
Повышенное количество лейкоцитов в моче — что это значит?
Лейкоциты отвечают за иммунитет человека, выполняя защитные функции. Но есть определенная норма их содержания в биологических жидкостях, превышение которой может свидетельствовать о проблемах в организме.
Если у человека повышены лейкоциты в моче — что такое явление может означать и как с этим бороться? В статье подробно разберемся, что означают лейкоциты в моче и почему они бывают повышены.
Норма лейкоцитов в моче
Общий анализ мочи способен показать количество лейкоцитов. В отдельных ситуациях число данных клеток в поле зрения может быть слегка превышенным, и это не свидетельствует о патологии.
Вероятные причины — незначительно попадание белых клеток из крови, а также их выработка для «разведки» — чтобы организм своевременно узнал о вирусе. Показатели содержания лейкоцитов должны находиться в следующих пределах:
- норма лейкоцитов, содержащихся в моче у женщины — до 6 единиц;
- содержание лейкоцитов в моче у взрослых мужчин быть 2-3 единицы;
- у девочек младшего возраста в поле зрения наблюдается до 10 клеток в норме;
- у мальчиков вплоть до подросткового возраста — до 7.
Такое различие связано с разным анатомическим устройством организма у мужчин и женщин, от этого и колеблется норма. Бывают единичные случаи, когда лейкоциты понижены (1-2), но мы сейчас поговорим о лейкоцитурии — повышенном их содержании.
Виды лейкоцитурии
Лейкоцитурия — это ситуация, при которой содержание в моче лейкоцитов повышено. Данный факт является явным признаком воспалительных процессов, в частности инфекции мочевыводящих путей.
То есть сама по себе лейкоцитурия не заболевание, а сигнал о нем. Лейкоциты в моче — что это значит и какие могут быть причины?
Лейкоцитурия классифицируется по нескольким признакам:
- по происхождению она бывает истинная и ложная. При истинной высокий уровень лейкоцитов в моче действительно сигнализирует о наличии воспалительных процессов. Во втором случае большое количество лейкоцитов попадает в мочеполовую систему из других органов брюшной полости или же свидетельствует о нарушении правил гигиены. Наконец, это может случиться после операции по трансплантации органов;
- лейкоцитурия может быть как инфекционной, так и неинфекционной, в зависимости от наличия возбудителя;
- если выяснилось, что в общем анализе мочи норма лейкоцитов превышена, но бактерии не наблюдаются, то такой тип называют стерильным. Однако при этом существует возможность того, что возбудитель заболевания просто не был выявлен при исследовании;
- по степени превышения нормы в моче лейкоцитурия бывает незначительная, умеренная или выраженная. При последнем варианте лейкоциты сплошь покрывают все поле зрения, также в осадке мочи присутствует гной;
- наконец, разделение идет по типу обнаруженных клеток: нейтрофильная (когда большое количество лейкоцитов в моче составляют нейтрофилы), мононуклеарная, лимфоцитарная, эозинофильная.
В зависимости от разновидности лейкоцитурии назначаются и лекарства. Также лечение зависит от других обстоятельств — например, если проблема обнаружена у ребенка или у женщины во время беременности.
Так или иначе, показатель должен примерно соответствовать норме и не превышать ее более чем на несколько пунктов.
Причины повышения лейкоцитов в моче
Основными предпосылками для лейкоцитурии могут быть:
- Пиелонефрит. Инфекция развивается в мочевыводящих путях, затем поднимается в почки. Нередко это инфекционное заболевание возникает на фоне длительного использования катетера при низком иммунитете.
- Воспалительные процессы в мочеполовой системе, в частности, мочевом пузыре и уретре, например, цистит. Бывает также хронический цистит, об этом следует думать при назначении лечения;
- Гематурия. Серьезная патология мочеполовой сферы, при этом в урине прослеживается кровь. Может иметь такие причины, как опухоли разного рода, камни в желчном пузыре либо в почках, уретрит или простатит, травмы мочевого пузыря или почки у взрослого.
Умеренной лейкоцитурией считается показатель в моче от 50 до 100, в более серьезных случаях показатели доходят до 300 и даже превышают все допустимые значения. Лучше, чтобы белых клеток в сделанном анализе было мало.
Следует отметить, что повышенное количество лейкоцитов в анализе мочи нередко наблюдается во время беременности, особенно если женщина страдает от такой болезни почек, как пиелонефрит. Воспаления и, как следствие, высокое содержание белых телец может негативно отразиться на состоянии плода.
Лейкоцитурия у беременных
Сначала лейкоциты в анализе мочи повышаются незначительно, а когда это происходит резко, то есть риск, что у женщины в положении развивается серьезное заболевание. Поэтому важно пройти обследование, чтобы выяснить, что означают лейкоциты в моче у женщины.
Правильная расшифровка анализов и быстрая постановка диагноза — главные условия своевременного начала лечения причины повышения содержания лейкоцитов в моче.
