
Как часто надо делать мрт при рассеянном склерозе
К симптомам патологии, которые можно визуализировать при помощи МРТ, относят наличие большого количества очагов демиелинизации.
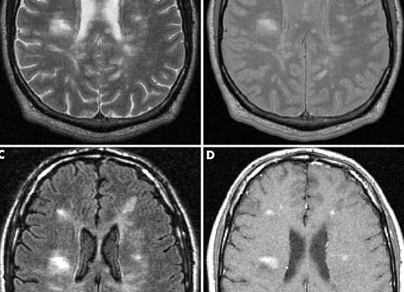
Снимки, полученные в режимах Т1 и Т2, позволяют определить расположение и форму очагов, которые имеют высокую интенсивность сигнала.
| Режим Т1 | Обладает гипоинтенсивным сигналом и помогает выявить аксональную дегенерацию. На картине МРТ она проявляется в виде затемненных участков. |
| Режим Т2 | Имеет гиперинтенсивный сигнал и применяется намного чаще. Это связано с высокой взвешенностью изображений, что позволяет более четко визуализировать очаги и объем нарушения. |
МРТ дает возможность обнаружить микроскопические бляшки, которые нельзя визуализировать с помощью других исследований. В результате отечности или слияния патологические очаги могут иметь размер в несколько сантиметров.
Расположение очагов может быть разным, а потому выделяют такие заболевания:
- перивентрикулярная локализация;
- мозжечок;
- базальные ганглии;
- изолированные участки в белом веществе;
- варолиев мост;
- продолговатый мозг;
- мозолистое тело;
- кора больших полушарий.
Существуют различные критерии для выявления рассеянного склероза.
Критерии Макдональда
Такие критерии учитывают клиническую картину заболевания и заключение МРТ. Также к ним относятся олигоклональные иммуноглобулины, которые могут содержаться в цереброспинальный жидкости.
| Клиническая картина | Необходимая дополнительная информация |
| Два или более рецидивов болезни, клинические симптомы, подтверждающие наличие двух или более очагов | Нет необходимости в дополнительной информации. Если выполняется МРТ, его результаты не должны исключать наличие рассеянного склероза. |
| Два или более рецидивов патологии, объективная информация относительно наличия одного очага |
|
| Один рецидив заболевания и объективные признаки, свидетельствующие о двух и более очагах | Диссеминация во времени, подтвержденная в ходе МРТ или ожидание последующих рецидивов. |
| Один рецидив, клинические симптомы одного очага |
|
В 2011 году в список критериев были внесены синдромы, которые позволяют определить заболевание на раннем этапе, что значительно улучшает прогноз:
- клинически изолированный;
- радиологически изолированный.
Показатели Фазекас
В перечень этих критериев входит минимум три участка, имеющих высокую интенсивность сигнала. При этом два из них расположены в перивентрикулярной области, а как минимум один локализуется супратенториально. Диаметр очагов не может превышать 5 мм.
Критерии Пати
В соответствии с этими критериями должно присутствовать как минимум четыре очага повышенной интенсивности при сканировании в режиме Т2, имеющих размеры более 3 мм.
Также может присутствовать три очага, один из которых находится в перивентрикулярной области.
Синдромы
| Хронической воспалительной демиелинизации | Частота этого состояния при такой форме склероза составляет 79 %.
Довольно редко встречаются следующие варианты данного синдрома:
|
| Острой воспалительной демиелинизации | Встречается в 9 % случаев и характеризуется более массивным поражением. Для этого состояния характерен сильный перифокальный отек и наличие обширных очагов.
К вариантам данного состояния относят:
|
| Мультифокально-дегенеративной лейкоэнцефалопатии |
|
| Сочетанной мультифокально-диффузной лейкоэнцефалопатии |
|
Диагностические возможности томографии
МРТ при рассеянном склерозе без контраста или с применением контрастного вещества обладает множеством преимуществ над другими видами исследований.
