Лейкоциты в моче что это значит у женщин норма

Лейкоциты в моче что это значит у женщин норма[Лейкоциты в моче что это значит у женщин норма]

Причины повышенных лейкоцитов в моче у женщин и у мужчин, таблица норм, профилактика

Выясняем, почему лейкоциты в моче бывают повышены, каковы причины у женщин. Моча, или урина по своей сути является ультрафильтратом плазмы крови. Анализ мочи является общеклиническим методом исследования, так как при его помощи можно сориентироваться касательно функционирования мочевыделительной системы.

При появлении в моче патологических примесей, которыми могут быть гематогенные и негематогенные клетки, соли, микроорганизмы, следует заподозрить патологию почек, мочеточника, мочевого пузыря или уретры. Наиболее частой патологической находкой при общем анализе является повышенное содержание лейкоцитов в моче.

Что такое лейкоциты?

Лейкоциты — элементы клеточного компонента крови, основной функцией которых является иммунная.

Лейкоциты формируются в красном костном мозге из мультипотентных, или стволовых клеток. В дальнейшем эти клетки дифференцируются и образуют разные популяции лейкоцитов. Классически эти клетки делят на гранулоциты, так как их цитоплазма содержит визуализируемые при микроскопическом исследовании гранулы, и агранулоциты, которые гранул не имеют.

В свою очередь, в зависимости от реакции на гистологические красители кислотной или основной природы, гранулоциты делят на:

  • эозинофилы,
  • базофилы,
  • нейтрофилы.

Агранулоциты делят на:

Разные этапы иммунного ответа разделены между соответствующими популяциями лейкоцитов:

  • Нейтрофилы обеспечивают иммунную реакцию при микозах (инфекционных заболеваниях, вызванных грибками) и при бактериальной инфекции.
  • Эозинофилы регулируют реактивность иммунной системы, в частности — аллергические реакции, а также участвуют в антипаразитарном иммунитете.
  • Базофилы являются модуляторами воспаления.
  • Лимфоциты участвуют в противовирусном и противоопухолевом ответе.
  • Моноциты дифференцируются в макрофаги, функция которых состоит в фагоцитозе и иммунной регуляции.

Что значит «повышены лейкоциты в моче у взрослого»?

Согласно данным The Merck Manual Online Medical Library, присутствие белых кровяных клеток в моче является признаком воспаления и инфекции.

Лабораторный симптом, когда наблюдается повышенное количество лейкоцитов в моче, зовется лейкоцитурией.

Вопрос о нормальном количестве белых кровяных телец является спорным. Общепризнано, что наличие более одного лейкоцита в поле зрения является аномалией, хотя некоторые эксперты считают, что на патологическую лейкоцитурию указывают пять или более клеток.

Норма лейкоцитов в моче у женщин и у мужчин несколько отличается — это обусловлено анатомическими особенностями мочевыделительной и половой системы у разных полов.  Определенную роль в проникновении лейкоцитов в урину отыгрывает факт близости наружного отверстия уретры, входа во влагалище и анального отверстия.  А из-за того, что у женщин уретра является более широкой и менее длинной, у них выше риск возникновения инфекций мочевыводящих путей. Потому лейкоциты в моче у мужчин без какой-либо патологии встречаются гораздо реже.

Теоретически, любой клеточный элемент, который есть в крови, может присутствовать и в осадке мочи. Наиболее часто там находят нейтрофилы, однако наличие лимфоцитов и эозинофилов имеет большое клиническое значение, потому их следует определить отдельно, если это возможно. Для дифференциации кровяных элементов используются дополнительные окраски или фазово-контрастная микроскопия.

Лейкоциты в моче у женщин — таблица норм по возрасту

В детском возрасте допустимое количество лейкоцитов в урине несколько выше, чем во взрослом.

Возраст Норма лейкоцитов в моче у девочек, женщин
0—1 год 8—9
1—2 год 9—10
2—6 8—10
6—12 8—10
12—16 6—7
16 и старше 0—5

Если говорить о взрослом возрасте среди женщин, то принципиального различия в оптимальных показателях клеточных элементов мочи нет. Норма лейкоцитов в моче у женщин после 50 лет не особо отличается от 30-летних, однако с возрастом риск появления заболевания, сопровождающегося лейкоцитурией, гораздо выше.

