
Вредно ли МРТ головного мозга?
МРТ – магнитно-резонансная томография – технически сложный метод диагностики, который часто используют, чтобы подтвердить или опровергнуть заболевания головного мозга. Все особенности воздействия магнитного поля на организм человека еще до конца не изучены, поэтому многих интересуют польза и вред подхода для обычного взрослого или пожилого человека, ребенка, беременной женщины. Пациентов, вынужденных проходить процедуру систематически, интересует, как часто можно без рисков делать МРТ головного мозга и каковы могут быть последствия. Как уверяют специалисты, опасаться нечего. Надо только помнить о противопоказаниях, предостережениях и базовых правилах касаемо методики.
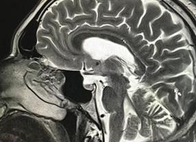
Немного о МРТ исследовании
С помощью МРТ можно в мельчайших подробностях «увидеть» и оценить структуру тканей головного мозга, не используя для этого инвазивные манипуляции.
В ходе сеанса пациент не испытывает боли. Дискомфорт может быть вызван только звуком, который издает прибор, или необходимостью в течение длительного времени прибывать в неподвижном положении. Зато в результате диагност получает очень четкую картину того, что происходит в головном мозге пациента.
Для проведения диагностики используют такие виды аппаратов:
- закрытого типа – классический вариант устройства, представленный трубой, открытой с обеих сторон. Магнитные элементы расположены внутри этого тоннеля. Стол с лежащим на нем пациентом въезжает внутрь конструкции, после чего начинается сбор информации;
- открытого типа – диагностическое приспособление, магнитные элементы которого расположены по дуге. Относительно него размещается стол, на котором лежит пациент. Прибор отличается меньшей мощностью по сравнению с классическим вариантом. Зато он не пугает людей, страдающих клаустрофобией, и может быть использован для работы с пациентами, габариты которых не позволяют им поместиться в трубе.
Благодаря проведению МРТ головного мозга можно выявить последствия черепно-мозговой травмы, признаки инсульта и дисциркуляторной энцефалопатии.
Подход применяют для подтверждения болезни Альцгеймера и оценки прогрессирования рассеянного склероза. Диагностика показана при подозрении на наличие опухоли, очага воспаления, проблем с кровообращением, инфекционного поражения тканей.
Про информативность и выявление патологий при помощи методики вы узнаете из этой статьи.
Облучение электромагнитными волнами
Для проведения обследования используются магнитные поля, не способные вызывать у человека никаких ощущений. Они оказывают особое воздействие на атомы водорода, которые есть во всех клетках тела благодаря присутствию в них воды. Облучение задает этим элементам ориентир и заставляет совершать колебательные движения. Это приводит к выбросу энергии, которую и засекает система сбора данных томографа.
Когда проводят процедуру МРТ головного мозга, пациенту дают в руки пульт, чтобы в случае возникновения тревожности или неприятных ощущений он подал оператору сигнал. Тогда обследование прекращается до выяснения обстоятельств проблемы.
Процессы, происходящие в тканях мозга под воздействием магнитного поля, способны вызывать незначительный нагрев массы. Но это не является критичным или опасным и даже никак не проявляется для человека.
Про подготовку к прохождению процедуры вы узнаете здесь.
Вредно ли делать МРТ головного мозга
Во время процедуры компьютерной томографии или рентгеновского исследования используется ионизирующее излучение. Оно может стать причиной образования свободных радикалов в тканях организма, которые вызывают гибель здоровых колоний и провоцируют формирование злокачественных опухолей. Это не так страшно, учитывая объем ионов и продолжительность воздействия, но все же представляет потенциальную опасность. По этой причине манипуляции проводятся только в случае крайней необходимости, а диагносты при этом облачены в защитные костюмы.
Отвечая на вопрос, вредно ли МРТ для человеческого организма, врачи в качестве довода в пользу исследования приводят простой факт. Современные люди постоянно находятся под воздействием магнитных полей, исходящих от различных технических устройств. За все это время их негативное влияние на тело, а, значит, и вред МРТ, не было доказано. Несмотря на это, существует ряд нюансов при проведении процедуры, о которых надо помнить.
Частота исследований головного мозга
То, сколько раз нужно делать томографию, может решить только врач. МРТ считается самым безопасным из всех наиболее информативных методов исследования головного мозга. Оптимальной частотой манипуляций считается та, которая позволяет своевременно получать данные об изменениях в состоянии пациента. Она может быть любой, но даже в сложных ситуациях подход редко применяют чаще 1 раза в неделю.
Примерная периодичность процедур в зависимости от диагноза:
- дисциркуляторная энцефалопатия, головокружения на фоне сосудистых проблем – не чаще 1 раза в год. В случае отсутствия быстрых критических изменений достаточно 1 процедуры в 4-5 лет;
Подробнее про дисциркуляторную энцефалопатию вы узнаете из этой статьи.
- гидроцефалия – при необструктивных формах достаточно раза в 4-5 лет. При обструктивных требуется динамический мониторинг, частота устанавливается врачом;
- инсульт – при ишемическом МРТ проводят для подтверждения диагноза и оценки проведенной терапии, а далее – раз в 4-5 лет для профилактики повторного приступа. Кровоизлияние в мозг может нуждаться в динамическом контроле с целью исключения возобновления кровотечения;
- рассеянный склероз – 1-2 раза в год в зависимости от скорости распространения патологического процесса и степени проявления симптомов;
- болезнь Альцгеймера – МРТ проводят единожды для подтверждения диагноза;
- опухоли головного мозга – до 4 раз в первый год, далее 1 раз в 6-12 месяцев при отсутствии роста образования;
- контроль после операции –3-4 раза в первый год, после чего 1 раз в 12-18 месяцев.
Даже столь безопасную и информативную процедуру специалист не станет назначать несколько раз подряд без необходимости. Ее стоимость довольно высока – цены начинаются от 2-2,5 тыс. рублей в регионах. При этом количество мест, предусмотренных бюджетной программой, сильно ограничено. Если специалист платной клиники раз за разом направляет в диагностический кабинет, стоит задуматься над получением консультации у другого специалиста.
Есть ли опасность в проведении обследования детям и беременным
Несмотря на отсутствие сведений о негативном влиянии магнитных полей на плод, в первый триместр беременности диагностику МРТ стараются не проводить.
Исключения составляют случаи, когда другими способами нет возможности поставить диагноз, а состояние женщины угрожает ее здоровью или жизни. Во 2-м и 3-м триместрах процедура не запрещена, но решение о возможности ее проведения принимает врач.
Больше про МРТ во время беременности вы узнаете здесь.
Опасно ли МРТ головного мозга в детском возрасте
Никаких признаков негативного воздействия магнитного излучения на растущий организм не выявлено.
Правда, с применением подхода могут возникнуть проблемы – не каждый ребенок способен неподвижно пролежать в трубе в течение 20-40 минут. Детям особенно не нравится гудящий звук, который издает устройство. В случае с малышами в возрасте до 5 лет показано применение общего наркоза. Такая манипуляция сама по себе представляет опасность даже для взрослого.
Последствия при использовании контрастных веществ
В ряде случаев для уточнения диагноза МРТ проводят с внутривенным введением контраста. Это позволяет обнаружить опухоль или аневризму, оценить состояние сосудов.
Вещества, применяемые для этих целей, многократно исследованы и не представляют опасности для организма. При правильном проведении манипуляции негативные последствия для пациента исключены.
Больше о проведении процедуры с контрастом вы узнаете из этой статьи.
Возможные осложнения
Негативные последствия возможны лишь в случае пренебрежения правилами проведения манипуляций и игнорирования противопоказаний. Потенциальные побочные эффекты от процедуры никак не связаны с влиянием на организм магнитного излучения. Это может быть приступ клаустрофобии или паническая атака.
Противопоказания к проведению МРТ
Наличие в теле человека металлических осколков, ферромагнитного аппарата Илизарова, имплантов или кардиостимулятора исключает возможность применения метода. Противопоказание является абсолютным, но с оговоркой. В последнее время производители стали выпускать внедряемые в тело человека изделия из пластика, что позволяет обойти этот момент.
От МРТ головного мозга придется отказаться при:
- наличии инсулинового насоса, протеза на клапане сердца или нервного стимулятора;
- установленной кровоостанавливающей клипсе;
- сердечной недостаточности;
- психических расстройствах;
- крайне тяжелом состоянии пациента (возможны исключения);
- наличии на теле человека татуировок, которые были сделаны веществами с повышенным содержанием металлов – это может стать причиной ожогов.
Люди с клаустрофобией проходят МРТ после приема успокоительных препаратов. В ряде случаев приходится прибегать к общему наркозу. Пациенты с массой тела, не позволяющей использовать классическую модель в виде трубы, проходят обследование на открытом томографе.
На сегодняшний день ученые не выявили негативного влияния магнитных полей, излучаемых томографом, на тело человека. При этом нет никакой гарантии, что опасность полностью отсутствует. Возможно, о ней просто пока не знают. Если врач рекомендует пройти исследование для постановки диагноза или отслеживания динамики проводимого лечения, это стоит сделать. Просто не нужно злоупотреблять манипуляцией.
(Пока оценок нет) Загрузка…
Опасно ли делать мрт головного мозга
Магнитно-резонансная томография как вид диагностического обследования человека широко применяется в медицинских целях на протяжении последних двух десятков лет. За это время сфера ее применения расширилась настолько, что в некоторых случаях она является главным и безальтернативным способом выявления патологий и подтверждения диагноза.
Оглавление:
Вреден ли делать МРТ для организма и здоровья человека? Характер влияния установки зависит от того воздействия, которое медицинское оборудование оказывает на организм пациента. Работа томографа основана на принципе ядерно-магнитного резонанса.
Иными словами, магнитное поле, появляющееся в результате проведения диагностики, воздействует на атомы водорода в теле человека. Под действием электромагнитных волн атомы водорода начинают колебаться. Данный факт позволяет увидеть то, в каком состоянии находятся внутренние органы пациента. Облучение радиацией не происходит. Поэтому не стоит путать магнитную томографию с рентгеном.
Не забывайте, что магнитно-резонансную томографию следует делать только по рекомендации врача. Существуют разные виды и цели проведения диагностики, и исключительно специалист должен решать, когда и какую область вашего организма следует изучить посредством этого исследования.
Магнитно-резонансная томография – прекрасный способ получить данные о том, в каком состоянии находится организм человека. От этого вида исследования зависит многое, ведь от верной и своевременной постановки диагноза зависит, сможет ли пациент продолжать здоровую полноценную жизнь.
Вредно ли МРТ обследование для здоровья?