С помощью этого метода удается получить снимки задней черепной ямки. Также он позволяет визуализировать состояние спинного мозга.
С помощью МРТ можно делать срезы сразу в трех плоскостях. При этом на качество изображения непосредственно влияет напряженность магнитного поля устройства.
Советы
Чтобы получить достоверные результаты исследования, нужно соблюдать определенные правила:
- Снять все украшения, вытащить из карманов кредитные карточки.
- Надеть одежду без молний, кнопок и металлических деталей. Не стоит надевать очень теплые вещи, поскольку внутри томографа может быть достаточно жарко.
- Если у пациента имеется катетер для внутривенных вливаний Солу-Медрола, его не стоит использовать для введения гадолиния. Это вещество может разрушить вену, после чего катетер придется переустанавливать.
- Во время исследования лучше закрыть глаза и постараться максимально расслабиться.
- Дышать необходимо ровно и спокойно.
- После процедуры рекомендуется пить больше жидкости – это поможет ускорить выведение гадолиния из организма.
Таким образом, магнитно-резонансная томография считается достаточно информативным методом для выявления рассеянного склероза.
Чтобы получить достоверные результаты, очень важно следовать всем правилам проведения процедуры.
Кроме того, необходимо учитывать абсолютные противопоказания к ее выполнению.
МРТ при диагностике и мониторинге рассеянного склероза
МРТ диагностика позволяет визуализировать и определить различные нарушения структуры головного и спинного мозга, которые происходят у больных, страдающих от рассеянного склероза. Нередко сканирование становится ключевым фактором в постановке диагноза. Благодаря мощному магнитному полю аппарата во время проведения МРТ происходит отклик ядер атомов водорода от клеток и тканей организма. Поскольку патологически измененные участки тканей мозга откликаются иначе на магнитное воздействие, чем здоровые ткани, магнитно-резонансная томография является на сегодня самым информативным методом в дифференциальной диагностике.
МРТ при рассеянном склерозе
Диагностика рассеянного склероза
На ранних стадиях рассеянный склероз не проявляет характерные признаки. Из-за чего диагностика заболевания представляется достаточно сложной. При осмотре врач может выявить неврологические нарушения болезни, оценить состояние пациента и степень инвалидности. Без МРТ обследования определить очаги поражения головного и спинного мозга невозможно. Чтобы исключить ложные результаты и дифференцировать болезнь, МРТ проводят с контрастом. Пациенту вводят препарат, который может увеличить результативность обследования.
Контрастное вещество при рассеянном склерозе помогает врачам исключить другие заболевания головного и спинного мозга:
- аутоиммунные болезни (гранулематоз Вегенера системная волчанка, синдром Шенгрена);
- дегенеративные процессы (спиноцеребеллярная атаксия, комбинированный склероз, меланокожная лейкодистрофия);
- инфекционные болезни (болезнь Лима, бруцеллез);
- проявления сосудистых нарушений мозга.
Контрастное вещество может накапливаться в очагах повреждения миелиновой оболочки. Таким образом, появляются изображения, на которых видна точная локализация участков с патологическими изменениями тканей. Воспалительные очаги или бляшки могут иметь очень маленький размер (от 1 мм). После их слияния образуются очаги поражения диаметром от 1 см.
Режимы МРТ сканирования
Максимально точная диагностика при проведении МРТ головного и спинного мозга при рассеянном склерозе возможна при использовании двумя временными контрастами – Т1 и Т2 режимах. При МРТ в Т1 режиме от белого вещества спинного и головного мозга исходит светлый сигнал. Очаги, в которых разрушена оболочка нервных путей, не проявляют интенсивности. На изображении такой контраст выглядит, как темные очаги. Это свидетельствует о наличии аксональной дегенерации, характерной для рассеянного склероза.
Поставить более точный диагноз, оценить очаги и объем поражения может режим Т2. В процессе сканирования при таком режиме очаги разрушения миелиновой оболочки нервных путей получаются на изображении как яркие пятна, а белое вещество излучает темный сигнал.
