Ангиография сосудов головного мозга

Ангиография сосудов головного мозга[Ангиография сосудов головного мозга]

Ангиография сосудов головного мозга

Зачатки ангиографии сосудов как метода исследования появились очень давно, в 1986 году, сразу после великого открытия Рентгеном нового вида излучения. Именно тогда реализовали идею сделать рентгеноконтрастными сосуды некоторых органов трупа. Однако интенсивно развиваться данное направление начало только сейчас, когда появились необходимые для этого технические возможности.

Ангиография сосудов – абсолютно безопасный и самый точный метод обнаружения отклонений в этой области. Специалист по данным, полученным в результате этой процедуры, может с высокой точностью определить состояние сосудистой сети головного мозга и других органов, выявить нарушения, оценить биологические процессы. В итоге точно поставленный диагноз позволяет назначить адекватное лечение и привести к отличным результатам.

Ангиография сосудов головного мозга применяется для выявления таких патологий, как сужение просвета сосудов, аневризмы, нарушений функционирования почек, сердечных заболеваний, пороков развития внутренних органов, для диагностики новообразований, кист и прочих патологий. Полученный при помощи данного метода снимок дает возможность увидеть сосуды самых разных размеров, во всех органах и системах организма. Часто ангиографию делают перед оперативным вмешательством для точной визуализации опухолей и других патологий, качественной диагностики.

Описание процедуры

В процессе ангиографии сосудов головного мозга сначала проводят пункцию или катетеризацию необходимой артерии, чаще всего – сонной или позвоночной. Чтобы исследовать все сосуды мозга делают пункцию аорты либо проводят пункцию периферической артерии и затем катетер доводят до устья сонной или позвоночной артерии.

Далее вводят рентгеноконтрастное вещество в кровоток, оно почти непрозрачно для рентгеновских лучей, что формирует четкую картину сосудов головы. Сьемку головы проводят в боковой и передне-задней проекции. Сразу же проявляют снимки и если есть необходимость в дополнительном введении контрастного вещества, повторяют процедуру и делают дополнительные снимки. После того, как контраст пройдет по всем тканям, делают серию снимков, показывающих отток венозной крови. Потом процесс завершают, удаляют катетер или иглу для пункции.

В основном, процедура ангиографии длится около часа. Это инвазивная манипуляция, которая требует временной госпитализации больного и нахождение его в стационаре определенное время. Ему проводят необходимые исследования: анализ крови на биохимию, общий анализ крови и некоторые другие, в зависимости от показаний. Больной должен прекратить прием некоторых препаратов, влияющих на реологические свойства крови.

За 8 часов до проведения ангиографии нельзя есть, иногда необходимы седативные препараты. Непосредственно перед процедурой принимают душ. Саму ангиографию проводят с применением местной анестезии. Необходимо проведение пробы на аллергию перед введением контрастного препарата. Под кожу вводят небольшое количество препарата и анализируют реакцию. Если наблюдаются проявления аллергии, процедуру ангиографии отменяют. В таком случае ее можно заменить магнито-резонансной ангиографией, которая не предусматривает введение контрастного вещества.

Еще в течении 8 часов после процедуры пациент должен находиться под врачебным контролем. Доктор осматривает место пункции, проверяет пульс, чтобы предупредить возможные осложнения и своевременно их вылечить. Кроме того, рекомендуется обильное питье, которое помогает контрастному веществу быстрее покинуть организм.

Показания к проведению ангиографии

Ангиография сосудов головного мозга показана в таких случаях:

  • диагностика состояния сетчатки глаза;
  • атеросклероз сосудов головы;
  • подозрение на наличие опухоли;
  • диагностика перед операцией на головном мозге, контроль ее проведения;
  • ишемия сосудов мозга;
  • жалобы на частые головные боли;
  • состояние после инсульта;
  • травма головы.

Противопоказания

Несмотря на то, что данный метод обследования сосудов малотравматичен и достаточно безопасен, существуют состояния, при которых он противопоказан. К абсолютным противопоказаниям относятся наличие кардиостимулятора, хронические заболевания почек, беременность в первом триместре и электронный имплантат. Относительные противопоказания – беременность, искусственные клапаны сердца, инсулиновый насос, клаустрофобия и другие.

