
МРТ тонкого и толстого кишечника. Гидро МРТ. Колоноскопия
В статье будут рассмотрены разнообразные методы исследования кишечника, их преимущества и недостатки, а в каких случаях будет предпочтителен тот или иной метод диагностики.
Существует множество эффективных и достоверных методов выявления патологий желудочно-кишечного тракта. Самыми информативными считаются гидро МРТ, колоноскопия и ирригоскопия, о которых и пойдет речь.
Кишечник выполняет пищеварительную и выделительную функцию. Складывается орган из двух основных отделов: тонкого и толстого кишечника.
Тонкий кишечник не имеет перегородок и подразделяется на три зоны:
- двенадцатиперстную кишку – выполняет моторную, секреторную и эвакуаторную функцию;
- тощего кишечника, который в большей степени подвержен раковым новообразованиям, аскаридозу и энтериту;
- подвздошной части, отвечающей за различные виды сокращений кишечника и ритмическую сегментацию.
В толстом кишечнике происходит активное всасывание жидкости и формирование каловых масс. В сложную структуру отдела входит:
- Слепая кишка с аппендиксом, которая снижает уровень вредоносных веществ в организме и отвечает за нормальное функционирование иммунной системы. Заболевания, выявляемые при поражении данной области – аппендицит, тифлит, опухоли доброкачественного и злокачественного происхождения.
- Ободочный кишечник отвечает за всасывание жидкости и электролитов. Он состоит из трех отделов: нисходящего, восходящего и поперечного. Для ободочного кишечника характерны такие заболевания, как колит, запор и диарея.
- Сигмовидная кишка. От работоспособности отдела зависит состояние всей пищеварительной системы. Кишка впитывает в себя жидкость и питает ею организм.
- Ректум. Основная задача отдела – формирование и выведение непереваренных частиц пищи. Заболевания прямой кишки, выявляемые с помощью инструментальных способов диагностики – анальные трещины, геморрой, паразитарные патологии (цепни, острицы, аскариды).
Исследование проводится с использованием двойного контрастирования (препараты вводятся пациенту внутривенно и в прямую кишку). Контрастная жидкость накапливается в стенках кишечника и его полости.
Гидро МРТ не считается традиционным методом выявления патологий органов ЖКТ. Это связано с тем, что петли кишечника наслаиваются друг на друга, снижая информативность сканирования.
МР энтерография рекомендуется при жалобах пациента на болевые ощущения в брюшной полости, метеоризм и нарушение стула. Сканирование также выполняется при подозрении на ряд заболеваний:
- непроходимость кишечника;
- внутренние кровотечения;
- раковые и доброкачественные образования.
Исследование показано для оценки состояния органов малого таза, сигмовидной и тонкой кишки, отделов прямой кишки. Гидро МРТ позволяет выявить локализацию патологического процесса и его распространенность. Эффективность исследования будет снижена при воспалительных процессах в системе пищеварения и усиленной перистальтике кишечника.
Перед подготовкой к исследованию толстого кишечника требуется соблюдение диеты и очистительные клизмы. Диета включает в себя отказ от газообразующих продуктов за 3-4 дня до диагностики (бобовых, газированных напитков, овощей с высоким содержанием клетчатки, алкоголя). Пациентам, страдающим от метеоризма, за несколько часов до сканирования рекомендуется принять Мотилиум или Эспумизан.
Накануне МР энтерографии также рекомендуется выполнить очищение кишечника. Процедура также назначается при обследовании органов малого таза у женщин и мужчин. После процедуры не употребляют тяжелые для переваривания продукты (мучные и кондитерские изделия, мясо). Желательно отказаться от приема пищи за 5-6 часов до исследования.
За 48 часов до сканирования проводится аллерготест на переносимость компонентов контрастного вещества. При наличии побочных реакций исследование отменяют.
МРТ дает возможность рассмотреть внутренние органы без повреждения мягких тканей и вредного воздействия на пациента. Окончательный диагноз специалист ставит по полученным трехмерным изображениям.
Гидро МРТ выполняется последовательно:
- Пациент снимает с себя часы и другие металлические изделия, которые могут повлиять на информативность снимков.
- Затем происходит введение контраста в анальное отверстие и внутривенно.
- Человек ложится на подвижный стол вниз спиной, а его конечности и тело закрепляют специальными ремнями. Фиксация необходима для того, чтобы предотвратить непроизвольные движения во время сканирования.
- Подвижный стол въезжает в томограф так, чтобы обследуемый участок располагался напротив кольцевой части томографа.