Важно помнить, что перед анализом нужно тщательно соблюсти гигиену, чтобы ничего не повлияло на результат исследования. Также оказать на него влияние могут воспаления наружных половых органов.
Иногда урина становится мутной и темной, что указывает на повышение содержания лейкоцитов. Меры нужно принимать как можно скорее, в противном случае есть риск лейкоцитоза. Последний может развиться катастрофически быстро, даже за два часа.
Распространенный у беременных кандидоз (молочница) тоже может быть ответом на вопрос, почему много лейкоцитов в анализе. Главное — своевременно избавиться от проблемы, потому что в перспективе она может привести даже к прерыванию беременности.
Лейкоцитурия у мужчин
У взрослого мужчины причинами повышения лейкоцитов, кроме пиелонефрита и цистита, могут также являться:
- простатит. Иными словами, воспалительный процесс в предстательной железе. Распространенная проблема у тех, кто ведет насыщенную половую жизнь. Сопряжена с нарушением мочеиспускания, неприятными болевыми ощущениями, сексуальной дисфункцией;
- уретрит. Его симптомы напоминают цистит, поэтому важно поставить точный диагноз. Если вовремя не пролечить уретрит, то он перерастет в цистит;
- мочекаменная болезнь также провоцирует повышенное содержание лейкоцитов в моче у лиц мужского пола. Суть этой болезни в том, что на всем протяжении мочевыводящих каналов появляются образования — конкременты — затрудняющие выход урины. А это, в свою очередь, приводит к размножению опасных микробов и заболеваниям мочеполовой системы.
Перечисленные патологии — самые распространенные. Есть и другие, более редкие, случаи, определить которые сможет только грамотный врач. Так или иначе, обследования следует проводить уже тогда, когда анализ показал более 20 клеток в поле зрения.
Что делать при повышении содержания лейкоцитов в моче
Подозрения на лейкоцитурию появляются при таких симптомах, как:
- учащенное либо затрудненное мочеиспускание;
- боль внизу живота и нередко в поясничной части;
- жар;
- нестандартный цвет, запах или консистенция мочи;
- чувство жжения или боли в процессе мочеиспускания.
Иногда проявляются и другие симптомы повышенного уровня лейкоцитов в моче, это непосредственно зависит от патологии.
Например, при мочекаменной болезни отмечается еще кровь или даже гной в урине, чувство тошноты. Острый пиелонефрит дает о себе знать повышением нормальной температуры тела и тем, что моча становится мутной. А при хроническом пиелонефрите многие больные жалуются на слабость.
В первую очередь необходимо найти опытного специалиста, который готов внимательно разобраться в причинах лейкоцитурии и пиурии (если она есть), ведь они могут быть самыми разными. Для беременной женщины таким специалистом будет гинеколог, для остальных — терапевт.
После осмотра доктор направит человек на анализ, чтобы узнать, насколько повышены лейкоциты. Далее назначается лечение.
В подавляющем большинстве случаев для лечения при повышенных лейкоцитах в моче достаточно пропить курс препаратов. Каких именно, зависит от причины увеличения количества белых клеток, которые были обнаружены в моче:
- Если это инфекция мочеполовой системы, назначаются антибиотики пенициллиновой или цефалоспориновой группы, а также фторхинолоны.
- При хламидиозе, уреаплазмозе или других урогенитальных патологиях врач прописывает препараты тетрациклинового ряда.
- Повышение лейкоцитов в моче при беременности подразумевает назначение безопасных для плода препаратов, обычно из цефалоспоринового ряда.
- Наконец, стерильную лейкоцитурию можно вылечить путем спринцевания антисептиками.
Как во время лечения, так и для профилактики необходимо тщательно соблюдать личную гигиену половых органов, а также следить за гигиеной детей. Также важно знать, что при любых значительных изменениях в организме не будет лишним сразу обратиться к опытному врачу.
Диагностика
Один из главных факторов в диагностике лейкоцитурии — это правильный сбор материала. В процессе сбора в анализ могут попасть выделения из области влагалища (у женщин) либо из препуциального мешка (у лиц мужского пола).
Поэтому урина собирается только после аккуратной обработки органов, желательно с антисептиками.Лабораторный анализ проводится стандартным методом. Берется 10 миллиграммов тщательно смешанной урины, ее помещают в центрифугу при 2000 оборотов на 5 минут.
После этого, быстро наклонив емкость, выливают верхний слой, который стал прозрачным. Нижний пипеткой размещают на предметное стекло и покрывают сверху вторым.
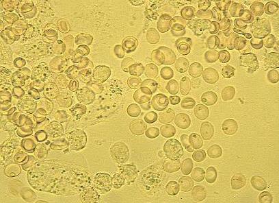
Далее при опущенном конденсоре либо суженной диафрагме под микроскопом проводят исследование осадка. Сначала применяют малое увеличение, затем среднее. В результате учитывается количество лейкоцитов, видимое при среднем увеличении.