Чаще всего проведение процедуры отменяется при таких заболеваниях: почечная, печеночная или сердечная недостаточность, аллергия на йод и другие рентгеноконтрастные вещества, нарушения свертываемости крови, определенные психические расстройства.

После проведения ангиографии возможно развитие осложнений. Поэтому первые сутки больной должен соблюдать постельный режим и быть под врачебным контролем. Повязка снимается на второй день и если пациент перенес процедуру удовлетворительно, а на месте прокола не появляется кровоизлияния, его отпускают домой. Однако, примерно в пяти процентах случаев возможно появление осложнений. Они могут проявляться как аллергия на асептик, анестезию либо само контрастное вещество. Возможны проблемы с местом прокола: кровотечение или кровоизлияние. В совсем редких случаях могут появиться тяжелые состояния, такие, как острая почечная недостаточность, инфаркт миокарда и прочие. КТ ангиография сосудов головного мозга визуализирует срезы интересующего органа при помощи рентгеновского излучения. Такие срезы обрабатываются при помощи компьютера и формируется трехмерное изображение органа. При этом виде исследования в вену предплечья вводится контрастное вещество. КТ ангиография не предусматривает госпитализации пациента и использование обезболивающих средств.

Альтернативой классической ангиографии сосудов и КТ ангиографии является МР ангиография сосудов головного мозга. Она основана на использовании магнитно-резонансного томографа и не требует пункции артерий. Такой тип исследования имеет огромные преимущества перед другими аналогичными методами: он дает информацию о функциональном и структурном состоянии сосудов мозга. Его суть в том, что сигналы от движущейся по сосудам крови и неподвижных окружающих органов различаются. В основном, при этом можно обойтись без введения в кровоток контрастных веществ. Но иногда они все же нужны и в качестве таких веществ используются препараты на базе парамагнетиков, например, гадолиния.

При МРТ сосудов врачом оцениваются физическое состояние сосудов, их анатомия, особенности, биологические и химические процессы, проходящие в мозговой ткани. Возможно получение трехмерного изображения интересующей области, а также плоских срезов. Можно выделить отдельный сосуд головного мозга с целью его более детального изучения. При помощи данного метода нарушения в сосудах мозга выявляются на самой ранней стадии. Это дает возможность врачу разработать тактику лечения, которая принесет максимальную пользу, а пациенту – позволит быстро избавиться от проблемы. Таким образом, МРТ сосудов на сегодняшний день является ведущим методом исследования.

Особенности проведения ангиографии сосудов головного мозга: преимущества и недостатки

В жизни человека могут наступить различные ситуации, приводящие к нарушению кровообращения головного мозга. Для правильного и верного исследования сосудов и был придуман сравнительно новый метод диагностики — ангиография сосудов головного мозга (именуемая также церебральной ангиографией).

Необходим этот способ диагностики для того, чтобы увидеть и оценить состояние артерий, сосудов и вен головного мозга.

Успешность любого медицинского исследования зависит от его правильного применения и знания множества тонкостей диагностики.

Подготовка пациента

Перед тем, как пациент пройдет обследование, его лечащий врач должен назначить прохождение полного обследования, которое включает в себя:

  • общий анализ крови, а также клинический и биохимический анализы;
  • общий анализ мочи;
  • анализ крови, направленный на определение группы крови и резус-фактора.

Кроме того, за некоторое время до начала исследования необходимо перестать принимать (или воздержатся от приема) лекарства, которые могут повлиять на свертываемость крови. Например, к такому лекарственному препарату можно отнести аспирин.

Для того чтобы исключить аллергию на вводимое вещество, пациенту предварительно делают специальную пробу, которая и показывает реакцию. Пробу с контрастирующим веществом вводят пациенту подкожно и следят за возможными проявлениями. Если возникли какие — либо симптомы (сыпь, рвота, тошнота и т. д.), то исследование отменяют.