- Врач просит пациента на несколько секунд задержать дыхание и в этом момент делает серию снимков.
Длительность процедуры – 40 минут. Гидро МРТ не вызывает побочных реакций, за исключением дискомфорта в брюшной полости и легкой тошноты после введения контрастного вещества.
МР энтерография считается особым видом обследования, при котором используются контрастные препараты. Пациенту вводят в прямую кишку 1,5 л специального раствора. Основная функция контраста – растянуть петли органа пищеварения и расправить все его изгибы. Дополнительно больному вводится особый внутривенный препарат.
С помощью гидро МРТ толстого и тонкого кишечника выявляют структурные изменения стенок органа (истончение, уменьшение) и патологические новообразования (раковые и доброкачественные опухоли).
Болезнь Крона в активной стадии
При болезни Крона (неравномерном утолщении пищеварительного органа) визуализируется увеличение лимфатической системы в размерах на всей протяженности тонкого кишечника. Пораженные стенки отекают и интенсивно накапливают контраст.
МРТ назначается в комплексе с УЗИ и эндоскопией для выявления онкологии. Преимущество метода связано с тем, что оно дает возможность просмотреть не только орган пищеварения, но и жировую клетчатку, ткани которой поражаются онкологическими клетками (на 3-4 стадии рака).
Колоноскопия используется для оценки состояния толстого кишечника и нижних отделов тонкого. Процедура выполняется с помощью специального прибора – эндоскопа. Прибор имеет форму искривленного зонда, оснащенного с одной стороны видеокамерой. Во время процедуры можно выполнить биопсию подозрительного участка.
Среди преимуществ обследования можно выделить:
- Быстроту проведения по сравнению с МРТ и УЗИ;
- Возможность выявления патологий, недоступных для визуализации при МРТ или УЗИ (опухоли на ранних стадиях, полипы, язвенный колит).
- Возможность проведения биопсии и удаления патологических образований (полипов).
Колоноскопия назначается в следующих случаях:
- при жалобах на боль в нижней части живота, сопровождаемых незначительным повышением температуры (до 37,5 градуса);
- при аномальных выделениях из прямой кишки (крови, слизи, гноя);
- при нарушении дефекации;
- при потере веса;
- при анемии.
Метод позволяет выявить болезнь Крона, язвенный колит и различные опухоли даже на фоне воспалительных процессов в органе.
Подготовка включает несколько важных моментов:
- Соблюдение диеты за 2-3 дня до обследования, которая подразумевает полный отказ от растительной клетчатки. Накануне процедуры допускается легкий ужин (бульон, сладкий чай). Завтрак в день колоноскопии исключается.
- Очищение кишечника с помощью слабительных препаратов (Фортранс) и клизм.
Колоноскопия сопровождается незначительным дискомфортом при правильном проведении. Во время диагностики пациент ложится на правый или левый бок и прижимает колени к животу. Врач обрабатывает анальное отверстие антисептическими препаратами. Перед процедурой дополнительно могут использоваться обезболивающие гели, которыми смазывают анальное отверстие. Устройство с видеокамерой аккуратно продвигают внутрь кишечника. С помощью камеры врач может детально изучить все отделы пищеварительного органа.
Исследование можно проводить несколько раз в год при отсутствии противопоказаний. К относительным запретам для проведения процедуры относят: нарушение стула невыявленной этиологии, резкое снижение массы тела, анемию. Если при перечисленных проблемах будет назначена колоноскопия, то ее информативность окажется низкой.
К абсолютным противопоказаниям относят:
-
респираторные заболевания в острой стадии;
- значительную сердечную или легочную недостаточность;
- ишемический колит в стадии обострения;
- язвенный колит.
Женщины интересуются: можно ли выполнять колоноскопию во время месячных. Подготовка у женщин включает в себя отказ от процедуры в критические дни. Исследование проводится только в том случае, если имеется риск для здоровья и жизни пациентки.
МРТ с двойным контрастированием позволяет врачу рассмотреть участки органа, которые недоступны для эндоскопа. Специалисты также отдают предпочтение МРТ для выявления грыж.
Что информативнее для диагностики новообразований в системе желудочно-кишечного тракта? Ответ однозначный – колоноскопия. Эндоскоп позволяет врачу выявить даже самые незначительные новообразования и, при необходимости, провести биопсию под наркозом.
Специалист может выявить онкологию при помощи колоноскопии, не прибегая к другим диагностическим методам. Результаты МРТ в этом случае должны быть подкреплены другими альтернативными процедурами. МРТ не подходит для проведения экстренного обследования кишечника.