Влияние на наш организм сильного электромагнитного поля – фактор, который останавливает многих пациентов, направленных на обследование при помощи рассматриваемого метода. Однако не существует научного факта, доказывающего вред томографии. Человеку, помещенному в установку, может стать плохо от начавшегося у него приступа клаустрофобии, однако в этом случае необходима предварительная консультация с врачом, который:
может направить больного на процедуру, проводимую с использованием открытого аппарата;
уберет из-под головы пациента специальную подушку или включит вентилятор для притока свежего воздуха и облегчения состояния обследуемого;
при возможности позволит пациенту лежать на животе во время процедуры;
предупредит о наличии тревожной кнопки и возможности прерывания исследования по просьбе больного.
В случае ярко выраженной клаустрофобии оптимальным вариантом становится принятие седативных препаратов перед проведением процедуры, безопасных для обследуемого.
Вредно ли МРТ обследование?
Показанием к проведению такого вида процедуры могут быть жалобы пациента на боль в голове, периодические головокружения и другие принятые во внимание врачом симптомы. При этом возникает закономерный вопрос – не вредит ли здоровью МРТ головного мозга?
При проведении обследования пациент расположен на движущейся площадке специального аппарата, который создает сильное электромагнитное поле. Изображения внутреннего устройства мозга создаются за счет электромагнитного импульса, не наносящего никакого вреда как мозгу человека, так и его организму в целом.
Негативный эффект может возникать при необходимости использования специального вещества. Перед обследованием персонал клиники в обязательном порядке выясняет у обследуемого, нет ли у него аллергической реакции на составные вещества вводимого препарата.
Для МРТ головного мозга противопоказанием может быть:
имплантированные в тело кардиостимуляторы, ферромагнитные имплантаты среднего уха и другие инородные тела искусственного происхождения в организме, за исключением титановых элементов;
фобия замкнутого пространства (в зависимости от цели обследования нахождение в аппарате может продолжаться до сорока минут);
иные психические недомогания обследуемого.
Магнитно-резонансная томография мозга может проводиться без вреда для организма обследуемого настолько часто, насколько это требуется для лечения болезни и постановки диагноза. Частое использование такого метода обследования не может повлиять на здоровье пациента. Никаких ограничений, кроме описанных выше, нет.
В стационарных условиях МРТ головного мозга может проводиться несколько раз за месяц. При этом единственное ограничение по его использованию – занятость томографа другими исследованиями и время на расшифровку отдельных снимков.
Вредно ли МРТ обследование для здоровья человека?
Такое обследование назначается лечащим врачом по определенным показаниям в следующих случаях:
подозрение на грыжу позвоночника или наличие предпосылок к ее появлению;
при необходимости обследования на наличие опухолевых процессов.
При проведении процедуры стол с обследуемым постепенно движется вдоль сканирующего элемента. Диагностика каждого отдела позвоночного столба может достигать 30 минут, а все обследование – часа. При этом на руках у врача окажется информация о существующих паталогиях в нескольких плоскостях. Это позволяет с высокой степенью уверенности поставить диагноз и провести соответствующий курс лечения.
МРТ позвоночника является полностью безопасным видом обследования, поскольку в его основе лежит электромагнитное излучение, не наносящее вреда организму человека. К тому же это довольно визуализирующий метод, позволяющий получить всю необходимую информацию, тогда как остальные методы в некоторых случаях менее полезны и информативны.
Что безопаснее для организма: сравнение воздействия МРТ и рентгена
При сравнении двух видов диагностического обследования человека – магнитно-резонансной томографии и рентгена – можно отметить следующее.
При рентгенографическом обследовании человек подвержен влиянию ионизирующего потока в малых дозах
Рентген обладает накопительным эффектом. При проведении нескольких рентгенографических процедур в короткий промежуток времени, недостаточный для исчерпания предыдущей дозы, может привести к нежелательным повреждениям тканей.
Рентген может быть строго противопоказан пациентам в некоторых случаях, связанных с состоянием здоровья обследуемого, и запрещен беременным женщинам.
При необходимости проведения магнитно-резонансной томографии, некоторые пациенты проецируют негативные эффекты от рентгена и на аппарат МРТ, что в корне неверно. Характер действия обследующей аппаратуры совершенно различается, и угрозы здоровью обследуемых не возникает ни при разовой процедуре. ни при нескольких следующих друг за другом. Источников радиоактивного излучения в конструкции аппарата нет в принципе.
Вредно ли делать МРТ ребенку: советы для родителей
Часто врачи назначают магнитно-резонансную томографию детям.Некоторые родители с опаской относятся к такой диагностике и считают, что она может нанести вред их ребенку. Так ли вредна МРТ для детей?
Для детей процедура магнитно-резонансной томографии проводится по строгим клиническим показаниям. Такая процедура позволит точно диагностировать наличие заболеваний ребенка. Нередко ее используют и при выяснении эффективности терапевтического лечения.
Поскольку при проведении магнитно-резонансной томографии не применяется рентгеновское излучение, оказывающее негативный эффект, то она абсолютно безопасна для детей младшего возраста, однако специалисты могут сообщить вам о необходимости применения наркоза. Это условие возникает из-за:
чрезмерной подвижности малыша;
его нежелания находиться в одном и том же положении;
возможного испуга в процессе проведения диагностики.
Если МРТ делается ребенку старшего возраста, родители должны его успокоить и провести предварительную беседу, рассказав об особенностях предстоящей процедуры, ее важности, безопасности и безболезненности.
Громкий звук, пугающий или доставляющий дискомфорт, может быть заглушен – для этого применяют беруши. Чаще всего специалисты стараются избежать исследования маленьких пациентов методом магнитно-резонансной томографии, поскольку подобное обследование сопряжено с рядом неудобств, с трудом переносимых малышами. Если без МРТ не обойтись, врачи используют успокоительные препараты и современные анестетики, безвредные для организма ребенка.
Вредно ли часто делать МРТ для здоровья человека: особенности процедуры и возможные противопоказания
Современной науке не известно ни одного случая, когда бы резонансная томография вредила состоянию человека или влияла на его самочувствие как при разовом,так и при частом проведении. Так что, если вы задаетесь вопросом «Вредно ли часто делать МРТ?» То мы вам ответим, что нет и врачебная практика подтверждает это высказывание.
Однако существует ряд временных и абсолютных показаний к проведению этого типа исследования. Специалисты не рекомендуют проводить данный вид диагностики женщинам на первом триместре беременности. Именно в первые три месяца происходит формирование важных органов плода. В это время он наиболее уязвим к внешним раздражителям и излучению.
При строгих показаниях врача на проведение МРТ дата обследования не переносятся, а при желании проведения диагностики лучше отложить ее на более поздний срок беременности. Но это предостережение – подстраховка, так как ученые не определили является ли действие магнитно-резонансной томографии вредным для эмбриона.
При проведении МРТ не излучается радиация, поэтому не существует ограничений на повторные исследования, в отличие от других методов диагностики, например компьютерной томографии.
Резонансная томография – это исследование, которое проводится совершенно безболезненно. Оно не потребует от вас сложных действий. Все, что пациент должен делать – просто лежать в специально предназначенной для этого трубе. Однако существует группа людей, для которых резонансная томография может показаться небезопасной процедурой.
В первую очередь, это люди страдающие клаустрофобией (боязнью замкнутых пространств). В трубе достаточно немного места, поэтому у пациента может произойти приступ паники. В любом случае, если вам незнакома клаустрофобия, но нахождение в трубе вам неприятно, просто сообщите об этом специалисту.
Людям имеющим в организме элементы из металла тоже лучше не делать МРТ. Искусственные суставы, коронки, импланты частей скелета могут значительно навредить пациенту. Внутри томографа имеется мощное магнитное поле, оно будет воздействовать на металлические элементы вашего организма. Это может угрожать жизни.
При проведении магнитно-резонансной томографии не излучается радиация, поэтому не существует ограничений на повторные исследования, в отличие от других методов диагностики, например КТ.
В остальных случаях врачи не видят противопоказаний к исследованиям проводимым с помощью магнитной томографии. Магнитно-резонансная томография – это передовой метод диагностики, способный выявить сложные заболевания на начальном уровне. Многие люди ошибочно полагают, что МРТ вредно для здоровья.
Небольшой список противопоказаний и отсутствие осложнений после процедуры делают данный вид исследования наиболее приемлемым в большинстве случаев. Можно с уверенностью утверждать, что на сегодня магнитно-резонансная томография – наиболее безопасное из всех существующих методик диагностирования заболеваний различных органов как для детей, так и для взрослых
Другие статьи
Хотите узнать больше или заказать
Укажите ваше имя, номер телефона и дополнительную информацию по желанию,
и мы свяжемся с вами и проконсультируем по всем вопросам.
Источник: https://mrimrt.ru/stati/vredno_li_mrt_dlya_organizma_cheloveka/
Мифы о вреде МРТ головного мозга
МРТ как метод диагностики заболеваний (см. Какие заболевания выявляет МРТ) широко используется в лечебных, государственных и частных учреждениях. Часто врачи (клиницисты) ставят магнитно-резонансное исследование выше физикального обследования пациента, лабораторных данных, отдавая ему (исследованию) приоритет в постановке диагноза. В росте количества МР-исследований играет роль увеличение количества томографов. Так, если еще 10 лет назад МРТ были только в федеральных центрах и крупных городах, то сейчас областные центры и даже периферийные клиники могут похвастаться современным оборудованием. Данный факт одновременно радует и настораживает, ведь назначение МР-исследований контролируется слабо. Вредна ли МРТ для здоровья?
МРТ: кратко о физических основах
Основа МРТ — исследование протонного состава тела. Так, организм человека гидратирован, вода составляет подавляющую часть его массы. Молекулы воды находятся в организме не «сами по себе», а в виде ионов (положительно заряженного протона, отрицательно заряженного гидроксил-иона).
Вода и протоны есть практически во всех тканях (меньшее количество содержат кости). При воздействии на человека магнитного поля протоны выстраиваются в одном из возможных направлений (а не хаотично, как происходит в обычной обстановке – вне воздействия магнита), формируя «отклик», на основе которого после сложной компьютерной обработки формируется изображение.
Знаете ли вы, что МРТ сосудов мозга диагностирует практически все сосудистые болезни мозга?
МРТ: влияние на здоровье
Чем вредна МРТ? Обследование может отрицательно повлиять на здоровье обследуемого в случаях наличия в его теле металлических объектов (имплантов) из магнитных сплавов: эндопротезов суставов, металлоконструкций после вмешательств травматологов, металлических клипс на сосудах, кардиостимулятора (см. Показания и противопоказания к проведению МРТ).
При нахождении в магнитном поле эти объекты нагреваются и смещаются, что создает болевые ощущения и может быть опасно для жизни (так, при смещении металлической клипсы, наложенной на сосуд, может произойти нарушение целостности его стенки, разрыв сосуда и кровотечение). При наличии элекрокардиостимулятора у пациента нарушается его (кардиостимулятора) работа, сбивается сердечный цикл. Итогом может стать нарушение ритма, асистолия и смерть (при неэффективности реанимации).
