Кт забрюшинного пространства

КТ забрюшинного пространства
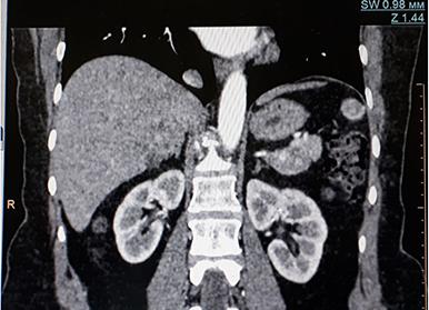
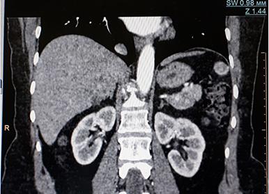
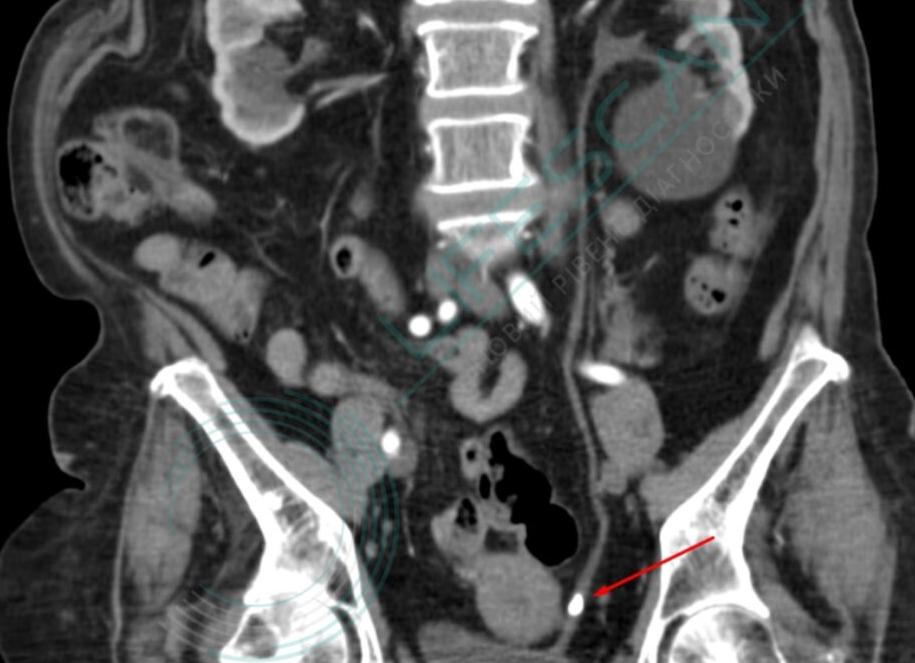
КТ забрюшинного пространства — это метод исследования тканей с использованием рентгеновских лучей, при котором доктор получает послойное изображение нужных органов в заданной плоскости. Высокая точность и информативность этого метода исследования позволяет с большой вероятностью поставить верный диагноз и составить правильную схему лечения.