Ирригоскопия – изучение толстого кишечника с помощью рентгеновского излучения с предварительным введением в него контрастных веществ и воздуха. С помощью методики оценивают состояние толстого кишечника (размер, степень сократимости и растяжимости). Ирригоскопия показана при подозрении на язвенный колит, свищи, дивертикулы и болезнь Крона.
Среди противопоказаний к исследованию следует отметить:
- обострение воспалительных процессов в кишечнике;
- беременность;
- перфорация толстой кишки;
- тяжелое состояние пациента, связанное с острой сердечной или легочной недостаточностью.
Подготовка к процедуре такая же, как и перед колоноскопией. Она включает в себя очищение кишечника, диету.
Метод проведения ирригоскопии:
- Принятие пациентом горизонтального положения.
- Введение в прямую кишку больного бариевой взвеси через специальную трубку.
- Проведение серии снимков при помощи рентгенологического излучения.
- Опорожнение органа
- Повторное введение трубки с воздухом в прямую кишку.
Ответ на вопрос зависит от особенностей выявляемой патологии и индивидуальных характеристик пациентов. Основной недостаток ирригоскопии – опасность для человека из-за рентгенологического излучения, невозможность выполнения при беременности. К преимуществам рентгена по сравнению с МРТ относят: достоверность результатов при незначительном воспалении, четкую визуализацию изгибов.
Обследование назначается при проблемном опорожнении. Метод является альтернативной стандартной рентгеновской проктографии, позволяет провести оценку органов малого таза и его мышц в процессе дефекации. Врач оценивает результаты сканирования до и после введения контраста.
Какой способ исследования кишечника информативнее: ирригоскопия, колоноскопия или МРТ? Золотой серединой в этом отношении специалисты считают колоноскопию. Процедуру применяют для экстренной диагностики и детальной визуализации стенок органа пищеварения.
Главное преимущество метода по сравнению с МРТ и ирригоскопией – возможность диагностики заболеваний пищеварительной системы при воспалительных процессах.
Колоноскопию заменяют МРТ при подозрении на свищи, аппендицит или непроходимость кишечника. Сканирование также назначают для визуализации внешних стенок органа, которые недоступны для эндоскопа. Рентгену отдают предпочтение, если имеется высокая вероятность повреждения стенок кишечника эндоскопом или у пациента имеются аллергические реакции на контрасты, применяемые во время МРТ. Кроме того, ирригоскопия в отличии от других исследований визуализирует труднодоступные зоны кишечника – карманы, изгибы.
Магнитно-резонансная томография тонкого и толстого кишечника — подробное описание с адресами клиник
Томография тонкого и толстого кишечника, основана на принципах взаимодействия магнитных полей и радиоволн. Направленное магнитное излучение вынуждает атомы водорода на «ответ», при этом генерируя импульсы с разной мощностью. Массированный отклик фиксируется датчиками сканера и передает аппарату данные о плотности изучаемой области. Данные представляются как плоскостными, так и трехмерными.
— структурные изменения органов;
— образование кист и наростов;
— болезнь Корна;
— наличие камней либо других инородных тел;
— врожденные аномалии тонкого и толстого кишечника;
— кровотечения данной локализации;
— непроходимость кишечника;
— наличие конкрементов;
— образование опухолей.
Обследование данной области требует определенной подготовки. За 2-3 дня для исследования, необходимо отказаться от всех продуктов, которые повышают газообразование: черный хлеб, бобовые, кисломолочные продукты, свежие фрукты, овощи и газированные напитки. Последнее употребление пищи за 6 часов перед обследованием, при необходимости – очищение кишечника слабительными препаратами, клизмой.
Перед диагностикой, больному необходимо переодеться в более удобную одежду, которая не будет причинять дискомфорта. Избавиться от всех металлических предметов (украшений, очков, часов, зубных протезов, слухового аппарата, пирсинга, одежды с застежками или пряжками, монет, ключей, избавиться от шпилек и металлических заколок из волос). Пациенту необходимо оповестить врача-радиолога о наличие аллергии, депрессивного состояния связанного с клаустрофобией. Для диагностики онкологий могут применить внутривенно контраст.
Томограф представляет собой закрытую цилиндрическую камеру с передвижным столом. Пациента размещают на подвижном столе и помещают внутрь магнита томографа. В ходе обследования нельзя двигаться, поскольку это ухудшит качество получаемого изображения. Больного фиксируют специальными ремнями и валиками. Громкие звуки, издаваемые работающим магнитом, могут причинить дискомфорт, по желанию выдаются специальные наушники. Сканер оборудован двусторонней связью, что позволяет пациенту в любой момент обратиться к врачу, если его вдруг начнет что-то беспокоить.