Кроме того, при воздействии магнитного поля разогреваются и ткани организма: чем больше напряженность магнитного поля, тем выше нагрев. Если при стандартных 1,5 Тесла (томографы такой мощности используются в большинстве клиник) нагрев невелик, буквально доли градуса, то при 3 и более Тесла (такие томографы используются в основном в исследовательских центрах) нагрев тела выражен больше.
Отдельно рассматриваются осложнения, связанные с введением в сосудистую систему контрастных веществ. Хотя современные контрастные средства (например, гадовист) редко дают аллергические реакции, полностью их возникновение исключить нельзя. Кроме того, не исключены осложнения, связанные с инъекцией и непосредственным введением препарата. Это:
- эмболия (воздушная);
- инфекционные осложнения (местные – нагноение места инъекции, флебиты; общие – сепсис, токсический шок);
- введение контраста мимо вены (хотя последнее осложнение является, скорее, ятрогенным – от недостатка опыта или внимания персонала).
Вредно ли делать МРТ головного мозга, шеи, позвоночника?
При отсутствии противопоказаний (магнитные металлические объекты, кардиостимулятор, непереносимость контраста при контрастных исследованиях) МРТ можно проводить без ограничений. В отличие от рентгеновских исследований (компьютерная томография, классическая рентгенография) МРТ не сопровождается облучением, не несет лучевой нагрузки. Таким образом, потенциальный вред от МРТ головного мозга, шеи, позвоночника, конечностей, суставов гораздо ниже по сравнению с КТ и не связан с воздействием на организм радиации.
МР-исследования головы применяются с целью диагностики инсультов, объемных образований, вариантов развития интракраниальных сосудов (в т. ч. аневризм), травм (гематом в паренхиме, оболочечных), субарахноидального кровоизлияния. МРТ не несет никакого вреда организму даже при повторных и частых исследованиях (разумеется, при отслеживании противопоказаний). Мифический «вред» от МРТ головного мозга и МРТ других отделов тела – не более чем распространенное заблуждение. Польза же от МР-исследований несомненна – это и своевременно выявленная опухолевая и сосудистая патология, вовремя назначенное лечение и благоприятный прогноз в итоге.
Подведем итог
Вредное влияние МРТ на здоровье в значительной мере преувеличено. По сравнению с рентгеновскими методами диагностики оно невелико. МРТ не сопровождается облучением ионизирующего характера, не оказывает вредного влияния при беременности, может широко использоваться в диагностике заболеваний и состояний, при которых неэффективны КТ и рентгенография. МРТ не является вредным методом исследования. В большинстве случаев польза, которую несет МРТ (своевременная диагностика), в значительной мере превосходит риск от вероятных осложнений.
Источник: https://golmozg.ru/diagnostika/vred-ot-mrt.html
Вредно ли МРТ головного мозга
В течение последних двух десятков лет современная медицинская наука продвинулась далеко вперед, оставив позади старые методики аппаратной диагностики всех внутренних органов. Появившиеся принципиально новые техники исследования функциональной деятельности человеческого организма включают такие способы, как УЗИ, а также компьютерную и магнитную томографию. Последний метод обследования имеет большую ценность в диагностировании заболеваний головного мозга, так как с его помощью возможно быстро выявить формирование патологического процесса и своевременно провести необходимые лечебные мероприятия.
Однако при получении направления на резонансное исследование каждого пациента мучает вопрос о том, вредно ли МРТ головного мозга. В нашей статье мы хотим предоставить точную информацию о принципе работы магнитного томографа, его влиянии на состояние здоровья человека. Рассказать о том,когда стоит делать МРТ головного мозга, а также об особенностях проведения данной диагностической процедуры и наличии противопоказаний для ее использования.
Принцип метода МРТ
Диагностическая аппаратура работает на основе влияния электромагнитного поля на атомы водорода, содержащиеся в клетках человеческого организма. Томограф имеет форму космического объекта и состоит из таких элементов:
- выдвижного стола, на котором располагается исследуемый пациент;
- сложной системы сканеров, излучающих электромагнитные волны различной длины.
Колебательные (или резонансные) движения тканей позволяют получить отражение внутренних систем человеческого тела на мониторе аппарата. В результате его обработки с помощью компьютерных программ отсканированные структуры спинного и головного мозга, внутренних и опорно-двигательных органов получают графическое или объемное детальное изображение. Основное применение метода МРТ – это:
- выявление ранних стадий патологических процессов;
- уточнение и подтверждение поставленного диагноза;
- промежуточный контроль проводимого курса лечебной терапии.
В случае необходимости полученное графическое изображение головного мозга пациента увеличивают в размерах, переносят на бумагу и цифровые носители
Данное исследование отличается множеством преимуществ перед другими диагностическими методиками, в частности:
- полной безопасностью (его проведение назначается даже детям);
- получением более точных итоговых данных (с помощью магнитно-резонансной процедуры можно заметить малейшие нарушения структуры головного мозга и изменения в его коре);
- длительность обследования не превышает 1 часа, и сразу после его окончания пациент получает снимок.
А существует вред от МРТ или нет, зависит от соблюдения пациентом всех указаний медицинских специалистов.
В каких случаях о вреде диагностики не задумываются?
В отличие от процедуры компьютерной томографии, при выполнении которой используется радиоактивное излучение, негативно влияющее на организм пациента, МРТ абсолютно не вреден по отношению к ребенку и беременным женщинам.
Проведение исследования необходимо при наличии у человека:
- травмы головы;
- острых головных болей;
- судорожного синдрома (непроизвольных мышечных сокращений);
- кратковременных потерь сознания (обмороков);
- повышенного внутричерепного давления;
- речевой дисфункции;
- потери зрения;
- воспалительных процессов в головном мозге (к примеру, менингита);
- тромбоза, атеросклероза или стеноза сосудов;
- сотрясения головного мозга.
Особенности выполнения диагностики
Направление на проведение МРТ головного мозга дает лечащий врач, который должен учитывать некоторые нюансы. Не допускается наличие у пациента металлических имплантатов, специальных медицинских приспособлений и аппаратов:
- Елизарова;
- инсулиновых помп;
- кардиостимуляторов;
- искусственных сердечных клапанов;
- протезированных суставов;
- титановых пластин;
- брекетов;
- металлических зубных протезов.
Больному, имеющему явными признаки клаустрофобии (боязни замкнутого пространства), накануне процедуры советуют принять успокаивающие медикаментозные препараты.
Перед выполнением процедуры пациент должен надеть соответствующие вещи, а медицинский персонал предупреждает его о возможности использования «тревожной кнопки», позволяющей остановить обследование
Проведение магнитной томографии противопоказано при таких патологиях:
- недостаточной почечной функции;
- различных психических расстройствах;
- бронхиальной астме.
Вредное влияние на здоровье больного от МРТ головного мозга
Использование сильного излучения электромагнитного поля, которое образуется при работе мощных турбин томографа, заставляет задуматься многих пациентов об отказе от диагностической процедуры. Однако наука доказала безопасность МРТ для человеческого организма – излучение при выполнении такой методики не превышает порции излучения, которое человек получает при использовании мобильного телефона! Из этих результатов следует, что негативного влияния электромагнитных волн на человеческий организм фактически не существует.
МРТ головного мозга можно делать несколько раз в год при наличии показаний для определения точного диагноза, проведения мониторинга степени тяжести течения заболевания и эффективности лечебных мероприятий.
Может ли иметь вредные последствия использование контрастирования при МРТ?
Сканирование головного мозга с использованием контрастного вещества, которое вводят пациенту внутривенно, используют для выявления опухолевых процессов и визуализации сосудистой системы. Чаще всего его назначают для диагностирования онкологических заболеваний и оценивания методов лечения.
Проведение такого обследования может понадобиться неоднократно. Многие пациенты очень часто заявляли о возникновении сильных болевых ощущений в голове и ухудшении общего самочувствия после проведения МРТ. Однако на самом деле сама диагностическая процедура не несет негативного влияния. Появление подобных признаков связано с побочным действием контраста и зависит от индивидуальной восприимчивости пациента этого препарата, которое проявляется головокружением, головной болью, жаром.
Контраст, который используют для МРТ головного мозга, содержит галидоний – вещество, проникающее в ткани органа при его обследовании и улучшающее изображение на экране аппарата путем воздействия на электромагнитные волны и атомы водорода
Аллергическая реакция организма возникает достаточно редко. Введение контрастного вещества запрещено пациентам с тяжелой патологией органов мочевыводящей системы. При незначительных нарушениях выделительной функции перед проведением контрастной томографии необходимо консультироваться со специалистом-урологом.
Сравнение МРТ, рентгенографии и КТ в отношении вреда для организма
Сравнивать процедуру магнитно-резонансной томографии и обычной рентгенограммы едва ли возможно. В первую очередь итоговые данные рентгеноскопии уступают сканированию органов в информативности. В некоторых случаях проведение компьютерной томографии предоставляет достаточные результаты, ее стоимость значительно ниже электромагнитной диагностики, однако вред для здоровья больного значительно выше.
Конечно же, воздействие ионизирующего облучения, которое используют для получения рентгеновского снимка строго регламентировано, и нормативы дозы радиации рассчитаны для разной возрастной категории и зависят от состояния здоровья человека. Медицинские специалисты, направляющие пациентов на КТ или рентген, рассчитывают порции излучения и определяются, сколько раз можно провести диагностическую процедуру, чтобы не навредить больному.
Заключение
В завершение всей вышеизложенной информации хочется еще раз подчеркнуть, что вредное воздействие на состояние здоровья человека МРТ значительно преувеличено. По сравнению со многими другими диагностическими процедурами влияние электромагнитного сканера невелико. Оно не сопровождается ионизирующим облучением, магнитные волны не оказывают влияния на функциональную деятельность головного мозга и организм беременной женщины.
Врач ответит пациенту на все интересующие его вопросы о проведении процедуры
Данная диагностическая процедура широко используется в выявлении патологических процессов, при которых результаты рентгенографии и КТ малоинформативны. Во многих случаях точность данных современной методики магнитно-резонансной диагностики превосходит риск от развития возможных осложнений. Исследование может проводиться столько раз, сколько потребуется для нормализации клинической ситуации.
Источник: https://diametod.ru/mrt/vredno-golovnogo-mozga
Основные показания и противопоказания МРТ головного мозга
Обратившись к врачу с жалобами на головную боль или постоянное головокружение нередко можно получить направление на проведение диагностического исследования с помощью томографии. Так как этот метод относительно недавно начали использовать в нашем регионе логично, что у пациента могут возникать вопросы относительно безопасности его использования. Существуют ли противопоказания к МРТ головного мозга? Может ли такой метод обследования привести к негативным последствиям?