Однако верно интерпретировать увиденное бывает сложно, и это чревато значительными погрешностями.
Поэтому при возникновении сомнений сейчас используются количественные методы — расчет числа лейкоцитов в моче больного за некоторый период (например, за сутки) или в определенном количестве.
Определение числа белых клеток за 24 часа называется методом Каковского-Аддиса и позволяет более точно исследовать осадок урины. Это самый частый способ исследования, но существуют и другие — Амбюрже, Рофе.
В России довольно известен метод сбора мочи по Нечипоренко. Он удобен тем, что не нужно собирать большое количество урины, достаточно будет всего одной порции.
В заключение
Увеличенное содержание лейкоцитов в общем анализе мочи является важным симптомом патологии. При этом наблюдается изменение вида урины и прочие косвенные признаки.
Заметив у себя тот или иной подозрительный симптом, незамедлительно обратитесь к врачу — чем быстрее вы это сделаете, тем быстрее он назначит подходящее лечение.
“Повышенный уровень лейкоцитов в моче — что это значит?”
Прежде чем приступить к лечению какого-либо заболевания, следует пройти обследование, для выявления изменений внутреннего состояния организма. Многие люди воспринимают это спокойно, дожидаясь «вердикта» врача. Иные – пытаются самостоятельно разобраться в анализах и выяснить более детально, например, почему повышается в моче уровень лейкоцитов, и что это значит? Рассмотрим краткий «анонс» состояний, при которых в анализах происходят такие изменения.
Прежде всего, давайте разберемся с терминами. Лейкоциты – это структурная единица крови. Клетки лейкоцитов в нашем организме осуществляют иммунный контроль, выполняя функции чистильщиков. В крови эти клетки существуют в разных формах – зернистой и не зернистой. Первым, отводится роль выявления внедрения чужеродного белка и инфекционных возбудителей в организме — они растворяют клеточные бактериальные стенки и поглощают бактерий и их фрагменты.
Вторые – вырабатывают для разных видов «вражеского агента» антитела. При контакте с «врагом» они обладают свойством склеивания с ним, образуя нерастворимые вещества, которые выводятся из организма. Клетки лейкоцитов способны локализоваться в любой тканевой структуре человека, так как обладают свойством легкого проникновения в жидкую и тканевую среду сквозь капиллярные сосуды.
Если у взрослого повышаются лейкоциты в моче — это говорит об их активизации для борьбы с инфекционным, токсическим, либо иным поражением. По количественному уровню лейкоцитов в моче, врач определяет фазу активности наших «чистильщиков», и насколько выражены воспалительные реакции в органах мочевыводящей системы.
Каковы причины повышения лейкоцитов в моче?
Почему это происходит?
Обычно, причины повышения лейкоцитов в моче у взрослых, обусловлены развитием различных патологических нарушений в мочевыводящей системе. Они могут быть следствием:
- Воспалительных реакций (не инфекционной и инфекционной природы) в мочевыводящей структуре.
- Развития опухолевых новообразований (различной этиологии).
- Нарушений в гормональном синтезе.
В диагностическом плане, большое значение имеет определение первопричины развития патологического процесса – бактериальное это влияние, либо следствие этиологического фактора. Это дает возможность врачу подобрать более эффективную терапию.
Повышение уровня лейкоцитарных клеток довольно часто связано со снижением иммунных функций и частым проведением (вызванной необходимостью) манипуляций катетеризации. Иногда в моче эритроциты и повышенные лейкоциты отмечаются одновременно. Это может говорить о том, что воспалительные реакции могут развиваться вследствие:
- травматического влияния на органы мочеиспускания;
- развития опухолевых новообразований;
- травматизации мочевыделительной системы проходящими по ней конкрементами (при мочекаменной болезни), либо иными посторонними телами;
- очагового воспаления в предстательной железе.
10 лейкоцитарных клеток/мкл в поле видимости микроскопа – считается допустимой нормой. У мужчин, идеальной нормой считается – 3-7 клеток/мкл, для женщин – показатели не должны быть больше 8-ми лейкоцитов.
И когда лейкоцитарный уровень повышаются свыше 20-ти единиц и «зашкаливает» за 50 клеток, это свидетельство сильной очаговой воспалительной реакции в структуре почек, либо моче пузырном органе. При этом, симптомы могут дополняться гнойными включениями в урине.
Особенности повышенный лейкоцитов у женщин
Какие особенности результатов анализа у женщин?
Причиной повышенных лейкоцитарных клеток в женской моче может быть множество патологических состояний, спровоцированных:
- Влиянием бактериальной инфекции на структурные ткани почек.
- Воспалительным поражением мочевого пузыря.
- Функциональной несостоятельностью почек.
- Очагами воспаления в слизистых тканях вагины.
- Грибковыми и урогенитальными инфекциями.
- Злокачественными патологиями в органах, лимфатической и кроветворной системе.
- Ишемическими патологиями.
- Острыми инфекционными заболеваниями, вызывающими изменения в структурном составе крови (к примеру – болезнь Филатова).