Причины повышенных лейкоцитов в моче у женщин и у мужчин

Причины, из-за которых может быть слишком много лейкоцитов в моче, разные:

  • инфекция мочевыводящих путей;
  • грибковая инфекция;
  • инфекция почек;
  • асимптоматическая бактериурия;
  • изолированный цистит;
  • изолированный уретрит;
  • гломерулонефрит.

Наиболее частой причиной повышенных лейкоцитов в моче у женщин (чаще) и у мужчин является инфекция мочевыводящих путей. Вероятность возникновения инфекции мочевыводящих путей повышается во время беременности. Это обусловлено тем, при беременности увеличивается объем мочевого пузыря у женщин и, следовательно, автоматически уменьшается его тонус.

Поскольку мочевой пузырь должен выдерживать вес плода, полный выход урины во время беременности становится затруднительным. Это также является причиной того, что женщины жалуются на частое мочеиспускание во время беременности. А также это условие создает подходящую среду для бактериального роста. Для борьбы с этой бактериальной инфекцией наблюдается местная лейкоцитарная инфильтрация, следы которой проявляются в моче.

Грибковая инфекция в таких случаях вызвана дрожжевым грибком под названием Кандида. Грибковая инфекция во время беременности часто связана с увеличением продукции женских половых гормонов, что создает благоприятные условия для роста таких грибов в половой системе.

Инфекция почек проявляется в виде пиелонефрита — воспаления лоханочной системы почек. Чаще всего она наблюдается при восходящем распространении инфекции мочевыводящих путей, которая локализировалась в мочевом пузыре или уретре — при инфекционном цистите или уретрите. Наиболее частой причиной пиелонефрита является кишечная палочка.

Асимптоматическая бактериурия  характеризуется ростом бактерий внутри мочевого пузыря без симптомов.

Гломерулонефрит характеризуется воспалением клубочкового аппарата почек и чаще вопровождается нарушением функционирования почечного фильтра. Это проявляется в виде гематурии и протеинурии — появляется кровь и белок в моче, лейкоциты встречаются гораздо реже.

Читайте далее: Повышенные лейкоциты в моче при беременности, нормы, причины лейкоцитурии

Симптомы

Лейкоциты в урине как таковые не дают какой-либо симптоматики — их наличие там является проявлением основного заболевания. Следовательно, симптомы будут зависеть от степени выраженности воспалительного процесса и от его локализации.

Классическая клиническая картина у пациентов с острым пиелонефритом выглядит следующим образом:

  • лихорадка (не всегда присутствует; когда она есть, температура достигает 39,4°C);
  • костовертебральная, чаще односторонняя боль разной степени выраженности, которую может сопровождать мышечная напряженность в боку;
  • тошнота и / или рвота — они различаются по частоте и интенсивности, от отсутствия до тяжелой; также распространена у пациентов с острым пиелонефритом анорексия — отсутствие аппетита.

Если у пациента цистит, сопровождающийся лейкоцитурией, у него будут такие симптомы:

  • дизурия, или расстройство мочеиспускания (учащение, ложные позывы, императивные позывы);
  • ощущение наполненности мочевого пузыря или дискомфорта в области низа брюшной полости;
  • надлобковая напряженность;
  • редко — лихорадка, озноб и недомогание.

Диагностика

За границей является популярным метод определения лейкоцитарной эстеразы при помощи полосок с индикаторами. У нас наиболее распространенным методом определения лейкоцитов в моче является общий анализ мочи, где эти клетки определяются при помощи световой микроскопии.

Иногда используются анализы мочи по Аддису-Каковскому и по Нечипоренко. При анализе мочи по Аддису-Каковскому используется весь объем суточной мочи, по отношению к которому определяются в ней клеточные элементы — тут лейкоцитов должно быть менее 2 миллионов в 1 мл. Суть анализа мочи по Нечипоренко состоит в исследовании средней порции утренней мочи — лейкоцитов должно быть не более 2000 на 1 мл.

Правила сбора мочи

Для того, чтоб избежать ложнопозитивных результатов, необходимо придерживаться определенных правил при подготовке к анализу мочи.

  1. До сбора мочи необходимо приобрести стерильный контейнер для сдачи мочи.
  2. Лучше всего использовать утреннюю мочу.
  3. Перед сбором мочи необходимо провести туалет наружных половых органов —высокие лейкоциты в моче у женщин иногда обусловлены банальной недостаточной гигиеной.
  4. Набирать лучше всего среднюю часть мочи — через несколько сеекунд после начала акта мочеиспускания.
  5. В лабораторию следует транспортировать контейнер как можно быстрее.