Это важно! При отмене описываемого исследования, связанного с возникновением аллергической реакции, пациенту назначают МР — ангиографию сосудов головного мозга (магнитно — резонансное исследование), которая исключает возможность применения контрастирующих веществ.

Процесс проведения исследования

Исследование головного мозга заключается во введении специального рентгенологического вещества (контраста) в сосудистое русло и считается инвазивной процедурой (связанной с проникновением в тело человека через внешние естественные барьеры организма — кожу, различные слизистые оболочки и прочее). Перед введением контраста, пациенту обрабатывают поверхность кожи антисептиком местного действия и дают успокоительные препараты.

В процессе проведения ангиографии на компьютер выводится несколько рентгенологических снимков (при этом они должны быть сделаны в боковой и переднезадней проекции). В основном, в процессе проведения ангиографии в указанных выше проекциях делают около 5 снимков, если же исследуют кровоток, то количество снимков получается около 20 штук.

Катетеризации могут быть подвергнуты различные артерии. Например, катетер могут вставить в бедренную или плечевую артерию.

Проведение ангиографии требует нахождения под пристальным наблюдением врачей. При этом наблюдение должно осуществляться как до, так и после проведения исследования.

Введение контраста в сосудистое русло осуществляется следующим образом: кожу пациента обрабатывают антисептическим средством (предварительно сбрив волосяной покров), после чего на ней делают разрез. После того, как под разрезом находят артерию, ее прокалывают специальной иглой, через которую вводят проводник до необходимого уровня.

Проводник необходим для введения катетера, через который и попадает контрастирующее вещество в организм человека, после чего сразу делают несколько рентгенологических снимков. После их получения катетер и проводник удаляют, на место прокола накладывают повязку.

Все манипуляции проводят только с использованием рентгенотелевидения. Необходимо это для осуществления наблюдения.

Продолжительность процедуры составляет около 40−60 минут. После прохождения процедуры, следующие 6 часов, пациент должен соблюдать постельный режим и находится под наблюдением врачей, которые осматривают место прокола, а также осуществляют иные действия направленные на поддержание жизненно важных показателей человека.

Кроме того, если катетер вводили в бедренную артерию, то пациенту необходимо воздержаться от сгибания ноги на протяжении 6 часов. Врачи постоянно наблюдают за состоянием конечности, ее цветом. Дело в том, что могут появиться симптомы дезориентации, тромбоза и гематомы, а также ее онемение. Тоже самое производят и с рукой, если катетеризация была осуществлена через плечевую артерию.

Это важно! Контрастное вещество выводится организмом, через почки, спустя сутки.

Как и любое исследование, церебральная ангиография преследует свои цели, к которым можно отнести:

  • диагностику пораженных церебральных сосудов, а также такие отклонения, как аневризмы, тромбоз, окклюзию и сужение артерий.
  • выявление спазмов сосудов, а также их смещение, которые могут быть обусловлены различными предпосылками (такими как опухоль, отек мозга, повышение внутричерепного давления и многими другими).

Если у человека наблюдаются такие симптомы, как длительные боли в области головы (которые не исчезают после приема болеутоляющих лекарств), сопровождающиеся головокружением и потерей сознания, а также тошнота, то обязательно необходимо прохождение церебральной ангиографии. К тому же, ее прохождение может быть назначено перед проведением нейрохирургической операции на мозге.

Проведение церебральной ангиографии показано в тех случаях, когда предварительное КТ ангиография сосудов головного мозга и МР ангиография артерия головного мозга показала поражение церебральных сосудов.

Описываемое исследование можно применять не всем. Для того чтобы исключить наступление нежелательных последствий, медицинской практикой выработаны определенные требования, при которых нельзя проводить рассматриваемый вид диагностики.

Противопоказания к процедуре

К противопоказаниям ангиографии головного мозга относят:

  1. Наличие сердечной, почечной или печеночной недостаточности, находящейся в стадии декомпенсированности (т. е. в состоянии острого течения).
  2. Наличие различных психических отклонений.
  3. Возникновение различных аллергических реакций. Например, на йод или иные вещества, которые могут быть применены в качестве контрастирующего вещества.
  4. Появление опухоли и кисты на сосудах.
  5. Наличие заболеваний, влияющих на свертываемость крови.
  6. Состояние беременности и последующий период кормления грудью.