Природа увеличения лейкоцитарных клеток в женской урине обусловлена уже двумя факторами – патологиями урологического и гинекологического характера.
Урологический фактор
На первом месте стоят почечные патологии, в частности – функциональная несостоятельность почечной системы фильтрации, патологии протоков и системы канальцев, вызванные воспалительным поражением (нефрит и гломерулонефрит), воспалительные реакции, уплотнение и увеличение в структуре чашечек и лоханок почек, при гидронефрозе и пиелонефрите.
Именно пиелонефрит, является причиной повышенных лейкоцитов в моче при беременности. Процессы воспаления в чашечках и лоханках развиваются из-за застоя урины, пассаж которой нарушается из-за давления подросшего плода на мочевыделительные органы.
Причина воспаления почечных структур чаще обусловлена:
- развитием туберкулезных процессов;
- врожденными аномалиями почечного развития;
- кистозными новообразованиями.
Лейкоцитоз, как следствие уретрита, встречается очень редко, по причине очень короткой уретры у женщин. Увеличение лейкоцитарного уровня в урине может появиться лишь с присоединением застоя и последующего развития воспалительных реакций. В этом случае, мочеточник увеличивается в размерах и в его стенках могут образовываться различной величины мешковидные выпячивания (дивертикула), в которых собирается моча и развивается воспалительный процесс.
К причинам внепочечного характера можно отнести острое и хроническое воспаление мочевого пузыря, и мочекаменную болезнь. При травмировании камнями слизистых тканей пузыря, в ответ на воспалительную реакцию, организм отвечает лейкоцитарной инфильтрацией.
В этом случае, в мочу способны выпадать и эритроциты (красные клетки крови), как следствие повреждения тканей до крови. Аналогичная реакция происходит и при туберкулезе моче пузырного органа либо наличии венерического заболевания.
Гинекологический фактор
Гинекологические причины повышения лейкоцитов в женской моче связаны с изменениями гормонального синтеза в организме женщины, который может варьироваться в зависимости от развития различных заболеваний:
- сальпингита, проявляющегося воспалительными процессами в фаллопиевых трубах матки;
- сальпингоофорита, в виде воспалительных реакций в яичниках и трубах;
- воспаления эндометрия – маточной выстилки;
- резким снижением микрофлоры влагалища (вагиноза бактериального генезиса).
Небольшое отклонения в сторону лейкоцитарного увеличения может отмечаться при зарождении беременности, когда зигота (оплодотворенная яйцеклетка) прикрепляется к стенке матки.
Кстати, в анализах женщины, повышение лейкоцитов в моче совместно с эритроцитами, может быть связано с выходом эпителия цервикального канала на нижний сегмент матки (шейку), либо кровотечением матки, при котором кровавые включения (красные кровяные тельца – эритроциты) попадают в урину.
Признаки воспалительных процессов, вызывающих признаки лейкоцитурии у женщин, проявляются характерной симптоматикой, на которую трудно не обратить внимание:
- женщины чувствуют боли внизу живота и поясничной зоне;
- изменяется структурный характер мочи – она мутнеет, меняет запах и оставляет липкий след;
- при мочеиспускании и после него, отмечаются различной интенсивности рези;
- состояние осложняется лихорадкой, что может говорить о присоединении почечной патологии с признаками отечности и наличии белковых компонентов в урине.
Все эти симптомы должны насторожить, и стать веским поводом для посещения врача.
Повышенный уровень лейкоцитов в моче ребенка
Допустимый показатель лейкоцитарных клеток в детской моче варьируется в зависимости от пола ребенка. У мальчиков – от 2 до 5 клеток в исследуемой пробе, у девочек – 3 – 6 клеток.
Но даже у здоровых малышей, в моче могут обнаруживаться лейкоциты. Их уровень может повышаться по вполне безобидным причинам – при излишней физической нагрузке, после плотного завтрака, либо неправильного сбора урины для анализа.
При показаниях лейкоцитурии в анализах ребенка, необходимо обратить внимание на сопровождающие симптомы. Потому как выпадение лейкоцитов в мочу может быть спровоцировано различными процессами – аллергией, наличием глистных инвазий, обычной опрелостью кожных покровов, и тогда, когда ребенок сознательно терпит и вовремя не ходит в туалет.
Особое внимание следует уделить грудным малышам. Такие детки не расскажут о своих ощущениях. Повышение лейкоцитов в моче у грудничков часто происходит при инфекционных процессах. При этом, у малышей учащается или затрудняется мочеиспускание, что может сопровождаться:
- сильными режущими болями в животе;
- изменением консистенции и цвета мочи;
- помутнением урины (в ней можно заметить осадок);
- лихорадкой и ознобом;
- тошнотой и рвотой.