Принцип действия томографа
Если не вдаваться в технические подробности объяснить принцип работы томографа можно следующим образом. Во время обследования пациент помещается в кабинку аппарата, который, по сути, является мощным магнитом. Все снимки и изображения структуры тканей получаются благодаря электромагнитному воздействию. Поэтому вред от МРТ головы настолько незначителен, что можно сказать о его полном отсутствии. Причем в большинстве случаев негативные последствия связаны не непосредственно с самим обследованием, а с используемым во время его проведения контрастным веществом.
- Зависимость от кардиостимулятора. Воздействие сильного магнитного поля сбивает сердечный ритм и выводит из строя сам аппарат.
В каких случаях рекомендуется проведение МРТ
Радиоактивное облучение, используемое при КТ, негативно сказывается на здоровье пациента, недостатком такого исследования также является то, что результаты такой диагностики часто бывают неточными. В таком случае часто направляют на обследование с помощью томографа. Также показаниями к МРТ головного мозга являются следующие симптомы:
Как подготовиться к томографии
Так как чаще всего назначают МРТ мозга в тех случаях, когда необходимо быстро определить причину тревожных симптомов, скорость подготовки к этой процедуре имеет огромное значение. Этот метод диагностики не имеет побочных действий, и не зависит от внешних и внутренних факторов. По этой причине подготовка обычно сводится к обычному собеседованию у рентгенолога, который определяет направленность обследования и объясняет, как именно будет проходить данная процедура. Цель такой беседы:
- Установить показания для МРТ головного мозга. Это требует собрать общую клиническую картину болезни пациента. Для получения точных результатов обследования понадобится предоставить направление, а также историю болезни, это позволит определить общее направление диагностического обследования.
Вредна ли томография?
В интернете можно встретить достаточно много высказываний о том, что после МРТ болит голова или что здоровье пациента значительно ухудшилось именно после проведения такого обследования. На самом деле, часто оказывается, что томография в этих случаях не только не является причиной болезненных синдромов, но и помогает поставить точный диагноз (исключение составляет индивидуальная непереносимость).
- Обнаружение и подтверждение процесса метастазирования.
Источник: https://infomrt.ru/123-protivopokazaniya-mrt-golovnogo-mozga.html
uziprosto.ru
Энциклопедия УЗИ и МРТ
Вредно ли для организма МРТ?
Сегодня для выявления серьезных заболеваний и точной постановки диагноза невозможно обойтись без помощи современных методов исследования. Одним из достаточно молодых способов максимального сканирования организма, который необходимо делать пациентам, служит магнитно-резонансная томография.
Несмотря на то, что исследователями всего мира доказана эффективность и безопасность данного метода, многих пациентов терзают нешуточные сомнения перед прохождением процедуры. Вредно ли МРТ? Этот вопрос актуален и сегодня.
Что говорят о МРТ: есть опасность.
Критиков и противников магнитно-резонансного сканирования встретить можно часто. Большая часть из них ошибочно полагает, что влияние МРТ на организм человека колоссально, и его последствия крайне негативны. Данному виду диагностики приписывают и головные боли, и развитие патологий сердечно-сосудистой системы; некоторые утверждают, что процедура способна вызвать даже онкологические процессы.
Однозначно ответить о безвредности любого из видов диагностики нельзя. Везде есть свои плюсы и минусы. Например, МРТ головного мозга или позвоночника (эти виды исследования считаются самыми распространенными) опасно лишь для тех, кто имеет противопоказания к его применению. Так или иначе, обследование назначается пациентом врачами на основании индивидуальных особенностей, показаний и отсутствии всевозможных рисков.
МРТ головного мозга или позвоночника не способно нанести никакого вреда. Неоднократно выполнимые исследовательские программы изучения воздействия магнитного высокочастотного поля подтвердили факт того, что нет никаких отрицательных последствий, способных отразиться на работоспособности и состоянии этих органов после процедуры. Осложнения, о которых заявляют некоторые пациенты, в виде головокружений и общей слабости организма, вероятнее всего объясняются эмоциональными волнениями о ходе проведения исследования и его ожидаемыми результатами.
МРТ-диагностика с контрастным веществом
Для человеческого организма нет никакого вреда от МРТ, даже если делать его слишком часто. Конечно, ни один из специалистов не назначит проведение процедуры на каждый день.
Снимок головного мозга МРТ с контрастом
Возможно, часто проводимое магнитно-резонансное исследование может каким-то образом отразиться на здоровье пациента. Между тем, при злокачественных опухолях головного мозга, позвоночника, других органов и систем томография может быть назначена несколько раз за один месяц. Это позволит лечащему врачу проследить динамику выздоровления или, наоборот, оценить интенсивность прогрессирования болезни.
Нередко для выявления патологий позвоночника (диффузных межпозвоночных грыж, злокачественных и доброкачественных новообразований) специалисты рекомендуют проводить томографию с контрастным веществом. Внутривенно пациенту вводится препарат, который, распределившись по всем тканям и сосудистой системе, поможет выявить на снимке патологические изменения.
Для диагностики головного мозга указанный вид томографии также нередко использует вещества, в основе которых лежат, как правило, соли гадолиния. Будучи абсолютно безвредными для человека, они способствуют лучшему изучению состояния структур головного мозга, сосудов и определению природы опухолей.
МРТ для клаустрофобов и детей
Среди пациентов бытует мнение о том, что людям, страдающим клаустрофобией, проходить процедуру МРТ опасно. Насколько это является правдой или нет, сказать сложно, однако и в подобной ситуации есть выход.
Действительно, обыкновенный аппарат для проведения магнитно-резонансной томографии представляет собой огромную капсулу, в которой, собственно, и проходит вся процедура. Тело пациента плотно фиксируют, чтобы не допустить излишних шевелений, которые могут исказить итоговые результаты обследования.
В таком положении у больных клаустрофобией может случиться панический приступ, поэтому для них функционируют МРТ-аппараты открытого типа. Для обследования позвоночника эти приборы – отличное решение, но диагностику головного мозга желательно делать все-таки в закрытой капсуле.
Дополнительным доказательством того, что томография не несет в себе угрозы для здоровья человека, является возможность его проведения в детском возрасте. Вреда для ребенка в самом обследовании нет, но зачастую трудности возникают в том случае, когда малыш не способен лежать в неподвижном состоянии на протяжении всего сеанса.
В случаях, когда необходимость диагностики намного выше рисков от введения анестезии, способной погрузить малыша в сон и сделать неподвижным на некоторое время, процедуру исследования проводят под наркозом.
Принцип работы аппарата: как проходит процедура?
Как уже говорилось выше, прибор для магнитно-резонансного сканирования напоминает огромную капсулу.
К ней прикреплен стол, ка который укладывают пациента. После подготовки к обследованию (переодевания, фиксации тела, ознакомления с правила поведения во время сеанса) стол заезжает внутрь камеры.
С началом работы прибора в капсуле создается искусственным путем магнитное поле. Радиоактивные волны позволяют врачам делать объективные оценивания любых органов и систем организма. Под действием электромагнитного излучения происходит изменение в водородосодержащих клетках; в этот момент прибору удается установить пределы энергии, появляющейся при двигательной активности микрочастиц.
Магнитно-резонансная томография имеет массу преимуществ над привычными и устоявшимися методами диагностики. В частности, в отличие от рентгенографии, имеющей негативные последствия для организма и не способной дать развернутую информацию о состоянии больного органа, МРТ может исследовать спинной и головной мозг, каналы позвоночника.
Вся процедура длится не более получаса, ответы диагностики пациент может получить практически сразу после исследования. С результатами ему необходимо отправиться к лечащему доктору, который определит ход дальнейшего лечения.
Противопоказания для проведения процедуры
Магнитно-резонансная томография не является исключением из правил, которые гласят о побочных эффектах любых медицинских процедур.
Противопоказаниями к прохождению обследования считают:
- Наличие у пациентов в организме любых металлических имплантатов, инородных тел, кардиостимуляторов, слуховых аппаратов и т.д. Магнитное излучение будет притягивать к себе эти предметы, чем может нанести вред больному и отразиться на снимках искаженными данными.
- Аллергическая реакция на контрастное вещество. Перед процедурой пациентам, как правило, назначают аллерго-пробу.
- Среди заболеваний, при которых МРТ-сканирование не рекомендуется, отмечают клаустрофобию (в закрытых камерах), сердечно-сосудистые заболевания.
- Также запрещено проводить диагностику пациенту, находящемуся в состоянии алкогольного опьянения.
- Беременные женщины на ранних сроках диагностику не проходят.
Не зная о том, вредно ли МРТ, многие готовятся к прохождению процедуры с переживаниями. Таким людям можно быть спокойными: данный вид обследования полностью безопасен. Его прохождение вопреки противопоказаниям – вот настоящий риск для здоровья.
Похожие статьи
Вы пишите: «Под действием электромагнитного излучения происходит изменение в водородосодержащих клетках; в этот момент прибору удается установить пределы энергии, появляющейся при двигательной активности микрочастиц.» Но не дает ответ сами на вопрос: «Как часто эти изменения происходят без воздействия излучения? И происходят ли вообще в жизнедеятельности организма человека?» Первые аппараты имели мощность магнитного поля 0,005 Тл, а современные уже 3 Тл. В погоне за точностью исследований повышена мощность в 600 раз. Кто-то ведет статистику побочных эффектов таких воздействий. Методу всего 44 года. Моей дочери сделали 400 снимков за одно обследование. Это нормально? Теперь мучается головными болями, затруднено дыхание, слабость, чувство жара в голове. А никто из вас, медиков, не задумывался о, пусть и единичной, невосприимчивости к магнитным излучениям? Обратитесь к физикам. Они создали этот аппарат и только они знают о степени вреда магнитного излучения.
Источник: https://uziprosto.ru/mrt/vredno-li-mrt-obsledovanie.html
Вредно ли делать МРТ головного мозга?
Когда больному назначают магнитно-резонансную томографию головы, у него возникает вполне резонный вопрос — а не опасно ли МРТ головного мозга? Да, пациенты наслышаны о вреде излучения в сфере лучевой диагностики, но в случае с МРТ следует понимать, что данный метод принципиально отличается от рентгенологического метода. В рентгеновском обследовании используется ионизирующее излучение, возникающее при воздействии радиоактивных лучей, которое, разумеется, способно нанести организму вред. Однако, МРТ является абсолютно безопасным методом, так как в его основе лежит принцип воздействия магнитных полей с внутренними органами. Магнитное излучение при МРТ совершенно безопасно для организма человека: мы все живем в условиях магнитных полей, начиная от магнитного поля Земли и заканчивая бытовыми приборами.
Исследование МРТ: вредно или нет причин для беспокойства?
Как все остальные методы диагностики, МРТ головы все же имеет кое-какие особенности, из-за которых некоторым группам пациентов процедура может быть противопоказана. Вопросом, вредно ли МРТ головного мозга, в первую очередь должны озаботиться:
- Женщины, находящиеся в первом триместре беременности. Противопоказание относительное, связано не с действием магнитных полей, а с тем, что женщина при МРТ должна будет испытать непривычные для себя ощущения, из-за чего может переволноваться, и эта ситуация спровоцирует угрозу прерывания беременности.