Существует множество положительных качеств, которые несет рассматриваемый вид диагностики. Но, при проведении исследования можно выделить и некоторые недостатки.

К основным преимуществам ангиографии сосудов головного мозга (независимо от ее разновидности — МРТ или СКТ) относят возможность диагностирования различных патологических процессов, происходящих в сосудах (к примеру, опухоли, микроинсульты).

Большинство людей, после применения ангиографического исследования чувствуют себя прекрасно. Но, существует 5% людей, которые, все же, имеют осложнения после указанного вида диагностики.

Основными недостатками ангиографии головного мозга являются:

  • Возникновение различных аллергических реакций не только на вводимое контрастное вещество, но и на антисептик (анестезию) в процессе проведения исследования.
  • Возможные кровоизлияния (кровотечение), которые возникают в месте прокола сосуда.
  • Редкими, но все же, недостатками считаются возникновение ситуаций, приводящих к таким осложнениям, как инфаркт миокарда, инсульт и прочие тяжелые сердечные заболевания.

Оцените статью: (голосов: 1 , среднее: 2,00 из 5)  Loading …

Что такое ангиография сосудов головного мозга?

Ангиография сосудов головного мозга занимает важное место в системе диагностических мероприятий. Этот метод характеризуется высокой точностью, что позволяет использовать его в условиях, когда остальные виды исследований не дают нужного результата. Основой ангиографии является проведение рентгенологического исследования с применением контрастного вещества. Использование новейшей аппаратуры гарантирует быстрое и точное определение патологии, без оказания отрицательного влияния на состояние здоровья пациента.

Суть мероприятия

Церебральная ангиография сосудов головного мозга – диагностический способ, который дает возможность получить четкие снимки элементов кровеносной системы головного мозга с возможностью создания трехмерного изображения. В силу этой особенности специалисты могут выявить патологические изменения, которые происходят в сосудистой системе органа. Ангиография – это специфический способ, имеющий важное значение для выявления опухолевых болезней мозговых структур.

При осуществлении процедуры в артерию больного вводят рентгенконтрастное вещество, которое позволяет визуализировать сосуды на пленке – именно благодаря этому можно добиться максимальной четкости на изображении.

Профессор Валентин Евгеньевич Синицын и кандидат медицинских наук Сергей Владимирович Волков подробно рассказывают о новом методе диагностики:

Ангиография сосудов шеи и головного мозга имеет разновидности в плане цели проведения процедуры, а также используемого для диагностики оборудования.

Если брать за основу классификации методику подачи вещества, то различают пункционную процедуру, при которой контраст вводят в сосуд при помощи пункционной иглы, и процедуру, для которой используют катетер, подающий вещество в артерию. Трубку к нужному сосуду проводят с периферии, как правило, из бедренной артерии.

По критерию объема проводимого исследования выделяют следующие виды диагностики

Таблица 1. Виды ангиографического исследования

Тип диагностики Особенность проведения
Общий В данном случае получают общую картину состояния головного мозга, контраст при этом вводят в аорту в области брюшины или груди.
Селективный В ходе диагностики получают снимки для исследования каротидного или вертебробазилярного бассейна. Контрастное вещество подается в церебральные сосуды.
Суперселективный Объектом исследования выступает сосуд одного из кровеносных бассейнов, имеющий меньший калибр.

Еще один критерий, по которому можно классифицировать разновидности ангиографии сосудов мозга, – метод получения изображения. По этому признаку выделяют следующие виды процедуры:

  1. Классическая ангиография. При таком исследовании контраст вводят в определенную артерию, а снимки получают при помощи рентген-аппарата;
  2. КТ-ангиография сосудов головного мозга. Когда специалист оканчивает введение контраста в вену, снимки выполняют с помощью компьютерного томографа, после чего специалист моделирует трехмерное изображение общей картины сосудистого русла. Достоинство этого метода – пониженная лучевая нагрузка на организм пациента;
  3. МР-ангиография, которая также известна как безконтрастная томография. При таком исследовании сосудов применяют возможности магнитно-резонансной томографии. Метод прогрессивен: он не требует контрастирования, хотя оно может применяться для повышения результативности. МР-ангиография имеет минимальное количество противопоказаний к проведению, являясь в то же время наиболее информативным методом.