После проведения сканирования врачи могут дать оценку патологических процессов. Для того чтобы визуализировать мелкие очаги вводят контрастное вещество гадолиний, который усиливает интенсивность получаемых сигналов. После введения контраста происходит его накопление в местах поражения. Это указывает на обострение воспалительных процессов в мозговых тканях.
Оценка состояния пациента
Благодаря своей уникальной способности визуализировать очаги поражения головного и спинного мозга, МРТ может показать патофизиологию рассеянного склероза. После сканирования определяют, являются ли симптомы следствием диффузного поражения головного и спинного мозга или же это локальные отдельные очаги. Благодаря МРТ врач может поставить диагноз и определить фазу течения болезни, первые признаки патологии.
На МРТ видны участки демиелинизации
Диагностика МРТ имеет преимущества перед компьютерной томографией, так как позволяет сделать срезы в трех плоскостях. Высокопольный аппарат может выявить признаки рассеянного склероза даже в грудном отделе спинного мозга. Особенно показана диагностика в тех случаях, когда у больного уже имелись несколько атак болезни, но при электрофизиологических исследованиях выявлен только единичный патологический очаг в центральной нервной системе. Точный диагноз ставится после визуализации нескольких патологических участков в белом веществе головного и спинного мозга.
При сканировании радиологи могут увидеть типичную картину рассеянного склероза и поставить диагноз. Выделяют особые сочетания электрофизиологических, патологических и клинических сочетаний заболевания, которые характерны для определенного синдрома:
- острой воспалительной демиелинизации;
- хронической воспалительной демиелинизации;
- мультифокально-дегенеративной лейкоэнцефалопатии;
- сочетанной мультифокально-диффузной лейкоэнцефалопатии.
Наиболее часто встречается синдром острой воспалительной демиелинизации. При хронической воспалительной демиелинизации превалируют крупные очаги с отеком, которые могут привести к компрессии мозга. При синдроме мультифокально-дегенеративной лейкоэнцефалопатии на снимках отображаются мелкие очаги на фоне атрофии. Для синдрома сочетанной мультифокально-диффузной лейкоэнцефалопатии характерны типичная многоочаговость с диффузными поражениями белого вещества. Такая картина типична для тяжелого течения заболевания и может говорить о врожденных дефектах глиальных клеток и нервной ткани.
МРТ-мониторинг
МРТ диагностика позволяет не только подтвердить диагноз, выявить первые признаки рассеянного склероза, увидеть даже незначительные поражения головного и спинного мозга. Сканирование является наиболее перспективным для контроля эффективности лечения. Многократные обследования больного показать, что участок демиелинизации может изменяться в размерах. Некоторые патологические очаги исчезают полностью после лечения, некоторые – возникают на другом месте. Все это зависит от уменьшения отечности и воспалительных процессов в патологически измененных участках.
Обследование по поводу рассеянного склероза
Магнитно-резонансная томография при рассеянном склерозе позволяет выявить образование новых очагов, появление уже исчезнувших патологических участков и увеличение уже имеющихся после терапии. При клинических обследованиях такие патологические изменения выявляются в 10 раз реже.
При мониторинге каждое повторное сканирование должно проходить с учетом стандартного набора пульсовых последовательностей, чтобы избежать ошибок при определении размеров патологических участков. Таким образом, магнитно-резонансная томография вносит огромный вклад в диагностике рассеянного склероза в сомнительных случаях, помогает оценить состояние пациента после проведения лечения, выявляет новые участки демиелинизации.
МРТ при рассеянном склерозе: признаки, заключение
В силу различных причин иммунная система может давать сбой. Иногда лейкоциты, находящиеся в постоянном контакте почти со всеми клетками человеческого тела и защищающие организм от болезнетворных бактерий, вирусов и паразитарных клеток, начинают атаковать собственные миелиновые оболочки нейронов.
В результате нарушается проводимость нервного импульса.