- Пациенты, страдающие клаустрофобией, потому что исследование МРТ предполагает нахождение больного в закрытом боксе.
- Больные с декомпенсированной сердечной недостаточностью. Противопоказание связано с психоэмоциональной нагрузкой, которую может испытать больной при МРТ и, соответственно, усилением признаков основной болезни.
- Пациенты, в организм которых встроены электронные имплантаты среднего уха или какие-либо другие металлические имплантаты, кардиостимуляторы, клипсы в сосудах мозга, аппараты Илизарова и т.п. Магнитное поле может сбить работу электростимуляторов или спровоцировать нарушения в органах, поддерживаемых с помощью металлических фиксаторов, так как, согласно закону физики, магнит будет притягивать к себе железные предметы.
Влияние МРТ Головного мозга на организм
Для всех остальных групп пациентов, включая детей, процедура МРТ-обследования абсолютно безопасна. Поэтому не стоит по необъективным причинам отказываться от этого точного и информативного исследования.
Обращаем ваше внимание, что вся информация, включая цены, предоставлена для ознакомления и не является публичной офертой (ст.435 ГК РФ, cт. 437 ГК РФ)
Для получения более детальных консультаций по услугам и их стоимости обращайтесь в колл-центр по телефонам, указанным выше.
Цены действительны для потребителей — физических лиц.
Источник: https://klinika.k31.ru/napravleniya/diagnostika/magnitno-rezonansnaja-tomografija/stati-mrt-vredno-li-delat-mrt-golovnogo-mozga/
Есть ли вред от МРТ мозга
МРТ, или магниторезонансная томография, является весьма распространенным методом аппаратной диагностики. Она получила широкое распространение в медицине и применяется для того, чтобы получать максимально точную информацию о сердечно-сосудистой системе и сосудах головного мозга. Многих пациентов интересует, вредно ли делать МРТ головного мозга и как процедура воздействует на организм. Об этом и пойдет речь в этой статье.
Показания и противопоказания к томографии
По своей сути томограф является мощным магнитом. Пациента помещают в прибор, который напоминает коробку или капсулу. Снимки получаются именно благодаря электромагнитному действию.
Также для проведения первичного и промежуточного обследования иногда используется специальное контрастное вещество. Перед проведением процедуры необходимо убедиться в том, что у пациента нет аллергии на это вещество. Иногда оно может вызывать аллергическую реакцию. Кроме того, контрастирование противопоказано людям, страдающим от почечной недостаточности.
Многих людей интересует, вредно ли МРТ головного мозга. И существует ли вред от МРТ для каких-то конкретных больных?
Как уже было сказано выше, томограф — это большой магнит. При обследовании порой используется специальное контрастное вещество. Поэтому противопоказаниям к процедуре МРТ являются:
- Наличие у обследуемого стальных имплантов, кардиостимулятора, искусственных сердечных клапанов или металлических осколков (титановые части сюда не относятся).
- Почечная недостаточность.
- Индивидуальные психосоматические расстройства.
- Клаустрофобия — боязнь замкнутых пространств — также может являться помехой в проведении процедуры, ведь пациент может находиться в томографе до 40 минут. Для страдающих клаустрофобией пациентов это может являться значительным стрессом. Поэтому во врачебной практике широко распространено применение успокоительных средств.
Сейчас очень часто можно услышать или прочитать в интернете о том, что после проведения МРТ у пациента болит голова или, вообще, ухудшилось состояние. Так, опасна ли она, эта процедура?
На самом деле МРТ вовсе не является причиной заболевания. Напротив, именно эта процедура помогает диагностировать малейшие нарушения еще на ранних стадиях. А также определить изменения на клеточном уровне, диагностировать опухоль. Чем раньше провести МРТ, тем выше будет шанс на успех излечения.
Как уже было сказано выше, сами магнитные поля не несут абсолютно никакого вреда, а опасным может быть лишь воздействие контрастного вещества на тех людей, которые имеют на него аллергию или страдают от почечной недостаточности.
Когда следует проводить МРТ:
- при заболеваниях, затрагивающих и нарушающих зрительные и слуховые функции;
- при подозрении на различные патологии головного мозга (например, аневризму);
- при травмах головы;
- при подозрении на болезнь Альцгеймера, Паркинсона или старческое слабоумие.
- при нарушении кровообращении головного мозга.
Если больной жалуется на постоянные головные боли, головокружение, то необходимо незамедлительно назначить ему томографию.
Сравнение МРТ и рентгенографии. Что безопаснее?
У рентгеновских лучей есть ряд жестких ограничений по применению, связанных с состоянием здоровья пациента. Например, беременным рентгенография запрещена.
Рентгеновское излучение весьма сильное, поэтому его нельзя проводить часто. Именно поэтому ту же флюорографию нельзя проводить больше одного раза в год.
По ошибке считают, что МРТ с ее магнитными лучами не менее опасна, чем рентген. Это заблуждение. Томограф имеет абсолютно другой принцип работы. Более того, МРТ можно проводить множество раз без вреда здоровью, в отличие от рентгена.
Более подробные данные можно увидеть в таблице ниже.
Вредна ли МРТ для ребёнка?
Зачастую назначение ребёнку МРТ вызывает у родителей страх. Как уже было сказано выше и как ясно из табличных данных, единственное, о чем стоить беспокоиться родителям при проведении МРТ головного мозга у ребенка, — это будет ли ему спокойно. А вовсе не о том, опасно ли это.
Замкнутое пространство и громкие звуки сканера могут напугать маленького ребенка. Для этого прибегают к седативным, то есть успокаивающим, препаратам. Это позволяет специалистам получить более качественные и точные результаты обследования, а ребенку и родителям чувствовать себя спокойнее. Многое зависит и от возраста малыша.
Отсюда следует логичный вывод: МРТ абсолютно безвредно для ребенка любого возраста.
Стоит ли делать МРТ головного мозга при беременности?
Процедура магниторезонансной томографии не рекомендована до 12 недель беременности. Это обусловлено тем, что плод очень уязвим перед любым воздействием извне. Однако сама процедура не опасна, ее могут назначить в том случае, когда есть подозрения на патологию у малыша.
При отсутствии таких подозрений процедуру МРТ лучше отложить до более поздних сроков беременности, хотя бы на второй триместр.
Выводы об МРТ
Исходя из рассмотренных выше данных, можно сделать ряд выводов:
- Процедура МРТ абсолютно безопасна ввиду использования магнитных волн вместо ионизирующего излучения.
- Процедуру можно проводить множество раз без риска вреда для здоровья.
- Даже беременным женщинам и детям процедура не принесет абсолютно никакого вреда.
- Существует ряд противопоказаний для проведения МРТ. К ним относятся наличие металлических частей в организме, аллергия на контрастное вещество и почечная недостаточность.
Ясно, что магниторезонансная томография в настоящее время является лучшим и самым безопасным способом обследования. Эта процедура позволяет получать максимально точные данные и визуализировать их.
К сожалению, цены на томографы до сих пор остаются высокими (до 4000 долларов США), поэтому далеко не каждое лечебное заведение может себе их позволить. Это и является главной причиной того, что рентген и УЗИ более распространены и доступны.
Источник: https://mrtu.ru/golovnoj-mozg/vredno-li-mrt-golovnogo-mozga.html
Вредно ли для здоровья делать МРТ
В современной диагностике магнитно-резонансная томография представлена, как один из самых информативных методов определения патологических и онкологических процессов на ранней стадии. Такой результат обеспечивает контраст и ядерный магнитный резонанс, который обеспечивает послойное сканирование внутренних органов и тканей, определение малейших изменений в структуре, визуализацию патологий на экране томографа.
Вредно ли МРТ для здоровья?
МРТ: польза или вред для организма
Каждый третий клинический больной на личном примере знает, что такое магнитно-резонансная томография. Но всех интересует один и тот же вопрос:
«Вредно ли МРТ для здоровья»? Ученые клиническим путем доказали, что этот метод эффективной диагностики абсолютно безвредный для человеческого организма, исключает риск облучения в отличие от воздействия рентгеновских лучей. Именно поэтому список показаний к проведению процедуры обширный, тогда как противопоказания и ограничения преобладают в единичных клинических картинах.
Чтобы понять для себя, стоит делать или нет МРТ, важно выяснить сущность предложенной процедуры, определить принцип действия устройства на пораженный организм. Существует специальный препарат под названием «томограф», куда помещается при клиническом исследовании пациент. С помощью этой аппаратуры создается магнитное поле, которое способствует формированию радиоволн для получения изображения внутренних органов и систем на экран. Считывающее устройство воспринимает такое колебание волн, направляет сигнал в компьютер, где информация проходит окончательную обработку.
Несмотря на то, что длительность процедуры варьирует в пределах 20 – 30 минут, опасность пагубного излучения полностью исключена. Поэтому в медицинской практике даже принято делать МРТ головного мозга, известны случаи обследования беременных женщин по показаниям. Побочные эффекты исключены, но прохождение такой диагностики возможно только по решению лечащего врача.
Бытует ошибочное мнение, что облучение от КТ, МРТ и рентгена равносильно способствует формированию злокачественных новообразований. На самом деле риск онкологических диагнозов минимальный в случае проведения всех процедур. Что касается рентгена, то его выполнение и вовсе имеет временные ограничения для поддержания здоровья организма.
Процедур длится в пределах 20 – 30 минут, но опасность пагубного излучения полностью исключена. Поэтому в медицинской практике даже принято делать МРТ головного мозга
Если говорить о радиации от МРТ, риск облучения в 5 раз ниже, чем продолжительный разговор пациента по мобильному телефону. Так что пагубное влияние на человека полностью отсутствует. Подтверждает этот факт возможность повторного исследования практически сразу после получения предыдущих результатов. Это позволяет сделать вывод, что никакой угрозы органическому ресурсу нет и быть не может.
Мифы о проведении МРТ
В народе появилось огромное количество слухов и пересудов, пациенты настаивают на потенциальной угрозе собственному здоровью после проведенной магнитно-резонансной томографии. Ниже представлены самые распространенные мифы, известные обширной медицинской практике:
- МРТ и облучение. Многие пациенты уверяют, что полученная доза облучения становится причиной поредения волос, сильнейших приступов мигрени, ломоты в суставах и костях. Если проходить процедуру с умом, при этом не накручивать себя страшными фантазиями, подобные последствия для организма исключены в полном объеме.
- МРТ и приступы. Некоторые больные настаивают, что повторное проведение процедуры может привести к обострению основного заболевания, длительному приступу. На самом же деле магнитное поле высокой частоты, создаваемое при работе томографа, не способно нанести вред организму. Поэтому таким прогрессивным методом можно диагностировать заболевания ослабленного позвоночника и даже головного мозга.