В результате сканирования получают серию снимков 3D формата, сделанных в разных проекциях, при различной толщине среза и по желанию – увеличенные. Вся процедура вместе с подготовительным этапом занимает 40 минут. Длительность сеанса находится в прямой зависимости от объемов исследования и необходимости применения контрастного вещества для подтверждения новообразований. В момент введения контраста в вену чувствуется легкий холодок или, наоборот, приятное тепло. Возможно, появиться неприятное ощущение металлического привкуса во рту. В исследуемой зоне у некоторых пациентов возникает ощущение легкого покалывания и жара. Эти признаки считаются нормой.
— наличие кардиостимулятора;
— клаустофобия и сильные стрессовые состояния;
— непереносимость контрастного вещества;
— первый триместр беременности;
— почечная недостаточность;
— чрезмерная масса тела (более 130 кг);
— дети до 7 лет;
— тяжелое психическое состояние;
— алкогольное или наркотическое состояния;
— период лактации;
— металлические предметы в организме;
— наличие клипс головного мозга;
— мышечные спазмы и судороги.
После проведения диагностики спинного мозга врач-радиолог предоставит пациенту серию высокоточных снимков и расшифровку к ним. Описание может занять некоторое время от 1 до 3 часов, иногда описание занимает времени 1-3 дня в зависимости от сложности обследования. По желанию результаты могут быть записаны на флеш — носитель, диск, отправлены клиенту на e-mail.
Результат без отклонений:
— не обнаружены патологические изменения толстого и тонкого кишечника;
— отсутствуют воспалительные процессы;
— новообразования не обнаружены;
— полная проходимость кишечника и желчных протоков;
— отсутствие инородных тел;
— кровотечений не обнаружено;
— форма, размер органа в пределах нормы.
Результат с изменением:
— деформация строения органа;
— обнаружена гипертрофия лимфатических узлов;
— утолщение стенок кишечника; сужение просвета;
— воспалительный процесс толстого и тонкого кишечника;
— обнаружены новообразования;
— метастазирование обнаруженных новообразований;
— наличие полипов, дивертикул;
— обнаружение инородных предметов.
Мрт толстого и тонкого кишечника
Где и как делают МРТ кишечника?
МРТ кишечника или колоноскопия?
Если сравнивать МРТ и колоноскопию по уровню комфортности, несомненно, томография имеет преимущество. Никаких неприятных ощущений эта процедура не создает и не требует специфической подготовки. Что касается возможностей магнитно-резонансного метода, во многом они ограничены строением желудочно-кишечного тракта. Если с визуализацией пищевода и желудка томография справляется хорошо, то качественно осмотреть наслоенные друг на друга петли кишечника не всегда получается.
Зоны, которые рекомендуется проверять томографическим методом:
- область малого таза и терминальные отделы толстой кишки;
- средняя часть кишечника хорошо просматривается на гидро-МРТ с двойным контрастированием.
Также МРТ проводят вместо колоноскопии в случаях, когда эндоскопическое исследование через прямую кишку противопоказано: при дивертикулезе сигмовидной или толстой кишки , грыжах, сильных внутрикишечных кровотечениях.
Томография считается малоинформативной в следующих случаях:
- при незначительных участках воспаления,
- небольших изменениях в слизистой кишечника,
- слишком активной перистальтике,
- в экстренных случаях.
При обнаружении новообразования или воспаления, связанного с аутоиммунными процессами, установить точный диагноз на основании только МРТ невозможно: обязательно требуется проведение колоноскопии с забором материала для лабораторного исследования.
Существенный недостаток, который делает колоноскопию нежелательной процедурой, – ее болезненность. Пациент может испытывать от терпимого дискомфорта до выраженной боли и спазмов во время введения и продвижения эндоскопа. Колоноскопия — более длительное исследование. Поэтому, когда выбор стоит: колоноскопия или МРТ кишечника, при одинаковых показаниях и сопоставимых диагностических возможностях предпочтение отдают последнему.
Исследование кишечника: МРТ или КТ?
В некоторых случаях показана комбинированная диагностика: и КТ, и МРТ – методами. Двойное сканирование магнитным и рентгеновским способами позволяет точнее составить картину патологии при затрудненной постановке диагноза.