Но такие признаки проявляются не всегда. Обычно бактериальная инфекция протекает бессимптомно, и выявить ее можно лишь посредством анализа. Поэтому, очень важно периодически обследовать детей, потому как увеличение уровня лейкоцитарных клеток в урине, даже при отсутствии патологических признаков, может говорить:
- о развитии процессов воспаления в мочеполовых органах;
- о проблемах в процессах метаболизма (нарушения в обмене веществ);
- либо быть признаком аномального анатомического развития мочевыводящих органов, способствующих застою мочи и обратному ее ходу (рефлюкса).
Часто, такие процессы имеют скрытый характер, либо бывают следствием врожденных дефектов. Они провоцируют развитие стойких патологических изменений в почечных функциях. Чем раньше это выявиться, тем легче будет предупредить рецидивы патологий.
Что можно сделать и каковы перспективы лечения?
Так как сам показатель лейкоцитурии не заболевание, а является лишь показателем возможных нарушений в организме, лечить саму лейкоцитурию – бесполезно. Лечение назначается в соответствие выявленной первопричины, давшей толчок к активации лейкоцитарных клеток. Для этого применяются различные диагностические методики – бак-посев и мазок на выявление патогенной флоры, или различные методики инструментальной диагностики (при необходимости).
В случае выявления и подтверждения гинекологических и урологических патологий, вызванных микробными возбудителями, назначения включают антибиотикотерапию с индивидуальным подбором лекарственных средств. Это могут быть препараты и аналоги «Доксициклина», «Амоксициллина», «Тетрациклина» или «Цефлокса»
Во многих случаях, при лечении выявленных урологических патологий назначаются препараты дезинфицирующих и антисептических средств – «Уролесана», «Канефрона», «Пазина», «Фуразидина» и др.
В дополнение рекомендуется провести коррекцию диеты: включить в рацион побольше продуктов с клетчаткой (арбузы, дыни, сочные фрукты), увеличить питьевой режим. Очень полезны напитки и морсы из клюквы, они обладают бактерицидным эффектом, способствуют учащению мочеиспускания и естественной промывке мочевыводящих путей.
Если причиной повышения лекоцитов стала аллергия или глисты — назначаются препараты из группы антигистаминных средств. Против гельминтоза лечение проводится согласно выявления типа паразита.
При патологиях онкологического характера, нарушениях проходимости мочеточников и наличии в почках крупных конкрементов – используются только методики оперативного лечения.
В качестве заключения, можно сказать: прогноз при многих воспалительных процессах в органах системы мочевыделения благоприятный, они хорошо поддаются лечению. Здесь важна своевременность и предотвращение перехода заболевания в хроническую форму. Лишь при анатомических дефектах развития и онкологических процессах – прогноз непредсказуем, так как такие нарушения часто осложняются всевозможными последствиями.
Метки: анализ мочевыделительная система
Повышенные лейкоциты в моче: причины, диагностика, лечение
Лейкоциты – это клетки, участвующие в борьбе организма с болезнетворными микроорганизмами. Они убивают бактерии, предотвращая развитие инфекции. В нормальных условиях лейкоциты и эритроциты находятся в крови. Их обнаружение в урине свидетельствует о наличии в мочеполовой системе воспалительного процесса, вызванного микробами.
Содержание лейкоцитов в норме и патологии
У здорового человека количество клеток достигает 3 у мужчин и 5 у женщин. Обнаружение 6-7 клеток не всегда говорит о патологическом процессе, это может быть индивидуальной особенностью организма. Однако при таком содержании врачи уже должны заподозрить наличие воспаления и подробнее обследовать пациента.
Наличие 10-20 белых клеток – это признак местных аллергических патологий, инфекций половой системы, глистных поражений. Высокий уровень лейкоцитов (более 50 клеток) свидетельствует о наличии гнойного воспалительного процесса в каком-либо отделе выделительной системы (в почках, мочевом пузыре, мочеточнике).
Причины повышения уровня белых клеток
Завышенный уровень белых клеток крови в урине называется лейкоцитурией. Ее нельзя считать самостоятельным заболеванием, это симптом, который сопровождает множество патологий. К ним относятся:
- пиелонефрит,
- гломерулонефрит,
- травмы и опухоли в почках и мочевом пузыре,
- попадание в мочевые пути инородных тел,
- мочекаменная болезнь,
- нарушение опорожнения мочевого пузыря,
- цистит.
Кроме заболеваний выделительной системы, повышенное содержание лейкоцитов в моче характерно также для патологий половых органов. Так, у женщин лейкоциты сплошь повышены при вагините, вульвите. Эритроциты в моче при этом также находятся на высоком уровне.
Заболевания – это не единственная причина, почему повышены лейкоциты в моче. Часто данный показатель растет при несоблюдении правил половой гигиены. Особенно часто это встречается у детей.
Лейкоцитурия у беременных женщин
Беременность часто сопровождается пиелонефритом – воспалением чашечно-лоханочной системы почек. Это значительно усложняет течение беременности и может повлиять на формирование органов и систем плода. Поэтому будущим мамам нужно регулярно проверяться для обнаружения повышенного количества лейкоцитов в моче. Если обнаружится, что их много, то необходимо провести дополнительные обследования и назначить соответствующее лечение.