- МРТ и жизнь. Есть мнение, что каждое последующее обследование методом МРТ укорачивает жизнь. На самом деле организм человека спокойно переносит сразу несколько повторных диагностик, при этом патологические процессы органического ресурса исключены в полном объеме. Соглашаться на МРТ требуется такое количество раз, сколько рекомендует специалист.
- МРТ и влияние на плод. Беременные женщины уверены, что магнитно-резонансная томография может убить ребенка на любом сроке «интересного положения». Это не правда, а в осложненных клинических картинах такую диагностику проводят незадолго до родов. Что же касается ранних сроков беременности, в этот период желательно воздержаться от информативного обследования органов малого таза и репродуктивной системы.
- МРТ и клаустрофобия. Есть субъективное мнение, что пациенты с боязнью замкнутого пространства не могут пройти процедуру для постановки окончательного диагноза. Отчасти это правда, поскольку наличие томографа уже предусматривает ограниченную плоскость. Однако можно не бояться действия открытого типа МРТ, когда пациента необязательно помещать в узкую камеру даже на несколько минут. Так что альтернатива имеется, главное – не исключать предложения и рекомендации лечащего врача.
Если в организме имеются металлические импланты или фрагменты операбельного вмешательства, от данного метода клинического обследования требуется категорически отказаться
Теперь всем понятно, что магнитно-резонансная томография не вредит здоровью человека, зато оказывает медицинской практике колоссальную помощь. Дело в том, что это один из самых надежных методов диагностики, который после достоверного определения диагноза позволяет своевременно преступить к интенсивной терапии по показаниям.
Опасность проведения МРТ
Несмотря на все положительные стороны предложенной диагностики, МРТ также имеет свои противопоказания, то есть проводить процедуру разрешается далеко не всем пациентам. Если в организме имеются металлические импланты или фрагменты операбельного вмешательства, от данного метода клинического обследования требуется категорически отказаться. В таком случае вред магнитных полей, создаваемых аппаратом, очевиден, поскольку любое колебание установленных конструкций может спровоцировать рецидив основного заболевания, вызвать внутреннее кровотечение.
Пациенты с пирсингом, татуировками и прочими вариантами нарушения целостности кожных покровов также должны остерегаться таких предписаний, поскольку влияние магнитных волн на организм губительное, опасное дня здоровья. Если же перед процедурой не снять с тела все металлические изделия и аксессуары, не исключены термические ожоги.
Если пациент носит кардиостимулятор, слуховой аппарат или прочие «приборы здоровья», это также относительные противопоказания к проведению МРТ. Решить проблему и допустить к процедуре клинического больного можно только в том случае, если он временно снимет такие устройства (в случае кардиостимулятора это весьма проблематично).
В остальном, МРТ не вредит здоровью, мало того, позволяет даже спасти человеческую жизнь при своевременной диагностике обширного патологического процесса. Так что не стоит игнорировать ценные рекомендации врача, тем более, если после сбора данных анамнеза и изучения истории болезни относительные и абсолютные противопоказания не обнаружены. На этом оканчиваются вопросы на тему: «МРТ», вредно ли для здоровья использование томографа – определяет лечащий врач.
Общегородская служба записи на МРТ и КТ
- подбор оптимальной клиники и запись на обследование
- запись по всем районам города
По будням: с 8.00 до 21.00. В выходные: с 9.00 до 21.00
Добавить комментарий Отменить ответ
Материалы на сайте носят рекомендательный характер и не являются руководством к действию.
Источник: https://mrt-diagnostics.ru/mrt/other/vredno-li-dlya-zdorovya-delat-mrt/
Опасно ли мрт головного мозга
В течение последних двух десятков лет современная медицинская наука продвинулась далеко вперед, оставив позади старые методики аппаратной диагностики всех внутренних органов.
Оглавление:
Появившиеся принципиально новые техники исследования функциональной деятельности человеческого организма включают такие способы, как УЗИ, а также компьютерную и магнитную томографию. Последний метод обследования имеет большую ценность в диагностировании заболеваний головного мозга, так как с его помощью возможно быстро выявить формирование патологического процесса и своевременно провести необходимые лечебные мероприятия.
Принцип метода МРТ
- выдвижного стола, на котором располагается исследуемый пациент;
- сложной системы сканеров, излучающих электромагнитные волны различной длины.
- выявление ранних стадий патологических процессов;
- уточнение и подтверждение поставленного диагноза;
- промежуточный контроль проводимого курса лечебной терапии.
- полной безопасностью (его проведение назначается даже детям);
- получением более точных итоговых данных (с помощью магнитно-резонансной процедуры можно заметить малейшие нарушения структуры головного мозга и изменения в его коре);
- длительность обследования не превышает 1 часа, и сразу после его окончания пациент получает снимок.
В каких случаях о вреде диагностики не задумываются?
- травмы головы;
- острых головных болей;
- судорожного синдрома (непроизвольных мышечных сокращений);
- кратковременных потерь сознания (обмороков);
- повышенного внутричерепного давления;
- речевой дисфункции;
- потери зрения;
- воспалительных процессов в головном мозге (к примеру, менингита);
- тромбоза, атеросклероза или стеноза сосудов;
- сотрясения головного мозга.
Особенности выполнения диагностики
- Елизарова;
- инсулиновых помп;
- кардиостимуляторов;
- искусственных сердечных клапанов;
- протезированных суставов;
- титановых пластин;
- брекетов;
- металлических зубных протезов.
- недостаточной почечной функции;
- различных психических расстройствах;
- бронхиальной астме.
Вредное влияние на здоровье больного от МРТ головного мозга
Использование сильного излучения электромагнитного поля, которое образуется при работе мощных турбин томографа, заставляет задуматься многих пациентов об отказе от диагностической процедуры. Однако наука доказала безопасность МРТ для человеческого организма – излучение при выполнении такой методики не превышает порции излучения, которое человек получает при использовании мобильного телефона! Из этих результатов следует, что негативного влияния электромагнитных волн на человеческий организм фактически не существует.
Может ли иметь вредные последствия использование контрастирования при МРТ?
Сравнение МРТ, рентгенографии и КТ в отношении вреда для организма
Заключение
Вредно ли МРТ головного мозга
Головной мозг является самым сложным органом по своему строению и также вызывает сложности в его диагностике. Он выполняет все основные функции нашей жизнедеятельности, контролирует работу органов и наших систем. Но открытие такого метода, как магнитно-резонансная томография позволила значительно упростить его обследование.
МРТ является современной и наиболее точной процедурой для диагностики головного мозга. Его эффективность, безопасность и полная безвредность доказана многими специалистами. Однако зачастую можно услышать про какие-либо негативные проявления после процедуры. Поэтому разберем подробно данный метод и ответим на вопрос вредно или нет сделать МРТ головного мозга.
Показания к МРТ
Если принимать в расчет КТ диагностику, которое использует радиоактивное облучение, что может негативно сказаться на здоровье пациента, а также она не обладает такой точностью, как МРТ. Именно поэтому магнитно-резонансное исследование составляет преимущественный вариант исследования, особенно по отношению к детям и беременным женщинам, которые не могут допускатся до КТ исследования.
МРТ назначается при следующей симптоматике:
- Острые головные боли
- Обмороки
- Судорожные состояния
- Повышенное внутричерепное давление
- Потеря зрительной функциональности
- Подозрение на опухолевое образование
- Определение последствий инсульта
- Речевая дисфункция
- Атеросклероз сосудов, тромбоз, стеноз
- Травмы головы различно степени тяжести, включая незначительные сотрясения
- Воспалительные процессы, например, менингит
И это не весь список для чего применяется данная процедура. МРТ головного мозга также может применяться с целью корректировки медикаментозного лечения.
Противопоказания к проведению исследования
На основании того, что на сегодня не существует доказательств, чем опасно МРТ головного мозга, все же у этой процедуры существует ряд противопоказаний, которые подразделяются на 2 типа: абсолютные и относительные.
К абсолютным относятся:
- Металлические имплантаты и кардиостимуляторы
- Зубные, металлические коронки
- Если у пациента выявлено осколочное ранение, врач должен убедиться, что весь металл был изъят из поврежденной области
Главным противопоказанием является металл, присутствующий в теле человека. Он может спровоцировать поломку оборудования, искажение изображения и риск получения травмы во время процедуры, так как аппарат использует магнитное поле.
Относительные противопоказания имеют ограниченный характер, то есть пациент может быть допущен к процедуре только при выполнении дополнительных указаний врача.
К относительным относится:
- Наличие татуировок, так как металлические соединения могут присутствовать в краске
- Боязнь замкнутого пространства
- Аллергия на контраст
- Психические заболевания, которые могут спровоцировать, непроизвольную двигательную активность
Вред от МРТ головного мозга может в большей степени спровоцировать сам пациент при элементарном незнании противопоказаний. Пациент должен известить врача об аллергии на лекарственные препараты или контраст. Делают ли МРТ головного мозга без контраста? Да делают, но информативность снимков несколько снижается.
Принцип работы МРТ
Конструкция магнитно-резонансного исследования со стороны имеет форму капсулы. К данной капсуле прикрепляется стол-кушетка, на который впоследствии и укладывается пациент. После проведения дополнительной подготовки к процедуре (снятие всех металлические предметов, фиксирования тела) стол заезжает внутрь капсулы.
Начало исследования начинается с того, что активизируется магнитное поле определенной мощности (от 1,5 ТЛ). Магнитное поле формирует радиоактивные волны, которые направляются на участок головного мозга, тем самым заставляя изменяться водорода-содержащим клеткам. Затем при дополнительном воздействии магнитного поля, атомы начинают совершать колебания, тем самым излучая энергию. На основе этой работы томографа и начинается формирование изображения из структур головного мозга.
Магнитно-резонансное исследование имеет множество преимуществ как общих, так и перед другими методами диагностики. Например, главное отличия МРТ от рентгенологического способа, включая компьютерную томографию:
- Полная безопасность (в КТ используется вредное излучение)
- Более высокая точность проведения (способность замечать даже малейшие изменения в коре головного мозга и его структуре)
Длительность процедуры не превышаетминут, а сразу после исследования пациент получает результат (снимок) на руки.
Вредно ли МРТ головного мозга, зависит от того были ли соблюдены все указания врача, если да, то вред МРТ полностью отсутствует.
Возможный вред контрастирования
Можно достаточно часто услышать отзывы многих тех, кто после проведения МРТ исследования заявлял о том, что начиналась сильная головная боль или состояние значительно ухудшилось, именно после МРТ. На самом деле доказано, что данная процедура не приносит никакого вреда, а это скорее связывается с побочным эффектом контрастирования.
Магнитно-резонансное исследование с внутривенным введением контраста используется для более точного определения опухоли и области ее поражения, а также для выявления заболеваний сосудов в вен. Такое исследование может быть назначено как в целях диагностики патологий, так и при оценке терапевтического лечения.