В начале заболевания симптомы могут проявляться по-разному. В зависимости от форм течения и фазы рассеянного склероза его признаки могут носить умеренный или ярко выраженный характер.
Установить точный диагноз на начальном этапе развития РС бывает непросто, симптоматика схожа с симптомами других заболеваний, поэтому больному необходимо пройти полное обследование.
Человека должны насторожить такие проявления рассеянного склероза, как:
- нарушение зрения;
- двоение в глазах;
- головокружение;
- слабость в руках и ногах;
- быстрая утомляемость;
- недержание мочи;
- снижение или потеря чувствительности кожных покровов;
- эпилептические припадки;
- нервный тик;
- деменция;
- боли, появляющиеся при наклоне головы вперед;
- нарушение координации движений.
Именно по этой причине людям в возрасте от 15 до 55 лет при наличии тех или иных признаков заболевания необходимо обратиться за консультацией к специалистам.
Выявить рассеянный склероз на ранних стадиях достаточно сложно, но с помощью современных методов диагностики вполне возможно. МРТ – это один из немногочисленных видов обследования, который помогает врачам диагностировать заболевание и назначать соответствующее лечение, экономя драгоценное время.
Основные признаки МРТ при рассеянном склерозе
По первым звоночкам из-за рассеянного склероза навряд ли удаётся заподозрить о существовании в своём организме необратимого прогрессирующего заболевания.
Специалисты первичные симптомы заболевания подразделяют на несколько видов:
- Нарушение зрительных функций: резкая потеря остроты, чёткости (может быть на один глаз). Нарушается определение цвета,появляются пелена и чёрные точки перед глазами. Уменьшается объём воспринимаемого пространства (сужение, затемнение отдельных полей).
- Мозжечковые расстройства. Больной жалуется на периодические головокружения, неустойчивость, неожиданные нарушения равновесия. Почерк становится неровный, корявый. Чудится дрожание окружающих предметов.
- Нарушается восприятие (чувствительность) отдельных частей тела. Кажется, что ползают мурашки, ощущаются покалывание, онемение. Появляется необоснованные болевые ощущения в разных местах, потеря чувствительности на прикосновение, изменение температуры.
- Расстройства тазовых органов. Наблюдаются частые позывы к мочеиспусканию, процесс осуществляется с задержками и трудностями, требуется определённое усилие для его проведения и полного опорожнения мочевого пузыря. У мужчин данное расстройство сопровождается понижением потенции.
- Двигательные нарушения. Проявляется многообразно: неловкость движений, пониженный или повышенный тонус мышц. Наблюдается расстройство брюшных рефлексов, общая гиперрефлексия. Наиболее распространена гиперрефлексия нижних конечностей (стопы Бабинского), ночные судороги конечностей.
- Эмоциональные и умственные расстройства. Перепады настроения, раздражительность, отсутствие настроения или эйфория без повода.Чувствуется постоянная усталость, даже после отдыха.
Анализ МРТ может подтвердить наличие рассеянного склероза по следующим признакам:
- диссеминация во времени (очаги увеличиваются на серии исследований);
- критерий диссеминации в пространстве (новые очаги появляются в областях головного мозга, не тронутых ранее);
- скопление контрастного препарата (по краю очага рассеянного склероза появляется кольцевидный участок повышения МР-сигнала, который отражает активную фазу воспалительно-демиелинизирующего процесса);
- наличие перифокального отека вокруг очага рассеянного склероза, специфичного для данного заболевания либо, в некоторых случаях симулирующего картину образования;
- поражение инфратенториальных отделов головного мозга (ствола мозга, мозжечка, спинного мозга) и супратенториальных отделов мозга (больших полушарий, зрительного нерва);
- поражение мозолистого тела: структуры, связывающей левое и правое полушария головного мозга);
- локализация очагов вытянутой формы вдоль волокон лучистого венца.
Особенности и этапы МРТ-диагностики рассеянного склероза с контрастом и без
Без проведения магнитно-резонансной томографии ставить окончательный диагноз «рассеянный склероз» не рекомендуют. За больным устанавливают динамическое наблюдение и назначают соответствующую терапию.