Не стоит пугаться лейкоцитурии на ранних сроках беременности.
Большие показатели означают естественную реакцию женского организма на оплодотворение. Однако уровень должен повышаться незначительно. Белок и лейкоциты в моче в больших количествах могут сопровождать пиелонефрит, который может маскироваться под физиологическую реакцию. Если лейкоциты в моче повышены значительно, есть эритроциты в моче, то стоит провести дополнительные исследования.
Лейкоцитурия у новорожденных
Нормы у новорожденных несколько выше, чем у взрослого человека. Высший допустимый уровень – это 8 клеток. Повышенное содержание лейкоцитов в моче новорожденных детей также свидетельствует о воспалении. Превышение нормы в раннем возрасте очень опасно вследствие особенностей строения выделительной системы ребенка. В большинстве случаев заболевание не проявляется никакими симптомами, поэтому, обнаружив увеличение количества белых клеток, врач должен повторно провести анализ, чтобы подтвердить диагноз. Если показатель будет увеличиваться, то нужно незамедлительно начать лечение.
Возникновение инфекции у младенцев может быть связано с врожденными факторами – сужениями мочевыделительного канала. В таком случае урина больше не может нормально выделяться, и ее часть забрасывается обратно в мочевой пузырь и застаивается. Неполное отделение мочи является одной из причин появления инфекционных болезней, сильно повышаются лейкоциты в моче. Поэтому при обнаружении сужений необходимо провести оперативное вмешательство, которое нормализует прохождение урины по выделительной системе и устранит высокие показатели лейкоцитурии.
Диагностика лейкоцитурии
Для определения содержания белых клеток нужно провести общий анализ мочи. Этот анализ можно делать несколькими способами. Наиболее часто используется способ Аддиса-Каковского, предполагающий сбор всей урины за сутки и ее исследование. Метод Нечипоренко предполагает определение количества белых клеток в одном миллилитре мочи. Этим методом можно обнаружить эритроциты в моче.
Для того чтобы правильно собрать мочу для исследования, нужно сделать следующее:
- найти сухую чистую емкость с плотно закрывающейся крышкой,
- подмыться перед мочеиспусканием,
- собрать среднюю порцию мочи,
- плотно закрыть сосуд.
После этого нужно отнести емкость в поликлинику или больницу, где ее промаркируют и отправят в лабораторию.
Лечение лейкоцитурии
О том, как снизить лейкоциты в моче и что это значит, думать можно только после полного излечения заболевания, ставшего причиной повышенных лейкоцитов в моче. Наиболее часто эти патологии имеют инфекционную природу, поэтому лечить их нужно с помощью антибиотиков. Самостоятельно подбирать препарат нельзя, это делает лечащий врач. Кроме того, при недомогании рекомендуется пить много жидкости, соблюдать постельный режим, правильно питаться. Нужно уменьшить употребление вредных продуктов, это ускоряет лечение. При соблюдении этих правил наблюдается снижение уровня белых клеток.
Таким образом, повышенные лейкоциты в моче – это важный диагностический признак заболеваний мочеполовой системы. При обнаружении лейкоцитурии рекомендуется пройти дополнительное обследование для определения диагноза и назначения правильного лечения.
(Пока оценок нет) Загрузка…
Повышены лейкоциты в моче — что это значит? Причины у взрослых и детей
Рубрика: Анализы онлайн
Лейкоциты являются важной фракцией клеток крови, отвечающей за иммунную защиту организма. В зависимости от строения они выполняют разные функции. Так, агранулярные (незернистые) клетки вырабатывают антитела к возбудителям, способствующие скорейшему их выведению, а гранулоциты способны к фагоцитозу – поглощению и внутриклеточному перевариванию микробных частиц. Таким образом, при развитии инфекционных заболеваний количество лейкоцитов повышается. Впрочем, к этому приводят и неинфекционные воспалительные процессы.
Фагоциты способны выходить из кровяного русла, мигрируя в поврежденные ткани. Примечательно, что поглотив возбудителя, такие лейкоциты погибают, а компоненты их выводятся с мочой, поэтому при любом патологическом процессе в организме концентрация белых клеток в урине возрастает.
- Этот признак является диагностически важным для выявления воспалительных заболеваний, протекающих как в скрытой, так и в острой форме.
Повышены лейкоциты в моче — что это значит?
В идеале концентрация белых кровяных клеток в моче должна быть нулевой, но такое состояние отмечается менее чем у 1% людей. При микроскопическом исследовании урины нормальным считается содержание до 3 лейкоцитов в одном поле зрения у мужчин и до 6 у женщин.
Такая разница объясняется особенностями анатомии. Мочеиспускательный канал женщин находится в непосредственной близости от влагалища, и в мочу может попадать небольшое количество вагинального секрета, богатого лейкоцитами.