При проведении МРТ головного мозга вредно ли будет контрастирование полностью зависит от индивидуальной предрасположенности к этому препарату. Это то, что может вызвать различные побочные эффекты: жар, головную боль, головокружения и т. д. Однако аллергия на компоненты контраста хоть и возможна, но возникает в очень редких случаях.
Запрещается введение контраста пациентам с тяжелыми заболеваниями почек. С незначительными нарушениями их функций, необходимо дополнительно консультирование по этому вопросу. Поэтому какой-либо вред МРТ головного мозга от применения контраста составляет скорее исключение, чем правило.
Источник: https://umozg.ru/interesnye-fakty/vredno-li-mrt-golovnogo-mozga.html
Есть ли вред от МРТ
За последние два десятилетия наука и техника в области медицины продвинулись далеко вперед. Результатами такого развития является появление принципиально новых методов аппаратной диагностики внутренних органов, всех внутренних систем и человеческого организма полностью. К такому методу диагностики относится магнитно-резонансная томография, или МРТ. При знакомстве с таким методом исследования человек задается вопросом, а вредно ли МРТ для здоровья?
Подобные опасения больных понятны. Во-первых, у них слабое самочувствие по причине болезни. Во-вторых, они знают, что есть некоторые методы исследования и диагностики, как рентгенография, флюорография, УЗИ и компьютерная томография, которые помогают получать точные диагнозы или уточнять ранее поставленные диагнозы в короткие сроки, но при этом имеют существенные недостатки. Эти методы имеют ряд противопоказаний к применению, а некоторые из них даже опасны для здоровья пациента.
Принцип работы МРТ
Диагностический аппарат магнитно-резонансной томографии состоит из самого электромагнитного резонансного сканера в виде обтекаемой выпуклой камеры, напоминающей моллюска большой формы или какой-то космический объект, а также выдвижного стола.
Стол предназначен для расположения на нем диагностируемого пациента и плавной подачи больного внутрь камеры с одновременным прохождением через сложную систему электромагнитных сканеров.
Томограф работает на основе ядерно-магнитного резонанса. При включении комплекса сканеров в камере образуется электромагнитное поле, которое посредством волн действует на атомы водорода и придает им колебательные движения.
В результате таких колебательных движений атомов водорода ткани и все органы отражаются в виде электромагнитных волн разной длины. Что позволяет получить детальное плоское и даже объемное изображение отсканированных внутренних органов, опорно-двигательной системы и всего организма человека.
После получения графического изображения организма больного в деталях, его можно увеличивать в размерах, переносить на цифровые и бумажные носители и основное назначение – применять для уточнения и подтверждения поставленных диагнозов, выполнения промежуточных контролей проводимого курса лечения, а также выявления возможных патологий на ранних стадиях.
Влияет ли МРТ на здоровье пациента
Сильное электромагнитное поле, что используется при магнитно-резонансной томографии, многих больных заставляет задуматься перед применением подобного метода обследования.
Мощное электромагнитное поле образуют массивные электрические агрегаты, типа больших электродвигателей и турбин, подстанции и линии электропередачи. Поэтому больной и становится перед выбором, применять МРТ или нет.
Однако научно не доказан вред МРТ для организма, и принято такое суждение, что излучение от такого обследования не превышает излучения, полученного человеком при долгом общении по мобильному телефону, более чем в пять раз.
Следовательно, отрицательное влияние МРТ на организм человека фактически отсутствует. Что делает возможным применение этого метода обследования пациентов несколько раз в год по показаниям врача.
Особенности выполнения обследования
Назначение на проведение обследования какой-то части тела или всего тела следует получить от лечащего врача. При этом стоит учитывать такие нюансы:
- Лечащий врач направит пациента на обследование с применением открытого аппарата.
- Врач, который проводит процедуру, может не подкладывать подушку под голову пациента и направить вентилятор на больного, чтобы свежий воздух отвлек и помог обследуемому человеку.
- Если возможно, пациента укладывать на живот при сканировании.
- Доктор должен предупредить о возможности применения тревожной кнопки для остановки исследования больного.
Пациентам, которые имеют хорошо проявленную клаустрофобию, предлагают принять седативные лекарственные препараты в начале выполнения обследования.
Показания и ограничения для проведения МРТ
Для уточнения или подтверждения поставленных диагнозов, проведения плановых, внеплановых и промежуточных обследований, а также для выявления патологических явлений на ранней стадии, доктора назначают прохождение обследования организма человека посредством магнитно-резонансной томографии.
Электромагнитное поле, что создается магнитным аппаратом, взаимодействует не только с атомами водорода ткани, но и металлическими, а также электрическими предметами, расположенными как на пациенте, так и внутри его организма. Это поле притягивает и нагревает такие предметы.
Поэтому перед обследованием на пациенте должна быть соответствующая одежда и должно быть проверено отсутствие недопустимых предметов, а именно:
- специальных медицинских аппаратов, таких как инсулиновые помпы, кардиостимуляторы и водители ритма;
- приспособлений для сосудистой хирургии, клипс и стентов;
- искусственных клапанов сердца;
- приспособлений для протезирования – суставов, пластин, винтов и аппарата Илизарова;
- инородных предметов, таких как иглы, ложки, осколки и дробь;
- металлических предметов в полости рта, таких как вставные зубы, шины, мосты и брекеты.
Нужно помнить, что магнитно-резонансную томографию можно проводить при наличии на пациенте предметов из титана, а именно титановые суставы, титановые зубы и клапаны кровеносной системы из биологического материала.
Противопоказаниями для проведения резонансной диагностики являются:
- недостаточная функция почек;
- острое чувство клаустрофобии, так как пациент может находиться в тесном замкнутом пространстве от 10 до 45 минут;
- разные психические расстройства;
- бронхиальная астма;
- наличие инородных электрических и металлических предметов, кроме титановых частей.
Единственное негативное воздействие на организм может быть от контрастного вещества, которое применяется при выполнении процедуры обследования. Контрастное вещество при МРТ, содержащее Галидоний предназначается для проникновения в ткани организма при обследовании. Оно улучшает изображение внутренних органов на экране томографа, путем влияния на распространение как электромагнитных волн, так и атомов водорода.
Активное вещество Галидоний после нанесения на кожу выводится из организма через почки и может вызвать реакцию аллергии у пациента. Поэтому заранее медицинские работники определяют возможность аллергической реакции пациента на такой препарат.
Если такое вещество вызывает реакцию, то его просто не наносят на кожу больного, чтобы избежать последствия МРТ.
Есть ли вредное влияние МРТ на головной мозг
Показаниями для проведения МРТ головного мозга пациента могут стать жалобы человека на мигрени, постоянные головокружения и иные жалобы на общее самочувствие.
Противопоказаниями для проведения МРТ головы являются общие ограничения для МРТ всего организма.
При проведении этой процедуры пациента размещают горизонтально на выдвижном столе. Далее кожный покров головы обрабатывается контрастным веществом, если нет противопоказаний.
Выдвижной стол медленно перемещается внутрь аппарата и происходит сканирование внутреннего отдела головного мозга с выводом изображения. Томография на электромагнитном излучении не наносит вреда как отдельно голове, так и всему организму обследуемого.
Мрт головного мозга можно делать так часто, как того требует степень и тяжесть болезни для определения и уточнения диагноза. Эту манипуляцию выполняют по показаниям и при важности проведения промежуточных контролей в ходе курса лечения больного.
Влияние МРТ на позвоночник
Высокотехнологичная и эффективная процедура обследования позвоночника больного может быть назначена лечащим врачом в таком случае:
- подозрений на начало развития опухолей;
- подозрения на возникновение или уже образование грыжи позвоночника.
При обследовании пациента могут уложить на живот, область позвоночника обрабатывается контрастным веществом, если нет противопоказаний. Процедура сканирования может длиться от 30 до 60 минут, в зависимости от объема обследования.
В результате МРТ позвоночника может быть получено его полное объемное изображение с детализацией всех отделов в двух плоскостях, что не всегда можно получить при других методах обследования. Благодаря такому качественному изображению лечащий врач может уточнить поставленный ранее диагноз и скорректировать курс дальнейшей терапии.
Влияние МРТ на ребенка
Мрт по показаниям проводят и у детей, когда нужно обследовать и поставить диагноз по состоянию головы, внутренних органов или опорно-двигательной системы. Что еще раз показывает полную безопасность МРТ как одного из прогрессивных и информативных способов обследования.
Если обследуется совсем маленький пациент, то в целях предупреждения стрессовой ситуации для такого пациента от звуков работы сканера, а также от замкнутого вида аппарата, больному предлагают специальное питье с применением безопасных седативных и успокаивающих препаратов. Такие лекарства могут вводить и внутривенно.
Если МРТ назначено для ребенка постарше, то родители в присутствии медперсонала проводят беседу со своим чадом и успокаивают его. После ребенку надевают беруши, и громкий, пугающий его звук сканера, приносящий дискомфорт, уже не является помехой для проведения исследования организма.
Влияние МРТ при беременности
Отрицательное влияние МРТ на беременность не доказано, но если речь идет об исследовании будущей мамы, а не плода, то эту процедуру не проводят на протяжении первого триместра, а переносят на второй или третий. Связано это с тем, что в первые три месяца происходит активное формирование внутренних органов будущего малыша и его неокрепший организм является сильно восприимчивым ко всем раздражителям окружающей среды.
Когда обследование касается возможной патологии плода, то эту процедуру не откладывают и делают в первом триместре.
Чем МРТ безопаснее рентгена
Чтобы ответить на волнующий вопрос, что вреднее — МРТ или рентген, нужно вспомнить о принципах работы аппаратов таких видов обследования. Какие-то аппараты облучают пациента, хоть и в небольших дозах, а какие-то нет.
Во время выполнения обследования рентгеновским аппаратом человек облучается в малых дозах ионизирующим излучением. При такой процедуре происходит накопление облучения, в связи с этим у рентгена есть серьезные ограничения и ряд противопоказаний, ввиду вредности для организма. Обследование этим способом запрещено для женщин в положении.
В аппаратах МРТ радиоактивные источники вообще отсутствуют, а человек при выполнении обследования находится только под влиянием безопасного, хоть и значительного, электромагнитного поля. Следовательно, МРТ не приносит вреда, а только пользу, причем этот метод обследования по показаниям можно применять неоднократно, без ограничения по времени.
Поддержите наш проект в соц. сетях!
Напишите, что вы думаете Отменить ответ
Вся информация на сайте otravlenye.ru предназначена только для ознакомления и не является инструкцией к действию.
Для получения медицинской помощи настоятельно рекомендуем обратиться к врачу.
Источник: https://otravlenye.ru/polza-i-vred/pribory/est-li-vred-ot-mrt.html
uziprosto.ru
Энциклопедия УЗИ и МРТ
Вредно ли для организма МРТ?
Что говорят о МРТ: есть опасность.
МРТ-диагностика с контрастным веществом
МРТ для клаустрофобов и детей
Принцип работы аппарата: как проходит процедура?