Диагностика позволяет определить характер течения заболевания и получить данные об эффективности подобранного лечения.
МРТ (магнитно-резонансная томография)признана лучшей компьютерной диагностикой по определению очагов поражения в ЦНС. Исследование такого заболевания, как рассеянный склероз МРТ проводит на основе систематизации томографических признаков, что позволяет безошибочно установить признаки рассеянного склероза в первоначальной стадии.
Исследование проводится в магнитном поле, которое определённым образом перенаправляет атомы водорода в тканях. Интенсивность электромагнитных импульсов, фиксируемых специальными датчиками, определяется плотностью протонов (Т1 и Т2) в клетках, времени их релаксации, периодичностью сигнала и его отражения.
Датчики передают записанный материал на компьютер, который обрабатывает их и выдаёт на экране в виде объёмного, высокой степени разрешения, изображения текущих процессов.
При исследовании томограф, для увеличения насыщенности изображения, перенастраивают на режимы Т1 или Т2. В случае отсутствия патологии белое вещество мозга при Т1 показывается в белом цвете, при Т2 – в серо-чёрном.
Очагам или участкам демиелинизации при Т1 соответствует пониженная насыщенность, при Т2 – повышенная.
Безопасность исследования предполагает возможность повторного проведения МРТ через короткий период времени.Диагностика назначается не только для постановки точного диагноза, но и для оценки качества лечебной терапии.
Процедура МРТ, использование контраста и противопоказания
Перед обследованием врач уточняет наличие противопоказаний. МРТ признана безопасным способом.
Однако магнитное поле влияет на развитие плода, поэтому беременным женщинам томографию не делают. Существуют ограничения для маленьких детей, больных клаустрофобией и пациентов, чья масса превышает 120 – 130 кг.
В случае использования при диагностике контрастного препарата, необходимо убедиться в отсутствии аллергии на его компоненты.
Цены на МРТ при рассеянном склерозе
| Наименование услуги | Стоимость |
| МРТ головного мозга | Цена: 8 900 рублей |
| ЭЭГ | Цена: 5 150 рублей |
| УЗИ почек | Цена: 3 000 рублей |
| УЗИ селезенки | Цена: 3 000 рублей |
| УЗИ плевральной полости | Цена: 3 000 рублей |
Рассеянный склероз МРТ: особенности проведения диагностического исследования
Главная » МРТ » Рассеянный склероз и особенности проведения МРТ
МРТ – это один из наиболее эффективных неинвазивных методик исследования, посредством которого удается диагностировать различные заболевания практически во всех органах и системах организма. Процедура магнитно-резонансной томографии относится также и к максимально подходящим способам диагностирования такого заболевания, как рассеянный склероз. Данная процедура являет собой диагностику, позволяющую не только диагностировать недуг, но и определить причины его развития. Как проводится МРТ при рассеянном склерозе, необходимо выяснить более детально.
Рассеянный склероз: что это за недуг?
Рассеянный склероз представляет собой недуг хронического характера, провоцируемый на фоне нарушения функционирования иммунной системы. В результате возникновения сбоя в работе иммунитета, наблюдается повреждение миелиновой оболочки собственных нервных тканей. Миелиновой оболочкой именуют защитный слой, который регулярно вскрывает нервное волокно. За счет покрытия нервных волокон осуществляется ускоренная передача информации. Если происходит нарушение целостности оболочки, то проявляется это в виде замедления передачи сигнала по нервным волокнам. Диагностировать наличие признаков рассеянного склероза у человека удается при помощи такого диагностического метода, как магниторезонансная томография.
Важно знать! Магниторезонансная томография относится к категории диагностических методик, которые являются безопасными, безвредными и безболезненными.