Аппарат для проведения ангиографии

Указанный способ диагностики выполняется исключительно по предписанию врача. Для проведения ангиографии имеются веские основания.

Перечень показаний и противопоказаний

Ангиография сосудов мозга требуется:

  • В случае регулярных потерь сознания и при головных болях, которые нельзя подавить при помощи обычных лекарственных средств в виде обезболивающих;
  • При болевых ощущениях, локализующихся в шее;
  • При частом возникновении чувства тошноты и головокружениях, а также шуме и звоне в ушах;
  • В случае подозрения на повреждения и пороки развития сосудов, среди которых – аневризма, опухолевые процессы, атеросклероз, тромбозы;
  • После того, как больной перенес инсульт головного мозга или микроинсульт;

Аневризма на снимках КТ-ангиографии сосудов головного мозга

  • При подозрении на опухоль головного мозга;
  • При эпилептических припадках;
  • В случае наличия гематом и кровоизлияний внутри черепной коробки;
  • В целях диагностики мозговой недостаточности;
  • В ходе подготовки к операциям хирургического плана, которые предполагают вмешательство в мозговые структуры;
  • В целях мониторинга эффективности лечения в послеоперационный период.

Ангиография головного мозга обладает рядом противопоказаний. Это:

  1. Аллергические реакции на йод и другие вещества, которые используются для контрастирования;
  2. Вынашивание плода и период грудного вскармливания;
  3. Нарушения свертывающих свойств крови;
  4. Некоторые психологические заболевания, в частности – клаустрофобия;
  5. Острые воспалительные процессы в организме и заболевания инфекционного генеза;

На видео рассказывается об аллергической реакции на йод и ее лечении:

  1. Отклонения в функционировании сердца, печени, почек;
  2. Наличие тромбофлебита;
  3. Общее состояние больного, которое расценивается как тяжелое. Подобное может наблюдаться при тяжелых нарушениях работы сердца, коме;
  4. Высокая степень ожирения (для КТА и МРА);
  5. Нарушения функционирования щитовидной железы.

Характеристика классического вида диагностики

Цели классической ангиографии, а также процедуры с использованием томографов, аналогичны. Однако каждый способ имеет свои особенности.

Подготовительный этап перед ангиографией подразумевает выполнение пробы на определение чувствительности к контрастным веществам. В этих целях внутривенно вводят вещество в количестве не более 2 мл, после чего в течение нескольких часов наблюдают за состоянием пациента. Если проявляются аллергические реакции, удушье, тошнота, головная боль, то проводят МРА сосудов головного мозга, не требующую использования контраста.

Поскольку ангиография предусматривает нарушение целостности сосудистого русла, больному назначают предварительные лабораторные и инструментальные исследования – ЭКГ, анализы крови и мочи, исследование функции почек, определение свертываемости крови.

Также предварительно определяют группу и резус крови, чтобы, в случае осложнения процедуры, иметь возможность переливать кровь определенного типа.

Непосредственно перед проведением диагностики больному следует учесть такие моменты: специалист может попросить его отказаться от приема пищи или некоторых лекарственных средств за 8-12 часов до исследования. Перед началом процедуры пациент должен снять все металлические предметы и украшения.

Ангиография головного мозга в классическом виде включает несколько последовательных стадий:

  • Катетер в виде пластиковой трубки подводят к нужному сосуду через сонную, бедренную или позвоночную артерию;
  • Далее осуществляется введение контрастного вещества. Его предварительно прогревают до температуры тела пациента. Процедура проходит под местной анестезией;

Введение контрастного вещества через катетер перед проведением диагностики

  • Далее делают серию рентгеновских снимков в двух проекциях;
  • После завершения исследования катетер извлекают, место на этом участке плотно прижимают, чтобы избежать кровотечения, а через 15 минут накладывают стерильную повязку.