Показания и противопоказания
Привычным и наиболее информативным методом исследования ЖКТ является эндоскопия, но при подозрении на некоторые заболевания быстрее и безопасней сделать МРТ кишечника. Основные показания к томографии:
Имеются у данной процедуры и противопоказания:
Как делают МРТ кишечника
Сама МР-диагностика проводится после подготовительных мероприятий, аналогичных тем, что рекомендуются перед любым исследованием органов брюшной полости. Это специальная диета, при необходимости – очищение кишечника слабительными препаратами, клизмой.
Человек укладывается на выдвижную платформу. Для защиты от непроизвольных движений во время сеанса желательно зафиксировать конечности специальными ремнями, а положение тела ограничить валиками. Неподвижность пациента позволяет сделать максимально качественные срезы органов. Если для исследования необходим внутривенный контраст, больному устанавливают катетер, подающий препарат.
На задержке дыхания делается несколько снимков, затем сканирующее устройство вместе с полем сдвигается дальше, вокруг тела лежащего пациента. Вся процедура длится от 40 минут до часа и не причиняет исследуемому никаких неприятных ощущений, кроме вынужденной неподвижности.
Результаты томографии кишечника
- аномалии строения;
- заболевания толстого и тонкого кишечника (неспецифический язвенный колит, болезнь Крона);
- опухоли;
- зоны метастазирования злокачественных новообразований;
- полипы;
- дивертикулы;
- инородные предметы.
В случаях с онкопроцессами в прямой кишке МРТ позволяет врачу определиться со стадией рака, а после лечения – оценить прогресс.
Хорошие результаты исследования должны демонстрировать:
- полную проходимость кишечника и желчных протоков;
- отсутствие новообразований и инородных тел;
- аневризм, очагов воспаления, кровотечений не обнаружено;
- форма, размер, расположение сканированных органов – в пределах нормы.
Подготовка к МРТ кишечника
Обследование кишечника МРТ проводится после подготовки желудочно-кишечного тракта:
Томография разных отделов кишечника
Еще одно показание к МРТ толстого кишечника – хирургическое вмешательство на этом отделе. Томография дает возможность исследовать послеоперационное состояние органа, процесс его заживления, выявить воспаление, спрогнозировать риск рецидивирования заболевания.
МРТ тонкого кишечника – особый вид исследования. Добраться до этого отдела при помощи эндоскопа довольно затруднительно, поэтому томография становится основным методом диагностики при патологиях тонкой кишки. Для качественного осмотра средних отделов применяют гидро-МРТ.
Гидро-МРТ кишечника
Сеанс гидро-МРТ более длительный и сложный, чем обычная томография, а использование диагностических препаратов ограничивает применение этого метода у некоторых категорий пациентов. Стоимость контрастного вещества и предварительный анализ на аллергию включаются в цену процедуры.
Отзывы о процедуре
После визуального осмотра и беседы врач остался недовольный тем, что мой визит затянулся, и объяснил, какие последствия могут быть, если во время не выявить болезни кишечника, так как это очень важный орган в пищеварительной системе и во всем организме. От его правильной работы зависит общее состояние здоровья человека.
Меня проинструктировали, каким образом нужно подготовиться к процедуре МРТ, которая в моем случае была просто необходима. Особой подготовки для этого не требовалось, единственное, что важно было знать, — обследование необходимо делать на пустой желудок. Выполнив это указание, на следующий день я снова приехала в больницу. Было страшно от неизвестности.
После того, как процедура была закончена, врач предложил дождаться результатов МРТ в коридоре, и через 10 минут мне их вынесли. Результатом проведения МРТ становятся снимки, на которых видны органы брюшной полости кишечника. Обследования проводятся в самых труднодоступных местах кишечника, что помогает вовремя обнаружить онкологические опухли (рак прямой кишки и т.д.) , полипы и другие серьезные заболевания. Слава Богу, в моём случае оказалось все хорошо. Это обследование абсолютно безболезненно, поэтому не нужно ничего бояться — зря я себя накручивала. Поэтому хочу всем сказать – не бойтесь этого обследования и старайтесь обследоваться вовремя.
Ирина Анатольевна, 41 год — Москва
Приехав в клинику, где было назначено мое обследование, у меня поинтересовались, не беременна ли я, нет ли металлических вставных зубов. Только как это влияет на процедуры, я так для себя и не уяснила.