Как понизить уровень лейкоцитов в моче

Лейкоцитурия — лабораторный симптом, а не заболевание. Отсюда следует, что лейкоцитурию не лечат —  терапевтическая тактика не направляется на уменьшение количества лейкоцитов в моче.

В то же время, мочу исследуют в динамике, чтоб проследить, насколько уменьшилась лейкоцитурия в зависимости от тех или иных лечебных мероприятий.

При бактериальных циститах проводится эмперическая терапия пероральным антибиотиком, который эффективен против грамотрицательных аэробных бактерий (например, Escherichia coli). Первыми препаратами для лечения неосложненного острого цистита у женщин являются следующие:

  • нитрофурантоина моногидрат,
  • сульфаметоксазол-триметоприм,
  • фосфомицин.

Для осложненного цистита используются фторхинолоны.

Для лечения острого пиелонефрита необходима антибиотикотерапия, которая предотвращает прогрессирование инфекции. Следует провести бактериологический анализ мочи и тестирование на чувствительность. Эмпирическая терапия должна быть адаптирована к уропатогену.

Пациентам с острым пиелонефритом умеренной степени тяжести назначается однократная доза парентерального антибиотика с последующей пероральной терапией и мониторингом в течение первых 48 часов.

При тяжелом пиелонефрите пациентам показано стационарное лечение. Оно заключается в мониторинге общего анализа мочи и крови, кислотно-щелочного баланса, электролитов. Внутривенные антибиотики назначаются до выздоровления и значительного улучшения клинической картины. В некоторых случаях уместна противовоспалительная, анальгезирующая, дезинтоксикационная терапия.

Приемлемые схемы антибиотикотерапии при остром пиелонефрите могут включать:

  • фторхинолоны,
  • цефалоспорины,
  • пенициллины,
  • карбапенемы,
  • аминогликозиды.

Профилактика лейкоцитурии у взрослых

Для профилактики лейкоцитурии как ложнопозитивного результата общего анализа мочи необходимо придерживаться всех правил подготовки к сдаче анализа.

Для профилактики самих заболеваний, вызывающих лейкоцитурию, следует:

  • придерживаться правил личной гигиены — проводить ежедневно туалет наружных половых органов, менять нижнее белье;
  • уменьшить количество синтетического нижнего белья, а также такого, которое не выполняет гигиеническую функцию;
  • не допускать длительного нахождения при низких температурах без надлежащей одежды;
  • придерживаться оптимального рациона, а также обеспечить себе здоровый сон, чтоб избежать иммуносупрессии.

Читайте далее: Лейкоцитарная эстераза в моче — что это значит, нормы у женщин, детей

Доверьте свое здоровье профессионалам! Запишитесь на прием к лучшему врачу в Вашем городе прямо сейчас!

Записаться к врачу сейчас!

Норма лейкоцитов в моче у женщин и причины отклонений

Лейкоциты являются не только важной частью иммунных процессов в организме женщины. Показатели концентрации белых кровяных телец в моче позволяют судить о наличии очагов воспаления и степени развития патологии. Несложные лабораторные исследования на первых стадиях диагностики помогают своевременно начать медикаментозное или хирургическое лечение заболевания и избежать тяжелых осложнений.

Характерные особенности лейкоцитов

Лейкоциты — неоднородная группа клеток, для которых характерно отсутствие ядра и какой-либо окраски. Внешний вид белых кровяных телец может значительно варьироваться в зависимости от их функциональной активности. Специфическая и неспецифическая защита организма от различных негативных факторов заключается в регуляции аллергических реакций и разрушении патогенных микроорганизмов.

Если содержание лейкоцитов в моче повышено, значит, внутри тела женщины протекает воспалительный процесс. Иммунная система вырабатывает множество белых кровяных телец, которые погибают при атаках на чужеродные белки. Поврежденные лейкоциты выводятся почками с вторичной мочой, где и определяется их количественный и качественный состав.

Лейкоцитарная формула — процентное соотношение различных белых кровяных телец. Норма лейкоцитов в моче у женщин означает не только отсутствие очага воспаления, но и высокую сопротивляемость организма к вирусным и бактериальным инфекциям.

Вне зависимости от видовой принадлежности белых кровяных телец они активно двигаются, проникают через стенки капилляров непосредственно во внутренние органы. Именно там происходят процессы переваривания и поглощения возбудителей инфекционных заболеваний (фагоцитоз).