Необходимо обратить внимание: введение контраста иногда приводит к появлению специфических ощущений. Это чувство жара, прилив крови к лицу, появление металлического привкуса в ротовой полости.

При подобного рода исследовании сосудов мозга хотя и редко, но могут возникнуть осложнения, например, рвота, судорожные припадки, снижение артериального давления, появление одышки, отечность и покраснение на месте введения вещества. При тяжелых формах реакции может наблюдаться острое нарушение мозгового кровообращения вплоть до инсульта, а также развитие анафилактического шока.

После исследования ангиографическим методом контрастное вещество выводится из организма через сутки-полтора. Чтобы ускорить этот процесс, рекомендуется пить больше жидкости.

КТ-ангиография и МР-ангиография: характерные особенности

КТ-ангиография сосудов головы и шеи – современный и менее инвазивный метод исследования, предполагающий введение контраста в вены локтевого сгиба. Благодаря тому, что не проникают в артериальную сеть, риск развития осложнений существенно сокращается.

Пациента кладут на стол аппарата и делают ряд рентгеновских снимков органа, которые можно реконструировать в объемные изображения – на них четко визуализируются сосуды головного мозга.

Важными достоинствами процедуры исследования сосудов с помощью компьютерного томографа являются:

  1. Отсутствие осложнений, которые при классической ангиографии возникают вследствие поражения артерии иглой;
  2. Более низкая рентгенологическая нагрузка, сказывающаяся на состоянии пациента;
  3. Высокий уровень информативности.

О различиях в аппаратных методах для проведения диагностики и их результатах рассказывает врач-рентгенолог Азиз Джауланович Халиков:

Разновидность этого метода – МСКТ-ангиография. Особенность процедуры заключается в том, что она проводится при помощи мультиспирального компьютерного томографа. При такой процедуре рентгеноконтрастный препарат вводят внутривенно с помощью электронного шприца под давлением.

МРТ-ангиография сосудов головного мозга проводится при использовании магнитно-резонансного томографа, в основе действия которого – явление ядерно-магнитного резонанса. Благодаря этому режиму полностью исключается неблагоприятное влияние рентген-лучей на организм. Кроме того, введение контраста необязательно. Такая разновидность диагностики разрешена при беременности.

Магнитно-резонансная ангиография сосудов головного мозга и шеи также представляет возможность эффективно исследовать состояние мягких тканей, находящихся в непосредственной близости с ними. Недостаточно эффективна данная методика только при наличии черепно-мозговых травм: МРТ головного мозга с ангиографией не предусматривает глубокого изучения костей и жидкостных структур.

К КТА и МРА подготавливаются так же, как и к классической процедуре ангиографии.

Что продемонстрируют снимки?

При изучении изображений, полученных в ходе процедуры, специалист оценивает, в каком состоянии находятся ткани головного мозга, исходя из их формы, плотности, особенностей расположения. Особое внимание уделяется сосудистым сетям.

Ангиография головного мозга демонстрирует конкретные отклонения:

  • Измененный диаметр сосуда. Подобное обычно указывает на развитие артериосклероза, сосудистого спазма;
  • Ухудшение циркуляции крови, что свидетельствует о внутричерепной гипертонии;
  • Расширение сосудистых стенок, которое возникает при аневризме;

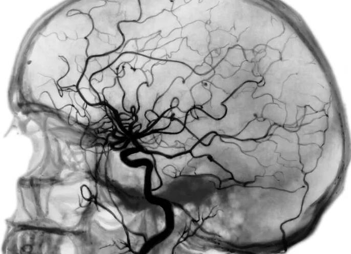
Сосудистые сети головного мозга на снимке

  • Отклонения в строении сонной артерии. Такой симптом характеризует наличие образований, развивающихся вне мозга;
  • Смещение сосудов. На основании данного показателя делают заключение о мозговом отеке, развитии новообразования, нарушении оттока спинномозговой жидкости.