С помощью выездного стола меня поместили в томограф. И начался безумный звук ревущего мотора, падающей посуды, грохот невероятной силы. Процедура вся длилась около 20 минут, что я только не пережила за это время. Во время всего этого нельзя шевелиться, но как назло начинает чесаться то нос, то ухо, хочется чихнуть и потянуться. Ну вот, наконец, все закончено, доктор предлагает подождать результатов и через 15 минут выдает мне их на руки.
Боли я не испытала абсолютно никакой, но это чувство страха я помню до сих пор.
Виктория, 30 лет — Спб
Далее меня отвели в кабинет врача. Он сидел за компьютером. Медсестра проводила в комнату, которая находилась между кабинетом доктора и той, где стоял томограф. В этой комнате я оставил сумку и подготовился к обследованию.
Это совсем нестрашное мероприятие длилось около получаса. Никакой боли или страха я не испытал. Результаты отдали мне через 5 минут. О клинике и самой процедуре у меня остались только положительные впечатления.
На МРТ можно узнать о таких болезнях как язва, к примеру? метаюсь, что выбрать лучше, но склоняюсь к мрт. Боюсь оно болезни не покажет все. Пишут о кровоизлияниях и опухолях.
Оставить отзыв Отменить
Перед использованием информации с сайта необходимо проконсультироваться с врачом.
https://stopgemor.ru/mrt-kishechnika/
Где и как делают МРТ кишечника?
МРТ кишечника или колоноскопия?
Исследование кишечника: МРТ или КТ?
Показания и противопоказания
Как делают МРТ кишечника Результаты томографии кишечника
Подготовка к МРТ кишечника
Томография разных отделов кишечника Гидро-МРТ кишечника
Отзывы о процедуре
Оставить отзыв Отменить
https://stopgemor.ru/mrt-kishechnika/
Что показывает магнитно-резонансная томография МРТ кишечника: подготовка к процедуре
Аппарат магнитно-резонансной томографии.
Что такое магнитно-резонансная томография кишечника?
При МРТ кишечника полученные изображения проходят через специальную компьютерную программу, обрабатываются и на экран выводится трехмерное изображение органа. При этом оно не является фотографическим, а представляет собой реальную компьютеризированную карту тела человека, составленную на основании полученных сигналов.
МРТ толстого кишечника превосходит по четкости изображений и информативности КТ и является безвредной процедурой, поскольку принцип ее действия основан на использовании электромагнитных волн, а принцип работы КТ кишечника заключается в рентгеновском излучении.
Что такое МРТ открытого и закрытого типа?
Преимуществом такого способа проведения диагностики является возможность параллельно со сканированием проводить и другие медицинские манипуляции. Во время данного типа процедуры допускается, чтобы рядом находились близкие, что актуально при проведении МРТ кишечника маленьким детям, поскольку для получения достоверных данных ребенок должен лежать спокойно.
Что такое гидро магнитно-резонансная томография?
Это достигается приемом большого количества жидкости перед процедурой и препаратов, задерживающих ее всасывание, и внутривенным или пероральным контрастом (через вену вводят контрастное вещество на основе йода или бария или дают выпить раствор за 30 минут до обследования). Благодаря этому кишечные стенки растягиваются, анатомические складки расправляются, а какие-либо патологии отчетливо просматриваются как темные пятна на снимках.
Как делают МРТ кишечника?
Процедура проводится следующим образом:
Как делают МРТ кишечника детям и беременным женщинам?
Показания и противопоказания
Показания к процедуре
Абсолютные показания к проведению МРТ кишечника следующие:
- дивертикулез;
- полипоз;
- спайки кишечника;
- энтероколит;
- злокачественные или доброкачественные опухоли;
- инородные предметы в кишечной протоке;
- уточнение результатов УЗИ (если были выявлены участки воспалений слизистой ткани).
Относительные показания к проведению МРТ кишечника:
- боли в органах брюшной полости;
- запоры, поносы или запоры, сменяющиеся поносами, этиология которых не установлена;
- появления крови в каловых массах и невозможность обследования отделов кишечника эндоскопическими методами.
Противопоказания к процедуре
Абсолютные противопоказания к проведению МРТ кишечника:
- установленный у пациента кардиостимулятор (сильное магнитное излучение нарушает нормальную работу устройства, сбивает сердечный ритм);
- любые ферромагнитные или электронные имплантаты;
- аппараты Елизарова ферромагнитного типа.
Относительные противопоказания к проведению МРТ кишечника:
При МРТ тонкого кишечника с контрастным усилением к основным противопоказаниям добавляются следующие:
- тяжелое заболевание крови, вызванное нарушением выработки ее клеток в костном мозге (гемопоэтическая анемия);
- аллергия на составляющие компоненты контрастного вещества;
- хроническая почечная недостаточность;
- любой триместр беременности (все контрастные растворы легко проникают сквозь плацентарный барьер, а их влияние на развивающийся плод в настоящее время недостаточно хорошо изучено).
