вирусные инфекции, характерен для процесса выздоровления после них, обнаруживается у пациентов с ревматическими болезнями, увеличением селезенки. Относительный лимфоцитоз считается вариантом нормы у детей первых двух лет жизни.

В педиатрии относительное повышение лимфоцитов встречается довольно часто. Дети больше подвержены всевозможным инфекциям, в первые годы жизни только происходит становление иммунитета и встреча с самыми разными возбудителями. Лимфоцитоз появляется при респираторных инфекциях, краснухе, кори, скарлатине, ветрянке. Некоторые специалисты считают, что даже сильные физические нагрузки и частые стрессы у ребенка могут спровоцировать некоторые сдвиги в формуле крови.

У взрослых в числе основных причин лимфоцитоза также фигурируют инфекции, но при абсолютном увеличении числа лимфоцитов высока вероятность злокачественной опухоли системы кроветворения.

Проявления лимфоцитоза

Так как лимфоцитоз – не самостоятельная патология, а отражение других заболеваний, то проявления его не будут отличаться специфичностью. Симптомы зависят от разновидности лимфоцитоза и причины, его вызвавшей.

Если лимфоциты повышены вследствие вирусной инфекции, то признаков этого лабораторного синдрома ожидать не приходится. В клинике на первый план выступят повышение температуры, кашель, боль в горле, насморк сыпь, кишечные расстройства и т. д. При обследовании будет выявлен не только лимфоцитоз, но и другие отклонения в анализах.

В случае, когда меняется формула крови уже у переболевшего какой-то инфекцией взрослого или ребенка, состояние здоровья и вовсе будет близким к норме, симптомы заболевания будут отсутствовать.

Часто по поводу такого относительного лимфоцитоза переживают родители малышей, тщетно пытаясь обнаружить его причину и подвергая чадо бесконечным обследованиям. Если общее число белых клеток крови близко к норме, а факт перенесенной вирусной инфекции подтвержден, даже если она была месяц-два назад, излишне волноваться не стоит, достаточно лишь наблюдать за состоянием ребенка и через какое-то время анализ переделать.

Абсолютный лимфоцитоз может составить большую проблему. Если количество лимфоцитов повышается вследствие опухоли кроветворной ткани, то симптомы будут указывать на рост неоплазии. Появятся боли в костях, увеличится селезенка и печень, лихорадка станет постоянной, вероятны признаки нарушения свертываемости крови – кровоточивость, инфекции становятся частыми и более тяжелыми за счет общего снижения иммунитета.

Часто изменения количества лимфоцитов сочетаются с другими отклонениями в анализе крови.

Так, лимфоцитоз и нейтропения очень характерны для вирусных инфекций – ОРВИ, коклюш, дифтерия, сепсис и др. Также в период выздоровления можно выявить эту аномалию.

Некоторые иммунодефицитные синдромы тоже могут давать такую картину крови. Снижение числа сегментоядерных лейкоцитов приводит к увеличению процентного содержания лимфоцитов, поэтому при нейтропении лимфоцитоз часто носит относительный характер, а симптоматика будет вызвана не столько лимфоцитозом, сколько недостатком нейтрофилов – лихорадка, частые инфекции дыхательных и мочеполовых путей, грибковые поражения и др.

При сильной нейтропении и относительном лимфоцитозе высок риск вторичных инфекционных осложнений. Это явление нельзя считать ни нормой, ни реакцией на перенесенное заболевание, если абсолютное число сегментоядерных лейкоцитов снижается до полутора и менее в литре крови.

Сочетание «лимфоцитоз и моноцитоз», когда увеличивается еще и количество моноцитов, характерно для некоторых детских инфекций – корь, ветрянка, эпидемический паротит, в таких случаях оно не представляет существенной угрозы. При значительном увеличении клеток этих двух групп врач может заподозрить моноцитарный лейкоз, миелодиспластический синдром, которые относят к злокачественным опухолям кроветворной системы.

Инфекционный мононуклеоз – вирусная инфекция, сопровождающаяся значительным лимфоцитозом с появлением в крови атипичных мононуклеаров, предшественниками которых являются моноциты. Симптоматика заболевания сводится к катару верхних дыхательных путей, ангине, лихорадке, увеличению всех групп шейных, подчелюстных лимфоузлов, селезенки, возможна желтуха.