Стоимость диагностического мероприятия колеблется в пределах 3000 – 7000 рублей. Окончательная цена зависит от использования конкретной аппаратуры.

Ангиография головного мозга – информативный диагностический метод, который позволяет, при правильной подготовке и проведении, определить наличие патологических изменений, не вызывая при этом осложнений. Использование современной аппаратуры – томографов – позволяет создать трехмерное изображение исследуемых участков. Такой способ имеет много преимуществ: например, изучив злокачественную опухоль, специалист имеет возможность точно описать все этапы перед предстоящей операцией, что сокращает риск осложнений во время ее проведения.

  1. BROWN MR (September 1951). “The classification and treatment of headache”. Med. Clin. North Am. 35 (5): 1485—93. PMID 14862569.
  2. В.Н. Шток. Головная боль. — Москва: Медицина, 1987. — С. 30—33. — 304 с. — 95 000 экз.
  3. The Headaches, Pg 232—233
  4. Головокружение А. Ю. Лавров, чл.-корр. РАМН, профессор Н. Н. Яхно; ММА имени И. М. Сеченова.
  5. Википедия: О головной боли.

Методы и проведение диагностики сосудов головного мозга: результаты ангиографии

Ангиография сосудов головного мозга – это метод контрастного рентгенологического обследования, применяемый для обнаружения патологий и оценки степени повреждения кровеносных сосудов. В медицинской практике этот метод диагностики применяется уже много лет, также есть более безопасные способы без использования рентгеновского излучения.

Процедура ангиографии представляет собой введение в кровеносную систему йодсодержащего вещества, что позволяет зафиксировать окрашенные сосуды головного мозга на рентгеновском снимке – ангиограмме.

Таким образом, можно увидеть места сужения или расширения сосудов, благодаря чему становится возможным обнаружение:

  • аневризм;
  • тромбов;
  • опухолей;
  • микроинсультов.

Разновидности ангиографии сосудов

Существует несколько разновидностей ангиографии сосудов головного мозга, каждая со своими особенностями. Они подразделяются по трём классификациям.

По способу введения препарата

По способу введения контракста процедура бывает:

  • пункционная — введение рентгеноконтрастного вещества производится через прокол соответствующего сосуда;
  • катеризационная — контраст доставляется к нужному месту через заранее установленный в бедренной артерии катетер.

По месту контрастирования сосудов

Ангиография бывает:

  1. Тотальная. Демонстрируются все сосуды головного мозга. Контрастное вещество вводится через аорту.
  2. Селективная ангиография сосудов головы и шеи. Оценивается состояние одного бассейна, каротидного или вертебробазилярного. Контраст вводится в одну из шейных артерий: сонную или позвоночную.
  3. Суперселективная. Исследуется кровеносный сосуд меньшего калибра. Также может использоваться в качестве метода эндоваскулярного лечения.

По методам обследования

Методики исследования:

  1. Церебральная ангиография. Впервые была проведена ещё в 1927 году. Рентгеноконтрастный препарат вводится через сонную или бедренную артерию. Считается «золотым стандартом» методики исследования.
  2. Вертебральная ангиография. Проводится для выявления сосудов задней черепной ямки или задней мозговой артерии. Позвоночные артерии заполняются либо непосредственным введением, либо непрямым путём ретроградных инъекций в сонную артерию.
  3. Артериография. Контраст вводится под сильным давлением непосредственно в артериальное русло.
  4. Венография. Показывает распределение вен и применяется перед операциями на венах. А также используется при варикозе и тромбозе.
  5. МСКТ-ангиография. Выполняется с помощью мультиспирального компьютерного томографа. В отличие от большинства других методов, контраст вводится внутривенно, кроме того, снижена доза облучения, получаемая пациентам. Вместе это понижает риск осложнений.
  6. МРТ-ангиография. Характеризуется полным отсутствием рентгеновского излучения – можно применять при беременности – и возможностью использования без контрастного вещества (например, в случае непереносимости йода). Однако эта процедура противопоказана при наличии в организме электронных медицинских приборов и металлических элементов, а также при клаустрофобии.