Белые кровяные тельца классифицируются в соответствии с таблицей:

Вид Описание
1. Гранулоциты. Крупные клетки с сегментированными ядрами и зернистой цитоплазмой.
2. Агранулоциты. Мелкие клетки с несегментированными ядрами и цитоплазмой незернистой структуры.
3. Эозинофилы. Такие лейкоциты содержат ядро, состоящее из двух долей, и гранулы. Специфические клетки активизируются при возникновении аллергических реакций или при заражении червями-паразитами.

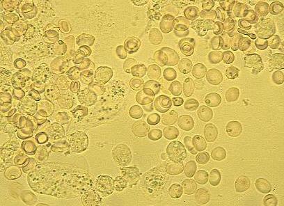
Если в организме накопилось большое количество микробов, то происходит значительное увеличение размеров лейкоцитов. После их разрушения высвобождаются специфические соединения, провоцирующие местную воспалительную реакцию. Такое состояние становится сигналом для привлечения к инфекционному очагу неповрежденных белых телец. После гибели всех лейкоцитов и патогенных микроорганизмов образуется значительное выделение гноя, который затем обнаруживается в моче у женщины.

Лейкоциты отличаются друг от друга по форме и размерам

Нормальный и повышенный уровень лейкоцитов

Невылеченные заболевания и половая принадлежность влияют на то, какую норму лейкоцитов в моче считать эталоном. Это объясняется анатомическим строением мочеполовой системы. У женщин уретра более широкая и короткая, чем у мужчин, поэтому представительницы прекрасного пола чаще страдают от инфекционных патологий. К сбору мочи женщинам следует подходить более тщательно: использовать тампон, обязательно подмыться. Почти все гинекологические заболевания, беременность, климакс вызывают повышение уровня лейкоцитов в моче, или лейкоцитурию.

Результаты лабораторного анализа классифицируют лейкоцитурию следующим образом:

Причины повышенных лейкоцитов при беременности

  1. Выраженная. Содержание белых кровяных телец превышает 100 клеток внутри поля зрения микроскопа. Такое состояние означает, что в моче содержится много гноя, протекает острый воспалительный процесс. Это можно определить даже визуально: урина мутная, с осадком в виде творожистых хлопьев.
  2. Умеренная. Количество лейкоцитов варьируется от 50 до 100 единиц. Данный показатель часто свидетельствует о хроническом воспалении с образованием одного или нескольких инфекционных очагов.
  3. Незначительная. Концентрация клеток внутри поля зрения невысока — менее 50 единиц. В организме женщины присутствует небольшой воспалительный очаг.

Норма лейкоцитов у женщин имеет значения от нуля до 5 клеток внутри поля зрения микроскопа. Превышение показателей на несколько единиц, как правило, не является поводом для беспокойства. Такая лейкоцитурия возникает у абсолютно здоровых женщин под воздействием различных факторов или при несоблюдении гигиенических правил при сборе урины.

Лейкоциты в моче при беременности могут повышаться по естественным причинам

Период вынашивания ребенка — одна из причин повышения лейкоцитов в моче у женщин. Это объясняется изменениями гормонального фона и работы мочевыделительной системы. У беременной лейкоцитурия выражена незначительным (около 5 единиц) увеличением нормальных показателей. Норма содержания лейкоцитов в моче девочек отличается от значений для взрослой женщины. Допускается превышение оптимального значения на три единицы.

При диагностировании заболеваний по результатам лабораторных анализов мочи учитывает не только высокий уровень лейкоцитов, но и концентрация других элементов осадка. Данные вещества редко содержатся в урине при нормальном состоянии здоровья:

  • эритроциты,
  • цилиндры,
  • бактерии,
  • клетки эпителия.

Совокупность лейкоцитов с этими компонентами является сигналом для проведения срочной диагностики и безотлагательного лечения. Патологическая моча также характеризуется тесным нагромождением белых кровяных телец. В поле зрения микроскопа они располагаются слоями — около 60 клеток различных размеров.

Повышенные лейкоциты в моче являются не только показателем наличия воспалительного процесса, но и места его локализации. Инфекционный очаг у женщины чаще всего развивается на слизистой оболочке мочевого пузыря, в почках, мочеточниках, органах репродуктивной системы. До проведения анализов такой процесс визуализируется изменением цвета и запаха урины. Зеленоватый цвет биологической жидкости означает присутствие мутного экссудата, выделяющегося при серозно-гнойном воспалении тканей.

