Ангиография сосудов головного

Ангиография сосудов головного[Ангиография сосудов головного]

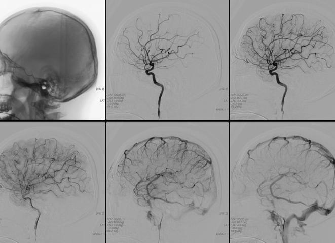
Ангиография сосудов головного мозга: церебральная, артерий шеи, как проводится

Церебральная ангиография сосудов головного мозга — это современная инструментальная диагностическая процедура, которая позволяет в буквальном смысле увидеть необходимый участок кровеносной системы. Перед тем как проводится сканирование, в исследуемый сосуд вводят контрастное вещество. С его помощью на рентгеновском снимке будут четко просматриваться все нарушения вен и артерий, если они есть. Подробнее ...

Ангиография сосудов головного мозга

Ангиография сосудов головного мозга[Ангиография сосудов головного мозга]

Ангиография сосудов головного мозга

Зачатки ангиографии сосудов как метода исследования появились очень давно, в 1986 году, сразу после великого открытия Рентгеном нового вида излучения. Именно тогда реализовали идею сделать рентгеноконтрастными сосуды некоторых органов трупа. Однако интенсивно развиваться данное направление начало только сейчас, когда появились необходимые для этого технические возможности. Подробнее ...

Ангиография сосудов головного мозга что это

Ангиография сосудов головного мозга что это[Ангиография сосудов головного мозга что это]

Ангиография сосудов головного мозга: что это такое, расшифровка

В этой статье вы узнаете, зачем нужна ангиография головного мозга, что это за вид диагностики, при каких подозрениях и симптомах ее назначают, как расшифровываются результаты ангиографии, а также к какому врачу обращаться для проведения обследования. Подробнее ...

Ангиография сосудов что это

Ангиография сосудов что это[Ангиография сосудов что это]

Ангиография – исследование кровеносных сосудов

Оглавление

Кровеносные сосуды представляют собой эластичные трубчатые образования в теле человека, по которым происходит перемещение крови по всему организму. К сожалению, данные образования также как и все остальные внутренние органы человеческого организма могут подвергнуться повреждению. Кроме этого в медицинской практике нередко встречаются и различные пороки их развития. Вне всякого сомнения, оставлять данный факт без должного внимания просто-напросто нельзя. Во всех этих случаях сосуды нужно лечить. Установить же, что именно произошло с кровеносными сосудами, поможет такой метод исследования как ангиография. Что представляет собой данное исследование? В каких случаях следует обращаться за его помощью? Какова методика его проведения? Какие цели оно преследует? Ответы на все эти, а также некоторые другие вопросы Вы сможете узнать прямо сейчас. Термин ангиография произошел от 2-ух слов «angeion» и «grapho», что в переводе с греческого языка означает «сосуд» и «изображать, писать». Под данным понятием подразумевается метод контрастного рентгенологического исследования кровеносных сосудов организма, который позволяет дать точную оценку их общему состоянию. Сразу же отметим, что современные специалисты нередко именуют данное исследование вазографией. Немаловажно отметить и тот факт, что его применяют как в рентгенографии, так и в компьютерной томографии, а также в рентгеноскопии. При помощи данного обследования удается внимательно изучить как функциональное состояние сосудов и окольного кровотока, так и протяженность патологического процесса, если таковой имеется. Проводится процедура исключительно врачом-радиологом. Впервые о данном методе исследования стало известно в 1929 году благодаря ученому В. Форсману, который провел процедуру самому себе. Со временем о данной методике стало известно всему миру. На сегодняшний день ангиографию принято считать незаменимым методом диагностики преимущественно при внутрисосудистых исследованиях. Во всех же остальных случаях данную методику нередко заменяют коронографией (обследованием сосудов, снабжающих кровью сердце). В современной медицине имеются 2 методики обследования сосудов, а именно: 1. инвазивная либо минимально инвазивная; 2. неинвазивная. Подробнее ...

Ангиография мрт сосудов головного мозга

Ангиография мрт сосудов головного мозга[Ангиография мрт сосудов головного мозга]

Диагностическая ценность магнитно-резонансной ангиографии

Магнитно резонансная томография позволяет изучать не только структуру внутренних органов человека, но и состояние кровеносных сосудов. Для этого проводят МРТ в режиме ангиографии. Определим особенности проведения диагностики заболеваний кровеносной системы и выясним, что она может показать, а также какие бывают показания и противопоказания к процедуре. Подробнее ...

Ангиография артерий шеи

Ангиография артерий шеи[Ангиография артерий шеи]

Для чего назначают УЗИ артерий шеи

Ультразвуковое исследование – безболезненный, достаточно безопасный и максимально доступный аппаратный метод диагностики всевозможных заболеваний сосудов. Применение узи артерий шеи целесообразно при подозрении на различные отклонения в работе сосудистой системы. Высокая информативность исследования обеспечивает максимально точное диагностирование патологических изменений в организме пациента. Ультразвуковое обследование позволяет выявить невидимые проблемы на раннем этапе, не допуская опасного развития отклонений. Подробнее ...

Ангиография артерий головного мозга

Ангиография артерий головного мозга[Ангиография артерий головного мозга]

Ангиография сосудов головного мозга: виды исследования, противопоказания

Ангиографический способ изучения на сегодня является лучшим методом диагностики сосудистых патологий. Он позволяет получить функциональную и анатомическую картину движения тока. Проводится под воздействием рентгеновских лучей или магнитного поля. Наиболее информативно с введением препаратов для создания контраста с другими тканями. Препарат вводят через катетер, установленный в позвоночную, сонную артерию или в бедерную. В этом случае говорят о катетеризационном методе. Если препарат вводят через прокол изучаемого сосуда, метод называют пункционным. Подробнее ...

Анемия низкий гемоглобин причины

Анемия низкий гемоглобин причины[Анемия низкий гемоглобин причины]

Низкий гемоглобин – Анемия. Причины, симптомы и лечение низкого уровня содержания красных кровяных клеток, или малокровия

Анемия, или же состояние малокровия, это патология, при которой в крови отмечается низкое содержание функционально полноценных красных клеток – эритроцитов. В них находится железосодержащий пигмент – гемоглобин, который как раз и придает крови красный цвет. Подробнее ...

Анемия костного мозга

Анемия костного мозга[Анемия костного мозга]

Почему возникает апластическая анемия

На сегодняшний день существует множество различных нарушений в функционировании кровеносной системе человека, которые имеют отличные друг от друга причины возникновения, по-разному проявляются клинически. Различны и прогнозы протекания таких заболеваний. Одним из примеров таких заболеваний является апластическая анемия. Подробнее ...

Анемия анализ крови показатели

Анемия анализ крови показатели[Анемия анализ крови показатели]

Узнаем показатели анализа крови при анемии

Анемия представляет собой заболевание, связанное с нарушением баланса образования и разрушения эритроцитов. Причины такой ситуации могут быть различными. Анемия чаще всего не является самостоятельным заболеванием. Она сигнализирует о каких-либо серьезных нарушениях в работе всего организма или его отдельного органа. Выявить малокровие помогают сданные вовремя анализы крови: общий клинический и биохимический. Подробнее ...