Особенности проведения МРТ при склерозе
Признаки рассеянного склероза удается диагностировать посредством применения такой процедуры, как МРТ головного мозга. Ставить конечный диагноз без предварительного проведения МРТ не рекомендуется. Определить изменения склеротического типа можно посредством обнаружения очагов повреждения миелинового слоя нервных окончаний.
Диагностика МРТ проводится не только лишь с одной целью постановки правильного диагноза, но еще и для того, чтобы понаблюдать за процессом развития патологии. Часто МРТ проводят как для диагностирования заболевания, так и после проведения медикаментозной терапии, чтобы выявить эффективность проведенного лечения. При рассеянном склерозе МРТ-диагностика осуществляется несколькими способами.
Первый вариант предусматривает обычное исследование МРТ без применения контрастных веществ. Бесконтрастный тип диагностирования дает возможность выявить бляшки посредством воздействия электромагнитных волн. Высокоточный компьютер определяет молекулярные колебания протонов водорода при воздействии на организм постоянным магнитным полем. Недостатком бесконтрастного исследования является тот факт, что не удается провести максимально углубленный способ диагностики.
Важно знать! Активные очаги рассеянного склероза предоставляется возможным диагностировать посредством МРТ с контрастным усилением.
Причины возникновения рассеянного склероза
Люди с заболеванием рассеянный склероз даже иногда и не подозревают о том, что в их организме происходят нарушения иммунной системы. Недуг проявляет себя преимущественно спустя некоторое время. Специалисты рекомендуют при первых признаках развивающегося недуга обязательно не затягивать, и обращаться к врачу. К основным первопричинам развивающегося недуга относятся:
- Генетическая предрасположенность. Наличие в роду одного человека, которые имеет признаки рассеянного склероза, могут послужить причиной появления недуга и у остальных родственников.
- Наличие гормональных нарушений в организме.
- Перенесенные заболевания вирусного и инфекционного характера.
- Механические повреждения головного мозга, а также новообразования и опухоли.
Встречается недуг не только у пожилых людей, но и у детей, а также взрослых разного возраста. Данные признаки являются главными факторами того, что необходимо при первых симптомах развивающихся недугов обращаться в стационар. Только правильно поставленный диагноз позволяет провести правильное лечение, а также предупредить развитие осложнений.
Симптоматика рассеянного склероза
Опасность заболевания рассеянный склероз проявляется не сразу, а через некоторое время, что и делает данный вид недуга опасной патологией. Даже во время проведения клинического общего осмотра специалист может не выявить признаки отклонений. Диагностировать рассеянный склероз можно либо на МРТ, либо же дожидаться, пока недуг перейдет в стадию обострения.
Важно знать! Такое заболевание, как рассеянный склероз, не всегда удается диагностировать на ранней стадии даже при помощи МРТ.
К характерной симптоматике рассеянного склероза относят следующие признаки:
- Снижение остроты зрения. Обычно выглядит это так: у человека резко начинает снижаться зрение одного глаза. При этом люди с признаками склероза боятся яркого света, в результате чего наблюдается повышенное слезоотделение.
- Различные виды головных болей. Это могут быть периодические или постоянные головные боли.
- Снижение интеллектуальных способностей.
- Нарушение координации. Больные склерозом, прежде чем сделать какое-либо движение, задумываются о том, как выполнить данное действие.
- Различные степени параличей конечностей. Паралич формируется в виде осложнения при нарушении координации движения.
- Нервозность, стрессовая неустойчивость, эмоциональные расстройства.
При объединении указанных симптомов получается патология аутоиммунного характера, предшествующая развитию рассеянного склероза. Для лечения требуется особый подход, ведь первоначально нужно определить основные причины развития склероза.
Как проходит МРТ при рассеянном склерозе
Рассеянный склероз на МРТ удается определить не только быстро, но и безопасно. Применение МРТ при рассеянном склерозе не только позволяет определить наличие данного заболевания, но еще и выявить другие патологические отклонения у человека. Определив форму и вид развивающегося недомогания, врачи могут назначить соответствующее лечение.