Для выявления области локализации воспаления проводится проба трех стаканов. Для исследования требуется только утренняя моча, распределенная по трем контейнерам. Если высокий уровень лейкоцитов наблюдается только в одной емкости, инфекционный очаг находится в уретре. Повышение концентрации белых кровяных телец в двух контейнерах позволяет предполагать наличие воспалительного процесса в мочевом пузыре. О почечных патологиях свидетельствует обнаружение значительного уровня лейкоцитов во всех емкостях.

В поле зрения микроскопа располагается множество лейкоцитов

Причины повышения лейкоцитов в моче

Понижение сопротивляемости организма женщины к бактериальным и вирусным инфекциям является причиной возникновения многочисленных патологий. Высокий уровень лейкоцитов в урине обнаруживается при следующих заболеваниях:

  1. Острый и хронический пиелонефрит, гломерулонефрит, геморрагический цистит.
  2. Острая и хроническая почечная недостаточность, нефритический синдром при почечных патологиях, воспаление мочевыводящих каналов.
  3. Наличие конкрементов в почках или мочевом пузыре.
  4. Нарушения процессов метаболизма при патологиях эндокринной системы.
  5. Инфекционные заболевания мочеполовой системы.

Высокие показатели содержания лейкоцитов указывают на наличие гноя. Обширный воспалительный процесс развивается при таких патологиях:

  • значительная деформация структурных отделов почек, сопровождающаяся гибелью нефронов;
  • наличие червей-паразитов внутри организма;
  • системные заболевания, острое или хроническое течение аллергических реакций;
  • злокачественные, доброкачественные новообразования;
  • незалеченные венерические заболевания;
  • повреждение гепацитов с образованием абсцесса.

Понижение иммунитета у женщины провоцирует кандидоз, различные формы вагинитов. Данные заболевания вызывают незначительную лейкоцитурию, но в урине обнаруживаются другие компоненты мочевого осадка. Как правило, концентрация белых кровяных телец повышается при туберкулезном поражении легочной паренхимы, кожных покровов, костной ткани. Для выявления амилоидной дистрофии врачом назначается специальное исследование мочи с целью определения видовой принадлежности лейкоцитов.

Почему появляется значительное количество белых телец при травмах — при сдавливании или ушибе происходит нарушение кровообращения на поврежденных участках внутренних органов. Такое состояние провоцирует некроз клеток с образованием инфекционного очага.

Превышение концентрации белых кровяных телец означает, что требуется дальнейшее проведение диагностики для установления причины данного состояния. Лейкоциты разрушаются при попадании внутрь организма женщины патогенных бактерий, поэтому этиотропное лечение проводится противомикробными препаратами. В зависимости от стадии тяжести обнаруженного заболевания используются такие антибиотики:

  1. Цефалоспорины третьего или четвертого поколения.
  2. Амоксициллин или Амоксиклав.
  3. Кларитромицин.

Хорошо зарекомендовал себя при лечении бактериальных инфекций Метронидазол (Трихопол). Курс антибиотикотерапии также может варьироваться от 10-х дней до 3-х недель. Для восстановления полезной микрофлоры в кишечнике рекомендуется прием пробиотиков или пребиотиков (Энтерол, Аципол, Бифиформ).

Для профилактики лейкоцитурии следует пить 2 л воды ежедневно

Пониженные показатели уровня тромбоцитов всегда сопутствуют лейкоцитурии, свидетельствуют об уменьшении сопротивляемости организма к инфекциям. Для укрепления иммунитета проводится курсовое лечение иммуностимуляторами, иммуномодуляторами, комплексами витаминов с микроэлементами. Диуретические препараты (Тригрим, Гипохлортиазид, Диакарб) рекомендованы при заболеваниях, сопровождающихся застоем урины. Нормальное мочевыделение препятствует накоплению патогенных микроорганизмов на слизистой оболочке мочевого пузыря.

Во время лечения женщина должна соблюдать щадящую диету с исключением из рациона жирной и жареной пищи. Для восстановления водно-солевого баланса в организме следует выпивать не менее 2-х литров чистой воды в сутки. Также не стоит забывать о правилах личной гигиены.

Лейкоциты в моче у женщин: норма показателей

Анализ мочи является одним из самых распространенных исследований в лабораторной диагностике.