Сильные интоксикации и бактериальные инфекции способны вызвать увеличение общего количества лейкоцитов до больших цифр наряду с относительным или абсолютным лимфоцитозом, а в анализе выявится высокий лейкоцитоз. Такое явление часто встречается у маленьких детей. Присутствуют симптомы вирусной инфекции с повышением температуры в течение 3-5 дней, катаральные явления, возможна сыпь. Количество лейкоцитов может достигать 50х109 в литре крови, а лимфоцитов в ней будет до 80%.

Длительно существующий, своего рода хронический лимфоцитоз, может быть признаком вялотекущей инфекции, иммунодефицитного синдрома или начинающегося онкологического процесса. Обычно такие пациенты испытывают постоянную слабость, жалуются на длительную лихорадку, частые простуды.

С другой стороны, некоторое повышение лимфоцитов относительно других клеток белого ростка может наблюдаться годами у практически здоровых людей. Вероятно, это можно связать с индивидуальными особенностями организма, ведь показатели нормы, хоть и определены, все же могут быть индивидуальны для каждого из нас.

Диагностика и лечение лимфоцитоза

Для того, чтобы выявить увеличение числа лимфоцитов, нет необходимости проходить сложные и многочисленные анализы, достаточно сдать общий анализ крови и посмотреть на лейкоцитарную формулу. При изменениях в числе клеток врач может назначить повторное исследование с подсчетом абсолютных цифр лимфоцитов.

В норме лимфоциты составляют примерно 20-40% от всего количества клеток белого ростка костного мозга или 0,8-3,6 грамм в литре крови. Отклонения сопоставляются с особенностями клинической картины и жалобами пациента.

Таблица: нормы лимфоцитов и других лейкоцитов для детей по возрасту

В неясных случаях, при подозрении на опухоли может быть проведено иммунофенотипирование, определение некоторых групп антител, поиск вирусных или бактериальных антигенов. Диагностический поиск будет зависеть от предполагаемой причины лимфоцитоза.

Лечения как такового сам по себе лимфоцитоз не требует. Его целесообразность и вид определяются первопричиной. Если пациент выздоравливает после инфекции и жалоб не предъявляет, то лишь лабораторный показатель лечить не стоит. Через несколько месяцев он точно придет в норму, а может и раньше.

Когда лимфоциты свидетельствуют об острой инфекции, врач назначит противовирусные препараты или антибиотики, противогрибковые средства, обильное питье, жаропонижающие средства и т. д.

Если при знакомых всем ОРВИ лечение примерно одинаковое для большинства больных, то в случае подтверждения злокачественной опухоли появится необходимость в назначении цитостатиков, иммунодепрессантов, дезинтоксикационной терапии, а для профилактики инфекций будут использованы антибактериальный средства и фунгициды.

Вопрос профилактики лимфоцитоза – это, скорее, предупреждение появления его причин. Так, чтобы избежать колебаний числа лимфоцитов, следует укреплять иммунитет здоровым образом жизни и закаливанием, в холодное время года, когда вероятность заражения респираторными вирусами очень высока, нужно избегать мест большого скопления людей, принимать витамины и микроэлементы.

Если инфекция настигла, и в крови диагностирован лимфоцитоз – паниковать не стоит, ведь после выздоровления показатели крови вернутся в норму. Это же касается и малышей, особенно склонных к частым простудам.

В случае, когда появляется немотивированная слабость, длительная лихорадка и другие ничем необъяснимые симптомы, стоит сдать общий анализ крови, и если в нем будет значительный прирост лимфоцитов, то врач никогда не оставит его без внимания, назначив тщательное обследование и необходимое лечение.

Видео: доктор Комаровский о лимфоцитах и других лейкоцитах

Видео: когда это опасно? Лимфоцитоз и онкология

Перейти в раздел:

  • Заболевания крови, анализы, лимфатическая система

Шаг 1: оплатите консультацию с помощью формы → Шаг 2: после оплаты задайте свой вопрос в форму ниже ↓ Шаг 3: Вы можете дополнительно отблагодарить специалиста еще одним платежом на произвольную сумму ↑

sosudinfo.ru


Смотрите также