Подготовка к МРТ кишечника
Подготовка пациента к процедуре начинается за три дня до исследования. Сюда входит специальная диета, очищение кишечника (особенно, если пациент страдает хроническими запорами).
Очищение кишечника
- Накануне проведения процедуры пациент должен принять слабительные препараты, например, Фортранс. Средняя дозировка – 3 пакетика сухой смеси. Готовый раствор выпивается из расчета 1 л на 20 кг массы тела человека. Его выпивают в 1-2 приема вечером (если обследование назначено на утренние часы). Допускается выпить вторую половину раствора утром, но не позднее, чем за 6 часов до исследования.
- При частых и хронических запорах перед МРТ кишечника необходимо сделать клизму перед сном, накануне предстоящей процедуры.
За 3 дня до МРТ кишечника пациент должен придерживаться безшлаковой диеты, исключающей продукты, способствующие повышенному газообразованию, брожению и задержке каловых масс в кишечнике.
Что лучше МРТ кишечника или колоноскопия?
МРТ чаще всего назначают для обследования тонкого кишечника и для уточнения диагноза при выявлении каких-либо опухолей или сильного воспаления, обнаруженных при колоноскопии, с целью уточнения границ их распространения в слизистой ткани кишки. МРТ толстого кишечника позволяет выявить опасные опухолевидные образования и изменения слизистой на ранних стадиях развития, которые трудно обнаружить при исследовании другими методами.
Отличие МРТ от КТ кишечника
КТ запрещается проводить чаще, чем в полгода. Она противопоказана детям и беременным женщинам (на любом сроке), тогда как магнитно-резонансная томография может быть применена для уточнения диагноза у детей и беременных женщин на втором и третьем семестре беременности.
Цены на МРТ кишечника
Процедура магнитно-резонансной томографии сегодня доступна практически в любом городе России.
Средняя стоимость МРТ кишечника в Москве составляет:
- без контраста – 9875 рублей;
- с контрастом– 16900 рублей.
Средняя стоимость МРТ в Казани:
- без контраста – 4325 рублей;
- с контрастом – 8600 рублей.
Средняя стоимость МРТ в Самаре:
- без контраста – 6400 рублей;
- с контрастом – 13450 рублей.
https://gemors.ru/diagnostika/mrt-kishechnika.html Комментариев пока нет!
В каких случаях и как делают томографию кишечника?
На сегодняшний день магнито-резонансная томография является наиболее распространенным видом диагностики организма. Томография кишечника во многих случаях является вспомогательной диагностической процедурой, так как применяется для уточнения результатов диагностики органов брюшной полости. Рассмотрим особенности проведения такой диагностической процедуры.
Томография кишечника
Гидро мрт кишечника имеет неоспоримое преимущество перед колоноскопией – это ее полная безболезненностью. Томограф не способен причинить сколько-нибудь большого вреда для организма человека и не вызывает никакого дискофморта.
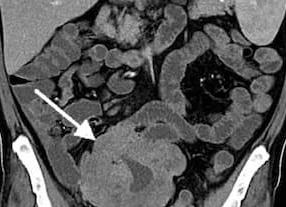
Снимок кишечника при проведении гидро МРТ. Стрелка указывает на гемангиому.
Однако МРТ не может справиться с особенностью анатомического строения этого отдела пищеварительного тракта. В первую очередь, на магнито-резонансной томографии не видны кишечные , наслаивающиеся друг на друга.
С помощью гидро мрт можно хорошо просмотреть такие зоны:
- органы малого таза;
- отделы прямого кишечника;
- среднюю часть кишки с применением контрастирования;
- дивертикулы сигмовидной или толстой кишки;
- выпячивания кишечника;
- выраженные геморрагии.
Магнито-резонансная томография проводится с так называемым двойным контрастированием, то есть с введением контрастного вещества непосредственно в прямую кишку и в вену. Так врач добивается отличной визуализации.
В таких случаях гидро мрт кишечника будет неинформативной, а поэтому и бесполезной:
- если имеются небольшие воспалительные зоны в кишечнике;
- при экстренной диагностике;
- при нерезко выраженном воспалительном процессе;
- при чрезмерной перистальтике кишечника.
Если в организме развиваются опухолевые или аутоиммунные патологии, то одной только МРТ недостаточно. Больному необходимо проводить дополнительные диагностические меры.