Непатологические причины
Впрочем, если у взрослого человека лейкоциты в моче повышены незначительно, поводов для беспокойства, скорее всего, нет. Этот показатель слегка возрастает на фоне таких состояний:
- Прием пищи, особенно сладкой, жирной, жареной;
- Климактерическая сухость влагалища;
- Интенсивные физические нагрузки, спортивные тренировки;
- Прием некоторых медикаментов (антибиотики, нестероидные противовоспалительные препараты, средства от туберкулеза, диуретики).
Часто причиной плохого анализа мочи является отсутствие правильной гигиены перед забором биоматериала. Если человек не произвел подмывания до сбора урины, количество лейкоцитов в ней будет превышать нормальное. Кроме того, распространены другие ошибки, связанные с отбором биоматериала:
- Использование нестерильной посуды;
- Сбор первой, а не промежуточной фракции мочи;
- Длительное хранение биоматериала до доставки в лабораторию (более 2 часов);
- Сбор не утренней мочи, проводимый до завтрака, а вечерней.
Если в моче повышены лейкоциты, врач назначает пациенту повторную сдачу анализа, обращая его внимание на правила забора биоматериала. В случаях, когда результат снова неудовлетворителен, есть основания заподозрить патологические состояния.
Патологические причины
Основные причины повышенных лейкоцитов в моче взрослого человека:
- воспалительные заболевания органов мочевыделительной системы;
- онкопатологии;
- почечная недостаточность;
- сахарный диабет;
- воспалительные процессы во влагалище;
- обезвоживание;
- перегрев (злоупотребление баней и сауной);
- простатит;
- инфекционный мононуклеоз;
- мочекаменная болезнь;
- венерические заболевания;
- аппендицит;
- застой мочи;
- травмы органов малого таза.
При воспалительных заболеваниях мочеполовой системы, среди которых цистит, нефриты, уретрит, простатит лейкоциты устремляются к пораженным мочевому пузырю, почкам, мочеиспускательному каналу, предстательной железе соответственно.
Белые кровяные клетки проникают в ткани и локализуются на слизистых этих органов. Когда происходит отток мочи, она смывает лейкоциты со стенок и уносит вместе с собой. При простатите лейкоциты содержатся в секрете предстательной железы и могут попадать в уретру.
Венерические и иные воспалительные заболевания женской репродуктивной системы сопровождаются усилением выделений. Содержащие повышенное количество лейкоцитов, они также попадают в мочу и регистрируются при ее анализе.
При тяжелом течении нефритов прогрессирует сужение (стеноз) мочеточников, на этом фоне возможно развитие рефлюкса – обратного тока мочи. Урина является подходящей средой для размножения многих микроорганизмов и, если происходит ее застой (в том числе и при рефлюксе), возможно бактериальное воспаление соответствующего отдела мочевыделительной системы, а также связанная с ним лейкоцитурия – повышенное содержание лейкоцитов в моче.
Однако особенно опасным является сильное отклонение в концентрациях сразу нескольких показателей. Например, если у человека диагностированы повышенные лейкоциты и эритроциты в моче. Урина при этом приобретает розовый оттенок или становится красной.
Причины такого состояния:
- Травмы органов малого таза;
- Отхождение камней при мочекаменной болезни, травмирующее мочеточники;
- Онкопатологии мочеполовой системы, вызывающие разрушение тканей;
- Эрозии слизистых оболочек органов мочевыделения при сильных инфекциях.
Повышение концентрации лейкоцитов в моче может быть выраженным или незначительным. При состоянии, обозначаемом как лейкоцитурия, содержание белых кровяных клеток в поле зрения не превышает 20 единиц. Моча при этом визуально не отличается от нормальной. Если концентрация лейкоцитов находится в пределах 20-60 клеток и даже больше, речь идет о пиурии.
При таком состоянии моча мутнеет, в ней невооруженным глазом можно заметить гнойные тяжи. Пиурия характерна для сильных воспалений, гнойного поражения органов мочевыделительной системы.
Впрочем, если в моче сильно повышены лейкоциты, это не обязательно значит, что ситуация критическая. Такое состояние возможно при воспалении наружных половых органов у женщин и мужчин, причиной которого нередко является кандидоз.
Лейкоцитурию нужно рассматривать и оценивать в комплексе с результатами других исследований, учитывать также жалобы больного. В частности, при протекании острых и хронических воспалений в мочеполовой системе больных беспокоят такие симптомы:
- боли в нижней части живота;
- боли в спине, пояснице;
- дискомфорт при мочеиспускании, рези;
- учащение мочеиспусканий;
- уменьшение порций выделяемой мочи;
- изменение цвета и запаха урины;
- выделения из уретры;
- общее недомогание, повышение температуры тела.
При появлении указанных признаков не стоит пытаться снять симптомы самостоятельно – нужно обязательно посетить терапевта или уролога.