Наряду с ОАК, который все чаще проводится с помощью автоматизированных систем, клиницистами используются различные пробы и провокационные тесты.

Изучение мочевого осадка позволяет выявить изменения со стороны мочевыделительной системы. Многие заболевания почек сопровождает лейкоцитурия. Норма лейкоцитов в моче у женщин и детей отличается от показателей у мужчин, но превышение этих значений зачастую связано с однотипными патологическими процессами.

Какая норма лейкоцитов в моче?

В норме в моче может быть несколько клеток иммунитета: это те «дозорные», которые проверяли органы на предмет инфекции или рака. У женщин таких клеток допускается немного больше: у них в мочу могут попадать еще и те лейкоциты, которые «проверяют» половые органы.

Итак, норма лейкоцитов в моче (по общеклиническому анализу мочи):

  • у женщин: 0-6 в поле зрения;

Если говорить о пробе по Нечипоренко, то повышенными лейкоцитами будет считаться уровень выше 2000 клеток в 1 мл (у женщин допускается до 4000 клеток).

  • норма пробы Амбурже также – до 2000 лейкоцитов.
  • по Аддису-Каковскому нормой считают выше 2 000 000 лейкоцитов в суточной моче.

Таким образом, что значит «повышенные лейкоциты»? В зависимости от того, каким анализом мочи они определяются, это:

  • или более 3 у мужчин и 6 у женщин (по общему анализу);
  • или более 2000 (по Амбурже и Нечипоренко);
  • или более 2 миллионов (по Аддису-Каковскому).

О чем могут свидетельствовать отклонения от нормы?

В медицинской практике существует определенная система критериев, согласно которой определяется зависимость состояния здоровья женщин от уровня лейкоцитов в моче.

При проведении общего анализа градация зависит от того, сколько белых кровяных клеток оказалось в поле зрения исследователя:

  • от 0 до 6 единиц — норма не превышена, женщина абсолютно здорова;
  • от 7 до 10 штук — незначительное превышение показателей, может быть временным;
  • от 11 до 50 — рассматривается врачом как признак наличия воспаления;

Если концентрация лейкоцитов огромна и их невозможно сосчитать, значит организм подвергается серьезнейшему заболеванию, сопровождающемуся очень сильным воспалительным процессом. 

Причины появления лейкоцитов в моче у женщин

Лейкоцитурия – состояние, когда количество белых клеток превышает допустимые нормы и чаще всего свидетельствует о воспалении. Патология может локализоваться в мочевом пузыре, мочеточниках, почечной лоханке, женских половых органах. Женщины отмечают, что моча становится мутной, часто с неприятным запахом, визуально определяются белые хлопья. При пиурии она приобретает зеленоватый цвет.

Рассмотрим основные причины появления лейкоцитов в моче у женщин:

  1. Пиелонефрит. Может развиваться, как самостоятельное заболевание или в виде восхождения инфекции после цистита. Часто встречается у ослабленных людей с недостаточным иммунитетом.
  2. Цистит. Острое заболевание трудно пропустить: оно проявляется интенсивными болями внизу живота, сильными позывами к мочеиспусканию и его болезненностью (особенно в конце), иногда еще выделением крови с мочой и повышением температуры. А хронический цистит может протекать бессимптомно, только в некоторых случаях давая знать о себе учащенным мочеиспусканием и небольшим дискомфортом при нем. При хроническом цистите периодически возникают обострения, которые проявляются симптоматикой острого процесса.
  3. Нефролитиаз или камни в почках. Симптомы — приступы острой боли в поясничной области, особенно после встряски, повышенная температура, иногда вмоче есть следы крови, что подтверждается повышенным уровнем эритроцитов.
  4. Гематурия — это заболевание, которое связано с наличием всех элементов крови в моче. Существует также макрогематурия, это заболевание, при котором в моче находится небольшое количество крови. Эту болезнь можно заметить даже не проводя никаких анализов, так как у мочи будет красноватый оттенок.
  5. Уретрит – воспаление слизистой уретры (или мочеиспускательного канала). Проявляется у женщин в виде зуда, неприятных ощущений во время мочеиспускания, различных выделений (гнойных, кровянистых). Встречается уретрит, вызванный специфической микрофлорой – трихомонадами, микоплазмами, гонореей, хламидиями.
  6. Гинекологические болезни. Воспаление яичников и маточных труб у женщин может явиться источником лейкоцитов, попавших в мочу. Для этой патологии характерно наличие внезапных двусторонних болей в нижней части живота, отдающих в паховую зону и бедра, а также усиливающихся во время полового контакта.