Зачем делать МРТ кишечника?
Показания к такой томографии следующие:
- прирожденные патологические состояния развития кишечника;
- кровотечения;
- кишечная непроходимость;
- конкременты в кишечнике;
- новообразования доброкачественного или злокачественного происхождения.
Как проводится?
Гидро МРТ надо проводить только при условии, что человек подготовился к нему. Прежде всего, надо проследить за тем, чтобы последняя еда была не раньше, чем за шесть часов до исследования. Нужно снять все изделия из металла и украшения. При проведении МРТ с контрастным веществом пациент выпивает необходимое количество контрастного вещества.
Человек помещается на кушетку и помещают в тоннель томографа. Чтобы пациент не двигался и не совершались непроизвольные движения телом, его закрепляют ремнями. Если исследуемый будет находиться неподвижно, это поможет получить качественные и детальные снимки. Вся процедура диагностики проходит не менее 40 минут. Иногда пациенту требуется пробыть на диагностическом столе около часа, прежде, чем будут завершены все необходимые мероприятия.
Гидро магнито-резонансная томография тонкого кишечника
В основе этого метода лежит заполнение тонкой кишки специальным контрастным веществом. Для этого за один час пациент выпивает около литра воды. Только после этого можно проводить исследование тонкого кишечника с помощью необходимых программ, которые настраиваются перед диагностикой.
Накануне пациент должен последний раз принять пищу не позднее 6 часов вечера. Толстый кишечник надо обязательно очистить при помощи клизмы. Лучше это сделать в 8 – 10 часов вечера. Утром, уже в день МРТ, такую клизму можно повторить для закрепления эффекта. Если по разным причинам пациент не может сделать клизму, то необходимо принимать препарат Фортранс: берут два пакета такого препарата, растворяют один пакет в одном литре воды и принимают согласно указаниям.
Это сравнительно новый и безопасный способ обследования тонкого кишечника, не причиняя пациенту боли. При диагностике не используется вредное излучение. Магнитное поле не причиняет вреда и не приводит к накоплению излучения в организме. Внутривенное введение контрастного вещества не причиняет никакого дискомфорта и в исключительно редких случаях вызывает аллергию. При этом пациенту вводят препарат йода.
Процедура длится в течение около одного часа. За это время врач обследует все зоны и делает соответствующие снимки, которые потом передаются для дальнейшего обследования. Если же у пациента случаются приступы клаустрофобии, и из-за этого ему невозможно провести МРТ, применяют специальные томографы открытого типа. Он также применяется в случаях, если пациент имеет большой вес. Все это время он находится под постоянным наблюдением. Так же, как в стандартном томографе, в аппарате открытого типа есть постоянный мощный магнит.
Когда противопоказано МРТ?
Указанную процедуру категорически запрещается проводить в таких случаях:
- при наличии у больных электронных и металлических приспособлений (таких, как кардиостимулятор, электронная клипса, помпа для инсулина, внутриматочные спирали);
- ранние периоды беременности (на поздних сроках МРТ можно проводить только без применения контрастного вещества);
- индивидуальная непереносимость вещества для контраста;
- выраженная почечная недостаточность (в этих случаях также невозможно провести указанное диагностическое исследование с применением контрастного вещества;
- в младшем детском возрасте (необходимо длительно соблюдать неподвижность).
Что показывает томография этого органа?
С помощью такой диагностики врач видит аномалии развития тонкого кишечника:
- нормальное или патологическое расположение брыжейки тонкого кишечника;
- степень развития кровеносных сосудов внутри кишечника;
- увидеть воспаленные участок кишечника, а также оценить степень патологических изменений в нем;
- оценить степень и глубину поражения тонкой кишки, особенно, если оно затрагивает не один слой.
Заключение
Информативность данной процедуры достаточно высока, и после нее не нужно дополнительно делать другие виды исследования. Однако в некоторых случаях МРТ не проводится, и в таких случаях приходится прибегать к колоноскопии. Иногда она может стать единственным способом диагностики тонкого кишечника, если другие диагностические меры запрещены.
Результаты диагностики можно получить достаточно быстро. Их можно записывать на диск и передавать через интернет. Их также выдают пациентам на руки и направляю лечащему врачу для дальнейших диагностических мероприятий или же начала лечения тонкого кишечника.
Иногда по данным диагностики врач может рекомендовать пройти повторное МРТ или другой вид диагностики. От этого не надо отказываться, так как такая мера повышает точность диагноза.