Причины повышенных лейкоцитов в моче у женщин
Повышенные лейкоциты в моче у женщин – явление нередкое, и причины его связаны с воспалительными заболеваниями мочевыделительной и половой систем. В связи с особенностями анатомии представительницы прекрасного пола чаще страдают от циститов, чем мужчины. Нередко патология отличается скрытым хроническим течением и проявляет себя лишь лейкоцитурией.
Впрочем, это явление иногда наблюдается и в норме, например, если женщина пренебрегла личной гигиеной и нарушила правила сбора биоматериала. Кроме того, повышенные лейкоциты в моче диагностируют при беременности. Причины этого могут быть связаны с такими состояниями:
- изменение гормонального фона;
- ранние сроки беременности;
- повышенная нагрузка на почки;
- гестоз и иные системные патологии.
На фоне физиологических перестроек гормонального фона у беременной возможно снижение иммунитета. В результате организм компенсаторно повышает концентрацию лейкоцитов, что и регистрируется при анализе мочи. Кроме того, в первые недели беременности плод воспринимается иммунной системой будущей мамы как чужеродный агент. На этом фоне развивается физиологический лейкоцитоз.
По мере прогрессирования беременности почки начинают испытывать возрастающую нагрузку. Им нужно отфильтровать продукты обмена не только организма матери, но и растущего плода. Если почки не справляются, об этом свидетельствует анализ мочи, в котором повышены не только лейкоциты, но зачастую и белок.
Такие же лабораторные показатели могут предупреждать о развитии тяжелой патологии беременных – гестозе. Заболевание требует тщательного стационарного наблюдения и лечения пациентки, поскольку угрожает ее жизни.
Если причина лейкоцитурии при беременности кроется в особенностях физиологии, состояние не представляет опасности. Повышение концентрации белых кровяных клеток при этом незначительно и возникает эпизодически. Если же лейкоцитурия отмечается у беременной постоянно, прогрессирует и сопровождается симптомами воспаления, требуется комплексная диагностика.
Детям первого года жизни для своевременного выявления патологий органов мочевыведения регулярно назначают сдачу анализа мочи. Он позволяет диагностировать многие врожденные патологии почек, мочеточников, мочевого пузыря. Однако часто в моче у грудничка регистрируют повышенные лейкоциты, и не всегда это связано с серьезными заболеваниями.
В подавляющем большинстве случаев лейкоцитурия у детей первого года жизни диагностируется из-за неправильного сбора родителями материала для анализа:
- Отсутствие подмывания малыша перед мочеиспусканием;
- Использование нестерильной посуды для мочи;
- Долгое хранение образца до отправки на анализ (сбор мочи не с утра, а вечером);
- Хранение биоматериала вне холодильника перед транспортировкой в лабораторию.
Собирать мочу у малышей следует при помощи специальных стерильных мочеприемников, которые крепятся к телу. Использование горшка недопустимо, поскольку очень сложно добиться его полной стерильности, и это приводит к дополнительному микробному обсеменению образца.
Лейкоцитурия у детей может быть последствием таких состояний:
- опрелостей;
- рефлюкса;
- воспалительных заболеваний мочевыделительной системы;
- аллергических реакций;
- глистных инвазий.
У ребенка старшего возраста не следует исключать состояние, когда он, увлеченный игрой или просмотром телевизора, долго терпит, задерживая мочу.
Возможное лечение
Выявленная неоднократно лейкоцитурия, особенно если она осложнена прочими симптомами, требует серьезной диагностики. Лечить собственно повышенное содержание лейкоцитов нет смысла, если не устранена основная патология.
В большинстве случаев назначаются препараты из группы уроантисептиков: уролесан, канефрон, пазин, фуразидин и другие. Дополнительно больному рекомендуют придерживаться диеты: включить в рацион больше клетчатки, сочных фруктов (арбуз, дыня). Полезно обильное питье, особенно клюквенный морс. Он дает бактерицидный эффект, а учащенное мочеиспускание способствует естественному промыванию путей мочевыведения.
Если лейкоцитурия возникла на фоне инфекционного процесса, без антибиотиков не обойтись. Это могут быть доксициклин, амоксициллин, тетрациклин, цефлокс.
Аллергическое и повышение лейкоцитов на фоне глистной инвазии у детей требует приема антигистаминных препаратов. Для борьбы с паразитами назначают соответствующие лекарства в зависимости от типа гельминтоза.
Онкопатологии, стенозы мочеточников, приводящие к рефлюксной болезни, крупные камни в мочевом пузыре и почках или конкременты с острыми краями лечатся только хирургическим путем.
Заключение, прогноз
Многие воспалительные заболевания органов мочевыведения хорошо поддаются лечению. Важно лишь своевременно обратиться за помощью, не допустив хронизации процесса. В случае с онкопатологиями и дефектами развития промедление грозит серьезными последствиями.
Не вылеченные вовремя венерические инфекции – серьезный удар по репродуктивному здоровью. Не стоит игнорировать сигналов своего тела и при возникновении любых дискомфортных ощущений следует посетить врача.