Фотогалерея

Церебральная ангиография КТ-ангиография МР-ангиография

Показания к проведению ангиографии сосудов головного мозга

Основными показаниями являются:

  • аневризма;
  • атеросклероз;
  • тромбоз;
  • опухолевые процессы;
  • подозрение на мальформацию;
  • определение наличия сужения или расширения просвета сосудов;
  • контролирование расположения хирургических клипс.

Ангиографию назначают только в тех случаях, когда другие диагностические методы не дают результата.

Противопоказания для ангиографии сосудов

Ангиографию нельзя проводить при наличии:

  • непереносимости йодсодержащих препаратов;
  • беременности;
  • психических заболеваний;
  • тромбофлебита;
  • острого инфекционного и воспалительного процесса;
  • декомпенсированной недостаточности почек, сердца, печени.

Подготовка к обследованию

Ангиографическому исследованию предшествует медицинский осмотр, включающий в себя:

  • биохимический и клинический анализы крови;
  • кожную аллергическую пробу;
  • ЭКГ.

Пациенту назначаются антигистаминные и седативные препараты. Медикаменты, оказывающие влияние на свёртывание крови, принимать нельзя.

Пациенту следует полностью отказаться от употребления алкоголя за две недели до операции. Место прокола должно быть чистым и выбритым. Необходимо снять все металлические предметы и украшения. Лучше ничего не есть за восемь и не пить воду за четыре часа до процедуры.

Алгоритм проведения процедуры

Такова последовательность ангиографического исследования:

  1. Подписывается согласие на обследование.
  2. Осуществляется подготовка пациента к операции.
  3. Производится прокол бедренной артерии и введение катетера, который затем подводится к нужному месту.
  4. После этого вливается предварительно подогретый рентгеноконтрастный препарат. При этом пациент может почувствовать жар, в остальном процедура совершенно безболезненна.
  5. Затем производятся рентгеновские снимки в двух проекциях (прямой и боковой) для дальнейшей расшифровки результатов.

На видео изображена ангиография сонных и мозговых сосудов. Опубликовано каналом Angio smotri.

Возможные последствия ангиографии сосудов

Вероятность появления осложнений не превышает 5% случаев.

К ним относятся:

  1. Аллергия реакция на вводимое вещество или антисептик.
  2. Кровотечения и гематомы в месте прокола.
  3. Тошнота и рвота.
  4. Судорожные припадки.
  5. Спазм сосудов головного мозга.
  6. Проникновение контраста в мягкие ткани. При большом количестве может вызвать воспалительный процесс.

Расшифровка результатов

Интерпретация результатов ангиографии проводится специалистом. По полученной ангиограмме он оценивает структурно-функциональное состояние сосудистого русла. Рентгеновское излучение в зависимости от плотности органических тканей по-разному через них проходит.

Из-за этого на рентгенограммах выглядят:

  • кости — белыми;
  • ликвор – чёрным;
  • мозговое вещество – серым.

Для всех видов сосудов нормальным считается так называемое «ветвление, как на деревьях»: ровные контуры, равномерное сужение просвета. Разнообразные отклонения от этой нормы могут свидетельствовать о различных заболеваниях, которые уже были упомянуты выше. Таким образом, ангиография показывает, какие присутствуют патологии у пациента и как именно их можно излечить.

Средняя стоимость

Наименование Цена, руб
Рентгеноангиография 3 500-7 500 рублей
МРТ-ангиография 4 000-8 000 рублей
МСКТ-ангиография (мультиспиральная компьютерная томография) 10 000 рублей
Цены актуальны для трех регионов: Москва, Челябинск, Краснодар.

Стоимость ангиографии может сильно отличаться в зависимости от особенностей процедуры и политики поликлиники, поэтому лучше уточнять всё в индивидуальном порядке.

 Загрузка …

Видео

Врач-рентгенолог рассказывает об особенностях МРТ — и КТ-ангиографии. Опубликовано каналом Барсмед ДЦ.


Смотрите также