Особенности диагностирования патологии РС у пациента заключаются в том, что доктор назначает прохождение МРТ головного и спинного мозга. Начинается процедура с того, что человеку обязательно необходимо соблюсти некоторые правила подготовки. В основу подготовки входит отказ от пищи за 6-8 часов до проведения диагностики. За три до исследования пациент должен перейти исключительно на полезную и малокалорийную пищу. Обо всех тонкостях подготовки необходимо уточнить у врача.
Важно знать! Такая подготовка необходимо в том случае, если планируется проводить диагностику с контрастированием. Для исследования головного мозга с целью определения заболевания рассеянный склероз применять контрастные вещества рекомендуется, иначе картинка получится не точной.
Начинается исследование с того, что пациент должен явиться в клинику в назначенное время. Перед этим ему будет предложено подписать договор о согласии предоставления медицинских услуг. Если пациент не подписывает договор, то ему процедура не будет проведена.
Важно знать! МРТ – это одна из самых безопасных и безболезненных процедур, поэтому пациенту не о чем переживать, если у него нет противопоказаний.
На следующем этапе пациенту предлагается раздеться до нижнего белья, после чего надеть специальный халат. Как только пациент будет готов, врач предложит ему лечь на специальный выездной стол аппарата МРТ. На столе пациент может лечь на спину или же на правый бок. В таком положение осуществляется фиксирование тела человека при помощи специальных ремешков. В руку доктор пациенту кладет устройство, которое он должен нажать сразу, если только ему станет не хорошо. При необходимости, перед началом процедуры пациенту в вену вводится контрастное вещество, представленное в виде солей гадолиния. Эти соли абсолютно безвредны, только если у пациента нет признаков аллергии.
Начинается процедура исследования, в результате которой пациент будет слышать шум работающего томографа. Этот шум иногда мешает пациентам, поэтому предусмотрена такая возможность, как надевание беруш. При исследовании головного мозга надевать наушники строго противопоказано, так как устройство может причинить вред человеку.
Важно знать! Продолжительность процедуры длится около 30-50 минут. В зависимости от предназначенных мест исследований, диагностика может затянуться на 1-2 часа.
В процессе обследования от пациента требуется только лежать не двигаясь. Если пациент не может лежать спокойно и не шевелиться, например, дети, то для этого применяется диагностика МРТ под наркозом. В ходе функционирования томографа, внутри капсулы, где располагается пациент, будет создаваться постоянное мощное магнитное поле. Воздействие электромагнитного поля на организм человека приводит в движение ионы водорода, которым насыщены все ткани и органы. Эти движения считывает компьютер, создавая максимально подробное изображение не только исследуемых органов человека, но и сосудов, нервных окончаний.
Важно знать! Немаловажно отметить, что МРТ по сравнению с компьютерной томографией, представляет собой максимальное эффективную процедуру, которая не приносит ни малейшего вреда здоровью человека. При компьютерном облучении происходит рентгеновское излучение, представляющее опасность для человека.
Результаты исследования
Заключение специалист пишет после окончания процедуры, ориентируясь на снимки в виде срезов. К основным признакам развивающихся патологий относятся:
- Скопление контрастного вещества в области воспаления или поражения.
- Образование отека вокруг очага поражения.
- Поражение мозга, мозжечка или спинного мозга.
- Формирование новых очагов в разных областях мозга.
Результаты МРТ пациент может получить спустя некоторое время или на следующий день. С заключением и снимками больному необходимо явиться к лечащему врачу, который оценит степень осложнения рассеянного склероза, после чего примет адекватные меры по излечению заболевания.
В завершении стоит отметить, что благодаря изобретению магнитного томографа, ежедневно удается спасти сотни и даже тысячи жизней. Ведь основным достоинством томографа считается не только его точность конечных результатов, но еще и возможность определять патологии на стадии их зарождения. Это обозначает, что своевременное диагностирование патологии позволяет устранить ее без формирования различных осложнений.
Метки: МРТ головы и головного мозга