Также еще одной причиной появления белых телец в моче может быть беременность. Это объясняется тем, что в этот период сопровождается активностью гормонов, но если же уровень лейкоцитов значительно превышает норму, при этом продолжает оставаться таким на протяжении длительного периода, то скорее всего в организме находится инфекция. В таком случае визит к врачу просто необходим.

Инфекция в моче может также появиться из – за того, что часто сдерживают позывы к мочеиспусканию, вследствие этого мочевой пузырь не сможет уже выполнять свою функцию полноценно, что и приводит к неспособности полностью опорожняться. В моче, которая осталась в мочевом пузыре, могут начать развиваться инфекция, и как следствие – появление повышенного уровня лейкоцитов.

Что делать?

Как уменьшить лейкоциты в моче, если у них патологическое происхождение? Метод подбирается индивидуально, зависит от причины лейкоцитоза, конкретного случая, возраста пациента. Способы лечения взрослого и ребенка могут отличаться.

Как правило, назначаются следующие методы:

  • назначение антигистаминных препаратов, если повышенные показатели возникли из-за аллергии;
  • химиотерапия, оперативное вмешательство при онкологических проявлениях;
  • прием антибиотиков, если заболевание связано с попаданием бактерий, инфекций;
  • прием нестероидных препаратов для устранения очагов воспаления;
  • использование комплексной терапии при патологиях внутренних органов;
  • отмена лекарств, если лейкоцитоз вызван их приемом;
  • если очень высокие показатели, используется лейкаферез – переливание очищенной крови.

Норма лейкоцитов у женщин

Лучшие врачи по рейтингу

Кочеткова Роза Петровна

Венеролог Дерматолог

Стаж 30 год.

8.8рейтинг

Погосьянц Анжела Валерьевна

Стаж 24 год.

9.2рейтинг

Агаханян Карен Арменович

Стаж 21 год. Кандидат медицинских наук

9.5рейтинг

Лейкоциты, также называемые белыми клетками крови, являются важными компонентами, поскольку они играют ключевую роль в иммунной системе. Есть несколько различных типов этих биологических единиц, каждая из которых отличается по физическим и функциональным характеристикам.

Норма лейкоцитов в моче у женщин свидетельствует о том, что иммунная система способна защитить организм от вредных патогенов. Высокое их количество часто является показателем заболевания или инфекции. Точно так же низкий уровень (лейкопения) указывает на некоторые медицинские проблемы. Возможно уменьшение или повышение одного типа лейкоцитарной формулы или нескольких в одно и то же время.

Концентрация единиц в крови изменяется в течение жизни. Таким образом, стандартные их пределы различны в зависимости от следующих показателей:

Для проверки уровня иммунных компонентов проводится клинический анализ мочи.

Это основной диагностический тест, который включает в себя количественную и качественную оценку структурных элементов. Для этого в лабораториях используют два различных теста: микроскоп и химические испытания.

Характеристика

Лейкоциты почти бесцветные, менее многочисленны, чем эритроциты и обладают способностью двигаться. В периферической крови встречается два типа:

  • гранулоциты;
  • агранулоциты.

Агранулоциты составляют примерно 60% лейкоцитарной формулы. Они включают в себя такие единицы, как моноциты и лимфоциты. Процент моноцитов составляет около 2-9%, что позволяет стимулировать антигены иммунной системы. Лимфоциты включают в себя В-клетки и Т-клетки.

Первые вырабатывают антитела, которые используются для атаки вторгшихся патогенов и токсинов. Другие уничтожают собственные структурные соединения, которые были поражены вредными микроорганизмами.

Гранулоциты состоят из трех типов – нейтрофилы, эозинофилы и базофилы. Способствуют умерщвлению грибков, бактерий и других патогенных микроорганизмов. Эозинофилы позволяют атаковать все виды паразитов, они также играют роль при аллергических реакциях. Целью нейтрофилов являются бактерии и грибки, в то время как базофилы высвобождаются при аллергических реакциях и астме. Следующее распределение гранулоцитов: 50-60% нейтрофилов, 1-4% эозинофилов, меньше 2% базофилов – вот какая норма лейкоцитов в моче у женщин.