Противопоказания для проведения процедуры
- Наличие у пациентов в организме любых металлических имплантатов, инородных тел, кардиостимуляторов, слуховых аппаратов и т.д. Магнитное излучение будет притягивать к себе эти предметы, чем может нанести вред больному и отразиться на снимках искаженными данными.
- Аллергическая реакция на контрастное вещество. Перед процедурой пациентам, как правило, назначают аллерго-пробу.
- Среди заболеваний, при которых МРТ-сканирование не рекомендуется, отмечают клаустрофобию (в закрытых камерах), сердечно-сосудистые заболевания.
- Также запрещено проводить диагностику пациенту, находящемуся в состоянии алкогольного опьянения.
- Беременные женщины на ранних сроках диагностику не проходят.
Похожие статьи
Вредно ли для здоровья делать МРТ
МРТ: польза или вред для организма
Мифы о проведении МРТ
- МРТ и облучение. Многие пациенты уверяют, что полученная доза облучения становится причиной поредения волос, сильнейших приступов мигрени, ломоты в суставах и костях. Если проходить процедуру с умом, при этом не накручивать себя страшными фантазиями, подобные последствия для организма исключены в полном объеме.
- МРТ и приступы. Некоторые больные настаивают, что повторное проведение процедуры может привести к обострению основного заболевания, длительному приступу. На самом же деле магнитное поле высокой частоты, создаваемое при работе томографа, не способно нанести вред организму. Поэтому таким прогрессивным методом можно диагностировать заболевания ослабленного позвоночника и даже головного мозга.
- МРТ и жизнь. Есть мнение, что каждое последующее обследование методом МРТ укорачивает жизнь. На самом деле организм человека спокойно переносит сразу несколько повторных диагностик, при этом патологические процессы органического ресурса исключены в полном объеме. Соглашаться на МРТ требуется такое количество раз, сколько рекомендует специалист.
- МРТ и влияние на плод. Беременные женщины уверены, что магнитно-резонансная томография может убить ребенка на любом сроке «интересного положения». Это не правда, а в осложненных клинических картинах такую диагностику проводят незадолго до родов. Что же касается ранних сроков беременности, в этот период желательно воздержаться от информативного обследования органов малого таза и репродуктивной системы.
- МРТ и клаустрофобия. Есть субъективное мнение, что пациенты с боязнью замкнутого пространства не могут пройти процедуру для постановки окончательного диагноза. Отчасти это правда, поскольку наличие томографа уже предусматривает ограниченную плоскость. Однако можно не бояться действия открытого типа МРТ, когда пациента необязательно помещать в узкую камеру даже на несколько минут. Так что альтернатива имеется, главное – не исключать предложения и рекомендации лечащего врача.
Опасность проведения МРТ
В остальном, МРТ не вредит здоровью, мало того, позволяет даже спасти человеческую жизнь при своевременной диагностике обширного патологического процесса. Так что не стоит игнорировать ценные рекомендации врача, тем более, если после сбора данных анамнеза и изучения истории болезни относительные и абсолютные противопоказания не обнаружены. На этом оканчиваются вопросы на тему: «МРТ», вредно ли для здоровья использование томографа – определяет лечащий врач.
Общегородская служба записи на МРТ и КТ
- подбор оптимальной клиники и запись на обследование
- запись по всем районам города
Добавить комментарий Отменить ответ
Вред и польза МРТ для здоровья человека — влияние на организм и последствия облучения
Вредно ли МРТ, и как электромагнитное поле, создаваемое аппаратом, влияет на человеческий организм? Можно ли подвергать процедуре ребенка или беременную женщину? Что будет, если провести диагностику с контрастным усилением? Все эти вопросы возникают у многих людей, которые получают направление на достаточно дорогую диагностическую процедуру МРТ. Попробуем ответить на них в данной статье.
Вредно ли обследование МРТ для организма?
Методика исследования человеческого организма с помощью МРТ применяется в медицине недолго – около двадцати лет. Большинство пациентов смутно представляет себе принцип действия и устройство аппарата.
По этой причине, получая направление на исследование позвоночника, коленного сустава, или, например, головного мозга, больной опасается, не нанесет ли сканирование вреда его организму. На самом деле магнитно-резонансная томография абсолютно безвредна в подавляющем большинстве случаев. Если доктор учитывает индивидуальные особенности организма пациента и имеющиеся противопоказания к проведению процедуры, то МРТ не навредит.
Влияние МРТ на человека
Какое влияние оказывает на организм человека применение МРТ излучения? Действие магнитно-резонансного томографа основывается на комплексном электромагнитном излучении. Передвижной стол, где располагается пациент, помещается в «туннель» аппарата. «Туннель» — это камера цилиндрической формы, защищенная пластиковой оболочкой от огромного магнита, который окружает ее со всех сторон.
Под воздействием магнитного поля аппарата, атомы водорода в тканях человека переориентируются в соответствующем ему направлении. Затем, при включении высокочастотных колебаний, происходит их возбуждение. Сигналы от последнего улавливаются датчиками и передаются на компьютер для расшифровки и формирования изображения, которое и показывает состояние исследуемой ткани или органа. То есть никаких принципиальных изменений в организме человека во время процедуры не происходит.
Переориентация и возбуждение водородных атомов – это абсолютно неощутимые явления, они никак не влияют ни на самочувствие, ни на здоровье пациента. Можно заключить, что проводить исследование не вредно.
Облучение электромагнитными волнами
К примеру, опасность развития патологических изменений возникает при ежедневном продолжительном (8-9 часовом) воздействии промышленного (даже не медицинского) источника электромагнитного излучения в течение 2-3 лет подряд, без перерывов. Получить такую дозу облучения, проходя непродолжительные процедуры МРТ, практически невозможно, поэтому нет оснований опасаться за свое здоровье.
Как часто можно делать МРТ позвоночника и суставов?
Насколько часто допустимо подвергаться сканированию с применением ЭМП? Проходить МРТ-обследование позвоночника и суставов (в том числе коленного) можно неограниченное количество раз, при условии отсутствия у человека абсолютных противопоказаний к проведению процедуры.
Во время сканирования не происходит облучения пациента рентгеновскими лучами, поэтому делать длительные перерывы между МРТ не требуется. Процедуру можно проходить сколько угодно раз даже в течение одного дня – здоровью это не вредит. К примеру, при выявлении и лечении рассеянного склероза, онкологических заболеваний или травм позвоночника и суставов (в том числе коленного) показаны неоднократные сканирования в течение небольшого промежутка времени.
Есть ли опасность в проведении обследования детям и беременным?
К списку условных ограничений по проведению процедуры с помощью МРТ относят детский возраст до 7 лет и ранние сроки беременности. Вред или польза ЭМП для плода в настоящее время не подтверждены. Специалисты утверждают, что пока не выявлялись случаи, когда сканирование приводило к развитию внутриутробных аномалий. Однако в связи с тем, что в первые 12 недель плод особенно уязвим, по возможности обследование рекомендуют отложить до родов или на более поздние сроки.
Вредит ли магнитно-резонансная томография здоровью ребенка? Само по себе электромагнитное излучение, в тех количествах, которое вырабатывается томографом, не опасно даже для самых маленьких пациентов. При обследовании малышей возникает другая проблема — ребенок не может лежать неподвижно в узкой трубе томографаминут.
Чтобы провести полноценную процедуру и получить достоверный результат, сканирование приходится осуществлять под общим наркозом. Последний вредит сердечно-сосудистой и нервной системе маленького пациента. По этой причине злоупотреблять МРТ не рекомендуется – это может быть вредно.
Последствия при использовании контрастных веществ
При подозрении на наличие опухолей или необходимости диагностировать состояние сосудов показано проведение МРТ с контрастным усилением. Можно ли ожидать различных неприятных сюрпризов после такой процедуры?
В качестве контрастирующих веществ часто применяются препараты на основе гадолиния. В редких случаях они способы вызывать у пациента аллергическую реакцию. По статистике от повышенной чувствительности к гадолинию страдает 0,01% больных, которые проходят процедуру МРТ. Несмотря на такие незначительные показатели, перед диагностикой с контрастированием будут сделаны аллергопробы. Если аллергии нет, то вероятность возникновения неприятных последствий из-за МРТ близка к нулю.
В каких случаях контрастирование вредно? Спровоцировать ухудшение состояния здоровья пациента и рецидивы хронических заболеваний МРТ с контрастом может в том случае, если обследуемый страдает от почечной недостаточности или цирроза печени. Эти состояния относятся к числу противопоказаний к проведению томографии. Во время вынашивания ребенка процедуру с контрастным усилением делают только в экстренных случаях.
Противопоказания к МРТ
Исследование МРТ, при котором аппарат не облучает человека рентгеновскими лучами, а проводит сканирование посредством комплексного воздействия магнитного поля и высокочастотных колебаний, считается одним из самых безопасных методов. Однако существует ряд противопоказаний к проведению процедуры. Они подразделяются на абсолютные и относительные.
К числу относительных запретов относится I триместр беременности. Вредность МРТ для плода на ранних сроках развития в настоящий момент не доказана, однако проведение исследования рекомендуется «на всякий случай» отложить.
- сканирование с контрастом запрещено проводить пациентам, страдающим от повышенной чувствительности к гадолинию или нарушений экскреторной функции почек;
- болезни в стадии декомпенсации;
- психические расстройства, не поддающиеся даже временной коррекции;
- клаустрофобия (больной может проходить обследование только в аппарате открытого типа);
- вшитые электрические приборы или импланты из металлов и сплавов в организме человека.
Польза магнитно-резонансной томографии
К числу преимуществ МРТ перед другими диагностическими процедурами, применяемыми в современной медицине, относятся:
- минимальный перечень противопоказаний;
- отсутствие ограничений по частоте проведения сеансов;
- возможность отслеживать динамику изменения состояния организма;
- допустимо применять при диагностике заболеваний у детей с рождения;
- низкая вероятность возникновения побочных эффектов;
- особенно эффективная при визуализации структур спинного и головного мозга, прочих нервных тканей.
может процедура и безвредная, но в моем городе точно не полезная.Заплатила кучу денег, в итоге диагност откровенно «копался» в моей карточке и просто «подогнал» расшифровку под предварительный диагноз.Если и идти на МРТ, то только к высококлассному специалисту.
Вам не нужно переделывать МРТ, просто отнесите снимки на диске другому врачу.Диагностика дает отличный результат — мне ставили разные диагнозы при болях в позвоночнике и назначали разное лечение.Только после МРТ получилось точно определить заболевание, назначили операцию.
Внимание! Вся информация на сайте предоставляется исключительно в справочных целях и носит ознакомительный характер. По всем вопросам диагностики и лечения заболеваний необходимо обратиться к врачу за очной консультацией.
Источник: https://uzimetod.ru/mrt/o-diagnostike/vredno-li-mrt.html