Эталонные показатели

Анализ мочевого образца обеспечивает общие цифры и дифференциалы лейкоцитарной формулы, а также качественные и количественные изменения. Он указывает на концентрацию нейтрофилов, сегментированных лимфоцитов, моноцитов, эозинофилов и базофилов, которые присутствуют в крови.

На концентрацию лейкоцитной группы влияют следующие факторы:

  • время сбора образца;
  • вредные привычки, например, курение;
  • прием лекарственных препаратов;
  • ожирение.

Эталонная норма лейкоцитов в моче у женщин облегчает интерпретацию лабораторных испытаний мочевой жидкости. Абсолютная оценка является более важным показателем, чем относительно значение (%) с клинической точки зрения.

Небольшая плотность белых кровяных клеток в урине является нормальным показателем, поскольку они стареют и разрушаются, а потом выводятся вместе с мочой. Но при ИМП или более серьезных заболеваниях, таких как рак, исследования показывают более высокие концентрации сегментических единиц в урине.

Увидеть белые кровяные клетки можно под микроскоп, изучая подготовленный слайд образца мочи. Также их считают с помощью высокой мощности прибора в 40-кратном приближении. Нормальная лейкограмма в экскрециях должна составлять небольшой объем, оно определяется следующими способами:

  • 0-5 под микроскопом или 0-10 в центрифуге;
  • на 1 мм3 свежего образца — 8-10;
  • на 1 мм3 суточной мочи — 2-5.

Если анализ показал увеличение лейкоцитарной формулы, врач назначает пациентке пройти дополнительное тестирование для диагностики некоторых скрытых процессов, а также, чтобы удостовериться в правильности лечения. Норма лейкоцитов в моче у женщин по методу Нечипоренко должна составлять не более 2000/мл.

Эталонный стандарт для беременных

Для того чтобы постоянно отслеживать изменения на каждом приеме у гинеколога будущая мама в обязательно порядке сдает анализ экскреций, который является видным индикатором здоровья.

Норма лейкоцитов в моче у беременных женщин равна 10 000 клеток на мкл или 0-5 ед. в поле зрения. Иногда в урине концентрация биологических компонентов иммунной системы составляет до 30 000 ед. на мкл и это не считается патологией.

Если анализ показал повышенное количество белых клеток, этому есть несколько причин:

  1. Инфекции мочевыводящих путей – наиболее распространенная медицинская проблема во время беременности. Будущие мамы имеют увеличенный объем мочевого пузыря и сниженный его тонус из-за веса ребенка. Полное опорожнение пузыря становится затруднительным, что приводит к росту и размножению бактерий.
  2. Почечная инфекция, также известная как пиелонефрит, возникает при игнорировании ИМП. Иногда сопровождается высокой температурой, болью в боку, тошнотой и рвотой.
  3. Бессимптомная бактериурия – развитие бактерий в мочевыводящих путях без симптомов.
  4. Другие патологии – загрязненные образцы вагинальными выделениями.

Показатели у женщин старше 50 лет

Норма лейкоцитов в моче у женщин после 50 лет составляет 6 ед. на 1 мкл при исследовании образца под микроскопом. Их численность записывается в виде обозначений «небольшое», «некоторое», «умеренное» или «большое количество».

Поскольку в урине не должно быть никаких примесей, следовательно, наличие белых клеток считается патологическим. Они часто свидетельствуют об инфекциях мочевых путей.

Норма лейкоцитов для женщин в анализе мочи наведена в таблице.

Компоненты иммунной системы могут присутствовать в содержимом мочевого пузыря, только в небольшом количестве. Когда они увеличиваются, это свидетельствует о воспалении мочевых путей, почек или других серьезных заболеваний. В любом случае необходимо пройти обследования для выявления причины повышения их плотности.

Повышенные лейкоциты в крови

СКИДКИ для всех посетителей MedPortal.net! При записи через наш единый центр к любому врачу, Вы получите цену дешевле, чем если бы напрямую обратились в клинику. MedPortal.net не рекомендует заниматься самолечением и при первых симптомах советует незамедлительно обращаться к врачу. Лучшие специалисты представлены у нас на сайте тут. Воспользуйтесь рейтингом и сервисом сравнения или просто оставьте ниже заявку и мы подберем вам отличного специалиста.

Друзья! Если статья была для Вас полезной, поделитесь пожалуйста ей с друзьями или оставьте комментарий.


Смотрите также